Abstract
The first henipaviruses, Hendra virus (HeV), and Nipah virus (NiV) were pathogenic zoonoses that emerged in the mid to late 1990s causing serious disease outbreaks in livestock and humans. HeV was recognized in Australia 1994 in horses exhibiting respiratory disease along with a human case fatality, and then NiV was identified during a large outbreak of human cases of encephalitis with high mortality in Malaysia and Singapore in 1998–1999 along with respiratory disease in pigs which served as amplifying hosts. The recently identified third henipavirus isolate, Cedar virus (CedPV), is not pathogenic in animals susceptible to HeV and NiV disease. Molecular detection of additional henipavirus species has been reported but no additional isolates of virus have been reported. Central pathological features of both HeV and NiV infection in humans and several susceptible animal species is a severe systemic and often fatal neurologic and/or respiratory disease. In people, both viruses can also manifest relapsed encephalitis following recovery from an acute infection, particularly NiV. The recognized natural reservoir hosts of HeV, NiV, and CedPV are pteropid bats, which do not show clinical illness when infected. With spillovers of HeV continuing to occur in Australia and NiV in Bangladesh and India, these henipaviruses continue to be important transboundary biological threats. NiV in particular possesses several features that highlight a pandemic potential, such as its ability to infect humans directly from natural reservoirs or indirectly from other susceptible animals along with a capacity of limited human-to-human transmission. Several henipavirus animal challenge models have been developed which has aided in understanding HeV and NiV pathogenesis as well as how they invade the central nervous system, and successful active and passive immunization strategies against HeV and NiV have been reported which target the viral envelope glycoproteins.
Keywords: Paramyxovirus, Henipavirus, Hendra, Nipah, Animal model, Pathogenesis, Tropism, Vaccine, Antiviral, Monoclonal antibody
Introduction
The genus Henipavirus in the family Paramyxoviridae is presently represented by three known virus isolate species Hendra virus (HeV), Nipah virus (NiV) and CedPV (CedPV) and are enveloped, single-stranded negative-sense RNA viruses (Wang et al. 2013b; Marsh et al. 2012). HeV and NiV are bat-borne disease-causing zoonoses while CedPV also resides in the same bat species as does HeV in nature. Studies have shown that CedPV is not pathogenic in animals susceptible to HeV and NiV disease, nor is it known to be zoonotic. To date, bats appear to be predominant natural reservoir hosts for henipaviruses (Clayton et al. 2013) and recently, by nucleic acid based detection surveys, there has been a significant species expansion of the Henipavirus ranks including at least two full genome sequences, and also a report of one henipavirus from a rodent, but to date HeV, NiV, and CedPV are the only virus isolates that have been reported (Wu et al. 2014; Drexler et al. 2012).
Central pathological features of both HeV and NiV infection in humans and several susceptible animal species is a severe systemic and often fatal neurologic and/or respiratory disease (Abdullah and Tan 2014; Wong and Ong 2011; Playford et al. 2010). Of additional concern in people, both viruses, but particularly NiV, can also manifest as relapsing encephalitis following recovery from an acute infection resulting from a recrudescence of virus replication in the central nervous system (CNS) (Wong and Tan 2012; Wong et al. 2009). Spillovers of HeV have continued to occur in Australia since its identification, as does NiV in Bangladesh and India, since its recognition in Malaysia, which continue to make these henipaviruses an important transboundary biological threat (Broder et al. 2013). NiV in particular possesses several features that highlight a pandemic potential, such as its ability to infect humans directly from natural reservoirs or indirectly from other susceptible animals along with a capacity of limited human-to-human transmission (Luby 2013). Several henipavirus animal challenge models have been developed which has aided in understanding how HeV and NiV invade the central nervous system (Geisbert et al. 2012; de Wit et al. 2014), and successful active and passive immunization strategies against henipaviruses have been reported which target the viral envelope glycoproteins (Middleton et al. 2014; Broder 2012; Broder et al. 2012).
Emergence of Henipaviruses
A new paramyxovirus was isolated and identified in 1994 in an outbreak of fatal cases of respiratory disease in horses and humans in the Brisbane suburb of Hendra, Australia, and was shown to be distantly related to measles virus and other morbilliviruses (Murray et al. 1995a). Thirteen horses and their trainer succumbed to the infection by this previously unknown virus, along with the non-fatal infection of seven other horses and a stable hand. In an unrelated and only retrospectively identified spillover of this same virus near Mackay in central Queensland, ~1000 km north of Brisbane, a farmer experienced a brief aseptic meningitic illness after caring for and assisting at the necropsies of two horses that were only later shown to have died from this virus infection (Hooper et al. 1996; Rogers et al. 1996). Thirteen months later this individual suffered severe fatal encephalitis resulting from that initial virus infection characterized by uncontrolled focal and generalized epileptic activity (O’Sullivan et al. 1997). The virus was provisionally termed equine morbillivirus but was later re-named HeV where the initial recognized outbreak had occurred. To date, HeV has since reemerged in Eastern Australia on 55 occasions with more than 97 horse deaths, 2 HeV antibody positive euthanized dogs, and 4 of 7 human case fatalities (Broder et al. 2013; Anonymous 2012, 2013a, b, 2014a, b). Although HeV infection was detected in two dogs in recent years, the extent of HeV transmission from bats to dogs in Australia is unknown, and all recognized HeV spillovers and all cases of confirmed human infections, the horse has served as an intermediate host between the virus-shedding bat reservoir and humans. The epidemiological features and potential mechanisms at play of HeV emergence and continued spillovers have been examined (Plowright et al. 2011) and reviewed elsewhere (Field et al. 2007, 2012).
NiV emerged just a few years later following the initial recognition of HeV. A large outbreak of encephalitis among pig farmers in Peninsular Malaysia began in 1998 and continued into the next year (Chua et al. 1999). This outbreak was initially attributed to Japanese encephalitis virus because it occurred among people in close contact with pigs. However, several features distinguished this outbreak from Japanese encephalitis such as patients were primarily adults not children, along with household clustering of cases being noted, and many of those afflicted had previously been vaccinated against Japanese encephalitis (Chua et al. 1999). A syncytia-forming virus in Vero E6 cell culture was obtained from the cerebrospinal fluid (CSF) of two patients which cross-reacted with antibodies against HeV and several patients had IgM antibodies in their CSF that were reactive against HeV (Chua et al. 1999). Later molecular genetic studies confirmed the close relationship of this new paramyxovirus, termed NiV, to HeV (Chua et al. 2000a). There were at least 265 cases of human infection with 105 fatalities in Malaysia along with an additional 11 cases and 1 fatality among abattoir workers in Singapore (Chua et al. 2000a; Paton et al. 1999). The chronology of the events and the epidemiological features of this outbreak, including potential causes and the factors that exacerbated this outbreak, as well as the pathological observations made in both animals and humans have been critically reviewed and recently examined elsewhere (Wong and Tan 2012; Wong and Ong 2011; Chua 2003; Pulliam et al. 2012). NiV has not reappeared in Malaysia, however nearly annual outbreaks of NiV infection have now been recognized since 2001, occurring primarily in Bangladesh but also India. The most recent cases of human infections occurred in early 2015 with two fatalities (Anonymous 2015). The spillovers of NiV in Bangladesh and India have had lower numbers of human infections; however the fatality rates have been notably higher from 75 to 100 %. In addition, direct transmission of NiV from bats to humans from the consumption of contaminated date palm sap along with significant human-to-human transmission has now been documented (Rahman et al. 2012; Homaira et al. 2010a, b; Luby et al. 2009b). The epidemiological details of the spillovers of both HeV and NiV into people since their emergence and recognition have recently been reviewed and summarized in detail (Luby and Gurley 2012; Luby and Broder 2014). There have been ~613 human cases of NiV infection with 315 fatalities (reviewed in Luby et al. 2009b; Broder 2012; Anonymous 2014c, 2015). Both HeV and NiV are highly pathogenic in a number of mammalian species and possess several characteristics that distinguish them from all other known paramyxoviruses and are classified as Biosafety Level-4 (BSL-4) agents.
Finally, although not associated with a zoonotic event, the third recognized henipavirus species as a virus isolate was recently identified (Marsh et al. 2012). Urine sample collecting for PCR and virus isolation experiments were being carried out as part of field studies on HeV genetic diversity and infection dynamics in flying-fox populations in Queensland, Australia. From these studies a syncytia-inducing virus was identified in Pteropus bat kidney cell culture isolated from samples collected in September 2009 from a flying-fox colony in Cedar Grove, South East Queensland (Marsh et al. 2012). Molecular analysis indicated that this virus was a new paramyxovirus most closely related to HeV and NiV and the virus was named CedPV after the location of the bat colony sampled. Animal challenge studies with CedPV in guinea pigs and ferrets which are susceptible to infection and disease with HeV and NiV, revealed that while CedPV replication occurred and induced neutralizing antibodies, no clinical disease was apparent (Marsh et al. 2012).
Reservoir Discovery and Diversity
Soon after the discovery and isolation of HeV, a state-wide serologic survey of 2411 horses reported no evidence of infection and only horses involved in the initial Brisbane outbreak were positive (Ward et al. 1996). This was followed by a large serological survey conducted across eastern Queensland, Australia in an effort to identify the potential natural host(s) of the virus, and 5264 sera samples across 46 species, mostly wildlife, were screened and no evidence of HeV neutralizing antibody was found (Young et al. 1996). However, the additional screening of potential animal reservoirs that overlapped the two initial but distant HeV spillover events led to the testing of the four fruit bat species (flying foxes) native to mainland Australia, and here serological evidence was found in all four species of Pteropus fruit bats (Young et al. 1996). HeV was later isolated from the gray-headed flying fox ( Pteropus poliocephalus) and the black flying fox (P. alecto) (Halpin et al. 2000).
Following the first appearance of NiV in Peninsular Malaysia, a serological surveillance study on samples from 324 bats across 14 species revealed the presence of NiV neutralizing antibodies in Island flying-foxes (P. hypomelanus) and Malayan flying foxes (P. vampyrus) (Yob et al. 2001). A follow-up study focusing on virus isolation by collecting pooled urine samples from Island flying foxes, as well as partially eaten fruit, reported the isolation of NiV (Chua et al. 2002). NiV has since been isolated from the urine of P. lylei in Cambodia (Reynes et al. 2005). Serological assays as a means of detection of the presence of NiV and/or HeV in nature, from wildlife, domestic animals and human populations, is more readily achievable as compared to either virus isolation or nucleic acid detection (McNabb et al. 2014). A number of serological surveys have been carried out over the past several years to screen for the presence of henipaviruses in bats, domestic livestock and people. The preponderance of data indicates that the Pteropus bat species appear to be the major natural reservoir hosts for henipaviruses (Sendow et al. 2013; Yadav et al. 2012; Wacharapluesadee et al. 2010; Epstein et al. 2008; Iehle et al. 2007) and all bat isolates of HeV, NiV and also CedPV have been derived from Pteropus bats (Halpin et al. 2000; Chua et al. 2002; Reynes et al. 2005; Rahman et al. 2010; Marsh et al. 2012) (see also Chap. 26). Further, as natural hosts, a lack of any observed overt disease in wild bats is also in agreement with a lack of elicited clinical signs in experimentally infected pteropid bats (Middleton et al. 2007; Williamson et al. 1998, 2000; Halpin et al. 2011). Pteropus bat species are distributed as far west as Madagascar, through the Indian subcontinent to Southeastern Asia and Australia, and eastwards through Oceania (Clayton et al. 2013; Breed et al. 2013; Field et al. 2001).
However, there is evidence of henipaviruses in wide variety of other bat species in both Megachiroptera and Microchiroptera suborders (Hayman et al. 2008; Peel et al. 2012, 2013; Hasebe et al. 2012; Wacharapluesadee et al. 2005; Li et al. 2008; Drexler et al. 2009, 2012). Most recently, a novel henipa-like virus, Mojiang paramyxovirus (MojV), was identified in rats (Rattus flavipectus) in China by nucleic acid analysis, with a genome length of 18,404 nt; however no virus isolate was obtained (Wu et al. 2014). Also, serological and/or nucleic acid evidence of henipaviruses in domestic livestock and in human populations have been reported providing evidence of sporadic henipavirus spillover events and also suggesting the existence of less pathogenic-related henipavirus. These findings included henipavirus presence in domestic pigs in Ghana, West Africa; cattle, goats, and pigs in Bangladesh; horse and humans in the Philippines, and human populations in Cameroon, Africa (Ching et al. 2015; Pernet et al. 2014; Chowdhury et al. 2014; Hayman et al. 2011). Only the incident in the Philippines was associated with a disease outbreak with evidence of horse-to-human and human-to-human transmission with NiV as the likely cause (Ching et al. 2015).
Genomic sequence analysis revealed that HeV isolates obtained from horses and a fatal human case in 1994 were essentially identical and both were highly similar to genomic sequences later obtained from P. poliocephalus and P. alecto 2 years after the initial outbreak (Halpin et al. 2000; Murray et al. 1995b). Also, sequence analysis of five HeV isolates obtained from horses in Australia; Murwillumbah, in New South Wales (2006), and Peachester (2007), Clifton Beach (2007), Redlands (2008), and Proserpine (2008) all in Queensland, revealed identical genome lengths of 18,234 nt and sequence variation across the full genomes was <1 % (Marsh et al. 2010). Similarly, in the initial Malaysian outbreak of NiV, both pig and human isolates were genetically similar to those obtained some years later from Island flying-foxes (P. hypomelanus) (AbuBakar et al. 2004; Chan et al. 2001; Chua et al. 2002; Harcourt et al. 2000). However, a greater diversity among NiV isolates is seen when comparisons are made between the Malaysian isolates to the more recent NiV isolates from other areas of Southeast Asia.
The first NiV isolate from outside of Malaysia came from Bangladesh (Harcourt et al. 2005). Characterization of the genome of NiV-Bangladesh revealed a length of 18,252 nt, 6 nt longer than the prototype NiV-Malaysian isolate, with a genome homology between them of 91.8 % (Harcourt et al. 2005). Also, in that study, four NiV-Bangladesh isolates were examined showing a 99.1 % nt homology with interstrain nucleotide heterogeneity suggesting multiple spillovers of NiV-Bangladesh into people from varying bat sources. A third lineage of NiV was isolated from Lyle’s flying fox (P. lylei) in Cambodia and nucleocapsid (N) gene sequence analysis revealed this isolate to be more closely related to NiV-Malaysia than to NiV-Bangladesh (Reynes et al. 2005; Wacharapluesadee et al. 2010) whereas an analysis of nucleic acid sequences of NiV derived from human sources from an outbreak in Siliguri, India in 2001 revealed an isolate similar to NiV-Bangladesh (Chadha et al. 2006) and a full NiV genome amplified from patient lung tissue from an outbreak in 2007 in West Bengal, India showed 99.2 % nt with the NiV-Bangladesh isolate from 2004 (Arankalle et al. 2011). More recently, partial genome sequence analysis of NiV derived from an Indian flying fox (P. giganteus) obtained from Myanaguri, West Bengal, India, revealed an N gene with 100.0 % homology with NiV sequences from those prior outbreaks in India and with NiV-Bangladesh sequences, and a 96.0 % identity with NiV isolates from Cambodia and Malaysia (Yadav et al. 2012). In addition to the demonstration of at least three distinct virus isolate lineages of NiV; Malaysia, Bangladesh and Cambodia (Wang et al. 2013b), other nucleic acid based studies have significantly expanded the genus Henipavirus (Drexler et al. 2012). Nineteen newly identified virus species classified into the genus Henipavirus have been identified, along with one full genome sequence, 18,530 nt, (GH-M74a) from a bat spleen (Eidolon helvum) from Ghana confirmed classification in the genus Henipavirus (Drexler et al. 2012).
CedPV is the third recognized species of henipavirus as a virus isolate (Marsh et al. 2012). CedPV was isolated from pooled urine samples from a colony of predominantly P. alecto also with some P. poliocephalus. The CedPV genome is 18,162 nt and its organization was shown to be similar to that of HeV and NiV. Also, some antigenic cross-reactivity of the CedPV N protein was noted with that of NiV and HeV; and CedPV was shown to utilized ephrin-B2 as entry receptor (discussed in the next section).
Henipavirus Biology
Virion, Genome Organization, and Proteins
Henipavirus particles are enveloped and pleomorphic, with a size ranging from 40 to 1900 nm and can vary from spherical to filamentous forms when imaged by electron microscopy (Hyatt et al. 2001; Goldsmith et al. 2003; Murray et al. 1995b). The viral envelope carries surface projections composed of the viral transmembrane-anchored fusion (F) and attachment (G) glycoproteins (Fig. 1). Henipavirus genomes are unsegmented, single-stranded, negative-sense RNA (Wang et al. 2013b). At the time of their discovery, the genomes of NiV and HeV were the largest amongst all members of the Paramyxoviridae family, a factor considered in their classification into their own genus, Henipavirus (Wang et al. 2000). This increase in genome length is primarily attributable to additional nucleotides in 3′ untranslated regions of each transcription unit except the large/polymerase (L) gene (Wang et al. 2000, 2001; Harcourt et al. 2000). As with all characterized members of the subfamily Paramyxovirinae, the HeV, NiV and CedPV genomes and are divisible by six, conforming to the “rule of six” which relates to the way each N protein molecule interacts with every six nucleotides (Lamb and Parks 2013; Wang et al. 2013b). The RNA genome in association with the N protein is also referred to as the ribonucleoprotein core that has a characteristic herringbone appearance by electron microscopy (Wang et al. 2013b) and is contained within a lipid bilayer (envelope) that is derived from the infected host cell during virus assembly and budding (Fig. 1).
Fig. 1.

Structural and genomic organization of henipaviruses. (a) Structural organization of the pleomorphic henipavirus virion. The virus particle is formed by the structural elements (M, F, G) and the non-structural elements of the ribonucleoprotein complex (RNP) composed of viral genome, N, P, and L. (b) Diagram of the henipavirus negative-sense RNA genome. The genetic features are shown, proportionally, including 3′- and 5′-untranslated regions, intragenic regions, and the ORFs encoding the nucleocapsid, N; phosphoprotein, P; matrix, M; fusion glycoprotein, F; attachment glycoprotein, G; and RNA-dependent RNA polymerase, L proteins. (c) Negatively stained HeV virions, bar, 200 nm. Image courtesy of the AAHL Biosecurity Microscopy Facility, Australian Animal Health Laboratory (AAHL) Livestock Industries CSIRO, Australia
The relative gene order is conserved as compared to other paramyxoviruses, with the N gene being first, followed by the P (phosphoprotein), M (matrix), F, G and L genes in a 3′ to 5′ order (Fig. 1). Gene transcription occurs in a gradient manner because of a failure of the RNA polymerase to reinitiate transcription at downstream genes and those genes located towards the 3′ end are transcribed more abundantly than genes towards the 5′ (Lamb and Parks 2013). The N, P, and L proteins form a complex that is responsible for replication of viral RNA; polymerase activity resides within the L protein (Lamb and Parks 2013). In addition to the full-length unedited P gene product, the Henipavirus P gene (the largest among the paramyxoviruses) also encodes the V and W proteins which are produced through a transcriptional editing mechanism involving addition of nontemplated G nucleotides, as well as the C protein, which is encoded by an alternative start site within the P gene (Lamb and Parks 2013).
Products of the P gene can antagonize both double-stranded (ds) RNA signaling and interferon (IFN) signaling (reviewed in Shaw 2009; Basler 2012). The V protein functions in anti-IFN induction or dsRNA signaling, similar to that of other paramyxoviruses, by targeting the helicase encoded by the melanoma differentiation-associated gene 5 (MDA5). Whereas the NiV W protein could also inhibit dsRNA signaling but does so by nuclear translocation, targeting interferon regulatory factor 3 (IRF-3) and effectively blocking both dsRNA signaling via MDA5 and through the cell surface expressed toll-like receptor 3 (TLR-3) signaling pathway. Henipaviruses also target the paracrine signal transduction pathway that is initiated by the binding of type I IFN to the two cell surface interferon alpha and beta receptors, IFNAR1 and IFNAR2 which assemble into a functional receptor complex leading to the activation of signal transducers and activators of transcription (STAT) factors where they later direct the expression of genes possessing an interferon stimulated response element (ISRE) within the nuclease (reviewed in de Weerd et al. 2007). The henipavirus V, W and P proteins block the type I IFN signaling pathway with the NiV V and P proteins forming high-molecular weight complexes in the cytoplasm with STAT1, and the NiV W protein targeting STAT1 within the nuclease (reviewed in detail (Shaw 2009; Basler 2012)). In contrast, major difference between NiV and HeV with CedPV was noted in that the P gene lacks both RNA editing and also the coding capacity for the V protein which may be a factor that limited its observed in vitro pathogenesis (Marsh et al. 2012). The diverse ways that NiV and HeV can antagonize the host interferon responses are believed to be important factors that influence their pathogenic potential.
The henipavirus M protein, which underlies the viral membrane (Fig. 1), plays a key role in organization of viral proteins during the process of virion assembly and budding from the host cell, and the NiV M protein possesses the ability to bud from expressing cells independent of any other viral proteins forming virus-like particles (Ciancanelli and Basler 2006; Patch et al. 2007). Sequence motifs with the M protein have been identified that may act as trafficking signals to facilitate the budding process (Patch et al. 2008; Ciancanelli and Basler 2006; Harrison et al. 2010). Finally, the G and F envelope glycoproteins are located on the surface of the virion, appearing as spikes projecting from the envelope membrane of the viral particle (Fig. 1) and are essential for the binding and entry steps of the virus into permissive host cells (reviewed in Bossart et al. 2013; Steffen et al. 2012). The henipavirus G glycoprotein is a homo-tetramer and responsible for attachment of the virion to entry receptors on the host cell and the F glycoprotein is a homotrimer responsible for facilitating the fusion of the viral membrane with that of the host cell (reviewed in Steffen et al. 2012). Additional details of the henipavirus envelope glycoproteins will be discussed below with regard to cellular tropism and as the targets of antiviral strategies.
Host Range, Cellular Tropism, and Virus Entry
The exceptionally broad species tropism of henipaviruses, as represented by NiV and HeV, distinguishes them from all other known paramyxoviruses (Wang et al. 2013b). In addition to their principle natural hosts, pteropid bats, NiV is known to have naturally infected pigs, horses, cats, dogs and humans, and experimental infections with disease in guinea pigs, cats, hamsters, ferrets, squirrel monkeys and African green monkeys have been demonstrated. In addition, NiV can also productively infect chicken embryos with severe pathology (Tanimura et al. 2006). HeV in nature appears less transmissible and naturally acquired infections have been observed only in bats, horses, dogs and humans; however, experimentally, HeV can infect and cause disease in guinea pigs, cats, hamsters, ferrets, mice and African green monkeys (reviewed in Geisbert et al. 2012) Taken together, henipavirus infections seven orders (six mammalian and one avian).
The henipavirus membrane anchored envelope glycoproteins (G and F) are the mediators of virus attachment and host cell infection and a major determinant of cellular tropism. The G glycoprotein is the henipavirus attachment glycoprotein and has neither hemagglutinating nor neuraminidase activities; activities associated with many other paramyxovirus attachment glycoproteins known as hemagglutinin–neuraminidase (HN) or the hemagglutinin (H) protein (Wang et al. 2013b; Lamb and Parks 2013). The NiV and HeV G glycoprotein engage host cell membrane proteins as entry receptors and bind to ephrin-B2 and ephrin-B3 (Negrete et al. 2005, 2006; Bonaparte et al. 2005; Bishop et al. 2007). The ephrin-B2 and -B3 molecules are members of a large family of cell surface expressed glycoprotein ligands that bind to Eph receptors, the largest subgroup of receptor tyrosine kinases (Drescher 2002; Poliakov et al. 2004). The Eph receptors and their ephrin ligands comprise an important group of bidirectional signaling molecules in a variety of cell–cell interactions including those of vascular endothelial cells and are modulators of cell remodeling events within the nervous, skeletal and vascular systems (Pasquale 2010; Lackmann and Boyd 2008). Ephrin-B2 expression is prominent in arteries, arterioles and capillaries in multiple organs and tissues (Gale et al. 2001) while ephrin-B3 is found predominantly in the nervous system and the vasculature (reviewed in Poliakov et al. 2004; Pasquale 2008). The ephrin-B2 and -B3 molecules are highly sequence conserved across susceptible hosts including human, horse, pig, cat, dog, mouse and bat with amino acid identities of 95–96 % for ephrin-B2 and 95–98 % for ephrin-B3 (Bossart et al. 2008). The identification of ephrin-B2 as a major receptor for NiV and HeV has aided in the understanding and clarification of both their broad species and tissue tropisms, as well as the resultant pathogenic processes that are seen in humans and animal hosts (reviewed in Hooper et al. 2001; Wong and Ong 2011).
Similar to most paramyxoviruses, the henipaviruses have two membrane-anchored glycoproteins that are required for virus entry. The henipavirus attachment glycoprotein (G) is a type II membrane protein with the amino (N)-terminus oriented towards the cytoplasm and the carboxy (C)-terminus extracellular (Bossart et al. 2013). The G glycoprotein is comprised of a stem (or stalk) and a globular head domain which binds ephrin receptors. The native conformation of G is a tetramer, which is comprised of a dimer of dimers (Bossart et al. 2005). The crystal structures of both NiV and HeV G globular head domains have been determined both alone and in complex with the ephrin-B2 and -B3 receptors, revealing the exact G-receptor interactions and identical receptor binding sites; with four binding pockets in G for the residues in the ephrin-B2 and -B3 G-H loop that are highly conserved (Bowden et al. 2008a, b, 2010; Xu et al. 2008, 2012). The second protein is the fusion (F) glycoprotein that facilitates the fusion of the viral and host cell membranes. F is a type I membrane glycoprotein with an extracellular N-terminus and is a class I viral fusion protein sharing several conserved features with other viral fusion glycoproteins (Bossart et al. 2013). F is initially expressed as a precursor (F0) which forms an oligomeric trimer that is cleaved into two disulfide bond-linked subunits (F1 and F2) by the endosomal protease cathepsin L (Pager and Dutch 2005). Unique to the henipaviruses, the processing of F0 into its biologically active form is a multi-step process requiring recycling of F0 from the cell surface into an endosomal compartment, mediated by an endocytosis motif present in the cytoplasmic tail of F (Meulendyke et al. 2005; Vogt et al. 2005). After cleavage, the homotrimer of disulfide bond-linked F1 and F2 subunits is trafficked back to the cell surface. The F glycoprotein contains two α-helical heptad repeat domains that are involved in the formation of a trimer-of-hairpins structure which facilitates membrane merger and peptides corresponding to either heptad repeat domains can inhibit the fusion activity of F when present during the fusion process (reviewed in Bossart et al. 2013).
The henipavirus G and F glycoproteins work cooperatively to mediate membrane fusion and particle entry into the host cell. Following virus attachment to a receptor-bearing host cell, the fusion-promoting activity of the G glycoprotein is initiated by engaging ephrin receptors and the G glycoprotein then facilitates the triggering of conformational changes in F, transitioning F conformation from a pre-fusion to post-fusion form driving the membrane fusion process between the virion and plasma membranes, resulting in delivery of the viral nucleocapsid into the cytoplasm (reviewed in Aguilar and Iorio 2012; Lee and Ataman 2011). In a related process, virus-infected cells expressing attachment and fusion glycoproteins on their surface can fuse with receptor-bearing cells leading to the formation of multinucleated giant cells (syncytia)—a hallmark of many paramyxovirus infections including the henipaviruses (Wang et al. 2013b).
Clinical Manifestations
Hendra Virus
The incubation period of human NiV and HeV infections ranges from a few days to about 3 weeks (Goh et al. 2000; Mahalingam et al. 2012). To date, there have been only seven known cases of human HeV infection, so much less is known about its clinical manifestations compared to NiV infection. Following an influenza-like illness (fever, myalgia, headaches, lethargy, vertigo, cough, pharyngitis, and cervical lympadenopathy), the majority developed severe disease and died; only two patients survived (Mahalingam et al. 2012; Selvey et al. 1995; Playford et al. 2010). Thus the mortality was about 60 %. Three patients had an acute encephalitic syndrome characterized by drowsiness, confusion, ataxia, ptosis, dysarthria and seizures and died soon after. One patient had an acute pulmonary syndrome described as a pneumonitis with chest radiograph findings of diffuse alveolar shadowing (Selvey et al. 1995). Although clinical acute encephalitis was never suspected, apart from pulmonary pathology, this patient’s brain at autopsy also showed features of acute encephalitis (Wong et al. 2009). Interestingly, abnormal chest radiographs were also described in two other clinical encephalitis cases. In one patient following relatively mild aseptic meningitis associated with headache, drowsiness, vomiting and neck stiffness, clinical features of probable meningoencephalitis, he presented 13 months later with full blown fatal encephalitis (O’Sullivan et al. 1997). In retrospect, this was the first case of relapsing henipavirus encephalitis. The brain magnetic resonance (MR) scans available in three acute encephalitis patients showed multifocal hyperintensive lesions in the cerebrum and brainstem, and leptomeningeal enhancement. In the case of relapsing encephalitis, extensive, predominantly cortical hyperintense lesions were observed (Mahalingam et al. 2012).
Nipah Virus
Based on a large cohort of 94 patients with NiV infection from a single institution, the main features of acute infection was fever, headache, dizziness, and vomiting (Goh et al. 2000). A majority of patients had reduced consciousness levels and signs of brainstem dysfunction. Other distinctive clinical signs included segmental myoclonus, areflexia, hypotonia, hypertension, and tachycardia. The cerebrospinal fluid obtained from lumbar puncture showed elevated leukocyte counts and protein levels. Electroencephalogram abnormalities consisting of diffuse slow waves (continuous or intermittent) with or without focal sharp waves were observed, and in general correlated with disease severity. Brain MR scans (Sarji et al. 2000) of acute NiV infection were characterized by disseminated, multiple hyperintense lesions mainly in subcortical and deep white matter of the cerebrum with no associated edema or mass effect or correlation with severity of neurological signs. Chest radiographs were reported to be abnormal in some patients (Goh et al. 2000; Paton et al. 1999). The risk factors for severe disease and poor prognosis included abnormal doll’s eye reflex, tachycardia, and the presence of virus in the cerebrospinal fluid (Chua et al. 2000b), and diabetes mellitus (Chong et al. 2001b).
A small number, probably <10 %, of patients with acute NiV infection developed a late-onset encephalitis (in symptomatic patients with no previous encephalitis or patients with asymptomatic seroconversion) or a relapsing encephalitis (in patients with previous encephalitis) a few weeks later. Although potentially fatal, the mortality at about 18 % is considerably lower that acute encephalitis (Tan et al. 2002). The clinical features of late-onset encephalitis and relapsing encephalitis are similar to acute encephalitis. However, some features like fever, coma, brainstem signs, segmental myoclonus and meningism were less commonly observed, while seizures and focal cortical signs were more frequent. Cerebrospinal fluid pleocytosis was common but no virus could be isolated. The brain MR scans showed confluent geographical abnormalities, especially in the cortical gray matter that is strikingly different from acute NiV encephalitis (Sarji et al. 2000). Although most NiV-infected human patients presented with acute encephalitis, some 25 % of patients also presented with respiratory signs, some cases also presented as a non-encephalitic or asymptomatic infection with seroconversion (Chua 2003).
NiV infection could also take a chronic and quiescent course with neurological disease occurring later (>10 weeks) following a non-encephalitic or asymptomatic infection. A recrudescence of neurological disease, also termed relapsing encephalitis, was also observed in some patients who had previously recovered from an acute encephalitic infection. Here, there is a recrudescence of virus replication in the CNS. Most reported cases of relapsed encephalitis presented from a few months to approximately 2 years following the initial acute infection, however two cases of relapsed encephalitis were observed in 2003 4 years later (Wong et al. 2001; Chong and Tan 2003; Tan and Wong 2003) and the longest reported case of NiV encephalitic recrudescence is 11 years (Abdullah et al. 2012). This recrudescence of henipavirus encephalitis was first noted in the second fatal human case of HeV infection which presented with similar findings (O’Sullivan et al. 1997; Wong et al. 2009). Interestingly, evidence of recrudescence of NiV infection in pteropus bats has also been reported (Sohayati et al. 2011) as well as HeV infection modeling in flying-fox populations (Wang et al. 2013a). There is no evidence of HeV shedding in people who have recovered from infection (Taylor et al. 2012).
Persistent neurological deficits have been observed in >15 % of NiV infection survivors (Bellini et al. 2005). In addition, recent studies have also assessed the long-term neurologic and functional outcomes of >20 individuals surviving symptomatic NiV infection in Bangladesh (Sejvar et al. 2007). In Bangladesh, the outcomes among 22 of 45 serologically confirmed cases of NiV infection revealed neurological sequelae in survivors, and patients who initially had encephalitis could continue to exhibit neurological dysfunction for several years (Sejvar et al. 2007). Both persistent and delayed-onset neurological sequelae were noted, including a higher proportion of persistent behavioral disturbances including violent outbursts and increased irritability among pediatric patients (Sejvar et al. 2007). Viral persistence and/or recrudescence within the CNS are suspected to be at play in these individuals. The mechanisms that allow NiV and HeV to escape immunological clearance for such an extended period and later result in disease are unknown, and this characteristic of NiV and HeV has important implications for therapeutics development.
Pathology
Human Pathology
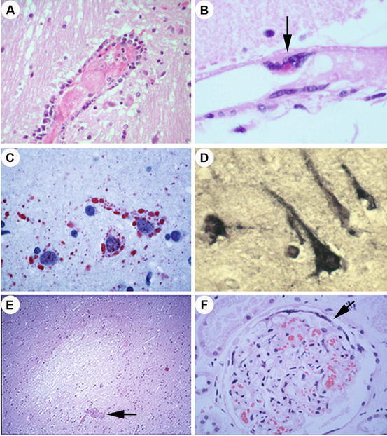
HeV spillovers in Australia have occurred annually since 2006 and to date there have been seven human cases of which four have been fatal (Playford et al. 2010). All human cases of HeV infection was the result of exposure and transmission of the virus from infected horses to humans. The first human case presented as an acute severe respiratory disease but no clinical evidence of acute encephalitis. At autopsy, the lungs showed macroscopic evidence of congestion, hemorrhage and edema (Selvey et al. 1995) associated with focal necrotizing alveolitis and evidence of syncytia and multinucleated giant cell formation, and viral inclusions. Focal vasculitis was also noted in some pulmonary vessels. Viral antigens were localized by immunostaining to alveolar type II pneumocytes, intra-alveolar macrophages and blood vessels (Wong et al. 2009). Although clinical encephalitis was apparently absent, the brain pathology clearly showed acute encephalitis characterized by mild meningitis, parenchymal and perivascular inflammation. More importantly, there was evidence of neuronal viral inclusions, vasculitis and necrotic/vacuolar plaques. Viral antigens/RNA were demonstrated in blood vessels, neurons (Fig. 2d), and ependyma. Mild inflammation could also be found in the lymph node and kidney where viral antigens were detected in glomeruli and renal tubules.
Fig. 2.

Pathology of human henipavirus infection. (a) Vasculopathy in NiV encephalitis showing vasculitis, thrombosis and endothelial multinucleated syncytia with viral inclusion (b, arrow). (c) Numerous NiV inclusions/antigens within neurons, and particularly around necrotic plaques (e) Necrotic plaques may also have evidence of adjacent vascular thrombo-occlusion (e, arrow). (d) HeV RNA can be demonstrated in neurons. In the kidney infected by NiV, glomerular capillary thrombosis and multinucleated syncytia at the periphery of the glomerulus can be detected (f, arrow). Panels (a, b, d, f) from Wong and Ong (2011), panels (c, e) from Wong et al. (2002)
A second fatality occurred in an individual who first experienced an aseptic meningitic illness associated with drowsiness caused by HeV infection acquired after assisting at the necropsies of two horses that were only later shown to have died from HeV infection. Approximately 13 months later this individual suffered a recurrence of severe encephalitis characterized by uncontrolled focal and generalized epileptic activity. Inflammatory lesions were only found in the CNS, not in other organs obtained at (Wong et al. 2009). Extensive lesions were found mainly in the meninges and cerebral cortex, but focal lesions were also found in the cerebellum, pons and spinal cord. There was intense infiltration of the parenchyma and perivascular areas by macrophages, lymphocytes, and plasma cells together with severe neuronal loss, reactive glial, and vascular proliferation. Although viral inclusions were not prominent, viral antigens/RNA were detected in neurons, glial, and/or inflammatory cells. Interestingly, there was no evidence of vasculitis or endothelial syncytia in the CNS, as well as absence of these and other features of inflammation in all the non-CNS organs examined.
In the first NiV outbreak in Malaysia and Singapore, autopsies were conducted on >30 individuals which has afforded a better understanding of the pathology of NiV in comparison to that of HeV infection. These autopsies were mostly in individuals, including pig farm workers and farmers, who in one way or another had contact with sick pigs. The macroscopic features were generally non-specific. Perhaps the most distinctive microscopic feature is the disseminated vasculitis found in most organs examined, particularly in the CNS and lungs. The fully developed, typical vasculitic lesion comprised focal segmental inflammation of the vascular wall, endothelial ulceration and thrombosis (Fig. 2a) (Wong et al. 2002). The rare endothelial multinucleated syncytia may occasionally be found in early vasculitis (Fig. 2b). Viral antigens and nucleocapsids can be demonstrated in blood vessels. Extravascular necrotic lesions and inflammation in many organs can also be seen. In the CNS parenchyma, distinct necrotic plaques (Fig. 2e) arising from vasculitis-induced vascular obstruction, ischemia and infarction and/or neuronal infection were commonly found. Neurons in or around necrotic plaques and other inflamed neuronal areas often showed the widespread presence of viral antigens (Fig. 2c). Glial cells were much more rarely involved. Viral inclusions in neurons in the CNS and other cells in non-CNS tissues were also observed. Apart from vasculitis, inflammation, necrosis, and the rare multinucleated giant cells or syncytia involving extravascular tissue in the lung, spleen, lymph node, and kidney (Fig. 2f), were reported (Wong et al. 2002; Hooper et al. 2001; Wong 2010). The combination of disseminated, vasculitis-induced thrombosis, vascular occlusion, and microinfarction, together with direct infection of parenchymal cells suggest a unique dual pathogenetic mechanism for tissue injury in acute NiV infection. This appears to hold true for acute HeV infection as well. Certainly in the CNS, extensive virus-associated vasculopathy, with or without neuroglial infection, as a significant cause of tissue injury is probably unique.
The pathological features in the few autopsy cases of NiV relapsing or late-onset encephalitis and the single case of HeV relapsing encephalitis were similar and confined mainly to the CNS (Wong and Tan 2012; Tan et al. 2002). There was extensive and severe meningoencephalitis with parenchymal and perivascular inflammation, severe neuronal loss and reactive gliosis. Viral inclusions, antigens/RNA could be detected but vasculitis were absent (Wong 2010). Indeed, vasculitis or other vasculopathies which were readily found in the acute infection, were absent in the CNS and extra-CNS organs.
Animal Pathology
In addition to HeV and NiV infection of bats (Middleton and Weingartl 2012), detailed reviews of the disease manifestations observed in natural and experimental infections of animals with HeV and NiV have recently been reported (Dhondt and Horvat 2013; Geisbert et al. 2012; Wong and Ong 2011). As mentioned previously, natural HeV infections have almost exclusively been observed in horses, and only recently have two dogs been reported HeV antibody positive. Whereas in addition to pigs, naturally acquired NiV infection was noted in dogs, cats and horses in the initial Malaysian outbreak (Hooper et al. 2001). Serological studies of natural NiV infection revealed that dogs in areas associated with farms in the Malaysian outbreak were susceptible to infection (Field et al. 2001). However, diseased dogs were not prevalent with only two animals examined (one dead and one sick) (Hooper et al. 2001; Wong and Ong 2011). In Bangladesh, a few cases of human NiV infection were associated with sick animal contact including cows (Hsu et al. 2004), pigs, and goats (Luby et al. 2009a), and recently serological evidence of henipavirus infection in cattle, goats and pigs in Bangladesh has been reported (Chowdhury et al. 2014).
Animal Disease Models
The development of animal models of henipavirus infection and pathogenesis has been critical for understanding henipavirus pathogenesis and also needed for the evaluation of potential vaccines and therapeutics. Several well-established animal models of HeV and NiV infection and pathogenesis have been developed and include the guinea pig (Williamson et al. 2000; 2001 #3773; Middleton et al. 2007), hamster (Guillaume et al. 2009; Wong et al. 2003), cat (Mungall et al. 2006; Middleton et al. 2002; Williamson et al. 1998), pig (Li et al. 2010; Weingartl et al. 2005; Middleton et al. 2002), ferret (Pallister et al. 2011; Bossart et al. 2009), African green monkey (AGM) (Rockx et al. 2010; Geisbert et al. 2010), squirrel monkey (Marianneau et al. 2010) and horse (Marsh et al. 2011). Among these models, the pathogenic processes of henipavirus infection in the hamster, ferret and AGM best represent the pathogenesis observed in humans; whereas the most appropriate models for livestock are the pig and horse.
The Syrian Golden Hamster
The Syrian golden hamster and NiV challenge was the first successful small animal model of henipavirus infection and pathogenesis (Wong et al. 2003). NiV infection in the hamster produced severe lesions in the brain, with animals succumbing to infection 5–9 days after intraperitoneal infection, 24 h following the development of tremors and limb paralysis. Hamsters inoculated intranasally survived ~5 days longer post-challenge, displaying progressive neurological signs and breathing difficulties. Vascular pathology was widespread, involving the brain and lung, with endothelial cell infection. The vascular and parenchyma lesions were consistent with CNS-mediated clinical signs. Another study showed that higher doses of NiV resulted in an acute respiratory distress syndrome (ARDS) while lower doses would yield the development of neurological signs and more widespread infection throughout the endothelium (Rockx et al. 2011). HeV infection of hamsters also produces both respiratory and brain pathology, with endothelial infection and vasculitis, and direct parenchymal cell infection in the CNS (Guillaume et al. 2009). Similar to NiV infection in hamsters, higher doses of HeV resulted in ARDS and lower doses produced a more neuropathogenic syndrome (Rockx et al. 2011).
The Ferret
NiV infection of ferrets produces both a severe respiratory and neurological disease along with systemic vasculitis following oral-nasal challenge by 6–10 days post-infection (Bossart et al. 2009; Pallister et al. 2009). Clinical signs in infected ferrets included severe depression, serous nasal discharge, cough and shortness of breath, and tremor and hind limb paresis. Pathological findings included vascular fibrinoid necrosis in multiple organs, necrotizing alveolitis, and syncytia of endothelium and alveolar epithelium. Severe focal necrotizing alveolitis vasculitis and focal necrosis in a wide range of tissues was observed along with significant levels of viral antigen in blood vessel walls. NiV antigen was present within the brain along with infected neurons, and virus isolation from the brain and other organs was reported. HeV challenged ferrets, also by the oral-nasal route, rapidly progressed with severe disease 6–9 days following infection with essentially identical findings as seen in NiV-challenged ferrets (Pallister et al. 2011). The henipavirus disease processes in the ferret accurately reflects those reported in NiV-infected humans and the ferret model has been used in the evaluation of vaccines and therapeutics against henipavirus infections.
Nonhuman Primates
The first successful nonhuman primate models for both NiV and HeV infection were developed using the African green monkey (AGM) (Geisbert et al. 2010; Rockx et al. 2010). Both NiV and HeV will produce a uniformly lethal disease process following low dose virus challenge by intratracheal inoculation within 7–10 days post-infection. HeV and NiV spread rapidly to numerous organ systems within the first 3–4 days following challenge. Monkeys begin to develop a progressive and severe respiratory disease ~7 days post-infection (Geisbert et al. 2010; Rockx et al. 2010). The lungs become enlarged and with high levels of virus replication, congestion, hemorrhage, and polymerized fibrin. Widespread vasculitis with endothelial and smooth muscle cell syncytia with viral antigen, along with viral genome was detected in most organs and tissues along with associated pathology. Monkeys infected with either NiV or HeV also exhibit neurological disease signs with the presence of meningeal hemorrhaging and edema, and vascular and parenchymal lesions in the brain including infection of neurons with in the brainstem particularly involved (Fig. 3) (Geisbert et al. 2010; Rockx et al. 2010).
Fig. 3.

Nipah virus and Hendra virus infection and pathogenesis in the nonhuman primate brain. End stage of lethal NiV and HeV infection in African green monkeys. (a) Brain, NiV, congestion of the brain (black arrow); fluid (white arrow) suggests mild to moderate meningeal edema; (b) brain, HeV, congestion of the brain (black arrows); (c) immunohistochemistry staining of NiV antigen in the brain stem; (d) immunohistochemistry staining of HeV antigen in the brain stem. (c, d) Strong cytoplasmic and nuclear staining of viral antigen in neurons. Panels (a) from Geisbert et al. (2010) and panel (b) from Rockx et al. (2010)
The squirrel monkey was also found to be susceptible to experimental NiV infection via intravenous and intranasal routes demonstrating findings similar to AGM and human infection (Marianneau et al. 2010). Vasculopathy and parenchymal cell infection were found in the CNS, lungs and other organs.
The Pig
NiV infection of pigs revealed the respiratory system as a major site of virus replication and pathology, with viral antigen and syncytia formation present in the respiratory epithelium (tracheal, bronchial, bronchiolar, and alveolar) and small blood and lymphatic vessels (Middleton et al. 2002; Hooper et al. 2001; Wong and Ong 2011). Virus was also observed in the kidneys and in endothelial and smooth muscle cells of small blood vessels (Middleton et al. 2002). CNS involvement was less common, with meningitis or meningoencephalitis observed as opposed to encephalitis (Middleton et al. 2002). NiV infection of piglets generally resulted in a mild clinical disease with fever and respiratory signs and virus replication noted in the respiratory system, lymphoid tissues and the CNS (Weingartl et al. 2005). Recoverable virus was recorded in the respiratory, lymphatic and nervous systems, and virus shedding in nasal, pharyngeal, and ocular fluids was reported. HeV infection of pigs also presents as a primarily respiratory disease in both Landrace piglets and older Gottingen minipigs, with possible CNS involvement observed in minipigs, and similar patterns of virus shedding (Li et al. 2010). Overall, HeV appeared to cause a more severe respiratory syndrome in pigs in comparison to NiV. Although HeV and NiV disease in pigs is often less severe in comparison to other animal models, the virus does replicate and disseminate to a variety of organs along with significant levels of virus shedding.
The Horse
Natural HeV infection in horses is often associated with severe disease and experimental infections are essentially uniformly fatal (Marsh et al. 2011). Naturally infected horses appear to have an incubation period of ~8–11 days and animals initially present as anorexic and depressed with general uneasiness and ataxia, with the development of fever and sweating. Respiration becomes rapid, shallow and labored with pulmonary edema and congestion, along with nasal discharge 1–3 days following the onset of clinical signs. In severe cases the airways of horses are often filled with a blood-tinged frothy exudate. There was hemorrhage, thrombosis of capillaries, necrosis, and syncytial cells in the endothelium of pulmonary vessels noted. Viral antigen was also observed within endothelial cells across a wide variety of organs, with recoverable virus from a number of internal organs as well as from saliva and urine. Neurologic clinical signs can also present (Rogers et al. 1996). However, in experimentally infected horses, only meningitis (with vasculitis) was noted in all animals (Marsh et al. 2011) and viral antigen was detected in the meninges of each case. One horse in this study also presented with vasculitis of blood vessels in the brain parenchyma, and HeV antigen was also identified within the cerebral blood vessels of this animal (Fig. 4) (Deborah Middleton, personal communication). Also, an experimental control horse in Middleton et al. (2014) also had vasculitis with HeV antigen in blood vessels within the brain. However, to date HeV antigen has not been reported to be present in the neurons of infected horses, but this may be a sampling artefact and/or an observation exacerbated by the fact that the horses are being euthanized and the HeV infection is not reaching its full pathogenic expression under experimental conditions. However, the meningitis and inflammation of cerebral blood vessels in the experimentally infected horses may be sufficient explanation for the clinical signs of neurological disease in naturally acquired cases of HeV infection (Deborah Middleton, personal communication). Experimental infection of horses with NiV has not been performed but the brain and spinal cord of one naturally infected horse was examined and immunohistochemical staining of viral antigen observed revealing non-suppurative meningitis (Hooper et al. 2001).
Fig. 4.

Hendra virus pathology in the horse. (a, arrow) Vasculitis of blood vessels in the brain parenchyma of a HeV-infected horse. HeV antigen detected by IHC with anti-N protein polyclonal antibody within cerebral blood vessels of brain parenchyma (b, arrows) and meningeal blood vessels (c). Panel (a) from Marsh et al. (2011). Panels (b, c) courtesy of Deborah Middleton, AAHL Biosecurity Microscopy Facility, Australian Animal Health Laboratory (AAHL) Livestock Industries CSIRO, Australia
CNS Invasion
An array of viruses across many families are known to exhibit neurotropism and there are two central routes of CNS invasion; hematogenous spread or via infection of nerve cells (Swanson and McGavern 2015; Koyuncu et al. 2013). Many viruses that cause viremia following the establishment of an initial infection have an opportunity to breach the blood–brain-barrier (BBB); a highly selectively permeable barrier that separates the CNS from the peripheral blood circulation (Ransohoff et al. 2003). Once in the blood, a number of viruses including some herpesviruses, paramyxoviruses, retroviruses, picornaviruses, filoviruses, and flaviviruses can directly infect vascular endothelial cells (Koyuncu et al. 2013) which could allow passage of virus into the CNS and/or promote inflammation and breakdown of the BBB which may also facilitate virus access to the CNS (Obermeier et al. 2013). Alternatively, some viruses can infect myeloid and lymphoid cells and these infected cells can naturally traverse the BBB delivering virus into the CNS by the “Trojan horse” mechanism (McGavern and Kang 2011). A number of neurovirulent paramyxoviruses, particularly the morbilliviruses like measles virus and canine distemper virus, but also mumps virus and Newcastle disease virus, can productively infect lymphocytes (Joseph et al. 1975; Krakowka et al. 1975; Fleischer and Kreth 1982; Hao and Lam 1987) (see also Chap. 10.1007/978-3-319-33133-1_2). These infected lymphocytes serve as a cell-associated viremia which can then lead to the delivery of virus into the CNS by transmigration through BBB (Lossinsky and Shivers 2004).
CNS invasion by NiV and HeV is a key feature of their pathogenic features in humans and as discussed earlier several animal models have also demonstrated NiV and HeV CNS disease. The widespread and disseminated endothelial infection and vasculitis in henipavirus encephalitis strongly suggest that BBB disruption is an important, if not the most important route, for viral entry into the CNS. Plaque-like, groups of infected neurons were frequently observed near to infected/vasculitic vessels suggesting centrifugal viral spread from focal BBB damage.
However, although NiV was shown not to infect human lymphocytes and only low levels of monocyte infection have been reported, human lymphocytes could bind NiV and facilitate its transfer and infection to other susceptible cells (Mathieu et al. 2011). The trafficking of such cell-associated infectious NiV within a host disseminates the virus and also could potentially deliver NiV into CNS by leukocyte transmigration. In pigs, however, NiV infection of CD6+ CD8+ T lymphocyte has been observed, along with monocytes and NK cells (Stachowiak and Weingartl 2012). CD6 is a costimulatory molecule involved in lymphocyte activation and differentiation (Gimferrer et al. 2004) which engages activated leukocyte cell adhesion molecule (ALCAM/CD166) which is known to promote leukocyte migration across the BBB (Cayrol et al. 2008). In this instance, it was suggested that NiV-infected CD6+ T cells would elaborate a strong interaction ALCAM expressed on microvascular endothelial cells which could determine the observed tropism of NiV for small blood vessels and also facilitate CNS invasion by leukocyte migration. Similar studies have not been reported with HeV.
Alternatively, some neurotropic viruses can invade the CNS via infection of peripheral nerves (Swanson and McGavern 2015). For example, some neurotropic viruses begin the infection process in one cell type or tissue such as the oropharyngeal and intestinal mucosa in case of poliovirus (see also Chap. 10.1007/978-3-319-33133-1_1) or in myocytes at the bite site in the case of rabies virus (see also Chap. 10.1007/978-3-319-33133-1_4) and both later use peripheral motor neurons and retrograde transport to infect the CNS (Koyuncu et al. 2013). In the case of some herpesviruses, initial infection of sensory neurons is followed by retrograde transport and establishment of latency in the peripheral nervous system, and fortunately anterograde transport of herpesviruses to the CNS is rare (Koyuncu et al. 2013) (see also Chap. 18). Olfactory receptor neurons provide a unique opportunity for neurotropic pathogens to invade the CNS because of the direct exposure of dendrites to the environment within the olfactory epithelium, and a few members of several virus families, including flaviviruses, togaviruses, and bunyaviruses are known to invade the CNS via an initial infection of olfactory receptor neurons within the olfactory epithelium and once infected virus can gain access to the CNS by transported anterograde transport (Mori et al. 2005; Koyuncu et al. 2013).
Certain paramyxoviruses have also been shown capable of neuroinvasion via anterograde transport following infection of olfactory neurons (Rudd et al. 2006; Ramirez-Herrera et al. 1997). NiV infection in pigs is often asymptomatic as discussed above. When disease was noted in naturally infected pigs, neurological disease manifested as trembling, twitches, muscle spasms, and uncoordinated gait (Mohd Nor et al. 2000). Experimental NiV infection challenge of Landrace female piglets by the ocular and oronasal routes revealed that virus replication occurs in the oropharnyx and then spreads sequentially to the upper respiratory tract and submandibular lymph nodes, followed by replication in the lower respiratory tract, and additional lymphoid tissues, and NiV was detected in the nervous system of both sick and apparently healthy animals; including cranial nerves, trigeminal ganglion, brain, and cerebrospinal fluid. NiV invaded the CNS via cranial nerves, most importantly via the olfactory nerve, as early as 3 dpi, as well as by crossing the BBB (Weingartl et al. 2005). One report of HeV infection of Landrace and Gottingen minipig breeds by oronasal or nasal inoculations produced clinical signs that were primarily respiratory with suggestive neurological involvement seen only in the Gottingen minipig.
An aged mouse model of intranasal challenge with HeV revealed that animals could consistently develop encephalitic disease, and an anterograde route of neuroinvasion of the CNS via olfactory nerves was proposed (Dups et al. 2012), however in a follow-up study using the same model with NiV-Bangladesh and NiV-Malaysia, animals did not exhibit CNS disease (Dups et al. 2014). As was discussed earlier, in the hamster model for both NiV and HeV challenge, lower doses of virus allowed for a more neuropathogenic disease state. In an elegant spatial-temporal model of NiV infection in the hamster by intranasal inoculation (105 TCID50), individual NiV-infected neurons were observed extending from the olfactory bulb by 4 dpi, demonstrating direct evidence for virus transport in the CNS via olfactory neurons (Munster et al. 2012) (Fig. 5). At 6 dpi, meningoencephalitis was observed, characterized by multifocal meningeal and perivascular lymphocytic infiltration, and in the olfactory bulb neurons and axons of the olfactory nerve layer, glomerular layer and external plexiform layer of the olfactory bulb were positive by NiV antigen staining. NiV dissemination from the olfactory bulb to the olfactory tubercle region was noted by 6 dpi. From olfactory tubercle region, which is highly innervated to other brain regions including the hypothalamus, thalamus, amygdala, hippocampus and brain stem, spread of NiV within the CNS is readily possible. Similarly, in oronasal challenge models of both NiV and HeV in the ferret (Pallister et al. 2011; Bossart et al. 2009), henipavirus genome and viral antigen were consistently detected in the olfactory lobe of brains along with many animals demonstrating neurological disease such as tremors and hind limb weakness or paralysis. Finally, in the AGM nonhuman model of NiV and HeV infection described earlier, consistent neurological disease was observed even though an intratracheal route of challenge is performed, with those animals surviving longer, or those challenged with lower doses of virus, showing more severe neurological disease with signs such as tremors, paralysis and convulsions (Rockx et al. 2010; Geisbert et al. 2010) (Geisbert and Broder Unpublished). However, in human NiV autopsy studies, involvement of the olfactory bulb has not been demonstrated so far (Wong et al. 2002).
Fig. 5.

Entry of Nipah virus into the CNS. A hamster model of NiV infection by intranasal inoculation revealed individual NiV-infected neurons extending from the olfactory bulb at 4 dpi. Viral antigen was detected by monoclonal antibody staining (red–brown) against nucleoprotein. Asterisks indicate positive neurons within the olfactory nerve fiber (ONF), crossing from the olfactory epithelium (OE) to the olfactory bulb (OB) through the cribriform plate (C). The inset shows a higher magnification of the boxed area with antigen-positive neurons. Figure 5 reproduced from Munster et al. (2012), “Rapid NiV entry into the central nervous system of hamsters via the olfactory route,” licensed under a Creative Commons Attribution 3.0 Unported License. http://www.nature.com/srep/2012/121015/srep00736/full/srep00736.html
Therapeutics and Vaccines
Antivirals
Presently, there are no approved therapeutics for treating HeV or NiV infection in people, but there have been a few approaches tested in animal models (reviewed in Broder 2012). Ribavirin is often a first line treatment course for suspected viral infections of unknown etiology, having antiviral activity against many RNA and some DNA viruses (Sidwell et al. 1972) and is an accepted treatment against several viruses including respiratory syncytial virus and arenaviral hemorrhagic fevers (reviewed in Snell 2001). During the initial NiV outbreak in Malaysia, some patients were treated with ribavirin and there was some evidence that this therapy may have been clinically beneficial (Chong et al. 2001a; Snell 2004). Of the recorded human HeV cases, three individuals were treated with ribavirin, and of these, two succumbed to disease and one survived (Playford et al. 2010). Chloroquine, an anti-malarial drug, was shown to block the critical proteolytic processing needed for the maturation and function of the HeV F glycoprotein discussed earlier (Pager et al. 2004) and could block infection in cell culture (Porotto et al. 2009). However, chloroquine and ribavirin treatment of a HeV-infected individual had no clinical benefit (reviewed in Broder et al. 2013). Animal studies have also revealed no therapeutic benefit of either chloroquine or ribavirin. Two studies in hamsters and one study in monkeys showed that ribavirin treatment only delayed death after virus infection (Freiberg et al. 2010; Georges-Courbot et al. 2006; Rockx et al. 2010), with HeV challenge monkeys treated with ribavirin having marked increases of neurological symptoms. Chloroquine treatment was also unable to prevent NiV disease in ferrets (Pallister et al. 2009). Also, various forms of poly(I:C) are strong inducers of IFN-α and -β production, have been explored as antiviral therapies for over 40 years. PolyIC12U is very specific in triggering the Toll-like receptor (TLR)3 pathway (reviewed in Nicodemus and Berek 2010). PolyIC12U was shown capable of blocking NiV replication, and continuous administration of polyIC12U for 10 days beginning at the time of challenge was shown to prevent lethal NiV disease in five of six hamsters (Georges-Courbot et al. 2006), suggesting that use of TLR3 agonists such as PolyIC12U, perhaps in combination with other antiviral strategies, should be explored. But for HeV and NiV, the development of new therapeutics and vaccines has primarily focused on targeting the attachment and infection stages mediated by the viral F and G glycoproteins.
Peptide Fusion Inhibitors
As discussed earlier, peptides, typically 30–40 residues in length that are homologous to either of the heptad repeat domains of several paramyxovirus F glycoproteins, including the henipaviruses, can potently inhibit membrane fusion by blocking the formation of the trimer-of-hairpins structure (reviewed in Bossart et al. 2013). The first henipavirus-specific peptide fusion inhibitor was a 36 amino acid heptad repeat-2 sequence (NiV-FC2) (Bossart et al. 2001) analogous to the approved HIV-1 specific therapeutic peptide enfuvirtide (Fuzeon™). Other studies showed that a heptad repeat-2 peptide from human parainfluenza virus type-3 (hPIV3) F blocked HeV mediated fusion (Porotto et al. 2006) and a sequence-optimized and cholesterol-tagged hPIV3-based heptad repeat-2 peptide appeared effective in the NiV hamster (Porotto et al. 2010). This cholesterol-tagged antiviral peptide could also penetrate the CNS and exhibit some effective therapeutic activity against NiV. Additional in vivo efficacy testing of peptide fusion inhibitors as henipavirus therapeutics merits further investigation.
Antiviral Antibodies
Almost without exception all virus-neutralizing antibodies to enveloped viruses are directed against the viral envelope glycoproteins on the surface of the virion particle. Initial passive immunization studies were conducted in the hamster NiV-challenge model and showed that antibody immunotherapy against henipavirus infection by targeting the viral envelope glycoproteins was possible. Protective passive immunotherapy using either NiV G and F-specific polyclonal antiserums, or mouse monoclonal antibodies (mAbs) specific for the henipavirus G or F glycoproteins has been shown (Guillaume et al. 2004, 2006, 2009). These studies demonstrated a major role of viral glycoprotein specific antibody in protection from henipavirus-mediated disease (reviewed in Broder et al. 2012). Using recombinant antibody technology, henipavirus-neutralizing human mAbs reactive to the G glycoprotein were previously isolated (Zhu et al. 2006). One mAb, m102, possessed strong cross-reactive neutralizing activity against HeV and NiV and was affinity maturated (m102.4) and converted to an IgG1 format and produced in a CHO-K1 cell line (Zhu et al. 2008). The m102.4 mAb epitope maps to the receptor binding site of G and engages G in a similar fashion as the ephrin receptors (Xu et al. 2013). The m102.4 mAb can neutralize NiV-Malaysia, HeV-1994, HeV-Redlands and NiV-Bangladesh isolates (Bossart et al. 2009). In a post-exposure NiV-challenge experiment in the ferret model, a single dose of mAb m102.4 administered by intravenous infusion 10 h after lethal challenge could prevent lethal infection (Bossart et al. 2009). The therapeutic efficacy of mAb m102.4 has also been examined in monkeys against both NiV and HeV challenge with a study design reflecting a potential real life scenario that would require a post-exposure treatment (Bossart et al. 2011; Geisbert et al. 2014). In one study, animals were challenged intratracheally with HeV and later infused twice with m102.4 (~15 mg/kg) beginning at 10, 24, or 72 h post-infection followed by a second infusion ~48 h later. All subjects became infected following challenge, and all animals that received m102.4 survived whereas all control subjects succumbed to severe systemic disease by day 8. Animals in a 72 h treatment group did exhibit neurological signs but all recovered by day 16, but there was no evidence of HeV-specific pathology in any of the m102.4-treated animals, and no infectious HeV could be recovered from any tissues from any m102.4-treated subjects. A follow-up study evaluated the efficacy of m102.4 against NiV disease in the AGM model at several time points after virus exposure by intratracheal challenge, including at the onset of clinical illness (Geisbert et al. 2014). Here, subjects were infused twice with m102.4 (15 mg/kg) beginning at either 1, 3, or 5 days after virus challenge and again 2 days later. All subjects became infected after challenge and all subjects that received m102.4 therapy survived infection, whereas the untreated control subjects succumbed to disease between days 8 and 10 after infection. Animals in the day 5 treatment group exhibited clinical signs of disease, but all recovered by day 16. Together, these studies revealed that mAb m102.4 could prevent widespread henipavirus dissemination in challenged subjects, and were the first successful post-exposure in vivo therapies against HeV and NiV in nonhuman primates.
Active Immunization Strategies
A variety of active immunization strategies for henipavirus have been examined using recombinant virus platforms, protein subunit, virus-like particles and DNA vaccines. Several of these strategies have only been examined in terms of their ability to generate a henipavirus-specific neutralizing response (Kong et al. 2012; Kurup et al. 2015; Wang et al. 2006; Walpita et al. 2011), whereas other studies examined immune response and efficacy in animal challenge models. The first report used the hamster model and the attenuated vaccinia virus strain NYVAC, using recombinant viruses encoding either the NiV F or G, both individually and in combination to immunize animals, and the study revealed that complete protection from NiV-mediated disease was achievable and that an immune response to the viral envelope glycoproteins can be important in protection (Guillaume et al. 2004). Another poxvirus-based vaccine was examined as a potential livestock vaccine using recombinant canarypox virus in pigs (Weingartl et al. 2006). Here, the NiV F and G glycoprotein genes were used to generate recombinant canarypox viruses (ALVAC) vaccine vectors and used to immunize pigs. ALVAC vectors expressing F and G were tested alone and in combination, and piglets were challenged intranasally with NiV. Here, protection from NiV-mediated disease was seen in all vaccinated pigs by either ALVAC vector alone or in combination and that vaccinated animals shed only low levels of nucleic acid detectable virus with no isolatable virus (Weingartl et al. 2006).
More recently, several viral vector-based henipavirus vaccines have also been examined in animal challenge studies; these have included immunizations using the vesicular stomatitis virus based platform (VSV) expressing either the NiV G or F glycoprotein in the hamster model (DeBuysscher et al. 2014; Lo et al. 2014) and also VSV-based vaccines using NiV F or G in the ferret model (Mire et al. 2013). All these studies demonstrated that a single dose of vaccine could induced strong neutralizing antibody responses and could afford protection from NiV challenge, highlighting their potential usefulness as either a livestock vaccine or one suitable in an emergency use or outbreak scenario. Vaccination and challenge experiments have also been examined using an adeno-associated virus platform with NiV G showing protection against challenge in the hamster model and low level cross-protection (three of six animals) against a HeV challenge (Ploquin et al. 2013), and also a recombinant measles virus vector with NiV G which showed two of two AGMs were protected from NiV challenge (Yoneda et al. 2013).
A protein subunit vaccine strategy for henipaviruses has been extensively examined because of the inherent safety of such an approach. Soluble, secreted, oligomeric forms of the G glycoprotein (sG) from both NiV and HeV were developed (Bossart et al. 2005). The HeV-sG glycoprotein is a secreted version of the molecule with a genetically deleted transmembrane and cytoplasmic tail that is produced in mammalian cell culture systems and is properly N-linked glycosylated (Colgrave et al. 2011). HeV-sG retains many native characteristics including oligomerization and ability to bind ephrin receptors (Bonaparte et al. 2005), and it elicits potent cross-reactive neutralizing (HeV and NiV) antibody responses in a variety of animals including mice, rabbits, cats, ferrets, monkeys and horses. Studies using the HeV-sG subunit immunogen in the cat model demonstrated that it could elicit a completely protective immune response against a lethal subcutaneous NiV challenge (Mungall et al. 2006) showing that a single vaccine (HeV-sG) could be effective against both HeV and NiV. Further studies in the cat model demonstrated that pre-challenge virus-neutralizing antibody titers as low as 1:32 were completely protective from a high-dose oronasal challenge of NiV (50,000TCID50) (McEachern et al. 2008). HeV-sG immunization studies in the ferret model using either 100, 20 or 4 μg doses of HeV-sG formulated in CpG and AllhydrogelTM could all afford complete protection from a 5000 TCID50 dose of HeV (100 times the minimal lethal dose) with no disease or evidence of virus or viral genome in any tissues or body fluids in the 100 and 20 μg vaccine groups; and only a low level of viral genome detected in the nasal washes from one of four animals in the 4 μg vaccine group. No infectious virus could be recovered from any vaccinated ferrets. The HeV-sG subunit vaccine has also been evaluated in nonhuman primates (AGMs). In one study, doses of 10, 50, or 100 μg of HeV-sG were mixed with Allhydrogel™ and CpG and vaccine was given to three subjects in each dosing group twice, 3 weeks apart, and subjects were challenged by intratracheal administration with a tenfold lethal dose of NiV (1 × 105 TCID50) 21 days later. Complete protection was observed in all vaccinated subjects. Some subjects had pre-challenge NiV neutralizing titers as low as 1:28. No evidence of clinical disease, virus replication, or pathology was observed. A second study examined HeV-sG vaccination and protection from HeV challenge in AGMs, and also evaluated the HeV-sG subunit (100 μg doses) in Allhydrogel™ and CpG as well as formulated with only Allhydrogel™ (Mire et al. 2014). Subjects were vaccinated twice, 3 weeks apart, and were challenged intratracheally with a tenfold lethal dose of HeV (∼5 × 105 plaque-forming units) 21 days after the boost vaccination. None of the eight vaccinated animals showed any evidence of clinical illness, virus replication, or pathology. The study also clearly demonstrated that HeV-sG-Allhydrogel™ alone is capable of providing complete protection from a HeV challenge providing crucial data for supporting preclinical development as a henipavirus vaccine for use in people.
The simplicity and inherent safety of the HeV-sG subunit vaccine approach together with the numerous successful vaccination and challenge studies that have been carried out in multiple animal models, the HeV-sG subunit vaccine was chosen for the development of an equine vaccine to prevent infection in horses and also reduce the risk of HeV transmission to people. HeV-sG was licensed by Zoetis, Inc. (formerly Pfizer Animal Health) and developed as an equine vaccine for use in Australia. Horse HeV-sG vaccination and HeV challenge studies were conducted in Australia the BSL-4 facilities of the Australian Animal Health Laboratories (AAHL) in Geelong, Australia (Middleton et al. 2014). Here, HeV-sG was formulated in a proprietary adjuvant (Zoetis, Inc.) and in two initial efficacy studies in horses, either a 50 or 100 μg dose of the same sourced HeV-sG which was used in all the animal challenge studies described earlier. Two additional studies used 100 μg HeV-sG produced from clarified CHO cell culture supernatant ( Zoetis, Inc.) that was then gamma irradiated. Immunizations were two 1-mL doses administered intramuscularly 3 weeks apart. Horses in the efficacy studies were exposed oronasally to 2 × 106 TCID50 of HeV. Seven horses were challenged 28 days, and three horses were challenged 194 days, after the second vaccination. All vaccinated horses remained clinically healthy after challenge showing protection with HeV neutralizing titers as low as 1:16 or 1:32 pre-challenge. At study completion, there was no gross or histologic evidence of HeV infection in vaccinated horses; all tissues examined were negative for viral antigen by immunohistochemistry; and viral genome was not recovered from any tissue, including nasal turbinates, pharynx, and guttural pouch. In nine of ten vaccinated horses, viral RNA was not detected in daily nasal, oral, or rectal swab specimens or from blood, urine, or feces samples collected before euthanasia, and no recoverable virus was present. Only in one of three horses challenged at 6 months after vaccination, low viral gene copy numbers were detected in nasal swab samples collected on post-challenge days 2, 4 and 7, a finding consistent with self-limiting local replication, but no recoverable virus was present (Middleton et al. 2014). The horse vaccine against HeV (Equivac® HeV) is the first commercially deployed vaccine developed against a BSL-4 agent and is the only licensed treatment for henipavirus infection. To date, more than 430,000 doses of Equivac® HeV vaccine have been administered to horses (Zoetis, Inc.).
Summary and Future Directions
HeV and NiV are the first and only examples of zoonotic paramyxoviruses that can infect and cause lethal disease across a broad range of mammalian species including humans and there are currently no approved treatment modalities for people. Because of the potential environmental accessibility of HeV and NiV and their highly pathogenic characteristics, the development of effective countermeasures against these biothreats has been a major research focus over the past decade. Much of this research has focused on the virus binding and entry processes, including the processing, maturation and function of the envelope glycoproteins and the attachment to host cellular receptors and the membrane fusion process. These efforts have led to the development and testing of potential vaccine candidates and antiviral therapeutics. In 2010, the m102.4 mAb producing cell line was provided to the Queensland Government, Queensland Health, Australia to produce the m102.4 mAb for emergency use on a compassionate basis in future cases of high-risk human HeV exposure. Queensland Health Authorities have completed in May, 2016, the first phase 1 clinical safety trial of m102.4 in human subjects (Queensland 2013). To date, 11 individuals exposed to either HeV in Australia (10 people) or NiV in the United States (1 person) have been given high-dose m102.4 therapy under emergency use protocols, and all have remained well with no associated adverse events. In addition, the vaccine against HeV (Equivac® HeV) is vaccine for horses that is also expected to provide a substantial health benefit to humans, and has fit well within the spirit of a “One Health” approach for the human and animal interface and also in respect to environmental health. Studies on NiV and HeV have also provided important model systems to examine how pathogenic viruses interact with their natural reservoir hosts and also with animals susceptible to disease, providing insight into the dynamics of virus infection and maintenance in an animal reservoir; model systems to develop a variety of intervention strategies; details on how neurotropic viruses gain access to CNS and cause disease; and will serve as tools to examine and evaluate potential therapies for virus-mediated CNS disease.
Acknowledgments
C.C.B. is supported NIH grant AI054715-06. Portions of Fig. 1 were illustrated by Andrew Hickey. Brain stem immunohistochemistry-stained images in Fig. 3 were provided by Thomas Geisbert. Brain parenchyma immunohistochemistry-stained images in Fig. 4 were provided by Debora Middleton.
Contributor Information
Carol Shoshkes Reiss, Email: carol.reiss@nyu.edu.
Christopher C. Broder, Email: christopher.broder@usuhs.edu
Kum Thong Wong, Email: wongkt@ummc.edu.my
References
- Abdullah S, Chang LY, Rahmat K, Goh KT, Tan CT. Late-onset Nipah virus encephalitis 11 years after the initial outbreak: a case report. Neurol J Southeast Asia. 2012;17(1):71–74. [Google Scholar]
- Abdullah S, Tan CT. Henipavirus encephalitis. Handb Clin Neurol. 2014;123:663–670. doi: 10.1016/B978-0-444-53488-0.00032-8. [DOI] [PubMed] [Google Scholar]
- AbuBakar S, Chang LY, Ali AR, Sharifah SH, Yusoff K, Zamrod Z. Isolation and molecular identification of Nipah virus from pigs. Emerg Infect Dis. 2004;10(12):2228–2230. doi: 10.3201/eid1012.040452. [DOI] [PMC free article] [PubMed] [Google Scholar]
- Aguilar HC, Iorio RM. Henipavirus membrane fusion and viral entry. Curr Top Microbiol Immunol. 2012;359:79–94. doi: 10.1007/82_2012_200. [DOI] [PubMed] [Google Scholar]
- Anonymous (2012) Hendra virus, equine—Australia (12): (QL) vaccine. Pro-med. International Society for Infectious Diseases, November 3, archive no. 20121104.1390394. www.promedmail.org
- Anonymous (2013a) Hendra virus, equine—Australia (09): New South Wales dog affected Pro-med. International Society for Infectious Diseases, July 21, archive no. 20130721.1837123. www.promedmail.org
- Anonymous (2013b) Hendra virus, equine—Australia: (08) Queensland, New South Wales. Pro-med. International Society for Infectious Diseases, July 9, archive no. 20130712.1820724. www.promedmail.org
- Anonymous (2014a) Hendra virus, equine—Australia (02): New South Wales. Pro-med. International Society for Infectious Diseases, June 21, archive no. 20140621.2557020. www.promedmail.org
- Anonymous (2014b) Hendra virus, equine—Australia (03): Queensland. Pro-med. International Society for Infectious Diseases, July 21, archive no. 20140721.2626012. www.promedmail.org
- Anonymous (2014c) Nipah encephalitis, human—Bangladesh (02). Pro-med. International Society for Infectious Diseases, January 18, archive no. 20140118.2181682. www.promedmail.org
- Anonymous (2015) Nipah encephalitis, human—Bangladesh. Pro-Med-mail. International Society for Infectious Diseases, February 4, archive no. 20150204.3143251. www.promedmail.org
- Arankalle VA, Bandyopadhyay BT, Ramdasi AY, Jadi R, Patil DR, Rahman M, Majumdar M, Banerjee PS, Hati AK, Goswami RP, Neogi DK, Mishra AC. Genomic characterization of Nipah virus, West Bengal, India. Emerg Infect Dis. 2011;17(5):907–909. doi: 10.3201/eid1705.100968. [DOI] [PMC free article] [PubMed] [Google Scholar]
- Basler CF. Nipah and Hendra virus interactions with the innate immune system. Curr Top Microbiol Immunol. 2012;359:123–152. doi: 10.1007/82_2012_209. [DOI] [PubMed] [Google Scholar]
- Bellini WJ, Harcourt BH, Bowden N, Rota PA. Nipah virus: an emergent paramyxovirus causing severe encephalitis in humans. J Neurovirol. 2005;11(5):481–487. doi: 10.1080/13550280500187435. [DOI] [PubMed] [Google Scholar]
- Bishop KA, Stantchev TS, Hickey AC, Khetawat D, Bossart KN, Krasnoperov V, Gill P, Feng YR, Wang L, Eaton BT, Wang LF, Broder CC. Identification of Hendra virus G glycoprotein residues that are critical for receptor binding. J Virol. 2007;81(11):5893–5901. doi: 10.1128/JVI.02022-06. [DOI] [PMC free article] [PubMed] [Google Scholar]
- Bonaparte MI, Dimitrov AS, Bossart KN, Crameri G, Mungall BA, Bishop KA, Choudhry V, Dimitrov DS, Wang LF, Eaton BT, Broder CC. Ephrin-B2 ligand is a functional receptor for Hendra virus and Nipah virus. Proc Natl Acad Sci U S A. 2005;102(30):10652–10657. doi: 10.1073/pnas.0504887102. [DOI] [PMC free article] [PubMed] [Google Scholar]
- Bossart KN, Crameri G, Dimitrov AS, Mungall BA, Feng YR, Patch JR, Choudhary A, Wang LF, Eaton BT, Broder CC. Receptor binding, fusion inhibition, and induction of cross-reactive neutralizing antibodies by a soluble G glycoprotein of Hendra virus. J Virol. 2005;79(11):6690–6702. doi: 10.1128/JVI.79.11.6690-6702.2005. [DOI] [PMC free article] [PubMed] [Google Scholar]
- Bossart KN, Fusco DL, Broder CC. Paramyxovirus entry. Adv Exp Med Biol. 2013;790:95–127. doi: 10.1007/978-1-4614-7651-1_6. [DOI] [PMC free article] [PubMed] [Google Scholar]
- Bossart K. N., Geisbert T. W., Feldmann H., Zhu Z., Feldmann F., Geisbert J. B., Yan L., Feng Y.-R., Brining D., Scott D., Wang Y., Dimitrov A. S., Callison J., Chan Y.-P., Hickey A. C., Dimitrov D. S., Broder C. C., Rockx B. A Neutralizing Human Monoclonal Antibody Protects African Green Monkeys from Hendra Virus Challenge. Science Translational Medicine. 2011;3(105):105ra103–105ra103. doi: 10.1126/scitranslmed.3002901. [DOI] [PMC free article] [PubMed] [Google Scholar]
- Bossart KN, Tachedjian M, McEachern JA, Crameri G, Zhu Z, Dimitrov DS, Broder CC, Wang LF. Functional studies of host-specific ephrin-B ligands as Henipavirus receptors. Virology. 2008;372(2):357–371. doi: 10.1016/j.virol.2007.11.011. [DOI] [PubMed] [Google Scholar]
- Bossart KN, Wang LF, Eaton BT, Broder CC. Functional expression and membrane fusion tropism of the envelope glycoproteins of Hendra virus. Virology. 2001;290(1):121–135. doi: 10.1006/viro.2001.1158. [DOI] [PubMed] [Google Scholar]
- Bossart KN, Zhu Z, Middleton D, Klippel J, Crameri G, Bingham J, McEachern JA, Green D, Hancock TJ, Chan YP, Hickey AC, Dimitrov DS, Wang LF, Broder CC. A neutralizing human monoclonal antibody protects against lethal disease in a new ferret model of acute Nipah virus infection. PLoS Pathog. 2009;5(10):e1000642. doi: 10.1371/journal.ppat.1000642. [DOI] [PMC free article] [PubMed] [Google Scholar]
- Bowden TA, Aricescu AR, Gilbert RJ, Grimes JM, Jones EY, Stuart DI (2008a) Structural basis of Nipah and Hendra virus attachment to their cell-surface receptor ephrin-B2. Nat Struct Mol Biol 15(6):567–572. doi:nsmb.1435 [pii] 10.1038/nsmb.1435 [doi] [DOI] [PubMed]
- Bowden TA, Crispin M, Harvey DJ, Aricescu AR, Grimes JM, Jones EY, Stuart DI (2008b) Crystal structure and carbohydrate analysis of Nipah virus attachment glycoprotein: a template for antiviral and vaccine design. J Virol 82(23):11628–11636. doi:JVI.01344-08 [pii] 10.1128/JVI.01344-08 [doi] [DOI] [PMC free article] [PubMed]
- Bowden TA, Crispin M, Harvey DJ, Jones EY, Stuart DI (2010) Dimeric architecture of the Hendra virus attachment glycoprotein: evidence for a conserved mode of assembly. J Virol 84(12):6208–6217. doi:JVI.00317-10 [pii] 10.1128/JVI.00317-10 [doi] [DOI] [PMC free article] [PubMed]
- Breed AC, Meers J, Sendow I, Bossart KN, Barr JA, Smith I, Wacharapluesadee S, Wang L, Field HE. The distribution of henipaviruses in Southeast Asia and Australasia: is Wallace’s line a barrier to Nipah virus? PLoS One. 2013;8(4):e61316. doi: 10.1371/journal.pone.0061316. [DOI] [PMC free article] [PubMed] [Google Scholar]
- Broder CC. Henipavirus outbreaks to antivirals: the current status of potential therapeutics. Curr Opin Virol. 2012;2(2):176–187. doi: 10.1016/j.coviro.2012.02.016. [DOI] [PMC free article] [PubMed] [Google Scholar]
- Broder CC, Geisbert TW, Xu K, Nikolov DB, Wang LF, Middleton D, Pallister J, Bossart KN. Immunization strategies against henipaviruses. Curr Top Microbiol Immunol. 2012;359:197–223. doi: 10.1007/82_2012_213. [DOI] [PMC free article] [PubMed] [Google Scholar]
- Broder CC, Xu K, Nikolov DB, Zhu Z, Dimitrov DS, Middleton D, Pallister J, Geisbert TW, Bossart KN, Wang LF. A treatment for and vaccine against the deadly Hendra and Nipah viruses. Antiviral Res. 2013;100(1):8–13. doi: 10.1016/j.antiviral.2013.06.012. [DOI] [PMC free article] [PubMed] [Google Scholar]
- Cayrol R, Wosik K, Berard JL, Dodelet-Devillers A, Ifergan I, Kebir H, Haqqani AS, Kreymborg K, Krug S, Moumdjian R, Bouthillier A, Becher B, Arbour N, David S, Stanimirovic D, Prat A. Activated leukocyte cell adhesion molecule promotes leukocyte trafficking into the central nervous system. Nat Immunol. 2008;9(2):137–145. doi: 10.1038/ni1551. [DOI] [PubMed] [Google Scholar]
- Chadha MS, Comer JA, Lowe L, Rota PA, Rollin PE, Bellini WJ, Ksiazek TG, Mishra A. Nipah virus-associated encephalitis outbreak, Siliguri, India. Emerg Infect Dis. 2006;12(2):235–240. doi: 10.3201/eid1202.051247. [DOI] [PMC free article] [PubMed] [Google Scholar]
- Chan YP, Chua KB, Koh CL, Lim ME, Lam SK. Complete nucleotide sequences of Nipah virus isolates from Malaysia. J Gen Virol. 2001;82(Pt 9):2151–2155. doi: 10.1099/0022-1317-82-9-2151. [DOI] [PubMed] [Google Scholar]
- Ching PK, de Los Reyes VC, Sucaldito MN, Tayag E, Columna-Vingno AB, Malbas FF, Jr, Bolo GC, Jr, Sejvar JJ, Eagles D, Playford G, Dueger E, Kaku Y, Morikawa S, Kuroda M, Marsh GA, McCullough S, Foxwell AR. Outbreak of henipavirus infection, Philippines, 2014. Emerg Infect Dis. 2015;21(2):328–331. doi: 10.3201/eid2102.141433. [DOI] [PMC free article] [PubMed] [Google Scholar]
- Chong HT, Kamarulzaman A, Tan CT, Goh KJ, Thayaparan T, Kunjapan SR, Chew NK, Chua KB, Lam SK. Treatment of acute Nipah encephalitis with ribavirin. Ann Neurol. 2001;49(6):810–813. doi: 10.1002/ana.1062. [DOI] [PubMed] [Google Scholar]
- Chong HT, Tan CT. Relapsed and late-onset Nipah encephalitis, a report of three cases. Neurol J Southeast Asia. 2003;8:109–112. [Google Scholar]
- Chong HT, Tan CT, Goh KJ, Chew NK, Kunjapan SR, Petharunam V, Thayaparan T. Occupational exposure, age, diabetes mellitus and outcome of acute Nipah encephalitis encephalitis. Neurol J Southeast Asia. 2001;6:7–11. [Google Scholar]
- Chowdhury S, Khan SU, Crameri G, Epstein JH, Broder CC, Islam A, Peel AJ, Barr J, Daszak P, Wang LF, Luby SP. Serological evidence of henipavirus exposure in cattle, goats and pigs in Bangladesh. PLoS Negl Trop Dis. 2014;8(11):e3302. doi: 10.1371/journal.pntd.0003302. [DOI] [PMC free article] [PubMed] [Google Scholar]
- Chua KB. Nipah virus outbreak in Malaysia. J Clin Virol. 2003;26(3):265–275. doi: 10.1016/S1386-6532(02)00268-8. [DOI] [PubMed] [Google Scholar]
- Chua KB, Bellini WJ, Rota PA, Harcourt BH, Tamin A, Lam SK, Ksiazek TG, Rollin PE, Zaki SR, Shieh W, Goldsmith CS, Gubler DJ, Roehrig JT, Eaton B, Gould AR, Olson J, Field H, Daniels P, Ling AE, Peters CJ, Anderson LJ, Mahy BW. Nipah virus: a recently emergent deadly paramyxovirus. Science. 2000;288(5470):1432–1435. doi: 10.1126/science.288.5470.1432. [DOI] [PubMed] [Google Scholar]
- Chua KB, Goh KJ, Wong KT, Kamarulzaman A, Tan PS, Ksiazek TG, Zaki SR, Paul G, Lam SK, Tan CT (1999) Fatal encephalitis due to Nipah virus among pig-farmers in Malaysia. Lancet 354(9186):1257–1259. doi:S0140-6736(99)04299-3 [pii] 10.1016/S0140-6736(99)04299-3 [doi] [DOI] [PubMed]
- Chua KB, Koh CL, Hooi PS, Wee KF, Khong JH, Chua BH, Chan YP, Lim ME, Lam SK. Isolation of Nipah virus from Malaysian Island flying-foxes. Microbes Infect. 2002;4(2):145–151. doi: 10.1016/S1286-4579(01)01522-2. [DOI] [PubMed] [Google Scholar]
- Chua KB, Lam SK, Tan CT, Hooi PS, Goh KJ, Chew NK, Tan KS, Kamarulzaman A, Wong KT. High mortality in Nipah encephalitis is associated with presence of virus in cerebrospinal fluid. Ann Neurol. 2000;48(5):802–805. doi: 10.1002/1531-8249(200011)48:5<802::AID-ANA17>3.0.CO;2-M. [DOI] [PubMed] [Google Scholar]
- Ciancanelli MJ, Basler CF. Mutation of YMYL in the Nipah virus matrix protein abrogates budding and alters subcellular localization. J Virol. 2006;80(24):12070–12078. doi: 10.1128/JVI.01743-06. [DOI] [PMC free article] [PubMed] [Google Scholar]
- Clayton BA, Wang LF, Marsh GA. Henipaviruses: an updated review focusing on the pteropid reservoir and features of transmission. Zoonoses Public Health. 2013;60(1):69–83. doi: 10.1111/j.1863-2378.2012.01501.x. [DOI] [PubMed] [Google Scholar]
- Colgrave ML, Snelling HJ, Shiell BJ, Feng YR, Chan YP, Bossart KN, Xu K, Nikolov DB, Broder CC, Michalski WP (2011) Site occupancy and glycan compositional analysis of two soluble recombinant forms of the attachment glycoprotein of Hendra virus. Glycobiology 22(4):572–584. doi:cwr180 [pii] 10.1093/glycob/cwr180 [doi] [DOI] [PMC free article] [PubMed]
- de Weerd NA, Samarajiwa SA, Hertzog PJ. Type I interferon receptors: biochemistry and biological functions. J Biol Chem. 2007;282(28):20053–20057. doi: 10.1074/jbc.R700006200. [DOI] [PubMed] [Google Scholar]
- de Wit E, Prescott J, Falzarano D, Bushmaker T, Scott D, Feldmann H, Munster VJ. Foodborne transmission of Nipah virus in Syrian hamsters. PLoS Pathog. 2014;10(3):e1004001. doi: 10.1371/journal.ppat.1004001. [DOI] [PMC free article] [PubMed] [Google Scholar]
- DeBuysscher BL, Scott D, Marzi A, Prescott J, Feldmann H. Single-dose live-attenuated Nipah virus vaccines confer complete protection by eliciting antibodies directed against surface glycoproteins. Vaccine. 2014;32(22):2637–2644. doi: 10.1016/j.vaccine.2014.02.087. [DOI] [PMC free article] [PubMed] [Google Scholar]
- Dhondt KP, Horvat B. Henipavirus infections: lessons from animal models. Pathogens (Basel, Switzerland) 2013;2(2):264–287. doi: 10.3390/pathogens2020264. [DOI] [PMC free article] [PubMed] [Google Scholar]
- Drescher U. Eph family functions from an evolutionary perspective. Curr Opin Genet Dev. 2002;12(4):397–402. doi: 10.1016/S0959-437X(02)00316-7. [DOI] [PubMed] [Google Scholar]
- Drexler Jan Felix, Corman Victor Max, Gloza-Rausch Florian, Seebens Antje, Annan Augustina, Ipsen Anne, Kruppa Thomas, Müller Marcel A., Kalko Elisabeth K. V., Adu-Sarkodie Yaw, Oppong Samuel, Drosten Christian. Henipavirus RNA in African Bats. PLoS ONE. 2009;4(7):e6367. doi: 10.1371/journal.pone.0006367. [DOI] [PMC free article] [PubMed] [Google Scholar]
- Drexler JF, Corman VM, Muller MA, Maganga GD, Vallo P, Binger T, Gloza-Rausch F, Rasche A, Yordanov S, Seebens A, Oppong S, Adu Sarkodie Y, Pongombo C, Lukashev AN, Schmidt-Chanasit J, Stocker A, Carneiro AJ, Erbar S, Maisner A, Fronhoffs F, Buettner R, Kalko EK, Kruppa T, Franke CR, Kallies R, Yandoko ER, Herrler G, Reusken C, Hassanin A, Kruger DH, Matthee S, Ulrich RG, Leroy EM, Drosten C. Bats host major mammalian paramyxoviruses. Nat Commun. 2012;3:796. doi: 10.1038/ncomms1796. [DOI] [PMC free article] [PubMed] [Google Scholar]
- Dups J, Middleton D, Long F, Arkinstall R, Marsh GA, Wang LF. Subclinical infection without encephalitis in mice following intranasal exposure to Nipah virus-Malaysia and Nipah virus-Bangladesh. Virol J. 2014;11:102. doi: 10.1186/1743-422X-11-102. [DOI] [PMC free article] [PubMed] [Google Scholar]
- Dups J, Middleton D, Yamada M, Monaghan P, Long F, Robinson R, Marsh GA, Wang LF. A new model for Hendra virus encephalitis in the mouse. PLoS One. 2012;7(7):e40308. doi: 10.1371/journal.pone.0040308. [DOI] [PMC free article] [PubMed] [Google Scholar]
- Epstein JH, Prakash V, Smith CS, Daszak P, McLaughlin AB, Meehan G, Field HE, Cunningham AA. Henipavirus infection in fruit bats (Pteropus giganteus), India. Emerg Infect Dis. 2008;14(8):1309–1311. doi: 10.3201/eid1408.071492. [DOI] [PMC free article] [PubMed] [Google Scholar]
- Field H, Crameri G, Kung NY, Wang LF. Ecological aspects of Hendra virus. Curr Top Microbiol Immunol. 2012;359:11–23. doi: 10.1007/82_2012_214. [DOI] [PubMed] [Google Scholar]
- Field H, Young P, Yob JM, Mills J, Hall L, Mackenzie J. The natural history of Hendra and Nipah viruses. Microbes Infect. 2001;3(4):307–314. doi: 10.1016/S1286-4579(01)01384-3. [DOI] [PubMed] [Google Scholar]
- Field HE, Breed AC, Shield J, Hedlefs RM, Pittard K, Pott B, Summers PM. Epidemiological perspectives on Hendra virus infection in horses and flying foxes. Aust Vet J. 2007;85(7):268–270. doi: 10.1111/j.1751-0813.2007.00170.x. [DOI] [PubMed] [Google Scholar]
- Fleischer B, Kreth HW. Mumps virus replication in human lymphoid cell lines and in peripheral blood lymphocytes: preference for T cells. Infect Immun. 1982;35(1):25–31. doi: 10.1128/iai.35.1.25-31.1982. [DOI] [PMC free article] [PubMed] [Google Scholar]
- Freiberg AN, Worthy MN, Lee B, Holbrook MR (2010) Combined chloroquine and ribavirin treatment does not prevent death in a hamster model of Nipah and Hendra virus infection. J Gen Virol 91(Pt 3):765-772. doi:vir.0.017269-0 [pii] 10.1099/vir.0.017269-0 [doi] [DOI] [PMC free article] [PubMed]
- Gale NW, Baluk P, Pan L, Kwan M, Holash J, DeChiara TM, McDonald DM, Yancopoulos GD (2001) Ephrin-B2 selectively marks arterial vessels and neovascularization sites in the adult, with expression in both endothelial and smooth-muscle cells. Dev Biol 230(2):151–160. doi:10.1006/dbio.2000.0112 [doi] S0012-1606(00)90112-X [pii] [DOI] [PubMed]
- Geisbert Thomas W., Daddario-DiCaprio Kathleen M., Hickey Andrew C., Smith Mark A., Chan Yee-Peng, Wang Lin-Fa, Mattapallil Joseph J., Geisbert Joan B., Bossart Katharine N., Broder Christopher C. Development of an Acute and Highly Pathogenic Nonhuman Primate Model of Nipah Virus Infection. PLoS ONE. 2010;5(5):e10690. doi: 10.1371/journal.pone.0010690. [DOI] [PMC free article] [PubMed] [Google Scholar]
- Geisbert TW, Feldmann H, Broder CC. Animal challenge models of Henipavirus infection and pathogenesis. Curr Top Microbiol Immunol. 2012;359:153–177. doi: 10.1007/82_2012_208. [DOI] [PMC free article] [PubMed] [Google Scholar]
- Geisbert T. W., Mire C. E., Geisbert J. B., Chan Y.-P., Agans K. N., Feldmann F., Fenton K. A., Zhu Z., Dimitrov D. S., Scott D. P., Bossart K. N., Feldmann H., Broder C. C. Therapeutic Treatment of Nipah Virus Infection in Nonhuman Primates with a Neutralizing Human Monoclonal Antibody. Science Translational Medicine. 2014;6(242):242ra82–242ra82. doi: 10.1126/scitranslmed.3008929. [DOI] [PMC free article] [PubMed] [Google Scholar]
- Georges-Courbot MC, Contamin H, Faure C, Loth P, Baize S, Leyssen P, Neyts J, Deubel V. Poly(I)-poly(C12U) but not ribavirin prevents death in a hamster model of Nipah virus infection. Antimicrob Agents Chemother. 2006;50(5):1768–1772. doi: 10.1128/AAC.50.5.1768-1772.2006. [DOI] [PMC free article] [PubMed] [Google Scholar]
- Gimferrer I, Calvo M, Mittelbrunn M, Farnos M, Sarrias MR, Enrich C, Vives J, Sanchez-Madrid F, Lozano F. Relevance of CD6-mediated interactions in T cell activation and proliferation. J Immunol. 2004;173(4):2262–2270. doi: 10.4049/jimmunol.173.4.2262. [DOI] [PubMed] [Google Scholar]
- Goh KJ, Tan CT, Chew NK, Tan PS, Kamarulzaman A, Sarji SA, Wong KT, Abdullah BJ, Chua KB, Lam SK (2000) Clinical features of Nipah virus encephalitis among pig farmers in Malaysia. N Engl J Med 342(17):1229–1235. doi:MJBA-421701 [pii] 10.1056/NEJM200004273421701 [doi] [DOI] [PubMed]
- Goldsmith CS, Whistler T, Rollin PE, Ksiazek TG, Rota PA, Bellini WJ, Daszak P, Wong KT, Shieh WJ, Zaki SR. Elucidation of Nipah virus morphogenesis and replication using ultrastructural and molecular approaches. Virus Res. 2003;92(1):89–98. doi: 10.1016/S0168-1702(02)00323-4. [DOI] [PubMed] [Google Scholar]
- Guillaume V, Contamin H, Loth P, Georges-Courbot MC, Lefeuvre A, Marianneau P, Chua KB, Lam SK, Buckland R, Deubel V, Wild TF. Nipah virus: vaccination and passive protection studies in a hamster model. J Virol. 2004;78(2):834–840. doi: 10.1128/JVI.78.2.834-840.2004. [DOI] [PMC free article] [PubMed] [Google Scholar]
- Guillaume V, Contamin H, Loth P, Grosjean I, Courbot MC, Deubel V, Buckland R, Wild TF. Antibody prophylaxis and therapy against Nipah virus infection in Hamsters. J Virol. 2006;80(4):1972–1978. doi: 10.1128/JVI.80.4.1972-1978.2006. [DOI] [PMC free article] [PubMed] [Google Scholar]
- Guillaume V, Wong KT, Looi RY, Georges-Courbot MC, Barrot L, Buckland R, Wild TF, Horvat B (2009) Acute Hendra virus infection: analysis of the pathogenesis and passive antibody protection in the hamster model. Virology 387(2):459–65. doi:S0042-6822(09)00174-3 [pii] 10.1016/j.virol.2009.03.001 [doi] [DOI] [PubMed]
- Halpin K, Hyatt AD, Fogarty R, Middleton D, Bingham J, Epstein JH, Rahman SA, Hughes T, Smith C, Field HE, Daszak P, The H (2011) Pteropid bats are confirmed as the reservoir hosts of henipaviruses: a comprehensive experimental study of virus transmission. Am J Trop Med Hyg 85(5):946–951. doi:85/5/946 [pii] 10.4269/ajtmh.2011.10-0567 [doi] [DOI] [PMC free article] [PubMed]
- Halpin K, Young PL, Field HE, Mackenzie JS. Isolation of Hendra virus from pteropid bats: a natural reservoir of Hendra virus. J Gen Virol. 2000;81(Pt 8):1927–1932. doi: 10.1099/0022-1317-81-8-1927. [DOI] [PubMed] [Google Scholar]
- Hao Q, Lam KM. Interaction between chicken lymphocytes and Newcastle disease virus. Avian Dis. 1987;31(3):649–653. doi: 10.2307/1590754. [DOI] [PubMed] [Google Scholar]
- Harcourt BH, Lowe L, Tamin A, Liu X, Bankamp B, Bowden N, Rollin PE, Comer JA, Ksiazek TG, Hossain MJ, Gurley ES, Breiman RF, Bellini WJ, Rota PA. Genetic characterization of Nipah virus, Bangladesh, 2004. Emerg Infect Dis. 2005;11(10):1594–1597. doi: 10.3201/eid1110.050513. [DOI] [PMC free article] [PubMed] [Google Scholar]
- Harcourt BH, Tamin A, Ksiazek TG, Rollin PE, Anderson LJ, Bellini WJ, Rota PA. Molecular characterization of Nipah virus, a newly emergent paramyxovirus. Virology. 2000;271(2):334–349. doi: 10.1006/viro.2000.0340. [DOI] [PubMed] [Google Scholar]
- Harrison MS, Sakaguchi T, Schmitt AP (2010) Paramyxovirus assembly and budding: building particles that transmit infections. Int J Biochem Cell Biol 42(9):1416–1429. doi:S1357-2725(10)00140-8 [pii] 10.1016/j.biocel.2010.04.005 [doi] [DOI] [PMC free article] [PubMed]
- Hasebe Futoshi, Thuy Nguyen Thi Thu, Inoue Shingo, Yu Fuxun, Kaku Yoshihiro, Watanabe Shumpei, Akashi Hiroomi, Dat Dang Tuan, Mai Le Thi Quynh, Morita Kouichi. Serologic Evidence of Nipah Virus Infection in Bats, Vietnam. Emerging Infectious Diseases. 2012;18(3):536–537. doi: 10.3201/eid1803.111121. [DOI] [PMC free article] [PubMed] [Google Scholar]
- Hayman David T. S., Suu-Ire Richard, Breed Andrew C., McEachern Jennifer A., Wang Linfa, Wood James L. N., Cunningham Andrew A. Evidence of Henipavirus Infection in West African Fruit Bats. PLoS ONE. 2008;3(7):e2739. doi: 10.1371/journal.pone.0002739. [DOI] [PMC free article] [PubMed] [Google Scholar]
- Hayman DT, Wang LF, Barr J, Baker KS, Suu-Ire R, Broder CC, Cunningham AA, Wood JL (2011) Antibodies to henipavirus or henipa-like viruses in domestic pigs in Ghana, West Africa. PLoS One 6(9):e25256. doi:10.1371/journal.pone.0025256 [doi] PONE-D-11-12752 [pii] [DOI] [PMC free article] [PubMed]
- Homaira N, Rahman M, Hossain MJ, Epstein JH, Sultana R, Khan MS, Podder G, Nahar K, Ahmed B, Gurley ES, Daszak P, Lipkin WI, Rollin PE, Comer JA, Ksiazek TG, Luby SP (2010a) Nipah virus outbreak with person-to-person transmission in a district of Bangladesh, 2007. Epidemiol Infect 138(11):1630–1636. doi:S0950268810000695 [pii] 10.1017/S0950268810000695 [doi] [DOI] [PMC free article] [PubMed]
- Homaira Nusrat, Rahman Mahmudur, Hossain M. Jahangir, Nahar Nazmun, Khan Rasheda, Rahman Mostafizur, Podder Goutam, Nahar Kamrun, Khan Dawlat, Gurley Emily S., Rollin Pierre E., Comer James A., Ksiazek Thomas G., Luby Stephen P. Cluster of Nipah Virus Infection, Kushtia District, Bangladesh, 2007. PLoS ONE. 2010;5(10):e13570. doi: 10.1371/journal.pone.0013570. [DOI] [PMC free article] [PubMed] [Google Scholar]
- Hooper P, Zaki S, Daniels P, Middleton D. Comparative pathology of the diseases caused by Hendra and Nipah viruses. Microbes Infect. 2001;3(4):315–322. doi: 10.1016/S1286-4579(01)01385-5. [DOI] [PubMed] [Google Scholar]
- Hooper PT, Gould AR, Russell GM, Kattenbelt JA, Mitchell G. The retrospective diagnosis of a second outbreak of equine morbillivirus infection. Aust Vet J. 1996;74(3):244–245. doi: 10.1111/j.1751-0813.1996.tb15414.x. [DOI] [PubMed] [Google Scholar]
- Hsu VP, Hossain MJ, Parashar UD, Ali MM, Ksiazek TG, Kuzmin I, Niezgoda M, Rupprecht C, Bresee J, Breiman RF. Nipah virus encephalitis reemergence, Bangladesh. Emerg Infect Dis. 2004;10(12):2082–2087. doi: 10.3201/eid1012.040701. [DOI] [PMC free article] [PubMed] [Google Scholar]
- Hyatt AD, Zaki SR, Goldsmith CS, Wise TG, Hengstberger SG. Ultrastructure of Hendra virus and Nipah virus within cultured cells and host animals. Microbes Infect. 2001;3(4):297–306. doi: 10.1016/S1286-4579(01)01383-1. [DOI] [PubMed] [Google Scholar]
- Iehle C, Razafitrimo G, Razainirina J, Andriaholinirina N, Goodman SM, Faure C, Georges-Courbot MC, Rousset D, Reynes JM. Henipavirus and Tioman virus antibodies in pteropodid bats, Madagascar. Emerg Infect Dis. 2007;13(1):159–161. doi: 10.3201/eid1301.060791. [DOI] [PMC free article] [PubMed] [Google Scholar]
- Joseph BS, Lampert PW, Oldstone MB. Replication and persistence of measles virus in defined subpopulations of human leukocytes. J Virol. 1975;16(6):1638–1649. doi: 10.1128/jvi.16.6.1638-1649.1975. [DOI] [PMC free article] [PubMed] [Google Scholar]
- Kong D, Wen Z, Su H, Ge J, Chen W, Wang X, Wu C, Yang C, Chen H, Bu Z. Newcastle disease virus-vectored Nipah encephalitis vaccines induce B and T cell responses in mice and long-lasting neutralizing antibodies in pigs. Virology. 2012;432(2):327–335. doi: 10.1016/j.virol.2012.06.001. [DOI] [PubMed] [Google Scholar]
- Koyuncu OO, Hogue IB, Enquist LW. Virus infections in the nervous system. Cell Host Microbe. 2013;13(4):379–393. doi: 10.1016/j.chom.2013.03.010. [DOI] [PMC free article] [PubMed] [Google Scholar]
- Krakowka S, Cockerell G, Koestner A. Effects of canine distemper virus infection on lymphoid function in vitro and in vivo. Infect Immun. 1975;11(5):1069–1078. doi: 10.1128/iai.11.5.1069-1078.1975. [DOI] [PMC free article] [PubMed] [Google Scholar]
- Kurup D, Wirblich C, Feldmann H, Marzi A, Schnell MJ. Rhabdovirus-based vaccine platforms against Henipaviruses. J Virol. 2015;89(1):144–154. doi: 10.1128/JVI.02308-14. [DOI] [PMC free article] [PubMed] [Google Scholar]
- Lackmann M, Boyd AW (2008) Eph, a protein family coming of age: more confusion, insight, or complexity? Sci Signal 1(15):re2. doi:stke.115re2 [pii] 10.1126/stke.115re2 [doi] [DOI] [PubMed]
- Lamb RA, Parks GD. Paramyxoviridae. In: Knipe DM, Howley PM, editors. Fields virology. Philadelphia: Lippincott Williams & Wilkins; 2013. [Google Scholar]
- Lee B, Ataman ZA. Modes of paramyxovirus fusion: a Henipavirus perspective. Trends Microbiol. 2011;19(8):389–399. doi: 10.1016/j.tim.2011.03.005. [DOI] [PMC free article] [PubMed] [Google Scholar]
- Li M, Embury-Hyatt C, Weingartl HM (2010) Experimental inoculation study indicates swine as a potential host for Hendra virus. Vet Res 41(3):33. doi:10.1051/vetres/2010005 [doi] v09578 [pii] [DOI] [PMC free article] [PubMed]
- Li Y, Wang J, Hickey AC, Zhang Y, Wu Y, Zhang H, Yuan J, Han Z, McEachern J, Broder CC, Wang LF, Shi Z. Antibodies to Nipah or Nipah-like viruses in bats, China. Emerg Infect Dis. 2008;14(12):1974–1976. doi: 10.3201/eid1412.080359. [DOI] [PMC free article] [PubMed] [Google Scholar]
- Lo MK, Bird BH, Chattopadhyay A, Drew CP, Martin BE, Coleman JD, Rose JK, Nichol ST, Spiropoulou CF. Single-dose replication-defective VSV-based Nipah virus vaccines provide protection from lethal challenge in Syrian hamsters. Antiviral Res. 2014;101:26–29. doi: 10.1016/j.antiviral.2013.10.012. [DOI] [PMC free article] [PubMed] [Google Scholar]
- Lossinsky AS, Shivers RR. Structural pathways for macromolecular and cellular transport across the blood-brain barrier during inflammatory conditions. Rev Histol Histopathol. 2004;19(2):535–564. doi: 10.14670/HH-19.535. [DOI] [PubMed] [Google Scholar]
- Luby SP. The pandemic potential of Nipah virus. Antiviral Res. 2013;100(1):38–43. doi: 10.1016/j.antiviral.2013.07.011. [DOI] [PubMed] [Google Scholar]
- Luby SP, Broder CC. Paramyxoviruses: henipaviruses. In: Kaslow RA, Stanberry LR, Le Duc JW, editors. Viral infections of humans, epidemiology and control. New York: Springer; 2014. pp. 519–536. [Google Scholar]
- Luby SP, Gurley ES. Epidemiology of henipavirus disease in humans. Curr Top Microbiol Immunol. 2012;359:25–40. doi: 10.1007/82_2012_207. [DOI] [PubMed] [Google Scholar]
- Luby Stephen P., Gurley Emily S., Hossain M. Jahangir. Transmission of Human Infection with Nipah Virus. Clinical Infectious Diseases. 2009;49(11):1743–1748. doi: 10.1086/647951. [DOI] [PMC free article] [PubMed] [Google Scholar]
- Luby SP, Hossain MJ, Gurley ES, Ahmed BN, Banu S, Khan SU, Homaira N, Rota PA, Rollin PE, Comer JA, Kenah E, Ksiazek TG, Rahman M. Recurrent zoonotic transmission of Nipah virus into humans, Bangladesh, 2001-2007. Emerg Infect Dis. 2009;15(8):1229–1235. doi: 10.3201/eid1508.081237. [DOI] [PMC free article] [PubMed] [Google Scholar]
- Mahalingam S, Herrero LJ, Playford EG, Spann K, Herring B, Rolph MS, Middleton D, McCall B, Field H, Wang LF. Hendra virus: an emerging paramyxovirus in Australia. Lancet Infect Dis. 2012;12(10):799–807. doi: 10.1016/S1473-3099(12)70158-5. [DOI] [PubMed] [Google Scholar]
- Marianneau P, Guillaume V, Wong T, Badmanathan M, Looi RY, Murri S, Loth P, Tordo N, Wild F, Horvat B, Contamin H. Experimental infection of squirrel monkeys with Nipah virus. Emerg Infect Dis. 2010;16(3):507–510. doi: 10.3201/eid1603.091346. [DOI] [PMC free article] [PubMed] [Google Scholar]
- Marsh GA, de Jong C, Barr JA, Tachedjian M, Smith C, Middleton D, Yu M, Todd S, Foord AJ, Haring V, Payne J, Robinson R, Broz I, Crameri G, Field HE, Wang LF. Cedar virus: a novel Henipavirus isolated from Australian bats. PLoS Pathog. 2012;8(8):e1002836. doi: 10.1371/journal.ppat.1002836. [DOI] [PMC free article] [PubMed] [Google Scholar]
- Marsh GA, Haining J, Hancock TJ, Robinson R, Foord AJ, Barr JA, Riddell S, Heine HG, White JR, Crameri G, Field HE, Wang LF, Middleton D (2011) Experimental infection of horses with Hendra virus/australia/horse/2008/redlands. Emerg Infect Dis 17(12):2232–2238. doi:10.3201/eid1712.111162 [DOI] [PMC free article] [PubMed]
- Marsh GA, Todd S, Foord A, Hansson E, Davies K, Wright L, Morrissy C, Halpin K, Middleton D, Field HE, Daniels P, Wang LF. Genome sequence conservation of Hendra virus isolates during spillover to horses, Australia. Emerg Infect Dis. 2010;16(11):1767–1769. doi: 10.3201/eid1611.100501. [DOI] [PMC free article] [PubMed] [Google Scholar]
- Mathieu C, Pohl C, Szecsi J, Trajkovic-Bodennec S, Devergnas S, Raoul H, Cosset FL, Gerlier D, Wild TF, Horvat B (2011) Nipah virus uses leukocytes for efficient dissemination within a host. J Virol 85(15):7863–7871. doi:JVI.00549-11 [pii] 10.1128/JVI.00549-11 [doi] [DOI] [PMC free article] [PubMed]
- McEachern JA, Bingham J, Crameri G, Green DJ, Hancock TJ, Middleton D, Feng YR, Broder CC, Wang LF, Bossart KN (2008) A recombinant subunit vaccine formulation protects against lethal Nipah virus challenge in cats. Vaccine 26(31):3842–3852. doi:S0264-410X(08)00572-0 [pii] 10.1016/j.vaccine.2008.05.016 [doi] [DOI] [PMC free article] [PubMed]
- McGavern DB, Kang SS (2011) Illuminating viral infections in the nervous system. Nat Rev Immunol 11(5):318–329. doi:nri2971 [pii] 10.1038/nri2971 [doi] [DOI] [PMC free article] [PubMed]
- McNabb L, Barr J, Crameri G, Juzva S, Riddell S, Colling A, Boyd V, Broder C, Wang LF, Lunt R. Henipavirus microsphere immuno-assays for detection of antibodies against Hendra virus. J Virol Methods. 2014;200:22–28. doi: 10.1016/j.jviromet.2014.01.010. [DOI] [PMC free article] [PubMed] [Google Scholar]
- Meulendyke KA, Wurth MA, McCann RO, Dutch RE. Endocytosis plays a critical role in proteolytic processing of the Hendra virus fusion protein. J Virol. 2005;79(20):12643–12649. doi: 10.1128/JVI.79.20.12643-12649.2005. [DOI] [PMC free article] [PubMed] [Google Scholar]
- Middleton D, Pallister J, Klein R, Feng YR, Haining J, Arkinstall R, Frazer L, Huang JA, Edwards N, Wareing M, Elhay M, Hashmi Z, Bingham J, Yamada M, Johnson D, White J, Foord A, Heine HG, Marsh GA, Broder CC, Wang LF. Hendra virus vaccine, a one health approach to protecting horse, human, and environmental health. Emerg Infect Dis. 2014;20(3):372–379. doi: 10.3201/eid2003.131159. [DOI] [PMC free article] [PubMed] [Google Scholar]
- Middleton DJ, Morrissy CJ, van der Heide BM, Russell GM, Braun MA, Westbury HA, Halpin K, Daniels PW. Experimental Nipah virus infection in pteropid bats (Pteropus poliocephalus) J Comp Pathol. 2007;136(4):266–272. doi: 10.1016/j.jcpa.2007.03.002. [DOI] [PubMed] [Google Scholar]
- Middleton DJ, Weingartl HM. Henipaviruses in their natural animal hosts. Curr Top Microbiol Immunol. 2012;359:105–121. doi: 10.1007/82_2012_210. [DOI] [PubMed] [Google Scholar]
- Middleton DJ, Westbury HA, Morrissy CJ, van der Heide BM, Russell GM, Braun MA, Hyatt AD. Experimental Nipah virus infection in pigs and cats. J Comp Pathol. 2002;126(2–3):124–136. doi: 10.1053/jcpa.2001.0532. [DOI] [PubMed] [Google Scholar]
- Mire CE, Geisbert JB, Agans KN, Feng YR, Fenton KA, Bossart KN, Yan L, Chan YP, Broder CC, Geisbert TW. A recombinant Hendra virus G glycoprotein subunit vaccine protects nonhuman primates against Hendra virus challenge. J Virol. 2014;88(9):4624–4631. doi: 10.1128/JVI.00005-14. [DOI] [PMC free article] [PubMed] [Google Scholar]
- Mire CE, Versteeg KM, Cross RW, Agans KN, Fenton KA, Whitt MA, Geisbert TW. Single injection recombinant vesicular stomatitis virus vaccines protect ferrets against lethal Nipah virus disease. Virol J. 2013;10:353. doi: 10.1186/1743-422X-10-353. [DOI] [PMC free article] [PubMed] [Google Scholar]
- Mohd Nor MN, Gan CH, Ong BL. Nipah virus infection of pigs in peninsular Malaysia. Rev Sci Tech. 2000;19(1):160–165. doi: 10.20506/rst.19.1.1202. [DOI] [PubMed] [Google Scholar]
- Mori I, Nishiyama Y, Yokochi T, Kimura Y. Olfactory transmission of neurotropic viruses. J Neurovirol. 2005;11(2):129–137. doi: 10.1080/13550280590922793. [DOI] [PubMed] [Google Scholar]
- Mungall BA, Middleton D, Crameri G, Bingham J, Halpin K, Russell G, Green D, McEachern J, Pritchard LI, Eaton BT, Wang LF, Bossart KN, Broder CC. Feline model of acute Nipah virus infection and protection with a soluble glycoprotein-based subunit vaccine. J Virol. 2006;80(24):12293–12302. doi: 10.1128/JVI.01619-06. [DOI] [PMC free article] [PubMed] [Google Scholar]
- Munster VJ, Prescott JB, Bushmaker T, Long D, Rosenke R, Thomas T, Scott D, Fischer ER, Feldmann H, de Wit E. Rapid Nipah virus entry into the central nervous system of hamsters via the olfactory route. Sci Rep. 2012;2:736. doi: 10.1038/srep00736. [DOI] [PMC free article] [PubMed] [Google Scholar]
- Murray K, Rogers R, Selvey L, Selleck P, Hyatt A, Gould A, Gleeson L, Hooper P, Westbury H. A novel morbillivirus pneumonia of horses and its transmission to humans. Emerg Infect Dis. 1995;1(1):31–33. doi: 10.3201/eid0101.950107. [DOI] [PMC free article] [PubMed] [Google Scholar]
- Murray K, Selleck P, Hooper P, Hyatt A, Gould A, Gleeson L, Westbury H, Hiley L, Selvey L, Rodwell B, et al. A morbillivirus that caused fatal disease in horses and humans. Science. 1995;268(5207):94–97. doi: 10.1126/science.7701348. [DOI] [PubMed] [Google Scholar]
- Negrete OA, Levroney EL, Aguilar HC, Bertolotti-Ciarlet A, Nazarian R, Tajyar S, Lee B. EphrinB2 is the entry receptor for Nipah virus, an emergent deadly paramyxovirus. Nature. 2005;436(7049):401–405. doi: 10.1038/nature03838. [DOI] [PubMed] [Google Scholar]
- Negrete OA, Wolf MC, Aguilar HC, Enterlein S, Wang W, Muhlberger E, Su SV, Bertolotti-Ciarlet A, Flick R, Lee B. Two key residues in ephrinB3 are critical for its use as an alternative receptor for Nipah virus. PLoS Pathog. 2006;2(2):e7. doi: 10.1371/journal.ppat.0020007. [DOI] [PMC free article] [PubMed] [Google Scholar]
- Nicodemus Christopher F, Berek Jonathan S. TLR3 agonists as immunotherapeutic agents. Immunotherapy. 2010;2(2):137–140. doi: 10.2217/imt.10.8. [DOI] [PubMed] [Google Scholar]
- O’Sullivan JD, Allworth AM, Paterson DL, Snow TM, Boots R, Gleeson LJ, Gould AR, Hyatt AD, Bradfield J. Fatal encephalitis due to novel paramyxovirus transmitted from horses. Lancet. 1997;349(9045):93–95. doi: 10.1016/S0140-6736(96)06162-4. [DOI] [PubMed] [Google Scholar]
- Obermeier B, Daneman R, Ransohoff RM. Development, maintenance and disruption of the blood-brain barrier. Nat Med. 2013;19(12):1584–1596. doi: 10.1038/nm.3407. [DOI] [PMC free article] [PubMed] [Google Scholar]
- Pager CT, Dutch RE. Cathepsin L is involved in proteolytic processing of the Hendra virus fusion protein. J Virol. 2005;79(20):12714–12720. doi: 10.1128/JVI.79.20.12714-12720.2005. [DOI] [PMC free article] [PubMed] [Google Scholar]
- Pager CT, Wurth MA, Dutch RE. Subcellular localization and calcium and pH requirements for proteolytic processing of the Hendra virus fusion protein. J Virol. 2004;78(17):9154–9163. doi: 10.1128/JVI.78.17.9154-9163.2004. [DOI] [PMC free article] [PubMed] [Google Scholar]
- Pallister J, Middleton D, Crameri G, Yamada M, Klein R, Hancock TJ, Foord A, Shiell B, Michalski W, Broder CC, Wang LF (2009) Chloroquine administration does not prevent Nipah virus infection and disease in ferrets. J Virol 83(22):11979–11982. doi:JVI.01847-09 [pii] 10.1128/JVI.01847-09 [doi] [DOI] [PMC free article] [PubMed]
- Pallister J, Middleton D, Wang LF, Klein R, Haining J, Robinson R, Yamada M, White J, Payne J, Feng YR, Chan YP, Broder CC. A recombinant Hendra virus G glycoprotein-based subunit vaccine protects ferrets from lethal Hendra virus challenge. Vaccine. 2011;29(34):5623–5630. doi: 10.1016/j.vaccine.2011.06.015. [DOI] [PMC free article] [PubMed] [Google Scholar]
- Pasquale EB (2008) Eph-ephrin bidirectional signaling in physiology and disease. Cell 133(1):38–52. doi:S0092-8674(08)00386-3 [pii] 10.1016/j.cell.2008.03.011 [doi] [DOI] [PubMed]
- Pasquale EB (2010) Eph receptors and ephrins in cancer: bidirectional signalling and beyond. Nat Rev Cancer 10(3):165–180. doi:nrc2806 [pii] 10.1038/nrc2806 [doi] [DOI] [PMC free article] [PubMed]
- Patch JR, Crameri G, Wang LF, Eaton BT, Broder CC. Quantitative analysis of Nipah virus proteins released as virus-like particles reveals central role for the matrix protein. Virol J. 2007;4(1):1. doi: 10.1186/1743-422X-4-1. [DOI] [PMC free article] [PubMed] [Google Scholar]
- Patch JR, Han Z, McCarthy SE, Yan L, Wang LF, Harty RN, Broder CC. The YPLGVG sequence of the Nipah virus matrix protein is required for budding. Virol J. 2008;5(1):137. doi: 10.1186/1743-422X-5-137. [DOI] [PMC free article] [PubMed] [Google Scholar]
- Paton NI, Leo YS, Zaki SR, Auchus AP, Lee KE, Ling AE, Chew SK, Ang B, Rollin PE, Umapathi T, Sng I, Lee CC, Lim E, Ksiazek TG. Outbreak of Nipah-virus infection among abattoir workers in Singapore. Lancet. 1999;354(9186):1253–1256. doi: 10.1016/S0140-6736(99)04379-2. [DOI] [PubMed] [Google Scholar]
- Peel AJ, Baker KS, Crameri G, Barr JA, Hayman DT, Wright E, Broder CC, Fernandez-Loras A, Fooks AR, Wang LF, Cunningham AA, Wood JL. Henipavirus neutralising antibodies in an isolated island population of African fruit bats. PLoS One. 2012;7(1):e30346. doi: 10.1371/journal.pone.0030346. [DOI] [PMC free article] [PubMed] [Google Scholar]
- Peel AJ, Sargan DR, Baker KS, Hayman DT, Barr JA, Crameri G, Suu-Ire R, Broder CC, Lembo T, Wang LF, Fooks AR, Rossiter SJ, Wood JL, Cunningham AA. Continent-wide panmixia of an African fruit bat facilitates transmission of potentially zoonotic viruses. Nat Commun. 2013;4:2770. doi: 10.1038/ncomms3770. [DOI] [PMC free article] [PubMed] [Google Scholar]
- Pernet O, Schneider BS, Beaty SM, LeBreton M, Yun TE, Park A, Zachariah TT, Bowden TA, Hitchens P, Ramirez CM, Daszak P, Mazet J, Freiberg AN, Wolfe ND, Lee B. Evidence for henipavirus spillover into human populations in Africa. Nat Commun. 2014;5:5342. doi: 10.1038/ncomms6342. [DOI] [PMC free article] [PubMed] [Google Scholar]
- Playford EG, McCall B, Smith G, Slinko V, Allen G, Smith I, Moore F, Taylor C, Kung YH, Field H. Human Hendra virus encephalitis associated with equine outbreak, Australia, 2008. Emerg Infect Dis. 2010;16(2):219–223. doi: 10.3201/eid1602.090552. [DOI] [PMC free article] [PubMed] [Google Scholar]
- Ploquin A, Szecsi J, Mathieu C, Guillaume V, Barateau V, Ong KC, Wong KT, Cosset FL, Horvat B, Salvetti A. Protection against henipavirus infection by use of recombinant adeno-associated virus-vector vaccines. J Infect Dis. 2013;207(3):469–478. doi: 10.1093/infdis/jis699. [DOI] [PMC free article] [PubMed] [Google Scholar]
- Plowright RK, Foley P, Field HE, Dobson AP, Foley JE, Eby P, Daszak P. Urban habituation, ecological connectivity and epidemic dampening: the emergence of Hendra virus from flying foxes (Pteropus spp.) Proc Biol Sci. 2011;278(1725):3703–3712. doi: 10.1098/rspb.2011.0522. [DOI] [PMC free article] [PubMed] [Google Scholar]
- Poliakov A, Cotrina M, Wilkinson DG. Diverse roles of eph receptors and ephrins in the regulation of cell migration and tissue assembly. Dev Cell. 2004;7(4):465–480. doi: 10.1016/j.devcel.2004.09.006. [DOI] [PubMed] [Google Scholar]
- Porotto M, Doctor L, Carta P, Fornabaio M, Greengard O, Kellogg GE, Moscona A (2006) Inhibition of Hendra virus fusion. J Virol 80 (19):9837-9849. doi:80/19/9837 [pii] 10.1128/JVI.00736-06 [doi] [DOI] [PMC free article] [PubMed]
- Porotto M, Orefice G, Yokoyama CC, Mungall BA, Realubit R, Sganga ML, Aljofan M, Whitt M, Glickman F, Moscona A (2009) Simulating henipavirus multicycle replication in a screening assay leads to identification of a promising candidate for therapy. J Virol 83(10):5148–5155. doi:JVI.00164-09 [pii] 10.1128/JVI.00164-09 [doi] [DOI] [PMC free article] [PubMed]
- Porotto Matteo, Rockx Barry, Yokoyama Christine C., Talekar Aparna, DeVito Ilaria, Palermo Laura M., Liu Jie, Cortese Riccardo, Lu Min, Feldmann Heinz, Pessi Antonello, Moscona Anne. Inhibition of Nipah Virus Infection In Vivo: Targeting an Early Stage of Paramyxovirus Fusion Activation during Viral Entry. PLoS Pathogens. 2010;6(10):e1001168. doi: 10.1371/journal.ppat.1001168. [DOI] [PMC free article] [PubMed] [Google Scholar]
- Pulliam JR, Epstein JH, Dushoff J, Rahman SA, Bunning M, Jamaluddin AA, Hyatt AD, Field HE, Dobson AP, Daszak P. Agricultural intensification, priming for persistence and the emergence of Nipah virus: a lethal bat-borne zoonosis. J R Soc Interface. 2012;9(66):89–101. doi: 10.1098/rsif.2011.0223. [DOI] [PMC free article] [PubMed] [Google Scholar]
- Queensland Government (2013) World-first Hendra treatment one step closer. http://statements.qld.gov.au/Statement/2013/10/31/worldfirst-hendra-treatment-one-step-closer
- Rahman MA, Hossain MJ, Sultana S, Homaira N, Khan SU, Rahman M, Gurley ES, Rollin PE, Lo MK, Comer JA, Lowe L, Rota PA, Ksiazek TG, Kenah E, Sharker Y, Luby SP. Date palm sap linked to Nipah virus outbreak in Bangladesh, 2008. Vector Borne Zoonotic Dis. 2012;12(1):65–72. doi: 10.1089/vbz.2011.0656. [DOI] [PubMed] [Google Scholar]
- Rahman SA, Hassan SS, Olival KJ, Mohamed M, Chang LY, Hassan L, Saad NM, Shohaimi SA, Mamat ZC, Naim MS, Epstein JH, Suri AS, Field HE, Daszak P. Characterization of Nipah virus from naturally infected Pteropus vampyrus bats, Malaysia. Emerg Infect Dis. 2010;16(12):1990–1993. doi: 10.3201/eid1612.091790. [DOI] [PMC free article] [PubMed] [Google Scholar]
- Ramirez-Herrera MA, Mendoza-Magana ML, Duenas SH. Experimental infection of swine and cat central nervous systems by the pig paramyxovirus of the blue eye disease. Zentralbl Veterinarmed B. 1997;44(8):461–476. doi: 10.1111/j.1439-0450.1997.tb00997.x. [DOI] [PubMed] [Google Scholar]
- Ransohoff RM, Kivisakk P, Kidd G. Three or more routes for leukocyte migration into the central nervous system. Nat Rev Immunol. 2003;3(7):569–581. doi: 10.1038/nri1130. [DOI] [PubMed] [Google Scholar]
- Reynes JM, Counor D, Ong S, Faure C, Seng V, Molia S, Walston J, Georges-Courbot MC, Deubel V, Sarthou JL. Nipah virus in Lyle’s flying foxes, Cambodia. Emerg Infect Dis. 2005;11(7):1042–1047. doi: 10.3201/eid1107.041350. [DOI] [PMC free article] [PubMed] [Google Scholar]
- Rockx B, Bossart KN, Feldmann F, Geisbert JB, Hickey AC, Brining D, Callison J, Safronetz D, Marzi A, Kercher L, Long D, Broder CC, Feldmann H, Geisbert TW (2010) A novel model of lethal Hendra virus infection in African green monkeys and the effectiveness of ribavirin treatment. J Virol 84(19):9831–9839. doi:JVI.01163-10 [pii] 10.1128/JVI.01163-10 [doi] [DOI] [PMC free article] [PubMed]
- Rockx B, Brining D, Kramer J, Callison J, Ebihara H, Mansfield K, Feldmann H. Clinical outcome of henipavirus infection in hamsters is determined by the route and dose of infection. J Virol. 2011;85(15):7658–7671. doi: 10.1128/JVI.00473-11. [DOI] [PMC free article] [PubMed] [Google Scholar]
- Rogers RJ, Douglas IC, Baldock FC, Glanville RJ, Seppanen KT, Gleeson LJ, Selleck PN, Dunn KJ. Investigation of a second focus of equine morbillivirus infection in coastal Queensland. Aust Vet J. 1996;74(3):243–244. doi: 10.1111/j.1751-0813.1996.tb15413.x. [DOI] [PubMed] [Google Scholar]
- Rudd PA, Cattaneo R, von Messling V. Canine distemper virus uses both the anterograde and the hematogenous pathway for neuroinvasion. J Virol. 2006;80(19):9361–9370. doi: 10.1128/JVI.01034-06. [DOI] [PMC free article] [PubMed] [Google Scholar]
- Sarji SA, Abdullah BJ, Goh KJ, Tan CT, Wong KT. MR imaging features of Nipah encephalitis. Am J Roentgenol. 2000;175(2):437–442. doi: 10.2214/ajr.175.2.1750437. [DOI] [PubMed] [Google Scholar]
- Sejvar JJ, Hossain J, Saha SK, Gurley ES, Banu S, Hamadani JD, Faiz MA, Siddiqui FM, Mohammad QD, Mollah AH, Uddin R, Alam R, Rahman R, Tan CT, Bellini W, Rota P, Breiman RF, Luby SP. Long-term neurological and functional outcome in Nipah virus infection. Ann Neurol. 2007;62(3):235–262. doi: 10.1002/ana.21178. [DOI] [PubMed] [Google Scholar]
- Selvey LA, Wells RM, McCormack JG, Ansford AJ, Murray K, Rogers RJ, Lavercombe PS, Selleck P, Sheridan JW. Infection of humans and horses by a newly described morbillivirus [see comments] Med J Aust. 1995;162(12):642–645. doi: 10.5694/j.1326-5377.1995.tb126050.x. [DOI] [PubMed] [Google Scholar]
- Sendow I, Ratnawati A, Taylor T, Adjid RM, Saepulloh M, Barr J, Wong F, Daniels P, Field H. Nipah virus in the fruit bat Pteropus vampyrus in Sumatera, Indonesia. PLoS One. 2013;8(7):e69544. doi: 10.1371/journal.pone.0069544. [DOI] [PMC free article] [PubMed] [Google Scholar]
- Shaw ML. Henipaviruses employ a multifaceted approach to evade the antiviral interferon response. Viruses. 2009;1(3):1190–1203. doi: 10.3390/v1031190. [DOI] [PMC free article] [PubMed] [Google Scholar]
- Sidwell RW, Huffman JH, Khare GP, Allen LB, Witkowski JT, Robins RK. Broad-spectrum antiviral activity of Virazole: 1-beta-D-ribofuranosyl-1,2,4-triazole-3-carboxamide. Science. 1972;177(50):705–706. doi: 10.1126/science.177.4050.705. [DOI] [PubMed] [Google Scholar]
- Snell NJ. Ribavirin—current status of a broad spectrum antiviral agent. Expert Opin Pharmacother. 2001;2(8):1317–1324. doi: 10.1517/14656566.2.8.1317. [DOI] [PubMed] [Google Scholar]
- Snell NJ. Ribavirin therapy for Nipah virus infection. J Virol. 2004;78(18):10211. doi: 10.1128/JVI.78.18.10211.2004. [DOI] [PMC free article] [PubMed] [Google Scholar]
- Sohayati AR, Hassan L, Sharifah SH, Lazarus K, Zaini CM, Epstein JH, Shamsyul Naim N, Field HE, Arshad SS, Abdul Aziz J, Daszak P (2011) Evidence for Nipah virus recrudescence and serological patterns of captive Pteropus vampyrus. Epidemiol Infect 139(10):1570–1579. doi:S0950268811000550 [pii] 10.1017/S0950268811000550 [doi] [DOI] [PMC free article] [PubMed]
- Stachowiak B, Weingartl HM. Nipah virus infects specific subsets of porcine peripheral blood mononuclear cells. PLoS One. 2012;7(1):e30855. doi: 10.1371/journal.pone.0030855. [DOI] [PMC free article] [PubMed] [Google Scholar]
- Steffen DL, Xu K, Nikolov DB, Broder CC. Henipavirus mediated membrane fusion, virus entry and targeted therapeutics. Viruses. 2012;4(2):280–308. doi: 10.3390/v4020280. [DOI] [PMC free article] [PubMed] [Google Scholar]
- Swanson PA, 2nd, McGavern DB. Viral diseases of the central nervous system. Curr Opin Virol. 2015;11C:44–54. doi: 10.1016/j.coviro.2014.12.009. [DOI] [PMC free article] [PubMed] [Google Scholar]
- Tan CT, Goh KJ, Wong KT, Sarji SA, Chua KB, Chew NK, Murugasu P, Loh YL, Chong HT, Tan KS, Thayaparan T, Kumar S, Jusoh MR. Relapsed and late-onset Nipah encephalitis. Ann Neurol. 2002;51(6):703–708. doi: 10.1002/ana.10212. [DOI] [PubMed] [Google Scholar]
- Tan CT, Wong KT. Nipah encephalitis outbreak in Malaysia. Ann Acad Med Singapore. 2003;32(1):112–117. [PubMed] [Google Scholar]
- Tanimura N, Imada T, Kashiwazaki Y, Sharifah SH. Distribution of viral antigens and development of lesions in chicken embryos inoculated with Nipah virus. J Comp Pathol. 2006;135(2–3):74–82. doi: 10.1016/j.jcpa.2006.05.001. [DOI] [PubMed] [Google Scholar]
- Taylor C, Playford EG, McBride WJ, McMahon J, Warrilow D. No evidence of prolonged Hendra virus shedding by 2 patients, Australia. Emerg Infect Dis. 2012;18(12):2025–2027. doi: 10.3201/eid1812.120722. [DOI] [PMC free article] [PubMed] [Google Scholar]
- Vogt C, Eickmann M, Diederich S, Moll M, Maisner A. Endocytosis of the Nipah virus glycoproteins. J Virol. 2005;79(6):3865–3872. doi: 10.1128/JVI.79.6.3865-3872.2005. [DOI] [PMC free article] [PubMed] [Google Scholar]
- Wacharapluesadee S, Boongird K, Wanghongsa S, Ratanasetyuth N, Supavonwong P, Saengsen D, Gongal GN, Hemachudha T. A longitudinal study of the prevalence of Nipah virus in Pteropus lylei bats in Thailand: evidence for seasonal preference in disease transmission. Vector Borne Zoonotic Dis. 2010;10(2):183–190. doi: 10.1089/vbz.2008.0105. [DOI] [PubMed] [Google Scholar]
- Wacharapluesadee S, Lumlertdacha B, Boongird K, Wanghongsa S, Chanhome L, Rollin P, Stockton P, Rupprecht CE, Ksiazek TG, Hemachudha T. Bat Nipah virus, Thailand. Emerg Infect Dis. 2005;11(12):1949–1951. doi: 10.3201/eid1112.050613. [DOI] [PMC free article] [PubMed] [Google Scholar]
- Walpita Pramila, Barr Jennifer, Sherman Michael, Basler Christopher F., Wang Linfa. Vaccine Potential of Nipah Virus-Like Particles. PLoS ONE. 2011;6(4):e18437. doi: 10.1371/journal.pone.0018437. [DOI] [PMC free article] [PubMed] [Google Scholar]
- Wang HH, Kung NY, Grant WE, Scanlan JC, Field HE. Recrudescent infection supports Hendra virus persistence in Australian Flying-Fox populations. PLoS One. 2013;8(11):e80430. doi: 10.1371/journal.pone.0080430. [DOI] [PMC free article] [PubMed] [Google Scholar]
- Wang L-F, Mackenzie JS, Broder CC. Henipaviruses. In: Knipe DM, Howley PM, editors. Fields virology. Philadelphia: Lippincott Williams & Wilkins; 2013. pp. 1070–1085. [Google Scholar]
- Wang L, Harcourt BH, Yu M, Tamin A, Rota PA, Bellini WJ, Eaton BT. Molecular biology of Hendra and Nipah viruses. Microbes Infect. 2001;3(4):279–287. doi: 10.1016/S1286-4579(01)01381-8. [DOI] [PubMed] [Google Scholar]
- Wang LF, Yu M, Hansson E, Pritchard LI, Shiell B, Michalski WP, Eaton BT. The exceptionally large genome of Hendra virus: support for creation of a new genus within the family Paramyxoviridae. J Virol. 2000;74(21):9972–9979. doi: 10.1128/JVI.74.21.9972-9979.2000. [DOI] [PMC free article] [PubMed] [Google Scholar]
- Wang X, Ge J, Hu S, Wang Q, Wen Z, Chen H, Bu Z. Efficacy of DNA immunization with F and G protein genes of Nipah virus. Ann N Y Acad Sci. 2006;1081:243–245. doi: 10.1196/annals.1373.029. [DOI] [PubMed] [Google Scholar]
- Ward MP, Black PF, Childs AJ, Baldock FC, Webster WR, Rodwell BJ, Brouwer SL. Negative findings from serological studies of equine morbillivirus in the Queensland horse population. Aust Vet J. 1996;74(3):241–243. doi: 10.1111/j.1751-0813.1996.tb15412.x. [DOI] [PubMed] [Google Scholar]
- Weingartl H, Czub S, Copps J, Berhane Y, Middleton D, Marszal P, Gren J, Smith G, Ganske S, Manning L, Czub M. Invasion of the central nervous system in a porcine host by Nipah virus. J Virol. 2005;79(12):7528–7534. doi: 10.1128/JVI.79.12.7528-7534.2005. [DOI] [PMC free article] [PubMed] [Google Scholar]
- Weingartl HM, Berhane Y, Caswell JL, Loosmore S, Audonnet JC, Roth JA, Czub M. Recombinant Nipah virus vaccines protect pigs against challenge. J Virol. 2006;80(16):7929–7938. doi: 10.1128/JVI.00263-06. [DOI] [PMC free article] [PubMed] [Google Scholar]
- Williamson MM, Hooper PT, Selleck PW, Gleeson LJ, Daniels PW, Westbury HA, Murray PK. Transmission studies of Hendra virus (equine morbillivirus) in fruit bats, horses and cats. Aust Vet J. 1998;76(12):813–818. doi: 10.1111/j.1751-0813.1998.tb12335.x. [DOI] [PubMed] [Google Scholar]
- Williamson MM, Hooper PT, Selleck PW, Westbury HA, Slocombe RF. Experimental Hendra virus infection in pregnant guinea-pigs and fruit Bats (Pteropus poliocephalus) J Comp Pathol. 2000;122(2–3):201–207. doi: 10.1053/jcpa.1999.0364. [DOI] [PubMed] [Google Scholar]
- Williamson MM, Hooper PT, Selleck PW, Westbury HA, Slocombe RF. A guinea-pig model of Hendra virus encephalitis. J Comp Pathol. 2001;124(4):273–279. doi: 10.1053/jcpa.2001.0464. [DOI] [PubMed] [Google Scholar]
- Wong KT. Emerging epidemic viral encephalitides with a special focus on henipaviruses. Acta Neuropathol. 2010;120(3):317–325. doi: 10.1007/s00401-010-0720-z. [DOI] [PMC free article] [PubMed] [Google Scholar]
- Wong KT, Grosjean I, Brisson C, Blanquier B, Fevre-Montange M, Bernard A, Loth P, Georges-Courbot MC, Chevallier M, Akaoka H, Marianneau P, Lam SK, Wild TF, Deubel V. A golden hamster model for human acute Nipah virus infection. Am J Pathol. 2003;163(5):2127–2137. doi: 10.1016/S0002-9440(10)63569-9. [DOI] [PMC free article] [PubMed] [Google Scholar]
- Wong KT, Ong KC. Pathology of acute henipavirus infection in humans and animals. Patholog Res Int. 2011;2011:567248. doi: 10.4061/2011/567248. [DOI] [PMC free article] [PubMed] [Google Scholar]
- Wong KT, Robertson T, Ong BB, Chong JW, Yaiw KC, Wang LF, Ansford AJ, Tannenberg A (2009) Human Hendra virus infection causes acute and relapsing encephalitis. Neuropathol Appl Neurobiol 35(3):296–305. doi:NAN991 [pii] 10.1111/j.1365-2990.2008.00991.x [doi] [DOI] [PubMed]
- Wong KT, Shieh WJ, Kumar S, Norain K, Abdullah W, Guarner J, Goldsmith CS, Chua KB, Lam SK, Tan CT, Goh KJ, Chong HT, Jusoh R, Rollin PE, Ksiazek TG, Zaki SR. Nipah virus infection: pathology and pathogenesis of an emerging paramyxoviral zoonosis. Am J Pathol. 2002;161(6):2153–2167. doi: 10.1016/S0002-9440(10)64493-8. [DOI] [PMC free article] [PubMed] [Google Scholar]
- Wong KT, Tan CT. Clinical and pathological manifestations of human henipavirus infection. Curr Top Microbiol Immunol. 2012;359:95–104. doi: 10.1007/82_2012_205. [DOI] [PubMed] [Google Scholar]
- Wong SC, Ooi MH, Wong MN, Tio PH, Solomon T, Cardosa MJ. Late presentation of Nipah virus encephalitis and kinetics of the humoral immune response. J Neurol Neurosurg Psychiatry. 2001;71(4):552–554. doi: 10.1136/jnnp.71.4.552. [DOI] [PMC free article] [PubMed] [Google Scholar]
- Wu Z, Yang L, Yang F, Ren X, Jiang J, Dong J, Sun L, Zhu Y, Zhou H, Jin Q. Novel Henipa-like virus, Mojiang Paramyxovirus, in rats, China, 2012. Emerg Infect Dis. 2014;20(6):1064–1066. doi: 10.3201/eid2006.131022. [DOI] [PMC free article] [PubMed] [Google Scholar]
- Xu K, Chan YP, Rajashankar KR, Khetawat D, Yan L, Kolev MV, Broder CC, Nikolov DB. New insights into the Hendra virus attachment and entry process from structures of the virus G glycoprotein and its complex with ephrin-B2. PLoS One. 2012;7(11):e48742. doi: 10.1371/journal.pone.0048742. [DOI] [PMC free article] [PubMed] [Google Scholar]
- Xu K, Rajashankar KR, Chan YP, Himanen JP, Broder CC, Nikolov DB (2008) Host cell recognition by the henipaviruses: crystal structures of the Nipah G attachment glycoprotein and its complex with ephrin-B3. Proc Natl Acad Sci U S A 105(29):9953–9958. doi:0804797105 [pii] 10.1073/pnas.0804797105 [doi] [DOI] [PMC free article] [PubMed]
- Xu K, Rockx B, Xie Y, Debuysscher BL, Fusco DL, Zhu Z, Chan YP, Xu Y, Luu T, Cer RZ, Feldmann H, Mokashi V, Dimitrov DS, Bishop-Lilly KA, Broder CC, Nikolov DB. Crystal structure of the Hendra virus attachment g glycoprotein bound to a potent cross-reactive neutralizing human monoclonal antibody. PLoS Pathog. 2013;9(10):e1003684. doi: 10.1371/journal.ppat.1003684. [DOI] [PMC free article] [PubMed] [Google Scholar]
- Yadav PD, Raut CG, Shete AM, Mishra AC, Towner JS, Nichol ST, Mourya DT. Detection of Nipah virus RNA in fruit bat (Pteropus giganteus) from India. Am J Trop Med Hyg. 2012;87(3):576–578. doi: 10.4269/ajtmh.2012.11-0416. [DOI] [PMC free article] [PubMed] [Google Scholar]
- Yob JM, Field H, Rashdi AM, Morrissy C, van der Heide B, Rota P, bin Adzhar A, White J, Daniels P, Jamaluddin A, Ksiazek T. Nipah virus infection in bats (order Chiroptera) in peninsular Malaysia. Emerg Infect Dis. 2001;7(3):439–441. doi: 10.3201/eid0703.017312. [DOI] [PMC free article] [PubMed] [Google Scholar]
- Yoneda M, Georges-Courbot MC, Ikeda F, Ishii M, Nagata N, Jacquot F, Raoul H, Sato H, Kai C. Recombinant measles virus vaccine expressing the Nipah virus glycoprotein protects against lethal Nipah virus challenge. PLoS One. 2013;8(3):e58414. doi: 10.1371/journal.pone.0058414. [DOI] [PMC free article] [PubMed] [Google Scholar]
- Young PL, Halpin K, Selleck PW, Field H, Gravel JL, Kelly MA, Mackenzie JS. Serologic evidence for the presence in Pteropus bats of a paramyxovirus related to equine morbillivirus. Emerg Infect Dis. 1996;2(3):239–240. doi: 10.3201/eid0203.960315. [DOI] [PMC free article] [PubMed] [Google Scholar]
- Zhu Zhongyu, Bossart Katharine N., Bishop Kimberly A., Crameri Gary, Dimitrov Antony S., McEachern Jennifer A., Feng Yang, Middleton Deborah, Wang Lin‐Fa, Broder Christopher C., Dimitrov Dimiter S. Exceptionally Potent Cross‐Reactive Neutralization of Nipah and Hendra Viruses by a Human Monoclonal Antibody. The Journal of Infectious Diseases. 2008;197(6):846–853. doi: 10.1086/528801. [DOI] [PMC free article] [PubMed] [Google Scholar]
- Zhu Z, Dimitrov AS, Bossart KN, Crameri G, Bishop KA, Choudhry V, Mungall BA, Feng YR, Choudhary A, Zhang MY, Feng Y, Wang LF, Xiao X, Eaton BT, Broder CC, Dimitrov DS. Potent neutralization of Hendra and Nipah viruses by human monoclonal antibodies. J Virol. 2006;80(2):891–899. doi: 10.1128/JVI.80.2.891-899.2006. [DOI] [PMC free article] [PubMed] [Google Scholar]
