Abstract
Durch die Fortschritte der Perinatalmedizin ist die neonatale Mortalität (Anzahl der in den ersten 28 Lebenstagen verstorbenen Neugeborenen pro 1.000 Lebendgeborene) in Deutschland zwischen 1970 und 1991 von 17 auf 4/1.000 gesunken und seither auf diesem geringen Niveau stabil. Ungefähr 6,5% aller Geburten erfolgen vor der vollendeten 37. Schwangerschaftswoche; etwa 1,5% der Kinder sind sehr kleine Frühgeborene (Geburtsgewicht <1.500 g, Gestationsalter <32 vollendete Gestationswochen). Die Unreife von Organsystemen und -funktionen können bei sehr unreifen Frühgeborenen postnatal zu einer Reihe von akuten Erkrankungen und chronischen pulmonalen und neurologischen Folgeschäden führen: Atemnotsyndrom, bronchopulmonale Dysplasie, intrazerebrale Blutung, periventrikuläre Leukomalazie, persistierender Ductus arteriosus, Apnoe, Bradykardie, nekrotisierende Enterokolitis, nosokomiale Sepsis, Frühgeborenenretinopathie und psychomotorische Retardierung. Die Frühgeburtlichkeit trägt als wesentlicher Faktor zur peri- und neonatalen Sterblichkeit bei.
Definitionen
Für die Qualitätskontrolle und die Vergleichbarkeit von Therapieergebnissen in der Neugeborenenmedizin sind einheitliche und verbindliche Definitionen von Krankheitsbildern und Zuständen erstellt worden. Diese Einteilungen sind von sehr großer klinischer Bedeutung, da sie Neugeborene mit unterschiedlichen Erkrankungsrisiken definieren. So machen z. B. die Neugeborenen mit einem Geburtsgewicht <1.500 g nur 0,8–1,5% aller Lebendgeborenen aus, verursachen aber bis zu 65% der neonatalen Mortalität. Neugeborene werden nach dem Gestationsalter, dem Geburtsgewicht und dem Geburtsgewicht bezogen auf das Gestationsalter unterteilt (Abb. 4.1 und Tab. 4.1).

| Einteilung nach Gestationsalter (GA) | Frühgeborenes | GA <37 Wochen (<260 Tage) |
| Termingeborenes | GA 37–42 Wochen (260–293 Tage) | |
| Übertragenes Neugeborenes | GA >42 Wochen (>293 Tage) | |
| Einteilung nach Geburtsgewicht | Geburtsgewicht <2.500 g | „low birth weight infant“ |
| Geburtsgewicht <1.500 g | „very low birth weight infant“ | |
| Geburtsgewicht <1.000 g | „extremely low birth weight infant“ | |
| Einteilung nach Geburtsgewicht bezogen auf das Gestationsalter | Hypotrophes Neugeborenes („small for gestational age“, SGA) | Geburtsgewicht <10. Perzentile |
| Eutrophes Neugeborenes („appropriate for gestational age“, AGA) | Geburtsgewicht 10.–90. Perzentile | |
| Hypertrophes Neugeborenes („large for gestational age“, LGA) | Geburtsgewicht >90. Perzentile |
Die Einteilung nach dem Gestationsalter (d. h. Dauer der Schwangerschaft vom 1. Tag der letzten Menstruation bis zur Geburt) beschreibt den Grad der Organreife. Das Gestationsalter kann aber nur selten genau gemessen werden, sondern ist eine anamnestische Angabe mit einer gewissen Ungenauigkeit. Die Einteilung nach dem Geburtsgewicht, das eine messbare Größe ist, wird in den USA häufig benutzt. Dadurch werden allerdings unter dem Begriff „low birth-weight infant“ hypotrophe Neugeborene und Frühgeborene, die beide deutlich unterschiedliche Krankheitsprofile haben, zusammengefasst. Die Einteilung nach dem Geburtsgewicht bezogen auf das Gestationsalter ermöglicht die Unterscheidung von hypotrophen, eutrophen und hypertrophen Neugeborenen.
Die neonatale Mortalität (Anzahl der in den ersten 28 Lebenstagen verstorbenen Neugeborenen pro 1.000 Lebendgeborene) als Maß für die Qualität der Neugeborenenversorgung ist in Deutschland zwischen 1970 und 1991 von 17 auf 4/1.000 gesunken und seither auf diesem geringen Niveau stabil.
Postnatale Adaptation
Die Geburt ist die dramatischste Änderung der Lebensumstände im menschlichen Leben. Innerhalb weniger Minuten finden zahlreiche physiologische Veränderungen, das Kennenlernen der Eltern und das Erleben einer neuen Sinneswelt statt (Tab. 4.2). Die Aufgabe des Kinderarztes ist es, zusammen mit dem Geburtshelfer, die postnatale Adaptation zu beobachten und wenn nötig zu unterstützen, ohne durch zu viele Maßnahmen diesen für das Neugeborene und seine Eltern wichtigen Augenblick zu stören.
| Organ | Intrauterin | Extrauterin |
|---|---|---|
| Lungen | Flüssigkeitsgefüllt, hoher pulmonaler Gefäßwiderstand, sporadische Atemexkursionen | Luftgefüllt, Abfall des pulmonalen Widerstands, regelmäßige Atemzüge |
| Kreislauf | 10% des Herzminutenvolumens durch die Lunge, Rechts-links-Shunt über Foramen ovale und Ductus arteriosus | 100% des Herzminutenvolumens durch die Lunge, Foramen ovale und Ductus arteriosus verschlossen |
| Thermoregulation | Keine Thermoregulation erforderlich | Wärmeproduktion und Minimierung von Wärmeverlusten |
| Ernährung | Kontinuierlich über Plazenta | Intermittierend enteral (Saugen, Schlucken, Peristaltik, Verdauung) |
| Niere | Produktion von Fruchtwasser | Regulation von Wasser-Elektrolyt- und Säure-Basen-Haushalt |
| Sinneswelt | Dunkel, gedämpfte Geräusche, gleichmäßig warm, „schwerelos“ | Hell, laut, Temperaturwechsel, Schwerkraft |
Lunge
Intrauterin
Die Lunge ist intrauterin ein flüssigkeitsgefülltes Organ, in dem kein Gasaustausch stattfindet. Es besteht ein ständiger Einstrom von Flüssigkeit aus dem Lungengewebe in den sich entwickelnden Bronchialbaum und von dort über die Trachea ins Fruchtwasser. Ab der 20. Schwangerschaftswoche lassen sich sporadische Thoraxbewegungen feststellen, mit denen Flüssigkeit ein- und ausgeatmet wird. Die Surfactantproduktion durch die Typ-II-Pneumozyten nimmt ab 24 Schwangerschaftswochen deutlich zu.
Cave
Eine deutlich verminderte Flüssigkeitsfüllung der fetalen Lunge bei Ahydramnie oder persistierendem vorzeitigen Blasensprung kann in der vulnerablen Phase der Lungenentwicklung zu einer schweren Lungenhypoplasie führen.
Fehlende intrauterine Atemexkursionen bei neuromuskulären Erkrankungen der Feten oder schweren Thoraxdysyplasien können ebenfalls das normale Lungenwachstum nachhaltig beeinträchtigen.
Postnatal
Innerhalb weniger Atemzüge muss sich die Lunge mit Luft füllen, durchblutet werden und eine regelmäßige Atmung einsetzen, damit nach der Durchtrennung der Nabelschnur kein Sauerstoffmangel entsteht.
Adaptationsvorgänge
Bereits einige Tage vor der Geburt beginnt sich der Flüssigkeitsstrom in der Lunge umzukehren, anstelle des Flüssigkeitseinstroms in die Alveolen beginnt eine Flüssigkeitsresorption. Bereits mit dem ersten Atemzug, bei dem das Neugeborene einen Sog von bis zu 100 cmH2O aufbringt, werden große Teile der Lunge mit Luft gefüllt, der verbleibende Flüssigkeitsfilm an der Alveolarwand wird im Lauf der nächsten Stunden resorbiert. Verzögert sich diese Flüssigkeitsresorption, so kommt es zur transienten Tachypnoe des Neugeborenen. Der in der Lunge vorhandene Surfactant reicht beim Reifgeborenen aus, um die an der Grenzfläche Luft-Flüssigkeit auftretende Oberflächenspannung so zu verringern, dass es nicht zu einem Kollaps der Alveolen kommt. Der initiale paO2-Abfall und paCO2-Anstieg, afferente Reize durch die Lungendehnung und Kältereize setzen die Atemexkursionen in Gang und führen zum kontinuierlichen postnatalen Atemtyp.
Herz und Kreislauf
Intrauterin
Zum Blutkreislauf des Feten gehören die Nabelschnurgefäße und der fetale Teil der Plazenta. Deshalb ist das Blutvolumen des Feten doppelt so groß wie das des Neugeborenen. Nur 10% des Bluts fließen durch die Lunge, da der Widerstand im Pulmonalkreislauf hoch ist. 90% des Bluts im rechten Herzen gelangen an der Lunge vorbei über das offene Foramen ovale vom rechten in den linken Vorhof oder über den Ductus arteriosus aus der A. pulmonalis in die Aorta (Abb. 4.2).

Postnatal
Foramen ovale und Ductus arteriosus sind verschlossen. Das gesamte Herzzeitvolumen fließt durch die Lunge.
Adaptationsvorgänge
Die Belüftung der Lunge induziert eine Vasodilatation im Pulmonalkreislauf. Die Erhöhung des paO2 von 30 auf 60–99 Torr im Blut, das den Ductus arteriosus durchströmt, führt zu Konstriktion und funktionellem Verschluss des Ductus; der Druckanstieg im kindlichen Körperkreislauf leitet nach dem Wegfall des plazentaren Niederdrucksystems den funktionellen Verschluss des Foramen ovale ein.
Temperaturregulation
Intrauterin
Wärme ist für den Feten ein Nebenprodukt des Stoffwechsels. Obwohl ein Großteil dieser Wärme über die Plazenta abgeführt wird, liegt die Körpertemperatur des Feten dadurch um 0,5°C über der Körpertemperatur der Mutter. Intrauterin benötigt der Fetus keine eigene Wärmeregulation.
Postnatal
Die Umgebungstemperatur liegt 15–20°C unter der Körpertemperatur und es treten Wärmeverluste durch Strahlung (kühle Raumwände), Konvektion (kühle, bewegte Luft) und Verdunstung (trockene Luft) auf. Um die Körpertemperatur konstant zu halten, müssen die auftretenden Wärmeverluste durch Wärmeproduktion ausgeglichen werden.
Adaptationsvorgänge
Das Neugeborene verringert Wärmeverluste durch Vasokonstriktion in der Haut und produziert Wärme im braunen Fettgewebe. Nur Neugeborene besitzen dieses braune Fettgewebe, das zwischen den Schulterblättern hinter dem Herzen und den großen Gefäßen liegt; die dort produzierte Wärme verteilt sich rasch im Körper. Die Braunfärbung des Gewebes entsteht durch den hohen Anteil an Mitochondrien. Die Fettoxidation ist durch das sog. „uncoupling protein“ von der ATP-Produktion abgekoppelt und erlaubt eine direkte und rasche Wärmeproduktion. Trotz dieses Adaptationsmechanismus übertreffen die Wärmeverluste eines unbekleideten reifen Neugeborenen in Raumtemperatur (22°C) seine Wärmeproduktion und es besteht die Gefahr der Auskühlung.
Um eine postnatale Auskühlung zu verhindern, wird ein reifes Neugeborenes nach der Geburt gut abgetrocknet, in direktem Hautkontakt der Mutter auf die Brust gelegt und mit einem trockenen Tuch zugedeckt.
Niere
Intrauterin
Die Plazenta übernimmt die Ausscheidungsfunktion der Nieren. Die Aufgabe der fetalen Nieren ist die Produktion von Fruchtwasser, das zum großen Teil fetaler Urin ist. Fehlt das Fruchtwasser, kommt es zur Lungenhypoplasie.
Postnatal
Die Nieren müssen die Flüssigkeits- und Elektrolythomöostase aufrechterhalten, Stoffwechselprodukte ausscheiden und den Säure-Basen-Haushalt ausgleichen.
Adaptationsvorgänge
Der erste Urin wird oft bei oder unmittelbar nach der Geburt abgesetzt und nach einer Pause setzt dann innerhalb von 24 h die Diurese ein. In den ersten Lebenstagen reduziert das Neugeborene als Adaptation an das trockene extrauterine Milieu seinen großen Extrazellulärraum. Durch die Flüssigkeitsausscheidung kommt es zur physiologischen postnatalen Gewichtsabnahme von maximal 10% des Geburtsgewichts.
Die Filtrationsleistung der Nieren beträgt beim Neugeborenen nur 1/10–1/6 des Erwachsenen und auch die Tubuli sind deutlich weniger leistungsfähig. Trotzdem kann die Niere des Neugeborenen die Homöostase in der Regel aufrechterhalten.
Da die Regulationsfähigkeit der Niere des Neugeborenen geringer ist, ist das Risiko einer Hyperhydratation sowie einer Dehydratation größer als beim Erwachsenen.
Gastrointestinaltrakt
Intrauterin
Die Ernährung des Feten erfolgt über die Plazenta. Der Fet schluckt und resorbiert Fruchtwasser und reguliert damit das Fruchtwasservolumen.
Cave
Ein Polyhydramnion kann Symptom einer gastrointestinalen Obstruktion (z. B. Ösophagusatresie, Duodenalatresie) oder einer Schluckstörung des Feten sein.
Postnatal
Die Ernährung erfolgt durch die Resorption von Nährstoffen aus dem Gastrointestinaltrakt.
Adaptationsvorgänge
70% der Neugeborenen setzen innerhalb der ersten 12 Lebensstunden Mekonium, den ersten Stuhl, ab; die restlichen Neugeborenen innerhalb von 48 h. Mekonium ist grünlich-schwarz und besteht aus eingedickter Galle, Lanugo und Zelldetritus. Beim reifen Neugeborenen ist der Saug- und Schluckreflex ausreichend entwickelt, sodass orale Nahrung aufgenommen werden kann. Die Nahrungsmenge wird langsam gesteigert bis sich eine koordinierte gastrointestinale Peristaltik entwickelt hat.
Eltern-Kind-Beziehung
Die Geburt ist ein wichtiger Augenblick für die Entwicklung der Eltern-Kind-Beziehung. Die Eltern sehen zum ersten Mal das lange erwartete Kind und auch das gesunde reife Neugeborene ist in der ersten Stunde nach der Geburt wach und aufmerksam. Augen- und Hautkontakt zum Neugeborenen sind in dieser Phase der Entwicklung der Eltern-Kind-Beziehung besonders förderlich. Zudem sollte das gesunde reife Neugeborene bereits im Kreißsaal an die Brust der Mutter angelegt werden, weil dadurch das spätere erfolgreiche Stillen begünstigt wird.
Beurteilung der postnatalen Adaptation (Apgar-Schema)
Zur Beurteilung der postnatalen Adaptation hat sich das von der amerikanischen Anästhesistin Virginia Apgar eingeführte Apgar-Schema ohne Zweifel bewährt (Tab. 4.3). Dr. Apgar’s primäres Ziel war es, Neugeborene zu identifizieren, die unmittelbar postnatal deprimiert waren und eine unverzügliche Hilfe benötigten.
| 0 Punkte | 1 Punkt | 2 Punkte | |
|---|---|---|---|
| Aussehen, Hautfarbe | Blass zyanotisch | Stamm rosig, Akrozyanose | Ganz rosig |
| Puls (Herzfrequenz) | Keine | <100/min | >100/min |
| Gesichtsmimik bei Stimulation | Keine | Grimassieren | Schreien |
| Aktivität (Muskeltonus) | Schlaff | Geringe Extremitätenflexion | Kräftig, aktive Bewegung |
| Respiration (Atmung) | Keine | Langsam, unregelmäßig | Regelmäßig, kräftig |
* Bestimmung nach 1, 5 und 10 min
Der Apgar-Wert wird 1, 5 und 10 min nach der Geburt erhoben.
Der 1-min-Apgar-Wert dient zur Identifikation der Neugeborenen, die sofortiger Hilfe bedürfen. Für die neonatale Mortalität und spätere neurologische Morbidität kommt dem 5-min-Apgar-Score eine gewisse prognostische Bedeutung zu.
Akut lebensbedrohliche Fehlbildungen der Neugeborenenperiode
2–3% der Neugeborenen haben angeborene Fehlbildungen, die mit bedeutsamer Behinderung einhergehen oder lebensbedrohend sind, 3–4% der Neugeborenen haben geringfügige Fehlbildungen. Durch die pränatale Ultraschalldiagnostik können zahlreiche angeborene Fehlbildungen bereits vor der Geburt erkannt werden (Abb. 4.3). Bei intrauteriner Diagnose einer angeborenen Fehlbildung sollten die Eltern von Geburtshelfern, Neonatologen und Kinderchirurgen gemeinsam beraten werden und der Geburtsmodus und das postnatale Vorgehen festgelegt werden.

Untersuchung des Neugeborenen
Zeitpunkte der Neugeborenenuntersuchung
Bei jedem Neugeborenen werden vorgeschriebene Vorsorgeuntersuchungen gemacht:
die U1 in den ersten 4 Lebensstunden,
die U2 im Alter von 3–10 Tagen
die U3 am Ende der Neonatalperiode im Alter von 4–6 Wochen.
Außerdem hat sich eine zusätzliche Untersuchung im späteren Verlauf des 1. Lebenstages als nützlich erwiesen. Jeder Untersuchungszeitpunkt hat eigene Untersuchungsschwerpunkte und beinhaltet zusätzliche präventive Maßnahmen.
Neugeborenenscreening
Bei allen Neugeborenen soll im Alter von 36–72 Lebensstunden ein Screening auf verschiedene Stoffwechselerkrankungen und hormonelle Erkrankungen durchgeführt werden, u. a.:
Hypothyreose (1:4.000 Lebendgeborene): Messung der TSH-Konzentration,
Phenylketonurie (1:7.000 Lebendgeborene): semiquantitative Bestimmung des Phenylalaninspiegels,
Galaktosämie (1:40.000 Lebendgeborene): semiquantitative Bestimmung der Uridyltransferaseaktivität,
weitere Erkrankungen (Abschn. 3.1)
Durchführung der Neugeborenenuntersuchung
Anamnese
Zuerst sollte die Schwangerschafts- und Geburtsanamnese erhoben werden:
Alter der Mutter, Anzahl und Ausgang vorausgegangener Schwangerschaften,
jetzige Schwangerschaft: Dauer, Komplikationen oder Erkrankungen der Mutter in der Schwangerschaft, Medikamente, Blutgruppe der Mutter, Schwangerenvorsorge, Mutterpass,
Geburtsmodus, Geburtsdauer, Risikofaktoren für eine Amnioninfektion (vorzeitiger Blasensprung, Fieber bei Geburt), Fruchtwasser, Nabelarterien-pH,
Erstversorgung, Apgar-Score.
Untersuchungsablauf
Die Qualität einer Neugeborenenuntersuchung hängt vom Können und der Erfahrung des Untersuchers ab, sie erfordert ausreichend Zeit und ein Eingehen auf das Neugeborene und seine Eltern.
10 Grundregeln für die Neugeborenenuntersuchung
Die Untersuchung soll in einem warmen Raum auf einer warmen Unterlage erfolgen.
Das Licht soll hell, aber nicht grell sein.
Zur Untersuchung soll das Neugeborene vollständig entkleidet werden.
Der beste Untersuchungszeitpunkt ist 2–3 h nach der letzten Mahlzeit, wenn das Neugeborene wach, aber ruhig ist.
Die Eltern sollen bei der Untersuchung anwesend sein.
Das Neugeborene soll immer erst in Ruhe beobachtet werden, bevor Untersuchungen vorgenommen werden.
Immer mit den Untersuchungen beginnen, die das Neugeborene am wenigsten irritieren und belasten.
Bei der Untersuchung soll mit dem Neugeborenen gesprochen werden und nicht nur über das Neugeborene.
Auch harmlose Befunde, die aber unerfahrene Eltern beunruhigen können, sollen erklärt und demonstriert werden (z. B. Fühlen der Fontanelle).
Alle Fragen der Eltern sollen in Ruhe und ausführlich beantwortet werden.
Der Ablauf der körperlichen Untersuchung soll flexibel dem einzelnen Neugeborenen angepasst werden. Folgende prinzipielle Vorgehensweise hat sich bewährt: zuerst wird das Neugeborene beobachtet, ohne es durch „Anfassen“ zu irritieren. Dabei werden Aussehen, Spontanatmung, Spontanhaltung und Spontanmotorik beurteilt. Solange das Neugeborene noch ruhig ist, erfolgt danach die Auskultation von Herz und Lunge. Die weitere Untersuchung erfolgt vom Kopf zu den Zehen.
Zur Neugeborenenuntersuchung gehören neben der allgemeinen körperlichen Untersuchung die Bestimmung der somatischen Reifezeichen, die Suche nach Geburtsverletzungen und nach Fehlbildungen.
Untersuchung der einzelnen Körperregionen
In diesem Abschnitt werden wichtige Untersuchungsinhalte und häufige Befunde für die einzelnen Körperregionen des Neugeborenen aufgeführt.
Haut
Akrozyanose (häufig bei kalten Händen, Füßen), zentrale Zyanose (Zunge!), Blässe, Plethora, Ödeme, marmoriertes Hautkolorit, graues Munddreieck, Ikterus.
Storchenbiss (Naevus simplex): Angeborene Teleangiektasien symmetrisch auf Stirn, Oberlidern, Nase, Oberlippe und im Nacken, die im Gesicht meist bis zum 3. Lebensjahr verschwinden, im Nacken aber häufig persistieren. Differenzialdiagnose: Naevus flammeus, Hämangiome.
Milien: Zahlreiche punktförmige weiße Papeln auf dem Nasenrücken und am Kinn durch transiente Keratinzysten. Milien verschwinden ohne Therapie.
Waschfrauenhände: Schuppung und Abschilferung der Haut an Handinnenflächen und Fußsohlen bei Übertragung oder Plazentainsuffizienz.
Neugeborenenexanthem (Erythema toxicum neonatorum): Nichtinfektiöse, transiente erythematöse Makulae zum Teil mit zentraler gelblicher Papel, die meist am Stamm zwischen dem 3. und 7. Lebenstag auftreten (Abb. 4.4). Im Direktpräparat im Wesentlichen eosinophile Granulozyten. Differenzialdiagnose: Staphylodermie.
Transiente neonatale pustulöse Melanose: Dabei handelt es sich vermutlich um eine selten auftretende Variante des Erythema toxicum neonatorum. Die Pusteln und Vesikel sind bereits bei der Geburt vorhanden und nicht von einem erythematösen Hof umgeben. Die abgeheilten Läsionen hinterlassen oft hyperpigmentierte Maculae, die für 2–3 Monate persistieren können (Abb. 4.5).


Kopf
Messung des frontookzipitalen Kopfumfangs (Makrozephalie, Mikrozephalie), Größe und Konsistenz der Fontanellen, Schädelnähte. Die Schädelform ist abhängig vom Geburtsmodus, nach vaginaler Entbindung sind häufig die Scheitelbeine über die Stirnbeine geschoben.
Caput succedaneum (Geburtsgeschwulst): Ödematös-teigige Kopfhautschwellung, die Grenzen überschreiten die Schädelnähte, meist parietookzipital, verschwindet in den ersten Lebenstagen.
Kephalhämatom: Prallelastische Schwellung, die durch die Schädelnähte begrenzt wird, nach subperiostaler Einblutung, häufig parietookzipital, kann über Monate persistieren und am Rand verknöchern; die „Verknöcherung“ löst sich in der Regel bis zum Ende des 1. Lebensjahrs wieder auf.
Augen
Roter Pupillenreflex, Konjunktivitis, Kolobom, Stellung der Lidachsen. Kongenitale Katarakt; bei direktem Lichteinfall: Leukokorie (weißlicher Pupillenreflex), bei seitlichem Lichteinfall: „Pupillentrübung“. Normal sind symmetrische Stellung und koordinierte Bewegungen. Bei plötzlichem hellem Licht schließt das Neugeborene geblendet die Augen.
Subkonjunktivale Einblutungen: Entstehen durch den Pressdruck unter der Geburt, harmlos.
Konjunktivitis: Meist nichtinfektiös durch chemische oder physikalische Irritation, Differenzialdiagnose: infektiöse Konjunktivitis (Chlamydien).
Das Neugeborene öffnet oft spontan die Augen, wenn es aufrecht gehalten wird.
Mund
Physiologische Retrogenie, auf Spaltbildungen in Lippen, Kiefer, hartem und weichem Gaumen achten. Mikrogenie, Retrogenie, Glossophthose: Pierre-Robin-Sequenz; „neonatale“ Zähne.
Retentionszysten (Epstein-Perlen): Weißliche Knötchen längs der Mittellinie am Gaumen oder den Zahnleisten.
Bednar-Aphthen, ulzerative Läsionen am Gaumenbogen: Ätiologisch unklare, in den ersten Lebenstagen auftretende z. T. eindrucksvolle ulzerative Läsionen; transient, keine Therapie.
Hals
Schiefhals, Struma, Halszysten.
Sternokleidomastoideushämatom: Kirschgroße harte schmerzlose Verdickung im Muskel nach geburtstraumatisch bedingter Einblutung. Die nachfolgende Vernarbung kann zum Schiefhals führen mit Neigung des Kopfs zur kranken und Drehung des Kopfs zur gesunden Seite. Physiotherapie.
Thorax
Brustkorb fast kreisrund, Rippen weich.
Brustdrüsenschwellung: Treten zwischen dem 3. und 7. Lebenstag meist beidseits bei männlichen und weiblichen Neugeborenen auf. Rötung und Überwärmung ist möglich, es kann sogar zu einer kolostrumähnlichen Sekretion kommen („Hexenmilch“). Ursache sind diaplazentar übergetretene mütterliche Hormone (Abb. 4.6). Differenzialdiagnose: eitrige Mastitis.
Klavikulafraktur: Schmerzempfindung im Bereich der betroffenen Schulterregion, Schonung des Arms auf der betroffenen Seite, nach einer Woche tastbarer Kugelkallus.

Herz und Kreislauf
Zyanose, Blässe, Ödeme, Lage des Herzspitzenstoßes, periphere Pulse an oberer und unterer Extremität, Herzfrequenz und Herzrhythmus, Blutdruck, Herztöne, Herzgeräusch (Tab. 4.4). Systolische Herzgeräusche in den ersten Lebenstagen sind häufig funktionell oder durch einen noch nicht komplett verschlossenen Ductus arteriosus verursacht und verschwinden häufig nach einigen Tagen. Nur 8% der Neugeborenen mit einem Herzgeräusch haben ein Vitium cordis.
| Körpergewicht [g] | 3.500 (3.000–4.300)* |
| Länge [cm] | 50 (46–58) |
| Frontookzipitaler Kopfumfang [cm] | 34 (32,5–36,5) |
| Herzfrequenz [/min] | 125 (70–190) |
| Atemfrequenz [/min] | 30 (22–40) |
| Systolischer Blutdruck [mmHg] | 60 (50–70) |
| Diastolischer Blutdruck [mmHg] | 35 (28–45) |
*50. Perzentile (10.–90. Perzentile)
Cave
Fehlende Pulse an der unteren Extremität sind pathognomonisch für eine Aortenisthmusstenose.
Lunge
Die Atemfrequenz liegt in Ruhe zwischen 22–40/min. Bauchatmung und pueriles Atemgeräusch mit hörbarem Exspirium sind beim Neugeborenen physiologisch. Dyspnoezeichen sind Nasenflügeln (Erweiterung der Nasenlöcher bei der Einatmung), Einziehungen (interkostal, subkostal, jugulär), Stridor und exspiratorisches Stöhnen.
Abdomen
Das Abdomen des Neugeborenen ist ausladend, da die Bauchwandmuskulatur schwach ausgeprägt ist, häufig besteht eine Rektusdiastase. Lebergröße (normal bis 2 cm unter dem Rippenbogen), Milzgröße, Lage und Aussehen der Analöffnung, Abdomendistension und Abwehrspannung sollten untersucht werden.
Zystische abdominelle Tumoren: Hydronephrose, multizystisch-dysplastische Nieren, Nebennierenblutung, Hydrometrokolpos, Darmduplikaturen, Choledochuszyste, Ovarialzyste.
Solide abdominelle Tumoren: Neuroblastom, Wilms-Tumor, Teratom, Nierenvenenthrombose, Pylorushypertrophie.
Nabel
Sekretion, Rötung, Hernie. Normalerweise trocknet die Nabelschnur bis zum 6.–10. Lebenstag ein und fällt dann ab.
- Nässender Nabel: Nach Abfallen des Nabelstumpfs auftretende geringe seröse Sekretion aus dem Nabel ohne Rötung. Falls 2 Wochen nach dem Abfallen der Nabelschnur der Nabel weiter sezerniert, kommen folgende Differenzialdiagnosen in Frage:
- Nabelgranulom: Am Nabelgrund mit serös-blutiger Sekretion,
- Ductus omphaloentericus (zwischen Nabel und Darm) oder Urachusfistel (zwischen Nabel und Blase),
- Omphalitis: Rötung und Schwellung des Nabelrings mit eitriger Sekretion.
Der Nabel soll nicht mit Puder oder Nabelbinde versorgt, sondern unverbunden und trocken belassen werden.
Männliches Genitale
Hydrozele, Hypospadie, Hoden tastbar im Skrotum oder im Leistenkanal, Hodengröße.
Phimose: Ist beim Neugeborenen physiologisch.
Weibliches Genitale
Klitorisgröße, Vaginalsekretion (Abb. 4.7).
Hymenalpolyp: Zipfel des hypertrophierten Hymens, der aus der Scheide ragt – Normvariante.
Vaginalsekretion: Weißliches, manchmal leicht blutiges Sekret bei Abstoßung des durch mütterliche Hormone proliferierten Endometriums (Abb. 4.7).

Extremitäten
Beweglichkeit, Schonhaltung, Beinlängendifferenz, Hüftdysplasie.
Kongenitale Hüftdysplasie: Bei kongenitaler Hüftdysplasie sind klinische Zeichen wie Abspreizhemmung der Oberschenkel, Faltenasymmetrie oder Beinlängendifferenz nicht zuverlässig. Der Ortolani-Test (Ausrenken und Wiedereinrenken der dysplastischen Hüfte) wird heute nicht mehr empfohlen. Bei klinischer Untersuchung auf Instabilität der Hüften achten!
Die adäquate Diagnostik zum Ausschluss einer Hüftdysplasie ist heute die Ultraschalluntersuchung der Hüfte.
Polydaktylie: Überzählige, häufig rudimentäre Finger oder Zehen.
Vierfingerfurche: einzelne, die gesamte Plantarfläche durchziehende Furche. Kommt bei 5% der Normalbevölkerung vor, kann jedoch ein unspezifisches Hinweiszeichen auf eine Chromosomenstörung, z. B. Trisomie 21, sein.
Sichelfußhaltung (Pes adductus et supinatus): Supinationsstellung des Vorfußes bedingt durch intrauterine Haltung. Durch Stimulation der Fußaußenkante vom Neugeborenen aktiv ausgleichbar. Differenzialdiagnose: Klumpfuß.
Wirbelsäule
Auf Hinweiszeichen für eine Spina bifida occulta, wie lumbosakral gelegenes Hautgrübchen, Haarbüschel, subkutanes Lipom oder Dermalsinus (epithelialisierter Verbindungsgang zwischen äußerer Haut und Neuralrohr) achten.
Cave
„Tethered cord“, evtl. spinale Sonographie.
Neurologische Neugeborenenuntersuchung
Die Untersuchungsergebnisse der neurologischen Neugeborenenuntersuchung hängen sehr vom Verhaltenszustand des Neugeborenen ab (ruhiger Schlaf, ruhiges Wachsein, aktives Wachsein, Schreien). Der Verhaltenszustand muss also dokumentiert und in die Beurteilung einbezogen werden. Die besten Ausgangsbedingungen für die neurologische Untersuchung sind ruhiges und aktives Wachsein.
Die neurologische Untersuchung am 1. Lebenstag hat eher orientierenden Charakter, wesentlich aussagekräftiger ist die Untersuchung am 3. Lebenstag. Bei der neurologischen Untersuchung des Neugeborenen werden folgende Funktionen beurteilt:
Spontanverhalten und Spontanmotorik
Das gesunde Neugeborene zeigt im Wachzustand eine lebhafte Spontanmotorik mit seitengleichem, alternierendem Strampeln der Beine und alternierendem Rudern mit den Armen. Auffällig sind Apathie oder Hyperexzitabilität. Das gesunde Neugeborene saugt kräftig und trinkt ohne sich zu verschlucken.
Muskeltonus
Das gesunde Neugeborene hält Arme und Beine gebeugt am Körper. Beim Hochziehen des Oberkörpers an den Armen bleiben die Arme leicht gebeugt und der Kopf wird – zumindest anfangs – mitgenommen. Das gesunde Neugeborene kann aus der Bauchlage heraus kurz den Kopf heben.
Neugeborenenreflexmuster (Auswahl)
Suchreflex: Beim Berühren der Wangen wendet sich das Neugeborene suchend in Richtung der Berührung und öffnet den Mund.
Saugreflex: Das Neugeborene saugt kräftig am Finger.
Greifreflexe an Händen und Füßen. Das Neugeborene umfasst den in seine Handinnenfläche gelegten Finger des Untersuchers.
Arm-Recoil: Wenn die Arme des Neugeborenen gestreckt und dann plötzlich losgelassen werden, federn die Unterarme in den Beugezustand zurück.
Moro-Reaktion: Durch kurzes Zurückfallenlassen des kindlichen Kopfs kommt es zu einer raschen ausfahrenden Bewegung mit Streckung der Arme und Spreizen der Finger (Abb. 4.8), gefolgt von einem langsameren Zurückholen der Arme an den Rumpf.
Stützreaktion: Das Aufsetzen des Kindes mit beiden Beinen auf eine Unterlage führt zu einer kurzen tonischen Streckung des gesamten Körpers.
Reflexschreiten: Auslösen von Schreitbewegungen durch alternierendes Aufsetzen der Füße auf die Unterlage.
Asymmetrisch-tonischer Nackenreflex: Die Seitwärtsdrehung des Kopfs führt zur Streckung des Arms und Beins auf der Gesichtsseite und zur Beugung des Arms und Beins auf der Gegenseite („Fechterstellung“).


Cave
Bei der Beurteilung der Seitengleichheit von Bewegungen bei Neugeborenen darf der Kopf nicht zur Seite gedreht sein, da sonst durch den asymmetrisch-tonischen Nackenreflex eine Seitendifferenz vorgetäuscht wird.
Bestimmung der somatischen Reifezeichen
Zur klinischen Schätzung des Gestationsalters werden somatische und neurologische Merkmale herangezogen. Ein gut validiertes Untersuchungsschema zur Schätzung des Gestationsalters ist der Ballard-Score. Die klinische Reifealterbestimmung ist auf ±1,5 Wochen genau. In Tab. 4.5 sind somatische Reifezeichen eines Frühgeborenen und eines reifen Neugeborenen gegenübergestellt.
| Frühgeborenes (28 Wochen) | Reifgeborenes (40 Wochen) | |
|---|---|---|
| Hauttextur | Ödematös, glänzend, transparent | Einzelne Venen sichtbar |
| Hautfarbe | Rot | Rosig |
| Lanugohaare | Flächig vorhanden | Fehlen |
| Sohlenfältelung | Nur vereinzelt | Über ganzer Sohle |
| Brustwarze | Roter Punkt | ∅ über 1 cm, erhaben |
| Ohrmuschelrand | Weich, formlos | Fest, elastisch |
| Hoden | Im Inguinalkanal | Im Skrotum |
| Skrotum | Klein, wenig Falten | Groß, viele Falten |
| Große Labien | Klaffend | Bedecken kleine Labien |
| Spontanhaltung | Extremitäten gestreckt | Extremitäten gebeugt |
Reanimation Früh- und Neugeborener
Voraussetzungen zur Reanimation
Voraussetzungen zur Durchführung
Die meisten Neugeborenen durchlaufen eine unproblematische kardiorespiratorische Adaptation; bei ca. 10% der Kinder können allerdings mehr oder weniger intensive Reanimationsmaßnahmen erforderlich sein. Ungefähr 2/3 dieser Patienten lassen sich aufgrund definierter Risiken bereits vor der Geburt identifizieren, bei 1/3 der Neugeborenen tritt die Reanimationssituation völlig unerwartet auf. Diese Tatsache unterstreicht die Notwendigkeit, dass die essenziellen Wiederbelebungsmaßnahmen zu jeder Zeit differenziert und kompetent durch ein geschultes neonatologisches Reanimationsteam durchgeführt werden können. Weitere Voraussetzungen sind eine optimale Information über maternale und fetale Risiken sowie eine gezielte Vorbereitung auf die spezielle Reanimationssituation.
Sind die personellen und apparativen Möglichkeiten in einer Geburtsklinik nicht vorhanden, um ein Frühgeborenes oder Risikoneugeborenes optimal zu versorgen, so muss die Mutter – wenn immer medizinisch vertretbar – in ein Perinatalzentrum verlegt werden. Diese Vorgabe wurde in den letzten Jahren auch vom G-BA aufgegriffen.
Der präpartale Transport von Schwangeren und damit von Risikofrüh- und Neugeborenen in ein Perinatalzentrum Level 1 ist bei folgenden Situationen obligat:
Frühgeborene mit einem Gestationsalter <29,0 Wochen (geschätztes Gewicht <1.250 g).
Höhergradige Mehrlinge (>2) <33 Gestationswochen.
Alle pränatal diagnostizierten Erkrankungen, bei denen nach der Geburt eine unmittelbare Notfallversorgung erforderlich ist. Dies betrifft Erkrankungen der Mutter mit fetaler Gefährdung sowie angeborene Fehlbildungen.
Postnatale Beurteilung
Für die postnatale Beurteilung reifer Neugeborener hat sich das Apgar-Schema bewährt. Frühgeborene lassen sich aufgrund des vom Gestationsalter abhängigen Muskeltonus und der Reflexerregbarkeit allerdings nicht adäquat beurteilen. Eine allzu schematische Erfassung der einzelnen Apgar-Kriterien bei der Erstversorgung eines deprimierten reifen Neugeborenen birgt darüber hinaus die Gefahr, dass die Wiederbelebungsmaßnahmen nur verzögert einsetzen. Die Bestimmung des Säure-Basen-Status ist als ein fester Bestandteil und eine wesentliche Ergänzung der kindlichen Zustandsbeurteilung anzusehen. Diese nur mit einer zeitlichen Latenz verfügbare Diagnostik ist jedoch für die initialen therapeutischen Entscheidungen in der Regel nicht relevant.
Maßnahmen der Neugeborenenreanimation
Drei klinische Kriterien – nämlich Hautfarbe, Atmung und Herzfrequenz – geben ausreichende Informationen, um das akute Vorgehen zu planen und die Maßnahmen, die in 3 Stufen erfolgen sollten, weder zu spät noch zu voreilig durchzuführen (Abb. 4.9).

Stufe 1: Basismaßnahmen
Die einfachen Basismaßnahmen der Reanimation beinhalten Abtrocknen, Stimulation und Absaugen des Neugeborenen. Während dieser Maßnahmen ist eine schnelle Beurteilung zum Ausschluss von schweren Fehlbildungen erforderlich.
Nach dem Abtrocknen wird das Neugeborene in angewärmte, trockene Tücher gehüllt. Die Erstversorgung erfolgt unter einem Heizstrahler, Zugluft im Raum ist zu vermeiden! Bei sehr kleinen Frühgeborenen und extrem hypotrophen Neugeborenen ist ein zusätzlicher Wärmeschutz durch verschiedenste Folien (u. a. Plastikfolien) oder Warmluftdecken erforderlich. Durch die taktile Stimulation u. a. von Rücken und Fußsohlen wird die kindliche Atmung stimuliert. Die Mehrzahl der Neugeborenen beginnt innerhalb von 10 s nach der Geburt spontan zu atmen, allerdings ist damit zu rechnen, dass ca. 10% der Neugeborenen nach 1 Lebensminute noch keine regelmäßige Atemtätigkeit aufweisen. Bei entsprechender Indikation, wie Verlegung der Atemwege durch Fruchtwasser, Blut oder Mekonium, erfolgt das Absaugen zuerst des Oropharynx und dann der Nasenwege des Neugeborenen mit einem ausreichend großlumigen Katheter (Ch 8–10).
Cave
Mund vor Nase! Es besteht eine erhöhte Aspirationsgefahr durch die Stimulation der kindlichen Eigenatmung nach nasalem Absaugen!
Weiterhin ist unbedingt darauf zu achten, dass beim Absaugen keine Bradykardien auftreten (Vagusstimulation). Der Sog am Absauggerät ist in der Regel auf 200 mbar zu begrenzen, um Verletzungen der Schleimhaut zu vermeiden. Ein routinemäßiges Absaugen aller Neugeborenen ist nicht indiziert.
Stufe 2: Zusatzmaßnahmen bei insuffizienter Spontanatmung
Führen die beschriebenen Basismaßnahmen nicht zum Einsetzen der Spontanatmung, so sind zur Vermeidung von Bradykardie und Hypoxie weitere Schritte erforderlich.
Blähmanöver und Masken-Beatmung
Neugeborene mit nach 30 s fehlender Eigenatmung erhalten eine Atemhilfe. Eine manuelle Maskenbeatmung wurde in vielen neonatologischen Zentren durch ein manometerkontrolliertes Blähmanöver ersetzt. Ziel dieses Blähmanövers ist, die intraalveoläre Lungenflüssigkeit in das pulmonale Lymph- und Gefäßsystem zu pressen und somit – in Analogie zur Atemtechnik Neugeborener – eine funktionelle Residualkapazität herzustellen. Diese Maßnahme sollte unter Auskultationskontrolle erfolgen und in eine assistierte, den Bedürfnissen des Neugeborenen angepasste assistierte Beatmung übergehen.
Diese Beatmungsform ist nicht auf sehr unreife Frühgeborene zu übertragen. Wie jüngere Untersuchungen zeigen, kann ein inadäquates Baro- und Volutrauma im Rahmen der Reanimation gravierende akute und chronische Lungenschäden der unreifen Lungenstruktur induzieren, die u. a. durch eine erhöhte alveolärkapilläre Leckage charakterisiert sind und möglicherweise die pathogenetische Sequenz der pulmonalen Inflammationsreaktion induzieren oder aggravieren. Vor dem Hintergrund dieser Beobachtung ist eine dem Frühgeborenen individuell angemessene Beatmungsform zu wählen, die das Risiko der mechanischen Traumatisierung so gering wie möglich hält. Jüngste Untersuchungen belegen, dass durch eine unmittelbar nach der Geburt erfolgte Anlage eines binasalen CPAP-Systems (CPAP: „continuous positive airway pressure“, kontinuierlicher positiven Atemwegsdruck) eine beträchtliche Anzahl sehr unreifer Frühgeborener bereits im Kreißsaal stabilisiert werden können.
Cave
Eine inkorrekte Kopfhaltung oder fehlerhafte Maskenpositionierung kann die Atemtätigkeit des Früh- und Neugeborenen empfindlich beeinträchtigen („Erstickung unter der Maske“). Ebenso kann ein inadäquates Baro- und Volutrauma im Rahmen einer forcierten Maskenbeatmung zu einer Schädigung der Alveolen führen.
Eine primäre Maskenbeatmung sollte bei folgenden Erkrankungen des Neugeborenen gänzlich vermieden werden:
Mekonium- und Blutaspiration,
Zwerchfellhernie,
schwerste postnatale Asphyxie.
Sauerstoffzufuhr
Eine Stabilisierung oder Reanimation erfolgt primär mit Raumluft. Nur bei unzureichender Oxygenierung wird dem Neugeborenen und unreifen Frühgeborenen unter kontinuierlicher pulsoxymetrischer Überwachung Sauerstoff angeboten. Auf Grund der aktuellen Datenlage empfehlen die meisten internationalen Fachgesellschaften eine primäre Stabilisierung von Neugeborenen mit 21% Sauerstoff und sehr unreifen Frühgeborenen mit 30% Sauerstoff.
Wenn man bedenkt, dass der O2-Partialdruck im fetalen Blut ca. 25 mmHg beträgt, kann eine zu rasche postnatale Hyperoxygenierung des deprimierten Neugeborenen durchaus problematisch sein. Dieser Aspekt gilt besonders für Hochrisikofrühgeborene, die nicht nur einen Mangel an protektiven Antioxidanzien in allen Geweben aufweisen, sondern auch ernstzunehmende Spuren einer Gewebsschädigung durch Sauerstoffradikale aufweisen. In dieser Hochrisikogruppe sollte eine O2-Therapie nur unter Messung der O2-Sättigung erfolgen und auf jeden Fall eine Hyperoxygenierung bereits während der Stabilisierungsphase vermieden werden (Cave: Retinopathia praematurorum).
Intubation
Bleibt ein Neugeborenes trotz Beutel-Masken-Beatmung apnoisch oder bradykard, so wird das Kind umgehend endotracheal intubiert. Für die Gruppe sehr kleiner Frühgeborener ist inzwischen eindeutig belegt, dass die Vermeidung von einer postnatalen Hypoxie zu einer Reduktion der Sterblichkeit und der Inzidenz des Atemnotsyndroms beiträgt. Dennoch ist von einer generellen Intubation dieser besonderen Patientengruppe abzuraten, da gerade bei sehr vitalen Frühgeborenen unter der Intubation transitorische hypoxämische Phasen und Alterationen der zerebralen Zirkulation nicht auszuschließen sind. Der frühzeitige Einsatz binasaler CPAP-Systeme hat dazu beigetragen, dass auch sehr unreife Frühgeborene nicht unmittelbar im Kreißsaal intubiert werden müssen. Es empfiehlt sich, die Intubation selektiv durchzuführen. In Abhängigkeit vom Schweregrad der Atemnotsymptomatik sollte das Frühgeborene innerhalb von Minuten intubiert werden.
Während der Intubation muss eine kontinuierliche Überwachung der kindlichen Herzfrequenz und O2-Sättigung (Pulsoximeter) erfolgen. Bei einer Bradykardie ist der Intubationsversuch unverzüglich abzubrechen und das Kind mit erneuter Maskenbeatmung und adäquater O2-Zufuhr zu stabilisieren (Cave: Hyperoxie). Die häufigsten Komplikationen im Verlauf der Intubation sind die Fehlpositionen des Tubus in den Ösophagus und eine einseitige selektive Intubation des rechten Hauptbronchus; durch entsprechende Korrektur der Tubuslage sind diese Situationen leicht zu beheben. Ernsthafte Komplikationen stellen die Perforation des Ösophagus und Hypopharynx dar; tracheale Perforationen wurden durch Führungsstäbe von Endotrachealtuben beobachtet. Magenrupturen wurden nach Reanimation Neugeborener mit tracheoösophagealer Fistel beschrieben. Subglottische Stenosen können sich als chronische Komplikationen eines Intubationsschadens ausbilden.
Naloxon
Neugeborene, deren Mütter unter der Geburt Opiate erhalten haben, fallen häufig durch einen fehlenden Atemantrieb nach der Geburt auf. Durch die i.v.-Gabe des Opiatantagonisten Naloxon (z. B. Narcanti neonatal) kann die atemdepressive Wirkung diaplazentar übergetretener Morphinderivate aufgehoben werden (Dosierung: 0,01 mg/kgKG). Da die Opiatanalgetika eine längere Halbwertszeit als Naloxon haben, muss mit symptomatischen Reboundeffekten beim Kind gerechnet werden; sie machen wiederholte Gaben von Naloxon erforderlich.
Cave
Kinder heroinabhängiger Mütter dürfen kein Naloxon erhalten, da schwerste akute Entzugserscheinungen ausgelöst werden können.
Stufe 3: Zusatzmaßnahmen bei insuffizienter Kreislauffunktion
Da Bradykardien bei Neugeborenen in der Regel durch eine Hypoxie bedingt sind, lassen sich die meisten Kreislaufprobleme durch eine suffiziente Oxygenierung beheben. Besteht die Bradykardie trotz ausreichender Lungenbelüftung fort, so sind weitere Maßnahmen wie extrathorakale Herz-Druck-Massage, Adrenalingabe, Volumensubstitution und Azidosekorrektur angezeigt.
Cave
Bei unklarer Bradykardie muss immer an einen Pneumothorax gedacht werden.
Herz-Druck-Massage
Eine externe Herz-Druck-Massage sollte bei allen Neugeborenen durchgeführt werden, bei denen die Herzfrequenz <60 Schlägen/min liegt und die nach Beginn der adäquaten Ventilation nicht mit einem Anstieg der Herzfrequenz reagieren. Bei einer der möglichen Techniken wird der Thorax des Kindes von beiden Seiten umfasst und am unteren Teil des Sternums um 1–2 cm mit einer Frequenz von 100/min komprimiert (Abb. 4.10). Diese Art der Herz-Druck-Massage stellt die effektivste Maßnahme zur Aufrechterhaltung der Kreislauffunktion dar, sie setzt aber voraus, dass zwei in der Reanimation Neugeborener erfahrene Personen die kardiozirkulatorische und respiratorische Reanimation durchführen. Eine Einzelperson ist gezwungen, durch Sternumkompression mittels 2 Fingern eine wirksame Herz-Druck-Massage und gleichzeitig eine effiziente Beatmung zu gewährleisten.

Momentan wird ein Verhältnis von 3 Herzkompressionen zu 1 Beatmung empfohlen.
Trotz wirksamer Herz-Druck-Massage muss die Ursache der Bradykardie rasch erkannt, und wenn möglich kausal behandelt werden.
Adrenalin
Bleibt der unter externer Herz-Druck-Massage erwartete Anstieg der Herzfrequenz aus, so sollte unverzüglich Adrenalin über die katheterisierte Nabelvene oder eine periphere Vene (0,01–0,03 mg/kgKG) appliziert werden. Ist kein Gefäßzugang möglich, so sollte Adrenalin (0,1–0,3 ml/kgKG in einer Verdünnung von 1:10.000) über den endotrachealen Tubus oder intraossär verabreicht werden. Trotz einer geringen Lungendurchblutung kann diese Maßnahme zu einem raschen Anstieg der Herzfrequenz oder sogar einem erstmaligen Nachweis der Herzaktion führen.
Cave
Intrakardiale Injektionen sind obsolet.
Natriumbikarbonat
Die Indikation für die Gabe von Natriumbikarbonat ist nur bei schwerer protrahierter metabolischer Azidose, z. B. nach intrauteriner Hypoxie und nach länger dauernden Reanimationsmaßnahmen, insbesondere bei schlechtem Ansprechen auf Adrenalin indiziert. Die Gabe von Natriumbikarbonat erfolgt intravenös in einer mindestens 1:1-verdünnten Lösung (Aqua destillata) und über einen längeren Zeitraum – über 15 Minuten bei Neugeborenen und über längere Zeit bei Frühgeborenen – (Initialdosis: 1–3 mval NaHCO3/kgKG). Da Natriumbikarbonat 8,4% hyperosmolar ist, besteht die Gefahr, dass Frühgeborene im Rahmen der Serumosmolalitätspitzen und -schwankungen eine Hirnblutung entwickeln. Eine Bikarbonatbehandlung verbietet sich bei einer ausgeprägten respiratorischen Azidose.
Volumengabe
Bei anamnestischem und klinischem Verdacht auf einen akuten kindlichen Blutverlust sollte unverzüglich Volumen zugeführt werden. Für eine initiale Volumensubstitution bietet sich physiologische Kochsalzlösung (10–15 ml/kgKG) an. Als effektivste Maßnahme ist unter kritischer Indikationsstellung die Gabe von 0 Rh negativem, lysinfreiem Erythrozytenkonzentrat (10–20 ml/kgKG) anzusehen. Eine entsprechende Notfallkonserve, die ohne Kreuzprobe transfundiert werden kann, sollte heute für Risikosituationen unmittelbar nach der Geburt verfügbar sein; bei hämorrhagischem Schock ist die Transfusion bis zu einer Stabilisierung des kindlichen Zustands fortzuführen.
Schritte der Reanimation von Neugeborenen
Adäquate Wärmezufuhr; Abtrocknen und Zudecken des Neugeborenen
Luftwege freimachen (Mund vor Nase gezielt absaugen)
Auskultation (Stethoskop)
Anlage eines Pulsoxymeters
Masken-Beatmung mit 21% O2, initiale „Blähmanöver“ (3–5 s), danach assistierte Beatmung (Beatmungsfrequenz 40–60/min). Bei unzureichender Oxigenierung zusätzlich O2-Zufuhr unter kontinuierlicher pulsoximetrischer Überwachung
- Bei Apnoe und/oder Bradykardie (Herzfrequenz 60–80/min unter Beutel-Masken-Beatmung):
- Endotracheale Intubation (Tubus: 3,0–3,5 mm)
- Herz-Druck-Massage (Beatmungsfrequenz: Herzkompression: 1:3)
- Bei Bedarf Adrenalin 0,01–0,03 mg/kg/KG i.v., ggf. auch über Nabelvene oder intraossären Zugang. Bei fehlendem i.v.-Zugang evtl. Adrenalin 0,01 mg/kgKG – 0,1 ml/kgKG der Verdünnung 1:10.000 über Endotrachealtubus
- Evtl. Natriumbikarbonat 8,4% (1:1 mit Aqua dest. verdünnt), 1–3 mmol/kg/KG als Kurzinfusion
- Evtl. Nabelvenenkatheter, Volumenzufuhr: balancierte isotonische Lösung, Blut 10–20 ml/kg/KG
- Besonderheiten der Reanimation Frühgeborener Text
Perinatale Schäden und ihre Folgen
Asphyxie
Definition
Eine perinatale Asphyxie stellt einen bedrohlichen Insult für den Fetus oder das Neugeborene dar, der durch eine Hypoxie und/oder Ischämie vor, unter oder nach der Geburt ausgelöst wird. O2-Mangel und/oder Ischämie lebenswichtiger Organe sind mit einer mehr oder minder ausgeprägten Azidose assoziiert und führen zu einer stark gestörten postnatalen respiratorischen und kardiozirkulatorischen Adaption.
Pathophysiologie
Die Risikofaktoren für die Entwicklung einer perinatalen Asphyxie sind in Tab. 4.6 dargestellt. Folgende fetale Warnzeichen weisen auf einen pränatalen O2-Mangel hin:
Herztondezelerationen (Norm 120–160 Schläge/min),
pathologisches Herzfrequenzmuster im Kardiotokogramm: Verlust der „Beat-to-beat-Variation“, späte Dezelerationen (d. h. fetale Bradykardie, die über die Uteruskontraktion hinaus anhält), silentes CTG; selten auch fetale Tachykardie,
grünlich verfärbtes Fruchtwasser (vorzeitige Darmentleerung des Fetus; Mekoniumabgang),
Laktazidose, pH <7,2 (kapilläre Mikroblutanalyse aus kindlicher Kopfhaut).
| Maternale Erkrankungen | Uteroplazentare Insuffizienz, Gestose, Hypertension, Hypotension, Diabetes, Infektion, andere Grunderkrankung |
| Plazenta | Chorioamnionitis, vorzeitige Lösung, Placenta praevia, Vasa praevia, Randsinusruptur |
| Nabelschnurzwischenfälle | Prolaps, Knoten, Kompression, Umschlingung, kurze Nabelschnur |
| Geburt | Traumatisch (abnorme Lage, Missverhältnis von Becken – Kind, hypertrophes Neugeborenes, Schulterdystokie), langdauernd, überstürzt, Sturzgeburt |
| Fetale Ursachen | Frühgeburtlichkeit, Infektion, Wachstumsretardierung, Übertragung |
| Neugeborenes | Anämie (fetomaternale Transfusion etc.), neuromuskuläre Erkrankungen, Erkrankungen der Atemwege und Lungen (Choanalatresie, Trachealagenesie, Lungenhypoplasie, Zwerchfellhernie etc.) |
Eine chronische intrauterine Hypoxie geht oft mit einer fetalen Hypomotorik sowie einem Oligohydramnion aufgrund einer kompromittierten Nierenperfusion einher.
Bei einer postnatalen Hypoxie/Ischämie fällt das Neugeborene unmittelbar nach der Geburt durch eine durch schwer gestörte kardiorespiratorische Adaption auf. Als klinische Zeichen imponieren u. a.:
Dyspnoe, Atemstillstand,
Bradykardie,
Hypotension,
Zyanose (früher als „blaue Asphyxie“ bezeichnet),
extreme Blässe (häufig akuter Volumenmangel: „weiße“ Asphyxie),
muskuläre Hypotonie, Bewegungslosigkeit.
Das Ausmaß einer Asphyxie zeigt sich an der Schnelligkeit, mit der ein asphyktisches Kind auf Reanimationsmaßnahmen reagiert. Formen der fetalen Depression, bei denen eine ausreichende kardiorespiratorische Adaptation nach taktiler Stimulation oder kurzfristiger Maskenbeatmung zu erreichen ist – Phase der primären Apnoe –, können nicht als schwere perinatale Asphyxie bezeichnet werden. Bei einer terminalen Apnoe dagegen, ist das Neugeborene schwerst deprimiert und bedarf einer umgehenden intensiven kardiopulmonalen Reanimation.
Der durch Hypoxie/Ischämie bedingte Substratmangel hat bei totaler Asphyxie nach spätestens 12 min eine irreversible Hirnschädigung zur Folge.
Obwohl ein niedriger Apgar-Score die Notwendigkeit von Reanimationsmaßnahmen anzeigt, so ist er aber kein sicherer Indikator für eine perinatale Asphyxie und stellt allein kein Prognosekriterium für die Entwicklung einer Zerebralparese dar. Ansteigende Apgar-Werte unter der Reanimation belegen lediglich den Erfolg der durchgeführten Maßnahmen. Neugeborene mit einer für die Prognose relevanten Asphyxie unter der Geburt zeigen in der Regel
eine schwere Azidose im Nabelschnurblut (<7,0),
einen 10-min-Apgarwert von ≤5,
eine verzögerte Aufnahme der Eigenatmung (>10 Minuten),
Symptome der hypoxisch-ischämischen Enzephalopathie (s. unten), d. h. neonatale neurologische Symptome einschließlich Krampfanfälle,
hypoxisch-ischämisch bedingte Funktionsstörungen anderer Zielorgane.
Allerdings erfüllt nur ein Teil der Neugeborenen, die nach einer perinatalen Asphyxie eine Zerebralparese entwickeln, diese Kriterien. In vielen Fällen liegt der Schädigungszeitpunkt pränatal, dabei weist das unter der Geburt abgeleitete Kardiotokogramm oft nur geringe Auffälligkeiten auf und der Nabelarterien-pH zeigt keine oder nur eine mäßige Azidose. In solchen Fällen liegt offenbar ein Zustand nach vorhergehenden Episoden mit fetaler Asphyxie vor, von denen sich das Kind partiell erholt hat. Ein wahrscheinlicher Zusammenhang unmittelbar mit dem Geburtsereignis darf nur angenommen werden, wenn die oben genannten Kriterien vorhanden sind.
Zielorgane der Asphyxie
Hypoxisch-ischämische Läsionen können sich an verschiedenen Organsystemen manifestieren:
Zentrales Nervensystem: hypoxisch-ischämische Enzephalopathie, erhöhte Inzidenz von Hirnblutungen bei Frühgeborenen,
Herz-Kreislauf: myokardiale Ischämie, Hypotension,
Lunge: persistierende fetale Zirkulation (PFC), pulmonale Hypertension, sekundäres Atemnotsyndrom (akutes RDS = ARDS),
- Mikrozirkulation: disseminierte intravasale Gerinnung mit Thrombozytenabfall:
- Niere: Oligurie, Anurie,
- Nebenniere: NNR-Blutung,
- Magen-Darm-Trakt: Perforation, Ulzeration, nekrotisierende Enterokolitis,
Leber: Leberzellschädigung, verminderte Syntheseleistung,
Metabolische Störungen: Hypoglykämie, Hypokalzämie.
Hypoxisch-ischämische Enzephalopathie (HIE)
Pathophysiologie
Wie verschiedenste Untersuchungen zur Pathogenese ischämischer Hirnläsionen belegen, setzt die Gewebeschädigung während der Hypoxie/Ischämie ein und nimmt in der Reperfusionsphase weiter zu. Die Hauptmediatoren des Reperfusionsschadens sind freie Sauerstoffradikale, proinflammatorische Mediatoren und endotheliale Faktoren wie Stickstoffmonoxid (NO).
Freie Radikale führen vermutlich über eine Hemmung des transmembranösen Enzyms Na+-K+-ATPase zum Zusammenbruch des Membranpotenzials. Die geschädigten Zellen setzen in der Folge die neurotoxischen exzitatorischen Aminosäuren Glutamat und Aspartat frei, die durch Aktivierung von Proteasen den Zelltod einleiten.
Während sich die meisten Organe vom asphyktischen Insult erholen, ist dies beim Gehirn nicht immer der Fall. Die Hypoxie und Ischämie führen zu einer lokalen Laktatakkumulation im Gehirn und zu einer Verminderung energiereicher Phosphate. Das Energieversagen ist in der Regel erst nach 24–72 h in voller Ausprägung vorhanden (sekundäres Energieversagen). Je nach Ausmaß der Schädigung entwickelt sich eine lokale Hirnläsion oder eine diffuse neuronale Nekrose mit schwerem Hirnödem oder Hirntod.
Neuropathologie
Die typische anatomische Läsionen einer HIE sind bei reifen Neugeborenen:
eine kortikale Nekrose,
Wasserscheideninfarkte zwischen A. cerebri anterior und media in Form von parasagittalen bilateralen Infarzierungen,
Thalamus- und Basalgangliennekrose (Abb. 4.11).

Klinik
In Abhängigkeit vom Ausmaß der hypoxisch-ischämischen Schädigung kann die klinische Symptomatologie von Irritabilität, Trinkschwäche und milder Hypotonie bis hin zum Koma reichen. Die typischen neurologischen Symptome sind:
Beeinträchtigung der Bewusstseinslage: Irritabilität, Schreckhaftigkeit, Somnolenz, Lethargie oder Koma,
Änderung des Muskeltonus: Hypotonie, Hypertonie,
Änderung des Reflexverhaltens,
Auftreten von Krampfanfällen: oftmals prolongiert und schwer zu behandeln.
Das amplitudenintegrierte EEG (aEEG) zeigt typische Veränderungen in Abhängigkeit vom Schweregrad der Hirnschädigung.
Trotz genauer Dokumentation aller zur Verfügung stehenden prä-, peri- und postnatalen Befunde lässt sich in vielen Fällen keine sichere Kausalitätskette der Ereignisse, die zur Asphyxie und hypoxisch-ischämischen Enzephalopathie geführt haben, ermitteln.
Prognose
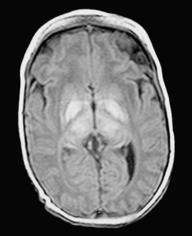
Durch die Verlaufsbeurteilung der klinischen Symptome, der bildgebenden Diagnostik und des aEEG und des EEG lassen sich in vielen Fällen schon früh Aussagen zur Prognose der Kinder machen. Faktoren, die mit einer schlechten Prognose assoziiert sind, sind in der Übersicht aufgeführt. Im Ultraschallbild zeigt sich oft eine „verwaschene“ Parenchymzeichnung als Ausdruck einer diffusen neuronalen Nekrose oder eines Hirnödems. Als Zeichen einer Thalamusnekrose können in den ersten Lebenswochen ausgeprägte Echoverdichtungen in dieser Region darstellbar sein. Eine Magnetresonanztomographie (MRT) kann bereits in den ersten Lebenstagen deutliche Signalveränderungen aufweisen (Abb. 4.11). Eine nützliche, jedoch nicht immer durchführbare Untersuchung ist die Magnetresonanzspektroskopie (MRS). Ein Nachweis von hohen Laktatsignalen im Gehirn sowie niedrigen Signalen für N-Acetyl-Aspartat, einem Marker für Neuronen, spricht für eine schwere Hirnschädigung mit schlechter Prognose.
Ungünstige Prognosefaktoren bei der HIE Neugeborener
Keine Spontanatmung innerhalb der ersten 30 Lebensminuten. Auf spontane Atemaktivität achten!
Notwendigkeit einer Herz-Druck-Massage
Auftreten von Krampfanfällen in den ersten 4 Lebensstunden
Schwerste neurologische Auffälligkeiten Sehr flaches EEG oder „Burst-supression-Muster“
Oligurie am 1. oder 2. Lebenstag (<1 ml/kgKG/h)
Differenzialdiagnose
Von einer hypoxisch-ischämischen Enzephalopathie sollte nur gesprochen werden, wenn sich eindeutige Hinweise auf eine vorausgehende Hypoxie/Ischämie feststellen lassen. Ansonsten wird das Krankheitsbild als neonatale Enzephalopathie bezeichnet. Andere Ursachen für eine Enzephalopathie des Neugeborenen sind:
Sepsis, Meningoenzephalitis: Diagnostik: Liquorpunktion,
Maternale Anästhesie; Drogeneinnahme vor der Geburt,
Geburtstraumatische, intrazerebrale Blutungen,
Metabolische Enzephalopathie: Die klinische Symptomatologie tritt meist erst Stunden oder Tage nach der Geburt auf. Grund: Katabole Stoffwechselsituation oder Zufuhr von Nahrungseiweiß bei Aminoazidopathien oder Organoazidopathien. Diagnostik: Ammoniakbestimmung, Laktatbestimmung, Ketonkörper im Urin, spezifische Laboruntersuchungen,
Hypoglykämie,
Bilirubinenzephalopathie,
Intrazerebrale Blutungen bei Gerinnungsstörungen, Gefäßmalformationen u. a.,
Sinusthrombosen u. a.,
Konnatale Hirntumoren.
Therapie
Ventilation
Bei unregelmäßiger Atmung oder Apnoen sollte eine frühzeitige Intubation und Beatmung erfolgen. Das Ziel ist die Erhaltung der Homöostase. Der pO2 und pCO2 sollten in normalen Grenzen gehalten werden, eine Hyperventilation ist obsolet.
Kreislauf
Wichtigste Größe für ausreichende Hirnperfusion ist der Blutdruck. Bei Kindern mit schwerer Asphyxie soll bereits im Kreissaal ein sicherer intravenöser Zugang gelegt werden, bei instabilem Blutdruck Gabe von Katecholaminen.
Antikonvulsive Therapie
Bei Auftreten von Krampfanfällen erfolgt eine Behandlung mit Phenobarbital, Phenytoin oder Lorazepam.
Hypothermie
Wie mehrere kontrolliert-randomisierte Studien belegen, verbessert eine Hypothermiebehandlung von Neugeborenen mit moderater oder schwerer HIE das neurologische Outcome. Die Neugeborenen werden für 72 h auf eine Körpertemperatur von 33,5°C gekühlt.
Der besondere Fall
Anamnese. Gegen Ende der Schwangerschaft verspürt eine 32-jährige Zweitgebärende erhebliche Schmerzen im Unterleib und registriert keine sicheren Kindsbewegungen mehr. Sie fährt in eine nahe gelegene Frauenklinik.
Befunde. In der Notaufnahme stellt der Arzt im Ultraschall eine fetale Bradykardie von 40 Schlägen/min fest, es wird umgehend eine Notsectio durchgeführt. Das Neugeborene wiegt 3.270 g und zeigt nach der Geburt keine Spontanatmung. Die Plazenta weist ein retroplazentares Hämatom auf.
Therapie. Das Kind wird durch den Anästhesisten intubiert, eine Herz-Druck-Massage begonnen, intratracheal Adrenalin verabreicht und der Transportdienst einer Kinderklinik verständigt. Dieser trifft 22 min nach der Geburt ein, zu diesem Zeitpunkt ist das Kind schlaff, hat eine fehlende Spontanmotorik, ein blasses Hautkolorit bei rosigen Lippen, die Lungen sind bei Beutelbeatmung über den Trachealtubus seitengleich belüftet. Es wird ein Nabelvenenkatheter gelegt, über den das Kind eine Glukoselösung erhält. Aufgrund niedrigen Blutdrucks (MAD 32 mmHg) wird eine Adrenalinperfusor angelegt. Noch im Kreissaal wird der Hämoglobinwert bestimmt, er beträgt 15 g/dl.
Verlauf. Innerhalb der nächsten 2 Stunden kommt es zu einer deutlichen Zunahme der Spontanmotorik, die nach 6 Stunden wieder sistiert. Mit 12 Stunden ist das Kind komatös, es zeigt keinen Saugreflex und keinen Kornealreflex. Mit 26 Stunden ist die Fontanelle vorgewölbt und hart. Das EEG zeigt am Folgetag eine Nulllinie, bei der dopplersonographischen Untersuchung der Hirngefäße zeigt sich ein Pendelfluss. Es wird der Hirntod festgestellt und das Kind extubiert, es verstirbt sofort.
Beurteilung. Die Schmerzen der Mutter und das retroplazentare Hämatom zeigen eine vorzeitige Lösung der Plazenta an. Die daraus resultierende fetale Hypoperfusion führte zu einer irreversiblen Hirnschädigung. Eine kindliche Anämie trat nicht auf. Die unmittelbare postnatale Symptomatik entspricht der akuten ischämischen Beeinträchtigung, der Beginn des Komas markiert die Phase des sekundären Energieversagens.
Geburtstraumatische Schäden
Grundlagen
Als geburtstraumatische Schäden werden Läsionen bezeichnet, die durch mechanische Faktoren während der Geburt entstanden sind. Zumeist liegt eine schwierige Kindesentwicklung vor, bedingt durch eine atypische Lage, eine Makrosomie bzw. ein Missverhältnis zwischen Kind und Geburtswegen oder eine verzögerte Austreibung mit Notwendigkeit zur Zangengeburt oder Vakuumextraktion. Obwohl Fortschritte in der Geburtshilfe zu einer deutlichen Reduktion von geburtstraumatischen Schädigungen geführt haben, sind sie nicht immer vermeidbar. Einige als Geburtstraumata imponierende Läsionen sind intrauterin lagebedingt durch chronischen Druck entstanden.
Traumata im Kopfbereich
Extrakranielle traumatische Läsionen am Kopf des Neugeborenen sind häufig. Je nach Ausbreitung in den verschiedenen Schichten zwischen Haut und Kalotte (Haut – Galea aponeurotica – äußeres Periost der Kalotte) unterscheidet man (Abb. 4.12):
Caput succedaneum,
Kephalämatom und die
subgaleale Blutung.

Cave
Bei der subgalealen Blutung kann es zu einem erheblichen und lebensbedrohlichen Blutverlust kommen, oft resultiert eine behandlungsbedürftige Hyperbilirubinämie.
Intrazerebrale Blutungen bei Neugeborenen
Hirnblutungen bei reifen Neugeborenen sind selten und nicht immer traumatischer Genese.
Subdurale Blutung
Die subdurale Blutung ist in der Regel geburtstraumatisch bedingt. Prädisponierende Faktoren sind
Makrosomie des Kindes,
extrem kurze oder stark verlängerte Austreibungsperiode,
besondere Kindslage (Beckenendlage, Fußlage, Gesichtslage),
erschwerte Entwicklung mit notwendiger Zangenentbindung oder Vakuumextraktion.
Bei massiven Formen kommt es zum Einriss des Tentoriums mit meist letaler Blutung aus den großen Blutleitern. Geringere Traumata des Tentoriums können zur Ansammlung von Blut in der hinteren Schädelgrube führen, die Symptome sind abhängig vom Ausmaß der Blutansammlung. Eine weitere traumatisch bedingte Schädigung ist der Abriss der Brückenvenen über der Hirnkonvexität mit subduraler Blutansammlung. Diese kann symptomlos bleiben oder aber mit meist fokalen neurologischen Symptomen in den ersten Lebenstagen verbunden sein. Dabei werden fokale Krampfanfälle, eine diskrete Hemisymptomatik oder Blickdeviation in Richtung des Herds beobachtet. Die Diagnose kann mithilfe des Ultraschalls nicht immer gestellt werden. Eine nichtentdeckte subdurale Blutung kann später zu einem chronischen subduralen Erguss mit Makrozephalie und Hirndrucksymptomatik führen. Bei klinischem Verdacht sollte daher immer eine weitergehende Diagnostik (CT, MRT) durchgeführt werden. Bei raumfordernden Befunden ist eine operative Entlastung notwendig.
Gerinnungsstörungen
Störungen der Blutgerinnung können sowohl prä- als auch postnatal zu Hirnblutungen beim Neugeborenen führen. Die Ursachen sind eine dissiminierte intravasale Gerinnung bei Schock oder Sepsis, Thrombozytopenien (neonatale Isoimmunthrombozytopenie, Thrombozytopenie bei kongenitalen Infektionen, insbesondere Cytomegalie) oder in seltenen Fällen ein isolierter Mangel an einzelnen Gerinnungsfaktoren. Der Morbus hämorrhagicus neonatorum, bedingt durch einen Vitamin-K-Mangel, führt in der Neugeborenenzeit nur dann zu einer Hirnblutung, wenn dem Neugeborenen eine Vitamin K-Prophylaxe vorenthalten wurde oder er mit anderen Faktoren assoziiert ist (schwere kongenitale Lebererkrankung, maternale antikonvulsive Therapie).
Verletzungen der Hirnnerven, des Rückenmarks und der peripheren Nerven
Hirnnervenläsionen
Bei einer Fazialisparese zeigt sich ein schiefes Gesicht beim Schreien, der Mundwinkel wird auf der gesunden Seite tiefer heruntergezogen. In Ruhe hängt eher die erkrankte Seite etwas herab, die Nasolabialfalte ist verstrichen. Bei der meist vorliegenden peripheren Fazialisparese kommt es aufgrund einer Schädigung direkt nach dem Austritt aus dem Foramen stylomastoideum zu einer Funktionsstörung sowohl der oberen als auch der unteren Gesichtsmuskeln. In der Regel findet sich in Ruhe eine Lidspaltendifferenz. Im Gegensatz dazu sind bei einer zentralen Gesichtsnervenlähmung Bewegungen der Stirn und der Augenlider nicht beeinträchtigt. Ursache der peripheren Lähmung kann eine Druckschädigung bei Forcepsentwicklung sein. Weiterhin kann die Lähmung aufgrund einer intrauterin lagebedingten Kompression durch das mütterliche Promontorium zustande kommen. Therapeutisch muss bei einer peripheren Fazialisparese die Austrocknung des Auges verhindert werden. Traumatische Schädigungen bilden sich in der Regel über einige Wochen zurück.
Die Fazialisparese kann mit dem „schiefen Schreigesicht“ verwechselt werden.
Beim schiefen Schreigesicht wird ausschließlich beim Schreien der Mund auf einer Seite stark herabgezogen. Andere Funktionen der Gesichtsmuskulatur wie Stirnrunzeln, Augenschluss und Tiefe der Nasolabialfalte sind normal. Ursächlich liegt der Anormalie eine Hypoplasie des M. depressor anguli oris zugrunde.
Plexusschäden
Die Inzidenz von Verletzungen des Plexus brachialis liegt zwischen 0,5 und 2 pro 1.000 Geburten. Die obere Plexuslähmung (Erb-Duchenne) wird am häufigsten beobachtet und betrifft die Fasern von C5 und C6. Alle Formen der Nervenläsion können vorliegen von Neuropraxie (Schädigung der Reizleitung durch Hämatom oder Ödem der Nervenscheide) bis völliger Disruption des gesamten Plexusbündels. Mit der Entstehung von Plexusschäden verbundene Faktoren sind prolongierte Geburt, Schulterdystokie, Makrosomie, abnorme Kindslage und Zeichen fetaler Beeinträchtigung mit niedrigen Apgar-Werten. Klinisch fällt zunächst ein fehlender Moro-Reflex sowie eine Hypomotorik des betroffenen Armes auf. Die charakteristische Haltung besteht in einem herabhängenden Arm, der in Adduktion und Innenrotation gehalten wird, sowie einer Pronationshaltung der Hand; im englischen Schrifttum als „Waiter’s-Tip-Haltung“ bezeichnet (Abb. 4.13). Die Motorik der Hand ist ungestört, der Greifreflex kann ausgelöst werden.


Die physiotherapeutische Behandlung besteht in einer initialen Ruhigstellung des betroffenen Arms. Nach der ersten Woche erfolgt eine passive Bewegung der betroffenen Gelenke in allen Freiheitsgraden. Die Prognose hängt ab von der Schwere der Schädigung. In den meisten Fällen kommt es zu einer kompletten Restitutio. Je schneller diese Erholung erfolgt, umso vollständiger ist die funktionelle Wiederherstellung. Wenn es im Alter von 3 Monaten noch nicht zu einer spontanen Erholung gekommen ist, sollte eine Vorstellung in einer mit diesem Krankheitsbild vertrauten neurochirurgischen Einrichtung erfolgen.
Die untere Plexuslähmung betrifft C8 und Th1. Sie ist isoliert sehr selten und kommt eher in Kombination mit der oberen Lähmung als komplette Plexuslähmung vor. Klinisch imponiert eine Lähmung der kleinen Handmuskeln und der Flexoren im Handgelenk. Der Greifreflex ist nicht auslösbar. Aufgrund der begleitenden Schädigung von sympathischen Fasern in Th1 wird oft ein Horner-Syndrom mit Ptosis, Miosis und Enophthalmus beobachtet.
Akute schwere Rückenmarkverletzungen
Diese werden nach exzessiver Rotations- oder Zugbelastung der Wirbelsäule, v. a. bei Beckenendlagen und Forzepsextraktionen beobachtet. Die klinische Symptomatik, die dem Bild eines spinalen Schocks entspricht, hängt von der Höhe der Rückenmarkverletzung ab. Am häufigsten treten die Verletzungen im Hals- und Brustwirbelbereich auf. Bei Einblutungen in das Rückenmark (Hämatomyelie) kann eine schwere generalisierte Lähmung vorhanden sein.
Weichteil-, Knochen- und Organläsionen
Petechien und Ekchymosen auf der Haut
Sie sind häufig an den führenden Teilen und bedingt durch venöse Kongestion während des Geburtsvorgangs auf. Insbesondere das Gesicht kann aufgrund petechialer Blutungen „zyanotisch“ imponieren. Blutungen finden sich ebenfalls häufig subkonjunktival. Das Fehlen einer Blutungsbereitschaft an anderen Stellen und die typische Lokalisation unterscheiden den Befund von einer Koagulopathie.
Kongenitaler Tortikollis
Der angeborene Schiefhals besteht in einer Kontraktur des M. sternocleidomastoideus mit resultierender Drehung des Kopfs zur Läsionsseite und Schrägstellung des Gesichts mit Drehung des Kinns von der Seite weg. Er wurde lange als geburtstraumatische Läsion angesehen, bedingt durch ein Hämatom des M. sternocleidomastoideus mit subsequenter Fibrose. Alle Befunde sprechen jedoch dafür, dass diese Kontraktur durch eine intrauterine lagebedingte Zwangshaltung entstanden ist. Die Behandlung ist physiotherapeutisch.
Frakturen
Die häufigste geburtstraumatische Fraktur ist die Klavikulafraktur. In den meisten Fällen liegt eine Grünholzfraktur vor und das Kind zeigt nach der Geburt keine Symptome. Bei der Erstuntersuchung wird die Fraktur manchmal nicht erkannt und fällt erst bei der Folgeuntersuchung als tastbarer Kallus auf. Frakturen mit deutlichen Dislokationen können nach der Geburt zu Schonhaltung und Schmerzen bei der Armbewegung führen. Bei der Untersuchung lässt sich eine Krepitation tasten, der Moro-Reflex ist nicht seitengleich auslösbar. Eine Röntgenuntersuchung ist nur bei klinischen Symptomen indiziert. Die Prognose ist gut, Kallus bildet sich bereits nach 7–10 Tagen. Frakturen der Röhrenknochen (Humerusfraktur, Femurfraktur) können ebenfalls geburtstraumatisch bedingt sein. Klinisch fallen Schmerzen, Krepitation, Schwellung und Bewegungsarmut auf. Eine Schonhaltung des Arms mit Schwellung im Oberarm-Schulter-Bereich findet sich bei der akuten Osteoepiphysenlösung des Humeruskopfes, sie ist klinisch schwer von der oberen Plexuslähmung abzugrenzen. Die Diagnose ist in der Regel durch eine Ultraschalluntersuchung zu stellen; im Zweifel muss eine radiologische Untersuchung erfolgen.
Intraabdominale Verletzungen
Die Nebennierenblutung ist relativ häufig. Sie wird oft im Rahmen einer perinatalen Asphyxie beobachtet, kann aber auch traumatisch bedingt sein. Klinisch fällt sie auf durch eine tastbare abdominelle Resistenz, einer Anämie in den ersten Lebenstagen oder bei einer Ultraschalluntersuchung des Abdomens im Rahmen einer Asphyxiediagnostik. Die Blutung kann ein- oder beidseitig sein. Bei bilateralen Läsionen sollte die Nebennierenfunktion, der Blutzucker und Blutdruck überprüft werden.
Differenzialdiagnostisch ist ein zystisches Neuroblastom auszuschließen (Katecholaminbestimmung im Urin).
Die Blutung liquefiziert im weiteren Verlauf und kann später kalzifizieren. Die Erkrankung erfordert, außer bei massiven bilateralen Befunden mit Nebenniereninsuffizienzzeichen, keine Behandlung, die Prognose ist gut.
Subkutane Fettgewebsnekrose
Für die Entwicklung dieses Krankheitsbilds ist offenbar eine Kombination von verminderter Hautperfusion im Rahmen einer fetalen Hypoxie mit einem lokalen Trauma verantwortlich. Arme, Beine, Gesäß, Rücken und Gesicht sind bevorzugt betroffen. Klinisch findet sich eine in den ersten Lebenstagen auftretende, unregelmäßig begrenzte, leicht erhabene, derbe Schwellung mit Hautrötung. Im Verlauf werden die Veränderungen weicher und lösen sich auf, selten resultiert eine lokale Atrophie. Pathologisch liegt eine perivaskuläre Inflammation der Subkutis vor, gefolgt von Nekrose und Ausbildung eines Granuloms. Diese Granulomzellen sind offenbar in der Lage, extrarenal 1,25-Dihydroxyvitamin D zu produzieren, das zu einer Hyperkalzämie führen kann.
Cave
3–6 Wochen nach Ausbildung einer subkutanen Fettgewebsnekrose kann sich eine ausgeprägte Hyperkalzämie mit klinischen Symptomen (Erbrechen, Somnolenz) entwickeln. Entsprechende laborchemische Kontrollen sind erforderlich.
Das Frühgeborene
Epidemiologie
Ungefähr 6,5% aller Geburten erfolgen vor der vollendeten 37. Schwangerschaftswoche; etwa 1,5% der Kinder sind sehr kleine Frühgeborene (Geburtsgewicht <1.500 g, Gestationsalter <32 vollendete Gestationswochen).
Ätiologie
Die Frühgeburtlichkeit trägt als wesentlicher Faktor zur peri- und neonatalen Sterblichkeit bei. Die Ursachen der Frühgeburtlichkeit lassen sich nur bei einem Teil der Patienten eruieren:
vorzeitige Wehen,
vorzeitiger Blasensprung,
Amnioninfektionssyndrom,
Mehrlingsschwangerschaften,
akute Plazentalösung,
mütterliche Erkrankungen wie EPH-Gestose.
Prognose
Die Überlebenschance Frühgeborener mit einem Geburtsgewicht <1.500 g hat sich im letzten Jahrzehnt deutlich verbessert. Während in den frühen 1970er Jahren nur 15–40% dieser Risikopatienten die Neonatalperiode überlebten, ist 10 Jahre später die Überlebensrate Frühgeborener auf >90% angestiegen. Die Spätprognose ist allerdings immer noch Anlass zur Besorgnis. Zum Zeitpunkt der Einschulung weisen 6–12% der Frühgeborenen mit einem Geburtsgewicht zwischen 500–1.500 g, die in den 1990er Jahren geboren wurden, schwere Behinderungen auf. Hier werden in verschiedenen Follow-up-Studien Zerebralparesen bei 2–9%, zum Teil schwerste Sehbehinderungen bei 2–18% und Hörbehinderungen bei 2–14% der Hochrisikofrühgeborenen berichtet. Partielle Leistungsschwächen und Schulschwierigkeiten wurden bei mehr als 1/3 der Kinder beobachtet. Erste Nachuntersuchungsergebnisse, die bei Hochrisikofrühgeborenen der letzten 10 Jahre durchgeführt wurden, berichten erfreulicherweise von einer Abnahme der neurologischen Spätfolgen.
Die günstigere Prognose ist zu einem großen Teil auf die Verbesserung der Betreuung und des perinatalen Managements von Risikoschwangeren sowie die Fortschritte der neonatalen Intensivmedizin zurückzuführen.
Klinik
Das Grundproblem sehr kleiner Frühgeborener bleibt jedoch bestehen: die Unreife von Organsystemen und -funktionen, die postnatal zu einer Reihe von akuten Erkrankungen und chronischen pulmonalen und neurologischen Folgeschäden führen können:
Atemnotsyndrom, chronische Lungenerkrankung, bronchopulmonale Dysplasie,
intrazerebrale Blutung, periventrikuläre Leukomalazie,
persistierender Ductus arteriosus,
Apnoe, Bradykardie,
nekrotisierende Enterokolitis,
erhöhte Infektionsdisposition, nosokomiale Sepsis,
Hypothermie, Hypoglykämie,
Frühgeborenenretinopathie, Taubheit,
psychomotorische Retardierung, neurologische Schädigung.
In den letzten Jahren gibt es eine zunehmende Anzahl von experimentellen Untersuchungen sowie klinischen Beobachtungen und Studien, die eine Assoziation zwischen maternaler Chorioamnionitis und dem Auftreten einer bronchopulmonalen Dysplasie sowie Hirnblutungen bzw. periventrikulärer Leukomalazie nahelegen. Eine Chorioamnionitis lässt sich bei mehr als 50% aller sehr unreifer Frühgeborener in der Vorgeschichte nachweisen. Vermutlich führt die im Rahmen einer Chorioamnionitis beschriebene intrauterine Zytokinexposition des Feten zu einer Inflammationsreaktion in der kindlichen Lunge sowie zu einer ersten Schädigung der unreifen vaskulären Endothelstrukturen, dem sog. „first hit“ (Abb. 4.14). Treten unmittelbar nach der Geburt weitere schicksalshafte oder auch vermeidbare Ereignisse auf, die zu einer Veränderung der zerebralen Durchblutung und Fluktuationen des zerebralen Blutflusses führen, so kann eine Hirnblutung oder Minderperfusion vulnerabler Gehirnstrukturen auftreten. Die intrauterine pulmonale Inflammationsreaktion wird durch postnatale O2-Toxizität, Baro-Volu-Trauma sowie Infektionen verstärkt und kann in eine bronchopulmonale Dysplasie einmünden.

Männliche Frühgeborene und Mehrlinge haben allerdings eine geringere Überlebenschance als weibliche Risikopatienten bzw. Einzelgeborene gleichen Gestationsalters.
Management
Für eine optimale Betreuung von Risikofrühgeborenen muss eine Reihe von Bedingungen erfüllt sein. Risikoschwangere und Frühgeborene sollten nur in personell und technisch optimal ausgestatteten Perinatalzentren Level 1 betreut werden. Ein In-utero-Transport eines gefährdeten Frühgeborenen ist mit ungleich geringeren Risiken verbunden als eine postnatale Verlegung. Die Inzidenz von bleibenden Behinderungen ist – wie in vielen Studien belegt – bei einer Behandlung in Perinatalzentren deutlich geringer als in kleinen Kinderkliniken, die über eine geringere Erfahrung in der Behandlung der Patienten und/oder eine unzureichende personelle bzw. apparative Ausstattung verfügen.
Bei einer drohenden Geburt vor der 34. Gestationswoche ist unter maximaler tokolytischer Therapie und kritischer Indikationsstellung eine Lungenreifungsbehandlung mit Betamethason oder Dexamethason durchzuführen.
Die Geburt dieser Risikopatienten sollte so atraumatisch wie möglich erfolgen. Durch eine schonende Spontangeburt scheint die Komplikationsrate insbesondere zerebraler Schädigungen nicht erhöht zu sein. Eine primäre Sectio caesarea ist in jedem Fall bei Kindern mit Beckenendlage, drohender intrauteriner Asphyxie, Verdacht auf Amnioninfektionssyndrom sowie jedweder Form relevanter mütterlicher und kindlicher Pathologie indiziert. Während der mütterlichen Anästhesie muss eine intrauterine und postnatale Depression des Kindes unbedingt vermieden werden. Dies setzt eine enge Abstimmung von Anästhesieverfahren, chirurgischem Vorgehen und unmittelbar postnataler Versorgung der Frühgeborenen voraus.
Nach der Erstversorgung der Frühgeborenen im Kreißsaal erfolgt die weitere zeit- und personalaufwändige Behandlung und Pflege der Kinder auf einer neonatologischen Intensivstation. Die therapeutischen Maßnahmen zielen auf eine Stabilisierung und Korrektur von postnatal einsetzenden Organstörungen ab. Da Frühgeborene nicht in der Lage sind, die Körpertemperatur selbstständig aufrecht zu erhalten, werden die Kinder in einem Inkubator oder in speziellen Wärmeeinheiten gepflegt; die Temperatur wird den Bedürfnissen der Patienten (thermoneutrale Temperatur, ausreichende Luftfeuchtigkeit) angepasst. Zur Überwachung der Frühgeborenen werden EKG- und Atmungsmonitore eingesetzt, in Abhängigkeit vom postnatalen Verlauf (maschinelle Beatmung, O2-Therapie) erfolgt eine kontinuierliche transkutane Messung des O2- und CO2-Partialdrucks, eine kontinuierliche Pulsoxymetrie, repetitive Blutgasanalysen, Blutdruckmessungen u. a. Sehr kleine Frühgeborene werden häufig parenteral (zentrale Katheter) und/oder mithilfe einer Magensonde ernährt.
Das Risiko an einer nosokomialen Sepsis und lokalen nosokomialen Infektionen zu erkranken ist hoch; in einigen Perinatalzentren erkranken bis zu 25% der Hochrisikopatienten an einer Sepsis. Die psychische Bindung zwischen Mutter und Frühgeborenem bzw. zwischen Vater und Frühgeborenem soll auch bei beatmeten, aber respiratorisch und zirkulatorisch stabilen Kindern so früh wie möglich erfolgen. Die sog. Känguru-Methode wird von den meisten Frühgeborenen außerordentlich gut toleriert (Abb. 4.15).


Das Atemnotsyndrom Frühgeborener
Die Surfactantsubstitution stellt einen entscheidenden Durchbruch in der Behandlung des Atemnotsyndroms Frühgeborener dar. Durch diese kausale Therapiemaßnahme konnten die akuten pulmonalen Komplikationen beatmeter Frühgeborener und die Sterblichkeit drastisch reduziert werden.
Epidemiologie
Das Atemnotsyndrom Frühgeborener (RDS: „respiratory distress syndrome“; syn: hyalines Membranensyndrom) stellte vor Einführung der Surfactantsubstitution die häufigste Todesursache der Neonatalperiode dar. Ungefähr 1% aller Neugeborenen erkrankt an einem RDS. Die Inzidenz steigt mit abnehmendem Gestationsalter: bis zu 60% der Frühgeborenen <30. Gestationswoche entwickeln ein RDS.
Pathogenese
Wesentliche Ursache des RDS ist der Mangel eines pulmonalen oberflächenaktiven Surfactantsystems, das die Oberflächenspannung der Alveolen vermindert und somit zur Stabilität des Alveolarsystems beiträgt; es beugt einem Alveolarkollaps in der Exspiration vor (Surfactant: „surface active agent“). Surfactant, das in Pneumozyten vom Typ II gebildet und in den Alveolarraum sezerniert wird, besteht überwiegend aus verschiedenen Phospholipiden.
Bei Patienten mit RDS ist die Surfactanthauptkomponente Dipalmitoylphosphatidylcholin (Lecithin) quantitativ vermindert, Phosphatidylcholin fehlt vollständig. Da eine ständige Sekretion von Surfactant in das Fruchtwasser stattfindet, konnte früher durch eine Bestimmung des L/S-Quotienten (Lecithin/Sphingomyelin) die Lungenreife von Frühgeborenen abgeschätzt werden.
Neben Phospholipiden enthält Surfactant Apoproteine unterschiedlichen Molekulargewichts (SP: „surfactant protein“). Während die hochmolekularen Apoproteine (SP-A) vermutlich die zelluläre Sekretion und Wiederaufnahme der Phospholipide regulieren sowie lokale Abwehrfunktionen gegen verschiedenste mikrobielle Erreger übernehmen (SP-A, SP-D), kommt den hydrophoben niedermolekularen Apoproteinen (SP-B, SP-C) eine besondere funktionelle Bedeutung zu: sie verbessern die Absorption und Ausbreitung der Surfactantphospholipide.
Die Surfactantdefizienz wird typischerweise durch eine postnatal einsetzende intraalveoläre Akkumulation von Plasmaproteinen kompliziert, die nach Schädigung des Alveolarepithels und Kapillarendothels die Alveoli auskleiden und die Surfactantwirkung direkt inhibieren (hyaline Membranen; Abb. 4.16).

Eine ausreichende Surfactantsynthese besteht in der Regel von der 35. Gestationswoche an. Eine verzögerte Lungenreifung können Kinder diabetischer Mütter, Neugeborene mit Asphyxie oder schwerer Erythroblastose aufweisen. Eine beschleunigte Lungenreifung wird bei Präeklampsie und Wachstumsretardierung, bei intrauterinem Stress durch vorzeitigen Blasensprung (2–7 Tage) und durch ein mütterliches Amnioninfektionssyndrom beobachtet.
Pathophysiologie
Bei einem Surfactantmangel entwickeln sich in den Lungen der Frühgeborenen unmittelbar nach der Geburt zunehmende diffuse Atelektasen, die alveoläre Minderbelüftung führt zu einer Hypoxämie/Hypoxie und zu einem Anstieg des CO2-Partialdrucks. Die Folgen sind eine systemische Hypotension und Vasokonstriktion der pulmonalen Gefäße, die eine pulmonale Minderperfusion sowie eine Ausbildung intrapulmonaler Shunts und eines Rechts-links-Shunts auf Vorhofebene (Foramen ovale) bzw. über den Ductus arteriosus nach sich ziehen. Der pulmonale Metabolismus wird erheblich eingeschränkt. Sowohl Azidose, Hypoxie und der veränderte Lungenstoffwechsel inhibieren die postnatal einsetzende De-novo-Synthese von Surfactant. In Abb. 4.17 ist der Circulus vitiosus des Atemnotsyndroms dargestellt.

Klinik
Klinische Symptome treten unmittelbar nach der Geburt oder innerhalb der ersten 3–4 Stunden post partum auf:
Tachypnoe >60/min,
Nasenflügeln,
exspiratorisches Stöhnen,
sternale und interkostale Einziehungen,
abgeschwächtes Atemgeräusch,
Mikrozirkulationsstörungen: blass-graues Hautkolorit,
Temperaturinstabilität,
evtl. Zyanose (bei insuffizienter Behandlung).
Bei der röntgenologischen Untersuchung des Thorax finden sich typische Veränderungen: unter zunehmender Verdichtung des Lungenparenchyms mit Auslöschung der Herz- und Zwerchfellkonturen entwickelt sich eine sog. „weiße Lunge“ (Abb. 4.18).


Cave
Eine neonatale Infektion mit β-hämolysierenden Streptokokken der Gruppe B kann sich unter klinischen und radiologischen Zeichen eines RDS manifestieren!
Komplikationen
Im Verlauf der Erkrankung können folgende Komplikationen auftreten:
extraalveoläre Luftansammlung, pulmonales interstitielles Emphysem,
Pneumothorax,
Pneumomediastinum,
Pneumoperitoneum,
Pneumoperikard.
Als Folge der Lungenunreife, der Langzeitbeatmung und O2-Toxizität in der Einatmungsluft kann sich bei Risikopatienten eine chronische Lungenerkrankung, die bronchopulmonale Dysplasie (BPD) entwickeln.
Symptomatische Therapie
Die Therapie des RDS wird vom Schweregrad der pulmonalen Erkrankung bestimmt:
Beileichtem RDS: Nasen-CPAP („continuous positive airway pressure“ über einen binasalen CPAP); frühzeitige minimal invasive Surfactantapplikation bei spontan atmenden Frühgeborenen.
Bei deutlicher Ventilations- und Oxygenierungsstörung: intermittierende oder kontrollierte maschinelle Beatmung der Patienten über einen trachealen Tubus, frühzeitige Surfactanttherapie.
Überwachung: kontinuierliche transkutane Messung des pO2 und pCO2, kontinuierliche Pulsoxymetrie, regelmäßige Blutgasanalysen, engmaschige Blutdruckkontrollen, evtl. Plasma- bzw. Bluttransfusionen u. a. Maßnahmen.
Das Grundprinzip besteht im „minimal handling“, einer möglichst geringen Belastung des Frühgeborenen durch diagnostische und therapeutische Maßnahmen.
Surfactantsubstitutionstherapie
In den letzten 25 Jahren ist mit der Substitution mit natürlichem Surfactant als kausaler Therapie ein entscheidender Fortschritt in der Behandlung des Atemnotsyndroms Frühgeborener erzielt worden.
1959 konnten Avery u. Mead, Boston, bei verstorbenen Frühgeborenen erstmals belegen, dass das hyaline Membranensyndrom mit dem Mangel des oberflächenaktiven Materials assoziiert war. Enhorning u. Robertson, Stockholm, publizierten 1972 die vielbeachteten Ergebnisse einer Surfactantsubstitutionstherapie bei beatmeten frühgeborenen Kaninchen. 1980 berichteten Fujiwara et al., Akita, erstmals von Frühgeborenen mit manifestem Atemnotsyndrom, die nach intratrachealer Applikation eines Rindersurfactants deutliche Veränderungen des pulmonalen Gasaustauschs zeigten. In der folgenden Dekade wurde die klinische Wirksamkeit der Surfactantbehandlung in sorgfältig geplanten multizentrisch kontrollierten und/oder randomisierten Studien eindrucksvoll belegt; weltweit wurden mehr als 10.000 Frühgeborene mit verschiedensten Surfactantpräparationen behandelt. Die Surfactantsubstitution ist damit die am besten untersuchte Therapie der Neonatalmedizin.
Natürliche Surfactantpräparate werden durch Lavage von Kälber- und Rinderlungen (Alveofact, Infasurf) oder Homogenisierung von Rinderlungen (Surfactant-TA, Survanta) oder Schweinelungen (Curosurf) extrahiert oder aber wurden für klinische Studien aus dem menschlichen Fruchtwasser isoliert. Die Präparate enthalten die Apoproteine SP-B und SP-C (ca. 1%), sie unterscheiden sich aber in der Zusammensetzung der Phospholipidfraktionen, der Konzentration und dem Applikationsvolumen.
Synthetische Surfactantpräparate sind apoproteinfrei. Wie in randomisierten Studien belegt wurde, überlebten mehr Frühgeborene mit RDS, die ein natürliches Surfactantpräparat erhielten; synthetische Surfactantpräparate stehen zur Zeit nicht mehr zur Verfügung.
Effekte der Surfactantsubstitution
Unmittelbar nach intratrachealer Applikation natürlicher Surfactantpräparate konnte bei Frühgeborenen mit manifestem RDS in allen kontrollierten Studien eine – wenn auch recht unterschiedliche – Verbesserung der Oxigenierung und der Beatmungssituation erzielt werden; die Pneumothoraxinzidenz konnte um 50–70% und die Sterblichkeit um ca. 40% reduziert werden.
Neuere Untersuchungen weisen darauf hin, dass eine Surfactantbehandlung in der frühen Phase des Atemnotsyndroms einer Therapie in einer späteren Erkrankungsphase überlegen ist. Besonders sehr unreife Frühgeborene <28 Gestationswochen profitieren bei ersten Anzeichen eines RDS von einer sehr frühen Surfactantapplikation. Auf Grund seiner biophysikalischen Eigenschaften kann Surfactant auch bei spontan atmenden Frühgeborenen mit Hilfe einer in die Trachea eingeführten Sonde wirksam eingesetzt werden.
Empfehlungen zur postnatalen Surfactantbehandlung
Möglichst frühzeitige Behandlung im Kreißsaal für sehr unreife Frühgeborene <28 Gestationswochen
Frühe Surfactantsubstitution bei Frühgeborenen <32 Gestationswochen mit klinischen Zeichen des „respiratory distress syndrome“, maschineller Beatmung und O2-Bedarf >40%
Spätere Behandlung bei etwas „reiferen“ Frühgeborenen mit RDS, maschineller Beatmung und einem O2-Bedarf >50–60%
Initialdosis für die frühe Behandlung mit natürlichen Surfactantpräparaten ca. 100 mg/kgKG, bei manifestem RDS 200 mg/kgKG
Innerhalb von 48 h wiederholte Surfactantgaben bei erneutem O2-Anstieg >30% und maschineller Beatmung (kumulative Dosis: 400 mg/kgKG)
Unabhängig von der Art der Surfactantpräparation muss der behandelnde Kinderarzt mit allen Aspekten der Surfactantapplikation, der maschinellen Beatmung sowie allen anderen Maßnahmen der neonatologischen Intensivmedizin vertraut sein
Nebenwirkungen
Cave
Nach Gabe natürlicher Surfactantpräparate kann eine akute Überblähung des Lungenparenchyms („Hyperexpansion“) durch eine ungenügende Anpassung des Beatmungsdrucks zu ernsthaften Ventilations- und Zirkulationsproblemen der behandelten Kinder führen.
Eine Sensibilisierung gegen tierische, im Surfactant enthaltende Apoproteine wurde bei keinem Patienten beschrieben. In Nachuntersuchungen von Kindern, die mit natürlichen oder synthetischen Präparaten behandelt worden waren, konnte kein Unterschied in der somatischen oder neurologischen Entwicklung im Vergleich zu unbehandelten Kontrollpatienten festgestellt werden. Eine gehäufte Infektanfälligkeit oder gar ein Auftreten einer chronischen Slow-virus-Infektion wurde nach Behandlung mit natürlichen Surfactantpräparaten auch nach einer mehr als 25-jährigen Erfahrung mit diesem neuen Therapieprinzip bisher nicht beobachtet.
Andere Indikationen für eine Surfactanttherapie
Neben dem neonatalen Atemnotsyndrom ist eine Surfactantbehandlung auch bei Erkrankungen vorstellbar, in deren Verlauf ein sekundärer Surfactantmangel auftritt.
Prävention
Die sog. Lungenreifungsbehandlung durch Betamethason oder Dexamethason kann die Inzidenz und den Schweregrad des RDS Frühgeborener durch eine Enzyminduktion vermindern. Betamethason sollte der Schwangeren möglichst 48 h vor der Geburt verabreicht werden. Pränatale Kortikosteroide in Kombination mit der postnatalen Surfactantherapie (natürliches Surfactant) reduzieren die Sterblichkeit sowie die Inzidenz pulmonaler sowie extrapulmonaler Komplikationen (Hirnblutung). Allerdings ist von einer repetitiven Gabe, die noch in jüngster Vergangenheit in 8- bis 10-tägigen Abständen bis zum Zeitpunkt der Geburt erfolgte, abzuraten. Es gibt ernst zu nehmende Hinweise, dass die Entwicklung des fetalen Gehirns durch diese Strategie beeinträchtigt wird.
Als weiterer bedeutsamer Faktor in der Prävention des RDS ist eine schonende Geburtseinleitung und optimale primäre Stabilisierung der Risikokinder anzusehen.
Der besondere Fall
Anamnese. Nach unauffälligem Schwangerschaftsverlauf treten bei einer 24-jährigen Zweitgebärenden in der 29. Gestationswoche plötzlich vorzeitige Wehen auf, dazu rasche Muttermundseröffnung, unauffälliges kindliches CTG. Trotz sofortigen Beginns einer tokolytischen (wehenhemmenden) Therapie erfolgt nach einmaliger Kortisongabe die Spontangeburt wenige Stunden nach stationärer Aufnahme.
Befund und Erstversorgung. Weibliches Frühgeborenes der 29. Gestationswoche, Geburtsgewicht 1.060 g, vital. Wegen unregelmäßiger Atmung wird nach kurzzeitiger Maskenbeatmung mit 40% O2 ein stabiler klinischer Zustand erreicht mit O2-Sättigung von 92%. Nach 45 min zeigt sich eine zunehmende Tachypnoe (Atemfrequenz um 70/min), „stöhnende“ Atmung und beginnende juguläre und interkostale Einziehungen. Darauf folgt die endotracheale Intubation.
Verlauf. Unter maschineller intermittierender Beatmung nimmt der O2-Bedarf weiter zu, im Alter von 3 h unter 80% inspiratorischem O2-Gehalt normale Sättigung, Ventilation und systemischer Blutdruck.
Röntgenthorax. Diffuse feingranuläre Verdichtung des Lungenparenchyms mit beginnender Auslöschung des Herzrandes: RDS Grad III.
Therapie. Nach intratrachealer Applikation eines natürlichen Surfactantpräparats (100 mg Phospholipide/kgKG ≈1,25 ml Flüssigkeit/kgKG) kann innerhalb weniger Minuten eine Reduktion des inspiratorischen O2-Gehalts auf 30% erfolgen. Etwa 30 min später fällt dann eine rasch progrediente Verschlechterung der Oxygenierung und der Ventilationssituation auf (inspiratorische O2-Konzentration 100%, pCO2 65 mmHg). Radiologisch zeigte die Lunge eine massive Überblähung mit geringer Gefäßzeichnung. Durch drastische Senkung des inspiratorischen Spitzendrucks und Atemwegmitteldrucks normalisiert sich die Beatmungssituation, der kindliche Zustand stabilisiert sich. Die Extubation erfolgt am 5. Lebenstag. Im weiteren Verlauf treten keine pulmonalen und zerebralen Komplikationen (Hirnblutung) nach Atemnotsyndrom auf, die Entlassung eines gesunden ehemaligen Frühgeborenen erfolgt in der 10. Lebenswoche bei einem Gewicht von 2.560 g.
Beurteilung. Typisches mittelschweres, durch Surfactantmangel bedingtes Atemnotsyndrom, erfolgreiche Surfactantsubstitutionsbehandlung. Durch die unterlassene Reduktion des Beatmungsdrucks nach Surfactantapplikation iatrogene Überblähung des Lungenparenchyms mit schwerer Ventilations- und Oxygenierungsstörung sowie Drosselung der pulmonalen Perfusion.
Persistierender Ductus arteriosus (PDA)
Ein hämodynamisch wirksamer persistierender Ductus arteriosus stellt das häufigste kardiovaskuläre Problem Frühgeborener dar.
Pathogenese, Pathophysiologie
Bei reifen Neugeborenen setzt mit ansteigenden O2-Partialdrucken nach der Geburt eine Konstriktion des Ductus arteriosus und ein konsekutiver Verschluss ein. Der Ductus arteriosus Frühgeborener reagiert schwächer auf die postnatalen Kontraktionsreize. Wesentliche Faktoren dürften die unreife Muskulatur des Ductus und der persistierende vasodilatatorische Effekt hoher Prostaglandinkonzentrationen (PGE2) bei Frühgeborenen sein. Bei ausbleibendem Ductusverschluss entwickelt sich in der akuten Phase des RDS ein Shunt zwischen pulmonaler und systemischer Zirkulation (Rechts-links-Shunt).
Mit Rückbildung des RDS sinkt der pulmonale Gefäßwiderstand ab. In dieser Phase kann sich ein hämodynamisch signifikanter Links-rechts-Shunt über den PDA entwickeln. Die Folge ist eine akute pulmonale Überflutung mit hämorrhagischem Lungenödem und akuter kardialer Insuffizienz. Die Beatmungssituation der Patienten verschlechtert sich akut, durch Intensivierung der Beatmung und Erhöhung der inspiratorischen O2-Konzentration nimmt die Lungenschädigung zu (bronchopulmonale Dysplasie). Auch bei protrahierter Manifestation eines PDA können u. a. ein interstitielles Lungenödem und Veränderungen der Organperfusion (Nieren, Magen-Darm-Trakt) auftreten.
Klinik
Ein PDA manifestiert sich häufig zwischen dem 3. und 5. Lebenstag:
präkordiale Hyperaktivität,
systolisches Herzgeräusch, gelegentlich kontinuierlich,
Pulsus celer et altus („springende Pulse“), Tachykardie,
Verschlechterung der Beatmungssituation, evtl. feinblasige Rasselgeräusche,
evtl. Hepatomegalie,
renale Ausscheidungsprobleme,
Zirkulationsstörungen.
Cave
Etwa 20% der Frühgeborenen mit hämodynamisch signifikantem persistierendem Ductus arteriosus haben kein Herzgeräusch!
Die klinische Verdachtsdiagnose wird durch die Röntgenthoraxaufnahme, die 2-dimensionale Echokardiographie und den direkten Shuntnachweis mithilfe der Dopplertechnik und Farbdopplerverfahren bestätigt.
Therapie
Die wesentlichen Therapieprinzipien des symptomatischen PDA sind:
Flüssigkeitsrestriktion,
Prostaglandinsynthesehemmer (Indometacin, Ibuprofen),
operativer PDA-Verschluss.
Durch die Hemmung der Prostaglandinsynthese wird der gefäßerweiternde Effekt von Prostaglandin E2 antagonisiert. Kontraindikationen der Indometacinbehandlung sind: Thrombozytopenie, Serumkreatinin >1,8 mg/dl und Oligurie. Etwa 40% aller medikamentös behandelten Frühgeborenen sprechen auf diese konservative Behandlung nicht an.
Bronchopulmonale Dysplasie
Grundlagen
1967 beschrieb Northway erstmalig eine Gruppe von Frühgeborenen, die nach maschineller Beatmung und langer O2-Therapie wegen eines Atemnotsyndroms keine Besserung der Lungenfunktion zeigten. Viele Kinder blieben über lange Zeit respiratorabhängig oder verstarben unter der Beatmung. Diese vorher nicht beobachtete chronische Lungenkrankheit wurde als bronchopulmonale Dysplasie (BPD) bezeichnet.
Pathogenese
Die BPD ist eine chronische Lungenkrankheit Frühgeborener. Grundvoraussetzung für die Entstehung ist die Unreife der Lunge, welche sowohl die anatomischen Strukturen als auch funktionelle Systeme wie das Surfactantsystem betrifft. In der Frühphase liegt eine pulmonale Inflammationsreaktion vor, die durch ein maschinelles Beatmungstrauma die O2-Toxizität in der Einatmungsluft oder eine pränatale Infektion im Rahmen einer Chorioamnionitis ausgelöst wird. Eine postnatale Infektion ist ebenfalls in der Lage, eine pulmonale Entzündung zu induzieren. Folge ist zunächst ein interstitielles und alveoläres Ödem. Bei anhaltender Exposition gegenüber den Noxen wird der normale Gewebsreparaturprozess in der Lunge gestört, bei schweren Verläufen kommt es zur Ausbildung einer Fibrose und eines Lungenemphysems (Abb. 4.19). Es gibt zunehmend Hinweise, dass die Inflammationsreaktion die physiologische Sequenz des Lungenwachstums beeinflusst. Die Folge ist eine abnorme Lungenentwicklung mit einer Beeinträchtigung der Alveolarisierung und der Vaskularisierung.

Für die Entwicklung einer bronchopulmonalen Dysplasie ist häufig ein Atemnotsyndrom in den ersten Lebenstagen verantwortlich, es ist aber keine unbedingte Voraussetzung: ein Teil sehr unreifer Frühgeborener entwickelt eine BPD auch bei initial scheinbar gesunder Lunge.
Pathophysiologie
Die Lungenfunktion von Frühgeborenen mit schwerer BPD ist durch ein niedriges Lungenvolumen sowie eine erniedrigte Compliance charakterisiert. Entwickelt sich in der Folge ein erhöhter Atemwegswiderstand, so liegt eine Kombination von obstruktiver und restriktiver Ventilationsstörung vor. Atelektasen und Emphysem führen zu einer Störung der Relation zwischen alveolärer Ventilation und Perfusion. Der resultierende intrapulmonale Rechts-links-Shunt ist die Ursache für die Hypoxämie bzw. den O2-Bedarf. Aufgrund der Gefäßrarefizierung und einer Mediahypertrophie entwickelt sich bei fortgeschrittenem Krankheitsbild ein pulmonaler Hypertonus.
Klinik
Frühgeborene mit einer BPD zeigen folgende Charakteristika und klinische Symptome:
Langzeitbeatmung, schwierige Entwöhnung von der maschinellen Beatmung,
nach der Extubation: eine persistierende Atemnot mit anhaltendem O2-Bedarf, sternalen und kostalen Einziehungen und Tachypnoe.
Kardiopulmonale Instabilität mit Neigung zu häufigen O2-Sättigungsabfällen und Bradykardien.
Typisches radiologisches Bild: fleckig-steifige röntgendichte Veränderungen in Abwechslung mit Regionen erhöhter Strahlentransparenz oder zystisch-emphysematösen Bereichen (Abb. 4.20).
Auf Grund der erhöhten Atemarbeit: Gedeihstörung.

Diagnose
Der Schweregrad der BPD wird durch den O2-Bedarf bzw. Beatmungsform im Alter von 36 Wochen definiert.
Prävention
Prinzipiell ist die Prävention der BPD das erste Behandlungsziel.
Allgemeine Maßnahmen zur Prävention der bronchopulmonalen Dysplasie
Pränatale Steroidbehandlung
Frühzeitige Surfactanttherapie bei Atemnotsyndrom
Frühzeitige Behandlung eines klinisch relevanten persistierenden Ductus arteriosus
Vermeidung einer Flüssigkeitsüberladung
Niedrigste mögliche Beatmungsunterstützung und O2-Gabe zur Aufrechterhaltung eines ausreichenden Gasaustauschs
Falls möglich, Vermeidung einer maschinellen Beatmung
Bei Beatmung frühzeitige Extubation und CPAP-Behandlung
Gewährleistung einer ausreichende Ernährung (parenteral/enteral) sowie Versorgung mit Spurenelementen und Vitaminen (Vitamin A)
Therapie
Während der stationären Behandlung können folgende, gut belegte Behandlungsmaßnahmen sinnvoll sein:
Koffein. Offenbar durch Verbesserung der Lungenmechanik sowie der diuretischen Wirkung führt die Behandlung mit Coffein zu einer Senkung der BPD-Rate.
Steroide. Unter einer postnatalen Behandlung Frühgeborener mit Dexamethason kommt es zu einer Verminderung des pulmonalen Wassergehalts, zu einer Verbesserung des Gasaustauschs, einer Abnahme der pulmonalen Inflammationsreaktion sowie der mikrovaskulären Permeabilität der Lunge. Diese Therapie sollte aber nur unter strengster Indikation und nicht vor Beginn der 3. Lebenswoche durchgeführt werden; sie ermöglicht innerhalb von 2–5 Tagen bei der Mehrzahl der behandelten beatmeten Patienten eine Extubation. Die Rolle inhalativer Kortikosteroide in der Prävention der BPD ist weiterhin unklar.
Das Risiko für die Entwicklung einer Zerebralparese ist bei einer frühzeitigen Behandlung mit Dexamethason deutlich erhöht und daher obsolet. Eine spätere Therapie nach dem 14. Lebenstag darf nur bei schwerer pulmonaler Insuffizienz eines Frühgeborenen erfolgen.
Sauerstoff. Bei etablierter BPD, insbesondere bei schweren Verläufen, besteht eine deutliche Mediahypertrophie der Pulmonalgefäße. In dieser Situation sollte Sauerstoff nicht zu niedrig dosiert werden, um die Entwicklung bzw. Zunahme einer pulmonalen Hypertonie zu vermeiden (SO2 >92%, pO2 >55 mmHg). Ausreichende O2-Zufuhr ist ebenfalls erforderlich für eine befriedigende Gewichtszunahme. Eine regelmäßige echokardiographische Überwachung zur Beurteilung des Lungengefäßwiderstandes ist notwendig.
Prognose
In den meisten Fällen kommt es zu einer Reparatur der pulmonalen Veränderungen, dieses zeigt sich am Rückgang der Atemnotsymptomatik und des O2-Bedarfs. Nur wenige Frühgeborene benötigen auch zum Zeitpunkt der Entlassung aus der Klinik noch Sauerstoff und erhalten eine entsprechende häusliche Therapie, die in der Regel nicht länger als 3–6 Monate erforderlich ist. Einzelne Kinder lassen sich nicht von der Beatmung entwöhnen.
Weiterhin haben Kinder mit BPD nicht selten ein hyperreagibles Bronchialsystem und erkranken innerhalb der ersten 2 Lebensjahre häufig an einer obstruktiven Bronchitis. Virale Infektionen, insbesondere die RSV-Bronchiolitis, können bei BPD-Patienten zu einem schwer verlaufenden Krankheitsbild führen. Auffälligkeiten der Lungenfunktion (reversible oder fixierte Obstruktionen, erhöhtes intrathorakales Gasvolumen) sind bis ins Erwachsenenalter nachweisbar. In der Regel sind die Kinder jedoch körperlich später gut belastbar und in der Lage, Sport zu treiben.
Retinopathia praematurorum
Die Geschichte der Retinopathia praematurorum stellt ein erschreckendes Beispiel dar, wie dogmatisch getroffene medizinische Entscheidungen zu menschlichen Katastrophen führen können. Seit Beginn der 1940er Jahre wurden viele Frühgeborene mit zusätzlichem Sauerstoff behandelt, die Konzentrationen lagen bei 70% O2. Erst in den 1950er Jahren wurde von australischen Kinderärzten der freizügige Einsatz von Sauerstoff als Ursache des epidemieartigen Auftretens der retrolentalen Fibroplasie (= ROP) und damit der Erblindung von relativ „reifen“ Frühgeborenen identifiziert. Eines der berühmtesten Opfer ist Stevie Wonder, Jahrgang 1950, der in der 34. Gestationswoche geboren wurde. Aufgrund dieser alamierenden Ergebnisse wurden strenge Therapierichtlinien mit Limitierung der O2-Gabe auf 40% eingeführt. Die Folge war ein dramatischer Rückgang der ROP. Dieses wurde als überzeugender Beweis für die Richtigkeit der These angesehen, dass Sauerstoff in der Tat die einzige notwendige und ausreichende Ursache der retinalen Erkrankung war. Jeder Fall von ROP-bedingter Blindheit wurde als Folge einer fehlerhaften O2-Therapie angesehen und hatte entsprechende juristische Folgen.
Aufgrund der zunehmenden Überlebensraten sehr unreifer Frühgeborener kam es in den 1980er Jahren jedoch zu einer deutlichen Wiederzunahme der Erkrankung, sodass von einer neuen zweiten Epidemie gesprochen wurde. Es wurde nun jedoch klar, dass die ROP eine multikausale Erkrankung war, die ihre Hauptursache in der Unreife der Frühgeborenen hat. Während die Inzidenz der schweren ROP in den meisten westlichen Ländern erfreulicherweise rückläufig ist, erkranken gerade in den Schwellenländern wieder relativ reife Frühgeborene an dieser bedrohlichen Retinopathie („dritte Epidemie“).
Definition
Die Frühgeborenenretinopathie („retinopathy of prematurity“, ROP) ist eine multifaktorielle vasoproliferative Netzhauterkrankung, deren Inzidenz und Schweregrad mit zunehmender Unreife zunimmt: 10% der Frühgeborenen mit einem Geburtsgewicht <1.750 g, aber fast 50% aller Kinder <1.000 g entwickeln irgendeine Form dieser Erkrankung. Sie ist die häufigste Ursache von Blindheit bei Kindern unter 6 Jahren.
Pathogenese
Für die ROP-Entwicklung sind neben der Unreife postnatale Situationen als Risikofaktoren anzusehen, die entweder mit einer retinalen Minderperfusion oder einem erhöhten retinalen O2-Angebot einhergehen:
Hyperoxie,
beatmungsbedingte Hypokapnie,
Hypotension bei Sepsis,
rezidivierende Apnoen,
Fluktuationen der O2-Sättigung
intraventrikuläre Blutung,
persisitierender Ductus arteriosus,
Hyperkapnie.
Der Schädigungsmechanismus setzt vermutlich zum Zeitpunkt der Geburt sehr unreifer Frühgeborener ein (Abb. 4.21). Bereits die unmittelbare postnatale Exposition gegenüber erhöhten O2-Konzentrationen, aber auch Raumluft führt bei extrem unreifen Frühgeborenen zu einer relativen Hyperoxie der Retina. Dadurch wird ein wichtiger Wachstumsfaktor für die Gefäßentwicklung der Netzhaut VEGF („vascular endothelial growth factor“) herabreguliert. Niedrige Konzentrationen von VEGF führen zu Arretierung des Gefäßwachstums und zu einer retinalen Vasoobliteration. Mit zunehmendem Wachstum der neuralen retinalen Strukturen steigt der metabolische Bedarf der Netzhaut an, es entsteht eine relative Gewebshypoxie. Hierzu können auch die genannten Risikofaktoren beitragen, die zu einer retinalen Minderperfusion führen. In dieser Phase induziert die Gewebshypoxie eine massive Überproduktion von angiogenetischen Faktoren wie VEGF, als Konsequenz resultiert eine abnorme Neovaskularisierung von retinalen Gefäßen. Die Gefäße wachsen in den Glaskörper ein, aufgrund einer vermehrten Permeabilität kann es zu Blutungen und Ödembildung kommen.

Cave
Durch narbige Traktion kann die Retina, an der das vaskulär-fibrotische Gewebe anheftet, abgehoben werden.
Klinik
Während der ROP-Entwicklung zeigen die Frühgeborenen keine typischen klinischen Symptome. Aus diesem Grund sind regelmäßige ophthalmologische Kontrolluntersuchungen zwingend notwendig. Der Zeitpunkt des Auftretens hängt von der retinalen Gefäßentwicklung und somit vom postkonzeptionellen Alter ab. Die ersten Veränderungen treten in der Regel in der 34. Woche auf und die ersten Gefäßproliferationen in der 36. Woche.
Um eine Retinopathie nicht zu übersehen, sollte die Erstuntersuchung bei Frühgeborenen mit einem Geburtsgewicht (GG) <1.000 g im Alter von 6 Wochen oder in der 32. Woche p.c. erfolgen, bei Frühgeborenen mit einem GG zwischen 1.000–1.500 g im Alter von 4 Wochen.
Kontrolluntersuchungen werden je nach Befund alle 7–14 Tage oder in kürzeren Abständen durchgeführt. Die letzte Untersuchung erfolgt nach Abschluss der Netzhautvaskularisierung.
Klassifizierung
In die internationale Klassifizierung der ROP geht ein, dass die Erkrankung umso schwerer ist, je weiter posterior (d. h. zentral) und je ausgedehnter (d. h. Anzahl der betroffenen Sektoren) die Läsionen sind. Dann folgt die Beurteilung des Schweregrads an der Grenzlinie zwischen vaskularisierter und avaskulärer Retina sowie das Vorhandensein zusätzlicher aggravierender Zeichen („plus disease“):
Lokalisation: Zone 1–3 von zentral nach peripher,
Ausdehnung: Angabe von betroffenen 30°-Sektoren (12 Stück) als Uhrzeiten, mit Sehnerv als Mittelpunkt.
- Schweregrad:
- Grad 1: dünne weiße Demarkationslinie zwischen vaskularisierter und avaskulärer Netzhaut,
- Grad 2: erhabene rosagefärbte Proliferationsleiste,
- Grad 3: extraretinale fibrovaskuläre Proliferationen,
- Grad 4: partielle Netzhautablösung, der Raum zwischen Netzhaut und Aderhaut füllt sich mit seröser Flüssigkeit,
- Grad 5: komplette Netzhautablösung.
Plus Disease: Auftreten vermehrter Gefäßdilatation und -schlängelung (Tortuositas).
Verlauf, Prognose
Die meisten Kinder mit Erkrankungen des Stadiums 1 und 2 zeigen eine Regression. In Stadium 3 hängt die Prognose von der Ausdehnung des Befunds ab, im Stadium 4, insbesondere bei Beteiligung der Makula, ist die Prognose sehr schlecht. Das Risiko für eine Erblindung beträgt bei Frühgeborenen unter 750 g 5–9%, unter 1,000 g 2% und über 1,000 g 0,1%. Die ROP erhöht das Risiko der Kinder für Myopie, Strabismus und andere Visusprobleme.
Prävention, Therapie
Eine sicher wirksame Prävention der ROP besteht nicht. Notwendig ist die Überwachung der O2-Zufuhr. Dieses erfolgt bei kleinen Frühgeborenen vorzugsweise über die pulsoximetrisch gemessene O2-Sättigung; sie sollte bei allen Frühgeborenen, die einen zusätzlichen O2-Bedarf haben, zwischen 90–95% liegen.
Therapeutisch wird überwiegend die Lasertherapie, seltener eine Kryotherapie angewendet. Ziel der Photokoagulation oder Kryotherapie ist die Zerstörung von Gefäßproliferationen und des angiogenem Granulationsgewebe. Die Behandlung vermindert die Wahrscheinlichkeit eines Visusverlustes um über 50%. Derzeit wird in kontrollierten klinischen Studien der Einsatz und potenzielle Folgekomplikationen einer anti-VEGF-Therapie untersucht. Erste Daten bei schwersten Verlaufsformen der ROP lassen hoffen, dass sich die therapeutischen Möglichkeiten in der Zukunft verbessern werden.
Hirnblutungen des Frühgeborenen
Germinale Matrixblutung des Frühgeborenen
Neuropathologie und zerebrovaskuläre Architektur
Die typische Hirnblutung Frühgeborener entsteht in der germinalen Matrix, einer subventrikulär gelegenen Zone über dem Kopf des Nucleus caudatus. Von der germinalen Matrix wandern zerebrale Neuroblasten ab der 10.–20. Gestationswoche auf die Hirnoberfläche aus, gefolgt von den Glioblasten nach der 20. Woche. Das Matrixgewebe nimmt mit zunehmender Schwangerschaftsdauer an Ausdehnung ab, um die 34.–36. Schwangerschaftswoche kommt es zu einer Involution. Es ist sehr zellreich, von gelatinöser Konsistenz und reich vaskularisiert. Den Gefäßen fehlen Charakteristika von Arteriolen und Venolen, sie werden als unreifes vaskuläres Netz beschrieben. Die V. terminalis verläuft innerhalb der germinalen Matrix.
Gradeinteilung nach Ausdehnung
Nach einer Endothelläsion im Bereich der germinalen Matrix kann eine Blutung entstehen, die subependymal begrenzt bleiben kann oder in das Ventrikelsystem ausdehnen kann (subependymale Hämorrhagie, Grad 1, intraventrikuläre Hämorrhagie, Grad 2). Bei intraventrikulärer Ansammlung großer Mengen an Blut mit deutlicher Dilatation des Ventrikels liegt eine Grad-3-Blutung vor. Größere Ventrikelblutungen behindern den Abfluss aus der V. terminalis und können zu einer Obstruktion mit resultierendem hämorrhagischen venösen Infarkt führen (Abb. 4.22). Bei einer Ventrikelblutung ist der begleitende Infarkt in der Regel einseitig auf der Seite der ausgedehnteren Blutung zu finden (Abb. 4.23).



Komplikationen
Bei einer intraventikulärer Blutung kann es zu einer Behinderung des Liquorabflusses oder der Liquorresorption kommen. Die resultierende Ventrikeldilatation kann sich spontan zurückbilden, persistieren oder progressiv weiterentwickeln. Ein solcher posthämorrhagischer Hydrozephalus mit Druckentwicklung muss neurochirurgisch entlastet werden.
Pathogenese
Für die Entstehung einer Hirnblutung sind neben der Unreife des vaskulären Gefäßnetzes verschiedene Faktoren von Bedeutung (Abb. 4.24):
postnatale Faktoren: Hypo- und Hypertension, Hypoxie, Ischämie, Azidose, maschinelle Beatmung, Pneumothorax, PDA, Sepsis, Gerinnungsstörungen, Volumenexpansion u. a.,
perinatale Faktoren: Zytokinexposition bei Chorioamnionitis, intrauterine Hypoxie.

Aufgrund der Gefäßarchitektur liegt eine gesteigerte Vulnerabilität der Mikrovaskulatur im Bereich der germinalen Matrix sowohl bei Hypotension und bei Hypertension vor. Eine zerebrale Hyperperfusion kann zu einer mechanischen Ruptur der Matrixgefäße führen (Abb. 4.24). Eine zerebrale Hypoperfusion, eine Azidose oder Hypoxie führt zu einer ischämieinduzierten Läsion der Matrixgefäße. Bei einer Chorioamnionitis sind proinflammatorische Zytokine in der fetalen und neonatalen Zirkulation offenbar in der Lage, die Gefäße der germinalen Matrix zu schädigen und dadurch eine Hirnblutung zu induzieren. Neben einer gestörten Perfusion auf der arteriellen Seite ist ein erhöhter venöser Druck in der V. terminalis ebenfalls von Bedeutung. Beatmete Kinder haben ein höheres Risiko für eine Hirnblutung, insbesondere bei Entwicklung eines Pneumothorax (Abb. 4.24).
Durch Fortschritte in der neonatologischen Intensivtherapie sind die beschriebenen postnatalen Ursachen der Hirnblutungsgenese in den Hintergrund gerückt. Perinatale Faktoren haben eine zunehmende Bedeutung erlangt.
Klinik
Schwere intraventrikuläre und intraparenchymatose Hirnblutungen (Grad 3 und 4) führen bei sehr kleinen Frühgeborenen praktisch immer zu mehr oder weniger ausgeprägten klinischen Symptomen:
plötzliche Änderung der Hautperfusion, „septisches Aussehen“ mit blass-grauem oder marmoriertem Hautkolorit und verzögerter Kapillarfüllungszeit,
plötzliche Änderung des respiratorischen Status mit erhöhtem O2-Bedarf, Apnoen oder erhöhtem Ventilationsbedarf bei beatmeten Patienten,
Instabilität des Blutdrucks,
bei massiven Blutungen „gefüllte“ oder gespannte Fontanelle,
Krampfanfälle,
Abfall von Hämoglobin bzw. Hämatokrit,
muskuläre Hypotonie und Hypomotorik,
Temperaturinstabilität.
Cave
Bei entsprechenden Symptomen gehört die zerebrale Sonographie zu einer Notfalluntersuchung, bei fehlender Blutung müssen andere Ursachen für die Zustandsverschlechterung gesucht werden.
80–90% der Hirnblutungen treten innerhalb der ersten 48 h nach der Geburt auf.
Diagnose
Die Diagnose wird durch die zerebrale Sonographie gestellt, eine weitergehende bildgebende Diagnostik ist nicht indiziert. Die anfänglich echodichte Blutung wird im Verlauf zunehmend echoärmer als Zeichen der Liquefizierung, bis sie nicht mehr darstellbar ist. Zum Zeitpunkt der Entlassung aus dem Krankenhaus sind bei den meisten Frühgeborenen nach Hirnblutungen vom Grad 1 oder 2 keine Residuen nachweisbar. Bei ca. 30% der Patienten mit Ventrikelblutung kommt es zu einer Ventrikeldilatation, venöse Infarkte im Parenchymbereich hinterlassen eine porenzephale Zyste.
Therapie, Prävention
Eine kausale Therapie der intrazerebralen Blutung gibt es nicht.
Ziel der symptomatischen Therapie ist es, die Kreislauffunktion, Hirnperfusion und Beatmungssituation zu stabilisieren und Fluktuationen der Organdurchblutung zu vermeiden. Ein hoher Qualitätsstandard der neonatalen Versorgung ist Grundvoraussetzung für die Prävention potenziell vermeidbarer Hirnblutungen. Diese betrifft das Vorhalten einer ausreichenden Anzahl gut geschulten Personals sowie die Regionalisierung von extrem unreifen Frühgeborenen in speziell ausgestatteten Zentren. Die pränatale Behandlung mit Glukokortikoiden und ein spätes Abnabeln der Kinder sind wohl die am besten belegten präventiven Maßnahmen.
Prognose
Die Prognose der intrazerebralen Blutung hängt v. a. vom Vorhandensein einer Parenchymläsion ab. Während neurologischer Folgeschäden bei einer erst- oder zweitgradigen Blutung nur selten auftreten, zeigen ca. 1/3 der Frühgeborenen mit ausgeprägter intraventrikulärer Blutung neurologische Auffälligkeiten und die Mehrzahl der Frühgeborenen mit Hirnparenchymläsionen. Die Ausdehnung dieser Parenchymläsion hat jedoch ebenfalls einen Einfluss auf die Prognose. Ausgedehnte Läsionen mit Beteiligung der frontoparietookzipitalen Regionen gehen nahezu immer mit neurologischen Schädigungen und einer mentalen Retardierung einher. Bei lokalisierten Blutungen ist die Schädigungswahrscheinlichkeit geringer, frontal gelegene Blutungen sind prognostisch günstiger als okzipital gelegene.
Die typische neurologische Konsequenz der unilateralen Hirnparenchymblutung ist die spastische Hemiparese. Wegen der Nähe zum Tractus corticospinalis ist dabei ist die untere Extremität deutlich bevorzugt beteiligt (Abschn. 4.6.6).
Andere intrazerebrale Blutungen bei Frühgeborenen
Ischämischer und hämorrhagischer Infarkt („Stroke“)
Eine vaskuläre Minderperfusion oder Okklusion im Bereich der arteriellen Hirngefäße hat einen ischämischen Infarkt zur Folge, dessen Ausdehnung dem Versorgungsgebiet des betroffenen Gefäßes entspricht. Strömt nach Verschluss eines Arterienasts aus der Umgebung Blut in die nekrotische Region ein oder liegt ein venöser Gefäßverschluss vor, so entsteht ein hämorrhagischer Infarkt. Diese Läsionen betreffen sowohl Früh- als auch reife Neugeborene. Sie sind zu 90% unilateral mit Bevorzugung der linken Seite und betreffen v. a. die A. cerebri media. Als Folge des Infarkts entwickelt sich eine porenzephale Zyste. Selten führen pränatale bilaterale Verschlüsse zu einer Hydranenzephalie.
Die Diagnose wird durch die zerebrale Ultraschalluntersuchung gestellt. Bei einigen Kindern ist bereits intrauterin eine unilaterale porenzephale Zyste nachweisbar, andere zeigen zum Zeitpunkt der Geburt einen Infarkt an typischer Stelle im arteriellen Versorgungsgebiet. Diese isolierten (d. h. ohne Ventrikelblutung auftretenden) Parenchymläsionen sollten unbedingt von den oben beschriebenen Hirnblutungen vom Grad 4 unterschieden werden.
In einigen Fällen entstehen zerebrovaskuläre Infarkte postnatal. Die Gefäßverschlüsse können durch Thrombose (arteriell oder venös), Embolien, Vasospasmus oder Gefäßfehlbildung bedingt sein, häufig findet sich jedoch keine fassbare Ursache. Infarkte, die im Rahmen einer schweren arteriellen Hypotension auftreten, finden sich in der Regel nicht im Versorgungsgebiet der A. cerebri media.
Eine spezifische Therapie ist nicht möglich. Trotz der manchmal großen Ausdehnung des Defekts ist die Prognose unilateraler Gefäßverschlüsse meist erstaunlich gut, durch Hypotension oder Kreislaufschock bedingte Infarkte haben in der Regel eine sehr schlechte Prognose.
Periventrikuläre Leukomalazie
Grundlagen
Als periventrikuläre Leukomalazie (PVL) wird eine Nekrose mit nachfolgender zystischer Umwandlung der weißen Substanz lateral der Seitenventrikel bezeichnet, die durch eine Ischämie im Grenzgebiet vaskulärer Versorgungsgebiete entsteht.
Es ist eine typische Läsion Frühgeborener mit einem Maximum um die 28. Schwangerschaftswoche, die Inzidenz beträgt bei Frühgeborenen unter der 32. SSW zwischen 3 und 9%. Klinisch führt sie häufig zum Bild der spastischen Diplegie. Die Diagnose wird durch die zerebrale Ultraschalluntersuchung gestellt.
Neuropathologie und zerebrovaskuläre Architektur
Die pathologischen Veränderungen der PVL bestehen aus einer fokalen periventrikulären Nekrose sowie einer diffusen Läsion der umgebenden weißen Substanz (Abb. 4.25). Der fokalen, immer symmetrischen, bilateralen Läsion liegt eine ischämiebedingte Nekrose zugrunde, die sich innerhalb von 2–4 Wochen in Zysten umwandeln. Durch Proliferation von Astrozyten bilden sich diese zystischen Veränderungen innerhalb einiger Monate zurück. Diffuser Oligodendrogliaverlust, Beeinträchtigung der Myelinisierung und Proliferation von Astroglia können zu einer Verminderung des Volumens der weißen Substanz führen, daraus resultiert als Spätfolge eine Dilatation der Seitenventrikel.

Die Hauptorte der fokalen Nekrose liegen in der weißen Substanz in Höhe der Foramina Monroi (anterior) sowie im Trigonumbereich (posterior). In diesem Bereich liegen die Grenzgebiete der vaskulären Versorgung langer penetrierender Arterien von der Hirnoberfläche und der Hirnbasis (Abb. 4.25). Eine Ischämie in diesen sog. „letzten Wiesen“ wird als „Wasserscheideninfarkt“ bezeichnet. Bei zunehmender Reife ändert sich die Blutversorgung. Aus diesem Grunde wird bei reifen Neugeborenen eine PVL nicht mehr beobachtet.
Pathogenese
Für die Entstehung der PVL sind folgende Faktoren von Bedeutung (Abb. 4.25):
anatomische Voraussetzungen: spezielle zerebrovaskuläre Architektur,
Faktoren, die zu einer zerebralen Ischämie führen,
eine vermehrte Vulnerabilität der weißen Substanz.
Eine zerebrale Ischämie kann bei Frühgeborenen durch eine Vielzahl von Faktoren bedingt sein, welche pränatal, perinatal oder postnatal ihren Ursprung haben. Pränatale und perinatale Ursachen sind zirkulatorische Beeinträchtigungen aufgrund maternaler Blutungen während der Schwangerschaft, Plazentalösungen oder Komplikationen bei Mehrlingsgravidität. In solchen Fällen zeigen sich bei der Ultraschalluntersuchung unmittelbar nach der Geburt bereits periventrikuläre Läsionen an typischer Lokalisation.
Am häufigsten entsteht eine PVL in Verbindung mit einer Chorioamnionitis. Vermutlich werden Oligodendrozyten im Rahmen einer fetalen Entzündungsreaktion durch proinflammatorische Zytokine und andere entzündliche Mediatoren geschädigt. Bei Frühgeborenen mit PVL finden sich zum Zeitpunkt der Geburt häufig erhöhte Serumkonzentrationen an proinflammatorischen Zytokinen (TNF α, Interleukin-6), die Hochrisikopatienten zeigen jedoch in der Regel keine Infektionssymptome.
Eine Chorioamnionitis spielt in der Pathogenese der periventrikulären Leukomalazie eine entscheidende Rolle.
Im zerebralen Ultraschall lässt sich zum Zeitpunkt der Geburt bereits eine symmetrische periventrikuläre Echoverdichtung darstellen, die später in zystische Veränderungen übergeht (Abb. 4.26).

Postnatal kann eine PVL bei schweren kardiorespiratorischen Beeinträchtigungen auftreten. Dazu gehören ein persistierender Ductus arteriosus, Blutdruckabfälle im Rahmen einer Sepsis oder eine zerebrale Hirnminderdurchblutung aufgrund einer beatmungsbedingten ausgeprägten Hypokapnie oder schwerer Apnoen. In solchen Fällen sind periventrikuläre Echoverdichtungen erst später im Verlauf sonographisch darstellbar.
Klinik
In den meisten Fällen von prä- und perinatal entstandener PVL sind die Kinder asymptomatisch. Eine muskuläre Hypotonie und Hypomotorik wird nur bei ausgedehnten Befunden beobachtet und zeigt sich auch bei kranken Frühgeborenen ohne PVL.
Die klinischen Spätfolgen der PVL sind durch die Lokalisation der Läsionen bedingt (Abb. 4.25). Eine PVL betrifft vorwiegend die untere Extremität und führt zu einer spastischen Diplegie. Ein massiver Befund mit lateraler Ausdehnung kann auch zu einer Beeinträchtigung der Funktion der oberen Extremität und des Intellekts führen.
Prävention
Eine Prävention der PVL ist derzeit nur bei den postnatal entstandenen Läsionen möglich und hier auch oft nur sehr bedingt. Sie besteht in der Vermeidung der Hyperventilation bei beatmeten Frühgeborenen sowie der adäquaten Therapie einer Hypotension, eines PDA oder schwerer Apnoen. Eine kausale Prävention der Chorioamnionitis-assoziierten PVL gibt es bisher nicht.
Der besondere Fall
Anamnese. Ein weibliches Frühgeborenes wurde spontan nach unaufhaltsamer Wehentätigkeit in der 29. Gestationswoche mit einem Geburtsgewicht von 1.360 g geboren. Der Blasensprung erfolgte 4 Tage vor der Geburt, das Fruchtwasser war klar. Die Mutter zeigte keine Erhöhung des C-reaktiven Proteins, sie hatte kein Fieber. Die histologische Untersuchung der Plazenta aber zeigte deutliche Zeichen einer Chorioamnionitis mit massiver leukozytärer Infiltration der Eihäute.
Befunde. Postnatal zeigte das Frühgeborene eine rasche und gute kardiopulmonale Adaptation. Es entwickelte kein Atemnotsyndrom und keinen zusätzlichen O2-Bedarf. Eine Ultraschalluntersuchung des Kopfs am 2. Lebenstag zeigte eine deutliche, scharf begrenzte Echoverdichtung beidseits frontal und lateral der Seitenventrikel. Eine Echoverdichtung im Bereich der germinalen Matrix oder innerhalb der Seitenventrikel fand sich nicht.
Klinischer Verlauf. Im Alter von 11 Tagen zeigte das Frühgeborene eine Serie von Apnoen, welche nach taktiler Stimulation sistierten. Der Muskeltonus war schlaffer als vorher, das Kind wies eine diskrete Marmorierung der Haut auf, der Blutdruck war instabil und bedurfte einer Volumengabe. Es wurde die Verdachtsdiagnose einer Sepsis gestellt und nach Abnahme von Blutkulturen eine antibiotische Therapie begonnen. Die Blutkultur zeigt ein Wachstum von Staphylococcus epidermidis. Nach einer Woche waren im Ultraschallbild zystische Veränderungen beidseits periventrikulär nachweisbar. Das Kind entwickelte eine spastische Diplegie bei unauffälliger mentaler Entwicklung.
Beurteilung. Das Kind zeigte die typischen sonographischen Befunde einer PVL. Die unmittelbar postnatal registrierten periventrikulären Echoverdichtungen weisen auf eine prä- oder perinatale Genese hin. Obwohl die Anamnese keine sicheren maternalen Infektionssymptome zeigte, lag histologisch eine Chorioamnionitis vor, welche wahrscheinlich mit der Entstehung einer periventrikulären Leukomalazie in Verbindung gebracht werden kann. Die Chorioamnionitis hatte zu keiner kindlichen Infektion geführt. Die Atem- und Kreislaufregulationsstörungen sind als Symptome der nosokomialen Sepsis zu deuten.
Apnoen bei Frühgeborenen
Grundlagen
Frühgeborene, insbesondere sehr unreife Kinder mit einem Geburtsgewicht <1.000 g, zeigen nach der Geburt über eine lange Zeit eine ausgeprägte kardiorespiratorische Instabilität. Ohne Zeichen einer anderen Grunderkrankung treten plötzlich Apnoen, Bradykardien und Hypoxämien auf. Aufgrund der Unreife zentraler Steuerungsstrukturen sind solche Apnoen bei Frühgeborenen regelhaft zu beobachten und somit physiologisch (Frühgeborenenapnoen). Sie werden jedoch pathologisch durch ihre Dauer und den Schweregrad der begleitenden Hypoxämie und/oder Bradykardie. Apnoen mit relevanten Hypoxämien und Bradykardien sind behandlungsbedürftig. Da die Herzauswurfleistung bei Neugeborenen im Wesentlichen durch die Herzfrequenz bestimmt wird, kommt es bei solchen Ereignissen stets zu einer beträchtlichen Verminderung der Hirnperfusion.
Schwere Frühgeborenenapnoen können vermutlich das Risiko für ischämische Hirnläsionen sowie für die Entwicklung einer eine Retinopathie erhöhen.
Definitionen
Apnoen, Bradykardien und Hypoxämien werden in der Literatur recht unterschiedlich definiert, die folgenden Definitionen werden jedoch für Frühgeborene zunehmend akzeptiert:
Apnoe: Atempause >20 s oder Atempause <20 s mit begleitender Bradykardie/Hypoxämie,
Bradykardie: Abfall der Herzfrequenz <80/min oder Abfall >1/3 des Basalwerts,
Hypoxämie: SO2-Abfall <80%, Dauer ≥4 s.
Pathogenese
Neben dieser unreifebedingten Genese von Apnoen können prolongierte Atempausen jedoch auch Symptome einer Grunderkrankung sein (symptomatische Apnoen). Insbesondere bei systemischen Infektionen oder anderen schweren Erkrankungen kommt es häufig zur Beeinträchtigung der Atemregulation.
Ursachen symptomatischer Apnoen
Sepsis und Meningitis (besonders bei neuauftretenden Apnoen), NEC
Persistierender Ductus arteriosus (Wiedereröffnung eines bereits verschlossenen Ductus arteriosus)
Apnoen als Symptom einer beginnenden respiratorischen Insuffizienz bei Atemnotsyndrom, Pneumonie oder BPD
Zentrale Atemregulationsstörung bei Asphyxie, Hirnblutung, Hirnfehlbildung
Gastroösophagealer Reflux
Obere Luftwegsobstruktion bei Choanalstenose, Pierre-Robin-Sequenz oder Stimmbandlähmung
Fütterungsbedingte Bradykardien durch Vagusreiz
Cave
Prinzipiell sind Apnoen solange verdächtig auf eine Sepsis, bis das Gegenteil bewiesen ist.
Frühgeborenenapnoen, besser als Apnoe-Bradykardie-Hypoxämie-Syndrom Frühgeborener beschrieben, sind komplexer Genese. Zugrunde liegt eine Kombination unreifebedingter Ursachen ganz verschiedener Organsysteme: des Atemzentrums, der oberen Luftwege, des Thorax und der Lunge (Abb. 4.27). Das Atemzentrum in der Medulla oblongata sowie die peripheren Chemorezeptoren zeigen bei Frühgeborenen eine Persistenz fetaler Reaktionsweisen. Im Gegensatz zum reifen Neugeborenen, das verstärkt atmet, reagiert das Frühgeborene auf eine Hypoxie mit einer Apnoe (Abb. 4.27). Weiterhin liegt eine verminderte CO2-Responsivität, d. h. es erfolgt nur eine geringe Atemstimulation bei Hyperkapnie. Ein Kollaps der oberen Luftwege kann ebenso wie Thoraxinstabilität oder eine Verminderung des Atemminutenvolumens bei periodischer Atmung eine intermittierende Hypoventilation mit Hypoxie zur Folge haben.

Diagnose
Mithilfe der gleichzeitigen Registrierung von thorakaler und nasaler Atmung, Herzfrequenz, und Sauerstoffsättigung (Oxykardiorespirographie) können bei Frühgeborenen die oben beschriebenen verschiedenen Formen der Atemregulationsstörung dargestellt werden:
Zentrale Apnoe: thorakale Atmungsaktivität und nasaler Luftstrom sistieren parallel, Herzfrequenz und Sauerstoffsättigung fallen anschließend ab.
Obstruktive Apnoe: thorakale Atmungsaktivität hält an, nasaler Luftstom sistiert, Herzfrequenz und O2-Sättigung fallen ab.
Gemischte Apnoe: erst obstruktive, dann zentrale Apnoe oder umgekehrt.
Primäre Hypoxämie: primärer Abfall der O2-Sättigung, dann Abfall von Herzfrequenz und Apnoe.
Aufgrund der Häufigkeit von Apoen, Bradykardien und Hypoxämien bei Frühgeborenen müssen die Vitalparameter dieser Kinder in der Regel über lange Zeit auf einer Intensivstation überwacht werden.
Therapie
Zur Behandlung des Apnoe-Bradykardie-Hypoxämie-Syndroms Frühgeborener stehen verschiedene Optionen zur Verfügung. Weiterhin hängt die Wahl der Therapiemaßnahme von der Häufigkeit und Schwere der Atemregulationsstörung ab.
Therapeutische Maßnahmen bei Frühgeborenenapnoe
Taktile Stimulation: Taktile Maßnahmen wie Streicheln oder sanftes Schütteln führen in den meisten Fällen zur Wiederaufnahme der Atmung
Atemstimulation durch Methylxanthine (Coffein)
Verminderung von Hypoxämien durch Nasen-CPAP und/oder geringfügige Anhebung der inspiratorischen O2-Konzentration (5%)
Bei Versagen dieser Maßnahmen ist eine maschinelle Beatmung erforderlich
Es gibt derzeit keine sicheren Angaben, wie viele Apnoen und welcher Schweregrad toleriert werden können. Somit keine klaren Indikationen, wann die konservative Behandlung beendet und eine maschinelle Beatmung erfolgen soll. Wenn bei schweren Apnoen wiederholt eine Maskenbeatmung zur Behandlung der Bradykardie und Hypoxie notwendig ist, besteht in der Regel die Indikation zur maschinellen Beatmung.
Cave
Die auf den Intensivstationen übliche Überwachung der O2-Therapie durch Pulsoxymeter ist nur für die Erfassung einer Hypoxie sinnvoll und eignet sich nicht gut für die Kontrolle einer Hyperoxie. Diese erfolgt besser durch die transkutane Messung des pO2.
Lungenerkrankungen des Neugeborenen
Transitorische Tachypnoe
Definition
Die transitorische Tachypnoe (syn: transientes Atemnotsyndrom des Neugeborenen, „fluid lung“, Flüssigkeitslunge) entwickelt sich in den ersten Lebensstunden nach der Geburt überwiegend bei reifen Neugeborenen oder relativ „reifen“ Frühgeborenen. Charakteristisch ist die deutlich beschleunigte Atemfrequenz mit minimalen Einziehungen und gelegentlich auftretender leichter Zyanose. Die Erkrankung bildet sich in der Regel innerhalb der ersten 2–3 Lebenstage spontan zurück.
Pathogenese
Die transitorische Tachypnoe wird vermutlich durch eine verzögerte Resorption der kindlichen Lungenflüssigkeit über die pulmonalen Lymph- und Blutgefäße oder aber einen vermehrten pulmonalen Flüssigkeitsgehalt ausgelöst. Die prädisponierenden Faktoren, die mit einer normalen Flüssigkeitsresorption interferieren oder aber zu einer Erhöhung des pulmonalen Flüssigkeitsgehalts führen, sind in der Übersicht dargestellt.
Faktoren, die mit verzögerter Flüssigkeitsresorption oder vermehrtem pulmonalem Flüssigkeitsgehalt einhergehen
Sectio caesarea am wehenlosen Uterus
„Wunsch“sectio vor der 39. Gestationswoche
Perinatale Asphyxie
Mütterlicher Diabetes
Exzessive mütterliche Analgesie
Oxytocin und vermehrte maternale Flüssigkeitszufuhr
Polyglobulie (Polyzythämie) des Neugeborenen
Erhöhter zentraler Venendruck des Neugeborenen
Verspätetes „Abnabeln“
Klinik
Die Neugeborenen fallen durch eine kurze Zeit nach der Geburt einsetzende Tachypnoe (bis zu 120 Atemzüge/min) auf, die nur von geringen Einziehungen und wechselnd ausgeprägtem exspiratorischem Stöhnen begleitet ist; die Lungen sind häufig überbläht. Bei Hypoxämie ist in der Regel eine Zufuhr von 30–40% O2 in der Inspirationsluft ausreichend, um eine suffiziente Oxygenierung zu erzielen. Das Röntgenthoraxbild zeigt typischerweise vermehrte zentrale Verdichtungen mit einer peripheren Überblähung der Lunge und gelegentlich interlobären Flüssigkeitsansammlungen oder kleinen Pleuraergüssen. Gelegentlich entwickelt sich auf dem Boden einer massiven pulmonalen Überblähung eine pulmonale Hypertonie mit Rechts-links-Shunt, die in das gefürchtete Krankheitsbild der persistierenden pulmonalen Hypertonie einmünden kann.
Diagnose
Die Diagnose der transitorischen Tachypnoe basiert häufig auf dem Ausschluss anderer akuter pulmonaler Erkrankungen und wird häufig erst retrospektiv gestellt. Neonatale Pneumonien, insbesondere mit β-hämolysierenden Streptokokken der Gruppe B, können mit einer identischen initialen Dynamik verlaufen.
Therapie
Bei Atemfrequenzen >80/min wegen Aspirationsgefahr keine orale Ernährung, intravenöse Flüssigkeitszufuhr, bei Bedarf O2-Gabe und evtl. Anlage eines binasalen CPAP; häufig ist eine kurzzeitige antibiotische Behandlung indiziert.
Mekoniumaspirationssyndrom
Definition
Nach der Aspiration von Mekonium entwickelt sich eine pathogenetisch komplexe Erkrankung, die durch eine akute Atemnotsymptomatik der überwiegend übertragenen oder reifen hypotrophen Neugeborenen und einen kompatiblen radiologischen Lungenbefund charakterisiert ist. Mekoniumhaltiges Fruchtwasser ist bei 10–18% aller Geburten nachzuweisen.
Epidemiologie
Die Inzidenz des schweren Mekoniumaspirationssyndroms liegt zwischen 0,2–6 erkrankten Neugeborenen/1.000 Lebendgeborene. Es bestehen erhebliche geographische und regionale Unterschiede in der Erkrankungshäufigkeit.
Ätiopathogenese
Mekonium besteht aus eingedickten intestinalen Sekreten und Zellen sowie löslichen und zellulären Fruchtwasserbestandteilen. Die wasserlöslichen Festsubstanzen bestehen u. a. aus Mukopolysacchariden, Plasmaproteinen, Proteasen, konjugiertem Bilirubin, die fettlöslichen Bestandteile u. a. aus Bilirubin, Bilirubinoiden, freien Fettsäuren, Cholesterin und Glykolipiden. Mekonium wird bereits von der 10.–16. Gestationswoche an im fetalen Gastrointestinaltrakt gefunden. Aufgrund einer intestinalen Hypomotorik wird nur selten ein Mekoniumabgang bei Frühgeborenen beobachtet. Die Häufigkeit des Auftretens von mekoniumhaltigem Fruchtwasser ist direkt mit der Reife der Neugeborenen verbunden und ist mit höheren Serumspiegeln des properistaltischen Hormons Motilin assoziiert. Bei fehlenden Hinweisen auf eine intrauterine oder subpartale Gefährdungssituation dürfte ein Mekoniumabgang v. a. ein reifeabhängiges Phänomen reflektieren. Eine akute intrauterine oder subpartuale kindliche Hypoxie kann, gerade in den letzten Gestationswochen, einen vorzeitigen Mekoniumabgang auslösen, der besonders bei einem Oligohydramnion ein sehr konsistentes „erbsbreiartiges“ Fruchtwasser hinterlassen kann. Der Abgang von partikelhaltigem und dickflüssigem Mekonium prädisponiert zur Entstehung eines Mekoniumaspirationssyndroms und zu komplizierten Erkrankungsverläufen.
Die konnatale Listerioseinfektion kann eine Ursache für den vorzeitigen Mekoniumabgang bei Frühgeborenen sein.
Pathophysiologie
Im Verlauf einer intrauterinen oder subpartualen Hypoxie, die zu einer Vasokonstriktion mesenterialer Gefäße, Darmischämie, konsekutiver Hyperperistaltik und Sphinkterrelaxation führt, tritt ein frühzeitiger Mekoniumabgang auf. Die Aspiration von Mekoniumpartikeln kann durch eine hypoxieinduzierte vorzeitige Atemtätigkeit, die ein bestimmtes Muster aufweist, bereits in utero erfolgen; häufiger findet die Aspiration von Mekonium jedoch unmittelbar nach der Geburt statt. Bei >50% aller Neugeborenen mit mekoniumhaltigem Fruchtwasser lassen sich Mekoniumbestandteile im Trachealaspirat nachweisen, die bei der Mehrzahl der Kinder folgenlos eliminiert werden. Größere Mekoniumpartikel, die mit den ersten Atemzügen in die kleineren Luftwege gelangen, führen zu einer partiellen Bronchusobstruktion und Verlegung der Alveolen. Die Folgen sind die Ausbildung von Atelektasen, überblähten emphysematösen Arealen („air trapping“) und extraalveoläre Luftansammlungen (interstitielles Emphysem, Pneumothorax, Pneumomediastinum etc; Abb. 4.28).

Durch im Mekonium enthaltene Substanzen (z. B. Fettsäuren) entwickelt sich innerhalb von 24–48 h eine chemische Pneumonie. Darüber hinaus führen verschiedene Proteine und Phospholipasen zu einer direkten Inaktivierung des Surfactantsystems. Häufig bilden sich intrapulmonale Shunts und eine durch eine Konstriktion der Lungengefäße bedingte persistierende pulmonale Hypertonie aus, die zu einer Rekonstitution fetaler Zirkulationsverhältnisse führen kann.
Klinik
Das klinische Bild wird vom Schweregrad der intrauterinen Asphyxie und dem Ausmaß der Mekoniumaspiration bestimmt. Die Neugeborenen fallen unmittelbar nach Geburt durch schwere Atemdepression, Schnappatmung, Bradykardie, Hypotonie, Schocksymptome auf; die Haut ist mit Mekonium bedeckt, Fingernägel und Nabelschnur können grünlich verfärbt sein. Neugeborene mit Spontanatmung weisen eine Tachypnoe, ausgeprägte Dyspnoezeichen und evtl. eine Zyanose auf. Die Röntgenthoraxaufnahme zeigt dichte fleckige Infiltrate neben überblähten Arealen, abgeflachte Zwerchfelle und häufig extraalveoläre Luft (Abb. 4.29).


Prävention
Durch sorgfältiges fetales Monitoring sind die Warnzeichen der intrauterinen Hypoxie zu erkennen. Bestehen Hinweise auf eine kindliche Gefährdung, so ist die sofortige Geburtsbeendigung obligat. Bei allen Geburten, die durch mekoniumhaltiges Fruchtwasser auffallen, sollte umgehend ein erfahrener Kinderarzt zur postnatalen Versorgung des Neugeborenen hinzugezogen werden.
Findet sich bei einem klinisch auffälligen Neugeborenen während der laryngoskopischen Inspektion des Kehlkopfs Mekonium unterhalb der Stimmbänder, so ist es unverzüglich mit einem dicklumigen Katheter oder evtl. direkt über einen Endotrachealtubus abzusaugen. Bei größeren Mengen erbsbreiartigen Mekoniums in den Luftwegen sollte eine Bronchiallavage durchgeführt werden. Tierexperimentelle Untersuchungen und einzelne klinische Erfahrungsberichte weisen darauf hin, dass eine Bronchiallavage mit einer verdünnten Lösung einer natürlichen Surfactantpräparation (ca. 5 mg Phospholipide/ml) zu einer deutlichen Verbesserung der Oxygenierung und Ventilation führen. Auf eine primäre Maskenbeatmung ist – wenn möglich – zu verzichten.
Therapie
Die zum Teil außerordentlich schwierige Behandlung Neugeborener mit Mekoniumaspirationssyndrom schließt, zur Behandlung der Hypoxämie, eine konventionelle Beatmungstherapie, die Hochfrequenzoszillationsbeatmung, die Surfactantsubstitutionstherapie und den Einsatz von Stickstoffmonoxid (NO) ein. Als Ultima-ratio-Therapie ist eine extrakorporale Membranoxygenierung (ECMO) zu erwägen. Einzelheiten der Therapie sind den Lehrbüchern der Neonatologie zu entnehmen.
Pneumothorax
Epidemiologie
Ein spontaner asymptomatischer Pneumothorax tritt bei ca. 0,5–1% aller Neugeborenen auf. Die Pneumothoraxinzidenz bei maschinell beatmeten Frühgeborenen mit Atemnotsyndrom betrug vor Einführung der Surfactanttherapie 15–30%. Inzwischen wird diese Komplikation bei 3–6% aller beatmeten Frühgeborenen beobachtet.
Ätiologie
Ein symptomatischer Pneumothorax kann bei einer Reihe pulmonaler Erkrankungen Früh- und Neugeborener auftreten: Atemnotsyndrom, Mekoniumaspiration, Lungenhypoplasie, kongenitale Zwerchfellhernie, transitorische Tachypnoe, Aspirationspneumonie, Staphylokokkenpneumonie mit Pneumatozele, lobäres Emphysem, nach Thorakotomie. Ebenso findet es sich nach unsachgemäßer Reanimation und maschineller Beatmung.
Pathogenese
Ein hoher intraalveolärer Druck, der durch erhöhten Spitzendruck und positiv endexspiratorischen Druck („positive endexpiratory pressure“, PEEP) bei maschineller Beatmung entsteht oder aber von tachypnoeischen spontanatmenden Kindern durch einen erhöhten sog. „Auto-PEEP“ gebildet wird, kann besonders in ungleich belüfteten Lungenarealen zu einer Überblähung von Alveolen und zu einer möglichen Ruptur der Alveolarwand führen. Die extraalveoläre Luft ist in der Lage, durch das interstitielle Gewebe und entlang der perivaskulären Gefäßscheiden sowie der peribronchialen Lymphgefäße zu entweichen. In Abhängigkeit von der Ausbreitung der Luft ist mit einer Reihe von Komplikationen zu rechnen: interstitielles Emphysem, Pneumomediastinum, Spannungspneumothorax, Pneumoperitoneum, Pneumoperikard und subkutanes zervikales oder thorakales Emphysem.
Ein Spannungspneumothorax entwickelt sich bei einer druckwirksamen Ansammlung von Luft im Pleuraspalt. Ein einseitiger Spannungspneumothorax führt nicht nur zu einer schweren Ventilationsstörung der betroffenen, gelegentlich kollabierten Lungenseite, sondern durch die Mediastinalverlagerung auch der kontralateralen Lunge. Daneben wird durch Kompression der V. cava oder Torsion der großen Gefäße der venöse Rückfluss erheblich beeinträchtigt. Bei der Entstehung des interstitiellen Emphysems scheinen nicht nur physikalische Faktoren von Bedeutung zu sein, sondern auch pulmonale Entzündungsvorgänge und proteolytische Lungengerüstschädigungen, die u. a. nach pränatalen Infektionen beobachtet wurden.
Klinik
Die klinischen Leitsymptome des gefürchteten Spannungspneumothorax sind:
plötzlich einsetzende Atemnot,
Zyanose,
Hypotension,
Schocksymptome,
Bradykardie,
Thoraxasymmetrie,
Verlagerung der Herztöne,
seitendifferentes Atemgeräusch.
Gerade bei kleinen Frühgeborenen kann die Diagnose eines Spannungspneumothorax schwierig sein, da bei maschinell beatmeten Patienten nicht immer ein fehlendes oder abgeschwächtes Atemgeräusch nachweisbar ist.
Diagnose, Therapie
In lebensbedrohlichen Situationen darf keine Zeit durch Anfertigung einer Röntgenaufnahme vergehen, es ist eine sofortige Pleurapunktion mit Entlastung des Pneumothorax durchzuführen.
Anschließend wird eine Pleuradrainage unter optimalen Bedingungen gelegt. Die Transillumination des Thorax mit einer fiberoptischen Kaltlichtlampe erlaubt eine rasche Identifizierung des illuminierenden lufthaltigen Pleuraraums (Abb. 4.30).

Lungenhypoplasie
Definition
Eine Lungenhypoplasie ist entweder Ausdruck einer gestörten Organanlage oder einer Ausreifungsstörung der fetalen Lunge, die durch verschiedene mit der normalen Lungenentwicklung interferierende Faktoren ausgelöst werden kann.
Ätiopathogenese
Eine Anlagestörung der Lunge wird bei seltenen Chromosomenaberationen beobachtet. Wesentlich häufiger entwickelt sich eine Lungenhypoplasie im Rahmen fetaler Grunderkrankungen oder Störungen, die mit der normalen Ausbildung der Alveolen interferieren. Ein Mangel an Fruchtwasser, der zu einem Verlust intraalveolärer Flüssigkeit in der vulnerablen Phase der Lungenentwicklung (vor der 26. Gestationswoche) führt, kann eine schwere Lungenhypoplasie nach sich ziehen. Eine bilaterale Nierenagenesie (Potter-Sequenz), Anhydramnie bei vorzeitigem Blasensprung oder Fruchtwasserverlust nach Amniozentese sind als Ursache der Lungenhypoplasie definiert. Aber auch fehlende intrauterine Atembewegungen der Feten, wie sie bei neuromuskulären Erkrankungen, Myasthenia gravis, Anenzephalie u. a. Erkrankungen beobachtet werden, können die normale Entwicklung nachhaltig beeinflussen. Eine Kompression der fetalen Lunge nach Malformation des Thorax führt bei verschiedenen Skeletterkrankungen (u. a. asphyxierende Thoraxdysplasie) zu einer Lungenhypoplasie. Auch andere Fehlbildungen wie die Zwerchfellhernie und Chylothorax können über eine Kompression des Lungengewebes die normale Wachstumsdynamik nachhaltig beeinträchtigen.
Klinik, Diagnose
Die schwere Lungenhypoplasie manifestiert sich entweder unter dem Bild einer Asphyxie oder aber schwersten respiratorischen Insuffizienz. Die hypoplastischen Lungen lassen sich häufig auch unter intensiven Beatmungsmaßnahmen nicht wirksam eröffnen. Häufig treten bilaterale Pneumothoraces auf; einige Patienten entwickeln auf dem Boden einer primären pulmonalen Hypertonie eine persistierende fetale Zirkulation. Bei ausgeprägten Formen der Lungenhypoplasie ist die Prognose infaust. Die Thoraxröntgenaufnahme zeigt typischerweise schmale Lungen mit einem glockenförmigen Thorax (Abb. 4.31). Die Diagnose ist allerdings häufig nur zu vermuten und wird anhand anamnestischer Risiken sowie des postnatalen Verlaufs nicht selten retrospektiv gestellt. Post mortem kann durch Bestimmung des Lungengewichts sowie mithilfe morphometrischer Techniken die Verdachtsdiagnose verifiziert werden.


Therapie
Nur bei weniger ausgeprägten Formen der Lungenhypoplasie kann durch differenzierte Beatmungstechniken, Einsatz von Stickstoffmonoxid NO und ggf. Surfactantsubstitution (sekundärer Surfactantmangel) eine nachhaltige Stabilisierung der Lungenfunktion erzielt werden.
Neonatale Pneumonien
Definition
Eine neonatale Pneumonie entwickelt sich auf dem Boden einer intrauterinen, sub- oder postnatalen Infektion mit mütterlichen oder nosokomialen Erregern, u. a. durch Aspiration infizierten Fruchtwassers. Man kann davon ausgehen, dass bakteriell kontaminiertes Fruchtwasser oder infizierte Lungenflüssigkeit mit den ersten Atemzügen in die terminalen Atemwege gelangt und dort mit einer kurzen Latenz eine Entzündungsreaktion auslöst. Dieser Mechanismus erklärt das oftmals symptomfreie Intervall nach der Geburt (Abb. 4.32).

Pathogenese
Pathogenese, Risikofaktoren und Erregerspektrum sind im Abschn. 4.10.7 abgehandelt.
Beatmete und intensivmedizinisch behandelte Früh- und Neugeborene sind besonders gefährdet, eine Pneumonie mit Pseudomonas- oder Klebsiellenspezies zu akquirieren. Chlamydien und Ureaplasmen kommen ebenfalls als Erreger von Pneumonien Frühgeborener vor. Seltener treten Mykoplasmen als Erreger auf.
Bei langzeitbeatmeten Frühgeborenen, die über längere Zeit antibiotisch behandelt wurden, ist immer an eine Pilzpneumonie, insbesondere mit Candida spp. zu denken.
Klinik
Die klinische Symptomatik einer in den ersten Lebensstunden und Lebenstagen oder auch später auftretenden neonatalen Pneumonie verläuft häufig unter dem Bild eines progredienten Atemnotsyndroms mit Tachypnoe, Einziehungen und Nasenflügeln.
Therapie
Die primäre antibiotische Behandlung muss gegen die potenziellen Mikroorganismen gerichtet sein (Abschn. 4.10.7). Bei Atem- und/oder Kreislaufinsuffizienz der erkrankten Neugeborenen wird die erforderliche Supportivtherapie durchgeführt. Chlamydien- und Ureaplasmapneumonien werden mit Erythromycin behandelt, Pneumocystispneumonien mit Trimethoprim/Sulfamethoxazol.
Persistierende pulmonale Hypertonie (persistierende fetale Zirkulation)
Definition
Die persistierende pulmonale Hypertonie (PPH; syn. persistierende fetale Zirkulation) ist ein lebensbedrohliches Krankheitsbild, das auf dem Boden eines persistierenden erhöhten pulmonalen Gefäßdrucks durch einen signifikanten Rechts-links-Shunt über das offene Foramen ovale, über den persistierenden Ductus arteriosus und auch intrapulmonale Shunts ohne Hinweise auf eine strukturelle Herzerkrankung charakterisiert ist.
Ätiologie
Die PPH tritt überwiegend bei reifen und übertragenen Neugeborenen auf. Nach intrauteriner und subpartualer Hypoxie, mütterlicher Aspirin- und Indometacineinnahme während der Schwangerschaft, wurde eine Verdickung und Ausdehnung der Gefäßmuskulatur bis in kleine pulmonale Arterien hinein beschrieben. Am häufigsten entwickelt sich eine PPH sekundär bei Neugeborenen nach Mekoniumaspiration. Weitere Erkrankungen, in deren Folge sich eine PPH entwickeln kann, sind die subpartuale und postnatale Hypoxie, die neonatale Sepsis mit β-hämolysierenden Streptokokken der Gruppe B und Listerien, die Zwerchfellhernie, die Lungenhypoplasie, Pneumothorax, Hyperviskositätssyndrom, Hypoglykämie und Hypothermie sowie ein Atemnotsyndrom. Die PPH ist nicht selten idiopathisch. Die Prävalenz dieser Erkrankung wurde auf etwa 1 Neugeborenes pro 1.000 Lebendgeborene geschätzt.
Pathophysiologie
Bei intranataler oder postnataler Hypoxie entwickelt sich rasch eine metabolisch-respiratorische Azidose. Die normalerweise durch Anstieg des paO2 und Abfall des paCO2 unmittelbar nach der Geburt einsetzende Dilatation der Lungenarterien bleibt aus; die Azidose induziert über eine pulmonale Vasokonstriktion eine pulmonale Hypertonie, die über das Foramen ovale, den Ductus arteriosus Botalli und intrapulmonale Shunts die Entwicklung eines persistierenden Rechts-links-Shunts nach sich zieht. Es bildet sich eine zunehmende O2-Untersättigung des arteriellen Bluts aus, die mit der postnatal einsetzenden Vasodilatation interferiert (Abb. 4.33). Bei einigen dieser Patienten liegen bereits pulmonale Gefäßveränderungen im Sinne einer Mediahypertrophie vor, die Ausdruck einer chronischen intrauterinen Hypoxie sein könnten (primärer pulmonaler Hochdruck; andere Kinder haben als Grunderkrankung eine mehr oder weniger ausgeprägte Lungenhypoplasie). Potente Stimuli der pulmonalen Vasokonstriktion sind Leukotriene und weitere Lipidmediatoren, deren Freisetzung bei allen sekundären Formen der PPH durch Hypoxie, Infektionen und die im Verlauf verschiedenster Grunderkrankungen einsetzende Inflammationsreaktion gefördert wird.

Klinik
Die Neugeborenen erkranken in der Regel innerhalb der ersten 12 Lebensstunden. In Abhängigkeit von der Grunderkrankung stehen entweder die Zyanose (Polyzythämie, idiopatische PPH u. a.) oder die schwere Atemnotsymptomatik mit Zyanose (Mekoniumaspiration, Zwerchfellhernie u. a.) im Vordergrund. Die Patienten können innerhalb kurzer Zeit ein Multiorganversagen oder Myokardischämie entwickeln. Die klinische Verdachtsdiagnose einer PPH kann durch die prä- und postduktale O2-Differenz und nicht zuletzt durch die Echokardiographie (einschließlich dopplersonographischer Diagnostik) bestätigt werden. Der Röntgenthoraxbefund ist bei einigen Erkrankungen unauffällig (Asphyxie, Hyperviskositätssyndrom etc.), bei anderen zeigt er die typischen Veränderungen der Grunderkrankung.
Therapie
Zu einer optimalen Behandlung gehört – wenn immer möglich – eine Korrektur der Grundproblematik sowie eine gezielte Supportivtherapie und Behandlung aller im Verlauf der Erkrankung aufgetretenen Komplikationen, wie z. B. Hypotension, myokardiale Dysfunktion, Azidose. Die Kinder sind zu sedieren und ggf. zu relaxieren. Der entscheidende therapeutische Ansatz ist eine suffiziente maschinelle Beatmung mit ausreichender Oxygenierung. Die früher geübte Hyperventilationstherapie mit einem pCO2 von 20–25 mmHg ist wegen der Drosselung der zerebralen Durchblutung heute obsolet. Zusätzlich wird das kurzzeitig wirksame und gut steuerbare Prostazyklin auch in inhalativer Form eingesetzt.
Als vielversprechender neuer therapeutischer Ansatz ist die inhalative Behandlung mit NO („nitric oxide“, Stickstoffmonoxid) anzusehen. NO führt zu einer selektiven Vasodilatation der Pulmonalgefäße in den ventilierten Lungenarealen. Neugeborene, die auf keine dieser Maßnahmen ansprechen, werden einer Hochfrequenzoszillationsbeatmungstherapie zugeführt.
Reichen diese Maßnahmen nicht aus, um eine ausreichende Oxygenierung zu erreichen, so sollte der Patient mit einer extrakorporalen Membranoxygenierung (ECMO) behandelt werden. Die international anerkannten Kriterien für ECMO-Therapie sind: Gestationsalter >34 Wochen, Geburtsgewicht >2.000 g, keine Gerinnungsstörung, fehlendes Ansprechen auf alle erwähnten therapeutischen Maßnahmen und das Vorliegen eines Oxygenierungsindex (OI) von 25–40 (mittlerer Atemwegsdruck [cmH2O] × FiO2 × 100/paO2 [mmHg]).
Prognose
Die neonatale Sterblichkeit der PPH liegt bei 20–30%. In den wenigen Langzeituntersuchungen der überlebenden Kinder wird deutlich, dass nur ca. 40% diese Erkrankung unbeschadet überstehen; die restlichen Patienten weisen neurologische Folgeschäden in unterschiedlichster Ausprägung auf. Bei 20% der Kinder wurde ein neurosensorischer Hörverlust diagnostiziert.
Lungenblutung
Definition
Eine akute, von den Alveolen ausgehende Lungenblutung, tritt überwiegend bei Frühgeborenen und hypotrophen Neugeborenen auf, die an verschiedensten Erkrankungen der Neonatalperiode leiden.
Epidemiologie
Während bei mehr als 10% verstorbener Neugeborener eine Lungenblutung autoptisch diagnostiziert wird, entwickelt sich dieses lebensbedrohliche Ereignis bei weniger als 5% aller Frühgeborenen mit einem Geburtsgewicht <1.500 g, die an einem Atemnotsyndrom erkrankt sind.
Ätiologie
Prädisponierende Faktoren für eine Lungenblutung sind eine neonatale Streptokokkenpneumonie, die perinatale Asphyxie, Hypothermie, Azidose, Hypoglykämie, Gerinnungsstörungen, Herzversagen, schwere Erythroblastose, Surfactanttherapie und O2-Toxizität.
Klinik
Akute Blutung aus Mund, Nase und den Atemwegen mit rasch progredientem Kreislauf- und Atmungsversagen. In den Röntgenthoraxaufnahmen zeigt sich eine zunehmende Verdichtung der Lunge.
Therapie
Unverzügliche Stabilisierung der Beatmungs- und Kreislaufsituation mit allen zur Verfügung stehenden intensivmedizinischen Maßnahmen sowie – wenn immer möglich – Behandlung der Grundproblematik.
Chylothorax
Definition
Unter einem Chylothorax wird eine Ansammlung von chylöser Flüssigkeit im Pleuraraum verstanden (Abb. 4.34).


Epidemiologie
Ein angeborener Chylothorax ist ein seltenes Ereignis; häufiger werden erworbene Ansammlungen chylöser Flüssigkeit nach kardiochirurgischen Eingriffen beobachtet. Als Folge parenteraler Langzeiternährung über einen zentralen Venenkatheter wurden Thrombosierungen der oberen Hohlvene mit sekundärem Chylothorax beschrieben.
Ätiopathogenese
Die Ursache für die Entstehung eines angeborenen Chylothorax ist unklar; es wird ein angeborener Defekt des Ductus thoracicus vermutet. Bei Neugeborenen mit Down-, Noonan- und Turner-Syndrom sowie bei Hydrops fetalis tritt gelegentlich ein Chylothorax auf; ebenso wurde nach Geburtstraumata die Entwicklung chylöser Effusionen berichtet.
Klinik, Diagnose
Die Neugeborenen fallen unmittelbar postnatal oder innerhalb der ersten Lebenstage durch mehr oder minder ausgeprägte Zeichen der Atemnot auf. Vor Beginn einer oralen Ernährung enthält die serumähnliche Pleuraflüssigkeit mehrere Tausend Leukozyten/µl, mehr als 90% sind mononukleäre Zellen (Lymphozyten). Nach Milchernährung nimmt die Pleuraflüssigkeit eine weißliche, typisch chylöse Farbe an.
Therapie
Die kontinuierliche Ableitung der chylösen Flüssigkeit führt bei den meisten Kindern zu einer Ausheilung. Es treten aber z. T. erhebliche Eiweiß- und Antikörper- sowie Lymphozytenverluste auf. Eine orale Ernährung mit mittelkettigen Triglyzeriden reduziert die Chylusproduktion.
Prognose
Bei den meisten Formen eines Chylothoraxes kann man von einer sich selbstlimitierenden Erkrankung ausgehen. Selten werden Versuche chirurgischer Korrekturmaßnahmen oder intraperitoneale Shuntableitung, allerdings mit unsicherem Ausgang nötig.
Obstruktion der oberen Atemwege
Definition
Angeborene Obstruktionen der oberen Luftwege gehen häufig mit akuter unmittelbar postnatal auftretender Atemnot einher.
Ätiopathogenese, Therapie
Da Neugeborene für eine suffiziente Atmung auf eine ungehinderte Nasenatmung angewiesen sind, führen sämtliche anatomischen und funktionellen Obstruktionen der oberen Luftwege zu einer akuten Atemnotsymptomatik. Trotz deutlicher Atemexkursionen unmittelbar nach der Geburt können Neugeborene mit Choanalatresie oder Pierre-Robin-Sequenz (Mikrognathie, Glossophtose, Gaumenspalte; Abb. 4.35) kein adäquates Atemzugvolumen aufbauen. Diese bedrohliche Situation ist durch Einführen eines passenden Guedel-Tubus häufig akut zu beheben. Die Bauchlage kann das Zurückfallen der Zunge bei Neugeborenen mit Pierre-Robin-Sequenz häufig verhindern und die Luftnotsymptomatik verbessern. Eine frühe individuelle kieferorthopädische Behandlung kann mit Hilfe einer Gaumenplatte und einem integrierten pharyngealen Sporn, der das Zurückfallen der Zunge verhindert, langfristig zu einer Ausheilung der Fehlbildung führen.

Larynx- und Trachealatresien verlaufen meistens letal. Der kongenitale laryngeale Stridor auf dem Boden einer Laryngomalazie heilt bei den meisten Kindern im Verlauf des ersten Lebensjahres aus. Schwieriger gestaltet sich die Behandlung einer kongenitalen oder häufig durch prolongierte Intubation oder Intubationsschäden erworbenen subglottischen Stenose. Bei dieser Problematik können langwierige tracheale Dilatationen, Lasertherapien oder auch laryngotracheale Rekonstruktionen angezeigt sein.
Bluterkrankungen
Fetale Erythropoese
Physiologische Besonderheiten
Die Erythropoese, die am 20. Gestationstag beginnt, findet in der Fetalzeit überwiegend in Leber und Milz statt. Erst im letzten Trimenon wird das Knochenmark zum Hauptbildungsort der Erythropoese. Die Hämoglobinkonzentration steigt von 8–10 g/dl im Alter von 12 Gestationswochen auf 16,5–20 g/dl im Alter von 40 Gestationswochen an. Nach einem kurzen postnatalen Anstieg der Hämoglobinkonzentration innerhalb von 6–12 Lebensstunden fällt sie kontinuierlich auf 10 g/dl im Alter von 3–6 Monaten ab. Frühgeborene unterhalb der 32. Gestationswoche haben niedrigere Ausgangshämoglobinkonzentrationen und erfahren einen schnelleren Abfall der Hämoglobinkonzentration, der Tiefpunkt ist 1–2 Monate nach der Geburt erreicht. Während dieser physiologischen Anämisierung lässt sich kaum Erythropoetin im Plasma nachweisen.
Besonderheiten fetaler Erythrozyten
Fetale und neonatale Erythrozyten weisen eine kürzere Überlebenszeit (70–90 Tage) und ein größeres mittleres korpuskuläres Volumen auf (MCV 110–120 fl) als Erythrozyten Erwachsener. In den ersten Tagen nach der Geburt besteht in der Regel eine Retikulozytose von 50–120‰. Die Erythrozyten enthalten überwiegend fetales Hämoglobin F, das aus 2 α-Ketten und 2 γ-Ketten besteht. Unmittelbar vor der Geburt setzt bei einem reifen Neugeborenen die Synthese von β-Hämoglobinketten und damit adultem Hämoglobin ein (2 α-Ketten und 2 β-Ketten). Zum Zeitpunkt der Geburt haben die Erythrozyten reifer Neugeborener 60–90% fetales Hämoglobin; diese Konzentration sinkt bis zum Alter von 4 Monaten auf <5% ab.
Das Blutvolumen reifer Neugeborener beträgt ungefähr 85 ml/kgKG; Plazenta und Nabelgefäße enthalten ca. 20–30 ml/kg Blut.
Eine späte Abnabelung ca. 60 s nach der Geburt führt zu einem Anstieg des neonatalen Blutvolumens und der Hämoglobinkonzentration und hat einen positiven Einfluss auf das unreife Frühgeborene.
Neonatale Anämie
Definition
Eine Anämie Neugeborener ist durch Hämoglobinkonzentrationen (Hb) <14 g/dl sowie einen Hämatokrit (Hkt) von <40% charakterisiert.
Ätiologie
Sie kann durch akuten oder chronischen Blutverlust, eine verminderte Bildung sowie durch eine immunologisch vermittelte oder nichtimmunologisch bedingte Hämolyse der Erythrozyten verursacht sein (Tab. 4.7).
| Blutverlust | Verminderte Blutbildung | Hämolyse |
|---|---|---|
|
Fetomaternale Blutung Plazenta prävia Vorzeitige Plazentalösung Fetofetale Transfusion Nabelschnureinriss Vasa praevia Neonatale Blutung: intrakraniell, gastrointestinal u. a. |
Konnatale und perinatale Infektionen Blackfan-Diamond-Anämie Konnatale Leukämie Frühgeborenenanämie |
Rh-Erythroblastose AB0-Erythroblastose Andere Blutgruppeninkompatibilitäten Erythrozytenmembrandefekte Erythrozytenenzymdefekte Selten: Hämoglobinopathien |
Nach einem akuten Blutungsereignis sind die Hämoglobinkonzentration und der Hämatokrit Früh- und Neugeborener häufig normal und fallen erst im Rahmen der Hämodilution kontinuierlich ab. Das zirkulierende Blutvolumen kann jedoch bereits während der Blutungsereignisse bedrohlich vermindert sein. Ein chronischer Blutverlust kann u. a. durch fetomaternale Transfusion zustande kommen, die bei ca. 50% aller Schwangerschaften beobachtet wird; der fetale Blutverlust kann erheblich sein. Die Diagnose einer fetomaternalen Transfusion wird durch den Nachweis von HbF-haltigen kindlichen Erythrozyten im mütterlichen Blut erbracht.
Klinik
Leitsymptome der akuten Blutungsanämie sind Blässe, Tachykardie, schwache oder nicht tastbare periphere Pulse, Hypotension, Tachypnoe und bei massivem Blutverlust Schnappatmung und Schock. Die klinischen Symptome bei chronischem Blutverlust sind Blässe bei erhaltener Vitalität, Tachykardie und normaler Blutdruck. Häufig besteht eine Herzinsuffizienz mit Hepatomegalie. Die gelegentlich nachweisbare Splenomegalie ist Ausdruck der extramedullären Blutbildung. Selten entwickelt sich ein Hydrops fetalis. Eine neonatale Anämie, die durch eine verminderte Bildung von Erythrozyten verursacht wird, wie z. B. bei Blackfan-Diamond-Anämie, ist durch niedrige Retikulozytenzahlen und Fehlen von Erythrozytenvorstufen im Knochenmark charakterisiert. Häufigste Ursachen für eine immunologisch vermittelte Hämolyse bei Neugeborenen sind Inkompatibilitäten zwischen mütterlicher und kindlicher Blutgruppe (Abschn. 4.8.12, Abschn. 4.8.13). Nichtimmunologische Erkrankungen, die mit einer Hämolyse einhergehen, sind Defekte der Erythrozytenmembran (hereditäre Sphärozytose), Erythrozytenenzymdefekte (Glukose-6-Phosphatdehydrogenase- und Pyruvatkinasemangel), seltene Hämoglobinopathien sowie die α-Thalassämie.
Therapie
Neugeborene mit ausgeprägtem akutem Blutverlust (hämorrhagischer Schock, „weiße Asphyxie“) werden notfallmäßig mit 0 Rh-negativem Erythrozytenkonzentrat ohne vorherige Kreuzprobe transfundiert [Hepatitis B, Anti-HCV, TPHA (Lues), CMV, HIV negativ!].
Bei allen anderen Indikationen ist vor der Transfusion eine kindliche Blutgruppenbestimmung und Kreuzprobe durchzuführen. Bei Verdacht auf Störung der Erythropoese und hämolytische Anämien ist vor Gabe von Blutprodukten kindliches Blut für die entsprechende Spezialdiagnostik abzunehmen (Abschn. 4.8.13).
Anämie Frühgeborener
Ein besonderes klinisches Problem stellt die Anämie Frühgeborener dar. Die meisten sehr kleinen Frühgeborenen entwickeln bereits während der ersten Lebenswochen eine mehr oder weniger ausgeprägte Anämie. Eine Reihe von Faktoren sind für die Entstehung der Anämie Frühgeborener verantwortlich, u. a. zu frühes Abnabeln, ein Erythropoetinmangel, der zu einer inadäquaten Erythropoese führt, sowie repetitive diagnostische Blutentnahmen. Seltener entwickelt sich eine hämolytische Anämie durch Vitamin-E-Mangel oder im Verlauf systemischer Infektionen.
Polyzythämie, Hyperviskositätssyndrom
Definition
Unter einer Polyzythämie (syn. neonatale Polyglobulie) wird ein venöser Hämatokrit >65% (Hämoglobin >22 g/dl) verstanden, der unter dem Bild eines Hyperviskositätssyndroms zu einem Anstieg der Blutviskosität, zur vaskulären Stase mit Mikrothrombosierung, zu Hypoperfusion und Ischämie von Organen führen kann.
Ätiologie
Etwa 3–5% aller Neugeborenen weisen nach der Geburt einen Hkt >65% auf. Risikokollektive sind reife oder postmature hypotrophe Neugeborene (intrauterine Wachstumsretardierung, chronische fetale Hypoxie), Patienten nach fetofetaler oder maternofetaler Transfusion, Neugeborene nach zu später Abnabelung, Kinder diabetischer Mütter, Nikotinabusus während der Schwangerschaft, Neugeborene mit Hyperthyreose oder Kinder mit angeborenen Erkrankungen (adrenogenitales Syndrom, Trisomie 21, Beckwith-Wiedemann-Syndrom). Bei einem Hämatokrit von >65% steigt die Blutviskosität exponenziell an.
Klinik
Die klinische Symptomatik ist außerordentlich vielfältig und reflektiert die Mikrozirkulationsstörungen und manifesten Durchblutungsstörungen der betroffenen Organsysteme. Die Neugeborenen fallen häufig durch ihr plethorisches oder auch blass-graues Hautkolorit und eine Belastungszyanose auf. Daneben finden sich Hyperexzitabilität, Myoklonien, Hypotonie, Lethargie und zerebrale Krampfanfälle. Bei einigen Kindern steht die kardiopulmonale sowie renale Symptomatik im Vordergrund: Atemnotsyndrom, persistierende pulmonale Hypertonie mit PFC-Syndrom, Herzinsuffizienz, Oligurie, Hämaturie und Nierenversagen. Die Neugeborenen können foudroyante Verlaufsformen einer nekrotisierenden Enterokolitis sowie einen Ileus entwickeln. Daneben treten zum Teil gravierende Thrombozytopenien, Hypoglykämien, Hypokalzämien und ausgeprägte Hyperbilirubinämien auf.
Therapie
Beim Auftreten erster Symptome muss unverzüglich eine partielle modifizierte Austauschtransfusion durchgeführt werden. Zur Senkung des Hkt auf 55% wird kindliches Blut gegen Plasma oder eine Albuminlösung simultan ausgetauscht (Hämodilution).
Icterus neonatorum und Hyperbilirubinämie
Bilirubinstoffwechsel
Durch den Abbau von Hämoglobin (→ Biliverdin) im retikuloendothelialen System entsteht wasserunlösliches unkonjugiertes Bilirubin ①. Aus 1 g Hämoglobin werden ca. 35 mg Bilirubin gebildet. Im Blut bindet sich das unkonjugierte Bilirubin an Albumin. Man geht davon aus, dass Albumin eine primäre und sekundäre Bindungsstelle mit unterschiedlicher Affinität für Bilirubin besitzt. Nach Transport zur Leberzelle dissoziiert das Bilirubin vom Albumin und wird aktiv mit Hilfe der Transportproteine Y und Z (Ligandine) in das Zellinnere geschleust ②. Dort erfolgt die Konjugation durch die UDP-Glukuronyltransferase ③; das an Uridin-5’-di-Phosphat-Glukuronsäure gekoppelte Bilirubin ist wasserlöslich und wird über das biliäre System in den Darm ausgeschieden (④; Abb. 4.36).

Besonderheiten beim Neugeborenen
Der Bilirubinstoffwechsel des Neugeborenen weist im Vergleich zum Erwachsenen einige Besonderheiten auf, die die Entstehung des physiologischen Neugeborenenikterus erklären:
eine 2- bis 3-fach höhere Bilirubinproduktion bedingt durch die höhere Erythrozytenzahl und Hämoglobinkonzentration,
die verkürzte Erythrozytenüberlebenszeit (Neugeborene 70–90 Tage, Erwachsene 120 Tage),
die Hydrolyse des in den Darm gelangten glukuronidierten Bilirubins durch intestinale Glukuronidasen und vermehrte Rückresorption des Bilirubins aus dem Darm („enterohepatischer Kreislauf“).
Dieser Vorgang wird durch eine verzögerte Darmpassage des mekoniumhaltigen Darms und die fehlende intestinale Kolonisation mit Bakterien, die Bilirubin in Urobilinogen und Sterkobilinogen umwandeln, verstärkt. Weiterhin besteht eine relative Defizienz der hepatischen Transportproteine Y und Z sowie der Glukuronyltransferaseaktivität. Die Bindungskapazität des Albumins wird nicht nur von der Gesamtkonzentration des Transporteiweißes bestimmt, sondern auch von im Blut vorhandenen Faktoren, die mit Bilirubin um die Albuminbindungsstellen konkurrieren. Zu diesen Substanzen, die zu einer Verdrängung des Bilirubins aus der Albuminbindung führen können, gehören freie Fettsäuren, Steroidhormone und Medikamente (Sulfonamide, Salizylate u. a.); eine verminderte Bindungsaffinität des Albuminmoleküls wird bei Azidose beobachtet.
Physiologischer Ikterus
Klinik
Unter normalen Bedingungen beträgt der Bilirubinspiegel im Nabelschnurblut 1–3 mg/dl. Vor dem Hintergrund der Besonderheiten des Bilirubinstoffwechsels entwickeln mehr als die Hälfte aller reifen Neugeborenen und nahezu 80% aller Frühgeborenen 2–3 Tage nach der Geburt einen physiologischen Ikterus, der am 4.–5. Lebenstag seinen Höhepunkt erreicht und dann langsam abklingt. Bis zu 7% aller Neugeborenen haben maximale indirekte Bilirubinspiegel von mehr als 13 mg/dl und nahezu 3% von mehr als 15 mg/dl. Bei diesen Kindern findet man häufig eine Reihe von Risikofaktoren: ethnische Zugehörigkeit (Chinesen, Koreaner, Japaner), Höhe über Meeresspiegel, Polyzythämie, männliches Geschlecht, Muttermilchernährung, starker Gewichtsverlust, verzögerte Stuhlentleerung u. a. Der Ikterus fällt in der Regel bei Bilirubinkonzentrationen von 5 mg/dl zuerst im Gesicht auf und breitet sich dann kaudal aus; die Kinder sind nicht beeinträchtigt. Bei Frühgeborenen kann der Ikterus ausgeprägter sein, das Maximum des Bilirubinanstiegs tritt später auf und der Ikterus hält länger an. Viele Neugeborene erreichen nach ca. 14 Tagen mit Erwachsenen vergleichbare Serumbilirubinspiegel.
Therapie
Die meisten Neugeborenen mit physiologischem Ikterus bedürfen keiner speziellen Behandlung. Eine Phototherapie ist nur bei Überschreiten eines festgelegten Grenzwerts indiziert.
Phototherapie
Durch sichtbares Licht (Wellenlänge 425–475 nm) wird das in der Haut vorhandene Bilirubin zu nichttoxischen Bilirubinisomeren umgeformt; diese wasserlöslichen Substanzen können ohne Glukuronidierung mit der Galle und dem Urin ausgeschieden werden. Eine optimale Isomerisierung des Bilirubins findet im Bereich des normalen Adsorptionsspektrums statt; blaues Licht mit einer Wellenlänge von 445 nm ist daher besonders zur Behandlung der Hyperbilirubinämie geeignet (Abb. 4.37). Bei reifen Neugeborenen mit physiologischem Ikterus ohne weitere Risikofaktoren sollte eine Phototherapie nach dem 3. Lebenstag erst bei Bilirubinserumspiegeln von >16 mg/dl begonnen werden. Neuere deutschsprachige Richtlinien setzen die Behandlungsgrenze in dieser Patientengruppe bei 18 mg/dl an.


Durch kritiklose Anwendung von speziell für hämolytische Erkrankungen erstellten Therapieschemata werden zu viele Neugeborene ohne klare Indikationsstellung einer Phototherapie unterzogen. Nebenwirkungen dieser Therapie sind Diarrhö, vermehrter Flüssigkeitsverlust, Temperaturinstabilität und Dehydratation.
Durch das blaue Licht der Phototherapielampe ist die Hautfarbe des Neugeborenen nicht mehr zu beurteilen; bedrohliche klinische Veränderungen und Erkrankungen (u. a. neonatale Infektion) werden möglicherweise trotz einer Monitorüberwachung zu spät erkannt. Die Neugeborenen müssen daher regelmäßig klinisch untersucht werden (Abb. 4.37).
Cave
Die zum Schutz von potenziellen Retinaschäden zu applizierenden Schutzbrillen können zur Verlegung der Nasenwege führen.
Muttermilchikterus
Ätiologie
Ein länger bekanntes Phänomen ist der deutliche Anstieg des unkonjugierten, indirekten Bilirubins unter Muttermilchernährung. Obwohl die exakte Ursache dieser Ikterusform bis heute nicht geklärt ist, wird vermutet, dass entweder Pregnandiol oder nicht veresterte, langkettige Fettsäuren die konjugierende Aktivität der hepatischen Glukuronyltransferase kompetitiv hemmen. Erst vor Kurzem wurde eine erhöhte Aktivität von β-Glukuronidase in der Muttermilch nachgewiesen; ein erhöhtes enterohepatisches „Recycling“ könnte ebenfalls die erhöhten Bilirubinkonzentrationen erklären.
Verlauf, Therapie
Mit Muttermilch ernährte Neugeborene haben im Vergleich zu mit Formula ernährten Kindern häufiger höhere Bilirubinspiegel; therapeutische Konsequenzen ergeben sich bei den meisten Neugeborenen nicht. Allerdings entwickelt 1 von 200 mit Muttermilch ernährten Neugeborenen zwischen dem 4.–7. Lebenstag einen deutlichen Anstieg der Bilirubinkonzentration, das Maximum wurde bei einigen Neugeborenen erst in der 3. Lebenswoche erreicht. Nur wenige Neugeborene mit Muttermilchikterus sind mit Phototherapie zu behandeln, ein Unterbrechen des Stillens ist in der Regel nicht angezeigt.
Ikterus bei Frühgeborenen
Ätiopathogenese
Eine Reihe von Beobachtungen deuten darauf hin, dass sehr kranke kleine Frühgeborene besonders gefährdet sind, eine Bilirubinenzephalopathie zu entwickeln. Die Albuminkonzentrationen sind im Vergleich zu reifen Neugeborenen häufig deutlich erniedrigt; verschiedene Faktoren wie Azidose, erhöhte Freisetzung von Fettsäuren während einer Hypothermie und Hypoglykämie interferieren mit der Bilirubin-Albumin-Bindung.
Therapie
Eine Phototherapie muss bei Frühgeborenen bereits bei niedrigeren Bilirubinspiegeln als bei Neugeborenen eingeleitet werden. Die differenzierten Indikationen sind in den Lehrbüchern der Neonatologie dargestellt.
Pathologische Hyperbilirubinämie
Ätiopathogenese
Neben Erkrankungen, die mit einer gesteigerten Hämolyse einhergehen, können pathologische Erhöhungen des indirekten Bilirubins bei angeborenen Defekten der Glukuronidierung, bei erhöhtem Bilirubinanfall durch vermehrten Erythrozytenabbau sowie durch eine vermehrte enterale Rückresorption von Bilirubin erfolgen.
Ätiologie der indirekten Hyperbilirubinämie (Erhöhung des unkonjugierten Bilirubins)
- Gesteigerte Hämolyse
- Blutgruppeninkompatibilität
- Rh, AB0, Kell, Duffy u. a.
- Neonatale Infektionen
- Bakteriell
- Viral
- Genetisch bedingte hämolytische Anämien
- Enzymdefekte: Glukose-6-Phosphatdehydrogenase, Pyruvatkinase
- Membrandefekte: Sphärozytose u. a.
- Hämoglobinopathien (homozygote a-Thalassämie)
- Keine Hämolyse
- Verminderte Bilirubinkonjugation
- Physiologischer Ikterus
- Muttermilchikterus
- Kinder diabetischer Mütter
- Crigler-Najjar-Syndrom (genetisch bedingter Glukuronyltransferasemangel)
- Gilbert-Meulengracht-Syndrom (verminderte Bilirubinaufnahme in Leberzelle)
- Hypothyreose
- Medikamente (Pregnandiol)
- Vermehrter Bilirubinanfall
- Polyzythämie
- Organblutungen, Hämatome
- Vermehrte enterale Rückresorption von Bilirubin
- Intestinale Obstruktion
- Unzureichende Ernährung (verminderte Peristaltik)
Morbus haemolyticus neonatorum
Allgemeine Ätiopathogenese
Die häufigsten Ursachen für einen Morbus haemolyticus neonatorum sind Blutgruppenunverträglichkeiten zwischen Mutter und Fetus, die Rhesus-Inkompatibilität (Rh), die AB0-Erythroblastose und seltene Unverträglichkeiten gegen andere erythrozytäre Antigene (Kell, Duffy u. a.). Durch Übertritt von fetalen inkompatiblen Erythrozyten während der Schwangerschaft oder vorherige Transfusion mit nicht blutgruppengleichen Erythrozyten (Sensibilisierung) reagiert das mütterliche Immunsystem mit der Bildung spezifischer IgG-Antikörper. Diese Immunglobuline sind plazentagängig und binden sich nach Übertritt auf das Kind an spezifische Antigenstrukturen fetaler Erythrozyten. Die Folge ist ein vorzeitiger und vermehrter Abbau der fetalen Erythrozyten; der Fetus beantwortet diese In-utero-Hämolyse mit einer Steigerung vorwiegend der extramedullären Blutbildung (Leber, Milz), es gelangen unreife Erythrozyten (Erythroblasten) in die kindliche Blutbahn. Das durch die gesteigerte Hämolyse anfallende indirekte Bilirubin wird über die Plazenta transportiert und vom hepatischen Enzymsystem der Mutter glukuronidiert und biliär ausgeschieden, selbst bei schwerer fetaler Hämolyse sind die kindlichen Bilirubinkonzentrationen intrauterin kaum erhöht.
Kernikterus, Bilirubinenzephalopathie
Ätiologie
Unkonjugiertes, nicht an Albumin gebundenes Bilirubin kann aufgrund seiner lipophilen Eigenschaften leicht in das zentrale Nervensystem eindringen. Es inhibiert den neuronalen Metabolismus (eine Hemmung der oxidativen Phosphorylierung) und hinterlässt eine irreversible Schädigung im Bereich der Basalganglien, des Globus pallidus, des Nucleus caudatus (Kernikterus), des Hypothalamus, einiger Kerngebiete von Hirnnerven und auch der Großhirnrinde (Abb. 4.38). Bei einer erhöhten Permeabilität der Blut-Hirn-Schranke (schwere Anämie, Hypoxie, Hydrops) kann auch an Albumin gebundenes Bilirubin in das Hirngewebe übertreten.


Pathogenese
Die Entstehung einer Bilirubinenzephalopathie wird von folgenden Faktoren beeinflusst: Lebensalter und Reifegrad der Kinder, Überschreiten der Albuminbindungskapazität durch zu hohe Bilirubinspiegel, Verminderung der Bindungskapazität bei Hypalbuminämie, Verdrängung des Bilirubins durch Gallensäuren, freie Fettsäuren (Hypoglykämie!) oder Medikamente und Veränderungen bzw. Schädigung der Blut-Hirn-Schranke nach Asphyxie, Hypoxie, neonataler Meningitis und anderen Erkrankungen.
Klinik
Die Frühsymptome der Bilirubinenzephalopathie sind: Apathie, Hypotonie, Trinkschwäche, Erbrechen, abgeschwächte Neugeborenenreflexe und schrilles Schreien. Danach fallen die Neugeborenen durch eine vorgewölbte Fontanelle, eine opisthotone Körperhaltung, muskuläre Hypertonie und zerebrale Krampfanfälle auf. Überlebende Kinder weisen häufig eine beidseitige Taubheit, choreoathetoide Bewegungsmuster sowie eine mentale Retardierung auf.
Therapie
Keine therapeutische Maßnahme kann diese irreversible Schädigung rückgängig machen. In der heutigen Zeit sollte diese vermeidbare Komplikation nicht mehr auftreten. Gerade in den westlichen Industrienationen wird aber inzwischen eine zunehmende Anzahl von Kindern beobachtet, die an den Folgen einer Bilirubinenzaphalopathie leiden. Ziel aller in der Peri- und Neonatalmedizin tätigen Ärzte, Hebammen und Kinderkrankenschwestern muss es sein, die Früh- und Neugeborenen mit einem erhöhten Risiko für eine Hyperbilirubinämie frühzeitig zu identifizieren und einer adäquaten Therapie zuzuführen.
AB0-Erythroblastose
Epidemiologie
Mit einer AB0-Unverträglichkeit ist bei ca. 1 von 200 Neugeborenen zu rechnen.
Pathogenese
Im Gegensatz zur Rh-Inkompatibilität tritt die AB0-Erythroblastose häufig in der ersten Schwangerschaft auf. Mütter mit der Blutgruppe 0 haben natürlich vorkommende Anti-A- und Anti-B-Antikörper (Isoagglutinine), die zur Gruppe der IgM-Antikörper gehören und deshalb nicht die Plazenta passieren. Dennoch bilden einige Schwangere plazentagängige IgG-Antikörper, die gegen die kindliche Blutgruppeneigenschaft A, B oder AB gerichtet sind. Die mütterliche IgG-Antikörperbildung kann vermutlich durch exogene Ursachen, wie z. B. Darmparasiten stimuliert werden. Als weitere Ursache wird der Übertritt kindlicher Erythrozyten in die mütterliche Zirkulation vermutet, da die Antigenität der kindlichen Blutgruppeneigenschaften erst gegen Ende der Schwangerschaft voll ausgebildet ist, erklärt sich der im Vergleich zur Rh-Inkompatibilität milde Verlauf der hämolytischen Erkrankung beim ersten Neugeborenen sowie die Tatsache, dass Frühgeborene nur extrem selten an einer AB0-Inkompatibilität erkranken. Der Schweregrad der hämolytischen Erkrankung Neugeborener nimmt bei nachfolgenden Schwangerschaften in der Regel nicht zu. Der Grund liegt vermutlich in einer Suppression der IgG-Antikörperbildung durch die natürlich vorkommenden IgM-Anti-A- oder Anti-B-Antikörper.
Klinik
Die Neugeborenen weisen meistens nur eine geringgradige Anämie auf; es besteht nur selten eine Hepatosplenomegalie; die Kinder entwickeln keinen Hydrops. Im peripheren Blut finden sich neben Retikulozyten und Erythroblasten als Ausdruck der gesteigerten Erythropoese Sphärozyten, die infolge der komplementvermittelten Hämolyse durch Fragmentation entstehen. Erkrankte Neugeborene sind lediglich durch die Hyperbilirubinämie und das damit verbundene Risiko einer Bilirubinenzephalopathie gefährdet.
Diagnose
Die wesentlichen diagnostischen Merkmale der AB0-Inkompatibilität im Vergleich zur Rh-Inkompatibilität sind in der Tab. 4.8 zusammengefasst.
| Inkompatibilität | ||
|---|---|---|
| Rh | AB0 | |
| Erkrankung bei erster Schwangerschaft | Selten | Häufig |
| Frühzeitige Anämisierung des Kindes | ++ | + |
| Hyperbilirubinämie während der ersten 24 h post partum | ++ | + |
| Erythroblasten | +++ | + |
| Sphärozyten | ± | ++ |
| Retikulozyten | ++ | + bis ++ |
| Direkter Coombs-Test (Kind) | +++ | – bis + |
| Indirekter Coombs-Test (Mutter) | +++ | ± |
Therapie
Durch eine rechtzeitig begonnene und konsequent durchgeführte Phototherapie können bei den meisten Kindern kritische Bilirubinserumkonzentrationen vermieden werden. Eine Austauschtransfusion ist nur extrem selten durchzuführen. Durch zirkulierende Antikörper kann sich in den ersten Lebenswochen eine in der Regel blande verlaufende Anämie entwickeln.
Rh-Erythroblastose
Epidemiologie
Ungefähr 15% der europäischen Bevölkerung sind Rh-negativ, ca. 5% der amerikanischen schwarzen Bevölkerung. Vor Einführung der Anti-D-Prophylaxe betrug die Prävalenz der Rh-Inkompatibilität 45 erkrankte Kinder pro 10.000 Lebendgeborene. Die Erkrankungshäufigkeit konnte um weit mehr als 90% reduziert werden.
Ätiopathogenese
Das erythrozytäre Rhesusantigensystem besteht aus 5 Antigenen: C, D, E, c und e; d hat keine antigenen Eigenschaften. Bei ca. 90% der Fälle von Rhesusinkompatibilität sensibilisiert das D-Antigen des Fetus die Rh(d)-negative Mutter, die in der Folge IgG-Antikörper (Anti-D-Antikörper) bildet. Da in der Frühschwangerschaft nur ausnahmsweise kindliche Erythrozyten in den Kreislauf der Mutter gelangen, bildet die Mutter keine oder nur geringe Mengen an Anti-D-Antikörpern. Das erste Kind bleibt entweder gesund oder entwickelt nur eine hämolytische Anämie und/oder Hyperbilirubinämie, vorausgesetzt, dass eine frühere Sensibilisierung durch Aborte oder Bluttransfusionen ausgeschlossen ist. Unter der Geburt und bei der Plazentalösung kann eine größere Menge kindlicher Erythrozyten in die mütterliche Blutbahn übertreten. Die Rh-Erythroblastose bei unterlassener Rh-Prophylaxe manifestiert sich typischerweise während der 2. und weiteren Schwangerschaften mit zunehmendem Schweregrad der fetalen Erkrankung, die in einen Hydrops fetalis einmünden kann.
Klinik
In Abhängigkeit vom Schweregrad der Erkrankung bestehen: eine mehr oder weniger ausgeprägte Anämie, ein Icterus praecox (Gesamtbilirubin >7 mg/dl innerhalb der ersten 24 Lebensstunden), ein Icterus gravis (Gesamtbilirubin >15 mg/dl bei reifen Neugeborenen), und als Ausdruck der extramedullären Blutbildung eine Hepatosplenomegalie. Als Zeichen der gesteigerten Hämatopoese sind Erythroblasten und Retikulozyten im peripheren Blut in großer Zahl nachweisbar.
Hydrops fetalis
Bei schwerer fetaler Anämie (Hämoglobin <8 g/dl) können sich eine intrauterine Hypoxie und Hypoproteinämie infolge einer verminderten Albuminsynthese entwickeln. Veränderungen der Zellpermeabilität und Verminderungen des onkotischen Drucks führen zu generalisierten Ödemen, Höhlenergüssen (Aszites, Pleuraerguss, Perikarderguss), Hypervolämie und Herzinsuffizienz (Abb. 4.39). Beim generalisierten Hydrops kann bereits ein intrauteriner Fruchttod oder eine irreparable zerebrale Schädigung auftreten.

Diagnose
Im Rahmen der Schwangerschaftsvorsorge wird bei allen Frauen im Verlauf der Schwangerschaft nach irregulären Antikörpern gesucht, um Inkompatibilitäten in Rh-, Duffy-, Kell- oder anderen Blutgruppensystemen zu erkennen. Mit dem indirekten Coombs-Test werden plazentagängige IgG-Antikörper nachgewiesen. Bei vorhandenen Antikörpern ist eine engmaschige fetale Ultraschalldiagnostik imperativ. Da keine Korrelation zwischen der Höhe vorhandener Antikörper und dem Schweregrad der möglichen kindlichen Erkrankung besteht, ist bei vorhandenen Antikörpern eine sequenzielle Bestimmung der fetalen zerebralen Durchblutung indiziert. Die dopplersonographische Messung der Flussgeschwindigkeit korreliert mit dem Grad der Anämisierung. Nur noch selten wird eine Fruchtwasseruntersuchung (Amniozentese) zur Bilirubinbestimmung durchgeführt. Das Ausmaß der Hämolyse lässt sich durch spektrophotometrische Analyse der optischen Dichte (450 nm) des Fruchtwassers ablesen (Liley-Diagramm).
Nach der Geburt sind beim Neugeborenen unverzüglich folgende Bestimmungen durchzuführen:
Hämoglobinkonzentration,
Serumbilirubinspiegel,
Blutgruppenbestimmung,
Coombs-Test,
Retikulozytenzahl,
Blutausstrich.
Bei Neugeborenen mit Rh-Erythroblastose ist neben den beschriebenen hämatologischen Auffälligkeiten immer ein positiver direkter Coombs-Test zu finden (Nachweis von inkompletten, an kindliche Erythrozyten gebundene Antikörper).
Unmittelbar nach der Geburt kann die Konzentration des indirekten Bilirubins stark ansteigen; es sind daher engstmaschige Bilirubinbestimmungen erforderlich.
Therapie
Intrauterine Therapie des Feten
Bei ausgeprägter fetaler Anämie ist eine intrauterine Transfusion durch Kordozentese in die Nabelvene erforderlich; bei ersten Zeichen eines Hydrops fetalis ist eine vorzeitige Beendigung der Schwangerschaft durch Sectio caesarea notwendig.
Phototherapie
Bei leichten Verläufen (einer Rh-Inkompatibilität) kann eine Phototherapie unter Umständen in 3 Ebenen zur Behandlung der Hyperbilirubinämie ausreichen. Die Indikation für den Beginn einer Phototherapie hängt vom Gestationsalter, Lebensalter, Höhe der Bilirubinkonzentration, Dynamik des Bilirubinanstiegs, von dem Ausmaß der Anämie und anderen Risikofaktoren ab.
Austauschtransfusion
Zur Vermeidung der Bilirubinenzephalopathie wird nach wie vor eine Austauschtransfusion reifer Neugeborener bei Bilirubinserumkonzentrationen >20 mg/dl empfohlen; bei schweren Grunderkrankungen (Asphyxie, neonatale Sepsis, hämolytische Anämie u. a.) sowie einer Hyperbilirubinämie in den ersten 3 Lebenstagen liegt die Austauschgrenze in dieser Gruppe niedriger. Für Frühgeborene gelten besondere Austauschgrenzen (Frühgeborene mit einem Gewicht von >1.500 g: >15 mg/dl, Frühgeborene >1.000 g: >10 mg/dl). Der Blutaustausch erfolgt mit kompatiblem Spendervollblut in 5- bis 20-ml-Portionen über einen liegenden Nabelvenenkatheter; durch diese Maßnahme wird das 2- bis 3-fache Blutvolumen eines Neugeborenen ausgetauscht, d. h. ca. 90% der kindlichen Erythrozyten werden neben mütterlichen Antikörpern und verfügbarem Bilirubin eliminiert. Als Komplikationen der Blutaustauschtransfusion können Infektionen (u. a. Sepsis), Katheterperforation, Pfortaderthrombose, Hypotension, Azidose, nekrotisierende Enterokolitis und Elektrolytentgleisungen auftreten. Nach einem Blutaustausch besteht häufig eine Anämie und Thrombozytopenie; durch eine zusätzliche kontinuierlich durchgeführte Phototherapie kann die Zahl von mehrfachen Austauschtransfusionen gesenkt werden.
Prävention
Durch Gabe eines Anti-D-Immunglobulins innerhalb von 72 h nach der Geburt kann die Sensibilisierung einer Rh-negativen Mutter durch die Rh-positiven fetalen Erythrozyten häufig vermieden werden. Die Anti-D-Prophylaxe muss bei Rh-negativen Frauen auch nach Aborten, Amniozentesen oder unsachgemäßer Transfusion mit Rh-positivem Blut durchgeführt werden.
In der ersten Schwangerschaft kann eine maternale Immunglobulinprophylaxe in der 28. Gestationswoche und unmittelbar postnatal die Sensibilisierung auf weniger als 1% reduzieren.
Nach bisherigen Kenntnissen scheint die im letzten Trimenon durchgeführte Anti-D-Prophylaxe beim Neugeborenen keine klinisch signifikante Hämolyse auszulösen.
Prognose
Trotz adäquater Initialbehandlung entwickeln die Kinder aufgrund der noch vorhandenen Anti-D-Antikörper häufig eine über mehrere Wochen anhaltende Spätanämie. Bei erhöhten Retikulozytenzahlen und asymptomatischem Kind ist keine weitere Therapie notwendig. Stellen sich eine persistierende Tachykardie sowie andere Zeichen der chronischen Anämie ein, so ist eine weitere Transfusion indiziert. Selten wird eine Pfortaderthrombose nach Austauschtransfusion beobachtet; diese schwerwiegende Komplikation ist therapeutisch nicht zu beeinflussen.
Weitere hämolytische Erkrankungen
Blutgruppenunverträglichkeiten gegen andere Erythrozytenantigene [c, E, Kell (K), Duffy u. a.] sind für weniger als 5% aller hämolytischen Erkrankungen der Neonatalperiode verantwortlich. Der direkte Coombs-Test ist bei diesen Unverträglichkeiten immer positiv. Kongenitale Infektionen mit verschiedenen Erregern sowie neonatale Infektionen können eine nichtimmunologische Hämolyse induzieren. Die homozygote α-Thalassämie kann sich ebenfalls unter dem Bild einer schweren hämolytischen Anämie mit Hydrops fetalis präsentieren; auch bei dieser und den folgenden Erkrankungen ist der direkte Coombs-Test negativ. Hämolytische Anämie und ausgeprägte Hyperbilirubinämie mit Gefahr der Bilirubinenzephalopathie werden bei Neugeborenen mit hereditärer Sphärozytose oder angeborenen Enzymdefekten, wie dem Pyruvatkinase- oder Glukose-6-Phosphatdehydrogenasemangel beobachtet.
Direkte Hyperbilirubinämie
Eine direkte Hyperbilirubinämie (direktes, konjugiertes Bilirubin >2 mg/dl) wird bei einer Reihe angeborener und erworbener hepatischer sowie extrahepatischer Erkrankungen. Größere Schwierigkeiten bereitet es, die extrahepatische Gallengangsatresie von der neonatalen Hepatitis abzugrenzen. Bei einigen Kindern konnte inzwischen belegt werden, dass eine Hepatitis der Entwicklung einer Gallengangsatresie vorausging. Eine nicht unerhebliche Anzahl Neugeborener mit prolongierter direkter Hyperbilirubinämie hat als Grunderkrankung einen α1-Antitrypsinmangel (α1-Proteinase-Inhibitor). Ebenso wird ein cholestatischer passagerer Ikterus häufig bei Früh- und Neugeborenen beobachtet, die eine langzeitige parenterale Ernährung erhalten. Als Ursache wird weniger die Infusion mit Lipiden, als die Gabe bestimmter Aminosäuren vermutet.
Ätiologie der direkten Hyperbilirubinämie (Erhöhung des konjugierten Bilirubins)
- Intrahepatische Cholestase
- Neonatale Hepatitis (B)
- Perinatale Infektionen (CMV u. a.)
- Syndrom der eingedickten Galle
- Parenterale Ernährung
- α1-Antitrypsinmangel (α1-Proteinasemangel)
- Galaktosämie, Tyrosinose
- Intrahepatische Gallengangshypoplasie (Alagille-Syndrom)
- Extrahepatische Cholestase
- Gallengangsatresie
- Choledochuszyste
- Zystische Fibrose (Mukoviszidose)
Weißes Blutbild Neugeborener
Die peripheren Gesamtleukozytenzahlen sowie die Verteilung der einzelnen Leukozytensubpopulationen unterscheiden sich während der Neonatalperiode deutlich von denen späterer Lebensalter. Im Zusammenhang mit dem Geburtsvorgang werden physiologischerweise die Knochenmarkreserven der Früh- und Neugeborenen mobilisiert, d. h. die Zahl unreifer und reifer Granulozyten steigt in der Peripherie an. Das Maximum der Granulozytose ist 12 h post partum erreicht, im Verlauf der ersten 3 Lebenstage fällt die Zellzahl kontinuierlich ab. Eine stabile obere Normgrenze findet sich vom 5. Lebenstag an. In Abb. 4.40 sind die Gesamtzahl der neutrophilen Granulozyten und der unreifen Granulozyten (Stabkernige und jugendliche Formen) während der Neonatalperiode dargestellt.

Erniedrigte Gesamtzahlen der neutrophilen Granulozyten werden nach mütterlicher Hypertonie, EPH-Gestose und viralen konnatalen Infektionen beobachtet; sie sind möglicherweise Ausdruck einer verminderten Bildung von Granulozyten im kindlichen Knochenmark. Daneben tritt eine Neutrozytopenie häufig bei Neugeborenen mit neonataler Sepsis auf; im Verlauf der Erkrankung werden überwiegend periphere neutrophile Granulozyten verbraucht, die Knochenmarkreserven sind durch die geburtsbedingte Mobilisierung der Granulozyten erschöpft.
Nach Regeneration der Knochenmarkreserven entwickeln Neugeborene, die nach dem 3. Lebenstag an einer Sepsis erkranken, häufig eine Granulozytose. In der Regenerationsphase einer neonatalen Infektion kann gelegentlich eine leukämoide Reaktion beobachtet werden.
Neonatale Thrombozytopenie
Ätiologie
Die wesentlichen maternalen und kindlichen Ursachen und Erkrankungen, die eine neonatale Thrombozytopenie (<150.000 Thrombozyten/µl) auslösen können, sind in Tab. 4.9 dargestellt.
| Mütterliche Ursachen | Kindliche Ursachen |
|---|---|
|
Idiopathisch thrombozytopenische Purpura der Mutter Lupus erythematodes der Mutter Medikamente während der Schwangerschaft Thrombozyteninkompatibilität: Alloimmunthrombozytopenie |
Konnatale Infektionen: Toxoplasmose, Röteln, Zytomegalie, Herpes simplex, Lues Neonatale Infektionen: Sepsis neonatorum Disseminierte intravaskuläre Gerinnungsstörung nach Asphyxie, Schock etc. Nekrotisierende Enterokolitis Austauschtransfusion Selten: aplastische Anämie, kongenitale Leukämie, Wiskott-Aldrich-Syndrom, Riesenhämangiom u. a. Retardierung Polyzythämie |
Maternale Ursachen
Im Rahmen einer aktiven idiopatisch thrombozytopenischen Purpura (ITP) oder eines Lupus erythematodes können die maternalen Autoantikörper durch diaplazentaren Übertritt beim Neugeborenen eine Immunthrombozytopenie induzieren. Bei Müttern, die sich gegen Medikamente sensibilisiert haben, wurde nach Anlagerung des Antigen(Medikament)-Antikörper-Komplexes an fetale Blutplättchen von der Entwicklung einer Thrombozytopenie berichtet.
Kindliche Ursachen
Unter den kindlichen Ursachen ist das Wiskott-Aldrich-Syndrom hervorzuheben. Aufgrund eines intrinsischen Thrombozytendefekts ist die Überlebenszeit der Blutplättchen deutlich vermindert. Die Thrombozyten sind bei dieser Erkrankung deutlich kleiner als bei allen anderen Formen der neonatalen Thrombozytopenie. Mithilfe moderner hämatologischer Analysegeräte sollte die Diagnose dieser komplexen Immundefizienzerkrankung noch vor Auftreten der typischen Manifestationszeichen gestellt werden.
Neonatale Alloimmunthrombozytopenie
Definition
Bei der neonatalen Alloimmunthrombozytopenie handelt es sich um eine fetomaternale Thrombozyteninkompatibilität.
Pathogenese
Kindliche Thrombozyten, die spezifische inkompatible Antigene tragen und im Verlauf der Schwangerschaft in den mütterlichen Blutkreislauf gelangen, können bei den Müttern eine humorale Immunantwort gegen das fremde Plättchenantigen auslösen; die maternalen Thrombozyten weisen dieses Antigenmerkmal nicht auf. In der Folge treten die im mütterlichen Organismus gebildeten IgG-Iso-Antikörper diaplazentar auf das Kind über, binden an die kindlichen Thrombozyten und führen zu einem beschleunigten Abbau der Blutplättchen. Die maternalen Thrombozytenzahlen sind normal.
Epidemiologie
Die Inzidenz der Alloimmunthrombozytopenie wird mit 1:2–3000 Neugeborenen angegeben. Verantwortlich für die mütterliche Sensibilisierung ist in mehr als 75% der Fälle das plättchenspezifische Antigen PLA1, das bereits in der 19. Schwangerschaftswoche von den fetalen Thrombozyten exprimiert wird. 98% der Bevölkerung besitzen PLA1-positive Thrombozyten. Weitere Plättchenantigene, für die Sensibilisierungen beschrieben wurden, sind PLA2, PLE1, PLE2 u. a. Bis zu 15% der betroffenen Neugeborenen können an den Folgen einer zu spät erkannten Alloimmunthrombozytopenie versterben. Bei komplikationslosen Verläufen limitiert sich die Krankheit innerhalb der ersten 4–6 Lebenswochen durch Elimination der zirkulierenden Antikörper in der Regel von selbst. Eine Sensibilisierung mit Entwicklung der Thrombozyteninkompatibilität tritt im Verlauf der 1. Schwangerschaft bei ca. 50% der Risikokonstellationen auf, das Wiederholungsrisiko steigt bei weiteren Schwangerschaften auf 85% an.
Klinik
Klinisch symptomatische Neugeborene mit Alloimmunothrombozytopenie fallen durch Petechien, Purpura und gelegentlich Schleimhautblutungen auf. Neben renalen und gastrointestinalen Blutungen ist die gefürchtete Komplikation eine innerhalb der ersten Lebenstage auftretende Hirnblutung. Einige Neugeborene sind auch bei ausgeprägten Thrombozytopenien symptomfrei.
Diagnose
Die Diagnose wird durch Nachweis spezifischer Thrombozytenmerkmale und Antikörpernachweis bei Mutter und Kind gestellt.
Therapie
Bei Thrombozytenzahlen <50.000/µl oder klinischen Blutungszeichen ist eine sofortige Transfusion eines kompatiblen Thrombozytenkonzentrats angezeigt. Ein Problem stellt jedoch die Selektion geeigneter Thrombozytenspender dar, da 98% der Bevölkerung PLA1-positive Thrombozyten besitzen und somit als Spender ausscheiden. Eine Thrombozytentypisierung potenzieller Spender ist nur in wenigen Blutbanken vorhanden.
Als idealer Spender kompatibler Thrombozyten kommt daher nur die Mutter in Frage. Das Verfahren der Thrombozytenisolierung durch Zellseparation wird auch unmittelbar nach der Geburt von den Müttern gut toleriert.
Einige Neugeborene sprechen auch auf eine hochdosierte i.v.-Immunglobulintherapie an.
Bei erneuter Schwangerschaft einer sensibilisierten Mutter besteht ein hohes Risiko für das Kind, an einer Alloimmunthrombozytopenie zu erkranken. Der durch Nabelschnurpunktion erfolgte Nachweis einer fetalen Thrombozytopenie kann eine repetitive In-utero-Transfusion von kompatiblen Thrombozyten erfordern. Der therapeutische Effekt einer hochdosierten mütterlichen Therapie mit Gammaglobulinpräparaten ist aufgrund der unzureichenden Datenlage noch nicht zu beurteilen.
Koagulopathien
In der Neonatalperiode werden nicht selten Störungen der plasmatischen Blutgerinnung beobachtet; sie können Ausdruck einer angeborenen Defizienz an Gerinnungsfaktoren (Hämophilie Kap. 23), eines Vitamin-K-Mangels oder einer disseminierten intravasalen Gerinnungsstörung (DIC, „disseminated intravascular coagulation“) sein. Neugeborene haben erniedrigte Plasmakonzentrationen nahezu aller Gerinnungsfaktoren, besonders die Synthese der vitamin-K-abhängigen Faktoren II, VII, IX und X ist gestört. Es gibt keinen diaplazentaren Übertritt von Gerinnungsfaktoren.
Morbus haemorrhagicus neonatorum (Vitamin-K-Mangel)
Definition
Der Morbus haemorrhagicus neonatorum ist eine durch einen Vitamin-K-Mangel ausgelöste potenziell lebensbedrohliche Erkrankung, die durch präventive Vitamin-K-Substitution verhindert werden kann.
Epidemiologie
Bei ca. 1 von 200 Neugeborenen, die keine postnatale Vitamin-K-Prophylaxe erhalten haben, tritt ein unerwartetes Blutungsereignis innerhalb der ersten Lebenswochen auf.
Ätiologie
Vitamin K ist für die hepatische Synthese von Prothrombin, Faktor VII, IX und X verantwortlich. Ein Vitamin-K-Mangel kann sich bei Neugeborenen zu verschiedenen Zeitpunkten manifestieren:
Eine am 1. Lebenstag aufgetretene Blutung wird nach mütterlicher Medikamenteneinnahme beobachtet. Phenytoin, Phenobarbital, Primidon, Salizylate, Antikoagulanzien u. a. beeinträchtigen den Vitamin-K-Metabolismus Neugeborener, eine mütterliche Heparinbehandlung dagegen hat keine Auswirkungen auf das kindliche Gerinnungssystem. Die typische Vitamin-K-Mangelblutung des reifen Neugeborenen tritt vom 3.–7. Lebenstag überwiegend bei mit Muttermilch ernährten Kindern auf; Muttermilch hat nur einen geringen Vitamin-K-Gehalt. Bei allen Früh- und Neugeborenen, die einer antibiotischen Langzeitbehandlung oder einer parenteralen Ernährung unterzogen sind, können sich bei mangelnder Vitamin-K-Substitution im Verlauf der Neonatalperiode bedrohliche Blutungen entwickeln. Eine Spätmanifestation des Vitamin-K-Mangels im Alter von 4–12 Wochen kann bei mit Muttermilch ernährten Säuglingen, besonders aber bei Kindern mit einer Vitamin-K-Malabsorption auftreten (Mukoviszidose, cholestatischer Ikterus u. a. bei Gallengangsatresie, Wachstumshemmung der vitamin-K-produzierenden intestinalen mikrobiellen Flora durch Antibiotika).
Klinik
Eine Vitamin-K-Mangelblutung ist immer dann zu vermuten, wenn ein gesund wirkendes Neugeborenes spontane Hämorrhagien entwickelt: Hämatemesis, gatrointestinale Blutung (Melaena vera), Epistaxis, Nabelschnur- und Hautblutungen, intrakranielle Blutung u. a.
Differenzialdiagnose
Eine in den ersten Lebenstagen auftretende Hämatemesis oder Meläna kann auch durch mütterliches, bei der Geburt verschlucktes Blut verursacht sein.
Mithilfe des Alkaliresistenztests (Apt-Test) kann in kürzester Zeit entschieden werden, ob es sich um kindliches oder mütterliches Blut handelt.
Kindliche Erythrozyten enthalten überwiegend alkaliresistentes Hämoglobin F, sie werden in einer Lösung von 1% Natronlauge nicht denaturiert, die Lösung bleibt rötlich gefärbt. Die mütterlichen, Hämoglobin A enthaltenen Erythrozyten dagegen werden sofort zerstört, die Lösung bekommt eine gelblich-braune Farbe.
Prävention, Therapie
Bei manifester Vitamin-K-Mangelblutung (Risikopatienten, Vitamin-K-Malabsorption) muss unverzüglich Vitamin K i.v. appliziert werden, zusätzlich kann die Gabe von Frischplasma notwendig sein. Höhere Dosen von Vitamin K sind bei mütterlicher Medikamenteneinnahme oder Lebererkrankung des Neugeborenen indiziert. Der Verdacht, dass i.m.-injiziertes Vitamin K zu einem erhöhten Krebsrisiko bei Kindern führt, konnte eindeutig widerlegt werden.
Mit der routinemäßig durchgeführten oralen Vitamin-K-Prophylaxe können Vitamin-K-Mangelblutungen fast vollständig vermieden werden. Dazu werden direkt postnatal, zwischen dem 3. und 5. Lebenstag (U2) und in der 4. bis. 6. Lebenswoche (U3) jeweils 2 mg Vitamin K verabreicht. Frühgeborene und kranke Neugeborene erhalten bis zum errechneten Geburtstermin 1-mal pro Woche 0,1 mg/kgKG i.v. oder 1 mg p.o.
Nekrotisierende Enterokolitis
Grundlagen
Die nekrotisierende Enterokolitis (NEC) ist eine akut auftretende inflammatorische Erkrankung des Dünn- und Dickdarms, welche im Verlauf zu einem septischen Krankheitsbild mit disseminierten Darmnekrosen führt. Die Ursache ist multifaktoriell. Die NEC ist die häufigste Ursache gastrointestinaler Notfallsituationen Neugeborener, v. a. erkranken Frühgeborene mit einem Geburtsgewicht unter 1.500 g. Neben einzelnen sporadischen Fällen wird häufig ein gruppenweises Auftreten der Erkrankung beobachtet.
Pathogenese
Eine Erklärung der Genese der Erkrankung muss folgende Faktoren berücksichtigen: 90% der Fälle treten bei Frühgeborenen auf. Fast alle erkrankten Kinder sind oral ernährt worden. Die NEC tritt erheblich seltener auf bei Ernährung mit Muttermilch. Viele Fälle treten endemisch auf, ohne dass sich oft ein gemeinsamer Erreger isolieren lässt. Es ist somit offensichtlich, dass die NEC multifaktoriell verursacht wird. Dabei können verschiedene pathogenetische Faktoren identifiziert werden (Abb. 4.41):
Verminderung der Darmdurchblutung,
Unreife der intestinalen Abwehrmechanismen,
bakterielle Überwucherung des Darms,
orale Ernährung.

Die intestinale Abwehr gegenüber pathogenen Erregern ist bei Frühgeborenen beeinträchtigt. Neben einer verminderten Konzentration des sekretorischen IgA auf der Darmschleimhaut, finden sich weitere Defizienzen der lokalen Immunität. Die geringe Darmmotilität begünstigt ebenfalls die Bakterienadhäsion. Die herabgesetzte lokale Immunität ist einer der wesentlichen pathogenetischen Faktoren der NEC.
Die bakterielle Besiedlung des Darms ist ebenfalls von Bedeutung. In der Tat lassen sich bei einer NEC häufig bakterielle Erreger, v. a. gramnegative Keime wie Klebsiella, Enterobacter- und Pseudomonas-Spezies oder Escherichia coli aus der Peritonealflüssigkeit, der Blutkultur oder aus dem Stuhl isolieren. Aber auch Infektionen mit Staphylokkokus epidermidis oder Rotaviren werden bei einer NEC beobachtet Die Pneumatosis als pathognomonisches Symptom entsteht durch intraluminale Ausbreitung der bakteriellen H2-Bildung im Rahmen der Kohlenhydratvergärung des Darminhalts.
Die orale Ernährung ist ein weiterer pathogenetischer Faktor. Bei Fütterung mit Frauenmilch kommt eine NEC vermutlich seltener vor als bei Ernährung mit einer Kuhmilchpräparation.
Klinik
Kinder mit NEC präsentieren sich mit folgenden Symptomen:
geblähtes, meist druckschmerzhaftes Abdomen,
blutige Stühle,
Erbrechen, Nahrungs- oder Sekretrückstau im Magen,
häufig lokalisierte Resistenz im Abdomen,
livide oder rötlich verfärbte Bauchhaut,
bei fortschreitender Erkrankung mit diffuser Peritonitis: gesamte Bauchhaut glänzend und ödematös,
fehlende Darmgeräusche.
Neben den lokalen Befunden zeigen die Kinder Symptome einer systemischen Infektion:
Temperaturinstabilität,
Apnoen,
Muskelhypotonie,
Hypomotorik bis Lethargie.
- Bei schweren Verläufen zusätzlich:
- Hypotension,
- Azidose,
- dissiminierte intravasale Gerinnung mit Thrombozytopenie.
Labordiagnostik
Typische laborchemische Befunde gibt es nicht, sie entsprechen der einer Sepsis (Leukozytose oder Leukozytopenie, „Linksverschiebung“, im Verlauf erhöhte Serumkonzentrationen des C-reaktiven Proteins).
Röntgendiagnostik
Radiologisch findet sich in den frühen Stadien der Erkrankung eine lokalisierte oder generalisierte Dilatation von Darmschlingen sowie eine Verdickung der Darmwand. Das typische Symptom einer NEC ist die Pneumatosis intestinalis mit einer perlschnurartigen Ansammlung von Gasblasen in der Darmwand. Bei Extension dieser Gasansammlung über die Mesenterialgefäße in die Lebervenen lässt sich intrahepatische Luft nachweisen. Eine Perforation des Darms führt zum Auftreten freier Luft im Abdomen. Das Pneumoperitoneum imponiert in Rückenlage oft als rundliche strahlentransparente Figur in Bauchmitte, die Perforation lässt sich meist besser bei einer Aufnahme in Linksseitenlage als sichelartige Luftdarstellung über der Leber nachweisen.
Therapie
Die Behandlung der NEC hängt ab von der Schwere der Erkrankung. Bei Verdacht auf NEC erfolgt eine konservative Behandlung mit Nahrungspause (keine oralen Medikamente), Magenablaufsonde und breiter antibiotischer Therapie. Die Flüssigkeits- und Elektrolyttherapie ist von besonderer Bedeutung, da es zu erheblichen Verlusten von Flüssigkeit in den Darm (sog. dritter Raum) kommen kann. In der Regel ist die Gabe von isotoner Elektrolytlösung erforderlich. Bei definitiver NEC oder Ileussymptomatik ist unbedingt eine Mitbeurteilung des klinischen Befunds durch einen Kinderchirurgen notwendig, um eine rechtzeitige Indikation zu operativem Vorgehen stellen zu können. Eine Operationsindikation ist gegeben bei Perforation, klinischen Peritonitissymptomen oder deutlichen Pneumatosiszeichen. Ein toxisches Krankheitsbild erfordert eine notfallmäßige operative Therapie.
Fetale und neonatale Infektionen
Besonderheiten des Immunsystems Neugeborener
Während der 2. Schwangerschaftshälfte entwickelt der Fetus die Fähigkeit zur zellulären und humoralen Immunabwehr, jedoch ist das Immunsystem des Feten in seiner Aktivität supprimiert, um Abstoßungsreaktionen zwischen Feten und Mutter zu vermeiden. Die Umstellung des Immunsystems auf die aktive Bekämpfung von invasiven Erregern erfolgt erst postnatal. Deshalb sind viele immunologische Effektorsysteme beim Neugeborenen und noch ausgeprägter beim Frühgeborenen weniger funktionsfähig als beim Erwachsenen (Tab. 4.10).
| Immunglobuline |
IgG von der Mutter übertragen (Nestschutz) Evtl. Mangel an spezifischen Antikörpern IgG bei Frühgeborenen deutlich vermindert IgM-Produktion bei intrauteriner Infektion möglich |
| Komplementsystem | Serumspiegel nur 50–75% des Erwachsenen |
| Granulozyten |
Geringe Knochenmarkreserven Verminderte Adhärenz und Chemotaxis |
| Makrophagen | Verringerte Chemotaxis und Aktivierbarkeit |
| T-Lymphozyten |
Verringerte Mitogenstimulierbarkeit Verringerte Zytokinproduktion Verringerte Fähigkeit, B-Zellen und Makrophagen zu stimulieren |
Immunglobuline
Fetale B-Lymphozyten sind in der Lage bei intranterinen Infektionen IgM-Antikörper zu bilden. Die IgG-Antikörper des Neugeborenen sind dagegen IgG-Antikörper der Mutter, die über einen aktiven Transportmechanismus der Plazenta auf das Neugeborenen übertragen werden und ihm den sog. Nestschutz vor Infektionen vermitteln. Der protektive Effekt von mütterlichen IgG-Antikörpern z. B. gegen β-hämolysierende Streptokokken der Gruppe B oder Herpes simplex ist eindeutig belegt. Dieser transplazentare Transport beginnt mit 20 Schwangerschaftswochen und führt zu mit dem Gestationsalter zunehmenden IgG-Konzentrationen beim Neugeborenen. Frühgeborene haben deshalb nur einen ungenügenden Nestschutz. IgA passiert die Plazenta nicht und ist beim Neugeborenen nicht nachzuweisen.
Beim Neugeborenen nachweisbares IgM ist ein Hinweis auf eine intrauterine Infektion, da mütterliche IgM-Antikörper wegen ihrer Größe die Plazenta nicht passieren.
Komplementsystem
Die Serumkonzentrationen der meisten Komplementfaktoren und Komplementaktivität betragen beim reifen Neugeborenen nur ca. 50% der Erwachsenenwerte. Dadurch ist die Opsonisierung von Erregern verringert und somit die opsoninabhängige Phagozytose eingeschränkt.
Granulozyten
Das Neugeborene hat nur geringe Granulozytenreserven im Knochenmark. Die Granulozyten zeigen normales Phagozytoseverhalten und Bakterizidie, jedoch eine eingeschränkte Adhärenz und Chemotaxis.
Makrophagen
Neonatale Makrophagen zeigen eine verringerte Chemotaxis und Aktivierbarkeit.
T-Lymphozyten
Mit 15–20 Schwangerschaftswochen haben Feten eine nachweisbare T-Zell-Population im peripheren Blut. Diese ist allerdings in ihrer Aktivität supprimiert und zeigt eine verringerte Mitogenstimulierbarkeit, eine verminderte Fähigkeit, B-Zellen und Makrophagen durch eine eingeschränkte Zytokinproduktion z. B. von γ-Interferon zu aktivieren.
Nichtbakterielle konnatale Infektionen
Grundlagen
Die nichtbakteriellen Erreger konnataler Infektionen werden häufig unter dem Merkwort TORCH zusammengefasst:
Toxoplasma gondii
Others (HIV, Varizella-Zoster-Virus, Hepatitis-B-Virus, Parvovirus-B19)
Rötelnvirus
CMV (Zytomegalievirus)
Herpes-simplex-Virus Typ 1 und 2
Die einzelnen Erkrankungen warden in Kap. 7, 15 und 17 dargestellt.
Übertragung
Diese Erreger können auf verschiedenen Wegen von der Mutter auf das Kind übertragen werden (Tab. 4.11):
Transplazentare Infektion: Der Erreger im mütterlichen Blut durchdringt die Plazentaschranke und infiziert das Kind. Die Durchlässigkeit der Plazentaschranke hängt von der Art des Erregers und vom Zeitpunkt der Gestation ab; so wird die Plazenta z. B. mit zunehmendem Gestationsalter durchlässiger für Toxoplasmen.
Perinatale Infektion: Das Kind infiziert sich beim Durchtritt durch den Geburtskanal.
Postnatale Infektion: Die Infektion erfolgt durch Muttermilch oder Kontakt mit infektiösem Material von der Mutter.
| Erreger | Transplazentare Infektion | Perinatale Infektion | Postnatale Infektion |
|---|---|---|---|
| Toxoplasmose | ++ | – | – |
| HIV | + | ++ | + |
| Parvovirus | ++ | – | – |
| Hepatitis-B-Virus | + | ++ | + |
| Varicella-Zoster-Virus | ++ | + | + |
| Röteln | ++ | – | – |
| Zytomegalie | ++ | ++ | + |
| Herpes simplex | – | ++ | + |
Klinik
Die Symptomatik der TORCH-Infektionen reicht von der asymptomatischen Infektion bis zur tödlichen Erkrankung (Tab. 4.12).
| Erreger | Symptomatik |
|---|---|
| Röteln | Embryopathie mit Trias: Innenohrschwerhörigkeit, Herzfehler, Katarakt |
| Zytomegalie |
90% bei Geburt asymptomatisch (Spätschäden psychomotorische Retardierung, Schwerhörigkeit) 10% bei Geburt symptomatisch (Enzephalitis, Hepatitis, Chorioretinitis, Wachstumsretardierung) |
| Herpes simplex (Typ 2) | Generalisiert-septische Infektion oder lokalisierte Herpesläsionen an Haut, Auge und Mund oder isolierte Enzephalitis |
| Varicella Zoster | Varizellenembryopathie (Hautnarben, Extremitätenhypoplasie), neonatale Varizellen |
| Hepatitis B | Hepatitis, häufig mit chronischem Verlauf |
| HIV | Bei Geburt meist asymptomatisch, in den ersten Lebensmonaten Lymphadenopathie, Gedeihstörung, rezidivierende Diarrhö oder Atemwegsinfektionen |
| Parvovirus B19 | Transiente intrauterine Anämie |
| Toxoplasmose |
90% bei Geburt asymptomatisch (Spätschäden Chorioretinits, psychomotorische Retardierung, Hydrozephalus) 10% bei Geburt symptomatisch (Enzephalitis, Hepatitis, Chorioretinitis, Gedeihstörung) |
Folgende Symptome bei Geburt sind verdächtig auf eine intrauterin übertragene TORCH-Infektion:
Untergewicht,
Mikrozephalie, intrazerebrale Verkalkungen, Krampfanfälle (Enzephalitis),
Netzhautverkalkungen, Mikrophthalmie (Chorioretinitis),
Anämie, Thrombozytopenie (Knochenmarkdepression),
Hepatomegalie, Ikterus (Hepatitis).
Diagnose
Diagnostisch stehen der direkte Erregernachweis in Urin, Speichel oder anderen Körpersekreten zur Verfügung, die Erregerausscheidung persistiert oft über Monate. Der Nachweis von IgM-Antikörpern gelingt oft nicht, deshalb sind Verlaufsuntersuchungen des IgG-Titers erforderlich.
Röteln
Epidemiologie
Das Risiko einer Rötelnembryofetopathie beträgt 30% bei einer mütterlichen Infektion vor der 12. Schwangerschaftswoche und 10% bei einer mütterlichen Infektion zwischen 13 und 20 Schwangerschaftswochen. Die Häufigkeit der Rötelnembryopathie hat in Deutschland durch die Impfung und die verbesserte pränatale Diagnostik auf 1 pro 10.000 Geburten abgenommen.
Pathogenese
Das Rötelnvirus wird während der mütterlichen Virämie transplazentar übertragen. 50% der infizierten Schwangeren sind selbst asymptomatisch. Bei unbeabsichtigter Rötelnimpfung einer Schwangeren kann es zwar selten zu einer kindlichen Infektion kommen, aber nicht zu einer Rötelnembryopathie.
Klinik
Typisch ist die Rötelnembryopathie mit der Fehlbildungstrias Innenohrschwerhörigkeit, Herzfehler (persistierender Ductus arteriosus) und Katarakt, die auch als Gregg-Syndrom bezeichnet wird. Es kann aber auch zum Abort, zur intrauterinen Infektion ohne Fehlbildung, zu transienten neonatalen Symptomen oder zur persistierenden Infektion mit permanenten Organschäden kommen.
Cave
Meningoenzephalitis, Chorioretinitis, Glaukom, Hepatitis etc.
Diagnose
Zur Diagnose tragen Anamnese und Virusnachweis in Speichel, Blut oder Urin bei. Die Virusausscheidung ist 1–3 Monate nach der Geburt am höchsten und kann bis zu 1 Jahr persistieren. Positives Röteln-IgM in der Serologie, persistierender oder ansteigender Röteln-IgG-Titer sind diagnostisch wegweisend.
Differenzialdiagnose
Zytomegalie, Toxoplasmose.
Therapie
Bei hohem Verdacht auf eine Rötelnembryopathie kann eine Schwangerschaftsunterbrechung erwogen werden.
Entscheidend ist die Sicherstellung des Rötelnimpfschutzes bei allen Mädchen vor Eintritt der Pubertät, denn bei intrauteriner Infektion ist keine spezifische Therapie möglich.
Prognose
Die Gesamtmortalität infizierter Neugeborener beträgt 10%, davon 35% im 1. Lebensjahr.
Zytomegalie
Epidemiologie
Die Zytomegalie ist die häufigste nichtbakterielle konnatale Infektion. 1% aller Neugeborenen sind bei Geburt mit dem Zytomegalievirus infiziert, 10% der infizierten Neugeborenen sind bei Geburt symptomatisch (Kap. 14.4).
Die konnatale Zytomegalieinfektion ist eine führende Ursache von geistiger Behinderung und Schwerhörigkeit.
Herpes simplex
Epidemiologie
Die Häufigkeit der konnatalen Herpes-simplex-Infektion beträgt 1 auf 7.500 Neugeborene. In 85% der Fälle wird sie durch den Virustyp 2 (Herpes genitalis) verursacht (Kap. 14.1).
Varizella-Zoster-Virus
Epidemiologie
Die Inzidenz mütterlicher Windpocken in der Schwangerschaft beträgt nur 1–5/10.000 Schwangerschaften. Bei mütterlichen Windpocken in der Schwangerschaft werden 25% der Feten infiziert.
Pathogenese
Die frühe transplanzentare Infektion führt zur Varizellenembryopathie, die späte transplazentare Infektion in den letzten 3 Schwangerschaftswochen zu neonatalen Windpocken.
Klinik
Die Varizellenembryopathie geht mit Enzephalitis, Chorioretinitis, Hypoplasie von Gliedmaßen und dermatombezogenen Hautnarben einher. Neonatale Windpocken verlaufen je nach Infektionszeitpunkt unterschiedlich schwer:
Auftreten der mütterlichen Windpocken 5–21Tage vor der Geburt: Die Infektion erfolgt transplazentar. Die Inkubationszeit nach transplazentarer Infektion ist kürzer (10 statt 14 Tage) als nach Infektion über den Nasopharynx. Das Neugeborene zeigt innerhalb weniger Tage nach Geburt in der Regel milde Symptome, da es auch mütterliche Antikörper über die Plazenta bekommt.
Auftreten der mütterlichen Windpocken 4Tage vor dem Entbindungstermin bis 2 Tage nach Geburt: Das Neugeborenes wird 5–10 Tage post partum symptomatisch. Die Erkrankung kann in 20% der Fälle schwer verlaufen mit sich rasch ausbreitendem hämorrhagischem Exanthem, Pneumonie, Enzephalitis und Tod, da das Neugeborene keine mütterlichen Antikörper mehr erhalten hat.
Postnatale Infektion: Wird ein Neugeborenes/Säugling postnatal über den Nasopharynx infiziert hat es kein höheres Erkrankungsrisiko als ältere Kinder.
Komplikationen
Nach neonatalen oder postnatalen Windpocken tritt in den ersten 10 Lebensjahren häufig ein Zoster auf.
Diagnose
Anamnese und Nachweis des typischen Exanthems, Virusisolierung aus Effloreszenzen und Serologie ermöglichen die Diagnosestellung.
Differenzialdiagnose
Konnatale Herpes-simplex-Virus-Infektion.
Therapie
Bei mütterlichen Varizellen kurz vor dem Entbindungstermin erhält die Mutter sofort und das Kind nach der Geburt ein Varizellenhyperimmunglobulin, außerdem werden beide mit Aciclovir behandelt.
Prognose
Die Letalität der Varizellenembryopathie beträgt 47%.
Neugeborenensepsis
Definition
Die neonatale Sepsis stellt nach wie vor eines der Hauptprobleme der Neugeborenenmedizin dar; sie ist eine disseminierte mikrobielle Erkrankung, die durch die klinischen Symptome einer systemischen Infektion und die Septikämie, d. h. den kulturellen Nachweis pathogener Erreger in der Blutkultur charakterisiert ist. Im Rahmen des septischen Schocks kann sich ein Multiorganversagen ausbilden.
Epidemiologie
In Westeuropa und den USA erkranken 1–4 Neugeborene/1.000 Lebendgeborene/Jahr an einer neonatalen Sepsis, 10–25% der Patienten versterben an den Komplikationen dieser oftmals foudroyant verlaufenden Infektion, bis zu ¼ der Kinder entwickeln als Folge einer zu spät diagnostizierten Sepsis eine eitrige Meningitis. Diese Komplikation tritt in Deutschland inzwischen bei weniger als 10% der Früh- und Neugeborenen auf. Besonders kritisch ist die Situation auf neonatologischen Intensivstationen; hier kann bei 25% der Kinder im Verlauf der Intensivtherapie eine Sepsis nachgewiesen werden. Wie eine Reihe von epidemiologischen Untersuchungen belegen, hat die Inzidenz der neonatalen Sepsis in den letzten 20 Jahren zugenommen.
Verlauf
Die neonatale Sepsis manifestiert sich in 2 Verlaufsformen:
früheinsetzende Form (Frühsepsis),
späteinsetzende Form (Spätsepsis).
Die früheinsetzende Form zeichnet sich durch den Krankheitsbeginn in den ersten Lebenstagen, das typische Erregerspektrum (Tab. 4.14) und die fulminante Verlaufsform aus. Häufig entwickelt sich die systemische Infektion auf dem Boden einer neonatalen Pneumonie. Bei vielen Kindern sind geburtshilfliche Risikofaktoren vorhanden.
| Früheinsetzende Sepsis | Späteinsetzende Sepsis |
|---|---|
|
Streptokokken Gruppe B Escherichia coli Staphylococcus aureus Listeria monocytogenes Enterokokken u. a. |
Escherichia coli Staphylococcus epidermidis Klebsiella-Enterobacter-Spezies Pseudomonas aeruginosa Proteus-Spezies Streptokokken Gruppe B Candida albicans u. a. |
Die späteinsetzende Form tritt in der Regel nach dem 5. Lebenstag auf, der klinische Verlauf kann entweder foudroyant oder langsamer fortschreitend sein; die Neugeborenen erkranken häufig an einer Meningitis. Die Erreger stammen häufig aus dem postnatalen Umfeld (Tab. 4.14). Besonders intensivmedizinisch behandelte Früh- und Neugeborene sind gefährdet, an einer späteinsetzenden nosokomialen Sepsis zu erkranken.
Pathogenese, Risikofaktoren
Die geburtshilflichen Risikofaktoren der früheinsetzenden Sepsis sind:
vorzeitiger Blasensprung,
Amnioninfektionssyndrom,
Fieber, Bakteriämie der Mutter,
Frühgeburtlichkeit.
Durch vorzeitigen Blasensprung, Aszension vaginaler Erreger (aszendierende Infektion) oder im Rahmen einer mütterlichen Bakteriämie (deszendierende Infektion) kann das Neugeborene bereits in utero infiziert werden und manifest erkranken (Abb. 4.42).

Bei einer mütterlichen vaginalen und rektalen Kolonisierung mit pathogenen Erregern kann ein Neugeborenes darüber hinaus auf dem Geburtsweg infiziert werden. Bis zu 30% der amerikanischen und westeuropäischen Schwangeren weisen eine vaginale Besiedlung mit β-hämolysierenden Streptokokken der Gruppe B auf, maximal 50% mit pathogenen E. coli. Nach einer vaginalen Geburt sind bis zu 70% der Neugeborenen mit diesen pathogenen Bakterien auf Haut- und Schleimhäuten kolonisiert. Das Ausmaß der Besiedlung erhöht das Risiko, an einer Sepsis zu erkranken. Man kann davon ausgehen, dass ca. 1 von 100 Neugeborenen, die mit β-hämolysierenden Streptokokken der Gruppe B besiedelt sind, an einer Sepsis erkrankt.
Eine Gruppe von Risikopatienten ist in einem hohen Maß gefährdet, eine nosokomiale Sepsis zu akquirieren: intensivmedizinisch behandelte Früh- und Neugeborene. Die gut belegten Risikofaktoren sind in Tab. 4.13 zusammengefasst.
| Intensivmedizinische Maßnahmen |
Endotracheale Intubation Maschinelle Beatmung Zentrale Katheter, Lipidinfusionen |
| Mangelhafte Stationshygiene |
Unzureichende Handwaschpraktiken Überbelegung der Intensivstation Personelle Unterbesetzung |
| Kontamination |
Inkubatoren Waschbecken Andere Gegenstände |
Eine Übertragung von pathogenen Erregern erfolgt überwiegend durch unzureichende Handwaschpraktiken der betreuenden Schwestern und Ärzte.
In einzelnen amerikanischen Intensivstationen wurden bei 15% aller Hochrisikofrühgeborenen systemische Infektionen mit Candida spp. diagnostiziert. In Tab. 4.14 sind die wesentlichen Erreger der neonatalen Sepsis zusammengefasst.
Klinik
Die klinische Symptomatik der Neugeborenensepsis ist uncharakteristisch und variabel; bleiben die oftmals diskreten klinischen Zeichen unerkannt, so kann sich innerhalb kurzer Zeit das Vollbild des septischen Schocks entwickeln. Einer der wichtigsten Hinweise ist das von einer erfahrenen Kinderkrankenschwester registrierte „schlechte Aussehen“ des Neugeborenen. Neben Störungen der Temperaturregulation und der Atmungsfunktion, werden gastrointestinale Symptome beobachtet. Phasenweise nachweisbare Veränderungen des Hautkolorits weisen auf die im Rahmen der Bakteriämie auftretende Mikrozirkulationsstörung hin. Daneben können Hyperexzitabilität, Hypotonie, Apathie und zerebrale Krampfanfälle auftreten. Petechien, verstärkte Blutungsneigung, Hypotension und septischer Schock entwickeln sich im Verlauf der Erkrankung.
Wesentliche Symptome der neonatalen Sepsis
Temperaturinstabilität: Hyper-, Hypothermie
Atemstörungen: Tachypnoe, Dyspnoe, Apnoe
Gastrointestinale Symptome: Trinkschwäche, Erbrechen, abdominelle Distension
Zirkulatorische Insuffizienz: periphere Mikrozirkulationsstörungen, Blässe, grau-marmoriertes Hautkolorit, septischer Schock, Multiorganversagen, disseminierte intravasale Gerinnung
Neurologische Störungen: Hyperexzitabilität, Lethargie, Krampfanfälle
Bei klinischen Warnzeichen muss solange der Verdacht auf eine neonatale Sepsis bestehen, bis das Gegenteil bewiesen ist, also eine Infektion ausgeschlossen oder eine andere Ursache für die Verschlechterung des kindlichen Zustands gefunden wurde.
Der Verlauf der Neugeborenensepsis wird entscheidend vom Zeitpunkt der Diagnose bzw. des Behandlungsbeginns beeinflusst.
Erregernachweis
Mit Blutkulturen (aerob, anaerob), ggf. Liquorkulturen, Urinstatus und -kultur, Haut- und Schleimhautabstrichen sowie Untersuchung von Magensekret erfolgt der Erregernachweis. Bei jedem isolierten Erreger ist eine Resistenztestung durchzuführen.
Labordiagnostik
Verschiedene Entzündungsparameter können als Warnzeichen einer neonatalen Infektion angesehen werden und zur Früherkennung der neonatalen Sepsis beitragen.
Früherkennung und Warnzeichen neonataler Infektionen
Geburtshilfliche Risikofaktoren
Klinische Zeichen
- Entzündungsparameter:
- Leukozytose (Gesamtzahl aller neutrophiler Granulozyten)
- I/T-Quotient
- CRP
- Interleukin-6 u. a.
Erregernachweis
Zu diesen Entzündungsindikatoren gehören die Gesamtzahl der Leukozyten am 1. Lebenstag (<10.000 Leukozyten/µl), die Gesamtzahl aller neutrophilen Granulozyten sowie der unreifen Granulozyten sowie der I/T-Quotient (immature/total neutrophils, d. h. Gesamtzahl aller unreifen Granulozyten/Gesamtzahl aller Granulozyten >0,2). Eine Thrombozytopenie tritt bei ca. 30% der Neugeborenen mit neonataler Sepsis im Verlauf der Infektion auf.
Auch erhöhte Konzentrationen des C-reaktiven Proteins (CRP) und des Interleukin-6 (IL-6) weisen auf eine Infektion hin. Die Sensitivität und Spezifität dieser Entzündungszeichen wird von verschiedensten internationalen Arbeitsgruppen unterschiedlich beurteilt. Die Wertigkeit der verschiedenen Infektionszeichen als sog. „Früherkennungsparameter“ sollte auf keinen Fall überschätzt werden.
Der Stellenwert der einzelnen Parameter wird am ehesten deutlich, wenn man sich die Sequenz des Entzündungsgeschehens vor Augen führt (Abb. 4.43). Nach Keiminvasion werden mit einer kurzen Latenz neutrophile Granulozyten rekrutiert, die möglicherweise im Verlauf des initialen Abwehrgeschehens bereits verbraucht werden – die Patienten entwickeln eine Neutrozytopenie – oder aber es werden vermehrt unreife und reife Granulozyten aus dem Knochenmark freigesetzt. Erst im Rahmen der Makrophagenaktivierung werden der Tumornekrosefaktor, Interleukin-1 und Interleukin-6 sezerniert, diese immunologischen Hormone (Zytokine) stimulieren die Synthese des CRP in der Leber; sie lassen sich relativ früh und zum Teil nur innerhalb eines kurzen Zeitfensters sicher identifizieren. Mit einem Konzentrationsanstieg dieses Akutphaseproteins ist erst 4–6 h nach Keiminvasion oder lokaler Inflammation zu rechnen. Das CRP ist allerdings als idealer Verlaufsparameter einer neonatalen Infektion anzusehen.

Differenzialdiagnose
Verschiedene Erkrankungen Früh- und Neugeborener können sich unter nahezu identischer Symptomatologie manifestieren wie die neonatale Sepsis. Bei Frühgeborenen kann eine Infektion mit Streptokokken der Gruppe B unter dem Bild eines Atemnotsyndroms verlaufen. Weitere Erkrankungen: akute pulmonale Erkrankungen des Neugeborenen, persistierende fetale Zirkulation, Hyperviskositätssyndrom, kardiale Erkrankungen, nekrotisierende Enterokolitis, zerebrale Blutungen, metabolische Störungen, intrauterine Infektionen u. a.
Therapie
Nach Durchführung der Sepsisdiagnostik ist unverzüglich eine intravenöse antibiotische Therapie durchzuführen.
Antibiotische Therapie
Bei der Frühsepsis wird von vielen klinischen Gruppen an einer Kombinationsbehandlung mit Ampicillin und einem Aminoglykosid (z. B. Gentamicin) festgehalten; alternativ wird eine empirische Therapie mit Ampicillin und einem Cephalosporin der 3. Generation (z. B. Cefotaxim) praktiziert. Beide Therapiestrategien wurden von der „American Academy of Pediatrics“ empfohlen. Der Hauptgrund für die Gabe von Ampicillin ist die unzulängliche Aktivität der Cephalosporine gegen Listeria monocytogenes und Enterokokken. Bei Verdacht auf eine Staphylokokkeninfektion muss die verwendete Kombination um ein gegen Staphylokokken wirksames Mittel erweitert werden. Bestehen durch bakteriologische Untersuchungen der Mutter Hinweise auf einen seltenen Erreger der Frühsepsis (Klebsiella, Pseudomonas, Serratia etc.), sollte eine Kombinationstherapie mit einem Cephalosporin und einem Aminoglykosid gewählt werden. Nach Vorliegen der bakteriologischen Resistenztestung (Blut-, Liquorkulturen) werden die Patienten meist in einer Zweierkombination weiterbehandelt.
Vor einigen Jahren wurde im Rahmen einer Standardtherapie mit Cefotaxim eine rasche Selektion von cefotaximresistenten Enterobacter-Spezies (Enterobacter cloacae) nachgewiesen; diese Erreger waren auch gegen neuere Cephalosporine resistent.
Eine Anwendung von Cephalosporinen sollte daher nur unter strenger Indikationsstellung erfolgen.
Bei Staphylokokkusepidermidis-Sepsis kann eine Vancomycintherapie erforderlich sein. Infektionen mit Anaerobiern werden mit Metronidazol und Infektionen mit Candida spp. bzw. Aspergillus spp. mit 5-Fluorocytosin und Amphotericin B behandelt.
Die Behandlungsdauer für eine neonatale Sepsis ohne Meningitis oder andere schwere Begleitinfektionen beträgt in der Regel 10–14 Tage.
Supportivtherapie
Eine optimale Supportivtherapie sämtlicher im Verlauf der Sepsis auftretender Funktionsstörungen von Organsystemen (Herz-Kreislauf, Atmung, Säure-Basen-Haushalt, Gerinnung u. a.) ist eine wesentliche Voraussetzung in der Behandlung dieser lebensbedrohlichen Erkrankung.
Ein Therapiekonzept sollte sich immer nach dem lokalen Erregerspektrum richten. Daher ist es sinnvoll, durch regelmäßige bakteriologische Untersuchungen von Patienten und Gegenständen der neonatalen Intensivstation Änderungen im Resistenzverhalten von Problemkeimen frühzeitig zu erfassen.
Prophylaxe
Eine Immunprophylaxe gegen das breite Erregerspektrum der neonatalen Sepsis existiert nicht. Die Entwicklung eines speziellen Impfstoffs gegen Streptokokken der Gruppe B dürfte erst in einigen Jahren gelingen.
Einen weiteren präventiven Ansatz stellt die sog. Chemoprophylaxe dar. Schwangere, die vaginal und zervikal mit B-Streptokokken besiedelt sind, zusätzlich vorzeitige Wehen und/oder einen vorzeitigen Blasensprung von >12 h haben, erhielten eine selektive intrapartale Chemoprophylaxe mit Penicillin. Durch diese Maßnahme konnte die Kolonisierung Neugeborener und die Sepsisinzidenz durch Streptokokken der Gruppe B eindeutig gesenkt werden. Allerdings ist diese Maßnahme nur dann wirksam, wenn die antibiotische Prophylaxe mindestens >4 h präpartal verabreicht wird.
Seit 1996 wird in den USA ein generelles Screening bei allen Schwangeren in der 35.–37. Gestationswoche durchgeführt, um eine maternale Kolonisierung mit B-Streptokokken zum Zeitpunkt der Geburt zu erfassen. Trotz der erheblichen Kosten und der potenziellen Risiken einer Penicillinallergie erhalten alle Schwangeren präpartal eine Penicillingabe. Durch diese Strategie konnte eine früh einsetzende neonatale Sepsis mit B-Streptokokken wirksamer verhindert werden als durch eine Identifizierung Schwangerer mit bekannten Risikofaktoren. Bis zu 60% aller reifen Neugeborenen mit B-Streptokokkenerkrankungen hatten symptomfreie Mütter, die keinen Risikofaktor aufwiesen. Durch die Screeningstrategie können bis zu 70% aller früh einsetzenden Septikämien mit B-Streptokokken verhindert werden.
Meningitis
Definition
Die neonatale Meningitis/Meningoenzephalitis ist eine mikrobielle Infektion der Hirnhäute, des Gehirns und häufig auch der Ventrikel; sie wird durch die typischen Erreger neonataler Infektionen verursacht.
Epidemiologie
Die Inzidenz der neonatalen Meningitis hat in den letzten 10 Jahren abgenommen; vermutlich haben die verbesserte Perinatalversorgung und Früherfassung neonataler Infektionen sowie die rechtzeitige antibiotische Behandlung zu diesem Rückgang beigetragen. Die durchschnittliche Erkrankungsrate liegt zwischen 0,1–0,4 pro 1.000 Lebendgeborene.
Ätiologie
In Mitteleuropa und in Nordamerika werden bis zu 2/3 aller neonatalen Meningitiden durch Streptokokken der Gruppe B und E. coli verursacht. Für die in den ersten Lebenstagen auftretende Streptokokkenmeningitis sind überwiegend die Serotypen I und II verantwortlich; sie stammen aus der mütterlichen Vaginal- und Rektalflora. Bei der Spätform der Streptokokkenmeningitis wird der Serotyp III isoliert. Die verantwortlichen E. coli besitzen ein Kapselpolysaccharidantigen K1, das die Virulenz der Erreger erhöht (Elimination der Bakterien nur bei kompletter Opsonierung).
In einzelnen Regionen werden gehäuft Listerien (L. monocytogenes) als Meningitiserreger identifiziert. Eine nosokomiale Meningitis wird in Abhängigkeit vom lokalen Erregerspektrum am häufigsten durch Klebsiella- und Enterobacter-Spezies, Pseudomonas aeruginosa u. a. hervorgerufen. Bei intensivmedizinisch behandelten Frühgeborenen, die an einer unklaren systemischen Infektion erkrankt sind, muss immer an eine Candida-Meningitis gedacht werden. Wenn auch selten, so können doch die typischen Erreger der eitrigen Hirnhautentzündung im Kindesalter eine neonatale Meningitis verursachen.
Pathogenese, Risikofaktoren
Die bekannten geburtshilflichen, pränatalen und postnatalen Risikofaktoren der neonatalen Sepsis lassen sich uneingeschränkt bei der Meningitis Neugeborener nachweisen. Eine Meningitis entwickelt sich häufig als Folge einer zu spät diagnostizierten Sepsis. Ausgangspunkte für die hämatogene Streuung sind: Pneumonien, Hautinfektionen, infizierter Nabel, Harnwegsinfektionen, Otitis media etc.
Neugeborene mit Liquorshuntsystemen sind besonders gefährdet, über eine Bakteriämie eine Ventilinfektion zu entwickeln; der häufigste Erreger ist Staphyloccocus epidermidis.
Klinik
Die klinischen Zeichen der neonatalen Meningitis sind unspezifisch und in der Regel nicht von den Symptomen der Neugeborenensepsis zu unterscheiden. Als zusätzliche Symptome können Berührungsempfindlichkeit, spärliche Spontanbewegungen und schrilles Schreien hinzukommen. Eine gespannte Fontanelle, die opisthotone Körperhaltung oder gar Nackensteifigkeit treten insgesamt selten und erst im fortgeschrittenen Stadium der Meningitis auf. Krampfanfälle werden bei ca. 15% der erkrankten Neugeborenen beobachtet.
Diagnose
Aufgrund der uncharakteristischen Symptomatologie sollte bei jedem Patienten, bei dem eine neonatale Sepsis zu vermuten ist, eine Liquoruntersuchung erfolgen. Bei ausgeprägter Instabilität der Kinder kann man jedoch gezwungen sein, die erforderliche Lumbalpunktion erst nach Therapiebeginn durchzuführen. Die Besonderheiten der Liquordiagnostik im Neugeborenenalter sind an anderer Stelle ausgeführt. Repetitive Sonographien und evtl. MRT-Untersuchungen sind zur Erfassung von Komplikationen durchzuführen.
Therapie
Die Prognose der neonatalen Meningitis wird entscheidend vom Therapiebeginn und der Wahl der Antibiotika bestimmt; die antibiotische Behandlung muss sich gegen das besondere Spektrum der zu vermutenden Erreger neonataler Infektionen richten (Abschn. 4.10.7). Eine zuverlässige Liquorgängigkeit sowie eine ausreichende Dosierung der Antibiotika sind unbedingt zu beachten; die Dosierung der verschiedenen Präparate liegt in der Regel höher als bei der neonatalen Sepsis.
Prognose
Die Prognose der neonatalen Meningitis ist trotz aller Behandlungsfortschritte immer noch als ernst anzusehen. Die Letalität beträgt 20–50%. Akute Komplikationen sind ein kommunizierender oder nicht-kommunizierender Hydrozephalus, subdurale Effusionen, Taubheit und Blindheit (Abb. 4.44). Bis zu 70% aller Patienten mit E.-coli-Meningitis entwickeln eine Ventrikulitis. Selten werden Hirnabszesse beobachtet; sie treten u. a. bei Infektionen mit Citrobacter diversus, Proteus mirabilis und Enterobacter-Spezies auf.


Schwere neurologische Spätschäden (Zerebralparesen, Anfallsleiden, mentale Retardierung, Taubheit, Blindheit) sind bei ungefähr 10% der Patienten nachweisbar; ¼ aller erkrankter Kinder weist leichte bis mittelschwere neurologische und psychomentale Beeinträchtigungen auf. Über den Effekt einer im akuten Erkrankungsstadium durchgeführten Dexamethasontherapie auf die Komplikationsrate der neonatalen Meningitis liegen zurzeit noch keine Ergebnisse vor. Aspekte zur Prophylaxe der neonatalen Meningitis: Abschn. 4.10.7.
Osteomyelitis und septische Arthritis
Epidemiologie, Ätiologie
Die Osteomyelitis und bakterielle Arthritis sind seltene Erkrankungen im Neugeborenenalter; verlässliche Angaben zur Inzidenz liegen nicht vor. Staphylococcus aureus wird bei bis zu 8% der Patienten mit Osteomyelitis als kausaler Erreger identifiziert. Daneben werden Streptokokken der Gruppen A und B, Staphyloccocus epidermidis und Streptococcus pneumoniae sowie eine Reihe gramnegativer Erreger nachgewiesen. Besonders bei der septischen Arthritis lassen sich neben Staph. aureus auch E. coli, Klebsiella- und Enterobacter-Spezies, Pseudomonas, Salmonellen, Serratia, Neisseria gonorrhoeae und auch Candida albicans isolieren.
Pathogenese
Aufgrund der besonderen ossären Gefäßversorgung bei Neugeborenen und Säuglingen treten Osteomyelitis und septische Arthritis häufig zusammen auf: Diaphyse, Metaphyse und Epiphyse werden über gemeinsame Arterien versorgt. Als Konsequenz können sich Erreger, die in die Metaphyse der langen Röhrenknochen gelangt sind, über diese Gefäßverbindungen zur Epiphyse ausbreiten und das Gelenk in das Infektionsgeschehen einbeziehen. Erst gegen Ende des ersten Lebensjahres werden diese Gefäßverbindungen und somit die ungehinderte Infektionsausbreitung unterbrochen.
Die meisten Osteomyelitiden treten hämatogen auf; systemische bakterielle Infektionen können ebenso wie lokale Infektionen (Pyodermie, Omphalitis, Mastitis u. a.) oder infizierte Infusionssysteme (Nabelgefäßkatheter, zentrale Silastic-Katheter u. a.) im Rahmen einer Bakteriämie zu einer Absiedlung von Erregern in Knochen und Gelenk führen. Bei einem Teil der Patienten lassen sich multiple Knochenherde nachweisen. Neben der hämatogenen Genese kann auch ein lokales Entzündungsgeschehen per continuitatem eine Osteomyelitis induzieren (Abszess, infiziertes Kephalhämatom etc.). Durch repetitive Fersenpunktionen zur kapillaren Blutentnahme kann sich eine Kalkaneusosteomyelitis entwickeln.
Klinik
Häufig finden sich eine lokalisierte Schwellung im Bereich der betroffenen Knochen bzw. Gelenke sowie eine eingeschränkte Beweglichkeit mit Schonhaltung der Extremität (sog. Pseudoparalyse). Am häufigsten sind die langen Röhrenknochen Femur, Humerus und Tibia betroffen. Aber auch die Maxilla und andere Schädelknochen können ebenso wie Finger- oder Wirbelknochen infiziert sein. Die häufigsten eitrigen Arthritiden treten in Hüft-, Knie- und Schultergelenken auf.
Diagnose
Blutkultur(en), Entzündungszeichen im Blut, röntgenologische Untersuchung, Szintigraphie und bei septischer Arthritis Sonographien und Gelenkpunktionen ermöglichen die Diagnosestellung. Bei der Differenzialdiagnose müssen neben Frakturen und Paresen Weichteilinfektionen sowie ossäre Veränderungen durch intrauterine Infektionen von der Osteomyelitis abgegrenzt werden.
Therapie, Prognose
Bei dem infrage kommenden Erregerspektrum empfiehlt sich eine antibiotische Initialbehandlung in Analogie zur Sepsistherapie, zusätzlich sollte in jedem Fall ein staphylokokkenwirksames Medikament (z. B. Oxacillin) eingesetzt werden.
Die Langzeitprognose der Neugeborenenosteomyelitis/Arthritis ist immer noch alles andere als zufriedenstellend. Eine chronische Osteomyelitis, Skelett- oder Knochendeformitäten und gestörtes Knochenwachstum sind bei 25–50% aller Kinder zu erwarten.
Haut- und Weichteilinfektionen
Klinik
Das Spektrum neonataler Hautinfektionen, die durch Bakterien, Viren oder Pilze hervorgerufen werden, reicht von unproblematischen lokalen Affektionen bis hin zu lebensgefährlichen Erkrankungen.
Pustulöse und bullöse Hautveränderungen
Die Impetigo neonatorum, eine oberflächliche pustulöse Pyodermie ist die häufigste Hautinfektion der Neugeborenenperiode. Die Pusteln sind häufig in der Inguinalregion, periumbilikal, nuchal und retroaurikulär zu finden. Erreger: Staph. aureus. Lokale Behandlungsmaßnahmen sind ausreichend; Kontaktinfektionen sind unbedingt zu vermeiden. In der Differenzialdiagnose sind folgende Erkrankungen abzugrenzen: Erythema toxicum neonatorum (rötliche Flecken, die von einer gelblichen Pustel besetzt sein können, treten am ganzen Körper auf; Direktpräparat der Pustel: eosinophile Granulozyten), Milien (weißlich-gelbliche Talgretention an Nase, Wange oder Stirn).
Eine weitere Staphylokokkenerkrankung ist die Impetigo bullosa oder Pemphigus neonatorum. Durch intra- oder postnatale Besiedlung mit Staph. aureus (Phagengruppe II; Produktion des Exotoxins Exfoliatin) kann das Neugeborene diese ernste Hauterkrankung akquirieren. Es bilden sich größere, von einem roten Hof umgebene Blasen aus; diese hinterlassen nach Platzen gerötete, nässende Hautstellen. 3–5 Tage nach Erkrankungsbeginn tritt eine Desquamation von epidermalen Teilen auf (Nikolsky-Phänomen negativ). Die schwerste Verlaufsform einer durch Staph.-aureus-Enterotoxin ausgelösten Hautinfektion ist die Dermatitis exfoliativa neonatorum (Ritter von Rittershain). Im Bereich großflächiger, unscharf begrenzter Erytheme entstehen nach Hautablösung große Wundflächen (Nikolsky-Phänomen positiv).
Differenzialdiagnose
Die Differenzialdiagnose umfasst vesikuläre Effloreszenzen bei neonataler Herpes simplex, Zytomegalie- und Varizelleninfektion sowie bullöse Veränderungen bei der Lues connata (Pemphigus syphiliticus).
Therapie
Die antibiotische Behandlung beider Verlaufsformen muss immer systemisch (i.v.) erfolgen. Die Supportivtherapie der Dermatitis exfoliativa erfolgt nach den Prinzipien der Verbrennungstherapie. Als Komplikationen sind die neonatale Sepsis, Meningitis, Osteomyelitis und andere Organmanifestationen gefürchtet.
Omphalitis
Ätiologie
Bevorzugter Erreger der Omphalitis ist Staph. aureus, aber auch andere Erreger der Neonatalperiode können eine Nabelinfektion auslösen. Durch konsequente prophylaktische Nabelhygiene ist diese Infektion selten geworden.
Klinik
Die eitrige Entzündung des Nabels manifestiert sich durch eine periumbilikale Rötung, derbe Infiltration und ggf. Ulzeration. Der Nabelgrund kann eitrig belegt sein, häufig entleert sich purulentes Sekret. Im Rahmen der Diagnostik werden Abstriche und Blutkulturen abgenommen sowie zur Verlaufskontrolle Entzündungszeichen bestimmt. Als Komplikationen können eine Nabelphlegmone, Nabelsepsis, Infektion der Nabelgefäße u. a. auftreten. Die Therapie besteht in einer Lokalbehandlung und systemisch intravenösen Antibiotikatherapie.
Mastitis
Epidemiologie
Eine Mastitis entwickelt sich in der Regel zwischen der 2. bis 3. Lebenswoche; weibliche Neugeborene erkranken häufiger als männliche. Diese Erkrankung tritt vermutlich wegen der noch nicht entsprechend entwickelten Brustdrüsen bei Frühgeborenen nicht auf. Eine beidseitige Affektion ist selten. Häufigster Erreger ist Staph. aureus, zunehmend auch E. coli und Streptokokken der Gruppe B. Der Entstehungsmechanismus ist unklar, es ist nicht auszuschließen, dass Manipulationen an der geschwollenen Brust die Infektion begünstigen.
Diagnose, Therapie
Direktpräparat des Brustdrüsensekrets und Abstriche. Die Therapie erfolgt immer mit intravenösen Antibiotika; bei ausgeprägten Befunden kann eine chirurgische Intervention notwendig werden. Langzeitnachuntersuchungen lassen nicht ausschließen, dass einige der erkrankten Mädchen ein vermindertes Brustgewebe auf der erkrankten Seite zurückbehalten.
Bakterielle Lokalinfektionen des Neugeborenen
Weitere recht häufige bakterielle Lokalinfektionen des Neugeborenen sind:
Kopfschwartenabszess (Verletzung durch CTG-Elektroden, Erreger: Staph. aureus, Streptokokken der Gruppe B u. a. Erreger neonataler Infektionen),
infiziertes Kephalhämatom (Kopfschwartenabszess),
Paronychien (wichtigste Erreger: Staph. aureus, Streptokokken der Gruppe B).
Mundsoor
Grundlagen
Neugeborene, ob gesund oder krank, können Mundsoor manifestieren. Neugeborene und Säuglinge in den ersten Lebensmonaten sind besonders anfällig. Rund 4% der Neugeborenen erleiden Mundsoor. Später stellt sich eine relative Resistenz ein. Die Erklärung dieses Phänomens steht aus.
Epidemiologie, Ätiologie
Die häufigste primäre Quelle des Mundsoors beim Neugeborenen ist vaginale Candida spp. der Mutter. Die Übertragung Mutter-Kind erfolgt meist perinatal. Auf der Neugeborenen- oder Säuglingsabteilung können auch sekundäre Fälle auftreten. Quelle ist dann direkter oder indirekter Kontakt mit infizierten Neugeborenen, medizinischem Personal mit insuffizienter (Hand)hhygiene oder kontaminierten Gegenständen. Candida albicans ist die am häufigsten isolierte Spezies (50–60%); alle anderen Candida-Spezies können vorkommen.
Pathogenese
Die verantwortlichen Mechanismen der Pathogenität bei Neugeborenen und Säuglingen sind nicht geklärt. Wahrscheinlich beitragende Faktoren sind die Anzahl der Organismen, die Virulenz der beteiligten Spezies, Umgebungsfaktoren und günstige Wachstumsbedingungen für Candida.
Antibiotische Therapie mit Änderung der Mundflora und Proliferation von Candida, Steroidtherapie oder primärer oder sekundärer Immundefekt sind eindeutige pathogenetisch begünstigende Faktoren. Sie erhöhen das Risiko für invasive und disseminierte Infektionen.
Die Phagozytose von Candida durch Leukozyten von Früh- oder Termingeborenen unterscheidet sich nicht von jener durch Leukozyten von Erwachsenen. Demgegenüber ist die Abtötung der phagozytierten Mikroorganismen durch Leukozyten der Neugeborenen schlechter als durch jene von Erwachsenen.
Klinik
Die Läsionen an den Schleimhäuten von Mund oder Oropharynx treten üblicherweise am 7. bis 10. Lebenstag auf (Abb. 4.45). Charakteristisch sind weißlich-graue, nicht gut abstreifbare Plaques. Die Schleimhaut darunter erscheint nach Abstreifen der Plaques gerötet, blutet jedoch nicht.

Komplikationen
Der Mundsoor kann sich via Magen-Darm-Trakt bis zum Anus ausbreiten und die nachfolgende Ausbildung eines Windelsoors bewirken. Die Ausbreitung auf die übrige Haut oder gar die Disseminierung auf andere Organe ist sehr selten.
Diagnose
Sie kann meist klinisch gestellt werden. Mikroskopischer Direktnachweis oder Kultur des Pilzes kann bei unklarem Befund und muss bei rezidivierendem oder langanhaltendem Befund erzwungen werden.
Differenzialdiagnose
Andere infektiöse oder nichtinfektiöse Ursachen von oropharyngealen Läsionen müssen in Betracht gezogen werden. Virusinfektionen (Herpesvirus, Coxsackievirus) sind dabei die häufigsten. Diese Kinder wirken aber kränker und zeigen häufig einen Temperaturanstieg.
Bei Windeldermatitis ist auch an Infektionen mit Staph. aureus, Treponema pallidum, Herpesviren oder Irritation durch Harnstoff, Faeces oder Seifen zu denken.
Therapie
Die lokale Behandlung ist indiziert, wenn Windelsoor als Komplikation auftritt. Nystatin (100.000–500.000 U 6-mal täglich für 7–14 Tage) ist die Therapie der Wahl. Es wird nicht resorbiert und erreicht nach oraler Gabe den ganzen Darm.
Der Windelsoor wird lokal mit Nystatin-Zinkoxid-Paste behandelt.
Komplikationen durch Invasion und Disseminierung müssen systemisch antifungal behandelt werden (Kap. 16).
Kontaminierte Schnuller können auch nach Auskochen zu rezidivierendem Mundsoor führen und müssen durch neue ausgewechselt werden.
Cave
Bei „rezidivierendem Mundsoor“ an Kontakt mit kontaminierten Schnullern oder anderen Gegenständen und Nichteinhalten hygienischer Kautelen denken! Sind diese Faktoren ausgeschlossen, muss ein Immundefekt in Betracht gezogen werden.
Prognose
Der Mundsoor des Neugeborenen heilt im Allgemeinen innerhalb von 1–2 Monaten von selbst ab. Bei Nystatintherapie erfolgt die Abheilung (wenn keine Reinfektionen auftreten) innerhalb von 7 Tagen.
Prophylaxe
Eine medikamentöse Prophylaxe ist nicht indiziert. Hingegen sind hygienische Instruktion der Eltern oder von Personal und das Einhalten von Hygienekautelen notwendig.
Neonataler Tetanus
In einigen Teilen der Welt stellt der neonatale Tetanus eine ernsthafte Bedrohung Neugeborener dar. Von einer Infektion des Nabels ausgehend entwickeln die Neugeborenen gegen Ende der ersten Lebenswoche Trinkschwäche, muskuläre Hypertonie und generalisierte Spasmen. Die akute Erkrankung kann nur durch neuromuskuläre Blockade und maschinelle Beatmung wirksam behandelt werden.
Ophthalmia neonatorum
Kap. 28.
Neugeborenenkrämpfe
Grundlagen
Von Krampfanfällen spricht man, wenn aufgrund einer vorübergehenden Beeinträchtigung der Hirnfunktion eine abnormale motorische und/oder vegetative Aktivität mit oder ohne Änderung der Bewusstseinslage auftritt, die von einer paroxysmalen elektrischen Aktivität des Gehirns begleitet wird. Typisch für Neugeborene ist, dass nicht alle als Krampfanfall imponierende motorische Aktivitäten mit Veränderungen des EEG einher gehen. Da es bei Krampfanfällen zu einer Auschüttung von Katecholaminen kommt, sind sie oft mit autonom-vegetativen Phänomenen wie Tachykardie und einem Blutdruckanstieg verbunden.
Im Gegensatz zu Krampfanfällen bei älteren Säuglingen und Kindern sind Krampfanfälle beim Neugeborenen in der überwiegenden Mehrzahl nicht idiopathisch, sondern beruhen auf einer akuten zerebralen Funktionsstörung.
Die Inzidenz wird mit 0,5% aller Neugeborenen angegeben. Die klinische Diagnose neonataler Krämpfe ist nicht immer einfach, aus diesem Grund ist immer eine genaue Beobachtung und Beschreibung der registrierten Phänomene notwendig.
Klinik
Klinisch können spezifische Typen neonataler Anfälle unterschieden werden:
Klonische Krämpfe: rhythmische Zuckungen mit einer Frequenz von 1–2/s, wobei Hin- und Rückbewegung von unterschiedlicher Geschwindigkeit sind (meist schnelle Hin- und langsamere Rückbewegung), auf einer oder beiden Körperseiten (fokal oder generalisiert).
Tonische Krämpfe: Fokale tonische Anfälle manifestieren sich als einseitige anhaltende tonische Beugung oder Streckung einer Extremität, des Halses oder Rumpfs. Bei der generalisierten Form betreffen diese Bewegungen beide Körperseiten, z. T. mit Streckung der Beine und Beugung der Arme.
Myoklonische Krämpfe: Plötzlich einschießende rasche Kontraktion eines Beugemuskels, entweder fokal oder multifokal, d. h. asynchrone alternierende Myoklonien unterschiedlicher Körperteile. Myoklonische Krämpfe sind in der Regel ohne EEG-Veränderungen. Im Schlaf werden fokale Myoklonien bei Neugeborenen, insbesondere bei Frühgeborenen, sehr häufig gesehen. Diese Schlafmyoklonien sind physiologisch und kein Ausdruck einer Hirnfunktionsstörung; beim Erwecken der Neugeborenen sistieren sie unverzüglich.
Subtile Krämpfe: orale Automatismen, stereotype komplexe Bewegungsmuster wie Pedalieren der Beine, tonische Augendeviation. Selten können sich Krämpfe auch als Apnoe präsentieren, die dann in der Regel mit einer Tachykardie einhergeht (differenzialdiagnostisch wichtiges Kriterium zu anderen Apnoeformen!).
Ätiologie, Diagnostik
Sehr verschiedene Grundkrankheiten können sich mit Krämpfen in der Neugeborenenperiode präsentieren, und die Prognose der Kinder wird in der Regel durch diese zugrundeliegenden Erkrankungen bestimmt. Die basale Diagnostik bei Neugeborenenkrämpfen umfasst neben der Anamnese und der klinischen Untersuchung bestimmte Laboruntersuchungen (Blutzucker, Elektrolyte, Kalzium, großes Blutbild, Blutgasanalyse, CRP, Urinstatus), die Sonographie des Kopfs und das EEG. Weitere Untersuchungen erfolgen entsprechend spezifischer Auffälligkeiten.
Ursache von Neugeborenenkrampfanfällen
- Akute metabolische Störungen
- Hypoglykämie
- Hypokalzämie
- Hyponatriämie
- Hypernatriämie
- Hypomagnesiämie
Asphyxie
- ZNS-Infektion
- Meningitis
- Enzephalitis
Hirnblutung, Hirninfarkt
Periventrikuläre Leukomalazie
Sinusvenenthrombose
Hirnfehlbildungen
- Angeborene Stoffwechselerkrankungen
- Aminoazidopathien
- Organoazidurien
- Benigne Neugeborenenkrämpfe
- Familiär
- Fifth-day fits (Krämpfe am 5. Lebenstag)
- Pyridoxinabhängige Krämpfe
Angeborene peroxisomale Erkrankungen
Neurokutane Syndrome
- Toxine
- Bilirubin
- Heroin
- Kokain
- Lokalanästhetika
Akute metabolische Störungen
Eine unverzügliche Therapie dieser Störungen stellt die Erstmaßnahme bei Neugeborenenkrämpfen dar.
Asphyxie
Dieses ist die häufigste Ursache für Krampfanfälle innerhalb der ersten 2 Lebenstage. Das frühe Auftreten innerhalb der ersten 4–6 h spricht für eine sehr schlechte Prognose.
ZNS-Infektion
Bei nicht sicher einzuordnenden Krämpfen oder bei entsprechender klinischer Symptomatik ist immer eine Liquorpunktion indiziert. Bei pathologischen Befunden: differenzierte Diagnostik.
Hirnblutungen
Sowohl traumatisch bedingte Hirnblutungen reifer Neugeborener als auch intrazerebrale Blutungen bei Frühgeborenen können mit Krampfanfällen einhergehen. Bei Frühgeborenen ist die sonographische Untersuchung ausreichend, bei Reifgeborenen ist meist ein CT oder MRT notwendig.
Hirnfehlbildungen
Lissenzephalie, Holoprosenzephalie, Porenzephalie. Bei Verdacht im Ultraschallbild ist eine genaue weitergehende bildgebende Diagnostik erforderlich.
Angeborene Stoffwechselerkrankungen
Dieses sind v. a. Aminoazidopathien (Ahornsirupkrankheit, Hyperglyzinämie) oder Organoazidurien (Propionaziämie). Aufgrund eines Abbau- oder Synthesedefekts kommt es zur Akkumulation toxischer Metabolite. Die Symptome treten dann auf, wenn die Kinder eine gewisse Nahrungsmenge erhalten haben oder sich in einer katabolen Stoffwechselsituation befinden (Abbau von körpereigenem Eiweiß). Toxinentfernung, Begrenzung der Eiweißzufuhr und Beseitigung der Katabolie sind die Hauptmaßnahmen. Diagnostik: Ammoniak, Laktat, Blutzucker im Serum, Ketonkörper im Urin, sofortige Asservierung von Urin zur spezifischen Diagnostik.
Benigne Neugeborenenkrämpfe
Krämpfe in der Neugeborenenperiode sind zu einem großen Teil benigner Natur. Sie treten in der ersten Lebenswoche auf, sind transient und die Kinder entwickeln sich unauffällig. Die Diagnose erfolg per Ausschluss anderer Ursachen. Eine familiäre Form wird autosomal-dominant vererbt, der Genort liegt auf Chromosom 20q. Eine weitere Sonderform sind Krämpfe, die typischerweise am 5. Lebenstag auftreten („fifth-day fits“). Die Ursache ist ungeklärt, die Bedeutung eines Zinkmangels unklar. Ätiologisch unklare Krämpfe sollten als Neugeborenenkrämpfe ohne Dignitätsangabe bezeichnet werden, erst die unauffällige weitere Entwicklung erlaubt es, die Diagnose benigner Anfälle sicher zu stellen.
Pyridoxinabhängige Krämpfe
Diesem seltenen Krankheitsbild liegt wahrscheinlich ein GABA-Sythesedefekt zugrunde. Die Krampfanfälle treten am ersten Lebenstag auf und sind gegenüber den üblichen Antikonvulsiva therapieresistent. Vitamin B6 stellt einen Kofaktor für die Sythese von GABA dar und ist therapeutisch wirksam. Trotz der Seltenheit dieses Krankheitsbilds ist bei therapieresistenten Krampfanfällen ein Behandlungsversuch mit Vitamin B6 sinnvoll.
Angeborene peroxisomale Erkrankungen (Zellweger-Syndrom, neonatale Adrenoleukodystrophie)
Klinisch finden sich bei diesen selteneren Erkrankungen in der Neonatalphase neben den Krampfanfällen eine kraniofaziale Dysmorphie, Muskelhypotonie, Trinkschwäche, Optikusatrophie oder Katarakt. Die Diagnose erfolgt über die Bestimmung biochemischer Marker im Blut, insbesondere den sehr langen Fettsäuren (VLFA).
Neurokutane Sydrome
Diese angeborenen Erkrankungen können selten ebenfalls mit Krampfanfällen im Neugeborenenalter einhergehen. Klinisch ist auf kutane Depigmentierungen (tuberöse Sklerose), Café-au-lait-Flecken (Neurofibromatose) oder faziale Portwein-Naevi (Sturge-Weber) zu achten.
Toxine
Die Bilirubinenzephalopathie ist eine Rarität geworden. Bei maternaler Heroineinnahme können Neugeborenenkrämpfe als neonatales Entzugssyndrom auftreten. Nach maternaler Kokaineinnahme kann es zu intrazerebralen Gefäßverschlüssen kommen. Die akzidentelle Injektion eines Lokalanästhetikums in den Fetus bei Pudendusanästhesie kann zu Krämpfen führen, klinisch finden sich eine muskuläre Hypotonie und dilatierte Pupillen.
Therapie
Bei Neugeborenenkrämpfen muss Diagnostik und Therapie parallel erfolgen. Da die Hypoglykämie sofort behandelbar und ihre Folgen schwerwiegend sind, erfolgt als erste Maßnahme die Bestimmung des Blutzuckers als kapillärer Schnelltest und sofort nach Blutabnahme möglichst durch eine 2. Person Verabreichung von Glukose 10% i.v., 2 ml/kgKG. Unter der Glukosezufuhr sollte der Krampfanfall beobachtet und beschrieben werden: Krampftyp, ein- oder beidseitig, vegetative Symptome, Dauer. Anschließend Blutabnahme für Kalzium, Natrium, Magnesium und Kalium. Wenn der Krampfanfall nicht innerhalb von einigen Minuten sistiert, werden i.v.-Antikonvulsiva verabreicht (Mittel der ersten Wahl Lorazepam, Midazolam oder Clonazepam, dann Phenobarbital und Phenytoin). Findet sich keine Krampfursache, sollte bei persistierenden Krämpfen Pyridoxin (Vitamin B6) verabreicht werden.
Metabolische Störungen
Hypoglykämie
Epidemiologie
Eine symptomatische Hypoglykämie ereignet sich bei 1–3 von 1.000 Neugeborenen. Deutlich höher ist das Hypoglykämierisiko bei dystrophen Neugeborenen (5–15%) und bei Frühgeborenen. Weitere Risikofaktoren für eine Hypoglykämie sind Hypothermie, Hypoxie, mütterlicher Gestationsdiabetes oder Diabetes mellitus und Polyzythämie.
Pathogenese
Hypoglykämien bei Neugeborenen können folgende Ursachen haben:
Der Glukoseverbrauch übersteigt die Glukosezufuhr bzw. die Glukoseproduktion. Da Neugeborene nur einen geringen Glykogenvorrat (1% des Körpergewichts) haben, kommt es bei Ausbleiben einer exogenen Glukosezufuhr rasch zu Hypoglykämien. Dies ist die häufigste Ursache von Hypoglykämien beim Neugeborenen.
Ein Hyperinsulinismus liegt bei Kindern diabetischer Mütter (transient), beim Beckwith-Wiedemann-Syndrom und bei der Nesidioblastose (diffuse Inselzellhyperplasie) vor.
Kongenitale Stoffwechseldefekte: Aminosäurestoffwechselstörungen (z. B. Ahornsirupkrankheit) stören die Glukoneogenese. Glykogenspeicherkrankheiten, Galaktosämie und Fruktoseintoleranz verringern die Verfügbarkeit von Glukose aus Glykogen.
Polyglobulie: Die Ursache der Hypoglykämien bei Polyglobulie ist nicht bekannt.
Klinik
Die Symptome der Hypoglykämie sind unspezifisch und umfassen Zittrigkeit, Apathie, Krampfanfälle, Apnoen, muskuläre Hypotonie und Trinkschwäche.
Diagnose
Die Definition der Hypoglykämie beim Neugeborenen ist schwierig, da Neugeborene auch bei niedrigen Blutzuckerwerten häufig asymptomatisch sind.
Laborchemische Definition der Hypoglykämie
Frühgeborene/Reifgeborene (>24 h): Plasmaglukose <35 mg/dl
Frühgeborene/Reifgeborene (>24 h): Plasmaglukose <45 mg/dl
Risikokinder sollten eine Blutzuckerbestimmung 1 h postnatal erhalten und danach 3-stündliche Blutzuckerkontrollen für die nächsten 24 h. Bei persistierender Hypoglykämie sollte nach einem angeborenen Stoffwechseldefekt gesucht und Insulin, Kortisol und Wachstumshormon bestimmt werden.
Therapie
Bei einer Hypoglykämie mit klinischer Symptomatik erfolgt die intravenöse Gabe von 2 ml/kgKG Glukose 10% über 10 min, gefolgt von einer Glukoseinfusion mit 8 mg Glukose/kgKG/min. Neugeborene mit besonderem Risiko für eine Hypoglykämie sollten eine Frühfütterung mit Glukose 5% oder Dextrinlösungen erhalten.
Prognose
Wenn die Hypoglykämie nur kurz dauert, ist die Prognose gut. Prolongierte oder tiefe Hypoglykämien sind mit neurologischen Folgeschäden assoziiert.
Fetopathia diabetica
Pathogenese
Bei optimaler Einstellung und Überwachung des mütterlichen Diabetes mellitus während der Schwangerschaft kann sich die fetale intrauterine Entwicklung völlig normal vollziehen. Bei schlechter Einstellung besteht ein deutlich erhöhtes Risiko für den Feten, intrauterin zu versterben; die Neugeborenen sind entweder makrosom oder hypotroph und weisen eine Reihe schwerwiegender postnataler Adaptionsstörungen auf. Da Glukose ungehindert durch die Plazenta diffundiert, führt eine anhaltende mütterliche Hyperglykämie zu erhöhten Blutzuckerkonzentrationen beim Feten, der als Folge mit einem kompensatorischen Hyperinsulinismus reagiert. Dieser Hyperinsulininismus ist für das typische Organwachstum der makrosomen Neugeborenen verantwortlich. Bei einer schweren diabetischen Plazentainsuffizienz können Neugeborene aber auch eine ausgeprägte Hypotrophie aufweisen. Die Neugeborenen sind postnatal extrem hypoglykämiegefährdet, da sich der Hyperinsulinismus nur langsam zurückbildet.
Das klinische Bild ist äußerst eindrucksvoll und durch eine Reihe von Funktionsstörungen charakterisiert:
Makrosomie, cushingoides Aussehen,
Hepatomegalie, hypertrophe Kardiomyophathie (Glykogeneinlagerungen),
Atemnotsyndrom durch beeinträchtigte Surfactantproduktion,
Plethora, Polyzythämie, Hyperviskositätssyndrom, Hyperbilirubinämie,
geburtstraumatische Komplikationen: Plexuslähmung, Asphyxie u. a.,
metabolische Entgleisungen: Hypoglykämie, Hypokalzämie, Hypomagnesiämie,
evtl. Fehlbildungen: kaudales Regressionssyndrom, Mikrokolon, Vitium cordis.
Therapie
Zeitgerechte und konsequente Behandlung aller klinischen und metabolischen Störungen.


































