Abstract
Clubroot disease, a major plant root disease caused by Plasmodiophora brassicae, has become one of the most destructive diseases among cultivated cruciferous vegetables. However, clubroot-resistant Brassica oleracea materials are rare. A few clubroot-resistant cabbage varieties are available on the market, but all are Ogura cytoplasmic male sterile (CMS) types. Therefore, in this study, to reutilize the clubroot-resistant Ogura CMS germplasm of cabbage, a new fertility-restored Ogura CMS material, 16Q2-11, was used as a bridge to transfer the clubroot resistance (CR) gene from the Ogura CMS cytoplasm to the normal cytoplasm by a two-step method (a fertility restoration and cytoplasm replacement method). In the first cross for fertility restoration of Ogura CMS clubroot-resistant cabbage (FRCRC), 16Q2-11 was used as a restorer to cross with Ogura CMS materials containing the CR gene CRb2. Eleven Rfo-positive progenies were generated, of which four contained CRb2: F8-514, F8-620, F8-732 and F8-839. After inoculation with race 4 of P. brassicae, these four CRb2-positive individuals showed resistance. Furthermore, F8-514 and F8-839 were then used as male parents in the second cross of FRCRC to cross with cabbage inbred lines, resulting in the successful introgression of the CRb2 gene into the inbred lines. All offspring produced from this step of cross, which had a normal cytoplasm, showed a high resistance to race 4 of P. brassicae and could be utilized for the breeding of clubroot-resistant cabbage varieties in the future. This is the first time that the Ogura CMS restorer has been used to restore the fertility of Ogura CMS clubroot-resistant cabbages, which could improve germplasm diversity in cabbage and provide a reference method for using CMS germplasm in Brassica crops.
Subject terms: Plant breeding, Agricultural genetics
Introduction
Cabbages and other brassicas are widely cultivated, with a global harvest area of 2.513 million ha1, and play important roles in year-round supplies and exports of vegetables. Clubroot disease of cruciferous vegetables, caused by Plasmodiophora brassicae, is a globally distributed, destructive disease. After infection by clubroot pathogens, the roots of plants are often deformed and galled, resulting in reduced or no yield. Moreover, prevention and control of clubroot disease are very difficult. The pathogens can survive in the soil for more than eight years, and the dormant spores can live for more than 20 years in the soil without infecting a host plant2; thus, to prevent further infection, infected areas cannot be used for the subsequent cultivation of cruciferous crops for a long time. In light of the limited effectiveness of fungicides and the environmental pollution associated with fungicide use, the development of clubroot-resistant varieties is the most economical and effective way to control clubroot disease3. In Brassica oleracea, clubroot resistance (CR) is a quantitative trait controlled by multiple genes4. Although more than 50 CR quantitative trait loci (QTLs) have been identified5–14, it is very difficult to accelerate the breeding process and obtain pure resistant materials because of the complex inheritance of resistance genes. Valuable CR loci have been reported in turnip, Chinese cabbage, radish and rapeseed. To date, at least 19 CR genes/QTLs have been identified in B. rapa: CRa15, CRb16, CRbkato 17, CRc18, CRk18, CRd19, CRs20, Crr121, Crr221, Crr322, Crr421, CrrA523, Rcr124, Rcr225, Rcr426, Rcr826, Rcr926, PbBa3.127 and PbBa3.327. CRb and CRa are recognized as the most fundamental and important genes related to CR. To distinguish the two CRb genes, we named them CRb116 and CRb217 according to the guidelines for gene nomenclature28. Researchers have attempted to transfer CR genes from other crucifer crops to B. oleracea by distant hybridization29,30. Breeders from Syngenta Seeds B·V. produced interspecific crosses between a broccoli inbred line and Chinese cabbage cv. Parkin and then conducted a backcross program with cauliflower, cabbage, and Brussels sprouts to transfer CR genes from the B. rapa CR sources. The project entailed several years of backcrosses, selections, line developments, and test crosses30. Therefore, transfer of a CR gene by distant hybridization typically requires several years of successive backcrosses to reduce the background of the donor parent. Although a few clubroot-resistant varieties of cabbage are available on the market, almost all are Ogura cytoplasmic male sterile (CMS) varieties with the orf138 gene and thus cannot be self-pollinated.
Male sterility (MS) in higher plants usually refers to the degeneration or loss of function of male gametes. Since the first case was discovered by the German botanist Joseph Gottlieb Kolreuter in 176331, MS has been reported in more than 600 plant species32. Ogura CMS is a naturally occurring mutation found in radish33 that has since been transferred into Brassica crops (B. oleracea34,35, B. napus36,37 and B. rapa38 and B. juncea39). In recent years, Ogura CMS hybrids have become increasingly popular because of their high seed purity. However, these hybrids cannot be reutilized because Ogura CMS is maternally inherited, and all of the offspring exhibit MS, which prevents self-pollination and the use of these plants in material innovation. For example, XG336, a clubroot-resistant cabbage hybrid, cannot be reutilized because of its sterile cytoplasm. Creating restorer lines of Ogura CMS in B. oleracea is an effective way to solve this problem.
However, there are no natural Ogura CMS restorer lines in B. oleracea. The restorer gene (Rfo) can only be introduced from related species. Yu et al.40 successfully introduced the Rfo gene from B. napus Y403 into B. oleracea var. alboglabra Y101 by distant hybridization. BC2 progenies were produced using a hexaploid strategy41. However, these progenies were hardly applicable because of their allopolyploid background. After two generations of backcrossing with Chinese kale and marker-assisted selection (MAS), a fertility-restored material (16Q2-11) with 18 chromosomes using a triploid strategy was successfully created. The morphology of 16Q2-11 was very similar to that of the female parent, Chinese kale, and the material showed good fertility throughout the flowering period, with pollen viability ranging from 60% to 90% (unpublished). These observations suggest that 16Q2-11 could potentially be used as the male parent to restore the fertility of Ogura CMS cabbage.
In this study, clubroot-resistant cabbage germplasms were screened with linkage markers for the CRb2 (CRa) gene, and the CRb2-positive germplasms were then screened with an orf138-specific marker to determine whether the cytoplasm was Ogura CMS. The CRb2-positive Ogura CMS germplasms were then crossed with 16Q2-11 to restore their fertility. Based on MAS, fertility observation and CR identification, individuals with good fertility and CR were selected as male parents and used in crosses with cabbage inbred lines (female). The derived offspring had a normal cytoplasm and the CR locus. The results of this study could facilitate CR breeding and germplasm reutilization in cabbage.
Materials and methods
Plant materials and growth conditions
Twenty cabbage hybrids with different levels of resistance to clubroot disease were collected on the market, and 144 additional cabbage inbred lines were created by the Institute of Vegetables and Flowers (IVF), Chinese Academy of Agricultural Sciences (CAAS). Fertility-restored material (16Q2-11) was created by Yu40, which carries the Rfo gene and exhibits good pollen viability. To replace the Ogura CMS cytoplasm, three elite cabbage inbred lines (2154, 2156, and 16Q140) were used as female parents in the second cross of FRCRC. All the plants were grown in a greenhouse in autumn at the Institute of Vegetables and Flowers (IVF), Chinese Academy of Agricultural Sciences (CAAS).
The pathogen P. brassicae used in this study was collected from Wulong, Chongqing, China, and identified as race 4 based on Williams’ differential system. The cabbage variety Jingfeng No. 1 was used as the susceptible control for CR identification.
DNA extraction and PCR amplification
Plant genomic DNA was extracted from young leaves by a modified cetyltrimethylammonium bromide (CTAB) method42. The DNA concentration was measured by a NanoDrop ND-100 spectrophotometer (Thermo Fisher Scientific, Wilmington, DE, USA), and the DNA was diluted to a working concentration of 40–60 ng μl−1 before being stored at −20 °C. The polymerase chain reaction (PCR) mixture (10 μl) contained 1 μl of 10× buffer (containing Mg2+), 0.8 μl of dNTPs (2.5 mmol L−1), 0.4 µl of forward primers, 0.4 µl of reverse primers, 0.1 μl of Taq DNA polymerase (5 U μl−1), 2 μl of template DNA (40–60 ng μl−1) and 5.3 μl of distilled H2O. The PCR conditions were as follows: predenaturation at 94 °C for 5 min; 35 cycles of denaturation at 94 °C for 30 s, annealing at 58 °C for 30 s, and extension at 72 °C for 45 s; final extension at 72 °C for 5 min; and holding at 4 °C.
A CRb2-specific marker, KBrH129J18F/KBrH129J18R17, was used to detect the CR locus CRb2, and PCR amplicons were separated by 8% polyacrylamide gel electrophoresis at 160 V for 75 min, followed by silver staining. The Ogura cytoplasm-specific marker (Bo138F/Bo138R43) was used to screen Ogura CMS types, and Rfo-specific markers (BoRfo-2F/BoRfo-2R and BoRfo-6F/BoRfo-6R) were used to detect the fertility restorer gene Rfo40. PCR amplicons of these three markers were separated on 1.2% agarose gels in 1x Tris-borate-ethylenediaminetetraacetic acid (TBE) buffer and visualized under ultraviolet (UV) light. Information of all markers used in this study is provided in Table S1.
Fertility restoration of clubroot-resistant Ogura CMS germplasms
The fertility restoration and MAS procedure are shown in Fig. S1. All crosses were performed by artificial pollination. The pollinated flower buds, siliques and harvested seeds were counted to calculate the number of seeds per silique.
The progenies were then screened with CRb2- and Rfo-specific markers. The fertility-related characteristics, including pollen viability and pollen amount, of the CRb2- and Rfo-positive individuals were measured. Pollen viability was determined at the flowering stage by the aceto-carmine dyeing method. Pollen from three newly opened flowers on each plant was spread onto slides and then stained with 1% acetocarmine. The average number of viable pollen grains in three replicates was calculated. More than 300 pollen grains were observed under the microscope for each replicate. Viable pollen was plump and deep pink. The amount of pollen was confirmed with the naked eye, and the maintainer line of the Chinese kale parent Y101 was used as a control (100%) to divide the pollen amounts into five grades: grade 5, 80–100%; grade 4, 60–80%; grade 3, 40–60%; grade 2, 20–40%; and grade 1,0–20%.
Morphological observation and ploidy analysis of fertility-restored clubroot-resistant individuals
Morphological characteristics, including plant type, leaf shape, leaf color, leaf surface wax, bud traits, inflorescence traits, and progeny flower color, were investigated according to the standards described in “Descriptors and data standards for Chinese kale”44.
Ploidy identification was performed using flow cytometry (FCM) (BD FACSCalibur, BD Biosciences, San Jose, CA, USA). Sample preparation followed the method of Dolezel45, with some modifications: (1) a piece of fresh, young cabbage leaf was placed in a Petri dish, its veins were removed, and 2 ml of ice-cold Galbraith’s nucleus isolation buffer was added to the Petri dish; (2) a sharp scalpel was used to quickly cut the leaf and free the nuclei; (3) the solution in the culture dish was aspirated and filtered through a 37-mm nylon mesh into a 1.5-ml centrifuge tube; and (4) 500 μl of propidium iodide (PI) stock solution was added to the centrifuge tube, which was then incubated in ice for 30 min. The solution was mixed by shaking the centrifuge tube before FCM analysis. The Chinese kale parental DNA content (2 C) was used as the reference, and its G1 phase peak was positioned on the abscissa in 200 channels. The relative cellular DNA content of the treatment samples was determined if the coefficient of variation (CV) was below 5%.
Identification of CR in CRb2-positive individuals
The clubroot disease resistance of CRb2-positive individuals was identified by artificial inoculation, with three repeats and four plants per repeat. The resting spore inoculum was prepared by a modified protocol46. The artificial inoculation method was as follows: (1) the clubbed roots were thawed, combined with a triple volume of distilled water, and homogenized in a blender; (2) the slurry was passed through eight layers of cheesecloth, and the suspension was centrifuged with a freezing centrifuge at 500 × g for 5 min; (3) the precipitate was discarded, and the supernatant was transferred to a new tube and centrifuged at 2000 × g for 5 min; (4) distilled water was used to wash the resulting pellet three times; (5) the surface of the pellet was disinfected by incubation with colistin sulfate and vancomycin hydrochloride (1 mg ml−1, Sigma-Aldrich, Canada) in distilled water at 25 °C in the dark for 24 h; (6) the suspension was washed in sterile water twice after centrifugation; (7) a hemocytometer was used to count the resting spores, and the resulting values were adjusted to 2 × 108 spores ml−1; (8) the suspension was stored at 4 °C and used within 24 h; (9) at the two-real-leaf stage, blades were used to cut the seedlings’ roots before inoculation; and (10) 5 ml of prepared resting spore suspension was injected into the bottom of the stem of each seedling in the soil using a transferpettor.
Disease resistance was evaluated 50 days after inoculation (DAI). The classification standard of CR47 was applied as follows: grade 0, normal root growth and no visible root galls; grade 1, normal growth of the main root and several small galls on the lateral and fibrous roots; grade 2, mild galls on the taproot and many small or large galls on the lateral and fibrous roots; grade 3, severe galls on the taproot and galls present on most of the lateral and fibrous roots; and grade 4, almost no lateral roots or fibrous roots on the plant, taproot abnormally enlarged, and no healthy roots present. The disease index (DI) was calculated as DI = [∑ab/cd] × 100, where a is the number of plants of each grade, b is the corresponding disease symptoms (0–4), c is the total number of plants tested, and d is the highest grade. The resistance evaluation criterion was formulated by the National Key Cabbage Breeding Technologies R&D Program of China during the 9th 5-year Plan period, where DI = 0 corresponds to immunity (I), 0 < DI ≤ 5 corresponds to high resistance (HR), 5 < DI ≤ 20 corresponds to resistance (R), 20 < DI ≤ 30 corresponds to medium resistance (MR), 30 < DI ≤ 60 corresponds to susceptibility (S), and DI > 60 corresponds to high susceptibility (HS).
Results
Screening of clubroot-resistant cabbage germplasms
All 20 cabbage germplasms were assessed for resistance to clubroot disease by artificial inoculation. Five of the germplasms (2161, 2169, 2171, 2172, and 2173) showed high resistance to race 4 of P. brassicae (Table S2). Fourteen pairs of clubroot-resistant primers for the detection of CRa48,49, Cram49, CRb116,50, CRb217,51, CRc48, Crr152, Crr221, and Crr321 were used to screen the 20 cabbage germplasms (Table S1). Only the CRb2-specific marker KBrH129J18 and CRa-specific marker SC2930 amplified CR-associated fragments in 2161, 2169, 2171, 2172, and 2173, which was consistent with the inoculation results. The size of the fragments was the same as that of clubroot-resistant Chinese cabbage (CK). Furthermore, all five materials were heterozygous at the CRb2 locus (Fig. 1). However, all five materials were male sterile. Screening by the Orf138-specific marker revealed that they contained the Ogura CMS cytoplasm (Fig. S2). Therefore, all five clubroot-resistant cabbage germplasms with the CRb2 locus exhibited CMS, which prevented self-pollination and their use in germplasm innovation.
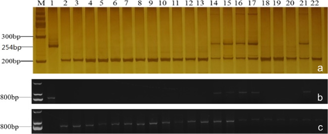
Fig. 1.
PCR amplification using the CRb2-specific marker KBrH129J18F/KBrH129J18R (a) and the CRa-specific markers SC2930-T-FW/SC2930-RV (b) and SC2930-Q-FW/SC2930-RV (c) in 20 Ogura CMS cabbage hybrid resources. 1: resistant control (CK) of Chinese cabbage, 2: susceptible CK, 3-22: 20 Ogura CMS cabbage materials. Materials 14, 15, 16, 17, and 21 (corresponding to germplasms 2161, 2169, 2171, 2172, and 2173) harbored the CRb2 locus
Detection of CR by artificial inoculation and molecular markers was conducted for 144 additional cabbage inbred lines, but no resistant lines were identified. Overall, among the 164 materials (144 inbred lines and 20 germplasms) used in this study, clubroot-resistant germplasms with the CRb2 locus in cabbage were available only in the Ogura CMS materials, which could be reutilized if their fertility was recovered.
Fertility recovery of clubroot-resistant Ogura CMS cabbages by 16Q2-11
The fertility-restored line 16Q2-11 was used as the male parent in the first FRCRC cross with five Ogura CMS germplasms containing the CRb2 locus (2161, 2169, 2171, 2172, and 2173). Pollination of 1480 flower buds in the five crosses was conducted, resulting in the production of 962 siliques and 3872 seeds. The seed setting rate of the five crosses ranged from 3.18 to 5.33 seeds pod−1 (Table 1). Significant differences in the seed setting rate were observed among the five combinations (P < 0.05), and the highest seed setting rate, 5.33 seeds pod−1, was exhibited by the combination 2161 × 16Q2-11 (Table 1).
Table 1.
Seed setting results for five cross combinations between five clubroot-resistant Ogura CMS cabbages and 16Q2-11 in the first FRCRC cross
| Female parent | Number of pollinated flowers | Number of siliques | Number of seeds | Seeds per pod (mean ± SD, SP) | Number of viable plants | Number of Rfo-positive individuals | Transmission rate of Rfo (%) |
|---|---|---|---|---|---|---|---|
| 2161 | 212 | 75 | 402 | 5.33aA ± 0.062 | 366 | 1 | 0.27 |
| 2169 | 342 | 208 | 850 | 4.09dC ± 0.037 | 796 | 0 | 0 |
| 2171 | 267 | 204 | 900 | 4.37cB ± 0.028 | 836 | 5 | 0.60 |
| 2172 | 455 | 320 | 1020 | 3.18eD ± 0.010 | 948 | 5 | 0.53 |
| 2173 | 204 | 155 | 700 | 4.52bB ± 0.010 | 674 | 0 | 0 |
Uppercase letters indicate extremely significant differences (P < 0.01), and lowercase letters indicate significant differences (P < 0.05).
An Rfo-specific marker was used to screen all the progenies derived from crosses between 16Q2-11 and CRb2-positive Ogura CMS cabbage germplasms, and only 11 plants were Rfo positive (Table 1, Fig. 2a). All 11 Rfo-positive plants were Ogura CMS (Fig. S3). Among the crosses, the combination 2171 × 16Q2-11 produced the largest proportion of Rfo-positive plants; in contrast, the combinations 2169 × 16Q2-11 and 2173 × 16Q2-11 produced no Rfo-positive plants (Table 1). The transmission rates (TRs) of Rfo for the five combinations 2161 × 16Q2-11, 2169 × 16Q2-11, 2171 × 16Q2-11, 2172 × 16Q2-11, and 2173 × 16Q2-11 were 0.27%, 0%, 0.60%, 0.53%, and 0%, respectively.
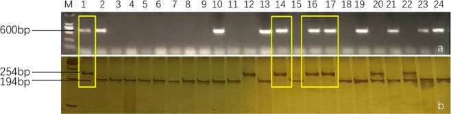
Fig. 2.
Screening of Rfo (a) and CRb2 (b) in hybrids between five clubroot-resistant Ogura CMS cabbage materials and 16Q2-11 in the first FRCRC cross. Materials 1, 14, 16, and 17 were Ogura CMS cabbages containing both the Rfo and CRb2 loci. FRCRC denotes fertility restoration of Ogura CMS clubroot-resistant cabbages
Among the 11 Rfo-positive plants, four individuals (F8-514, F8-620, F8-732, and F8-839) contained CRb2 (CRa) (Figs. 2b and 3). The TR of CRb2 in the first FRCRC cross was 36.4% (4/11). F8-514 and F8-620 were obtained from the combination 2171 × 16Q2-11, and F8-732 and F8-839 were obtained from the combination 2172 × 16Q2-11.
Fig. 3.

PCR amplification using the CRa-specific markers SC2930-Q-FW/SC2930-RV (a) and SC2930-T-FW/SC2930-RV (b). 1: 16Q2-11, 2: 2161, 3: Y101, 4: Y403, 5: F8-514, 6: F8-620, 7: F8-732, 8: F8-839
During the flowering period, the pollen amounts were categorized; those of F8-514 and F8-839 were all categorized as grade 5, whereas those of F8-620 and F8-732 were categorized as grades 1 and 2, respectively (Fig. S4a–d). The average number of viable pollen grains across three replicates per plant was calculated. The pollen viabilities of F8-514 and F8-839 were >80%, whereas those of F8-620 and F8-732 were <40% (Fig. S4e–h).
Morphology, ploidy and CR of the four Rfo- and CRb2-positive plants
The morphological characteristics of the four Rfo- and CRb2-positive plants were investigated. Most traits, including plant type, flower size, and leaf type, exhibited intermediate phenotypes between those of Chinese kale and cabbage, and the plants showed strong growth. However, some morphological characteristics were more similar to those of a parent. For instance, the flower color was white, similar to that of Chinese kale, whereas the leaves were gray-green, similar to those of cabbage (Fig. 5a, b).
Fig. 5.
Identification of clubroot disease resistance in 18QR4 (a) and the susceptible control (CK) Jingfeng (b) after inoculation with race 4 of P. brassicae
Ploidy analysis revealed that all four plants were diploid, which is consistent with the ploidy of cabbage and Chinese kale (Fig. S5c). All Rfo- and CRb2-positive plants grew normally and showed no obvious disease symptoms after inoculation with P. brassicae race 4, whereas the susceptible control grew slowly and formed clubbed roots (Fig. S5d, e). Therefore, considering CR and pollen viability, F8-514 and F8-839 were chosen for further backcrossing.
Creation of clubroot-resistant germplasms with a normal cabbage cytoplasm
Because F8-514 and F8-839 contain an Ogura CMS cytoplasm, their self-pollinated offspring also contain this cytoplasm. Therefore, in the second cross of FRCRC, the fertility-restored and clubroot-resistant individuals (F8-514 and F8-839) used as the male parent were crossed with elite inbred lines (2154, 2156, and 16Q140) whose cytoplasm was normal.
In the second FRCRC cross, F8-514 and F8-839 were used as male parents, and three elite cabbage inbred lines (2154, 2156, and 16Q140) were used as female parents. A total of 82 pollinated buds and 65 siliques were obtained from the three cross combinations, and 788 seeds were harvested. The seed setting rate of the three combinations ranged from 10.8 to 12.3 seeds pod−1, which was much higher than that observed in 16Q2-11 and showed no difference among the three inbred lines (Table 2). A total of 551 seeds were sown, and 536 seedlings were obtained.
Table 2.
Seed setting results for three crosses between nine cabbage inbred lines and F8-839 and F8-514 in the second FRCRC cross
| Female parent | Male parent | Number of pollinated flowers | Number of siliques | Number of seeds | Seeds per pod | Number of viable plants | Number of individual plants containing the CRb2 resistance locus | Expected ratio | χ |
|---|---|---|---|---|---|---|---|---|---|
| 2154 | F8-514 | 28 | 22 | 271 | 12.3 | 72 | 32 | 1:1 | 0.44 |
| 2156 | F8-514 | 47 | 38 | 463 | 12.2 | 392 | 183 | 1:1 | 0.86 |
| 16Q140 | F8-839 | 7 | 5 | 54 | 10.8 | 72 | 30 | 1:1 | 1 |
All progenies were screened with CRb2- and CRa-specific markers (Fig. 4). There were 245 plants containing the CRb2 (CRa) locus in the three populations derived from the crosses 2154 × F8-514, 2156 × F8-514 and 16Q140 × F8-839 (Table 2), which was confirmed by a 1:1 segregation ratio at the CRb2 locus by chi-square test. Furthermore, their fertility showed no significant differences from that of normal plants (the elite cabbage inbred lines).
Fig. 4. Screening of the CRa (CRb2) locus in hybrid progenies of the second FRCRC cross.
a PCR amplification of SC2930-T-FW/SC2930-RV, b PCR amplification of SC2930-Q-FW/SC2930-RV, c PCR amplification of KBrH129J18-F/KBrH129J18-R
Bo138F/Bo138R marker screening revealed that all the progenies had a normal cytoplasm, indicating that the CRb2 locus had been successfully introgressed into cabbage with a normal cytoplasm.
Twelve CRb2-containing plants of 18QR4 (from cross 2156 × F8-514) were randomly selected to identify their resistance to clubroot disease. Eleven of the 12 plants of 18QR4 were assigned a grade of 0, showing high resistance to clubroot disease, and only one plant was assigned a grade of 1, which had a few small clubs on the lateral root (Fig. 5a). The DI of 18QR4 was 2.08, corresponding to HR. The susceptible control Jingfeng No. 1 was highly susceptible to clubroot disease (Fig. 5b).
Discussion
Significance of the bridge material 16Q2-11
Clubroot disease reduces both the quality and yield of cruciferous crops, posing a serious threat to the production of these crops worldwide53,54. The breeding of clubroot-resistant varieties is the most economical and effective method for controlling clubroot disease. CR genes have been reported in many germplasm resources of B. rapa15–27 but are very rare in B. oleracea. To date, many Chinese cabbage and rapeseed varieties with CR have been successfully cultivated and entered into the market, but few CR cabbage varieties can be found on the market55. Crisp et al.56 screened and analyzed a total of 1047 (2n = 18, CC) accessions of B. oleracea, of which only 7.4% possessed resistance to two highly virulent isolates of P. brassicae from the United Kingdom. Similarly, Ning et al.57 in our group collected 102 cabbage genotypes and evaluated them for resistance to P. brassicae race 4, the predominant race in China; only one highly resistant genotype, XG336, was identified that has the potential to serve as a resistant source for the breeding of clubroot-resistant cabbage. However, XG336 cannot be reutilized because of its Ogura cytoplasm. Similarly, in our study, we also obtained five materials that have high resistance to P. brassicae race 4 among 164 cabbage germplasms (20 clubroot-resistant cabbage germplasms and 144 additional cabbage inbred lines). All of them were Ogura CMS materials screened by the Ogura CMS marker. Our study, together with other reports, highlights the importance of a restorer for Ogura CMS cabbages. To re-utilize the Ogura clubroot-resistant cabbage germplasms, in our study, a fertility-restored Ogura CMS line (16Q2-11), which was created in previous research, was successfully used as a bridge to transfer CR into normal-cytoplasm lines. In this study, we found that the TR of the Rfo gene was <1%. The introgression of alien chromosomal fragments in 16Q2-11, which might result in disordered or abnormal chromosome pairing/segregation, was the main reason for the phenomena. The importance of the bridge material 16Q2-11 is significant, as once the fertility of Ogura CMS material is restored and the separation rate of CRb2 is normal, the reutilization of Ogura cytoplasmic CR germplasm is possible. Ogura CMS has been widely used in cabbage, broccoli, cauliflower and many other Brassica vegetables because of its stable sterility and ease of transfer58–60, which means that a bridge material and the two-step method will have broad application prospects.
Possible sources of CR conferred by the CRb2 locus in B. oleracea
The genus Brassica comprises 38 species and numerous subspecies. Six species compose the “Triangle of U”: the diploids Brassica rapa (AA), Brassica nigra (BB), and Brassica oleracea (CC) and the allotetraploid species Brassica juncea (AABB), Brassica napus (AACC), and Brassica carinata (BBCC). Cheng et al.61 analyzed the B. rapa ancestral genomes with other Brassicaceae genomes; the results suggested that the three Brassica genomes (A, B, and C) descended from a common hexaploid ancestor that originated from the merger of three tPCK-like ancestral genomes. Interestingly, many CR genes have been cloned and applied in B. rapa, whereas few CR genes have been cloned and applied in B. oleracea to date. We found that the CRb2 gene in B. rapa and the Bo7g107730 gene in B. oleracea are homologous; we speculated that the CRb2 locus in B. rapa was domesticated to be functional during natural selection.
There are two possible explanations for the presence of CR in the B. oleracea materials used in this study. One possible explanation is that the resistance locus in these five cabbages is similar to the CRb2 resistance locus in B. rapa, which was domesticated to be functional in the natural selection process. The other possible explanation is that the resistance locus in these five cabbages derives from distant hybridization with Chinese cabbage. Diederichsen et al.30 reported research that introduced the CR locus from B. rapa to B. oleracea by distant hybridization combined with embryo rescue. In the present study, we screened 20 clubroot-resistant cabbage germplasms and 144 additional cabbage inbred lines by using A-genome markers (linkage markers KBrH129J18F/KBrH129J18R and SC2930 and the intragenic marker FW4/RV4, Fig. 6). We found that these three markers amplified corresponding fragments in five clubroot-resistant cabbage varieties; no bands were produced for the 144 cabbage inbred lines, which was consistent with the inoculation results. Thus, we suggest that the resistance CRb2 locus in B. oleracea may be derived from B. rapa. In this study, the CRb2 gene was successfully introgressed into inbred lines with normal cytoplasm with a 1:1 separation ratio by the use of the restorer 16Q2-11 (Table 2), and these lines exhibited high resistance to race 4 of P. brassicae (Fig. 5).
Fig. 6. Screening of the CRa locus by using marker FW4/RV4.

a Results of identification for the CRa locus; 1: 2160, 2: 2161, 3: 2169, 4: 2171, 5: 2162, 6: 2163, 7: 2172, 8: 2173; b partial identification results for the CRa locus in 144 cabbage varieties; 1: negative control 2160, 2: positive control 2161
These results above indicate that the Ogura CMS restorer created here could be applied to recover the fertility of the valuable Ogura CMS germplasm, thereby potentially facilitating cabbage breeding and helping to increase the diversity of cabbage germplasms. The presented approach could not only provide clubroot-resistant materials for cabbage breeding but also represents a practicable method for the utilization of Ogura CMS resources in the genus Brassica.
Supplementary information
Acknowledgements
The work reported here was performed in the Key Laboratory of Biology and Genetic Improvement of Horticultural Crops, Ministry of Agriculture, Beijing 100081, China. This work was financially supported by the Major State Research Development Program (2016YFD0101702), the Science and Technology Innovation Program of the Chinese Academy of Agricultural Sciences (CAAS-ASTIP-IVFCAAS), and the earmarked fund for the Modern Agro-Industry Technology Research System, China (nycytx-35-gw01).
Author contributions
Y.Z. and H.Y. conceived and designed the experiments; W.R. and Z.L. performed the experiments and analyzed the data; W.R. and Y.Z. wrote and revised the paper; and Z.F., L.Y., M.Z., H.L., Y.L., and Y.W. coordinated and designed the study. All authors have read and approved the final paper.
Conflict of interest
The authors declare that they have no conflict of interest.
Footnotes
These authors contributed equally: Wenjing Ren, Zhiyuan Li
Contributor Information
Hailong Yu, Email: yuhailong@caas.cn.
Yangyong Zhang, Email: zhangyangyong@caas.cn.
Supplementary information
Supplementary Information accompanies this paper at (10.1038/s41438-020-0282-8).
References
- 1.FAO. Food and agriculture organization of the United Nations, statistics division (2017).
- 2.Wallenhammar AC. Prevalence of Plasmodiophora brassicae in a spring oilseed rape growing area in central Sweden and factors influencing soil infestation levels. Plant Pathol. 1996;45:710–719. doi: 10.1046/j.1365-3059.1996.d01-173.x. [DOI] [Google Scholar]
- 3.Hwang S, et al. Assessment of the impact of resistant and susceptible canola on Plasmodiophora brassicae inoculum potential. Plant Pathol. 2012;61:945–952. doi: 10.1111/j.1365-3059.2011.02582.x. [DOI] [Google Scholar]
- 4.Piao ZY, Ramchiary N, Lim YP. Genetics of clubroot resistance in Brassica species. J. Plant Growth Regul. 2009;28:252–264. doi: 10.1007/s00344-009-9093-8. [DOI] [Google Scholar]
- 5.Figdore SS, Ferreira ME, Slocum MK, Williams PH. Association of RFLP markers with trait loci affecting clubroot resistance and morphological characters in Brassica oleracea L. Euphytica. 1993;69:33–44. doi: 10.1007/BF00021723. [DOI] [Google Scholar]
- 6.Grandclément C, Thomas G. Detection and analysis of QTLs based on RAPD markers for polygenic resistance to Plasmodiophora brassicae Woron in Brassica oleracea L. Theor. Appl. Genet. 1996;93:86–90. doi: 10.1007/BF00225731. [DOI] [PubMed] [Google Scholar]
- 7.Voorrips RE, Kanne HJ. Genetic analysis of resistance to clubroot (Plasmodiophora brassicae) in Brassica oleracea. I. Analysis of symptom grades. Euphytica. 1997;93:31–39. doi: 10.1023/A:1002918119613. [DOI] [PubMed] [Google Scholar]
- 8.Moriguchi K, Kimizuka-Takagi C, Ishii K. A genetic map based on RAPD, RFLP, isozyme, morphological markers and QTL analysis for clubroot resistance in Brassica oleracea. Breed. Sci. 1999;49:257–265. doi: 10.1270/jsbbs.49.257. [DOI] [Google Scholar]
- 9.Rocherieux J, et al. Isolate-specific and broad-spectrum QTLs are involved in the control of clubroot in Brassica oleracea. Theor. Appl. Genet. 2004;108:1555–1563. doi: 10.1007/s00122-003-1580-x. [DOI] [PubMed] [Google Scholar]
- 10.Nomura K, Minegishi Y, Kimizuka-Takagi C, Fujioka T. Evaluation of F2 and F3 plants introgressed with QTLs for clubroot resistance in cabbage developed by using SCAR markers. Plant Breed. 2008;124:371–375. doi: 10.1111/j.1439-0523.2005.01105.x. [DOI] [Google Scholar]
- 11.Nagaoka T, et al. Identification of QTLs that control clubroot resistance in Brassica oleracea and comparative analysis of clubroot resistance genes between B. rapa and B. oleracea. Theor. Appl. Genet. 2010;120:1335–134. doi: 10.1007/s00122-010-1259-z. [DOI] [PubMed] [Google Scholar]
- 12.Lee J, et al. Genotyping-by-sequencing map permits identification of clubroot resistance QTLs and revision of the reference genome assembly in cabbage (Brassica oleracea L.) DNA Res. 2015;23:29–41. doi: 10.1093/dnares/dsv034. [DOI] [PMC free article] [PubMed] [Google Scholar]
- 13.Peng LS, et al. Identification of quantitative trait loci for clubroot resistance in Brassica oleracea with the use of Brassica SNP microarray. Front. Plant Sci. 2018;9:822. doi: 10.3389/fpls.2018.00822. [DOI] [PMC free article] [PubMed] [Google Scholar]
- 14.Dakouri A, et al. Analysis of genome-wide variants through bulked segregant RNA sequencing reveals a major gene for resistance to Plasmodiophora brassicae in Brassica oleracea. Sci. Rep. 2018;8:17657. doi: 10.1038/s41598-018-36187-5. [DOI] [PMC free article] [PubMed] [Google Scholar]
- 15.Matsumoto E, Yasui C, Ohi M, Tsukada M. Linkage analysis of RFLP markers for clubroot resistance and pigmentation in Chinese cabbage (Brassica rapa ssp. pekinensis) Euphytica. 1998;104:79–86. doi: 10.1023/A:1018370418201. [DOI] [Google Scholar]
- 16.Piao ZY, Deng YQ, Choi SR, Park YJ, Lim YP. Scar and caps mapping of CRb, a gene conferring resistance to Plasmodiophora brassicae in chinese cabbage (Brassica rapa ssp. pekinensis) Theor. Appl. Genet. 2004;108:1458–1465. doi: 10.1007/s00122-003-1577-5. [DOI] [PubMed] [Google Scholar]
- 17.Kato T, Hatakeyama K, Fukino N, Matsumoto S. Identificaiton of a clubroot resistance locus conferring resistance to a Plasmodiophora brassicae classified into pathotype group 3 in Chinese cabbage (Brassica rapa L.) Breed. Sci. 2012;62:282–287. doi: 10.1270/jsbbs.62.282. [DOI] [PMC free article] [PubMed] [Google Scholar]
- 18.Sakamoto K, Saito A, Hayashida N, Taguchi G, Matsumoto E. Mapping of isolate-specific QTLs for clubroot resistance in Chinese cabbage (Brassica rapa L. ssp. pekinensis) Theor. Appl. Genet. 2008;117:759–767. doi: 10.1007/s00122-008-0817-0. [DOI] [PubMed] [Google Scholar]
- 19.Pang WX, et al. Identification and mapping of the clubroot resistance gene CRd in Chinese Cabbage (Brassica rapa ssp. pekinensis) Front. Plant Sci. 2018;9:653. doi: 10.3389/fpls.2018.00653. [DOI] [PMC free article] [PubMed] [Google Scholar]
- 20.Laila R, et al. Mapping of a novel clubroot resistance QTL using ddRAD-seq in Chinese cabbage (Brassica rapa L.) BMC Plant Biol. 2019;19:13. doi: 10.1186/s12870-018-1615-8. [DOI] [PMC free article] [PubMed] [Google Scholar]
- 21.Suwabe K, et al. Simple sequence repeat-based comparative genomics between Brassica rapa and Arabidopsis thaliana: the genetic origin of clubroot resistance. Genetics. 2006;173:309–319. doi: 10.1534/genetics.104.038968. [DOI] [PMC free article] [PubMed] [Google Scholar]
- 22.Saito M, et al. Fine mapping of the clubroot resistance gene, Crr3, in Brassica rapa. Theor. Appl. Genet. 2006;114:81–91. doi: 10.1007/s00122-006-0412-1. [DOI] [PubMed] [Google Scholar]
- 23.Nguyen ML, Monakhos GF, Komakhin RA, Monakhos SG. The new clubroot resistance locus is located on chromosome A05 in Chinese Cabbage (Brassica rapa L.) Russ. J. Genet. 2018;54:296–304. doi: 10.1134/S1022795418030080. [DOI] [Google Scholar]
- 24.Yu FQ, et al. Identification of genome-wide variants and discovery of variants associated with Brassica rapa clubroot resistance gene Rcr1 through bulked segregant RNA sequencing. PLoS ONE. 2016;11:e0153218. doi: 10.1371/journal.pone.0153218. [DOI] [PMC free article] [PubMed] [Google Scholar]
- 25.Huang Z, et al. Fine mapping of a clubroot resistance gene in Chinese cabbage using SNP markers identified from bulked segregant RNA sequencing. Front. PLant Sci. 2017;8:1448. doi: 10.3389/fpls.2017.01448. [DOI] [PMC free article] [PubMed] [Google Scholar]
- 26.Yu FQ, et al. Genotyping-by-sequencing reveals three QTL for clubroot resistance to six pathotypes of Plasmodiophora brassicae in Brassica rapa. Sci. Rep. 2017;7:4516. doi: 10.1038/s41598-017-04903-2. [DOI] [PMC free article] [PubMed] [Google Scholar]
- 27.Chen JJ, et al. Identification of novel QTLs for isolate-specific partial resistance to Plasmodiophora brassicae in Brassica rapa. PLoS ONE. 2013;8:e85307. doi: 10.1371/journal.pone.0085307. [DOI] [PMC free article] [PubMed] [Google Scholar]
- 28.White JA, Mcalpine PJ, Antonarakis S, Cann H, Povey S. Guidelines for human gene nomenclature. HUGO Nomenclature Committee. Genomics. 1997;45:468–471. doi: 10.1006/geno.1997.4979. [DOI] [PubMed] [Google Scholar]
- 29.Chiang MS, CRêTE R. Acadie: a clubroot resistant cabbage cultivar. Can. J. Plant Sci. 1985;65:233–235. doi: 10.4141/cjps85-034. [DOI] [Google Scholar]
- 30.Diederichsen E, et al. Status and perspectives of clubroot resistance breeding in Crucifer crops. J. Plant Growth Regul. 2009;28:265–281. doi: 10.1007/s00344-009-9100-0. [DOI] [Google Scholar]
- 31.Mayr E. Joseph Gottlieb Kolreuter’s contributions to biology. Osiris. 1986;2:135–176. doi: 10.1086/368655. [DOI] [Google Scholar]
- 32.Chen L, Liu Y. Male sterility and fertility restoration in crops. Plant Biol. 2014;65:579–606. doi: 10.1146/annurev-arplant-050213-040119. [DOI] [PubMed] [Google Scholar]
- 33.Ogura H. Studies on the new male-sterility in Japanese radish, with special reference to the utilization of this sterility towards practical raising of hybrid seed. Mem. Fac. Agric Kagoshima. Univ. 1968;6:39–78. [Google Scholar]
- 34.Bannerot H, Boudidard L, Chupeau Y. Unexpected difficulties met with the radish cytoplasm in Brassica oleracea. Eucarpia Cruciferae Newsl. 1977;2:16. [Google Scholar]
- 35.Motegi T, et al. Obtaining an Ogura-type CMS line from asymmetrical protoplast fusion between cabbage (fertile) and radish (fertile) Euphytica. 2003;129:319–323. doi: 10.1023/A:1022284803689. [DOI] [Google Scholar]
- 36.Heyn FW. Transfer of restore genes from Raphanus to cytoplasmic male sterile Brassica napus. Cruciferae Newsl. 1976;1:15–16. [Google Scholar]
- 37.Pelletier G, et al. Intergeneric cytoplasmic hybridization in cruciferae by protoplast fusion. Mol. Gen. Genet. 1983;191:244–250. doi: 10.1007/BF00334821. [DOI] [Google Scholar]
- 38.Piotr K, et al. Interspecific hybridisation of cytoplasmic male-sterile rapeseed with Ogura cytoplasm and Brassica rapa var. pekinensisas a method to obtain male-sterile Chinese cabbage inbred lines. Euphytica. 2016;208:519–534. doi: 10.1007/s10681-015-1595-9. [DOI] [Google Scholar]
- 39.Kirti PB, Banga SS, Prakash S, Chopra VL. Transfer of Ogu cytoplasmic male sterility to Brassica juncea and improvement of the male sterile line through somatic cell fusion. Theor. Appl. Genet. 1995;91:517–521. doi: 10.1007/BF00222982. [DOI] [PubMed] [Google Scholar]
- 40.Yu HL, et al. Development of a novel allele-specific Rfo marker and creation of Ogura CMS fertility-restored interspecific hybrids in Brassica oleracea. Theor. Appl. Genet. 2016;129:1625–1637. doi: 10.1007/s00122-016-2728-9. [DOI] [PubMed] [Google Scholar]
- 41.Yu HL, et al. Morphological and molecular characterization of the second backcross progenies of Ogu-CMS Chinese kale and rapeseed. Euphytica. 2017;213:55. doi: 10.1007/s10681-017-1842-3. [DOI] [Google Scholar]
- 42.Saghai-Maroof MA, Ribosomal DNA. spacer-length polymorphisms in barley: Mendelian inheritance, chromosomal location and population dynamics. Proc. Natl Acad. Sci. USA. 1984;81:8014–8018. doi: 10.1073/pnas.81.24.8014. [DOI] [PMC free article] [PubMed] [Google Scholar]
- 43.Zhu Q, Kang Z, Jian Y, Ding Y, Kang J. The molecular characteristics of Ogura cytoplasmic male sterility related gene orf138 in Cabbage (Brassica oleracea var. capitata) Chin. Agric. Sci. Bull. 2012;28:104–109. [Google Scholar]
- 44.Sun, L. et al. Descriptors and data standards for Chinese kale (Brassica alboglabra Bailey) (China Agriculture. Press, 2008)
- 45.Dolezel J, Greilhuber J, Suda J. Estimation of nuclear DNA content in plants using flow cytometry. Nat. Protoc. 2007;2:2233–2244. doi: 10.1038/nprot.2007.310. [DOI] [PubMed] [Google Scholar]
- 46.Luo H, Chen G, Liu C, Huang Y, Xiao C. An improved culture solution technique for Plasmodiophora brassicae infection and the dynamic infection in the root hair. Australas. Plant Pathol. 2013;43:53–60. doi: 10.1007/s13313-013-0240-0. [DOI] [Google Scholar]
- 47.Suwabe K, et al. Identification of two loci for resistance to clubroot (Plasmodiophora brassicae Woronin) in Brassica rapa L. Theor. Appl. Genet. 2003;107:997–1002. doi: 10.1007/s00122-003-1309-x. [DOI] [PubMed] [Google Scholar]
- 48.Matsumoto E, et al. Accumulation of three clubroot resistance genes through marker-assisted selection in Chinese cabbage (Brassica rapa ssp. pekinensis) J. Jpn. Soc. Horticulture Sci. 2012;81:184–190. doi: 10.2503/jjshs1.81.184. [DOI] [Google Scholar]
- 49.Ueno H, et al. Molecular characterization of the CRa gene conferring clubroot resistance in Brassica rapa. Plant Mol. Biol. 2012;80:621–629. doi: 10.1007/s11103-012-9971-5. [DOI] [PubMed] [Google Scholar]
- 50.Chen H, et al. Development and mapping of molecular markers closely linked to CRb gene resistance to clubroot disease in Chinese cabbage. Sci. Agricultura Sin. 2012;26:3551–3557. [Google Scholar]
- 51.Kato T, Hatakeyama K, Fukino N, Matsumoto S. Fine mapping of the clubroot resistance gene CRb and development of a useful selectable marker in Brassica rapa. Breed. Sci. 2013;63:116–124. doi: 10.1270/jsbbs.63.116. [DOI] [PMC free article] [PubMed] [Google Scholar]
- 52.Hatakeyama K. Identification and characterization of Crr1a, a gene for resistance to clubroot disease (Plasmodiophora brassicae Woronin) in Brassica rapa L. PLoS ONE. 2013;8:e54745. doi: 10.1371/journal.pone.0054745. [DOI] [PMC free article] [PubMed] [Google Scholar]
- 53.Dixon GR. The occurrence and economic impact of Plasmodiophora brassicae and clubroot disease. J. Plant Growth Regul. 2009;28:194–202. doi: 10.1007/s00344-009-9090-y. [DOI] [Google Scholar]
- 54.Fredua-Agyeman R, et al. Identification of Brassica accessions resistant to ‘old’ and ‘new’ pathotypes of Plasmodiophora brassicae from Canada. Plant Pathol. 2019;68:708–718. doi: 10.1111/ppa.12980. [DOI] [Google Scholar]
- 55.Rahman H, et al. Genetics and breeding for clubroot resistance in Canadian spring canola (Brassica napus L.) Can. J. Plant Pathol. 2014;36:122–134. doi: 10.1080/07060661.2013.862571. [DOI] [Google Scholar]
- 56.Crisp P, et al. The exploitation of genetic resources of Brassica oleracea in breeding for resistance to clubroot (Plasmodiophora brassicae) Euphytica. 1989;42:215–226. [Google Scholar]
- 57.Ning Y, et al. Identification and characterization of resistance for Plasmodiophora brassicae race 4 in cabbage (Brassica oleracea var. capitata) Australas. Plant Pathol. 2018;47:531–541. doi: 10.1007/s13313-018-0590-8. [DOI] [Google Scholar]
- 58.Douglas WH, Elizabeth DE. Synthesis of Ogura male sterile rapeseed (Brassica napus L.) with cold tolerance by protoplast fusion and effects of atrazine resistance on seed yield. Plant Cell Rep. 1996;15:939–944. doi: 10.1007/BF00231592. [DOI] [PubMed] [Google Scholar]
- 59.Dey SS, et al. Superior CMS (Ogura) lines with better combining ability improve yield and maturity in cauliflower (Brassica oleraceavar. botrytis) Euphytica. 2011;182:187–197. doi: 10.1007/s10681-011-0425-y. [DOI] [Google Scholar]
- 60.Tian E, Roslinsky V, Cheng B. Molecular marker-assisted breeding for improved Ogura cms restorer line (RfoRfo) and mapping of the restorer gene (Rfo) in Brassica juncea. Mol. Breed. 2014;34:1361–1371. doi: 10.1007/s11032-014-0121-4. [DOI] [Google Scholar]
- 61.Cheng F, et al. Deciphering the diploid ancestral genome of the mesohexaploid Brassica rapa. Plant Cell. 2013;25:1541–1554. doi: 10.1105/tpc.113.110486. [DOI] [PMC free article] [PubMed] [Google Scholar]
Associated Data
This section collects any data citations, data availability statements, or supplementary materials included in this article.




