Abstract
Introduction:
Dermatophytosis has become resistant and relapsing infection in India. Diagnosis of dermatophytosis is easy, however, poses diagnostic challenge in partial treatment, steroid abuse. Dermoscopy is noninvasive tool for diagnosis of many infestations and infections. Dermoscopy in dermatophytosis is not well documented. We evaluated dermatoscopic patterns to correlate with histopathological changes.
Materials and Methods:
Study was conducted in tertiary hospital after obtaining ethical clearance and informed consent. DermLite 3 dermoscope was used to examine the lesions. Polarized and nonpolarized modes were used and ultrasound gel was utilized. Potassium hydroxide mount and skin biopsy was done to confirm the diagnosis.
Results:
About 30 patients with 16 males and 14 females were present. Median duration was 3.5 months and median age was 30 years. The most common site was waist and crural area affecting 20 (66.66%). Dermoscopy revealed brown to black dots, globules, and white scales in all patients (100.0%). Lesions of shorter duration (26.66%) demonstrated red dots, dotted vessels, reddish-brown dots, and globules, and brown to black dots and globules were noted in lesions of longer duration (73.33%). Hair changes were noted in five (16.66%) patients.
Conclusion:
Dermoscopy showed particular patterns in dermatophytosis. Patterns were consistent irrespective of age, sex, and site of involvement. Presence of reddish-brown and black globules with white scales was found to be the most characteristic dermoscopic feature.
Keywords: Black globules, brown globules, dermatophytosis, dermoscopy, pattern
Introduction
The prevalence of superficial mycotic infection worldwide is 20%–25% of which dermatophytes are the most common agents and the last few years has seen a steep rise in the cases of chronic dermatophytic infections in the Indian subcontinent.[1] Recent development in understanding the pathophysiology of dermatophytosis has confirmed the central role of cell-mediated immunity in countering these infections. Several new techniques such as polymerase chain reaction and mass spectroscopy can help to identify the different dermatophyte strains.[2]
Dermatophytosis also called as tinea affects different body parts including nails and hairs. Clinical manifestations are similar irrespective of site of involvement when tinea involves skin.[1] Tinea corporis, tinea pedis, or tinea cruris are diagnosed without difficulty by their characteristic clinical manifestations. However, they pose a diagnostic challenge to the treating physician in circumstances, such as partial treatment, steroid abuse, or fungus invasion onto other dermatoses, such as psoriasis or allergic contact dermatitis. This compels the physicians to seek investigations such as potassium hydroxide mount and fungal culture. However, positive yield in these tests is surprisingly low ranging from 40% to 58% in various studies.[3,4] Hence, a diagnostic method is necessary to diagnose dermatophytosis accurately and to replace time consuming and tedious invasive procedures for better management. Dermoscopy has now established its place as a valuable noninvasive tool not only for diagnostic purposes but also for monitoring the treatment progress in various disorders.[5] Dermoscopy of dermatophytosis is confined only to case reports.[6,7] We document dermoscopic patterns in the dermatophytosis of skin of color and correlate the patterns with histopathological changes.
Materials and Methods
This study was conducted in a tertiary care hospital. Institutional ethical clearance was obtained and informed patient consent was taken. Patients with signs and symptoms of dermatophytosis lesions were included in the study. Dermoscopy was performed on classical lesions. DermLite 3 dermoscope with 10× magnification (3 Gen Inc., San Juan Capistrano, CA, USA) was employed. Sony digital camera (Sony Cyber shot camera DSC-W800, Sony Electronics Inc., San Diego, CA, USA, with 14 Mega pixels) was attached to save the images. Both polarized and non-polarized modes were used and ultrasound gel was utilized as an interface medium. Potassium hydroxide (KOH) (10%) mount was done to confirm diagnosis. Two of the authors (BSA, SSM) evaluated the images in consensus for the dermoscopic patterns. Biopsy was carried out to correlate histopathological findings with dermoscopic patterns. Silver methanamine stain was used to demonstrate fungal hyphae in stratum corneum. Patients of all age groups having dermatophytosis, patients of both sexes, and previously untreated lesions were the inclusion criteria, whereas exclusion criteria included the lesions on the scalp and nails, tinea incognito lesions, secondarily infected lesions, previously treated cases 1 month prior to the study, and patients with ongoing treatment and patients on immunosuppressive agents. Lesions were arbitrarily divided as shorter and longer duration. Lesions with <1 month duration were included as shorter duration lesions and lesions of >1 month duration were taken as longer duration lesions.
Results
In total, 30 patients with 16 males and 14 females were included in the study. Median duration of disease was 3.5 months with range from 1 to 6 months and median age was 30 years, ranging from 10 to 50 years. Most common site of involvement was waist and cruris area affecting 20 (66.66%). About 5 (16.66%); 4 (13.33%); and 1 (3.33%) patients had lesions on the thighs, axillae, and arm; hands; and on the face, respectively.
Dermoscopic examination revealed brown to black dots, globules, and superficial white scales in all patients (30 cases; 100.0%). These were seen only in the spreading borders of the lesions. Color of dots and globules showed variation with duration of lesion. All the lesions of shorter duration (8 cases; 26.66%) demonstrated red dots, dotted vessels, reddish-brown dots, and globules on reddish background [Figures 1 and 2], whereas dark brown to black dots and globules [Figures 3 and 4] were noted in all lesions of longer duration (22 cases; 73.33%). Scales too exhibited different dermoscopic patterns based on the duration of lesions. Minimal and profuse white scales were observed, respectively, in lesions of shorter and longer duration. Micro-pustules [Figure 5] were noted in one patient with facial lesion. Hair changes were noted in 5 (16.66%) with two patients showing hypopigmented terminal hairs [Figures 1 and 6]. Other hairs' changes included black dots (hairs were cut-off at skin surface level; these are different from black dots of skin lesions), broken hair, corkscrew hairs, translucent vellus hairs, and perifollicular scales [Figures 7 and 8]. We could not observe variation in hair changes with duration of lesions. Interestingly, dermoscopic findings were consistent in all patients irrespective of age, sex, and site of involvement. KOH was positive in 24 (80%) patients [Figure 9]. Histopathological features [Figure 10] were consistent with dermatophytosis. Special stain with Gomori methanamine silver demonstrated hyphae in the stratum corneum in 27 (90%) of cases [Figure 9]. Different dermoscopic patterns in lesions with shorter and longer duration are depicted in Table 1. Histopathological correlation of dermoscopic patterns showed in the Table 2.
Figure 1.

Clinical image of dermatophytosis of shorter duration (a); dermoscopy of (a) shows superficial white scales (yellow arrows), dotted vessels (red arrows), and perifollicular scale (white arrows) on reddish-brown background (yellow stars) (b). Few hypopigmented terminal hairs with interrupted medulla (black arrows) are seen (yellow box) with magnified view (c) [polarized mode with 10 × magnification]
Figure 2.

Clinical image of dermatophytosis of shorter duration (a); dermoscopy of (a) shows reddish-brown dots and globules (red arrows) on pale pink background (black stars) (b). White scales are also appreciated [polarized mode with 10 × magnification]
Figure 3.

Clinical image of dermatophytosis of longer duration (a); dermoscopy of (a) shows brownish-black globules (yellow arrows) and white scales (red arrows) on the grayish background (b) [polarized mode with 10 × magnification]
Figure 4.

Clinical image (a) of dermatophytosis of longer duration (a); dermoscopy shows (b) black globules (blue arrows) and superficial white scales (red arrows) on the grayish background (b) [polarized mode with 10 × magnification]
Figure 5.

Dermoscopy of dermatophytosis of shorter duration on the face shows (b) follicle oriented micro-pustules (yellow arrows), black dots, globules (black arrow) on a reddish background (black stars). Inset: clinical image (a) [polarized mode with 10 × magnification]
Figure 6.

Dermoscopy of dermatophytosis of shorter duration affecting lower legs shows (b) dotted vessels (green arrows), hypopigmented terminal hairs with interrupted medulla (red arrows) and reddish-brown dots (blue arrow). Note the white scales (orange arrows). Inset: clinical image (a) [polarized mode with 10 × magnification]
Figure 7.

Dermoscopy of dermatophytosis of shorter duration shows hair changes such as broken hairs (green arrows), corkscrew hairs (black arrows), black dots (yellow arrows), white scales (black stars), red dots (blue arrows), and reddish-brown globules (yellow star). Note the reddish-brown background [polarized mode with 10 × magnification]
Figure 8.

Dermoscopy of dermatophytosis of longer duration shows translucent vellus hairs (yellow arrows), blackish-brown globules (red arrows), and white scales (blue arrows) [polarized mode with 10 × magnification]
Figure 9.

Potassium hydroxide (10%) mount shows fungal hyphae (a) Special stain with Gomori methenamine silver stain shows fungal hyphae in the stratum corneum (b) [H and E, 100×]
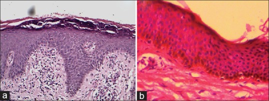
Figure 10.

Histopathology of dermatophytosis shows neutrophils are noted in the stratum corneum (a) and abundant melanin is observed in the epidermis (b). [H and E, 100×]
Table 1.
Different dermoscopic patterns in shorter and longer duration of lesions
| Dermoscopic patterns | Shorter duration | Longer duration |
|---|---|---|
| Color of dots | Red and reddish-brown | Dark brown to black |
| Scales | Minimal | Abundant |
| Background color | Bright red to pale red | Grayish-black |
| Follicles* | Hypopigmented terminal hairs | Perifollicular scales |
| Translucent vellus hairs | Translucent vellus hairs | |
| Perifollicular scales | Hypopigmented terminal hairs | |
| Black dots, corkscrew hairs, broken hairs |
*These are preliminary observations, need further evaluation to affirm these changes
Table 2.
Histopathological correlation of dermoscopic patterns in dermatophytosis
| Dermoscopic patterns | Histopathological correlation |
|---|---|
| Reddish-brown globules | Serous discharge with hemosiderin |
| Black globules | Serous discharge with melanin |
| Reddish background | Acute inflammation with vasodilatation of superficial vessels |
| Grayish background | Postinflammatory stage with melanin deposition in the epidermis |
| White superficial scales | Hyperkeratosis |
| Red dots | tips of the dilated vessels |
| Micro pustules | Neutrophilic abscesses in the epidermis |
Discussion
Dermoscopy is a noninvasive tool in the diagnosis of many dermatoses including infections and infestations.[5] The role of trichoscopy, the dermoscopy of scalp, and hair diseases in dermatophytosis of the scalp is well established in the literature. However, only two case reports describe the dermoscopic patterns in dermatophytosis affecting body parts.[6,7]
In this study, dermoscopy demonstrated patterns which varied with duration of lesions. Reddish-brown and black globules were noted in lesions with short to long duration, respectively. These globules correlate with dried exudates and postinflammatory pigmentation. Reddish-brown color of globules in the initial stage is explained by the presence of serum, extravasation of red blood cells, and hemosiderin.[8]
Later, globules appear black due to deposition melanin in the epidermis as a result of postinflammatory response. These dots and globules are the result of inflammatory process and post inflammatory stage. Intense itching produces excoriation, serous discharge, accumulation of blood, and release of hemosiderin. Importantly, globules were noted in follicular and nonfollicular positions that were confined to the borders of lesions. Knöpfel et al. described brown globules with halo in a 5-d-old lesion of tinea corporis,[7] which is similar to our observation. However, halo was not seen in our study and this disparity could probably be due to the skin types 4 and 5.
Background color of lesions under dermoscopy plays an adjunctive role in accomplishing an accurate diagnosis. In this study, lesions of shorter and longer duration demonstrated reddish and greyish background, respectively. This is interpreted as due to acute inflammation in the early lesions and postinflammatory hyperpigmentation in late lesions. Previous reports did not mention about the background color. Thus, background color suggests duration of dermatophytosis.
Scales are of prime importance in dermatophytosis as they yield fungal elements in microscopic examination and imply the activity of disease. In this study, scales were seen as bright white structures, which were localized both in follicular and perifollicular position. In few instances, scales were prominent in skin cleavage lines. Identical dermoscopic patterns were described in the earlier reports.[6,7] Authors described that scales in the physiological palmar creases are specific to tinea manuum and this particular feature differentiates tinea infection from palmar psoriasis and hand eczema.[9] Scales correspond to hyperkeratosis. However, red dots or brownish globules were not noted on the palmar aspect of tinea manuum lesions in this study.
Trichoscopy in tinea capitis is very well documented with characteristic hair changes, which include black dots, comma hairs, corkscrew hairs, broken hairs, Morse code-like hairs, and zigzag hairs.[10] Nonetheless, there is very less documentation of dermoscopic study in dermatophytosis involving body hairs.[6,7] We noted broken hairs, corkscrew hairs, black dots, translucent vellus hairs, and perifollicular scale, which illustrate the damage to hair shaft. Translucent vellus hairs are due to massive colonization by the fungus and are an important indication to start systemic antifungals.[7] Here, they were seen in lesions of longer duration. Normal hypopigmented vellus hair should not be confused with translucent hair. Exploring and comparing the normal hair would help in the distinction of the two. Hypopigmentation of terminal hairs with interrupted medulla and perifollicular scales were noted in lesions on the legs and groin with shorter duration. This finding can be identified by comparing adjacent terminal hairs, which are darkly pigmented. We believe that these changes may be due to invasion of hair shaft by fungus. However, this is a preliminary observation and needs further elucidation to affirm these changes. It should be noted that presence of translucent vellus hairs and hypopigmented terminal hairs highly depend on the species of fungus and not with duration of lesions. Nevertheless, species identification was not done in this study.
Micro-pustules are demonstrated as pale white globules in the previous studies, which were noted in follicular and nonfollicular position.[6,7] We could observe only follicle-oriented micro-pustules as roundish pale white globules similar to that of published reports. They were noted in facial lesion of shorter duration in one patient. Micro-pustules signify the presence of neutrophils in the epidermis. Thus, dermoscopic patterns differ in dermatophytosis of variable duration. Brown and black globules with white scales at periphery of the lesions are the characteristic dermoscopic patterns. Translucent and hypopigmented hairs with interrupted medulla suggest invasion of vellus and terminal hairs by the fungus, respectively. Presence micro-pustules indicate epidermal neutrophils and thus inflammation.
Pityriasis rosea, nummular eczema, psoriasis, and lichen planus are close differentials for dermatophytosis. Dermoscopy demonstrates characteristic patterns helping in delineating these inflammatory conditions.[11] Dermoscopic patterns of these conditions are shown in Table 3.
Table 3.
Dermoscopic differentiation of dermatosis closely similar to dermatophytosis
| Dermoscopic features | Dermatophytosis | Nummular eczema | Pityriasis rosea | Psoriasis | Lichen planus |
|---|---|---|---|---|---|
| Background color | Reddish-brown* Grayish-black £ |
Orange-red* White £ |
Yellowish-brown | Homogenous pink or red | Grayish-blue |
| Scales | White Perifollicular At periphery In the skin lines |
Yellow Diffuse |
White At periphery |
White Bright, Diffuse |
White Both in center and in periphery |
| Vasculature | Red dots At periphery |
Red dots Clusters |
Red dots At periphery |
Red dots Diffuse |
Red dots At periphery |
| Follicular structures | Perifollicular scales, Hair changes ¥ | No changes | No changes | No changes | Follicular plugging (only in hypertrophic and follicular variants) |
| Special clues | Black and red globules | Yellow clod sign | Brown dots | None | Wickham striae as streaks |
Fungal culture was not done in this study, which would help in the derivation of dermoscopic patterns in particular fungal species. Lack of fungal culture studies and small sample size are the limitations of this study.
Conclusion
Dermoscopy showed particular patterns in dermatophytosis. Patterns remained consistent irrespective of age, sex, and site of involvement. Presence of reddish-brown and black globules with white scales was found to be the most characteristic dermoscopic feature. These parameters may also be checked for in the treatment monitoring of dermatophytic infections. The disappearance of all the dermoscopic patterns may suggest toward completion of therapy. Since this study is done involving small sample size, authors recommend a study with larger sample size with culture analysis to affirm the mentioned dermoscopic patterns in dermatophytosis.
Financial support and sponsorship
Nil.
Conflicts of interest
There are no conflicts of interest.
References
- 1.Kaul S, Yadav S, Dogra S. Treatment of dermatophytosis in elderly, children, and pregnant women. Indian Dermatol Online J. 2017;8:310–8. doi: 10.4103/idoj.IDOJ_169_17. [DOI] [PMC free article] [PubMed] [Google Scholar]
- 2.Nenoff P, Krüger C, Ginter-Hanselmayer G, Tietz HJ. Mycology - An update. Part 1: Dermatomycoses: Causative agents, epidemiology and pathogenesis. J Dtsch Dermatol Ges. 2014;12:188–209. doi: 10.1111/ddg.12245. [DOI] [PubMed] [Google Scholar]
- 3.Noronha TM, Tophakhane RS, Nadiger S. Clinico-microbiological study of dermatophytosis in a tertiary-care hospital in North Karnataka. Indian Dermatol Online J. 2016;7:264–71. doi: 10.4103/2229-5178.185488. [DOI] [PMC free article] [PubMed] [Google Scholar]
- 4.Nenoff P, Verma SB, Vasani R, Burmester A, Hipler Uta-Christina, Wittig F, et al. The current Indian epidemic of superficial dermatophytosis due to Trichophyton mentagrophytes—A molecular study. Mycoses. 2019;62:336–56. doi: 10.1111/myc.12878. [DOI] [PubMed] [Google Scholar]
- 5.Lallas A, Kyrgidis A, Tzellos TG, Apalla Z, Karakyriou E, Karatolias A, et al. Accuracy of dermoscopic criteria for the diagnosis of psoriasis, dermatitis, lichen planus and pityriasis rosea. Br J Dermatol. 2012;166:1198–205. doi: 10.1111/j.1365-2133.2012.10868.x. [DOI] [PubMed] [Google Scholar]
- 6.Gómez-Moyano E, Crespo Erchiga V, Martínez Pilar L, Martínez García S, Martín González T, Godoy Diaz DJ, et al. Using dermoscopy to detect tinea of vellus hair. Br J Dermatol. 2016;174:636–8. doi: 10.1111/bjd.14085. [DOI] [PubMed] [Google Scholar]
- 7.Knöpfel N, del Pozo LJ, Escudero Mdel M, Martín-Santiago A. Dermoscopic visualization of vellus hair involvement in tinea corporis: A criterion for systemic antifungal therapy? Pediatr Dermatol. 2015;32:e226–7. doi: 10.1111/pde.12648. [DOI] [PubMed] [Google Scholar]
- 8.Zaballos P, Puig S, Malvehy J. Dermoscopy of pigmented purpuric dermatoses (lichen aureus): A useful tool for clinical diagnosis. Arch Dermatol. 2004;140:1290–1. doi: 10.1001/archderm.140.10.1290. [DOI] [PubMed] [Google Scholar]
- 9.Errichetti E, Stinco G. Dermoscopy in general dermatology: A practical overview. Dermatol Ther (Heidelb) 2016;6:471–507. doi: 10.1007/s13555-016-0141-6. [DOI] [PMC free article] [PubMed] [Google Scholar]
- 10.Rudnicka L, Olszewska M, Rakowska A, Slowinska M. Trichoscopy update 2011. J Dermatol Case Rep. 2011;5:82–8. doi: 10.3315/jdcr.2011.1083. [DOI] [PMC free article] [PubMed] [Google Scholar]
- 11.Lallas A, Zalaudek I, Argenziano G, Longo C, Moscarella E, Di Lernia V, et al. Dermoscopy in general dermatology. Dermatol Clin. 2013;31:679–94. doi: 10.1016/j.det.2013.06.008. [DOI] [PubMed] [Google Scholar]
