Abstract
Surgical resection remains the primary choice of treatment and the only potentially curative option for gastric carcinoma, and is increasingly performed laparoscopically. Gastric resection represents a challenging procedure, with a significant morbidity and non-negligible postoperative mortality. The interpretation of imaging after gastric surgery can be challenging due to significant modifications of the normal anatomy. After the surgery, the familiarity with expected imaging appearances is crucial for diagnosis and appropriate management of potentially life-threatening complications in patients who underwent gastric surgery. We review various surgical techniques used in gastric surgery and describe fluoroscopic and cross-sectional imaging appearances of normal postoperative anatomic changes as well as early and late complications after gastric surgery.
Keywords: Stomach, Stomach cancer, Surgical techniques, Postoperative complications, CT
INTRODUCTION
Gastric cancer is one of the most common malignant tumors and the third leading cause of cancer-related deaths worldwide (1,2). Among the various treatment options for patients with gastric cancer, surgical resection is the only known curative treatment that achieves long-term survival (3). Recently, an improved understanding of the cause and progression of gastric cancers has led to substantial advances in surgical management. Radical gastrectomy, however, remains a challenging surgical procedure with significant postoperative morbidity (range, 14–43%) and mortality rates (range, 1–12%; average, 3%) (4,5,6). Technological advancements in multidetector computed tomography (CT) have allowed an accurate assessment of the expected anatomical changes in the postoperative stomach, as well as an exact evaluation of postoperative complications (7,8,9,10,11,12,13,14).
In this article, we review the most common gastric surgical procedures, including total or subtotal gastrectomy, pylorus-preserving gastrectomy (PPG), and bariatric surgery, and describe their expected postoperative appearances on multidetector CT. In addition, we describe the imaging features of the most common early and late postoperative complications, including anastomotic leak, gastric stasis, pancreatitis fistula, omental infarct, bleeding, afferent loop syndrome, and bezoar.
Surgical Techniques and Postoperative Anatomy after Gastric Cancer Surgery
Extent of Gastric Resection
Locally advanced gastric cancer can be treated with either subtotal distal gastrectomy (DG) or total gastrectomy (TG). DG is generally indicated for cancers in the lower or middle third of the stomach, and two-thirds of the stomach, including the pylorus, is usually removed. However, TG is usually performed for cancers in the upper or middle third of the stomach, and the whole stomach, including esophagogastric junction and pylorus, is resected. Although the optimal resection margin remains debated, 3–5 cm is recommended for curative surgery (15,16,17,18,19), and DG is selected when a safe proximal resection margin can be obtained. The distal resection margin of both DG and TG is generally 1–2 cm distal to the pylorus.
Reconstruction
After DG, intestinal continuity is restored with gastroduodenostomy (Billroth I), loop type gastrojejunostomy (Billroth II) with or without Braun anastomosis, or Roux-en-Y gastrojejunostomy. In Billroth I reconstruction, the stomach and the duodenum are directly connected in an end-to-end anastomosis (Fig. 1). In Billroth II reconstruction, the stomach and the jejunum are anastomosed in an end-to-side fashion, in either isoperistaltic or antiperistaltic manner (Fig. 2). Gastrojejunal anastomosis from the left side of greater curvature with an afferent loop to the right side of lesser curvature with the efferent loop is called isoperistaltic because the peristaltic direction of the remnant stomach and jejunum is the same. Conversely, gastrojejunal anastomosis extending from right to left is called antiperistaltic. The position of the jejunal loop for gastrojejunostomy can be either anterior or posterior to the transverse colon, and called antecolic or retrocolic, respectively. Braun anastomosis, which refers to side-to-side anastomosis between afferent and efferent loops, is sometimes created, expecting a decrease in bile reflux to the remnant stomach. When a gastric remnant is small, Roux-en-Y gastrojejunostomy is preferred. After TG, Roux-en-Y anastomosis is the standard reconstruction method, composed of esophagojejunostomy and end-to-side jejunojejunostomy (Fig. 3). The position of the jejunal segment for esophagojejunostomy can also be either antecolic or retrocolic.
Fig. 1. Postoperative anatomy in subtotal distal gastrectomy with Billroth I anastomosis.
A. Illustration shows gastroduodenostomy in end-to-end fashion. B, C. On axial CT scans, high attenuating surgical materials (arrowheads) are seen at anastomotic site between remnant stomach (S) and duodenum (D), and along lesser curvature suture site. Note that gastric fundus (F) and esophagogastric junction (arrow) are intact.
Fig. 2. Postoperative anatomy in subtotal distal gastrectomy with Billroth II anastomosis.
Illustration (A) and serial axial CT images (B–D) show loop gastrojejunostomy in antecolic and ipsiperistalic manner. On axial CT images, jejunal segment attached at left side of remnant stomach (S) is traced into duodenum (Du), indicating afferent loop (A), then other jejunal segment attached at right side of remnant stomach goes into efferent loop (E). Peristaltic direction of remnant stomach and efferent loop is same, so-called ipsiperistaltic. In addition, afferent and efferent loops are located anterior to transverse colon (Co), indicating antecolic anastomosis. Duodenal stump (Du) is easily identified with surgical materials (arrowhead) in right subhepatic space.
Fig. 3. Postoperative anatomy in total gastrectomy with Roux-en-Y reconstruction.
Illustration (A) and serial axial CT images (B–E) show Roux-en-Y esophagojejunostomy after total gastrectomy. CT images show multiple surgical clips at esophagojejunostomy site (black arrowheads), jejunal stump (white arrow), jejunojejunostomy site (black arrows), and duodenal stump (white arrowhead). Alimentary limb (A) is located anterior to transverse colon (Co), indicating antecolic anastomosis. Bi = biliopancreatic limb
Lymph Node Dissection and Omentectomy
D1 lymphadenectomy refers to a limited lymph node dissection, whereas D2 lymphadenectomy is an extended lymph node dissection. For potentially curable locally advanced gastric cancer, D2 lymphadenectomy is considered the standard lymphadenectomy in high incidence countries, such as South Korea and Japan. Less extensive lymphadenectomy has often been performed in Western countries having low caseloads. Several Western studies comparing D1 with D2 lymphadenectomy revealed that postoperative mortality was significantly higher after a D2 lymphadenectomy than D1 without an improvement in overall survival (20,21,22,23). However, a long-term follow-up in the nationwide Dutch study has recently reported a better cancer-related survival after D2 dissection than D1 (24); thereafter, recent Western guidelines recommended D2 dissection (16,17).
The lymph node stations supposed to be dissected vary according to the type of gastrectomy (15). For example, in TG with D2 dissection, the lymph node stations to be dissected are stations from number 1–7 (consisting of D1 lymphadenectomy), plus number 8a, 9, 10, 11p, 11d, and 12a, but D2 dissection in DG omits stations of number 2, 4sa, and 11d.
Splenectomy aiming at complete lymphadenectomy at the splenic hilum of station number 10 has been under debate for survival benefits while splenectomy was associated with increased postoperative morbidity and mortality. Since recent studies have reported that spleen-preserving TG showed noninferiority for long term oncologic outcomes (25,26,27,28), many guidelines do not recommend prophylactic splenectomy for splenic hilar lymph node dissection (15,17,18,19,29).
Although complete omentectomy has traditionally been performed as part of the curative radical gastrectomy, its survival benefits have been under debate as well, and studies have evaluated the necessity for complete omentectomy (30,31,32). The latest Japanese gastric cancer treatment guidelines stated that the omentum more than 3-cm away from the gastroepiploic arcade might be preserved for cT1 or cT2 gastric cancer (15).
Function-Preserving Surgery for Treating Early Gastric Cancer
In early gastric cancer, the extent of resection may be decreased, requiring only a resection margin of about 1–2 cm because the frequency of lymph node metastasis was low. Consequently, the concept of function-preserving gastrectomy was introduced to preserve function without compromising oncologic safety, frequently performed with a laparoscopic approach as a minimally invasive surgery (33,34).
PPG preserves the pyloric ring, with anastomosis between the antral cuff and remnant proximal stomach, which can be used for early gastric cancer in the middle portion of the stomach without evidence of regional lymph node metastasis (35) (Fig. 4). In PPG, suprapyloric lymph node dissection is omitted to preserve the right gastric vessels as well as hepatic and pyloric branches of the vagus nerve, which are essential for preserving pyloric function. Compared with DG, the benefits of PPG are the lower incidence of dumping syndrome, bile reflux, and gallstone formation as well as better nutritional advantages (35,36).
Fig. 4. Postoperative anatomy in pylorus-preserving gastrectomy.
A. Illustration shows gastrogastrostomy after pylorus-preserving gastrectomy. Note that hepatic (open arrow) and pyloric (open arrowhead) branches of vagus nerve were saved. An = antrum, Bo = gastric upper body, Du = duodenum. B. On axial CT image, pyloric canal (arrowhead) and normal triangular duodenal bulb (Du) are intact. Contour deformity at gastrogastric anastomosis (arrows) between prepyloric antrum (An) and gastric upper body (Bo) is also noted. Compared to distal gastrectomy, visualization of remnant stomach including fundus, is same, but intact pylorus is a different point.
Even though proximal gastrectomy is an alternative option to the TG in the early gastric cancer in the upper third of the stomach, it is not a popular surgical choice because of anastomosis-related late complications such as reflux esophagitis and anastomotic stricture (37,38). Therefore, many modified esophagojejunostomy procedures have been tried in place of an esophagogastrostomy, including double tract reconstruction and jejunal interposition (39). Double tract reconstruction is composed of Roux-en-Y reconstruction and end-to-side gastrojejunostomy along the alimentary loop (Fig. 5). A double tract means that food passage flows simultaneously to the stomach as well as to the jejunum after reconstruction (40).
Fig. 5. Postoperative anatomy in proximal gastrectomy with double tract reconstruction.
Illustration (A) and contrast swallow study (B) show double tract reconstruction after proximal gastrectomy composed of Roux-en-Y esophagojejunostomy (arrowhead) and end-to-side gastrojejunostomy between remnant stomach (S) and proximal efferent jejunal loop (E), allowing food passage flow simultaneously to remnant stomach (blue arrow) and jejunum (red arrow). A = afferent jejunal loop, D = duodenum. Coronal CT image (C) also well demonstrates remnant stomach (S) and continued duodenal loop (D) as well as efferent jejunal loop (E).
Early Postoperative Complications after Gastric Cancer Surgery
Early postoperative complications after gastric cancer surgery can be divided into three categories: 1) complications related to gastric surgery such as anastomotic complication, duodenal stump leakage, gastric stasis, pancreatitis fistula, remnant stomach infarct, omental infarct, and bile duct stricture; 2) complications common to other abdominal surgeries, including hemorrhage, infection, wound problems, ileus, and chylous ascites; and 3) complications not related to surgery, such as pulmonary complications from general anesthesia or renal failure. The most common complications after gastric surgery include pulmonary complications, wound problems, anastomotic leakage, ileus, and bleeding. In this article, we focused on complications related directly to gastric surgery.
Anastomotic Leakage
Postoperative leakage can arise from sutures or staple lines, and most commonly occurs within the first 7 to 10 days after surgery. Because of the differences in surgical procedures and study populations, the reported incidence varied from less than 1% to over 10%, and is reported to be higher in TG than in subtotal DG (41,42).
When the anastomotic leakage is suspected, a contrast swallow study would be the initial imaging modality, although its routine exam after gastrectomy is not recommended (43,44). Extravasation of contrast materials from the lumen with a track-like or cavity-like collection at the anastomosis suggests anastomosis leakage (Fig. 6). However, negative results from contrast swallow study may not completely rule out the possibility of leakage since its reported sensitivity is approximately 50–60% (12,43,45). A surgical drain should be carefully evaluated since the opacification of the drain tube can be the only presentation of a leak when contrast materials flow directly to the drain tube adjacent to the leak site. It may sometimes be difficult to distinguish a leak from a trapped contrast material within plication defects, which are focal areas of outpouching deformity and usually associated with a suture line. Leaks get more evident over time because of increasing amounts of leaked contrast materials, while plication defects readily fill and empty with contrast materials and have well-defined margins (46,47).
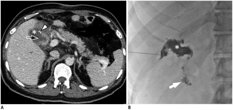
Fig. 6. Anastomotic leakage after Billroth I reconstruction.
63-year-old male patient underwent distal gastrectomy with Billroth I reconstruction for advanced gastric cancer.
A. On CT, which was taken at postoperative day 3 for fever evaluation, air-containing fluid collections (*) are noted anterior to pancreas. B. Contrast swallow study was performed on postoperative day 11 showing patent gastroduodenal anastomosis but extraluminal leakage (arrows). Opacification at percutaneous drainage tube is also noted (arrowheads).
CT after positive oral contrast ingestion can be useful for the determination of leakage through the detection of accumulated extraluminal contrast, with benefits of being easier to perform in very ill patients and being more informative for other postoperative complications such as hemorrhage or abscesses (48,49) (Fig. 7). On CT without oral contrast, wall discontinuity at the anastomosis site is a specific direct sign for an anastomotic leak but not a sensitive one. In a recent study, CT showed wall discontinuity in 64% of fluoroscopy-detected anastomotic leakage group and 6% of suspected leakage on CT in the fluoroscopy-negative group (12). Perianastomotic fluid collection is common in anastomotic leakage, but not reliably differentiated from a transient postoperative serum collection. A large (> 3 cm) air-containing fluid collection at the anastomosis site was reported to be relatively significant for predicting an anastomotic leak after gastric surgery (12). Alternatively, an anastomotic leak may appear as generalized peritonitis.
Fig. 7. Anastomotic leakage after total gastrectomy and Roux-en-Y reconstruction.
72-year-old male patient underwent total gastrectomy with Roux-en-Y reconstruction.
A. Contrast swallow study, which was performed 5 days after surgery, shows contrast leakage (black arrow) at left side of esophagojejunostomy (EJstomy). Short and blind jejunal stump (arrowheads) appears as irregular contrast-filling structure below esophagojejunostomy (EJstomy), which can be mistaken for leak. B. On noncontrast CT taken immediately after contrast swallow study, small pooling of contrast material (white arrow) is seen outside surgical materials of esophagojejunostomy, indicating leakage. Small pleural effusion (*) in left lower thorax is also noted.
Duodenal Stump Leakage
Duodenal stump leakage is infrequent but a severe complication with high mortality after gastrectomy with an incidence range of 1.1–2.5% and mortality range of 9.4–16.2% (50,51,52,53). In case of leakage from the duodenal stump, enzyme-rich pancreatic juice and bile directly flow out from the duodenal stump and cause local peritoneal irritation, subsequently developing many other complications, such as intra-abdominal abscess, wound infection, sepsis, acute pancreatitis, and abdominal bleeding (50,52). Contrast swallow study sometimes has a limitation for diagnosis of duodenal stump leakage, since contrast materials frequently cannot reach the duodenal stump through afferent loop following Billroth II or biliary limb after Roux-en-Y reconstruction because of its retrograde direction. Instead, CT is a useful modality in the diagnosis of duodenal stump leakage by delineating fluid collections or abscesses around the duodenal stump. Sometimes, wall defect or dehiscence in a duodenal stump line can be directly delineated (Fig. 8). Although 99mTc-diisopropyl iminodiacetic acid scan is not widely used, it can permit a direct visualization of the afferent loop, facilitating the detection of duodenal stump leakage (49).
Fig. 8. Duodenal stump leakage.
60-year-old male patient underwent subtotal gastrectomy with Billroth II anastomosis.
A. On CT for postoperative fever evaluation, small fluid collection (*) is noted around duodenal stump with defect (open arrow) at lateral wall. Tiny high attenuating structure abutting on duodenal stump is surgical material (arrowhead). B. Cavitogram during percutaneous drainage well demonstrates complicated fluid collection (*) communicating with duodenum (arrow).
Gastric Stasis and Passage Disturbance
After partial gastrectomy, gastric stasis in the remnant stomach is common, usually secondary to ileus or perianastomotic wall edema, and generally self-limiting. On a plain abdominal radiograph, the air-fluid level in the distended remnant stomach can be seen. Contrast swallow study should reveal a patent anastomosis without obstruction.
Concerning PPG, delayed gastric emptying is an important complication, which is known to be partly caused by pyloric spasm and antral edema. The incidence of gastric stasis or delayed gastric emptying after PPG range from 6.2% to 10.3% (35). In patients with suspected gastric stasis, pyloric spasm can be diagnosed when severely narrowed pyloric canal without relaxation is seen on the contrast swallow study (Fig. 9). Pyloric spasm after PPG may be improved with conservative management. However, if it is not improved, balloon dilatation or temporary stent insertion would be an effective treatment option (54).
Fig. 9. Gastric stasis after pylorus-preserving gastrectomy.
A. Plain abdominal radiograph on postoperative day 6 shows distended remnant stomach (S) filled with residual food materials. B. On contrast swallow study, which was taken on postoperative day 7, pyloric canal (arrow) is severely narrowed without relaxation, suggesting impaired pyloric function. Note that gastrogastric anastomosis (arrowheads) is widely patent.
Pancreatic Fistula and Acute Pancreatitis
The pancreatic capsule can be injured during ligation of the right gastroepiploic artery and its dissection from the gastroduodenal artery or during the removal of lymph nodes along the splenic artery or splenic hilum during gastric cancer surgery. Moreover, postoperative pancreatic complications may occur, such as acute pancreatitis or pancreatic fistula, which are potentially life threatening with subsequent abscess, secondary anastomotic leakage, or bleeding. The incidence of postoperative pancreatic fistula has been reported as 1.7% to 22.1%, and it depends on the type of surgery and tumor stage (55,56). A study performed in a large-volume hospital reported that the postoperative pancreatic fistula was detected in 30 out of 900 patients (3.3%) and was more common in patients with TG, distal pancreatectomy, or open gastrectomy (55). Pancreatic fistula is generally diagnosed when the amylase level in the surgical drain is three times higher than the normal upper limit of serum amylase on the third day postoperatively (57). Radiologic documentation is not mandatory for the diagnosis. However, CT or fistulography may be useful by identifying subsequent complications such as an abscess or bowel leakage (Fig. 10).
Fig. 10. Acute pancreatitis after total gastrectomy.
52-year-old male patient underwent total gastrectomy with splenectomy for advanced gastric cancer (pT4aN1) at gastric cardia. Two days after surgery, amount of drained fluid increased, and amylase level in drain was increased to 2076 U/L.
A. Postoperative axial CT at day 4 shows decreased enhancement at pancreas tail and surrounding peripancreatic fat infiltration (arrowheads), suggesting acute pancreatitis. B. Coronal CT image at postoperative day 14 shows interval development of complicated fluid collections around esophagojejunostomy (arrows) and perihepatic space (*). Therefore, leakage at esophagojejunostomy site (open arrow) is strongly suspected, although wall defect is not delineated on CT.
Omental Infarction
Omental infarction is an uncommon complication after gastrectomy, as omentum-preserving gastrectomy has increased. In a case series study recruiting 390 laparoscopy-assisted gastrectomies with partial omentectomy, the incidence was reported as 2.3% and more common in TG or obese patients (58). On CT, omental infarct appears an ill-defined, heterogeneous fat density lesion in an early stage, becoming smaller and looks like fatty mass with a peripheral high attenuating rim in their late stages (58,59,60). Omental infarction can be easily diagnosed immediately after surgery. However, if it is detected on follow-up CT, it looks like peritoneal seeding, and it is difficult to differentiate it from peritoneal seeding. Unlike peritoneal seeding diffusely involving peritoneum, omental infarction is localized on the omentum and becomes smaller during follow-up when compared with previous CT (Fig. 11).
Fig. 11. Omental infarction.
A. On axial CT taken at 14 days after laparoscopy-assisted distal gastrectomy, small fluid collection and fat stranding are noted in omentum (arrows). B. On follow-up CT after 1 year, smaller, well-defined, heterogeneously attenuated mass with high attenuating rim (arrowhead) is delineated in same area. Note that fat attenuation of lesion totally disappears.
Ischemia of Left Lobe of the Liver
In the gastric cancer surgery, the left gastric artery (LGA) is generally ligated. In the case of replaced left hepatic artery (LHA) which refers to LHA totally originating from the LGA, LGA ligation may also block the LHA flow, resulting in temporary increase in liver enzyme level and rarely hepatic infarction in the left hepatic lobe after gastric surgery (61,62) (Fig. 12). For this reason, some surgeons prefer to preserve replaced LHA or large accessory LHA. Preoperative dynamic CT can give valuable information on the variation of LHA running through the fissure for ligamentum venosum (63,64) (Fig. 12).
Fig. 12. Ischemia of left lobe of liver after gastric surgery.
45-year-old male patient underwent open total gastrectomy for advanced gastric cancer.
A. Maximum intensity projection image of preoperative CT well demonstrates replaced left hepatic artery (arrows) arising from left gastric artery (arrowhead). During operation, left gastric artery was ligated at proximal portion. Then, levels of serum aspartate aminotransferase and alanine aminotransferase increased over 1000 IU/L at postoperative day 1. B. On postoperative day 3 CT, enhancement in left lateral segment of liver becomes markedly decreased (*), suggesting ischemia. C. On follow-up CT after 3 months, perfusion to left lateral hepatic segment restores to normal range with mild parenchymal volume decrease (open arrows).
Remnant Gastric Infarct
Although remnant gastric infarct after subtotal gastrectomy is very rare because of the rich vascular supply to the stomach, it is potentially fatal and requires prompt diagnosis and reoperation. Vascular supply for the remnant stomach is generally supposed to have left inferior phrenic artery and short gastric branches from the splenic artery. Therefore, injuries or insufficiency of any cause in these vessels can lead to remnant gastric infarct. In several case reports, it may usually occur within one week after gastrectomy, with or without splenic infarction, and predominantly in men (65,66,67,68,69). On contrast-enhanced CT, a complete absence of contrast enhancement in the remnant stomach indicates infarction, while poor mucosal enhancement should raise a suspicion of severe ischemia (Fig. 13). In the late stage, anastomotic leakage, gastric perforation, or perigastric complicated fluid collection can be accompanied.
Fig. 13. Remnant gastric infarct.
77-year-old male patient with long history of hypertension and diabetes underwent laparoscopy-assisted distal gastrectomy with Billroth II reconstruction for advanced gastric cancer.
On axial (A) and coronal (B) CT images obtained at postoperative day 5 for postoperative fever evaluation, lesser curvature and anterior wall of remnant stomach are poorly enhanced (black arrows) compared to normal enhancement of gastric fundus (white arrow). Total gastrectomy was then performed, and transmural infarct was confirmed at lesser curvature to anterior wall of remnant gastric specimen (not shown).
Late Postoperative Complications after Gastric Cancer Surgery
Late complications include not only delayed presentation of early complications, but also unique late complications of gastrectomy, including postgastrectomy syndromes. Postgastrectomy syndrome refers to various disorders and symptoms resulting from loss of gastric storage, pyloric sphincter function, and physiologic changes following the vagus nerve cutting and various types of reconstructions. They include dumping syndrome, delayed gastric emptying, afferent loop syndrome, Roux stasis, and bile reflux gastritis.
Dumping Syndrome
Dumping syndrome is a frequent postgastrectomy complication occurring in response to the rapid transit of hyperosmolar gastric contents into the proximal intestine. Early dumping begins within 30 minutes of food consumption and manifests as both gastrointestinal and vasomotor symptoms, whereas late dumping occurs 2 to 4 hours after meal ingestion and consists primarily of vasomotor symptoms and associated hypoglycemia (70). The diagnosis is based primarily on inciting factors and the presence of classic symptoms (70).
Afferent Loop Syndrome
After Billroth II reconstruction, the afferent loop may become dilated, which can lead to abdominal pain, nausea, vomiting, and rarely obstructive jaundice or acute pancreatitis. This had been called the afferent loop syndrome. The acute presentation may be caused by a complete obstruction of this limb with any cause but mainly due to adhesion. CT is a useful modality for the diagnosis as well as for identifying the level and cause of obstruction. Afferent loop syndrome usually manifests as a dilated, fluid-filled afferent loop (8) (Fig. 14). Acute afferent loop syndrome also can occur in Roux-en-Y reconstruction, as a biliopancreatic limb acts as an afferent loop. Chronic manifestation may result from partial obstruction of an afferent loop. The preferential flow of ingested contents into a dilated afferent limb rather than the efferent limb also can cause chronic afferent loop syndrome, and this can be identified with contrast swallow study.
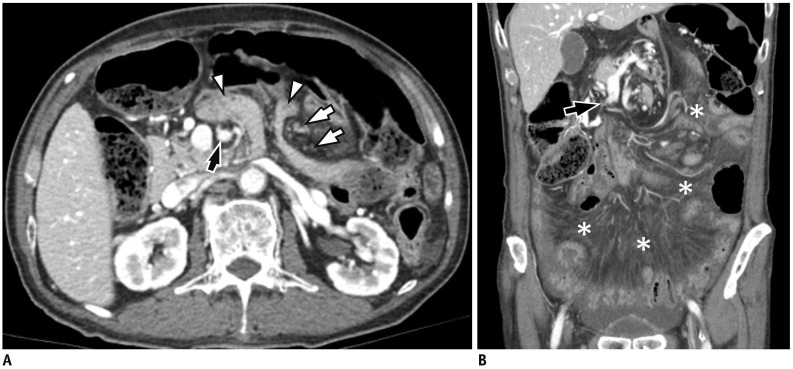
Fig. 14. Afferent loop syndrome due to adhesive ileus after subtotal distal gastrectomy with Billroth II reconstruction.
56-year-old male patient underwent subtotal gastrectomy with Billroth II reconstruction for early gastric cancer 2 years ago. He presented with abdominal pain and nausea.
A, B. On axial CT images, afferent limb (*) is markedly dilated with fluid, while efferent limb is not. B. Transition zone (arrow) is noted immediately distal to Treitz ligament in left abdomen. It shows beak-like appearance suggesting adhesive ileus. S = remnant stomach
Internal Hernia
After gastrectomy, along with small bowel mobilization, an internal hernia can develop through the mesenteric defects or a space made by anastomosed bowel loops. Antecolic Roux-en-Y reconstruction has two potential spaces for internal hernia: the jejunojejunostomy mesenteric defect and the Petersen's defect, which is a space posterior to the Roux limb. Retrocolic reconstruction adds one more mesenteric defect at the transverse mesocolon, where the Roux limb passes. After Billroth II reconstruction, an internal hernia can occur through Petersen's defects, but the reported incidence of internal hernia is much lower than in Roux-en-Y reconstruction (71,72). An internal hernia may be presented as small bowel obstruction, chronic intermittent abdominal pain, or even asymptomatic.
Typical CT findings of internal hernia after Roux-en-Y reconstruction include whirl sign, mushroom sign, abnormal clustering of the small bowel in the upper abdomen, the presence of a jejunojejunostomy at the right abdominal cavity, a small bowel behind the superior mesenteric artery, beaking of superior mesenteric vein, and displacement of Treitz angle anteriorly and to the right (14,73,74,75) (Fig. 15). However, the sensitivity of these CT findings is not high. The whirl sign, also called whirlpool or swirl sign, refers to mesenteric vessel whirling at the mesenteric root and is thought to be the most sensitive finding (75,76). The mushroom sign refers to a mushroom-shaped mesenteric root between the superior mesenteric artery and the distal mesenteric arterial branch. Multiplanar reconstruction images could make the diagnosis easier by showing other planes of the mesentery which has three-dimensional geometry (Fig. 15).
Fig. 15. Internal hernia after total gastrectomy.
A. Axial CT image obtained at postoperative 1-year shows protrusion of small bowel (arrowheads) into anterior abdominal cavity passing between superior mesenteric artery (black arrow) and distal mesenteric arterial branches (white arrows), so-called mushroom sign. B. On coronal CT image, decreased caliber of superior mesenteric vein with beaked appearance (arrow), and extensive mesenteric congestion (*) are also seen. Laparotomy reveals Petersen's hernia.
Bezoar
A bezoar may form in a gastric remnant, especially when a vagotomy has been performed (77). Because of decreased peristalsis and the absence of gastric acid, retained ingested materials can coalesce to become a large mass-like conglomerate. On CT, a bezoar appears as a large air-mottled inhomogeneous mass within the gastric remnant (78). Whole or part of the bezoar may migrate distally, and this can cause small bowel obstruction.
Gallstone and Biliary Dilatation
Gastrectomy, including vagotomy, which can cause sphincter of Oddi dysfunction, delayed bile circulation, increasing gallbladder intraluminal pressure, and adverse hormonal effects, may cause cholelithiasis and bile duct dilatation (79); therefore, suggesting a higher incidence of gallstones in people who have undergone gastrectomy than in the general population. The reported incidence of gallstones after gastrectomy ranges from 7.4–27.7% (80,81,82,83). A recent study of more than 17000 patients reported that gallstone formation after gastrectomy was associated with older age, TG, duodenal exclusion, and other comorbidities (83).
Postoperative Anatomy and Common Complications after Bariatric Surgery
Bariatric surgery aims to reduce the volume of the stomach to limit food intake or bypass the gastrointestinal tract to limit absorption, thereby causing weight loss and treating complications related to obesity. According to the survey by International Federation for the Surgery of Obesity and Metabolic Disorders, approximately 580000 bariatric or metabolic surgical operations were performed worldwide in 2016, with the most common procedure being sleeve gastrectomy (SG) (53.6%), followed by Roux-en-Y gastric bypass (RYGB) (30.1%), one-anastomosis gastric bypass (mini-gastric bypass or Omega loop gastric bypass) (4.8%), adjustable gastric banding (AGB) (3.0%), and biliopancreatic diversion/duodenal switch (0.5%) (84). In addition, worldwide trends over the past decade show a marked decrease in the number of AGB but a steep increase in the number of SG, although there are regional variations (84,85). In this review, we deal with the three most prevalent bariatric operations of AGB, SG, and RYGB.
Adjustable Gastric Banding
AGB is a purely restrictive surgical procedure by placing the silicone band having inflatable balloon cuff within 2 cm of the gastroesophageal junction, creating a small gastric pouch of 15–20 mL with a narrow stoma through the band (Fig. 16). The band is connected with a tubing to a subcutaneous port placed in the anterior abdominal wall. The port can be accessed percutaneously to inflate or deflate the balloon cuff, adjusting the size of the stoma (86,87). AGB was favored in the 1990s and 2000s because of the easy surgical technique and low rates of early and late complications; however, currently AGB has waned probably due to high rates of failure and long-term complications (84,88).
Fig. 16. Adjustable gastric banding and postoperative images.
Illustration (A) and CT scanogram (B) show expected appearance after adjustable gastric banding. Gastric band (black arrow) overlies left side of spine just below level of left hemidiaphragm. Angle formed by longitudinal axis of gastric band and spine is called phi (φ) angle. It is usually between 4° and 58° in normal conditions. Reservoir port (arrowhead) overlies anterior abdominal wall. Connecting tube location can vary within peritoneum. C. On axial CT image, inflatable balloon cuff of band (white arrows) is positioned around proximal stomach.
On an anteroposterior abdominal radiograph, the band should be positioned approximately 5 cm below the left hemidiaphragm and should have a rectangular appearance because its anterior and posterior aspects are superimposed (86) (Fig. 16). The phi angle, an superior angle formed by the longitudinal axis of the gastric band and the spinal column, is normally between 4° and 58°. Gastric band slippage is defined as the herniation of the distal stomach upward from below the band, resulting in eccentric pouch dilatation, and if remained untreated, it may lead to chronic stomal stenosis or gastric necrosis. In the presence of band slippage, clock-wise or counter clock-wise rotation of the band, a phi angle of more than 58° or less than 4°, may be seen on abdominal radiographs (89). The band itself can erode through the gastric wall partially or completely into the lumen, and can even migrate distally. This intragastric band erosion usually warrants band removal because of the risk of perforation, hemorrhage, or obstruction. On contrast swallow study, the band will appear as an intraluminal filling defect, with contrast surrounding the intragastric portion of the band. On CT, the intraluminal migration of a portion of the band may be identified (90) (Fig. 17).
Fig. 17. Gastric band erosion.
A. Coronal CT image shows lateral part of gastric band (black arrow) has eroded into gastric lumen (S). B. On axial CT image, liver abscess (*), and peritoneal infiltration (arrowhead) suggesting peritonitis are seen around tube (white arrow).
Sleeve Gastrectomy
SG is an essentially restrictive surgical intervention consisting of subtotal vertical gastrectomy with preservation of the pylorus, including longitudinal resection of the fundus, body, and antrum, to create a tubular duct along the lesser curvature (Fig. 18). Resection comprises approximately 80% of the stomach, and the remnant gastric has a capacity of approximately 100 mL (91,92,93). SG is one of the newest bariatric procedures and has become popular with several advantages, such as a low rate of complication, short operative time, and lack of gastrointestinal anastomosis and malabsorption (84).
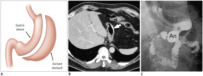
Fig. 18. Sleeve gastrectomy.
A. Illustration shows normal surgical anatomy after sleeve gastrectomy. Stomach is resected along greater curvature of fundus, body, and proximal antrum, producing narrow, banana-shaped gastric sleeve along lesser curvature. B. On axial CT image, metallic suture (arrow) is observed in new greater curvature of stomach. C. Contrast swallow study shows decrease in gastric volume with tubular morphology. Note that distal antrum (An) is intact.
Gastric leaks are potential complications and most commonly occur from the proximal end of the staple line near the gastroesophageal junction (94,95,96,97). Contrast filled within non-excised fundus may be mistaken for an extraluminal leak. Gastric stricture is a rare complication, which may develop from intra-operative stapling error, particularly at the incisura angularis (98). Contrast swallow study or endoscopy can be used for this complication. CT may show acute angulation of the gastric sleeve at the level of the incisura angularis (99).
Roux-en-Y Gastric Bypass
RYGB is a combined restrictive and malabsorptive procedure, which is considered as the gold standard (84). The stomach is divided into a gastric pouch of small fundal component and a much larger excluded gastric remnant as a bypassed portion. The jejunum is divided approximately 10 cm from the ligament of Treitz, and the distal segment, now the Roux limb or alimentary limb, is anastomosed end-to-side with the gastric pouch. The remnant excluded stomach and proximal small bowel, now the biliopancreatic limb, is anastomosed end-to-side with the distal jejunum, approximately 75 cm distal to the gastrojejunostomy (100) (Fig. 19). The length of the Roux limb and biliopancreatic limb can vary to alter the malabsorptive element (101). The Roux limb may be passed to the gastric pouch via an antecolic/retrocolic and antegastric/retrogastric approach. Small bowel distal to the enteroenterostomy is called a “common channel” (Fig. 19).
Fig. 19. Roux-en-Y gastric bypass.
A. Illustration of expected postsurgical anatomy following Roux-en-Y gastric bypass shows gastric pouch, excluded gastric remnant, antegastric Roux limb, jejunal stump, and biliopancreatic limb. B, C. Axial CT images delineate gastric pouch (GP), excluded stomach (ES), Roux limb (RL), and its jejunal stump (JS).
The most serious early postoperative complication is a leak. The majority of leaks arise from the gastrojejunal anastomosis (102,103). However, leaks may also occur at other sites, including the blind-ending jejunal limb, gastric pouch, small bowel anastomosis, or rarely excluded stomach. An extraluminal leak may precede the development of a leak into the excluded stomach, a staple line leak, in which a contrast swallow study would show contrast opacification in the excluded stomach, which should not be opacified, unless it is retrogradely filled via biliopancreatic limb. Bowel obstruction after RYGB can be caused by several entities, including internal hernia, which is the most common cause of small bowel obstruction following laparoscopic RYGB, gastrojejunostomy stricture, enteroenterostomy stricture, or kinking, and adhesion (104,105,106,107). When the bowel obstruction involved the biliopancreatic limb only, this represents a sort of closed-loop obstruction because the most proximal part is the excluded stomach. Therefore, it could lead to the perforation of the excluded stomach if it is not treated in a timely fashion.
CONCLUSION
Several techniques for the surgical management of gastric cancer and morbid obesity are available and being developed. Exact knowledge of these surgical procedures, normal postoperative anatomy, important complications and potential imaging pitfalls is essential for the proper interpretation of imaging studies in patients who undergo gastric surgery. Therefore, radiologists should have this practical knowledge and understand which imaging modality may be used to establish a correct diagnosis.
Footnotes
This research was supported by Basic Science Research Program through the National Research Foundation of Korea [NRF] funded by the Ministry of Science, ICT & Future Planning (NRF-2019R1F1A1060131) and by Seoul National University Hospital Research Fund No. 03-2019-0070.
Conflicts of Interest: The authors have no potential conflicts of interest to disclose.
References
- 1.Soerjomataram I, Lortet-Tieulent J, Parkin DM, Ferlay J, Mathers C, Forman D, et al. Global burden of cancer in 2008: a systematic analysis of disability-adjusted life-years in 12 world regions. Lancet. 2012;380:1840–1850. doi: 10.1016/S0140-6736(12)60919-2. [DOI] [PubMed] [Google Scholar]
- 2.Torre LA, Bray F, Siegel RL, Ferlay J, Lortet-Tieulent J, Jemal A. Global cancer statistics, 2012. CA Cancer J Clin. 2015;65:87–108. doi: 10.3322/caac.21262. [DOI] [PubMed] [Google Scholar]
- 3.Lee DH, Kim SH, Joo I, Hur BY, Han JK. Comparison between 18F-FDG PET/MRI and MDCT for the assessment of preoperative staging and resectability of gastric cancer. Eur J Radiol. 2016;85:1085–1091. doi: 10.1016/j.ejrad.2016.03.015. [DOI] [PubMed] [Google Scholar]
- 4.Inokuchi M, Otsuki S, Fujimori Y, Sato Y, Nakagawa M, Kojima K. Systematic review of anastomotic complications of esophagojejunostomy after laparoscopic total gastrectomy. World J Gastroenterol. 2015;21:9656–9665. doi: 10.3748/wjg.v21.i32.9656. [DOI] [PMC free article] [PubMed] [Google Scholar]
- 5.Xiong JJ, Altaf K, Javed MA, Nunes QM, Huang W, Mai G, et al. Roux-en-Y versus Billroth I reconstruction after distal gastrectomy for gastric cancer: a meta-analysis. World J Gastroenterol. 2013;19:1124–1134. doi: 10.3748/wjg.v19.i7.1124. [DOI] [PMC free article] [PubMed] [Google Scholar]
- 6.Zilberstein B, Abbud Ferreira J, Cecconello I. Management of postoperative complications in gastric cancer. Minerva Gastroenterol Dietol. 2011;57:69–74. [PubMed] [Google Scholar]
- 7.Yoo SY, Kim KW, Han JK, Kim AY, Lee HJ, Choi BI. Helical CT of postoperative patients with gastric carcinoma: value in evaluating surgical complications and tumor recurrence. Abdom Imaging. 2003;28:617–623. doi: 10.1007/s00261-003-0007-0. [DOI] [PubMed] [Google Scholar]
- 8.Kim HC, Han JK, Kim KW, Kim YH, Yang HK, Kim SH, et al. Afferent loop obstruction after gastric cancer surgery: helical CT findings. Abdom Imaging. 2003;28:624–630. doi: 10.1007/s00261-002-0070-y. [DOI] [PubMed] [Google Scholar]
- 9.Kim KW, Choi BI, Han JK, Kim TK, Kim AY, Lee HJ, et al. Postoperative anatomic and pathologic findings at CT following gastrectomy. Radiographics. 2002;22:323–336. doi: 10.1148/radiographics.22.2.g02mr23323. [DOI] [PubMed] [Google Scholar]
- 10.Kim KA, Park CM, Park SW, Cha SH, Seol HY, Cha IH, et al. CT findings in the abdomen and pelvis after gastric carcinoma resection. AJR Am J Roentgenol. 2002;179:1037–1041. doi: 10.2214/ajr.179.4.1791037. [DOI] [PubMed] [Google Scholar]
- 11.Doishita S, Takeshita T, Uchima Y, Kawasaki M, Shimono T, Yamashita A, et al. Internal hernias in the era of multidetector CT: correlation of imaging and surgical findings. Radiographics. 2016;36:88–106. doi: 10.1148/rg.2016150113. [DOI] [PubMed] [Google Scholar]
- 12.Kim TH, Kim JH, Shin CI, Kim SH, Han JK, Choi BI. CT findings suggesting anastomotic leak and predicting the recovery period following gastric surgery. Eur Radiol. 2015;25:1958–1966. doi: 10.1007/s00330-015-3608-4. [DOI] [PubMed] [Google Scholar]
- 13.Juan YH, Yu CY, Hsu HH, Huang GS, Chan DC, Liu CH, et al. Using multidetector-row CT for the diagnosis of afferent loop syndrome following gastroenterostomy reconstruction. Yonsei Med J. 2011;52:574–580. doi: 10.3349/ymj.2011.52.4.574. [DOI] [PMC free article] [PubMed] [Google Scholar]
- 14.Hongo N, Mori H, Matsumoto S, Okino Y, Takaji R, Komatsu E. Internal hernias after abdominal surgeries: MDCT features. Abdom Imaging. 2011;36:349–362. doi: 10.1007/s00261-010-9627-3. [DOI] [PubMed] [Google Scholar]
- 15.Japanese Gastric Cancer Association. Japanese gastric cancer treatment guidelines 2014 (ver. 4) Gastric Cancer. 2017;20:1–19. doi: 10.1007/s10120-016-0622-4. [DOI] [PMC free article] [PubMed] [Google Scholar]
- 16.Okines A, Verheij M, Allum W, Cunningham D, Cervantes A ESMO Guidelines Working Group. Gastric cancer: ESMO clinical practice guidelines for diagnosis, treatment and follow-up. Ann Oncol. 2010;21 Suppl 5:v50–v54. doi: 10.1093/annonc/mdq164. [DOI] [PubMed] [Google Scholar]
- 17.Zaanan A, Bouché O, Benhaim L, Buecher B, Chapelle N, Dubreuil O, et al. Gastric cancer: French intergroup clinical practice guidelines for diagnosis, treatments and follow-up (SNFGE, FFCD, GERCOR, UNICANCER, SFCD, SFED, SFRO) Dig Liver Dis. 2018;50:768–779. doi: 10.1016/j.dld.2018.04.025. [DOI] [PubMed] [Google Scholar]
- 18.Wang FH, Shen L, Li J, Zhou ZW, Liang H, Zhang XT, et al. The Chinese Society of Clinical Oncology (CSCO): clinical guidelines for the diagnosis and treatment of gastric cancer. Cancer Commun (Lond) 2019;39:10. doi: 10.1186/s40880-019-0349-9. [DOI] [PMC free article] [PubMed] [Google Scholar]
- 19.Gastric cancer: NCCN guidelines version 2, 2019. NCCN Web site; 2019. Jun 03, [Assessed November 1, 2019]. https://www.nccn.org/professionals/physician_gls/pdf/gastric.pdf. [Google Scholar]
- 20.Degiuli M, De Manzoni G, Di Leo A, D'Ugo D, Galasso E, Marrelli D, et al. Gastric cancer: current status of lymph node dissection. World J Gastroenterol. 2016;22:2875–2893. doi: 10.3748/wjg.v22.i10.2875. [DOI] [PMC free article] [PubMed] [Google Scholar]
- 21.Tamura S, Takeno A, Miki H. Lymph node dissection in curative gastrectomy for advanced gastric cancer. Int J Surg Oncol. 2011;2011:748745. doi: 10.1155/2011/748745. [DOI] [PMC free article] [PubMed] [Google Scholar]
- 22.Schmidt B, Yoon SS. D1 versus D2 lymphadenectomy for gastric cancer. J Surg Oncol. 2013;107:259–264. doi: 10.1002/jso.23127. [DOI] [PMC free article] [PubMed] [Google Scholar]
- 23.Memon MA, Subramanya MS, Khan S, Hossain MB, Osland E, Memon B. Meta-analysis of D1 versus D2 gastrectomy for gastric adenocarcinoma. Ann Surg. 2011;253:900–911. doi: 10.1097/SLA.0b013e318212bff6. [DOI] [PubMed] [Google Scholar]
- 24.Songun I, Putter H, Kranenbarg EM, Sasako M, van de Velde CJ. Surgical treatment of gastric cancer: 15-year follow-up results of the randomised nationwide Dutch D1D2 trial. Lancet Oncol. 2010;11:439–449. doi: 10.1016/S1470-2045(10)70070-X. [DOI] [PubMed] [Google Scholar]
- 25.Aiolfi A, Asti E, Siboni S, Bernardi D, Rausa E, Bonitta G, et al. Impact of spleen-preserving total gastrectomy on postoperative infectious complications and 5-year overall survival: systematic review and meta-analysis of contemporary randomized clinical trials. Curr Oncol. 2019;26:e202–e209. doi: 10.3747/co.26.4391. [DOI] [PMC free article] [PubMed] [Google Scholar]
- 26.Marano L, Rondelli F, Bartoli A, Testini M, Castagnoli G, Ceccarelli G. Oncologic effectiveness and safety of splenectomy in total gastrectomy for proximal gastric carcinoma: meta-analysis of randomized controlled trials. Anticancer Res. 2018;38:3609–3617. doi: 10.21873/anticanres.12635. [DOI] [PubMed] [Google Scholar]
- 27.Son SY, Shin DJ, Park YS, Oo AM, Jung DH, Lee CM, et al. Spleen-preserving lymphadenectomy versus splenectomy in laparoscopic total gastrectomy for advanced gastric cancer. Surg Oncol. 2017;26:207–211. doi: 10.1016/j.suronc.2017.04.002. [DOI] [PubMed] [Google Scholar]
- 28.Sano T, Sasako M, Mizusawa J, Yamamoto S, Katai H, Yoshikawa T, et al. Randomized controlled trial to evaluate splenectomy in total gastrectomy for proximal gastric carcinoma. Ann Surg. 2017;265:277–283. doi: 10.1097/SLA.0000000000001814. [DOI] [PubMed] [Google Scholar]
- 29.Guideline Committee of the Korean Gastric Cancer Association (KGCA); Development Working Group & Review Panel. Korean practice guideline for gastric cancer 2018: an evidence-based, multi-disciplinary approach. J Gastric Cancer. 2019;19:1–48. doi: 10.5230/jgc.2019.19.e8. [DOI] [PMC free article] [PubMed] [Google Scholar]
- 30.Jongerius EJ, Boerma D, Seldenrijk KA, Meijer SL, Scheepers JJ, Smedts F, et al. Role of omentectomy as part of radical surgery for gastric cancer. Br J Surg. 2016;103:1497–1503. doi: 10.1002/bjs.10149. [DOI] [PubMed] [Google Scholar]
- 31.Haverkamp L, Brenkman HJ, Ruurda JP, Ten Kate FJ, van Hillegersberg R. The oncological value of omentectomy in gastrectomy for cancer. J Gastrointest Surg. 2016;20:885–890. doi: 10.1007/s11605-016-3092-4. [DOI] [PMC free article] [PubMed] [Google Scholar]
- 32.Barchi LC, Ramos MFKP, Dias AR, Yagi OK, Ribeiro-Júnior U, Zilberstein B, et al. Total omentectomy in gastric cancer surgery: is it always necessary? Arq Bras Cir Dig. 2019;32:e1425. doi: 10.1590/0102-672020180001e1425. [DOI] [PMC free article] [PubMed] [Google Scholar]
- 33.Hiki N, Nunobe S, Kubota T, Jiang X. Function-preserving gastrectomy for early gastric cancer. Ann Surg Oncol. 2013;20:2683–2692. doi: 10.1245/s10434-013-2931-8. [DOI] [PubMed] [Google Scholar]
- 34.Saito T, Kurokawa Y, Takiguchi S, Mori M, Doki Y. Current status of function-preserving surgery for gastric cancer. World J Gastroenterol. 2014;20:17297–17304. doi: 10.3748/wjg.v20.i46.17297. [DOI] [PMC free article] [PubMed] [Google Scholar]
- 35.Oh SY, Lee HJ, Yang HK. Pylorus-preserving gastrectomy for gastric cancer. J Gastric Cancer. 2016;16:63–71. doi: 10.5230/jgc.2016.16.2.63. [DOI] [PMC free article] [PubMed] [Google Scholar]
- 36.Suh YS, Han DS, Kong SH, Kwon S, Shin CI, Kim WH, et al. Laparoscopy-assisted pylorus-preserving gastrectomy is better than laparoscopy-assisted distal gastrectomy for middle-third early gastric cancer. Ann Surg. 2014;259:485–493. doi: 10.1097/SLA.0b013e318294d142. [DOI] [PubMed] [Google Scholar]
- 37.Rosa F, Quero G, Fiorillo C, Bissolati M, Cipollari C, Rausei S, et al. Total vs proximal gastrectomy for adenocarcinoma of the upper third of the stomach: a propensity-score-matched analysis of a multicenter western experience (on behalf of the Italian Research Group for Gastric Cancer-GIRCG) Gastric Cancer. 2018;21:845–852. doi: 10.1007/s10120-018-0804-3. [DOI] [PubMed] [Google Scholar]
- 38.An JY, Youn HG, Choi MG, Noh JH, Sohn TS, Kim S. The difficult choice between total and proximal gastrectomy in proximal early gastric cancer. Am J Surg. 2008;196:587–591. doi: 10.1016/j.amjsurg.2007.09.040. [DOI] [PubMed] [Google Scholar]
- 39.Wang S, Lin S, Wang H, Yang J, Yu P, Zhao Q, et al. Reconstruction methods after radical proximal gastrectomy: a systematic review. Medicine (Baltimore) 2018;97:e0121. doi: 10.1097/MD.0000000000010121. [DOI] [PMC free article] [PubMed] [Google Scholar]
- 40.Ahn SH, Jung DH, Son SY, Lee CM, Park DJ, Kim HH. Laparoscopic double-tract proximal gastrectomy for proximal early gastric cancer. Gastric Cancer. 2014;17:562–570. doi: 10.1007/s10120-013-0303-5. [DOI] [PubMed] [Google Scholar]
- 41.Li Z, Bai B, Xie F, Zhao Q. Distal versus total gastrectomy for middle and lower-third gastric cancer: a systematic review and meta-analysis. Int J Surg. 2018;53:163–170. doi: 10.1016/j.ijsu.2018.03.047. [DOI] [PubMed] [Google Scholar]
- 42.Qi J, Zhang P, Wang Y, Chen H, Li Y. Does total gastrectomy provide better outcomes than distal subtotal gastrectomy for distal gastric cancer? A systematic review and meta-analysis. PLoS One. 2016;11:e0165179. doi: 10.1371/journal.pone.0165179. [DOI] [PMC free article] [PubMed] [Google Scholar]
- 43.Lamb PJ, Griffin SM, Chandrashekar MV, Richardson DL, Karat D, Hayes N. Prospective study of routine contrast radiology after total gastrectomy. Br J Surg. 2004;91:1015–1019. doi: 10.1002/bjs.4638. [DOI] [PubMed] [Google Scholar]
- 44.Struecker B, Chopra S, Heilmann AC, Spenke J, Denecke C, Sauer IM, et al. Routine radiologic contrast agent examination after gastrectomy for gastric cancer is not useful. J Gastrointest Surg. 2017;21:801–806. doi: 10.1007/s11605-017-3384-3. [DOI] [PubMed] [Google Scholar]
- 45.Tonouchi H, Mohri Y, Tanaka K, Ohi M, Kobayashi M, Yamakado K, et al. Diagnostic sensitivity of contrast swallow for leakage after gastric resection. World J Surg. 2007;31:128–131. doi: 10.1007/s00268-006-0246-7. [DOI] [PubMed] [Google Scholar]
- 46.Carucci LR, Turner MA. Radiologic evaluation following Rouxen-Y gastric bypass surgery for morbid obesity. Eur J Radiol. 2005;53:353–365. doi: 10.1016/j.ejrad.2004.12.010. [DOI] [PubMed] [Google Scholar]
- 47.Trenkner SW. Imaging of morbid obesity procedures and their complications. Abdom Imaging. 2009;34:335–344. doi: 10.1007/s00261-008-9389-3. [DOI] [PubMed] [Google Scholar]
- 48.Hogan BA, Winter D, Broe D, Broe P, Lee MJ. Prospective trial comparing contrast swallow, computed tomography and endoscopy to identify anastomotic leak following oesophagogastric surgery. Surg Endosc. 2008;22:767–771. doi: 10.1007/s00464-007-9629-6. [DOI] [PubMed] [Google Scholar]
- 49.Kim YE, Lim JS, Hyung WJ, Lee SK, Choi JY, Noh SH, et al. Clinical implication of positive oral contrast computed tomography for the evaluation of postoperative leakage after gastrectomy for gastric cancer. J Comput Assist Tomogr. 2010;34:537–542. doi: 10.1097/RCT.0b013e3181dbe579. [DOI] [PubMed] [Google Scholar]
- 50.Cozzaglio L, Coladonato M, Biffi R, Coniglio A, Corso V, Dionigi P, et al. Duodenal fistula after elective gastrectomy for malignant disease: an Italian Retrospective Multicenter Study. J Gastrointest Surg. 2010;14:805–811. doi: 10.1007/s11605-010-1166-2. [DOI] [PubMed] [Google Scholar]
- 51.Kim KH, Kim MC, Jung GJ. Risk factors for duodenal stump leakage after gastrectomy for gastric cancer and management technique of stump leakage. Hepatogastroenterology. 2014;61:1446–1453. [PubMed] [Google Scholar]
- 52.Orsenigo E, Bissolati M, Socci C, Chiari D, Muffatti F, Nifosi J, et al. Duodenal stump fistula after gastric surgery for malignancies: a retrospective analysis of risk factors in a single centre experience. Gastric Cancer. 2014;17:733–744. doi: 10.1007/s10120-013-0327-x. [DOI] [PubMed] [Google Scholar]
- 53.Paik HJ, Lee SH, Choi CI, Kim DH, Jeon TY, Kim DH, et al. Duodenal stump fistula after gastrectomy for gastric cancer: risk factors, prevention, and management. Ann Surg Treat Res. 2016;90:157–163. doi: 10.4174/astr.2016.90.3.157. [DOI] [PMC free article] [PubMed] [Google Scholar]
- 54.Bae JS, Kim SH, Shin CI, Joo I, Yoon JH, Lee HJ, et al. Efficacy of gastric balloon dilatation and/or retrievable stent insertion for pyloric spasms after pylorus-preserving gastrectomy: retrospective analysis. PLoS One. 2015;10:e0144470. doi: 10.1371/journal.pone.0144470. [DOI] [PMC free article] [PubMed] [Google Scholar]
- 55.Yu HW, Jung DH, Son SY, Lee CM, Lee JH, Ahn SH, et al. Risk factors of postoperative pancreatic fistula in curative gastric cancer surgery. J Gastric Cancer. 2013;13:179–184. doi: 10.5230/jgc.2013.13.3.179. [DOI] [PMC free article] [PubMed] [Google Scholar]
- 56.Guerra F, Giuliani G, Iacobone M, Bianchi PP, Coratti A. Pancreas-related complications following gastrectomy: systematic review and meta-analysis of open versus minimally invasive surgery. Surg Endosc. 2017;31:4346–4356. doi: 10.1007/s00464-017-5507-z. [DOI] [PubMed] [Google Scholar]
- 57.Bassi C, Dervenis C, Butturini G, Fingerhut A, Yeo C, Izbicki J, et al. Postoperative pancreatic fistula: an international study group (ISGPF) definition. Surgery. 2005;138:8–13. doi: 10.1016/j.surg.2005.05.001. [DOI] [PubMed] [Google Scholar]
- 58.Oh JY, Cho JH, Kang MJ, Lee JH, Kwon HJ, Nam KJ, et al. Omental infarction caused by laparoscopy-assisted gastrectomy for gastric cancer: CT findings. Clin Radiol. 2011;66:966–973. doi: 10.1016/j.crad.2011.05.006. [DOI] [PubMed] [Google Scholar]
- 59.Singh AK, Gervais DA, Lee P, Westra S, Hahn PF, Novelline RA, et al. Omental infarct: CT imaging features. Abdom Imaging. 2006;31:549–554. doi: 10.1007/s00261-005-0251-6. [DOI] [PubMed] [Google Scholar]
- 60.Park KE, Chung DJ, Kim W, Hahn ST, Lee JM. Secondary omental infarction related to open and laparoscopic-assisted distal gastrectomy: report of two cases. Korean J Radiol. 2011;12:757–760. doi: 10.3348/kjr.2011.12.6.757. [DOI] [PMC free article] [PubMed] [Google Scholar]
- 61.Kitagawa T, Iriyama K. Hepatic infarction as a complication of gastric cancer surgery: report of four cases. Surg Today. 1998;28:542–546. doi: 10.1007/s005950050180. [DOI] [PubMed] [Google Scholar]
- 62.Kim J, Kim SM, Seo JE, Ha MH, An JY, Choi MG, et al. Should an aberrant left hepatic artery arising from the left gastric artery be preserved during laparoscopic gastrectomy for early gastric cancer treatment? J Gastric Cancer. 2016;16:72–77. doi: 10.5230/jgc.2016.16.2.72. [DOI] [PMC free article] [PubMed] [Google Scholar]
- 63.Osaki T, Saito H, Murakami Y, Miyatani K, Kuroda H, Matsunaga T, et al. Usefulness of preoperative assessment of perigastric vascular anatomy by dynamic computed tomography for laparoscopic gastrectomy. Yonago Acta Med. 2015;58:157–164. [PMC free article] [PubMed] [Google Scholar]
- 64.Lee SW, Shinohara H, Matsuki M, Okuda J, Nomura E, Mabuchi H, et al. Preoperative simulation of vascular anatomy by three-dimensional computed tomography imaging in laparoscopic gastric cancer surgery. J Am Coll Surg. 2003;197:927–936. doi: 10.1016/j.jamcollsurg.2003.07.021. [DOI] [PubMed] [Google Scholar]
- 65.Isabella V, Marotta E, Bianchi F. Ischemic necrosis of proximal gastric remnant following subtotal gastrectomy with splenectomy. J Surg Oncol. 1984;25:124–132. doi: 10.1002/jso.2930250215. [DOI] [PubMed] [Google Scholar]
- 66.Fujiwara H, Ishikawa Y, Iwanaga Y, Mitsutsuji M, Shiki H, Wakita K, et al. A case of necrosis of the gastric remnant after partial gastrectomy. Jpn J Gastroenterol Surg. 1995;28:699–703. [Google Scholar]
- 67.Kim HJ, Lee KH, Kim YH, Kim HH, Kim SH, Lee HJ, et al. Gastric remnant infarction following laparoscopy-assisted distal gastrectomy: CT diagnosis in two cases. Abdom Imaging. 2007;32:290–292. doi: 10.1007/s00261-006-9071-6. [DOI] [PubMed] [Google Scholar]
- 68.Hajime I, Akihito E, Hiroharu N, Masataka H, Hiroki M, Junzo Y. Gastric remnant necrosis following splenic infarction after distal gastrectomy in a gastric cancer patient. Int J Surg Case Rep. 2013;4:583–586. doi: 10.1016/j.ijscr.2013.03.034. [DOI] [PMC free article] [PubMed] [Google Scholar]
- 69.Park HH, Lee HS, Kim JS, Kang SH, Moon HS, Sung JK, et al. Ischemic necrosis of the gastric remnant without splenic infarction following subtotal gastrectomy. Clin Endosc. 2018;51:289–293. doi: 10.5946/ce.2017.099. [DOI] [PMC free article] [PubMed] [Google Scholar]
- 70.Davis JL, Ripley RT. Postgastrectomy syndromes and nutritional considerations following gastric surgery. Surg Clin North Am. 2017;97:277–293. doi: 10.1016/j.suc.2016.11.005. [DOI] [PubMed] [Google Scholar]
- 71.Kelly KJ, Allen PJ, Brennan MF, Gollub MJ, Coit DG, Strong VE. Internal hernia after gastrectomy for cancer with Roux-Y reconstruction. Surgery. 2013;154:305–311. doi: 10.1016/j.surg.2013.04.027. [DOI] [PubMed] [Google Scholar]
- 72.Kang KM, Cho YS, Min SH, Lee Y, Park KB, Park YS, et al. Internal hernia after gastrectomy for gastric cancer in minimally invasive surgery era. Gastric Cancer. 2019;22:1009–1015. doi: 10.1007/s10120-019-00931-1. [DOI] [PMC free article] [PubMed] [Google Scholar]
- 73.Lockhart ME, Tessler FN, Canon CL, Smith JK, Larrison MC, Fineberg NS, et al. Internal hernia after gastric bypass: sensitivity and specificity of seven CT signs with surgical correlation and controls. AJR Am J Roentgenol. 2007;188:745–750. doi: 10.2214/AJR.06.0541. [DOI] [PubMed] [Google Scholar]
- 74.Iannuccilli JD, Grand D, Murphy BL, Evangelista P, Roye GD, Mayo-Smith W. Sensitivity and specificity of eight CT signs in the preoperative diagnosis of internal mesenteric hernia following Roux-en-Y gastric bypass surgery. Clin Radiol. 2009;64:373–380. doi: 10.1016/j.crad.2008.10.008. [DOI] [PubMed] [Google Scholar]
- 75.Dilauro M, McInnes MD, Schieda N, Kielar AZ, Verma R, Walsh C, et al. Internal hernia after laparoscopic Roux-en-Y gastric bypass: optimal CT signs for diagnosis and clinical decision making. Radiology. 2017;282:752–760. doi: 10.1148/radiol.2016160956. [DOI] [PubMed] [Google Scholar]
- 76.Yamashita W, Nishida K, Kawada S, Mori K, Usui S, Oyama J, et al. Hooking intestine sign: a typical diagnostic CT finding of Petersen's hernia. Jpn J Radiol. 2017;35:718–723. doi: 10.1007/s11604-017-0691-2. [DOI] [PubMed] [Google Scholar]
- 77.Gore RM, Smith CH. Postoperative stomach and duodenum. In: Gore RM, Levine MS, editors. Textbook of gastrointestinal radiology. 3rd ed. Philadelphia: Saunders Elsevier; 2008. pp. 707–725. [Google Scholar]
- 78.Gayer G, Jonas T, Apter S, Zissin R, Katz M, Katz R, et al. Bezoars in the stomach and small bowel--CT appearance. Clin Radiol. 1999;54:228–232. doi: 10.1016/s0009-9260(99)91156-x. [DOI] [PubMed] [Google Scholar]
- 79.Yoon H, Kwon CI, Jeong S, Lee TH, Han JH, Song TJ, et al. Clinical significance of biliary dilatation and cholelithiasis after subtotal gastrectomy. Korean J Gastroenterol. 2015;66:33–40. doi: 10.4166/kjg.2015.66.1.33. [DOI] [PubMed] [Google Scholar]
- 80.Kobayashi T, Hisanaga M, Kanehiro H, Yamada Y, Ko S, Nakajima Y. Analysis of risk factors for the development of gallstones after gastrectomy. Br J Surg. 2005;92:1399–1403. doi: 10.1002/bjs.5117. [DOI] [PubMed] [Google Scholar]
- 81.Inoue K, Fuchigami A, Higashide S, Sumi S, Kogire M, Suzuki T, et al. Gallbladder sludge and stone formation in relation to contractile function after gastrectomy. A prospective study. Ann Surg. 1992;215:19–26. doi: 10.1097/00000658-199201000-00002. [DOI] [PMC free article] [PubMed] [Google Scholar]
- 82.Fukagawa T, Katai H, Saka M, Morita S, Sano T, Sasako M. Gallstone formation after gastric cancer surgery. J Gastrointest Surg. 2009;13:886–889. doi: 10.1007/s11605-009-0832-8. [DOI] [PubMed] [Google Scholar]
- 83.Liang TJ, Liu SI, Chen YC, Chang PM, Huang WC, Chang HT, et al. Analysis of gallstone disease after gastric cancer surgery. Gastric Cancer. 2017;20:895–903. doi: 10.1007/s10120-017-0698-5. [DOI] [PubMed] [Google Scholar]
- 84.Angrisani L, Santonicola A, Iovino P, Vitiello A, Higa K, Himpens J, et al. IFSO worldwide survey 2016: primary, endoluminal, and revisional procedures. Obes Surg. 2018;28:3783–3794. doi: 10.1007/s11695-018-3450-2. [DOI] [PubMed] [Google Scholar]
- 85.Angrisani L, Santonicola A, Iovino P, Formisano G, Buchwald H, Scopinaro N. Bariatric surgery worldwide 2013. Obes Surg. 2015;25:1822–1832. doi: 10.1007/s11695-015-1657-z. [DOI] [PubMed] [Google Scholar]
- 86.Sonavane SK, Menias CO, Kantawala KP, Shanbhogue AK, Prasad SR, Eagon JC, et al. Laparoscopic adjustable gastric banding: what radiologists need to know. Radiographics. 2012;32:1161–1178. doi: 10.1148/rg.324115177. [DOI] [PubMed] [Google Scholar]
- 87.Clayton RD, Carucci LR. Imaging following bariatric surgery: Roux-en-Y gastric bypass, laparoscopic adjustable gastric banding and sleeve gastrectomy. Br J Radiol. 2018;91:20180031. doi: 10.1259/bjr.20180031. [DOI] [PMC free article] [PubMed] [Google Scholar]
- 88.Suter M, Calmes JM, Paroz A, Giusti V. A 10-year experience with laparoscopic gastric banding for morbid obesity: high long-term complication and failure rates. Obes Surg. 2006;16:829–835. doi: 10.1381/096089206777822359. [DOI] [PubMed] [Google Scholar]
- 89.Peternac D, Hauser R, Weber M, Schöb O. The effects of laparoscopic adjustable gastric banding on the proximal pouch and the esophagus. Obes Surg. 2001;11:76–86. doi: 10.1381/096089201321454150. [DOI] [PubMed] [Google Scholar]
- 90.Lehnert B, Moshiri M, Osman S, Khandelwal S, Elojeimy S, Bhargava P, et al. Imaging of complications of common bariatric surgical procedures. Radiol Clin North Am. 2014;52:1071–1086. doi: 10.1016/j.rcl.2014.05.009. [DOI] [PubMed] [Google Scholar]
- 91.Mognol P, Chosidow D, Marmuse JP. Laparoscopic sleeve gastrectomy as an initial bariatric operation for high-risk patients: initial results in 10 patients. Obes Surg. 2005;15:1030–1033. doi: 10.1381/0960892054621242. [DOI] [PubMed] [Google Scholar]
- 92.Regan JP, Inabnet WB, Gagner M, Pomp A. Early experience with two-stage laparoscopic Roux-en-Y gastric bypass as an alternative in the super-super obese patient. Obes Surg. 2003;13:861–864. doi: 10.1381/096089203322618669. [DOI] [PubMed] [Google Scholar]
- 93.Benaiges D, Más-Lorenzo A, Goday A, Ramon JM, Chillarón JJ, Pedro-Botet J, et al. Laparoscopic sleeve gastrectomy: more than a restrictive bariatric surgery procedure? World J Gastroenterol. 2015;21:11804–11814. doi: 10.3748/wjg.v21.i41.11804. [DOI] [PMC free article] [PubMed] [Google Scholar]
- 94.Aurora AR, Khaitan L, Saber AA. Sleeve gastrectomy and the risk of leak: a systematic analysis of 4,888 patients. Surg Endosc. 2012;26:1509–1515. doi: 10.1007/s00464-011-2085-3. [DOI] [PubMed] [Google Scholar]
- 95.Burgos AM, Braghetto I, Csendes A, Maluenda F, Korn O, Yarmuch J, et al. Gastric leak after laparoscopic-sleeve gastrectomy for obesity. Obes Surg. 2009;19:1672–1677. doi: 10.1007/s11695-009-9884-9. [DOI] [PubMed] [Google Scholar]
- 96.Wahby M, Salama AF, Elezaby AF, Belgrami F, Abd Ellatif ME, El-Kaffas HF, et al. Is routine postoperative gastrografin study needed after laparoscopic sleeve gastrectomy? Experience of 712 cases. Obes Surg. 2013;23:1711–1171. doi: 10.1007/s11695-013-1013-0. [DOI] [PubMed] [Google Scholar]
- 97.Márquez MF, Ayza MF, Lozano RB, Morales M, Díez JMG, Poujoulet RB. Gastric leak after laparoscopic sleeve gastrectomy. Obes Surg. 2010;20:1306–1311. doi: 10.1007/s11695-010-0219-7. [DOI] [PubMed] [Google Scholar]
- 98.Sarkhosh K, Birch DW, Sharma A, Karmali S. Complications associated with laparoscopic sleeve gastrectomy for morbid obesity: a surgeon's guide. Can J Surg. 2013;56:347–352. doi: 10.1503/cjs.033511. [DOI] [PMC free article] [PubMed] [Google Scholar]
- 99.Deslauriers V, Beauchamp A, Garofalo F, Atlas H, Denis R, Garneau P, et al. Endoscopic management of post-laparoscopic sleeve gastrectomy stenosis. Surg Endosc. 2018;32:601–609. doi: 10.1007/s00464-017-5709-4. [DOI] [PubMed] [Google Scholar]
- 100.Wittgrove AC, Clark GW, Tremblay LJ. Laparoscopic gastric bypass, Roux-en-Y: preliminary report of five cases. Obes Surg. 1994;4:353–357. doi: 10.1381/096089294765558331. [DOI] [PubMed] [Google Scholar]
- 101.Quigley S, Colledge J, Mukherjee S, Patel K. Bariatric surgery: a review of normal postoperative anatomy and complications. Clin Radiol. 2011;66:903–914. doi: 10.1016/j.crad.2011.04.017. [DOI] [PubMed] [Google Scholar]
- 102.Carucci LR, Turner MA, Conklin RC, DeMaria EJ, Kellum JM, Sugerman HJ. Roux-en-Y gastric bypass surgery for morbid obesity: evaluation of postoperative extraluminal leaks with upper gastrointestinal series. Radiology. 2006;238:119–127. doi: 10.1148/radiol.2381041557. [DOI] [PubMed] [Google Scholar]
- 103.Vidarsson B, Sundbom M, Edholm D. Incidence and treatment of leak at the gastrojejunostomy in Roux-en-Y gastric bypass: a cohort study of 40,844 patients. Surg Obes Relat Dis. 2019;15:1075–1079. doi: 10.1016/j.soard.2019.04.033. [DOI] [PubMed] [Google Scholar]
- 104.Goudsmedt F, Deylgat B, Coenegrachts K, Van De Moortele K, Dillemans B. Internal hernia after laparoscopic Rouxen-Y gastric bypass: a correlation between radiological and operative findings. Obes Surg. 2015;25:622–627. doi: 10.1007/s11695-014-1433-5. [DOI] [PubMed] [Google Scholar]
- 105.Abasbassi M, Pottel H, Deylgat B, Vansteenkiste F, Van Rooy F, Devriendt D, et al. Small bowel obstruction after antecolic antegastric laparoscopic Roux-en-Y gastric bypass without division of small bowel mesentery: a single-centre, 7-year review. Obes Surg. 2011;21:1822–1827. doi: 10.1007/s11695-011-0462-6. [DOI] [PubMed] [Google Scholar]
- 106.Higa KD, Boone KB, Ho T. Complications of the laparoscopic Roux-en-Y gastric bypass: 1,040 patients--What have we learned? Obes Surg. 2000;10:509–513. doi: 10.1381/096089200321593706. [DOI] [PubMed] [Google Scholar]
- 107.Park HJ, Hong SS, Hwang J, Hur KY. Mini-gastric bypass to control morbid obesity and diabetes mellitus: what radiologists need to know. Korean J Radiol. 2015;16:325–333. doi: 10.3348/kjr.2015.16.2.325. [DOI] [PMC free article] [PubMed] [Google Scholar]



















