Abstract
Purpose
To examine the diagnosis and treatment of traumatic bronchial rupture in children at the Children’s Hospital of Chongqing Medical University, Chongqing, China.
Methods
The diagnosis and treatment of eight cases of traumatic bronchial rupture were analyzed retrospectively from January 2014 to December 2019 in our hospital.
Results
Diagnosis of the eight patients was clear after a chest CT with three-dimensional reconstruction techniques and fiberoptic bronchoscopy; six of the patients had a delay in diagnosis of at least 2 weeks. Among the patients, six had left bronchus rupture, and the other two had right bronchus rupture. All eight patients received surgery; seven patients received a bronchial end-to-end valgus anastomosis, and one received right middle lobe lobectomy. There were no deaths in this group, and all patients were cured and discharged. Follow-up was conducted for 3 months to 2 years; the patients who received surgery showed mild bronchostenosis within 2 weeks after the trauma, and the other six patients showed moderate bronchostenosis upon CT examination.
Conclusion
Being alert to bronchial rupture after trauma in children is helpful for diagnosis. Chest CT with three-dimensional reconstruction techniques and fiberoptic bronchoscopy are the most valuable diagnostic methods. The patients can show excellent results if the operation for a continuous valgus anastomosis of the posterior wall and interrupted end-to-end valgus anastomosis of the anterior wall on the ruptured side is performed in the early stage of traumatic bronchial rupture.
Keywords: Children, Chest trauma, Bronchial rupture, Diagnosis, Treatment
Introduction
Traumatic bronchial rupture in children is often caused by blunt chest trauma, which is rare in chest trauma. Because trauma in children is often combined with brain injury, abdominal organ injury, limb fracture and other complex injuries, the diagnosis of traumatic bronchial rupture in children is easily missed or delayed, resulting in different degrees of pulmonary infection and consolidation; in severe cases, lobectomy may be performed, or death may even result [1]. Early diagnosis and surgical treatment are beneficial to the prognosis of traumatic bronchial rupture in children. This article analyzes and summarizes the experience of the diagnosis and treatment of eight cases of traumatic bronchial rupture at the Children’s Hospital of Chongqing Medical University from January 2014 to December 2019, as reported below.
Materials and methods
General information
A total of eight cases of traumatic bronchial rupture in children were collected from January 2014 to December 2019 in the cardio-thoracic surgery ward of our hospital, involving five males and three females aged from 2.5 to 9.7 years with a median age of 6.5 years. All patients had a different trauma history, including traffic accident in four cases (the cases refer to pedestrians injured by vehicles), falls from heights in three cases (the height of falling in falls from heights is about 3~10 m), and object smashing injury in one case (object smashing injury means blunt injury to the chest caused by objects). Eight patients had a closed injury. The diagnosis time was 1–52 days after the injury (median time of 27.5 days). Two cases were admitted to our hospital for emergency treatment, whereas six cases were treated at the beginning of the trauma in a local hospital and then transferred to our hospital for treatment due to chest tightness, shortness of breath and atelectasis (with a time from the injury of more than 2 weeks). All patients had reduced or absent breath sounds on physical examination, and 4 of them reported a twisting sensation under the skin of the neck and chest. All patients received chest radiographs, chest CT with three-dimensional reconstruction techniques and fiberoptic bronchoscopy.
Treatment
Four patients received thoracic closed drainage in the early stage, and one patient received endotracheal intubation and ventilator-assisted ventilation due to dyspnea. The patient was in the lateral position during the operation. The posterior lateral incision of the lesion side was selected, and the chest was entered from the 4th intercostal space. After the chest was entered, the inferior lung ligament was first cut off. Patients in emergency surgery were given healthy-side single-lung ventilation immediately after anesthesia. In cases of delayed surgery, there were granulation growth and local bronchial lumen occlusion in the bronchial stump, so anesthesia began with two-lung ventilation, and then the anesthesiologists inserted a fiber bronchoscope through the tracheal tube into the ruptured upper end of the bronchus on the lesion side. The surgeons searched for the upper broken end of the bronchus according to the light from fibrobronchoscopy. After freeing the upper end of the bronchus, the tracheal tube was inserted into the healthy bronchus under the guidance of the fiber bronchoscope and changed to single-lung ventilation. The surgeons continued to search for the ruptured lower end of the bronchus around the hilum and aspirated the yellow transparent jelly-like secretion in the distal bronchus. The right middle lobe of one patient was resected due to severe bronchial fragmentation, an unclear tissue structure and infection, and the other seven cases were treated by trimming the ruptured end of the bronchus (the bronchus was trimmed by less than 1 cm at each end). Continuous valgus anastomosis of the posterior wall and interrupted end-to-end valgus anastomosis of the anterior wall at the ruptured side were performed with a 5–0 PDS line or 4–0 Dacron line (Fig. 1). The distance between the needles was 1.5–2 mm. To prevent tracheo-pleural fistula, part of the pleura was freed to cover the anastomosis. After bronchial anastomosis, the bronchial tubes needed to be lavaged, and the lung needed to be expanded. Fibrobronchial lavage treatment was repeated for those with postoperative atelectasis.
Fig. 1.

Continuous valgus anastomosis of the posterior wall and interrupted end-to-end valgus anastomosis of the anterior wall at the ruptured side of the bronchus
Results
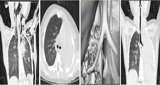
After admission to our hospital, interruption of the bronchus and atelectasis of the diseased side was found in eight patients by chest CT with three-dimensional reconstruction (Fig. 2). Interruption of the bronchus was found in all cases by fiberoptic bronchoscopy (Fig. 3). There were six cases of left main bronchus rupture, one case of right main bronchus rupture and one case of right middle bronchus rupture in the group. Injuries other than those involving the bronchi and lungs included six cases of rib fracture, two cases of limb fracture, two cases of abdominal closed injury, two cases of craniocerebral injury, one case of clavicular fracture, and one case of spinal injury.
Fig. 2.
Preoperative CT image
Fig. 3.
Fiberoptic bronchoscopy images before and after operation
In this group, the time from trauma to diagnosis was 1–52 days (median time 27.5 days). Four cases (50%) were type I bronchial rupture, and four cases (50%) were type II bronchial rupture. One case was treated by an emergency operation. Another case was not treated with emergency bronchial rupture surgery due to another serious comorbid injury, and bronchial rupture surgery was performed 1 week after the condition stabilized. The rest performed bronchial rupture surgery at least 2 weeks after trauma. The distance between the bronchial stump and the trachea carina in all patients was approximately 2 cm. The postoperative ventilator-assisted breathing time was 8.5–129.4 h (median time: 101.4 h). There was no bronchopleural fistula after the operation. Seven patients received bronchial end-to-end valgus anastomosis, and one received right middle lobe lobectomy. There were no deaths in this group, and all patients were cured and discharged. Follow-up was conducted for 3 months to 2 years, and the patients subjected to the operation showed mild bronchostenosis within 2 weeks after trauma upon CT examination. The other six cases showed moderate bronchostenosis (Fig. 4), and they were followed-up for observation.
Fig. 4.
Postoperative CT images
Discussion
Etiology and pathogenesis of traumatic bronchial rupture in children
Children are naturally active, curious, playful, and less vigilant in avoiding accidental injuries. A child’s behavior may be a causative factor, other factors are that drivers are careless when driving on the road and adults’ supervision is not in place. Thus, children are relatively vulnerable to accidental trauma. The primary cause of traumatic bronchial rupture of the children in our center was traffic accident injury, accounting for 50% of cases, and fall injury was the second cause of injury, accounting for 37.5% of cases, which is consistent with other reports [2].
The possible mechanisms of traumatic bronchial rupture in children are as follows [3–6]. (1) Physiological explanation: the cricoid cartilage and tracheal carina are fixed anatomically, whereas the two lungs hang from both sides; when the chest is compressed by front and back pressure, the lungs are pressed to both sides, and the two bronchi near the carina produce shear force, leading to bronchial rupture. (2) Pressure-related explanation: when the chest wall is squeezed suddenly, the glottic reflex is closed, the thorax shrinks, and the internal pressure of the bronchus increases sharply. If the pressure exceeds the tolerance limit of the bronchus, the bronchus ruptures. The bronchus walls are weak in children, who often hold their breath at the moment they are injured due to startling; this can increase the airway pressure and the relative movement of the bronchus and lung, which is a special feature of traumatic bronchus rupture in children.
Diagnosis of traumatic bronchial rupture in children
The clinical manifestations of bronchial rupture include cough, dyspnea, hemoptysis, voice changes and subcutaneous emphysema of the neck and chest [7]. A small number of patients do not receive timely diagnosis and treatment, and they may die within a short period of time. When a large amount of gas compresses the trachea and mediastinum, it can lead to an increase in airway pressure, dyspnea, blood pressure drop, and urine volume reduction [8]; when these fatal complications occur, emergency chest closure and drainage, incision and drainage of subcutaneous emphysema are important treatments. Some patients may also present ongoing air leak after placement of a chest tube or failure to expand the lung with a chest tube, if the patients’ oxygen saturation cannot be maintained, they need emergency bronchosurgery, or they will be life threatening. Fortunately, the cases are rare because there is secretion blocking the rupture of the bronchus, and tension pneumothorax is not easy to occur. Clinically, there are two types of bronchial ruptures: type I, where the bronchus rupture is connected to the pleural cavity and tension pneumothorax and hemothorax are the main manifestations; and type II, where the rupture of the bronchus opening is not connected with the pleural cavity, pneumothorax is not obvious, and the main manifestation is mediastinal emphysema.
The clinical manifestations and life-threatening risks of traumatic bronchial rupture in children are often not as serious as those in adults and are less common than those in adults [9]. Therefore, the diagnosis of most cases of traumatic bronchial rupture in children is easily delayed. The diagnosis time of the injuries in this group was 1–52 days. Except for two children who were admitted to our hospital in an emergency and received early diagnosis, the diagnosis of the remaining six children was delayed. The possible reasons for the delayed diagnosis of the children in this group are as follows: (1) the health system in western China is underdeveloped. Emergency chest CT examination after trauma does not necessarily show bronchial interruption and lung consolidation. The knowledge of bronchial rupture of medical staff is also relatively inadequate. (2) The condition of the acute stage of trauma is unstable; thus, it is not suitable for fiberoptic bronchoscopy. (3) The clinical manifestations of traumatic bronchial rupture in children are mostly mild shortness of breath, if the child’s condition is complicated by other organ damage, bronchial rupture is more likely to be ignored [10–14]. Therefore, to avoid missed diagnosis and delayed diagnosis, it is necessary to be aware of the occurrence of traumatic bronchial rupture in children after trauma, shortness of breath or dyspnea, subcutaneous emphysema of neck and chest, tension pneumothorax, and a persistent large amount of air leakage after closed drainage of the chest [15]. For the children suspected of bronchial rupture, targeted auxiliary examination should be performed with the following methods: (1) Chest X-ray examination, which can show mediastinal emphysema, neck subcutaneous emphysema, pneumothorax or hydropneuma. (2) Chest CT with three-dimensional reconstruction, which can directly show the interruption of the bronchus, pneumothorax, pleural effusion, pulmonary contusion and laceration and other combined injuries and determine the location of the bronchus rupture. Eight patients in our center underwent imaging of the bronchus rupture through chest CT with three-dimensional reconstruction; hence, we recommend it as the first choice for suspected diagnosis of bronchus rupture in children. (3) Fiberoptic bronchoscopy, which can be performed in hospitals in children where conditions permit. It can be used to determine the extent, location, local wall inflammation and granulation growth of the ruptured bronchus [2]. It can also play a guiding role in laser treatment and liquid nitrogen freezing to remove scar tissue.
Treatment of traumatic bronchial rupture in children
As with adults with traumatic bronchial rupture, children should be treated as early as possible after diagnosis of bronchial rupture [9]. Early surgery can quickly restore the continuity of the bronchus and terminate the pneumothorax, mediastinal emphysema and secondary pulmonary infection caused by bronchial rupture, reduce granulation of tissue in the bronchi, and even reduce lung consolidation, endo-bronchial dilation and other pathological conditions. For children with bronchial rupture who have a delayed diagnosis for more than 2 weeks, if there is lung infection such as expectoration and fever, anti-infection and supportive treatment can be used first, and surgery should be arranged after the infection is controlled as much as possible.
The purpose of the operation is to restore the continuity of the bronchus, to preserve the lung tissue as much as possible and to restore the lung function. The patient was in the lateral position during the operation, and the posterior lateral incision of the lesion side was selected for entering the chest from the 4th intercostal space. After the chest was entered, the inferior lung ligament was first removed. For early operation cases, because of the fresh wound, slight inflammation, and clear anatomy of the mediastinum and pulmonary hilum, one-lung ventilation was given at the beginning of anesthesia to avoid air leakage of the bronchial fissure, and it was convenient for the surgeons to operate. For cases of delayed surgery, bronchial stumps are often closed due to inflammation of the hilum and mediastinum and granulation tissue proliferation; thus, it is often difficult to find bronchial stumps during surgery. Anesthesia began with two-lung ventilation, and then the anesthesiologists inserted the fiber bronchoscope through the tracheal tube to the upper broken end of the bronchus on the lesion side. The surgeons searched for the upper broken end of the bronchus according to the light from fibrobronchoscopy. After freeing the upper end of the bronchus, the tracheal tube was inserted into the healthy bronchus under the guidance of the fiber bronchoscope, changing to one-lung ventilation. The surgeons continued to find the lower broken end of the bronchus around the hilum and sucked up the yellow transparent jelly-like secretion in the distal bronchus. Intraoperative bronchial stumps should be trimmed according to the situation, or the granulation tissue of the stump hyperplasia should be removed; however, the free bronchus should not be too much. It should not exceed 1 cm at each end so as not to affect the blood supply of the bronchial wall after anastomosis [16]. There are three approaches to bronchial end-to-end anastomosis: a full-thickness interrupted suture, partially continuous–partially interrupted suture, and full-thickness continuous suture. Because the full-thickness interrupted sutures require for more time and the full-thickness continuous sutures can cause more airway scar stenosis, we recommend continuous valgus anastomosis of the posterior wall and interrupted end-to-end valgus anastomosis of the anterior wall to reduce the operation time, reduce the stenosis of the bronchus and facilitate the healing of the bronchus. For patients with severe bronchial fragmentation and no reconstruction or with a long time between the operation and the trauma (more than 3–6 months) or whose lungs still cannot be dilated after the bronchial anastomosis, lobectomy may be performed, but total pneumonectomy should be avoided as much as possible [15]. The right middle lobe of one patient in the group was resected due to severe bronchial fragmentation, unclear tissue structure and infection. Patients with atelectasis and endo-bronchial dilation found in the postoperative chest imaging should be treated with bronchofiberscope lavage. If the growth of the granulation tissue of the anastomotic mouth leads to the restenosis of the bronchus, an interventional treatment such as laser, freezing or stent can be performed, and lobectomy or pneumonectomy on the affected side can be performed if necessary [5, 17]. Some studies have found that delaying operation for 2 months can lead to the decline of lung function and airway stenosis, which indicates the necessity and importance of early surgery. Because the lung tissue can be fully reopened in early surgery, less scars are formed in the bronchus, and the adhesion is light, it is easy to repair the bronchus; there is no infection in the lung and less secretion, and complications do not easily occur after operation. It is difficult to reconstruct the bronchus in patients with delayed diagnosis because of lung collapse for a long time or infection and the large amount of granulation tissue in the lesion. Even if the reconstruction of the bronchus is successful, the lung tissue still exhibits consolidation, endo-bronchial dilation, and the lung function still decreases; sometimes lobectomy must be performed [18]. However, it has also been reported that the death rate of emergency operation for traumatic bronchial rupture is 11.8%, and the causes of death are cardiac arrest and brain hypoxia, whereas no deaths have occurred in the delayed operation group [2].
In summary, although traumatic bronchial rupture is rare in trauma in children, attention needs to be paid to the diagnosis and treatment of childhood trauma cases so as not to delay the diagnosis. Chest CT with three-dimensional reconstruction techniques and fiberoptic bronchoscopy are effective auxiliary examinations to determine bronchial rupture. The bronchial rupture patients receive closed chest drainage and anti-infection and supportive treatment during the perioperative period; active preoperative preparation can be done as early as possible but not necessarily for emergency surgery. We recommend operation within 2 weeks after trauma. The first choice of operation is continuous valgus anastomosis of the posterior wall and interrupted end-to-end valgus anastomosis of the anterior wall at the ruptured side. Multidisciplinary joint diagnosis and treatment, combined with perioperative examination and lavage using fibrobronchoscopy or respiratory interventional therapy, in children with traumatic bronchial rupture can achieve good results.
Acknowledgements
We thank Prof Chun Wu for providing technical assistance during operation.
Author contributions
Study conception and design: JD; data acquisition: HL; analysis and data interpretation: QW, ZP, YW; drafting of the manuscript: JD and YL; critical revision: CW; final approval of the version to be published: JD.
Compliance with ethical standards
Conflict of interest
No benefits in any form have been received or will be received from a commercial party related directly or indirectly to the subject of this article.
Research involving human participants and/or animals
For retrospective studies, ethical approval is waived by Institutional Review Board of Children’s Hospital of Chongqing Medical University. This article does not contain any studies with human participants performed by any of the authors.
Informed consent
Informed consent is obtained from all individual participants included in the study.
Footnotes
Publisher's Note
Springer Nature remains neutral with regard to jurisdictional claims in published maps and institutional affiliations.
Yonggang Li and Gang Wang are co-first authors.
References
- 1.Natale C, De Lesquen H, Beranger F, et al. Blunt bronchial injuries: a challenging issue. Injury Extra. 2014;45(3):22–24. doi: 10.1016/j.injury.2014.01.006. [DOI] [Google Scholar]
- 2.Gwely NN. Blunt traumatic bronchial rupture in patients younger than 18 years. Asian Cardiovasc Thorac Ann. 2009;17(6):598–603. doi: 10.1177/0218492309349067. [DOI] [PubMed] [Google Scholar]
- 3.Fabia RB, Arthur LG, Phillips A, et al. Complete bilateral tracheo-bronchial disruption in a child with blunt chest trauma. J Trauma. 2009;66(5):1478–1481. doi: 10.1097/TA.0b013e3180340e4e. [DOI] [PubMed] [Google Scholar]
- 4.Kiser AC, O'Brien SM, Detterbeck FC. Blunt tracheobronchial injuries: treatment and outcomes. Ann Thorac Surg. 2001;71(6):2059–2065. doi: 10.1016/S0003-4975(00)02453-X. [DOI] [PubMed] [Google Scholar]
- 5.Porro GA, Roche CD, Banderker E, et al. Bronchial rupture in ayoung child: a case report. Injury Extra. 2014;45(3):25–27. doi: 10.1016/j.injury.2014.01.009. [DOI] [Google Scholar]
- 6.Boubia J, Fouraiji K. Elkari i, tracheobronchial rupture in childhood. Arch Pediatr. 2010;17(7):1059–1061. doi: 10.1016/j.arcped.2010.03.004. [DOI] [PubMed] [Google Scholar]
- 7.Stannard K, Wells J, Cokis C. Tracheal rupture following endotracheal intubation. Anaesth Intensive Care. 2003;31(5):588–591. doi: 10.1177/0310057X0303100518. [DOI] [PubMed] [Google Scholar]
- 8.Gries CJ, Pierson DJ. Tracheal rupturere sulting in life threatening subcutaneous emphysema. Respir Care. 2007;52(2):191–195. [PubMed] [Google Scholar]
- 9.Kaptanoglu M, Dogan K, Nadir A, et al. Tracheobronchial rupture: a considerable risk for young teenagers. Int J Pediatr Otorhinolaryngol. 2002;62(2):123–128. doi: 10.1016/S0165-5876(01)00600-0. [DOI] [PubMed] [Google Scholar]
- 10.Epelman M, Ofer A, Klein Y, et al. CT diagnosis of traumatic bronchial rupture in children. Pediatr Radiol. 2002;32(12):888–891. doi: 10.1007/s00247-002-0738-z. [DOI] [PubMed] [Google Scholar]
- 11.Ventura AM, Góes PF, Otoch JP, et al. Traumatic airway disruption in a child: a diagnostic challenge. J Pediatr (Rio J) 2005;81(2):179–182. doi: 10.2223/1326. [DOI] [PubMed] [Google Scholar]
- 12.Suksompong S, Chongkolwatana C, Thongcharoen P, et al. Delayed diagnosis and treatment of complete tracheal rupture and dens fracture: anaesthetic and surgical management. Injury Extra. 2011;42(12):198–200. doi: 10.1016/j.injury.2011.08.017. [DOI] [Google Scholar]
- 13.Xie D, Jiang G, Xie B. Delayed tracheal rupture presenting ashoarseness. Asian Cardiovasc Thorac Ann. 2015;23(2):230. doi: 10.1177/0218492313513781. [DOI] [PubMed] [Google Scholar]
- 14.Demondion P, Fabre D, Herve P, et al. Posttraumatic main left bronchial rupture. Ann Thorac Surg. 2014;97(1):e25. doi: 10.1016/j.athoracsur.2013.08.070. [DOI] [PubMed] [Google Scholar]
- 15.Mimura T, Miyata Y, Tsutani Y, et al. Complete transection of the left main bronchus caused by blunt thoracic trauma in a child treated by bronchoplasty and lung parenchyma preservation. Gen Thorac Cardiovasc Surg. 2016;64(2):113–115. doi: 10.1007/s11748-014-0448-0. [DOI] [PubMed] [Google Scholar]
- 16.Kaloud H, Smolle-Juettner FM, Prause G, et al. Iatrogenic ruptures of the tracheobronchial tree. Chest. 1997;112(3):774–778. doi: 10.1378/chest.112.3.774. [DOI] [PubMed] [Google Scholar]
- 17.Sanli M, Isik AF, Tuncozgur B, et al. Successful repair in a child with traumatic complex bronchial rupture. Pediatr Surg Int. 2010;52(1):e26–28. doi: 10.1111/j.1442-200X.2009.03000.x. [DOI] [PubMed] [Google Scholar]
- 18.Ballouhey Q, Fesseau R, Benouaich V, et al. Management of blunt tracheobronchial trauma in the pediatric age group. Eur J Trauma Emerg Surg. 2013;39(2):167–171. doi: 10.1007/s00068-012-0248-0. [DOI] [PubMed] [Google Scholar]



