Abstract
Objectives
IL17 is a critical pro-inflammatory cytokine that is involved in inflammation, multidrug resistance and growth persistence pathways in cancer. This study is aiming at studying the expression of IL17 and hormonal receptors expression in benign and malignant breast lesions using immunohistochemical staining methods.
Results
A total of 137 cases of breast lesions were studied, 97 (70.8%) were malignant and 40 (29.2%) were benign cases. Age range for malignant and benign cases were between 26 and 80 years [mean age 50 ± 2 years], and 20 to 70 years [mean age 41 ± 4 years], respectively, Odds ratio = 2.3 [1.78–1.99, 95% CI]. The majority of the histopathological diagnosis of the benign and malignant lesions were 21 (15.3%) fibro-adenomas and 87 (63.5%) invasive ductal carcinoma, respectively. Expression of IL17 and age were insignificantly negatively correlated for both groups; benign cases [r = − 0.054, P value 0.742] and malignant cases [r = − 0.080, P value 0.444]. IL17 expression was showing insignificant association with age group, P value 0.065. IL17 expression showed a statistical significance based on the different histopathological diagnosis, P value 0.035. Expression levels of estrogen, progesterone, and human epidermal receptors were showing insignificant difference among IL17 expression categories, P values 0.678, 0.623, and 0.361, respectively.
Keywords: Interleukin-17, Immunohistochemistry, Breast lesions, Breast cancer
Introduction
Breast cancer (BC) is one of the global prevalent malignancies among females [1]. According to 2019 cancer statistics, the incidence of BC is surprisingly increasing compared to earlier reports in 2018. Not surprisingly, the rate of mortality is very high in the African developing countries owing to socioeconomic factors [2]. Importantly, the majority of women in these countries were diagnosed at late stages of the disease that ominously, has been metastasized [2]. In a previous study, among 120 patients diagnosed with benign lesion and were followed up for almost 20 years, 34% of all palpable lesions were found to be malignant tumors followed by fibro-adenoma (28%), fibrocystic diseases (11%), inflammatory changes (11%), and other phylloid tumors and lactation changes (6%) [3]. According to the WHO there are several features in present in the benign lesions that are well known as pre-cancerous signs [4].
Metastasis and drug resistance constitute important problems in BC management and survival as well [5]. Lately, studies investigated the role of cytokines expression among both benign and malignant cancer patients, their finding was quite unique to further investigate the role of cytokines expression to understand the invasion mechanism, then as diagnostic and prognostic markers for cancer development [6, 7].
Recently, cytokines and other ligands of immune system have been reported as instrumental factors in tumor microenvironment, and many of them are considered as prognostic and therapeutic targets in cancer [8, 9]. Basically, Interleukin-17 (IL17) is one of these important mediators which have strong potential mechanism to induce inflammation by enhancing neutrophil migration, angiogenesis, and matrix metalloproteinase production [10–12]. Furthermore, IL17 can induce other important signaling pathways in tumor cell itself such as Kras and epithelial-mesenchymal transition which were reported as imperative pathways in cancer growth and metastasis [12–14]. IL17 was also involved by triggering several pathways in tumor that lead to growth persistence against cancer therapy [15].
Status of steroid and growth factor receptors expression such as Estrogen Receptor (ER), Progesterone Receptor (PR), and Hunan Epidermal Receptor-2 (HER2) play a key role in term of diagnosis and treatment of BC [16–18], since IL17 is directly related to production of steroid hormones and growth factors [9, 19, 20]. Consequently, the production of IL17 in tumor microenvironment suggested to play other significant clinical roles in BC development [9, 19, 20]. Previous facts indicate a crucial role of IL17 in cancer initiation, prognosis and treatment. Therefore, giving great interest to study its expression in benign and malignant breast lesions and with this background our current study is aiming at studying the expression of IL17 and hormonal expression in benign and malignant breast lesions using Immunohistochemical staining Methods (IHC).
Main text
Materials and methods
Study design and sample collection
A descriptive cross-sectional hospital-based study conducted in National Central Khartoum Lab between 2017 and 2018. Simple random sampling method has been done; to collect Archival paraffin blocks from 127 female patients diagnosed with any type of breast lesion. Patients’ age and diagnosis were obtained from hospital’s record. Cancer grade and immunohistochemical expression of ER, PR, and HER2 for malignant cases were also obtained from the records which are done according to automated Ventana Benchmark XT system. ER and PR were graded using Allred scoring system [21]. HER2 was evaluated based on the membranous staining intensity according to Wolff et al., 2007 [22].
Paraffin sections preparation and Immunohistochemical Technique
One paraffin sections of 3–5 micrometers thickness was cut for IHC staining using rotary microtome. Immunohistochemical expression of IL17 was detected according to manufacturer instructions using the commercially available kit Mouse and Rabbit specific HRP/DAB Detection kit (ab64264, Abcam, Cambridge, UK). Briefly, tissue sections were de-waxed by xylene and rehydrated through gradients ethanol into water. For antigen retrieval, sections were heated in Citrate buffer (pH 6.0) for 20 min at 95 °C and quenched for endogenous peroxidase activity using 3% H2O2 in methyl alcohol. Sections were then washed in phosphate buffer saline (PBS) and the nonspecific binding of protein and antibody was blocked using protein block, then protein block was blotted off. Sections were incubated overnight at 4 °C with primary antibody against IL17 (ab136668) at 1:100 dilution, after adjustment of the dilution and incubation period by using tonsil as a positive control for this antigen. After that, sections were washed with PBS then incubated with biotinylated secondary antibody. After several proper washes with washing buffer, the color was developed using HRP/DAP kit. Sections were lightly counterstained with hematoxylin and blued by running tap water, followed by dehydration and mounting in DPX.
Immunohistochemical scoring system
The cytoplasmic staining scoring for IL17 in all tissue sections was performed semi-quantitatively based on the overall intensity of staining on the cytoplasm by two different pathologists into no expression, mild expression, moderate expression, and strong expression, according to the overall percentage of stained cells; no cells express the IL17, 10–30% of cells express IL17, 40–60% of cells express IL17, 60–80% of cells express IL17, and > 80% of the cells express IL17, respectively.
Statistical analysis
Data were analysed using the Statistical Package for Social Science (SPSS, v16). Chi Square test was used to analyze different categories a P value of < 0.05 was considered statistically significant. Pearson correlation of IL17 expression in regards to age of cases and hormonal receptors expression besides Odds ratios were also calculated.
Results
Patients demographics and sample categorization
The present study included 137 cases of breast lesions. Their age ranged between 20 and 80 years [mean age of 47 ± 2 years]. Notably, the age group 41 to 60 years constituted the majority of studied population; 85 (62.0%). When categorizing the breast lesions-based malignancy, a total of 97 (70.8%) were malignant and 40 (29.2%) were benign. The malignant cases their age ranged between 26 and 80 years [mean of 50 ± 2 years], whereas, the benign cases their age ranged between 20 and 70 years [mean age of 41 ± 4 years], Odds ratio = 2.3 [1.78–1.99, 95% CI].
The benign cases based on the histopathological diagnosis included; fibro-adenomas (FA) which constituted the vast majority of the benign lesions 21 (15.3%), followed by duct ectasia (DE) 11 (8.0%), fibrocystic change (FC) 4 (2.9%), lipoma 2 (1.5%), and benign phyllodes tumor (PTS) 2 (1.5%). While the malignant cases included 87 (63.5%) cases reported as invasive ductal carcinoma (IDC), 7 (5.1%) cases were invasive lobular carcinoma (ILC) and 3 (2.2%) cases were intraductal carcinoma in situ (IDCS). The type of breast lesion was statistically significant with age group, P value 0.003 as well, classification based on the histopathological examination was showing significant association when grouped according to age group, P value 0.000.
IL17 immunohistochemical expression
The expression of IL17 and age of cases were insignificantly negatively correlated for both groups; benign cases [r = − 0.054, P value 0.742] and malignant cases [r = − 0.080, P value 0.444]. The levels of IL17 expression among cases aged between 41 and 60 years, more than 60 years, and between 21 and 40 years were 29.4% strong, 47.1% moderate, and 16.7% mild, respectively. IL17 expression was showing insignificant association when categorized based on age groups, P value 0.065.
IL17 expressed in 63/97 (64.9%) of the malignant cases and 17 (42.5%) of the benign cases. Mild expression of IL17 was noted among 22 (22.7%) of the malignant cases, while moderate expression was recorded among 10 (25.0%) of the benign cases and 15 (15.5%) of the malignant cases. Whereas benign and malignant cases recorded to show strong IL17 expression were 7 (17.5%) and 26 (26.8%), respectively (Fig. 1). A statistical significance was noted for the different expression categories among the benign and malignant cases, P value 0.002.
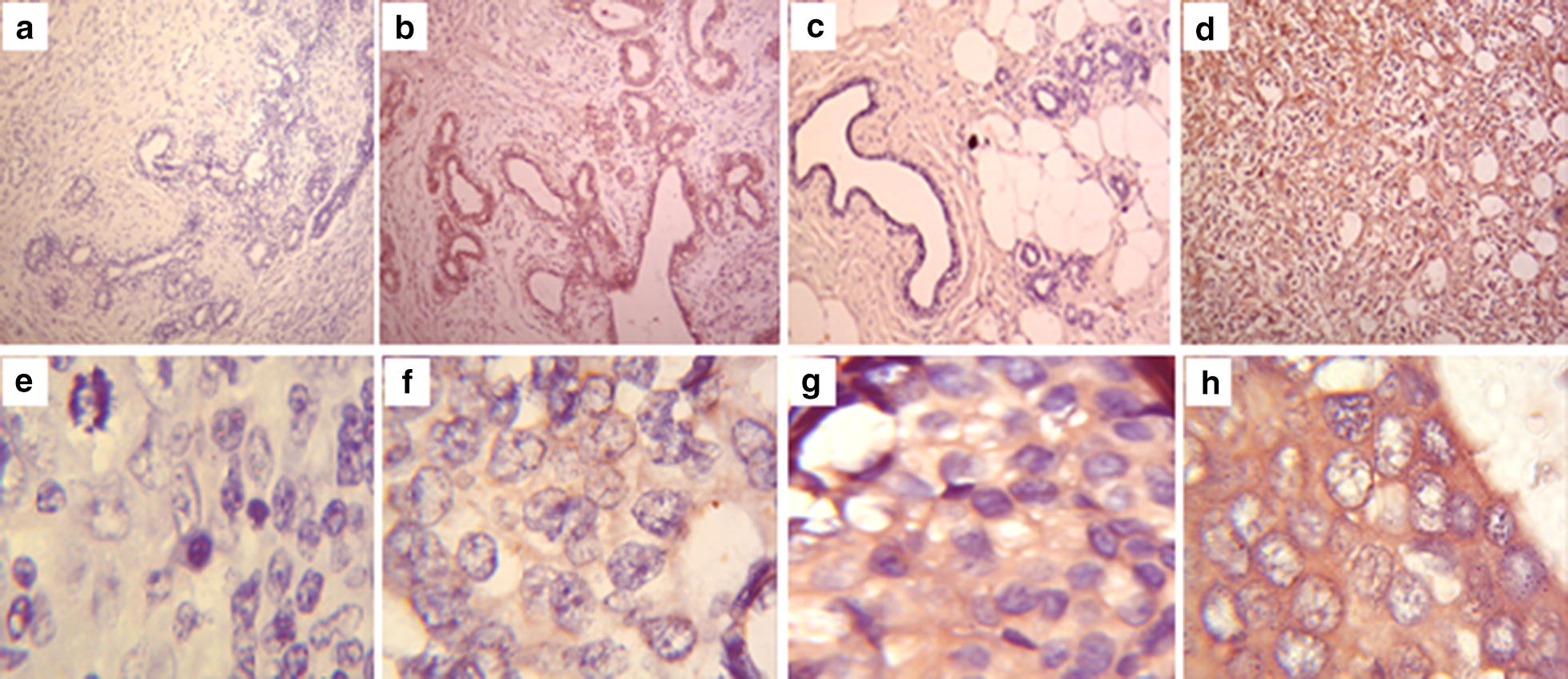
Fig. 1.

Immunohistochemical expression of IL17 in malignant and benign tissues. Sections stained with Mayer’s hematoxylin-DAP peroxidase. Microscopic magnification ×10; a negative benign FA section, b positive benign FA section, c negative malignant IDC section, and d positive malignant IDC section. Microscopic magnification ×40; e negative malignant IDC section, f mild positive malignant IDC section, g moderately positive malignant IDC section, h strongly positive malignant IDC section
A strong expression of IL17 in malignant tissue sections was 28.7% among DC cases and 33.3% in IDC cases. For ILC cases, mild and moderate expression of IL17 was 28.6% for each. However, among the benign cases, DE and FA were mostly showing moderate expression; 36.4% and 28.6%, respectively. While PTS and FC were showing strong expression; 100% and 50.0%, correspondingly. Benign cases which diagnosed histopathologically as lipoma did not showed any expression of IL17.
IL17 expression showed a statistical significance based on the different histopathological diagnosis, P value 0.035. With respect to hormonal receptors expression, the expression levels of ER, PR, and HER2 were showing insignificant difference among the different IL17 expression categories, P values 0.678, 0.623, and 0.361, respectively. The results of IL17 expression based on age groups, tumor type, histopathological diagnosis and hormonal receptors were illustrated in Table 1.
Table 1.
Relationship of different variables in study population with IL17 expression
| IL17 expression | Total (n = 137) | P value | ||||
|---|---|---|---|---|---|---|
| No expression | Mild | Moderate | Strong | |||
| Age group | ||||||
| Not more than 20 | 1 (100%) | 0 (0.0%) | 0 (0.0%) | 0 (0.0%) | 1 (0.7%) | 0.065 |
| 21 to 40 years | 13 (43.3%) | 5 (16.7%) | 7 (23.3%) | 5 (16.7%) | 30 (21.9%) | |
| 41 to 60 years | 38 (44.7%) | 13 (15.3%) | 9 (10.6%) | 25 (29.4%) | 85 (62.0%) | |
| Above 60 years | 5 (29.4%) | 2 (11.8%) | 8 (47.1%) | 2 (11.8%) | 17 (12.4%) | |
| Tumor type | ||||||
| Benign | 23 (57.5%) | 0 (0.0%) | 10 (25.0%) | 7 (17.5%) | 40 (29.2%) | 0.002 |
| Malignant | 34 (34.1%) | 22 (22.7%) | 15 (15.5%) | 26 (26.8%) | 97 (70.8%) | |
| Diagnosis of breast lesion | ||||||
| IDC | 30 (34.5%) | 19 (21.8%) | 13 (14.9%) | 25 (28.7%) | 87 (63.5%) | 0.035 |
| DE | 7 (63.6%) | 0 (0.0%) | 4 (36.4%) | 0 (0.0%) | 11 (8.0%) | |
| FA | 12 (57.1%) | 0 (0.0%) | 6 (28.6%) | 3 (14.3%) | 21 (15.3%) | |
| FC | 2 (50.0%) | 0 (0.0%) | 0 (0.0%) | 2 (50.0%) | 4 (2.9%) | |
| IDCS | 2 (66.7%) | 1 (33.3%) | 0 (0.0%) | 0 (0.0%) | 3 (2.2%) | |
| ILC | 2 (28.6%) | 2 (28.6%) | 2 (28.6%) | 1 (14.3%) | 7 (5.1%) | |
| Lipoma | 2 (100%) | 0 (0.0%) | 0 (0.0%) | 0 (0.0%) | 2 (1.5%) | |
| PTS | 0 (0.0%) | 0 (0.0%) | 0 (0.0%) | 2 (100%) | 2 (1.5%) | |
| ER | ||||||
| Mild | 10 (37.0%) | 7 (25.9%) | 3 (11.1%) | 7 (25.9%) | 27 (19.7%) | 0.678 |
| Moderate | 3 (21.4%) | 4 (28.6%) | 4 (28.6%) | 3 (21.4%) | 14 (10.2%) | |
| Strong | 5 (29.4%) | 5 (29.4%) | 1 (5.9%) | 6 (35.3%) | 17 (12.4%) | |
| No expression | 16 (41.0%) | 6 (15.4%) | 7 (17.9%) | 10 (25.6%) | 39 (28.5%) | |
| PR | ||||||
| Mild | 9 (37.5%) | 6 (25.0%) | 3 (12.5%) | 6 (25.0%) | 24 (17.5%) | 0.623 |
| Moderate | 3 (30.0%) | 3 (30.0%) | 1 (10.0%) | 3 (30.0%) | 10 (7.3%) | |
| Strong | 1 (8.3%) | 3 (25.0%) | 2 (16.7%) | 6 (50.0%) | 12 (8.8%) | |
| No expression | 21 (41.2%) | 10 (19.6%) | 9 (17.6%) | 11 (21.6%) | 51 (37.2%) | |
| HER2 | ||||||
| Mild | 7 (35.0%) | 7 (35.0%) | 0 (0.0%) | 6 (30.0%) | 20 (14.6%) | 0.361 |
| Moderate | 7 (46.7%) | 2 (13.3%) | 3 (20.0%) | 3 (20.0%) | 15 (10.9%) | |
| Strong | 8 (33.3%) | 3 (12.5%) | 4 (16.7%) | 9 (37.5%) | 24 (17.5%) | |
| No expression | 12 (31.6%) | 10 (26.3%) | 8 (21.1%) | 8 (21.1%) | 38 (27.7%) | |
ER estrogen receptor, PR progesterone receptor, HER2 Human epidermal receptor-2
Concerning the correlation of ER, PR, and HER2 expression and IL17 expression in the breast lesions, no statistically significance correlation was shown for these receptors and IL17 expression (Table 2).
Table 2.
The correlation of estrogen receptor, progesterone receptor, and Human epidermal receptor-2 expression with IL17 expression in the breast lesions
| Pearson’s r | P value | 95% CI [Lower bound–upper bound] | |
|---|---|---|---|
| Estrogen receptor | − 0.001 | 0.993 | 2.70 [1.44–3.96] |
| Progesterone receptor | − 0.024 | 0.813 | 2.93 [1.65–4.21] |
| Human epidermal receptor-2 | 0.043 | 0.679 | 2.83 [1.66–3.98] |
Discussion
Pro-inflammatory cytokines play a key role in cancer microenvironment and were associated with bad prognosis in breast cancer [7–9]. The current study has described the expression of IL17 in different subsets of benign and malignant lesions of the breast. Notably, malignant cases had strong positive expression in both number of cells and intensity of the reaction when compared with the benign ones. These findings were consistent with previous exhaustive studies pointing that IL17 is more associated with malignant breast lesions [23–25]. The variation in the staining patterns between IDC and IDCS found in this study can be useful in differentiation between the two BC classes. IDC can show moderate and strong expression of IL17 compared to IDCS. These patterns variation might be attributed to the high numbers of infiltrating IL17-producing cells in IDC [9]. Similar results were also stated in malignant and benign lesions in the thyroid and salivary gland cancers [26, 27].
Benign lesions in this study were found to produce considerable levels of IL17 in epithelial cells of normal ducts and lobules; the highest production was detected in PTS and FA. Nonetheless, the data regarding cytokines expression in benign tumors is limited and strongly focused on FA subset of benign tumor [28]. Thus, to our knowledge, this study is among the first to address IL17 among other breast lesions. Positive expression was also obtained in DE and FC in which expression was restricted to the inflammatory cells and stroma. In DE, the large numbers of macrophages foamy cells expressing IL17 might be attributed, mainly, to the inflammatory reactions associated with this condition [29].
The majority of studies demonstrated in situ expression of IL17 in breast cancer along with T lymphocyte and innate immune cells being the main expression site for this cytokine in other types of cancers [30–32]. Recently IL17 was shown to be expressed by other cells like plasma cells and paneth cells in gut [33, 34]. In the current study the main site of IL17 expression was malignant cells themselves in addition to tumor stroma. This finding is in accordance with Li et al. [35] and Al-Samadi et al. [36] who found high prevalence of breast cancer and colon cancer cells expressing IL17, correspondingly.
Regarding the association between IL17 expression and hormonal expression (ER, PR and HER2) among malignant cases, the obtained results disclose no significant association between IL17 expression in breast tissue and the previously mentioned receptors (P values > 0.05). Conversely to our study, IL17 was more associated with ER- and triple negative BC [9, 15]. However, in concordance to our study Chavey et al. [20] found that IL17 is one of the cytokines that are not related with steroid receptors expression. Furthermore, Slattery et al. [37] found that the relationship between cytokines and steroid receptors expression is affected by particular variants of cytokines with no association between IL17 variants and these receptors expression in the breast. Therefore, these results indicate that IL17 role in breast cancer might be independent of hormonal receptors expression.
Conclusion
IL17 is expressed in a variety of cell types including benign and malignant cells; mostly tumor cells and tumor associated stromal cells. Malignant cells significantly express higher levels of IL17 compared to benign tumor cells. IL17 expression in BC might be independent of hormonal receptors expression.
Limitations
This study evaluated the expression of IL17 in a small cohort of breast lesions, including benign and malignant lesions without providing dual staining to specify cells types.
Acknowledgements
We gladly thank the staff of Medical Laboratory Sciences, University of Khartoum for their support and great help. And also great thanks to all participants contributed to this work.
Abbreviations
- BC
Breast cancer
- DE
Duct ectasia
- ER
Estrogen receptor
- FA
Fibro-adenomas
- FC
Fibrocystic change
- HER2
Human epidermal receptor-2
- IDC
Invasive ductal carcinoma
- IDCS
Intraductal carcinoma in situ
- IL17
Interleukin-17
- ILC
Invasive lobular carcinoma
- PBS
Phosphate buffer saline
- PR
Progesterone receptor
- PTS
Benign phyllodes tumor
Authors’ contributions
ETA and MAMM performed samples collection and immunohistochemical technique regarding tissue samples. ETA, EES and AMME performed scoring and interpretation of immunohistochemical staining. MAMM, EES and AMME performed general supervision and guidance in the research process. ETA, EES, NSM, AA, and MSM performed data analysis and interpretation, ETA, EES, and NSM drafted the manuscript. All authors read and approved the final manuscript.
Funding
Not applicable.
Availability of data and materials
The datasets used and/or analyzed during the current study are available from the corresponding author on reasonable request.
Ethics approval and consent to participate
Samples collection and conduction of the study was approved by the Faculty of Medical Laboratory Sciences Research Ethics Committee—University of Khartoum, Sudan. Informed consent was obtained from each participant prior to hospital enrollment using writing and verbal informed consent in case of illiterate patients.
Consent to publish
Not applicable.
Competing interests
The authors declare that they have no competing interests.
Footnotes
Publisher's Note
Springer Nature remains neutral with regard to jurisdictional claims in published maps and institutional affiliations.
Contributor Information
Eman Taha Ali, Email: eman2taha@gmail.com.
Mai Abdulrahman Mohammed Masri, Email: mai_masri@hotmail.com.
Emmanuel Edwar Siddig, Email: emanwell@uofk.edu.
Ayman Ahmed, Email: ayman.ame.ahmed@gmail.com.
Mohamed S. Muneer, Email: mohamedsideeg@yahoo.com
Nouh Saad Mohamed, Email: nouh_saad@outlook.com.
Ali Mahmoud Mohammed Edris, Email: aedris@ub.edu.sa.
References
- 1.Azim HA, Partridge AH. Biology of breast cancer in young women. Breast Cancer Res. 2014;16:427. doi: 10.1186/s13058-014-0427-5. [DOI] [PMC free article] [PubMed] [Google Scholar]
- 2.Lodge M, Corbex M. Establishing an evidence-base for breast cancer control in developing countries. Breast. 2011;20:S65–S69. doi: 10.1016/j.breast.2011.01.012. [DOI] [PubMed] [Google Scholar]
- 3.Shaaban A, Sloane J, West C, Moore F, Jarvis C, Williams E, Foster C. Histopathologic types of benign breast lesions and the risk of breast cancer: case–control study. Am J Surg Pathol. 2002;26:421–430. doi: 10.1097/00000478-200204000-00003. [DOI] [PubMed] [Google Scholar]
- 4.Weigelt B, Peterse JL, Van’t Veer LJ. Breast cancer metastasis: markers and models. Nat Rev Cancer. 2005;5:591–602. doi: 10.1038/nrc1670. [DOI] [PubMed] [Google Scholar]
- 5.Gelaleti GB, Jardim BV, Leonel C, Moschetta MG, de Campos Zuccari DAP. Interleukin-8 as a prognostic serum marker in canine mammary gland neoplasias. Vet immunol Immunopathol. 2012;146:106–112. doi: 10.1016/j.vetimm.2012.02.005. [DOI] [PubMed] [Google Scholar]
- 6.Al-Hassan A, Al-Ghurabi B, Al-Karkhi I. Prognostic value of proinflammatory cytokines in breast cancer. Biomol Res Ther. 2012;1:2. [Google Scholar]
- 7.Ueno T, Toi M, Saji H, Muta M, Bando H, Kuroi K, Koike M, Inadera H, Matsushima K. Significance of macrophage chemoattractant protein-1 in macrophage recruitment, angiogenesis, and survival in human breast cancer. Clin Cancer Res. 2000;6:3282–3289. [PubMed] [Google Scholar]
- 8.Guo Y, Xu F, Lu T, Duan Z, Zhang Z. Interleukin-6 signaling pathway in targeted therapy for cancer. Cancer Treat Rev. 2012;38:904–910. doi: 10.1016/j.ctrv.2012.04.007. [DOI] [PubMed] [Google Scholar]
- 9.Chen WC, Lai YH, Chen HY, Guo HR, Su IJ, Chen HH. Interleukin-17-producing cell infiltration in the breast cancer tumour microenvironment is a poor prognostic factor. Histopathology. 2013;63:225–233. doi: 10.1111/his.12156. [DOI] [PubMed] [Google Scholar]
- 10.Numasaki M, Fukushi J-I, Ono M, Narula SK, Zavodny PJ, Kudo T, Robbins PD, Tahara H, Lotze MT. Interleukin-17 promotes angiogenesis and tumor growth. Blood J Am Soc Hematol. 2003;101:2620–2627. doi: 10.1182/blood-2002-05-1461. [DOI] [PubMed] [Google Scholar]
- 11.Feng M, Wang Y, Chen K, Bian Z, Wu J, Gao Q. IL-17A promotes the migration and invasiveness of cervical cancer cells by coordinately activating MMPs expression via the p38/NF-κB signal pathway. PLoS ONE. 2014;9. [DOI] [PMC free article] [PubMed]
- 12.McAllister F, Bailey JM, Alsina J, Nirschl CJ, Sharma R, Fan H, Rattigan Y, Roeser JC, Lankapalli RH, Zhang H. Oncogenic Kras activates a hematopoietic-to-epithelial IL-17 signaling axis in preinvasive pancreatic neoplasia. Cancer Cell. 2014;25:621–637. doi: 10.1016/j.ccr.2014.03.014. [DOI] [PMC free article] [PubMed] [Google Scholar]
- 13.Chang SH. Tumorigenic Th17 cells in oncogenic Kras-driven and inflammation-accelerated lung cancer. Oncoimmunology. 2015;4:e955704. doi: 10.4161/21624011.2014.955704. [DOI] [PMC free article] [PubMed] [Google Scholar]
- 14.Jiang Y, Yang S, Li P, Luo X, Li Z, Hao Y, Yu P. The promotion of the transformation of quiescent gastric cancer stem cells by IL-17 and the underlying mechanisms. Oncogene. 2017;36:1256–1264. doi: 10.1038/onc.2016.291. [DOI] [PMC free article] [PubMed] [Google Scholar]
- 15.Cochaud S, Giustiniani J, Thomas C, Laprevotte E, Garbar C, Savoye A-M, Curé H, Mascaux C, Alberici G, Bonnefoy N. IL-17A is produced by breast cancer TILs and promotes chemoresistance and proliferation through ERK1/2. Sci Rep. 2013;3:3456. doi: 10.1038/srep03456. [DOI] [PMC free article] [PubMed] [Google Scholar]
- 16.Park WC, Sung KS, Kim JS, Oh SJ, Choi SH, You YK, Chun HM, Kim IC, Jung SS. Prognostic significance of hormonal receptors in very young women with early breast cancer. J Korean Breast Cancer Soc. 2002;5:319–322. doi: 10.4048/jkbcs.2002.5.4.319. [DOI] [Google Scholar]
- 17.Vorherr H. Endocrinology of breast cancer. Maturitas. 1987;9:113–122. doi: 10.1016/0378-5122(87)90061-2. [DOI] [PubMed] [Google Scholar]
- 18.Hoang T, Rattan R. Common uses of immunohistochemistry in interpreting lesions of the breast: a pictorial review. Breast Cancer Res. 2008;10:P87. doi: 10.1186/bcr2085. [DOI] [Google Scholar]
- 19.Ramirez F, Fowell D, Puklavec M, Simmonds S, Mason D. Glucocorticoids promote a Th2 cytokine response by CD4+ T cells in vitro. J Immunol. 1996;156:2406–2412. [PubMed] [Google Scholar]
- 20.Chavey C, Bibeau F, Gourgou-Bourgade S, Burlinchon S, Boissière F, Laune D, Roques S, Lazennec G. Oestrogen receptor negative breast cancers exhibit high cytokine content. Breast Cancer Res. 2007;9:R15. doi: 10.1186/bcr1648. [DOI] [PMC free article] [PubMed] [Google Scholar]
- 21.Allred D, Harvey JM, Berardo M, Clark GM. Prognostic and predictive factors in breast cancer by immunohistochemical analysis. Mod Pathol. 1998;11:155–168. [PubMed] [Google Scholar]
- 22.Wolff AC, Hammond MEH, Schwartz JN, Hagerty KL, Allred DC, Cote RJ, Dowsett M, Fitzgibbons PL, Hanna WM, Langer A. American Society of Clinical Oncology/College of American Pathologists guideline recommendations for human epidermal growth factor receptor 2 testing in breast cancer. Archiv Pathol Lab Med. 2007;131:18–43. doi: 10.5858/2007-131-18-ASOCCO. [DOI] [PubMed] [Google Scholar]
- 23.Autenshlyus A, Kunts T, Karpukhina K, Mikhaylova E, Varaksin N, Marinkin I, Lyakhovich V. Doklady biological sciences. Berlin: Springer; 2016. Cytokine pattern of the breast tumor supernatant; pp. 247–248. [DOI] [PubMed] [Google Scholar]
- 24.Borj MR, Andalib AR, Mohammadi A, Hoseiniharouni SM, Pourghadamyari H, Azizi H, Golmahammadi T, Ghahfarokhy KM. Evaluation of IL-4, IL-17, and IFN-γ levels in patients with breast cancer. Int J Basic Sci Med. 2017;2:20–24. doi: 10.15171/ijbsm.2017.05. [DOI] [Google Scholar]
- 25.Carvalho G, Faria D, Zanetti BR, Miranda L, Hassumi-Fukasawa MK, Miranda-Camargo F, Crispim JCO, Soares EG. High IL-17 expression is associated with an unfavorable prognosis in thyroid cancer. Oncol Lett. 2017;13:1925–1931. doi: 10.3892/ol.2017.5638. [DOI] [PMC free article] [PubMed] [Google Scholar]
- 26.Haghshenas MR, Khademi B, Faghih Z, Ghaderi A, Erfani N. Immune regulatory cells and IL17-producing lymphocytes in patients with benign and malignant salivary gland tumors. Immunol Lett. 2015;164:109–116. doi: 10.1016/j.imlet.2015.02.008. [DOI] [PubMed] [Google Scholar]
- 27.Elgaili EM, Abuidris DO, Rahman M, Michalek AM, Mohammed SI. Breast cancer burden in central Sudan. Int J Women’s Health. 2010;2:77. doi: 10.2147/ijwh.s8447. [DOI] [PMC free article] [PubMed] [Google Scholar]
- 28.Gary MT, Chaiwun B, Lau K-M, Scolyer R, Lee CS, Karim RZ, Putti TC, Law BK, Lui PC, Tan PH. Endothelin-1 expression correlates with atypical histological features in mammary phyllodes tumours. J Clin Pathol. 2007;60:1051–1056. doi: 10.1136/jcp.2006.044354. [DOI] [PMC free article] [PubMed] [Google Scholar]
- 29.Dixon J, Ravisekar O, Chetty U, Anderson TJ. Periductal mastitis and duct ectasia: different conditions with different aetiologies. Br J Surg. 1996;83:820–822. doi: 10.1002/bjs.1800830630. [DOI] [PubMed] [Google Scholar]
- 30.Kuang DM, Peng C, Zhao Q, Wu Y, Chen MS, Zheng L. Activated monocytes in peritumoral stroma of hepatocellular carcinoma promote expansion of memory T helper 17 cells. Hepatology. 2010;51:154–164. doi: 10.1002/hep.23291. [DOI] [PubMed] [Google Scholar]
- 31.Guéry L, Hugues S. Th17 cell plasticity and functions in cancer immunity. BioMed Res Int. 2015;2015. [DOI] [PMC free article] [PubMed]
- 32.Wu S, Rhee K-J, Albesiano E, Rabizadeh S, Wu X, Yen H-R, Huso DL, Brancati FL, Wick E, McAllister F. A human colonic commensal promotes colon tumorigenesis via activation of T helper type 17 T cell responses. Nat Med. 2009;15:1016. doi: 10.1038/nm.2015. [DOI] [PMC free article] [PubMed] [Google Scholar]
- 33.Takahashi N, Vanlaere I, De Rycke R, Cauwels A, Joosten LA, Lubberts E, van den Berg WB, Libert C. IL-17 produced by Paneth cells drives TNF-induced shock. J Exp Med. 2008;205:1755–1761. doi: 10.1084/jem.20080588. [DOI] [PMC free article] [PubMed] [Google Scholar]
- 34.Schlegel PM, Steiert I, Kötter I, Müller CA. B cells contribute to heterogeneity of IL-17 producing cells in rheumatoid arthritis and healthy controls. PloS ONE. 2013;8. [DOI] [PMC free article] [PubMed]
- 35.Li YX, Zhang L, Simayi D, Zhang N, Tao L, Yang L, Zhao J, Chen YZ, Li F, Zhang WJ. Human papillomavirus infection correlates with inflammatory Stat3 signaling activity and IL-17 level in patients with colorectal cancer. PLoS ONE. 2015;10. [DOI] [PMC free article] [PubMed]
- 36.Al-Samadi A, Moossavi S, Salem A, Sotoudeh M, Tuovinen SM, Konttinen YT, Salo T, Bishehsari F. Distinctive expression pattern of interleukin-17 cytokine family members in colorectal cancer. Tumor Biol. 2016;37:1609–1615. doi: 10.1007/s13277-015-3941-x. [DOI] [PubMed] [Google Scholar]
- 37.Slattery ML, Herrick JS, Torres-Mejia G, John EM, Giuliano AR, Hines LM, Stern MC, Baumgartner KB, Presson AP, Wolff RK. Genetic variants in interleukin genes are associated with breast cancer risk and survival in a genetically admixed population: the Breast Cancer Health Disparities Study. Carcinogenesis. 2014;35:1750–1759. doi: 10.1093/carcin/bgu078. [DOI] [PMC free article] [PubMed] [Google Scholar]
Associated Data
This section collects any data citations, data availability statements, or supplementary materials included in this article.
Data Availability Statement
The datasets used and/or analyzed during the current study are available from the corresponding author on reasonable request.
