Abstract
Background
Alveolar capillary dysplasia (ACD) is a rare cause of severe pulmonary hypertension and respiratory failure in neonates. The onset of ACD is usually preceded by a short asymptomatic period. The condition is refractory to all available therapies as it irreversibly affects development of the capillary bed in the lungs. The diagnosis of ACD is based on histopathological evaluation of lung biopsy or autopsy tissue or genetic testing of FOXF1 on chromosome 16q24.1. Here, we describe the first two Polish patients with ACD confirmed by histopathological and genetic examination.
Case presentation
The patients were term neonates with high Apgar scores in the first minutes of life. They both were diagnosed prenatally with heart defects. Additionally, the first patient presented with omphalocele. The neonate slightly deteriorated around 12th hour of life, but underwent surgical repair of omphalocele followed by mechanical ventilation. Due to further deterioration, therapy included inhaled nitric oxide (iNO), inotropes and surfactant administration. The second patient was treated with prostaglandin E1 since birth due to suspicion of aortic coarctation (CoA). After ruling out CoA in the 3rd day of life, infusion of prostaglandin E1 was discountinued and immediately patient’s condition worsened. Subsequent treatment included re-administration of prostaglandin E1, iNO and mechanical ventilation. Both patients presented with transient improvement after application of iNO, but died despite maximized therapy. They were histopathologically diagnosed post-mortem with ACD. Array comparative genomic hybridization in patient one and patient two revealed copy-number variant (CNV) deletions, respectively, ~ 1.45 Mb in size involving FOXF1 and an ~ 0.7 Mb in size involving FOXF1 enhancer and leaving FOXF1 intact.
Conclusions
Both patients presented with a distinct course of ACD, extra-pulmonary manifestations and response to medications. Surgery and ceasing of prostaglandin E1 infusion should be considered as potential causes of this variability. We further highlight the necessity of thorough genetic testing and histopathological examination and propose immunostaining for CD31 and CD34 to facilitate the diagnostic process for better management of infants with ACD.
Keywords: Alveolar capillary dysplasia, FOXF1 mutation, Respiratory failure, Neonate, Pulmonary hypertension
Background
Respiratory failure is a common problem in the Neonatal Intensive Care Unit (NICU) and the diagnosis is often a challenge. Severe respiratory failure is usually observed in neonates with interstitial parenchymal lung diseases and congenital cardiac defects.
Alveolar capillary dysplasia with misalignment of pulmonary veins (ACDMPV) (MIM# 265380), frequently referred to as alveolar capillary dysplasia (ACD), is a rare disorder, leading to early severe respiratory distress with a persistent pulmonary hypertension (PPHN) and almost universally to death. Most of the affected infants present hypoxic respiratory failure within 48 h of life that is refractory to all medical therapies, including pulmonary vasodilators [1].
In 80–90% of histopathologically-verified ACD cases, loss-of-function of the FOXF1 gene (MIM# 601089) on 16q24.1 or its distant upstream lung-specific enhancer has been described [1–4]. FOXF1 encodes a Forkhead box F1 transcription factor primarily expressed in mesoderm-derived tissues during lung organogenesis, involved in development of pulmonary alveoli and capillaries [5–7].
Here, we present two neonates hospitalized in the tertiary NICU due to severe respiratory failure and pulmonary hypertension. Both patients were diagnosed with ACD due to different-sized heterozygous copy-number variant (CNV) deletions within the FOXF1 gene locus on 16q24.1. They are the first patients with histopathologically- and genetically-confirmed ACD in Poland.
Case presentation
Case 1
A male neonate (birth weight: 2920 g) was born via caesarean section at 39+1 weeks of gestation in a non-tertiary hospital. On prenatal examination polyhydramnios, omphalocele, hydronephrosis of the right kidney and ventricular septal defect (VSD) were suspected. Amniocentesis showed 47, XY,+22 cells in the sample, however, postnatal karyotype was normal (46,XY). The Apgar scores were 9 at the 1st and 10 at the 5th minute of life. The infant was transferred to the NICU in a stable condition. In the 12th hour of life, oxygen saturation measured with pulse oximetry (SpO2) decreased below 90% - passive oxygen therapy was applied with FiO2=0.6. Surgical repair of omphalocele was performed at 17th hour of life. Due to respiratory deterioration after the surgery, the newborn received conventional mechanical ventilation with FiO2=0.4. Persistent pulmonary hypertension, atrial septal defect (ASD) and VSD were diagnosed on echocardiography examination. PPHN was treated with iNO but only with transient improvement. On the second day of life, the patient required ventilation with FiO2=1, surfactant administration and inotropes. On the third day, SpO2 remained persistently below 80%. Consequently, the infant was switched to high frequency ventilation but without any improvement. Despite continuation of this therapy during the next few days, SpO2 decreased further below 60%. Physical examination showed hepatosplenomegaly. Additional testing revealed coagulopathy, lack of peristalsis, congestion in the lungs, and metabolic acidosis. The patient died on the 13th day of life after a cardiac arrest and ineffective cardiopulmonary resuscitation.
Case 2
A male neonate (birth weight: 2400 g) was born via vaginal delivery at 39 weeks of gestation. On the prenatal examination fetal growth restriction and coarctation of the aorta (CoA) were suspected. The infant was born in a non-tertiary hospital in good condition; the Apgar scores were 8 at the 1st and 10 at the 5th minute. The newborn presented with peripheral cyanosis in the first hours of life and a difference between pre- and post-ductal saturation ranging about 10% was noted. Continuous infusion of prostaglandin E1 was applied due to prenatal suspicion of CoA. Initial echocardiogram showed ASD and VSD. On the second day of life, the infant was transferred to the NICU in Poznań. During the echocardiography examination infusion of prostaglandin was stopped and the infant suddenly deteriorated. CoA was not confirmed. The echocardiography revealed PPHN with a large ductus arteriosus (bidirectional shunt with right to left predominance) and narrow pulmonary veins. The patient was intubated, prostaglandin infusion was re-administered and PPHN was treated with iNO, resulting in immediate improvement. During the next few days, deterioration of the general condition with increasing oxygen demand up to 100% oxygen was observed. On the 9th day of life, SpO2 was below 65% despite maximized respiratory support. Physical examination displayed liver and spleen enlargement. Additional testing showed hypotension, lack of peristalsis, congestion in the lungs and metabolic acidosis. On the 10th day of life, cardiopulmonary resuscitation was not effective and the patient died due to cardiac arrest.
Histopathological and genetic findings
Subjects
Lung tissue specimens were collected by post-mortem biopsy in both patients. Informed consents for histopathological examination of the lung samples and genetic testing were obtained from the patients’ parents. Lung tissue from a 2-week-old term infant was used as an internal control.
Histopathological evaluation
Formalin-fixed paraffin-embedded (FFPE) lung tissue samples were stained with hematoxylin and eosin (H&E). In addition, immunohistochemical (IHC) staining was performed on 4.5 μm FFPE tissue sections, using the En Vision™ FLEX GV800 (Dako) IHC Kit with specific monoclonal antibodies for CD34 and CD31. The IHC reaction was carried out using the OMNIS (Dako) or the BenchMark Ultra (Ventana Roche). Results were verified with an Olympus microscope. All stained tissue slides were archived by the VisionTek® Digital Microscope (Sakura).
DNA extraction
Genomic DNA isolation was performed using the MagCoreNucleid Acid Extractor (RBC Bioscience) with the sets of reagents dedicated to FFPE samples. DNA was quantified with the NanoDrop 2000 spectrophotometer (ThermoFisher Scientific).
Sanger sequencing
PCR reactions were performed using C1000 Touch thermal cycler (BioRad), with set of primers covering the whole coding region of FOXF1. Primers and PCR conditions are available on request. After amplification, PCR products were purified in an enzymatic reaction, diluted and sequenced using the forward and reverse primers with the BigDye Terminator 3.1 kit (ThermoFisher Scientific) according to manufacturer’s instruction. Next, products were purified by ethanol precipitation and analyzed with the 3500 Genetic Analyzer (Applied Biosystems) and the CodonCodeAlligner Software (CodonCode Corporation).
Array comparative genomic hybridization (array CGH)
The array CGH analysis of patients was performed using a customized 16q24.1-specific high-resolution 180 K microarray (Agilent Technologies), as described [3].
Results
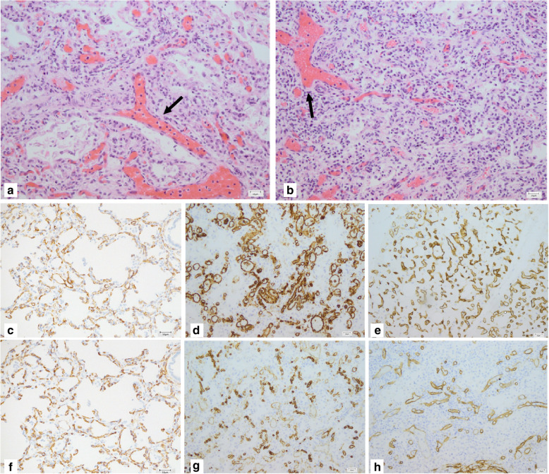
In both cases, histopathological examination of post mortem lung biopsy samples revealed a significant decrease in the capillary network as well as abnormal shunt vessels in the bronchovascular bundle and blood-air barrier underdevelopment, features characteristic for ACD. Diffuse thickening of interalveolar septa, reduction of density and malpositioning of pulmonary alveolar capillaries were also observed. Residual acute alveolar damage was slightly more pronounced in Patient 1′ samples. Immunostaining for the endothelial markers CD34 and CD31 highlights poor approximation of the alveolar capillaries to epithelial cells and marked congestion compared to control lung from the term infant resulting in disruption of air-blood barrier (Fig. 1.)
Fig. 1.
Histopathological examination of lung samples showing characteristic features of ACDMPV. Haematoxylin and eosin staining (H&E) of lung tissue obtained post-mortem showing abnormal shunt vessels (arrows) in the bronchovascular bundle and diffuse thickening of inter-alveolar septa with reduced density of capillaries. Immunostaining for the endothelial markers CD 31 and CD34 highlights poor approximation of the alveolar capillaries to epithelial cells and marked congestion compared to control lung from a term infant. As a result, the air-blood barrier was disrupted. H&E: a) patient 1, b) patient 2; CD31: c) control, d) patient 1, e) patient 2; CD34: f) control, g) patient 1, h) patient 2
Direct sequencing did not reveal any clinically relevant single nucleotide variants or indels within the coding portion of FOXF1 in these patients. Array CGH revealed the heterozygous CNV deletions at 16q24.1 region in both cases. In Patient 1, an ~ 1.45 Mb CNV deletion (chr16:85,863,000-87,370,500, hg19) involving FOXF1, its upstream enhancer (LINC01082, LINC01082) and IRF8, LINC00917, FENDRR, MTHFSD, FOXC2 and FOXL1 was identified (Fig. 2b). In the second patient, an ~ 0.7 Mb CNV deletion (chr16:85,738,000-86,446,500, hg19) removed the upstream FOXF1 enhancer (LINC01082 and LINC01082) and COX411, IRF8, LINC00917, leaving the FOXF1 gene intact (Fig. 2c). The inheritance status of these deletions is unknown.
Fig. 2.
Results of array CGH analyses. a Schematic representation of genes mapping within the 16q24.1 (hg19) interval, including FOXF1, FENDRR, LINC01081 and LINC01082 (pink rectangles). b Array CGH plot showing an ~ 1.45 Mb CNV deletion in Patient 1, involving the FOXF1 gene, its upstream enhancer (LINC01082, LINC01082), and IRF8, LINC00917, FENDRR, MTHFSD, FOXC2, and FOXL1. c Array CGH plot showing an ~ 0.7 Mb CNV deletion in Patient 2, involving the upstream FOXF1 enhancer (LINC01082 and LINC01082), COX411, IRF8, LINC00917, and leaving the FENDRR and FOXF1 genes intact
Discussion and conclusions
ACD is a rare lethal lung developmental disorder characterized by severe pulmonary hypertension observed typically shortly after birth [1]. Histopathologically, disruptions in lung development result in a reduced density of lung vessels and abnormal lobular structure. Currently, there is no successful treatment available for patients diagnosed with the typical presentation of ACD. Neither concomitant administration of iNO and prostacyclin nor the use of paracorporeal lung assist device followed by lung transplantation were effective [8]. However, a few infants with atypical ACD characterized by late onset of symptoms, milder manifestations or focal histopathological changes responded to therapy lasting for months [9–11]. Bilateral lung transplant may be a therapeutic alternative in these patients; its effectiveness was similar to lung transplants performed in patients with other indications [12]. Of note, all the infants reported with successful lung transplant underwent open lung biopsy before the procedure and the diagnosis was known prior to the surgery [1, 12] Hence, early diagnosis of ACD is vital in the decision-making process.
Thus far, only one case of an ACD newborn was reported in Poland. However, no genetic testing was performed [13]. Here, we present two cases of ACD that were confirmed by both histochemical and genetic testing. Different-sized heterozygous losses at chromosome 16q24.1 were detected using array CGH analyses. Whereas the CNV deletion in Patient 1 involved FOXF1, the CNV deletion observed in Patient 2 removed the upstream FOXF1 enhancer, leaving the FOXF1 gene intact. These findings further confirm that the non-coding genomic interval mapping upstream to FOXF1 is essential for human lung development [14].
Unfortunately, genetic testing is not always easily available. Moreover, the negative genetic result does not exclude the diagnosis in suspected patients [15] and histopathological assessment of lung biopsy or autopsy samples by an experienced pathologist remains the gold standard in diagnosing ACD. Recommendations of the chILD Pathologic Co-operative Group state that apart from standard H&E stains, appropriate staining for structural components and immunostaining should be adjusted to the clinical situation [16]. However, there are no specific guidelines which methods are the most useful diagnostic tools. Since CD31 is the most specific and sensitive marker visible in paraffin sections showing both small and large vessels and CD34 determines microvessels density, we propose that immunostaining for these markers can bring added value in the ACD diagnostic process.
It is typical for patients diagnosed with ACD to present with good general condition within first 24–48 h of life, known also as a “honeymoon period”. However, Patient 1 required a high fraction of oxygen already 12 h after birth and the asymptomatic period was exceptionally short. The course of PPHN was fulminant without noticeable effects of the therapy. On the contrary, Patient 2’s condition worsened only on the 3rd day of life exceeding the typical asymptomatic stage. Moreover, his health status further deteriorated gradually after the initial response to iNO. Interestingly, prompt presentation of ACD symptoms in this case was triggered by discontinuance of the intravenous infusion of prostaglandin E1. The mechanism of this deterioration is probably best explained by right ventricular (RV) failure. As the PDA got narrower or closed after ceasing prostaglandin E1, RV failure worsened from pumping against high pulmonary vascular resistance associated with ACD. Given that occasionally patients are asymptomatic within the neonatal period, potential triggers leading to pulmonary hypertensive crisis and fatal exacerbation should be thoroughly investigated. Goel et al. suggested the possible factors can include respiratory or urinary tract infections [17]. In our patients, clinical conditions deteriorated after experienced stress either associated with surgery or with rapid discontinuation of prostaglandin infusion, suggesting that these factors could play a role in the origin of ACD symptoms.
In histopathological examination both neonates had the similar lung defect. Patient 1 had more alveolar damage, however it may be due to longer mechanical ventilation that was initiated sooner during the treatment process. Although most authors claim that there are no visible differences in histopathologic images between patients with fulminant form of the disease presented in neonatal period and so-called “long survivors”, some argue that the abnormalities in the tissue architecture, especially capillary density, lobular development and range of involvement are less severe among children with late onset of ACD [17]. Moreover, Melly et al. described a phenotype characterized by overlapping ACD and chronic lung disease features, based on clinical data and histopathologic findings [18]. They highlighted older age at diagnosis, partially better outcome and higher density of capillaries seen in the lung material taken from these patients as compared to children recognized as typical ACD. It may constitute a step forward distinguishing prediction factors of survival and relatively better clinical course among affected children.
Previous results showed that haploinsufficiency of FOXF1 either due to point mutations or CNV deletions overlapping FOXF1 or its upstream regulatory region leads to full lung manifestation of ACD [3]. Only once, the 16q deletion involving FOXF1 enhancer was associated with pulmonary capillary hemangiomatosis [19]. In contrast, phenotypic differences have been observed for co-existing extra-pulmonary anomalies. Interestingly, hypoplastic left heart syndrome (HLHS) and single umbilical artery have been reported in ACD newborns with CNV deletions involving FOXF1, FOXC2, FOXL1, and FENDRR [3]; only one infant with ACD and HLHS caused by de novo likely pathogenic c.209_214del (p.Thr70_Leu71del) variant in FOXF1 was described [20]. However, screening of FOXC2 and FOXL1 in patients with HLHS revealed no point mutations in those genes [21]. Of note, homozygous deletion of Fendrr in mice results in lethal cardiac and lung defects [22], suggesting that heart anomalies observed in ACD patients can be associated with FENDRR disruption.
While both newborns, reported here, were diagnosed with heart defects, ASD and VSD, Patient 1 also presented other extra-pulmonary features, including omphalocele, hydronephrosis, and polyhydramnios observed in prenatal examination. Except for omphalocele, similar non-lung manifestation was reported by Yu et al. in another infant with ACD and overlapping CNV deletion on 16q24, including FENDRR and FOXF1 [23]. In addition, the coexistence of ACD with CoA and hydronephrosis was observed in the newborn with ACD (pt 135.3) and similar CNV deletion [3]. On the other hand, Patient 2 had 16q24 CNV deletion similar to deletion previously detected in pt. 47.4 (D9), which involved the upstream enhancer region, overlapping long non-coding RNA genes, LINC01081 and LINC01082 and leaving FENDRR and FOXF1 intact [3, 24]. In contrast to pt. 47.4 (D9) [3, 24], who had intestinal malrotation, imperforate anus, and butterfly vertebrae, no similar defect was observed in our Patient 2.
Most of CNV deletions found in patients with ACD arise de novo on the maternal chromosome, what suggests genomic imprinting of the FOXF1 locus [3]. However, in the described cases the inheritance status of these deletions is unknown as samples from the parents were not available for analysis.
In conclusion, we present two cases diagnosed with ACD based on typical histopathological picture but with diverse clinical presentation and distinct abnormalities within the FOXF1 gene cluster on 16q24.1. Presented cases emphasize the importance of both genetic testing and histopathological examination of the lung in neonates with refractory respiratory failure.
Acknowledgements
We thank Dr. Edwina Popek for her assistance in interpretation of histology results.
Abbreviations
- ACD
- Alveolar capillary dysplasia 
- ACDMPV
- Alveolar capillary dysplasia with misalignment of pulmonary veins 
- array CGH
- array comparative genomic hybridization 
- ASD
- Atrial septal defect 
- CLD
- Chronic lung disease 
- CNV
- Copy-number variant 
- CoA
- Coarctation of the aorta 
- FFPE
- Formalin-fixed paraffin-embedded 
- H&E
- Hematoxylin and eosin 
- HLHS
- Hypoplastic left heart syndrome 
- IHC
- Immunohistochemical 
- iNO
- inhaled nitric oxide 
- NICU
- Neonatal Intensive Care Unit 
- PDA
- Patent ductus arteriosus 
- PPHN
- Persistent pulmonary hypertension of a newborn 
- RV
- Right ventricle 
- SpO2
- Oxygen saturation measured by pulse oximetry 
- VSD
- Ventricular septal defect 
Authors’ contributions
ZK, ZO, TS collected, analysed and interpreted patients’ data and had the major contribution in writing the manuscript. JPW, AK, AM, GD performed histological examination of the samples. JPW, AK, AM performed genetic analysis as well as described the results in the manuscript. YS interpreted the echocardiography results and revised the manuscript. BM performed echocardiography of both patients and interpreted the results. QL performed an array CGH experiment. JK and PS analyzed, interpreted and described the array CGH data. MSB critically revised the manuscript. All authors contributed to intellectual content of the manuscript and approved its final version.
Funding
This work was supported by a garnt awarded by National Heart, Lung and Blood Institute (NHLBI) Grant R01HL137203 to PS.
Availability of data and materials
The datasets used and/or analysed during the current study are available from the corresponding author on reasonable request.
Ethics approval and consent to participate
Parents’ informed consents for post-mortem histopathological examination of the lung samples were obtained.
Consent for publication
Written informed consents for the publication of the case report have been obtained from patients’ parents.
Competing interests
The authors declare that they have no competing interests.
Footnotes
Publisher’s Note
Springer Nature remains neutral with regard to jurisdictional claims in published maps and institutional affiliations.
References
- 1.Bishop NB, Stankiewicz P, Steinhorn RH. Alveolar capillary dysplasia. Am J Respir Crit Care Med. 2011;184:172–9. [DOI] [PMC free article] [PubMed]
- 2.Sen P, Yang Y, Navarro C, Silva I, Szafranski P, Kolodziejska KE, et al. Novel FOXF1 mutations in sporadic and familial cases of alveolar capillary dysplasia with misaligned pulmonary veins imply a role for its DNA binding domain. Hum Mutat. 2013;34(6):801–811. doi: 10.1002/humu.22313. [DOI] [PMC free article] [PubMed] [Google Scholar]
- 3.Szafranski P, Gambin T, Dharmadhikari AV, Akdemir KC, Jhangiani SN, Schuette J, et al. Pathogenetics of alveolar capillary dysplasia with misalignment of pulmonary veins. Hum Genet. 2016;135(5):569–586. doi: 10.1007/s00439-016-1655-9. [DOI] [PMC free article] [PubMed] [Google Scholar]
- 4.Szafranski P, Kośmider E, Liu Q, Karolak JA, Currie L, Parkash S, et al. LINE- and Alu-containing genomic instability hotspot at 16q24.1 associated with recurrent and nonrecurrent CNV deletions causative for ACDMPV. HumMutat. 2018;39(12):1916–1925. doi: 10.1002/humu.23608. [DOI] [PMC free article] [PubMed] [Google Scholar]
- 5.Madison BB, McKenna LB, Dolson D, Epstein DJ, Kaestner KH. FoxF1 and FoxL1 link hedgehog signaling and the control of epithelial proliferation in the developing stomach and intestine. J Biol Chem. 2009;284(9):5936–5944. doi: 10.1074/jbc.M808103200. [DOI] [PMC free article] [PubMed] [Google Scholar]
- 6.Mahlapuu M, Enerbäck S, Carlsson P. Haploinsufficiency of the forkhead gene Foxf1, a target for sonic hedgehog signaling, causes lung and foregut malformations. Development. 2001;128(12):2397–2406. doi: 10.1242/dev.128.12.2397. [DOI] [PubMed] [Google Scholar]
- 7.Shaw-Smith C. Genetic factors in esophageal atresia, tracheo-esophageal fistula and the VACTERL association: roles for FOXF1 and the 16q24.1 FOX transcription factor gene cluster, and review of the literature. Eur J Med Genet. 2010;53(1):6–13. doi: 10.1016/j.ejmg.2009.10.001. [DOI] [PMC free article] [PubMed] [Google Scholar]
- 8.Hoganson DM, Gazit AZ, Sweet SC, Grady RM, Huddleston CB, Eghtesady P. Neonatal Paracorporeal lung assist device for respiratory failure. Ann Thorac Surg. 2013;95:692–694. doi: 10.1016/j.athoracsur.2012.05.128. [DOI] [PubMed] [Google Scholar]
- 9.Al-Hathlol K, Phillips S, Seshia MK, Casiro O, Alvaro RE, Rigatto H. Alveolar capillary dysplasia. Report of a case of prolonged life without extracorporeal membrane oxygenation (ECMO) and review of the literature. Early Hum Dev. 2000;57(2):85–94. doi: 10.1016/S0378-3782(99)00065-1. [DOI] [PubMed] [Google Scholar]
- 10.Ahmed S, Ackerman V, Faught P, Langston C. Profound hypoxemia and pulmonary hypertension in a 7-month-old infant: late presentation of alveolar capillary dysplasia. Pediatr Crit Care Med. 2008;9(6):e43–6. [DOI] [PubMed]
- 11.Edwards JJ, Murali C, Pogoriler J, Frank DB, Handler SS, Deardorff MA, et al. Histopathologic and genetic features of alveolar capillary dysplasia with atypical late presentation and prolonged survival. J Pediatr. 2019;210:214–219.e2. doi: 10.1016/j.jpeds.2019.01.047. [DOI] [PMC free article] [PubMed] [Google Scholar]
- 12.Towe CT, White FV, Grady RM, Sweet SC, Eghtesady P, Wegner DJ, et al. Infants with atypical presentation of alveolar-capillary dysplasia with misalignment of pulmonary veins who underwent bilateral lung transplant. J Pediatr. 2018;194:158–164. doi: 10.1016/j.jpeds.2017.10.026. [DOI] [PMC free article] [PubMed] [Google Scholar]
- 13.Granatowska D, Walas W, Jakuszewska E, Masełko J, Zembala-Nożyńska E, Śmigiel R, et al. Medycyna Wieku Rozwojowego. 2006;X4:1093–7. [PubMed]
- 14.Szafranski P, Herrera C, Proe LA, Coffman B, Kearney DL, Popek E, et al. Narrowing the FOXF1 distant enhancer region on 16q24.1 critical for ACDMPV. Clin Epigenetics. 2016;8:112. doi: 10.1186/s13148-016-0278-2. [DOI] [PMC free article] [PubMed] [Google Scholar]
- 15.Castilla-Fernandez Y, Copons-Fernandez C, Jordan-Lucas R, Linde-Sillo A, Valenzuela-Palafoll I, FerreresPinas JC, et al. Alveolar capillary dysplasia with misalignment of pulmonary veins: concordance between pathological and molecular diagnosis. J Perinatol. 2013;33:401–403. doi: 10.1038/jp.2012.63. [DOI] [PubMed] [Google Scholar]
- 16.Langston C, Patterson K, Dishop MK, Askin F, Baker P, Chou P, et al. A protocol for the handling of tissue obtained by operative lung biopsy: recommendations of the chILD pathology co-operative group. Pediatr Dev Pathol. 2006;9:173–180. doi: 10.2350/06-03-0065.1. [DOI] [PubMed] [Google Scholar]
- 17.Goel D, Oei JL, Lui K, Ward M, Shand AW, Mowat D, et al. Antenatal gastrointestinal anomalies in neonates subsequently found to have alveolar capillary dysplasia. Clin Case Reports. 2017;5(5):559–566. doi: 10.1002/ccr3.888. [DOI] [PMC free article] [PubMed] [Google Scholar]
- 18.Melly L, Sebire NJ, Malone M, Nicholson AG. Capillary apposition and density in the diagnosis of alveolar capillary dysplasia. Histopathology. 2008;53:450–457. doi: 10.1111/j.1365-2559.2008.03134.x. [DOI] [PubMed] [Google Scholar]
- 19.Dello Russo P, Franzoni A, Baldan F, Puppin C, De Maglio G, Pittini C, et al. A 16q deletion involving FOXF1 enhancer is associated to pulmonary capillary hemangiomatosis. BMC Med Genet. 2015;16:94. doi: 10.1186/s12881-015-0241-7. [DOI] [PMC free article] [PubMed] [Google Scholar]
- 20.Bourque DK, Fonseca IC, Staines A, Teitelbaum R, Axford MM, Jobling R, et al. Alveolar capillary dysplasia with misalignment of the pulmonary veins and hypoplastic left heart sequence caused by an in frame deletion within FOXF1. Am J Med Genet A. 2019;179(7):1325–1329. doi: 10.1002/ajmg.a.61162. [DOI] [PubMed] [Google Scholar]
- 21.Iascone M, Ciccone R, Galletti L, Marchetti D, Seddio F, Lincesso AR, et al. Identification of de novo mutations and rare variants in hypoplastic left heart syndrome. Clin Genet. 2012;81(6):542–554. doi: 10.1111/j.1399-0004.2011.01674.x. [DOI] [PubMed] [Google Scholar]
- 22.Grote P, Wittler L, Hendrix D, Koch F, Währisch S, Beisaw A, et al. The tissue-specific lncRNA Fendrr is an essential regulator of heart andbody wall development in the mouse. Dev Cell. 2013;24:206–14. [DOI] [PMC free article] [PubMed]
- 23.Yu S, Shao L, Kilbride H, Zwick DL. Haploinsufficiencies of FOXF1 and FOXC2 genes associated with lethal alveolar capillary dysplasia and congenital heart disease. Am J Med Genet A. 2010;152A(5):1257–1262. doi: 10.1002/ajmg.a.33378. [DOI] [PubMed] [Google Scholar]
- 24.Stankiewicz P, Sen P, Bhatt SS, Storer M, Xia Z, Bejjani BA, et al. Genomic and genic deletions of the FOX gene cluster on 16q24.1 and inactivating mutations of FOXF1 cause alveolar capillary dysplasia and other malformations. Am J Hum Genet. 2009;84:780–791. doi: 10.1016/j.ajhg.2009.05.005. [DOI] [PMC free article] [PubMed] [Google Scholar]
Associated Data
This section collects any data citations, data availability statements, or supplementary materials included in this article.
Data Availability Statement
The datasets used and/or analysed during the current study are available from the corresponding author on reasonable request.


