Einleitung
Die Ätiologie der zerebralen Leukenzephalopathie ist vielfältig und reicht von vaskulären Erkrankungen (Mikroangiopathie), über (autoimmun vermittelte) entzündliche und hereditäre Erkrankungen bis zu nicht seltenen unspezifischen Veränderungen (sog. „unknown bright objects“ [UBO]). Bei den autoimmun entzündlichen Erkrankungen des zentralen Nervensystems ist die multiple Sklerose (MS) die mit Abstand häufigste Entität. Jedoch betreffen auch Erkrankungen aus dem rheumatologischen Formenkreis (isolierte zerebrale Vaskulitis, systemische Vaskulitiden, Kollagenosen, Sarkoidose) häufig das zerebrale Marklager.
Fallbericht
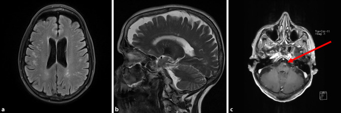
Eine 70-jährige Patientin stellte sich zur ätiologischen Abklärung einer MR-tomographischen Leukenzephalopathie vor (Abb. 1a). Klinisch-neurologisch bestanden eine leichtgradige Abduzensparese links sowie eine Feinmotorikstörung beider Hände und eine Gangunsicherheit seit etwa drei Jahren. Ein initiales MRT drei Jahre zuvor zeigte bihemisphärische, subkortikale Marklagerläsionen, die als vaskuläre mikroangiopathische Leukenzephalopathie gedeutet worden waren. Es fanden sich retrospektiv in der damaligen wie auch in der aktuellen MRT-Bildgebung kleine balkenassoziierte Läsionen. Der vor 2 Jahren erhobene Liquorstatus zeigte keine Pleozytose, ein erhöhtes Liquoreiweiß (610 mg/l) und identische oligoklonale Banden im Serum und Liquor. Wiederholte MR-tomographische Darstellungen der HWS und BWS erbrachten keine medullären Läsionen. In der TOF-Angiographie stellten sich die intrazerebralen Gefäße unauffällig dar. Die Patientin litt seit mehr als 25 Jahren an einer Colitis ulcerosa mit bei der aktuellen Vorstellung niedriger Krankheitsaktivität (Mayo-Score 1) unter Mesalazintherapie. Kardiovaskuläre Risikofaktoren wie eine arterielle Hypertonie, ein Diabetes mellitus oder ein Nikotinabusus lagen nicht vor. Eine konsiliarische augenärztliche Untersuchung ergab neben der Abduzensparese keine Auffälligkeiten. Hinweise für eine begleitende Arthritis fanden sich anamnestisch und in der Untersuchung nicht. Die Familienanamnese erbrachte keinen Hinweis auf eine hereditäre Genese. Laborchemisch detektierten wir einen mit 1:320 erhöhten ANA-Titer (Referenz <1:80) sowie positive Anti-Proteinase-3-(cANCA)-Antikörper (53,4 E/ml; Referenz <20 E/ml). Die erweiterte Labordiagnostik erbrachte keinen Hinweis auf eine infektiologische Ursache (HIV, Hepatitis, Lues, JC-Virus) oder eine Neurosarkoidose. Interleukin‑6 war nicht erhöht. Hinweise auf einen Vitaminmangel ergaben sich nicht. Liquordiagnostisch lagen aktuell erneut eine leichte Eiweißerhöhung (622 mg/l) sowie jetzt positive oligoklonale Banden Typ 2 im Liquor vor. Eine Liquorpleozytose fand sich nicht. In einer erneuten kranialen MR-Bildgebung zeigten sich supratentoriell unverändert zu 2018 die subkortikal im Marklager und im Balken gelegenen T2-Hyperintensitäten ohne Kontrastmittelaufnahme (Abb. 1a, b). Allerdings stellte sich neu eine flau kontrastmittelanreichernde Läsion im ventralen Pons links dar (Abb. 1c). Hinweise auf eine Granulomatose mit Polyangiitis (früher Wegener’sche Granulomatose) ergaben sich HNO-ärztlicherseits und im CT des Thorax nicht. Bei multifokalen, teils balkenassoziierten Läsionen sowie einer Konversion der oligoklonalen Banden seit 2017 war nun nach den erweiterten McDonalds-Kriterien die Diagnosestellung einer multiplen Sklerose (MS) möglich. Eine Erstmanifestation im höheren Lebensalter und bei langjähriger Colitis ulcerosa mit Nachweis von Proteinase-3-Antikörpern machte aber eine Assoziation mit der Colitis ulcerosa wahrscheinlicher. Wir führten eine probatorische Glukokortikoidstoßtherapie mit insgesamt 3 g Methylprednisolon über drei Tage durch, ohne dass eine Besserung der Abduzensparese im Verlauf von 2 Monaten resultierte. Wir empfahlen bei Vorliegen einer möglichen Assoziation zwischen einer chronisch-entzündlichen Darm- und möglichen entzündlichen ZNS-Erkrankung eine immunmodulatorische Off-label-Therapie mit dem Sphingosin-1-Phosphat-Rezeptor-Modulator Fingolimod, da andere Sphingosin-1-phosphat-Rezeptor-Modulatoren eine klinische Wirksamkeit bei der Colitis ulcerosa und MS gezeigt haben, aber noch nicht in Deutschland zugelassen sind. Der Beginn der immunmodulierenden Therapie wurde aber bei der Patientin bei klinischer Stabilität in Anbetracht der aktuellen COVID-19-Pandemie zunächst noch verschoben.
Diskussion
Die ätiologische Abklärung von erworbenen und hereditären Leukenzephalopathien stellt oftmals eine Herausforderung für den Neurologen dar. In der Gruppe der erworbenen Leukenzephalopathien können fünf Gruppen von Erkrankungsätiologien unterschieden werden: infektiöse entzündliche Erkrankungen, autoimmun vermittelte entzündliche Erkrankungen, toxisch-metabolische Defekte, Tumoren und hypoxisch-ischämie bzw. vaskuläre Leukenzephalopathien.
Bei den Substanzdefekten der in unserem Fallbeispiel vorgestellten Patientin wurde zunächst aufgrund der MR-tomographischen Konfiguration der subkortikal gelegenen T2-Hyperintensitäten sowie der unauffälligen Diagnostik bezüglich entzündlicher bzw. infektiöser Erkrankungen eine vaskuläre Genese angenommen. Die im Verlauf positiven oligoklonalen Banden im Liquor sowie die balkenassoziierten Läsionen machten jedoch eine entzündliche Ursache wahrscheinlicher. In dieser Gruppe ist die Erkrankung mit der weitaus größten Prävalenz die MS, jedoch ist eine Abduzensparese eine seltene klinische Manifestation einer MS. Interessanterweise ist eine Assoziation der NMO-Spektrum-Erkrankungen mit der Detektion von Anti-Proteinase-3-(cANCA)-Antikörpern beschrieben [1], jedoch lagen bei unserer Patientin weder Retrobulbärneuritiden noch Myelonläsionen vor und die Aquaporin-4- und Anti-MOG-Antikörper waren negativ. Hinweise auf einen Morbus Behçet oder eine Neurosarkoidose fanden sich ebenfalls nicht. Anti-Proteinase 3-(cANCA)-Antikörper finden sich am häufigsten bei Patienten mit einer Granulomatose mit Polyangiitis (bis zu 90 %), sie können jedoch auch bei der eosinophilen Granulomatose mit Polyangiitis (früher Churg-Strauss-Syndrom) und mikroskopischen Polyangiitis auftreten. Eine Beteiligung des oberen oder unteren Respirationstrakts, wie sie typisch für eine Granulomatose mit Polyangiitis ist, lag bei unserer Patientin nicht vor. Anti-Proteinase-3-(cANCA)-Antikörper aktivieren Neutrophile und Monozyten und führen durch Bindung an Endothelzellen zu einer Vaskulitis v. a. der kleinen Blutgefäße.
Bei Patienten mit einer Colitis ulcerosa ist das Vorliegen von Anti-Proteinase-3-(cANCA)-Antikörpern, die auch in der Abgrenzung zu einem Morbus Crohn helfen können, bereits mehrfach beschrieben worden [2, 3]. Da Anti-Proteinase-3-(cANCA)-Antikörper bei bis zu 30 % der Patienten mit einer Colitis ulcerosa gefunden wurden, stellt sich bei unserer Patientin die Frage, ob es sich um einen pathophysiologisch nicht relevanten Zufallsbefund oder ein autoimmunologisches „overlapping“ handelt, da insbesondere bei der Colitis ulcerosa auch ein erhöhtes Risiko einer MS berichtet wurde [4]. Auch ist die Entwicklung einer MS unter langfristiger Einnahme von Sulfasalazin beschrieben [5], unsere Patientin nahm das sulfonamidfreie Mesalazin ein. Demyelinisierungsvorgänge im ZNS wurden auch nach Einnahme von TNF-α-Blockern bei entzündlichen Darmerkrankungen berichtet [6], diese hatte die Patientin aber bisher nicht eingenommen. Der Fall einer Proteinase-3-Antikörper-assoziierten Colitis ulcerosa mit einer Abduzensparese wurde bisher allerdings erst einmal bei einem 72-jährigen japanischen Patienten von Kirito et al. veröffentlicht [7]. Auch in diesem Fall war die Erstdiagnose der Kolitis der neurologischen Symptomatik um einige Jahre vorausgegangen, und es fanden sich ebenfalls keine klinischen Hinweise für eine Granulomatose mit Polyangiitis. Im Gegensatz zu der hier vorgestellten Patientin hatte die akut aufgetretene Abduzensparese mit Liquorpleozytose des von Kirito et al. beschriebenen Patienten gut auf Glukokortikoide angesprochen, wobei die Abduzensparese bei unserer Patientin schon über 2 Jahre bestanden hatte.
Bezüglich der langfristigen immunmodulatorischen Therapie planten wir den Off-label-Einsatz des Sphingosin-1-Phosphat-Rezeptor-Modulators Fingolimod, welcher in der Therapie der hochaktiven schubförmigen MS evidenzbasiert eingesetzt wird, vor dem Hintergrund, dass der Sphingosin-1-Phosphat-Rezeptor-Modulator Ozanimod bei der Colitis ulcerosa in einer randomisierten, placebokontrollierten Phase-II-Studie eine leicht erhöhte Remissionsrate gezeigt hatte [8]. Ozanimod hatte auch in zwei Phase-III-Studien in der Indikation MS eine schubprophylaktische Wirkung, ist aber in Deutschland noch nicht zugelassen [9, 10]. Auf diese Weise kann möglicherweise die entzündliche Aktivität sowohl im Hirn als auch im Darm reduziert werden. Der Sphingosin-1-Phosphat-Rezeptor-Modulator Etrasimod führte in einer Phase-II-Studie zu einer signifikanten klinischen und endoskopischen Besserung der entzündlichen Darmveränderungen bei Colitis-ulcerosa-Patienten [11].
Zusammenfassung
Über 20 Jahre nach Erstdiagnose der Colitis ulcerosa manifestierte sich im vorliegenden Fall die sonst auf den Dickdarm beschränkte Erkrankung Proteinase-3-(cANCA)-Antikörper-vermittelt sehr wahrscheinlich auch zerebral in Form einer Leukenzephalopathie. Aufgrund des initial unauffälligen Liquorstatus waren die Läsionen der weißen Substanz trotz fehlender kardiovaskulärer Risikofaktoren als mikroangiopathische Erkrankung interpretiert worden. Die Diagnosestellung war erst im Verlauf durch den Nachweis einer autochthonen Immunglobulinproduktion im Liquorkompartiment und den Nachweis von Proteinase-3-(cANCA)-Antikörpern im Serum möglich.
Fazit für die Praxis
Die Ursachen einer Leukenzephalopathie sind vielfältig und im Einzelfall ist eine Verlaufsuntersuchung auch bei unauffälliger Primärdiagnostik sinnvoll, um eine Diagnose stellen zu können. Ferner können Begleiterkrankungen wichtige Hinweise auf die Ätiologie geben und sollten auch bei der Therapiewahl beachtet werden.
Interessenkonflikt
M. Pompsch, C. Veltkamp, R. Veltkamp und R. Weber geben an, dass kein Interessenkonflikt besteht.
Literatur
- 1.Long Y, Zheng Y, Chen M, et al. Antineutrophil cytoplasmic antibodies in patients with idiopathic inflammatory-demyelinating diseases. Neuroimmunomodulation. 2014 doi: 10.1159/000357681. [DOI] [PubMed] [Google Scholar]
- 2.Mahler M, Bogdanos D, Pavlidis P, et al. PR3-ANCA: a promising biomarker for ulcerative colitis with extensive disease. Clin Chim Acta. 2013 doi: 10.1016/j.cca.2013.06.005. [DOI] [PubMed] [Google Scholar]
- 3.Van Biervliet S, Bonroy C, Velde S, et al. C-ANCA/Proteinase 3—positive colitis in children: a distinctive form of inflammatory bowel disease or vasculitis with colitis as initial presentation? J Pediatr Gastroenterol Nutr. 2013 doi: 10.1097/MPG.0b013e31829d4e9e. [DOI] [PubMed] [Google Scholar]
- 4.Bernstein CN, Wujda A, Blanchard JF, et al. The clustering of other chronic inflammatory diseases in inflammatory bowel disease: a population-based study. Gastoenterology. 2005 doi: 10.1053/j.gastro.2005.06.021. [DOI] [PubMed] [Google Scholar]
- 5.Gold R, Kappos L, Becker T. Development of multiple sclerosis in patient on long-term sulfasalazine. Lancet. 1990;335:409–410. doi: 10.1016/0140-6736(90)90239-2. [DOI] [PubMed] [Google Scholar]
- 6.Kemanetzoglou E, Andreadou E. CNS demyelination with TNF-α blockers. Curr Neurol Neurosci Rep. 2017 doi: 10.1007/s11910-017-0742-1. [DOI] [PMC free article] [PubMed] [Google Scholar]
- 7.Kirito Y, Yamamoto D, Uchiyama T. Proteinase 3-antineutrophil cytoplasmic antibody-positive ulcerative colitis presenting with abducens neuropathy. BMJ Case Rep. 2017 doi: 10.1136/bcr-2016-218353. [DOI] [PMC free article] [PubMed] [Google Scholar]
- 8.Sandborn W, Feagan B, Wolf D, et al. Ozanimod induction and maintenance treatment for ulcerative colitis. N Engl J Med. 2016 doi: 10.1056/NEJMoa1513248. [DOI] [PubMed] [Google Scholar]
- 9.Comi G, Kappos L, Selmaj K, et al. Safety and efficacy of ozanimod versus interferon beta-1a in relapsing multiple sclerosis (SUNBEAM): a multicentre, randomised, minimum 12-month, phase 3 trial. Lancet Neurol. 2019;1(9):30239–X. doi: 10.1016/S1474-4422. [DOI] [PubMed] [Google Scholar]
- 10.Cohen J, Comi G, Selmaj K, et al. Safety and efficacy of ozanimod versus interferon beta-1a in relapsing multiple sclerosis (RADIANCE): a multicentre, randomised, 24-month, phase 3 trial. Lancet Neurol. 2019;1(9):30238–30238. doi: 10.1016/S1474-4422. [DOI] [PubMed] [Google Scholar]
- 11.Sandborn WJ, Peyrin-Biroulet L, Zhang J, et al. Efficacy and safety of etrasimod in a phase 2 randomized trial of patients with ulcerative colitis. Gastroenterology. 2020 doi: 10.1053/j.gastro.2019.10.035. [DOI] [PubMed] [Google Scholar]

