Abstract
Coronavirus disease 2019 (COVID-19) is spreading worldwide and poses an imminent threat to public health. We encountered 2 cases of COVID-19 with progression resulting in severe respiratory failure and improvement without any specific treatment.
To examine the course of infection, we performed reverse-transcription (RT) polymerase chain reaction assay with serum specimens, and serum SARS-CoV-2 RNA was detected in both cases when body temperature increased and respiratory status deteriorated. We, then examined, retrospectively and prospectively, the clinical course during hospitalization by performing serial examinations of serum SARS-CoV-2 RNA status. The findings from our cases suggest that not only is detection of viremia useful as a predictive marker of severity, but also serial serum SARS-CoV-2 RNA results can be helpful for predicting the clinical course.
Keywords: COVID-19, Severe respiratory failure, Serum SARS-CoV-2 RNA
1. Introduction
Although about 80% of cases of the novel coronavirus disease 2019 (COVID-19) are thought to be mild, the remaining 20% of cases can progress to severe disease [1]. Possible risk factors for severe COVID-19 are reported to be the presence of underlying comorbidities, older age, high Sequential Organ Failure Assessment (SOFA) score, and laboratory findings including lymphopenia, elevated d-dimer and lactate dehydrogenase [2,3] (see Table 1, Table 2 ).
Table 1.
Laboratory results during hospitalization, Case 1 patient, 42-year-old male.
| On admission (day 6 of illness) | Day 11 of illness | Day 13 of illness | |
|---|---|---|---|
| Leukocytes, cell/mm3 | 4400 | 5370 | 4840 |
| Neutrophils, % | 71 | 75.5 | 62.4 |
| Lymphocytes, % | 23 | 18 | 28.5 |
| Erythrocytes, × 104/μL | 533 | 456 | 453 |
| Hemoglobin, g/dL | 15.1 | 14.2 | 13.9 |
| Hematocrit, % | 46.9 | 41.1 | 41 |
| Platelets, × 104/μL | 17.9 | 23.2 | 28.4 |
| Total bilirubin, mg/dL | 0.26 | 0.31 | 0.35 |
| AST, IU/La | 44 | 67 | 37 |
| ALT, IU/Lb | 43 | 50 | 40 |
| LDH, IU/Lc | 249 | 419 | 352 |
| Blood urea nitrogen, mg/dL | 18 | 16 | 12 |
| Creatinine, mg/dL | 1.07 | 1.06 | 0.93 |
| C-reactive protein, mg/dL | 2.34 | 7.29 | 5.1 |
| PT-INR | 1.04 | 1.07 | 1.07 |
| APTT, sec | 38.5 | 40.6 | 34.3 |
| D-dimer, μg/mL | <0.5 | 0.8 | 0.8 |
| Administered oxygen | None | High flow nasal, 40L, 40%, oxygen | Nasal, 3L, oxygen |
| Arterial blood gas levels | |||
| PaCO2, mmHgd | 31.9 | 34.5 | 35.2 |
| PaO2, mmHge | 67.2 | 65.1 | 96.5 |
| pH | 7.48 | 7.45 | 7.45 |
| Bicarbonate, mmol/L | 23.2 | 23.2 | 24 |
| Base excess, mmol/L | −0.2 | −1.6 | −1.2 |
Aspartate aminotransferase.
Alanine aminotransferase.
Lactate dehydrogenase.
Arterial carbon dioxide partial pressure.
Arterial oxygen partial pressure.
Table 2.
Laboratory results during hospitalization, Case 2 patient, 78-year-old male.
| On admission (day 3 of illness) | Day 7 of illness | Day 11 of illness | |
|---|---|---|---|
| Leukocytes, cell/mm3 | 6670 | 8140 | 5960 |
| Neutrophils, % | 81.3 | 85 | 76.5 |
| Lymphocytes, % | 14.5 | 9 | 14.5 |
| Erythrocyte × 104/μL | 438 | 437 | 417 |
| Hemoglobin, g/dL | 14.5 | 14.2 | 14.2 |
| Hematocrit, % | 42 | 41 | 39.5 |
| Platelets, × 104/μL | 17.7 | 11.5 | 21.4 |
| Total bilirubin, mg/dL | 1.15 | 1.18 | 0.64 |
| AST, IU/L a | 35 | 49 | 46 |
| ALT, IU/Lb | 40 | 50 | 51 |
| LDH, IU/Lc | 266 | 342 | 333 |
| Blood urea nitrogen, mg/dL | 20 | 22 | 10 |
| Creatinine, mg/dL | 1.09 | 1.09 | 0.75 |
| C-reactive protein, mg/dL | 4.84 | 8.64 | 3.41 |
| PT-INR | 1.01 | 1.05 | 0.98 |
| APTT, sec | 37.5 | 33.2 | 29.9 |
| D-dimer, μg/mL | 2 | 2 | 2.3 |
| Administered oxygen | Room air (day 4 of illness) | High flow nasal, 45L, 45%, oxygen | Nasal, 2L, oxygen |
| Arterial blood gas levels | |||
| PaCO2, mm Hgd | 29.2 | 28.6 | 35.2 |
| PaO2, mmHge | 49.5 | 79.5 | 86.9 |
| pH | 7.48 | 7.41 | 7.45 |
| Bicarbonate, mmol/L | 21 | 17.8 | 24 |
| Base excess, mmol/L | −1.3 | −5.4 | −1.6 |
Aspartate aminotransferase.
Alanine aminotransferase.
Lactate dehydrogenase.
Arterial carbon dioxide partial pressure.
Arterial oxygen partial pressure.
According to Huang et al., around 15% of hospitalized COVID-19 patients had RNAaemia in Wuhan [1] and detection of SARS-CoV-2 RNA in blood was reported to have a possible correlation with disease severity [4,5]. However, no reports on viremia in COVID-19 which showed the serial serum SARS-CoV-2 RNA results and clinical courses in COVID-19 have described the serial measurement of serum SARS-CoV-2 RNA result by polymerase chain reaction (PCR) over the clinical course to date. Here we describe the clinical course in 2 critical cases of COVID-19 with severe respiratory failure together with the results of serial PCR measurements of serum SARS-CoV-2 RNA.
2. Case report
Storage and use of serum taken from patients was granted by the Research Ethics Office of the Self Defense Forces Central Hospital (approval number: 01–011, approval date: March 5th, 2020). Consent was obtained from patients.
Case 1: A 42-year-old man with no underlying medical conditions was admitted to our hospital after being diagnosed with COVID-19 by RT-PCR assay of an oropharyngeal swab sample performed 2 days earlier. Five days before admission, he had noticed fever, dry cough and arthralgia (Fig. 1 -A). On admission (day 6 of illness), he was febrile (37.6 °C), blood pressure was 130/68 mmHg, and respiratory rate was 20 breaths/min. Oxygen saturation was 94% on room air. Computed tomography (CT) revealed consolidation and ground glass opacity in both lower lobes (Fig. 2 ).
Fig. 1.
Clinical courses of 2 case-patients with COVID-19. (A) Case 1 patient, 42-year-old male. (B) Case 2 patient, 78-year-old male. Body temperature is maximum body temperature in a day; AC, Acetaminophen; Oro, oropharyngeal swabs; RT-PCR, reverse transcription PCR.
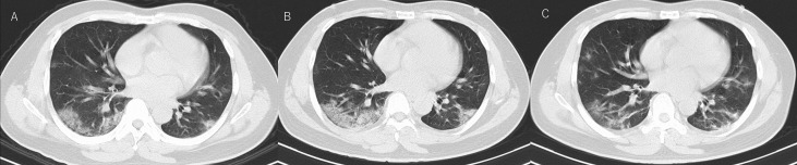
Fig. 2.
Chest CT images of Case 1 patient during hospitalization: A) Day 8 of his illness, peripheral ground-glass opacity and consolidation on both lower lobes. B) Day 11 of his illness, consolidation on the dorsal side increased in extent. C) Day 17 of his illness, consolidation on dorsal side tend to disappear, however new ground glass opacity appeared on right middle lobe and left S8.
Respiratory status gradually deteriorated and his body temperature increased to 39 °C on day 8 of his illness. Given that a previous report on viremia in cases of influenza A H1N1/09 described deteriorating respiratory symptoms and/or high fever coinciding with the detection of influenza A H1N1RNA in blood [6], we suspected a correlation with viremia in COVID-19 also. The positive test result was found on examination of serum samples for SARS-CoV-2 RNA by RT-PCR performed in accordance with recommendation by Japan's National Institute of Infectious Disease [7]. We then retrospectively performed RT-PCR of a serum sample that had been collected on admission (day 6 of illness) and stored at −80 °C. The result was negative.
On day 9 of his illness, oxygen saturation could not be maintained under nasal oxygen therapy, so high-flow nasal oxygen therapy was started at 40L/min and 40%, (Fig. 1-A). The RT-PCR result became negative on day 13 (Fig. 1-A), after which respiratory status improved and fever decreased. He was discharged on day 20 after confirming 2 consecutive negative RT-PCR results from oropharyngeal swab samples (Fig. 1-A), in line with the criteria for discharge in Japan. Chest CT findings gradually improved following the seroconversion of viral RNA to negative and improvement of general condition (Fig. 2). During hospitalization, we did not administer any antiviral or steroid therapy but provided only conservative and supportive care such as administering antipyretics and implementing measures to deep vein thrombosis. No symptoms suspect for recurrence of COVID-19 have been detected since discharge.
Case 2: A 78-year-old man with chronic heart failure by old myocardial infarction and hypertension was admitted to our hospital after being diagnosed with COVID-19. Two days before admission, he had noticed fatigue. On admission (day 3 of his illness), he was febrile (38.0 °C) and had a dry cough (Fig. 1-B). Blood pressure was 120/70 mmHg, respiratory rate was 24 breaths/min and oxygen saturation level was around 93% on room air. Chest CT showed ground glass opacity in both lower lung lobes (Fig. 3 ). Respiratory condition deteriorated and his body temperature increased to 38.8 °C on day 6 of his illness. RT-PCR for SARS-CoV-2 RNA was performed using a serum sample and the result was found to be positive. We then retrospectively performed RT-PCR of a serum sample that had been collected on admission (day 3 of illness) from the patient and found PCR assay was positive. Subsequently, RT-PCR of serum SARS-CoV-2 RNA was performed prospectively.
Fig. 3.
Chest CT images of Case 2 patient during hospitalization: A) Day 3 of his illness, ground-glass opacity on both lower lobes and right middle lobe and lingual. B) Day 7 of his illness, ground-glass opacity extended and new consolidation appeared. C) Day 13 of his illness. ground glass opacity and consolidation almost diminished.
On day 7 of illness, respiratory failure progressed and oxygen saturation concentration could not be maintained on nasal oxygen therapy, so we started high-flow nasal oxygen therapy at 40 L and 40%. The RT-PCR result became negative on day 9 (Fig. 1-B), following which respiratory status improved and fever decreased.
We found that the RT-PCR result became negative on day 9 in Case 2 (Fig. 1-B). Chest CT findings also gradually improved (Fig. 3). After we confirmed 2 consecutive negative RT-PCR results from oropharyngeal swab samples, he was discharged on day 22 (Fig. 1-B). During hospitalization, we did not administer any antiviral or steroid therapy. He has had no symptoms suspect for recurrence of COVID-19 after discharge.
3. Discussion
In these 2 cases of COVID-19 with severe respiratory failure, we have described the relationship between serial serum SARS-CoV-2 RNA results and clinical course. In Case 1, PCR-positive serum samples corresponded to worsening of both respiratory condition and laboratory findings, but his general condition improved dramatically (including respiratory status, laboratory findings, and fever) after seroconversion to negative. Similarly, in Case 2, PCR-positive serum samples corresponded to worsening of respiratory status and general condition improved dramatically after seroconversion to negative.
The correlation between COVID-19 infection and elevated cytokine levels, including IL-6, has recently gained attention [8]. IL-6 is thought to be one of the main pro-inflammatory factors in cytokine storm, and cytokine storm is a cause of organ dysfunction [9]. Also, Chen, et al. recently showed a close correlation of markedly elevated IL-6 level with the incidence of RNAaemia in COVID-19 patients [5]. In line with this, our cases suggest increased cytokine level caused high fever and deterioration of respiratory condition as evidence of organ dysfunction during the period of seroconversion and/or when there were PCR-positive serum results. The seroconversion to negative would suggest that cytokine level decreased and fever and organ dysfunction also improved with reduction in viral load. Accordingly, physicians should consider the correlation with viremia due to COVID-19 as respiratory condition progressively worsens and fever rises above 38 °C, a status that qualifies as systemic inflammatory response syndrome [10]. When progression to respiratory failure without viremia is seen, it is vital to exclude the possibility of a combination of pneumonia caused by other pathogens, cardiac failure, and pulmonary embolism [5,[11], [12], [13]].
We observed a difference in the window period for detection of serum SAES-CoV-2 RNA in our 2 cases, on day 8 of illness in Case 1 and day 3 of illness in Case 2. A recent study of COVID-19 in elderly patients showed that rapid progress of disease was found in the dead patients with median survival time of 5 days after admission and patients with dyspnea, cardiovascular disease and COPD on admission were predictive markers for fatal outcome [14]. It is probable that Case 2 progressed to viremia rapidly as he had a history of old myocardial infarction. However, he recovered with supportive care and conservative care.
Going forward, it is important for clinicians to consider the practical use of serum RT-PCR assay in COVID-19. According to a previous report related to viremia in influenza virus infection, viremia was detected in severe cases only [15]. A recent study of COVID-19 showed that RNAaemia cases were seen in the critically ill group which meets at least one of the following conditions, respiratory failure requiring mechanical ventilation, shock and multiple organ failure requiring transfer to the intensive care unit [5]. Considering these factors, serum PCR should be performed for patients with severe disease. In addition, our findings suggest that serum PCR assay may be more useful during high fever and progression of organ dysfunction including respiratory deterioration, which meets the criteria for systemic inflammatory response syndrome during the course of infection [10].
Although it remains unclear whether viremia is an indicator of mortality, our 2 cases showed progression to severe acute respiratory failure and critical condition, which supports Chen et al.’s findings that the presence of viremia in COVID-19 is a prognostic indicator of clinical severity [4]. We suggest that detection of viremia in addition to serial serum SARS-CoV-2 RNA measurements can be useful predictive markers for severity and may also be helpful in predicting the clinical course. However, further accumulation of COVID-19 cases with serum SARS-CoV-2 RNA measurements is required to confirm this.
Authorship statement
All authors meet the ICMJE authorship criteria. TK reviewed the clinical literature and drafted the initial draft of the manuscript. YK and SK edited the manuscript. HO, HT and HS designed the figure in the manuscript. SO edited the table in the manuscript., AK and KT edited the manuscript and provided intellectual inputs. All authors approved the final version of the manuscript.
Declaration of Competing Interest
None.
Acknowledgements
We thank Dr. Kazuo Imai and laboratory staff for their contribution to perform RT-PCR.
References
- 1.Huang C., Wang Y., Li X., Ren L., Zhao J., Hu Y., et al. Clinical features of patients infected with 2019 novel coronavirus in Wuhan, China. Lancet. 2020;395:497–506. doi: 10.1016/S0140-6736(20)30183-5. [DOI] [PMC free article] [PubMed] [Google Scholar]
- 2.Wan D., Hu B., Hu C., Zhu F., Liu X., Zhang J., et al. Clinical characteristics of 138 hospitalized patients with 2019 novel coronavirus-infected pneumonia in Wuhan, China. J Am Med Assoc. 2020;323:1061–1069. doi: 10.1001/jama.2020.1585. https://jamanetwork.com/journals/jama/fullarticle/2761044 [DOI] [PMC free article] [PubMed] [Google Scholar]
- 3.Zhou F., Yu T., Du R., Fan G., Liu Y., Liu Z., et al. Clinical course and risk factors for mortality of adult in patients with COVID-19 in Wuhan, China: a retrospective cohort study. Lancet. 2020;395:1054–1062. doi: 10.1016/S0140-6736(20)30566-3. [DOI] [PMC free article] [PubMed] [Google Scholar]
- 4.Chen W., Lan Y., Yuan X., Deng X., Li Y., Cai X., et al. Detectable 2019-nCoV viral RNA in blood is a strong indicator for the further clinical severity. Emerg Microb Infect. 2020;9:469–473. doi: 10.1080/22221751.2020.1732837. [DOI] [PMC free article] [PubMed] [Google Scholar]
- 5.Chen X., Zhao B., Qu Y., Chen Y., Xiong J., Fen Y., et al. Detectable serum SARS-CoV-2 viral load (RNAaemia) is closely correlated with drastically elevated interleukin 6 (IL-6) level in critically inn COVID-19 patients. Clin Infect Dis. 2020:ciaa449. doi: 10.1093/cid/ciaa449. [DOI] [PMC free article] [PubMed] [Google Scholar]
- 6.Matthew O., Andre D., Denny L., Hugues C., Marc A., Marc M., et al. Evidence of viremia in 2 cases of severe pandemic influenza A H1N1/09. Diagn Microbiol Infect Dis. 2011;70:213–217. doi: 10.1016/j.diagmicrobio.2010.12.013. [DOI] [PubMed] [Google Scholar]
- 7.Nagamori N., Shirato K., Katano H., Matsuyama S., Makoto T. Detection of second case of 2019-nCoV infection in Japan. National Institute of Infectious Diseases. https://www.niid.go.jp/niid/images/vir3/nCoV/method-niid-20200123-2_erratum.pdf
- 8.John B.M., Carl H.J. Cytokine release syndrome in severe COVID-19. Science. 2020;368:473–474. doi: 10.1126/science.abb8925. http://science.science.mag.org/content/368/6490/473 [DOI] [PubMed] [Google Scholar]
- 9.Tanaka T., Narazaki M., Kishimoto T. IL-6 in inflammation, immunity, and disease. Cold Spring Harb Perspect Biol. 2014;6:a016295. doi: 10.1101/cshperspect.a016295. https://cshperspectives.cshlp.org/content/6/10/a016295.full [DOI] [PMC free article] [PubMed] [Google Scholar]
- 10.Bone R., Balk R., Cerra F., Dellinger R., Fein A., Knaus W., et al. Definitions for sepsis and organ failure and guidelines for the use of innovative therapies in sepsis. The ACCP/SCCM consensus conference committee. American college of chest physicians/society of critical care medicine. Chest. 1992;101:1644–1655. doi: 10.1378/chest.101.6.1644. [DOI] [PubMed] [Google Scholar]
- 11.Philipp K., Oliver C., Bernd B., Fabian D., Dennis A., Frieder F., et al. COVID-19 associated pulmonary aspergillosis. Mycoses. 2020;63:528–534. doi: 10.1111/myc.13096. [DOI] [PMC free article] [PubMed] [Google Scholar]
- 12.Robert B., Gregg F., Patric O., Clyde Y. Association of coronavirus disease 2019 (COVID-19) with myocardial injury and mortality. JAMA Cardiol. 2020 doi: 10.1001/jamacardio.2020.1105. [DOI] [PubMed] [Google Scholar]
- 13.Klok F., Kruip M., van der Meer N., Arbous M., Gommers D., Kant K., et al. Incidence of thrombotic complications in critically ill ICU patients with COVID-19. Thromb Res. 2020;191:145–147. doi: 10.1016/j.thromres.2020.04.013. [DOI] [PMC free article] [PubMed] [Google Scholar]
- 14.Wang L., He W., Yu X., Hu D., Bao M., Liu H., et al. Coronavirus disease 2019 in elderly patients: characteristics and prognostic factors based on 4-week follow-up. J Infect. 2020;80:639–645. doi: 10.1016/j.jinf.2020.03.019. [DOI] [PMC free article] [PubMed] [Google Scholar]
- 15.To K., Hung I., Li I., Lee K., Koo C., Yan W., et al. Delayed clearance of viral load and marked cytokine activation in severe cases of pandemic H1N1 2009 influenza virus infection. Clin Infect Dis. 2010;50:850–859. doi: 10.1086/650581. [DOI] [PMC free article] [PubMed] [Google Scholar]



