Abstract
Background
A pyogenic liver abscess (PLA) represents a pus-filled cavity within the liver parenchyma caused by the invasion and multiplication of bacteria. The most common offender isolated from the PLA in children is Staphylococcus aureus. Abiotrophia defectiva is a Gram-positive pleomorphic bacterium, commonly found in the oral cavity, intestinal, and genitourinary mucosa as part of the normal microbiota. It has been proven to be an etiological factor in various infections, but rarely in cases of PLA. The case presented here is, to the best of our knowledge, the first pediatric case of PLA caused by A. defectiva.
Case presentation
A 13-year-old Caucasian boy presented with a two-day history of abdominal pain, fever up to 40 °C, and polyuria. Contrast-enhanced computed tomography (CT) scan revealed a single, multiloculated liver lesion, suggestive of a liver abscess. The boy had sustained a bicycle handlebar injury to his upper abdomen 3 weeks before the symptoms appeared and had been completely asymptomatic until 2 days before admission. He was successfully treated with antibiotic therapy and open surgical drainage. A. defectiva was isolated from the abscess material. Histopathology report described the lesion as a chronic PLA.
Conclusions
A. defectiva is a highly uncommon cause of liver abscess in children. In such cases, various predisposing factors should be considered, including antecedent blunt abdominal trauma.
Keywords: Liver abscess, Abiotrophia defectiva, Liver trauma, Children, Case report
Background
A liver abscess (LA) represents a pus-filled cavity within the liver parenchyma caused by the invasion and multiplication of microorganisms. The etiology of LA may be bacterial, parasitic (amebic, mostly), mixed (pyogenic superinfection of a parasitic abscess) or, more rarely, fungal. Bacterial infection represents the most common cause of hepatic abscess in developed countries, giving rise to a pyogenic liver abscess (PLA) [1]. Previously, it had been shown that a wide diversity of bacteria was associated with this kind of hepatic lesion [2–4]. In Central Europe, PLA is most frequently caused by Escherichia coli, Streptococcus spp., and Staphylococcus spp., whereas Klebsiella pneumoniae causes the majority of PLA cases in Southeast Asia [2]. The most common offender isolated from the PLA in children is Staphylococcus aureus [3]. Anaerobes, microaerophilic streptococci, and Gram-negative rods (such as E. coli and Klebsiella spp.) are also frequently recognized as causative organisms of PLA in the pediatric population [4].
The bacteria can reach the liver parenchyma in different ways: through biliary ducts (i.e., chole (docho) lithiasis, obstructing tumor, stricture or congenital anomaly of the biliary tree), by portal vein seeding (in case of appendicitis, diverticulitis, inflammatory bowel disease or postoperative intra-abdominal infections), by hepatic artery seeding (due to the hepatic artery thrombosis/chemoembolization or bacteremia), through direct extension of bacteria (from a subphrenic abscess, perinephric abscess or cholecystitis), or by penetrating trauma. However, according to some studies, in 18–66% of cases, PLA is cryptogenic (with no obvious underlying cause) [5].
Here, we present a case of a teenage boy with a pyogenic liver abscess caused by Abiotrophia defectiva, which is, to the best of our knowledge, the first reported pediatric case of PLA caused by this organism. The potential pathogenetic role of antecedent asymptomatic blunt liver trauma (BLT) is discussed.
Case presentation
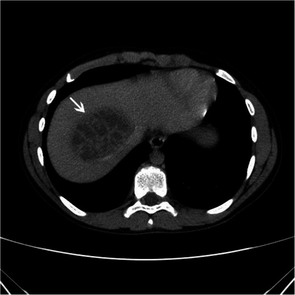
A 13-year-old Caucasian boy presented to the regional hospital with a two-day history of abdominal pain, fever up to 40 °C, and polyuria. Three weeks before the symptoms appeared, the boy had fallen off his bicycle and sustained a handlebar injury to his upper abdomen. However, he was completely asymptomatic in the meantime and, when asked about the possibility of a recent abdominal trauma, the child and his mother at first denied any such event. Apart from that, his general past medical history was unremarkable. Physical examination on admission revealed a soft, non-tender, and non-distended abdomen, without masses. The liver and spleen were not palpable below the costal margins. The laboratory tests showed significantly elevated inflammatory parameters (C-reactive protein (CRP) of 154.68 mg/L and erythrocyte sedimentation rate of 53 mm/h), leukocytosis (his white blood cell count was 13.81 × 109/L), and mildly elevated levels of aminotransferases (alanine aminotransferase (ALT) and aspartate aminotransferase (AST) levels were 77 IU/L and 52 IU/L, respectively). The urinalysis did not detect the presence of nitrites and white blood cells, and his urine culture was negative. Abdominal ultrasound revealed a unifocal, predominantly hypoechoic lesion in the right hepatic lobe, with irregular internal echoes. Contrast-enhanced portal phase computed tomography (CT) scan showed a single, well-defined, low-attenuation liver lesion, located in the segment VIII, measuring 65x56x41mm (LLxAPxCC) (Fig. 1). The lesion was multiloculated, with contrast-enhanced internal septa, which represents a “cluster sign” of PLA. Right and middle hepatic veins were compressed and slightly dislocated by lesion, but patent. Empiric antibiotic therapy was initiated with ceftriaxone, and subsequently, amoxicillin/clavulanate was added. Enzyme-linked immunosorbent assay (ELISA) for the determination of anti-Echinococcus IgG antibodies was negative. On the fourth day after admission, the boy’s overall condition significantly improved, and he was afebrile for the rest of his hospital stay in the regional hospital.
Fig. 1.

Axial contrast-enhanced portal phase CT image shows a single, low-attenuation, multilocular lesion in the segment VIII of the liver
On day 7 after admission, the patient was transferred to the tertiary care pediatric hospital for further diagnostic evaluation and treatment. The physical examination on admission was unremarkable; laboratory test values were within normal ranges except for leukocytosis with neutrophilia (total leukocyte count: 13.35 × 109/L; neutrophils: 74.42%), and elevated levels of CRP (49.8 mg/L) and ALT (72 IU/L). Alpha-fetoprotein and beta-human chorionic gonadotropin values were within the reference ranges. The patient’s blood culture showed no growth.
Antibiotic therapy was switched to cefazolin and metronidazole. On the 11th hospital day, open surgical drainage of the liver abscess was performed. Upon entering the abdominal cavity through the right subcostal incision, the falciform ligament, the coronal ligament and the right triangular ligament were sectioned to allow the mobilization of the right lobe of liver, and a solitary lesion was identified in its anterosuperior portion. The incision on the surface of the liver parenchyma allowed access to the multiloculated hepatic abscess cavity filled with viscous pus. The loculations were manually broken down to ensure complete drainage and, additionally, a surgical drain was left in situ. The abscess material was sent for microbiological analysis. Gram staining revealed Gram-positive pleomorphic cocci and coccobacilli arranged in chains. Cultures yielded scanty growth on Columbia and chocolate agar. MALDI-TOF MS identified the isolated bacterium as Abiotrophia defectiva. Also, a tissue sample of six fragments measuring 2x2x0.5 cm in total was sent for histopathological analysis. Microscopically, around a central area of the confluent microabscesses, a thick zone of granulation tissue with hyperemic, young capillaries, and peripheral maturation in the form of proliferating fibroblasts, presented the typical picture of chronic PLA (Fig. 2). The surrounding hepatocytes showed mild regenerative atypia.
Fig. 2.

a From right to left, typical layers of the wall of a chronic PLA are visible: liquefaction necrosis with the abundance of neutrophils, granulation tissue with congested, young capillaries, a thick zone of proliferating fibroblasts and a variably thick layer of preserved liver parenchyma at the periphery of the specimen. (HE, × 25). b The inner layer of the chronic pyogenic abscess. To the right of a zone of neutrophil-rich liquefaction necrosis is a thick layer of granulation tissue with numerous, young capillaries and initial fibroblastic proliferation. (HE, × 100)
Postoperatively, the patient received triple-antibiotic therapy with cefazolin, gentamicin, and metronidazole. After the microbiological culture report came in, these were switched to ceftriaxone. The boy recovered very well after the surgical procedure. He spent 3 weeks in total on intravenous antibiotic therapy, followed by 3 weeks of peroral amoxicillin/clavulanate. Meanwhile, a thorough oral cavity and dental examination was performed to look for a potential source of infection, and no decayed teeth or pathological changes were identified. The patient was doing well after 3 months of follow-up. His physical examination and laboratory tests showed no abnormalities, and the abdominal ultrasound imaging indicated that pyogenic liver abscess had resolved to almost normal liver parenchyma.
Discussion and conclusions
During the first three decades of the twentieth century, the most frequent cause of PLA was pylephlebitis secondary to appendicitis [6]. Nowadays, the incidence of this complication is significantly reduced because of the expeditious surgical treatment of intra-abdominal infections and the advances made in antimicrobial therapy [7]. Currently, biliary tract disease is the most common identifiable cause of PLA in adults [8].
In the pediatric population, many predisposing factors may be associated with the development of LA, namely, congenital immunodeficiency disorders (chronic granulomatous disease, Papillon-Lefèvre syndrome, deficiency of C1 complement component, hyperimmunoglobulin E syndrome), acquired immunosuppression, protein-calorie malnutrition, sickle cell disease, helminthic infections, congenital biliary tree anomalies, and trauma [3, 4].
Penetrating trauma may cause the development of PLA by inoculating bacteria directly into the liver parenchyma. On the other hand, BLT may provide conditions for the proliferation of microorganisms due to localized hepatic necrosis, intrahepatic hemorrhage, and bile leakage, which may lead to abscess formation [3, 4, 9]. Liver trauma, including penetrating and blunt injury, is responsible for less than 5% of all PLA cases [9]. Moreover, PLA is a known complication of the non-operative treatment of BLT, although it occurs quite infrequently – in about 0.7% of patients, according to combined results of three large studies [10]. In the series of Hsieh et al., which included 395 patients with BLT who were treated non-operatively, this complication was identified slightly more frequently, in 1.5% of cases. All of these patients suffered from liver injury grade 3 or 4 according to the American Association for the Surgery of Trauma Hepatic Injury Scale (1994 revision) [9, 11]. Notwithstanding, Fabian et al. reported that perihepatic abscess formation was observed even in patients with liver trauma grade 1 or 2 [12]. However, this study did not specify the precise location of the abscesses (intrahepatic, subhepatic or subphrenic) nor whether they were the complication of blunt or penetrating liver trauma. Although the anamnestic data suggested that our patient had suffered an apparently mild, symptom-free, blunt abdominal trauma, and no other liver lesions were seen on the CT scan performed 3 weeks after that event, we cannot exclude its potential pathogenetic role in this case.
It is plausible to speculate that oxygen depletion and blood in post-traumatic hematoma provided fertile ground for oral bacteria seeded through transient bacteremia. However, the oral cavity and dental examination showed no abnormalities in our patient. On the other hand, it is well-known that asymptomatic bacteremia can occur in normal daily activities, such as conducting oral hygiene. In a healthy person, these clinically benign infections are transient and cause no further sequelae [13]. Alternatively, the causative role of bacterial invasion originating from an unidentified gastrointestinal injury following blunt abdominal trauma in developing PLA has been considered by some authors [12]. Therefore, the exact route of entry of bacteria cannot be assuredly determined in our patient.
The percutaneous drainage in combination with intravenous antibiotics is currently the standard treatment for the majority of PLA. However, according to the current practices, if the abscess is multiloculated, has a diameter of > 5 cm, or is located in an anatomical area that is difficult to access percutaneously, open surgical drainage should be considered [14, 15]. PLA in our patient met all these criteria, so we opted for the open surgical drainage.
A. defectiva is a pleomorphic bacterium first described in 1961 and was previously referred to as nutritionally variant streptococci (NVS) [16]. NVS are fastidious Gram-positive bacteria, requiring either L-cysteine- or pyridoxal-supplemented medium to support growth. DNA-based technology allowed reclassification of the organisms that previously belonged to NVS in two genera: Abiotrophia and Granulicatella [17]. The genus Abiotrophia currently includes a single species, A. defectiva [18]. A. defectiva is commonly found in the oral cavity, intestinal, and genitourinary mucosa as a part of the normal microbiota [19], but also has been proven to be an etiological factor in various infections. The most frequent is endocarditis, with more than 125 cases reported in the English literature [20]. Furthermore, there are published cases of other A. defectiva infections: ocular infections, meningitis, peritoneal dialysis-related peritonitis, pancreatic abscess, prosthetic joint infections, otitis media, and osteomyelitis [19, 21]. Nevertheless, A. defectiva has been rarely isolated in patients with PLA.
In the study of Reyna-Fabián et al., which investigated the difference in bacterial diversity in the amebic and bacterial liver abscess, Abiotrophia genome was detected in the abscess aspirate of one patient who was clinically diagnosed with amebic liver abscess. This patient had a positive ELISA test for anti-amebic antibodies. Apart from Abiotrophia, DNA analysis of the abscess material detected other bacterial species, including Granullicatela and Streptococcus sp., but none of the Entamoeba molecular markers were detected [22]. Also, Cavrić et al. reported a case of a 78-year-old patient with a polymicrobial liver abscess caused by Actinomyces odontolyticus, Abiotrophia sp., Haemophilus parainfluenzae, Streptococcus intermedius, and Streptococcus anginosus, probably related to subacute cholecystitis [23].
The histopathology report described the lesion as a chronic PLA. Albeit, its clinical presentation with sudden onset of high-grade fever and abdominal pain, as well as elevated CRP level, was more similar to the acute PLA, which is generally caused by more virulent microorganisms such as S. aureus and E. coli. We may hypothesize that, due to its low-virulence potential, A. defectiva did not evoke a vigorous systemic inflammatory response in our patient. Therefore, the preclinical phase of the disease was quite insidious, and only the advancement of liver damage triggered the onset of acute inflammation. Accordingly, a long preclinical phase allowed for significant enlargement of the abscess, leading to difficulties in management and requiring the use of a more invasive surgical approach.
To conclude, A. defectiva is, due to its low virulence, an uncommon cause of liver abscess in healthy individuals. In such cases, various predisposing factors should be considered, such as previous liver disease, immunodeficiency, and trauma. In our patient, a possible explanation might be that the neglected blunt hepatic trauma provided a habitat for the proliferation of this microorganism within the liver parenchyma. Nevertheless, the cryptogenic origin of the abscess cannot be excluded.
On the other hand, we may argue that our case is the first well-documented case of A. defectiva-caused bacterial hepatic abscess in a pediatric patient. However, having in mind that our patient received multiple-antibiotic therapy before sampling for microbiological culture, it is unclear whether A. defectiva was the sole causative agent or this might have been a case of primarily polymicrobial infection.
Acknowledgements
The authors thank the patient and his parents for their cooperation.
Abbreviations
- ALT
Alanine aminotransferase
- AST
Aspartate aminotransferase
- BLT
Blunt liver trauma
- CRP
C-reactive protein
- CT
Computed tomography
- ELISA
Enzyme-linked immunosorbent assay
- LA
Liver abscess
- NVS
Nutritionally variant streptococci
- PLA
Pyogenic liver abscess
Authors’ contributions
PR drafted the manuscript and participated in the treatment of the patient. ZVV and SMD participated in the diagnostic process and substantively revised the manuscript. SB, MM, and DS participated in the treatment of the patient and contributed to the editing of the report. VT participated in the diagnostic process and the editing of the report. The authors read and approved the final version of the manuscript.
Funding
No funding was obtained for this study.
Availability of data and materials
The authors declare that all data supporting the findings of this case report are available within the article.
Ethics approval and consent to participate
Ethics committee approval was not required for this case report.
Consent for publication
The written informed consent for the publication of this case report was obtained from the patient and his mother.
Competing interests
The authors declare that they have no competing interests.
Footnotes
Publisher’s Note
Springer Nature remains neutral with regard to jurisdictional claims in published maps and institutional affiliations.
References
- 1.Lardière-Deguelte S, Ragot E, Amroun K, Piardi T, Dokmak S, Bruno O, et al. Hepatic abscess: diagnosis and management. J Visc Surg. 2015;152:231–243. doi: 10.1016/j.jviscsurg.2015.01.013. [DOI] [PubMed] [Google Scholar]
- 2.Cerwenka H. Pyogenic liver abscess: differences in etiology and treatment in Southeast Asia and Central Europe. World J Gastroenterol. 2010;16:2458–2462. doi: 10.3748/wjg.v16.i20.2458. [DOI] [PMC free article] [PubMed] [Google Scholar]
- 3.Mishra K, Basu S, Roychoudhury S, Kumar P. Liver abscess in children: an overview. World J Pediatr. 2010;6:210–216. doi: 10.1007/s12519-010-0220-1. [DOI] [PubMed] [Google Scholar]
- 4.Sharma MP, Kumar A. Liver abscess in children. Indian J Pediatr. 2006;73:813–817. doi: 10.1007/BF02790392. [DOI] [PubMed] [Google Scholar]
- 5.Longworth S, Han J. Pyogenic liver abscess. Clin Liver Dis (Hoboken) 2015;6:51–54. doi: 10.1002/cld.487. [DOI] [PMC free article] [PubMed] [Google Scholar]
- 6.Huang CJ, Pitt HA, Lipsett PA, Osterman FA, Jr, Lillemoe KD, Cameron JL, et al. Pyogenic hepatic abscess. Changing trends over 42 years. Ann Surg. 1996;223:600–607. doi: 10.1097/00000658-199605000-00016. [DOI] [PMC free article] [PubMed] [Google Scholar]
- 7.Lim HE, Cheong HJ, Woo HJ, Kim WJ, Kim MJ, Lee CH, et al. Pylephlebitis associated with appendicitis. Korean J Intern Med. 1999;14:73–76. doi: 10.3904/kjim.1999.14.1.73. [DOI] [PMC free article] [PubMed] [Google Scholar]
- 8.Rahimian J, Wilson T, Oram V, Holzman RS. Pyogenic liver abscess: recent trends in etiology and mortality. Clin Infect Dis. 2004;39:1654–1659. doi: 10.1086/425616. [DOI] [PubMed] [Google Scholar]
- 9.Hsieh CH, Chen RJ, Fang JF, Lin BC, Hsu YP, Kao JL, et al. Liver abscess after non-operative management of blunt liver injury. Langenbecks Arch Surg. 2003;387:343–347. doi: 10.1007/s00423-002-0337-3. [DOI] [PubMed] [Google Scholar]
- 10.Pachter HL, Liang HG, Hofstetter SR. Liver and biliary tract trauma. In: Mattox KL, Feliciano DV, Moore EE, editors. Trauma. 4. New York: McGraw-Hill; 2000. pp. 633–682. [Google Scholar]
- 11.Moore EE, Cogbill TH, Jurkovich GJ, Shackford SR, Malangoni MA, Champion HR. Organ injury scaling: spleen and liver (1994 version) J Trauma. 1995;38:323–332. doi: 10.1097/00005373-199503000-00001. [DOI] [PubMed] [Google Scholar]
- 12.Fabian TC, Croce MA, Stanford GG, Payne LW, Mangiante EC, Voeller GR, et al. Factors affecting morbidity following hepatic trauma. A prospective analysis of 482 injuries. Ann Surg. 1991;213:540–547. doi: 10.1097/00000658-199106000-00003. [DOI] [PMC free article] [PubMed] [Google Scholar]
- 13.Smith DA, Nehring SM. StatPearls. Treasure Island: StatPearls Publishing; 2019. Bacteremia. [Google Scholar]
- 14.Wong P, Herlong HF. Pyogenic liver abscess. In: Schlossberg D, editor. Clinical infectious disease. 2. Cambridge: Cambridge University Press; 2015. pp. 314–316. [Google Scholar]
- 15.Rismiller K, Haaga J, Siegel C, Ammori JB. Pyogenic liver abscesses: a contemporary analysis of management strategies at a tertiary institution. HBP. 2017;19:889–893. doi: 10.1016/j.hpb.2017.06.005. [DOI] [PubMed] [Google Scholar]
- 16.Collins MD, Lawson PA. The genus Abiotrophia (Kawamura et al.) is not monophyletic: proposal of Granulicatella gen. Nov., Granulicatella adiacens comb. nov., Granulicatella elegans comb. nov. and Granulicatella balaenopterae comb. nov. Int J Syst Evol Microbiol. 2000;50:365–369. doi: 10.1099/00207713-50-1-365. [DOI] [PubMed] [Google Scholar]
- 17.Alberti MO, Hindler JA, Humphries RM. Antimicrobial susceptibilities of Abiotrophia defectiva, Granulicatella adiacens, and Granulicatella elegans. Antimicrob Agents Chemother. 2015;60:1411–1420. doi: 10.1128/AAC.02645-15. [DOI] [PMC free article] [PubMed] [Google Scholar]
- 18.Ezaki T, Kawamura Y. Abiotrophia. In: Bergey's manual of systematics of archaea and bacteria. Wiley Online Library; 2015. 10.1002/9781118960608.gbm00580.
- 19.Ince A, Tiemer B, Gille J, Boos C, Russlies M. Total knee arthroplasty infection due to Abiotrophia defectiva. J Med Microbiol. 2002;51:899–902. doi: 10.1099/0022-1317-51-10-899. [DOI] [PubMed] [Google Scholar]
- 20.Rudrappa M, Kokatnur L. Infective endocarditis due to Abiotrophia defectiva and its feared complications in an immunocompetent person: rare, but real. J Glob Infect. 2017;9:79–81. doi: 10.4103/0974-777X.204693. [DOI] [PMC free article] [PubMed] [Google Scholar]
- 21.Shah N, Naidu P, Pauly RP. Peritoneal dialysis-related peritonitis due to Abiotrophia defectiva: a case report. Can J Kidney Health Dis. 2016;3:2054358116678206. doi: 10.1177/2054358116678206. [DOI] [PMC free article] [PubMed] [Google Scholar]
- 22.Reyna-Fabián ME, Zermeño V, Ximénez C, Flores J, Romero MF, Diaz D, et al. Analysis of the bacterial diversity in liver abscess: differences between pyogenic and amebic abscesses. Am J Trop Med Hyg. 2016;94:147–155. doi: 10.4269/ajtmh.15-0458. [DOI] [PMC free article] [PubMed] [Google Scholar]
- 23.Cavrić G, Nasabain K, Jurić K, Prkačin I, Bartolek Hamp D, Bogdanović DM. Liver abscess caused by Actinomyces odontolyticus, Abiotrophia species, Haemophilus parainfluenzae, Streptococcus anginosus and Streptococcus intermedius – case report. Signa Vitae. 2015;10(Suppl 1):72–73. [Google Scholar]
Associated Data
This section collects any data citations, data availability statements, or supplementary materials included in this article.
Data Availability Statement
The authors declare that all data supporting the findings of this case report are available within the article.
