Abstract
Background
Fahr’s syndrome (or Fahr’s disease) is a rare, neurological disorder characterized by bilateral calcification in the cerebellum, thalamus, basal ganglia, and cerebral cortex as a result of calcium and phosphorus metabolism disorder. The patients may be asymptomatic and clinical symptoms represent a wide range of neurologic manifestations and nonspecific neuropsychiatric disorders. We report an unusual case of Fahr’s syndrome which was asymptomatic and incidentally diagnosed by generalized tonic-clonic seizure in a patient with SARS-CoV-2 (COVİD-19) pneumonia.
Case presentation
The patient was a 68-year-old female and admitted to our emergency department suffering from cough and fatigue. After thorax computed tomography (CT) and SARS-CoV-2 PCR test, she was diagnosed as COVID-19 pneumonia. In the intensive care unit, the patient had a tonic-clonic convulsion starting from the left arm and spreading to the whole body. Fahr’s syndrome was diagnosed after a cranial CT scan and blood metabolic panel test.
Conclusions
As a result of the clinical, radiological, and biochemical evaluations, the patient was diagnosed incidentally as Fahr’s syndrome associated with hypoparathyroidism. Seizures could be induced by hydroxychloroquine that was in the COVID-19 treatment or the inflammation caused by COVID-19 pneumonia. The association between the mortality of COVID-19 pneumonia and Fahr’s syndrome is unknown which needs further research.
Keywords: (SARS-CoV-2) COVID-19 disease, Fahr’s syndrome, Hypoparathyroidism
Introduction
Fahr’s syndrome (FS) was first described by Karl Theodore Fahr in 1930 [1]. The exact etiologies of this syndrome are unknown, but calcium metabolism disorders, toxins, infections, genetic causes, hypoparathyroidism, and pseudohypoparathyroidism may be causes of this syndrome. The prevalence of this syndrome is less than 0.5% [2]. Fahr’s syndrome is mostly a disease with an autosomal dominant genetic transition, but autosomal recessive transition and sporadic development may occur [3].
Clinical manifestations of Fahr’s syndrome are in a wide range such as easy fatigue, unbalanced walking, speech impairment, swallowing difficulty, involuntary movements, muscle cramps, dementia, personality changes, and neuropsychiatric disorders, but some cases with FS may present without neurological symptoms. Symptoms are mostly seen in the 4th or 5th decades and mostly diagnosed at those ages [4].
In this case report, we aimed to present an incidental diagnose of Fahr’s syndrome in a patient with SARS-CoV-2 (COVID-19) infection.
Case description
Written informed consent has been obtained for publication of this report from the relatives of the patient. The patient was a 68-year-old female admitted to our emergency department suffering from cough and fatigue. She had no known additional systemic disease. Ground-glass densities were seen in thorax CT images which were interpreted as COVID-19 pneumonia. She was hospitalized and treatment started with nasal oxygen therapy and administration of hydroxychloroquine and oseltamivir. COVID-19 polymerase chain reaction (PCR) test was positive in nasopharyngeal and oropharyngeal combined swab samples.
On the 2nd day of treatment, the patient was transferred to the intensive care unit (ICU) because of respiratory distress and oxygen desaturation. The patient was conscious. Favipiravir was added to the treatment in the ICU.
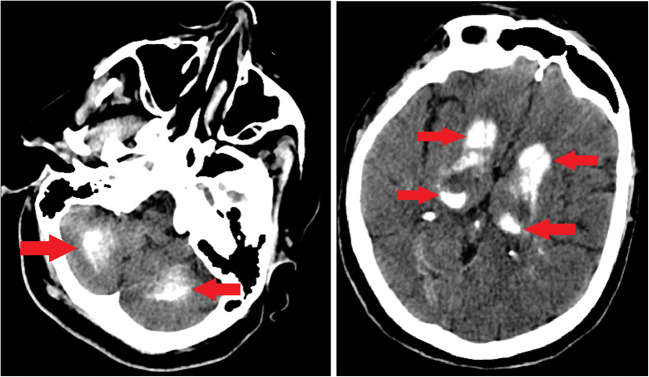
On the 2nd day in the ICU, the patient had a tonic-clonic convulsion starting from the left arm and spreading to the whole body. She was successfully treated with 2 mg of intravenous midazolam. We observed that calcium level was 5.4 mg/dL, albumin level was 31.8 g/L, and phosphorus level was 7.8 mg/dL in the laboratory tests. Calcium replacement was started and 0.5 mcg of calcitriol was added to the treatment twice a day after consultation with endocrinology department. Calcium level increased to 7.5 mg/dL after replacement therapy. Levetiracetam was added to the treatment as anticonvulsant and a cranial CT imaging was ordered for identifying the underlying etiology of the seizure. The cranial CT scan showed bilateral calcifications at the corona radiata, nucleus dentatus, basal ganglia, and cerebellum (Fig. 1). Based on these findings, the patient was diagnosed as Fahr’s syndrome. A blood metabolic panel test was ordered which showed that parathormone (PTH) level was 2.8 ng/L and 25-hydroxy-vitamin D level was 5.36 mcg/L. It was considered that the underlying etiology of Fahr’s syndrome was hypoparathyroidism.
Fig. 1.
Calcifications at the levels of cerebellum and basal ganglia
On the next day, the patient was tracheally intubated and ventilated mechanically due to severe acute respiratory distress syndrome (ARDS). Midazolam and fentanyl infusions were started intravenously for sedation. No convulsions or any other neurological events were observed in the following days and the same treatment protocol was continued. The ARDS caused by COVID-19 pneumonia became severe and the patient died on the 8th day in the ICU.
Discussion
The pathogenesis of Fahr’s syndrome has not been fully understood. The defects in the transport of iron atoms and tissue damage caused by free radicals cause the onset of calcification [4]. The prevalence of physiological intracranial calcification may be asymptomatic with an incidence of 1.3–1.5% which are incidentally detected in neuroimaging studies. Pathological intracranial calcification may occur due to various causes such as metabolic disorders, infections, and genetic disorders [5]. Metabolic disorders, especially parathyroid disorders, are among the most common causes of intracranial calcification [5]. Anticonvulsant therapy was found related with basal ganglia calcification but there is no evidence that anticonvulsant therapy causes calcification itself. The most frequent calcification is observed in the globus pallidus. Also, the putamen, caudate, and dentate nucleus, thalamus, and white matter are other places where calcifications occur [7].
The diagnostic criteria of Fahr’s syndrome were reported and edited by Moskowitz, Ellie, and Manyam [2, 5, 6]. These criteria are progressive neurological disorders in the bilateral basal ganglia detected by the imaging methods, often with movement disorder or neuropsychiatric symptoms typically beginning in the 3rd and 4th decades of life, absence of biochemical abnormalities and somatic features suggesting mitochondrial and metabolic diseases or other systemic disease and absence of any infection, toxic or trauma history, and family history of autosomal dominant inheritance. Pathologies that can be seen together are divided into 4 groups: endocrinological disorders, adult-onset neurodegenerative growth anomalies, infectious disease, hereditary syndromes [7].
Our patient was asymptomatic without any movement disorder or neuropsychiatric symptoms and Fahr’s disease presented with generalized tonic-clonic seizure in the ICU. The seizures were seen after the patient was admitted to the ICU and a computerized tomography cranial imaging was ordered to investigate the etiology of the seizures. Cranial CT scan showed bilateral calcifications at the corona radiata, nucleus dentatus, basal ganglia, and cerebellum. The CT scan findings were interpreted as in favor of Fahr’s syndrome. A further blood chemistry metabolic panel test showed hypocalcemia and hypoparathyroidism.
The clinical manifestations could be induced both by the COVID-19 infection or calcium metabolism disorder. Hydroxychloroquine may cause seizures and could have also played a role in the presentation of seizures [8]. Nevertheless, cranial CT imaging showing calcifications and laboratory findings suggest that seizures most likely occurred due to Fahr’s syndrome secondary to hypoparathyroidism. However, the exact distinction may not be possible in our patient. We did not see any previous medical or surgical causes for brain calcifications in the clinical history of the patient. Family anamnesis did not show a sign attributable to Fahr’s disease or a cerebral calcification discovered with a CT scan. Thus, mutation of genes associated with primary familial brain calcification was not considered in this patient.
In conclusion, our patient was admitted to the hospital as suspected COVID-19 viral pneumonia who had generalized seizures in the ICU. As a result of the clinical, radiological, and biochemical evaluations, the patient was diagnosed incidentally as Fahr’s syndrome associated with hypoparathyroidism. The inflammation caused by COVID-19 pneumonia in our patient may disrupt homeostasis, causing the patient to have seizures in the background of underlying intracranial calcification and hypocalcemia. Seizures could also be induced by hydroxychloroquine treatment in our patient. The association of the mortality of COVID-19 pneumonia and Fahr’s syndrome is unknown which needs further research.
Compliance with ethical standards
Conflict of interest
The authors declare that they have no conflict of interest.
Ethical approval
All procedures performed in the studies involving human participants were in accordance with the ethical standards of the institutional and national research committee and the 1964 Helsinki Declaration and its later amendments or comparable ethical standards.
Informed consent
Informed consent was obtained from all individual participants included in the study.
Footnotes
Publisher’s note
Springer Nature remains neutral with regard to jurisdictional claims in published maps and institutional affiliations.
References
- 1.Schmidt U, Mursch K, Halatsch ME. Symmetrical intracerebral and intracerebellar calcification (“Fahr’s disease”) Funct Neurol. 2005;20(1):15. [PubMed] [Google Scholar]
- 2.Sava A, Dumitrescu G, Haba D, Hodorog D, Mihailov C, Şapte E. The Fahr syndrome and the chronic lymphocytic thyroiditis. Romanian J Morphol Embryol. 2013;54(1):195–200. [PubMed] [Google Scholar]
- 3.Yamada N, Hayashi T. Asymptomatic familial basal ganglia calcification with autosomal dominant inheritance: a family report. Brain Dev. 2000;32(6):515–519. [PubMed] [Google Scholar]
- 4.Adachi M, Wellmann KF, Volk BW. Histochemical studies on the pathogenesis of “idiopathic non-arteriosclerotic cerebral calcification”. J Neuropathol Exp Neurol. 1968;27(3):483–499. doi: 10.1097/00005072-196807000-00010. [DOI] [PubMed] [Google Scholar]
- 5.Moskowitz MA, Winickoff RN, Heinz ER. Familial calcification of the basal ganglions: a metabolic and genetic study. N Engl J Med. 1971;285(2):72–77. doi: 10.1056/NEJM197107082850202. [DOI] [PubMed] [Google Scholar]
- 6.Ellie E, Julien J, Ferrer X. Familial idiopathic striopallidodentate calcifications. Neurology. 1989;39(3):381–385. doi: 10.1212/WNL.39.3.381. [DOI] [PubMed] [Google Scholar]
- 7.Saleem S, Aslam HM, Anwar M, Anwar S, Saleem M, Saleem A, et al. Fahr’s syndrome: literature review of current evidence. Orphanet J Rare Dis. 2013;8(8):156. doi: 10.1186/1750-1172-8-156. [DOI] [PMC free article] [PubMed] [Google Scholar]
- 8.Malcangi G, Fraticelli P, Palmieri C, Cappelli M, Danieli MG. Hydroxychloroquine-induced seizure in a patient with systemic lupus erythematosus. Rheumatol Int. 2000;20(1):31–33. doi: 10.1007/s002960000066. [DOI] [PubMed] [Google Scholar]

