Abstract
Purpose: To analyze risk factors for extramacular drusen (EMD) in patients with age-related macular degeneration (AMD) and healthy control individuals.
Methods: This case-control study included 1,520 patients from the prospective multicenter European Genetic Database (EUGENDA). Color fundus photographs and optical coherence tomography scans were evaluated for the presence of AMD and EMD. EMD was considered present if ten or fewer drusen including at least one intermediate-sized drusen were detected outside the macula. Association of EMD was evaluated with various genetic and non-genetic risk factors (31 single nucleotide polymorphisms, systemic complement activation, smoking, cardiovascular factors, and sunlight exposure) using logistic regression models adjusted for age, gender, and AMD.
Results: EMD was found in 608 subjects (40%) and AMD in 763 (50%) of 1,520 participants. EMD was strongly associated with AMD (p = 2.83 × 10−63, odds ratio [OR] 7.63). After adjustment for AMD, age (p = 0.06, OR 1.02), female gender (p = 3.34 × 10−24, OR 4.44), history of sunlight exposure ≥ 8 h /day (p = 0.0004, OR 1.99), serum complement activation (p = 0.004, OR 1.61), and polymorphisms in ARMS2 (p = 0.00016, OR 1.43) and CFI (p = 0.043, OR 1.20) were identified as risk factors for EMD. The final prediction model including these variants showed an area under the curve of 0.820.
Conclusions: The comprehensive analysis of various risk factors revealed a common genetic and pathological pathway of EMD with AMD. Future longitudinal studies are needed to evaluate the role of EMD in otherwise healthy subjects as an expanded phenotype of AMD.
Introduction
Age-related macular degeneration (AMD) is a multifactorial progressive disease that is one of the leading causes of visual impairment in the industrialized world. The disease is recognized by the presence of drusen and RPE abnormalities in the macula [1]. However, neither the formation of drusen nor RPE abnormalities are restricted to the macula [2-6]. Although histopathological findings and numerous clinical studies have pointed out the high prevalence of extramacular or peripheral changes in patients with AMD [2-9], the most accepted AMD classifications and grading schemes are limited to the posterior pole [10-12].
Multiple genetic variants involved in the complement system, extracellular matrix, and lipid metabolism contribute to AMD pathogenesis and drusen formation in the macula [13]. Additionally, non-genetic risk factors, such as aging, obesity, smoking, and increased sunlight exposure during young ages, are thought to be involved [14]. Despite increasing knowledge about risk factors for drusen formation within the macula, little is known regarding extramacular drusen (EMD). Contradictory associations of EMD with major AMD-associated polymorphisms in the complement Factor H (CFH) gene (Gene ID: 3075, OMIM 134370) and smoking have been reported [2-4,6].
This study aimed to investigate several genetic and non-genetic risk factors for the presence of EMD in patients with and without AMD. Furthermore, we aimed to create a multivariate prediction algorithm for the presence of EMD.
Methods
This case-control study evaluated 2,278 individuals from EUGENDA (multicenter European Genetic Database). The EUGENDA database was designed to prospectively collect questionnaires, imaging data, and blood samples to evaluate genetic and non-genetic risk factors in patients with AMD and healthy control persons older than 55 years of age. The study was performed according to the Declaration of Helsinki and the Medical research Involving Human subjects Act (WMO), adhered to the ARVO statement on human subjects and was approved by the ethics committee of the University hospitals of Cologne (Germany) and Nijmegen (Netherlands). Before enrollment in EUGENDA, written informed consent was obtained from all participants.
Questionnaires
Medical data obtained from interviewer-assisted questionnaires included age, gender, body mass index (BMI; categorized as < 18.5, 18.5–25.0, ≥ 25.0), history of cardiovascular risk factors (CVS; myocardial infraction, stroke and history of transient ischemic attack, categorized as yes/no), hypertension (yes/no), diabetes (yes/no), allergy (yes/no), history of smoking (categorized as never/ever), and history of past sunlight exposure (categorized as < 4 h/day, 4–8 h/day, ≥ 8 h/day).
Retinal imaging and grading
Grading of images was performed by certified reading center graders (LA, TS, AB), as previously described. The presence of AMD and EMD was evaluated using color fundus photography (Cologne: Canon UVI fundus camera using a 40° field of view; Canon, Tokyo, Japan, and Nijmegen: Topcon TRC 50IX fundus camera using a 50° field of view; Topcon). Spectral domain optical coherence tomography (SD-OCT, Spectralis HRA system; Heidelberg Engineering, Heidelberg, Germany) was additionally used to differentiate between drusen and RPE abnormalities, and to identify signs of choroidal neovascularization (CNV) and geographic atrophy. If available, fluorescein angiography (FA) images were also evaluated.
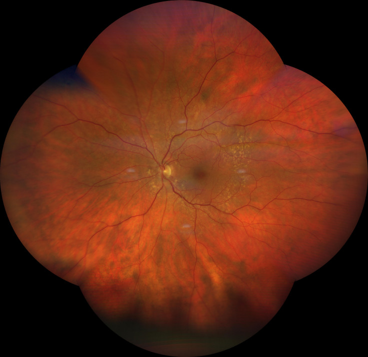
In this study, EMD was considered present if at least ten drusen were detected on the field of two images outside the 6 mm Early Treatment Diabetic Retinopathy Study (ETDRS) grid, including at least one intermediate-sized drusen (63–124 µm; Figure 1). Cases with one to nine drusen or with only drusen less than 63 µm regardless of the number were defined as threshold cases and were excluded from analysis.
Figure 1.
Example of the extramacular drusen phenotype.
AMD was defined as the presence of either small macular drusen (< 63 µm) in combination with pigmentary changes, intermediate-sized drusen (63–124 µm), or large drusen (≥ 125 µm) within 6 mm of the ETDRS grid centered on the fovea. Late forms of AMD included the presence of CNV and any geographic atrophy or either.
Serum measurements and genotyping
Peripheral blood samples for genetic analyses and complement measurements were obtained by standard protocol. Serum samples were centrifuged after coagulation by room temperature and were stored at -80 °C within 1 h of collection. Complement activation levels (ratio between activation fragment C3d and complement component C3 (C3d/C3 ratio)) were measured in serum as previously described [15]. Genotyping was performed for 41 single nucleotide polymorphisms (SNPs) in AMD-associated genes using the KASPar SNP Genotyping System (LGC Genomics, Berlin, Germany; Appendix 1). Only SNPs with minor allele frequency ≥ 0.1 were tested in this analysis (n = 31).
Statistical analysis
All AMD-associated variables were assessed to determine their association with presence of EMD using logistic regression models adjusted for age, gender and AMD (yes/no), unless otherwise mentioned. Thereafter, variables with a p value of less than 0.10 were selected for inclusion in the multivariable logistic regression model. The discriminative accuracy of this model was evaluated using receiver operating characteristic (ROC) curves and calculation of their corresponding area under the curve (AUC) for different subgroups. Statistical analysis was performed using IBM SPSS Statistics software, version 22.0 (IBM Corporation, Armonk, NY).
Results
Of 2,278 individuals available in the EUGENDA cohort, a total of 445 cases were excluded from analysis due to insufficient quality of the retinal images, absent retinal images of both eyes, or the presence of confounding retinal disease (e.g., diabetic maculopathy, high myopia [≥ –6 diopters], or retinal detachment). Of the remaining 1,833 cases, EMD was considered present in 608 subjects (33%), whereas no EMD was seen in 912 subjects (50%). A total of 313 cases (17%) were assessed as “threshold” cases (one to nine drusen outside the ETDRS grid or only small drusen) and were excluded from further analysis, leaving 1,520 cases in the final analysis cohort. In this cohort, AMD was present in 763 patients (50%). The baseline characteristics of all cases are shown in Table 1.
Table 1. Baseline characteristics of all subjects.
| Baseline characteristics | No EMD | EMD | p-value |
|---|---|---|---|
| Number of patients, n |
912 |
608 |
|
| Female sex, n (%) |
440 (48.2%) |
454 (74.7%) |
p<0.001* |
| Age (years), mean ±SD |
71.20±10.17 |
74.51±8.02 |
p<0.001 * |
| AMD status |
|
|
p<0.001* |
| No AMD, n (%) |
623 (68.3%) |
134 (22.0%) |
|
| Early/intermediate AMD, n (%) |
158 (17.3%) |
188 (30.9%) |
|
| Late AMD, n (%) |
131 (14.4%) |
286 (47.0%) |
|
| C3d/C3 Ratio (ln), mean ±SD |
1.41±0.40 |
1.51±0.40 |
p<0.001† |
| Ever smoked, n (%) |
482 (52.85%) |
257 (42.27%) |
p<0.001* |
| Hypertension, n (%) |
299 (32.79%) |
204 (33.55%) |
p=0.220* |
| Cardiovascular diseases, n (%) |
154 (16.89%) |
97 (15.95) |
p=0.525* |
| BMI ≥25, n (%) |
497 (54.50%) |
289 (47.53%) |
p=0.023* |
| Diabetes, n (%) |
77 (8.44%) |
47 (7.73%) |
p=0.561* |
| Allergy, n (%) |
177 (19.41%) |
111 (18.26%) |
p=0.484* |
| Sunlight exposure ≥8h, n (%) |
82 (8.99%) |
96 (15.79%) |
p<0.001* |
| Total cholesterol (mmol/l), mean ±SD |
5.71±1.22 |
5.91±1.16 |
p=0.003† |
| HDL cholesterol (mmol/l), mean ±SD |
1.42±0.37 |
1.56±0.37 |
p<0.001† |
| Triglyceride (mmol/l), mean ±SD | 1.96±0.99 | 1.72±0.89 | p<0.001† |
AMD: Age-related macular degeneration, BMI: Body mass Index, EMD: Extramacular drusen, HDL: High density lipoprotein, *Chi-square Test, † Mann–Whitney-U Test, In: natural logarithm of.
Risk factors for the presence of EMD
AMD phenotype
The presence of EMD was strongly associated with AMD (p = 2.83 × 10−63, odds ratio [OR] 7.63, 95% confidence interval (CI): 6.06–9.66). EMD risk was higher in eyes with late AMD (p = 1.70 × 10−51, OR 11.25, 95% CI:8.17–15.31) compared to eyes with early or intermediate AMD (p = 4.89 × 10−30, OR 5.70, 95% CI:4.23–7.69).
Genetic risk factors
Among the 31 tested SNPs, only ARMS2 rs10490924 (Gene ID: 387715, OMIM 611313) and CFI rs10033900 (Gene ID: 3426, OMIM 217030) were associated with the presence of EMD in the logistic regression analyses adjusted for age, gender, and AMD (yes/no): ARMS2 rs10490924 (p = 0.00016, OR 1.43 and CFI rs10033900 (p = 0.043, OR 1.20). In contrast, the CFH rs1061170 risk allele showed no statistically significant association with the presence of EMD (p = 0.40, OR 1.08; Appendix 1). Associations of tested SNPs with AMD are provided in Appendix 2.
Non-genetic risk factors
After adjustment for AMD, the presence of EMD was associated with age (p = 0.06, OR 1.02, 95% CI:1.00–1.03) and female gender (p = 3.34 × 10−24, OR 4.44, 95% CI:3.33–5.91). Of all patients with EMD, 74.7% were female, whereas gender distribution among AMD patients was 61.3% female versus 38.6% male (female gender in AMD: p = 0.065 OR 1.23).
Furthermore, EMD was associated with the systemic complement activation C3d/C3 ratio (p = 0.004, OR 1.61, 95% CI:1.16–2.25) and with a history of sunlight exposure ≥ 8 h (p = 0.0004, OR 1.99, 95% CI:1.35–2.92). History of smoking, hypertension, cardiovascular disease, diabetes, allergy, and increased BMI were not associated with EMD.
Multivariate analysis
We performed a multivariate final prediction model for the presence of EMD including all significantly associated parameters: age, gender, SNPs in the ARMS2 and CFI genes, AMD severity (early/intermediate or late AMD), C3d/ C3 ratio, and history of sunlight exposure ≥ 8 h (Table 2). Analysis of the ROC curve of this risk prediction model for EMD revealed an AUC of 0.820.
Table 2. Multivariate prediction model for the presence of extramacular drusen (EMD) compared to the subjects without EMD.
| Locus name | OR | CI 95% | p-Value |
|---|---|---|---|
| Age |
1.02 |
1.00–1.04 |
0.10 |
| Female Gender |
5.00 |
3.61–6.93 |
3.49*10−22 |
| ARMS2 rs104909 |
1.50 |
1.19–1.89 |
0.001 |
| CFI rs10033900 |
1.17 |
0.95–1.44 |
0.141 |
| Sunlight exposure history |
2.07 |
1.34–3.20 |
0.001 |
| Complement activation C3d/C3 |
1.65 |
1.14–2.39 |
0.009 |
| Early forms of AMD versus no AMD |
4.86 |
3.41–6.92 |
2.32*10−18 |
| Late forms of AMD versus no AMD | 8.11 | 5.37–12.25 | 2.23*10−23 |
AMD: Age-related macular degeneration, CI: Confidence Interval, EMD: Extramacular drusen, OR: Odds ratio,
Subgroup analysis of cases with no AMD
Of 757 subjects without AMD, EMD was detected in 18% of cases (n = 134). The mean age of this subgroup was 71.06 ± 5.830 years, which was statistically significantly different in comparison to patients with AMD and EMD (mean age 75.58 ± 8.450 years, p<0.001). Systemic complement activation levels were not statistically significantly different between the two groups (p = 0.29).
Applying the multivariate final prediction model on the subgroup of cases with no AMD to avoid bias caused by AMD severity (Table 3), we calculated a similarly strong predictive value with an AUC of 0.737.
Table 3. Multivariate prediction model for extramacular drusen (EMD) for subjects without age-related macular degeneration.
| Locus name | OR | CI 95% | p-Value |
|---|---|---|---|
| Age |
1.03 |
0.99–1.06 |
0.194 |
| Female Gender |
6.57 |
3.77–11.46 |
3.38* 10−11 |
| ARMS 2rs104909 |
1.47 |
1.03–2.09 |
0.033 |
| CFI rs10033900 |
1.31 |
0.97–1.78 |
0.079 |
| Sunlight exposure history |
2.01 |
1.00–4.07 |
0.051 |
| Complement activation C3d/C3 | 1.72 | 0.99–2.98 | 0.053 |
AMD: Age-related macular degeneration, CI: Confidence Interval, EMD: Extramacular drusen, OR: Odds ratio
Discussion
Although an association of extramacular or peripheral retinal changes with AMD has been described in several previous reports [2-9], extramacular and peripheral changes may also be present in around 10%–31% of eyes with an otherwise completely healthy macula [7,16,17]. It is still unclear whether these extramacular or peripheral changes represent risk factors for development of AMD. After comprehensive analysis of genetic and non-genetic risk factors, we could show that age, female gender, history of sunlight exposure ≥ 8 h daily, serum complement activation, and polymorphisms in ARMS2 and CFI are most predictive for the presence of EMD even if adjusted for the presence of AMD. These findings support the hypothesis of a common genetic and pathological pathway of EMD and AMD.
A role of local inflammation in macular drusen biogenesis due to dysregulation of the complement cascade was discussed in the early 2000s, as increased level of complement expression was found in human maculas [18]. Supporting the prominent role of dysregulated complement activation in the formation of EMD, we also found an association of EMD with increased systemic complement activation, and variants in the CFI gene. These findings suggest a possible pathological overlap between AMD and EMD formation with respect to complement system dysregulation. In this study, we found no association of EMD with the key AMD polymorphism CFH Y402H rs1061170, in concordance with previous reports [6,19]. This may be due to the smaller effect of this polymorphism on this specific EMD phenotype. Previous studies demonstrated an association between CFH Y402H and EMD; however, in those studies no stratification for the AMD phenotype was performed [2,4]. In contrast to other studies reporting an association of peripheral RPE changes with CFH polymorphisms [4,19], in this study we did not evaluate peripheral changes except EMD. Thus, the role of CFH Y402H for the development of peripheral age-related changes remains to be evaluated carefully in larger cohorts.
In this study, we detected a significant association between EMD and polymorphisms in the ARMS2 and HTRA1 (Gene ID: 5654, OMIM: 602194) genes, after adjustment for age, gender, and AMD. The association of EMD with ARMS2 and HTRA1 is a novel finding, which we did not detect in a previous study that included only 213 EMD cases, and thus, had limited power. Both genes are highly associated with AMD, and are involved in extracellular matrix (ECM) and Bruch’s membrane (BrM) homeostasis [20-22], regulation of angiogenesis [23,24], and microglial cell activity [25,26]. An altered composition of BrM due to genetic predisposition may facilitate accumulation of macular and extramacular drusen [27] and may lead to an anti-inflammatory response involving complement cascade activation [26,28-31].
In this study, female gender was statistically significantly associated with EMD, but not with AMD. One possible explanation for an association of age-related findings with female gender is selection bias due to longevity. In the present cohort, however, the patients with EMD were significantly younger than the patients with AMD; thus, this does not seem to be a plausible explanation. Whether gender is a modifying factor for the presence of macular drusen is controversially discussed in the literature [32-34]. However, in line with results from this study, a recent genome-wide study that included more than 30,000 cases and controls revealed no association between gender and development of late AMD [35]. The reason for the strong association between female gender and EMD remains to be evaluated in further studies.
Although numerous studies have linked photo-oxidative stress to AMD pathogenesis and investigated the role of sunlight exposure as a risk factor for AMD, the results are inconsistent [36-44]. In this study, we identified sunlight exposure during previous working life (≥ 8 h daily) as an important risk factor for the development of EMD. Although the exact pathogenic mechanism is not yet fully understood, identification of EMD at younger ages may prove to be a warning sign, which may trigger appropriate patient education and risk factor modification. Further longitudinal studies will be required, however, to confirm that EMD alone poses a risk for the development of subsequent AMD.
The frequency of EMD reported in the literature shows great variability due to discrepancies between cohorts regarding AMD severity, imaging modalities and protocols, and definitions of AMD and EMD. Various non-population-based studies evaluating drusen located outside the central 30° report a frequency of “peripheral drusen” of between 7% and 60% [2,4,5]. Lengyel et al. reported in their population-based study a frequency of 68% for peripheral drusen, with 57% of those patients classified as AMD [16]. The present result is in agreement with those results, revealing EMD in 62% of patients with AMD. However, Age-Related Eye Disease Study 2 (AREDS 2) reported peripheral drusen in almost every patient with AMD (98%) [7]. Histopathological studies demonstrated peripheral drusen in 88% of cases with macular degenerative abnormalities [3]. In line with these studies, and in agreement with our previous report [6], we can conclude that the presence of EMD is strongly associated with AMD. Nevertheless, even subjects with no signs of AMD may develop EMD: in AREDS 2, peripheral drusen were detected in 24% of cases without AMD [7], Lengyel et al. reported 10% peripheral changes in otherwise healthy subjects [16], and Nivison-Smith reported peripheral retinal findings in 31% of healthy subjects [17]. In this study, we report EMD in 18% of eyes without macular drusen and pigmentary changes. To understand the clinical relevance of those findings, longitudinal studies are needed to evaluate whether patients without current macular pathology may develop AMD in the future.
In an important limitation of this study, no ultrawidefield imaging was used. Furthermore, this study was a case-control study without longitudinal data, and thus, it remains unclear whether subjects without macular abnormalities in this study develop AMD in over time. Longitudinal observational studies are required to evaluate the long-term outcome in patients with EMD but without macular abnormalities. Only long-time observation may reveal whether EMD should be considered an expanded phenotype of AMD or not.
In this study, the analysis of genetic and environmental risk factors was restricted to those known to be risk factors for AMD; thus, there may remain unknown risk factors for EMD development. We attempted to minimize confounding factors by using a multivariate approach. Additionally, the sample size was limited, and larger studies may reveal further genetic associations, which were not statistically significant in this study.
In this study, we considered EMD to be present only if at least ten drusen were detected outside the ETDRS grid, including at least one intermediate-sized druse, in contrast to other studies that did not require specific minimum criteria regarding the size or number of drusen. With this approach, we aimed to exclude patients with only extramacular drupelets (small drusen < 63 µm diameter) or basal laminar drusen. Yet, the removal of threshold cases (1-9 drusen outside the ETDRS grid or only small drusen) might have caused also selection bias, since a large proportion of individuals were excluded from the analysis. Nevertheless, to the best of our knowledge, this is the first comprehensive study to analyze the combined effect of various genetic and non-genetic AMD risk factors on the presence of EMD.
In conclusion, we report a novel prediction model for the presence of EMD including various genetic and non-genetic risk factors. Predictive factors in this model include female gender, history of sunlight exposure ≥ 8 h/day, serum complement activation, and polymorphisms in ARMS2 and CFI; thus, suggesting involvement of BrM, RPE abnormalities, and inflammatory processes in the pathogenesis of EMD. As AMD is a multifactorial disease, phenotypical changes such as EMD may present earlier in life and precede macular drusen. Therefore, longitudinal studies including subjects with EMD without macular abnormalities are needed to answer this question. If confirmed, the detection of the EMD phenotype may be a prompt for the physician to counsel the patient regarding modifiable risk factors and the need for close follow-up.
Acknowledgments
The research leading to these results was funded from the German Research Foundation DFG FOR 2240 and the European Research Council under the European Union's Seventh Framework Program (FP/2007–2013) / ERC Grant Agreement n. 310,644 (MACULA).
Appendix 1. Association of tested SNPs with presence of EMD, adjusted for age, gender, AMD (yes/no).
To access the data, click or select the words “Appendix 1.” AMD: Age-related macular degeneration, CI: Confidence Interval, EMD: Extramacular drusen, OR: Odds ratio.
Appendix 2. Association of tested SNPs with presence of AMD, adjusted for age and gender.
To access the data, click or select the words “Appendix 2.” AMD: Age-related macular degeneration, CI: Confidence Interval, EMD: Extramacular drusen, OR: Odds ratio
References
- 1.Bressler NM. Age-related macular degeneration is the leading cause of blindness. JAMA. 2004;291:1900–1. doi: 10.1001/jama.291.15.1900. [DOI] [PubMed] [Google Scholar]
- 2.Munch IC, Ek J, Kessel L, Sander B, Almind GJ, Brøndum-Nielsen K, Linneberg A, Larsen M. Small, hard macular drusen and peripheral drusen: associations with AMD genotypes in the Inter99 Eye Study. Invest Ophthalmol Vis Sci. 2010;51:2317–21. doi: 10.1167/iovs.09-4482. [DOI] [PubMed] [Google Scholar]
- 3.Lewis H, Straatsma BR, Foos RY. Chorioretinal juncture: multiple extramacular drusen. Ophthalmology. 1986;93:1098–112. doi: 10.1016/s0161-6420(86)33615-7. [DOI] [PubMed] [Google Scholar]
- 4.Seddon JM, Reynolds R, Rosner B. Peripheral retinal drusen and reticular pigment: association with CFHY402H and CFHrs1410996 genotypes in family and twin studies. Invest Ophthalmol Vis Sci. 2009;50:586–91. doi: 10.1167/iovs.08-2514. [DOI] [PMC free article] [PubMed] [Google Scholar]
- 5.Tan CS, Heussen F, Sadda SR. Peripheral Autofluorescence and Clinical Findings in Neovascular and Non-neovascular Age-related Macular Degeneration. Ophthalmology. 2013;120:1271–7. doi: 10.1016/j.ophtha.2012.12.002. [DOI] [PMC free article] [PubMed] [Google Scholar]
- 6.Ersoy L, Schick T, de Graft D, Felsch M, Hoyng CB, den Hollander A, Kirchhof B, Fauser S. Extramacular drusen are highly associated with age-related macular degeneration, but not with CFH and ARMS2 genotypes. Br J Ophthalmol. 2016;100:1047–51. doi: 10.1136/bjophthalmol-2015-306806. [DOI] [PubMed] [Google Scholar]
- 7.Domalpally A, Clemons TE, Danis RP, Sadda SR, Cukras CA, Toth CA, Friberg TR, Chew EY. Peripheral Retinal Changes Associated with Age-Related Macular Degeneration in the Age-Related Eye Disease Study 2:Age-related Eye Disease Study Report Number 12 by the Age-Related Eye Disease Study 2 Optos PEripheral RetinA (OPERA) Study Research Group. Ophthalmology. 2017;124:479–87. doi: 10.1016/j.ophtha.2016.12.004. [DOI] [PubMed] [Google Scholar]
- 8.Forshaw TRJ, Minör ÅS, Subhi Y, Sørensen TL. Peripheral Retinal Lesions in Eyes with Age-Related Macular Degeneration using Ultra-Widefield Imaging: A Systematic Review with Meta-Analyses. Ophthalmology Retina. 2019;3:734–43. doi: 10.1016/j.oret.2019.04.014. [DOI] [PubMed] [Google Scholar]
- 9.Witmer MT, Kozbial A, Daniel S, Kiss S. Peripheral autofluorescence findings in age‐related macular degeneration. Acta ophthalmologica. 2012;90:e428–33. doi: 10.1111/j.1755-3768.2012.02434.x. [DOI] [PubMed] [Google Scholar]
- 10.Klein R, Davis MD, Magli YL, Segal P, Klein BE, Hubbard L. The Wisconsin age-related maculopathy grading system. Ophthalmology. 1991;98:1128–34. doi: 10.1016/s0161-6420(91)32186-9. [DOI] [PubMed] [Google Scholar]
- 11.Grunwald JE, Daniel E, Ying G-s, Pistilli M, Maguire MG, Alexander J, Whittock-Martin R, Parker CR, Sepielli K, Blodi BA, Martin DF, CATT Research Group Photographic assessment of baseline fundus morphologic features in the Comparison of Age-Related Macular Degeneration Treatments Trials. Ophthalmology. 2012;119:1634–41. doi: 10.1016/j.ophtha.2012.02.013. [DOI] [PMC free article] [PubMed] [Google Scholar]
- 12.Ferris FL, Wilkinson C, Bird A, Chakravarthy U, Chew E, Csaky K, Sadda SR, Beckman Initiative for Macular Research Classification Committee Clinical classification of age-related macular degeneration. Ophthalmology. 2013;120:844–51. doi: 10.1016/j.ophtha.2012.10.036. [DOI] [PMC free article] [PubMed] [Google Scholar]
- 13.Fritsche LG, Igl W, Bailey JN, Grassmann F, Sengupta S, Bragg-Gresham JL, Burdon KP, Hebbring SJ, Wen C, Gorski M, Kim IK, Cho D, Zack D, Souied E, Scholl HPN, Bala E, Lee KE, Hunter DJ, Sardell RJ, Mitchell P, Merriam JE, Cipriani V, Hoffman JD, Schick T, Lechanteur YTE, Guymer RH, Johnson MP, Jiang Y, Stanton CM, Buitendijk GHS, Zhan X, Kwong AM, Boleda A, Brooks M, Gieser L, Ratnapriya R, Branham KE, Foerster JR, Heckenlively JR, Othman MI, Vote BJ, Liang HH, Souzeau E, McAllister IL, Isaacs T, Hall J, Lake S, Mackey DA, Constable IJ, Craig JE, Kitchner TE, Yang Z, Su Z, Luo H, Chen D, Ouyang H, Flagg K, Lin D, Mao G, Ferreyra H, Stark K, von Strachwitz CN, Wolf A, Brandl C, Rudolph G, Olden M, Morrison MA, Morgan DJ, Schu M, Ahn J, Silvestri G, Tsironi EE, Park KH, Farrer LA, Orlin A, Brucker A, Li M, Curcio CA, Mohand-Saïd S, Sahel JA, Audo I, Benchaboune M, Cree AJ, Rennie CA, Goverdhan SV, Grunin M, Hagbi-Levi S, Campochiaro P, Katsanis N, Holz FG, Blond F, Blanché H, Deleuze J-F, Igo RP, Jr, Truitt B, Peachey NS, Meuer SM, Myers CE, Moore EL, Klein R, Hauser MA, Postel EA, Courtenay MD, Schwartz SG, Kovach JL, Scott WK, Liew G, Tan AG, Gopinath B, Merriam JC, Smith RT, Khan JC, Shahid H, Moore AT, McGrath JA, Laux R, Brantley MA, Jr, Agarwal A, Ersoy L, Caramoy A, Langmann T, Saksens NTM, de Jong EK, Hoyng CB, Cain MS, Richardson AJ, Martin TM, Blangero J, Weeks DE, Dhillon B, van Duijn CM, Doheny KF, Romm J, Klaver CCW, Hayward C, Gorin MB, Klein ML, Baird PN, den Hollander AI, Fauser S, Yates JRW, Allikmets R, Wang JJ, Schaumberg DA, Klein BEK, Hagstrom SA, Chowers I, Lotery AJ, Léveillard T, Zhang K, Brilliant MH, Hewitt AW, Swaroop A, Chew EY, Pericak-Vance MA, DeAngelis M, Stambolian D, Haines JL, Iyengar SK, Weber BHF, Abecasis GR, Heid IM. A large genome-wide association study of age-related macular degeneration highlights contributions of rare and common variants. Nat Genet. 2016;48:134–43. doi: 10.1038/ng.3448. [DOI] [PMC free article] [PubMed] [Google Scholar]
- 14.Ristau T, Ersoy L, Hahn M, den Hollander AI, Kirchhof B, Liakopoulos S, Fauser S. Nongenetic Risk Factors for Neovascular Age-Related Macular Degeneration. Invest Ophthalmol Vis Sci. 2014;55:5228–32. doi: 10.1167/iovs.14-14299. [DOI] [PubMed] [Google Scholar]
- 15.Paun CC, Ersoy L, Schick T, Groenewoud JM, Lechanteur YT, Fauser S, Hoyng CB, de Jong EK, den Hollander AI. Genetic Variants and Systemic Complement Activation Levels Are Associated With Serum Lipoprotein Levels in Age-Related Macular Degeneration. Invest Ophthalmol Vis Sci. 2015;56:7766–73. doi: 10.1167/iovs.15-17035. [DOI] [PubMed] [Google Scholar]
- 16.Lengyel I, Csutak A, Florea D, Leung I, Bird AC, Jonasson F, Peto T. A Population-Based Ultra-Widefield Digital Image Grading Study for Age-Related Macular Degeneration-Like Lesions at the Peripheral Retina. Ophthalmology. 2015;122:1340–7. doi: 10.1016/j.ophtha.2015.03.005. [DOI] [PubMed] [Google Scholar]
- 17.Nivison‐Smith L, Milston R, Chiang J, Ly A, Assaad N, Kalloniatis M. Peripheral retinal findings in populations with macular disease are similar to healthy eyes. Ophthalmic Physiol Opt. 2018;38:584–95. doi: 10.1111/opo.12589. [DOI] [PubMed] [Google Scholar]
- 18.Anderson DH, Mullins RF, Hageman GS, Johnson LV. A role for local inflammation in the formation of drusen in the aging eye. Am J Ophthalmol. 2002;134:411–31. doi: 10.1016/s0002-9394(02)01624-0. [DOI] [PubMed] [Google Scholar]
- 19.Shuler RK, Jr, Schmidt S, Gallins P, Hauser MA, Scott WK, Caldwell J, Agarwal A, Haines JL, Pericak-Vance MA, Postel EA. Peripheral Reticular Pigmentary Change Is Associated with Complement Factor H Polymorphism (Y402H) in Age-Related Macular Degeneration. Ophthalmology. 2008;115:520–4. doi: 10.1016/j.ophtha.2007.06.021. [DOI] [PubMed] [Google Scholar]
- 20.Vierkotten S, Muether PS, Fauser S. Overexpression of HTRA1 leads to ultrastructural changes in the elastic layer of Bruch’s membrane via cleavage of extracellular matrix components. PLoS One. 2011;6:e22959. doi: 10.1371/journal.pone.0022959. [DOI] [PMC free article] [PubMed] [Google Scholar]
- 21.Kortvely E, Hauck SM, Duetsch G, Gloeckner CJ, Kremmer E, Alge-Priglinger CS, Deeg CA, Ueffing M. ARMS2 is a constituent of the extracellular matrix providing a link between familial and sporadic age-related macular degenerations. Invest Ophthalmol Vis Sci. 2010;51:79–88. doi: 10.1167/iovs.09-3850. [DOI] [PubMed] [Google Scholar]
- 22.Kortvely E, Hauck SM, Behler J, Ho N, Ueffing M. The unconventional secretion of ARMS2. Hum Mol Genet. 2016;25:ddw162. doi: 10.1093/hmg/ddw162. [DOI] [PubMed] [Google Scholar]
- 23.Zhang L, Lim SL, Du H, Zhang M, Kozak I, Hannum G, Wang X, Ouyang H, Hughes G, Zhao L, Zhu X, Lee C, Su Z, Zhou X, Shaw R, Geum D, Wei X, Zhu J, Ideker T, Oka C, Wang N, Yang Z, Shaw PX, Zhang K. High temperature requirement factor A1 (HTRA1) gene regulates angiogenesis through transforming growth factor-β family member growth differentiation factor 6. J Biol Chem. 2012;287:1520–6. doi: 10.1074/jbc.M111.275990. [DOI] [PMC free article] [PubMed] [Google Scholar]
- 24.Beaufort N, Scharrer E, Kremmer E, Lux V, Ehrmann M, Huber R, Houlden H, Werring D, Haffner C, Dichgans M. Cerebral small vessel disease-related protease HtrA1 processes latent TGF-β binding protein 1 and facilitates TGF-β signaling. Proc Natl Acad Sci USA. 2014;111:16496–501. doi: 10.1073/pnas.1418087111. [DOI] [PMC free article] [PubMed] [Google Scholar]
- 25.Friedrich U, Datta S, Schubert T, Plössl K, Schneider M, Grassmann F, Fuchshofer R, Tiefenbach KJ, Längst G, Weber BH. Synonymous variants in HTRA1 implicated in AMD susceptibility impair its capacity to regulate TGF-β signaling. Hum Mol Genet. 2015;24:6361–73. doi: 10.1093/hmg/ddv346. [DOI] [PubMed] [Google Scholar]
- 26.Micklisch S, Lin Y, Jacob S, Karlstetter M, Dannhausen K, Dasari P, von der Heide M, Dahse HM, Schmölz L, Grassmann F, Alene M, Fauser S, Neumann H, Lorkowski S, Pauly D, Weber BH, Joussen AM, Langmann T, Zipfel PF, Skerka C. Age-related macular degeneration associated polymorphism rs10490924 in ARMS2 results in deficiency of a complement activator. J Neuroinflammation. 2017;14:4. doi: 10.1186/s12974-016-0776-3. [DOI] [PMC free article] [PubMed] [Google Scholar]
- 27.Booij JC, Baas DC, Beisekeeva J, Gorgels TG, Bergen AA. The dynamic nature of Bruch’s membrane. Prog Retin Eye Res. 2010;29:1–18. doi: 10.1016/j.preteyeres.2009.08.003. [DOI] [PubMed] [Google Scholar]
- 28.Gold B, Merriam JE, Zernant J, Hancox LS, Taiber AJ, Gehrs K, Cramer K, Neel J, Bergeron J, Barile GR, Smith RT, AMD Genetics Clinical Study Group Hageman GS, Dean M, Allikmets R. Variation in factor B (BF) and complement component 2 (C2) genes is associated with age-related macular degeneration. Nat Genet. 2006;38:458–62. doi: 10.1038/ng1750. [DOI] [PMC free article] [PubMed] [Google Scholar]
- 29.Hageman GS, Luthert PJ, Chong NV, Johnson LV, Anderson DH, Mullins RF. An integrated hypothesis that considers drusen as biomarkers of immune-mediated processes at the RPE-Bruch’s membrane interface in aging and age-related macular degeneration. Prog Retin Eye Res. 2001;20:705–32. doi: 10.1016/s1350-9462(01)00010-6. [DOI] [PubMed] [Google Scholar]
- 30.Johnson PT, Betts K, Radeke M, Hageman GS, Anderson D, Johnson L. Individuals homozygous for the age-related macular degeneration risk-conferring variant of complement factor H have elevated levels of CRP in the choroid. Proc Natl Acad Sci USA. 2006;103:17456–61. doi: 10.1073/pnas.0606234103. [DOI] [PMC free article] [PubMed] [Google Scholar]
- 31.Nozaki M, Raisler BJ, Sakurai E, Sarma JV, Barnum SR, Lambris JD, Chen Y, Zhang K, Ambati BK, Baffi JZ, Ambati J. Drusen complement components C3a and C5a promote choroidal neovascularization. Proc Natl Acad Sci USA. 2006;103:2328–33. doi: 10.1073/pnas.0408835103. [DOI] [PMC free article] [PubMed] [Google Scholar]
- 32.Klein R, Klein BEK, Jensen SC, Meuer SM. The Five-year Incidence and Progression of Age-related Maculopathy. Ophthalmology. 1997;104:7–21. doi: 10.1016/s0161-6420(97)30368-6. [DOI] [PubMed] [Google Scholar]
- 33.Mitchell P, Smith W, Attebo K, Wang JJ. Prevalence of Age-related Maculopathy in Australia. Ophthalmology. 1995;102:1450–60. doi: 10.1016/s0161-6420(95)30846-9. [DOI] [PubMed] [Google Scholar]
- 34.Age-Related Eye Disease Study Research G. Risk Factors Associated with Age-Related Macular Degeneration A Case-control Study in the Age-Related Eye Disease Study: Age-Related Eye Disease Study Report Number 3. Ophthalmology. 2000;107:2224–32. doi: 10.1016/s0161-6420(00)00409-7. [DOI] [PMC free article] [PubMed] [Google Scholar]
- 35.Winkler TW, Brandl C, Grassmann F, Gorski M, Stark K, Loss J. Weber BHF3, Heid IM1; International Age-related Macular Degeneration Genomics Consortium (IAMDGC). Investigating the modulation of genetic effects on late AMD by age and sex: Lessons learned and two additional loci. PLoS One. 2018;13:e0194321. doi: 10.1371/journal.pone.0194321. [DOI] [PMC free article] [PubMed] [Google Scholar]
- 36.Wang JJ, Klein R, Smith W, Klein BE, Tomany S, Mitchell P. Cataract surgery and the 5-year incidence of late-stage age-related maculopathy: Pooled findings from the Beaver Dam and Blue Mountains eye studies. Ophthalmology. 2003;110:1960–7. doi: 10.1016/s0161-6420(03)00816-9. [DOI] [PubMed] [Google Scholar]
- 37.Cruickshanks KJ, Klein R, Klein BE, Nondahl DM. Sunlight and the 5-year incidence of early age-related maculopathy: the beaver dam eye study. Arch Ophthalmol. 2001;119:246–50. [PubMed] [Google Scholar]
- 38.Khan JC, Shahid H, Thurlby D, Bradley M, Clayton D, Moore A, Bird AC, Yates JR, Genetic Factors in AMD Study Age related macular degeneration and sun exposure, iris colour, and skin sensitivity to sunlight. Br J Ophthalmol. 2006;90:29–32. doi: 10.1136/bjo.2005.073825. [DOI] [PMC free article] [PubMed] [Google Scholar]
- 39.Mitchell P, Smith W, Wang JJ. Iris color, skin sun sensitivity, and age-related maculopathy: the Blue Mountains Eye Study. Ophthalmology. 1998;105:1359–63. doi: 10.1016/S0161-6420(98)98013-7. [DOI] [PubMed] [Google Scholar]
- 40.Pham TQ, Rochtchina E, Mitchell P, Smith W, Wang JJ, Tong SH, Wang L. Sunlight-related factors and the 10-year incidence of age-related maculopathy. Ophthalmic Epidemiol. 2009;16:136–41. doi: 10.1080/09286580701299395. [DOI] [PubMed] [Google Scholar]
- 41.Sui G-Y, Liu G-C, Liu G-Y, Gao Y-Y, Deng Y, Wang W-Y, Tong SH, Wang L. Is sunlight exposure a risk factor for age-related macular degeneration? A systematic review and meta-analysis. Br J Ophthalmol. 2012;97:302281. doi: 10.1136/bjophthalmol-2012-302281. [DOI] [PubMed] [Google Scholar]
- 42.Tomany SC, Cruickshanks KJ, Klein R, Klein BE, Knudtson MD. Sunlight and the 10-year incidence of age-related maculopathy: the Beaver Dam Eye Study. Arch Ophthalmol. 2004;122:750–7. doi: 10.1001/archopht.122.5.750. [DOI] [PubMed] [Google Scholar]
- 43.Klein BE, Howard KP, Iyengar SK, Sivakumaran TA, Meyers KJ, Cruickshanks KJ, Klein R. Sunlight Exposure, Pigmentation, and Incident Age-Related Macular Degeneration Sunlight Exposure, Eye/Hair Color and AMD. Invest Ophthalmol Vis Sci. 2014;55:5855–61. doi: 10.1167/iovs.14-14602. [DOI] [PMC free article] [PubMed] [Google Scholar]
- 44.Schick T, Ersoy L, Lechanteur YT, Saksens NT, Hoyng CB, den Hollander AI, Kirchhof B, Fauser S. History of Sunlight Exposure Is a Risk Factor for Age-Related Macular Degeneration. Retina. 2016;36:787–90. doi: 10.1097/IAE.0000000000000756. [DOI] [PubMed] [Google Scholar]

