Esophageal duplications account for 20% of all digestive tract duplications.1 They are rare congenital malformations, presenting in cystic, tubular, or diverticular forms, the latter of which is the rarest of the 3. Esophageal duplications can remain asymptomatic for decades, and clinical manifestations can occur at any time.1
We present the case of a 24-year-old man with a symptomatic tubular esophageal duplication who received successful endoscopic treatment. The patient had mental retardation and a history of occasional dysphagia since childhood. Dysphagia had worsened recently and was associated with abdominal pain and frequent regurgitation. For this reason, he underwent barium esophagram and EGD, which showed a long paraesophageal diverticulum on the right side of the distal esophagus extending to the diaphragm. Because of his severe symptoms, open surgery was attempted in another center; however, the diverticulum was not excised because no extraluminal diverticulum was found and because the resection was considered too dangerous. The patient was referred to our unit, where a diagnosis of tubular esophageal duplication was made.
Preliminary EGD confirmed the presence of a tubular duplication of the distal tract of the esophagus, extending for 7 cm and starting 35 cm from the upper incisors (Figs. 1 and 2). A cap-assisted septotomy was performed (Video 1, available online at www.VideoGIE.org), similar to the treatment usually performed for Zenker’s diverticulum.2 The endoscopic procedure was done with the patient supine and under general anesthesia with endotracheal intubation. The septum between the original esophageal lumen and the duplication was carefully cut with a needle-knife (KD-10Q-11; Olympus, Tokyo, Japan) and Endo-cut current (VIO 300D; ERBE, Tubingen, Germany) (Figure 3, Figure 4 and 4). Occasional bleeding during the procedure was stopped by using hemostatic forceps on the visible vessels. At the end of the procedure, 3 endoscopic clips were placed at the base of the incision to prevent delayed bleeding (Fig. 5). The procedure was completed in less than 20 minutes (Fig. 6).
Figure 1.
Opening of the large tubular esophageal duplication on the normal esophageal lumen. Tubular duplication is on the upper right side of the image and normal esophagus on the lower left corner.
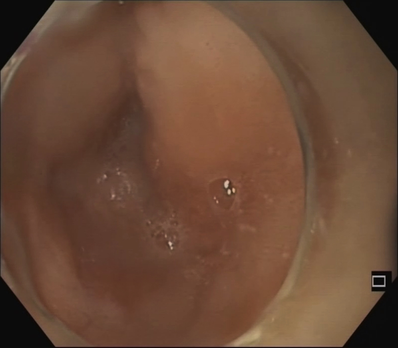
Figure 2.
Esophageal duplication ends with a cul-de-sac.
Figure 3.
Septotomy was performed with a needle-knife and blended current.
Figure 4.
The septum between the natural lumen and the tubular duplication is fibrotic and lined with normal esophageal epithelium.
Figure 5.
Three clips were placed on the residual part of the septum at the end of the procedure.
Figure 6.
At the end of the procedure, the septum was cut and the tubular duplication completely open into the esophagus.
The postoperative course was uneventful. A water-soluble contrast study on the first postoperative day confirmed the absence of leakage or stasis into the diverticulum. Contrast quickly passed through the esophagus and the esophagogastric junction into the stomach. On the second postoperative day, the patient started oral feeding, and 2 days later he was discharged. One year after the treatment, the patient is in good clinical condition, having a normal diet without dysphagia or regurgitation.
Tubular esophageal duplications are rare congenital disorders, sometimes associated with esophageal stenosis3 or bronchoesophageal fistula.4 Duplication cysts are more common, and surgery is the recommended treatment owing to a certain risk of cyst infection, bleeding, erosion, and perforation and the small risk of malignant degeneration.1 Endoscopic fenestration is a viable treatment, especially for symptomatic cysts.5, 6, 7 In accordance with the few case reports available in the literature,3,8 we offered completely endoscopic management of the symptomatic tubular duplication with a long septotomy. Often, the separation of the tubular duplication and esophageal lumen is via a thickened, fibrous septum.1 The procedure was relatively easy and quick to perform. Recovery after the operation was prompt and uncomplicated, with early oral feeding. This procedure should probably be considered as first-line therapy for this rare disorder.
Disclosure
Dr Costamanga is on the advisory board for Olympus, Cook Medical, and Johnson & Johnson and received research grant funding from Boston Scientific and Apollo Endosurgery. All other authors disclosed no financial relationships.
Supplementary data
Endoscopic septotomy for the treatment of a tubular esophageal duplication.
References
- 1.Trappey A.F., III, Hirose S. Esophageal duplication and congenital esophageal stenosis. Semin Pediatr Surg. 2017;26:78–86. doi: 10.1053/j.sempedsurg.2017.02.003. [DOI] [PubMed] [Google Scholar]
- 2.Costamagna G., Iacopini F., Bizzotto A. Prognostic variables for the clinical success of flexible endoscopic septotomy of Zenker's diverticulum. Gastrointest Endosc. 2016;83:765–773. doi: 10.1016/j.gie.2015.08.044. [DOI] [PubMed] [Google Scholar]
- 3.Tahri N., Mnif L., Chtourou L. Complete endoscopic management of tubular esophageal duplication in a young woman. Endoscopy. 2012;44(Suppl 2 UCTN):E261–E262. doi: 10.1055/s-0032-1309705. [DOI] [PubMed] [Google Scholar]
- 4.Kim J.H., Kwon C.I., Rho J.Y. Communicating tubular esophageal duplication combined with bronchoesophageal fistula. Clin Endosc. 2016;49:81–85. doi: 10.5946/ce.2016.49.1.81. [DOI] [PMC free article] [PubMed] [Google Scholar]
- 5.James T.W., Grimm I.S., Baron T.H. Endoscopic fenestration of a symptomatic esophageal duplication cyst. VideoGIE. 2017;2:191–192. doi: 10.1016/j.vgie.2017.04.002. [DOI] [PMC free article] [PubMed] [Google Scholar]
- 6.Joyce A.M., Zhang P.J., Kochman M.L. Complete endoscopic resection of an esophageal duplication cyst (with video) Gastrointest Endosc. 2006;64:288–289. doi: 10.1016/j.gie.2006.04.046. [DOI] [PubMed] [Google Scholar]
- 7.Nishikawa J., Nagao M., Ogawa R. Endoscopic treatment of an esophageal duplication cyst. Endoscopy. 2017;49:E107–E108. doi: 10.1055/s-0043-102395. [DOI] [PubMed] [Google Scholar]
- 8.Coumaros D., Schneider A., Tsesmeli N. Endoscopic management of a tubular esophageal duplication diagnosed in adolescence (with videos) Gastrointest Endosc. 2010;71:827–830. doi: 10.1016/j.gie.2009.12.011. [DOI] [PubMed] [Google Scholar]
Associated Data
This section collects any data citations, data availability statements, or supplementary materials included in this article.
Supplementary Materials
Endoscopic septotomy for the treatment of a tubular esophageal duplication.






