Abstract
Spontaneous knee haemarthrosis is a rare condition, most prevalent in the elderly with osteoarthritis. Recent reports have proposed that the source of bleeding is the peripheral arteries supplying the posterior horn of the lateral meniscus. In this case, a 62-year-old active man presented with acute postero-lateral left knee pain and swelling with limited weight bearing or movement of the knee. No recent history of trauma but history of lateral compartment dominant osteoarthritis and arthroscopic partial lateral meniscectomy of left knee. Aspiration showed a large haemarthrosis and following an MRI scan displaying large areas of full thickness chondral loss, complex tearing of lateral meniscus and loose bodies, the patient had an arthroscopy, washout, debridement of osteochondral tibial defect and diathermy of suspected bleeding point. This report supports the peripheral arteries supplying the posterior horn of the lateral meniscus as the source of bleeding in spontaneous haemarthrosis of the knee.
Keywords: osteoarthritic knww, knee injuries, meniscal tears, orthopaedics
Background
Spontaneous atraumatic haemarthrosis of the knee is a rare presentation, most prevalent in the geriatric population with osteoarthritis, whose cause is still a matter of debate.1 Early research pointed towards the synovium being the source of bleeding and synovectomy was therefore proposed as the treatment for such cases.2–4 Kawamura et al observed cases of spontaneous recurrent haemarthrosis of the knee in which degenerative flap tears of the posterior horn of the lateral meniscus were implicated on arthroscopy, with cessation of further episodes postlateral meniscectomy, positing that the bleeding source were peripheral arteries of the posterior horn of the lateral meniscus.5 Further evidence published supported Kawamura’s hypothesis of the source of bleeding.1 6–9 Some of these cases reported bleeding from the posterior horn of the lateral meniscus on arthroscopy.1 5 7 8 In addition, Sasho et al and Nomura et al reported pulsating bleeding indicating arterial bleeding during arthroscopic treatment of the posterior horn of the lateral meniscus, hypothesising the origin as the lateral genicular artery.1 8 Importantly, the lateral inferior genicular artery was not directly visualised for certain during any of these cases. Anatomically speaking, the lateral inferior genicular artery runs close to the peripheral border of the lateral meniscus and therefore the ruptured ends of a pulsating tubular structure as observed by Sasho et al and Nomura et al strongly support the hypothesis of the origin of bleeding.1 8 10
Here we present the case of an atraumatic spontaneous haemarthrosis of the knee.
Case presentation
A 62-year-old man presented to the emergency department in 2019 having experienced severe pain in the posterolateral aspect of his left knee followed by acute onset knee swelling associated with difficulty weight bearing. No trauma was reported preceding onset of these symptoms. The patient’s medical history included asthma, lateral compartment dominant osteoarthritis in the left knee (figures 1–3) and a previous arthroscopic partial lateral meniscectomy of the left knee. Social history of regular aerobic sport and non-smoking.
Figure 1.

Anteroposterior (AP) weight bearing (WT Bearing) plain film radiograph of the lower limbs demonstrating significant varus deformity of the left lower limb with lateral compartment dominant osteoarthritis.
Figure 2.

Anteroposterior (AP) plain film weight bearing (WT Bearing) radiograph of left knee demonstrating significant lateral compartment osteoarthritis.
Figure 3.

Lateral plain film weight bearing (WT Bearing) radiograph of left knee.
The patient reported problems with his left knee starting in 2010, with an atraumatic twisting event of the left knee associated with gradually worsening swelling, diagnosed on MRI as a tear in the posterior horn of the lateral meniscus. He underwent an arthroscopic partial lateral meniscectomy of the left knee.
At 18 months postarthroscopy, the patient had not fully recovered and while able to fully flex and extend at the knee, he was unable to run 100 yards without his knee swelling up and experiencing pain in the posterolateral aspect. A follow-up MRI showed considerable loss of lateral meniscus, as expected postop, but also significant lateral compartment osteoarthritis of the left knee. Referral to physiotherapy for 9 months resolved the patient’s issues on exertion of the left knee and experienced no further issues until 2019.
On the most recent emergency department attendance, the patient was discharged from the department with non-steroidal anti-inflammatory drugs and orthopaedic clinic follow-up.
The patient was still experiencing knee joint swelling, posterolateral knee pain and limited range of movement. The knee was aspirated and then the leg was placed in a splint.
Investigations
MRI scan in 2010 of the left knee showed a tear in the posterior horn of the lateral meniscus.
Follow-up MRI scan of the left knee 18 months postarthroscopy, displayed considerable loss of lateral meniscus, as expected after partial lateral meniscectomy, with significant lateral compartment osteoarthritis.
In 2019, aspiration of the swollen left knee joint yielded 60 mL of blood indicating a large haemarthrosis. Microscopy and culture of the joint aspirate showed no evidence of joint infection.
Full blood count and clotting blood tests ruled out any coagulation or platelet abnormalities.
Differential diagnosis
The aspiration of a significant volume of blood from the knee joint confirmed that this knee effusion was indeed a haemarthrosis and not just blood stained synovial fluid from a traumatic aspirate. An infective cause of haemarthrosis was ruled out by microscopy and culture of the joint aspirate.
A clotting abnormality as the cause of haemarthrosis, for example: haemophilia, thrombocytopenia or anticoagulant medication, was ruled out by blood tests and the absence of anticoagulation in the medication history.11 12
Therefore, the aetiology of the haemarthrosis was of a pathoanatomical cause: either a neoplasm, (eg, haemangioma), pseudoaneurysm, synovitis or rupture of peripheral arteries supplying the lateral meniscus.2 5 7 8 13 14
The following knee arthroscopy ruled out a neoplasm, synovitis and a pseudoaneurysm as the causes leaving rupture of a peripheral artery supplying the lateral meniscus as a possible cause for this spontaneous haemarthrosis, as proposed by Kawamura et al5
Treatment
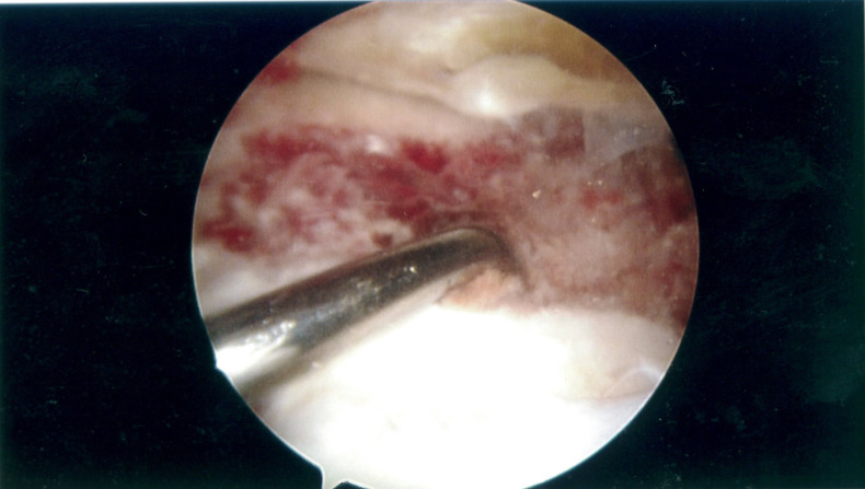
The patient was booked for an urgent left knee arthroscopy, washout and debridement. Intraoperatively, intra-articular blood clots (figure 4) and haemosiderin deposits on the synovium were observed. The medial articular surface displayed grade 1–2 osteoarthritis on the femoral and tibial aspect (figure 5), with no associated medial meniscal tears. The lateral articular surface displayed grade 4 osteoarthritis on the femoral (figure 6) and tibial aspect, with significant degeneration of the lateral meniscus with a horizontal tear (figures 7 and 8). A small erythematous area was identified at the posterior horn of the lateral meniscus thought to be the source of the haemarthrosis (figure 9). The lateral meniscus was debrided to stable edges, with the associated erythematous area treated with diathermy to coagulate, and followed by a washout of the joint (figure 10).
Figure 4.

Intra-articular blood and clots on knee arthroscopy.
Figure 5.

Arthroscopic view of medial compartment of the left knee.
Figure 6.

Arthroscopic view of lateral compartment femoral condyle.
Figure 7.

Arthroscopic view of left knee showing haemarthrosis and flap of lateral meniscal tissue.
Figure 8.

Arthroscopic view of left knee showing horizontal tear in lateral meniscus.
Figure 9.
Arthroscopic view of left knee showing erythematous area at the site of the posterior horn of the lateral meniscus thought to be the source of the haemarthrosis.
Figure 10.
Arthroscopic view of lateral joint compartment post debridement, diathermy and washout.
Outcome and follow-up
The patient was mobilised with crutches for 2 weeks and reviewed at 4 months and 1 year after surgery. At the 4-month follow-up appointment, no signs of recurrent haemarthrosis were observed, the patient could mobilise unaided and was able to flex the knee to 100 degrees, fully extend the knee and straight leg raise without pain. At further follow-up, 1-year postoperatively, the patient reported minimal pain in the posterolateral aspect of his knee, but no problems with range of motion or weight bearing and no further episodes of knee swelling. The patient is back to regular work.
Discussion
The cause of spontaneous atraumatic haemarthrosis of the knee in the elderly population was originally thought to be from the synovium until a case series was published by Kawamura et al implicating the peripheral arteries of the posterior horn of the lateral meniscus.2–5 Following this publication, several other case reports have supported the conclusion of Kawamura et al, some evidencing this with direct visualisation of active pulsatile bleeding from the posterior portion of the lateral meniscus via arthroscopy.1 6–9
The arthroscopic findings combined with no recurrence of haemarthrosis postlateral meniscectomy±electrocoagulation, strongly supports the hypothesis that bleeding from spontaneous atraumatic haemarthrosis is from the peripheral arteries supplying the lateral meniscus. However, the exact vascular structure responsible for this bleeding was not delineated. Anatomically, the lateral inferior genicular artery is located very close the peripheral border of the lateral meniscus and in fact supply the posterior horn of the lateral meniscus.10 Sasho et al hypothesised that the bleeding source could therefore be a branch of the lateral inferior genicular artery.8
It has also been noted that while the medial compartment dominant osteoarthritis is most prevalent, most of the cases of spontaneous atraumatic haemarthrosis is lateral compartment dominant osteoarthritis.5–9
In this case, the patient had lateral compartment dominant and advanced (grade 4 Kellgren-Lawrence) osteoarthritis, as observed in the previous literature, large areas of full thickness chondral loss, complex tearing of lateral meniscus, depression of posterolateral tibial plateau and intra-articular loose bodies.5–9 Interestingly, the medial aspect of the tibiofemoral compartment displayed only mild osteoarthritic changes.
During arthroscopy, lateral dominant osteoarthritis was observed along with intra-articular blood clots and haemosiderin deposits on the synovium. A small erythematous area was identified at the posterior horn of the lateral meniscus thought to be a thrombosed end of a branch of a peripheral artery supplying the lateral meniscus and therefore the source of the haemarthrosis, as observed in previous literature.1 5 7 8 The lateral meniscus was debrided to stable edges, with the associated erythematous area treated with diathermy to coagulate. The absence of recurrence of haemarthrosis at 1 year post-treatment of the posterior horn of the lateral meniscus further supports the hypothesis that the aetiology of spontaneous haemarthrosis of the knee is from peripheral arterial branches supplying the posterior horn of the lateral meniscus, possibly attributable to a branch of the lateral inferior genicular artery. Furthermore, lateral partial meniscectomy can potentially lead to lateral compartment osteoarthritis and as a potential sequela, spontaneous knee haemarthrosis.
Learning points.
This case report corroborates the findings of Kawamura and Nomura and further supports the hypothesis that spontaneous atraumatic haemarthrosis in the knee is caused by bleeding from peripheral arteries supplying the posterolateral aspect of the meniscus.
Spontaneous haemarthrosis is most likely in the elderly demographic, with lateral compartment dominant osteoarthritis.
Arthroscopic lateral meniscectomy±electrocoagulation has been observed to treat and prevent recurrence of this case and previous case reports by Kawamura et al of spontaneous atraumatic knee haemarthrosis.
Lateral partial meniscectomy can lead to lateral compartment osteoarthritis and possibly spontaneous knee haemarthrosis.
Footnotes
Contributors: SWC is the main author of the article and wrote the majority of all of the sections. KEA contributed to writing the background. RA contributed to writing the discussion.
Funding: The authors have not declared a specific grant for this research from any funding agency in the public, commercial or not-for-profit sectors.
Competing interests: None declared.
Patient consent for publication: Obtained.
Provenance and peer review: Not commissioned; externally peer reviewed.
References
- 1.Nomura E, Hiraoka H, Sakai H. Spontaneous recurrent hemarthrosis of the knee: a report of two cases with a source of bleeding detected during arthroscopic surgery of the knee joint. Case Rep Orthop 2016;2016:1–5. 10.1155/2016/1026861 [DOI] [PMC free article] [PubMed] [Google Scholar]
- 2.Wilson J. Spontaneous haemarthrosis in osteoarthritis of knee; a report of five cases. Br Med J 1959;1. [DOI] [PMC free article] [PubMed] [Google Scholar]
- 3.Burman M, Sutro CJ, Guariglia E. Spontaneous hemorrhage of bursae and joints in the elderly. Bull Hosp Joint Dis 1964;25:217–39. [PubMed] [Google Scholar]
- 4.Morii T, Koshino T, Suzuki K, et al. Etiology and treatment of spontaneous hemarthrosis of knee in the elderly. Jpn Orthop Assoc 1990;64:195. [Google Scholar]
- 5.Kawamura H, Ogata K, Miura H, et al. Spontaneous hemarthrosis of the knee in the elderly: etiology and treatment. Arthroscopy 1994;10:171–5. 10.1016/S0749-8063(05)80089-1 [DOI] [PubMed] [Google Scholar]
- 6.Pellacci F, Lughi M. Spontaneous recurrent hemarthrosis of the knee with lesion of the lateral meniscus and arthrosis of the lateral compartment. Chir Organi Mov 1997;82:69-72. [PubMed] [Google Scholar]
- 7.Ogawa H, Itokazu M, Ito Y, et al. An unusual meniscal ganglion cyst that triggered recurrent hemarthrosis of the knee. Arthroscopy 2006;22:455.e1–455.e4. 10.1016/j.arthro.2005.04.114 [DOI] [PubMed] [Google Scholar]
- 8.Sasho T, Ogino S, Tsuruoka H, et al. Spontaneous recurrent hemarthrosis of the knee in the elderly: arthroscopic treatment and etiology. Arthroscopy 2008;24:1027–33. 10.1016/j.arthro.2008.06.009 [DOI] [PubMed] [Google Scholar]
- 9.Nagai K, Matsumoto T, Matsushita T, et al. Spontaneous recurrent hemarthrosis of the knee joint in the elderly: a report of two cases. J Orthop Sci 2012;17:649–53. 10.1007/s00776-011-0098-3 [DOI] [PubMed] [Google Scholar]
- 10.Arnoczky SP, Warren RF. Microvasculature of the human meniscus. Am J Sports Med 1982;10:90–5. 10.1177/036354658201000205 [DOI] [PubMed] [Google Scholar]
- 11.Saris DB, van Rinsum AC, Dhert WJ, et al. Periarticular aneurysm formation in haemophilia. Lancet 1997;349:766–8. 10.1016/S0140-6736(96)09177-5 [DOI] [PubMed] [Google Scholar]
- 12.Ross MD, Elliott R. Acute knee haemarthrosis: a case report describing diagnosis and management for a patient on anticoagulation medication. Physiother Res Int 2011;16:120–3. 10.1002/pri.491 [DOI] [PubMed] [Google Scholar]
- 13.Akgün I, Kesmezacar H, Öğüt T, et al. Intra-Articular hemangioma of the knee. Arthroscopy 2003;19:1–8. 10.1053/jars.2003.50068 [DOI] [PubMed] [Google Scholar]
- 14.Visuri T. Recurrent spontaneous haemarthrosis of the knee associated with a synovial and juxta-articular haemangiohamartoma. Ann Rheum Dis 1990;49:554–6. 10.1136/ard.49.7.554 [DOI] [PMC free article] [PubMed] [Google Scholar]


