Abstract
Background
The Trochanteric Fixation Nail-Advanced (TFN-A) is offered as a “next-generation” solution to the ever-increasing incidence of pertrochanteric and intertrochanteric fractures. It aims to build upon the success of earlier-generation proximal femur implants, while at the same time attempting to address complications, like varus collapse, cut-out, implant failure and anterior cortical perforation/impingement. It also aims to provide the surgeon with flexibility by offering varied options under a single implant system.
Objectives
This descriptive study looked at the early outcomes of the TFN-A as used in a single trauma centre. It attempts to shed light on the question of whether the TFN-A is at least equivalent to more established proximal femur implants in terms of fixation while reducing complication rates.
Methods
Thirty-four patients who underwent fixation using the TFN-A at a single centre from October 2016 to July 2018 were retrospectively reviewed for this study. All surgeries were done by experienced orthopaedic surgeons. The decision for cement augmentation of the femoral head element was made on a case-to-case basis. Radiographs of the hip, pelvis and femora were taken to monitor fracture healing and evaluate post-fixation neck-shaft angle (NSA)/varus collapse, cut-out/cut-through, implant failure and anterior cortical impingement/perforation.
Results
All thirty-four patients had neck-shaft angles within 5 degrees of the contralateral hip immediately post-surgery. Two patients had varus collapse > 5 degrees on follow-up but did not progress to cut-out. Two patients had broken distal locking screws, albeit their fractures healed uneventfully. There were four cases of cement augmentation with “retrograde filling”, wherein most of the cement went into the femoral neck. No patients experienced distal anterior cortical impingement or perforation. All but one patient subsequently progressed to full weight-bearing.
Conclusion
Early experience with the TFN-A appears to suggest that it is at least comparable to preceding proximal femur nail devices in terms of fixation. Absence of anterior cortical impingement or perforation suggests that the TFN-A shows promise in addressing this issue. The incidence of “retrograde cement filling” is a previously unreported point of interest for head–neck element augmentation which requires further study.
Keywords: TFNA, Hip fracture, Pertrochanteric fracture, Intertrochanteric fracture, Retrograde cement filling, Cement augmentation
Introduction
The treatment of extra-capsular proximal femoral fractures remains challenging. In spite of a myriad of implant options that are available to the orthopaedic surgeon, complication rates ranging from 5 to 14% for fixation of peri-trochanteric fractures are still quoted in recent literature [1–7]. The Trochanteric Fixation Nail-Advanced (TFN-A; Synthes GmbH, Oberdorf, Switzerland) is presented as a “next-generation” solution to the ever-increasing incidence of pertrochanteric and intertrochanteric fractures, particularly in elderly patients with poor bone quality. It aims to build upon the success of earlier-generation proximal femur fixation implants, while at the same time attempting to improve less-than ideal results arising from the treatment of such fractures. It also aims to streamline surgery and provide the surgeon with flexibility by offering varied options under a single implant system. By combining the features of past implants with new, potentially innovative design elements, it is hoped that the TFN-A would provide better outcomes to patients by reducing complications and the need for subsequent revision surgery.
This descriptive study looks at the early outcomes of the TFN-A as used in a single trauma centre in Singapore. To our knowledge, there is only one other published study involving the results of fixation of proximal femur fractures utilizing the TFN-A [24].
Materials and Methods
The Implant
The Trochanteric Fixation Nail-Advanced (TFN-A; Synthes GmbH, Oberdorf, Switzerland) is a titanium alloy implant which derives primarily from the Trochanter Fixation Nail (TFN) and Proximal Femoral Nail Antirotation (PFNA and PFNA-II) families of implants. Notable features of the TFN-A carried over from the TFN/PFNA lines include varying nail lengths (170 mm up to 480 mm) and diameters (9 mm up to 12 mm), options for either a helical blade or lag screw for cephalo-medullary fixation (TFN only) and the option for head–neck augmentation with bone cement via a specially-designed system that is available for both the lag screw and helical blade (prior to the TFN-A, this option was available for the PFNA helical blade only and not the PFNA-II). The cement augmentation option is especially recommended for patients with osteoporotic bone [8, 9].
New features previously not found in its predecessors include a smaller radius of curvature for longer nails that is said to more closely match the native femoral bow (especially in the Asian population [10, 11]), a smaller and specially-contoured proximal portion of the nail that aims to reduce lateral impingement and varus mal-reduction during nail insertion, the option for three different cephalo-medullary fixation angles (125, 130 or 135°) depending on the patient’s native neck–shaft angle (NSA), a built-in locking bolt in the proximal portion of the nail that gives the option for either dynamic or static locking of the cephalo-medullary fixation element, and greater implant strength and load to failure. The system also comes with instrumentation designed to make surgery less cumbersome and problematic, such as a radiolucent, quick-locking jig with radiographic markers that provide a better indicator of the placement of the head–neck element in the true lateral (i.e. 15–20° from horizontal) radiographic projection. [12, 13].
Patient Selection and Operative Conduct
Forty patients who underwent fixation using the TFNA from October 2016 to July 2018 were initially considered for review. The patients were drawn from the hip registry of a single tertiary-level trauma centre with a large number of geriatric hip fractures due to low-energy falls, as well as patients incurring hip and femur fractures from road-traffic accidents. Fractures were classified according to the AO/OTA Classification System. All surgeries were performed by experienced orthopaedic surgeons using standard nailing techniques and recommendations from the TFN-A technique manual provided by the manufacturer [12, 13]. All cephalo-medullary components were fixed at 130° NSA. While there is literature that supports the use of cement augmentation as standard procedure, particularly in the geriatric population [8, 9, 15], the decision for cement augmentation of the femoral head element was made by the surgeons based on radiographic assessment of fracture stability and bone quality.
Evaluation and Follow-up
Out of the initial 40 patients who underwent fixation with the TFN-A, 3 were for prophylactic fixation and were excluded. Another 3 patients did not have enough follow-up (less than 2 months), due to either demise from medical causes or decision to follow-up at a different institution, and were also excluded. In the end, a total of 34 patients were included for final review.
Radiographs of the hip, pelvis and femora were taken immediately post-surgery and at regular follow-up intervals of 2 weeks, 6 weeks, 3 months, 6 months and 1 year post-surgery. Immediate post-op radiographic parameters included evaluation of head element position, tip-apex distance (TAD) and neck-shaft angle. Follow-up radiographs evaluated fracture healing, head–neck shortening, varus collapse and possible cut-out of the head element, possible implant breakage and possible anterior cortical blowout of the distal end of long nails.
Other parameters recorded and noted were the patients’ demographics (age, sex and ethnicity), bone mineral density (BMD) score, ability to weight-bear on the injured extremity post-surgery, pre-operative Charlson Co-morbidity Index, and Modified Barthel Index of Activities of Daily Living pre- and post-surgery. The Charlson Co-morbidity Index (CCI) is a scale that measures 1-year mortality risk and burden of disease by taking into consideration the patient’s age and existing medical conditions. The Modified Barthel Index of Activities of Daily Living (MBI) is an assessment of a patient’s ability to perform activities considered essential for daily function, ranging from 0 (completely dependent) to 100 (completely independent).
Results
The 34 patients included in the review were all of the geriatric population (age range 60 to 101 years, mean age 79.7 years) except for one (age 34 years), with 13 of the patients being male and 21 being female. The distribution of fracture patterns is as follows: 4 patients had stable intertrochanteric (IT) fractures (AO/OTA 31-A1); 16 patients had unstable IT fractures (AO/OTA 31-A2); 11 patients had subtrochanteric fractures with trochanteric extension (AO/OTA 32-A3); and 3 patients sustained pure diaphyseal fractures (AO/OTA32-A/B/C).
Special circumstances involving certain patients included 1 patient with a multiple-level/bi-focal femoral fracture (IT and shaft) and 1 patient with a previous fixation failure (fixation with a PFNA) who underwent revision fixation using the TFN-A.
Twenty-three fractures were fixed with long nails, while 11 were fixed with short nails. The helical blade was used in 33 patients and the lag screw used in 1 patient to fix the head–neck element to the shaft section. Additional fixation was performed for 6 patients in the form of cerclage wires about the subtrochanteric region, as they had subtrochanteric fractures with proximal and distal extension, and attempts at closed reduction resulted in unsatisfactory alignment. Cement augmentation was abandoned in 1 patient due to contrast leakage into the joint. A total of 14 patients received head–neck element cement augmentation.
Follow-up
Three patients were limited to just immediate post-operative X-rays: 2 died of causes unrelated to the operation (both from myocardial infarction) before their scheduled follow-up, and 1 patient opted to return to her country of permanent residence for follow-up. The rest of the 37 patients had follow-ups that ranged from 2 to 18 months (mean 5.8 months).
Fracture Healing
Thirty-two patients went on to complete fracture healing at 2 months post-surgery. Two patients showed no radiographic signs of fracture healing at 2 months post-surgery; one of them was offered bone grafting (the procedure was cancelled because the patient had a non-fatal myocardial infarction and the patient’s fracture eventually showed radiographic union 12 months post-surgery) and the other was commenced on anabolic treatment (Teriparatide 80 mcg once daily), which induced callus formation at 5 months post-surgery. One patient with a multiple-level femoral fracture (IT and shaft) had delayed healing at the shaft section due to a large butterfly fragment, but at 6 months post-surgery demonstrated good fracture consolidation.
Neck-Shaft Angle and Varus Collapse
All 34 patients had post-operative neck-shaft angles (NSAs) within 5° of the contralateral (uninjured) side. No hip was fixed with an NSA of less than 125° (mean = 131°). Four hips fixed with NSAs < 128° had contralateral hips that had NSAs between 125° and 127°. Two of 34 patients had varus collapse of the fixation construct greater than 5° on follow-up, but did not progress towards cut-out (one had cement augmentation and one did not).
Neck Length Shortening
Sixteen patients had shortening of the neck (15 helical blades and 1 lag screw), with five patients having more than 10 mm collapse (all blades). All patients with more than 10 mm of shortening were noted to have fracture patterns that were of the AO 31-A2 or 31-A3 type. Notably, three patients who had more than 10 mm shortening had their helical blades locked in dynamic mode, while in two patients the locking mode for the helical blade was not stipulated in the operative report.
Implant Failure
Two out of 34 patients experienced implant failure, specifically failure of the distal locking screws—one distal screw from a short nail and two distal screws from a long nail. In both cases of implant failure, however, the fracture united rather unremarkably and the screw failures were noted on the 6-month follow-up, a window of about 3 months between fracture union and screw failure.
Weight-Bearing and Return to Function
Twenty-seven patients were immediately instructed—and were able—to fully weight bear on their post-surgical extremities with walking aids. Three patients—two unstable IT fractures and one patient with a multiple-level fracture—were initially instructed to do only partial weight-bearing, but were eventually progressed to full weight-bearing after 6 to 8 weeks. Four patients with unstable IT fractures were initially unable to ambulate independently but, with rigorous physical therapy, were subsequently able to do so at 6 to 8 weeks post-surgery.
Discussion
While present-day treatment of extracapsular proximal femoral fractures is largely successful, complications continue to be devastating and one-year mortality is still relatively high [6, 7, 14]. The TFN-A attempts to build on the perceived success of its predecessors [4–9, 14] as well as address shortcomings in their use. Specifically, the issues of implant cut-out/cut-through, anterior cortical perforation/impingement and implant failure were highlighted as areas that the TFN-A attempts to improve upon compared to its forerunners [12]. As the TFN-A is a relatively new implant, there are still no stringent criteria for favouring its use over existing implant systems. In particular, the PFNA-II, which is a proven device for proximal femur fixation, is still more widely used in our hospital for most AO type 31-A fractures. The TFN-A was chosen for these 34 patients because the surgeons felt that the newer implant provided some form of advantage—either the head–neck fixation needed cement augmentation (i.e. extremely low BMD, fractures with excessive comminution or revision surgery for previous failure of fixation), or the femoral bow was substantial enough to warrant the use of a more curved implant to decrease the risk of anterior cortical impingement/blowout [8, 9, 11, 12].
A finding of note in using the TFN-A system was that in 4 out of 14 patients with cement augmentation, cement did not reach the tip of the head–neck element (or the superior half of the femoral head), and that most of the cement (about 70–80%) settled within the femoral neck (Fig. 1). All four of these cases used the helical blade for head–neck fixation. One possible explanation is that use of the helical blade resulted in further impaction of the cancellous bone around the tip of the blade, as it is intended to [8, 9, 15]. However, this denser bone then blocks the antegrade egress of the cement towards the tip of the blade. Instead the cement escapes via the path of less resistance, in a retrograde fashion towards the femoral neck. Earlier studies describing the use of cement augmentation have not described this phenomenon before [8, 9, 15]. Further in vitro studies can be conducted to test this hypothesis, as well as CT scan imaging of cement-augmented cephalo-medullary implants to analyse cement distribution in vivo. The authors are, however not discounting the possibility that these cases may just reflect a design flaw in the cement augmentation instrumentation of this new implant. Whether this phenomenon has an effect on the overall stability or failure rate of the construct, or the healing of the fracture is also an area that warrants further investigation.
Fig. 1.
73/F who sustained an AO/OTA 31-A1 fracture which was fixed with a short TFNA + cement augmentation
With regards to weight bearing and return to function, figures in literature show rates of return to function at around 55-84% [3, 6, 8, 14, 16], with cement augmentation being a non-factor in return to walking ability [25]. All patients in our study were able to eventually progress to full weight-bearing status within 6 to 8 weeks of their respective surgeries (27 patients were fully weight-bearing immediately post-surgery, with the remainder progressing with the help of physiotherapy) and subsequently return to activity almost, if not equal to, their pre-injury levels. And while 34 patients are a small sample, the fact that all of them were able regain significant mobility is a very encouraging result.
Two patients in our pool had implant failure, specifically breakage of the distal locking screws (Fig. 2). However, documentation reveals that the screws failed after their fractures had already healed, sometime between 3- and 6-months post-surgery. Both patients had cement augmentation, had been weight-bearing as tolerated on their surgically fixed limbs, and there was no note of any significant trauma prior to screw failure. They were also asymptomatic. Other than being an incidental finding, one possible explanation for this is that the points of the screw failure were the either the weakest in the entire implant-bone interface, or the area with the greatest stress concentration—an area that is traditionally associated with the femoral head–neck region, which usually leads to either varus collapse and cut-out, or nail breakage at the hole for head element insertion [6, 17–19, 24]. This suggests that the TFN-A with an augmented head–neck region in the setting of a healed proximal femur fracture may have a different pattern of force transmission as well as areas of stress concentration compared to those previously described for proximal femur intramedullary implants.
Fig. 2.
69/M who sustained an AO/OTA 31-A3 fracture which was fixed with a long TFNA and cement augmentation. First and second from left: immediate post-op; third and fourth: 6 months post-op showing a united fracture and failure of both distal screws
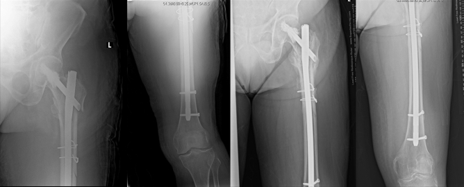
Anterior cortical impingement or perforation is attributed to the mismatch between the femoral bow and the nail geometry. Our study, wherein 23 patients were fixed with a long nail, had no incidence of anterior cortical impingement or blowout, which suggests that the TFN-A has a nail geometry that appears to more closely approximate the native femoral bow found in the Asian population [10, 11] (Fig. 3). In three patients with a pure diaphyseal fracture (AO/OTA 32.A3, the femoral bow was the factor noted to have influenced the surgeons to use the TFN-A as opposed to other implants more traditionally favoured for diaphyseal fixation. Clinical studies that attempt to compare the femoral bow with implant geometry are sparse [10, 11] and with the advent of the TFN-A, comparisons between it and more well-established implants may shed light on this relatively rare—but nonetheless severe—complication.
Fig. 3.

Comparison of position of the distal nail tip of the TFN-A (left) and the PFNA (right). The tip of the PFNA is noticeably more anterior and impinges on the anterior cortex
Cut-out or cut-through of the head–neck element is considered one of the most devastating complications of cephalo-medullary fixation devices, requiring revision surgery (usually a total hip replacement) and exacting a greater physiological and financial burden on patients. Several studies have identified the quality of fracture reduction (i.e. NSA > 127° or within 5° of the contralateral hip) and the tip-apex distance (TAD) to be the most important factors that determine varus collapse of proximal femur fixation constructs. Varus collapse, along with head element placement in the postero-superior region of the head, in turn, increased the risk for cut-out [2, 16–21]. While most studies stipulate that the difference between fixation with a lag screw versus a helical blade is not as significant as anatomical reduction, proper implant positioning and TAD, constructs which feature a helical blade have been documented with considerably reduced cut-out rates (somewhere between 1.5 and 7% as compared to 2.9–14% for lag screws) and, as such, is the preferred cephalo-medullary fixation component, particularly in osteoporotic bone [1–5, 7, 16]. In our study, all patients were fixed with the helical blade, except for one—a young male patient with a bifocal femoral fracture who, save for delayed union of his diaphyseal fracture by a few weeks, went on to heal uneventfully. Additionally, two patients had varus collapse of more than 5 degrees, but neither patient progressed into cut-out/cut-through (Fig. 4).
Fig. 4.

70/F who sustained an AO/OTA Type 31-A3 Fracture. Left: immediate post-op radiograph with a Neck-Shaft Angle (NSA) of 130°. Right: 2 months post-op showing fracture healing and NSA of 121°
In addition to good reduction and implant position, cement augmentation of the head–neck element has also been shown by several authors to biomechanically increase rotational and pull-out strength, and—more importantly—significantly reduce the rate of cut-out [8, 9, 15, 22, 25, 26]. As there is currently no standardized clinical guideline for cephalo-medullary cement augmentation, it is still the surgeon’s prerogative whether to augment or not. Recent studies have, however, suggested that about 6 ml of cement is enough to confer additional stability without any deleterious effects [8, 15, 25, 26]. In our study, 14 patients received cement augmentation, with no incidence of implant loosening, cut-out or cut-through.
While the technical skills of the surgeon can be a significant factor in the quality of fracture reduction, certain TFN-A design elements—specifically the flattened lateral portion as well as a smaller proximal nail diameter—seem to hint at the potential of this new implant at minimizing the risks of mal-reduction. Taken together with the established benefits of the helical blade and cement augmentation [8, 9, 15, 25, 26], all the design elements of the TFN-A may contribute to a considerably reduced rate of implant cut-out—and the morbidity and costs that inevitably come with such complications.
One feature of the TFN-A that we were unable to evaluate in this study is the effectiveness of the built-in locking mechanism for the sliding of the head–neck element. This feature is supposedly designed to prevent excessive shortening of the neck in unstable fracture patterns [3–5, 23]. Our review revealed that in 18 cases, the operative report did not expressly indicate whether the locking mechanism was placed in dynamic or static mode. While we did note that there were only 5 patients with significant neck shortening of more than 10 mm (3 were locked in dynamic mode, 2 were unspecified), the utilization of this feature was rather poorly documented, perhaps owing to unfamiliarity with this particular design element of the implant.
Study Limitations and Future Recommendations
Admittedly, the results shown here come from quite a small and heterogenous sample, which limits the strength of conclusions that can be derived. Furthermore, this study is purely descriptive, as well as retrospective in nature. Therefore, future studies with a prospective analytical design, larger sample size and more defined patient inclusion/exclusion parameters should be the next step in the study of this new implant system. Likewise, the lack of consistent documentation on whether the locking mechanism for the head–neck fixation is indeed effective in preventing excessive, uncontrolled neck shortening merits additional evaluation. While it is not the intent of this study to formulate a reliable guideline or algorithm for augmenting the cephalo-medullary component, the options afforded by the TFN-A system may lend itself well towards the development of a more calculated and objective measure for this emerging technique. Finally, a longer period of follow-up is recommended.
In spite of these limitations, this paper is one of the first attempts to describe and evaluate the results of the TFN-A system, which is important in determining whether the implant indeed accomplishes its intended purpose.
Conclusion
Our early experience with the TFN-A appears to suggest that it is at least comparable to the more established proximal femur nail devices in terms of fixation and subsequent patient return to function. The absence of anterior cortical impingement or perforation suggests that the TFN-A shows promise in addressing this issue.
While it seems confined to a few instances, distal locking screw failure in the setting of a healed proximal femur fracture fixed with the TFN-A may need to be carefully studied and monitored in the future to ascertain its implications on patient outcomes. Finally, the incidence of retrograde flow of cement—and its potential effects and repercussions—is a previously unreported point of interest that requires further study.
Compliance with Ethical Standards
Conflict of interest
All the authors declare that they do not have any conflict of interests.
Ethical standard statement
This article does not contain any studies with human or animal subjects performed by the any of the authors.
Informed consent
For this type of study informed consent is not required.
Footnotes
Publisher's Note
Springer Nature remains neutral with regard to jurisdictional claims in published maps and institutional affiliations.
References
- 1.Frei HC, Hotz T, Cadosch D, Rudin M, Käch K. Central head perforation, or “cut-through”, caused by the helical blade of the proximal femoral nail anti-rotation. Journal of Orthopaedic Trauma. 2012;26(8):e102–e107. doi: 10.1097/BOT.0b013e31822c53c1. [DOI] [PubMed] [Google Scholar]
- 2.Geller JA, Saifi C, Morrison TA, Macaulay W. Tip-apex distance of intramedullary devices as a predictor of cut-out failure in the treatment of peritrochanteric elderly hip fractures. International Orthopaedics. 2010;34(5):719–722. doi: 10.1007/s00264-009-0837-7. [DOI] [PMC free article] [PubMed] [Google Scholar]
- 3.Lenich A, Vester H, Nerlich M, Mayr E, Stockle U, Fuchtmeier B. Clinical comparison of the second and third generation of intramedullary devices for trochanteric fractures of the hip—blade vs screw. Injury. 2010;41(12):1292–1296. doi: 10.1016/j.injury.2010.07.499. [DOI] [PubMed] [Google Scholar]
- 4.Mereddy P, Kamath S, Ramakrishnan M, Malik H, Donnachie N. The AO/ASIF proximal femoral nail antirotation (PFNA): A new design for the treatment of unstable proximal femoral fractures. Injury. 2009;40(4):428–432. doi: 10.1016/j.injury.2008.10.014. [DOI] [PubMed] [Google Scholar]
- 5.Parker, M. J., & Handoll, H. H. (2010). Gamma and other cephalocondylic intramedullary nails versus extramedullary implants for extracapsular hip fractures in adults. The Cochrane Database of Systematic Reviews. Art. No: CD000093. [DOI] [PubMed]
- 6.Radaideh AM, Qudah HA, Audat ZA, Jahmani RA, Yousef IR, Saleh AA. Functional and radiological results of proximal femoral nail antirotation (PFNA) osteosynthesis in the treatment of unstable pertrochanteric fractures. Journal of Clinical Medicine. 2018;7(4):78. doi: 10.3390/jcm7040078. [DOI] [PMC free article] [PubMed] [Google Scholar]
- 7.Sambandam SN, Chandrasekharan J, Mounasamy V, Mauffrey C. Intertrochanteric fractures: a review of fixation methods. European Journal of Orthopaedic Surgery & Traumatology. 2016;26:339–353. doi: 10.1007/s00590-016-1757-z. [DOI] [PubMed] [Google Scholar]
- 8.Kammerlander C, Doshi H, Gebhard F, et al. Long-term results of the augmented PFNA: A prospective multicenter trial. Archives of Orthopaedic and Trauma Surgery. 2014;134(3):343–349. doi: 10.1007/s00402-013-1902-7. [DOI] [PubMed] [Google Scholar]
- 9.Kammerlander C, Gebhard F, Meier C, et al. Standardised cement augmentation of the PFNA using a perforated blade: A new technique and preliminary clinical results. A prospective multicentre trial. Injury. 2011;42(12):1484–1490. doi: 10.1016/j.injury.2011.07.010. [DOI] [PubMed] [Google Scholar]
- 10.Abdelaal AHK, Yamamoto N, Hayashi K, Takeuchi A, Morsy AF, Miwa S, Kajino Y, Rubio DA, Tsuchiya H. Radiological assessment of femoral bowing in Japanese population. SICOT-J. 2016;2:2. doi: 10.1051/sicotj/2015037. [DOI] [PMC free article] [PubMed] [Google Scholar]
- 11.Schmutz B, Amarathunga J, Kmiec S, Jr, Yarlagadda P, Schuetz M. Quantification of cephalomedullary nail fit in the femur using 3D computer modelling: A comparison between 1.0 and 1.5 m bow designs. Journal of Orthopaedic Surgery and Research. 2016;11(1):53. doi: 10.1186/s13018-016-0389-7. [DOI] [PMC free article] [PubMed] [Google Scholar]
- 12.DePuy Synthes value analysis brief: Trochanter fixation nail-advanced proximal femoral nail system. Synthes GmbH, 4436 Oberdorf Switzerland. www.depuysynthes.com/ifu.
- 13.DePuy Synthes trochanter fixation nail-advanced proximal femoral nail system surgical technique manual. http://synthes.vo.llnwd.net/o16/LLNWMB8/INT%20Mobile/Synthes%20International/Product%20Support%20Material/legacy_Synthes_PDF/DSEM-TRM-0514-0052-7_LR.pdf.
- 14.Loo WL, Loh SYJ, Lee HC. Review of proximal nail antirotation (PFNA) and PFNA 2—our local experience. Malaysian Orthopedic Journal. 2011 doi: 10.5704/moj.1107.001. [DOI] [Google Scholar]
- 15.Hofmann, L., Hagen, J., Agarwal, Y., et al. (2016). Impact of bone cement augmentation on fixation strength of TFNA blades & screws. In European Society for Trauma and Emergency Surgery (ESTES), 24–26 April, 2016, Vienna, Austria.
- 16.Stern R, Lubbeke A, Suva D, Miozzari H, Hoffmeyer P. Prospective randomised study comparing screw versus helical blade in the treatment of low-energy trochanteric fractures. International Orthopaedics. 2011;35(12):1855–1861. doi: 10.1007/s00264-011-1232-8. [DOI] [PMC free article] [PubMed] [Google Scholar]
- 17.Ali T, Onder K, Levent K, Mert K, Alo AH, Haluk A. Which factor is the most important for occurrence of cutout complications in patients treated with proximal femoral nail antirotation. Retrospective analysis of 298 patients. Archives of Orthopaedic and Trauma Surgery. 2016;136:623–630. doi: 10.1007/s00402-016-2410-3. [DOI] [PubMed] [Google Scholar]
- 18.Yam M, Chawla A, Kwek E. Rewriting the tip-apex distance for the proximal femoral nail anti-rotation. Injury. 2017;48(8):1843–1847. doi: 10.1016/j.injury.2017.06.020. [DOI] [PubMed] [Google Scholar]
- 19.Zirngibl B, Biber R, Bail HJ. How to prevent cutout and cut-through in biaxial proximal femoral nails: Is there anything beyond lag screw positioning and tip-apex distance? International Orthopaedics. 2013;37(7):1363–1368. doi: 10.1007/s00264-013-1898-1. [DOI] [PMC free article] [PubMed] [Google Scholar]
- 20.Kraus M, Krischak G, Wiedmann K, et al. Clinical Evaluation of PFNA® and relationship between the tip-apex distance and mechanical failure. Der Unfallchirurg. 2011;114(6):470–478. doi: 10.1007/s00113-011-1975-0. [DOI] [PubMed] [Google Scholar]
- 21.Nikoloski AN, Osbrough AL, Yates PJ. Should the tip-apex distance (TAD) rule be modified for the proximal femoral nail antirotation (PFNA)? A retrospective study. Journal of Orthopaedic Surgery and Research . 2013;8(1):35. doi: 10.1186/1749-799X-8-35. [DOI] [PMC free article] [PubMed] [Google Scholar]
- 22.Scola A, Gebhard F, Dehner C, Röder G. The PFNA augmented in revision surgery of proximal femur fractures. The Open Orthopaedics Journal. 2014;8:232–236. doi: 10.2174/1874325001408010232. [DOI] [PMC free article] [PubMed] [Google Scholar]
- 23.Hofmann, L. (2015). AO Foundation: Final report for biomechanical evaluation of non-augmented nail head elements in surrogate femoral heads [Synthes GmbH: USTRA09022 Trochanteric Fixation Nail—Advanced (TFNA)].
- 24.Lambers A, Rieger B, Kop A, et al. Implant fracture analysis of the TFNA proximal femoral nail. Journal of Bone and Joint Surgery. 2019;101(9):804–811. doi: 10.2106/JBJS.18.00997. [DOI] [PubMed] [Google Scholar]
- 25.Kammerlander C, Hem ES, Klopfer T, et al. Cement augmentation of the proximal femoral nail antirotation (PFNA)—A multicentre randomized controlled trial. Injury International Journal of the Care of the Injured. 2018;49:1436–1444. doi: 10.1016/j.injury.2018.04.022. [DOI] [PubMed] [Google Scholar]
- 26.Erhart S, Schmoelz W, Blauth M, et al. Biomechanical effect of bone cement augmentation on rotational stability and pull-out strength of the proximal femoral nail antirotation. Injury. 2011 doi: 10.1016/j.injury.2011.04.010. [DOI] [PubMed] [Google Scholar]


