Abstract
BACKGROUND AND PURPOSE: Echo-planar diffusion-weighted and fluid-attenuated inversion-recovery (FLAIR) imaging have both proved valuable for detecting acute ischemic infarcts, but little is known about the value of diffusion-weighted imaging beyond the acute infarct period. Furthermore, no direct comparison of the techniques has been published. We compared the diagnostic utility of diffusion-weighted, FLAIR, and T2-weighted fast spin-echo (FSE) imaging for detecting cerebral infarctions up to 10 days old.
METHODS: FSE, FLAIR, and diffusion-weighted MR sequences were obtained prospectively over a 6-month period in 212 patients with suspected cerebral infarctions. Seventy patients with nonhemorrhagic ischemic infarcts less than 10 days old whose symptoms lasted longer than 48 hours were identified. The three sequences were compared for detectability and conspicuity of abnormalities that correlated with the neurologic deficit.
RESULTS: Seventy-two symptomatic infarcts were found in the 70 patients. Diffusion-weighted imaging detected 70 (97%), FLAIR, 69 (96%), and FSE, 64 (89%) of the 72 lesions. Only the difference between diffusion-weighted and FSE imaging approached statistical significance. There was no difference in the number of lesions detected in the patients imaged 48 hours or more after infarction. Lesion conspicuity on diffusion-weighted images was judged superior to that on FSE and FLAIR images in 55 (77%) and 47 (67%) of the cases, respectively. FLAIR images were judged superior to FSE in 34 (48%) of the cases.
CONCLUSION: Diffusion-weighted images showed more infarcts than FLAIR and FSE images, and FLAIR images showed more than FSE images, but the differences were not statistically significant. Lesion conspicuity, however, was consistently better on diffusion-weighted images than on either FLAIR or FSE images throughout the 10-day period. Acquisition of diffusion-weighted images in the late acute and subacute periods after ischemic cerebral infarction appears to be beneficial.
Cerebrovascular disease is a major health care problem, with approximately 750,000 new or recurrent strokes affecting the U.S. population each year (1). CT and MR imaging continue to be the mainstays for imaging cerebrovascular disease, with the superiority of MR imaging for infarct detection now firmly established (2, 3). However, not all MR techniques appear equally adept at identifying infarcts. Comparisons of commonly available MR pulse sequences have generally shown that conventional spin-echo (CSE) imaging is superior to fast spin-echo (FSE) imaging, while fluid-attenuated inversion-recovery (FLAIR) imaging is more sensitive than both CSE and FSE imaging for infarct detection (4–7). The development of diffusion-weighted MR imaging has added yet another means of imaging cerebrovascular disease (8). Diffusion-weighted imaging has proved particularly sensitive for the detection of hyperacute infarcts in humans and animals, and has been shown to be superior to CSE and FSE imaging during that time period (9–15).
Although Noguchi et al (7) have suggested that FLAIR imaging can detect 2- to 3-hour-old infarctions (and thereby compete with diffusion-weighted imaging in the diagnosis of hyperacute cerebral infarction), we are unaware of any published comparison between the two techniques. Furthermore, the literature comparing FSE imaging with either diffusion-weighted or FLAIR imaging in patients with cerebral infarctions outside the acute/hyperacute period is limited. Because patients are frequently referred for imaging in the subacute infarct period, a comparison of diffusion-weighted, FLAIR, and FSE imaging in this period is important. We therefore set out to compare the detectability and conspicuity of ischemic infarcts within the first 10 days of clinical ictus on diffusion-weighted, FLAIR, and FSE imaging sequences. The hypothesis to be tested was that lesion detection and conspicuity in both the acute and subacute periods were superior on diffusion-weighted imaging sequences.
Methods
MR imaging was performed prospectively in 212 consecutive patients referred for suspected acute or subacute cerebral infarction over a 6-month period. All images were obtained using a commercially available MR unit operating at 1.5 T. T2-weighted FSE, fast-FLAIR, and echo-planar diffusion-weighted sequences were performed in all patients, forming the basis for comparison. The FSE sequences were obtained in the axial plane with parameters of 4000/80/1 (TR/TEeff/excitations), a section thickness of 5 mm with a 2-mm gap, an echo train length of 8, an acquisition matrix of 256 times; 256, and a field of view of 22 cm. FLAIR images were obtained in the coronal plane using parameters of 10,000/97/1 (TR/TEeff/excitations), an inversion time (TI) of 2200, a section thickness of 4 mm with a 2-mm gap, an echo train length of 8, an acquisition matrix of 192 times; 256, and a field of view of 22 cm.
Diffusion-weighted imaging was performed in single-shot echo-planar mode in the axial plane with parameters of 10,000/97/1 (TR/TE/excitations), a section thickness of 5 mm with a 2.5-mm gap, a field of view of 30 cm, and an acquisition matrix of 128 times; 128. Diffusion gradients with corresponding b values of 1 and 1000 s/mm2 were sequentially activated in the x-, y-, and z-planes. This technique generated 20 axial anisotropic diffusion-weighted images sensitive to water motion along each of the three principal anatomic axes in 40 seconds. In approximately half the cases, isotropic trace images were generated by calculating the average signal intensity of each pixel from the three sets of diffusion images on a pixel-by-pixel basis.
Clinical data on each patient were acquired prospectively from the patient at the time of the imaging examination and supplemented where needed by chart review and/or consultation with the referring physician. Relevant information included the nature of the neurologic deficit(s), date and time of clinical ictus, history of prior neurologic events, and resolution or persistence of clinical symptoms. From the initial group of 212 patients scanned, 70 met strict criteria for inclusion in this study: 1) final clinical diagnosis of nonhemorrhagic ischemic cerebral infarction, 2) age of infarction less than or equal to 10 days, and 3) persistence of symptoms longer than 48 hours after ictus. The 10-day criterion was arbitrarily chosen on the basis of published literature suggesting that the apparent diffusion coefficients (ADCs) of infarcts typically return to normal during this time frame (16–18). The resulting cohort of 70 patients selected for inclusion in our project included 39 males and 31 females, ranging in age from 10 to 90 years (average age, 69 years).
Two experienced neuroradiologists with complete knowledge of the patients' clinical histories independently reviewed all studies. Diffusion-weighted, FLAIR, and FSE images were inspected simultaneously for areas of abnormal signal. A sequence was considered positive for infarction if abnormal signal was present in a location consistent with the patient's recorded neurologic deficit. Images with no abnormal signal or with areas of abnormal signal located in regions that could not reasonably explain the patient's symptoms were considered negative for infarction. For the diffusion-weighted sequences, anisotropic images sensitive to water motion in the x-, y-, and z-axes were evaluated in each case. Even when isotropic trace images were available, the anisotropic source images were still reviewed. Using a consensus method, the readers made pairwise comparisons of lesion intensity relative to adjacent brain for each sequence, thereby ranking sequences in terms of conspicuity. For each infarct, comparisons were made between FSE, FLAIR, and diffusion-weighted images, judging lesions to be more, less, or equally conspicuous. In the cases in which a disagreement between the two readers occurred, the interpretation of a third neuroradiologist served as the tiebreaker.
Statistical analyses of the pairwise comparisons were made by using McNemar's and exact binomial tests (19). All hypotheses were two-sided and a Bonferroni correction was used for multiple comparisons. Both the patient and the lesion were considered as the unit of analysis, but inferences were the same regardless of which was used.
Results
MR abnormalities were identified in 69 (99%) of the 70 patients who met the inclusion criteria outlined above. Because four patients were scanned on two separate occasions (one for follow-up, three for new events), 72 distinct infarcts were analyzed, ranging in age from 10 hours to 10 days. Lesion distribution was as follows: 43 were located in the cortex/subcortical white matter, four in the periventricular white matter, 15 in the basal ganglia/thalamus, three in the cerebellum, and six in the brain stem. The results are summarized in Tables 1 to 3.
TABLE 1:
Data summary

Lesion Detection
Overall, diffusion-weighted imaging detected 97% (70/72) of the infarcts; FLAIR, 96% (69/72); and FSE, 89% (64/72). Only the difference in the number of lesions detected between the diffusion-weighted and FSE sequences approached statistical significance (P = .07). Notably, all the lesions that were undetected by one or more of the pulse sequences were imaged within 48 hours of symptom onset. All 38 lesions imaged between days 3 and 10 were identified on all three sequences.
Differences in lesion detection among the three techniques can be appreciated when considering the 34 infarcts less than 2 days old. Diffusion-weighted imaging detected 32 infarcts; FLAIR, 31; and FSE, 26 (Table 2). Figure 1 shows the single instance in which diffusion-weighted imaging detected a lesion not visible with FLAIR; that right cerebellar lesion was also inapparent on FSE images. During the second day after ictus, both FLAIR and diffusion-weighted images missed two small brain stem infarcts, most likely a result of their small size and the susceptibility artifacts at the skull base (Figs 2 and 3). One of those lesions was detected on FSE images (Fig 3A). FSE imaging proved inferior to both diffusion-weighted and FLAIR during the first 48 hours, missing eight (24%) of 34 lesions (Table 2). Six of the lesions missed on FSE images bordered the CSF: five were cortical/subcortical in location and one was located in the periventricular white matter.
TABLE 2:
Lesions detected

fig 1.

74-year old patient scanned 14 hours after onset of vertigo.
A, FSE T2-weighted image reveals an old left cerebellar lacuna (arrow).
B, FLAIR image shows no cerebellar signal abnormality.
C, Diffusion-weighted image sensitive to water motion in the craniocaudal direction reveals an acute infarct in the right cerebellar hemisphere (arrow).
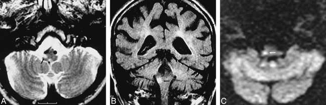
fig 2.

85-year old woman scanned on the second day after onset of right-sided limb weakness and vertigo.
A–C, Axial FSE image (A), coronal FLAIR image (B), and axial diffusion-weighted image sensitive to water motion in the craniocaudal direction (C) are normal.
D–F, Repeat study performed 24 hours later because of persistent symptoms reveals a pontine signal abnormality on FSE image (arrow, D), while FLAIR image (E) is still normal. Trace diffusion-weighted image shows a clear pontine infarct (arrow, F). In the repeat study, lesion conspicuity was rated superior on the diffusion-weighted image.
fig 3.

56-year old man scanned on day 2 after acute onset of vertigo and an intranuclear ophthalmoplegia, suggestive of a midbrain infarct.
A, FSE image reveals a tiny focus of abnormal signal in the right periaqueductal gray matter (arrow).
B and C, FLAIR image (B) and diffusion-weighted image sensitive to flow in the anteroposterior direction (C) are normal. The patient was discharged with a clinical diagnosis of a midbrain infarct and has not had follow-up imaging.
Lesion Conspicuity
FLAIR images were judged superior to FSE images in 48% (34/72) of the cases, equal in 49% (35/72), and inferior in 3% (2/72) (Table 3). In the 36 scans in which there was a difference in infarct conspicuity between FLAIR and FSE imaging, the lesions were judged more conspicuous on FLAIR images in 34 (94%) (P < .001). On 58 scans (56 patients), there was a difference in conspicuity between diffusion-weighted and FSE imaging; diffusion-weighted sequences were rated superior in 55 (95%) (P < .001). Similarly, there were 49 scans (44 patients) in which there was a difference in conspicuity between diffusion-weighted and FLAIR imaging, and the diffusion-weighted images were rated superior in 47 (96%) (P < .001) (Fig 4, 5). The differences in lesion conspicuity between the three sequences remained significant at the P < .001 level for infarcts 3 to 10 days old, even though there was no difference in the number of lesions detected. It is notable that only three infarcts were judged to be less conspicuous on diffusion-weighted images than on FLAIR and/or FSE images; all three lesions were less than 48 hours old. Figure 6 illustrates one of those cases.
TABLE 3:
Lesion conspicuity

fig 4.

89-year old woman scanned 1 day after sudden onset of aphasia.
A–C, FSE (A), FLAIR (B), and trace diffusion-weighted (C) images all reveal abnormal signal in the left temporal lobe and insula (arrows). Conspicuity on the diffusion-weighted image was judged superior to that on the other two sequences.
fig 5.

79-year old man scanned 1 day after sudden onset of left arm and hand weakness.
A–C, FSE (A) and FLAIR (B, C) images reveal separate regions of signal abnormality consistent with acute infarction in the anterior (closed arrows) and posterior (open arrows) portions of the left frontal lobe. Conspicuity of both infarcts was judged to be superior on the FLAIR sequence.
D, Diffusion-weighted image sensitive to water motion in the transverse direction shows both infarctions better.
fig 6.

84-year old man scanned 2 days after sudden onset of limb weakness.
A–C, FSE (A) and FLAIR (B) images reveal a distinct right lateral medullary infarct (arrows). Conspicuity was judged superior on the FLAIR image. Although the trace diffusion-weighted image (C) also shows signal abnormality in the same location (arrow), conspicuity was judged inferior to that on both FSE and FLAIR images.
Discussion
The benefit of diffusion-weighted MR imaging for detecting hyperacute and acute cerebral infarcts in humans and animals, and its superiority to CSE and FSE imaging during those periods, has now been firmly established (8–15). It has been suggested that MR imaging using fluid-attenuated inversion recovery sequences can detect 2- to 3-hour-old infarctions (7). If true, FLAIR sequences might be able to compete with diffusion-weighted imaging in the diagnosis of hyperacute cerebral infarction. While there have been numerous studies evaluating the sensitivities of diffusion-weighted, CSE, and FSE MR imaging for the detection of hyperacute/acute infarcts, two important issues have not been addressed: there has been no published comparison of diffusion-weighted and FLAIR imaging, and the potential benefit of diffusion-weighted imaging outside the hyperacute/acute infarct period has not been well evaluated. Both these issues were addressed in this study.
Our findings can be summarized as follows: 1) Although FLAIR imaging identified more infarcts than FSE imaging (69 versus 64), the difference was not statistically significant. Lesion conspicuity on FLAIR images, however, was judged superior to that on FSE images more often than FSE images were judged superior to FLAIR. 2) Diffusion-weighted images identified more infarcts than FSE images, although the difference did not reach statistical significance at the P = .05 level. Lesion conspicuity on diffusion-weighted images was judged superior than on FSE images. 3) There was no significant difference in the number of lesions detected (70 versus 69) between diffusion-weighted and FLAIR imaging; however, infarct conspicuity on diffusion-weighted images was judged to be superior. 4) After 48 hours, all three pulse sequences identified the same 38 infarcts; however, infarcts were still considered to be more conspicuous on diffusion-weighted imaging than on either FLAIR or FSE imaging.
FLAIR versus FSE Imaging
Prior studies comparing conventional or fast spin-echo imaging with the FLAIR technique have shown enhanced lesion detection and conspicuity with FLAIR imaging. In a study of 36 patients with cerebral infarcts, Brant-Zawadzki et al (5) identified five infarcts with FLAIR imaging that were missed with fast or turbo spin-echo techniques. Two of the missed lesions were hyperacute (ie, < 6 hours old). Noguchi et al (7) identified 22 of 23 infarcts less than 8 hours old with FLAIR imaging and only 17 of these with FSE T2-weighted imaging. The only ischemic lesion missed by FLAIR was a 2-hour-old basal ganglia infarct. As in those studies, FLAIR imaging identified more total infarcts than FSE imaging in our series, although the difference was not significant. Furthermore, both techniques identified all infarcts more than 48 hours old. On the other hand, infarct conspicuity on FLAIR images was equal to or better than that on FSE images in 97% of cases. This improved conspicuity persisted on days 3 through 10 even though the number of lesions detected was the same. Therefore, it appears that the major advantage of CSF signal suppression in the clinical setting of stroke is to increase lesion conspicuity, particularly for lesions in cortical/subcortical or periventricular locations. The improvement in infarct conspicuity we noted with FLAIR imaging is less dramatic than results previously reported by Alexander et al (6). These investigators studied 45 infarcts and concluded that FLAIR imaging increased the conspicuity of 96% of lacunar infarcts and 80% of cortical/subcortical infarcts. We found lesions on FLAIR images to be more conspicuous than on FSE images in 47% of the cases and equal to FSE images in 49%. This difference may be related to technical differences in the pulse sequences used (TR, TE, and TI were all slightly different) or differences in the age of the infarcts. Because the ages of the infarcts were not specified in the study by Alexander et al, direct comparison with our results is not possible.
Diffusion-Weighted versus FLAIR and FSE Imaging
Diffusion-weighted imaging has had a major impact on the imaging of cerebral vascular disease. The addition of balanced diffusion gradients to echo-planar pulse sequences makes diffusion-weighted imaging uniquely sensitive to the detection of restricted water motion, such as that seen with cytotoxic edema in the setting of cerebral infarction (9, 20, 21). Cytotoxic edema occurs within minutes once cerebral blood flow has been significantly compromised, even though the accompanying change in total brain water content is minimal (22–24). Because CT and conventional MR imaging techniques generally require large shifts in water content to identify lesions, they are frequently normal in the setting of cytotoxic edema. In contrast to cytotoxic edema, vasogenic edema occurs when cellular integrity is lost and the blood-brain barrier is disrupted. The resulting shifts in fluid and macromolecules are much larger and more readily detectable with conventional imaging. Unfortunately, vasogenic edema may not develop for 4 to 6 hours after cerebral blood flow is interrupted (23, 24). For those reasons, diffusion-weighted imaging is better able to identify hyperacute infarcts than are more traditional MR techniques, which rely on the development of vasogenic edema (11–14). Although our results confirm that diffusion-weighted imaging is superior to FSE imaging for identifying hyperacute/acute infarcts, this enhanced infarct detection is temporary. After 48 hours, both pulse sequences identified all 38 infarcts. Lutsep et al (15) reported a similar advantage to diffusion-weighted imaging within the first 48 hours of cerebral infarction. We found no significant difference in the number of lesions detected between diffusion-weighted and FLAIR imaging at any time period. In fact, FLAIR imaging missed only a single lesion identified by diffusion-weighted imaging. Overall lesion conspicuity on diffusion-weighted images was superior to that on both FLAIR and FSE images, even after the initial 48-hour period when there was no difference in the number of detected lesions. Therefore, diffusion-weighted imaging remains beneficial outside the hyperacute/acute period. While not addressed directly by the experimental design, we suspect this improved conspicuity is due to a higher lesion-to-background signal intensity ratio, which results from suppression of signal from freely mobile water protons.
It is worth emphasizing that diffusion-weighted imaging is not infallible, even in the acute setting. In our series, diffusion-weighted imaging failed to identify brain stem lesions in two patients scanned in the 48- to 72-hour period after symptom onset. Follow-up imaging 24 hours later in one of those patients clearly showed a pontine infarct (Fig 2). Two additional brain stem lesions identified by diffusion-weighted imaging were judged more conspicuous on FSE and FLAIR techniques. These results raise the possibility that some brain stem lesions may be either too small to be resolved by our technique or they may be obscured by susceptibility artifacts at the skull base.
Note, also, that we used diffusion-weighted images for this comparison, not ADC maps. As a result, contrast on our diffusion images was determined by some combination of diffusion, T2, and spin-density effects. Several studies have shown that ADC values return to normal or become elevated 7 to 10 days after infarction (16–18). Therefore, T2 and spin-density effects probably had a significant impact on the contrast of our diffusion-weighted images. Nevertheless, the ability of diffusion-weighted imaging to suppress background signal from regions with unrestricted water motion led to improved infarct conspicuity regardless of the underlying contribution to final lesion signal. This increased conspicuity alone makes diffusion-weighted imaging a valuable diagnostic tool for infarct evaluation.
Despite the benefits demonstrated, this study most likely underestimates the true value of diffusion-weighted imaging for several reasons. First, only three patients were scanned within 12 hours of symptom onset, and none was scanned within the initial 3- to 6-hour hyperacute period, during which diffusion imaging is likely to be most beneficial. Second, the diffusion-weighted, FLAIR, and FSE sequences in each patient were interpreted simultaneously. It is therefore possible that infarct detection on one pulse sequence affected the interpretation of the other two sequences. In all likelihood, the availability of diffusion-weighted images, with their superior lesion conspicuity, improved the detection rate of the other two sequences. A third potential limitation of our methodology was the use of a different scan plane for the FLAIR images. We acquire the FLAIR images coronally so that lesions can be evaluated in an additional plane. While this may be clinically useful, methodologically it introduces the possibility that the differences in lesion detection between diffusion-weighted and FLAIR imaging and between FLAIR and FSE imaging could have been related to the scan plane. Even if true, however, the effect of the scan plane on lesion conspicuity is most likely negligible.
Conclusion
Diffusion-weighted imaging holds considerable advantage over FLAIR and FSE imaging for identifying cerebral infarcts in the hyperacute and acute periods. This advantage disappears after 48 hours. While diffusion-weighted, FLAIR, and FSE images all showed signal abnormalities within ischemic infarcts between 3 and 10 days of age, experienced observers typically judged the lesions to be most conspicuous on the diffusion-weighted images. On the basis of this improved conspicuity, we think that acquisition of diffusion-weighted images in the late acute and subacute periods after ischemic cerebral infarction is still beneficial.
Footnotes
Dr. Ricci receives research support from GE Medical Systems.
Presented in part at the annual meeting of the American Society of Neuroradiology, Philadelphia, May 1998.
Address reprint requests to Peter E. Ricci, MD, Department of Radiology, Wake Forest University School of Medicine, Winston-Salem, NC 27157.
References
- 1.Broderick J, Brott T, Kathari R, et al. The greater Cincinnati/northern Kentucky stroke study: preliminary first-ever and total incidence rates of stroke among blacks. . Stroke 1998;29:415-421 [DOI] [PubMed] [Google Scholar]
- 2.Brown JJ, Hesselink JR, Rothrock JF. MR and CT of lacunar infarcts. . AJR Am J Roentgenol 1988;151:367-372 [DOI] [PubMed] [Google Scholar]
- 3.Bryan RN, Levy LM, Whitlow WD, Killian JM, Preziosi TJ, Rosario JA. Diagnosis of acute cerebral infarction: comparison of CT and MR imaging. . AJNR Am J Neuroradiol 1991;12:611-620 [PMC free article] [PubMed] [Google Scholar]
- 4.De Coene B, Hajnal JV, Pennock JM, Bydder GM. MRI of the brain stem using fluid attenuated inversion recovery pulse sequences. . Neuroradiology 1993;35:327-331 [DOI] [PubMed] [Google Scholar]
- 5.Brant-Zawadzki M, Atkinson D, Detrick M, Bradley WG, Scidmore G. Fluid-attenuated inversion recovery (FLAIR) for assessment of cerebral infarction: initial clinical experience in 50 patients. . Stroke 1996;27:1187-1191 [DOI] [PubMed] [Google Scholar]
- 6.Alexander JA, Sheppard S, Davis PC, Salverda P. Adult cerebrovascular disease: role of modified rapid fluid–attenuated inversion–recovery sequences. . AJNR Am J Neuroradiol 1996;17:1507-1513 [PMC free article] [PubMed] [Google Scholar]
- 7.Noguchi K, Ogawa T, Inugami A, et al. MRI of acute cerebral infarction: a comparison of FLAIR and T2-weighted fast spin-echo imaging. . Neuroradiology 1997;39:406-410 [DOI] [PubMed] [Google Scholar]
- 8.Le Bihan D, Breton E, Lallemand D, Aubin ML, Vignaud J, Laval-Jeantet M. Separation of diffusion and perfusion in intravoxel incoherent motion MR imaging. . Radiology 1988;168:497-505 [DOI] [PubMed] [Google Scholar]
- 9.Moseley ME, Cohen Y, Mintorovitch J, et al. Early detection of regional cerebral ischemia in cats: comparison of diffusion- and T2-weighted MRI and spectroscopy. . Magn Reson Med 1990;14:330-346 [DOI] [PubMed] [Google Scholar]
- 10.Sevick RJ, Kucharczyk J, Mintorovitch J, Moseley ME, Derugin N, Norman D. Diffusion-weighted MR imaging and T2-weighted MR imaging in acute cerebral ischaemia: comparison and correlation with histopathology. . Acta Neurochir (Wein) 1990;51:210-212 [DOI] [PubMed] [Google Scholar]
- 11.Moseley ME, Kucharczyk J, Mintorovitch J, et al. Diffusion-weighted MR imaging of acute stroke: correlation with T2-weighted and magnetic susceptibility-enhanced MR imaging in cats. . AJNR Am J Neuroradiol 1990;11:423-429 [PMC free article] [PubMed] [Google Scholar]
- 12.Warach S, Chien D, Li W, Ronthal M, Edelman RR. Fast magnetic resonance diffusion-weighted imaging of acute human stroke. . Neurology 1992;42:1717-1723 [DOI] [PubMed] [Google Scholar]
- 13.Moonen CT, Pekar J, de Vleeschouwer MH, van Gelderen P, van Zijl PC, DesPres D. Restricted and anisotropic displacement of water in healthy cat brain and in stroke studied by NMR diffusion imaging. . Magn Reson Med 1991;19:327-332 [DOI] [PubMed] [Google Scholar]
- 14.Minematsu K, Li L, Fisher M, Sotak CH, Davis MA, Fiandaca MS. Diffusion-weighted magnetic resonance imaging: rapid and quantitative detection of focal brain ischemia. . Neurology 1992;42:235-240 [DOI] [PubMed] [Google Scholar]
- 15.Lutsep HL, Albers GW, DeCrespigny A, Kamat GN, Marks MP, Moseley ME. Clinical utility of diffusion-weighted magnetic resonance imaging in the assessment of ischemic stroke. . Ann Neurol 1997;41:574-580 [DOI] [PubMed] [Google Scholar]
- 16.Schlaug G, Siewert B, Benfield A, Edelman RR, Warach S. Time course of the apparent diffusion coefficient (ADC) abnormality in human stroke. . Neurology 1997;49:113-119 [DOI] [PubMed] [Google Scholar]
- 17.Warach S, Gaa J, Siewert B, Wielopolski P, Edelman RR. Acute human stroke studied by whole brain echo planar diffusion-weighted magnetic resonance imaging. . Ann Neurol 1995;37:231-241 [DOI] [PubMed] [Google Scholar]
- 18.Marks MP, de Crespigny A, Lentz D, Enzmann DR, Albers GW, Moseley ME. Acute and chronic stroke: navigated spin-echo diffusion-weighted MR imaging. . Radiology 1996;199:403-408 [DOI] [PubMed] [Google Scholar]
- 19.Rosner B. Fundamentals of Biostatistics. . 4th ed. New York: Ducksberry Press 1995;
- 20.Benveniste H, Hedlund LW, Johnson GA. Mechanism of detection of acute cerebral ischemia in rats by diffusion-weighted magnetic resonance microscopy. . Stroke 1992;23:746-754 [DOI] [PubMed] [Google Scholar]
- 21.Hoehn-Berlage M. Diffusion-weighted NMR imaging: application to experimental focal cerebral ischemia. . NMR Biomed 1995;8:345-358 [DOI] [PubMed] [Google Scholar]
- 22.Hossmann KA, Schuier FJ. Experimental brain infarcts in cats, I: pathophysiological observations. . Stroke 1980;11:583-592 [DOI] [PubMed] [Google Scholar]
- 23.Schuier FJ, Hossmann KA. Experimental brain infarcts in cats, II: ischemic brain edema. . Stroke 1980;11:593-601 [DOI] [PubMed] [Google Scholar]
- 24.Bell BA, Symon L, Branston NM. CBF and time thresholds for the formation of ischemic cerebral edema, andthe effect of reperfusion in baboons. . J Neurosurg 1985;62:31-41 [DOI] [PubMed] [Google Scholar]
