To the Editor:
Acute tubular injury (AKI) develops in up to 37% of hospitalized patients with COVID-19 and its pathophysiology has not been fully elucidated. In recent kidney biopsy and postmortem series, the most common pathology in patients with COVID-19 is ATI, but various pathologies have been described.1, 2, 3, 4 We report clinicopathologic characteristics and outcomes of 13 patients with COVID-19 with kidney injury and proteinuria.
Methods are in Item S1; demographics and clinical characteristics are in Table S1. Twelve of the patients were men, median age was 52 years, 9 were Black, 2 were Hispanic, and 2 were White. All but 1 patient had 1 or more comorbid conditions, most commonly hypertension (85%), diabetes (46%), and obesity (54%).
Twelve patients presented with pulmonary symptoms, 11 of whom had COVID-19 pneumonia diagnosed. Most had hypoxic respiratory failure and required supplemental oxygen (1 needed intubation). One patient presented with COVID-19 Guillain-Barré–like syndrome without pneumonia.
Patients presented with AKI on or during admission, superimposed on chronic kidney disease in 44%. Kidney injury was severe (peak serum creatinine level [Scr] > 3 mg/dL) in all patients except 1; 10 (77%) required dialysis during admission. Median peak and admission Scr were 8.9 and 3.9 mg/dL, respectively. One or more potential contributing factors to AKI, aside from pneumonia, were present in 6, including ARB or ACE inhibitor use in 5, vomiting in 2, and NSAID use in 1. All patients had proteinuria (median protein excretion, 5.5 g/d), including 11 (85%) with nephrotic-range proteinuria (NRP). Hypoalbuminemia was present in 75%, edema in 15%, nephrotic syndrome (NS) in 8%, and microhematuria in 77%.
The 8 patients with collapsing glomerulopathy (CG) were Black, had a median age of 55 years, and all but 1 were men. All presented with severe AKI (7 required dialysis) and NRP (n = 7) or near-NRP (n = 1), with median urinary protein excretion of 5.5 g/d. Only 4 had hypoalbuminemia and none had edema.
Pathologic findings are in Table 1 . Kidney biopsy in cases 1 to 8 revealed CG (Fig 1A), accompanied by diffuse ATI, tubular microcystic dilation (in 6; Fig 1B), tubular protein reabsorption droplets, IFTA, and interstitial inflammation. Ultrastructurally, podocyte foot-process effacement was extensive (≥90%) in 63%. Endothelial TRIs were seen in 38%. APOL1 genotyping in 1 of these patients revealed 2 risk alleles (G1/G2). Concurrent pre-existing glomerulopathy was present in 3, including PLA2R-negative MN in 1, mild IgAN in 1, and DGS in 1.
Table 1.
Pathologic Characteristics
| Case | Pathologic Diagnoses | Sclerosis and Lesionsa | Tubular Microcysts | ATI | Int inflam | IFTA | AS | FPE | TRIs on EM |
|---|---|---|---|---|---|---|---|---|---|
| 1 | 1) COVID-19–associated CG; 2) ATI | 3 gloms: 0% globally sclerotic, 67% segmentally sclerotic (2 w/ collapsing lesions) | Yes | Diffuse | Diffuseb | 10% | None | 100% | Yes |
| 2 | 1) COVID-19–associated CG; 2) IgAN; 3) ATI | 4 gloms: 0% globally sclerotic, 100% segmentally sclerotic (4 w/ collapsing lesions) | Yes | Diffuse | Diffuse | 10% | None | >95% | No |
| 3 | 1) COVID-19–associated CG; 2) DGS (class III); 3) ATI | 24 gloms: 50% globally sclerotic, 25% segmentally sclerotic (3 w/ collapsing lesions, 3 w/ noncollapsing FSGS lesions) | No | Diffuse | Diffuseb | 70% | Mod | >95% | No |
| 4 | 1) COVID-19–associated CG; 2) ATI | 11 gloms: 27% globally sclerotic, 18% segmentally sclerotic (2 w/ collapsing lesions) | Yes | Diffuse | Diffuse | 20% | Mod | 90% | No |
| 5 | 1) COVID-19–associated CG; 2) ATI | 18 gloms: 22% globally sclerotic, 22% segmentally sclerotic (4 w/ collapsing lesions) | Yes | Diffuse | Focalb | 20% | Mild | 60%-70% | Yes |
| 6 | 1) COVID-19–associated CG; 2) ATI | 7 gloms: 0% globally sclerotic, 29% segmentally sclerotic (2 w/ collapsing lesions) | Yes | Diffuse | Focal | 10% | Mild | 100% | Yes |
| 7 | 1) COVID-19–associated CG; 2) ATI | 42 gloms: 12% globally sclerotic, 31% segmentally sclerotic (9 w/ collapsing lesions, 4 w/ noncollapsing FSGS lesions) | No | Diffuse | Diffuse | 20% | Mild | 20% | No |
| 8 | 1) COVID-19–associated CG; 2) MN (PLA2R-negative, stage II-III); 3) ATI | 48 gloms: 17% globally sclerotic, 8% segmentally sclerotic (2 w/ collapsing lesions, 2 w/ noncollapsing FSGS lesions) | Yes | Diffuse | Diffuse | 40% | Severe | 50% | No |
| 9 | 1) MN (PLA2R-negative, stage I-II); 2) mesangial sclerosing glomerulopathy; 3) ATI | 19 gloms: 42% globally sclerotic, 5% segmentally sclerotic (1 w/ noncollapsing FSGS lesions) | Yes | Diffuse | None | 10% | Mod | 100% | Yes |
| 10 | 1) Diffuse crescentic HSP nephritis; 2) ATI | 31 gloms: 3% globally sclerotic, 0% segmentally sclerotic | No | Diffuse | Focal | 0% | None | 70% | No |
| 11 | 1) DGS (class III); 2) ATI | 20 gloms: 15% globally sclerotic, 0% segmentally sclerotic | No | Diffuse | Focal | 10% | Mod | 20% | No |
| 12 | 1) DGS (class IV); 2) ATI | 20 gloms: 60% globally sclerotic, 0% segmentally sclerotic | No | Focal | Diffuse | 80% | Marked | 90% | No |
| 13 | 1) DGS (class IV); 2) ATI | 8 gloms: 75% globally sclerotic, 0% segmentally sclerotic | No | Focal | Diffuse | 70% | Mod | No viable glomeruli | EM not done |
Abbreviations: AS, arteriosclerosis; ATI, acute tubular injury; CG, collapsing glomerulopathy; DGS, diabetic glomerulosclerosis; EM, electron microscopy; FPE, percent of total peripheral capillary surface area with podocyte foot-process effacement; FSGS, focal segmental glomerulosclerosis; gloms, glomeruli; HSP, Henoch-Schönlein purpura; IFTA, percent of cortex with interstitial fibrosis and tubular atrophy; IgAN, immunoglobulin A nephropathy; int inflam, interstitial inflammation; mod, moderate; MN, membranous nephropathy; PLA2R, phospholipase A2 receptor 1; TRI, endothelial tubuloreticular inclusions.
Lesions only mentioned if found in any glomerulus.
Plasma cell rich.
Figure 1.
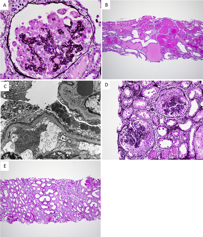
Representative biopsy images. (A) A collapsing lesion (case 2) characterized by global collapse of the glomerular tuft with overlying podocyte hyperplasia and hypertrophy and prominent podocyte intracytoplasmic protein resorption droplets (Jones methenamine silver; original magnification, ×400). (B) The tubulointerstitial compartment from case 2 exhibits diffuse ATI, tubular microcystic dilation, and prominent tubular protein reabsorption droplets (hematoxylin and eosin; original magnification, ×100). (C) EM of case 9 shows MN. There are numerous small subepithelial electron-dense deposits, some associated with short glomerular basement membrane spikes. Small paramesangial electron-dense deposits are also evident. Podocytes exhibit foot-process effacement and large intracytoplasmic protein reabsorption droplets (original magnification, ×6,800). (D) Diffuse crescentic HSP nephritis (case 10). Both glomeruli show cellular crescents, mesangial hypercellularity and segmental endocapillary hypercellularity (Jones methenamine silver; original magnification, ×200). There was mesangial and segmental glomerular capillary wall staining for IgA and C3 on immunofluorescence and corresponding mesangial and segmental subendothelial deposits on EM. (E) Nodular DGS with superimposed ATI (case 11). Both glomeruli show periodic acid–Schiff (PAS)-positive nodular mesangial sclerosis. The tubulointerstitial compartment exhibits diffuse ATI, diabetes-related thickening of the tubular basement membranes, and focal tubular atrophy and interstitial fibrosis (PAS; original magnification, ×100).
Kidney biopsy in 5 patients did not show CG. Patient 9 had stage I to II PLA2R-/THDS7A-negative MN (Fig 1C). Patient 10 presented with rapidly progressive glomerulonephritis and a purpuric skin rash temporally associated with COVID-19. His Scr was 1.5 mg/dL (baseline, 0.9 mg/dL), which progressively increased to 4.2 mg/dL 10 days later, accompanied by NS and hematuria. Urinalysis 10 days before COVID-19 showed negative blood and trace protein. He had negative ANCA and anti-GBM antibody. Biopsy revealed diffuse crescentic HSP nephritis (Fig 1D) and ATI without IFTA. Patients 11 to 13 had DGS with superimposed ATI (Fig 1E). No biopsy showed thrombotic microangiopathy or peritubular capillary thrombi.
Although viral-like particles were observed in some cases, no definitive SARS-CoV-2 virions were seen in glomerular or tubular cells on EM. In situ hybridization for SARS-CoV-2 RNA done in 1 case was negative.
Follow-up was available in 12 patients. Therapies given are listed in Table S1. Patient 9, who was receiving dialysis, died 10 days postbiopsy of COVID-19 acute respiratory distress syndrome. Median follow-up in the others was 68 (range, 35-95) days. Of the 9 who required dialysis during admission, 6 (including 4 patients with CG) remained on dialysis; all 3 who came off dialysis had CG. Scr improved in the 2 patients who were not receiving dialysis (#11 with DGS and ATI, #7 with CG). IFTA severity correlated with better kidney outcome (recovery in 5/7 with <30% IFTA vs 0/4 with >30% IFTA). Steroids did not correlate with recovery in patients with CG receiving dialysis (recovery in 2/5 steroid-treated vs 1/2 non–steroid-treated).
Our findings substantiate other recent COVID-19 biopsy and autopsy series1, 2, 3, 4 but provide additional insights and longer follow-up. Patients presented with severe AKI and NRP; ATI was a universal finding. CG was the most common glomerulopathy, present in 8 (62%). Despite NRP, only 57% of our patients with CG had hypoalbuminemia and none had peripheral edema. Thus, full NS is not a typical presentation of CG associated with COVID-19 (similar to HIVAN). All patients with CG were Black and most exhibited tubular cystic dilation (a histologic feature of APOL1 nephropathy) including 1 with confirmed APOL1 risk alleles. Because all patients with CG associated with COVID-19 reported thus far were of African descent and when tested had APOL1 risk alleles, 1 , 2 , 5 , 6 COVID-19 is likely a “second hit” that leads to podocyte dysregulation and injury resulting in CG, analogous to CG associated with HIV and other viruses. Unlike HIVAN, only 38% of our CG cases showed TRIs, so mechanisms other than high interferon states could play a role. Similar to some studies1 , 2 , 6 and contrary to another,7 extensive ultrastructural search for SARS-CoV-2 virions was unrevealing, providing evidence against direct viral infection of kidney cells.
Two of our patients with COVID-19 had PLA2R-negative MN, including 1 with concurrent CG and 1 with prominent TRIs without underlying autoimmune disease. A third patient presented with crescentic HSP nephritis temporally associated with COVID-19. Possibly a COVID-19–associated exaggerated immune response may have exacerbated underlying MN and triggered a crescentic transformation of HSP nephritis.
A notable limitation of this study is potential selection bias because patients had significant proteinuria and thus were likely selected for kidney biopsy; therefore, they may not be representative of all patients with COVID-19 with AKI.
In conclusion, CG is the most common glomerulopathy in Black patients with COVID-19 undergoing kidney biopsy for AKI and proteinuria, typically presents with severe AKI and NRP but without full NS, and is associated with poor prognosis. Further studies are needed to uncover its pathophysiology, determine the optimal strategies for prevention and treatment, and long-term prognosis. Also, the possibility that COVID-19 may exacerbate underlying autoimmune conditions should be investigated.
Article Information
Authors’ Full Names and Academic Degrees
Samih H. Nasr, MD, Mariam Priya Alexander, MD, Lynn D. Cornell, MD, Loren Hernandez Herrera, MD, Mary E. Fidler, MD, Samar M. Said, MD, Pingchuan Zhang, MD, PhD, Christopher P. Larsen, MD, and Sanjeev Sethi, MD, PhD.
Authors’ Contributions
Research idea and study design: SHN, MPA, SS; data acquisition: SHN, MPA, LDC, LHH, MEF, PZ, CPL, SS; data analysis/interpretation: SHN, SMS, CPL, SS. Each author contributed important intellectual content during manuscript drafting or revision and accepts accountability for the overall work by ensuring that questions pertaining to the accuracy or integrity of any portion of the work are appropriately investigated and resolved.
Support
None.
Financial Disclosure
The authors declare that they have no relevant financial interests.
Peer Review
Received September 16, 2020. Evaluated by 3 external peer reviewers, with direct editorial input from the Pathology Editor, an Associate Editor, and the Editor-in-Chief. Accepted in revised form November 7, 2020.
Footnotes
Item S1, Table S1.
Supplementary Material
Item S1; Table S1.
References
- 1.Kudose S., Batal I., Santoriello D. Kidney biopsy findings in patients with COVID-19. J Am Soc Nephrol. 2020;31(9):1959–1968. doi: 10.1681/ASN.2020060802. [DOI] [PMC free article] [PubMed] [Google Scholar]
- 2.Sharma P., Uppal N.N., Wanchoo R. COVID-19-associated kidney injury: a case series of kidney biopsy findings. J Am Soc Nephrol. 2020;31(9):1948–1958. doi: 10.1681/ASN.2020050699. [DOI] [PMC free article] [PubMed] [Google Scholar]
- 3.Santoriello D., Khairallah P., Bomback A.S. Postmortem kidney pathology findings in patients with COVID-19. J Am Soc Nephrol. 2020;31(9):2158–2167. doi: 10.1681/ASN.2020050744. [DOI] [PMC free article] [PubMed] [Google Scholar]
- 4.Su H., Yang M., Wan C. Renal histopathological analysis of 26 postmortem findings of patients with COVID-19 in China. Kidney Int. 2020;98(1):219–227. doi: 10.1016/j.kint.2020.04.003. [DOI] [PMC free article] [PubMed] [Google Scholar]
- 5.Larsen C.P., Bourne T.D., Wilson J.D., Saqqa O., Sharshir M.A. Collapsing glomerulopathy in a patient with COVID-19. Kidney Int Rep. 2020;5(6):935–939. doi: 10.1016/j.ekir.2020.04.002. [DOI] [PMC free article] [PubMed] [Google Scholar]
- 6.Wu H., Larsen C.P., Hernandez-Arroyo C.F. AKI and collapsing glomerulopathy associated with COVID-19 and APOL 1 high-risk genotype. J Am Soc Nephrol. 2020;31(8):1688–1695. doi: 10.1681/ASN.2020050558. [DOI] [PMC free article] [PubMed] [Google Scholar]
- 7.Farkash E.A., Wilson A.M., Jentzen J.M. Ultrastructural evidence for direct renal infection with SARS-CoV-2. J Am Soc Nephrol. 2020;31(8):1683–1687. doi: 10.1681/ASN.2020040432. [DOI] [PMC free article] [PubMed] [Google Scholar]
Associated Data
This section collects any data citations, data availability statements, or supplementary materials included in this article.
Supplementary Materials
Item S1; Table S1.

