Abstract
BACKGROUND
Simple hepatic cysts are relatively common in adults, and mostly appear as asymptomatic incidental radiologic findings. Occasionally, a large cyst will cause symptoms. Elevations in the serum biomarkers protein induced by vitamin K absence (PIVKA)-II, cancer antigen (CA) 12-5, and CA19-9 are often associated with malignant tumors in the liver or bile ducts. This is the first report to describe a case of hepatic cyst with elevated levels of PIVKA-II and CA12-5.
CASE SUMMARY
An 84-year-old Chinese woman was admitted with gradual abdominal distension. Her symptoms started 1 year ago, and she had poor appetite and a weight loss of 5 kg within the past 2 wk. She denied any symptoms associated with abdominal pain, fever and chills, nausea and vomiting, etc. The abdomen was enlarged, more in the right upper quadrant, without tenderness. Laboratory examination showed significantly increased serum levels of PIVKA-II, CA12-5, and CA19-9. A computed tomography scan revealed multiple round cysts in the liver with clear boundaries. The largest cyst was 20.1 cm × 12.2 cm × 19.6 cm in size, located in the right lobe of the liver with mild dilatation of the intrahepatic bile duct, but there was no contrast enhancement. Percutaneous drainage on the largest hepatic cyst and polycinnamol sclerosing agent injection into the cyst cavity were performed. After treatment, the patient’s symptoms relieved and the elevated serum tumor makers reduced to the normal levels dramatically.
CONCLUSION
The present report identifies an unusual case of a giant hepatic cyst with marked elevation of serum tumor marker levels of PIVKA-II, CA12-5, and CA19-9. After treatment, these three serum markers dramatically decreased to normal levels. The mechanisms for the elevation of these tumor markers may be as follows: (1) A giant hepatic cyst compresses the liver, causing injury to the hepatocytes, which may lead to secretion of a large amount of PIVKA-II; and (2) Some tumor-associated antigens, such as carcinoembryonic antigen, CA19-9, CA12-5, and CA15-3, are expressed on inflammatory cells.
Keywords: Hepatic cyst, Tumor markers, Protein induced by vitamin K absence-II, Cancer antigen 12-5, Cancer antigen 19-9, Case report
Core Tip: Simple hepatic cysts typically appear as asymptomatic benign tumors of the liver without elevation of any diagnostic serum biomarkers. However, over the years, a few cases of simple hepatic cysts with elevated tumor markers have been reported in the world. Here, we report a case of giant simple hepatic cyst with elevation of multiple serum cancer biomarkers, including protein induced by vitamin K absence-II, cancer antigen (CA) 12-5, and CA19-9.
INTRODUCTION
Simple hepatic cysts are generally regarded as congenital malformations. This is a relatively common finding in adults, with a reported incidence ranging from 3.5% to 10%[1]. These cysts are usually small in size with abdominal symptoms occurring in less than 20% of the patients. Complications such as mass effect, rupture, hemorrhage, obstructive jaundice, and infection are rare, but may lead to the emergence of symptoms[2]. Overall, simple hepatic cysts are benign and lack serum biomarkers for diagnosis. A giant simple hepatic cyst is uncommon[3,4]. Serum protein induced by vitamin K absence (PIVKA)-II, cancer antigen (CA) 12-5, and cancer antigen CA19-9 are recognized as biomarkers for malignant tumor. These biomarkers are associated with hepatocellular carcinoma and bile duct carcinoma. Here, we report a rare case of giant simple hepatic cyst with marked elevation of serum PIVKA-II, CA12-5, and CA19-9 levels. We have found only one previous report of hepatic cyst with elevation of serum CA19-9[5]. To the best of our knowledge, the present report is the first to describe a case of giant simple hepatic cyst with elevated serum cancer biomarker levels of PIVKA-II, CA12-5, and CA19-9.
CASE PRESENTATION
Chief complaints
An 84-year-old Chinese woman was admitted with gradual abdominal distension.
History of present illness
The patient’s symptoms started 1 year ago. And she had poor appetite and a weight loss of 5 kg within the past 2 wk. She denied any symptoms associated with abdominal pain, fever and chills, nausea and vomiting, etc.
History of past illness
There was no prior history of trauma, hepatitis, allergy, or alcohol or tobacco usage.
Personal and family history
No special.
Physical examination
Physical examination showed that she was in medium nutritional status with an icteric appearance. Vital signs were within normal ranges. The abdomen was asymmetrically enlarged, more in the right upper quadrant, without tenderness. Bowel movements occurred about 3-4 times per minute.
Laboratory examinations
Laboratory examination showed significantly increased serum levels of PIVKA-II (> 30000 mAU/mL; reference: < 32 mAU/mL), CA12-5 (428 U/mL; reference: < 35 U/mL), and CA19-9 (51.67 U/mL; reference: < 39 U/mL). Serum aspartate aminotransferase (AST) (97.03 IU/L; reference: < 40 IU/L), alanine aminotransferase (ALT) (64.73 IU/L; reference: < 40 IU/L), total bilirubin (TBIL) (61.19 µmol/L; reference: < 21 µmol/L), and direct bilirubin (DBIL) (36.42 µmol/L; reference: < 3.4 µmol/L) levels were moderately increased. Serum prothrombin time (PT) (33.3 s; reference: 11.0-15.0 s) and activated partial thromboplastin time (aPTT) (54.0 s; reference: 28.0-43.5 s) levels were also elevated slightly. However, serum albumin (ALB) (23.88 g/L; reference: > 35 g/L), prealbumin (PLAB) (17.3 mg/L; reference: 180-390 mg/L), and choline esterase (CHE) levels (1750 IU/L; reference: 3000-13000 IU/L) were significantly low.
Imaging examinations
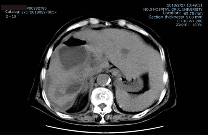
Following an initial abdominal ultrasound examination, an enhanced computed tomography (CT) scan was performed, which revealed multiple round cysts in the liver with clear boundaries. The largest cyst was located in the right lobe of the liver, with mild dilatation of the intrahepatic bile duct, and a size of approximately 20.1 cm × 12.2 cm × 19.6 cm. There was no contrast enhancement in either the arterial or venous phase (Figure 1).
Figure 1.
Enhanced abdominal computed tomography before treatment. A: Arterial phase; B: Venous phase; C: Balanced phase.
FINAL DIAGNOSIS
Taking into account all of the patient’s symptoms, signs, and radiology examinations, a clinical diagnosis of simple hepatic cyst was established.
TREATMENT
We performed percutaneous drainage on the largest hepatic cyst and injected polycinnamol sclerosing agent into the cyst cavity. Approximately 1150 mL of yellowish green liquid was drained the first day. The cystic fluid was examined, with the results showing some inflammatory cells, but no bacteria, neoplastic cells, or parasites.
OUTCOME AND FOLLOW-UP
After 1 wk of drainage, the patient's symptoms of abdominal distension and early satiety were gradually eased. Follow-up at 2 mo post cyst drainage found that the size of the cyst had been much reduced, from 20.1 cm × 19.6 cm to 8.7 cm × 6.1 cm (Figure 2), and the serum tests for liver function, coagulating function, PIVKA-II, and CA19-9 revealed that the levels were restored to normal ranges. The serum CA12-5 level remained slightly higher (84.5 U/mL; reference: < 35 U/mL) than normal, but it was significantly reduced from the previous level of 428 U/mL (Table 1).
Figure 2.
Abdominal computed tomography at 2 mo after treatment.
Table 1.
Differences of the parameters post cyst drainage
|
|
Before drainage
|
After drainage
|
Reference
|
| Size of the cyst | 20.1 cm × 19.6 cm | 8.7 cm × 6.1 cm | |
| PIVKA-II | > 30000 mAU/mL | Normal | < 32 mAU/mL |
| CA12-5 | 428 U/mL | 84.5 U/mL | < 35 U/mL |
| CA19-9 | 51.67 U/mL | Normal | < 39 U/mL |
DISCUSSION
Simple hepatic cysts are typically asymptomatic benign tumors of the liver. These cysts usually contain serous fluid, do not communicate with the biliary tree, and do not have separations. PIVKA II, also known as des-gamma-carboxy prothrombin (DCP), is an abnormal prothrombin molecule that is increased in malignant liver disease. During the malignant transformation of hepatocytes, the vitamin K-dependent carboxylase system becomes impaired, which leads to the production of PIVKA II[6,7]. CA12-5, which is derived from the coelomic epithelium including the endometrium, fallopian tubes, ovaries, and peritoneum, is commonly used for the diagnosis of epithelial cell ovarian cancer[8]. CA19-9 is a glycoprotein macromolecule that can be elevated in digestive system tumors and in patients with benign hepatobiliary and gastrointestinal diseases[9,10].
Interestingly, in the present case, there were three tumor markers, including PIVKA-II, CA12-5, and CA19-9, that were elevated and then significantly decreased after decompression. The underlying mechanisms are unclear, and no previous reports have been published on this phenomenon. We propose that the elevation of ALT, AST, and TBIL levels in this patient might have resulted from the mass effect of liver compression by the giant hepatic cyst. This further led to liver function impairment, resulting in decreased levels of serum ALB and CHE as well as poor coagulation function. The giant hepatic cyst of the present patient compressed the intrahepatic bile ducts and caused obstructive jaundice. A similar case was reported by Mehtsun et al[11]. All of the present patient’s laboratory indexes returned to normal ranges after intra-cystic drainage, further confirming that this series of liver function changes was indeed induced by the mass effect of the giant hepatic cyst.
Yanai et al[5] reported a case of simple hepatic cyst with elevated CA19-9, while cases of hepatic cysts with elevated PIVKA-II or CA12-5 have not previously been reported. We speculate that the mechanisms for the elevation of these tumor markers may be as follows: (1) A giant hepatic cyst compresses the liver, causing injury to the hepatocytes, which may lead to secretion of a large amount of PIVKA-II; (2) Some tumor-associated antigens, such as carcinoembryonic antigen (CEA), CA19-9, CA12-5, and CA15-3, are expressed on inflammatory cells[12,13]. We found inflammatory cells in the patient’s cystic fluid, so we conjecture that elevated serum CA19-9 and CA12-5 levels are non-specific and might be due to the effect of inflammation; and (3) Although the exfoliative cytology examination of the patient’s cystic fluid did not have a positive finding, CT scan showed no typical characteristics of serous tumor, and the tumor marker levels were significantly decreased after treatment. Therefore, the possible existence of serous tumors could not be completely ruled out because of lack of pathological examination of the cyst wall.
In summary, to the best of our knowledge, this is the first report of a giant simple hepatic cyst associated with the elevation of serum tumor marker levels of PIVKA-II, CA12-5, and CA19-9. This case revealed that an abnormal elevation of tumor markers is possible in the benign condition of giant hepatic cyst. A significant decline in the levels of these markers can serve as a tool to evaluate the effectiveness of treatment.
CONCLUSION
The present report identifies an unusual case of giant hepatic cyst with marked elevation of serum tumor marker levels of PIVKA-II, CA12-5, and CA19-9. After treatment, these three serum markers dramatically decreased to normal levels. The mechanisms for the elevation of these tumor markers may be as follows: (1) A giant hepatic cyst compresses the liver, causing injury to the hepatocytes, which may lead to secretion of a large amount of PIVKA-II; and (2) Some tumor-associated antigens, such as CEA, CA19-9, CA12-5, and CA15-3, are expressed on inflammatory cells.
Footnotes
Informed consent statement: The patient provided informed written consent for the publication of this case report.
Conflict-of-interest statement: None.
CARE Checklist (2016) statement: The authors have read the CARE Checklist (2016), and the manuscript was prepared and revised according to the CARE Checklist (2016).
Manuscript source: Unsolicited manuscript
Corresponding Author's Membership in Professional Societies: American Society of Transplantation; The International Society for Experimental Microsurgery; The American Association of Immunologist; Transplantation Immunology Branch, Chinese Society for Immunology, China; Hepatobiliary-Pancreatic Surgery Committee of Chinese Research Hospital Association; Hepatocellular Cancer Specialist Committee, Chinese Medical Association; Digestive Surgery Committee of Chinese Research Hospital Association.
Peer-review started: July 23, 2020
First decision: October 6, 2020
Article in press: November 12, 2020
Specialty type: Gastroenterology and hepatology
Country/Territory of origin: China
Peer-review report’s scientific quality classification
Grade A (Excellent): 0
Grade B (Very good): B
Grade C (Good): 0
Grade D (Fair): 0
Grade E (Poor): 0
P-Reviewer: Pfeiffer DC S-Editor: Gao CC L-Editor: Wang TQ P-Editor: Li JH
Contributor Information
Jia-Wei Zhang, Department of Hepatobiliary-Pancreatic Surgery, China-Japan Union Hospital of Jilin University, Changchun 130033, Jilin Province, China; Department of Vascular Surgery, The First Hospital of China Medical University, Shenyang 110001, Liaoning Province, China.
Cheng Peng, Department of Hepatobiliary-Pancreatic Surgery, China-Japan Union Hospital of Jilin University, Changchun 130033, Jilin Province, China; Department of Hepatobiliary-Pancreatic Surgery, The Third Xiangya Hospital of Central South University, Changsha 410013, Hunan Province, China.
Yan-Shuo Ye, Department of Hepatobiliary-Pancreatic Surgery, China-Japan Union Hospital of Jilin University, Changchun 130033, Jilin Province, China.
Wei Li, Department of Hepatobiliary-Pancreatic Surgery, China-Japan Union Hospital of Jilin University, Changchun 130033, Jilin Province, China. weili888@jlu.edu.cn.
References
- 1.Garcea G, Rajesh A, Dennison AR. Surgical management of cystic lesions in the liver. ANZ J Surg. 2013;83:516–522. doi: 10.1111/ans.12049. [DOI] [PubMed] [Google Scholar]
- 2.Blonski WC, Campbell MS, Faust T, Metz DC. Successful aspiration and ethanol sclerosis of a large, symptomatic, simple liver cyst: case presentation and review of the literature. World J Gastroenterol. 2006;12:2949–2954. doi: 10.3748/wjg.v12.i18.2949. [DOI] [PMC free article] [PubMed] [Google Scholar]
- 3.Asuquo M, Nwagbara V, Agbor C, Otobo F, Omotoso A. Giant simple hepatic cyst: a case report and review of relevant literature. Afr Health Sci. 2015;15:293–298. doi: 10.4314/ahs.v15i1.40. [DOI] [PMC free article] [PubMed] [Google Scholar]
- 4.Day RJ, Sanchirico PJ, Pfeiffer DC. Giant hepatic cyst as a cause of gastric outlet obstruction. Radiol Case Rep. 2019;14:1088–1092. doi: 10.1016/j.radcr.2019.06.015. [DOI] [PMC free article] [PubMed] [Google Scholar]
- 5.Yanai H, Tada N. A simple hepatic cyst with elevated serum and cyst fluid CA19-9 levels: a case report. J Med Case Rep. 2008;2:329. doi: 10.1186/1752-1947-2-329. [DOI] [PMC free article] [PubMed] [Google Scholar]
- 6.Carr BI, Kanke F, Wise M, Satomura S. Clinical evaluation of lens culinaris agglutinin-reactive alpha-fetoprotein and des-gamma-carboxy prothrombin in histologically proven hepatocellular carcinoma in the United States. Dig Dis Sci. 2007;52:776–782. doi: 10.1007/s10620-006-9541-2. [DOI] [PubMed] [Google Scholar]
- 7.Inagaki Y, Tang W, Makuuchi M, Hasegawa K, Sugawara Y, Kokudo N. Clinical and molecular insights into the hepatocellular carcinoma tumour marker des-γ-carboxyprothrombin. Liver Int. 2011;31:22–35. doi: 10.1111/j.1478-3231.2010.02348.x. [DOI] [PubMed] [Google Scholar]
- 8.Hirsch M, Duffy J, Davis CJ, Nieves Plana M, Khan KS International Collaboration to Harmonise Outcomes and Measures for Endometriosis. Diagnostic accuracy of cancer antigen 125 for endometriosis: a systematic review and meta-analysis. BJOG. 2016;123:1761–1768. doi: 10.1111/1471-0528.14055. [DOI] [PubMed] [Google Scholar]
- 9.Liu X, Cai H, Wang Y. Prognostic significance of tumour markers in Chinese patients with gastric cancer. ANZ J Surg. 2014;84:448–453. doi: 10.1111/j.1445-2197.2012.06287.x. [DOI] [PubMed] [Google Scholar]
- 10.Zhong W, Yu Z, Zhan J, Yu T, Lin Y, Xia ZS, Yuan YH, Chen QK. Association of serum levels of CEA, CA199, CA125, CYFRA21-1 and CA72-4 and disease characteristics in colorectal cancer. Pathol Oncol Res. 2015;21:83–95. doi: 10.1007/s12253-014-9791-9. [DOI] [PubMed] [Google Scholar]
- 11.Mehtsun WT, Patel MS, Markmann JF, Hertl M, Vagefi PA. Obstructive jaundice caused by a giant non-parasitic hepatic cyst. Ann Hepatol. 2015;14:267–269. [PubMed] [Google Scholar]
- 12.Szekanecz E, Sándor Z, Antal-Szalmás P, Soós L, Lakos G, Besenyei T, Szentpétery A, Simkovics E, Szántó J, Kiss E, Koch AE, Szekanecz Z. Increased production of the soluble tumor-associated antigens CA19-9, CA125, and CA15-3 in rheumatoid arthritis: potential adhesion molecules in synovial inflammation? Ann N Y Acad Sci. 2007;1108:359–371. doi: 10.1196/annals.1422.037. [DOI] [PubMed] [Google Scholar]
- 13.Liu CC, Yang H, Zhang R, Zhao JJ, Hao DJ. Tumour-associated antigens and their anti-cancer applications. Eur J Cancer Care (Engl) 2017;26 doi: 10.1111/ecc.12446. [DOI] [PubMed] [Google Scholar]


