Abstract
A 2-year-old boy with a rapidly growing sternal mass was referred to our hospital. Computed tomography revealed a dumbbell-shaped mass with widening of the synchondrosis between the third and fourth elements of the sternal body. The mass significantly shrunk 3 days later, and completely disappeared 2 weeks later, as confirmed by palpation. A diagnosis of self-limiting sternal tumor of childhood was made based on characteristic imaging findings.
Keywords: Self-limiting sternal tumor of childhood, SELSTOC, Computed tomography (CT)
Introduction
Self-limiting sternal tumor of childhood (SELSTOC) is a rare entity that was first reported in 2010. Here, we report a case of SELSTOC, which may aid our understanding of this disease.
Case report
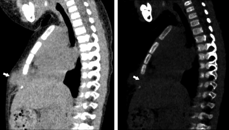
A previously healthy 2-year-old boy with a chief complaint of a rapidly growing sternal mass was referred to the Department of Pediatrics at our hospital. Physical examination revealed a 2-cm solid presternal mass lesion with localized pain. He had no fever or focal skin color changes. Laboratory examination of the patient's blood showed mildly elevated C-reactive protein (3.5 mg/dL) and white blood cell count (10,100/mm3). Computed tomography (CT) images revealed a dumbbell-shaped mass between the third and fourth elements of the sternal body with widening of the synchondrosis (Fig. 1A). The sternal bone close to the tumor was not affected (Fig. 1B). We suspected a SELSTOC based on the patient's characteristic imaging findings, and a wait-and-see approach was applied. The mass decreased significantly 3 days later, and completely disappeared 2 weeks later, as confirmed by palpation. The final diagnosis of SELSTOC was made based on characteristic image findings and the patient's clinical course.
Fig. 1.
Nonenhanced sagittal computed tomography (A: mediastinal window, B: bone window) shows a dumbbell-shaped mass with a widening of the synchondrosis between the third and fourth elements of the sternal body. Sternal bone close to the tumor is not affected.
Discussion
Winkel et al. reported on a novel SELSTOC in 2010 [1]. Although its etiology is unclear, SELSTOC is considered a self-limiting nonspecific inflammatory disease in the sternum, which often initially grows rapidly, alleviates within 1 month, and disappears within 6 months [1]. The median age of patients with SELSTOC is 16 months (range: 7-50), and approximately half of the patients have local pain, fever, and discoloration of the skin [1]. The median diameter of the region is 3 cm (range: 1-4.5). The histopathological examination in the abovementioned case showed nonspecific acute to chronic inflammation and reactive osteochondromatous lesions [1].
It is crucial to add this disease in the list of differential diagnoses for sternal masses, since it is a self-limiting disease with no need for treatment. In children with rapidly growing chest wall tumors, the differential diagnoses are malignant tumors including Ewing sarcoma, osteosarcoma, malignant lymphoma, metastatic tumors, and infections such as tuberculous tumors. However, these diseases often affect cortical bones, which are distinct from SELSTOC that rarely affects the bone itself. Characteristic imaging findings include widening of the ossification centers and a dumbbell-shaped mass. These features reflect how SELSTOC involves the synchondrosis [1,2]. Clinical findings are another key for differentiating SELSTOC from other conditions. The pathognomonic clinical course of SELSTOC is self-limiting. Slightly elevated C-reactive protein and white blood cell counts may be observed in SELSTOC; however, not to the extent they are elevated in other infectious diseases such as septic arthritis.
Imaging modalities such as X-ray, ultrasound, CT, and magnetic resonance imaging are available for morphologic evaluations [1,2]. The first choice in imaging is ultrasound, which is cost-effective and radiation-free. CT and magnetic resonance imaging should be reserved for ambiguous cases.
SELSTOC is a rare entity described in very few published studies; however, radiologists and pediatricians should be aware of this rare condition if they are to avoid unnecessary imaging and treatment.
Patient Consent Statement
Informed consent for publication was obtained from the patient's parents.
Footnotes
Competing Interest: There are no conflicts of interest to be declared with regards to the publication of this article.
References
- 1.te Winkel M.L., Lequin M.H., de Bruyn J.R., van de Ven C.P., de Krijger R.R., Pieters R. Self-Limiting Sternal Tumors of Childhood (SELSTOC) Pediatr Blood Cancer. 2010;55:81–84. doi: 10.1002/pbc.22454. [DOI] [PubMed] [Google Scholar]
- 2.Ilivitzki A., Sweed Y., Beck N., Militianu D. Sternal Pseudotumor of Childhood. J Ultrasound Med. 2013;32:2199–2203. doi: 10.7863/ultra.32.12.2199. [DOI] [PubMed] [Google Scholar]

