Abstract
Background:
Levator ani avulsion is defined as the interruption of the insertion of this muscle on the pubic bone. It is currently recognized as an important triggering factor for genital prolapse. Although surgical interventions are available, there are no conservative strategies for this muscular injury.
Description:
A 40-year-old female presented with urinary incontinence and levator ani avulsion, which was confirmed on transperineal three-dimensional ultrasound (3DUS). Upon referral for physiotherapy, she presented with incorrect and weak contractions of the pelvic floor. Her treatment comprised 13 sessions of intravaginal electrotherapy followed by pelvic floor muscle (PFM) exercises in different positions. At the end of the sessions, another transperineal 3DUS was performed, and it revealed rapprochement of the levator ani muscle. The avulsed levator ani muscle can be reinserted using physiotherapeutic interventions, especially a combination of electrotherapy and PFM exercises.
Conclusion:
Transperineal 3DUS is an important approach for the follow-up of conservative treatment until full recovery.
Keywords: Levator ani muscle, physiotherapy, three-dimensional ultrasound, urinary incontinence
INTRODUCTION
Levator ani avulsion is defined as the interruption of the insertion of this muscle on the pubic bone. Because 36% of women with genital prolapse present with this anatomical alteration, it is currently recognized as an important triggering factor for genital prolapse.[1] The incidence of levator ani avulsion after vaginal delivery varies from 13% to 22% on the basis of ultrasonographic diagnosis.[2,3] In addition to anatomical alteration, levator ani avulsion is associated with a decrease in the muscular strength of the pelvic floor, which may technically favor the occurrence of urinary incontinence.[4]
The extant medical literature recommends strictly surgical treatment for avulsion, although surgery is associated with a high probability of genital prolapse recurrence.[5] Conservative treatment involving physical therapy should be considered as the first referral for women with urinary incontinence; however, currently, no indication is available for levator ani avulsion. Thus, this case report may stimulate further investigations into possible treatment modalities.
Here, we describe the case of a patient with levator avulsion in whom physical therapy was applied, and transperineal three-dimensional ultrasound (3DUS) was used for assessment.
DESCRIPTION
A 40-year-oldCaucasian female was referred to us by a gynecologist after a diagnosis of urinary incontinence. She had both urine type 1 and culture urine negatives. The patient went to a consultation at 32 weeks and 2 days, with no complaints of involuntary loss of urine before and during pregnancy, Oxford modified Grade 3 (moderate contraction, felt as increase in intravaginal pressure, which compresses the examiner's fingers with small cranial elevation of vaginal wall), holding for 10 s, on that occasion, she obtained guidance on perineal strengthening exercises, massage, and how to use the Epi-No® Delphine Plus (Starnberg Medical, Tecsana GMBH, Muenchen, Germany) (which reached 20-cm balloon perimeter). In the postpartum evaluation, however, she presented Oxford modified Grade 1 (unsustainable contraction outline), a complaint of mixed urinary incontinence and discontinuity in the insertion of the levator ani muscle was observed, confirmed by transperineal 3DUS.
She presented with an obstetric history of one previous pregnancy with vaginal delivery, and a male newborn weighing 3020 g at 40 weeks of gestation. Vacuum extractor was used to conclude the delivery showing laceration in the posterior vaginal sac with immediate postpartum bleeding in moderate quantity, vaginal and perineal suture being performed after delivery. Four months after the delivery, she sought medical attention with complaints of urinary incontinence during coughing and sneezing and urinary urgency. The urinary losses were of moderate intensity and occurred twice or three times per week. Vaginal (digital palpation) examination revealed discontinuity in the insertion of the levator ani muscle, and 3DUS was used to confirm the diagnosis.
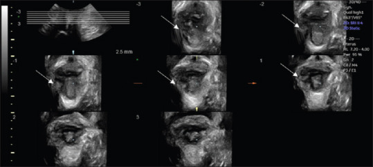
Transperineal 3DUS was performed, with the patient in the lithotomy position, using a convex volumetric transducer with automatic sweep (RAB 4–8 L) of the Voluson E8 Expert apparatus (General Electric, Healthcare, Zipf, Austria). The labia minora was parted, and the transducer was positioned in the vaginal introitus and oriented in a mid-sagittal plane with minimal pressure. Evaluations were performed at rest, maximum Valsalva, and pelvic floor muscle contraction (PFMC). Tomographic ultrasound imaging (TUI) was performed on 3D volumes obtained at PFMC at 2.5-mm slice intervals above the plane of minimal hiatal dimensions [Figure 1].
Figure 1.

Transperineal three-dimensional ultrasound using tomographic ultrasound imaging for pelvic floor muscles in contraction performed before physiotherapeutic treatment shows a complete right-sided trauma (left on image, indicated by the white arrow) visible in all tomographic slices 2.5 mm above the plane of minimal dimensions
The patient was then referred for physiotherapeutic treatment. During the functional evaluation of the pelvic floor, the patient presented with incorrect contractions of pelvic floor muscle (PFM), and on digital palpation, exhibited a muscular strength degree of 1 (unsustainable contraction sketch) according to the Oxford Modified Scale. No significant postural changes were observed, but rectus abdominis diastasis of 4.5 cm in the umbilical region and 3.5 cm in the supraumbilical and infraumbilical regions were diagnosed. In addition to undergoing the physical examination, the patient completed the International Consultation on Incontinence Questionnaire-Short Form (ICIQ-SF) and the voiding diary for better monitoring of her miccional dysfunction during the treatment. The ICIQ-SF score was 16; the voiding diary in the 1st week of the treatment showed a daily urinary frequency of eight and the frequencies of nocturia and losses as two and three, respectively, per week.
The physiotherapeutic treatment comprised 13 sessions and included intravaginal electrotherapy, proprioceptive training with biofeedback, and progressive exercises to strengthen PFM on the basis of the functional physiotherapeutic evaluation. The sessions were performed twice a week, with each session lasting for 1 h. In the first 3 weeks, the exercises to raise awareness and strengthen PFM were performed in the lying posture and included breathing exercises and intravaginal electrotherapy. Thereafter, the exercises evolved to the four postures and further evolved to the posture in sedation during 5th and 6th weeks. During the sessions, specific actions of the transverse abdominal muscle associated with PFM contractions and proprioceptive training with pelvic floor biofeedback were used. In the last week, the exercises were performed in orthostatism, and the balance training program associated with PFM contractions was applied.
At the end of the physiotherapeutic treatment (6 months after delivery), another transperineal 3DUS was performed, which showed rapprochement of the levator ani muscle of the pubic symphysis [Figure 2]. We measured the size of the lesion at rest before and after physical therapy treatment [Figure 3] as well as at maximum contraction of the pelvic floor [Figure 4]. Before the beginning of the treatment, the muscle injury was 3.58 cm, and after the treatment, we observed bilateral injury, being 1.32 cm on the left side and 0.69 cm on the right side.In contraction, before the treatment, a lesion of 3.48 cm was observed, and after the treatment, lesions of 0.90 cm on the left side and 0.35 cm on the right side were observed. Furthermore, the patient presented with correct contractions of PFM during the physical examination, and the muscle strength degree was 2 on the Oxford scale. Moreover, rectus abdominis diastasis decreased to 1.5 cm in the umbilical and supraumbilical regions. The ICIQ-SF score decreased to 11, and in the voiding diary, the diurnal frequency was reported to be eight during the day and one during night. Although some involuntary losses still occurred, they were only during substantial efforts like jumping.
Figure 2.

Transperineal three-dimensional ultrasound using tomographic ultrasound imaging performed after physiotherapeutic treatment shows the rapprochement of the levator ani muscle on the right side (indicated by the white arrow) and the presence of previously unidentified trauma on the left side (indicated by the yellow arrow to the right of the image), suggesting a bilateral levator avulsion
Figure 3.

Transperineal three-dimensional ultrasound in the rendering showing the size of the lesion at rest before (a) and after (b) physiotherapeutic treatment with measurements of the extent of the lesion
Figure 4.

Transperineal three-dimensional ultrasound in the rendering mode showing the size of the lesion in maximum contraction of the pelvic floor before (a) and after (b) physiotherapeutic treatment
DISCUSSION
We presented the first case report of conservative treatment for pelvic floor dysfunction in a patient with levator ani avulsion after delivery using transperineal 3DUS assessment as an objective parameter for the follow-up of conservative treatment.
Although during pregnancy pressure is exerted on the uterus and hormonal changes cause remodeling of the PFM connective tissue,[2] it appears that the passage of the fetus through the birth canal is the most frequent cause of separation of the pubovisceral muscle from its insertion site.[6,7] Pubovisceral avulsion occurs in 10%–36% cases of spontaneous vaginal deliveries, 35%–64% cases of forceps-assisted deliveries, and 34% cases of vacuum-assisted deliveries.[8]
The levator ani is the only striated muscle that plays an important role in supporting of the pelvic floor, and it adjusts its activity according to the postural and intra-abdominal pressure variations.[9] In addition, it plays a role in maintaining urinary and fecal continence and in sexual function. The main complaint of our patient was mixed urinary incontinence, which prompted her to visit a doctor 2 months after delivery.
Physical therapy is indicated as the first line of treatment in cases of urinary incontinence, including those occurring in the postpartum period.[10] However, the cause of all pelvic floor dysfunctions should be investigated. On the basis of a delivery report and physical examination findings, pubovisceral avulsion may be suspected. The diagnosis is made on the basis of physical examination (digital palpation), 3DUS, and magnetic resonance imaging findings.[11] In the present case, after 13 physiotherapy sessions involving electrophysical and kinesiotherapy resources, the pubovisceral muscle was brought closer to the pubic arch, and the patient's initial complaints gradually disappeared.
Possibly, one of the most important clinical observations of this case is the importance of transperineal 3DUS from the point of view of the PFM functionality. Authors have highlighted the importance of the lifter gap measurement, and the width of this gap is directly proportional to the occurrence of prolapses.[12,13] However, when it comes to muscle functionality and contractility, good anatomical positioning of the levator ani muscle is fundamental, because its correct and strong contraction depends on its points of origin and insertion.[14] This suggests that evaluating and measuring the distance from the pubovisceral muscle to the pubic arch is useful. In our patient, the distance decreased from 3.37 cm to 0.53 cm after the treatment. However, we have not found a similar measurement in the literature.
According to Dietz et al.,[11] a diagnosis of complete avulsion can be made on the basis of the TUI of the pelvic floor when all three central slices (i.e., the plane of minimal dimensions plus slices 2.5 mm and 5 mm cranial to this plane) show an abnormal insertion of the puborectalis muscle on the inferior pubic ramus. In the transperineal 3DUS performed before the physical therapy, the avulsion could not be observed bilaterally. This may have occurred due to the muscle (within 2-month postinjury) being in the proliferation (healing) phase, possibly contributing to the appearance of good fixation of the left pubovisceral muscle in the pubic arch.[15] In our case at 4-month postinjury (after the commencement of the treatment), the 3DUS image clearly showed bilateral avulsion; however, the defect on the left side could be considered as minor, because it did not have the same depth as the one on the right side.[16]
Despite a study showing to 50% reduction in injuries observed by transperineal 3DUS comparing assessments of 6 weeks postpartum to 1 year after delivery in the same patient,[17] other authors have observed 15.2% rate of avulsion after 20 years of delivery.[18] We believe that the earlier the woman undergoes perineal rehabilitation after delivery, better she will recover. In some cases, the avulsion of the levator ani is asymptomatic, the patient in our report complained of involuntary leakage of urine, which is closely linked to lower quality of life, affecting the social status. In the long term, avulsion is associated with pelvic organ prolapse[19] and is explained by the increased hiatus levator ani and weaker muscles. According to Dietz et al.?5 surgical repair of the lifter's avulsion is feasible at the time of surgery of prolapse, however, its effect on the recurrence of prolapse is disappointing, suggesting that there is often microscopic and functional muscle trauma in addition to avulsion and that even in the need for repair surgery, rehabilitation of the function of this musculature is necessary.
In summary, physiotherapeutic treatment, especially the combination of perineal muscle strengthening exercises and electrotherapy, can be a good option for the patient who suffered an avulsion of the levator ani during delivery. We observed that after treatment, the pubovisceral muscle approached the pubis, the perineal contraction was effective. Assessments based on 3DUS transperineal are an important approach for monitoring conservative treatment until complete recovery.
Declaration of patient consent
The authors certify that they have obtained all appropriate patient consent forms. In the form the patient has given her consent for her images and other clinical information to be reported in the journal. The patient understands that her nameand initials will not be published and due efforts will be made to conceal identity, but anonymity cannot be guaranteed.
Financial support and sponsorship
Nil.
Conflicts of interest
There are no conflicts of interest.
REFERENCES
- 1.Dietz HP, Simpson JM. Levator trauma is associated with pelvic organ prolapse. BJOG. 2008;115:979–84. doi: 10.1111/j.1471-0528.2008.01751.x. [DOI] [PubMed] [Google Scholar]
- 2.Shek KL, Dietz HP. The effect of childbirth on hiatal dimensions. Obstet Gynecol. 2009;113:1272–8. doi: 10.1097/AOG.0b013e3181a5ef23. [DOI] [PubMed] [Google Scholar]
- 3.Valsky DV, Lipschuetz M, Bord A, Eldar I, Messing B, Hochner-Celnikier D, et al. Fetal head circumference and length of second stage of labor are risk factors for levator ani muscle injury, diagnosed by 3-dimensional transperineal ultrasound in primiparous women. Am J Obstet Gynecol. 2009;201(91):e1–7. doi: 10.1016/j.ajog.2009.03.028. [DOI] [PubMed] [Google Scholar]
- 4.Dietz HP, Shek C. Levator avulsion and grading of pelvic floor muscle strength. Int Urogynecol J Pelvic Floor Dysfunct. 2008;19:633–6. doi: 10.1007/s00192-007-0491-9. [DOI] [PubMed] [Google Scholar]
- 5.Dietz HP, Shek KL, Daly O, Korda A. Can levator avulsion be repaired surgically.A prospective surgical pilot study? Int Urogynecol J. 2013;24:1011–5. doi: 10.1007/s00192-012-1984-8. [DOI] [PubMed] [Google Scholar]
- 6.Dietz HP, Shek C, Clarke B. Biometry of the pubovisceral muscle and levator hiatus by three-dimensional pelvic floor ultrasound. Ultrasound Obstet Gynecol. 2005;25:580–5. doi: 10.1002/uog.1899. [DOI] [PubMed] [Google Scholar]
- 7.DeLancey JO, Kearney R, Chou Q, Speights S, Binno S. The appearance of levator ani muscle abnormalities in magnetic resonance images after vaginal delivery. Obstet Gynecol. 2003;101:46–53. doi: 10.1016/s0029-7844(02)02465-1. [DOI] [PMC free article] [PubMed] [Google Scholar]
- 8.Garcia-Mejido JA, Gutierrez-Palomino L, Borrero C, Valdivieso P, Fernandez-Palacin A, Sainz-Bueno JA. Factors that influence the development of avulsion of the levator ani muscle in eutocic deliveries: 3-4D transperineal ultrasound study. J Matern Fetal Neonatal Med. 2016;29:3183–6. doi: 10.3109/14767058.2015.1118041. [DOI] [PubMed] [Google Scholar]
- 9.Rostaminia G, Shobeiri SA, Quiroz LH. Surgical repair of bilateral levator ani muscles with ultrasound guidance. Int Urogynecol J. 2013;24:1237–9. doi: 10.1007/s00192-012-1912-y. [DOI] [PubMed] [Google Scholar]
- 10.Cacciari LP, Dumoulin C, Hay-Smith EJ. Pelvic floor muscle training versus no treatment, or inactive control treatments, for urinary incontinence in women: A cochrane systematic review abridged republication. Braz J Phys Ther. 2019;23:93–107. doi: 10.1016/j.bjpt.2019.01.002. [DOI] [PMC free article] [PubMed] [Google Scholar]
- 11.Dietz HP, Bernardo MJ, Kirby A, Shek KL. Minimal criteria for the diagnosis of avulsion of the puborectalis muscle by tomographic ultrasound. Int Urogynecol J. 2011;22:699–704. doi: 10.1007/s00192-010-1329-4. [DOI] [PubMed] [Google Scholar]
- 12.Delancey JO, Hurd WW. Size of the urogenital hiatus in the levator ani muscles in normal women and women with pelvic organ prolapse. Obstet Gynecol. 1998;91:364–8. doi: 10.1016/s0029-7844(97)00682-0. [DOI] [PubMed] [Google Scholar]
- 13.Majida M, Braekken I, Bo K, Benth J, Engh M. Anterior but not posterior compartment prolapse is associated with levator hiatus area: A three- and four-dimensional transperineal ultrasound study. BJOG. 2011;118:329–37. doi: 10.1111/j.1471-0528.2010.02784.x. [DOI] [PubMed] [Google Scholar]
- 14.Guzmán Rojas R, Wong V, Shek KL, Dietz HP. Impact of levator trauma on pelvic floor muscle function. Int Urogynecol J. 2014;25:375–80. doi: 10.1007/s00192-013-2226-4. [DOI] [PubMed] [Google Scholar]
- 15.Fernandes TL, Pedrinelli A, Hernandez AJ. Muscle injury – Physiopathology, diagnosis, treatment and clinical presentation. Rev Bras Ortop. 2011;46:247–55. doi: 10.1016/S2255-4971(15)30190-7. [DOI] [PMC free article] [PubMed] [Google Scholar]
- 16.Dietz HP. London: Springer-Verlag; 2008. Atlas of Pelvic Floor Ultrasound; pp. 76–91. [Google Scholar]
- 17.Halle TK, Staer-Jensen J, Hilde G, Bø K, Engh ME, Siafarikas F. Change in prevalence of major levator ani muscle defects from six weeks to one year postpartum, and maternal and obstetric risk factors: A longitudinal ultrasound study. Acta Obstet Gynecol Scand. 2020 Apr 22; doi: 10.1111/aogs.13878. doi: 10.1111/aogs.13878. Online ahead of print. [DOI] [PubMed] [Google Scholar]
- 18.Lin S, Atan IK, Dietz HP, Herbison P, Wilson PD. Delivery mode, levator avulsion and obstetric anal sphincter injury: A cross-sectional study 20 years after childbirth. Aust N Z J Obstet Gynaecol. 2019;59:590–6. doi: 10.1111/ajo.12948. [DOI] [PubMed] [Google Scholar]
- 19.Handa VL, Roem J, Blomquist JL, Dietz HP, Muñoz A. Pelvic organ prolapse as a function of levator ani avulsion, hiatus size, and strength. Am J Obstet Gynecol. 2019;221(41):e1. doi: 10.1016/j.ajog.2019.03.004. [DOI] [PMC free article] [PubMed] [Google Scholar]
