Abstract
Introduction
Partial nephrectomy (PN) has evolved into the surgical standard of care for localized renal lesions. Hemostatic agents (HA) support the surgeon in achieving local hemostasis during PN. We previously reported initial results with the HA Hemopatch® in PN. We now report our experiences with Hemopatch® in a larger and more challenging single-surgeon PN cohort.
Methods
Our study included 45 patients who underwent PN due to suspicious renal lesions between December 2013 and March 2018. All surgeries were performed by a single surgeon using the HA Hemopatch®. Preoperative, intraoperative, and postoperative parameters were assessed.
Results
Preoperative median tumor diameter was 27 mm. Median PADUA and RENAL nephrometry scores were 7 and 6, respectively. In 13.3% of the cases an additional HA was applied. Intraoperative and postoperative bleeding occurred in 2.2% and 8.9%, respectively. Median total blood loss was 200 ml. Urgent pedicle clamping due to bleeding was necessary in 2 (4.4%) patients. The transfusion rate was 8.9%. There were no conversions.
Conclusion
We confirmed our initial results demonstrating feasibility and reliability of Hemopatch® during PN. Notably, the cohort consists of selected patients. Prospective randomized studies are needed for comparison of different types of HA with regard to perioperative outcome.
Keywords: Clavien–Dindo, Hemopatch, Hemostatic agent, Nephrology, NSS, Partial nephrectomy
Key Summary Points
| Partial nephrectomy has evolved into the surgical standard of care for localized renal lesions. |
| Hemostatic agents support the surgeon in achieving local hemostasis during partial nephrectomy. |
| Initial results of a case series utilizing the hemostatic agent Hemopatch® in partial nephrectomy demonstrated safety. |
| In this larger and more challenging cohort, feasibility and reliability of Hemopatch® during partial nephrectomy were confirmed. |
Digital Features
This article is published with digital features, including a summary slide, to facilitate understanding of the article. To view digital features for this article go to 10.6084/m9.figshare.13247318.
Introduction
Recent advances in techniques of renal surgery [1] resulted in a shift towards nephron-sparing and minimally invasive approaches [2]. While the rate of open radical nephrectomies decreased between 2002 and 2010 (54–29%), laparoscopic radical nephrectomies increased (30–39%). The rate of open partial nephrectomy (PN) remained stable (around 15%), while the proportion of laparoscopic PN increased (2–17%) [2]. PN is recommended for all T1 tumors and for T2 tumors (if technically feasible) [3]. It can be performed either with open or minimally invasive approach dependent on the surgeon’s skills [3]. Bleeding is a main complication of PN (severe hemorrhage 3.1% vs. 1.2% radical nephrectomy) [4, 5]. Intra- and postoperative bleeding is surgically anticipated by coagulation, suturing, as well as with the use of hemostatic agents (HAs) or tissue sealants [5].
HAs, e.g., fibrin/thrombin-based, gelatin-based, or hydrogel-based, were shown to accelerate hemostasis and sealing [6]. They are predominantly applied during minimally invasive PN compared to open PN: 67.6% for open PN, 75.6% for laparoscopic PN, and 80.9% for robot-assisted PN (p = 0.024) [7]. The HA Hemopatch® (Baxter International Inc., Deerfield, IL, USA) is a resorbable, collagen-based, and N-hydroxylsuccinimide-functionalized polyethylene glycol (NHS-PEG)-coated patch [8, 9]. The coating is protein reactive and enables fast adherence of the patch to the wound. Within the collagen fibers, platelets form a clot and start the clotting cascade [10, 11]. The application of Hemopatch® can result in successful hemostasis within 2 min across different types of surgeries [12].
In 2015, our working group reported our initial experience with Hemopatch® in seven patients who underwent zero-ischemia laparoscopic PN, and Hemopatch® successfully achieved hemostasis in all cases [13].
We now report the results and real-life data of our expanded Hemopatch® cohort comprising 45 patients who underwent PN performed by one single surgeon.
Methods
Our study included 45 patients who underwent PN because of suspicious renal lesions at the Department of Urology of Hannover Medical School between December 2013 and March 2018 either via open or laparoscopic approach.
Inclusion criteria were the following: (i) all surgeries were performed by a single surgeon (FI) and (ii) in all surgeries Hemopatch® was applied as HA.
Hemopatch® is a standard HA in our department as (i) it can be easily rolled, (ii) it can be easily transferred into the body through the laparoscopic trocar, (iii) it is non-clotting, and (iv) it perfectly adheres on the enucleation zone.
Multiple renal lesions (4/45 patients) were counted as one case for statistical analyses.
The surgical technique of the laparoscopic approach was analogous to the technique previously described by our working group [13], except that only half of the surgeries were performed with zero ischemia. Laparoscopic application of the Hemopatch® is also described and illustrated elsewhere [13].
We preferably sutured only the tumor bed. Usually we did not perform a renorrhaphy. We used the HA to achieve hemostasis of the parenchyma. In detail, a Hemopatch® pad was placed on top of the parenchyma suture covering the enucleation zone with an overlap of approximately 1 cm. Moderate pressure was applied to the Hemopatch® for 2 min to induce hemostasis and sealing [13]. Additional HAs used in this study were Floseal® or Traumastem® (both Baxter products as well). Open PN was performed through 11/12th intercostal lumbar incision.
Preoperative, intraoperative, and postoperative parameters were assessed (Tables 1, 2, 3). PADUA and RENAL nephrometry scores [14, 15] were preoperatively assessed by two independent experienced urologists. For RENAL nephrometry score assessment the amendments about localization (anterior/posterior) and hilar localization were excluded. Blood loss was measured using the irrigation suction system. Intraoperative bleeding was defined as uncontrolled bleeding requiring additional measures (excluding controlled pedicle clamping). Postoperative bleeding was defined as a postoperative intervention (coil embolization or surgery) to stop bleeding or a renal hematoma.
Table 1.
Tumor characteristics
| Parameters | Values |
|---|---|
| Age at surgery (median; mean ± SD) [years] | 64.9; 63.1 ± 14.1 |
| Histology | |
| Clear cell RCC | 40.0% (18/45) |
| Papillary RCC | 13.3% (6/45) |
| Chromophobe RCC | 11.1% (5/45) |
| Miscellaneous or mixed renal malignancy | 8.9% (4/45) |
| Benign | 26.7% (12/45) |
| Diameter CT/MRI scan (median; mean ± SD) [mm] | 27.0; 29.0 ± 13.0 |
|
Diameter pathology report (median; mean ± SD) [mm] (for n = 8 no diameter indicated in the report) |
28; 29.3 ± 13.5 |
| T stage | |
| pT1 | 93.9% (31/33) |
| pT2 | 0 |
| pT3 | 6.1% (2/33) |
| pT4 | 0 |
| Fuhrman grade | |
| 1 | 21.2% (7/33) |
| 2 | 51.5% (17/33) |
| 3 | 3.0% (1/33) |
| 4 | 0 |
| Unknown | 24.2% (8/33) |
| Numbers of tumors | |
| Single | 95.6% (43/45) |
| Multiple | 4.4% (2/45) |
| Localization | |
| Right | 40.0% (18/45) |
| Left | 60.0% (27/45) |
| PADUA score | |
| 6 | 26.7% (12/45) |
| 7 | 35.6% (16/45) |
| 8 | 17.8% (8/45) |
| 9 | 15.6% (7/45) |
| 10 | 4.4% (2/45) |
| 11 | 0 |
| 12 | 0 |
| 13 | 0 |
| 14 | 0 |
| Median | 7 |
| RENAL score (excluding information about anterior/posterior) | |
| 4 | 28.9% (13/45) |
| 5 | 11.1% (5/45) |
| 6 | 28.9% (13/45) |
| 7 | 13.3% (6/45) |
| 8 | 13.3% (6/45) |
| 9 | 2.2% (1/45) |
| 10 | 2.2% (1/45) |
| 11 | 0 |
| 12 | 0 |
| Median | 6 |
CT computer tomography, MRI magnet resonance imaging, RCC renal cell cancer, SD standard deviation
Table 2.
Intraoperative characteristics
| Parameters | Values |
|---|---|
| Hemostatic agent | |
| Hemopatch® single | 88.9% (40/45) |
| Hemopatch® plus Floseal® | 2.2% (1/45) |
| Hemopatch® plus Traumastem® | 8.9% (4/45) |
| Zero ischemia | |
| Yes | 55.6% (25/45) |
| No | 44.4% (20/45) |
| Surgical approach | |
| Open | 11.1% (5/45) |
| Laparoscopic | 88.9% (40/45) |
| Intraoperative bleeding | |
| Yes | 2.2% (1/45) |
| No | 97.7% (44/45) |
| Intraoperative pedicle clamping due to bleeding | |
| Yes | 4.4% (2/45) |
| No | 95.6% (43/45) |
| Conversion laparoscopic to open | |
| Yes | 0 |
| No | 100% (40/40) |
| Operation time (median; mean ± SD) [min] | 116; 119.8 ± 32.1 |
| Ischemia time (median; mean ± SD) [min] (for n = 20 ischemia cases) | 15.0; 15.3 ± 7.3 |
| Total blood loss (median; mean ± SD) [ml] (n = 4 missing data) | 200.0; 231.1 ± 230.0 |
| Blood transfusion intra-/postoperative | |
| Yes | 8.9% (4/45) |
| No | 91.1% (41/45) |
SD standard deviation
Table 3.
Postoperative characteristics
| Parameters | Values |
|---|---|
| Postoperative bleeding | |
| Yes | 8.9% (4/45) |
| No | 91.1% (41/45) |
| Clavien–Dindo score | |
| 0 | 80.0% (36/45) |
| 1 | 2.2% (1/45) |
| 2 | 4.4% (2/45) |
| 3 | 13.3% (6/45) |
| 4 | 0 |
| 5 | 0 |
| Length of wound drainage (median; mean ± SD) [days] | 2.0; 2.82 ± 1.5 |
| Length of hospital stay (median; mean ± SD) [days] | 6.0; 6.9 ± 3.4 |
SD standard deviation
Complications were classified according to Clavien–Dindo [16].
Hemopatch® is certified for use in the territory of the European Union; therefore, approval from the institutional board was not required for its application. Furthermore, this study was granted exemption from requiring local ethics approval (Medical School Hannover) because of its retrospective design and because informed consent was obtained beforehand from all patients.
Descriptive statistics was performed with Microsoft Access, Microsoft Excel, and SPSS Statistics 25 from IBM.
The study was performed in accordance with the Helsinki Declaration of 1964, and its later amendments.
Results
The median patient age at time of surgery was 64.9 years in our cohort (mean ± SD 63.1 ± 14.1).
Tumor Characteristics
Table 1 presents tumor characteristics. Approximately three-quarters (n = 33/45) of the patients had malignant renal lesions. The majority among the malignant lesions were clear cell renal cell cancer (RCC; 54.5%), pT1 (93.9%), and G1–2 (72.7%). Histopathologic assessment revealed a benign histology in n = 12 cases, including oncocytoma (n = 6), purulent renal tumor (n = 1), juxtaglomerular cell tumor (n = 1), angiomyolipoma (n = 2), renal cyst (n = 1), and leiomyoma (n = 1). Nine out of 10 tumors were single lesions and laterality was nearly equal (60.0 vs. 40.0%). Preoperative median PADUA and RENAL nephrometry score was 7 and 6, respectively.
Intra- and Postoperative Characteristics
Hemopatch® was exclusively applied in 40 out of 45 cases (88.9%; Table 2). In one case (2.2%), Hemopatch® was combined with Floseal® to improve hemostasis of the tumor bed. In four cases (8.9%) Hemopatch® was combined with Traumastem®. In two cases Traumastem® was used as a bolster on top of the Hemopatch® and in the remaining two cases Traumastem® was separately placed in the retroperitoneum to achieve local hemostasis. Surgery was performed under zero ischemia in 55.6% of the cases and laparoscopically in 88.9% of the cases. There were no conversions from laparoscopic to open PN surgery and no intended PN lead to consecutive radical nephrectomies. Intraoperative bleeding occurred in one patient (2.2%). Median total blood loss was 200 ml. The maximum blood loss was 1300 ml.
There were 4 (8.9%) postoperative bleedings (Table 3). The majority of patients (80%) had no postoperative complications. A Clavien–Dindo score of 3 was assigned to six cases of the cohort because of laparotomy (n = 1)/laparoscopy (n = 1) due to bleeding, coil embolization due to bleeding (n = 1), DJ stenting due to urinoma (n = 2), and cardioversion due to atrial fibrillation (n = 1).
Characteristics of Bleeding Complications
Table 4 gives an overview of the cases with intra- and/or postoperative bleeding. The preoperatively assessed tumor diameter ranged up to 60 mm. PADUA and RENAL nephrometry score ranged up to 9 and 8, respectively.
Table 4.
Characteristics of all cases with intra-/postoperative bleeding
| Parameters | Intraoperative bleeding (n = 1) | Postoperative bleeding (n = 4) |
|---|---|---|
| Number of tumors multiple/single | 0/1 | 1/3 |
| PADUA score | 8 | 6; 8; 8; 9 |
| RENAL score (excluding information about anterior/posterior) | 8 | 6; 7; 8; 8 |
| Diameter CT/MRI scan [mm] | 20 | 20; 20; 25; 60 |
| Hemopatch® exclusive/+Floseal®/+Traumastem® | 1/0/0 | 3/1/0 |
| Zero ischemia yes/no | 1/0 | 3/1 |
| Ischemia time [min] | 0 | 9 |
| Total perioperative blood loss [ml] | 1300 | 200; 200; 300; 1300 |
| Assessment of bleeding | #1 additional port for suction (see main text; Hemopatch®) |
#1 postoperative laparotomy (see main text; Hemopatch®) #2 postoperative laparoscopy, coagulation of a blood vessel of the renal capsule (Hemopatch®) #3 postoperative coil embolization due to gross hematuria, anticoagulation (Hemopatch®) #4 postoperative renal hematoma (Hemopatch® + Floseal®) |
CT computer tomography, MRI magnet resonance imaging
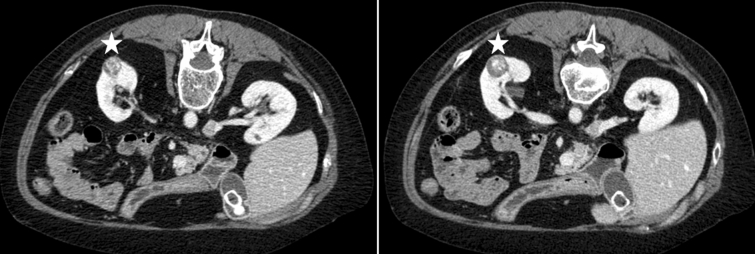
One patient experienced intraoperative and postoperative bleeding, resulting in a total blood loss of 1300 ml (#1 in Table 4). This patient needed therapeutic anticoagulation and immunosuppression due to history of chronic thromboembolic pulmonary hypertension and subsequent lung transplantation. The renal artery could not be separated adequately because of adhesions of the renal hilum. The tumor appeared hypervascular. The surgery was performed laparoscopically with zero ischemia and Hemopatch® exclusively as HA. An additional port for suction was necessary to handle intraoperative bleeding. On postoperative day 1, a laparotomy (via Chevron incision) was performed because of postoperative bleeding. Length of wound drainage and hospital stay were 11 and 19 days, respectively. The complication was classified as Clavien–Dindo 3. In total, 10 erythrocyte concentrates and six fresh frozen plasma transfusions were applied. This single tumor was preoperatively assessed as 20 mm in width, PADUA score 8, and RENAL nephrometry score 8. Preoperative scans of this case are shown in Fig. 1. Histopathologic evaluation revealed a clear cell RCC, pT1a G2 pR0.
Fig. 1.
Exemplary preoperative CT scans of one case (patient #1 in Table 4) with intra- and postoperative bleeding (transverse plane; renal lesion in left kidney marked with a star)
The remaining patients who suffered from postoperative bleeding are characterized in Table 4.
Discussion
There are a variety of HA products from different companies available for PN. The choice of HA is mainly based on the surgeon’s individual experience. In this study we report the results and real-life data of our expanded Hemopatch® cohort comprising 45 patients who underwent PN performed by one single surgeon. The main results of our study are the following. There were only 13.3% major complications (all Clavien–Dindo 3). In general, the frequency of bleeding complications was low (urgent pedicle clamping due to bleeding in only every 23rd patient (4.4%), blood transfusion in only every 11th patient (8.9%), and median total blood loss of 200 ml. There were no conversions from laparoscopic to open surgery and the median operation time was short (116 min).
In our series severe bleeding occurred in the majority of the cases as a result of patient-related factors (Table 4; patients #1–3). An association between postoperative bleeding and the HA application in patient #4 (Hemopatch®+ Floseal®) cannot be ruled out. However, in this last case (patient #4) the postoperative hemoglobin level was consistently greater than 13 g/dl.
Overall, the application of the HA Hemopatch® is technically feasible and safe during PN for suspicious renal lesions.
The main advantages of our study are the assessment of a large, single-surgeon case series accounting for a high internal validity as well as the evaluation of a real-life PN cohort.
Studies evaluating Hemopatch® in renal surgery are rare. This study is the follow-up analysis of our initial Hemopatch® study consisting of seven patients who underwent PN (period November 2013–June 2014) published in 2015 [13]. The median tumor sizes were similar in both cohorts (30.0 mm vs. 27.0 mm in past vs. current cohort, respectively). However, PADUA and RENAL nephrometry scores were higher, i.e., more complex renal lesions, in the current cohort (PADUA 6 vs. 7 and RENAL 4 vs. 6 in past vs. current cohort, respectively). In the past cohort, all lesions were single lesions compared to 8.9% multiple lesions in the current cohort. Taken together, the current follow-up cohort was more challenging and mirroring the surgeon’s learning curve as well as a routine in Hemopatch® handling.
As of now, there are no phase III randomized controlled trials in humans comparing different types of HA during PN. There are only two randomized studies comparing HA vs. standard of care in humans.
Siemer et al. performed an open randomized prospective multicenter study comparing the HA TachoSil® (Takeda Pharmaceutical Co, Japan; Ethicon Inc., USA) vs. standard suturing in 185 patients who underwent PN [17]. In their investigation, the average time to hemostasis was approximately 5 min in the TachoSil® group vs. 10 min in the standard suture group. The authors concluded a superiority of TachoSil® compared to standard suturing with regard to intraoperative hemostasis [17].
Nativ et al. examined the effect of a newly designed fibrin pad (OMRIX Biopharmaceuticals Ltd., Israel; Ethicon Inc., USA) in a randomized phase I/II study [18]. They compared the fibrin pad with standard of care [suture, absorbable hemostat, and SURGICEL® (Johnson & Johnson Co., USA)]. Notably, as a result of a severe bleeding in the fibrin pad group the study was suspended. Only seven of the planned 30 patients were enrolled [18].
One investigation by Lewis et al. compared Hemopatch® with Tabotamp® (Ethicon Inc., USA) in two animal models including heparinized rabbits and pigs mimicking vascular surgery (arterial bleeding) and general surgery (hepatic lesion) in patients with coagulopathy. In their analysis, Hemopatch® was superior to Tabotamp® [10].
Our perioperative metrics are in congruence with or superior to a recent multicenter study by Secin et al. reporting perioperative outcomes in a large series of laparoscopic (98%) or robotic (2%) PN (n = 1501) [19]. In Secin et al.’s cohort (vs. our cohort) the median operative time was 150 min (vs. 116 min), median intraoperative bleeding 200 ml (vs. 200 ml), median tumor diameter 27 mm (vs. 27 mm), transfusion rate 10% (vs. 8.9%), median RENAL score 6 (vs. 6), and conversion rate to open partial nephrectomy 6% (vs. 0%). Also, our overall complication rates were comparable to those of Secin et al. The complication rates were the following: Clavien I 5.6% (vs. 2.2%), Clavien II 8.4% (vs. 4.4%), Clavien III 4.7% (vs. 13.3%), Clavien IV 1.1% (vs. 0%), Clavien V 0% (0%) [19]. Notably, that study is multicenter (17 centers). The surgical technique as well as whether or not a HA was utilized intraoperatively is not described in the study [19].
There is also a controversial study about the usage of HA in PN by Abu-Ghanem et al. [20]. The authors investigated 657 patients who underwent PN and evaluated the impact of different sealants and SURGICEL® on complications. In the total cohort the transfusion rate was 13.3% while urinary leakage occurred in 2.6% of the patients. When comparing sutures only (n = 147 patients) vs. sutures and SURGICEL® (n = 183 patients) the authors noticed a higher transfusion und urinary leakage rate (19.1% vs. 4.1% and 4.9% vs. 0.7%, respectively, both p < 0.05) in the SURGICEL® group. However, tumors in the SURGICEL® group were larger (3.83 cm vs. 3.01 cm, p < 0.05) and more often centrally located (43.2% vs. 23.8%, p < 0.05). There was no difference regarding postoperative bleeding (defined as hematuria or flank hematoma) [20]. Abu-Ghanem et al. also evaluated the effect of the combination of sutures, sealant, and SURGICEL® (n = 301). This combination did not result in more favorable outcomes with regard to transfusion rate, urinary leakage rate, postoperative hematuria, or flank hematomas [20]. As the addition of HAs does not seem to reduce complications, the authors conclude that an accurate suturing of the resection zone may be sufficient to control bleeding. Importantly, this study is not a prospective randomized study either [20].
Table 5 compares the complication rates of the current study, our former case series, the prospective study by Van Poppel et al., the multicenter study by Secin et al., and the comparative study by Abu-Ghanem et al. [4, 13, 19, 20].
Table 5.
Comparison of complication rates of different PN studies
| Study details | Conversion | Blood loss | Transfusion rate | Clavien–Dindo | |
|---|---|---|---|---|---|
| Current study | Open (11.1%) and laparoscopic (88.9%) PN with Hemopatch®; case series of n = 45 | 0% laparoscopic to open PN | Median 200 ml | 8.9% |
1: 2.2% 2: 4.4% 3: 13.3% 4–5: 0% |
| Imkamp et al. [13] | Laparoscopic PN with Hemopatch®; case series of n = 7 | 0% laparoscopic to open PN | Median 325 ml | No postoperative complication | |
| Van Poppel et al. [4] | PN (49.5%) and RN (50.5%); prospective trial of n = 541 | “Severe hemorrhage” PN 3.1%; blood loss < 500 ml PN 87.2% | 3: PN 4.4% | ||
| Secin et al. [19] | Laparoscopic (98%) or robotic (2%) PN; retrospective study of n = 1501 | 3% PN to RN; 6% laparoscopic/robotic to open PN | Median 200 ml | 10% |
1: 5.6% 2: 8.4% 3: 4.7% 4: 1.1% 5: 0% |
| Abu-Ghanem et al. [20] | Open (40.9%) or laparoscopic (59.1%) PN; n = 657 | 13.3% | |||
| Abu-Ghanem et al. [20] | Subgroup sutures only vs. sutures and SURGICEL®; n = 147 vs. n = 183 | 4.1% vs. 19.1% (p < 0.05) |
PN partial nephrectomy, RN radical nephrectomy
There are some limitations of our analysis. Notably, this patient cohort does not include all consecutive patients who underwent PN at the Medical School of Hannover between December 2013 and March 2018. Retrospective inclusion of a patient in this study was based on the surgeon’s individual choice of HA. Thus, there is selection bias. Furthermore, comedications such as antiplatelet or anticoagulant treatment were not included. There was no comparison with other HAs or non-HA surgeries. The surgical approach was not standardized with regard to suturing techniques for hemostasis. The case number is low because of the single-surgeon character of the study.
Conclusions
In this study we report our deepened experiences with the HA Hemopatch® in PN. The feasibility and reliability of the HA Hemopatch® that were demonstrated in our initial study [13] were further confirmed in a larger and more complex PN cohort. There is a need for prospective randomized trials comparing different types of HA with regard to perioperative complication rates.
Acknowledgements
We thank the participants of the study.
Funding
The study was supported by a junior research grant from the University of Luebeck to Marie C. Hupe (personnel costs). No Rapid Service Fee was received by the journal for the publication of this article.
Authorship
All named authors meet the International Committee of Medical Journal Editors (ICMJE) criteria for authorship for this article, take responsibility for the integrity of the work as a whole, and have given their approval for this version to be published.
Authorship Contributions
MCH: protocol/project development, data management, data analysis, manuscript writing, critical revision of the manuscript. MB: protocol/project development, data collection and management, manuscript editing, critical revision of the manuscript. PF: data collection and management, critical revision of the manuscript. ASM: supervision, manuscript editing, critical revision of the manuscript, administrative support. MAK: supervision, manuscript editing, critical revision of the manuscript, administrative support. FI: protocol/project development, data collection and management, data analysis, supervision, manuscript writing, critical revision of the manuscript, administrative support.
Disclosures
Marie C. Hupe: Ipsen, Novartis, Sanofi and Solution Akademie. Axel S. Merseburger: Amgen, Astellas, Bayer, Ferring, Ipsen, Janssen, Roche, BMS, Merck, Hexal, Novartis, Sanofi, TEVA, GBA, UEG, and Takeda. Markus A. Kuczyk: Pfizer, Janssen, BMS, MSD Eisai, Bayer, Roche, Ipsen, Astellas, and AstraZeneca. Florian Imkamp: Astellas, Bayer, Ipsen, Janssen, Roche, BMS, Merck, Novartis, Sanofi, Karl Storz, and Baxter. FI received an honorarium from Baxter for data analysis and manuscript writing regarding this project. Florian Imkamp has changed his affiliation after completion of the manuscript. His new affiliation is Department of Urology, Vinzenzkrankenhaus Hannover, Germany. Maximillian Büttner and Pouriya Faraj Tabrizi have no conflict of interest.
Compliance with Ethics Guidelines
Hemopatch® is certified for use in the territory of the European Union; therefore, approval from the institutional board was not required for its application. Furthermore, this study was granted exemption from requiring local ethics approval (Medical School Hannover) because of its retrospective design and because informed was consent obtained beforehand from all patients. The study was performed in accordance with the Helsinki Declaration of 1964, and its later amendments.
Data Availability
The datasets generated during and/or analyzed during the current study are not publicly available because of privacy or ethical restrictions.
References
- 1.Hupe MC, Kramer MW, Ozimek T, Merseburger AS, Imkamp F. Extended techniques of minimally invasive surgery in the retroperitoneum: practice pattern in German urology departments. Urol Int. 2018;101(3):345–350. doi: 10.1159/000493148. [DOI] [PubMed] [Google Scholar]
- 2.Poon SA, Silberstein JL, Chen LY, Ehdaie B, Kim PH, Russo P. Trends in partial and radical nephrectomy: an analysis of case logs from certifying urologists. J Urol. 2013;190(2):464–469. doi: 10.1016/j.juro.2013.02.094. [DOI] [PMC free article] [PubMed] [Google Scholar]
- 3.Ljungberg B, Albiges L, Bensalah K, et al. EAU guidelines renal cell carcinoma. https://uroweb.org/guideline/renal-cell-carcinoma/. Accessed 22 Jul 2019.
- 4.Van Poppel H, Da Pozzo L, Albrecht W, et al. A prospective randomized EORTC intergroup phase 3 study comparing the complications of elective nephron-sparing surgery and radical nephrectomy for low-stage renal cell carcinoma. Eur Urol. 2007;51(6):1606–1615. doi: 10.1016/j.eururo.2006.11.013. [DOI] [PubMed] [Google Scholar]
- 5.Klatte T, Ficarra V, Gratzke C, et al. A literature review of renal surgical anatomy and surgical strategies for partial nephrectomy. Eur Urol. 2015;68(6):980–992. doi: 10.1016/j.eururo.2015.04.010. [DOI] [PMC free article] [PubMed] [Google Scholar]
- 6.Ramanathan R, Leveillee RJ. A review of methods for hemostasis and renorrhaphy after laparoscopic and robot-assisted laparoscopic partial nephrectomy. Curr Urol Rep. 2010;11(3):208–220. doi: 10.1007/s11934-010-0107-7. [DOI] [PubMed] [Google Scholar]
- 7.Lang H, Mouracade P, Gimel P, et al. National prospective study on the use of local haemostatic agents during partial nephrectomy. BJU Int. 2014;113(5b):E56–61. doi: 10.1111/bju.12397. [DOI] [PubMed] [Google Scholar]
- 8.Fingerhut A, Uranues S, Ettorre GM, et al. European initial hands-on experience with HEMOPATCH, a novel sealing hemostatic patch: application in general, gastrointestinal, biliopancreatic, cardiac, and urologic surgery. Surg Technol Int. 2014;25:29–35. [PubMed] [Google Scholar]
- 9.Baxter Deutschland GmbH. Hemopatch. https://www.baxterprofessional.de/de/chirurgie/haemostatika/hemopatch. Accessed 22 Jul 22, 2019.
- 10.Lewis KM, Schiviz A, Hedrich HC, Regenbogen J, Goppelt A. Hemostatic efficacy of a novel, PEG-coated collagen pad in clinically relevant animal models. Int J Surg. 2014;12(9):940–944. doi: 10.1016/j.ijsu.2014.07.017. [DOI] [PubMed] [Google Scholar]
- 11.Lewis KM, Ikeme S, Olubunmi T, Kuntze CE. Clinical effectiveness and versatility of a sealing hemostatic patch (HEMOPATCH) in multiple surgical specialties. Expert Rev Med Devices. 2018;15(5):367–376. doi: 10.1080/17434440.2018.1464909. [DOI] [PubMed] [Google Scholar]
- 12.Ulrich F, Ettorre GM, Weltert L, et al. Intra-operative use of Hemopatch®: interim results of a nationwide European survey of surgeons. Surg Technol Int. 2016;28:19–28. [PubMed] [Google Scholar]
- 13.Imkamp F, Tolkach Y, Wolters M, Jutzi S, Kramer M, Herrmann T. Initial experiences with the Hemopatch® as a hemostatic agent in zero-ischemia partial nephrectomy. World J Urol. 2015;33(10):1527–1534. doi: 10.1007/s00345-014-1404-4. [DOI] [PubMed] [Google Scholar]
- 14.Kutikov A, Uzzo RG. The RENAL nephrometry score: a comprehensive standardized system for quantitating renal tumor size, location and depth. J Urol. 2009;182(3):844–853. doi: 10.1016/j.juro.2009.05.035. [DOI] [PubMed] [Google Scholar]
- 15.Ficarra V, Novara G, Secco S, et al. Preoperative aspects and dimensions used for an anatomical (PADUA) classification of renal tumours in patients who are candidates for nephron-sparing surgery. Eur Urol. 2009;56(5):786–793. doi: 10.1016/j.eururo.2009.07.040. [DOI] [PubMed] [Google Scholar]
- 16.Dindo D, Demartines N, Clavien PA. Classification of surgical complications: a new proposal with evaluation in a cohort of 6336 patients and results of a survey. Ann Surg. 2004;240(2):205–213. doi: 10.1097/01.sla.0000133083.54934.ae. [DOI] [PMC free article] [PubMed] [Google Scholar]
- 17.Siemer S, Lahme S, Altziebler S, et al. Efficacy and safety of TachoSil as haemostatic treatment versus standard suturing in kidney tumour resection: a randomised prospective study. Eur Urol. 2007;52(4):1156–1163. doi: 10.1016/j.eururo.2007.04.027. [DOI] [PubMed] [Google Scholar]
- 18.Nativ O, Patel B, Shen J, Batiller J, Horn S, Hart JC. Safety and hemostatic efficacy of fibrin pad in partial nephrectomy: results of an open-label phase I and a randomized, standard-of-care-controlled phase I/II study. BMC Nephrol. 2012;8(13):147. doi: 10.1186/1471-2369-13-147. [DOI] [PMC free article] [PubMed] [Google Scholar]
- 19.Secin FP, Castillo OA, Rozanec JJ, et al. American Confederation of Urology (CAU) experience in minimally invasive partial nephrectomy. World J Urol. 2017;35(1):57–65. doi: 10.1007/s00345-016-1837-z. [DOI] [PubMed] [Google Scholar]
- 20.Abu-Ghanem Y, Dotan Z, Kaver I, Zilberman DE, Ramon J. The use of haemostatic agents does not impact the rate of hemorrhagic complications in patients undergoing partial nephrectomy for renal masses. Sci Rep. 2016;30(6):32376. doi: 10.1038/srep32376. [DOI] [PMC free article] [PubMed] [Google Scholar]
Associated Data
This section collects any data citations, data availability statements, or supplementary materials included in this article.
Data Availability Statement
The datasets generated during and/or analyzed during the current study are not publicly available because of privacy or ethical restrictions.

