Dear Editor,
ATP-binding cassette (ABC)-ATPase (RAD50), together with meiotic recombination 11 homolog 1 (MRE11) subunits, to form MRE11–RAD50 complex, plays important roles in recognition of double-stranded DNA (dsDNA) and initiation of consequent inflammatory cascade1. Acute lung injury (ALI) and acute respiratory destress syndrome (ARDS) are systemic uncontrolled inflammation and life-threatening. However, the function of the DNA sensor in ALI/ARDS remains poorly defined. Here we investigated functions of RAD50 using mouse primary macrophages and conditionally RAD50 knockout mice in vitro and in a lipopolysaccharide (LPS)-induced lung injury model.
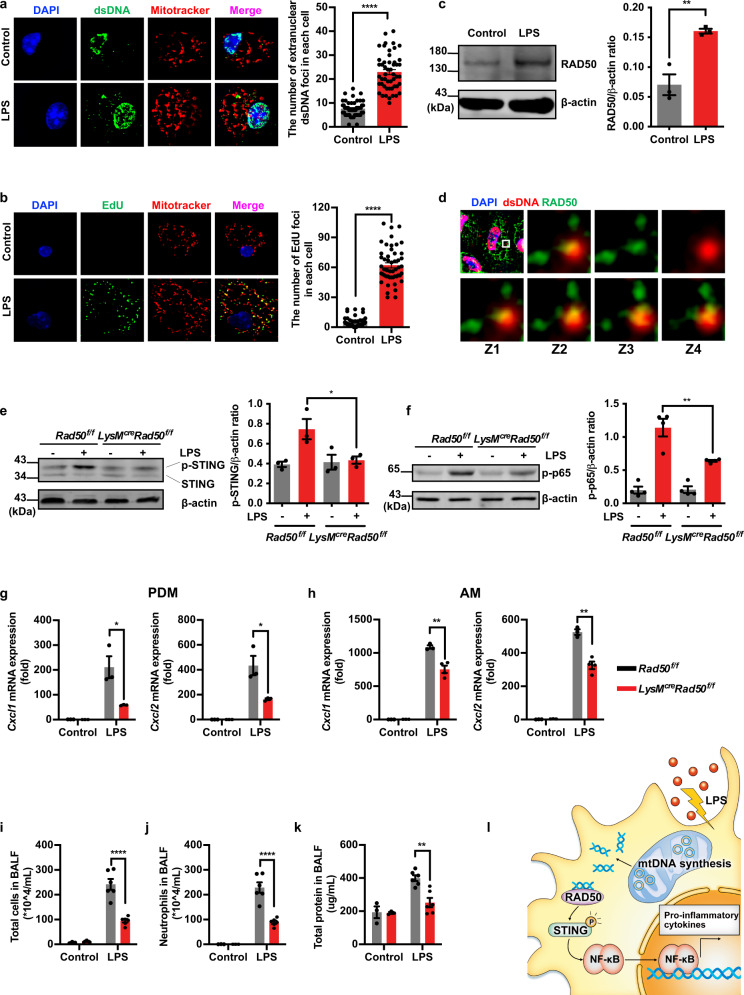
Emerging evidence suggests that mitochondrial DNA (mtDNA), the only form of extranuclear dsDNA in eukaryotic cells, is a major activator of inflammation when leaked out from stressed mitochondria2. Increased mtDNA level in plasma has been reported to be associated with incident ARDS in trauma and sepsis patients3. However, the mechanism of mtDNA-induced inflammation in ALI/ARDS still needs to be elucidated. Macrophages are the first responders of pulmonary innate immune system. Here, we observed that primary macrophages exhibited a higher extranuclear dsDNA level under LPS stimulation (Fig. 1a). LPS-TLR4 engagement has been reported to contribute to MyD88/TRIF-dependent signaling to induce mitochondrial deoxyribonucleotide kinase CMPK2 and dNTP hydrolase SAMHD1 expression in bone marrow-derived macrophages4. Then we investigated whether these dsDNA originated from the nucleus or mitochondria. Primary macrophages were treated with LPS in the presence of 5-ethynyl-2′-deoxyuridine (EdU) to measure mtDNA replication, and the result showed that LPS resulted in a rapid and remarkable increase in extranuclear DNA synthesis (Fig. 1b). Besides in mitochondira, these newly synthesized DNA also appeared in the cytosol (Fig. 1b). Moreover, LPS induced an increase of mitochondrial reactive oxygen species (ROS) level (supplementary Fig. S1). Additionally, we examined nuclear DNA damage markers γH2AX and RPA at the same time, and found that nuclear DNA fragmentation did not occur in the primary macrophages with LPS stimulation (supplementary Fig. S2). These findings further substantiated LPS induced nascent mtDNA synthesis, promoted its release into the cytoplasm, and triggered an increase in extranuclear dsDNA.
Fig. 1.
Rad50 deficiency alleviated LPS-induced inflammation in macrophages both in vitro and in vivo. a–h Primary macrophages from Rad50flox/flox or LysMcreRad50flox/flox mice were administrated with LPS for 6 h. a Representative structured illumination microscopy images of macrophages of extranuclear dsDNA and the statistical analysis of the number of extranuclear dsDNA foci in each macrophage. b Representative structured illumination microscopy images of macrophages stained with EdU (newly synthesized DNA) and mitotracker (mitochondria) were shown and the number of EdU foci in each macrophage was counted. (50 cells at least per group; N-SIM, original magnification, ×400). c The expression of RAD50 was determined by western blot. d Representative structured illumination microscopy images of primary macrophages, which were stimulated with LPS and stained with dsDNA and RAD50 antibodies, and the co-localized foci for dsDNA and RAD50 in various z-layers (z1–z4) in remaining images. e, f Western blot was performed to examine the activation of STING and the expression of p-p65. g, h Relative levels of Cxcl1 and Cxcl2 of peritoneal-derived macrophages (PDMs) and alveolar macrophages (AMs) were determined using quantitative PCR. i–k Rad50flox/flox and LysMcreRad50flox/flox mice (n = 3–6) were instilled intratracheally with LPS (1.25 mg kg−1) or the equivalent volume of PBS as control for 12 h. In the bronchoalveolar lavage fluid (BALF), i the total number of inflammatory cells was quantified, j the number of neutrophils was calculated, k BCA assay was used for measuring protein concentration in BALF. l Schematic overview of the function of RAD50 in LPS-induced ALI. All experiments were repeated at least three times. Data are presented as means ± SEMs. *p < 0.05, **p < 0.01, ***p < 0.001, ****p < 0.0001
In the cytoplasm, there are multiple DNA sensors, such as IFI16, MRE11/RAD50/NBS1 complex, to maintain a dsDNA-free environment1. We examined the expression of DNA sensor RAD50 in LPS-stimulated macrophages. As shown in Fig. 1c and d, LPS stimulation caused increased RAD50 expression, and the cytoplasmic delivery of dsDNA resulted in the recruitment of RAD50, with the formation of distinct dsDNA-RAD50 foci in the cytoplasm.
MRE11 was previously reported to be located in the mitochondria, and MRE11 deficiency causes mtDNA release into the cytosol5, but the function of RAD50 in the process of cytoplasmic mtDNA leakage in macrophages remains unrevealed. We crossed LysM-cre and Rad50flox/flox mice to generate LysMcreRad50flox/flox mice that exhibit deficient RAD50 in myeloid cells, including macrophages. The level of RAD50 was significantly decreased in macrophages from LysMcreRad50flox/flox mice (Supplementary Fig. S3). Primary macrophages from control mice (Rad50flox/flox) and LysMcreRad50flox/flox mice were stimulated with LPS in the presence or absence of the EdU. The results showed that LPS-induced extranuclear newly-synthesized DNA or extranuclear dsDNA was unaffected by RAD50 ablation (Supplementary Fig. S4a, b). Furthermore, RAD50 exhibited no significant protection on mitochondria injury, which included mitochondrial ROS level and morphological change (Supplementary Fig. S4c, d).
The detection of damaged and mislocalized DNA in the cytoplasm leads to activation of stimulator of interferon genes (STING) and downstream IRF3 and nuclear factor kappa-B (NF-κB) -mediated production of type I interferon and other pro-inflammatory cytokines1. We then investigated whether RAD50 mediates the activation of STING signaling pathway under LPS treatment. As shown in Fig. 1e, STING activation was increased, and those with Rad50 deficiency exhibited diminished activation of STING. Additionally, we observed that depletion of Rad50 reduced the phosphorylation of NF-κB p65 (Fig. 1f) and also decreased LPS-induced expression of cytokines Cxcl1/Cxcl2, which are regulated by the NF-κB signaling pathway (Fig. 1g, h). We also performed additional experiments about two other proteins of MRE11/RAD50/NBS1 complex and found that MRE11 was also potentially required for LPS-induced macrophage inflammation, whereas NBS1 was dispensable (Supplementary Fig. S5).
RAD50-dependent LPS-induced macrophage inflammatory response in vitro and relatively high Rad50 expression in macrophages (Supplementary Fig. S6) implicate the function of RAD50 in acute lung inflammation. After substantiating the LysM-cre gene editing exerted no effects (supplementary Fig. S7), LysMcreRad50flox/flox and Rad50flox/flox mice were used to establish an ALI model. Rad50 myeloid-specific knockout mice (LysMcreRad50flox/flox mice) exhibited a remarkable decrease of inflammatory cells in bronchoalveolar lavage fluid (BALF) compared to Rad50flox/flox mice (Fig. 1i, j). Similar protective effect on neutrophil recruitment was observed in an acute peritonitis model (Supplementary Fig. S8). We further found that the protective effects of Rad50 deficiency on inflammation in ALI were reflected as reduced concentration of total protein in BALF (Fig. 1k) and attenuated airway pathology (Supplementary Fig. S9a).
Increased expression of inflammatory cytokines is important features of ALI. The consequent inflammatory cascade triggered by these cytokines has a great effect on the development of ALI. Supplementary Fig. S9b and S9c showed a dramatic reduction in the pro-inflammatory mediators Cxcl1 and Cxcl2 in the lungs by conditionally RAD50 deletion in myeloid cells in vivo. Additionally, LysMcreRad50flox/flox mice exhibited decreased phosphorylated p65 (p-p65) expression and STING activation (Supplementary Fig. S9d). These data indicated that RAD50 facilitated LPS-induced inflammation in vivo.
Taken together, we determined a previously unknown function of DNA sensor RAD50 in LPS-facilitated inflammatory response in innate immunity. We found that LPS induced mtDNA synthesis and release, and caused increased cytosolic dsDNA, which was recognized by RAD50 in macrophages. This important process consequently contributed to the activation of STING and NF-κB signaling pathway, and promoted pro-inflammatory cytokines release. The attenuation of acute lung inflammation mediated by Rad50 deficiency suggested that DNA sensors might be promising therapeutic drug targets for the inhibition of systemic uncontrolled inflammatory response in ALI/ARDS.
Supplementary information
Acknowledgements
The authors are grateful for financial support from the National Natural Science Foundation of China (81870007, 81920108001, 81800024, 81900025, 81870023, 81700025), the Zhejiang Provincial Natural Science Foundation (LD19H160001), and the Zhejiang Provincial Program for the Cultivation of High‐Level Innovative Health Talents (2016‐63).
Data availability
The data during the current study are available from the corresponding author on a reasonable request.
Competing interests
The authors declare no competing interests.
Footnotes
These authors contributed equally: Xueqin Zhan, Rui Cui, Xinwei Geng
Contributor Information
Chao Zhang, Email: zhangchao001@zju.edu.cn.
Zhimin Chen, Email: chenzhimin6@163.com.
Songmin Ying, Email: yings@zju.edu.cn.
Supplementary information
The online version contains supplementary material available at 10.1038/s41392-021-00494-7.
References
- 1.Kondo T, et al. DNA damage sensor MRE11 recognizes cytosolic double-stranded DNA and induces type I interferon by regulating STING trafficking. Proc. Natl Acad. Sci. USA. 2013;110:2969–2674. doi: 10.1073/pnas.1222694110. [DOI] [PMC free article] [PubMed] [Google Scholar]
- 2.West AP, Shadel GS. Mitochondrial DNA in innate immune responses and inflammatory pathology. Nat. Rev. Immunol. 2017;17:363–375. doi: 10.1038/nri.2017.21. [DOI] [PMC free article] [PubMed] [Google Scholar]
- 3.Faust HE, et al. Plasma mitochondrial DNA levels are associated with ARDS in trauma and sepsis patients. Chest. 2020;157:67–76. doi: 10.1016/j.chest.2019.09.028. [DOI] [PMC free article] [PubMed] [Google Scholar]
- 4.Zhong Z, et al. New mitochondrial DNA synthesis enables NLRP3 inflammasome activation. Nature. 2018;560:198–203. doi: 10.1038/s41586-018-0372-z. [DOI] [PMC free article] [PubMed] [Google Scholar]
- 5.Li Y, et al. The DNA repair nuclease MRE11A functions as a mitochondrial protector and prevents T cell pyroptosis and tissue inflammation. Cell Metab. 2019;30:477–492. doi: 10.1016/j.cmet.2019.06.016. [DOI] [PMC free article] [PubMed] [Google Scholar]
Associated Data
This section collects any data citations, data availability statements, or supplementary materials included in this article.
Supplementary Materials
Data Availability Statement
The data during the current study are available from the corresponding author on a reasonable request.

