Abstract
Vascular anomalies, further classified into vascular tumors and malformations, often involve the head and neck region of children. These entities may raise diagnostic dilemmas, as they often demonstrate heterogenous and overlapping histologic features. The aim of this paper is to provide an overview of the common vascular anomalies in the head and neck region of children. Specific entities discussed include infantile hemangioma, congenital hemangioma, tufted angioma, kaposiform hemangioendothelioma, and various vascular malformations. Clinicopathologic features and associated molecular associations are reviewed.
Keywords: Infantile hemangioma, Congenital hemangioma, Kaposiform hemangioendothelioma, Tufted angioma, Vascular malformation
Introduction
Vascular anomalies, characterized by the abnormal development or growth of blood and/or lymphatic vessels, comprise a spectrum of diseases that have a wide range of complications and varying severity. Diagnosis can be challenging because of phenotype heterogeneity and overlapping symptoms among these conditions. Recognizing the need for uniformity, Mulliken and Glowacki first proposed a classification system in 1982 that characterized nonmalignant vascular lesions as hemangiomas and malformations [1]. With the intent of creating a universal system, the International Society for the Study of Vascular Anomalies (ISSVA) adopted and modified this classification in 1996 to divide vascular anomalies as tumors or malformations based on clinical and histologic characteristics. Since that time, ISSVA has revised this classification system multiple times to incorporate new clinical entities and genetic discoveries. The ISSVA classification system was most recently updated in 2018 and can be accessed at www.issva.org/classification. The most common vascular tumors in children include infantile hemangioma, congenital hemangioma, pyogenic granuloma, and kaposiform hemangioendothelioma. Vascular malformations are classified based on their flow dynamics as low-flow lesions (venous, lymphatic, and capillary malformations) and high-flow lesions (arteriovenous malformation, arteriovenous fistula, and arterial aneurysm/ectasia/stenosis). Combined vascular anomalies, most commonly lymphatic venous malformation, can also occur. Vascular anomalies can also be part of eponymous syndromes; one example is Klippel-Trenaunay syndrome, a capillary lymphatic venous malformation of an extremity with overgrowth. This article presents an overview of vascular anomalies in the pediatric population, highlighting cervicofacial lesions.
Infantile Hemangioma
Epidemiology and Clinical Manifestations
Infantile hemangioma (IH) is the most common tumor of infancy with a Caucasian female predominance and a predilection for the region of head and neck. A prospective American study documented an incidence rate of 4.5% [2]. Risk factors associated with IH include prematurity, low birth weight, and placental anomalies [2]. IH generally occurs several days or weeks after birth and grows until 6–8 months of age before it involutes. The most rapid and significant growth occurs between 1 and 3 months of age (proliferative phase). However, late growth of IHs can occur in children after 3 years of age; the risk factors for late growth include head and neck location, segmental morphology, and involvement of deep dermal/subcutaneous tissues [3].
The pathogenesis of IH has not been completely elucidated; it is hypothesized that the circulating endothelial progenitor cells migrate to locations in which conditions are favorable for growth, such as hypoxia and developmental field disturbances [4]. Jinnin et al. reported that enhanced vascular endothelial growth factor (VEGF) receptor-2 signaling in IH endothelial cells is caused by suppression of nuclear factor of activated T cell-dependent VEGF receptor-1 expression [5]. The VEGF receptor-2 signaling is associated with stabilization of hypoxia inducible factor (HIF)-1α which leads to increased expressions of VEGF, glucose transporter (GLUT)-1, insulin-like growth factor (IGF)-2, matrix metalloproteinase (MMP)-9 and stromal cell-derived factor (SDF)-1α in the endothelial cells [6, 7].
Based on the distribution, IHs are classified into focal, multifocal, segmental, and indeterminate. IHs can also be classified based on the depth of the lesions into superficial, deep, and mixed. Most IHs present as solitary cutaneous and/or subcutaneous lesions (Fig. 1a), but approximately 15% of the patients have multiple skin lesions, occasionally accompanied by multiple visceral lesions [8]. Segmental IHs are occasionally associated with structural abnormalities involving the upper body (PHACE syndrome: posterior fossa brain malformations, hemangiomas, arterial anomalies, cardiac anomalies and coarctation of the aorta, eye and endocrine abnormalities) and the lower body (LUMBAR syndrome: lower body hemangioma, urogenital anomalies, myelopathy, bony deformities, anorectal malformations, arterial and renal anomalies) [4].
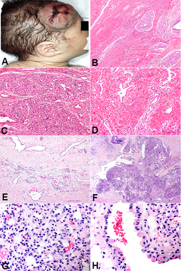
Fig. 1.
Clinical appearance of infantile hemangioma (IH) involving the forehead of an infant (a). Microscopically, proliferative phase of IH is characterized by a lobular proliferation (b; H&E 4X) of plump endothelial cells and pericytes forming back-to-back capillaries with minimal intervascular stroma (c; H&E 10X and d; H&E 20X). Involuting phase is marked by luminal enlargement, flattened endothelium, thickening of the basement membrane, and increased fibrous stroma (e; H&E 20X). In the involuting phase, fibrous tissue is the predominant component; the vascular channels are inconspicuous (f; H&E 20X). The endothelial cells in the proliferative and involuting phase of IH are immunoreactive for GLUT1 (g; 10X)
On ultrasound, IHs may be hyper or hypoechoic and they show hypervascularity on color flow Doppler. Proliferating IHs are iso to intermediate T1 with relatively hyperintense T2 signal on magnetic resonance imaging. Other important supporting findings include a serpiginous vessel with a prominent flow void denotes an arterial feeder and lack of perilesional edema [9].
Pathology
Superficial IHs appear red macroscopically with little to no discernible subcutaneous component, while deep IHs show bluish surface hue with no evidence of surface changes. The involution phase is marked by a gradual change in color from red to milky-white or gray, and the lesions gradually flatten and shrink from the center outward [4]. Histologically, the proliferative phase of IH is characterized by lobules of hypercellular vascular spaces lined by plump endothelial cells and surrounded by a layer of pericytes (Fig. 1b–d). Individual mitotic figures may also present. Meanwhile, the involuting phase of IH is marked by slightly dilated vascular channels lined by flattened endothelial cells and thickened basement membrane with scattered apoptotic bodies (Fig. 1e). Increased fibrous stroma is also identified in between these vascular channels (predominantly seen in the involuted phase, Fig. 1f). The endothelial cells are immunoreactive for GLUT-1 (Fig. 1g). GLUT-1 is a member of facilitative glucose transport proteins which is absent in the vasculature of normal skin and subcutis but is highly expressed in microvascular endothelial cells at sites of blood-tissue barriers such as placenta, retina, and central nervous systems [10]. Pericytes are highlighted by smooth muscle actin, while KI-67 immunostain may show proliferative index of 20% or greater in the endothelia and pericytes during the proliferative phase [11].
Treatment and Prognosis
Early intervention is recommended for patients with high risk IHs including lesions associated with life-threatening complications, functional impairment or ulceration, structural anomalies (PHACE or LUMBAR syndromes), and permanent disfigurement. Propranolol is the current treatment of choice for IHs requiring systemic therapy. The mechanism of action is thought to be through vasoconstriction, angiogenesis inhibition, induction of apoptosis, inhibition of nitric oxide production, and regulation of the renin-angiotensin system. Systemic corticosteroids may be used for patients in whom beta-blocker therapy is contraindicated. Topical timolol is used to manage select small and superficial IHs. Meanwhile, surgery and/or laser treatment are predominantly utilized to manage residual skin changes after involution and, occasionally, considered earlier to treat some IHs [4].
Although most IHs undergo spontaneous regression, they often leave behind residual skin changes such as telangiectasia, redundant skin, anetoderma, dyspigmentation, and scar. Moreover, malignant transformation of IH to angiosarcoma has been reported in a patient with multifocal lesions [12].
Congenital Hemangioma
Epidemiology and Clinical Manifestations
Congenital hemangioma (CH) is less frequently encountered compared to IH, with a reported prevalence rate of 0.3% [13]. CH is fully developed at birth with minimal or no growth post-partum. There is no sex predilection, and the most frequently involved sites include the head and neck (cutaneous lesions of forehead and cheek) and the extremities near joints [14, 15]. CH is usually solitary with rare reports of multifocal lesions [16]. Although most patients are asymptomatic, CH has been associated with heart failure, transient thrombocytopenia, and coagulopathy [17]. Based on its clinical evolution, CH is classified into rapidly-involuting CH (RICH), partially-involuting CH (PICH), and non-involuting CH (NICH) [18]. Additionally, Maguiness et al. reported a series of patients with RICH showing fetal involution, characterized by nearly regressed CH at birth [19].
Recently, Ayturk et al. identified mosaic missense mutations at amino acid 209 (Glu209) in G protein subunit alpha q (GNAQ) or G protein subunit alpha 11 (GNA11) genes in CH [20]. Other genetic, epigenetic, or environmental factors are thought to influence the postnatal behavior of these lesions as the mutations are seen in both RICH and NICH.
In RICH, 90% of involution occurs by 3 months of life with near total resolution by 14 months. Meanwhile, postnatal growth may be seen in up to 10% of NICH lesions [21]. CHs demonstrate similar ultrasound and MRI findings to IHs [9].
Pathology
The diagnosis of CH is often made clinically, and a biopsy is not always indicated [14]. RICH and NICH appear similar macroscopically; they are characterized by well-circumscribed, raised lesions with a central depression, scar, or ulceration surrounded by a rim of pallor (Fig. 2a) [11]. NICH occasionally demonstrates greater elevation and coarse telangiectasia. Microscopically, CH is well-circumscribed and composed of capillary lobules that may coalesce with one another (Fig. 2b–h). The lobular capillaries have plump endothelium with a thin basement membrane surrounded by a layer of pericytes. The endothelial cells may show a hobnail appearance (hyperchromatic nuclei with protrusion into the lumen) with occasional eosinophilic globules in the cytoplasm. In contrast to IH, endothelial cells in CH are negative for GLUT-1 immunohistochemical stain. A macroscopic central area of depression corresponds to a central core containing large central draining vessels (stellate central vessels) with less capillary lobules [8]. The residual lesion of RICH after involution is characterized by collapsed cutaneous and subcutaneous layer with loss of dermal and adipose tissue, often extending into the level of the muscle fascia. Prominent interlobular arteries and veins may be identified in NICH lesions of adolescents [11].
Fig. 2.
Congenital hemangioma presenting as a fully developed cutaneous lesion in a newborn (a). Histologic characteristics of rapidly involuting congenital hemangioma include a prominent fibrous tissue component (b; H&E 4X), focally preserved lobules of vascular proliferation (c; H&E 10X) and residual draining vessels (d; H&E 10X). Rapidly involuting congenital hemangioma with fetal involution demonstrates similar findings (nearly involuted lesion) at birth; note the prominent feeding vessels and fibrous tissue (e; H&E 4X). Noninvoluting congenital hemangioma is characterized by lobules (f; H&E 4X) of thin walled capillaries lined by hobnailed endothelium (g; H&E 20X); endothelial cytoplasmic globules are occasionally present (h; H&E 20X)
Treatment and Prognosis
In addition to the aforementioned complications, rare cases of ulcerated CH have been associated with episodes of severe bleeding [22]. Complicated CH cases may be managed with surgical resection or embolization. Otherwise, observation is the treatment of choice for asymptomatic lesions. Unlike in IH, propranolol treatment is ineffective in managing CHs [22].
Tufted Angioma
Epidemiology and Clinical Manifestations
Tufted angioma (TA), previously known as angioblastoma and progressive capillary hemangioma, is an uncommon benign cutaneous vascular neoplasm mainly presenting in children and young adults [23]. TA may be congenital or acquired, and approximately 50% of the cases are diagnosed in the first year of life [23, 24]. Males are more frequently affected and the sites of predilection include the trunk, neck, and limbs [11, 14]. In the head and neck region, the sites of involvement include the eyelids, auricle, lips, and oral mucosa [25]. The lesions most frequently manifest as solitary tumors or infiltrating plaques which are dusky red or violaceous (Fig. 3a), occasionally associated with hyperhidrosis or hypertrichosis [26]. TA lesions usually spread slowly, stabilize, and rarely regress [8]. Spontaneous regression is usually observed in congenital cases [18]. Clinical classifications of TA include uncomplicated cases, lesions complicated by Kasabach-Merritt phenomenon (KMP), and those without thrombocytopenia but with chronic coagulopathy [23]. KMP is a life-threatening condition characterized by severe thrombocytopenia and hypofibrinogenemia secondary to intralesional trapping of platelets with associated platelet activation and fibrinogen consumption [27]. Clinically and pathologically, TA is closely related to kaposiform hemangioendothelioma (KHE). These entities are currently considered to be part of the same spectrum with TA represents a mild and superficial form of KHE. Imaging studies are rarely performed in TA [9].
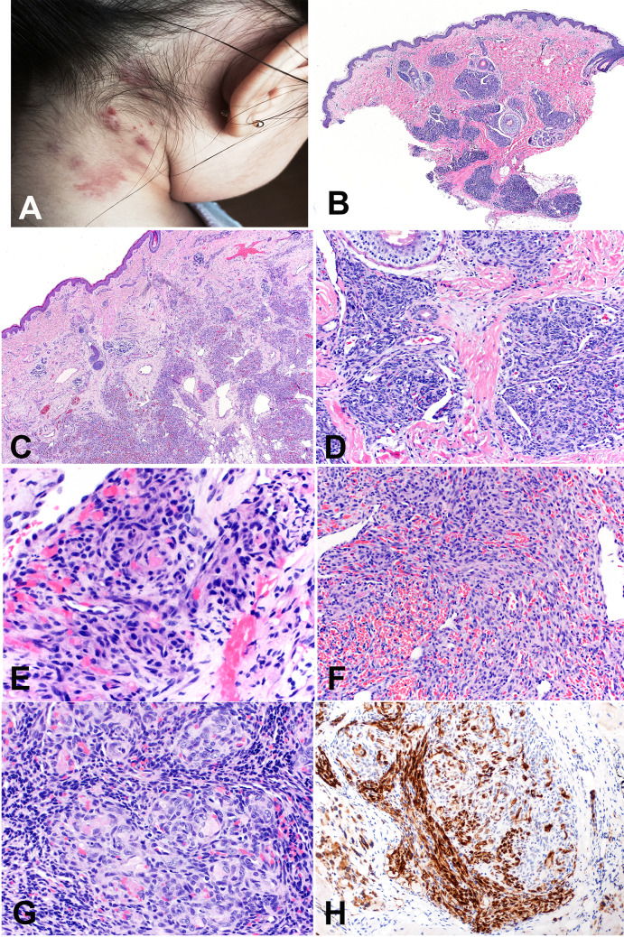
Fig. 3.
Tufted angioma (TA) manifesting as red papules and macules on the posterior neck (a). Histologically, TA shows discrete lobules of vascular channels in the dermis (b; H&E 4X). Kaposiform hemangioendothelioma (KHE) demonstrates coalescing nodules (c; H&E 4X) of moderately plump and spindle endothelial cells arranged in fascicles (d; H&E 10X). Fibrin thrombi are occasionally identified (e; H&E 20X). The spindle cells often form slit-like lumina containing red blood cells (f; H&E 10X) and clusters of rounded cells creating a glomeruloid appearance (g; H&E 10X). The spindle cells of KHE demonstrate focal immunoreactivity for D2-40 (h; H&E 10X)
Pathology
Microscopically, TA is characterized by dermal/subcutaneous lobules of capillaries with a cannonball distribution, and lined by slightly plump and occasionally spindle endothelial cells (Fig. 3b) [11]. The endothelial cells are immunoreactive for endothelial markers (CD31, CD34, ERG, FLI-1, and von Willebrand factor), and focally positive for lymphatic markers (D2-40 and PROX-1 immunohistochemical stains) [28]. The lobules are often surrounded by thin-walled draining channels. Fibrosis can be seen in the intervening dermal collagen and subcutaneous tissue [8]. In addition, histologic features such as microthrombi, hemosiderin deposits, and reactive stroma may be seen in TA. Because of its overlapping histologic features with KHE, a firm histopathologic diagnosis of TA is best avoided, and appropriate management should be based on clinical evolution of the lesion [11].
Treatment and Prognosis
The management of TA is based on the presence of KMP, extent and location of the tumor, and associated symptoms [29]. Observation is generally appropriate because of the predominantly benign nature of this entity. However, careful monitoring, especially in early childhood, for detection of complications such as KMP is essential [23]. Uncomplicated lesions have been successfully treated with monotherapy, low-dose aspirin. The first-line treatment for complicated lesions is oral corticosteroids followed by vincristine, interferon, radiotherapy, and surgical interventions (resection and embolization) [30]. Oral sirolimus, the mammalian target of rapamycin (mTOR) inhibitor, has been successfully used in refractory cases of TA [31]. Meanwhile, topical sirolimus has been reported to be effective in uncomplicated lesions [32].
Kaposiform Hemangioendothelioma
Epidemiology and Clinical Manifestations
KHE is an uncommon locally aggressive or borderline vascular tumor primarily seen in neonates and children [33, 34]. The incidence in the United States is less than 1 per 100,000 children [33]. It usually involves the extremities, followed by trunk, head and neck region, and retroperitoneum. Common sites of involvement in the head and neck include neck, face, scalp and tympanomastoid [35]. Clinically, it manifests as a cutaneous lesion infiltrating into the adjacent subcutaneous tissue, fascia, muscle, or bone. Reported visceral involvements include thymus, mediastinum, spleen, and pancreas [34]. KHE often shows rapid growth and stabilizes over time, but only rarely regresses despite treatment [36]. Similar to TA, one of the most significant complications of KHE is KMP. The architectural features of KHE favor turbulent blood flow and platelet activation, which explains the risk factor to develop KMP [34]. KMP is identified in approximately 70% cases of KHE, and the strongest risk factors include young age, lesions greater than 8 cm, and/or involvement of the retroperitoneum, mediastinum, and multiple anatomical regions [33]. KHE is rarely associated with lymphangiomatosis or congenital lymphedema (Milroy disease) [37]. Imaging studies are sometimes helpful in distinguishing KHE from TA. On ultrasound, KHE is infiltrative and more likely to be thick, hypoechoic, ill-defined and richly vascular than TA. Meanwhile, KHE is more likely to involve multiple tissue planes and exhibit heterogeneous enhancement after contrast on magnetic resonance imaging than TA [38].
Pathology
Macroscopically, cutaneous KHE is characterized by a purplish to crimson, irregular, violaceous, often plaque-like discolored area [39]. Histologically, KHE is characterized by confluent vascular lobules comprised of hypercellular, spindled endothelial cells. Similar to TA, these lobules may exhibit a cannonball pattern (Fig. 3c–g). In addition, the spindle cells occasionally surround the epithelioid endothelial cells creating a glomeruloid appearance [34]. Elongated slit-like lymphatic channels are often present at the periphery of the vascular lobules. Platelet microthrombi, extravasated red blood cells, and hemosiderin pigments are also identified in KHE. Although not specific, lymphatic marker (D2-40 and PROX-1) immunoreactivity within the neoplastic spindled endothelial cells would support the diagnosis of KHE (Fig. 3h) [28]. The epithelioid endothelial cells in the center of these lobules are generally positive for endothelial markers (CD31, CD34, ERG, FLI-1, and von Willebrand factor), while negative for the lymphatic markers.
Treatment and Prognosis
Resection is the definitive treatment for KHE. However, resection is often unattainable due to the extent of the lesion. Available treatments include corticosteroids, conventional single or combination chemotherapies (vincristine, cyclophosphamide, actinomycin, doxorubicin, and gemcitabline), radiation therapy, and anti-fibrinolytic therapy [34]. Sirolimus has been reported to be the most effective treatment to reduce tumor size in inoperable cases [40]. Rare cases of regional perinodal soft tissue metastasis have been reported; however, there are no known cases of distant metastasis [41]. KHE-associated mortality rate is reported to range from 12 to 24%, more prominent in patients who develop KMP [42].
Vascular Malformations
Cutaneous Capillary/Venulocapillary Malformations (Port-Wine Stains)
Port-wine stains (PWSs) are congenital cutaneous vascular malformations which occur in 0.3% of all newborns without evidence of sex predilection [8]. They usually manifest as well-demarcated geographic stains with unilateral and segmental distribution. The lesions generally involve the head and neck, within the distribution of trigeminal nerve. The lesions do not fade over time and may become nodular, raised, or darker as patients grow older. Approximately 15–20% of children with a facial PWS involving ophthalmic trigeminal dermatome are at risk for Sturge-Weber syndrome, a neurocutaneous disease with ipsilateral leptomeningeal and choroid venulocapillary malformations [8, 43]. PWS has been associated with somatic mutations involving GNAQ, phosphatidylinositol 3-kinase (PI3K) and activation of mitogen-activated protein kinase (MAPK) and PI3K pathways [43]. The imaging studies of isolated lesions may be normal or demonstrate mild skin thickening and enhancement [21]. The current treatment of choice is pulsed dye laser. In addition, anti-angiogenic medications such as anti-MAPK or PI3K have shown some promising results [43].
Microscopically, PWS is characterized by vascular ectasia which is more prominent when patients are approximately 10 years of age [8]. In younger children, the lesion may demonstrate only rare dilated capillaries in the papillary dermis [11]. Over time, the dermal vessels (of venulocapillary size) show progressive dilatation and are haphazardly arranged. These vessels are lined by thin, elongated endothelial cells associated with peripheral pericytes [8]. Mitotic activity is usually inconspicuous. Over time, vessel walls may become thickened and fibrotic. The vascular channels may extend into the deep dermis, subcutis, skeletal muscle, and bone. Hyperplasia of the epidermis and dermal appendages with epidermal and mesenchymal hamartomatous changes may also occur [11].
Venous Malformations
Venous malformations (VMs) are generally solitary lesions, either segmental or localized. They affect both sexes equally, and almost 50% of VMs involve the head and neck region [44, 45]. Superficial lesions impart a blue discoloration to skin and mucosal surfaces (Fig. 4a); they tend to be soft and compressible. Extensive lesions may be complicated by chronic, low-grade consumptive coagulopathy and phleboliths [8]. The lesions grow with the patients and they generally do not show spontaneous involution. VMs are sporadic in 90% of patients, and approximately 50% of them have a somatic mutation involving TEK receptor tyrosine kinase (TEK) gene [44, 46]. Castel et al. reported mutations in phosphatidylinositol-4,5-bisphosphate 3-kinase catalytic subunit alpha (PIK3CA) and PI3K/AKT pathway-related genes in about 30% of VM that lack TEK alterations [47]. Multiple VMs have been associated with familial mucocutaneous disorder and blue rubber bleb nevus syndrome (cutaneous and gastrointestinal tract involvement) [8]. VMs appear as multiple tubules with or without detectable flow on ultrasound. On MRI, the lesions appear T2 hyperintense and variable on T1. Phleboliths, when present, are specific differentiating features and best detected on CT [9]. Management includes anti-inflammatory medications, low-molecular-weight heparin, sclerotherapy and surgical resection [21].
Fig. 4.
Venous malformation shows raised blue nodules involving the oral mucosa (a). Microscopic examination demonstrates malformed venous-type channels of varying size with luminal thrombi (b; H&E 4X and c; H&E 10X). Lymphatic malformation presenting as cystic hygroma (macrocystic lymphatic malformation) in an infant (d). Histologically, the lesion is characterized by malformed lymphatic channels with scattered lymphocytic infiltrate (e; H&E 4X); the endothelial cells are immunoreactive for D2-40 (f; 4x). Clinical appearance of arteriovenous malformation in the head and neck region (g). The lesion demonstrates malformed arteries (h; H&E 4X) and thin-walled vessels embedded in the fibroadipose tissue (i; H&E 4X)
Histologically, VMs are characterized by irregular and malformed venous channels lined by flat endothelial cells and surrounded by a variable amount of smooth muscle (Fig. 4b) [8, 11]. Internal elastic membrane is absent, while luminal thrombi and phleboliths are occasionally identified (Fig. 4c). The lesions are mitotically inactive, and small venules and capillaries might be noted. Moreover, intravascular papillary endothelial hyperplasia is often present [8].
Lymphatic Malformations
Lymphatic malformations (LMs) are usually identified at birth or within the first two years of life [8]. The lesions often involve skin/cutis and less frequently soft tissue or viscera. Approximately three-fourth of the cases occur in the head and neck region, with anterior neck as the classic location [9, 21]. Clinically, LMs have been classified into macrocystic (≥ 0.5 cm), microcystic, and combined lesions. Macrocystic LMs, often called cystic hygromas, usually arise in the loose connective tissue of the neck, axilla, chest wall, and groin (Fig. 4d). Meanwhile, the more common microcystic LMs may occur anywhere. Lymphangiomatosis is the term used for an extensive or generalized involvement. LMs have also been associated with congenital lipomatous overgrowth, vascular malformations, epidermal nevi, scoliosis/spinal/skeletal anomalies (CLOVES) syndrome, Klippel-Trenaunay syndrome, and Gorham-Stout disease [11, 48]. Somatic PIK3CA mutations have been identified in isolated and syndromic LMs [48]. LMs appear as cystic structures without flow on ultrasound. On MRI, the lesions show variable T1 signal and high T2 signal with minimal peripheral enhancement [9]. The treatment of choice for macrocystic LMs is sclerotherapy with irritant, while microcystic and combined LMs may require extensive surgeries or laser therapy [8].
Macrocystic LMs are microscopically characterized by dilated lymphatic channels with thick and irregular coats of smooth muscle. Proteinaceous material with scattered lymphocytes and macrophages is generally seen in the vessel lumens. Blood and organizing thrombi may also be identified due to previous injury or communication with the venous system. Lymphocytic infiltrate is often present in the surrounding connective tissue. Microcystic LMs demonstrate smaller vessels lined by flattened and occasionally hobnailed endothelial cells (Fig. 4e). These vessels are rimmed by rare pericytes and little or no smooth muscle. In cutaneous lesions (lymphangioma circumscriptum), the overlying epidermis often demonstrates verruciform hyperplasia [8, 11]. Lymphatic immunomarkers, such as D2-40 and PROX1, are helpful to confirm the diagnosis (Fig. 4f).
Arteriovenous Malformations
Arteriovenous malformations (AVMs) are usually present at birth and associated with clinically significant arteriovenous shunting. The head and neck region (Fig. 4g), including brain, is the most common site of involvement [11]. Superficial lesions may raise skin temperature and produce palpable pulsation. In addition, hemorrhage and local tissue ischemia secondary to arterial steal are often seen [8]. The lesions tend to show progression over time due to collateral arterial flow. Most AVMs are sporadic, however a subset of these lesions are part of inherited syndromes (hereditary hemorrhagic telangiectasia, Parkes Weber syndrome, and capillary malformation/CM-AVM) [11]. AVMs have been associated with somatic mutations involving mitogen-activated protein kinase kinase 1 gene (MAP2K1) [49]. On ultrasound, these lesions demonstrate high flow. The lesions show flow voids on both T1W and T2W sequences [9]. Treatment modalities include embolization and surgical resection [9, 44].
Histologically, the actual arteriovenous shunts are difficult to identify (extensive sectioning is often required). The lesions often demonstrate arterioles, capillaries, and venules within a densely fibrous/fibromyxoid background intermixed with large and tortuous arteries and thick-walled veins (Fig. 4h, i). Luminal thrombi and intravascular papillary endothelial hyperplasia are absent, in keeping with the abnormal high venous flow and pressure [8]. Some arteries demonstrate disruption of the internal elastic lamina, while the veins often show intimal and adventitial fibrosis [11]. Isolated foci of mitotically active small vascular proliferation may be identified and are prominent in deep intramuscular AVMs, particularly involving tongue; these findings maybe mistaken for hemangiomas [8].
Update on Molecular Genetics
Recent genetic studies have advanced our understanding of the mechanisms involved in the pathogenesis of vascular tumors and malformations [50]. These findings may suggest new targeted therapies in some of these lesions. The causal genes of selected entities are summarized in Table 1. For the complete list of vascular anomalies and their associated genes, please review the ISSVA document (https://www.issva.org/UserFiles/file/ISSVA-Classification-2018.pdf).
Table 1.
Vascular anomalies with associated causal genes
| Vascular anomalies | Genes |
|---|---|
| Vascular tumors | |
| Benign | |
| Congenital hemangioma | GNAQ/GNA11 |
| Tufted angioma | GNA14 |
| Spindle-cell hemangioma | IDH1/IDH2 |
| Epithelioid hemangioma | FOS |
| Borderline | |
| Kaposiform hemangioendothelioma | GNA14 |
| Pseudomyogenic hemangioendothelioma | FOSB |
| Malignant | |
| Angiosarcoma | MYC (post-radiation) |
| Epithelioid hemangioendothelioma | CAMTA1/TFE3 |
| Vascular malformations | |
| Cutaneous capillary malformations (PWS) | GNAQ/GNA11/PI3K |
| Venous malformation | TEK/PIK3CA |
| Glomuvenous malformation | Glomulin |
| Verrucous venous malformation | MAP3K3 |
| Arteriovenous malformation | MAP2K1 (sporadic) |
| Lymphatic malformation | PIK3CA |
PWS port-wine stain, GNAQ G protein subunit alpha q, GNA11 G protein subunit alpha 11, GNA14 G protein subunit alpha 14, IDH1 isocitrate dehydrogenase 1, IDH2 isocitrate dehydrogenase 2, FOS Fos proto-oncogene, FOSB FosB proto-oncogene, MYC MYC proto-oncogene, CAMTA1 calmodulin binding transcription activator 1, TFE3 transcription factor E3, PI3K phosphatidylinositol 3-kinase, PIK3CA phosphatidylinositol-4,5-bisphosphate 3-kinase catalytic subunit alpha, TEK TEK receptor tyrosine kinase, MAP3K3 mitogen-activated protein kinase kinase kinase 3, MAP2K1 mitogen-activated protein kinase kinase 1
Conclusion
Vascular anomalies are not infrequently identified in the head and neck of children. Pathologists are encouraged to utilize the appropriate diagnostic terms based on the ISSVA classification system. Clinical history, imaging studies, and pathologic features are important factors to render an accurate diagnosis. We highlighted the most common vascular tumors and malformations. These entities should be distinguished from the frequently seen lobular capillary hemangioma (pyogenic granuloma) and granulation tissue which may be mistaken for a vascular lesion. Finally, rare malignant entities, such as epithelioid hemangioendothelioma and angiosarcoma, are beyond the scope of this paper.
Funding
No funding obtained.
Compliance with Ethical Standards
Conflict of interest
No conflict of interest to disclose.
Ethical Approval
This article does not contain any studies with human participants or animals performed by any of the authors.
Research Involving Human and/or Animal Participants
This article does not contain any studies with human participants or animals performed by any of the author.
Consent for Publication
The participant has given consent to the submission of the case report to the journal.
Footnotes
Publisher's Note
Springer Nature remains neutral with regard to jurisdictional claims in published maps and institutional affiliations.
References
- 1.Mulliken JB, Glowacki J. Hemangiomas and vascular malformations in infants and children: a classification based on endothelial characteristics. Plast Reconstr Surg. 1982;69:412–422. doi: 10.1097/00006534-198203000-00002. [DOI] [PubMed] [Google Scholar]
- 2.Munden A, Butschek R, Tom WL, Marshall JS, Poeltler DM, Krohne SE, et al. Prospective study of infantile haemangiomas: incidence, clinical characteristics and association with placental anomalies. Br J Dermatol. 2014;170:907–913. doi: 10.1111/bjd.12804. [DOI] [PMC free article] [PubMed] [Google Scholar]
- 3.O’Brien KF, Shah SD, Pope E, Phillips RJ, Blei F, Baselga E, et al. Late growth of infantile hemangiomas in children >3 years of age: a retrospective study. J Am Acad Dermatol. 2019;80:493–499. doi: 10.1016/j.jaad.2018.07.061. [DOI] [PubMed] [Google Scholar]
- 4.Krowchuk DP, Frieden IJ, Mancini AJ, Darrow DH, Blei F, Greene AK, et al. Clinical practice guideline for the management of infantile hemangiomas. Pediatrics. 2019;143:e20183475. doi: 10.1542/peds.2018-3475. [DOI] [PubMed] [Google Scholar]
- 5.Jinnin M, Medici D, Park L, Limaye N, Liu Y, Boscolo E, et al. Suppressed NFAT-dependent VEGFR1 expression and constitutive VEGFR2 signaling in infantile hemangioma. Nat Med. 2008;14:1236–1246. doi: 10.1038/nm.1877. [DOI] [PMC free article] [PubMed] [Google Scholar]
- 6.Boye E, Olsen BR. Signaling mechanisms in infantile hemangioma. Curr Opin Hematol. 2009;16:202–208. doi: 10.1097/MOH.0b013e32832a07ff. [DOI] [PMC free article] [PubMed] [Google Scholar]
- 7.Iyer NV, Kotch LE, Agani F, Leung SW, Laughner E, Wenger RH, et al. Cellular and developmental control of O2 homeostasis by hypoxia-inducible factor 1 alpha. Genes Dev. 1998;12:149–162. doi: 10.1101/gad.12.2.149. [DOI] [PMC free article] [PubMed] [Google Scholar]
- 8.North PE. Pediatric vascular tumors and malformations. Surg Pathol Clin. 2010;3:455–494. doi: 10.1016/j.path.2010.07.002. [DOI] [PubMed] [Google Scholar]
- 9.Brahmbhatt AN, Skalski KA, Bhatt AA. Vascular lesions of the head and neck: an update on classification and imaging review. Insights Imaging. 2020;11:19. doi: 10.1186/s13244-019-0818-3. [DOI] [PMC free article] [PubMed] [Google Scholar]
- 10.North PE, Waner M, Mizeracki A, Mihm MC. GLUT1: a newly discovered immunohistochemical marker for juvenile hemangiomas. Hum Pathol. 2000;31:11–22. doi: 10.1016/s0046-8177(00)80192-6. [DOI] [PubMed] [Google Scholar]
- 11.Gupta A, Kozakewich H. Histopathology of vascular anomalies. Clin Plast Surg. 2011;38:31–44. doi: 10.1016/j.cps.2010.08.007. [DOI] [PubMed] [Google Scholar]
- 12.Jeng MR, Fuh B, Blatt J, Gupta A, Merrow AC, Hammill A, et al. Malignant transformation of infantile hemangioma to angiosarcoma: response to chemotherapy with bevacizumab. Pediatr Blood Cancer. 2014;61:2115–2117. doi: 10.1002/pbc.25067. [DOI] [PubMed] [Google Scholar]
- 13.Kanada KN, Merin MR, Munden A, Friedlander SF. A prospective study of cutaneous findings in newborns in the United States: correlation with race, ethnicity, and gestational status using updated classification and nomenclature. J Pediatr. 2012;161:240–245. doi: 10.1016/j.jpeds.2012.02.052. [DOI] [PubMed] [Google Scholar]
- 14.Bruder E, Alaggio R, Kozakewich HPW, Jundt G, Dehner LP, Coffin CM. Vascular and perivascular lesions of skin and soft tissues in children and adolescents. Pediatr Dev Pathol. 2012;15:26–61. doi: 10.2350/11-11-1119-PB.1. [DOI] [PubMed] [Google Scholar]
- 15.Berenguer B, Mulliken JB, Enjolras O, Boon LM, Wassef M, Josset P, et al. Rapidly involuting congenital hemangioma: clinical and histopathologic features. Pediatr Dev Pathol. 2003;6:495–510. doi: 10.1007/s10024-003-2134-6. [DOI] [PubMed] [Google Scholar]
- 16.Blumenthal S, Stefanko N, Cossio M-L, Coulombe J, McCuaig C, Dubois J, et al. Multifocal congenital hemangioma: expanding the pathogenesis of “neonatal hemangiomatosis”. Pediatr Dermatol. 2019;36:720–722. doi: 10.1111/pde.13814. [DOI] [PubMed] [Google Scholar]
- 17.Baselga E, Cordisco MR, Garzon M, Lee MT, Alomar A, Blei F. Rapidly involuting congenital haemangioma associated with transient thrombocytopenia and coagulopathy: a case series. Br J Dermatol. 2008;158:1363–1370. doi: 10.1111/j.1365-2133.2008.08546.x. [DOI] [PubMed] [Google Scholar]
- 18.Wassef M, Blei F, Adams D, Alomari A, Baselga E, Berenstein A, et al. Vascular anomalies classification: recommendations from the International Society for the Study of Vascular Anomalies. Pediatrics. 2015;136:e203–214. doi: 10.1542/peds.2014-3673. [DOI] [PubMed] [Google Scholar]
- 19.Maguiness S, Uihlein LC, Liang MG, Kozakewich H, Mulliken JB. Rapidly involuting congenital hemangioma with fetal involution. Pediatr Dermatol. 2015;32:321–326. doi: 10.1111/pde.12356. [DOI] [PubMed] [Google Scholar]
- 20.Ayturk UM, Couto JA, Hann S, Mulliken JB, Williams KL, Huang AY, et al. Somatic activating mutations in GNAQ and GNA11 are associated with congenital hemangioma. Am J Hum Genet. 2016;98:1271. doi: 10.1016/j.ajhg.2016.05.010. [DOI] [PMC free article] [PubMed] [Google Scholar]
- 21.Merrow AC, Gupta A, Patel MN, Adams DM. 2014 Revised classification of vascular lesions from the International Society for the Study of Vascular Anomalies: radiologic-pathologic update. Radiographics. 2016;36:1494–1516. doi: 10.1148/rg.2016150197. [DOI] [PubMed] [Google Scholar]
- 22.Vildy S, Macher J, Abasq-Thomas C, Le Rouzic-Dartoy C, Brunelle F, Hamel-Teillac D, et al. Life-threatening hemorrhaging in neonatal ulcerated congenital hemangioma: two case reports. JAMA Dermatol. 2015;151:422–425. doi: 10.1001/jamadermatol.2014.3666. [DOI] [PubMed] [Google Scholar]
- 23.Osio A, Fraitag S, Hadj-Rabia S, Bodemer C, de Prost Y, Hamel-Teillac D. Clinical spectrum of tufted angiomas in childhood: a report of 13 cases and a review of the literature. Arch Dermatol. 2010;146:758–763. doi: 10.1001/archdermatol.2010.135. [DOI] [PubMed] [Google Scholar]
- 24.Feito-Rodríguez M, Sánchez-Orta A, De Lucas R, López-Gutiérrez JC, Ruiz-Bravo E, Baselga E, et al. Congenital tufted angioma: a multicenter retrospective study of 30 cases. Pediatr Dermatol. 2018;35:808–816. doi: 10.1111/pde.13683. [DOI] [PubMed] [Google Scholar]
- 25.Häußler SM, Uecker FC, Knopke S, Roßner F, Olze H, Böttcher A. Tufted angiomas of the head and neck. HNO. 2018;66:1–6. [Google Scholar]
- 26.Herron MD, Coffin CM, Vanderhooft SL. Tufted angiomas: variability of the clinical morphology. Pediatr Dermatol. 2002;19:394–401. doi: 10.1046/j.1525-1470.2002.00113.x. [DOI] [PubMed] [Google Scholar]
- 27.Mahajan P, Margolin J, Iacobas I. Kasabach-Merritt phenomenon: classic presentation and management options. Clin Med Insights Blood Disord. 2017 doi: 10.1177/1179545X17699849. [DOI] [PMC free article] [PubMed] [Google Scholar]
- 28.Le Huu AR, Jokinen CH, Rubin BP, Ruben BP, Mihm MC, Weiss SW, et al. Expression of prox1, lymphatic endothelial nuclear transcription factor, in kaposiform hemangioendothelioma and tufted angioma. Am J Surg Pathol. 2010;34:1563–1573. doi: 10.1097/PAS.0b013e3181f6076f. [DOI] [PubMed] [Google Scholar]
- 29.Croteau SE, Gupta D. The clinical spectrum of kaposiform hemangioendothelioma and tufted angioma. Semin Cutan Med Surg. 2016;35:147–152. doi: 10.12788/j.sder.2016.048. [DOI] [PubMed] [Google Scholar]
- 30.Liu XH, Li JY, Qu XH, Yan WL, Zhang L, Yang C, et al. Treatment of kaposiform hemangioendothelioma and tufted angioma. Int J Cancer. 2016;139:1658–1666. doi: 10.1002/ijc.30216. [DOI] [PubMed] [Google Scholar]
- 31.Tasani M, Ancliff P, Glover M. Sirolimus therapy for children with problematic kaposiform haemangioendothelioma and tufted angioma. Br J Dermatol. 2017;177:e344–e346. doi: 10.1111/bjd.15640. [DOI] [PubMed] [Google Scholar]
- 32.Burleigh A, Kanigsberg N, Lam JM. Topical rapamycin (sirolimus) for the treatment of uncomplicated tufted angiomas in two children and review of the literature. Pediatr Dermatol. 2018;35:e286–e290. doi: 10.1111/pde.13596. [DOI] [PubMed] [Google Scholar]
- 33.Croteau SE, Liang MG, Kozakewich HP, Alomari AI, Fishman SJ, Mulliken JB, et al. Kaposiform hemangioendothelioma: atypical features and risks of Kasabach-Merritt phenomenon in 107 referrals. J Pediatr. 2013;162:142–147. doi: 10.1016/j.jpeds.2012.06.044. [DOI] [PMC free article] [PubMed] [Google Scholar]
- 34.Putra J, Gupta A. Kaposiform haemangioendothelioma: a review with emphasis on histological differential diagnosis. Pathology. 2017;49:356–362. doi: 10.1016/j.pathol.2017.03.001. [DOI] [PubMed] [Google Scholar]
- 35.Wong BLK, Lee VNY, Tikka T, Kim D, Dwivedi RC. Kaposiform haemangioendothelioma of the head and neck. Crit Rev Oncol Hematol. 2016;104:156–168. doi: 10.1016/j.critrevonc.2016.06.005. [DOI] [PubMed] [Google Scholar]
- 36.Enjolras O, Mulliken JB, Boon LM, Wassef M, Kozakewich HP, Burrows PE. Noninvoluting congenital hemangioma: a rare cutaneous vascular anomaly. Plast Reconstr Surg. 2001;107:1647–1654. doi: 10.1097/00006534-200106000-00002. [DOI] [PubMed] [Google Scholar]
- 37.Méndez R, Capdevila A, Tellado MG, Somoza I, Liras J, Pais E, et al. Kaposiform hemangioendothelioma associated with Milroy’s disease (primary hereditary lymphedema) J Pediatr Surg. 2003;38:E9–12. doi: 10.1016/s0022-3468(03)00213-6. [DOI] [PubMed] [Google Scholar]
- 38.Calvo-Garcia MA, Kline-Fath BM, Adams DM, Gupta A, Koch BL, Lim F-Y, et al. Imaging evaluation of fetal vascular anomalies. Pediatr Radiol. 2015;45:1218–1229. doi: 10.1007/s00247-014-3248-x. [DOI] [PubMed] [Google Scholar]
- 39.Mac-Moune Lai F, To KF, Choi PC, Leung PC, Kumta SM, Yuen PP, et al. Kaposiform hemangioendothelioma: five patients with cutaneous lesion and long follow-up. Mod Pathol. 2001;14:1087–1092. doi: 10.1038/modpathol.3880441. [DOI] [PubMed] [Google Scholar]
- 40.Adams DM, Trenor CC, Hammill AM, Vinks AA, Patel MN, Chaudry G, et al. Efficacy and safety of sirolimus in the treatment of complicated vascular anomalies. Pediatrics. 2016;137:e20153257. doi: 10.1542/peds.2015-3257. [DOI] [PMC free article] [PubMed] [Google Scholar]
- 41.Lyons LL, North PE, Mac-Moune Lai F, Stoler MH, Folpe AL, Weiss SW. Kaposiform hemangioendothelioma: a study of 33 cases emphasizing its pathologic, immunophenotypic, and biologic uniqueness from juvenile hemangioma. Am J Surg Pathol. 2004;28:559–568. doi: 10.1097/00000478-200405000-00001. [DOI] [PubMed] [Google Scholar]
- 42.Hauer J, Graubner U, Konstantopoulos N, Schmidt S, Pfluger T, Schmid I. Effective treatment of kaposiform hemangioendotheliomas associated with Kasabach-Merritt phenomenon using four-drug regimen. Pediatr Blood Cancer. 2007;49:852–854. doi: 10.1002/pbc.20750. [DOI] [PubMed] [Google Scholar]
- 43.Nguyen V, Hochman M, Mihm MC, Nelson JS, Tan W. The pathogenesis of port wine stain and Sturge Weber syndrome: complex interactions between genetic alterations and aberrant MAPK and PI3K activation. Int J Mol Sci. 2019;20:2243. doi: 10.3390/ijms20092243. [DOI] [PMC free article] [PubMed] [Google Scholar]
- 44.Lee JW, Chung HY. Vascular anomalies of the head and neck: current overview. Arch Craniofac Surg. 2018;19:243–247. doi: 10.7181/acfs.2018.02383. [DOI] [PMC free article] [PubMed] [Google Scholar]
- 45.Mahady K, Thust S, Berkeley R, Stuart S, Barnacle A, Robertson F, et al. Vascular anomalies of the head and neck in children. Quant Imaging Med Surg. 2015;5:886–897. doi: 10.3978/j.issn.2223-4292.2015.04.06. [DOI] [PMC free article] [PubMed] [Google Scholar]
- 46.Limaye N, Wouters V, Uebelhoer M, Tuominen M, Wirkkala R, Mulliken JB, et al. Somatic mutations in angiopoietin receptor gene TEK cause solitary and multiple sporadic venous malformations. Nat Genet. 2009;41:118–124. doi: 10.1038/ng.272. [DOI] [PMC free article] [PubMed] [Google Scholar]
- 47.Castel P, Carmona FJ, Grego-Bessa J, Berger MF, Viale A, Anderson KV, et al. Somatic PIK3CA mutations as a driver of sporadic venous malformations. Sci Transl Med. 2016;8:332ra42. doi: 10.1126/scitranslmed.aaf1164. [DOI] [PMC free article] [PubMed] [Google Scholar]
- 48.Luks VL, Kamitaki N, Vivero MP, Uller W, Rab R, Bovée JVMG, et al. Lymphatic and other vascular malformative/overgrowth disorders are caused by somatic mutations in PIK3CA. J Pediatr. 2015;166:1048–1054.e1-5. doi: 10.1016/j.jpeds.2014.12.069. [DOI] [PMC free article] [PubMed] [Google Scholar]
- 49.Couto JA, Huang AY, Konczyk DJ, Goss JA, Fishman SJ, Mulliken JB, et al. Somatic MAP2K1 mutations are associated with extracranial arteriovenous malformation. Am J Hum Genet. 2017;100:546–554. doi: 10.1016/j.ajhg.2017.01.018. [DOI] [PMC free article] [PubMed] [Google Scholar]
- 50.Fereydooni A, Dardik A, Nassiri N. Molecular changes associated with vascular malformations. J Vasc Surg. 2019;70(314–326):e1. doi: 10.1016/j.jvs.2018.12.033. [DOI] [PubMed] [Google Scholar]




