Abstract
Background
A major concern related to modern surgery is to evaluate and address the complications associated with breast enlargement using Aquafilling® injection. This study aimed to assess the effect of Aquafilling® injection on immune response in such patients.
Methods
For four patients who consulted a surgeon after receiving Aquafilling® injection, medical history of the patients was taken; based on imaging examinations, Aquafilling® was removed. Samples were processed for histopathological and immunohistochemical examination. For detecting tissue antigens in histopathological samples, monoclonal antibodies against CD3 (lymphocytes T), CD 20 (lymphocytes B), and CD68 (macrophages) were used. By analyzing the images, the number of immune cells (lymphocytes T, lymphocytes B, and macrophages) and immunohistochemical reaction area were semiquantitatively evaluated.
Results
Different clinical features were observed in each patient after receiving Aquafilling® injection. In samples obtained from four patients, lymphocytes T (CD3), lymphocytes B (CD20), and macrophages (CD68) tissue expressions were observed. Statistically significant variations in the number of lymphocytes B (CD20) and macrophages (CD68), and differentiation of immunohistochemical reaction area for lymphocytes T (CD3) and lymphocytes B (CD20) were observed.
Conclusions
Inflammation is elevated in patients who received Aquafilling® injection. Medical imaging should be carried out in all such patients even if there are no visible symptoms. Removal of Aquafilling® can reduce the inflammation and risk of neoplastic progression in the patients. The influence of time elapsed since Aquafilling® injection and intensity of immune response requires further validation.
Level of Evidence IV
This journal requires that authors assign a level of evidence to each article. For a full description of these Evidence-Based Medicine ratings, please refer to the Table of Contents or the online Instructions to Authors www.springer.com/00266.
Keywords: Aquafilling®, Polyamide, Polyacrylamide, Breast augmentation, Inflammation, Complications, Surgical treatment
Introduction
Aquafilling®, produced by BIOTRH s. r. o., Prague, Czech Republic, was introduced in 2005 as a soft tissue filler to model face and buttocks, and subsequently, for augmentation of breasts. It is a hydrophilic gel and is composed of 98% physiological saline and 2% polyamide [1–4]. However, according to the Korean Food and Drug Administration (KFDA), its composition is 98% physiological saline and 2% polyacrylamide [5]. Aquafilling® has been used in the European Union, Malaysia, South Korea, Serbia, and Turkey [6]. However, the United States Food and Drugs Administration (USFDA) has not approved its use as an injectable filler for breast augmentation [5].
Aquafilling® was created to overcome the harmful effects of polyacrylamide-based fillers; unfortunately, its use is linked with various health concerns such as mastalgia, breast deformation, and inflammation of mammary glands in patients, as indicated by test results carried out in South Korea [4, 7] and Turkey [8]. It has also been associated with difficulties in breastfeeding, and migration of filler to the cervical section, the wall of the chest, the abdominal cavity, armpits, pelvis, and labia. Moreover, it has been reported to cause inflammation, abscess, and fistula of mammary glands [1, 4, 6, 7]. However, no study has yet reported on the adverse effects caused by Aquafilling® on the immune system, or investigated whether these changes depend on the visible symptoms and ailments observed in patients, the amount of filler used, or the time lapse from its injection.
Objectives
This research aimed to compare and evaluate unfavorable symptoms observed in women after receiving Aquafilling® injection in both breasts, as well as changes in histopathological and immunohistochemical parameters of the tissues obtained during filler’s surgical removal.
Materials and Methods
Clinical Data
The study included four female patients who consulted a surgeon after receiving Aquafilling® injection. Data of the examined patients are presented in Table 1 for comprehension (Table 1).
Table 1.
Data of the examined patients
| Parameter | Patient 1 | Patient 2 | Patient 3 | Patient 4 |
|---|---|---|---|---|
| Volume of injected Aquafilling® into breasts (ml) | 100 ml in each breast | 200 ml in each breast |
230 ml in left breast 260 ml in right breast |
105 ml in each breast |
| Time elapsed since noticing first side effects after filler injection (months) | Did not occura | 1 month | 3 months | 20 months |
| Type of unfavorable symptoms | Did not occura | Migration of Aquafilling® below the inframammary fold | Pain in the right breast during physical effort, while raising hands, driving the car, or lying on the side; deformation of both breasts | Pain in both breasts preceding each menstruation cycle; deformation of the right breast in the upper pole |
| Breast medical imaging performed before surgical removal | Ultrasonography (USG) | Ultrasonography (USG) and magnetic resonance imaging (MRI) | Ultrasonography (USG) | Ultrasonography (USG) |
| Time elapsed since Aquafilling® injection to its removal procedure | 36 months after injection | 28 months after injection | 12 months after injection | 37 months after injection |
| Morphological parameters: leukocyte, erythrocyte, monocyte counts, hemoglobin level | In the reference range | In the reference range | In the reference range | In the reference range |
|
Biochemical parameters: C-reactive protein (CRP), urea, creatinine level, activated partial thromboplastin time (APTT) international normalized ratio (INR) |
In the reference range | In the reference range | In the reference range | In the reference range |
| Aquafilling® presence in the pectoral muscles | Yes | Yes | Yes | Yes |
aShe visited the clinic because the filler was still visible in an ultrasound scan despite a three-year lapse, and because her friends who underwent the same procedure had suffered from complications
Patient 1 was injected with 100 ml of Aquafilling® in each breast for augmentation. This patient did not complain of any symptoms or ailments following filler injection. However, since the filler was still visible in an ultrasound scan despite a three-year lapse, and because she was aware of the profoundly serious complications observed in other patients, she visited the clinic. She underwent removal of Aquafilling® 36 months after injection. The patient did not provide consent to photography.
Patient 2 was injected with 200 ml of Aquafilling® in each breast for breast augmentation. After one month, some part of the filler was displaced in the right breast, creating a vessel below the inframammary fold. Approximately 27 months later, a similar change was observed in the left breast. Breast ultrasonography and magnetic resonance imaging (MRI) were performed, and Aquafilling® was removed 28 months after injection (Fig. 1).
Fig. 1.
Photographs of patient 2 a–c preoperatively in the standing position: visible displacement of filler below the inframammary fold of both breasts, and d with raised hands and e on postoperative 14 day showing no complications
Patient 3 was injected with 230 and 260 ml (initially 230 ml and another 30 ml 2 weeks later) of Aquafilling® in the left and right breasts, respectively. Three months after the first injection, the patient experienced pain in the right breast during physical effort, while raising hands, driving the car, or lying on the side. After another two months, deformation of both breasts was observed. Breast ultrasonography was performed, and Aquafilling® was removed 12 months after injection (Fig. 2).
Fig. 2.
Photographs of patient 3 a–c preoperatively in the standing position: visible deformation of both breasts
Patient 4 was injected with 105 ml of Aquafilling® in each breast (initially 75 ml, and another 30 ml after 9 months) to augment the breasts. Twenty months after the first injection, the patient experienced pain in both breasts preceding each menstruation cycle, lasting for about 3 days; 2.5 years after the first injection, a deformation of the right breast in the upper pole was observed. Breast ultrasonography was performed, and the Aquafilling® material was surgically removed 37 months after injection (Fig. 3).
Fig. 3.
Preoperative images of patient 4 a–c in the standing position: visible deformation of the right breast in the upper pole observed after 2.5 years
In each patient, morphological parameters such as leukocyte, erythrocyte, and monocyte counts, hemoglobin levels, as well as biochemical parameters, C-reactive protein (CRP), urea creatinine levels, activated partial thromboplastin time (APTT), and international normalized ratio (INR), were within the reference range.
Therefore, all four patients underwent surgery under general anesthesia for the removal of Aquafilling® and the inflamed adjacent tissue. During the surgical removal of the filler, it was observed to be present in the pectoral muscles of each patient (Figs. 4, 5, 6), and tissue samples were obtained for histopathological examination. All patients were informed preoperatively that complete removal of the injected filler was impossible, and MRI re-examination would be necessary 6 months postoperatively.
Fig. 4.

Removal of Aquafilling® from breasts
Fig. 5.

Pectoralis major muscle infiltrated with Aquafilling®
Fig. 6.

Removed section of the inflamed pectoralis major muscle infiltrated with Aquafilling®
Histopathological and Immunohistochemical Examinations
The tissue samples were processed according to a standard histological procedure [9]. Samples for histopathological evaluation were stained with hematoxylin and eosin. For detecting tissue antigens in histopathological samples, monoclonal antibodies against CD3 (lymphocytes T), CD20 (lymphocytes B), and CD68 (macrophages) were used. Activity of endogenous peroxidase was blocked with a 3% H2O2 solution. The tissue samples were incubated at 25º C with the primary antibody. Next, the samples were rinsed and incubated with secondary antibodies. In all the samples 3, 3′-diaminobenzidine (DAB) chromogen was used to locate the antigen.
Immunohistochemical slides were visualized and imaged using the Olympus BX 43 light microscope (Olympus, Tokyo, Japan) and XC 30 digital camera. Ten images were captured with 100 × magnification. By analyzing the images, the number of immune cells (lymphocytes T, lymphocytes B, and macrophages), as well as immunohistochemical reaction areas, was semiquantitatively evaluated. Calculations were performed using cellSens Dimension software (Olympus) [10]. For evaluating cell number and reaction area, 60 specimens (approximately 1225 cells/specimen) for lymphocytes T (CD3); 44 specimens (approximately 918 cells/specimen) for lymphocytes B (CD20); and 60 specimens (1096 cells/specimen) for macrophages were used. The cellSens Dimension software performed phase analysis of the stained samples, involving automatic detection of objects by their color, hue intensity, or shape. For our cases, the hue criterion was chosen (brown DAB chromogen). The software automatically classified the samples based on the pre-defined threshold values. In the samples, immunopositive cells were evaluated.
Statistical Analysis
To evaluate the differences in immunopositive cell number and immunohistochemical reaction area, statistical package Statistica 13.3 (StatSoft, Tulsa, USA) was used.
Variables were described using descriptive statistics: expected value, standard deviation, median Q1–Q3, quantile, minimum, and maximum as well as statistics associated with variable dispersion. Descriptive statistics were indicated by 95% confidence intervals.
To evaluate statistically significant differences in immunopositive cell number as well as immunohistochemical reaction area, one-way ANOVA or Kruskal–Wallis test was performed, followed by a post hoc test.
Results
Histopathological and Immunohistochemical Examinations
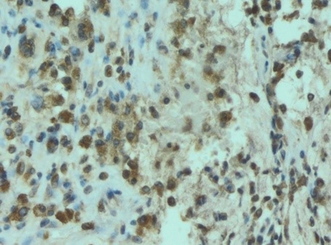
In all examined samples obtained from four patients, similar changes were observed in the mammary gland. Fibrous connective tissue was found partly hyalinized with foci of fatty tissue. Within it, abundant basophilic, homogenous content of Aquafilling® with extensive infiltration of mononuclear cells and numerous small blood vessels were observed. Some of the blood vessels had thickened walls. In others, endothelium layers were separated (Figs. 7, 8, 9). Furthermore, the expression of lymphocytes T (CD3), lymphocytes B (CD20), and macrophages (CD68) was also observed in the tissue samples (Figs. 10, 11, 12).
Fig. 7.

Abundant basophilic Aquafilling® (A). Surrounded by diffuse inflammatory infiltrates. Blood vessels with thickened walls (V). HE stained. Magnification 50 ×
Fig. 8.

Extensive fibrosis (F) with inflammatory infiltrates (ii). HE stained. Magnification 50 ×
Fig. 9.

Inflammatory infiltrates with mononuclear cells. HE stained. Magnification 400 ×
Fig. 10.

T cell (CD3) tissue expression. Immunohistochemical staining. Magnification 100 ×
Fig. 11.

Macrophages (CD68) tissue expression. Immunohistochemical staining. Magnification 100 ×
Fig. 12.

B cell (CD20) tissue expression. Immunohistochemical staining. Magnification 100 ×
A significant difference was observed in the number of lymphocytes B (CD20) cells and macrophages (CD68) (Table 2). Variations in the cell number of lymphocytes B (CD20) were noted at a level of p = 0.0015 and were associated with statistically significant difference between lymphocytes number in Patient 1 and 2 on a level of p = 0.0005. In contrast, a significant variation in the macrophage number (CD68) was noted at a level of p = 0.0002 as a result of statistically significant difference in the macrophages number between Patients 2 and 3 at a level of p = 0.0001. Despite the lack of statistically significant difference in the lymphocytes T (CD3) number, in patient 3, lymphocytes T (CD3) number was the highest.
Table 2.
Immunopositive cell number in examined patients
| Patient number | Total cell number | Expected value ± SD | Median (Q1/Q3) | Min/max | 95% of average confidence | p value (post hoc) |
|---|---|---|---|---|---|---|
| Lymphocytes T (CD3) | ||||||
| Patient 1 | 13,264 | 1326.4 ± 905.6 | 1076 (821/3140) | 238/3140 | 678.5/1974.3 | 0.2085 |
| Patient 2 | 8488 | 2182.2 ± 1804.8 | 1510 (460/4908) | 306/4908 | 1337.5/3026.8 | |
| Patient 3 | 43,643 | 662.1 ± 101.5 | 660.5 (594.5/815) | 427/815 | 614.5/709.6 | |
| Patient 4 | 13,241 | 848.8 ± 271 | 850 (661/1189) | 430/1189 | 654.9/1042.7 | |
| In total | 78,636 | 1310.6 ± 1274.7 | 745 (585/4908) | 238/4908 | 981.3/1639.9 | |
| Lymphocyte B (CD20) | ||||||
| Patient 1 | 2462 | 223.8 ± 207.2 | 115 (89/694) | 64/694 | 84.6/363 |
0.0015 1/2 |
| Patient 2 | 8790 | 1469.8 ± 1316.4 | 678 (404/3421) | 178/3421 | 835.3/2104.4 | |
| Patient 3 | 27,927 | 485.3 ± 330.7 | 361.5 (272/968) | 250/968 | 0/1011.5 | |
| Patient 4 | 1941 | 879 ± 999.2 | 347 (197/3026) | 144/3026 | 164.2/1593.8 | |
| In total | 41,120 | 934.5 ± 1107.9 | 416.5 (190/3421) | 64/3421 | 597.7/1271.4 | |
| Macrophages (CD68) | ||||||
| Patient 1 | 10,496 | 1049.6 ± 259.7 | 1038.5 (845/1439) | 687/1439 | 863.9/1235.4 |
0.0002 2/3 |
| Patient 2 | 10,807 | 990.9 ± 1031.4 | 631.5 (481.5/4269) | 324/4269 | 508.1/1473.6 | |
| Patient 3 | 19,817 | 1435.7 ± 360.8 | 1532.5 (1154/1925) | 626/1925 | 1266.8/1604.5 | |
| Patient 4 | 28,713 | 1080.7 ± 224.8 | 1161 (907/1357) | 658/1357 | 919.9/1241.5 | |
| In total | 69,833 | 1163.9 ± 664.1 | 1097.5 (701/4269) | 324/4269 | 992.3/1335.5 | |
As shown in Table 3, a significant difference was observed in immunohistochemical reaction areas for lymphocytes T (CD3) as well as lymphocyte B (CD20). Statistically significant variations were observed in the immunohistochemical reaction area for lymphocytes T (CD3) among the patients (p = 0.0003). This variation was associated with detailed differences between immunohistochemical reaction area calculated for Patient 1 and those calculated for other patients at the following levels: p = 0.0056, p = 0.0004, and p = 0.0019. Immunohistochemical reaction area calculated for lymphocytes B (CD20) also varied significantly among examined patients at a level of p = 0.0001. This differentiation was associated with statistically significant differences observed between the immunohistochemical reaction area calculated for Patient 1 and those calculated for Patients 2 and 3 (p = 0.0001 vs. p = 0.0123), between Patients 2 and 4 (p = 0.0019), and between Patients 3 and 4 (p = 0.0481).
Table 3.
Immunohistochemical reaction area in examined patients (µm2)
| Patient number | Total area | Expected value ± SD | Median (Q1/Q3) | Min/max | 95% of average confidence | p value (post hoc) |
|---|---|---|---|---|---|---|
| Lymphocytes T (CD3) | ||||||
| Patient 1 | 3027.7 | 3027.7 ± 3312.3 | 1771.2 (720.1/4263.2) | 281.2/10,893.2 | 658.2/5397.1 |
0.0003 1/2; 1/3; 1/4 |
| Patient 2 | 11,177.2 | 10,335 ± 5129.5 | 9039.1 (7156.1/13,613) | 2710.6/25,112.3 | 7934.3/12,735.7 | |
| Patient 3 | 10,335.0 | 10,942.8 ± 2603.6 | 10,497.9 (9481.6/13,032.7) | 5823.9/15,969.8 | 9724.2/12,161.3 | |
| Patient 4 | 10,942.8 | 11,177.2 ± 3960.5 | 11,272.2 (8406.9/14,330.8) | 4986.8/17,072.1 | 8344/14,010.3 | |
| In total | 35,482.6 | 9460.1 ± 4820.8 | 10,026 (5959.9/13,032.7) | 281.2/25,112.3 | 8214.7/10,705.4 | |
| Lymphocytes B (CD20) | ||||||
| Patient 1 | 501.8 | 501.8 ± 449.5 | 271.3 (232.8/897.4) | 201.5/1584.9 | 199.9/803.8 |
0.0001 1/2; 1/3; 2/4; 3/4 |
| Patient 2 | 790.7 | 16,639.9 ± 8648.2 | 19,233.6 (8961.2/23,068.6) | 196.6/26,835.4 | 12,471.6/20,808.2 | |
| Patient 3 | 16,639.9 | 16,357.9 ± 9840.3 | 16,629.1 (7922.8/24,793) | 6468.5/25,705.1 | 699.8/32,016.1 | |
| Patient 4 | 16,357.9 | 790.7 ± 728.7 | 407.3 (311.9/1538.3) | 101/2143.3 | 269.4/1312 | |
| In total | 34,290.4 | 8977.7 ± 10,158.5 | 1858.5 (313.9/19,467) | 101/26,835.4 | 5889.2/12,066.1 | |
| Macrophages (CD68) | ||||||
| Patient 1 | 17,082.2 | 17,082.2 ± 1685.9 | 16,989.9 (15,735.7/18,605) | 14,393.1/19,272.3 | 15,876.1/18,288.2 | 0.2877 |
| Patient 2 | 17,365.0 | 16,192.5 ± 7405.1 | 15,575.4 (12,546.7/18,237.3) | 7396.3/41,091.1 | 12,726.8/19,658.2 | |
| Patient 3 | 16,192.5 | 15,787.6 ± 2678.6 | 15,181.3 (14,234.6/16,609.8) | 12,177.1/22,546.7 | 14,534/17,041.2 | |
| Patient 4 | 15,787.6 | 17,365 ± 3919.7 | 16,545.8 (14,876/16,929.6) | 14,780.4/27,627.4 | 14,561/20,169 | |
| In total | 66,427.3 | 16,401.2 ± 4808.9 | 15,929 (14,422.2/17,656.6) | 7396.3/41,091.1 | 15,159/17,643.5 | |
Discussion
Health concerns associated with Aquafilling® injection are relatively new, as evident by the small number of reports on female patients undergoing surgery due to inflammation and other complications. Previously published researches were performed on a smaller number of female patients, i.e., one [1, 6–8], two [2], and three [3], indicating that these studies are just in their initial stages all over the world.
In the existing literature [1, 2, 4, 6–8], distinct clinical features have been reported in patients who underwent breast augmentation. Jung et al. [1] described patient characteristics as repeated wound dehiscence and fluid discharge, whereas Kim et al. [6] noted pain and tenderness in both the breasts. Ko et al. [7] observed tenderness of left breast with volume loss, painful swelling of left lower abdominal wall, and abscess in the left vulva in his patient. In the patient examined by Arslan et al. [8], pain, redness, and deformity of both breasts were observed. Ozcan et al. [2] reported progressive swelling of the right breast in one patient and mastalgia in another patient. Three patients examined by Son et al. [4] complained of palpable lump on the left upper parasternal area (Patient 1), migration of filler (Patient 2), pain, and hardness in the left lower quadrant of the abdomen and breast fistula (Patient 3). In the present study, we also observed many similar symptoms in the patients examined, further strengthening the probable detrimental impact of Aquafilling® injection on the patient’s health.
Intensive inflammation was visible in the examined histological and immunohistochemical samples and could be credited to the ability of T cells to recognize the breast augmentation filler—Aquafilling®. Recognition of antigens by T cells is a crucial step in the initiation and regulation of adaptive immune response. T cells having recognized foreign antigens release a large number of chemical factors enabling B cells to create specific antibodies. They activate scavenger cells, including macrophages. The activation process is a result of synergy and completion of specific and unspecific immune response mechanisms. T cells have T cell receptors (TCRs) that enable precise recognition of foreign antigens. Antigens bound by TCR create activation microclusters (MCs). TCR-MC consists not only of TCR receptor with CD3, CD4, or CD8 complex but also of kinase, adaptor protein, and proteins responsible for cytoskeleton alternation. CD3 consists of four different peptide chains that together with TCR are responsible for sending activation signals to Tc lymphocytes (cytotoxic) and Th lymphocytes (helper cells) [11].
In the present study, enhanced expression of T lymphocytes (CD3) and macrophages (CD68), as well as a large immune response area, which in our opinion was observed and can be the result of Aquafilling® recognition by T cells in an unspecific immune mechanism.
Since we examined a small sample group, we could not elucidate other possible mechanisms contributing to the observed variation. However, based on histopathological and immunohistochemical tests, we could surely conclude that the examined patients exhibited aggressive inflammation profiles with long-lasting complications.
In our opinion most likely, we observed that T cells recognized amide bonds of the filler, and hence, antibodies were created by plasma cells against it. Similarly, the presence of macrophages could be related to the removal of the polymer recognized by T cells.
Immunological reaction in the tissues may be associated with the amount of filler injected and the total time elapsed since the injection procedure as observed by extensive inflammatory infiltration and granuloma, fibrous connective tissue partly hyalinized, and the presence of numerous small blood vessels in the histological tissues. However, these results need to be validated in a large sample size.
Intensive chronic inflammation may lead to the development of neoplasia, and therefore, all patients must be informed about this possible risk. As far back as in the year 1863, based on his clinical observations and histopathological research, Rudolf Virchow noted the association between tumor growth and previous lymphocytic infiltration [12]. Later, numerous studies confirmed the dependence between the inflammatory state and neoplasm’s growth. Tumor development in the process of chronic inflammation has been seen in multiple carcinomas including mesothelioma and lymphoma [13–15]. Therefore, choosing an optimal treatment strategy is vital. In the existing literature, no information on how to deal with health issues caused by Aquafilling® injection is available. Jin et al. [16] and Luo et al. [17] presented treatment methods they used in patients when complications caused by breast enlargement with polyacrylamide (PAAG) appeared. Jin et al. [16] suggested an endoscopic or open approach to remove the filler, whereas Luo et al. [17] recommended an open approach. Based on our observations, it occurs that Polish hospitals/clinics use diverse treatment methods in patients after Aquafilling injection, starting from only checking up on a patient and performing ultrasound with elastography, through performing skin incisions, applying and rinsing drains or removing it with liposuction or at last performing vast tissues cleaning during open surgery.
Based on the observations in the present study, it is recommended that every patient who has had injected Aquafilling® (irrespective of procedure time and of visible symptoms being observed) should undergo an ultrasound scan or magnetic resonance imaging (MRI) at first, MRI being more precise. Furthermore, it is advised to remove the filler with the highest precision along with the changed surrounding tissue, through a surgical procedure. Follow-up MRI should be performed 6 months after the surgery. After this time, breast reconstruction using breast implants can be considered.
Conclusions
Injection of Aquafilling® may trigger an immune response as observed by the heightened inflammatory response in examined tissue samples. Thus, it is highly recommended to perform breast medical imaging such as ultrasound, ultrasound with elastography, or MRI in all patients who had breast enlargement using Aquafilling®, even if no visible symptoms or ailments are observed. In patients suffering from inflammation, thorough removal of Aquafilling from all tissues (skin, connective tissue, muscle) that come into contact with the filler, irrespective of visible symptoms or ailments, is highly recommended in order to minimize the complications and to discourage neoplasia process. The influence of time elapsed since the Aquafilling® injection procedure and the amount of the intensity of the immune response of tissue expression require further research.
Funding
The authors received no financial support for the research, authorship, and publication of this article.
Compliance with Ethical Standards
Conflict of interest
The authors declared no potential conflicts of interest with respect to the research, authorship, and publication of this article.
Ethical Approval
All procedures performed in the study involving human participants were in accordance with the ethical standards of the institutional and/or national research committee and with the 1964 Helsinki Declaration and its later amendments or comparable ethical standards.
Informed Consent
Informed consent was obtained from the patients to publish the images.
Footnotes
Publisher's Note
Springer Nature remains neutral with regard to jurisdictional claims in published maps and institutional affiliations.
Contributor Information
Michał Chalcarz, Email: chalcarzmichal@gmail.com.
Jakub Żurawski, Email: zurawski@ump.edu.pl.
References
- 1.Jung BK, Yun IS, Kim YS, Roh TS. Complication of AQUAfilling® Gel injection for breast augmentation: case report of one case and review of literature. Aesth Plast Surg. 2018;42:1252–1256. doi: 10.1007/s00266-018-1107-0. [DOI] [PubMed] [Google Scholar]
- 2.Ozcan UA, Ulus S, Kucukcelebi A. Breast augmentation with Aquafilling: complications and radiologic features of two cases. Eur J Plast Surg. 2019;42:405–408. [Google Scholar]
- 3.Shin JH, Suh JS, Yang SG. Correcting shape and size using temporary filler after breast augmentation with silicone implants. Arch Aesthet. Plastic Surg. 2015;21(3):124. doi: 10.14730/aaps.2015.21.3.124. [DOI] [Google Scholar]
- 4.Son MJ, Ko KH, Jung HK, Koh JE, Park AY. Complications and radiologic features of breast augmentation via injection of AquafillingGel. J UltrasoundMed. 2018;37(7):1835–1839. doi: 10.1002/jum.14527. [DOI] [PubMed] [Google Scholar]
- 5.Roh TS. Position statement of Korean Academic Society of Aesthetic and reconstructive breast surgery: concerning the use of Aquafilling® for breast augmentation. Arch Aesthetic Plast Surg. 2016;22(1):45–46. doi: 10.14730/aaps.2016.22.1.45. [DOI] [Google Scholar]
- 6.Kim J, Chang H, Park JU. Complication of Ruptured Poly Implant Prothѐse® breast implants combined with AQUAfilling® Gel Injection: a case report and literature review. Aesth Plast Surg. 2019;43:46–52. doi: 10.1007/s00266-018-1242-7. [DOI] [PubMed] [Google Scholar]
- 7.Ko KH, Jung HK, Park AY. Radiologic features of distant filler migration with inflammatory reaction following augmentation mammoplasty using Aquafilling® filler. Iran J Radiol. 2017;14(4):e63468. [Google Scholar]
- 8.Arslan G, Celik L, Atasoy MM, Celik L, Cubuk R. Complication of non-US guided procedure of aquafilling breast gel. Med Ultrason. 2017;19(2):236–240. doi: 10.11152/mu-1021. [DOI] [PubMed] [Google Scholar]
- 9.Feldman AT, Wolfe D. Tissue processing and hematoxylin and eosin staining. Methods Mol Biol. 2014;1180:31–43. doi: 10.1007/978-1-4939-1050-2_3. [DOI] [PubMed] [Google Scholar]
- 10.Żurawski J, Talarska P, Łazowski S, Grochowalski M, Karoń J. Immunohistochemical evaluation of cellular composition of the immune system of lymph nodes in acute appendicitis. Journal of Medical Science. 2019;88:218–226. doi: 10.20883/medical.368. [DOI] [Google Scholar]
- 11.Dustin ML, Depoil D. New insights into the T cell synapse from single molecule techniques. Nat Rev Immunol. 2011;11:672–684. doi: 10.1038/nri3066. [DOI] [PMC free article] [PubMed] [Google Scholar]
- 12.Balkwill F, Mantovani A. Inflammation and cancer: back to Virchow? Lancet. 2001;357:539–545. doi: 10.1016/S0140-6736(00)04046-0. [DOI] [PubMed] [Google Scholar]
- 13.Tlsty TD, Coussens LM. Tumor stroma and regulation of cancer development. Annu Rev Pathol. 2006;1:119–150. doi: 10.1146/annurev.pathol.1.110304.100224. [DOI] [PubMed] [Google Scholar]
- 14.Slaga TJ, Lichti U, Hennings H, Elgjo K, Yuspa SH. Effects of tumor promoters and steroidal anti-inflammatory agents on skin of newborn mice in vivo and in vitro. J Natl Cancer Inst. 1978;60:425–431. doi: 10.1093/jnci/60.2.425. [DOI] [PubMed] [Google Scholar]
- 15.Potter M. Indomethacin inhibition of pristane plasmacytomagenesis in genetically susceptible inbred mice. Adv Exp Med Biol. 1999;469:151–156. doi: 10.1007/978-1-4615-4793-8_23. [DOI] [PubMed] [Google Scholar]
- 16.Jin R, Luo X, Wang X, Ma J, Liu F, Yang Q, Yang J, Wang X. Complications and treatment strategy after breast augmentation by polyacrylamide hydrogel injection: summary of 10-year clinical experience. Aesthetic Plast Surg. 2018;42(2):402–409. doi: 10.1007/s00266-017-1006-9. [DOI] [PubMed] [Google Scholar]
- 17.Luo SK, Chen GP, Sun ZS, Cheng NX. Our strategy in complication management of augmentation mammaplasty with polyacrylamide hydrogel injection in 235 patients. J Plast Reconstr Aesthet Surg. 2011;64(6):731–737. doi: 10.1016/j.bjps.2010.10.004. [DOI] [PubMed] [Google Scholar]



