Abstract
Retinoblastoma is a childhood cancer of the retina involving germline or somatic alterations of the RB Transcriptional Corepressor 1 gene, RB1. Rare cases of sellar-suprasellar region retinoblastoma without evidence of ocular or pineal tumors have been described. A nine-month-old male presented with a sellar-suprasellar region mass. Histopathology showed an embryonal tumor with focal Flexner-Wintersteiner-like rosettes and loss of retinoblastoma protein (RB1) expression by immunohistochemistry. DNA array-based methylation profiling confidently classified the tumor as pineoblastoma group A/intracranial retinoblastoma. The patient was subsequently enrolled on an institutional translational cancer research protocol and underwent comprehensive molecular profiling, including paired tumor/normal exome and genome sequencing and RNA-sequencing of the tumor. Additionally, Pacific Biosciences (PacBio) Single Molecule Real Time (SMRT) sequencing was performed from comparator normal and disease-involved tissue to resolve complex structural variations. RNA-sequencing revealed multiple fusions clustered within 13q14.1-q21.3, including a novel in-frame fusion of RB1-SIAH3 predicted to prematurely truncate the RB1 protein. SMRT sequencing revealed a complex structural rearrangement spanning 13q14.11-q31.3, including two somatic structural variants within intron 17 of RB1. These events corresponded to the RB1-SIAH3 fusion and a novel RB1 rearrangement expected to correlate with the complete absence of RB1 protein expression. Comprehensive molecular analysis, including DNA array-based methylation profiling and sequencing-based methodologies, were critical for classification and understanding the complex mechanism of RB1 inactivation in this diagnostically challenging tumor.
Supplementary Information
The online version contains supplementary material available at 10.1186/s40478-021-01164-z.
Keywords: Intracranial retinoblastoma, Sellar-suprasellar retinoblastoma, RB1, Structural variation, DNA array-based methylation, SMRT sequencing, PacBio
Introduction
Retinoblastoma is a childhood cancer predominately occurring intraocularly, with an estimated prevalence of 1 per 16,000–18,000 live births and approximately 8,000 new cases per year [3]. It is characterized by biallelic inactivation of the RB Transcriptional Corepressor 1 gene (RB1) which encodes the retinoblastoma protein (RB1), a well-established tumor suppressor that interacts with the E2F family of transcription factors to negatively regulate the cell cycle. As described by Knudson’s “two-hit hypothesis,” individuals with hereditary retinoblastoma present with a germline heterozygous alteration in RB1. Somatic inactivation of the second RB1 allele results in the development of retinoblastoma [14]. Approximately 40% of individuals with retinoblastoma have a hereditary form, commonly associated with bilateral retinoblastoma (i.e., dual primary tumors presenting in both eyes) early in life [21, 22]. Unilateral retinoblastoma most frequently arises in individuals with biallelic somatic alterations in the developing retina [3]. Rarely, individuals may develop bilateral retinoblastoma together with synchronous or asynchronous intracranial pineal and/or sellar region tumors, i.e. involving the sella turcica/pituitary gland area (so-called trilateral and/or “quadrilateral” retinoblastoma) [6]. Intracranial central nervous system (CNS) tumors are identified prior to ocular retinoblastoma diagnosis in only 3% of cases [5, 35].
Intracranial sellar-suprasellar region retinoblastoma without evidence of ocular or pineal tumor is an exceedingly rare occurrence, with only a single report described in the literature to our knowledge [13]. An early case series reported an infant with isolated suprasellar tumor, without retinal involvement [13]. This patient was noted to have a positive family history, including bilateral retinoblastoma in a sibling and paternal unilateral retinoblastoma. A second report described an infant with biallelic somatic RB1 inactivating alterations (LRG_517t1:c.T494A;p.Leu165*, LRG_517t1:c.717dup;p.Lys249*) in the absence of a germline RB1 alteration, who presented with an ectopic, intracranial, sellar-suprasellar region retinoblastoma, but also had a smaller similar-appearing pineal mass detected on imaging [23]. In the latter case, the diagnosis was supported by DNA array-based methylation profiling on the sellar region tumor; the pineal region tumor was not sampled. Additional data are necessary to better understand the frequency and genomic mechanisms associated with isolated, ectopic, intracranial, sellar-suprasellar region retinoblastoma.
The genomic landscape of retinoblastoma is diverse and may result from a spectrum of events, including single nucleotide variations (SNVs), small insertion-deletion (indel) events, splice site alterations, copy number alterations (CNAs), loss of heterozygosity (LOH), and promoter hypermethylation [15, 21, 22]. Highly penetrant germline alterations consist of predominately loss-of-function variants (e.g. nonsense, frameshift, canonical splice site) predicted to encode a premature stop of translation in the protein [21]. Low penetrance alterations are thought to reduce gene expression or partially inactivate the RB1 protein and may be associated with promoter variants, non-canonical splice site alterations, missense variants, and small non-frameshift deletions [8, 32]. In an estimated 60–70% of hereditary and non-heritable tumors, the initial RB1 alteration is followed by LOH at the 13q14.2 locus, encompassing RB1 [21]. Chromothripsis involving 13q14.2 has been described as an exceedingly rare mechanism of RB1 inactivation in individuals with somatic disease [15, 20]. In three retinoblastoma patients, chromothripsis disrupted the RB1 locus resulting in a gene fusion, and immunohistochemical (IHC) staining demonstrated complete absence of RB1 protein expression in the tumor [20]. Additionally, genome sequencing of retinoblastoma tumors without a previously identified RB1 alteration revealed large structural rearrangements encompassing the RB1 locus with variable complexity [2]. Beyond the RB1 gene, amplification of the proto-oncogene MYCN has been reported in a small subset (~ 2%) of sporadic retinoblastoma cases without RB1 alterations [24].
Herein, we describe a patient with a sporadic, isolated, intracranial, sellar-suprasellar region retinoblastoma with diagnostic refinement by DNA array-based methylation profiling as well as comprehensive genomic profiling of germline and somatic tissues. Complex structural rearrangement of 13q14.11-q31.3 was identified, including two somatic RB1 gene rearrangements. Considerations for therapeutic management are presented.
Case Presentation
Clinical history and diagnostic work-up
A nine-month-old male with no significant past medical history initially presented with two months of worsening fussiness and two days of vomiting. His physical exam was unremarkable and there was no history of polyuria or polydipsia. A magnetic resonance imaging (MRI) of the brain revealed a 3.2 × 3.0 × 2.6 cm lobular sella-suprasellar mass, with avid contrast enhancement (Fig. 1a-c). The mass was separate from the optic chiasm, eroded the dorsum sella, and extended into the subfrontal region. Intralesional hemorrhage was noted as well (not shown). An MRI of the spine was negative for metastases. The primary radiologic differential was germ cell tumor vs. atypical teratoid/rhabdoid tumor. An endocrinology workup confirmed central adrenal insufficiency requiring maintenance and stress doses of hydrocortisone. A craniotomy was performed, and the tumor was found to be adherent to surrounding critical structures. A subtotal resection was achieved.
Fig. 1.

At diagnosis: Pre contrast sagittal T1-W image (a), post contrast sagittal T1-W image (b), and post contrast axial T1-W image (c) show a large lobulated avidly enhancing mass that fills and expands the sella, and extends to the suprasellar cistern (arrows). This mass is separated from the optic nerves and optic chiasm, and contacts the circle of Willis vessels, which preserve normal caliber. At completion of therapy: Pre contrast sagittal T1-W image (d), post contrast sagittal T1-W image (e), and post contrast axial T1-W image (f) show complete resolution of the sellar, suprasellar mass with no evidence of residual tumor, an empty sella (arrows), and normal surrounding structures
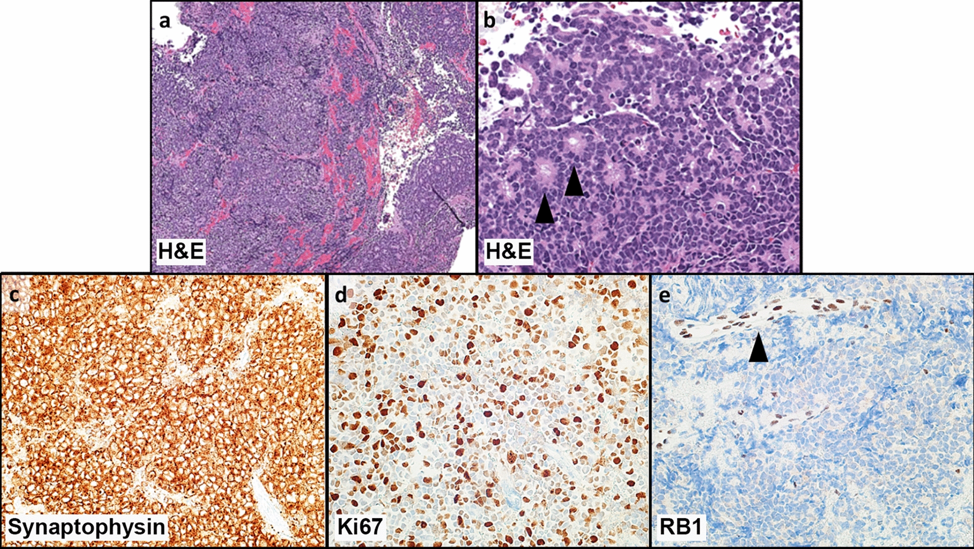
Hematoxylin and eosin (H&E) stained sections demonstrated a small cell embryonal neoplasm characterized by sheets of poorly differentiated cells with nuclear pleomorphism, nuclear molding, and occasional apoptotic bodies and mitoses (Fig. 2a). Rare rosettes were appreciated, composed of a single layer of tumor cells with short cytoplasmic processes extending into an otherwise empty lumen (Flexner-Wintersteiner-like rosettes, Fig. 2b). Rhabdoid inclusions, abundant neuropil, perivascular rosettes, microvascular proliferation, necrosis, primitive neural tubes, and/or glandular structures were not seen.
Fig. 2.

Tumor histology and immunohistochemistry. a Hematoxylin and eosin (H&E) sections reveal an embryonal neoplasm composed of mostly patternless sheets of small tumor cells, 40×. b At higher magnification, the tumor cells are poorly differentiated, with nuclear pleomorphism, some nuclear molding, and occasional apoptotic bodies and mitoses. Rare Flexner-Wintersteiner-like rosettes were seen focally (arrowheads) 200×. c Synaptophysin immunohistochemistry (IHC) is diffusely, strongly positive, 200×. d Ki-67 tumor nuclear labeling index is approximately 40–50%, 200×. (e) IHC for RB Transcriptional Corepressor 1 (RB1) protein demonstrates loss of constitutive nuclear staining in tumor cell nuclei, but retained normal staining in vascular endothelial cell nuclei (arrowhead), 200×
Synaptophysin IHC demonstrated diffuse and strong positivity (Fig. 2c). The Ki-67 labeling index was approximately 40–50% (Fig. 2d). By IHC, tumor cells showed only focal, weak staining or were negative for Olig2, BCL-6 interacting corepressor protein (BCOR), nuclear protein in testis family member 1 protein (NUTM1), neuronal nuclei protein (Neu-N), neurofilament, glial fibrillary acid protein (GFAP), p53, SALL4, epithelial membrane antigen (EMA), and lin-28 homolog A (Lin28A). Tumor cells retained both integrase interactor 1 (INI-1) and transcription activator BRG1 (BRG1). Fluorescence in-situ hybridization (FISH) was negative for rearrangements of BCOR, capicua transcriptional repressor gene (CIC), or Ewing sarcoma breakpoint region 1 (EWSR1) and negative for amplification of the C19MC locus at 19q13.42. DNA array-based methylation profiling confidently classified the tumor as pineoblastoma group A/intracranial retinoblastoma (calibrated score: 0.99) [1]. Subsequently, IHC staining for RB1 protein was performed, and showed complete loss of normal constitutive nuclear expression in tumor cells, with retained expression in tumor vascular endothelial nuclei (Fig. 2e).
The patient was enrolled on the Head Start 4 clinical trial (NCT02875314) with the diagnosis of CNS embryonal tumor, not otherwise specified (NOS) and underwent five induction cycles of intensive chemotherapy with 12 g/m2 (400 mg/kg) of methotrexate. Radiologic evaluation at the completion of therapy demonstrated no evidence of residual tumor (Fig. 1d-f). He was randomized into tandem autologous hematopoietic stem-cell rescues with carboplatin and thiotepa. His post-operative and overall clinical course were complicated by partial pituitary dysfunction (hypothyroidism, adrenal insufficiency), bacterial and fungal sepsis, pneumatosis coli and feeding challenges, and compression fracture. However, the patient remained without significant CNS deficits.
He underwent periodic sedated ophthalmologic evaluations to visualize the retinae during scheduled surveillance MRIs, which showed no evidence of retinal disease. Retinal surveillance was discontinued at 2 years of age as development of classic retinoblastoma would be unlikely after this age. He is currently 3 years old and 1.5 years off-therapy and doing well with continued follow-up by gastroenterology for his feeding challenges. He tolerates full enteral calories via G-tube, has started making steady progress in improving his oral intake, and is gaining weight well.
Materials and methods
The patient was enrolled as part of an Institutional Review Board (IRB) approved study at The Steve and Cindy Rasmussen Institute for Genomic Medicine (IGM) at Nationwide Children’s Hospital (NCH). Informed consent was provided by the patient’s parents for comprehensive genomic analysis. Peripheral blood mononuclear cells (PBMCs) were collected by routine venipuncture for genomic DNA extraction. Snap-frozen tumor tissue was obtained for DNA and RNA extraction (estimated 80% tumor cellularity). Full materials and methods can be found in the Supplementary Information (Additional File 1: Materials and Methods).
Molecular characterization of intracranial retinoblastoma reveals RB1 loss-of-function due to gene fusion
Comprehensive molecular profiling, including paired tumor/normal genome sequencing (GS) and enhanced exome sequencing (eES) were performed using Illumina next-generation sequencing (NGS) to evaluate germline variations, somatic SNVs, small indels, structural variations (SVs), and CNAs. Notably, we did not identify any pathogenic germline alterations in well-established cancer predisposition genes [36], with the RB1 and DICER1 loci assessed at moderate depth within the GS germline data (> 70 × and > 100 × coverage, respectively) and at high depth in eES germline data (> 400 × and ~ 450 × coverage, respectively). Although the tumor did not harbor any clearly medically meaningful somatic SNVs or small indels, we identified a gain on chromosomal arm 1q and a focal deletion on 13q distal to, but not encompassing, RB1 (Additional File 1: Fig. S1a-b). This focal deletion (hg19: chr13:57,297,261–58,439,492) does not contain any genes associated with cancer. We did not identify any CNAs or LOH associated with the RB1 locus. RNA-sequencing of the tumor tissue revealed two gene fusion events, clustered within chromosomal bands 13q14.1-q21.3, RB1-SIAH3 and ZC3H13-KLHL1, and two interchromosomal fusions between chromosomes 10 and 13 (DLEU1-DNAJC12 and RBP3-TPT1) (Table 1). ZC3H13-KLHL1, DLEU1-DNAJ12, and RBP3-TPT1 are not recurrent fusions in cancer nor are the genes involved in these events recurrently altered in pediatric cancers. Therefore, the association of these events with tumorigenesis is unknown. We performed reverse transcriptase polymerase chain reaction (RT-PCR) followed by Sanger sequencing to confirm the RB1-SIAH3 fusion and verify the inferred translational protein frame. The in-frame fusion event involved exon 17 of RB1 (NM_000321) and exon 2 of SIAH3 (NM_198849), resulting in a 789 amino acid chimeric protein which is predicted to prematurely truncate RB1 approximately 60% of the way through the translated protein (Fig. 3a). The fusion retains pocket domain A of the RB1 protein but demonstrates loss of both the linker domain and pocket domain B (Fig. 3b). Interaction of pocket domains A and B with the linker domain is important for supporting the tumor suppressor role of RB1 [9]. Read coverage of this RB1 transcript (NM_000321), as derived from RNA sequencing, revealed minimal reads supporting full-length RB1, with a loss of sequence read depth at the fusion breakpoint (exon 17) through the 3′ terminus (Fig. 3c). The loss of full-length RB1 expression is consistent with the absence of RB1 protein demonstrated in the tumor by IHC (Fig. 2e). Given an estimated tumor content of 80% in the sequenced tumor tissue, the low number of detected full-length transcript reads likely correspond to admixed normal brain and connective tissue, as demonstrated by retained RB1 expression in tumor vascular endothelial nuclei by IHC (Fig. 2e).
Table 1.
Gene fusions surrounding the RB1 locus at 13q14.1-q21.3
| Fusion | 5′ gene partner | 5′ gene partner coordinates (GRCh38), exon | Cytoband | 3′ gene partner | 3′ gene partner coordinates (GRCh38), exon | Cytoband |
|---|---|---|---|---|---|---|
| RB1-SIAH3 | RB1 (NM_000321) | chr13:48,381,443, exon 17 | 13q14.2 | SIAH3 (NM_198849) | chr13:45,784,057, exon 2 | 13q14.13 |
| ZC3H13-KLHL1 | ZC3H13 (NM_001076788) | chr13:46,003,139, exon 8 | 13q14.13 | KLHL1 (NM_020866) | chr13:69,975,802, exon 2 | 13q21.33 |
| DLEU1-DNAJC12 | DLEU1 (NR_109974) | chr13:50,433,550, exon 4 | 13q14.3 | DNAJC12 (NM_021800) | chr10:67,823,392, exon 2 | 10q21.3 |
| RBP3-TPT1 | RBP3 (NM_002900) | chr10:47,349,271, exon 1 | 10q11.22 | TPT1 (NM_003295) | chr13:45,341,148, exon 1 | 13q14.13 |
RB1, RB Transcriptional Corepressor 1; SIAH3, Siah E3 Ubiquitin Protein Ligase Family Member 3; ZC3H13, Zinc Finger CCCH-Type Containing 13; KLHL1, Kelch-like 1 gene; DLEU1, Deleted In Lymphocytic Leukemia 1; DNAJC12, DnaJ Heat Shock Protein Family (Hsp40) Member C12; RBP3, Retinol Binding Protein 3; TPT1, Tumor Protein, Translationally-Controlled 1
Fig. 3.
Molecular characterization of an in-frame RB1-SIAH3 fusion in a pediatric intracranial retinoblastoma. a Sanger sequencing chromatogram of the in-frame RB1-SIAH3 gene fusion. The corresponding amino acid sequence is described above the chromatogram. b Protein domains corresponding to the RB1-SIAH3 fusion, demonstrating loss of the RB1 linker domain and pocket domain B. c RNA sequencing read coverage for RB1 (NM_000321) binned per exon. A dramatic loss of RB1 expression occurs between exons 17 (black arrowhead) and 18 at the fusion breakpoint
Complex chromosome 13q structural rearrangement identified through SMRT sequencing methodologies
Given the identification of multiple gene fusions near the RB1 gene locus and the complete loss of RB1 protein expression by IHC, we utilized PacBio Single Molecule Real Time (SMRT) sequencing-based methodologies to resolve the genomic event. Evaluation of RNA by SMRT sequencing used the Iso-Seq method, providing reads that span entire transcripts to enable the characterization of full-length transcript isoforms. Iso-Seq sequencing of full-length transcript isoforms was utilized to elucidate the diversity of fusions in proximity to and encompassing the RB1 locus. We confirmed the presence of both RB1-SIAH3 (Fig. 4a, Additional File 1: Fig. S2) and ZC3H13-KLHL1 in-frame fusion events (Additional File 1: Fig. S3a) by observing Iso-Seq reads with split alignments between the fusion partners. The ZC3H13-KLHL1 chimeric protein is predicted to retain domains important for protein function, including the Broad-complex, Tramtrack, Bric-a-Brac/Poxvirus Zinc finger (BTB/POZ) domain and Kelch repeats (Additional File 1: Fig. S3b); however, the association of this fusion with tumorigenesis is uncertain [7]. The RB1-SIAH3 fusion was noted to harbor putative aligned exon sequence derived from SIAH3 intervening sequence. Furthermore, we identified a novel RB1-intergenic fusion aligning to a non-genic region of the genome (Fig. 4b). This fusion event presented as multiple potential isoforms, demonstrated by variability in putative aligned exon sequence supported by flanking splice donor and acceptor sequence. The predicted translation encodes a termination codon early within the putative aligned exon sequence; thus, we do not envisage a full-length chimeric protein to be produced. These findings lend support to a complex structural event that is unable to be fully resolved by NGS methodologies. To further resolve this event and predict the phase of the RB1 fusion events, PacBio single-molecule HiFi circular consensus sequencing (CCS) of paired tumor/normal genomic DNA was performed [33]. The sequencing methodology generated highly accurate (> 99%) reads in excess of 10 kb. The HiFi reads were aligned to the human reference genome version 38 (GRCh38) using minimap2 and NGMLR, with structural variant calling performed with Sniffles, pbsv, and SVIM [10, 17, 28]. An ensemble-based approach was utilized to retain only SVs called by five different approaches. In the tumor tissue, predominately large inversion events spanning 13q14.11-q31.3 both involving and encompassing the RB1 locus were identified (Fig. 5a, Additional File 1: Table S1).
Fig. 4.
PacBio SMRT sequencing by Iso-Seq resolves RB1 transcript isoform structure and diversity. a SMRT sequencing of tumor-derived RNA aligned to GRCh38 identified a novel RB1-SIAH3 fusion which included putative aligned exon sequence derived from intron 1 of SIAH3 prior to the fusion junction. b Multiple transcript isoforms of an RB1-intergenic fusion. The intergenic sequence aligned to a non-genic region of the genome and resulted in the formation of putative aligned exon sequence supported by flanking splice donor and acceptor sequence. Each putative aligned exon is designated as A-G. The supporting number of circular consensus sequencing (CCS) reads are shown for each isoform
Fig. 5.
PacBio SMRT sequencing of paired tumor/normal DNA resolves RB1 structural rearrangement. a Paired tumor/normal PacBio SMRT sequencing demonstrates complex structural variations (SVs) of the tumor aligned to GRCh38. Top: tumor SVs > 1 kb and copy number median-normalized to chromosome 13 coverage. Bottom: comparator normal SVs > 1 kb and copy number median-normalized to chromosome 13 coverage. Type of SVs denoted by a blue line (inversion) and green triangle (insertion). RB1 is denoted by the vertical black line. b Two somatic rearrangements within intron 17 of RB1. Coverage calculated as average of 100 kb bins. Read alignments of breakpoint-associated reads in RB1 are shown. Red reads are sense ( +) strand, blue reads are antisense (-) strand. Lines indicate regions of coverage depth loss corresponding to RB1 SVs
On the basis of achieved read lengths of > 10 kb in HiFi sequencing data, we could predict the phase of certain somatic SVs in the tumor tissue. Importantly, we identified two somatic SVs hypothesized to occur in trans within intron 17 of the RB1 gene based on the absence of reads spanning across both breakpoints (Fig. 5b, Additional File 1: Fig. S4). These events correspond to the RB1-SIAH3 fusion and the RB1-non-genic rearrangement previously identified by next-generation and/or SMRT sequencing methodologies, indicating the complete absence of RB1 protein expression in the tumor is associated with somatic RB1 loss-of-function SVs. Additionally, these data support the hypothesis that the driving event in this tumor is somatic in nature, rather than associated with germline RB1 loss-of-function. Despite the complexity of SVs at this region, the copy number state of the chromosome is not altered; thus, it does not meet the criteria for chromothripsis [16] (Additional File 1: Fig. S5). Therefore, these events are a consequence of a larger, complex, copy-neutral structural rearrangement of chromosome 13q.
Discussion and conclusions
Herein, we described a nine-month-old male with a sporadic, isolated, intracranial, sellar-suprasellar region retinoblastoma (i.e., without evidence of preceding, concomitant, or subsequent development of retinal or pineal gland neoplasia). DNA array-based methylation classified the tumor with high confidence as pineoblastoma group A/intracranial retinoblastoma.
Given the diffuse and strong staining essentially limited to synaptophysin, following performance of an extensive IHC stain panel, many CNS and extra-CNS small cell embryonal tumors were considered in our differential diagnosis. There was no C19MC locus amplification or Lin28a IHC reactivity, making embryonal tumor with multilayered rosettes (ETMR) or related tumor unlikely. Additionally, neither IHC nor FISH detected alterations in BCOR, CIC, or NUTM1, making newly described pediatric embryonal tumors such as the CNS high-grade neuroepithelial tumor with BCOR alteration and CNS Ewing sarcoma family tumor with CIC alteration unlikely. The absence of EWSR1 rearrangement by FISH helped exclude intra- or extra-cranial Ewing’s sarcoma. Retained nuclear expression of INI-1 and Brg-1 excluded atypical teratoid/rhabdoid tumors. Comprehensive germ cell markers, including SALL4, were negative, ruling out poorly differentiated malignant germ cell tumor. Negative staining for Olig-2 and GFAP essentially ruled out a poorly differentiated high-grade glioma/astrocytoma. Negative staining for EMA and GFAP made a poorly differentiated ependymoma unlikely, and the negative Olig-2 made CNS neuroblastoma with FOXR2 activation unlikely. Although synaptophysin was positive, negative chromogranin staining made a poorly differentiated neuroendocrine tumor unlikely. The lack of glandular elements and lack of DICER1 alteration made pituitary blastoma unlikely. Other negative IHC markers (e.g. myogenin, HMB-45, Neu-N, neurofilament, Oct 3/4, Glypican 3, CD1a, and Langerin) essentially excluded rhabdomyosarcoma, melanoma, malignant neuronal/glio-neuronal neoplasms, and Langerhans cell histiocytosis. Instead, the overall findings of diffuse synaptophysin reactivity, presence of Flexner-Wintersteiner-like rosettes, DNA array-based methylation classification, detected RB1 alterations, and complete loss of RB1 expression by IHC in tumor cells, allowed a confident diagnosis of intracranial retinoblastoma.
Along with the tumor location, overall histopathology and molecular characteristics, the methylation-based classification allowed for an essentially definitive diagnosis of intracranial retinoblastoma in what would otherwise have been a difficult to classify embryonal neoplasm. Further molecular workup elucidated the mechanism of somatic RB1 inactivation in this tumor in the absence of germline RB1 or DICER1 alterations. As part of a clinical trial for medulloblastomas and other CNS embryonal tumors, our patient was treated with intensive chemotherapy followed by three tandem stem-cell rescues and with no evidence of residual tumor at completion of therapy. Similar regimens have been described in the treatment of other intracranial retinoblastomas, obviating the use of radiotherapy [23].
The integration of classification by genome-wide DNA array-based methylation profiling into the clinical diagnostic paradigm for CNS tumors with challenging histopathology has aided in refining both diagnosis and clinical management [12]. The utility of this methodology in combination with comprehensive genomic profiling was evident in this patient, as standard histopathological work-up originally resulted in a less-definitive diagnosis of CNS embryonal neoplasm, NOS, for this infant.
Given the differential diagnoses of intracranial retinoblastoma and pituitary blastoma, potential germline alterations of RB1 and DICER1 were investigated but not found. Of clinical importance, children with hereditary RB1 alterations are at increased risk for developing midline intracranial tumors, including pineal and sellar region tumors [11]. This phenomenon can be attributed to a common embryogenesis between the retinae and pineal gland, explaining the co-occurrence of retinoblastomas and pineoblastoma in patients with “trilateral” retinoblastoma. Moreover, the presence of ectopic photoreceptor cells along intracranial portions of the optic nerve system provides an explanation for the development of midline, intracranial, sellar region retinoblastoma [26, 27, 31]. Therefore, accurately identifying individuals with germline RB1 alterations is critical for appropriate genetic counseling and clinical management (e.g., surveillance strategies and cancer risk assessment) [29]. Notably, diagnosis of intracranial retinoblastoma in an individual without hereditary retinoblastoma, incorporating DNA array-based methylation profiling, has previously been described [23], though this was in a patient with a concomitant pineal lesion. This report and the aforementioned prior study [23] highlight the utility of this methodology for this rare subset of non-heritable intracranial retinoblastoma.
Although the genomic landscape of retinoblastoma is diverse, large structural rearrangements are infrequently reported and, when described, are typically associated with chromothripsis [2, 15, 21, 22, 30]. Herein, the identification of the RB1-SIAH3 and ZC3H13-KLHL1 fusions by RNA-sequencing led us to further investigate the possibility of a larger chromosomal event. RB1 and SIAH3 reside in close proximity (~ 2 Mb apart) to one another on chromosome 13 but are transcribed in alternate directions. The chimeric protein product of the RB1-SIAH3 fusion is predicted to truncate the linker domain and pocket domain B of RB1. The interaction of the RB1 pocket domains A and B with the linker domain is critical to tumor suppression and the E2F regulatory function associated with RB1 [9]. Through SMRT sequencing technologies, we identified a second RB1 fusion with non-genic chromosome 13 sequence expected to disrupt RB1 protein expression. Both identified fusions demonstrated RB1 breakpoints within intron 17. Although structural rearrangements in RB1 are exceedingly rare, intron 17 breakpoints have been reported in multiple tumors with complex structural rearrangement in two independent studies, suggesting this may be a recurrent region for rearrangement [2, 20]. However, larger studies are necessary to confirm this finding. These fusions are predicted to result in complete loss-of-function, as evidenced by the absence of RB1 protein expression as demonstrated by IHC herein. Through multiple methodologies, we determined that the copy number state of chromosome 13 remained neutral, despite the presence of complex structural rearrangements.
Utilization of NGS methodologies to fully elucidate the complex biological mechanism of this intracranial retinoblastoma proved challenging. However, through the use of multiple sequencing methodologies and algorithms, we identified significant overlap in the high-confidence SVs. SMRT sequencing technologies overcome many of the limitations of NGS approaches which rely on short reads, including the ability to interrogate reads > 10 kb in length from a single DNA molecule for SV detection [19]. These approaches are more sensitive to larger chromosomal events than NGS technologies; the reads are more likely to encompass the breakpoint or the entire structural rearrangement and can provide the advantage of predicting phased genomic variation [19, 25]. Through SMRT sequencing methodologies, we were able to confirm two somatic rearrangements within RB1, predicted to be in trans, and supported by the absence of RB1 staining by IHC.
Our patient was treated on Head Start 4, a clinical trial for pediatric patients with medulloblastoma or other CNS embryonal tumors and randomized to undergo tandem autologous hematopoietic stem-cell rescues with three cycles of carboplatin and thiotepa. A prior report used a similar regimen of tandem high-dose chemotherapy with carboplatin, etoposide, cyclophosphamide, and thiotepa followed by autologous hematopoietic stem cell transplant for an infant with intracranial retinoblastoma [23]. In both our described patient and the prior case [23], a partial resection with a stable response was achieved, obviating the need for ancillary radiation therapy and its associated morbidity in this age group. Retrospective studies and case reports have shown the utilization of high-dose chemotherapy in the setting of trilateral retinoblastoma improves survival, although a standardized regimen has yet to be determined [4, 34, 35].
In summary, we report on an infant with an isolated, intracranial, sellar-suprasellar region retinoblastoma in the absence of a germline RB1 alteration. A comprehensive approach to molecular profiling, including DNA array-based methylation profiling, Illumina NGS, and Pacific Bioscience SMRT sequencing, were critical for providing a definitive diagnosis and understanding the biological mechanism of RB1 inactivation. The patient was treated using high-dose chemotherapy with autologous hematopoietic stem cell transplant, a regimen that has demonstrated benefit in small studies of trilateral retinoblastoma [4, 34, 35].
Supplementary Information
Additional file 1 Supplementary methods and data.
Acknowledgements
We thank the patient and their family for participating in our translational research protocol. We thank the Nationwide Foundation Pediatric Innovation Fund for generously supporting sequencing, data production, and analysis. Preliminary data was presented at the American Association of Neuropathology annual meeting in Atlanta, GA in June, 2019. E.A.K. was supported by the National Institute of General Medical Sciences of the National Institutes of Health under Award Number 2T32GM068412-11A1. The content is solely the responsibility of the authors and does not necessarily represent the official views of the National Institutes of Health.
Abbreviations
- BCOR
BCL-6 interacting corepressor protein
- BCOR
BCL-6 interacting corepressor gene
- BRG1
Transcription activator BRG1
- BTB/POZ
Broad-complex, Tramtrack, Bric-a-Brac/Poxvirus Zinc finger
- CCS
Circular consensus sequencing
- cDNA
Complimentary deoxyribonucleic acid
- CIC
Capicua transcriptional repressor gene
- CNA(s)
Copy number alteration(s)
- CNS
Central nervous system
- DICER1
Dicer 1, ribonuclease III gene
- DLEU1
Deleted In Lymphocytic Leukemia 1
- DNAJC12
DnaJ Heat Shock Protein Family (Hsp40) Member C12 gene
- dNTP(s)
Deoxyribonucleotide triphosphate(s)
- dsDNA
Double stranded deoxyribonucleic acid
- DXA
Dual-energy X-ray absorptiometry
- eES
Enhanced exome sequencing
- EMA
Epithelial membrane antigen
- ETMR
Embryonal tumor with multilayered rosettes
- EWSR1
Ewing sarcoma breakpoint region 1 gene
- FISH
Fluorescence in-situ hybridization
- G-tube
Gastrostomy tube
- GFAP
Glial fibrillary acid protein
- GI
Gastrointestinal
- GRCh37
Genome Reference Consortium Human Build 37
- GRCh38
Genome Reference Consortium Human Build 38
- GRCh38.p13
Genome Reference Consortium Human Build 38 patch release 13
- GS
Genome sequencing
- H&E
Hematoxylin and eosin
- IHC
Immunohistochemical
- IGM
The Steve and Cindy Rasmussen Institute for Genomic Medicine (IGM)
- indel
Insertion-deletion
- INI1
Integrase interactor 1
- IRB
Institutional Review Board
- KLHL1
Kelch-like 1 gene
- LINE
Long interspersed nuclear element
- LIN28
Lin-28 homolog A
- LOH
Loss of heterozygosity
- MRI
Magnetic resonance imaging
- MYCN
N-MYC proto-oncogene
- NCH
Nationwide Children’s Hospital
- Neu-N
Neuronal nuclei protein
- NGS
Next generation sequencing
- NOS
Not otherwise specified
- nt(s)
Nucleotide(s)
- NUTM1
Nuclear protein in testis family member 1 protein
- PacBio
Pacific Biosciences
- PBMCs
Peripheral blood mononuclear cells
- PCR
Polymerase chain reaction
- qPCR
Quantitative polymerase chain reaction
- RB1
Retinoblastoma protein
- RB1
RB Transcriptional Corepressor 1 gene
- RBP3
Retinol Binding Protein 3 gene
- RNA-seq
RNA-sequencing
- RT-PCR
Reverse transcriptase polymerase chain reaction
- SIAH3
Siah E3 Ubiquitin Protein Ligase Family Member 3 gene
- SMRT
Single Molecule Real Time sequencing
- SNV(s)
Single nucleotide variant(s)
- SV(s)
Structural variation(s)
- TPM
Transcripts per million
- TPT1
Tumor Protein, Translationally-Controlled 1 gene
- t-SNE
T-Distributed Stochastic Neighbor Embedding
- ZC3H13
Zinc Finger CCCH-Type Containing 13 gene
Authors’ contributions
KMS and AZF both drafted the manuscript KMS, EAK, SM, AM, MEH-G, SL, KEM, DCK. PB, BK, AW, PW, VM, ERM, RKW, and CEC. contributed to the extensive molecular workup of the patient. VA, MS, SC, RAJ, AS, JLF, DSO, AID, and JRL contributed to the clinical workup of the patient. DPR contributed to the radiologic findings for the case. AZF, MS, BAO, CRP, and DRB contributed to the histopathologic, immunohistochemical, FISH, and DNA array-based methylation findings for the case. All authors read and approved the final manuscript.
Funding
We thank the Nationwide Foundation Pediatric Innovation Fund for generously supporting sequencing, data production, and analysis. E.A.K. was supported by the National Institute of General Medical Sciences of the National Institutes of Health under Award Number 2T32GM068412-11A1. The content is solely the responsibility of the authors and does not necessarily represent the official views of the National Institutes of Health.
Availability of data and materials
The datasets generated during and/or analyzed during the current study are available in dbGAP (https://www.ncbi.nlm.nih.gov/gap/) [phs001820.v1.p1].
Declarations
Ethics approval and consent to participate and consent for publication
The patient was enrolled as part of an Institutional Review Board (IRB) approved study (IRB18-00662) at The Steve and Cindy Rasmussen Institute for Genomic Medicine (IGM) at Nationwide Children’s Hospital (NCH). Informed consent was provided by the patient’s parents for comprehensive genomic analysis and publication.
Competing interests
V.M. is a Key Opinion Leader at New England Biolabs. The remaining authors declare that they have no competing interests.
Footnotes
Publisher's Note
Springer Nature remains neutral with regard to jurisdictional claims in published maps and institutional affiliations.
KathleenM. Schieffer and AlexanderZ. Feldman have contributed equally to this work
Contributor Information
Kathleen M. Schieffer, Email: Kathleen.Schieffer@nationwidechildrens.org
Alexander Z. Feldman, Email: Alexander.feldman@northwestern.edu
Esko A. Kautto, Email: Esko.Kautto@nationwidechildrens.org
Sean McGrath, Email: Sean.McGrath@nationwidechildrens.org.
Anthony R. Miller, Email: Anthony.Miller@nationwidechildrens.org
Maria Elena Hernandez-Gonzalez, Email: Maria.HernandezGonzalez@nationwidechildrens.org.
Stephanie LaHaye, Email: Stephanie.LaHaye@nationwidechildrens.org.
Katherine E. Miller, Email: Katherine.Miller@nationwidechildrens.org
Daniel C. Koboldt, Email: Daniel.Koboldt@nationwidechildrens.org
Patrick Brennan, Email: Patrick.Brennan@nationwidechildrens.org.
Benjamin Kelly, Email: ben.kelly@nationwidechildrens.org.
Amy Wetzel, Email: Amy.Wetzel@nationwidechildrens.org.
Vibhuti Agarwal, Email: Vibhuti.Agarwal@nemours.org.
Margaret Shatara, Email: shatara@wustl.edu.
Suzanne Conley, Email: Suzanne.Conley@nationwidechildrens.org.
Diana P. Rodriguez, Email: Diana.Rodriguez@nationwidechildrens.org
Rolla Abu-Arja, Email: Rolla.Abu-Arja@nationwidechildrens.org.
Ala Shaikhkhalil, Email: Ala.Shaikhkhalil@nationwidechildrens.org.
Matija Snuderl, Email: Matija.Snuderl@nyulangone.org.
Brent A. Orr, Email: Brent.Orr@STJUDE.ORG
Jonathan L. Finlay, Email: Neuronc514@icloud.com
Diana S. Osorio, Email: Diana.Osorio@nationwidechildrens.org
Annie I. Drapeau, Email: Annie.Drapeau@nationwidechildrens.org
Jeffrey R. Leonard, Email: Jeffrey.Leonard@nationwidechildrens.org
Christopher R. Pierson, Email: Christopher.Pierson@nationwidechildrens.org
Peter White, Email: Peter.White@nationwidechildrens.org.
Vincent Magrini, Email: Vincent.Magrini@nationwidechildrens.org.
Elaine R. Mardis, Email: Elaine.Mardis@nationwidechildrens.org
Richard K. Wilson, Email: Richard.Wilson@nationwidechildrens.org
Catherine E. Cottrell, Email: Catherine.Cottrell@nationwidechildrens.org
Daniel R. Boué, Email: Daniel.Boue@nationwidechildrens.org
References
- 1.Capper D, Jones DTW, Sill M, Hovestadt V, Schrimpf D, Sturm D, et al. DNA methylation-based classification of central nervous system tumours. Nature. 2018;555:469–474. doi: 10.1038/nature26000. [DOI] [PMC free article] [PubMed] [Google Scholar]
- 2.Davies HR, Broad KD, Onadim Z, Price EA, Zou X, Sheriff I, et al. Whole-genome sequencing of retinoblastoma reveals the diversity of rearrangements disrupting RB1 and uncovers a treatment-related mutational signature. Cancers (Basel) 2021;13:754. doi: 10.3390/cancers13040754. [DOI] [PMC free article] [PubMed] [Google Scholar]
- 3.Dimaras H, Corson TW, Cobrinik D, White A, Zhao J, Munier FL, et al. Retinoblastoma. Nat Rev Dis Prim. 2015 doi: 10.1038/nrdp.2015.21. [DOI] [PMC free article] [PubMed] [Google Scholar]
- 4.Dunkel IJ, Jubran RF, Gururangan S, Chantada GL, Finlay JL, Goldman S, et al. Trilateral retinoblastoma: potentially curable with intensive chemotherapy. Pediatr Blood Cancer. 2010;54:384–387. doi: 10.1002/pbc.22336. [DOI] [PubMed] [Google Scholar]
- 5.Elias WJ, Lopes MBS, Golden WL, Jane S, Gonzalez-Fernandez F. Trilateral retinoblastoma variant indicative of the relevance of the retinoblastoma tumor-suppressor pathway to medulloblastomas in humans. J Neurosurg. 2001;95:871–878. doi: 10.3171/jns.2001.95.5.0871. [DOI] [PubMed] [Google Scholar]
- 6.Finelli DA, Shurin SB, Bardenstein DS. Trilateral retinoblastoma: Two variations. Am J Neuroradiol. 1995;16:166–170. [PMC free article] [PubMed] [Google Scholar]
- 7.Gupta VA, Beggs AH. Kelch proteins: Emerging roles in skeletal muscle development and diseases. Skelet Muscle. 2014;4:11. doi: 10.1186/2044-5040-4-11. [DOI] [PMC free article] [PubMed] [Google Scholar]
- 8.Harbour JW. Molecular basis of low-penetrance retinoblastoma. Arch Ophthalmol. 2001;119:1699–1704. doi: 10.1001/archopht.119.11.1699. [DOI] [PubMed] [Google Scholar]
- 9.Harbour JW, Dean DC. The Rb/E2F pathway: Expanding roles and emerging paradigms. Genes Dev. 2000;14:2393–2409. doi: 10.1101/gad.813200. [DOI] [PubMed] [Google Scholar]
- 10.Heller D, Vingron M. SVIM: structural variant identification using mapped long reads. Bioinformatics. 2019;35:2907–2915. doi: 10.1093/bioinformatics/btz041. [DOI] [PMC free article] [PubMed] [Google Scholar]
- 11.Kamihara J, Bourdeaut F, Foulkes WD, Molenaar JJ, Mosse YP, et al. Retinoblastoma and Neuroblastoma predisposition and surveillance. Clin Cancer Res. 2017;23:e98–e106. doi: 10.1158/1078-0432.CCR-17-0652. [DOI] [PMC free article] [PubMed] [Google Scholar]
- 12.Karimi S, Zuccato JA, Mamatjan Y, Mansouri S, Suppiah S, et al. The central nervous system tumor methylation classifier changes neuro-oncology practice for challenging brain tumor diagnoses and directly impacts patient care. Clin Epigenetics. 2019 doi: 10.1186/s13148-019-0766-2. [DOI] [PMC free article] [PubMed] [Google Scholar]
- 13.Kingston JE, Plowman PN, Hungerford JL. Ectopic intracranial retinoblastoma in childhood. Br J Ophthalmol. 1985;69:742–748. doi: 10.1136/bjo.69.10.742. [DOI] [PMC free article] [PubMed] [Google Scholar]
- 14.Knudson AG. Mutation and cancer: statistical study of retinoblastoma. Proc Natl Acad Sci U S A. 1971;68:820–823. doi: 10.1073/pnas.68.4.820. [DOI] [PMC free article] [PubMed] [Google Scholar]
- 15.Kooi IE, Mol BM, Massink MPG, Ameziane N, Meijers-Heijboer H, et al. Somatic genomic alterations in retinoblastoma beyond RB1 are rare and limited to copy number changes. Sci Rep. 2016;6:25264. doi: 10.1038/srep25264. [DOI] [PMC free article] [PubMed] [Google Scholar]
- 16.Korbel JO, Campbell PJ. Criteria for inference of chromothripsis in cancer genomes. Cell. 2013;152:1226–1236. doi: 10.1016/j.cell.2013.02.023. [DOI] [PubMed] [Google Scholar]
- 17.Li H. Minimap2: pairwise alignment for nucleotide sequences. Bioinformatics. 2018;34:3094–3100. doi: 10.1093/bioinformatics/bty191. [DOI] [PMC free article] [PubMed] [Google Scholar]
- 18.MacDonald JR, Ziman R, Yuen RKC, Feuk L, Scherer SW. The database of genomic variants: a curated collection of structural variation in the human genome. Nucleic Acids Res. 2014 doi: 10.1093/nar/gkt958. [DOI] [PMC free article] [PubMed] [Google Scholar]
- 19.Mantere T, Kersten S, Hoischen A. Long-read sequencing emerging in medical genetics. Front Genet. 2019;10:426. doi: 10.3389/fgene.2019.00426. [DOI] [PMC free article] [PubMed] [Google Scholar]
- 20.McEvoy J, Nagahawatte P, Finkelstein D, Richards-Yutz J, Valentine M, et al. RB1 gene inactivation by chromothripsis in human retinoblastoma. Oncotarget. 2014;5:438–450. doi: 10.18632/oncotarget.1686. [DOI] [PMC free article] [PubMed] [Google Scholar]
- 21.Price EA, Price K, Kolkiewicz K, Hack S, Reddy MA, Hungerford JL, et al. Spectrum of RB1 mutations identified in 403 retinoblastoma patients. J Med Genet. 2014;51:208–214. doi: 10.1136/jmedgenet-2013-101821. [DOI] [PubMed] [Google Scholar]
- 22.Richter S, Vandezande K, Chen N, Zhang K, Sutherland J, Anderson J, et al. Sensitive and efficient detection of RB1 gene mutations enhances care for families with retinoblastoma. Am J Hum Genet. 2003;72:253–269. doi: 10.1086/345651. [DOI] [PMC free article] [PubMed] [Google Scholar]
- 23.Römer T, Temming P, Lohmann DR, Sturm D, von Deimling A, Sellhaus B, et al. Ectopic intracranial retinoblastoma in a 3.5-month-old infant without eye involvement and without evidence of heritability. Pediatr Blood Cancer. 2019;66:1–5. doi: 10.1002/pbc.27599. [DOI] [PubMed] [Google Scholar]
- 24.Rushlow DE, Mol BM, Kennett JY, Yee S, Pajovic S, Thériault BL, et al. Characterisation of retinoblastomas without RB1 mutations: Genomic, gene expression, and clinical studies. Lancet Oncol. 2013;14:327–334. doi: 10.1016/S1470-2045(13)70045-7. [DOI] [PubMed] [Google Scholar]
- 25.Sakamoto Y, Sereewattanawoot S, Suzuki A. A new era of long-read sequencing for cancer genomics. J Hum Genet. 2020;65:3–10. doi: 10.1038/s10038-019-0658-5. [DOI] [PMC free article] [PubMed] [Google Scholar]
- 26.Santagata S, Maire CL, Idbaih A, Geffers L, Correll M, Holton K, et al. CRX is a diagnostic marker of retinal and pineal lineage tumors. PLoS ONE. 2009 doi: 10.1371/journal.pone.0007932. [DOI] [PMC free article] [PubMed] [Google Scholar]
- 27.Sapède D, Cau E (2013) The Pineal Gland from development to function. In: Current topics in developmental biology. Academic Press Inc., pp 171–215 [DOI] [PubMed]
- 28.Sedlazeck FJ, Rescheneder P, Smolka M, Fang H, Nattestad M, Von Haeseler A, et al. Accurate detection of complex structural variations using single-molecule sequencing. Nat Methods. 2018;15:461–468. doi: 10.1038/s41592-018-0001-7. [DOI] [PMC free article] [PubMed] [Google Scholar]
- 29.Skalet AH, Gombos DS, Gallie BL, Kim JW, Shields CL, Marr BP, et al. Screening children at risk for retinoblastoma: consensus report from the American association of ophthalmic oncologists and pathologists. Ophthalmology. 2018;125:453–458. doi: 10.1016/j.ophtha.2017.09.001. [DOI] [PubMed] [Google Scholar]
- 30.Stephens PJ, Greenman CD, Fu B, Yang F, Bignell GR, Mudie LJ, et al. Massive genomic rearrangement acquired in a single catastrophic event during cancer development. Cell. 2011;144:27–40. doi: 10.1016/j.cell.2010.11.055. [DOI] [PMC free article] [PubMed] [Google Scholar]
- 31.Torczynski E, Jacobiec FA, Johnston MC, Font RL, Madewell JA. Synophthalmia and cyclopia: a histopathologic, radiographic, and organogenetic analysis. Doc Ophthalmol. 1977;44:311–378. doi: 10.1007/bf00230088. [DOI] [PubMed] [Google Scholar]
- 32.Valverde JR, Alonso J, Palacios I, Pestaña Á. RB1 gene mutation up-date, a meta-analysis based on 932 reported mutations available in a searchable database. BMC Genet. 2005;6:53. doi: 10.1186/1471-2156-6-53. [DOI] [PMC free article] [PubMed] [Google Scholar]
- 33.Wenger AM, Peluso P, Rowell WJ, Chang PC, Hall RJ, Concepcion GT, et al. Accurate circular consensus long-read sequencing improves variant detection and assembly of a human genome. Nat Biotechnol. 2019;37:1155–1162. doi: 10.1038/s41587-019-0217-9. [DOI] [PMC free article] [PubMed] [Google Scholar]
- 34.Wright KD, Qaddoumi I, Patay Z, Gajjar A, Wilson MW, Rodriguez-Galindo C. Successful treatment of early detected trilateral retinoblastoma using standard infant brain tumour therapy. Pediatr Blood Cancer. 2010;55:570–572. doi: 10.1002/pbc.22545. [DOI] [PMC free article] [PubMed] [Google Scholar]
- 35.Yamanaka R, Hayano A, Takashima Y. Trilateral retinoblastoma: a systematic review of 211 cases. Neurosurg Rev. 2019;42:39–48. doi: 10.1007/s10143-017-0890-4. [DOI] [PubMed] [Google Scholar]
- 36.Zhang J, Walsh MF, Wu G, Edmonson MN, Gruber TA, Easton J, et al. Germline mutations in predisposition genes in pediatric cancer. N Engl J Med. 2015;373:2336–2346. doi: 10.1056/NEJMoa1508054. [DOI] [PMC free article] [PubMed] [Google Scholar]
Associated Data
This section collects any data citations, data availability statements, or supplementary materials included in this article.
Supplementary Materials
Additional file 1 Supplementary methods and data.
Data Availability Statement
The datasets generated during and/or analyzed during the current study are available in dbGAP (https://www.ncbi.nlm.nih.gov/gap/) [phs001820.v1.p1].



