Abstract
Background
Surgical resection remains the best option for long-term survival in colorectal cancer (CRC); however, surgery can lead to tumor cell release into the circulation. Previous studies have also shown that surgery can affect cancer cell growth. The role of perioperative factors influencing long-term survival in patients presenting for CRC surgery remains to be investigated.
Methods
This retrospective single–center cohort study was conducted to collect the clinical data of patients who underwent elective laparoscopic resection for CRC from January 2014 to December 2015, namely clinical manifestations, pathological results, and perioperative characteristics. Survival was estimated using the Kaplan–Meier log-rank test. Univariable and multivariable Cox regression models were used to compare hazard ratios (HR) for death.
Results
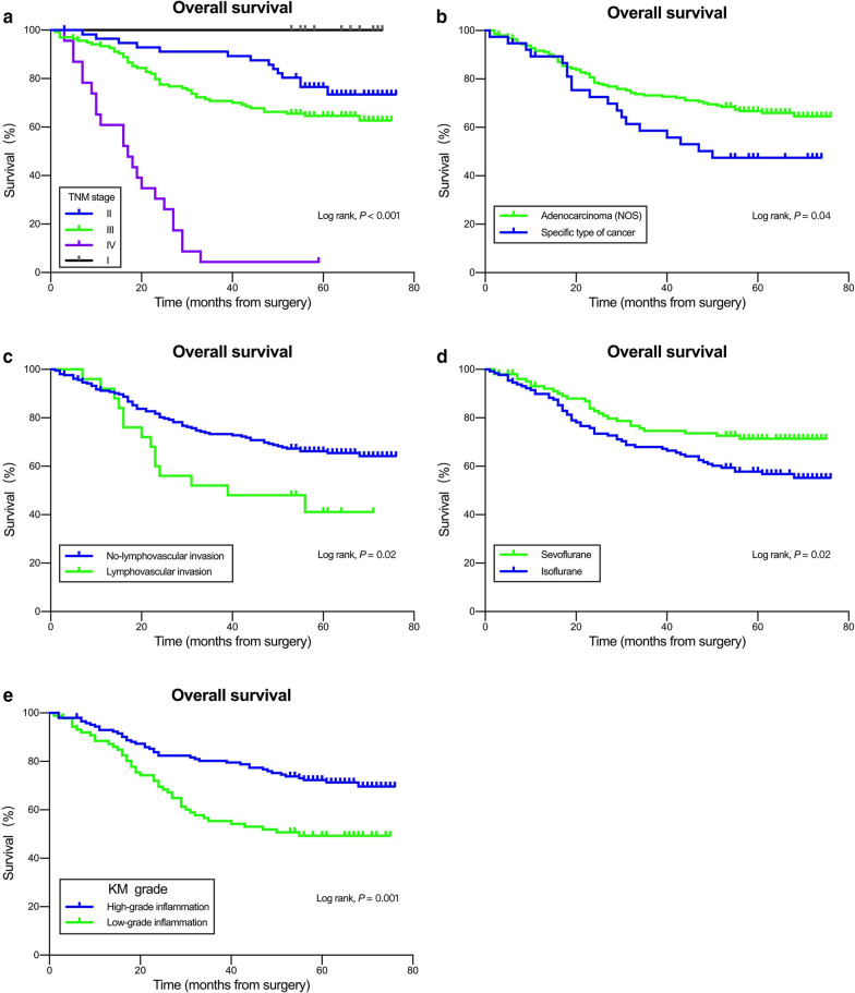
A total of 234 patients were eligible for analysis. In the multivariable Cox model, tumor-node-metastasis (TNM) stage (stage IV: HR 30.63, 95% confidence interval (CI): 3.85–243.65; P = 0.001), lymphovascular invasion (yes: HR 2.07, 95% CI 1.09–3.92; P = 0.027), inhalational anesthesia with isoflurane (HR 1.96, 95% CI 1.19–3.21; P = 0.008), and Klintrup–Makinen (KM) inflammatory cell infiltration grade (low-grade inflammation: HR 2.03, 95% CI 1.20–3.43; P = 0.008) were independent risk factors affecting 5-year overall survival after laparoscopic resection for CRC.
Conclusions
TNM stage, lymphovascular invasion, isoflurane, and KM grade were independent risk factors affecting CRC prognosis. Sevoflurane and high-grade inflammation may be associated with improved survival in CRC patients undergoing resection.
Keywords: Colorectal cancer, Colorectal cancer surgery, Perioperative risk factors, Survival outcome, Sevoflurane, High-grade inflammation
Background
Colorectal cancer (CRC) accounts for approximately 10% of all annually diagnosed cancers and cancer-related deaths worldwide. In 2018, over 1.8 million new CRC cases and 881,000 deaths were estimated. Overall, CRC ranks third in incidence but second in mortality, and currently presents a global public health problem [1, 2].
Surgical resection is the primary treatment for patients suffering from CRC [3]. Paradoxically, observations concerning the negative effects of surgery on cancer development have been documented 2000 years ago. It has been acknowledged that surgery itself may cause metabolic and neuroendocrine changes, thus inhibiting cell-mediated immunity, stimulating the implantation of circulating tumor cells, and leading to tumor recurrence or metastasis, and is associated with worse long-term outcomes [4–7]. Moreover, perioperative influencing factors, such as anesthetics, stress and inflammation, may be a decisive window, in which competitive factors promote or prevent the metastasis of residual cancer cells.
There is increasing evidence from animal and human cancer cell studies that anesthetics can affect the immune system in different ways [8–12], but few studies have compared sevoflurane-versus isoflurane-based anesthesia. Moreover, it is increasingly obvious that the prognosis of CRC does not entirely depend on the characteristics of the tumor. Tumor related inflammation has an unexpected and contradictory role in promoting tumor progression, and in effect helps early tumor formation to obtain the ability of markers [13]. Therefore, we conducted a retrospective study to explore prognostic factors affecting survival outcomes, and to assess whether the choice of anesthetics, sevoflurane versus isoflurane, and the effect of local or systemic inflammatory response are associated with long-term survival after elective laparoscopic colorectal resection.
Methods
Study design
This was a retrospective cohort study conducted at the Affiliated Hospital of Zunyi Medical University, Zunyi, Guizhou, China.
Participants and data sources
The study was conducted in accordance with the Declaration of Helsinki and the study protocol was reviewed and approved by the Biomedical Research Ethics Committee of the Affiliated Hospital of Zunyi Medical University (Approval number: KLL-2020-266). Informed consent was waived by the the Biomedical Research Ethics Committee of the Affiliated Hospital of Zunyi Medical University. We constructed a database of retrospectively collected data from patients’ medical records from the Affiliated Hospital of Zunyi Medical University, including clinical characteristics, pathological reports, and survival during the follow-up period. From January 2014 to December 2015, 288 patients with an American Society of Anesthesiologists (ASA) score of II–III who underwent elective laparoscopic resection of CRC for tumor–node–metastasis (TNM) stage I–IV CRC according to the Union for International Cancer Control–American Joint Committee on Cancer 8th edition under sevoflurane anesthesia or isoflurane anesthesia were considered for inclusion. The type of anesthesia was determined per the anesthesiologist’s preference. No desflurane or spinal anesthesia was used in these patients, and 54 patients were excluded from the analysis. The exclusion criteria were total intravenous anesthesia; preoperative neoadjuvant chemotherapy or radiotherapy; preoperatively complicated with inflammatory diseases; other malignant tumors; or incomplete data (Fig. 1).
Fig. 1.
Flow diagram showing the selection of patients included in this retrospective analysis
Variables
We retrospectively collected the following patient data: sex; age at the time of surgery; weight; nationality; TNM stage; tumor location; tumor classification; histological type [ adenocarcinoma NOS (not otherwise specified), and special types of cancer (mucinous adenocarcinoma, signet ring cell carcinoma, medullary carcinoma, and neuroendocrine carcinoma)]; degree of differentiation; lymphovascular invasion; the ASA physical status (recorded by the anesthetist or the preassessment team preoperatively); inhalational anesthetic; anesthesia time; duration of surgery; postoperative analgesia; and postoperative hospitalization days. Preoperative systemic inflammatory response was evaluated by inflammation-based prognostic (IPS) scores [14] (Table 1). Inflammatory cell response at the cancer invasive border of the histopathological specimens was assessed by Klintrup–Makinen (KM) grade [15]. A score of 0 denoted no increase in inflammatory cells, and 1 denoted mild and patchy increase in inflammatory cells at the invasive margin, but no destruction of invading cancer cell islets by the inflammatory cells. A score of 2 denoted inflammatory cells forming a band-like infiltrate at the invasive margin with some destruction of cancer cell islets by inflammatory cells. A score of 3 denoted a very prominent inflammatory reaction forming a cup-like zone at the invasive margin, and destruction of cancer cell islets was frequent and invariably present. Furthermore, mild increase (scores 0–1) were combined as low-grade inflammation and moderate to strong increase (scores 2–3) as high-grade inflammation (Fig. 2). These variables were chosen as potential risk factors as they have either been shown, or are posited, to affect survival outcomes.
Table 1.
Inflammation-based prognostic scores
| Scoring system | Score |
|---|---|
| Neutrophil–lymphocyte ratio (NLR) | |
| Neutrophil count: lymphocyte count ≥ 5 | 1 |
| Neutrophil count: lymphocyte count < 5 | 0 |
| Derived neutrophil–lymphocyte ratio (dNLR) | |
| Neutrophil count: (leucocyte count–neutrophil count) ≥ 3 | 1 |
| Neutrophil count: (leucocyte count–neutrophil count) < 3 | 0 |
| Lymphocyte–monocyte ratio (LMR) | |
| Lymphocyte count: monocyte count < 2.35 | 1 |
| Lymphocyte count: monocyte count ≥ 2.35 | 0 |
| Platelet–lymphocyte ratio (PLR) | |
| Platelet count: lymphocyte count > 300 | 2 |
| Platelet count: lymphocyte count 150–300 | 1 |
| Platelet count: lymphocyte count < 150 | 0 |
| Combination of platelet count and NLR (COP–NLR) | |
| NLR > 3 and platelet count > 300 × 109/L | 2 |
| NLR > 3 or platelet count > 300 × 109/L | 1 |
| Neither NLR > 3 nor platelet count > 300 × 109/L | 0 |
| Prognostic nutritional index (PNI) | |
| Albumin (g/L) + 5 × total lymphocyte count (× 109/L) < 45 | 1 |
| Albumin (g/L) + 5 × total lymphocyte count (× 109/L) ≥ 45 | 0 |
Fig. 2.

Infiltration of inflammatory cells at the tumor margin under optical microscopy. Images a and b indicate low-grade inflammatory cell infiltration (magnification: a, × 4; b, × 10), and images c and d indicate high-grade inflammatory cell infiltration (c, × 4; d, × 10)
The primary endpoint was overall survival (OS). Survival time was defined as the interval between the date of surgery and the date of death or June 10, 2020, for those who were censored.
Statistical analysis
Statistical analysis was performed using the Statistical Package for Social Sciences (SPSS™), Windows version 23.0 (IBM Corp., Armonk, NY, USA). All data are presented as n (%).
Five-year OS was depicted visually as a Kaplan–Meier survival curve, and the log-rank test was used to analyze univariable distributions for OS. We used a Cox proportional hazards model for univariable and multivariable analyses to calculate hazard ratios (HR) and corresponding 95% confidence intervals (95% CI). Statistical significance was accepted for P values < 0.05.
Results
From a total of 288 patients operated for CRC from 2014 to 2015, 234 were included in this study. All patients were followed-up regularly until June 10, 2020 or until death. The median follow-up period was 56.5 months (range 30 days to 76 months); 85 (36.3%) patients died in this cohort. The median age at the time of surgery was 60.5 years (range 29–87 years), and the male:female ratio was 131 (56.0%):103 (44.0%). The most common TNM stage was III (58.5%). Of the 234 patients, 104 (44.4%) received sevoflurane anesthesia, and 130 (55.6%) received isoflurane. The frequencies of low- and high-grade inflammation were 89 (38.0%) and 145 (62.0%), respectively. Patient and perioperative characteristics are shown in Table 2.
Table 2.
Patients’ clinical and perioperative characteristics
| Variables | N (%) |
|---|---|
| Sex | |
| Male | 131 (56.0) |
| Female | 103 (44.0) |
| Age (years) | |
| < 60 | 109 (46.6) |
| ≥ 60 | 125 (53.4) |
| Weigh (kg) | |
| < 55 | 113 (48.3) |
| ≥ 55 | 121 (51.7) |
| Nationality | |
| The Han | 217 (92.7) |
| Minority nationality | 17 (7.3) |
| Tumor location | |
| Rectum | 182 (77.8) |
| Colon | 52 (22.2) |
| TNM stage | |
| I | 15 (6.4) |
| II | 59 (25.2) |
| III | 137 (58.5) |
| IV | 23 (9.8) |
| Tumor classification | |
| The elevated | 88 (37.6) |
| The ulcerative | 110 (47.0) |
| The infiltrative | 36 (15.4) |
| Histological type | |
| Adenocarcinoma (NOS) | 196 (83.8) |
| Special types of cancer | 38 (16.2) |
| Degree of differentiation | |
| High | 63 (26.9) |
| Medium | 140 (59.8) |
| Low | 31 (13.2) |
| Lymphovascular invasion | |
| Yes | 25 (10.7) |
| No | 209 (89.3) |
| ASA | |
| II | 194 (82.9) |
| III | 40 (17.1) |
| Inhalation anesthetics | |
| Sevoflurane | 104 (44.4) |
| Isoflurane | 130 (55.6) |
| Anesthesia time (h) | |
| < 4.5 | 110 (47.0) |
| ≥ 4.5 | 124 (53.0) |
| Duration of surgery (h) | |
| < 3.5 | 122 (52.1) |
| ≥ 3.5 | 112 (47.9) |
| Postoperative analgesia | |
| Yes | 227 (97.0) |
| No | 7 (3.0) |
| Postoperative hospitalization days | |
| < 13 | 117 (50.0) |
| ≥ 13 | 117 (50.0) |
| IPS score | |
| < 1 | 78 (33.3) |
| ≥ 1 | 156 (66.7) |
| KM grade | |
| Low–grade inflammation | 89 (38.0) |
| High–grade inflammation | 145 (62.0) |
Data shown as n (%)
TNM tumor-node-metastasis, Adenocarcinoma (NOS) adenocarcinoma, not otherwise specified, ASA American Society of Anesthesiologists, IPS score inflammation-based prognostic scores, KM grade Klintrup–Makinen (KM) inflammatory cell infiltration grade
Associations between each variable and OS are presented in Table 3, for which univariable analysis and multivariable Cox regression were performed. Significant variables (TNM stage, histological type, lymphovascular invasion, inhalational anesthetic, and KM grade) in the univariable analysis were included in the multivariable Cox proportional hazards model. The multivariable analysis indicated that TNM stage (stage IV: HR 30.63, 95% CI 3.85–243.65; P = 0.001), lymphovascular invasion (yes: HR 2.07, 95% CI 1.09–3.92; P = 0.027), inhalational anesthesia with isoflurane (HR 1.96, 95% CI 1.19–3.21; P = 0.008), and KM grade (low-grade inflammation: HR 2.03, 95% CI 1.20–3.43; P = 0.008) were independent prognostic factors for 5-year OS.
Table 3.
Cox proportional hazards regression analysis of mortality: univariable and multivariable models for the entire cohort
| Variables | Univariable | Multivariable | ||
|---|---|---|---|---|
| HR (95% CI) | P value | HR (95% CI) | P value | |
| Sex | ||||
| Male | 1 | 1 | ||
| Female | 0.86 (0.56–1.33) | 0.506 | 1.13 (0.69–1.85) | 0.621 |
| Age (years) | ||||
| < 60 | 1 | 1 | ||
| ≥ 60 | 0.76 (0.50–1.16) | 0.201 | 0.62 (0.38–1.01) | 0.057 |
| Weigh (kg) | ||||
| < 55 | 1 | 1 | ||
| ≥ 55 | 1.01 (0.66–1.54) | 0.982 | 0.74 (0.46–1.18) | 0.210 |
| Nationality | ||||
| The Han | 1 | 1 | ||
| Minority nationality | 1.26 (0.58–2.73) | 0.560 | 0.97 (0.41–2.32) | 0.950 |
| Tumor location | ||||
| Rectum | 1 | 1 | 0.103 | |
| Colon | 0.61 (0.34–1.10) | 0.100 | 0.59 (0.31–1.11) | |
| TNM stage | ||||
| I | 1 | 1 | ||
| II | 3.87 (0.51–29.46) | 0.191 | 3.39 (0.43–26.76) | 0.246 |
| III | 6.41 (0.89–46.48) | 0.066 | 4.54 (0.60–34.55) | 0.144 |
| IV | 42.55 (5.67–319.14) | < 0.001 | 30.63 (3.85–243.65) | 0.001 |
| Tumor classification | ||||
| The elevated | 1 | 1 | ||
| The ulcerative | 1.32 (0.81–2.15) | 0.273 | 1.46 (0.85–2.52) | 0.172 |
| The infiltrative | 1.82 (1.00–3.32) | 0.052 | 0.40 (0.06–2.91) | 0.368 |
| Histological type | ||||
| Adenocarcinoma (NOS) | 1 | 1 | ||
| Special types of cancer | 1.69 (1.01–2.81) | 0.042 | 4.28 (0.55–33.31) | 0.165 |
| Degree of differentiation | ||||
| High | 1 | 1 | ||
| Medium | 1.03 (0.62–1.71) | 0.923 | 1.17 (0.66–2.08) | 0.592 |
| Low | 1.58 (0.81–3.06) | 0.180 | 0.94 (0.40–2.20) | 0.886 |
| Lymphovascular invasion | ||||
| No | 1 | 1 | ||
| Yes | 1.95 (1.10–3.46) | 0.020 | 2.07 (1.09–3.92) | 0.027 |
| ASA | ||||
| II | 1 | 1 | ||
| III | 1.15 (0.67–1.98) | 0.614 | 0.86 (0.47–1.59) | 0.632 |
| Inhalation anesthetics | ||||
| Sevoflurane | 1 | 1 | ||
| Isoflurane | 1.68 (1.07–2.65) | 0.022 | 1.96 (1.19–3.21) | 0.008 |
| Anesthesia time (h) | ||||
| < 4.5 | 1 | 1 | ||
| ≥ 4.5 | 0.99 (0.65–1.52) | 0.976 | 1.02 (0.47–2.22) | 0.964 |
| Duration of surgery (h) | ||||
| < 3.5 | 1 | 1 | ||
| ≥ 3.5 | 0.97 (0.64–1.49) | 0.902 | 0.85 (0.38–1.88) | 0.686 |
| Postoperative analgesia | ||||
| No | 1 | 1 | ||
| Yes | 0.52 (0.19–1.41) | 0.196 | 0.44 (0.14–1.34) | 0.149 |
| Postoperative hospitalization days | ||||
| < 13 | 1 | 1 | ||
| ≥ 13 | 1.26 (0.82–1.93) | 0.293 | 1.20 (0.73–1.97) | 0.471 |
| IPS score | ||||
| < 1 | 1 | 1 | ||
| ≥ 1 | 1.26 (0.79–2.00) | 0.326 | 1.19 (0.72–1.98) | 0.496 |
| KM grade | ||||
| High–grade inflammation | 1 | 1 | ||
| Low–grade inflammation | 2.05 (1.34–3.15) | 0.001 | 2.03 (1.20–3.43) | 0.008 |
Bold values indicate statistically significant (P < 0.05)
HR hazard ratios, CI confidence interval, TNM tumor–node–metastasis, Adenocarcinoma (NOS) adenocarcinoma, not otherwise specified, ASA American Society of Anesthesiologists, IPS score inflammation-based prognostic scores, KM grade Klintrup–Makinen (KM) inflammatory cell infiltration grade
The Kaplan–Meier OS curves according to TNM stage, histological type, lymphovascular invasion, inhalational anesthetics, and KM grade are shown in Fig. 3. Forest plots indicated that isoflurane inhalational anesthesia (P = 0.008) and low-grade inflammation (P = 0.008) were independently associated with a high risk of death after operation (Fig. 4).
Fig. 3.
Kaplan–Meier survival curves for patients with colorectal cancer. a Tumor–node–metastasis (TNM) stage; b histological type; c lymphovascular invasion; d inhalational anesthetic type; e Klintrup–Makinen inflammatory cell infiltration grade (KM grade)
Fig. 4.
Forest plot of the survival analysis showing multivariable hazard ratios. This analysis demonstrated significantly worse outcomes in patients with low-grade inflammation, or those receiving isoflurane inhalational anesthesia
Discussion
This retrospective analysis of 234 patients who underwent elective laparoscopic CRC resection over a 5-year period evaluated long-term survival in patients receiving sevoflurane- versus isoflurane-based anesthesia. After analysis using a Cox proportional hazards model, our results suggested that a beneficial effect of sevoflurane inhalational anesthesia and high-grade inflammation for CRC surgery patients was associated with better survival compared with isoflurane anesthesia and low-grade inflammation, respectively. There was a significant association between sevoflurane and high-grade inflammation, and improved survival. IPS score was not associated with a better outcome. We identified associations between TNM stage and lymphovascular invasion, and overall survival after CRC surgery. These findings were consistent with those of prior observational studies that evaluated other types of cancers, such as breast, esophageal squamous cell carcinoma, and gastric cancer [16–18], and showed that these variables decreased the survival of patients after CRC resection. In our study, we focused on overall survival in patients receiving inhalational anesthetics, and the relationship between survival and pathological KM grade after laparoscopic CRC resection. However, previous studies mainly indicated that propofol-based intravenous anesthesia was associated with improved survival in cancer patients undergoing resection [7, 19–21]. To our knowledge, few studies have systematically compared the effects of isoflurane and sevoflurane on the development of CRC after laparoscopic CRC resection. In our study, we found that sevoflurane was superior to isoflurane in lowering mortality after laparoscopic CRC resection.
The perioperative period is of great interest regarding the risk for recurrence after surgery for CRC. There are many factors to promote the postoperative metastasis and recurrence of primary tumors. Tumor cell proliferation and postoperative immunosuppression are considered to be related to tumor metastasis and recurrence. The immune system, especially the cellular immune response, can prevent the proliferation of cancer cells, and plays a central role in the removal of cancer cells after surgery, which is inhibited by surgery. In our study, we also found that high-grade inflammation was associated with superior survival after colorectal surgery for CRC, which was consistent with most published studies suggesting that tumor inflammation or immune cell infiltration in patients with CRC could be a good prognostic marker for CRC [22, 23]. Some studies also show that tumor immune invasion is associated with good prognosis, including survival, recurrence and metastasis rate [24, 25]. However, there may be a variety of immune cell types in a tumor, including innate and adaptive immune cells, and different immune cell subsets in different tumor types. Further prospective studies will help to understand the effect of immune cell subsets on recurrence and metastasis of CRC, to inform improved management and pre-operative optimisation of patients undergoing surgery [26]. At the same time, continuous education related to decision-making and practical handson courses is also necessary [27].
Several limitations should be considered when interpreting the results in our study. First, this was retrospective study, and patients were not randomly allocated. Certain perioperative confounding factors, such as the specific drugs administered, detailed surgical techniques, surgical complications, and intraoperative blood transfusion, also introduced bias. Second, propofol anesthesia has been linked to better survival in cancer populations. In our hospital, we routinely use propofol during CRC resection, and propofol was administered to all patients enrolled in the study; therefore, there was no difference between groups regarding propofol, in the current study. Third, we did not consider the quality and the type of analgesia (e.g., different opioids or analgesic protocols) because 97% of the patients in our study received patient-controlled intravenous analgesia, and the surgeons administered additional analgesics when patients complained of pain. A future prospective study would be useful to validate our conclusions. Definitive evidence of a causal link would have to come from a prospective trial.
Conclusions
In conclusion, we found significantly lower mortality in patients receiving sevoflurane anesthesia for CRC, compared with those receiving isoflurane anesthesia. Additionally, high-grade inflammation was associated with better survival compared with low-grade inflammation. Prospective, randomized studies are needed to determine the exact role of sevoflurane and inflammation in preventing cancer-related morbidity and mortality after CRC surgery.
Acknowledgements
Not applicable.
Abbreviations
- CRC
Colorectal cancer
- TNM
Tumor-node-metastasis
- HR
Hazard ratios
- CI
Confidence interval
- KM grade
Klintrup–Makinen inflammatory cell infiltration grade
- ASA
An American Society of Anesthesiologists
- Adenocarcinoma (NOS)
Adenocarcinoma (not otherwise specified)
- IPS
Inflammation-based prognostic
- OS
Overall survival
Authors' contributions
XXL corresponding to Xing-Xing Liu. JS corresponding to Jun Su. YYL corresponding to Yuan-yuan Long. MH corresponding to Miao He. ZQZ corresponding to Zhao-Qiong Zhu. XXL, JS, YYL, MH, and ZQZ conducted the study. XXL and JS collected the data. YYL interpreted the data. MH analyzed the data. XXL drafted the manuscript. ZQZ revised the manuscript critically. All authors read and approved the final manuscript.
Funding
There was no funding for this study.
Availability of data and materials
The datasets used and/or analysed during the current study are available from the corresponding author (ZQZ) on reasonable request.
Declarations
Ethics approval and consent to participate
The study was conducted in accordance with the Declaration of Helsinki and the study protocol was reviewed and approved by the Biomedical Research Ethics Committee of the Affiliated Hospital of Zunyi Medical University (Approval number: KLL-2020-266). Informed consent was waived by the the Biomedical Research Ethics Committee of the Affiliated Hospital of Zunyi Medical University.
Consent for publication
Not applicable.
Competing interests
The authors declare that they have no competing interests.
Footnotes
Publisher's Note
Springer Nature remains neutral with regard to jurisdictional claims in published maps and institutional affiliations.
References
- 1.Bray F, Ferlay J, Soerjomataram I, et al. Global cancer statistics 2018: GLOBOCAN estimates of incidence and mortality worldwide for 36 cancers in 185 countries. CA Cancer J Clin. 2018;68:394–424. doi: 10.3322/caac.21492. [DOI] [PubMed] [Google Scholar]
- 2.Dekker E, Tanis PJ, Vleugels JLA, et al. Colorectal cancer. Lancet. 2019;394:1467–1480. doi: 10.1016/S0140-6736(19)32319-0. [DOI] [PubMed] [Google Scholar]
- 3.Vogelaar FJ, Abegg R, van der Linden JC, Cornelisse HGJM, van Dorsten FRC, Lemmens VE, Bosscha K. Epidural analgesia associated with better survival in colon cancer. Int J Colorectal Dis. 2015;30:1103–1107. doi: 10.1007/s00384-015-2224-8. [DOI] [PubMed] [Google Scholar]
- 4.Tohme S, Simmons RL, Tsung A. Surgery for cancer: a trigger for metastases. Cancer Res. 2017;77:1548–1552. doi: 10.1158/0008-5472.CAN-16-1536. [DOI] [PMC free article] [PubMed] [Google Scholar]
- 5.Alieva M, van Rheenen J, Broekman MLD. Potential impact of invasive surgical procedures on primary tumor growth and metastasis. Clin Exp Metastasis. 2018;35:319–331. doi: 10.1007/s10585-018-9896-8. [DOI] [PMC free article] [PubMed] [Google Scholar]
- 6.Andreou A, Schmelzle M, Sauer IM, et al. The impact of tumor cell proliferation on occult micrometastases, tumor recurrence and patient outcome following resection for liver malignancies. Zentralbl Chir. 2016;141:375–382. doi: 10.1055/s-0042-108592. [DOI] [PubMed] [Google Scholar]
- 7.Wu ZF, Lee MS, Wong CS, et al. Propofol-based total intravenous anesthesia is associated with better survival than desflurane anesthesia in colon cancer surgery. Anesthesiology. 2018;129:932–941. doi: 10.1097/ALN.0000000000002357. [DOI] [PubMed] [Google Scholar]
- 8.Li R, Liu H, Dilger JP, et al. Effect of propofol on breast cancer cell, the immune system, and patient outcome. BMC Anesthesiol. 2018;18:77. doi: 10.1186/s12871-018-0543-3. [DOI] [PMC free article] [PubMed] [Google Scholar]
- 9.Moyano J, Aguirre L. Opioids in the immune system: from experimental studies to clinical practice. Rev Assoc Med Bras. 1992;2019(65):262–269. doi: 10.1590/1806-9282.65.2.262. [DOI] [PubMed] [Google Scholar]
- 10.Levins KJ, Prendeville S, Conlon S, et al. The effect of anesthetic technique on μ-opioid receptor expression and immune cell infiltration in breast cancer. J Anesth. 2018;32:792–796. doi: 10.1007/s00540-018-2554-0. [DOI] [PMC free article] [PubMed] [Google Scholar]
- 11.Yang W, Cai J, Zabkiewicz C, et al. The effects of anesthetics on recurrence and metastasis of cancer, and clinical implications. World J Oncol. 2017;8:63–70. doi: 10.14740/wjon1031e. [DOI] [PMC free article] [PubMed] [Google Scholar]
- 12.Chamaraux-Tran TN, Piegeler T. The amide local anesthetic lidocaine in cancer surgery-potential antimetastatic effects and preservation of immune cell function? A narrative review. Front Med (Lausanne) 2017;4:235. doi: 10.3389/fmed.2017.00235. [DOI] [PMC free article] [PubMed] [Google Scholar]
- 13.Hanahan D, Weinberg RA. Hallmarks of cancer: the next generation. Cell. 2011;144:646–674. doi: 10.1016/j.cell.2011.02.013. [DOI] [PubMed] [Google Scholar]
- 14.Neal CP, Cairns V, Jones MJ, et al. Prognostic performance of inflammation-based prognostic indices in patients with resectable colorectal liver metastases. Med Oncol. 2015;32:144. doi: 10.1007/s12032-015-0590-2. [DOI] [PubMed] [Google Scholar]
- 15.Klintrup K, Mäkinen JM, Kauppila S, et al. Inflammation and prognosis in colorectal cancer. Eur J Cancer. 2005;41:2645–2654. doi: 10.1016/j.ejca.2005.07.017. [DOI] [PubMed] [Google Scholar]
- 16.Cao X, Zhou Y, Mao F, et al. Combination of preoperative fibrinogen concentration and neutrophil-to-lymphocyte ratio for prediction of the prognosis of patients with resectable breast cancer. Oncol Lett. 2020;20:200. doi: 10.3892/ol.2020.12061. [DOI] [PMC free article] [PubMed] [Google Scholar]
- 17.Kang J, Lee HP, Kim HR, et al. Validation of the post-neoadjuvant staging system of the American joint committee on cancer, 8th edition, in patients treated with neoadjuvant chemoradiotherapy followed by curative esophagectomy for localized esophageal squamous cell carcinoma. Surg Oncol. 2020;35:491–497. doi: 10.1016/j.suronc.2020.10.015. [DOI] [PubMed] [Google Scholar]
- 18.Wu CW, Chen MH, Huang KH, et al. The clinicopathological characteristics and genetic alterations between younger and older gastric cancer patients with curative surgery. Aging (Albany NY) 2020;12:18137–18150. doi: 10.18632/aging.103627. [DOI] [PMC free article] [PubMed] [Google Scholar]
- 19.Zhang GH, Wang W. Effects of sevoflurane and propofol on the development of pneumonia after esophagectomy: a retrospective cohort study. BMC Anesthesiol. 2017;17:164. doi: 10.1186/s12871-017-0458-4. [DOI] [PMC free article] [PubMed] [Google Scholar]
- 20.Wigmore TJ, Mohammed K, Jhanji S. Long-term survival for patients undergoing volatile versus IV anesthesia for cancer surgery: a retrospective analysis. Anesthesiology. 2016;124:69–79. doi: 10.1097/ALN.0000000000000936. [DOI] [PubMed] [Google Scholar]
- 21.Zheng X, Wang Y, Dong L, et al. Effects of propofol-based total intravenous anesthesia on gastric cancer: a retrospective study. Onco Targets Ther. 2018;11:1141–1148. doi: 10.2147/OTT.S156792. [DOI] [PMC free article] [PubMed] [Google Scholar]
- 22.Mei Z, Liu Y, Liu C, et al. Tumour-infiltrating inflammation and prognosis in colorectal cancer: systematic review and meta-analysis. Br J Cancer. 2014;110:1595–1605. doi: 10.1038/bjc.2014.46. [DOI] [PMC free article] [PubMed] [Google Scholar]
- 23.Roxburgh CS, McMillan DC. The role of the in situ local inflammatory response in predicting recurrence and survival in patients with primary operable colorectal cancer. Cancer Treat Rev. 2012;38:451–466. doi: 10.1016/j.ctrv.2011.09.001. [DOI] [PubMed] [Google Scholar]
- 24.Li X, Tan Q, Li H, et al. Predictive value of tumor-infiltrating lymphocytes for response to neoadjuvant chemotherapy and breast cancer prognosis. J Surg Oncol. 2020;123:89. doi: 10.1002/jso.26252. [DOI] [PubMed] [Google Scholar]
- 25.Kim SW, Kim YI, Mustafa B. Distribution pattern of tumor infiltrating lymphocytes and tumor microenvironment composition as prognostic indicators in anorectal malignant melanoma. Mod Pathol. 2020;34:141–160. doi: 10.1038/s41379-020-0633-x. [DOI] [PubMed] [Google Scholar]
- 26.Collaborative EuroSurg. Body mass index and complications following major gastrointestinal surgery: a prospective, international cohort study and meta-analysis. Colorectal Dis. 2018;20:O215–O225. doi: 10.1111/codi.14292. [DOI] [PubMed] [Google Scholar]
- 27.European Society of Coloproctology Collaborating Group Predictors for anastomotic leak, postoperative complications, and mortality after right colectomy for cancer: results from an international snapshot audit. Dis Colon Rectum. 2020;63:606–618. doi: 10.1097/DCR.0000000000001590. [DOI] [PubMed] [Google Scholar]
Associated Data
This section collects any data citations, data availability statements, or supplementary materials included in this article.
Data Availability Statement
The datasets used and/or analysed during the current study are available from the corresponding author (ZQZ) on reasonable request.



