Abstract
Other than respiratory symptoms, influenza A (H1N1) can rarely cause neurological complications in children and adults. In this article, we aimed to present H1N1-associated acute necrotizing encephalopathy (ANE) and asymmetrical involvement of posterior reversible encephalopathy syndrome (PRES) in a 30-month-old male patient with clinical and radiological imaging findings. The patient who presented to the hospital with febrile convulsion and lethargy had elevated liver enzymes and coagulopathy. The magnetic resonance (MR) examination revealed diffusion restriction in bilateral cerebellar white matter, thalami, and periventricular white matter which was consistent with ANE. Susceptibility-weighted imaging (SWI) sequence showed hemorrhage in bilateral thalami and cerebellar white matter. There was high signal on fluid-attenuated inversion recovery (FLAIR) sequences in right temporooccipital cortical, subcortical, and periventricular white matter suggestive of PRES. MR angiography showed vasculopathy which is supportive for PRES. This is the second case of H1N1-associated pediatric PRES reported in the literature.
Keywords: Influenza A virus, Encephalopathy, Posterior reversible encephalopathy syndrome, Vasculopathy, Magnetic resonance imaging, Child
Introduction
H1N1 subtype of influenza A leads to more neurological complications than seasonal influenza. These complications are more common in children than in adults. Neurological complications occur 2 to 3 days after the manifestation of upper respiratory tract symptoms. . H1N1 virus reported to increase the risk of stroke in adults. Among the CNS (central nervous system) complications in children, encephalitis/encephalopathy is the most common. Mortality and sequelae risk is high in Reye’s syndrome and acute necrotizing encephalopathy (ANE), which are special forms of encephalopathy. More rarely, myelitis and Guillain-Barré’s syndrome can be seen [1–5].
It is thought that ANE is an immune-mediated reaction and cytokines play a significant role in its pathophysiology. Previous studies have reported high cytokine levels in serum and CSF (cerebrospinal fluid) in cases of seasonal influenza-associated encephalopathy [1, 6]. The histopathological examinations in previous publications have shown lymphocyte accumulation around vascular structures and in the meninges, but not in the parenchyma [1]. In ANE, magnetic resonance (MR) examination shows increased signal intensity in bilateral thalami, cerebellum, brain stem, dorsal surface of the pons, corpus callosum, and periventricular white matter on T2-weighted images and diffusion restriction on diffusion-weighted (DW) images [1, 7]. Posterior reversible encephalopathy syndrome (PRES) is a clinicoradiological diagnosis leading to acute headaches, seizures, altered states of consciousness, and blindness. The etiology usually includes hypertension, renal and autoimmune diseases, cytotoxic substances such as chemotherapeutic agents and immunosuppressive drugs, eclampsia-preeclampsia, and sepsis. In adults, PRES is usually associated with elevated blood pressure [8]. Two pathophysiological theories have been proposed for PRES. The first hypothesis proposes that the elevation of blood pressure levels to critical levels exceeds the autoregulation limit, resulting in cerebral edema, while the other argues that endothelial dysfunction caused by circulating endogenous and exogenous toxins increases vascular permeability, leading to edema development. In the second theory, the causes include chemotherapeutic and immunosuppressive drugs, which are echogenic toxins, and eclampsia-preeclampsia, sepsis that cause endogenous toxin release. According to this theory, the excessive release of pro-inflammatory cytokines as a result of circulating toxins results in endothelial activation and release of vasoactive agents. It is thought that vasoconstrictive agents released from vascular endothelial cells cause vasospasm, which is commonly seen in PRES [8, 9]. A typical finding of PRES on computed tomography (CT) and MR imaging is bilateral symmetrical vasogenic edema in the cortical, subcortical, and deep white matter. The occipital and parietal lobes are usually involved [10–12]. MR imaging shows iso-hypointense signal changes on T1 images and hyperintense signal changes on T2 and fluid-attenuated inversion recovery (FLAIR) sequences in the affected regions. Etiology-related increased or decreased perfusion is visualized on MR perfusion and single-photon emission computed tomography. Hyperperfusion has been identified in cases of increased blood pressure and hypoperfusion in cases of vasoconstriction [8]. Intracranial hemorrhage can also be seen in PRES cases. It presents with focal hematoma, subarachnoid hemorrhage, and multiple petechial hemorrhage foci [13]. Diffuse or focal vasoconstriction, vasodilation, and string-of-beads sign have been reported on catheter angiography and MR angiography [10, 11, 14, 15].
Three cases of H1N1-associated PRES have been reported in the literature [6, 16, 17]. Only one of these was in the pediatric age group [5]. In this article, we aimed to present a rare case of H1N1-associated pediatric PRES and its imaging findings.
Case Report
A 30-month-old boy presented with febrile convulsion and lethargy. Blood pressure and respiratory rate were normal. He had no history of known chronic disease or drug use. On physical examination, pupils were anisocoric. All four extremities were mobile, and the deep tendon reflexes were normal. No neck stiffness was present. The Glasgow coma score was 6. The patient’s body temperature was measured as 39 °C. The respiratory sounds were coarse, but no rales or rhonchi were noted. The C-reactive protein, alanine aminotransferase (ALT), aspartate aminotransferase (AST), and lactate dehydrogenase were high in blood tests. The leukocyte count was within the normal range. The coagulation tests were high, with a prothrombin time of 18.4 s and an international normalized ratio of 1.38. CSF analysis showed elevated protein level (202 mg/dl). In the throat swab, parainfluenza, respiratory syncytial virus, chlamydia pneumoniae, mycoplasma pneumoniae, Bordetella pertussis, influenza B, rhinovirus, and coronavirus-2019 were negative, but H1N1 was positive. The influenza antigen test was normal. There was no growth in the blood, urine, stool, and CSF cultures.
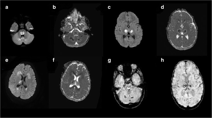
Brain CT performed before lumbar puncture showed hypodense lesions in bilateral thalami, cerebellar white matter, and on the dorsal surface of the pons (Fig. 1). Brain MR, MR angiography, and MR venography were performed 4 days after the patient’s admission to the hospital. We noted high signal intensity on DW images and low signal intensity on apparent diffusion coefficient (ADC) map consistent with diffusion restriction, indicating cytotoxic edema in bilateral cerebellar white matter, brainstem, dorsal surface of the pons, bilateral thalami, and frontoparietal white matter. Hemorrhage was present in bilateral cerebellar white matter and bilateral thalami on susceptibility-weighted imaging (SWI) sequences (Fig. 2). The slightly high signal intensity of right temporooccipital cortical, subcortical, and periventricular white matter on T2 weighted and FLAIR sequences and absent flow in the M3 and M4 segments of the right middle cerebral artery (MCA) on MR angiography with no diffusion restriction were suggestive of PRES (Fig. 3). DW images showed no diffusion restriction consistent with vasogenic edema. The MR venography revealed no pathology. Based on these findings, the patient was initiated on treatment for the diagnosis of H1N1-associated ANE and PRES. The follow-up brain MR examination performed 2 weeks later showed regression in bilateral cerebellar white matter, bilateral thalami, bilateral periventricular white matter, and pons involvement areas consistent with encephalitis. In the right temporooccipital periventricular, subcortical, and cortical areas, the slightly high signal consistent with PRES had disappeared. In line with these findings, the patient’s clinical condition also improved. Six months later with the complaint of epilepsy, the performed MR examination of the patient revealed encephalomalacia in bilateral thalami, bilateral cerebellar white matter consistent with chronic infarction, and signal increase in bilateral frontoparietal white matter consistent with gliosis on FLAIR sequences. No pathological signal was visualized in right temporooccipital areas where PRES findings were present (Fig. 4).
Fig. 1.
Hypodense lesions were noted in bilateral cerebellar white matter (a) and bilateral thalami (b) on the noncontrast brain CT performed on the day of the patient's admission to the hospital
Fig. 2.
Diffusion restriction consistent with cytotoxic edema was present on the diffusion MRI examination performed 4 days after the patient’s admission to the hospital. High signal intensities on DW images and low signal intensities on ADC maps were present in (a, b); bilateral cerebellar white matter, center and dorsal surface of the pons, and bilateral thalami (c, d); bilateral frontal and occipital periventricular white matter (e, f) suggesting ANE. The appearance of focal hemorrhagic signals of ANE in bilateral cerebellar white matter (g) and bilateral thalami (h) on SWI images
Fig. 3.
The slightly high signal intensity of right temporooccipital cortical, subcortical, and periventricular white matter on T2W (a) and FLAIR (b) sequences with absent flow in the M3 and M4 segments of the right MCA on axial (c) and coronal (d) MR angiography was compatible with PRES
Fig. 4.
The brain MRI performed 5 months later for epilepsy showed low signal on DW and high signal on ADC images consistent with focal encephalomalacic areas in bilateral cerebellar white matter (a, b) and thalami (c, d) and signal increase in bilateral frontoparietal periventricular white matter consistent with gliosis on FLAIR sequences (e). No pathological signal change was noted in the right temporooccipital periventricular white matter consistent with PRES (f)
Discussion
Bilateral symmetrical vasogenic edema in the cortical, subcortical, and deep white matter is usually detected on CT and MR imaging in PRES. The occipital and parietal lobes are usually involved; however, the frontal and temporal lobes and cerebellum may also be affected. Although the lesions are mostly symmetrical, asymmetrical involvement has also been reported in around 28% of cases [10–12]. In addition, focal vasogenic edema can also be seen in the basal ganglia, brain stem, and internal and external capsule. An increase in ADC values compatible with vasogenic edema is recorded in DW images [10]. Rarely, low ADC values consistent with diffusion restriction have been reported, which has been found to be reversible on follow-up examinations [18]. A previous study found that lesions with increased ADC values showed more reversibility, and low ADC values were an indicator of cerebral ischemia and poor prognosis [19]. In around 20% of PRES patients, enhancement has been noted in the affected areas, which has not been associated with clinical prognosis [20].
Our patient had elevated ALT, AST levels and coagulopathy, and elevated protein levels in CSF, as previously reported in H1N1-associated encephalopathy [6]. The DWI images of the MRI examination showed restriction in bilateral thalami, periventricular white matter, cerebellum, and brainstem consistent with ANE. We noted hemorrhages in bilateral thalami and cerebellar white matter. The slightly hyperintensity of right temporooccipital area with no diffusion restriction and any flow in the M3 and M4 segments of the right MCA. On the follow-up examinations, the disappearance of vasculopathy confirmed vasoconstriction. As in the previously reported pediatric-age H1N1-associated PRES case, in our case, ANE and vasculopathy accompanied PRES [6]. ANE was not present in previously reported adult cases [16, 17]. Coexistence of ANE and PRES may be more common in pediatric age H1N1-associated CNS complications. While PRES presented mostly bilaterally and symmetrically, there was a unilateral involvement pattern in our case.
Although PRES is generally reversible, neurological sequelae and mortality rates of ANE are high [1]. However, when not treated timely and properly, PRES also causes permanent damage [8]. Early diagnosis and treatment are of importance in the prognosis. MR imaging plays a key role in the early diagnosis of ANE and PRES and can give an idea about the prognosis. However, PRES can be confused with many diseases, especially if the imaging findings do not have a typical involvement pattern. The main differential diagnoses are acute cerebral ischemia, cerebral venous thrombosis, transient cerebral hyperemia, metabolic disorders or mitochondrial encephalomyopathy, lactic acidosis and stroke-like episodes (MELAS), acute disseminated encephalomyelitis (ADEM), cerebral edema, Creutzfeldt-Jakob disease, gliomatosis cerebri, and progressive multifocal leukoencephalopathy [11]. When diagnosing ANE, diseases affecting the cerebral deep white matter should be excluded. These diseases include hemolytic uremic syndrome, toxic encephalopathy, hemorrhagic shock, encephalopathy syndrome, metabolic disorders, hypoxic-ischemic encephalopathy, acute hemorrhagic leukoencephalitis, ADEM, and Reye syndrome [21].
Consequently H1N1 virus can cause ANE and PRES in pediatric patients. Unilateral involvement and vasculopathy may occur in H1N1-associated PRES in pediatric patients. In addition to conventional MR sequences, with DW images and MR angiography, rare patterns of PRES can be recognized and treated at an early stage.
Declarations
Informed consent was waived as this study is retrospective. Ethical approval was obtained from the local ethics committee of our hospital prior to this study.
Conflict of Interest
The authors declare no competing interests.
Footnotes
This article is part of the Topical Collection on Imaging
Publisher’s Note
Springer Nature remains neutral with regard to jurisdictional claims in published maps and institutional affiliations.
Contributor Information
Günay Rona, Email: gunayrona@gmail.com.
Meral Arifoğlu, Email: mirmak80@gmail.com.
Hediye P. Günbey, Email: hpgunbey@hotmail.com
Ufuk Yükselmiş, Email: ufuk810@gmail.com.
References
- 1.Zeng H, Quinet S, Huang W, Gan Y, Han C, He Y, Wang Y. Clinical and MRI features of neurological complications after influenza A (H1N1) infection in critically ill children. Pediatr Radiol. 2013;43(9):1182–1189. doi: 10.1007/s00247-013-2682-5. [DOI] [PubMed] [Google Scholar]
- 2.Gu Y, Shimada T, Yasui Y, Tada Y, Kaku M, Okabe N. National surveillance of influenza-associated encephalopathy in Japan over six years, before and during the 2009-2010 influenza pandemic. PLoS One. 2013;8(1):e54786. doi: 10.1371/journal.pone.0054786. [DOI] [PMC free article] [PubMed] [Google Scholar]
- 3.Ekstrand JJ, Herbener A, Rawlings J, Turney B, Ampofo K, Korgenski EK, Bonkowsky JL. Heightened neurologic complications in children with pandemic H1N1 influenza. Ann Neurol. 2010;68(5):762–766. doi: 10.1002/ana.22184. [DOI] [PubMed] [Google Scholar]
- 4.Prerna A, Lim JY, Tan NW, et al. Neurology of the H1N1 pandemic in Singapore: a nationwide case series of children and adults. J Neurovirol. 2015;21(5):491–499. doi: 10.1007/s13365-015-0341-3. [DOI] [PubMed] [Google Scholar]
- 5.Studahl M. Influenza virus and CNS manifestations. J Clin Virol. 2003;28(3):225–232. doi: 10.1016/s1386-6532(03)00119-7. [DOI] [PubMed] [Google Scholar]
- 6.Bartynski WS, Upadhyaya AR, Petropoulou KA, Boardman JF. Influenza A encephalopathy, cerebral vasculopathy, and posterior reversible encephalopathy syndrome: combined occurrence in a 3-year-old child. AJNR Am J Neuroradiol. 2010;31(8):1443–1446. doi: 10.3174/ajnr.A1903. [DOI] [PMC free article] [PubMed] [Google Scholar]
- 7.Albayram S, Bilgi Z, Selcuk H, Selcuk D, Cam H, Koçer N, Islak C. Diffusion-weighted MR imaging findings of acute necrotizing encephalopathy. AJNR Am J Neuroradiol. 2004;25(5):792–797. [PMC free article] [PubMed] [Google Scholar]
- 8.Fischer M, Schmutzhard E. Posterior reversible encephalopathy syndrome. J Neurol. 2017;264(8):1608–1616. doi: 10.1007/s00415-016-8377-8. [DOI] [PMC free article] [PubMed] [Google Scholar]
- 9.Marra A, Vargas M, Striano P, Del Guercio L, Buonanno P, Servillo G. Posterior reversible encephalopathy syndrome: the endothelial hypotheses. Med Hypotheses. 2014;82(5):619–622. doi: 10.1016/j.mehy.2014.02.022. [DOI] [PubMed] [Google Scholar]
- 10.Bartynski WS. Posterior reversible encephalopathy syndrome, part 1: fundamental imaging and clinical features. AJNR Am J Neuroradiol. 2008;29(6):1036–1042. doi: 10.3174/ajnr.A0928. [DOI] [PMC free article] [PubMed] [Google Scholar]
- 11.Hugonnet E, Da Ines D, Boby H, et al. Posterior reversible encephalopathy syndrome (PRES): features on CT and MR imaging. Diagn Interv Imaging. 2013;94(1):45–52. doi: 10.1016/j.diii.2012.02.005. [DOI] [PubMed] [Google Scholar]
- 12.Stevens CJ, Heran MK. The many faces of posterior reversible encephalopathy syndrome. Br J Radiol. 2012;85(1020):1566–1575. doi: 10.1259/bjr/25273221. [DOI] [PMC free article] [PubMed] [Google Scholar]
- 13.Hefzy HM, Bartynski WS, Boardman JF, Lacomis D. Hemorrhage in posterior reversible encephalopathy syndrome: imaging and clinical features. AJNR Am J Neuroradiol. 2009;30(7):1371–1379. doi: 10.3174/ajnr.A1588. [DOI] [PMC free article] [PubMed] [Google Scholar]
- 14.Bartynksi WS, Boardman JF. Distinct imaging patterns and lesion distribution in posterior reversible encephalopathy syndrome. AJNR Am J Neuroradiol. 2007;28:1320–1327. doi: 10.3174/ajnr.A0549. [DOI] [PMC free article] [PubMed] [Google Scholar]
- 15.Bartynski WS. Posterior reversible encephalopathy syndrome, part 2: controversies surrounding pathophysiology of vasogenic edema. AJNR Am J Neuroradiol. 2008;29(6):1043–1049. doi: 10.3174/ajnr.A0929. [DOI] [PMC free article] [PubMed] [Google Scholar]
- 16.Locuratolo N, Mannarelli D, Colonnese C, Pauletti C, Antonaci L, Ferretti G, Fattapposta F. Unusual posterior reversible encephalopathy syndrome in a case of influenza A/H1N1 infection. J Neurol Sci. 2012;321(1-2):114–116. doi: 10.1016/j.jns.2012.07.063. [DOI] [PubMed] [Google Scholar]
- 17.Bartynski WS, Upadhyaya AR, Boardman JF. Posterior reversible encephalopathy syndrome and cerebral vasculopathy associated with influenza A infection: report of a case and review of the literature. J Comput Assist Tomogr. 2009;33(6):917–922. doi: 10.1097/RCT.0b013e3181993a43. [DOI] [PubMed] [Google Scholar]
- 18.Benziada-Boudour A, Schmitt E, Kremer S, Foscolo S, Riviere A-S, Tisserand M, et al. Posterior reversible encephalopathy syndrome: a case of unusual diffusion-weighted MR images. J Neuroradiol. 2009;36:102–105. doi: 10.1016/j.neurad.2008.08.003. [DOI] [PubMed] [Google Scholar]
- 19.Lamy C, Oppenheim C, Mas JL. Posterior reversible encephalopathy syndrome. Handb Clin Neurol. 2014;121:1687–1701. doi: 10.1016/B978-0-7020-4088-7.00109-7. [DOI] [PubMed] [Google Scholar]
- 20.Karia SJ, Rykken JB, McKinney ZJ, Zhang L, McKinney AM. Utility and Significance of gadolinium-based contrast enhancement in posterior reversible encephalopathy syndrome. AJNR Am J Neuroradiol. 2016;37(3):415–422. doi: 10.3174/ajnr.A4563. [DOI] [PMC free article] [PubMed] [Google Scholar]
- 21.Wong AM, Simon EM, Zimmerman RA, Wang HS, Toh CH, Ng SH. Acute necrotizing encephalopathy of childhood: correlation of MR findings and clinical outcome. AJNR Am J Neuroradiol. 2006;27(9):1919–1923. [PMC free article] [PubMed] [Google Scholar]




