SUMMARY
Quiescence is a fundamental property that maintains hematopoietic stem cell (HSC) potency throughout life. Quiescent HSCs are thought to rely on glycolysis for their energy, but the overall metabolic properties of HSCs remain elusive. Using combined approaches, including single-cell RNA sequencing (RNA-seq), we show that mitochondrial membrane potential (MMP) distinguishes quiescent from cycling-primed HSCs. We found that primed, but not quiescent, HSCs relied readily on glycolysis. Notably, in vivo inhibition of glycolysis enhanced the competitive repopulation ability of primed HSCs. We further show that HSC quiescence is maintained by an abundance of large lysosomes. Repression of lysosomal activation in HSCs led to further enlargement of lysosomes while suppressing glucose uptake. This also induced increased lysosomal sequestration of mitochondria and enhanced the competitive repopulation ability of primed HSCs by over 90-fold in vivo. These findings show that restraining lysosomal activity preserves HSC quiescence and potency and may be therapeutically relevant.
Graphical Abstract

In Brief
The quiescence and potency of hematopoietic stem cells (HSCs) are thought to be maintained by glycolysis. By exploiting mitochondrial heterogeneity, Liang, Arif, et al. uncover that activated, but not quiescent, HSCs use glycolysis for energy. Quiescence is maintained by an abundance of lysosomes whose repression enhances HSC potency by over 90-fold.
INTRODUCTION
Bone marrow transplantation is curative in many blood disorders as well as in disorders of other origin, including solid tumors (Huang and Broxmeyer, 2019). A major limitation of bone marrow transplantation is the scarcity of hematopoietic stem cells (HSCs) and challenges associated with the maintenance and expansion of HSCs ex vivo for therapeutic purposes. HSCs have a unique property to maintain blood homeostasis and generate billions of cells daily throughout life (Orkin and Zon, 2008; Till and McCulloch, 1961). This potential is sustained through the capacity of HSCs to self-renew. HSCs also generate blood in response to loss or damage as it occurs with hemorrhage or infection (Seita and Weissman, 2010). HSC functions are measured by their ability to restore all blood lineages in lethally irradiated mice (Till and McCulloch, 1961).
Despite their immense in vivo repopulating capacity, HSCs remain quiescent for most of their lifetime, a feature shared with most adult stem cells (Bigarella et al., 2014; Chandel et al., 2016). Quiescence is proposed to protect HSCs from replicative and metabolic stress that would otherwise alter their health and longevity. Quiescence that is best evidenced by tracking histone 2B-green fluorescent protein (H2B-GFP) label retention (Qiu et al., 2014; Wilson et al., 2008) is directly linked to HSC in vivo self-renewal capacity (Nakamura-Ishizu et al., 2014). The underpinning mechanisms that maintain quiescence remain elusive, partly due to challenges associated with the heterogeneity of HSC populations (Dykstra et al., 2007; Muller-Sieburg et al., 2004).
Quiescence is intimately coupled with cellular metabolism that becomes profoundly modulated with HSC commitment (Bigarella et al., 2014; Chandel et al., 2016). However, the metabolic signature of HSC quiescence remains unresolved. It is postulated that quiescent HSCs restrict mitochondrial respiration and rely mainly on glycolysis for their maintenance (Simsek et al., 2010; Takubo et al., 2013; Unwin et al., 2006). Mitochondrial metabolism on the other hand is known to promote HSC commitment in part through enhanced production of reactive oxygen species (ROS) (Chen et al., 2008; Mortensen et al., 2011; Tai-Nagara et al., 2014; Yalcin et al., 2010). Recent evidence suggests that mitochondria are also implicated in regulating homeostatic HSC function (Ansó et al., 2017; Bejarano-García et al., 2016; Guitart et al., 2017; Rimmelé et al., 2015; Sukumar et al., 2016; Takihara et al., 2019; Vannini et al., 2016; reviewed in Filippi and Ghaffari, 2019), while lysosomal degradation and clearance of mitochondria by a selective form of autophagy known as mitophagy may be required for the maintenance of HSC pool (Ito et al., 2016). Lysosomes are a major component of organelle degradation and cellular recycling (Luzio et al., 2014; Saftig and Klumperman, 2009); however, their function in HSCs beyond mediating autophagy is unknown.
To elucidate mechanisms that regulate HSC quiescence, we took advantage of the heterogeneity of mitochondrial activity (Nakamura-Ishizu et al., 2018; Rimmelé et al., 2015; Sukumar et al., 2016; Vannini et al., 2016) and confirmed that the majority (~75%) of phenotypically defined HSCs (LSKCD150+CD48−) contain active mitochondria (primed HSCs). Using a combinatorial approach that includes single-cell transcriptomics and high-resolution confocal imaging, we show that most if not all defining properties of HSCs, including self-renewal, segregate with the minor (<25%) subpopulation that displays relatively low mitochondrial membrane potential (MMP; quiescent HSCs). We further uncover the molecular signature of quiescence in primary HSCs. We show that primed MMP-high rather than quiescent MMP-low HSCs rely mainly on glycolysis as their source of energy. On the other hand, MMP-low HSCs are enriched in relatively large lysosomes that maintain their quiescence. We show that the disruption of lysosomal activation enhances HSCs’ quiescence and the in vivo potency in primed HSCs. Our studies suggest that HSCs are metabolically heterogeneous and that curbing lysosomal activation is key in maintaining HSC quiescence and function.
RESULTS
Quiescent Immunophenotypically Defined HSCs Maintain Low Mitochondrial Activity
Mitochondrial activity in HSCs was measured using the cationic fluorescent probe tetramethylrhodamine ethyl ester (TMRE). As previously observed (Rimmelé et al., 2015), MMP and ROS levels, which are positively correlated with mitochondrial activity, were higher in more downstream multipotent progenitors (Lin−Sca1+cKit+ [LSK] and Lin−/CD48−) than in phenotypically defined HSCs (LSKCD150+CD48−) with the ability to repopulate blood in a lethally irradiated mouse for a long period of time (referred to as HSCs; Figure S1A, top panels). Notably, HSCs with similar low ROS levels were heterogeneous in their mitochondrial activity (Figures S1A, middle and bottom panels, and Figure S1B). Within the phenotypically defined HSCs, two distinct fractions were apparent, with a majority (~75%) of HSCs displaying (on average 6 times) greater levels of TMRE (MMP-high) than the rest of the HSC population (MMP-low). The MMP-low fraction reflected lesser accumulation of TMRE rather than enhanced efflux of HSCs (Figure S1C). As anticipated (Kim et al., 1998), inhibition of the multidrug-resistance-associated protein (MRP) with verapamil did not modulate significantly TMRE levels or the proportion of MMP-low HSCs (Figure S1C). These observations confirm (Rimmelé et al., 2015; Sukumar et al., 2016; Vannini et al., 2016) that the phenotypically defined bone marrow HSC compartment contains metabolically diverse subpopulations with distinct mitochondrial activity that are not discriminated by their ROS levels.
HSCs within the lowest MMP levels (the bottom ~25%) were 2.7-fold enriched in long-term-culture-initiating cells (LTC-IC) with the ability to generate colonies in vitro as compared to MMP-high (the top ~25%) HSCs (Figure S1D). The frequency of competitive repopulating units was also 3.7-fold greater within the MMP-low than MMP-high fraction of HSCs at 16 weeks post-transplantation by limiting dilution analysis (Figures S1E and S1F). Reconstitution levels were consistently more robust in MMP-low relative to MMP-high HSCs at each time point analyzed (8.3-fold higher at 20 weeks) in lethally irradiated mice transplanted with 7 or 15 purified CD45.1 HSCs mixed with unfractionated CD45.2 (2 × 105) competitors (Figure S1F).
Self-renewing HSCs were also detected more robustly in mice serially transplanted with MMP-low rather than MMP-high HSCs (Figure S1G). In fact, only 1 mouse injected with 15 MMP-high HSCs exhibited over 1% chimerism in the secondary transplant after 18 weeks compared to 6 out of 10 recipients of MMP-low HSCs (Figure S1G).
Importantly, while MMP-low HSC-derived lineages were balanced in their composition as defined previously (Müller-Sieburg et al., 2002) up to 20 weeks post-transplantation, MMP-high HSCs were myeloid biased (Figure S2A). MMP-high HSCs did not produce a sufficient number of mice with over 1% chimerism in the secondary transplants (Figure S2B). The endothelial protein C receptor (EPCR; Figure S2C), an HSC marker independent of mitochondrial activity (Balazs et al., 2006), was also significantly more elevated in MMP-low rather than MMP-high HSCs and negatively correlated with TMRE intensity (Figures S2C and S2D). Conversely, EPCR+ HSCs displayed significantly less mitochondrial activity than EPCR− HSCs (Figure S2D). These findings are consistent with previous results (Sukumar et al., 2016; Vannini et al., 2016) and suggest that HSCs with low MMP contained the most potent in vivo competitive repopulating and self-renewing units as compared to MMP-high HSCs.
We next examined the cell-cycle dynamics using a combination of pyronin Y, which marks RNA in live cells, and Hoechst, which labels DNA, together distinguishing quiescent (G0) from non-quiescent HSCs either in G1 or actively dividing in the S/G2/M phases. MMP-low fractions of HSCs were almost entirely (~90%) quiescent (G0), whereas the striking majority of MMP-high HSCs (~55%) had exited G0 (Figure 1A). Using bromodeoxyuridine (BrdU) labeling in vivo, we confirmed that a greater fraction of MMP-high in contrast to MMP-low HSCs was proliferating (Figure S2E).
Figure 1. MMP-Low HSCs Are Enriched in Label-Retaining HSCs.

(A) Cell-cycle analysis (left) and quantification (right) of MMP-low and MMP-high HSCs (n = 3).
(B) Single-cell division assays showing the fraction of MMP-low and MMP-high GFP+ HSCs undergoing the indicated number of divisions at 60 h (n = 4).
(C) Schematic of H2B-GFP label-retaining dilution with cell division.
(D) Representative plot of H2B-GFP (green) levels in HSCs from 14-week doxycycline (DOX)-chased mouse against background (black) HSCs with no tetracycline-inducible construct (n = 4).
(E) Histogram of H2B-GFP label retention (left) and quantification (right) in MMP-low and MMP-high HSCs (n = 4).
(F) MMP levels in H2B-GFP+/GFP− HSCs (left) and geometric mean quantification (right).
(G) Quantification of MMP fractions within label-retaining and non-label-retaining HSCs.
Data are presented as mean ± SEM (*p < 0.05, **p < 0.01, and ***p < 0.001).
Consistent with these results, over 60% of MMP-low GFP+ HSCs cultured at the single-cell level did not divide during 60 h, while over 90% of MMP-high GFP+ HSCs divided at least once during the same period of time in culture under optimum conditions (Figure 1B). In addition, over 40% of MMP-high divided more than twice relative to less than 20% of MMP-low GFP+ HSCs. These results further supported that MMP-low HSCs are mostly quiescent in contrast to MMP-High HSCs that are primed/activated.
HSCs with Low Mitochondrial Activity Are Enriched in Label-Retaining Cells
To further address the relevance of mitochondrial activity under homeostasis, we examined HSCs that retain a pulsed H2B-GFP label (known as label-retaining HSCs) (Qiu et al., 2014; Wilson et al., 2008) (Figure 1C). As in previous studies (Qiu et al., 2014; Wilson et al., 2008), analysis of 14-week doxycycline-chased H2B-GFP mice contained 15% H2B-GFP+ label-retaining HSCs within the LSKCD150+CD48− compartment (Figure 1D). HSCs within the MMP-low fractions contained a significantly higher proportion of label-retaining GFP+ HSCs than the ones within the MMP-high fractions (Figure 1E). Conversely, label-retaining GFP+HSCs maintained lower MMP than non-label-retaining cells (Figure 1F). GFP+ label-retaining and non-label-retaining cells were also segregated by MMP fraction, which further suggested that a significant majority of GFP+ label-retaining cells are within the MMP-low fraction (Figure 1G). These combined data (Figure 1) reinforce the notion that mitochondrial activity distinguishes between quiescent HSCs (MMP low; dormant) and HSCs that exit quiescence and are already activated (MMP high; primed). These findings elicit the likelihood that quiescent (G0) (Figure 1A) and label-retaining HSCs (Figures 1C–1G) with low MMP levels are molecularly distinct from G0 and label-retaining HSCs with high MMP levels.
scRNA-Seq of MMP-Low versus MMP-High HSCs Exposes the HSC Trajectory from a Quiescent to Primed State
To elucidate the potential diversity of HSC identity at the single-cell level in quiescent MMP-low versus primed MMP-high fractions, we interrogated the transcriptome using single-cell RNA sequencing (scRNA-seq). Using the Fluidigm C1 platform, a total of 122 MMP-low HSCs and 126 MMP-high HSCs deemed healthy after fluorescence-activated cell sorting (FACS) purification were subsequently sequenced (Figure 2A). A total of 224 cells were included for further analysis after the reads were mapped, processed, and filtered (>600,000 reads, >5,500 genes detected). Initial analysis confirmed segregation of MMP-low versus MMP-high HSCs (Figure 2B) and revealed significant differences in the number of genes expressed in HSCs with low (~4,849 genes) versus high MMP (~6,421 genes; p < 0.001) (Figure 2B; Table S1).
Figure 2. scRNA-Seq of MMP-Low and MMP-High HSCs Depicts the HSC Trajectory from a Quiescent to Primed State.

(A) Schematic of captured single HSCs and subsequent sequencing steps.
(B) Number of genes expressed in each MMP-low versus MMP-high HSCs (mean ± SEM; ***p < 0.001).
(C) In silico cell-cycle gene expression analysis.
(D and E) GO term enrichment of ‘‘biological process’’ terms (D) or ChEA analysis (E) using significantly upregulated in MMP-low (top) and MMP-high (bottom) HSCs as determined by MAST.
(F) t-SNE dimensional reduction displaying relative position of MMP-low (red) MMP-high (blue) HSCs.
(G) t-SNE plots with clusters labeled.
(H) Hierarchical clustering.
(I) Pathway analysis of catabolic and biosynthetic processes (p values, 2-sample 2-tailed Z-test).
Cycling analysis in silico in each cell by CYCLONE, an algorithm that stages cells based on the expression of various cell cycle genes (Scialdone et al., 2015), further validated the quiescent versus primed HSC state (Figure 2C), staging over 80% of MMP-low HSCs within G0/G1 as compared to less than 40% of MMP-high HSCs (Figure 2C). In addition, Cdk6, which is a predictor of HSC exit from G0 (Laurenti et al., 2015; Qiu et al., 2014; Scheicher et al., 2015), was significantly more elevated in MMP-high HSCs than MMP-low HSCs (Figure S3A).
To improve the signal-to-noise ratio in identifying genes that were differentially expressed between MMP-low and MMP-high HSCs, genes expressed by less than 2 cells were first filtered out. MAST (model-based analysis of single-cell transcriptomics) was then used to include only genes that were highly variable between MMP-low and MMP-high HSCs. The resulting 5,635 genes were then used for downstream analysis (Table S2) (Finak et al., 2015). Within this list, a subset of 1,868 genes differentially expressed with statistical significance between MMP fractions of HSCs were identified (Table S2). Gene Ontology (GO) term enrichment analysis revealed that genes implicated in metabolic processes as well as the negative regulation of transcription and translation, including protein maturation and mRNA processing pathways, were highly enriched in MMP-low HSCs, whereas MMP-high HSCs were enriched for anabolic pathways that support transcription, translation, and cell-cycle progression (Figure 2D; Table S2). These analyses showed that genes involved in chromatin modification, DNA replication, telomere maintenance, DNA damage repair pathways, and RNA processing as well as mitochondrial biogenesis were greatly enriched in MMP-high HSCs (Figure 2D; Table S2), in line with their active nature to sustain the integrity of their genome as they replenish downstream lineages. ChEA analysis (Lachmann et al., 2010) identified putative transcription factors, some of which known to be critical for HSC function (Figure 2E). In agreement with our functional data, gene targets of transcription factors, including MYC and E2F, implicated in cell proliferation and mitochondrial biogenesis (Benevolenskaya and Frolov, 2015; Morrish and Hockenbery, 2014) were enriched in MMP-high HSCs (Figures 2E and S3B). On the other hand, MMP-low HSCs were enriched for many transcriptional targets implicated in the maintenance of HSC quiescence, including Spi1 (PU.1), Runx1, and RelA (Figure 2E). This analysis also identified transcription factors greatly enriched in MMP-low HSCs, including UBTF, BHLHE40, ZMZ1, and TAF1, whose HSC function is either unknown or poorly understood (Hu and Chen, 2013; Lachmann et al., 2010) (Figure 2E; Table S2). Notably, GO terms related to protein degradation through lysosomal-and proteasomal-mediated pathways were significantly enriched in MMP-low HSCs (Table S2).
These results depict a profile consistent with the repressive chromatin landscape maintaining HSC quiescence in MMP-low HSCs and the active chromatin supporting gene activation in MMP-high HSCs (Table S2; Iwama et al., 2004; Lu et al., 2018); they also lend support to the notion that the mitochondrial activity may modulate HSC chromatin landscape via the production of the precursors of histone modifiers (Ansó et al., 2017; Reid et al., 2017). In line with this interpretation, nuclei were more compact in MMP-low HSCs than MMP-high HSCs (Figure S3C).
Dimensional reduction using the t-Distributed Stochastic Neighbor Embedding (t-SNE) or principal-component analysis (PCA) methods visualized similarly the heterogeneity within single-cell transcriptomes and potential distinct subpopulations within the MMP-low versus MMP-high fractions (Figures 2F, 2G, and S3D–S3F). Clustering with the Seurat toolkit on the first 5 principal components resulted in 5 clusters (Figures S3D and S3E) (Finak et al., 2015). The resulting t-SNE scatterplot distinctly separated genes in MMP-low (clusters A and B) versus MMP-high HSCs (clusters D and E; Figure 2G). In addition, cluster C contained genes from both MMP-low and MMP-high HSCs (Figure 2G). Clusters A and B were closely related, while clusters C, D, and E formed a distinct branch by hierarchical clustering (Figure 2H). Within this branch, clusters D and E appeared more closely related to each other than with cluster C (Figures 2H and S3D). Reexamination of CYCLONE (Figures 2C and S3E) confirmed cell-cycle staging data (Figure S3E). GO term enrichment of genes further revealed the relationship between individual clusters (Table S2). Similar to the entire MMP-low HSC compartment, clusters A and B were enriched mainly for lysosomes and protein degradation pathways, including autophagy (Table S2). HSCs in cluster C were enriched for DNA damage repair pathways, mitochondria-localized genes, and chromatin regulators and included a subset of lysosomal genes (Table S2). On the other hand, HSCs in clusters D and E were highly enriched for genes related to cell-cycle progression, mitochondrial metabolism, and transcriptional and translational activation (Table S2). Altogether, these transcriptomic results combined with our functional data (Figures 1, S1, and S2; Tables S1 and S2) suggest that HSCs switch from a quiescent state in clusters A and B to a transitional state in cluster C, which includes a mixture of MMP-low and MMP-high HSCs. This cluster relationship (A to E) was further inferred using SCORPIUS trajectory (Cannoodt et al., 2016), which clusters the data (with k-means clustering) and finds the shortest path through the cluster center (Figure S3F). Importantly, a comparative dataset analysis suggests that MMP-low and MMP-high HSCs are greatly similar (p value = 3.4e-10; Table S3) to label-retention-defined dormant HSCs (dHSCs) and activated HSCs (aHSCs) (Cabezas-Wallscheid et al., 2017), respectively. These results suggest low levels of MMP may be an intrinsic determinant of dormancy in immune-phenotypically defined HSCs similar to the label retention transgene.
MMP-High (Primed), but Not MMP-Low (Quiescent), HSCs Rely Readily on Glycolysis
All of the major metabolic pathways retrieved from WikiPathways and Reactome database analyses and generation of pathway scores (levels) for each cell as reported (Cabezas-Wallscheid et al., 2014) showed significantly greater expression within the MMP-high than in MMP-low HSC fraction (Figures 2I and S3B). ATP levels were also 1.5-fold lower in MMP-low HSCs than MMP-high HSCs (Figure S3G). Cluster E was the most metabolically active, with the greatest levels in oxidative phosphorylation (OXPHOS), tricarboxylic acid (TCA) cycle, and electron transfer chain (ETC), compared to all other clusters (Figures 2I and S3B). In contrast, cluster B showed the lowest levels of metabolic genes, even when compared to cluster A. This was also true for pathways involved in transcriptional and translational activation (Figures 2I and S3B).
Unexpectedly, glycolytic gene expression was also enriched in the ‘‘active’’ cluster E and relatively low in ‘‘quiescent’’ clusters A and B (Figure 2I). qRT-PCR analysis further confirmed that the expression of glycolysis-related genes, including glucose transporter 1 (Glut1, Slc2a1), which is the main glucose transporter expressed by HSCs, is greater in MMP-high HSCs than MMP-low HSCs (Figure S3H). These unforeseen findings raised the potential that despite the current consensus in HSC biology (Bigarella et al., 2014; Chandel et al., 2016), glycolysis may more readily support active HSCs (in cluster E) rather than quiescent HSCs with low mitochondrial activity (in clusters A and B). To address this possibility, we measured the glucose uptake in MMP-low versus MMP-high HSCs under metabolic (pyruvate, glucose, and glutamine)-free conditions. Using 2NBDG (2-[N-(7-nitrobenz-2-oxa-1,3-diazol-4-yl)amino]-2-deoxy-d-glucose), a fluorescently tagged glucose analog (Zou et al., 2005), we found that MMP-high HSCs uptake 3.3-fold more glucose than MMP-low HSCs in a 2-h in vitro assay (Figure 3A). MMP-high HSCs also contained 3 times more 2NBDG+ cells as compared to MMP-low HSCs (Figures 3A). Cell viability was not significantly modulated under the experimental condition (Figure S3I). Pharmacological inhibition of Scl2a1 reduced glucose uptake in MMP-high HSCs but had no noticeable effect on MMP-low HSCs (Figure 3B), demonstrating the sensitivity of MMP-high HSCs specifically to glucose inhibition, although we cannot rule out that MMP-low HSCs use a different glucose transporter (Figure 3B). Seahorse analysis found that higher levels of MMP are associated with both higher oxygen consumption rate (OCR) and glycolytic rate (extracellular acidification) as compared to low MMP levels in the hematopoietic stem and progenitor cell (HSPC) compartment (Figure 3C). In addition, inhibiting mitochondrial transport of pyruvate, the end product of glycolysis with CHC (a-cyano-4-hydroxycinnamate), decreased survival in MMP-high HSCs by 80% with a negligible effect on MMP-low HSCs (Figure 3D). These results suggest that the pyruvate produced through glycolysis is required for downstream mitochondrial metabolism in MMP-high, but not MMP-low, HSCs. Importantly, activating the TCA cycle enhanced glucose uptake in both HSC fractions while it was further enhanced in MMP-high as compared to MMP-low HSCs (Figure 3E), suggesting that increasing mitochondrial activity shifts MMP-low HSCs to use glycolysis. Overall, these combined findings indicate that in quiescent HSCs, under homeostasis, glycolysis and mitochondrial metabolism are linked such that quiescent (MMP-low) HSCs with low mitochondrial activity have no need to break down glucose to feed into the TCA cycle (Figures 3A–3D). Activation of the TCA cycle is associated with glycolysis in MMP-low HSCs that increase their glucose uptake (Figure 3E).
Figure 3. Glycolysis Is More Readily Used in Primed MMP-High HSCs than Quiescent MMP-Low HSCs.

(A) Glucose analog (2NBDG) uptake in freshly isolated MMP-low and MMP-high HSCs incubated with 2NBDG for 2 h in (glucose, pyruvate, glutamine)-free medium. Histograms (left) show quantification of 2NBDG uptake (mean fluorescence intensity [MFI] ±SEM) (middle) and percentage of 2NBDG+ cells (right) (n = 6).
(B) Glucose uptake (as in A) in HSCs treated or not with Glut1 inhibitor (STF-31, 10 µM) for 6 h (n = 3).
(C) Oxygen consumption rates (OCR) and extracellular acidification rates (ECARs) in freshly isolated LSK MMP-low and MMP-high HSCs (n = 3).
(D) Cell viability of MMP-low and MMP-high HSCs cultured with 10 µM CHC or DMSO control for 6 h (n = 3).
(E) Glucose uptake in freshly isolated MMP-low and MMP-high HSCs treated for 18 h with dimethyl alpha ketoglutarate (MOG; 1 mM) and methyl pyruvate (M; 1 mM) or 2-DG (30 mM) or DMSO. Histograms (left) show quantification (MFI ±SEM) (middle) and percentage of 2NBDG+ cells (right).
Data are presented as mean ± SEM (*p < 0.05, **p < 0.01, and ***p < 0.001).
To address the degree to which glycolysis is necessary, FACS-purified MMP-low and MMP-high HSCs were incubated with 2-deoxy D-glucose (2DG), a glucose analog that inhibits glycolysis via its action on hexokinase. While glucose deprivation using 2-DG (50 mM) did not have much of an effect on MMP-low HSCs, over 60% of MMP-high HSCs died within 12 h (Figure 4A). This effect was even more pronounced after 24 h in MMP-high, but not MMP-low, HSCs (Figure 4A), suggesting that MMP-high, but not MMP-low, HSCs rely readily on glycolysis for their survival. To further address the effect of inhibition of glycolysis in a more physiological HSC context, we treated mice with 2-DG in vivo and measured glucose uptake (Figures 4B and 4C). The 6-day in vivo 2-DG treatment slightly but significantly reduced overall MMP levels in long-term HSCs (Figure 4B, right panel). In addition, while in vivo 2-DG treatment did not have much of an effect on the cellular viability (Figure S3J), it reduced glucose uptake specifically in HSCs with the highest MMP levels, but not the ones with the lowest MMP levels (Figure 4C). These intriguing results suggested that the in vivo 2-DG treatment may promote the maintenance of HSCs with lesser glycolytic needs. To further address this, we transplanted MMP-low and MMP-high HSCs in lethally irradiated mice treated with 2-DG or control for 30 days (Figures 4D and 4E). Remarkably, 2-DG treatment enhanced by over 70-fold the in vivo competitive repopulation ability of MMP-high HSCs (Figure 4D), while it had only subtle effects on MMP-low HSCs after 4 months (Figure 4D). In addition, 2-DG-treated recipients of MMP-high HSCs exhibited a balanced production of blood similar to that derived from recipients of untreated MMP-low HSCs (Figure 4E). While in vivo 2-DG treatment clearly led to reduced glucose uptake in MMP-high HSCs (Figure 4C), no systemic effect was detected in the blood of long-term (up to 16 weeks) transplanted mice that were maintained under normal diet (not shown). These studies highlight the importance of glycolysis in supporting active HSCs while showing that the maintenance of HSC potency relies on glycolytic restriction.
Figure 4. Glycolytic Inhibition Enhances HSC Long-Term Competitive Repopulation Activity In Vivo.

(A) Viability FACS Profiles (Left) of MMP-low and MMP-high HSCs cultured with or without 2-DG (50 mM) for the indicated time (middle); percentage of live cells (right, n = 3).
(B) Schematic of mice (top) treated with 2-DG (750 mg/kg) every other day for 6 days; histogram -of MMP (TMRE) levels (bottom left) and quantification (bottom right) (n = 3).
(C) Glucose uptake in MMP-low and MMP-high HSCs from (B); histograms (top) and quantification (bottom).
(D) Schematic of long-term in vivo competitive repopulation assay (top) and analysis (bottom); 2 days after transplantation, mice were treated with 2-DG (1,000 mg/kg) or PBS every other day for 30 days (n = 7 mice in each group).
(E) Lineage output as a percentage of total CD45.1 donor-derived cells in primary recipients from (D).
Data are presented as mean ± SEM (*p < 0.05, **p < 0.01, and ***p < 0.001).
Thus, MMP-low as compared to MMP-high HSCs are mostly quiescent (G0), with enhanced self-renewal and balanced lineage output, but exhibit greatly reduced ATP levels and relatively limited reliance on glycolysis.
Quiescent MMP-Low HSCs Exhibit Punctate Mitochondrial Networks Associated with an Abundance of Large Lysosomes
Although mitochondrial mass was greater in HSCs relative to downstream progenitors (de Almeida et al., 2017; Norddahl et al., 2011; Rimmelé et al., 2015), mitochondrial mass was slightly less in MMP-low HSCs than MMP-high HSCs (Figure S4A). The notable distinction in MMP as compared to the slight difference in mtDNA copy numbers (Figures S4A and S4B) suggests that mitochondrial activity is strongly repressed in MMP-low HSCs. This might be through a higher mitochondrial turnover in MMP-low relative to MMP-high HSCs (Youle and van der Bliek, 2012). Consistent with this prediction and the scRNA-seq results (Figure 2I), significant differences in the morphology of mitochondrial networks were evident from the analysis of mitochondrial-specific probe translocase of the outer membrane 20 (TOM20) protein (Figure 5A). Mitochondria were punctate in MMP-low as compared to hyperfused in MMP-high HSCs (Figure 5A), an indication that MMP-low HSCs contain immature mitochondria with underdeveloped cristae providing less surface area for electron transport enzymes (Roy et al., 2015). Also, DRP1, the mitochondrial fission GTPase, was co-localized with TOM20 to a significantly greater extent in freshly isolated MMP-low HSCs compared with MMP-high HSCs (Figure 5B). Levels of the active phosphorylated (pS616) form of DRP1 (Chang and Blackstone, 2007) were also markedly increased in MMP-low HSCs (Figure 5C), together indicating that the enhanced DRP1-mediated mitochondrial fragmentation is partly mediating the suppression of mitochondrial activity in MMP-low HSCs (Figures 5A and S4C).
Figure 5. MMP-Low HSCs Exhibit Punctate Mitochondrial Networks Associated with Large Lysosomes.

(A–E) Representative immunofluorescent confocal images of TOM20 (A, B, and D), DRP1 (B), pDRP1 (C), LAMP1 (D and E), and DAPI (A–E) from freshly isolated MMP-low and MMP-high HSCs. (A, B, and D), DRP1 (B), pDRP1 (C), LAMP1 (D and E), LC3 (E), and DAPI (A–E).
(A) TOM20 (top; bar, 2 µm) and quantification (bottom).
(B) Colocalization of TOM20 with DRP1 (top; bar, 5µm) and quantification (bottom).
(C) Confocal images (left) and quantification of phospo-Drp1 (S616) total fluorescence (right; n = 3, bar, 5 µm).
(D) Colocalization of TOM20 with LAMP1 (top; bar, 5µm) in HSCs treated with leupeptin (100 µM) or DMSO control for 4 h; quantification (bottom).
(E) Colocalization of LC3 with LAMP1 (left; bar, 5µm) in HSCs after 4-h treatment with leupeptin (100 µM) or DMSO control; quantification and LC3 flux (right).
(F) qRT-PCR analysis of lysosomal enzymes in freshly isolated MMP-low and MMP-high HSCs (normalized to β-actin) (n = 3).
Data are presented as mean ± SEM (*p < 0.05, **p < 0.01, and ***p < 0.001).
Fragmentation often precedes mitochondrial clearance by autophagy. Mitochondria (TOM20) in freshly isolated MMP-low HSCs displayed greater co-localization relative to MMP-high HSCs with PTEN-induced putative kinase 1 (PINK1) and its substrate, PARKIN, two proteins whose association with mitochondria trigger their clearance (Figure S4D). The expression of Foxo3, a necessary transcriptional regulator of autophagy in hematopoietic cells including HSCs (Liang et al., 2015; Warr et al., 2013) was also more abundant in the nuclei of MMP-low HSCs than MMP-high HSCs (Figures S4E and S4F). Mitochondria (TOM20) were greatly associated with the lysosomal marker lysosome membrane protein 1 (LAMP1) in freshly isolated MMP-low, but not MMP-high, HSCs (Figure 5D). Further analysis confirmed that more autolysosomes were formed from the fusion of LC3-marked autophagosomes with lysosomes as indicated by LC3 puncta co-localization with LAMP1 in MMP-low relative to MMP-high HSCs (Yoshii and Mizushima, 2017). In addition, the inhibition of targeted lysosomal degradation with the protease inhibitor leupeptin led to a greater number of autolysosomes in MMP-low as compared to MMP-high HSCs (Figure 5E). Leupeptin treatment also enhanced similarly the co-localization of TOM20 with LAMP1 in MMP-low and MMP-high HSCs (Figure 5D). Surprisingly, however, the increase in LC3-positive puncta in response to leupeptin, which is an indication of autophagic vacuoles that would have been otherwise degraded, was by 3.6-fold (±0.27-fold) in MMP-high HSCs versus only 1.6-fold (±0.12-fold) in MMP-low HSCs (Figure 5E), indicating that lysosomal degradation might be less efficient in MMP-low relative to MMP-high HSCs (Klionsky et al., 2016; Xu and Ren, 2015). These combined findings suggest enhanced initiation of mitochondrial clearance in MMP-low HSCs, while the downstream autolysosomal processing may be sluggish (Figures 5A–5E and S4C–S4F). MMP-low HSCs are engaged in lysosomal processing of mitochondria while repressing mitochondrial activity partially through mitochondrial fission (Figures 5A–5E).
Repression of Lysosomal Activation Enhances HSC Potency
Strikingly, and in agreement with the results of our scRNA-seq analysis showing enrichment of lysosomal degradation proteins in MMP-low HSCs (Figure 2I; Table S2), these studies further revealed that under homeostasis, lysosomes are greatly abundant in MMP-low, but not MMP-high, HSCs (Figures 5D and 5E). Lysosomes are acidic organelles and major mediators of organelle degradation and recycling involved in endocytosis, phagocytosis, and autophagy. In addition to cargo degradation, lysosomes reuse and store metabolites (Saftig and Klumperman, 2009). Although lysosomes mediate autophagy, a homeostatic mechanism critical for HSC maintenance (Ho et al., 2017; Liu et al., 2010; Mortensen et al., 2011; Warr et al., 2013), their function in regulating HSCs beyond mediating autophagy-related degradation remains unknown.
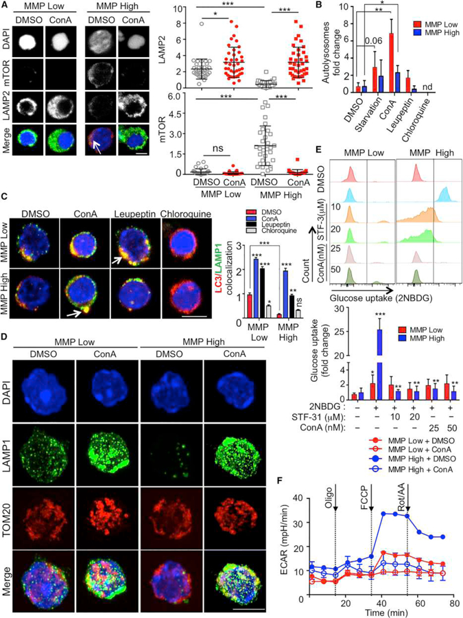
Close examination of lysosomal content by immunofluorescence staining and confocal microscopy showed that while LAMP1 was barely detected in MMP-high HSCs, LAMP1 was readily found in MMP-low HSCs (Figures 5D, 5E, and S4G). These intriguing results were further confirmed by another lysosomal marker, LAMP2 (Figure S4H). Lysosomal-related genes were also elevated in MMP-low versus MMP-high HSCs (Figures 2I and 5F; Table S2). Notably, lysosomes were larger in MMP-low HSCs than MMP-high HSCs (Figures 5D and 5E), further suggesting that lysosomal ability to degrade their content may be relatively hampered in MMP-low HSCs (Xu and Ren, 2015). However, lysosomes in MMP-low HSCs were acidified, as confirmed by LysoTracker green staining, which is specific to acidic organelles (Figure S4I). Inhibition of lysosomal degradation potential with leupeptin further increased the size of lysosomes in HSCs, indicating a buildup of undigested material (Figures 5D–5E). This effect was even more evident in lysosomes of MMP-high HSCs, which appeared bloated in treated cells (Figures 5D and 5E). Altogether, these intriguing findings suggest that the greater numbers of enlarged lysosomes in MMP-low HSCs are curtailed in processing their content in contrast to the few lysosomes detected in MMP-high HSCs (Figures 5D, and 5E).
The lesser lysosomal content in MMP-high HSCs was associated with the expression, lysosomal recruitment, and activation of mTOR protein (Figures S5A–S5E), which is necessary for the activation of gene translation and cell growth (Figures 2I and S3B; Table S2) (Efeyan et al., 2012). Activation of mTOR signaling was evident by greater downstream phosphorylation of the mTORC1 target 4EBP1 as well as higher abundance of positive upstream regulators, including RHEB and RAGA/B (Figures S5B–S5D). Conversely, TFEB, a master regulator of lysosomal biogenesis that negatively regulates mTORC1, was expressed at greater levels in MMP-low HSCs (Figure S5E). Consistently, mTOR expression and activity were almost undetectable in MMP-low HSCs (Figures S5A–S5D, Figure S5F).
To examine directly the potential impact of lysosomes, we next suppressed lysosomal activation that is predicted to inhibit autophagy and repress HSC function (Bigarella et al., 2014; Chandel et al., 2016). However, treatment with concanamycin A (ConA), a specific inhibitor of the vacuolar H+ -adenosine tri-phosphatase ATPase (v-ATPase) that is required for lysosomal acidification and amino acid release (Abu-Remaileh et al., 2017; Dröse et al., 1993; Forgac, 2007; Zoncu et al., 2011), led to improved frequency of HSCs recovered from a 24-h in vitro culture of bone marrow lineage-negative cells (Figures 6A, 6B, and S5G). While the overall levels of MMP increased within 12 h, ConA treatment led to a relative decrease of MMP in recovered cells (Figure S5G). In addition, a 24-h ConA treatment was associated with greater retention of the MMP-low HSC fraction (Figure 6B).
Figure 6. Inhibition of Lysosomal Activity Enhances HSC Competitive Repopulation Function In Vivo.

(A) Schematic of lysosomal inhibition by concanamycin A (ConA) or DMSO control on lineage– cells (top). FACS profiles of HSCs treated with ConA (100 nM) or DMSO for the indicated time (bottom left) and quantification of HSC frequency (bottom right) (n = 5).
(B) Frequency of MMP-low HSCs generated from (A).
(C) Single-cell division assay of MMP-low and MMP-high HSCs cultured with DMSO or ConA (40 nM) for 60 h (n = 3).
(D) Limiting dilution analysis of LTC-IC in MMP-low and MMP-high HSCs treated for 2 days in culture with ConA (40 nM) or DMSO.
(E) Schematic of in vivo competitive repopulation assay (top). 3,000 FACS-sorted MMP-low and MMP-high (CD45.1 donor) HSCs were cultured in vitro in ConA (40 nM) or DMSO for 4 days, after which 50 cells from each group were injected into lethally irradiated recipient (CD45.2) mice along with 2 × 105 CD45.2 total bone marrow cells (n = 7 in each group). Shown is the contribution of donor-derived (CD45.1) cells to the peripheral blood (PB) of primary recipient mice (CD45.2) over 16 weeks in an in vivo competitive repopulation assay (bottom). (F) Lineage output as a percentage of distribution of total CD45.1 donor-derived cells in primary recipients from (E).
Data are presented as mean ± SEM (*p < 0.05, **p < 0.01, and ***p < 0.001).
To further probe this lysosomal potential, we cultured single MMP-low and MMP-high GFP+ HSCs treated with ConA or vehicle control and tracked their divisions up to 60 h. Consistent with previous results (Figure 1B), over 70% of MMP-low GFP+ HSCs did not divide during this time, whereas the majority (>85%) of MMP-high GFP+ HSCs divided at least once (Figure 6C). While ConA treatment had only a slight effect on non-dividing MMP-low GFP+ HSCs in culture, it significantly increased the frequency of non-dividing MMP-high GFP+ HSCs (Figure 6C; Table S4). Importantly, a 48-h (not shown) or a 4-day ConA treatment led to enhanced frequency of LTC-ICs recovered in limiting dilution analysis of both MMP-low (1.5-fold) and MMP-high HSCs (2.5-fold) ex vivo (Figures 6D, and S5H) associated with an increased size of colonies that were more prominent when derived from MMP-low rather than MMP-high LTC-ICs (Figure S5H). These findings together indicated that the inhibition of lysosomal activation improves the maintenance of functional HSC ex vivo. Remarkably, we also found that a 4-day inhibition of lysosomal activity ex vivo increased by over 90-fold (MMP-high) and 9-fold (MMP-low) the in vivo competitive repopulation ability of HSCs (Figure 6E). ConA treatment also balanced the production of lineages downstream of MMP-high HSCs (Figure 6F). These unexpected findings suggested that the inhibition of lysosomal activity enhances HSC function in vivo. Consistent with these findings, expression of Ki67 (Figure S5I) as well as CDK6 (Figure S5J) (both associated with aHSCs) was restored in ConA-treated MMP-high HSCs to the levels of the untreated MMP-low HSCs levels (Figures S5 and S5J), suggesting that ConA treatment promotes quiescence in HSCs.
We thus further examined the lysosomal response to ConA treatment (Figure S5K). As anticipated, lysosomal acidity was reduced in response to ConA inhibition of v-ATPase, manifested by decreased fluorescence of two pH-sensitive probes, LysoTracker green and LysoSensor blue (Figure S6A). Consistent with ensuing reduced lysosomal degradation potential (Figures 5D and 5E) (Xu and Ren, 2015), ConA treatment led to a bloated lysosomal phenotype in HSCs (Figures 7A and S5K).
Figure 7. Inhibition of Lysosomal Activity Enlarges Lysosomal Networks, Retains Autolysosomes and the Engulfed Mitochondria, and Inhibits Glycolysis in HSCs.

(A) Representative confocal images of mTOR and LAMP2 (left; bar, 5µm; arrow shows co-localization) and quantification (right; n = 3) in freshly isolated MMP-low and MMP-high HSCs treated with DMSO or ConA (40 nM) for 18 h.
(B) Fold change in MMP-low versus MMP-high HSCs fractions with autolysosomes (RFP+GFP−) (n = 3; normalized to control; nd, not detected); analysis of mRFP-EGFP-LC3B BM cells cultured in DMSO or ConA, (40 nM), leupeptin (100 µM), or chloroquine (40 µM) or amino acid-depleted media (starvation) for 3 h.
(C) Representative confocal images of LC3 and LAMP1 in MMP-low and MMP-high HSCs cultured in DMSO, ConA (40 nM), leupeptin (100 µM), or chloroquine (40 µM) for 18 h (left); quantification (right; bar, 5 µm; n = 3).
(D) Representative super-resolution confocal images of TOM20, LAMP1 and their co-localization in freshly isolated MMP-low and MMP-high HSCs treated with DMSO or ConA (40 nM) (bar, 5µm).
(E) Representative histograms (top) and quantification (bottom) of glucose uptake in MMP-low and MMP-high HSCs treated with STF-31 (10 and 20 µM), ConA (25 and 50 nM), or DMSO for 18 h (n = 2).
(F) Glycolysis (ECAR) in MMP-low and –MMP-high HSCs cultured in DMSO or ConA (40 nM) for 18 h.
Data are presented as mean ± SEM (n = 2; *p < 0.05, **p < 0.01, and ***p < 0.001).
ConA treatment also led to the repression of mTOR signaling, as evidenced by reduced expression of mTOR, its upstream activators (RHEB and RAGA/B), and the phosphorylation of its downstream effector (4EBP1) in MMP-high HSCs almost to the same levels as in rapamycin-treated HSCs (Figures 7A, S6B, and S6C). This was further evident as mTOR co-localization with lysosomes was lost in ConA-treated MMP-high HSCs (Figure 7A).
Given that ConA, despite repressing autophagy, had a positive effect on HSC function (Figure 6), we further probed its effect using CAG-RFP-EGF-LC3 reporter mice (Li et al., 2014) in which LC3 is fused to both RFP and EGFP (Figures 7B and S6D). Due to the acid lability of GFP, autolysosomes are marked only by RFP and distinguished from autophagosomes that are marked by a combined GFP and RFP yellow signal. Under homeostasis, and consistent with previous findings (Figures 5D and 5E), autophagic vacuoles were greater in MMP-low than MMP-high HSCs (Figures 7B and S6D). ConA specifically promoted the frequency of autolysosome (RFP+)-accumulated MMP-high and MMP-low HSCs in which the effect was even superior to that observed under a starving condition used as a positive control (Figures 7B and S6D). The effect of autophagy inhibitors was relatively similar on HSCs with autophagosome formation (Figure S6D). Confocal analysis of immunofluorescence staining further confirmed that in contrast to its effect on autophagosomes, ConA, like leupeptin and in contrast to chloroquine, dramatically prevented autolysosomal degradation, as evidenced by greater colocalization of LAMP1 with LC3 in both MMP-low and MMP-high HSCs (Figures 7C and S6D). Importantly, the increase in LC3-positive puncta in response to ConA was by 3-fold (±0.24-fold) in MMP-high versus only 1.33-fold (±0.09-fold) in MMP-low HSCs, further suggesting (Figure 5E) that lysosomal degradation is slower (p < 0.00024) in ConA-treated MMP-low HSCs (Figure 7C).
As ConA treatment results in lysosomal enlargement in both MMP-low and MMP-high HSCs, and given the relatively few lysosomes detected by immunofluorescence staining in untreated MMP-high HSCs, we wondered whether ConA treatment results in the sequestration of cargo (particularly mitochondria) in HSCs. We confirmed using high-resolution confocal microscopy that a 5-h ConA treatment led to enlarged lysosomes in both MMP-low and MMP-high HSCs, with greater fold increase in MMP-high (×5) than MMP-low (×2) HSCs (Figures 7D and S6E). We further found that ConA treatment led to an enhanced mitochondrial fragmentation, similar to that observed in untreated MMP-low HSCs (Figures 5A–5D, 7D, and S6E), prominently contrasting with hyperfused mitochondria in untreated MMP-high HSCs (Figures 5A–5D, 7D, and S6E). Furthermore, in response to ConA, localization of TOM20 to LAMP1 was significantly increased in both MMP-low and MMP-high HSCs (Figures 7D and S6E). The increase of lysosomal localization of TOM20 was even greater in MMP-high HSCs (~3-fold) than MMP-low HSCs (~1.3-fold) in response to ConA in line with their remarkably improved in vivo function (Figures 6E, 6F, and S6E).
Since we found reliance on glycolysis to be primarily a property of primed (MMP-high) rather than quiescent (MMP-low) HSCs (Figures 2I, 3, and 4), we wondered whether ConA treatment had any impact on glucose uptake. Lysosomal inhibition with ConA, like with Glut1 inhibitor, decreased glucose uptake by 19-fold in MMP-high HSCs, reducing it to the levels observed in MMP-low HSCs (Figures 7E and S7A). ConA’s effect on reducing the viability under the experimental condition was mostly restricted to MMP-high and subtle in MMP-low HSCs (Figure S7A, bottom panel). Using Seahorse, we confirmed that the basal glycolysis is more elevated in MMP-high HSPCs than MMP-low HSPCs (Figures 7F and S7B). We further found that ConA treatment collapsed glycolysis (extracellular acidification rate [ECAR]) in both MMP-high and MMP-low HSPCs and drastically decreased oxygen consumption in primed HSPCs, while it had only a relatively small effect on MMP-low HSPCs (Figures 7F and S7B). Consistent with previous results (Figures 3E and 4C–4E), these findings indicate that ConA treatment improves the potency by reverting activated MMP-high HSCs to a state that resembles quiescent MMP-low HSCs (Figures 6, 7, S6, and S7). Collectively, these results show that curbing lysosomal acidification and degradation promotes the sequestration of lysosomal cargo, including mitochondrial protein, and enhances HSC quiescence and potency in vivo (Figures 6, 7, and S4–S7).
DISCUSSION
Our studies discovered lysosomal regulation as a new unanticipated mode of control of HSC quiescence/cycling and potency. By focusing on minor HSC subsets based on organelle heterogeneity, we uncovered several fundamental HSC properties: (1) we found that primed rather than quiescent HSCs rely readily on glycolysis; (2) we identified lysosomes as key in regulating HSC quiescence/cycling; (3) we showed that repression (rather than stimulation) of lysosomal activity enhances HSC quiescence and potency; and (4) using intrinsic properties of primary HSCs, we exposed the similarity of molecular signature of quiescent (MMP-low) HSCs to that of label-retaining cells. In sum, our findings have broad implications for HSC investigations and may inform HSC-based therapies.
Repression of Lysosomal Activation Is Essential for the Maintenance of HSC Quiescence
Our results show that enlarged lysosomes are key in preserving HSC quiescence. The work suggests that enhancing a sluggish lysosomal processing property greatly increases HSC potency (Figures 5D, 5E, 7A, 7C, 7D, and S6F). The slow degradation of lysosomal cargo (i.e., mitochondria in quiescent HSCs) reduces ROS levels, possibly modulates amino acid efflux and mTOR activation toward HSC priming (Figure S7C, model), and contributes to carbon mass for cell proliferation (Efeyan et al., 2012; Hosios et al., 2016). Based on this work, we propose a model in which quiescence of HSCs is maintained by lysosomes that engulf and degrade (old and damaged) cargo, remove toxins to promote HSC health, and generate and store metabolites whose release primes HSCs (Figure S7C). Lysosomal degradation of cargos other than mitochondria might also be involved, which requires further investigation.
It is tempting to speculate that lysosomes function as a hub to control stem cell quiescence; whether lysosomes also regulate quiescence in leukemic stem cells or are altered in aging HSCs as in aged neuro-stem cells requires additional investigations (Leeman et al., 2018). More broadly, lysosomes might be implicated in hibernation-regulated mitophagy (Remé and Young, 1977) or contribute to stem cell homeostasis beyond autophagy/mitophagy (Tang and Rando, 2014). Consistent with our findings, and while this paper was under revision, studies of Schroeder and colleagues reported that lysosomes inherited asymmetrically with HSC division predict their activation (Loeffler et al., 2019).
Glycolysis Is Required Mainly for Primed, but Not Quiescent, HSCs
One of the main surprises of our findings challenges our current understanding of metabolism of quiescent HSCs (Filippi and Ghaffari, 2019); we found that the glycolytic pathway is mainly associated with primed, but not quiescent, HSCs under homeostasis (Figures 3 and 4). While quiescent HSCs are equipped to use glycolysis under conditions that enhance TCA cycle activation, their need for using glycolysis at the steady state is limited. The results of in vivo inhibition of glycolysis were intriguing in enhancing the repopulation ability of primed HSCs. This might be through recruiting HSCs with restricted glycolytic requirements. Alternatively, these results may suggest that MMP-high HSCs under restricted glycolytic conditions are reprogrammed to a quiescent state in vivo. Our work also suggests that lysosomal and glycolytic pathways are communicating in regulating HSC.
Overall, our findings expose the impact of the dynamic in vivo regulation of metabolism on HSCs versus the restricted in vitro conditions, as oxygen-exposure studies of HSCs have shown (Mantel et al., 2015). These results nonetheless support the notion that the majority of HSCs phenotypically defined as MMP high are glycolytic (Takubo et al., 2013). Glycolysis that is a swift albeit inefficient process for energy production and key in sustaining rapidly dividing cells, including embryonic stem cells and cancer cells (reviewed in Bigarella et al., 2014) is in line with the metabolic needs of priming HSCs. Our findings also explain the paradoxical glycolytic phenotype observed in Foxo3—/— HSCs (Rimmelé et al., 2015). Our combined findings further raise the possibility that metabolites generated by lysosomes might be a main source for nourishing quiescent HSCs.
Mitochondrial Shape and Activity Segregate Quiescent from Primed HSCs
Mitochondrial fragmentation via DRP1 and enhanced PINK1-PARKIN activation in MMP-low versus MMP-high HSCs (Figures 5 and S4; Figure S7C, model) suggested that the mitochondrial network is inactive and partially repressed, promoting the initiation of the mitochondrial clearance process in MMP-low (quiescent) HSCs. Whether there is a signal linking lysosomal acidification with mitochondrial fragmentation warrants further investigations (Figures 7D and S7E).
Clustering by t-SNE of single HSC identified a path from a dormant state in clusters A and B to a transitional state in cluster C toward activation in clusters D and E (Figures 2 and S3). HSCs in cluster C could potentially represent cells either undergoing self-renewal divisions or committing to activation and subsequent differentiation. The high expression levels of the lysosomal and autophagy pathways in clusters A and E with low levels in cluster B were unanticipated but suggest a that a combination of specific catabolic and anabolic pathways are required to support the HSC state (quiescence or activation) in each cluster.
Mitochondrial Activity Provides the First Intrinsic Means to Identify Primary dHSCs
The similarity of label-retention-defined dHSCs and aHSCs to MMP-low and MMP-high HSCs, respectively (Table S3) (Cabezas-Wallscheid et al., 2017), suggests that MMP-low HSCs may be used in combination with or as an alternative intrinsic strategy to temporally defined, quiescent/dormant label-retaining cells for studies of homeostatic HSCs. This approach would be advantageous as compared to the existing transgenic model system, as it can be applied to human cells and is not limited by the constraints of using a transgenic mouse. Based on our studies, we propose that functional attributes of phenotypically defined HSCs may be revisited using the MMP-low HSC subpopulation.
In summary, our work illuminates several key concepts regarding HSC quiescence and potency. Specifically, the lysosomal regulation of HSC activity may be further explored for therapeutic purposes.
STAR★METHODS
LEAD CONTACT AND MATERIALS AVAILABILITY
This study did not generate new unique reagents. Further information and requests for reagents and resources are available from the Lead Contact, Saghi Ghaffari, saghi.ghaffari@mssm.edu
Mice
C57BL/6 mice 8–12 week-old were used for all experiments unless noted. For analysis of single cell division assay UBC-GFP mice were used. H2B-GFP mice generated as described in (Qiu et al., 2014) were used for analysis of label-retaining HSCs that show successive dilution of the GFP signal with each cell division. Non-doxycycline treated mice were used to determine background expression of H2B-GFP. To determine the frequency of HSCs with autophagosome/autolysosome content 8–10 week old CAG-RFP-GFP-LC3 mice were used. All protocols were approved by The Institutional Animal Care and Use Committee of Mount Sinai School of Medicine.
Flow Cytometry and Cell Sorting
Flow cytometry analysis and FACS sorting of hematopoietic stem and progenitor cells (HSPC) were performed with freshly isolated bone marrow (BM) as previously described (Rimmelé et al., 2015; Yalcin et al., 2010). Briefly, BM was extracted from femur and tibia by flushing with ice cold IMDM + 2% FBS. Cell suspensions were filtered through a 70 µm cell strainer, treated with RBC lysis buffer, washed and incubated with the following antibodies: lineage cocktail consisted of biotinylated hematopoietic multilineage monoclonal antibodies (StemCell Technologies), containing CD5 (lymphocytes), CD11b (leukocytes), CD19 (B cells), CD45R (lymphocytes), 7/4 (neutrophils), Ly-6G-Gr-1 (granulocytes), TER119 (erythroid cells). Cells were also stained with V450-SCA1, APC-c-Kit, FITC or APC/CY7-CD48, and PE/CY7-CD150 prior to washing followed by incubation with APC/CY7–streptavidin to isolate or identify progenitors (Lin− Sca1− c-Kit+) and HSCs (LSKCD150+CD48−). All samples were also stained with DAPI to exclude dead cells.
To measure mitochondrial membrane potential (MMP), Tetramethylrhodamine ethyl ester perchlorate (TMRE, 100nM) was used in accordance with manufacturer’s instructions which specifically accumulates within the mitochondrial matrix of live cells. In brief, cells were stained with the probe at 37°C for 15 minutes post antibody staining, followed by washing prior to flow cytometry analysis or FACS purification. Probe responsiveness to MMP modulations were tested using controls carbonyl cyanide 3-chlorophenylhydrazone (CCCP) and oligomycin, which decreased and increased fluorescence of TMRE respectively. MMP-low and MMP-high thresholds were determined as the lowest and highest 25% TMRE intensity HSCs. Reactive oxygen species (ROS) were measured using chloromethyl-dichlorodihydrofluorescein diacetate (CM-H2DCFDA) fluorescent probe as previously described (Rimmelé et al., 2015; Yalcin et al., 2008, 2010). Flow cytometry acquisition was performed on the BD LSRII, while cell sorting was performed on the BD Influx (Flow Cytometry Facility-Icahn School of Medicine at Mount Sinai). All flow cytometry analyses and quantifications were performed using FlowJo 10 (Treestar).
Competitive in vivo Long-term Reconstitution Assay
MMP-low and MMP-high HSCs (LSKCD150+CD48−, LT-HSC; MMP-low/high) were FACS purified from CD45.1 mice and transplanted at the indicated dose with 2 × 105 CD45.2 bone marrow cells into lethally irradiated CD45.2 recipients (12 Gy as a split dose, 6.5 and 5.5 Gy, 4 hours apart). Donor (CD45.1) and recipient (CD45.2) 8–12 week old mice were used. HSC frequency was determined by the limiting dilution assay (Hu and Smyth, 2009) based on the number of mice with < 1% reconstitution (CD45.1) at 16 weeks.
To assay the effect of HSC lysosomal inhibition in a competitive in vivo long-term reconstitution assay: FACS-sorted MMP-low and -high LT-HSCs (CD45.1) were treated with Concanamycin A (ConA,40 nM) or DMSO control in 96 well plates containing StemSpan with SCF (100 ng/ml) and TPO (20 ng/ml) for 4 days, after which 50 cells from each group were mixed with 2 × 105 CD45.2 total bone marrow cells and injected into lethally irradiated CD45.2 recipients and reconstituted peripheral blood was monitored up to four months.
To assay the effect of glycolytic inhibition of HSCs in a competitive in vivo long-term reconstitution assay: FACS-sorted MMP-low and MMP-high LT-HSCs (CD45.1) were mixed with 2 × 105 CD45.2 total bone marrow cells and injected into lethally irradiated CD45.2 recipients. After 2 days mice were divided into four groups, MMP-low and MMP-high groups treated with PBS or 2-Deoxy-Glucose (2-DG, 1000mg/kg) every other day for 30 days. Reconstitution of donor CD45.1 cells and lineage distribution were monitored monthly by staining blood cells with antibodies against CD45.1, CD4, CD8 (T), B220 (B), CD11b and Gr-1 (myeloid) cells. For secondary transplantations, 2 × 106 BM cells from primary recipients were transplanted into lethally irradiated secondary recipients. Donor CD45.1 cells contribution and lineage distribution were tracked from the peripheral blood by flow cytometry.
LT-HSC Maintenance Assay
FACS-purified MMP-low and MMP-high HSCs cells were cultured in serum-free StemSpan medium supplemented with SCF (10ng/mL) and TPO (20ng/mL), cultured as single or 1000 cells or 2000/well and treated with ConA (10–100nM), or 2-Deoxy-Glucose (2-DG; 50mM), α-Cyano-4-hydroxycinnamic acid (CHC, 10µM) or DMSO, incubated at 37°C for the indicated time. Cells were then washed twice in PBS, re-suspended in PBS containing 1 µg/ml DAPI and analyzed by flow cytometry following DAPI exclusion.
For measuring MMP and proliferation, lineage negative bone marrow (BM) cells were enriched with the EasySep Mouse hematopoietic progenitor kit. Lineage negative (1 × 106) cells (isolated separately from four mice) were seeded onto 6 well plates in StemSpan medium containing SCF (100ng/ml) and TPO (20ng/ml). Cells were treated with ConA (100nM) or the DMSO control and analyzed at 0, 6, 12 and 24 hour-time points by flow cytometry for HSC (LSKCD150+CD48−) frequencies or MMP-low and MMP-high HSCs frequencies or MMP (TMRE).
Long Term Culture-initiating Cell (LTC-IC) Assay
Long-term cultures were initiated as previously described (Lemieux et al., 1995). Briefly, freshly FACS-purified MMP-low and MMP-high HSCs (100–400 cells) or treated with Con A (40nM) or vehicle control (DMSO) for 2 days, cells were washed and co-cultured on pre-established S17 stromal feeders in MyeloCult M5300 containing freshly added hydrocortisone (10—6M) for 5 weeks after which colony-forming cells (CFC) were quantified in secondary semi-solid cultures (Lemieux et al., 1995). The frequency of long-term culture-initiated cells (LTC-ICs) was determined by limiting dilution and applying Poisson distribution statistics as described previously (Hu and Smyth, 2009).
Single Cell Division Assay
Single MMP-low and MMP-high HSCs (LSKCD150+CD48−) isolated from GFP-transgenic mice were FACS-sorted into individual wells of round-bottomed 96-well plates. Single cells were visually confirmed under light microscope and cultured in serum free StemSpan medium. Wells were supplemented with SCF (100 ng/ml) and TPO (20 ng/ml), were incubated at 37°C in a humidified atmosphere with 5% CO2 and the number of cells per well was monitored daily. The final number of cell divisions per well was assessed at the indicated time points in each experiment. More than 120 cells/experimental condition were analyzed in each experiment (Figure 1B). Treatments with concanamycin A (ConA) (40–100nM) or DMSO control were added at the start of culture and left in the wells for the duration of the experiment unless stated otherwise. More than 200 cells per condition were analyzed (Figure 6C).
Cell Cycle Analysis
Pyronin Y staining
Pyronin Y staining was performed as previously described (Rimmelé et al., 2015; Yalcin et al., 2008). FACS-purified MMP-low and MMP-high LT-HSCs were stained with Hoechst 33342 (20 µg/ml) at 37°C for 45 min, followed by staining with pyronin Y (1 µg/ml) for an additional 15 min at 37°C. Cells were then washed in cold PBS, and resuspended in IMDM + 2% FBS. Samples were immediately analyzed by flow cytometry.
BrdU staining
BrdU (5-bromo-2-deoxyuridine) incorporation was measured as previously described (Yalcin et al., 2008, 2010). Briefly, mice were injected intravenously with 2mg of BrdU. At 19 hours post injection (Cheshier et al., 1999), freshly isolated bone marrow MMP-low and MMP-high HSCs were FACS-purified, sorted and incubated with mouse anti-BrdU antibody and 7-amino-actinomycin D for flow cytometry analysis.
Immunofluorescence Staining, Imaging and Analysis
Laser Scanning Confocal Microscopy
FACS-purified MMP-low and MMP-high HSCs (pooled from three mice in average) were seeded into retronectin-coated channel slides and fixed for 15 min with 10% formalin [1000 cells]. Cells were washed with PBS, permeabilized in PBS + 0.25% Triton X-100 for 15 minutes and blocked for 1 hour in 3% BSA. Fixed and permeabilized cells were then incubated with primary antibodies (1:150) in PBS + 1% BSA overnight at 4°C, washed and stained with fluorescence-conjugated secondary antibodies (1:1000) for 1 hour at room temperature. Slides were sealed with mounting medium with DAPI. Images were captured using a Zeiss LSM880 Airyscan confocal microscope using a 100 X objective (N.A. 1.46).
For analysis by immunofluorescence staining, MMP-low and MMP-high HSCs were FACS-purified and incubated in StemSpan medium containing SCF (100 ng/ml) and TPO (20 ng/ml) for the indicated time with the indicated compounds at 37°C in a humidified atmosphere with 5% CO2. After treatment, cells were processed for confocal imaging as described above.
To test lysosome acidity in MMP-low and MMP-high HSCs, FACS-sorted MMP-low and MMP-high HSCs were incubated in StemSpan media with SCF (10 ng/mL) and TPO (20 ng/mL) or amino acid free medium (starvation) containing ConA (40nM) or DMSO control for 5 hr; and then cells were incubated with 1mM Lysotracker green (LTR) or 1mM Lysosensor Blue diluted in above medium for 30 min (37 °C, 5% CO2) to label the lysosomes. Cells were rapidly washed with warm PBS (37 °C) three times, mounted and images were captured using a Zeiss LSM880 confocal microscope using a 40 X objective (N.A. 1.4).
Super Resolution Confocal Microscopy
Images were acquired with a Zeiss LSM 880 confocal microscope equipped with Airyscan Super Resolution Imaging module, using a 100X/1.46 Alpha Plan Apochromat objective lens (Zeiss MicroImaging, Jena, Germany) with ‘‘optimal’’ (Nyquist) XY scaling. Z stacks through the entire cell were acquired at an 0.018 µm were acquired (at least 20 optical sections) using a pixel dwell time of > 50 mi-croseconds and field dimensions of 300 X 300 µm (20 MMP-low and 20 MMP-high HSCs analyzed). This was followed by Airyscan image processing (set at auto but rarely over 6.2) and analyses using ZEN image acquisition and processing software (ZEN blue/black). Maximum intensity projections shown in the figures were also obtained using ZEN Blue software.
Lysosomal localization of mitochondria
FACS-sorted MMP-low and MMP-high HSCs (LSKCD150+CD48−MMP-low/-high) were treated with DMSO control or leupeptin (100 µM) for 4 hours. HSCs were then fixed and imaged for TOM20 (mitochondria) and LAMP1 (lysosomes).
Autophagic Vacuole Formation
Accumulation of autophagy substrates, Translocase of outer membrane 20 (TOM20) or Map1lc3a (LC3), was determined in the presence of amino acid-containing (DMSO) or -starved amino acid-depleted media, v-ATPase inhibitor concanamycin A (ConA 40nM), inhibitor of autophagosome-autolysosome fusion chloroquine (CQ, 40µM), or protease inhibitor, leupeptin (10µM) following guidelines outlined for study of autophagy (Klionsky et al., 2016; Martinez-Lopez et al., 2013). In brief, FACS-sorted MMP-low and MMP-high HSCs were cultured in the presence or absence of indicated inhibitors for 4, 5 or 18 hours following which cells were subjected to immunofluorescence assays for TOM20, LC3 and/or LAMP1 or LAMP2 as described above. Analyses were performed to quantify the turnover of indicated protein in lysosomes by evaluating the accumulation of TOM20 or LC3 in the presence versus absence of an inhibitor. TOM20 and LC3 flux were determined by subtracting the colocalized value of inhibitor-untreated TOM20 or LC3 with LAMP1 from corresponding inhibitor-treated values. Images were captured using a Zeiss LSM880 Airyscan confocal microscope using 100 X objectives (Leica), and percentage colocalization was calculated using the JACoP plugin (NIH ImageJ).
Image Analysis
All images were analzed with FIJI or NIH ImageJ software (Schindelin et al., 2012) unless otherwise specified. Brightness and contrast settings were set during capture and not altered for analysis.
Fluorescence intensity
Channel displaying the protein of interest were separated and labeling was quantified on a per cell basis using the raw integrated intensitymetric generated by the measure command. For nuclear intensity, DAPI thresholds were used to delimit the nucleus and mapped back onto the channel displaying the protein of interest to determine fluorescence intensity within the nucleus only.
Mitochondrial and lysosome morphology
Freshly isolated HSCs were analyzed for mitochondrial morphology. Each individual HSC (150 total) was analyzed by using Arivis Vision 4D software and classified as either fragmented or not fragmented in accordance to number of surfaces. Cells that fulfilled the definition of ‘fragmented’ contained 3 or more individual mitochondrial surfaces (Kask et al., 1999). Lysosomes fluorescence intensity or area profiling was calculated using ImageJ software enabling the detection of fluorescently labeled mitochondrial boundaries (lysosomal marker LAMP1), as reflected by sharp increases or decreases in fluorescence intensity. Channels displaying fluorescence for either mitochondria or lysosomes were thresholded with the IsoData option to delimit the boundaries of mitochondrial networks and lysosome morphology. The resulting outlines were measured using the analyzed particles option to determine the size of distinct particles representing mitochondrial networks or lysosomes. More than 50 cells/condition/experiment were analyzed for lysosomes.
Colocalization
Cells were manually selected and channels containing the two proteins of interest were separated and analyzed using the Colocalization plugin (Fiji); more than 30 cells/condition/experimentwere analyzed. The Colocfunction auto-thresholds and returns a value for Mander’s correlation coefficients. Level of colocalization between two proteins was determined by averaging over all cells analyzed per group. Percentage colocalization was calculated using the JACoP plugin (NIH ImageJ).
Single cell RNA-sequencing (scRNA-seq)
Library generation
Single cell cDNA libraries were generated from FACS-purified MMP-low and MMP-high HSCs with the SMART-Seq v4 Ultra Low Input RNA kit, the Fluidigm C1 system and the Nextera XT library preparation kit (Illumina) following the manufacturer’s protocols. In brief, sorted cells in 35% suspension reagent at 600 cells/µL were loaded into the 5–10 µm Fluidigm IFC and visually inspected to confirm one cell per capture site at 20X with a fluorescent microscope. Debris, multiple cells, and dead cells (Calcein negative) were excluded for subsequent library preparation. The captured cells were then subjected to cDNA synthesis on the C1 system and quantified the next day using the Quant-iT Picogreen ds DNA Assay kit. cDNA was tagmented, amplified, pooled, and cleaned up with the Nextera XT kit. Single-cell cDNA libraries were then quantified with the Bioanalyzer (Agilent) and subjected to sequencing on the Illumina High-Seq. 254 single-cell cDNA libraries were multiplexed over 3 lanes (~84 samples/lane) with 100nt single-end sequencing.
RNA-seq processing
Raw sequencing reads were trimmed with Trimmomatic v.0.36 (Bolger et al., 2014). Trimmomatic: A flexible trimmer for Illumina Sequence Data to exclude adapters and bed quality reads and mapped with STAR-2.5.3a (STAR: ultrafast universal RNA-seq aligner) on reference database containing mouse genome (GRCm38) and ERCC sequences. Matrix of gene counts was obtained with feature Counts (Liao et al., 2014) that is an efficient general-purpose program for assigning sequence reads to genomic features. The count matrix was then processed to discard cells and genes not meeting following criteria:
Total number of reads per cell > 600,000
Number of genes detected in cell (at least one mapped read) > 5,500
Percentage of mitochondrial reads per cell ≤ 6%
Number of cells in which the gene was detected (at least two mapped reads) ≥ 2
As a result, a set of 16,203 genes and 224 cells were used for further analysis.
Next we performed size factor normalization, implemented in scran v1.0.3 R package (Lun et al., 2016) for genes and spike-ins and natural logarithm transformation of the data. After that a regression on total counts and cell cycle was done with the help of Seurat v2.0 (Butler et al., 2018). Finally, 5,625 highly variable genes were selected based on z-score of their expression using Seurat and used for downstream analyses.
Analysis of Single cell RNA-sequencing (scRNA-seq)
Differential Expression (MAST)
Lists of genes, differentially expressed between groups of cells were obtained by MAST (Model-based Analysis of Single Cell Transcriptomics) R package (Finak et al., 2015; version 1.6.1, https://github.com/RGLab/MAST/) using genes which were detected in either of the groups of cells at a minimum 25% percentage level.
Clustering (t-SNE, PCA)
Clusterization was carried out on seven first statistically significant principal components by implementing Seurat graph-based k-nearest neighbor algorithm of clustering. The results were visualized with t-SNE. Hierarchical clustering was based on one-minus Pearson’s correlation to determine relationship between clusters.
Pathway analysis
WikiPathways R package, REACTOME db and Kyoto Encyclopedia of Genes and Genomes (KEGG) db (Scialdone et al., 2015) were used to retrieve genes, included in the explored pathways. The pathway score for every cell was counted as a mean expression of genes included in the pathway and expressed in the cell. For every pathway a two sample two-tailed z-test with Bonferroni correction and for the mean of pathway scores, a measure of the average expression of genes within the indicated pathway by each cell, the comparison between MMP-low versus MMP-high HSCs was performed. To compare pathway scores in different clusters, Kruskal-Wallis rank sum test was performed. After that a post hock Dunn test with Bunferroni correction was done.
Cell cycle staging
Cyclone (Scialdone et al., 2015) was used to assign putative cell cycle phases (S/G2M or G0/G1) to each cell based on a random forest trained on cell cycle marker genes.
Metabolic Assays
Oxygen consumption rates (OCR) and extracellular acidification rates (ECAR) were measured using a 96-well Seahorse Bioanalyzer XF 96 according to manufacturer’s instructions using Seahorse Mito Stress Test or Glycolysis Stress Test kit (Agilent Technologies). In brief, MMP-low and MMP-high LSK cells isolated from a pool of at least 11 mice (40,000 cells per well) were sorted and treated with or without ConA (40nM) for 18 hours in StemSpan media with SCF (10 ng/mL) and TPO (20 ng/mL). Cells were washed and suspended in XF basic medium with 11mM glucose, 1mM sodium pyruvate and 2mM glutamine (pH 7.4 at 37°C). The injection port A on the sensor cartridge was loaded with 1 µM oligomycin (Oligo), 2 µM FCCP was loaded into port B and 0.5 µM rotenone/antimycin (ROT/AA) A was loaded into port C. During sensor calibration, the cells were incubated in the 37°C non-CO2 incubator. The plate was immediately placed onto the calibrated XF96 extracellular flux analyzer for the Mito Stress Test. For the glycolysis stress test, cells were suspended in XF basic medium in 1mM glutamine (pH 7.4 at 37°C). The injection port A on the sensor cartridge was loaded with 10mM glucose. Then, 2 µM oligomycin was loaded into port B and 50mM 2-DG into port C. During sensor calibration, cells were incubated in the 37°C non-CO2 incubator. The plate was immediately placed in the calibrated XF96 extracellular flux analyzer for the glycolysis stress test.
Glucose uptake Assay
For measurement of glucose uptake, freshly FACS-purified MMP-low and MMP-high HSCs (at least 2000 cells pooled in average from 8 mice) were cultured immediately in 100 µL of glucose, glutamine, pyruvate free medium containing 100 or 200µM of 2-(n-(7-nitrobenz-2-oxa-1,3-diazol-4-ylamino)-2-deoxyglucose (2-NBD-Glucose, 2NBDG) for 2 hr after which cells were then washed multiple timesin PBS, re-suspended in PBS containing 1 µg/ml DAPI, and analyzed by flow cytometry for 2NBDG fluorescence in the FITC channel. In some experiments cells were cultured in StemSpan medium (StemCell Technology) supplemented with SCF (100 ng/ml) and TPO (20 ng/ml), treated with or without STF-31 (10, 20µM), ConA (25, 50nM), dimethyl alpha ketoglutarate (MOG, 1mM), methyl pyruvate (MP, 1mM) or DMSO, incubated at 37°C in a humidified atmosphere with 5% CO2 for 6 or 18 hours before removing culture medium from each well, washing extensively and adding 100 µL of glucose, glutamine, pyruvate free medium containing 100 or 200µM of 2NBDG for 2 hr before washing cells multiple times in PBS and analyzing by flow cytometry. Quantification of 2NBDG uptake was measured by the geometric mean fluorescence intensity (MFI) as well as % of 2NBDG+ cells.
In vivo Glycolytic Inhibition
To assess the effect of inhibition of glycolysis on MMP in HSCs, mice received intraperitoneal injections of either PBS or 2-DG 750mg/kg every other day for 6 days after which total BM cells (107) cells were isolated and MMP analyzed by flow cytometry in HSCs.
CAG-RFP-EGFP-LC3 Assay
Total BM cells from CAG-RFP-EGFP-LC3 mice were cultured in StemSpan with SCF (10 ng/mL) and TPO (20 ng/mL) at 8 × 106 cells/mL. Cells were either incubated with ConA (40nM), chloroquine (CQ, 40µM), leupeptin (100µM) or DMSO control, or -starved amino acid-depleted RPMI 1640 media for 3 hr to induce autolysosome accumulation. Both GFP and mRFP are expressed in a single transgene, both green and red fluorescence is emitted from the same LC3 molecule, with 1:1 stoichiometry, thus allowing a more-accurate quantification of autophagosomes and autolysosomes measured by flow cytometry 3 hours post-treatment. Given the fluorescent incompatibility, only frequency of HSC with autophagosome (RFP+GFP+-LC3) or autolysosome formation (RFP+-LC3) normalized to conditions with MMP-low against MMP-high HSCs was determined.
ATP Assay
FACS-purified MMP-low and MMP-high HSCs, were collected and ATP levels were quantified with ATP Bioluminescence Assay Kit HS II (Roche) in accordance with the manufacturer’s recommendations, as previously described (Rimmelé et al., 2015).
mtDNA Quantification
Extracted DNA from FACS-purified cells was performed using QIAamp DNA Micro kit according to kit instruction and DNA was quantified using Nanodrop. qRT-PCR was performed using PowerUp SYBR® Green Master Mix and CFX384 Real-Time System (BIO-RAD, see Primer sequences). Each DNA was generated from a pool of 3 mice.
Real-time quantitative RT-PCR
MMP-low and MMP-high HSCs were sorted and total RNA was isolated using RNeasy Micro Plus Kit. First-strand cDNA was synthesized-using SuperScriptII reverse transcriptase kit. cDNA obtained from 500 cells was used per well; RT-PCR was performed using PowerUp SYBR® Green Master Mixin triplicates, using the indicated primers and C1000 Touch Thermal cycler CFX384 Real-Time system (Bio-Rad, see Primer sequences). All results were normalized to β-actin RNA levels. Each cDNA was generated from a pool of 5 mice. Primer Sequences in Table S5.
Statistical Analyses
Unpaired two-tailed Student’s t test was used for all experiments unless otherwise specified. Error bars indicate SE unless otherwise specified. One-way ANOVA with Tukey’s post hoc test was used for comparisons between more than two groups. All experiments were repeated at least three times independently unless specified. p < 0.05 was considered significant in all experiments.*p < 0.05, **p < 0.01, ***p < 0.001.
Supplementary Material
KEY RESOURCES TABLE
| REAGENT or RESOURCE | SOURCE | IDENTIFIER |
|---|---|---|
|
Antibodies | ||
| Anti-Mouse APC-c-Kit | BD Bioscience | 553356 |
| Anti Mouse APC/CY7-CD48 | BD Bioscience | 561242 |
| Streptavidin APC/CY7 | BD Bioscience | 554063 |
| Anti-Mouse APC CD8 | eBioscience | 17–0081-83 |
| Anti-Mouse APC CD4 | eBioscience | 17–0042-82 |
| Anti-Mouse BrdU | BD Biosciences | 347580 |
| Anti-Rabbit polyclonal CDK6 | Novus biological | NBP187262 |
| Anti-Mouse monoclonal DLP1 | BD Trans. Lab | 611112 |
| Anti-Mouse FITC CD45.1 | BD Pharmingen | 553775 |
| Anti-Mouse FITC-CD48 | Invitrogen | 11–0481-82 |
| Anti-Rabbit polyclonal FOXO3a | Cell Signaling | 12829S |
| Anti-Mouse Alexa Fluor 488 IgG | Invitrogen | A28175 |
| Anti-Rabbit Alexa Fluor 594 IgG | Invitrogen | A11012 |
| Anti-Rat Alexa Fluor 488 goat IgG | Abcam | ab150157 |
| Alexa Fluor 488 goat anti-rabbit IgG | Invitrogen | A11008 |
| Anti-Mouse monoclonal Ki67 | Cell Signaling | 9449S |
| Anti-Mouse eFluor 450-Ly-6G (GR-1) | eBioscience | 48–5931-82 |
| Anti Mouse Pacific blue Ly-6A/E-SCA1 | BioLegend | 108120 |
| Anti-Mouse monoclonal LAMP1 | Santa Cruz biotechnology | sc-20011 |
| Anti-Rat monoclonal LAMP2 | Santa Cruz biotechnology | sc-20004 |
| Anti-Rabbit polyclonal mTOR | Cell Signaling | 2983S |
| Anti-Mouse monoclonal PARKIN | Abcam | ab77924 |
| Anti-Rabbit polyclonal PINK1 | Abcam | ab23707 |
| Anti-Mouse PE/CY7-CD150 | BioLegend | 115914 |
| Anti Mouse PE-CD45R (B220) | eBioscience | 12–0452-82 |
| Anti-Rabbit polyclonal pDRP1 (S616) | Cell Signaling | 3455S |
| Anti-Mouse monoclonal RHEB | Santa Cruz biotechnology | sc-271509 |
| Anti-Mouse monoclonal RAGA/B | Millipore | MABS1182 |
| Anti-Mouse monoclonal TFEB | Santa Cruz biotechnology | sc-166736 |
| Anti-Rabbit polyclonal TOM20 | Santa Cruz biotechnology | sc-11415 |
| Anti-Mouse monoclonal TOM20 | Santa Cruz biotechnology | sc-17764 |
|
Culture Media | ||
| StemSpan SFEM | StemCell Technologies | 09650 |
| Fetal Bovine Serum | Invitrogen | 16000–044 |
| MyeloCult M5300 | StemCell Technologies | 05350 |
| MethoCult GF M3434 | StemCell Technologies | 03444 |
| RPMI 1640 | MyBioSource | MBS652918 |
| DMEM (1X) | Gibco | A14430–01 |
| Pen Strep | Gibco | 15140–122 |
|
Recombinant Proteins and Cytokines | ||
| Recombinant Retronectin | Novaprotein | CH38 |
| Recombinant Mouse SCF | R&D Systems | 455-M |
| Recombinant Human TPO | R&D Systems | 288-TP |
| Recombinant Mouse IL-3 | R&D Systems | 403-ML |
| Recombinant Mouse IL-6 | R&D Systems | 406-ML |
| Recombinant Mouse FLT3 | R&D Systems | 308-FKN |
| Recombinant Mouse IL11 | R&D Systems | 308418-ML |
| Erythropoietin (EPO) | Amgen, Inc. | NDC55513 |
|
Staining | ||
| 7-amino-actinomycin D | BD Biosciences | 100–5759 |
| Chloromethyl-dichlorodihydrofluoresceindiacetate | Invitrogen | C6827 |
| 4’,6-Diamidino-2-Phenylindole, Dihydrochloride (DAPI) | Sigma | D9542 |
| Hoechst 33342 | Invitrogen | 62249 |
| LysoTracker-Green DND 26 | Invitrogen | L7526 |
| LysoSensor Blue DND-167 | Invitrogen | L7533 |
| Propidium Iodide (PI) | Sigma | P4170 |
| Pyronin Y | Sigma | 83200 |
| Tetramethylrhodamine ethyl ester perchlorate (TMRE) | Sigma | 87917 |
|
Reagents | ||
| ATP Bioluminescence Assay Kit HS II | Roche diagnostics | 11699709001 |
| a-Cyano-4-hydroxycinnamic acid | Sigma | C2020 |
| Chloroquine | Sigma | C6628 |
| Concanamycin A | Santa Cruz Biotech | SC20211 |
| Carbonyl cyanide 3-chlorophenylhydrazone | Sigma | C2759 |
| Doxycycline hyclate (Dox) | Sigma | D9891 |
| 2-Deoxy-Glucose | Sigma | D8375 |
| Dimethyl 2-oxoglutarate | Sigma | 349631–5G |
| EasySep Mouse hematopoietic progenitor | StemCell Technologies | 19856A |
| 16% Formaldehyde Solution (w/v) Methanol-free | Thermo Scientific | 28908 |
| Hydrocortisone | StemCell Technologies | 07904 |
| Leupeptin | Sigma | L2884 |
| Methypyrurvate | Sigma | 371173 |
| 2-NBD-Glucose | Invitrogen | N13195 |
| Oligomycin | Sigma | 75351 |
| PowerUp™ SYBR® Green Master Mix | Applied Biosystems | A25742 |
| QIAamp DNA Micro kit | Qiagen | 56304 |
| Quant-iT Picogreen ds DNA Assay kit | Invitrogen | P11496 |
| Rapamycin | Cell Signaling | 9904S |
| RNeasyMicroPlus Kit | Qiagen | 74004 |
| µ-Slide-VI- flat ibitreat | Ibidi | 80626 |
| STF-31 | Sigma | SML1108 |
| SuperScript II reverse transcriptase kit | Invitrogen | 18080–044 |
| Seahorse XF Glycolysis Stress Test Kit | AgilentSeahorse | 103020–100 |
| Seahorse XF Cell Mito Stress Test Kit | AgilentSeahorse | 103015–100 |
| Triton X-100 | PerkinElmer | N930–0260 |
| Mounting Medium With DAPI - Aqueous, Fluoroshield | Abcam | ab104139 |
|
Experimental Models: Organisms/Strains | ||
| Mouse: C57BL/6J | TheJackson Laboratory | Stock No: 000664 |
| Mouse: Tg(UBC-GFP)30Scha/J | The Jackson Laboratory | Stock No: 004353 |
| Mouse: Tg(tetO-HIST1H2BJ/GFP)47Efu/J | The Jackson Laboratory | Stock No: 002014 |
| Mouse CAG-RFP-GFP-LC3 | Dr. Fangming Lin, Columbia University | N/A |
|
Single-Cell RNA Sequencing (scRNA-seq) | ||
| C1 Single-Cell Auto Prep Kit | Clontech | 635027 |
| C1Single-Cell Auto Prep kit | Clontech | 100–6201 |
| SMART-Seq v4 Ultra Low Input RNA kit | Clontech | P11496 |
|
Software | ||
| Flowjo Software | FlowJo | N/A |
| FCS Express 7 | De Novo Software | N/A |
| FACSDIVA | BD | N/A |
| GraphPad Prism 6 | GraphPad Software | N/A |
| ImageJ | https://imagej.nih.gov/ | N/A |
| Arivis Vision4D | Arivis | N/A |
|
Deposited
data | ||
| Single-cell RNA Sequencing (scRNA-seq) https://www.ncbi.nlm.nih.gov/geo/query/acc.cgi?acc=GSE141457 | This paper | GEO: GSE141457 |
Highlights.
Mitochondrial heterogeneity reveals fundamental metabolic properties of HSCs
Lysosomal repression enhances HSC quiescence and potency
Active, but not quiescent, HSCs use glycolysis as their main source of energy
Label-retaining dormant HSCs and low-MMP HSCs exhibit overlapping molecular signatures
ACKNOWLEDGMENTS
The authors thank the Icahn School of Medicine at Mount Sinai’s Flow Cytometry CoRE, Microscopy CoRE, and Genomics CoRE for assistance with this work. They are grateful to Dr. Drew Jones for advice (Metabolomics, NYU), Drs. Jordi Orchando and Farideh Ordikhani (Mount Sinai) for providing reagents, and members of the Ghaffari lab for critical review of the manuscript. R.L. was partially supported by NIH grant T32 HD075735 and an American Heart Association fellowship. This work was supported by NIH grants R01CA205975 and R01HL136255 and funds from NYSTEM IIRP (C32602GG) to S.G. This work is dedicated to the memory of Dr. Ahmad Ghaffari, who kept asking questions.
Footnotes
SUPPLEMENTAL INFORMATION
Supplemental Information can be found online at https://doi.org/10.1016/j.stem.2020.01.013.
DECLARATION OF INTERESTS
Some elements of this work have been filed in a patent application to the United States Patent and Trademark Office. R.L. is currently employed by HemoGenix.
DATA AVAILABILITY
The single-cell RNA-sequencing (scRNA-seq) data discussed in this manuscript have been deposited in NCBI’s Gene Expression Omnibus (Edgar et al., 2002; Barrett et al., 2013) and are accessible through GEO: GSE141457 (https://www.ncbi.nlm.nih.gov/geo/query/acc.cgi?acc=GSE141457)
REFERENCES
- Abu-Remaileh M, Wyant GA, Kim C, Laqtom NN, Abbasi M, Chan SH, Freinkman E, and Sabatini DM (2017). Lysosomal metabolomics reveals V-ATPase- and mTOR-dependent regulation of amino acid efflux from lysosomes. Science 358, 807–813. [DOI] [PMC free article] [PubMed] [Google Scholar]
- Ansó E, Weinberg SE, Diebold LP, Thompson BJ, Malinge S, Schumacker PT, Liu X, Zhang Y, Shao Z, Steadman M, et al. (2017). The mitochondrial respiratory chain is essential for haematopoietic stem cell function. Nat. Cell Biol 19, 614–625. [DOI] [PMC free article] [PubMed] [Google Scholar]
- Balazs AB, Fabian AJ, Esmon CT, and Mulligan RC (2006). Endothelial protein C receptor (CD201) explicitly identifies hematopoietic stem cells in murine bone marrow. Blood 107, 2317–2321. [DOI] [PMC free article] [PubMed] [Google Scholar]
- Barrett T, Wilhite SE, Ledoux P, Evangelista C, Kim IF, Tomashevsky M, Marshall KA, Phillippy KH, Sherman PM, Holko M, et al. (2013). NCBI GEO: archive for functional genomics data sets–update. Nucleic Acids Res 41, D991–D995. [DOI] [PMC free article] [PubMed] [Google Scholar]
- Bejarano-García JA, Millán-Uclés Á, Rosado IV, Sánchez-Abarca LI, Caballero-Velázquez T, Durán-Galvan MJ, Pérez-Simón JA, and Piruat JI (2016). Sensitivity of hematopoietic stem cells to mitochondrial dysfunction by SdhD gene deletion. Cell Death Dis 7, e2516. [DOI] [PMC free article] [PubMed] [Google Scholar]
- Benevolenskaya EV, and Frolov MV (2015). Emerging links between E2F control and mitochondrial function. Cancer Res 75, 619–623. [DOI] [PMC free article] [PubMed] [Google Scholar]
- Bigarella CL, Liang R, and Ghaffari S (2014). Stem cells and the impact of ROS signaling. Development 141, 4206–4218. [DOI] [PMC free article] [PubMed] [Google Scholar]
- Bolger AM, Lohse M, and Usadel B (2014). Trimmomatic: a flexible trimmer for Illumina sequence data. Bioinformatics 30, 2114–2120. [DOI] [PMC free article] [PubMed] [Google Scholar]
- Butler A, Hoffman P, Smibert P, Papalexi E, and Satija R (2018). Integrating single-cell transcriptomic data across different conditions, technologies, and species. Nat. Biotechnol 36, 411–420. [DOI] [PMC free article] [PubMed] [Google Scholar]
- Cabezas-Wallscheid N, Klimmeck D, Hansson J, Lipka DB, Reyes A, Wang Q, Weichenhan D, Lier A, von Paleske L, Renders S, et al. (2014). Identification of regulatory networks in HSCs and their immediate progeny via integrated proteome, transcriptome, and DNA methylome analysis. Cell Stem Cell 15, 507–522. [DOI] [PubMed] [Google Scholar]
- Cabezas-Wallscheid N, Buettner F, Sommerkamp P, Klimmeck D, Ladel L, Thalheimer FB, Pastor-Flores D, Roma LP, Renders S, Zeisberger P, et al. (2017). Vitamin A-retinoic acid signaling regulates hematopoietic stem cell dormancy. Cell 169, 807–823.e819. [DOI] [PubMed] [Google Scholar]
- Cannoodt R, Saelens W, and Saeys Y (2016). Computational methods for trajectory inference from single-cell transcriptomics. Eur. J. Immunol 46, 2496–2506. [DOI] [PubMed] [Google Scholar]
- Chandel NS, Jasper H, Ho TT, and Passegué E (2016). Metabolic regulation of stem cell function in tissue homeostasis and organismal ageing. Nat. Cell Biol 18, 823–832. [DOI] [PubMed] [Google Scholar]
- Chang CR, and Blackstone C (2007). Drp1 phosphorylation and mitochondrial regulation. EMBO Rep 8, 1088–1089, author reply 1089–1090. [DOI] [PMC free article] [PubMed] [Google Scholar]
- Chen C, Liu Y, Liu R, Ikenoue T, Guan KL, Liu Y, and Zheng P (2008). TSC-mTOR maintains quiescence and function of hematopoietic stem cells by repressing mitochondrial biogenesis and reactive oxygen species. J. Exp. Med 205, 2397–2408. [DOI] [PMC free article] [PubMed] [Google Scholar]
- Cheshier SH, Morrison SJ, Liao X, and Weissman IL (1999). In vivo proliferation and cell cycle kinetics of long-term self-renewing hematopoietic stem cells. Proc. Natl. Acad. Sci. USA 96, 3120–3125. [DOI] [PMC free article] [PubMed] [Google Scholar]
- de Almeida MJ, Luchsinger LL, Corrigan DJ, Williams LJ, and Snoeck HW (2017). Dye-independent methods reveal elevated mitochondrial mass in hematopoietic stem cells. Cell Stem Cell 21, 725–729.e724. [DOI] [PMC free article] [PubMed] [Google Scholar]
- Dröse S, Bindseil KU, Bowman EJ, Siebers A, Zeeck A, and Altendorf K (1993). Inhibitory effect of modified bafilomycins and concanamycins on P- and V-type adenosinetriphosphatases. Biochemistry 32, 3902–3906. [DOI] [PubMed] [Google Scholar]
- Dykstra B, Kent D, Bowie M, McCaffrey L, Hamilton M, Lyons K, Lee SJ, Brinkman R, and Eaves C (2007). Long-term propagation of distinct hematopoietic differentiation programs in vivo. Cell Stem Cell 1, 218–229. [DOI] [PubMed] [Google Scholar]
- Edgar R, Domrachev M, and Lash AE (2002). Gene Expression Omnibus: NCBI gene expression and hybridization array data repository. Nucleic Acids Res 30, 207–210. [DOI] [PMC free article] [PubMed] [Google Scholar]
- Efeyan A, Zoncu R, and Sabatini DM (2012). Amino acids and mTORC1: from lysosomes to disease. Trends Mol. Med 18, 524–533. [DOI] [PMC free article] [PubMed] [Google Scholar]
- Filippi MD, and Ghaffari S (2019). Mitochondria in the maintenance of hematopoietic stem cells: new perspectives and opportunities. Blood 133, 1943–1952. [DOI] [PMC free article] [PubMed] [Google Scholar]
- Finak G, McDavid A, Yajima M, Deng J, Gersuk V, Shalek AK, Slichter CK, Miller HW, McElrath MJ, Prlic M, et al. (2015). MAST: a flexible statistical framework for assessing transcriptional changes and characterizing heterogeneity in single-cell RNA sequencing data. Genome Biol 16, 278. [DOI] [PMC free article] [PubMed] [Google Scholar]
- Forgac M (2007). Vacuolar ATPases: rotary proton pumps in physiology and pathophysiology. Nat. Rev. Mol. Cell Biol 8, 917–929. [DOI] [PubMed] [Google Scholar]
- Guitart AV, Panagopoulou TI, Villacreces A, Vukovic M, Sepulveda C, Allen L, Carter RN, van de Lagemaat LN, Morgan M, Giles P, et al. (2017). Fumarate hydratase is a critical metabolic regulator of hematopoietic stem cell functions. J. Exp. Med 214, 719–735. [DOI] [PMC free article] [PubMed] [Google Scholar]
- Ho TT, Warr MR, Adelman ER, Lansinger OM, Flach J, Verovskaya EV, Figueroa ME, and Passegué E (2017). Autophagy maintains the metabolism and function of young and old stem cells. Nature 543, 205–210. [DOI] [PMC free article] [PubMed] [Google Scholar]
- Hosios AM, Hecht VC, Danai LV, Johnson MO, Rathmell JC, Steinhauser ML, Manalis SR, and Vander Heiden MG (2016). Amino acids rather than glucose account for the majority of cell mass in proliferating mammalian cells. Dev. Cell 36, 540–549. [DOI] [PMC free article] [PubMed] [Google Scholar]
- Hu G, Chen J A genome-wide regulatory network identifies key transcription factors for memory CD8+ T-cell development Nat. Commun, 4 (2013), 10.1038/ncomms3830 [Google Scholar] [DOI] [PMC free article] [PubMed] [Google Scholar]
- Hu Y, and Smyth GK (2009). ELDA: extreme limiting dilution analysis for comparing depleted and enriched populations in stem cell and other assays. J. Immunol. Methods 347, 70–78. [DOI] [PubMed] [Google Scholar]
- Huang X, Broxmeyer HE Progress towards improving homing and engraftment of hematopoietic stem cells for clinical transplantation Curr. Opin. Hematol, 26 (2019), pp. 266–272. [Google Scholar] [DOI] [PubMed] [Google Scholar]
- Ito K, Turcotte R, Cui J, Zimmerman SE, Pinho S, Mizoguchi T, Arai F, Runnels JM, Alt C, Teruya-Feldstein J, et al. (2016). Self-renewal of a purified Tie2+ hematopoietic stem cell population relies on mitochondrial clearance. Science 354, 1156–1160. [DOI] [PMC free article] [PubMed] [Google Scholar]
- Iwama A, Oguro H, Negishi M, Kato Y, Morita Y, Tsukui H, Ema H, Kamijo T, Katoh-Fukui Y, Koseki H, et al. (2004). Enhanced self-renewal of hematopoietic stem cells mediated by the polycomb gene product Bmi-1. Immunity 21, 843–851. [DOI] [PubMed] [Google Scholar]
- Kask P, Palo K, Ullmann D, and Gall K (1999). Fluorescence-intensity distribution analysis and its application in biomolecular detection technology. Proc. Natl. Acad. Sci. USA 96, 13756–13761. [DOI] [PMC free article] [PubMed] [Google Scholar]
- Kim M, Cooper DD, Hayes SF, and Spangrude GJ (1998). Rhodamine-123 staining in hematopoietic stem cells of young mice indicates mitochondrial activation rather than dye efflux. Blood 91, 4106–4117. [PubMed] [Google Scholar]
- Klionsky DJ, Abdelmohsen K, Abe A, Abedin MJ, Abeliovich H, Acevedo Arozena A, Adachi H, Adams CM, Adams PD, Adeli K, et al. (2016). Guidelines for the use and interpretation of assays for monitoring autophagy (3rd edition). Autophagy 12, 1–222. [DOI] [PMC free article] [PubMed] [Google Scholar]
- Lachmann A, Xu H, Krishnan J, Berger SI, Mazloom AR, and Ma’ayan A (2010). ChEA: transcription factor regulation inferred from integrating genome-wide ChIP-X experiments. Bioinformatics 26, 2438–2444. [DOI] [PMC free article] [PubMed] [Google Scholar]
- Laurenti E, Frelin C, Xie S, Ferrari R, Dunant CF, Zandi S, Neumann A, Plumb I, Doulatov S, Chen J, et al. (2015). CDK6 levels regulate quiescence exit in human hematopoietic stem cells. Cell Stem Cell 16, 302–313. [DOI] [PMC free article] [PubMed] [Google Scholar]
- Leeman DS, Hebestreit K, Ruetz T, Webb AE, McKay A, Pollina EA, Dulken BW, Zhao X, Yeo RW, Ho TT, et al. (2018). Lysosome activation clears aggregates and enhances quiescent neural stem cell activation during aging. Science 359, 1277–1283. [DOI] [PMC free article] [PubMed] [Google Scholar]
- Lemieux ME, Rebel VI, Lansdorp PM, and Eaves CJ (1995). Characterization and purification of a primitive hematopoietic cell type in adult mouse marrow capable of lymphomyeloid differentiation in long-term marrow ‘‘switch’’ cultures. Blood 86, 1339–1347. [PubMed] [Google Scholar]
- Li L, Wang ZV, Hill JA, and Lin F (2014). New autophagy reporter mice reveal dynamics of proximal tubular autophagy. J. Am. Soc. Nephrol 25, 305–315. [DOI] [PMC free article] [PubMed] [Google Scholar]
- Liang R, Campreciós G, Kou Y, McGrath K, Nowak R, Catherman S, Bigarella CL, Rimmele P, Zhang X, Gnanapragasam MN, et al. (2015). A systems approach identifies essential FOXO3 functions at key steps of terminal erythropoiesis. PLoS Genet 11, e1005526. [DOI] [PMC free article] [PubMed] [Google Scholar]
- Liao Y, Smyth GK, and Shi W (2014). featureCounts: an efficient general purpose program for assigning sequence reads to genomic features. Bioinformatics 30, 923–930. [DOI] [PubMed] [Google Scholar]
- Liu F, Lee JY, Wei H, Tanabe O, Engel JD, Morrison SJ, and Guan JL (2010). FIP200 is required for the cell-autonomous maintenance of fetal hematopoietic stem cells. Blood 116, 4806–4814. [DOI] [PMC free article] [PubMed] [Google Scholar]
- Loeffler D, Wehling A, Schneiter F, Zhang Y, Müller-Bötticher N, Hoppe PS, Hilsenbeck O, Kokkaliaris KD, Endele M, and Schroeder T (2019). Asymmetric lysosome inheritance predicts activation of haematopoietic stem cells. Nature 573, 426–429. [DOI] [PubMed] [Google Scholar]
- Lu Z, Hong CC, Kong G, Assumpção ALFV, Ong IM, Bresnick EH, Zhang J, and Pan X (2018). Polycomb group protein YY1 is an essential regulator of hematopoietic stem cell quiescence. Cell Rep 22, 1545–1559. [DOI] [PMC free article] [PubMed] [Google Scholar]
- Lun AT, McCarthy DJ, and Marioni JC (2016). A step-by-step workflow for low-level analysis of single-cell RNA-seq data with Bioconductor. F1000Res 5, 2122. [DOI] [PMC free article] [PubMed] [Google Scholar]
- Luzio JP, Hackmann Y, Dieckmann NM, and Griffiths GM (2014). The biogenesis of lysosomes and lysosome-related organelles. Cold Spring Harb. Perspect. Biol 6, a016840. [DOI] [PMC free article] [PubMed] [Google Scholar]
- Mantel CR, O’Leary HA, Chitteti BR, Huang X, Cooper S, Hangoc G, Brustovetsky N, Srour EF, Lee MR, Messina-Graham S, et al. (2015). Enhancing hematopoietic stem cell transplantation efficacy by mitigating oxygen shock. Cell 161, 1553–1565. [DOI] [PMC free article] [PubMed] [Google Scholar]
- Martinez-Lopez N, Athonvarangkul D, Mishall P, Sahu S, and Singh R (2013). Autophagy proteins regulate ERK phosphorylation. Nat. Commun 4, 2799. [DOI] [PMC free article] [PubMed] [Google Scholar]
- Morrish F, and Hockenbery D (2014). MYC and mitochondrial biogenesis. Cold Spring Harb. Perspect. Med 4, a014225. [DOI] [PMC free article] [PubMed] [Google Scholar]
- Mortensen M, Soilleux EJ, Djordjevic G, Tripp R, Lutteropp M, Sadighi-Akha E, Stranks AJ, Glanville J, Knight S, Jacobsen SE, et al. (2011). The autophagy protein Atg7 is essential for hematopoietic stem cell maintenance. J. Exp. Med 208, 455–467. [DOI] [PMC free article] [PubMed] [Google Scholar]
- Müller-Sieburg CE, Cho RH, Thoman M, Adkins B, and Sieburg HB (2002). Deterministic regulation of hematopoietic stem cell self-renewal and differentiation. Blood 100, 1302–1309. [PubMed] [Google Scholar]
- Muller-Sieburg CE, Cho RH, Karlsson L, Huang JF, and Sieburg HB (2004). Myeloid-biased hematopoietic stem cells have extensive self-renewal capacity but generate diminished lymphoid progeny with impaired IL-7 responsiveness. Blood 103, 4111–4118. [DOI] [PubMed] [Google Scholar]
- Nakamura-Ishizu A, Takizawa H, and Suda T (2014). The analysis, roles and regulation of quiescence in hematopoietic stem cells. Development 141, 4656–4666. [DOI] [PubMed] [Google Scholar]
- Nakamura-Ishizu A, Matsumura T, Stumpf PS, Umemoto T, Takizawa H, Takihara Y, O’Neil A, Majeed A, MacArthur BD, and Suda T (2018). Thrombopoietin metabolically primes hematopoietic stem cells to megakaryocyte-lineage differentiation. Cell Rep 25, 1772–1785.e1776. [DOI] [PubMed] [Google Scholar]
- Norddahl GL, Pronk CJ, Wahlestedt M, Sten G, Nygren JM, Ugale A, Sigvardsson M, and Bryder D (2011). Accumulating mitochondrial DNA mutations drive premature hematopoietic aging phenotypes distinct from physiological stem cell aging. Cell Stem Cell 8, 499–510. [DOI] [PubMed] [Google Scholar]
- Orkin SH, and Zon LI (2008). Hematopoiesis: an evolving paradigm for stem cell biology. Cell 132, 631–644. [DOI] [PMC free article] [PubMed] [Google Scholar]
- Qiu J, Papatsenko D, Niu X, Schaniel C, and Moore K (2014). Divisional history and hematopoietic stem cell function during homeostasis. Stem Cell Reports 2, 473–490. [DOI] [PMC free article] [PubMed] [Google Scholar]
- Reid MA, Dai Z, and Locasale JW (2017). The impact of cellular metabolism on chromatin dynamics and epigenetics. Nat. Cell Biol 19, 1298–1306. [DOI] [PMC free article] [PubMed] [Google Scholar]
- Remé CE, and Young RW (1977). The effects of hibernation on cone visual cells in the ground squirrel. Invest. Ophthalmol. Vis. Sci 16, 815–840. [PubMed] [Google Scholar]
- Rimmelé P, Liang R, Bigarella CL, Kocabas F, Xie J, Serasinghe MN, Chipuk J, Sadek H, Zhang CC, and Ghaffari S (2015). Mitochondrial metabolism in hematopoietic stem cells requires functional FOXO3. EMBO Rep 16, 1164–1176. [DOI] [PMC free article] [PubMed] [Google Scholar]
- Roy M, Reddy PH, Iijima M, and Sesaki H (2015). Mitochondrial division and fusion in metabolism. Curr. Opin. Cell Biol 33, 111–118. [DOI] [PMC free article] [PubMed] [Google Scholar]
- Saftig P, and Klumperman J (2009). Lysosome biogenesis and lysosomal membrane proteins: trafficking meets function. Nat. Rev. Mol. Cell Biol 10, 623–635. [DOI] [PubMed] [Google Scholar]
- Scheicher R, Hoelbl-Kovacic A, Bellutti F, Tigan AS, Prchal-Murphy M, Heller G, Schneckenleithner C, Salazar-Roa M, Zochbauer-Müller S, Zuber J, et al. (2015). CDK6 as a key regulator of hematopoietic and leukemic stem cell activation. Blood 125, 90–101. [DOI] [PMC free article] [PubMed] [Google Scholar]
- Schindelin J, Arganda-Carreras I, Frise E, Kaynig V, Longair M, Pietzsch T, Preibisch S, Rueden C, Saalfeld S, Schmid B, et al. (2012). Fiji: an open-source platform for biological-image analysis. Nat. Methods 9, 676–682. [DOI] [PMC free article] [PubMed] [Google Scholar]
- Scialdone A, Natarajan KN, Saraiva LR, Proserpio V, Teichmann SA, Stegle O, Marioni JC, and Buettner F (2015). Computational assignment of cell-cycle stage from single-cell transcriptome data. Methods 85, 54–61. [DOI] [PubMed] [Google Scholar]
- Seita J, and Weissman IL (2010). Hematopoietic stem cell: self-renewal versus differentiation. Wiley Interdiscip. Rev. Syst. Biol. Med 2, 640–653. [DOI] [PMC free article] [PubMed] [Google Scholar]
- Simsek T, Kocabas F, Zheng J, Deberardinis RJ, Mahmoud AI, Olson EN, Schneider JW, Zhang CC, and Sadek HA (2010). The distinct metabolic profile of hematopoietic stem cells reflects their location in a hypoxic niche. Cell Stem Cell 7, 380–390. [DOI] [PMC free article] [PubMed] [Google Scholar]
- Sukumar M, Liu J, Mehta GU, Patel SJ, Roychoudhuri R, Crompton JG, Klebanoff CA, Ji Y, Li P, Yu Z, et al. (2016). Mitochondrial membrane potential identifies cells with enhanced stemness for cellular therapy. Cell Metab 23, 63–76. [DOI] [PMC free article] [PubMed] [Google Scholar]
- Tai-Nagara I, Matsuoka S, Ariga H, and Suda T (2014). Mortalin and DJ-1 coordinately regulate hematopoietic stem cell function through the control of oxidative stress. Blood 123, 41–50. [DOI] [PubMed] [Google Scholar]
- Takihara Y, Nakamura-Ishizu A, Tan DQ, Fukuda M, Matsumura T, Endoh M, Arima Y, Chin DWL, Umemoto T, Hashimoto M, et al. (2019). High mitochondrial mass is associated with reconstitution capacity and quiescence of hematopoietic stem cells. Blood Adv 3, 2323–2327. [DOI] [PMC free article] [PubMed] [Google Scholar]
- Takubo K, Nagamatsu G, Kobayashi CI, Nakamura-Ishizu A, Kobayashi H, Ikeda E, Goda N, Rahimi Y, Johnson RS, Soga T, et al. (2013). Regulation of glycolysis by Pdk functions as a metabolic checkpoint for cell cycle quiescence in hematopoietic stem cells. Cell Stem Cell 12, 49–61. [DOI] [PMC free article] [PubMed] [Google Scholar]
- Tang AH, and Rando TA (2014). Induction of autophagy supports the bio-energetic demands of quiescent muscle stem cell activation. EMBO J 33, 2782–2797. [DOI] [PMC free article] [PubMed] [Google Scholar]
- Till JE, and McCULLOCH EA (1961). A direct measurement of the radiation sensitivity of normal mouse bone marrow cells. Radiat. Res 14, 213–222. [PubMed] [Google Scholar]
- Unwin RD, Smith DL, Blinco D, Wilson CL, Miller CJ, Evans CA, Jaworska E, Baldwin SA, Barnes K, Pierce A, et al. (2006). Quantitative proteomics reveals posttranslational control as a regulatory factor in primary hematopoietic stem cells. Blood 107, 4687–4694. [DOI] [PubMed] [Google Scholar]
- Vannini N, Girotra M, Naveiras O, Nikitin G, Campos V, Giger S, Roch A, Auwerx J, and Lutolf MP (2016). Specification of haematopoietic stem cell fate via modulation of mitochondrial activity. Nat. Commun 7, 13125. [DOI] [PMC free article] [PubMed] [Google Scholar]
- Warr MR, Binnewies M, Flach J, Reynaud D, Garg T, Malhotra R, Debnath J, and Passegué E (2013). FOXO3A directs a protective autophagy program in haematopoietic stem cells. Nature 494, 323–327. [DOI] [PMC free article] [PubMed] [Google Scholar]
- Wilson A, Laurenti E, Oser G, van der Wath RC, Blanco-Bose W, Jaworski M, Offner S, Dunant CF, Eshkind L, Bockamp E, et al. (2008). Hematopoietic stem cells reversibly switch from dormancy to self-renewal during homeostasis and repair. Cell 135, 1118–1129. [DOI] [PubMed] [Google Scholar]
- Xu H, and Ren D (2015). Lysosomal physiology. Annu. Rev. Physiol 77, 57–80. [DOI] [PMC free article] [PubMed] [Google Scholar]
- Yalcin S, Zhang X, Luciano JP, Mungamuri SK, Marinkovic D, Vercherat C, Sarkar A, Grisotto M, Taneja R, and Ghaffari S (2008). Foxo3 is essential for the regulation of ataxia telangiectasia mutated and oxidative stress-mediated homeostasis of hematopoietic stem cells. J. Biol. Chem 283, 25692–25705. [DOI] [PubMed] [Google Scholar]
- Yalcin S, Marinkovic D, Mungamuri SK, Zhang X, Tong W, Sellers R, and Ghaffari S (2010). ROS-mediated amplification of AKT/mTOR signalling pathway leads to myeloproliferative syndrome in Foxo3(−/−) mice. EMBO J 29, 4118–4131. [DOI] [PMC free article] [PubMed] [Google Scholar]
Associated Data
This section collects any data citations, data availability statements, or supplementary materials included in this article.
