ABSTRACT
Two cases are presented with coronavirus disease 19 (COVID-19)-related hiccups: one during initial presentation and one 10 days after COVID-19 diagnosis. Hiccups in both patients were resistant to treatment and responded only to chlorpromazine. COVID-19 patients may present with hiccups and also may have hiccups after treatment. Resistant hiccups without any underlying disease other than COVID-19 should be considered in association with COVID-19 and may respond well to chlorpromazine.
INTRODUCTION
Hiccups are familiar to everyone; they are repetitive contractions of the diaphragm and the intercostal muscles. The classification of hiccups is based on their duration. An acute attack lasts less than 48 hours. Persistent hiccups last more than 2 days. Intractable hiccups are present if the attack lasts more than 1 month. Hiccups are more common in diseases affecting the gastrointestinal or central nervous systems.1 Among the causes of hiccups, toxic and pharmacological drug use, and recent surgical operations are included.2 Ear–nose–throat (ENT), cardiovascular, and pulmonary disorders affecting the peripheral nervous system are also among the causes of hiccups. Hiccups are rarely described as a clinical manifestation of community-acquired pneumonia, and one should consider this diagnosis in a patient with unexplained fever.3 Rarely, pneumonia manifests as intractable hiccups, with the latter resolving with antibiotic treatment.4 Whenever possible, the treatment of hiccups should be directed at the underlying cause of the condition. Several pharmacological agents (metoclopramide, baclofen, gabapentin, and chlorpromazine) are reported for empirical treatment of persistent hiccups. Two large case series from 1950s documented the efficacy of chlorpromazine for cessation of persistent hiccups.1
Coronavirus disease 19 (COVID-19) was designated by the WHO in February 2020, and the pathogen, severe acute respiratory syndrome coronavirus 2 (SARS-CoV-2), which causes SARS has spread throughout the world.5 The most frequently reported symptoms are fever, dry cough, muscle pain, fatigue, and complicated dyspnea, with less commonly reported symptoms of headache, diarrhea, hemoptysis, rhinorrhea, and cough with phlegm.6 The first case of a COVID-19 infection presenting with persistent hiccups was reported by Prince et al.7 Bakheet et al. 8 reported that hiccup attacks could be more severe and prolonged.
We describe two male patients who presented with COVID-19-related hiccups: one during his initial presentation and one 10 days after the diagnosis of COVID-19 was made.
Case 1.
A 60-year-old man was admitted with hiccups lasting for 3 days. The patient had no fever, cough, sore throat, chest tightness, or shortness of breath. He arrived at the neurology department with a complaint of hiccups. His neurological examination and magnetic resonance images of the head were normal. The patient was then referred to the internal medicine department for a differential diagnosis of hiccups. The patient had no previous history of chronic diseases such as gastrointestinal, neurological, or anxiety disorders; or benzodiazepine or opioid use. He reported no alcohol intake and he was not a smoker. His blood pressure was 120/70 mmHg, his respiratory rate was 24 breaths/min, his heart rate was 96 beats/min, his temperature was 36.7°C, and his arterial oxygen saturation was 98% on room air. He had a regular heart rhythm. ENT and abdominal examinations were normal. There were obvious moist crackles during auscultation of the inferior lobes of the lung. Routine blood test results were as follows: white blood cells, 4.07 × 109 cells/L; neutrophils, 67.7%; lymphocytes, 18.4%; total number of lymphocytes, 0.75 × 109/L; C-reactive protein (CRP), 50 mg/L; potassium, 4.8 mmol/L; sodium, 142 mmol/L; urea, 38 mg/dL; serum creatinine (Cr), 0.97 mg/dL; D-dimer, 419 ng/mL; alanine aminotransferase (ALT), 78 U/L; aspartate aminotransferase (AST), 33 U/L; lactate dehydrogenase (LDH), 272 U/L; ferritin, 761 ng/mL; and troponin, 13.6 pg/mL. Blood tests for rapid detection of influenza A, influenza B, and respiratory syncytial virus were all negative. An electrocardiogram (EKG) was normal.
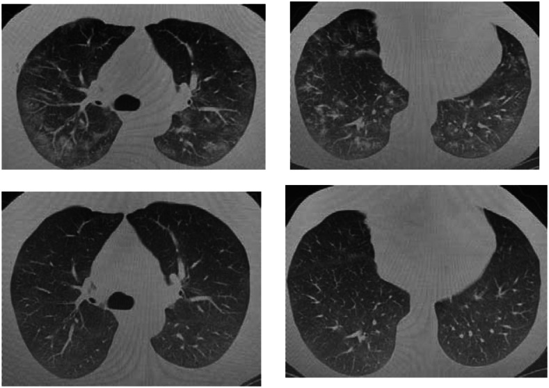
A chest X-ray was acquired after the patient’s respiratory examination. On the same day, chest computed tomography (CT) was performed and small ground-glass nodules were seen, scattered across the two lungs, suggesting viral pneumonia (Figure 1). One day later, a real-time reverse transcription–polymerase chain reaction (RT-PCR) analysis of the patient’s throat swab sample indicated SARS-CoV-2 infection. We hospitalized the patient with a COVID-19 diagnosis. We found that our patient had moderate pneumonia according to the WHO’s classification.9 During hospitalization, Favipiravir (day 1, 2 × 1,600-mg loading dose; afterwards days 2–5, 2 × 600 mg) antiviral treatment was added to the treatment, and dexamethasone and azithromycin (day 1, 1 × 500-mg loading dose; days 2–5, 1 × 250 mg) therapy were used as recommended in the COVID-19 guidelines.10 The patient’s hiccups did not improve for 2 days after treatment initiation and he had insomnia. Chlorpromazine was started for resistant hiccups, which disappeared 12 hours after treatment. Chlorpromazine treatment of hiccups continued for 3 days and there was no complaint after discontinuation of chlorpromazine. After 10 days of treatment, the patient’s symptoms improved significantly and he recovered, as shown with negative RT-PCR. The patient returned for a follow-up 2 months after discharge and reported no recurrent hiccups. Control chest CT scan is shown in Figure 1.
Figure 1.
Computed tomographic chest scans of case 1 (top row) before and (bottom row) after coronavirus disease treatment.
Case 2.
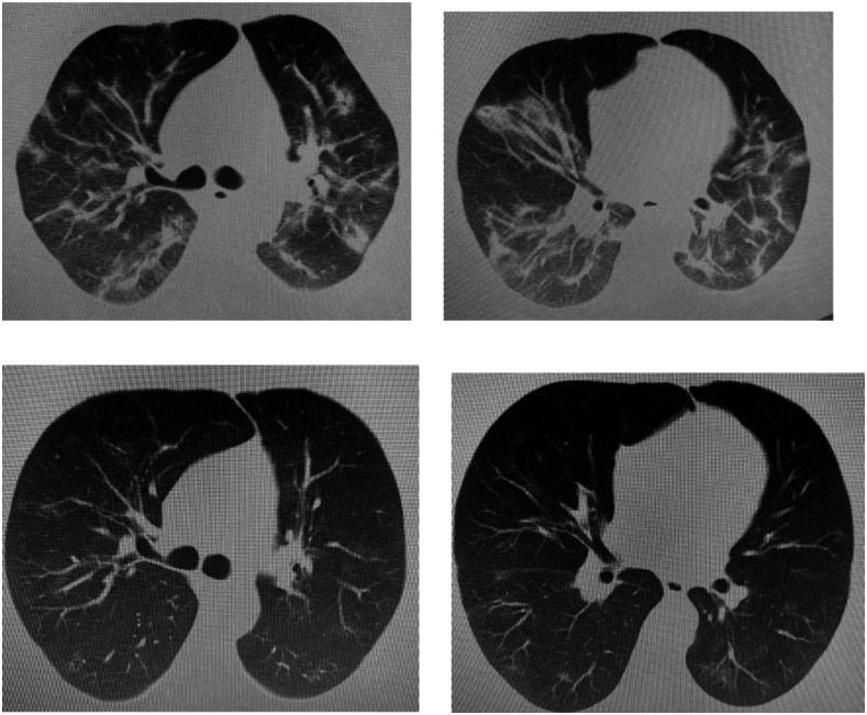
A 68-year-old man with a history of hypertension controlled with ramipril, hydrochlorothiazide, and amlodipine presented to the pulmonology department with persistent hiccups. The patient had a history of childhood poliomyelitis; he reported no alcohol intake and did not smoke. The patient disclosed that he had been hospitalized and treated with RT-PCR for positive COVID-19 pneumonia 15 days previously. At that time, he was treated with Favipiravir, Plaquenil, Ceftriaxone, and Enoxaparin, as recommended in the COVID-19 guidelines.10 During last 2 days of hospitalization he developed persistent hiccups and was discharged with metoclopramide. Chest CT scans are shown in Figure 2. The scans are from his first hospital admission.
Figure 2.
Computed tomographic chest scans of case 2 (top row) before and (bottom row) after coronavirus disease treatment.
The patient presented 2 days after discharge to the outpatient department with persistent hiccups. He did not have dyspnea and his oxygen saturation was not a problem. He was not receiving any pulmonary therapy after discharge. His blood pressure was 120/70 mmHg, his respiratory rate was 22 breaths/min, his heart rate was 93 beats/min, his temperature was 36.7°C, and his arterial oxygen saturation was 98% on room air. He had a regular heart rhythm. ENT and abdominal examinations were normal. There were obvious moist crackles during auscultation of the inferior lobes of the lung. Neurological examination revealed previous sequelae of poliomyelitis without any new neurological deficits. Routine blood test results were as follows: white blood cells, 10.86 × 109 cells/L; hemoglobin, 11.6 g/dL; neutrophils, 90%; lymphocytes, 4.6%; CRP, 111.5 mg/L; potassium, 4.8 mmol/L; sodium, 136 mmol/L; urea, 59 mg/dL; serum Cr, 1.08 mg/dL; D-dimer, 216 ng/mL; ALT, 31 U/L; AST, 35 U/L; LDH, 272 U/L; ferritin, 212 ng/mL; partial pressurize of oxygen, 61.9 mm Hg; partial pressure of carbon dioxide, 40 mmHg; saturated oxygen, 99.1%; and pH, 7.4. His EKG was normal. Blood tests for rapid detection of influenza A and influenza B were all negative. Chlorpromazine was started and his hiccups disappeared within 3 days. There was no recurrence of hiccups on follow-up.
DISCUSSION
Pneumonia may rarely present with persistent hiccups, and hiccups may disappear after antibiotic treatment. A review of the literature reveals very few reported cases of pneumonia presenting with hiccups.4,11,12 Burdette and Marinella13 suggested that inflammatory pneumonic irritation of the phrenic nerve and its pericardial branch, which are located along the superior portion of the diaphragm and right heart border, respectively, may be the pathophysiological cause of hiccups.
The first case of COVID-19 pneumonia presenting with persistent hiccups was reported by Prince et al.7 A 62-year-old woman presented with a 4-day history of hiccups. Ground-glass and consolidative pulmonary opacities compatible with SARS-CoV-2 pneumonia were noted on chest X-ray and CT scan. Bakheet et al.8 reported a patient in whom hiccup attacks were more severe and prolonged (from 1 week before admission to 1 week afterward). He showed improvement after a baclofen dosage increase toward the end of his first week after admission, and he later proved to be COVID-19 negative. A small number of other case reports with atypical presentation of COVID-19 pneumonia with hiccups have been published.14
One of our patients presented to the neurology department for hiccups, similar to other reports in the literature. Radiology and PCR confirmed a COVID-19 diagnosis. His persistent hiccups responded well to chlorpromazine and regressed within hours. After 2 months, his COVID-19 infection had resolved and there was no recurrence of hiccups. Our second patient is the first reported in the literature (to our knowledge) with a 15-day history of hospital treatment for COVID—without hiccups—who presented 2 days after discharge with persistent hiccups. Clinicians should be aware of the atypical characteristics of SARS-CoV-2 infection, especially in patients in epidemic areas.
ACKNOWLEDGMENT
The American Society of Tropical Medicine and Hygiene has waived the Open Access fee for this article due to the ongoing COVID-19 pandemic and has assisted with publication expenses.
REFERENCES
- 1.Steger M, Schneemann M, Fox M, 2015. Systemic review: the pathogenesis and pharmacological treatment of hiccups. Aliment Pharmacol Ther 42: 1037–1050. [DOI] [PubMed] [Google Scholar]
- 2.Cymet TC, 2002. Retrospective analysis of hiccups in patients at a community hospital from 1995–2000. J Natl Med Assoc 94: 480–483. [PMC free article] [PubMed] [Google Scholar]
- 3.Brikman S, Levi O, Dori G, 2018. Rare clinical manifestation of community-acquired pneumonia. BMJ Case Rep 11: e225589. [DOI] [PMC free article] [PubMed] [Google Scholar]
- 4.Konno S, Kono H, Kitazono H, Murata M, Nakazora H, Nomoto N, Sugimoto H, Sanno K, Fujioka T, 2012. Legionellosis presenting as singultus and external ophthalmoplegia. Neurol Sci 33: 1435–1437. [DOI] [PubMed] [Google Scholar]
- 5.Feng Y, et al. 2020. COVID-19 with different severity: a multi-center study of clinical features. Am J Respir Crit Care Med 201: 1380–1388. [DOI] [PMC free article] [PubMed] [Google Scholar]
- 6.Carlos WG, Cruz CSD, Cao B, Pasnick S, Jamil S, 2020. Novel Wuhan (2019-nCoV) coronavirus. Am J Respir Crit Care Med 201: 7–8. [DOI] [PubMed] [Google Scholar]
- 7.Prince G, Sergel M. 2020. Persistent hiccups as an atypical presenting complaint of COVID-19. Am J Emerg Med 38: 30274–30276. [DOI] [PMC free article] [PubMed] [Google Scholar]
- 8.Bakheet N, Fouad R, Kassem AM, Hussin W, El-Shazly M. 2021. Persistent hiccup: a rare presentation of COVID-19. Respir Investig 59: 263–265. [DOI] [PMC free article] [PubMed] [Google Scholar]
- 9.WHO , 2020. Clinical Management of Severe Acute Respiratory Infection (SARI) When COVID-19 Disease is Suspected: Interim Guidance. Geneva, Switzerland: World Health Organization. Available at: https://apps.who.int/iris/handle/10665/331446.
- 10.Turkish Ministry of Health , 2020. COVID-19 Information Platform. Available at: https://covid19bilgi.saglik.gov.tr/tr/covid-19-rehberi.html. Accessed March 24, 2021.
- 11.Rosenberger J, et al. 2005. A renal transplant patient with intractable hiccups and review of the literature. Transplant Infect Dis 7: 86–88. [DOI] [PubMed] [Google Scholar]
- 12.Yamazaki Y, Sugiura T, Kurokawa K, 2008. Sinister hiccups. Lancet 371: 1550. [DOI] [PubMed] [Google Scholar]
- 13.Burdette SD, Marinella MA, 2004. Pneumonia presenting as singultus. South Med J 97: 915. [DOI] [PubMed] [Google Scholar]
- 14.Alvarez-Cisneros T, Lara-Reyes A, Sansón-Tinoco S, 2021. Hiccups and psychosis: two atypical presentations of COVID-19. Int J Emerg Med 14: 8. [DOI] [PMC free article] [PubMed] [Google Scholar]


