Abstract
Background
Acute hepatopancreatic necrosis disease (AHPND) is caused by toxin-producing strains of Vibrio parahaemolyticus which contain deadly binary toxins PirAvp and PirBvp encoded in pVA1 plasmid. The polyclonal antibodies against PirBvp protein could be used to develop immunochromatographic test strip for in-field diagnosis of AHPND.
Results
In this study, PirBvp gene was amplified, cloned, and expressed in E. coli. The expressed protein was detected by sodium dodecyl sulfate-polyacrylamide gel electrophoresis (SDS-PAGE) and Western blot probed with 6xHis antibodies. Then, the recombinant PirBvp (rPirBvp) was purified using Ni-Sepharose column. Rabbits were immunized with the purified rPirBvp, and produced antibodies were analyzed using Ouchterlony double immunodiffusion. The antibody titration and antibody purification were performed by ELISA and affinity chromatography, respectively. Finally, antibody specificity and sensitivity were evaluated by dot blotting. The present study showed a high titer of polyclonal antibodies in rabbit serum after immunization and the titer increased steadily during the immunization schedule. The highest titer of antibody reached up to 2,560,000 with LOD of 0.1 ng/mL. The purified antibodies showed no cross-reactivity with proteins from other Vibrio species, and the detection threshold ranged from 6.25 to 12.5 ng toxin/dot.
Conclusion
This study highlights the production of high titer and specific polyclonal antibodies as an initial material towards the development of lateral-flow strip test.
Keywords: AHPND, Polyclonal antibodies, ELISA, Vibrio parahaemolyticus, PirBvp protein, Recombinant protein
Background
Acute hepatopancreatic necrosis disease (AHPND) is a serious disease that has caused severe damage and significant financial losses to the global shrimp industry [1, 2]. Since its first appearance in China in 2009, AHPND has quickly spread to Vietnam in 2010, Malaysia in 2011, Thailand in 2012, Mexico in 2013, the Philippines in 2015, and South America in 2016 [3]. AHPND can cause up to 100% mortality within approximately 35 days after stocking shrimp post-larva in farmed ponds. Typical symptoms of affected shrimp include an empty gut, and atrophied hepatopancreas. Histopathological analysis shows sloughing of the hepatopancreatic tubule epithelial cells and hemocytic infiltration [4].
In 2013, the causative agent of AHPND was identified as unique strains of Vibrio parahaemolyticus (VPAHPND) that carry a 70-kb plasmid encoding for binary toxins PirAvp/PirBvp, which are homologous to the Photorhabdus insect-related toxin [5, 6]. PirAvp/PirBvp are secreted toxins that were determined to be the primary virulence factors causing AHPND. PirBvp (a 50.1-kDa protein) alone is capable of inducing AHPND histopathology in hepatopancreatic tubules, while PirAvp (a 12.7-kDa protein) causes only minor histological changes [7].
The current molecular methods for detection of VPAHPND isolates are mostly based on PCR which target the PirAvp/PirBvp toxin genes, but it is difficult to apply these methods in farmed ponds in situ [7, 8]. Therefore, antibody-based methods have been deployed for the pathogen detection, e.g., Western blot and ELISA methods are used for detection of PirAvp/PirBvp toxin based on monoclonal antibody [9]. However, production of monoclonal antibody is significantly more expensive, time-consuming, and requires additional maintenance of cell lines. Therefore, this study was conducted for production, purification, and evaluation of the rabbit polyclonal antibodies against recombinant PirBvp protein (rPirBvp). The produced polyclonal antibodies were also assessed for their sensitivity and specificity to rPirBvp, native counterpart as well as other Vibrio species. This work provides the prelude for immunochromatographic test strip development for AHPND diagnosis.
Methods
Materials
AHPND strain of Vibrio parahaemolyticus XN89 and non-AHPND strain XN8 were kindly provided by Dr. Saengchan Senapin National Center for Genetic Engineering and Biotechnology (BIOTEC), Thailand. Vibrio cholerae, Vibrio vulnificus, Vibrio alginolyticus, and White Spot Syndrome virus were kindly provided by Dr. Tuan V. Vo from University of Agriculture and Forestry, Ho Chi Minh City, Vietnam. Female New Zealand white rabbits were provided by Central Animal House of Pasteur Institute in Ho Chi Minh City. PCR kit was product of Bioline, USA. Restriction endonucleases, DNA, and protein markers were all purchased from Thermo Scientific, USA. Ni-sepharose and Hitrap protein G HP column were purchased from Cytiva Life Sciences, Sweden. Culture media were purchased from BD. All other used chemicals were of analytical grade, unless otherwise specified.
Bacterial strains and growth conditions
All Vibrio strains were grown routinely in tryptic soy broth (BD Difco) containing 1.5% NaCl at 30 °C.
Preparation of recombinant PirBvp protein
Amplification and cloning of PirBvp
Plasmid DNA extracted from V. parahaemolyticus XN89 by using commercial plasmid isolation kit. Due to NdeI restriction site located within PirBvp gene, recombinase-free cloning in which designed primers with 15-bp overlap homology at their ends to cloning vector was exploited. The designed primers used for the amplification of PirBvp gene included ToxB-F (5’-taagaaggagatataCATATGACTAACGAATACGTTGTAAC-3’) and ToxB-R (5’-gtggtggtggtggtgCTCGAGCTTTTCTGTACCAAATTCATC-3’). The resulting amplicon was incubated with NdeI-XhoI-treated pET22b vector at RT for 30 min, then transformed into chemically competent Escherichia coli DH5α cells. The recombinant plasmid was confirmed for accurate insertion by both restriction enzyme digestion and sequencing.
Expression of recombinant PirBvp protein
The pET22b-PirBvp plasmid was transformed into E. coli BL21 (DE3) [10]. Colonies of E. coli BL21 (DE3) containing the pET22b-PirBvp plasmid was inoculated into 10-mL Luria broth media containing 50 μg/mL ampicillin and incubated overnight at 37 °C with shaking at 200 rpm. The expression of recombinant protein (rPirBvp) was induced by 0.5 mM IPTG and harvested by centrifugation. A volume of 1.5 mL bacterial broth was pelleted, mixed with 300 μL PBS, sonicated, and centrifuged to collect total protein, soluble protein, and insoluble protein fractions. Expression of the recombinant protein was confirmed by SDS-PAGE with Coomassie blue staining and Western blotting probed with anti-6xHis tag. Control samples were total fraction of E. coli BL21 (DE3)/pET22b with IPTG induction and E. coli BL21(DE3)/pET22b-PirBvp non-IPTG induction. After that, E. coli BL21 (DE3)/pET22b-PirBvp strain was expressed and scaled up to 100 mL LB medium for collecting rPirBvp. Soluble protein fraction was purified by affinity chromatography method with Histrap HP column (Cytiva Life Sciences). The column was loaded with 20 mL total soluble fraction. Next, the column was washed with binding buffer (20 mM phosphate 0.5M NaCl, 40 mM imidazole, pH 7.4). Finally, the target protein was eluted with elution buffer (20 mM phosphate, 0.5M NaCl, 108 mM imidazole, pH 7.4). The result of purification was verified by SDS-PAGE with silver staining and analyzed by a gel analyzer software. The concentration of obtained protein was determined by the Bradford method.
Immunization of rabbits and production of polyclonal antibodies
Healthy, 12-week-old, female New Zealand rabbits were maintained in the experimental animal facility, and experiments were performed in accordance with the Directive 2010/63/EU guideline approved by The Animal Care and Use Committee of University of Science, VNU-HCM in Ho Chi Minh City (ethical code 12/18-0599-01). The animals were housed singly in suspended cages and fed chow and water ad libitum. Three rabbits were injected subcutaneously with an emulsion of 1 mL rPirBvp in PBS, and 1 mL of Complete Freund’s Adjuvant at the first dose. Four booster injections of the same protein mixed with Incomplete Freund’s Adjuvant were given to each rabbit on a monthly basis. The rabbits were bled via the marginal ear vein prior to the first dose and two-week intervals, and serum was tested to detect antibodies against rPirBvp. Rabbits after completion of the experiment were anesthetized subcutaneously with Xylazine (5 mg/kg) for 5 min then Ketamine (40 mg/kg) followed by exsanguination to euthanize. After experiments, the rabbits were disposed and cremated following local regulations.
Detection of antibody by the Ouchterlony double immunodiffusion technique
Antibodies were detected using double immunodiffusion [11]. Petri plates containing casted agarose with six peripheral wells contained serially diluted serum, and a central well contained recombinant and native PirBvp antigen. Antigen and serum were filled into wells (20 μL per well). The double diffusion plates were stored in a humidified chamber at 4 °C, and the precipitin lines were examined daily for 2 days.
Detection of antibody by ELISA
Immunized rabbit sera after four injections were detected by coating the recombinant and native PirBvp proteins at 0.5 μg/mL in 0.1 M carbonate buffer, pH 9.6 overnight at 4 °C into 96-well ELISA plates. The plates were washed four times with PBS-0.01% Tween 20 (PBS-T) and blocked with 1% bovine serum albumin in PBS for 30 min at 37 °C. After a washing step, 100 μL of 1:1000 diluted serum was added to triplicate wells, and the wells were incubated for 1 h at 37 °C. Unbound antibody was removed by washing four times with PBS-T, and 100 μL of 1:40,000 diluted goat anti-rabbit IgG peroxidase conjugate (Sigma-Aldrich) was added to each well and incubated for 30 min at 37 °C. After washing four times with PBS-T, the wells were reacted with 3,3′,5,5′-Tetramemethylbenzidine (TMB) at room temperature in dark room for 10 min. The reaction was stopped by 50 μL 1N H2SO4. Absorbance was measured at 450 nm with a microplate reader.
Purification and determination of affinity-purified antibodies
Immunized rabbit sera were collected and precipitated by 50% ammonium sulphate. After dialysis against PBS, immunoglobulins were purified by Hitrap protein G HP column (Cytiva Life Sciences). Immunoglobulins were applied through affinity column. Next, the column was washed with binding buffer until the absorbance reached the baseline. Then, the respective bound antibodies were then eluted with 0.1 M glycine (pH 3.0) into 0.1 M Tris (pH 11.0), thus minimizing exposure of the antibody to acid. The effluent was dialyzed against PBS, determined content by Bradford assay and analysed by SDS-PAGE. Finally, affinity-purified antibody titer was determined by the ELISA method as described above. The titer of each antibody sample was arbitrarily designated as the maximum dilution that yielded at least twice the absorbance of the same dilution of nonimmune control antibody [12].
Characterization of affinity-purified antibodies
Specificity of antibodies
Specificity of the prepared antibodies was evaluated by dot blotting. Supernatants from strains VPAHPND, VPnon-AHPND, purified recombinant PirBvp protein as well as other Vibrio species (V. cholerae, V. vulnificus, V. alginolyticus), White Spot Syndrome virus, and bovine serum albumin were fixed onto nitrocellulose membrane. This membrane was blocked with 3% skim milk. Next, the affinity-purified antibody (diluted 1:10,000) was added and incubated for 1 h. After washing, the membrane was incubated with HRP conjugated goat anti-rabbit IgG for 1 h. Finally, the membrane was washed as before and incubated for 15 min in TMB substrate.
Sensitivity of antibodies
Sensitivity of the prepared antibodies was evaluated by dot blotting and ELISA. Proteins from VPAHPND, VPnon-AHPND, and purified recombinant PirBvp protein at initial concentrations of 500 ng/ml were serially two-fold diluted from 200 ng/mL to 3125 ng/mL and fixed onto nitrocellulose membrane. Then, the dot blot was performed as described in the previous section. For ELISA, the recombinant PirBvp protein was diluted and coated onto 96-well ELISA plates at 0.0001–100 ng/mL (100 μL). Then, ELISA was performed as described in the previous section.
Results
Preparation of recombinant PirBvp protein
Amplification and cloning of PirBvp
Polymerase chain reaction was performed using PirBvp gene-specific primers for V. parahaemolyticus. The expected size of amplified PirBvp gene from AHPND-positive V. parahaemolyticus strains was approximately 1320 bp. After homologous recombination, candidate colonies were screened for recombinant plasmid. No amplification was observed from negative control (Fig. 1a). The result was confirmed again by sequencing plasmids obtained from positive colonies. Sequencing results showed that a typical recombinant clone obtained was 100% homologous to PirB gene (GenBank KP324996.1) (Fig. 1b).
Fig. 1.
Molecular cloning of pET22b plasmid containing PirBvp gene (a) and sequencing verification (b). a Lane M: marker; Lane 1: negative control; Lane 2–8: recombinant plasmid-containing candidate colonies. b Result of sequencing and homologous alignment between a typical positive clone with 3HP strain (GI: 1848399002)
Expression of recombinant PirBvp protein
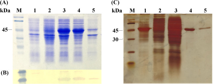
The PirBvp gene was cloned with an His-tag at C-terminal, and the recombinant plasmid construct was then transformed into E. coli BL21 (DE3). His-tag was used for the purification of rPirBvp by Ni affinity column. Aliquots of E. coli-induced cultures were analyzed on SDS-PAGE (Fig. 2a) and expression of PirBvp protein was confirmed by Western blot probed with anti-His antibody (Fig. 2b). In E. coli BL21(DE3)/pET22b-PirBvp, PirBvp protein was overexpressed in soluble fraction as a recombinant protein about 50kDa (lane 4, Fig. 2a), a predicted size of PirBvp. There was no band of target protein in control samples because they only carried an empty plasmid pET22b, which did not have PirBvp gene. The blotted membrane indicated the presence of corresponding band in the expressed PirBvp protein. The expressed PirBvp protein was purified by HisTrap column and SDS-PAGE analysis with silver staining showed that a relatively high-purity protein was isolated (Fig. 2c).
Fig. 2.
Expression of rPirBvp protein analyzed on SDS-PAGE (a), Western blot (b), and purification analyzed on SDS-PAGE and silver staining (c). a and b Lane M: protein ladder; Lane 1: E. coli BL21(DE3)/pET22b (+IPTG); Lane 2: E. coli BL21(DE3)/pET22b (-IPTG); Lanes 3–5: E. coli BL21(DE3)/pET22b-PirBvp (+IPTG). c Lane M: protein ladder; Lane 1: pre-purified rPirBvp protein; Lanes 2–3: whole cell lysate protein; Lanes 4–5: purified rPirBvp protein
Results of immunization and detection of PirBvp protein-specific antibodies
The antisera from immunized rabbits were tested at two-fold serial dilutions for immunoreactivity with recombinant and native PirBvp protein by double immunodiffusion.
This test was used for detection of antibody in rabbit sera which immunized by rPirBvp protein and that has been conducted through the third injection. A control experiment was carried out with pre-immunized rabbit sera. By the naked eye observation, results showed the formation of precipitate lines from sera containing PirBvp-specific antibodies but not from pre-immunized rabbit sera (Fig. 3a). The formation of precipitate lines indicated the reaction between given antigen and its specific antibodies formed in immunized rabbit sera.
Fig. 3.
PirBvp protein-specific antibodies evaluation using the Ouchterlony double immunodiffusion technique (a), and ELISA for antibody level per booster (b), and for antibody titer (c). a Left image: central well contained rPirBvp protein; Right image: Central well contained native PirBvp protein
Evaluation of immune response to the injections was performed by ELISA. Microtiter plates were coated with the recombinant and native PirBvp proteins. The result showed that the level of antibody increased steadily starting from the first injection until the end of the fourth injection as shown in Fig. 3b. Immunized rabbit with rPirBvp protein reacted to native PirBvp protein and the antibody increased after each injection. Antibody peak reached at the third injection and increased slightly after the fourth injection. Therefore, we stopped rabbit immunization at the fourth booster injection. The obtained sera after the second injection was used for the next immunoreactivity.
After the purification of antibody, a serial dilution of antibody from 1:625 to 1:5,120,000 was tested with the recombinant and native PirBvp proteins. Absorbance was measured at 450 nm with a microplate reader, and the titer of each antibody sample was arbitrarily designated as the maximum dilution that yielded at least twice the absorbance of the same dilution of nonimmune control antibody. The result indicated that the mean titer of antibodies was approximately 1:2,560,000 and meanwhile, pre-immunized sera as negative controls did not give a detectable signal (Fig. 3c).
Characterization of affinity-purified antibodies
Dot blotting images revealed that the affinity-purified antibodies clearly detected proteins of VPAHPND (XN89), purified recombinant PirBvp protein, and no cross-reactivity with VPnon-AHPND (XN8), as well as other Vibrio species (V. alginolyticus, V. cholerae, V. vulnificus), and White Spot Syndrome virus was observed (Fig. 4a).
Fig. 4.
Dot blotting for antibody specificity (a), sensitivity (b) and ELISA for antibody sensitivity (c). (a) a: V. alginolyticus, b: V. cholera, c: V. vulnificus, d: VPnon-AHPND (XN8), e: White Spot Syndrome virus, f: bovine serum albumin, g: VPAHPND (XN89), h: purified recombinant PirBvp protein. b a1: VPnon-AHPND (XN8), a2-8: purified rPirBvp protein with 2-fold diluted concentration from 200-3.125 ng/mL, b1: bovine serum albumin, b2-8: native PirBvp of VPAHPND (XN89) with 2-fold diluted concentration from 200 to 3.125 ng/mL
Sensitivity of the obtained antibodies was quantified by performing a dot blotting and ELISA. Results from dot blotting showed that the antibodies detected rPirBvp and native PirBvp protein at 6.25 and 12.5 ng/spot, respectively, but not for VPnon-AHPND (XN8) (Fig. 4b). Moreover, the results from ELISA showed that the antibodies detected rPirBvp protein at the concentration of 0.1 ng/mL (Fig. 4c).
Discussion
This study was conducted for production, purification, and evaluation of the rabbit polyclonal antibodies against recombinant PirBvp protein (rPirBvp). These antibodies are a powerful tool for developing immunochromatographic test strip of AHPND diagnosis. Initially, after transformation of synthetic gene construct (pET22b/PirBvp) to commonly used bacteria E. coli, the expression and purification of the recombinant protein were performed and confirmative tests were also carried out. In the previous studies, the rPirBvp protein was expressed with GST-tag [13, 14]. This tag may help maintain the solubility of a fused protein that is normally expressed in an insoluble form [15]. However, the expressed GST fusion protein required several strategic decisions, optimization of methods and conditions for specific proteins including the vector design, expression and purification processes [16]. The GST fusion protein is often expressed at high levels that may result in accumulation of aggregated protein in inclusion bodies [17]. In addition, the large size of the GST-tag and its dimerization in solution may affect the properties of the fusion protein that not easily eluted completely from the bound glutathione agarose [18]. Therefore, GST-tag should be removed after purification when the recombinant proteins used as antigen in producing antibody [19, 20]. In this study, we expressed PirBvp with His-tag because it is one of the most commonly used tag and its small size is weakly immunogenic. So, the fusion protein can be used directly as an antigen for immunization without further purification to remove His tag [18]. To exclude E. coli per se or/and sham vector could unexpectedly express protein band(s) that equals to rPirBvp, pET22 without carrying PirBvp gene was included in SDS-PAGE analysis. After injecting rPirBvp protein to lab animals, serum antibody titers, isolated from the blood of the animals, were evaluated by ELISA method, and at the end, the purification of polyclonal antibodies against rPirBvp protein was performed by ammonium sulphate precipitation and protein G column. The immunogenic competence of rPirBvp protein was shown in its ability to stimulate humoral response against native PirBvp protein with the titer of antibody reached up to 2,560,000. This titer was higher than published studies [21].
Since the obtained antibodies were pure and it is possible to determine its density, it could also be used in methods of identifying native PirBvp such as ELISA sandwich, and immunochromatographic strip test. With that in mind, western blotting and ELISA were successfully developed for detection of PirAvp and PirBvp based on monoclonal antibodies against the AHPND toxins [9]. However, monoclonal antibody production is significantly more expensive, time- and labor-consuming, and requires additional maintenance of cell lines. Therefore, we used rabbits as host animal for polyclonal antibody production because they have a convenient size, are easy to handle and bleed, and produce adequate volumes of high titer, high affinity, precipitating antisera [21]. Using booster injection also has an effect on the titer of the antibody by maintaining the immune response at an appropriate level [22–24]. Consequently, the limit of detection (LOD) of produced polyclonal antibodies against rPirBvp protein in the ELISA format was 0.1 ng/mL. This LOD value was lower than that of the published study [25]. However, this difference may be attributed to to reagents or/and the instruments used. Polyclonal antibodies demonstrating that they were able to detect native PirBvp protein secreted by VPAHPND bacteria at 12.5 ng by dot blotting. This is a relatively low detection limit compared with the amount of lethal PirBvp protein at 5 μg/g shrimp [26].
Conclusion
In summary, we have succeeded in expression, purification of the recombinant PirBvp protein, and this protein as an effective immunogen. Polyclonal antibodies were developed from all rabbits immunized with rPirBvp protein which reacted with native PirBvp protein from VPAHPND and no cross-reactivity was observed with other Vibrio species and White Spot Syndrome virus as revealed in dot blotting. These antibodies would be useful for further development of lateral-flow strip test.
Acknowledgements
This work was supported by the Mekong Delta Program Office under project No: 19/2018/HĐ-KHCN-TNB.ĐT/14-19/C31.
Abbreviations
- AHPND
Acute hepatopancreatic necrosis disease
- ELISA
Enzyme-linked immunosorbent assay
- IPTG
Isopropyl-β-D-thiogalactopyranoside
- PCR
Polymerase chain reaction
- rPirBvp
Recombinant PirBvp
- SDS-PAGE
Sodium dodecyl sulfate polyacrylamide gel electrophoresis
- V.
Vibrio
Authors’ contributions
NDD, KHNP: conceptualization, methodology, investigation, validation, visualization, writing—original draft. KYDT, NTNT: investigation, validation, visualization. TLT: supervision, resources, review. HTV: supervision, conceptualization, methodology, resources, writing—review & editing, project administration. The authors have read and approved the manuscript.
Funding
This work was supported by the Mekong Delta Program Office.
Availability of data and materials
All data generated or analyzed during this study are included in this published article.
Declarations
Ethics approval and consent to participate
Animal experiments were performed in accordance with the Directive 2010/63/EU guideline approved by The Animal Care and Use Committee of University of Science, VNU-HCM in Ho Chi Minh City (ethical code 12/18-0599-01).
Consent for publication
Not applicable.
Competing interests
We declare that we have no competing interests.
Footnotes
Publisher’s Note
Springer Nature remains neutral with regard to jurisdictional claims in published maps and institutional affiliations.
Ngoc-Diem Duong and Khai-Hoan Nguyen-Phuoc shared first authorship.
Contributor Information
Ngoc-Diem Duong, Email: ngocdiem99s@yahoo.com.
Khai-Hoan Nguyen-Phuoc, Email: khaihoan31396@gmail.com.
Kim-Yen Thi Do, Email: yendo87@gmail.com.
Nguyet-Thu Thi Nguyen, Email: ntnguyetthu05@yahoo.com.
Thuoc Linh Tran, Email: tlthuoc@hcmus.edu.vn.
Hieu Tran-Van, Email: tvhieu@hcmus.edu.vn.
References
- 1.Tran L, Nunan L, Redman RM, et al. Determination of the infectious nature of the agent of acute hepatopancreatic necrosis syndrome affecting penaeid shrimp. Dis Aquat Organ. 2014;105:45–55. doi: 10.3354/dao02621. [DOI] [PubMed] [Google Scholar]
- 2.Lai HC, Ng TH, Ando M, Lee CT, Chen IT, Chuang JC, Mavichak R, Chang SH, Yeh MD, Chiang YA, Takeyama H, Hamaguchi HO, Lo CF, Aoki T, Wang HC. Pathogenesis of acute hepatopancreatic necrosis disease (AHPND) in shrimp. Fish Shellfish Immunol. 2015;47(2):1006–1014. doi: 10.1016/j.fsi.2015.11.008. [DOI] [PubMed] [Google Scholar]
- 3.Zorriehzahra MJ, Banaederakhshan R. Early mortality syndrome (EMS) as new emerging threat in shrimp industry. Adv Anim Vet Sci. 2015;3(2s):64–72. doi: 10.14737/journal.aavs/2015/3.2s.64.72. [DOI] [Google Scholar]
- 4.Lightner D. Early mortality syndrome (EMS). Global outlook for Aquaculture leadership. 2012. pp. 1–17. [Google Scholar]
- 5.Lee CT, Chen IT, Yang YT, Ko TP, Huang YT, Huang JY, Huang MF, Lin SJ, Chen CY, Lin SS, Lightner DV, Wang HC, Wang AHJ, Wang HC, Hor LI, Lo CF. The opportunistic marine pathogen Vibrio parahaemolyticus becomes virulent by acquiring a plasmid that expresses a deadly toxin. PNAS. 2015;112(34):10798–10803. doi: 10.1073/pnas.1503129112. [DOI] [PMC free article] [PubMed] [Google Scholar]
- 6.Prachumwat A, Taengchaiyaphum S, Mungkongwongsiri N et al (2018) Update on early mortality syndrome/acute hepatopancreatic necrosis disease by April 2018. J World Aquac Soc 50:1–13
- 7.Han JE, Tang FF, Lightner DV, et al. Photorhabdus insect related (Pir) toxin-like genes in a plasmid of Vibrio parahaemolyticus, the causative agent of acute hepatopancreatic necrosis disease (AHPND) of shrimp. Dis Aquat Org. 2015;113(1):33–40. doi: 10.3354/dao02830. [DOI] [PMC free article] [PubMed] [Google Scholar]
- 8.Dangtip S, Sirikharin R, Sanguanrut P, Thitamadee S, Sritunyalucksana K, Taengchaiyaphum S, Mavichak R, Proespraiwong P, Flegel TW. AP4 method for two-tube nested PCR detection of AHPND isolates of Vibrio parahaemolyticus. Aquac Rep. 2015;2:158–162. doi: 10.1016/j.aqrep.2015.10.002. [DOI] [Google Scholar]
- 9.Wangman P, Chaivisuthangkura P, Sritunyalucksana K, Taengchaiyaphum S, Senapin S, Pengsuk C, Sithigorngul P, Longyant S. Development of monoclonal antibodies specific to ToxA and ToxB of Vibrio parahaemolyticus that cause acute hepatopancreatic necrosis disease (AHPND) Aquaculture. 2017;474:75–81. doi: 10.1016/j.aquaculture.2017.03.039. [DOI] [Google Scholar]
- 10.Sambrook J, Russell DW. Molecular cloning: a laboratory manual. New York: Cold Spring Harbor Laboratory Press; 2001. [Google Scholar]
- 11.Nilsson LA. Immunodiffusion and immunoelectrophoresis. In: Weir DM, editor. Handbook of experimental immunology. Oxford: Blackwell Science; 1978. pp. 19.1–19.44. [Google Scholar]
- 12.Abouzied MM, Azcona-Olivera JI, Yoshizawa T, et al. Production of polyclonal antibodies to the trichothecene mycotoxin 4,15-diacetylnivalenol with the carrier-adjuvant cholera toxin. Appl Environ Microbiol. 1993;59(5):1264–1268. doi: 10.1128/AEM.59.5.1264-1268.1993. [DOI] [PMC free article] [PubMed] [Google Scholar]
- 13.Sirikharin R, Taengchaiyaphum S, Sanguanrut P et al (2015) Characterization and PCR detection of binary, Pir-like toxins from Vibrio parahaemolyticus isolates that cause acute hepatopancreatic necrosis disease (AHPND) in shrimp. PLoS One 10(15):1–16 [DOI] [PMC free article] [PubMed]
- 14.Wangman P, Chaivisuthangkura P, Taengchaiyaphum S et al (2019) Development of a rapid immunochromatographic strip test for the detection of Vibrio parahaemolyticus toxin B that cause acute hepatopancreatic necrosis disease. J Fish Dis 43(1):3–8 [DOI] [PubMed]
- 15.Wingfield PT. Overview of the purification of recombinant proteins. Curr Protoc Protein Sci. 2016;80:6.1.1–6.1.35. doi: 10.1002/0471140864.ps0601s80. [DOI] [PMC free article] [PubMed] [Google Scholar]
- 16.Harper S, Speicher DW. Purification of proteins fused to glutathione S-tranferase. Methods Mol Biol. 2011;681:259–280. doi: 10.1007/978-1-60761-913-0_14. [DOI] [PMC free article] [PubMed] [Google Scholar]
- 17.Kimple ME, Brill AL, Pasker RL. Overview of affinity tags for protein purification. Curr Protoc Protein Sci. 2015;73:Unit 9.9. doi: 10.1002/0471140864.ps0909s73. [DOI] [PMC free article] [PubMed] [Google Scholar]
- 18.GE Healthcare . Affinity chromatography, Vol.2 Tagged proteins. 2016. [Google Scholar]
- 19.Scheich C, Sievert V, Büssow K. An automated method for high-throughput protein purification applied to a comparison of His-tag and GST-tag affinity chromatography. BMC Biotechnol. 2013;3:1–8. doi: 10.1186/1472-6750-3-12. [DOI] [PMC free article] [PubMed] [Google Scholar]
- 20.Sun Y, Feng X, Qu J et al (2015) Expression and characterization of the extracellular domain of human HER2 from Escherichia coli, and production of polyclonal antibodies against the recombinant proteins. Appl Biochem Biotechnol 176:1–15 [DOI] [PubMed]
- 21.Los Santos MV, Vibanco-Pérez N, Soto-Rodriguez S, et al. The B subunit of PirABvp toxin secreted from Vibrio parahaemolyticus causing AHPND is an amino sugar specific lectin. Pathogens. 2020;9(182):1–15. doi: 10.3390/pathogens9030182. [DOI] [PMC free article] [PubMed] [Google Scholar]
- 22.Gaur PK, Lau HP, Pestka JJ, Chu FS. Production and characterization of aflatoxin B2 antiserum. Appl Environ Microbiol. 1981;41(2):478–482. doi: 10.1128/AEM.41.2.478-482.1981. [DOI] [PMC free article] [PubMed] [Google Scholar]
- 23.Aref NEM, Saeed AM. Generation of high-titer of neutralizing polyclonal antibodies against heat-stable enterotoxin (STa) of enterotoxigenic Escherichia coli. Vaccine. 2012;30(45):6341–6346. doi: 10.1016/j.vaccine.2012.06.064. [DOI] [PMC free article] [PubMed] [Google Scholar]
- 24.Shin JH, Sakoda Y, Kim JH, et al. Comparison of antibody titers in rabbits following immunization with inactivated influenza virus via subarachnoidal or subcutaneous route. J Vet Med Sci. 2007;69(11):1167–1169. doi: 10.1292/jvms.69.1167. [DOI] [PubMed] [Google Scholar]
- 25.Mai HN, Cruz-Flores R, Dhar AK. Development of an indirect Enzyme Linked Immunoassay (iELISA) using monoclonal antibodies against Photorhabdus insect related toxins, PirAVp and PirBVp released from Vibrio spp. J Microbiol Methods. 2020;176:1–9. doi: 10.1016/j.mimet.2020.106002. [DOI] [PubMed] [Google Scholar]
- 26.Phiwsaiya K, Charoensapsri W, Taengphu S et al (2017) A natural Vibrio parahaemolyticus DpirVp pirBVp+ mutant kills shrimp but produces neither PirVp toxins nor acute hepatopancreatic necrosis disease lesions. Appl. Environ Microbiol. 83(16):1–44 [DOI] [PMC free article] [PubMed]
Associated Data
This section collects any data citations, data availability statements, or supplementary materials included in this article.
Data Availability Statement
All data generated or analyzed during this study are included in this published article.




