Abstract
Sinonasal angiectatic polyp is an uncommon condition with features that masquerade various pathologies like hemangioma, angiofibroma, inverted papilloma, malignancy. We report a case of a left-sided vascular nasal mass, which on examination and investigations suggested cavernous hemangioma of the left maxillary sinus, whereas histopathology post-excision revealed angiectatic polyp.
Keywords: Angiectatic polyp, Hemangioma, Endoscopic excision, Double approach
Introduction
Sinonasal angiectatic or angiomatous polyp (SAP), a rare entity, comprises about 4–5% of all inflammatory sinonasal polyps [1]. Their varied presentation simulates pathologies like hemangioma, inverted papilloma, angiofibroma or malignancy [2]. Hence warrants a precise pre-operative diagnosis in order to restrain from extensive surgical procedures. This paper is regarding one such unique case that gave the impression of a cavernous hemangioma of the maxillary sinus pre-operatively, however the histopathological diagnosis of SAP was a revelation.
Case Report
A 50-year-old male presented to the ENT OPD with left-sided nasal block since 3 years and nasal bleed for 1 year. His nasal block was insidious and gradually progressive. Nasal bleed was sudden, 3–4 unprovoked episodes of moderate bleeding. The patient denied other positive history. He was a known Diabetic and Hypertensive since 10 years, on irregular medication, and a non-smoker.
Anterior rhinoscopy and diagnostic nasal endoscopy (DNE) revealed a pinkish vascular mass in the left middle meatus region, obscuring the middle turbinate and the choana. Left maxillary sinus region was tender.
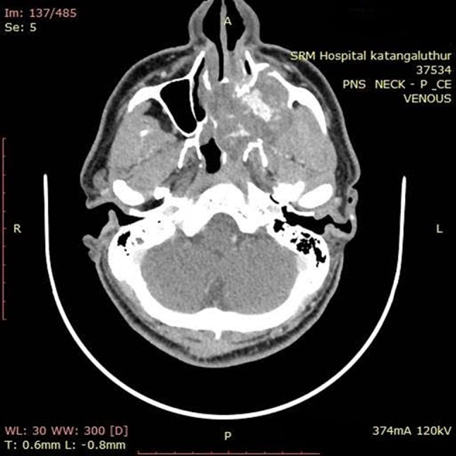
Contrast Enhanced Computed Tomography (CECT) scan and Magnetic Resonance Imaging (MRI) screening of the paranasal sinuses were done, suggesting a slow flow vascular malformation, most likely a Cavernous hemangioma, or less likely an expansile vascular neoplastic lesion (Fig. 1).
Fig. 1.

Axial CECT scan showing soft tissue density mass in the left maxillary sinus, with puddling of contrast in arterial and gradual filling in delayed phase, with extension, mass effect, bony erosions
CT-Angiography again revealed a cavernous hemangioma in the left maxillary sinus. Pre-operative embolization was done under local anaesthesia through right femoral artery approach. The feeder vessel was identified as the Sphenopalatine artery and was embolised with Fiber Nester coil to prevent recanalization.
48 h post-embolization, patient was subjected to transnasal endoscopic surgery under general anaesthesia. Intra-operatively, mass was visualised involving the left maxillary antrum, extending via the ostium into the middle meatus and descending towards the choana. It was seen indenting the inferior meatus region and eroding the medial wall of the maxilla. The bone around this dehiscent region was drilled. The tumour was negotiated by a ‘Double approach’—one port via the inferior meatus and another through the middle meatus. Attachment of the mass to the floor and lateral wall of the maxillary sinus were separated through the inferior meatal access, and removed in toto through the middle meatal port and sent for histopathology. The sinus was inspected with an angled endoscope for remnants and showed none. DNE on post-operative days 3 and 5 showed the nasal cavity free of the mass. A repeat CECT scan was done on the 5th post-operative day (Fig. 2).
Fig. 2.

Post-operative axial CECT scan showing clear cavity with surgical clips/coil without residual lesion
Histopathology revealed fibroareolar tissue with vascular proliferation and reactive bone with fibroblastic areas. Also seen were large fibrin deposits, foci of organising thrombi with focal recanalization covered by short strips of squamous epithelium, thereby pointing towards the diagnosis of angiectatic inflammatory sinonasal polyp.
Discussion
Sinonasal angiectatic polyp (SAP) is a histological subtype of inflammatory sinonasal polyps, the other types being: oedematous, glandular, fibrous and cystic [3]. SAP most commonly presents with recurrent epistaxis and nasal obstruction, while being capable of widespread bone destruction [1].
Two theories have been postulated concerning the pathogenesis of SAP. One of it is based on nasal polyps. SAP can be viewed as a form of antrochoanal polyp susceptible to vascular compromise along its course in areas of anatomic constrictions. These areas, as depicted by Batsakis are: the ostial exit, the posterior end of inferior turbinate, posterior choana and the most dependent part in the nasopharynx. Consequently the feeder vessels in the polyp get compressed or blocked, thereby undergoing transformation in a particular sequence. Dilatation and stasis of the vessels occurs initially, leading to extravascular oedema. Venous infarction and neovascularisation of the polyp follows, enabling repeat occlusion and infarction. Therefore, at the time of intervention, it is either complete necrosis or often an angiomatous picture [4, 5]. The histopathological finding of organisation and recanalization of the thrombus in our case would support this theory of Batsakis’.
Another theory involves hematoma in the maxillary antrum, attributable to trauma, coagulopathy, vessel rupture or inflammatory tear. Decreased air exchange, negative pressure and poor drainage in the maxillary antrum can cause accumulation, organisation and fibrous degeneration of the hematoma. Reactive modification and neovascularisation ensues, forming an angiectatic polyp in the due course [6].
On CT, SAP shows heterogenous isoattenuation with expansible bone remodelling, destruction or hyperostosis. On MRI, characteristic isointense signal on T1WI and mixed hyperintense and hypointense signal centrally with a peripheral hypointense rim on T2WI are seen, indicating build-up of hemosiderin from old microhaemorrhage [7, 8].
The hemodynamic state of SAP and the exudation of blood constituents into the extracellular space reflect on the light microscopy features of distended fine vessels in a perivascular matrix of eosinophilic amorphous material, associated with areas of necrosis and unusual stromal spindle cells [3, 9].
The notable feature of SAP being the element of vascularity, requires it to be distinguished from hemangioma and angiofibroma. Angiomas have irregular vessels with smoothed endothelial cells in an oedematous stroma. Majority belong to the capillary type. Rarely, cavernous hemangiomas occur from the lateral nasal wall or very rarely from the sinus. They enhance more than SAP on CECT scan [2]. MRI findings on T2WI have been reported as predominantly hyperintense, with a surrounding rim of blood products. Suspicion of a hemangioma therefore has to be dealt with angiography and embolization prior to surgery [10].
To sum up, SAP, a diagnostic challenge, despite overlapping with other conditions, should not be overlooked. The surgery of choice for SAP would be transnasal endoscopic excision [1].
Funding
This clinical report received no specific grant from any funding agency.
Compliance with Ethical Standards
Conflict of interest
Dr. P.K. Purushothaman, Dr. Sharanya M, Dr. Manoj Pandian SP declare that they have no conflict of interest.
Ethical Approval
This article does not contain any study with human participants or animals performed by any of the authors.
Informed Consent
Informed consent was obtained from the participant included in this clinical report.
Footnotes
Publisher's Note
Springer Nature remains neutral with regard to jurisdictional claims in published maps and institutional affiliations.
References
- 1.Jayaram S, Svecova N, Biggs T, Theaker J, Salib RJ. Angiectatic nasal polyp: the great imitator? Int J Otorhinolaryngol. 2013;15:1–3. [Google Scholar]
- 2.Dai L-B, Zhou S-H, Ruan L-X, Zheng Z-J. Correlation of computed tomography with pathological features in angiomatous nasal polyps. PLoS ONE. 2012;7:e53306. doi: 10.1371/journal.pone.0053306. [DOI] [PMC free article] [PubMed] [Google Scholar]
- 3.Guntur S, Shenoy VS, Kshithi K, Domah HA, Chaithra GV. Rare case of an angiectatic sinonasal polyp feigning malignancy. J Cancer Res Ther. 2019;15(3):733–736. doi: 10.4103/jcrt.JCRT_1236_16. [DOI] [PubMed] [Google Scholar]
- 4.Bhama L, Soni N. Angiomatous antrochoanal polyp causing epistaxis and bone destruction. Int J Clin Rhinol. 2018;11:25–28. doi: 10.5005/jp-journals-10013-1338. [DOI] [Google Scholar]
- 5.Batsakis JG, Sneige N. Choanal and angiomatous polyps of the sinonasal tract. Ann Otol Rhinol Laryngol. 1992;101(7):623–625. doi: 10.1177/000348949210100716. [DOI] [PubMed] [Google Scholar]
- 6.Kim EY, Kim HJ, Chung SK, et al. Sinonasal organized hematoma: CT and MR imaging findings. AJNR Am J Neuroradiol. 2008;29(6):1204–1208. doi: 10.3174/ajnr.A1042. [DOI] [PMC free article] [PubMed] [Google Scholar]
- 7.Wang YZ, Yang BT, Wang ZC, Song L, Xian JF. MR evaluation of sinonasal angiomatous polyp. AJNR Am J Neuroradiol. 2012;33(4):767–772. doi: 10.3174/ajnr.A2856. [DOI] [PMC free article] [PubMed] [Google Scholar]
- 8.Zou J, Man F, Deng K, Zheng Y, Hao D, Xu W. CT and MR imaging findings of sinonasal angiomatous polyps. Eur J Radiol. 2014;83(3):545–551. doi: 10.1016/j.ejrad.2013.12.002. [DOI] [PubMed] [Google Scholar]
- 9.Yfantis HG, Drachenberg CB, Gray W, Papadimitriou JC. Angiectatic nasal polyps that clinically simulate a malignant process: report of 2 cases and review of the literature. Arch Pathol Lab Med. 2000;124(3):406–410. doi: 10.1043/0003-9985(2000)124<0406:ANPTCS>2.0.CO;2. [DOI] [PubMed] [Google Scholar]
- 10.Iwata N, Hattori K, Nakagawa T, Tsujimura T. Hemangioma of the nasal cavity: a clinicopathologic study. Auris Nasus Larynx. 2002;29(4):335–339. doi: 10.1016/s0385-8146(02)00028-7. [DOI] [PubMed] [Google Scholar]
