Abstract
Feline parvovirus (FPV), a type of parvovirus prevalent worldwide, can cause foetal death and acute enteritis in adult cats with severe leukopenia, and yet there are no effective drugs to prevent or treat FPV. Here, the immune effects of two FPV vaccines on horses were compared. IgG was extracted from FPV-immunized horse sera. Equine F(ab′)2 fragments were obtained from pepsin-digested IgG and then purified by protein-G column chromatography. The results showed that the inactivated FPV oil vaccine was more effective than the inactivated FPV propolis vaccine in helping healthy horses to produce hyper-immune serum. Four methods were tested, among which the optimized octanoic acid-ammonium sulphate precipitation method was proved to be the best process for extracting IgG. The optimal condition for preparing F(ab′)2 by pepsin digestion was 30 °C for 3.5 h, and the content, purity and recovery of F(ab′)2 were 8.64 mg/mL, 90.36% and 93.24%, respectively. Our equine immunoglobulin F(ab′)2 fragments effectively neutralized activity in vitro against FPV, alleviated the clinical symptoms of FPV-infected cats, reduced the viral loads in the intestine and had prophylactic effects in FPV-infected cats. These results indicate that the F(ab′)2 fragment prepared from inactivated FPV-immunized horses may be used as a prophylactic agent for diseases caused by FPV.
Keywords: Feline parvovirus, Immunoglobulin F(ab′)2, Cat, Equine
Introduction
Feline parvovirus (FPV), also named feline panleukopenia virus, feline infectious enteritis or feline distemper, is an acute, highly contagious and lethal disease. FPV is a single-stranded positive strand non-enveloped DNA virus whose molecular weight and particle diameter are approximately 1.6 × 106 Da and 20–24 nm, respectively [1]. FPV shows strong resistance and tolerance to solvents, trypsin, acids and bases. However, 0.5% formalin and 0.175% hypochlorous acid can effectively kill the virus and are good disinfectants for FPV [2]. Under natural conditions, FPV can infect many species of cats, raccoons and ferrets. Young felines are the most susceptible. After FPV infection, the animals have sudden high fever, vomiting, diarrhoea and a sharp decrease in white blood cells [3].
FPV is a highly contagious and often lethal disease of cats and other felidae, including house cats, tigers and lions [4]. Cats of 3 to 5 months old are the most vulnerable, with very high mortality. Cats infected with FPV exhibit typical symptoms of haemorrhagic gastroenteritis and severe leukopenia, which are mainly of the acute and subacute types. The acute type manifests itself as shock, dehydration, hypothermia and death within 12 h while the subacute type have symptoms of 3–4 days of fever, depression and anorexia that can progress to vomiting and sometimes to diarrhoea. FPV has a wide range of cell tropism. It can grow and proliferate in cat and mink-derived cells such as F81, CRFK and NLFK but cannot proliferate on chicken embryos. FPV infects lymphoid tissues, causing the cells in lymphoid tissues to lyse, reduce and fail to cause immunosuppression [5].
In previous studies, equine IgG was gradually favoured by researchers as a safe and effective immunotherapy biological agent due to its high safety, low toxicity, long half-life, short cycle, low cost, large output and strong specificity. F(ab′)2 fragments, being bivalent, are easier to purify in large quantities and more able to penetrate deeper into the tissue than the IgG antibody [6], thus increasing the time for excretion from the blood. There are reports on using F(ab′)2 fragments to prevent West Nile virus (WNV) [7], feline calicivirus [8], Middle East respiratory syndrome coronavirus (MERS-CoV) [9] and Ebola virus (EBOV) [10, 11].
As for FPV, there are currently no effective drugs for treatment or prevention. In this study, two different adjuvant FPV inactivated vaccines were used to immunize healthy horses to produce hyper-immune serum and extract IgG by four different purification methods. Then, the F(ab′)2 fragments were produced from IgG digested by pepsin. The haemagglutination inhibition (HI) titres of IgG and F(ab′)2 fragments were determined, and the protective effects of F(ab′)2 fragments (in vitro and in vivo) on FPV were evaluated in the F81 cell line and in cats. Infected cats treated with purified F(ab′)2 fragments showed a significantly reduced viral load and FPV shedding in the intestinal tract compared to controls. Resultingly, score of clinical symptoms was lowered, mortality in cats reduced. Histopathological observation showed that F(ab′)2 could effectively interact with FPV and reduce the pathological changes of organs. These results suggest that equine neutralizing F(ab′)2 fragments may protect cats against FPV pathogenic infection.
Materials and Methods
Animals, Virus and Cells
Six-week-old Kunming mice, weighing approximately 20 g, were purchased from the Laboratory Animal Center of Guangxi Medical University. Twenty-four cats, 6 to 8 weeks of age and weighing between 0.5 and 0.6 kg, devoid of FPV immunization, were purchased from Nanning Bird and Flower Market. The cats’ HI titre of blood was lower than 1:2 and they were FPV negative according to PCR of anal and throat swabs. Four 1-year-old horses were purchased from a horse farm in Jilin, which were disinfected and dewormed before the experiment, and the horse-borne anaemia and glanders were also tested to be negative. The F81 cell line was purchased from Kunming Institute of Zoology, CAS. The FPV GX01 strain was isolated, identified and stored in our laboratory.
Proliferation and Inactivation of FPV
FPV (named GX01) proliferated in F81 cells and was collected at 5–7 days after the infection, when the CPE of F81 cells was 80%, after which it was frozen and thawed three times, centrifuged at 1000 r/min for 15 min; filtered through a 0.22 μm filter and stored at − 20 °C. To inactivate FPV, formaldehyde was added to the FPV virus at a rate of 0.3% volume of the FPV virus solution and kept at 37 °C for 24 h with shaking every 4 h. Then, 10% sodium thiosulphate was added to the inactivated virus at a ratio of 0.04%, neutralized formaldehyde was added and the solution was kept at 37 °C for 24 h. Oil emulsion and propolis were used as vaccine adjuvants to produce the oil emulsion inactivated vaccine and propolis inactivated vaccine of FPV, after which the immune effects of both vaccines in horses were compared.
Testing for Sterility, Stability and Safety of the Two Vaccines
To perform sterility test, 1 mL of each FPV vaccine was added into the test tube of tryptic soy broth and cultured at 20–25 °5 for 14 days; 1 mL of each FPV vaccine was added into mycoplasma broth medium and cultured at 35–37 °7 for 7 days; and 0.1 mL of each FPV vaccine was coated on blood agar plate and cultured at 35–37 °7 for 2 days, respectively. To analyze the stability, 5 mL oil emulsion seedlings and propolis seedlings were centrifuged at 3000 r/min for 15 min, respectively, to observe stratification; absorbing the oil emulsion vaccine and dropping a few drops in water to observe dispersion. To analyze the safety, the two vaccines were intraperitoneally injected into Kunming mice (about 20 g), 0.3 mL of each vaccine for 4 mice, respectively. The clinical symptoms and survival were monitored for 14 days.
Horse immunizations
Four horses without detectable antibodies against FPV were divided into two groups (two horses per group): one group was vaccinated with the oil emulsion inactivated vaccine, and the other group was vaccinated with the propolis inactivated vaccine. Both vaccines were administered by multipoint injection in the neck and buttock area with 2, 4, 6, 6 and 8 mL at weeks 0, 1, 3, 6 and 10, respectively. The sera were collected from the jugular vein at 41, 62, 92 and 122 days after the first injection and were either tested by haemagglutination inhibition (HI) assays or stored at − 20 °C immediately for further study.
Detection of HI Titre of Horse Serum and Extraction of IgG
Antibodies against FPV (named GX01) in horse serum were tested by HI according to a previously described method [12]. HI was assessed by using 50 μl of horse sera for a series 2× folded dilution and by 50 μl of 8HA units of the GX01 stain. The mixture was incubated for 1 h at room temperature. Then, 50 μl of 1% pig erythrocytes was added, and the 96-well plate was gently shaken. The HI titre was recorded after incubation for 1 h at room temperature. A large amount of horse blood was collected when the HI titre reached the standard, and the serum supernatant was separated by centrifugation at 10,000 r/min for 10 min. IgG was precipitated with method 1 (M1, optimized n-octanoic acid-ammonium sulphate precipitation method) [13], method 2 (M2, n-octanoic acid-ammonium sulphate precipitation method) [14], method 3 (M3, low-temperature ethanol precipitation method) [15] and method 4 (M4, ammonium sulphate precipitation method) [16]. The concentration and purity of IgG were detected by UV-visible absorption spectra and by scanning SDS-PAGE gels using BandScan software [17], then the total IgG was calculated by multiplying concentration by total volume.
Preparation of F(ab′)2 Fragments
Insoluble pepsin was added to IgG at a ratio of 1:3000, and digestion was performed at 30 °C for 4 h. SDS-PAGE analysis showed that >95% of the IgG was digested to F(ab′)2 and peptides during this period. The digests were purified on a ProteinA+G column equilibrated with PBS (pH 7.4), and the protein solutions were filtered through a 0.22 μm Millix filter and stored at 4 °C until use. The concentration and purity of the F(ab′)2 fractions were determined by a Bradford kit, and the SDS-PAGE gel was scanned using BandScan software. The recovery rate of F(ab′)2 was calculated according to the following formula: recovery rate=(concentration of F(ab′)2*volume1)/(concentration of IgG*volume2*100%). The bacteria, fungi and mycoplasma of recovered F(ab′)2 were also tested by using blood agar plates, tryptone liquid medium and mycoplasma broth. For the safety test of F(ab′)2, four Kunming mice (approximately 20 g) were i.h. injected with 0.3 mL F(ab′)2 and were continuously monitored for their clinical signs and survival for 14 days.
HI Titre and Protective Efficacy of Equine F(ab′)2 Against the GX01 Strain in Cultured F81 Cells
HI titre of equine F(ab′)2 was tested by methods mentioned in the “Detection of HI Titre of Horse Serum and Extraction of IgG”. For protective efficacy, 96-well culture plates were seeded with 2.5 × 104 F81 cells per well and cultured at 37 °C. Equine F(ab′)2 was diluted 1:16, 1:64, 1:256, 1:1024 and 1:4096 by 4-fold serial dilutions. The solutions were mixed with 100 tissue culture infectious dose (TCID50) of GX01 strain and incubated at 37 °C for 1 h, and then the mixture was added to the F81 cells in four replicate wells. The plates were incubated for 5–7 days at 37 °C in a 5% CO2 atmosphere. The PD50 of every equine F(ab′)2 that gave 50% protection was calculated using the Reed and Muench method.
Therapeutic Role of F(ab′)2 Against GX01 in Cats
To investigate the preventive role of F(ab′)2 against FPV-GX01 infection, 24 healthy cats were randomly and equally divided into 6 groups, with 5 as the experimental groups and 1 as the control group. Each cat in the experimental groups was injected intramuscularly with 2 mL F(ab′)2 (HI titre was 1:2048 ), and then was challenged with 100 × median lethal dose (LD50) of GX01 through oral and intranasal administration, each group at an interval of 24 h, 48 h, 72 h, 96 h and 120 h, respectively, after the injection. The control group was not injected with F(ab′)2, but was given the same volume and regimens of GX01. The cats were monitored for clinical signs, body weight, rectal temperature and survival, and the cats’ health was rated accordingly [18].Virus copies in their intestinal contents were detected by quantitative real-time reverse transcription-PCR (qRT-PCR), and the upstream and downstream primer sequences were 5′-AAATCAAGCAGCAGATGGTGA-3′ and 5′-TCTCTCAGGTGTTTCTCCTG-3′.
Statistical Analysis
All the collected data were expressed as Mean ± SD. Statistical software SPSS V21.0 was used for statistical analysis of the obtained data, and GraphPad Prism 6.0 software was used for graphing. Statistical differences among each group were analyzed by one-way variance method.
Results
Preparation of Sterile, Stabilized and Safe FPV Inactivated Vaccine
A sterility test of the FPV inactivated vaccine showed that the blood agar plate did not grow colonies after 2 days of culture at 37 °a; the tryptic soy broth and mycoplasma broth medium were clear and bright after cultured at 25 °a for 14 days and 37 °a for 7 days, respectively. The stability test showed that FPV inactivated vaccine droplets were not damaged, and stratification did not occur after centrifugation at 3000 r/min for 15 min at room temperature. Safety tests showed that mice injected separately with the oil emulsion inactivated vaccine or propolis inactivated vaccine of FPV did not swell at the injection site, nor experience depression, loss of appetite, vomiting, diarrhoea or death after 14 days of continuous observation, which suggested that the two FPV inactivated vaccines were safe for use in mice.
Comparison of Immune Effects of FPV Inactivated Vaccine
Two horses were immunized with FPV-oil emulsion inactivated vaccine, and the other two with FPV propolis inactivated vaccine according to the same immunization procedure (Fig. 1). Serum samples were serially harvested at 41, 62, 92 and 122 days after the first immunization to measure the HI titre, and the results showed that the HI in the oil emulsion inactivated vaccine immunization group was 1:5120–10240, while that in the propolis vaccine immunization group was only 1:320–640 (Fig. 2).
Fig. 1.
Immunization programme for horses
Fig. 2.

Haemagglutination inhibition titre of propolis and oil emulsion vaccine
Comparison of IgG Purification Methods
Serum with a 1:5120 titre was used to compare the concentration of IgG extracted by the four methods, M1–M4, and the results showed that the concentrations of IgG extracted by the M1, M2, M3 and M4 methods were 9.27 mg/mL, 8.74 mg/mL, 3.58 mg/mL and 9.44 mg/mL, respectively (Fig. 3). The HI titres of IgG extracted by the M1, M2, M3 and M4 methods were 1:2048, 1:1024, 1:512 and 1:1024, respectively (Table 1). The molecular size of IgG extracted was 160 kDa, and the purity of IgG extracted by the M1, M2, M3 and M4 methods was 88.2%, 80.3%, 79.1% and 79.4%, respectively (Table 1 and Fig. 4A).
Fig. 3.

Concentrations from four methods of extracting IgG. M1: optimized n-octanoic acid-ammonium sulphate precipitation method; M2: n-octanoic acid-ammonium sulphate precipitation method; M3: low-temperature ethanol precipitation method; M4: ammonium sulphate precipitation method
Table 1.
Comparison of HI titres before and after purification by four purification methods
| Time | M1 | M2 | M3 | M4 |
|---|---|---|---|---|
| HI titres before purification | 1:5120 | 1:5120 | 1:5120 | 1:5120 |
| HI titres after purification | 1:2048 | 1:1024 | 1:512 | 1:1024 |
| Purity | 88.2% | 80.3% | 79.1% | 79.4% |
Fig. 4.
A Purification results of four methods SDS-PAGE. 1: Optimized n-octanoic acid-ammonium sulphate precipitation method 2: n-octanoic acid-ammonium sulphate precipitation method 3: ammonium sulphate precipitation method 4: low-temperature ethanol precipitation method. B Results of SDS-PAGE electrophoresis before and after the column. M: protein Mark; 1: IgG protein sample 2: sample after digestion; 3: sample of ProteinA+G. C Selection of digestion time. M: protein Mark; 1: IgG control sample; 2: enzyme digestion 0.5 h; 3: enzyme digestion 1 h; 4: enzyme digestion 1.5 h; 5: enzyme digestion 2 h; 6: enzyme digestion 2.5 h; 7: enzyme digestion 3 h; 8: enzyme digestion 3.5 h; 9: enzyme digestion 4 h
Preparation of F(ab′)2 Fragments
As shown in Fig. 4C, at 30 °C and pH = 3.2, the band of IgG disappeared, and the band of F(ab′)2 was thick after digestion by pepsin enzyme for 3.5 h. The purity of F(ab′)2 purified by the ProteinA+G affinity column was 90.36% as determined by BandScan software (Fig. 4B) and had a concentration of 8.64 mg/mL, as measured by the BCA method, with a recovery rate of 93.24%. The bacteria, fungi and mycoplasma tests showed that the recovered F(ab′)2 grew aseptically on agar blood plates, in tryptone liquid medium and in mycoplasma broth (Table 2).
Table 2.
Immunoglobulin F(ab′)2 sterility test
| Plate | Blood agar plate | Tryptic soy broth | Mycoplasma broth |
|---|---|---|---|
| Test | - | - | - |
| Control | - | - | - |
Note: - is negative; + is positive
F(ab′)2 Neutralized FPV in Cats In Vivo
The isolated and purified F(ab′)2 was white, and there were no insoluble particles when shaken upside down. The safety test showed that mice injected with F(ab′)2 did not exhibit side effects such as mental disorders, loss of appetite, vomiting, diarrhoea or death after 14 days of continuous observation, suggesting that immunoglobulin F(ab′)2 was safe. The haemagglutination inhibitory (HI) titre of F(ab′)2 was 1:2048, and the neutralization test titre was 1:586 (PD50 = 10−2.77), indicating that F(ab′)2 can protect 50% of cells from appearing CPE when diluted at 1:586. The preventive protection test showed that all the four cats in the control group died within 1 week after FPV (named GX01) challenge, while the other four cats challenged with GX01 24 h after F(ab′)2 injection survived, suggesting that the effective protection efficiency was 100%. Three of four cats challenged with GX01 48 h after F(ab′)2 injection survived, suggesting that the effective protection efficiency was 75%. Two of four cats challenged with GX01 72 h after F(ab′)2 injection survived, suggesting that the effective protection efficiency was 50% (Fig. 5A).
Fig. 5.
Anti-FPV pF(ab′)2 helps prevent and treat cats infected with FPV. A The survival rate of cats. For untreated Group A, survival rate was 0% at 8 days after FPV (named GX01) challenge; for other groups, the survival rate of cats was 0~100% at 14 days after FPV challenge. B The temperature changes of cats. The rectal temperature increased in all groups after challenged with virus. Compared with the untreated group, temperatures of Group A, B and C returned to normal earlier, and their highest average rectal temperature was 0.5 to 1.5 °C lower than that in Group D, Group E and the untreated group. C Weight percentage of the initial weight of cats. The weight of cats in all groups decreased, and the body weight loss rate on the 7th day was 13.0% in the untreated group due to diarrhoea and anorexia, while it was 5.8~12.2% in the prevention groups. D Health score of cats in different groups. Cats were scored according to clinical symptom scores. On the 7th day after infection, the average clinical scores of the untreated group was 7.5, significantly higher than that of Group A, B and C (*P < 0.05, **P < 0.01 vs untreated). E Virus copies in the intestinal contents of cats in different groups. The highest levels of virus were detected on the 6th to the12th day in each group, Group A being 8386 copies/μL and the untreated group 34366 copies/μL to 55356 copies/μL. All the cats in the untreated group died on the 7th to the 8th day. Cats in the other groups that died were those with higher levels of the virus in their group. The higher the virus content, the earlier the death
We monitored the rectal temperatures and body weight of the cats in each group for 14 days after being challenged with virus. Compared with the untreated group, the rectal temperatures of the cats challenged with GX01 at 24 h, 48 h and 72 h after F(ab′)2 injection gradually returned to normal on the 7th day. The rectal temperatures of the cats challenged with GX01 at 96 h and at 120 h after F(ab′)2 injection and the untreated group continued to rise, and the highest average rectal temperature was 0.5 to 1.5 °C higher than that of the previous three groups (Fig. 5B). The weight of cats in all groups decreased, and the body weight loss rate on the 7th day after GX01 challenge was 13.0% in the untreated group due to diarrhoea and anorexia, while it was 5.8~12.2% in the prevention groups (Fig. 5C). On the 7th day after infection, the untreated group had significantly higher clinical scores than the groups challenged with GX01 at 24 h,48 h and 72 h after F(ab′)2 injection (Fig. 5D). Results of QRT-PCR detection of intestinal contents showed that the earlier the cats were challenged with virus after F(ab′)2 injection, the lower virus content, the lower mortality rate and the later death (Fig. 5E).
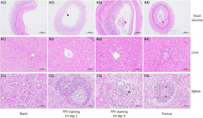
Representative photomicrographs of the small intestine of the cats showed that self-solubility of the intestinal surface occurred when cats were challenged with GX01 24 h after F(ab′)2 injection. Many lymphoid nodules and purple powdered substances appeared when cats were challenged with GX01 96 h after F(ab′)2 injection, and purple powdered substances appeared when cats were challenged with GX01 without F(ab′)2 (Fig. 6A1-A4). Representative photomicrographs of the livers of the cats showed that no obvious pathological structure existed (Fig. 6B1-B4). Representative photomicrographs of the spleen of the cats showed that macrophages existed when the cats were challenged with GX01 96 h after F(ab′)2 injection, and dissolution and necrosis of lymphocytes occurred when the cats were challenged with GX01 without prevention by F(ab′)2 (Fig. 6C1-C4).
Fig. 6.
Representative photomicrographs of cat tissue pathology. (A1–A4) Cat small intestine sections (20×). Black arrow: self-solubility of the intestinal surface. Green arrow: lymphoid nodule. Red arrow: purple powdered substance. (B1–B4) Cat liver sections (200×). (C1–C4) Cat spleen sections (200×). Black arrow: macrophages; red arrow: dissolved and necrotic lymphocytes
Discussion
FPV, a single-stranded non-enveloped DNA virus, is an acute and lethal infectious disease. Cats affected by FPV present severe symptoms of haemorrhagic gastroenteritis and leukopenia, with mortality rates ranging from 25 to 100% [19]. To date, no specific antiviral therapy against FPV infection has been tested in cats, and the management of FPV relies upon supportive treatment. Plasma or whole blood transfusion may be required in cases of severe hypoproteinaemia or anaemia, respectively [5, 20, 21].
In cats, although Class A CpG oligodeoxynucleotides (CpG-A) or feline interferon regulatory factor-1 has been found to reduce the replication of FPV, they were used simply as supportive treatments for FPV infection without specific antiviral agents [22, 23]. However, equine IgG, particularly F(ab′)2 fragments, are being favoured by researchers as a safe and effective immunotherapy biological agent [6] and has been reported to prevent feline calicivirus [8].
To produce equine IgG with high safety, a long half-life, a large output and strong specificity, appropriate vaccine adjuvant needs to be explored. The success of many vaccines relies on their association with selected adjuvants to increase their immunogenicity and ensure long-term protection [24]. Oil-in-water emulsions and propolis are common adjuvants due to their different medicinal benefits [25, 26]. Herein, the results showed that both oil emulsion and propolis adjuvant vaccines can effectively induce horses to produce antibodies and that the HI in the oil emulsion inactivated vaccine immunization group was higher than that in the propolis vaccine immunization group. For IgG purification, the optimized n-octanoic acid-ammonium sulphate precipitation method is the best among the four methods tested in this study.
Equine immunoglobulin F(ab′)2 fragments, being bivalent, are easy to purify in large quantities, more able to penetrate deeper into the tissue than the IgG antibody [6] and have been reported to be able to prevent avian influenza A virus (H5N1) [27], feline calicivirus [8] and Rift Valley fever virus [28]. In dealing with feline calicivirus, 0 mg/kg, 1 mg/kg, 2 mg/kg and 5 mg/kg of anti-FCV pF(ab′)2 were administered to cats the day before FCV challenge, and the survival rate was 20%, 80%, 100% and 100% at the 14 days after FCV challenge, respectively [8]. In this study, anti-FPV pF(ab′)2 with 1:2048 HI was administered the day before FPV challenge, and the survival rate of cats was 100% at 14 days after FPV challenge, suggesting that equine immunoglobulin F(ab′)2 fragments had therapeutic and prophylactic effects on FPV-infected cats. To treat FPV, cats should be injected with F(ab′)2 in less than 48 h after infection. Both the prior published experiments and our study showed that the specific F(ab′)2 fragment can reduce the viral load.
Decrease in body weight, the severity of clinical signs, thrombocytopenia, hypoalbuminemia, hypokalaemia, glucose administration and total T4 have been identified as sings of cats being infected by FPV [20, 21]. In this study, the body weight loss rate on the 7th day after challenge was 13.0% in the untreated group due to diarrhoea and anorexia, while it was 5.8~12.2% in the prevention groups. Compared with the untreated group, the other five prevention groups returned to normal temperatures earlier. FPV infection spreads rapidly, especially in cells with high mitotic activity, such as in bone marrow, lymphoid tissue and intestinal crypt cells [3], and pathological changes were discovered in the small intestine and spleen of cats in this study. These results indicate that the F(ab′)2 fragment prepared from horses immunized by inactivated FPV may be used as a prophylactic and therapeutic agent for diseases caused by FPV.
Author Contribution
L.J.F is the principal investigator of the project; L.J.F. and W.J.M. planned for the project; L.J.F., Z.Z.J., S.Y.Y., M.L., Q.S.Y. and B.A.B. performed the required experiments; L.J.F. wrote the manuscript in consultation with Q.S.M; C.F.L. and W.J.M. participated in drafting the article and reviewing the manuscript. All authors discussed the results and contributed to the final form of the manuscript.
Funding
This project was funded by Project Topics of National Key R&D Plans (2016YFD0501002) and the Fundamental Research Funds for Guangxi Veterinary Research Institute (GuiKe Zhuanxiang17-4).
Declarations
This article does not contain any studies with human participants. All animals used in this study were purchased from market, and the experimental protocols adhered to the guidelines of the Declaration of Helsinki.
Conflict of Interest
The authors declare no competing interests.
Footnotes
Jinfeng Liu and Zhenjiang Zhang are the co-first authors.
Publisher’s Note
Springer Nature remains neutral with regard to jurisdictional claims in published maps and institutional affiliations.
References
- 1.Sykes, J. E. (2009). Chapter 111 - Viral infections. In C. Silverstein Deborah & K. Hopper (Eds.), Small Animal Critical Care Medicine (pp. 478–482). W.B. Saunders.
- 2.Scott FW. Virucidal disinfectants and feline viruses. American Journal of Veterinary Research. 1980;41(3):410–414. [PubMed] [Google Scholar]
- 3.Stuetzer B, Hartmann K. Feline parvovirus infection and associated diseases. Veterinary Journal. 2014;201(2):150–155. doi: 10.1016/j.tvjl.2014.05.027. [DOI] [PubMed] [Google Scholar]
- 4.Duarte MD, Barros SC, Henriques M, Fernandes TL, Bernardino R, Monteiro M, Fevereiro M. Fatal infection with feline panleukopenia virus in two captive wild carnivores (Panthera tigris and Panthera leo) Journal of Zoo and Wildlife Medicine. 2009;40(2):354–359. doi: 10.1638/2008-0015.1. [DOI] [PubMed] [Google Scholar]
- 5.Truyen U, Addie D, Belák S, Boucraut-Baralon C, Egberink H, Frymus T, Gruffydd-Jones T, Hartmann K, Hosie MJ, Lloret A, Lutz H, Marsilio F, Pennisi MG, Radford AD, Thiry E, Horzinek MC. Feline panleukopenia. ABCD guidelines on prevention and management. Journal of Feline Medicine and Surgery. 2009;11(7):538–546. doi: 10.1016/j.jfms.2009.05.002. [DOI] [PMC free article] [PubMed] [Google Scholar]
- 6.Kittipongwarakarn S, Hawe A, Tantipolphan R, Limsuwun K, Khomvilai S, Puttipipatkhachorn S, Jiskoot W. New method to produce equine antirabies immunoglobulin F(ab') fragments from crude plasma in high quality and yield. European Journal of Pharmaceutics and Biopharmaceutics. 2011;78(2):189–195. doi: 10.1016/j.ejpb.2011.02.018. [DOI] [PubMed] [Google Scholar]
- 7.Cui, J., Zhao, Y., Wang, H., Qiu, B., Cao, Z., Li, Q., Zhang, Y., Yan, F., Jin, H., Wang, T., Sun, W., Feng, N., Gao, Y., Sun, J., Wang, Y., Perlman, S., Zhao, J., Yang, S., & Xia, X. (2016). Equine immunoglobulin and equine neutralizing F(ab')2 protect mice from West Nile virus infection. Viruses, 8(12), 332. [DOI] [PMC free article] [PubMed]
- 8.Cui Z, Li D, Yi S, Guo Y, Dong G, Niu J, Zhao H, Zhang Y, Zhang S, Cao L, Wang K, Zhao Y, Hu G. Equine immunoglobulin F(ab')(2) fragments protect cats against feline calicivirus infection. International Immunopharmacology. 2019;75:105714. doi: 10.1016/j.intimp.2019.105714. [DOI] [PMC free article] [PubMed] [Google Scholar]
- 9.Zhao Y, Wang C, Qiu B, Li C, Wang H, Jin H, Gai W, Zheng X, Wang T, Sun W, Yan F, Gao Y, Wang Q, Yan J, Chen L, Perlman S, Zhong N, Zhao J, Yang S, Xia X. Passive immunotherapy for Middle East Respiratory Syndrome coronavirus infection with equine immunoglobulin or immunoglobulin fragments in a mouse model. Antiviral Research. 2017;137:125–130. doi: 10.1016/j.antiviral.2016.11.016. [DOI] [PMC free article] [PubMed] [Google Scholar]
- 10.Brannan JM, He S, Howell KA, Prugar LI, Zhu W, Vu H, Shulenin S, Kailasan S, Raina H, Wong G, Rahim MN, Banadyga L, Tierney K, Zhao X, Li Y, Holtsberg FW, Dye JM, Qiu X, Aman MJ. Post-exposure immunotherapy for two ebolaviruses and Marburg virus in nonhuman primates. Nature Communications. 2019;10(1):105. doi: 10.1038/s41467-018-08040-w. [DOI] [PMC free article] [PubMed] [Google Scholar]
- 11.Dowall SD, Jacquot F, Landon J, Rayner E, Hall G, Carbonnelle C, Raoul H, Pannetier D, Cameron I, Coxon R, Al Abdulla I, Hewson R, Carroll MW. Post-exposure treatment of non-human primates lethally infected with Ebola virus with EBOTAb, a purified ovine IgG product. Scientific Reports. 2017;7(1):4099. doi: 10.1038/s41598-017-03910-7. [DOI] [PMC free article] [PubMed] [Google Scholar]
- 12.Zhao Z, Fan C, Duan Y, Zhang L, Li M, Yang X, Li R, Yang P, Wang X. Protection from infection with influenza A H7N9 virus in a mouse model by equine neutralizing F(ab')2. International Immunopharmacology. 2014;23(1):134–138. doi: 10.1016/j.intimp.2014.08.019. [DOI] [PMC free article] [PubMed] [Google Scholar]
- 13.Rao, J. (2009). Isolation and identification of feline panleukopenia virus strain and study on preparation, detection and effectiveness examination of specific horse anti-FPV IgG[D]. Jilin University.
- 14.Zhang Y, Zhao Y, Li F. The application of ammonium sulphate to purified rabbits against chicken infectious cystic disease IgG antibodies. Heilongjiang Animal Science and Veterinary Medicine. 2013;01:106–108. [Google Scholar]
- 15.Li T, Chen Y, Zhou Y. Extraction of immunoglobulin from Yak serum. Chinese Qinghai Journal of Animal and Veterinary Sciences. 2016;46(05):24–27. [Google Scholar]
- 16.Abdel-Rahman EH, El-Jakee JK, Hatem ME, Ata NS, Fouad EA. Preparation of goat and rabbit anti-camel immunoglobulin G whole molecule labeled with horseradish peroxidase. Veterinary World. 2017;10(1):92–100. doi: 10.14202/vetworld.2017.92-100. [DOI] [PMC free article] [PubMed] [Google Scholar]
- 17.Qiu, B. (2017). Preparation and in vitro neutralizing efficacy assessment of antigen-specific F(ab')2against Middle East Respiratory Syndrome coronavirus[D]. Jilin University.
- 18.Lesbros C, Martin V, Najbar W, Sanquer A, Mcgahie D, Eun HM, Gueguen S. Protective efficacy of the calicivirus valency of the leucofeligen vaccine against a virulent heterologous challenge in kittens. Veterinary Medicine International. 2013;2013:232397. doi: 10.1155/2013/232397. [DOI] [PMC free article] [PubMed] [Google Scholar]
- 19.Barrs VR. Feline panleukopenia: a re-emergent disease. The Veterinary Clinics of North America. Small Animal Practice. 2019;49(4):651–670. doi: 10.1016/j.cvsm.2019.02.006. [DOI] [PubMed] [Google Scholar]
- 20.Porporato F, Horzinek MC, Hofmann-Lehmann R, Ferri F, Gerardi G, Contiero B, Vezzosi T, Rocchi P, Auriemma E, Lutz H, Zini E. Survival estimates and outcome predictors for shelter cats with feline panleukopenia virus infection. Journal of the American Veterinary Medical Association. 2018;253(2):188–195. doi: 10.2460/javma.253.2.188. [DOI] [PubMed] [Google Scholar]
- 21.Petini M, Drigo M, Zoia A. Prognostic value of systemic inflammatory response syndrome and serum concentrations of acute phase proteins, cholesterol, and total thyroxine in cats with panleukopenia. Journal of Veterinary Internal Medicine. 2020;34(2):719–724. doi: 10.1111/jvim.15704. [DOI] [PMC free article] [PubMed] [Google Scholar]
- 22.Ferri F, Porporato F, Rossi F, Enache D, Callegari C, Gerardi G, Coppola LM, Contiero B, Crinò C, Kohan NR, Meli ML, Lutz H, Hofmann-Lehmann R, Zini E. Treatment with class A CpG oligodeoxynucleotides in cats with naturally occurring feline parvovirus infection: a prospective study. Viruses. 2020;12(6):640. doi: 10.3390/v12060640. [DOI] [PMC free article] [PubMed] [Google Scholar]
- 23.Liu Y, Liu X, Kang H, Hu X, Liu J, Tian J, Qu L. Identification of feline interferon regulatory factor 1 as an efficient antiviral factor against the replication of feline calicivirus and other feline viruses. BioMed Research International. 2018;2018:2739830. doi: 10.1155/2018/2739830. [DOI] [PMC free article] [PubMed] [Google Scholar]
- 24.Ashry El SH, Ahmad TA. The use of propolis as vaccine’s adjuvant. Vaccine. 2012;31(1):31–39. doi: 10.1016/j.vaccine.2012.10.095. [DOI] [PubMed] [Google Scholar]
- 25.Al-Hariri M. Immune’s-boosting agent: immunomodulation potentials of propolis. Journal of Family and Community Medicine. 2019;26(1):57–60. doi: 10.4103/jfcm.JFCM_46_18. [DOI] [PMC free article] [PubMed] [Google Scholar]
- 26.Haensler J. Manufacture of oil-in-water emulsion adjuvants. Methods in Molecular Biology. 2017;1494:165–180. doi: 10.1007/978-1-4939-6445-1_12. [DOI] [PubMed] [Google Scholar]
- 27.Herbreteau CH, Jacquot F, Rith S, Vacher L, Nguyen L, Carbonnelle C, Lotteau V, Jolivet M, Raoul H, Buchy P, Saluzzo JF. Specific polyclonal F(ab')2 neutralize a large panel of highly pathogenic avian influenza A viruses (H5N1) and control infection in mice. Immunotherapy. 2014;6(6):699–708. doi: 10.2217/imt.14.40. [DOI] [PubMed] [Google Scholar]
- 28.Zhao Y, Zheng X, He S, Li Y, Wang W, Gai W, Wong G, Wang H, Yan F, Xue F, Feng N, Wang T, Gao Y, Yang S, Qiu X, Xia X. Equine immunoglobulin F(ab')(2) fragments protect mice from Rift Valley fever virus infection. International Immunopharmacology. 2018;64:217–222. doi: 10.1016/j.intimp.2018.09.002. [DOI] [PubMed] [Google Scholar]




