Abstract
Background
Anterior cruciate ligament transection surgery (ACLT)-induced OA model was often used to investigate the molecular mechanism of knee osteoarthritis (KOA). Researches have shown that vascular endothelial growth factor (VEGF) played an important role in OA. The present study aimed to investigate the pathological changes after ACLT surgery and reveal the expression characteristics of the VEGF-A/VEGFR2 signaling pathway in this model.
Methods
Moderate KOA model was established by ACLT, and 1, 2, 4, 8, and 12 weeks after surgery, hematoxylin-eosin (HE) and Safranin-O(S-O) staining were used to detect the pathological changes in mouse knee cartilage, and the matrix biomarkers A Disintegrin and Metalloproteinase with Thrombospondin Motifs 5(ADAMTS5), Collagen II (COL-II) were detected using immunohistochemistry (IHC), CD31 was detected by immunofluorescence (IF) to show the vascular invasion in cartilage, and proteins expression of VEGF-A pathway were detected by Western blot (WB). Meanwhile, the inflammatory biomarkers cyclooxygenase-2 (COX-2) and inducible nitric oxide synthase (iNOS) in cartilage were detected by WB.
Results
ACLT surgery can lead to degeneration of cartilage in mice, and the characteristics of the lesion were time-dependent. The ADAMTS5-positive cells increased while COL-II decreased in OA cartilage with time, and new blood vessels labeled by CD31 can be seen from 1 week in OA cartilage, and increased in 8 and 12 weeks. The expression of VEGF-A, VEGFR2, COX-2, and iNOS were higher than control groups, which were basically consistent with the degree of osteoarthritis.
Conclusions
The degenerative degree of articular cartilage was time-dependent; angiogenesis and inflammation were important pathological changes of cartilage in KOA. The expression of the VEGF-A/VEGFR2 signaling pathway was basically correlated with the degree of KOA.
Keywords: Osteoarthritis, ACLT, VEGF-A, Angiogenesis, Inflammation
Background
Osteoarthritis (OA) is an irreversible degenerative arthritis disease [1, 2], and OA-associated degeneration of articular cartilages, synovitis, and the formation of osteophyte have become the main reasons underlying adult disability, especially in the elderly, and OA is estimated to be the fourth leading cause of disability by 2020 [3–5]. It is well known that increased age, obesity, joint injuries, and lifestyle are all risk factors for OA [6], and these factors are closely related to the mechanical loading to the joints, so it is assumed that a large part of OA is induced by accumulated mechanical stress [7]. ACLT-induced OA model is a normal stress-induced OA model in mice [7]. As previously reported, the ACLT mouse model demonstrates great similarities with human osteoarthritis, including subchondral change, articular cartilage damage, and synovitis [8–10], which made this model ideal for the research of OA.
Nowadays, although the clear understanding of the underlying mechanism of OA remains elusive [11], researches have shown that angiogenesis and inflammation are important processes in the pathophysiology of OA [12, 13]. Which can cause joint damage, endochondral ossification, and pain. VEGF was a potent stimulator of angiogenesis, which can also contribute to inflammation [14]. Till now, the angiogenesis and inflammation reaction in different pathological stages of the ACLT-induced OA model has never been revealed. Clarifying the correlation of VEGF, angiogenesis, and inflammation reaction in OA pathological process may provide experimental support for OA pathogenesis study.
Therefore, in this study, we established a moderate OA model by ACLT surgery, to explore the histopathological changes, angiogenesis, and inflammation reaction of knee cartilage in different pathological stages. We also tried to explore the expression of the VEGF-A/VEGFR2 signaling pathway in the cartilage of the ACLT model.
Materials and methods
Animas models
Eighty-eight C57BL/6 mice (12-week-old) of both sexes were purchased from Shandong skobas Biotechnology Co., Ltd. (Shandong, China). Mice were housed in the Laboratory Animal Center of Nanjing University of Chinese medicine under specific pathogen-free (SPF) and maintained at 27 °C under a 12-h light/dark cycle with 50% of humidity throughout the experiments. Experiments performed in this study were all approved by the Animal Experiment Committee of Nanjing University of Chinese Medicine (ethics No:201904A009).
Eight mice served as control animals (Blank B), and the others were randomly divided into two groups, namely the model group (n = 40) and the sham group (n = 40). Each group was further divided into five subgroups depending on when the animals were killed (n = 8). We established a surgically induced moderate OA model by anterior cruciate ligament transection surgery (ACLT) which was described in previous reseaches [7, 15], and the groups were named as M1, M2, M4, M8, M12 (1, 2, 4, 8, 12 weeks after ACLT). In the sham group, only a 1.5-cm incision in the same position was made without cutting the ligament, and then the groups were named as S1, S2, S4, S8, S12 (1, 2, 4, 8, 12 weeks after sham surgery).
Hematoxylin–eosin (HE) and Safranin-O (S-O) staining
Knee tissues of each group were fixed in 4% paraformaldehyde for 24 h and then decalcified in 10% EDTA for 8 weeks. After dehydrated in graded ethanol, tissues were embedded in paraffin. Four-micrometer sections were stained with hematoxylin-eosin and Safranin O-Fast Green. Three to five fields were randomly selected from each section and observed under a × 100 light microscope. The pathological changes were evaluated thrice and graded by 3 independent researchers using the Mankin histological criteria, which was scored according to structural integrity, cartilage cells, Safranin-O staining, and tidemark integrity [16].
Immunofluorescence and immunohistochemistry
Knee joint sections (4 μm) were deparaffinized at 37 °C for 30 min and then hydrated with xylene, graded alcohol; after antigen retrieval was performed, blocked for 10 min with 3% H2O2 methanol solution at room temperature, sections were then incubated with anti CD31(1:500, abcam ab182981), anti-ADAMTS5(1:100, Bioss), and anti COL-II (1:100, Affinity AF0135), incubated overnight at 4 °C; 50 UL of Sheep anti-rabbit polymer was added for 20 min at room temperature;DAB was added for color development hematoxylin counterstaining for 10 min. The protein expression was observed under a light microscope, and three areas with high expression were taken and photographed for storage (all pictures were taken at × 400).
Western blot
Proteins of knee cartilage from each group were extracted and collected using RIPA Lysis Buffer (KGP250, China), mixed with 10 μl phosphatase inhibitor, 1 μl protease inhibitor, and 5 μl 100 mM PMSF. Protein concentrations of each group were determined by the BCA kit (KGA902, China). Then, electrophoresis was performed, blocking with 10% milk powder for 2 h, incubated with primary antibodies anti-iNOS (diluted 1:500 affinity AF0199), anti-COX2 (diluted 1:1000 UK Abcam plcab 179800), VEGF-A (diluted1:500, UK Abcam plc ab1316), VEGFR2(diluted1:1000, UK Abcam plc ab39638). After washing again, secondary antibodies were added and incubated for 2 h at room temperature. Image-J software was used to analyze the gray scale.
Statistical analysis
The results were displayed as mean ± SD. All data were analyzed with SPSS 19.0statistical software. Differences among the three groups were analyzed by one-way analysis and 푃 < 0.05 indicated statistical significance.
Results
Histopathological changes in cartilage by HE and S-O staining
Hematoxylin-eosin (HE) and Safranin-O(S-O) staining were utilized to evaluate the changes of histological examination of cartilage, as shown in Fig. 1A, B. The HE and S-O staining showed that the cartilage surface was smooth and intact in the sham groups, similar to those of normal knee cartilage of mice in Fig.1C. However, the model groups exhibited cartilage superficial destruction, but limited to the superficial layers in 1 week. At 2 weeks, Safranin-O staining in the middle zone decreased. The defect of cartilage was developed to the calcified cartilage layer below the tidemark by 4 weeks and gradually extended to the full thickness of cartilage at 8 and 12 weeks. Next, we performed a modified Mankin score on the cartilage in different groups in Fig. 1D. The results showed that the Mankin scores of the experimental groups generally showed an increasing trend, and the difference between the model group and the sham group was statistically significant (P < 0.01). Indicating this surgery can lead to the degeneration of cartilage in mice. And the characteristics of the lesion were time-dependent.
Fig. 1.
Histopathological analysis of the cartilage tissues obtained from each group (× 100) to show the development in the ACLT model. A After fixation, decalcification, and embedding, 4 mm frontal sections were cut from the knee joints and were stained with HE staining. B Safarin-O-fast green staining images of cartilage in each group. C HE and Safarin-O-fast green staining of the control group. D Mankin score. The data in the figures represent mean values ± SD, *p < 0.05, **p < 0.01 compared with the control group, #P < 0.05, ##P < 0.01 compared with the sham group at the same point
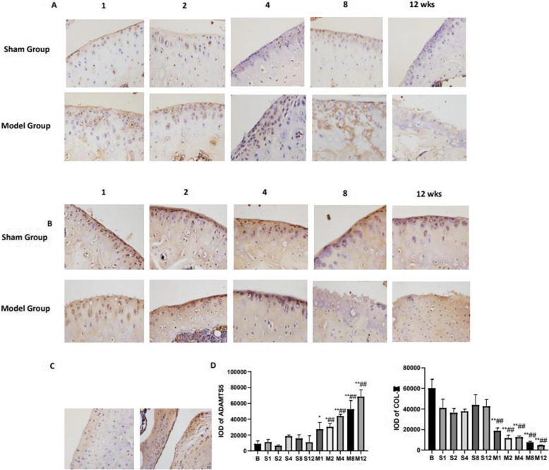
Changes of matrix biomarkers ADAMTS5, COL-II in knee joint cartilage
Immunohistochemistry was used to detect the expression of ADAMTS5 and COL-II, both were important biomarkers to demonstrate ECM degradation of cartilage. The protein expression of ADAMTS5 in the sham groups showed weakly expressed. In the model groups, significant expression of ADAMTS5 was observed in the first week after surgery, and the location of positive cell extended to a deeper layer from 4 weeks. Because of the destruction of cartilage from 8 weeks, the chondrocytes were hardly to been seen, especially in 12 weeks, so it was hard to calculate the number of positive cells as shown in Fig. 2A. And the change was basically consistent with the histopathological results. COL-II was strongly stained in all zones of the articular cartilage both above and below the tidemark in sham groups. In the model groups, the expression of COL-II showed gradually decreased with the extension of experiment time and dramatically decreased from 4 weeks in Fig. 2B.
Fig. 2.
The expression of the cartilage matrix biomarkers ADAMTS5, COL-II of the knee joint. A Immunohistochemistry staining of ADAMTS5 (scale bar: 20 μm). B Immunohistochemistry staining of COL-II (scale bar: 20 μm). C The expression of cartilage matrix biomarkers ADAMTS5, COL-II in the blank group. D IOD of each group. The data in the figures represent mean values ± SD, *p < 0.05, **p < 0.01 compared with the control group, #P < 0.05, ##P < 0.01 compared with the sham group at the same point
The protein expression of inflammatory biomarkers COX-2 and iNOS in cartilage
The expression of COX-2 and iNOS in the cartilage of each group was detected by western blot. As shown in Fig. 3A, B, the expression of COX-2 and iNOS gradually upregulated after ACLT surgery. The expression pattern was correlated with the degree of osteoarthritis. The results in this chapter indicate that inflammation in cartilage was involved in the development of osteoarthritis.
Fig. 3.
The protein level of inflammatory biomarkers COX-2 and iNOS in cartilage detected by western blotting. The data in the figures represent mean values ± SD, *p < 0.05, **p < 0.01 compared with the control group, #P < 0.05, ##P < 0.01 compared with the sham group at the same point
Angiogenesis in the cartilage of ACLT-induced mouse
Immunostaining of CD31 was used to visualize the vascular invasion; as described in Fig. 4, CD31-positive cells in sham groups were rare, and new blood vessel was not found. In the cartilage of OA mice, a new blood vessel can be seen from 1 week at the osteochondral junction and cartilage. The number of blood vessels increased in 8 and 12 weeks. This indicated that vascular invasion was involved in the development of OA.
Fig. 4.
Immunofluorescence staining for CD31 to identify angiogenesis in the cartilage of ACLT-induced mouse by a fluorescence microscope (OLYMPUS) (scale bar: 20 μm). A CD31-positive staining in the cartilage of the sham operation group and the model group. B CD31-positive staining in the blank group. C Blood vessel count in each group. The data in the figures represent mean values ± SD, *p < 0.05, **p < 0.01 compared with the control group, #P < 0.05, ##P < 0.01 compared with the sham group at the same point
The pattern of protein expression of VEGF-A and VEGFR2 in the articular cartilage
To further explore the underlying mechanism of angiogenesis, we next investigated the protein level of VEGF-A and VEGFR2 in the cartilage at different pathological stages of OA with western blot (Fig. 5A, B).VEGF was a well-known angiogenic factor; according to our study, expression of VEGF-A was a particular feature in OA and demonstrated that VEGF-A and VEGFR2 were associated with vascular invasion at cartilage. The expression pattern of VEGF-A was basically consistent with the Mankin score. But the expression of VEGFR2 showed a decrease within 2 weeks and then increased from 4 weeks, significantly at 8 weeks in Fig. 5, which needs to be further studied.
Fig. 5.
The level of the expression of VEGF-A and VEGFR2 in cartilage. The data in the figures represent mean values ± SD, *p < 0.05, **p < 0.01 compared with the control group, #P < 0.05, ##P < 0.01 compared with the sham group at the same point
Discussion
In order to explore the pathogenesis of OA, animal models are often used as study subjects. Due to the rapid progress of mouse genomics and the availability of transgenic and knockout mice, the mouse is now the most ideal animal model for the study of molecular backgrounds of physiological and pathological conditions [7]. Among which, ACLT-induced OA mouse model, a stress-induced model, was often used in OA [7]. Here, we made a moderate OA model based on the description of Kamekura, it was described that the moderate model seemed suitable to reflect the entire process of OA including early-stage changes. After the surgery, HE and Safranin-O Fast Green staining were used to observe the pathological changes after surgery and make sure the model is successful. According to the histopathological analysis and Mankin scores, the results indicated that the severity of cartilage degeneration in the experiment group was closely related to the time after surgery. COL-II and aggrecan are considered as the most important structural components forming the normal Extracellular Matrix (ECM) in cartilage [17, 18]. The ECM maintains the balance due to the metabolism of chondrocytes, synoviocytes, and subchondral bone cells, and once the balance is broken, the cartilage was damaged, thus causing OA [19]. ADAMTS5, an important cartilage matrix-degrading enzyme, growing evidence showed it was involved in the pathogenesis of aggrecan cleavage of OA [20]. So we use COL-II and ADAMTS5 as matrix biomarkers in this research to demonstrate the damage of the cartilage. In this experiment, immunohistochemistry results showed that the expression of ADAMTS5 increased from 1 week, while collagen II decreased with the extension of experiment time.
The research of OA pathogenesis showed that normal articular cartilage is avascular but angiogenesis at the osteochondral junction and in non-calcified cartilage was observed in OA [21–23]. Loss of resistance to vascular invasion distinguishes OA cartilage from normal articular cartilage, which may be important in the pathogenesis of OA [24].CD31 is a marker of endothelial cells expressed in vascular development and is often used to identify newly formed blood vessels [25]. Here, we investigated the CD31 by immunostaining to visualize the vascular invasion. As shown, the blood vessels have not been observed in the sham group. In model groups, new blood vessels can be seen from 1 week and the number of blood vessels increased in 8 and 12 weeks, and this result was nearly correlated with the degree of osteoarthritis, which confirmed that angiogenesis played a significant role in the degeneration of cartilage.
The mechanism of angiogenesis involves a coordinated signaling axis, among which the VEGF played an important role. VEGF expression has been found to be increased in the articular cartilage, subchondral bone, synovium, synovial fluid, and serum of OA patients [26–30]. VEGF-A is the founding member of the VEGF family, and it binds to VEGF receptor-2 (VEGFR2) and plays the most important role [31]. Previous studies have confirmed that VEGF-mediated vascular invasion plays an important role in OA, which could lead to increased production of matrix metalloproteinase (MMP)1, MMP-3, and MMP-13, and induce chondrocyte apoptosis and inflammatory reaction as well as increased expression of nerve growth factor (NGF) [32–34]. Assessment of VEGF as a biomarker in patients with OA showed that increased VEGF in synovial fluid was correlated with the grade of OA severity [35]. Blocking VEGF signaling pathways and angiogenesis has emerged as a promising approach in recent preclinical studies in OA [36]. Our previous study has confirmed that Chinese medicine can decrease the VEGF expression and thus delay the progression of OA. But the change of VEGF-A/VEGFR2 expression in the ACLT-induced OA model was still unknown. In the current study, we found cartilage expression of VEGF-A was basically consistent with angiogenesis, which indicated VEGF-A was a particular feature in OA and more fully demonstrated that VEGF-A and VEGFR2 were associated with vascular invasion at cartilage.
Previous studies indicated that VEGF-A may have specific roles in inflammation, which are closely related to the processes of OA. Although OA is commonly described as a non-inflammatory disease in order to distinguish it from “inflammatory arthritis,” such as rheumatoid arthritis (RA) or the seronegative spondyloarthropathies [12], many studies showed that inflammation triggered by factors like biomechanical stress was involved in the development of OA [37]. Researches have confirmed that a variety of inflammatory mediators are involved in the pathological process of OA. COX-2 plays an important role in joint destructio n[38]; iNOS produces high levels of NO, which can inhibit the synthesis and secretion of ECM in chondrocytes, leading to cartilage degradation [39]. To confirm the inflammation reaction in this model, the expression of inflammatory biomarkers COX-2 and iNOS in cartilage were tested by western blot. Our results showed expression of COX-2 and iNOS increased in the model group, basically related to the Mankin scores and expression of VEGF-A.
Conclusion
Taken together, we successfully established a surgical induced OA model with anterior cruciate ligament transection surgery (ACLT). The degenerative degree of articular cartilage was time-dependent, and angiogenesis and inflammation were important pathological changes of cartilage in KOA. The expression of VEGF-A/VEGFR2 signaling pathway was basically correlated with the degree of KOA. However, as far as we are concerned, the expression changes were tested in protein level, changes in gene level needed to be further investigated. In summary, these findings can provide experimental support for this model as a vector in the study of KOA pathogenesis
Acknowledgements
Not applicable.
Abbreviations
- OA
Osteoarthritis
- ACLT
Anterior cruciate ligament transection
- VEGF
Vascular endothelial growth factor
- VEGF-A
Vascular endothelial growth factor-A
- VEGFR2
Vascular endothelial growth factor recepter 2
- HE
Hematoxylin–eosin
- S-O
Safranin-O
- IHC
Immunohistochemistry
- IF
Immunofluorescence
- ADAMTS-5
A Disintegrin and Metalloproteinase with Thrombospondin Motifs 5
- COL-II
Collagen II
- COX2
Cyclooxygenase-2
- iNOS
Inducible nitric oxide synthase
- MMP
Matrix metalloproteinase
- ECM
Extracellular matrix
- NGF
Nerve growth factor
Authors’ contributions
GCH conceived and designed the study and critically revised the manuscript. JJQ and QX performed the experiments and drafted the manuscript. WMX participated in study implementation and manuscript revision. RC participated in analyzing and interpreting the data. The authors read and approved the final manuscript.
Funding
This study was supported by the National Natural Science Foundation of China (No.81774341) and the Colleges and Universities Natural Science Foundation of Jiangsu Province (20KJB360004).
Availability of data and materials
The datasets used and/or analyzed during the current study are available from the corresponding author on reasonable request.
Declarations
Ethics approval and consent to participate
The study was conducted according to the guidelines of the Declaration of Helsinki and approved by the Ethics Committee of Animal Experiment Committee of Nanjing University of Chinese Medicine (ethics No:201904A009). Written informed consent was obtained from individual or guardian participants.
Consent for publication
Not applicable.
Competing interests
The authors declare that they have no competing interests.
Footnotes
Publisher’s Note
Springer Nature remains neutral with regard to jurisdictional claims in published maps and institutional affiliations.
Qi Xu and Ren Cai contributed equally to this work.
References
- 1.Thysen S, Luyten FP, Lories RJ. Targets models and challenges in osteoarthritis research. Dis Model Mech. 2015;8(1):17–30. doi: 10.1242/dmm.016881. [DOI] [PMC free article] [PubMed] [Google Scholar]
- 2.Aicher WK, Rolauffs B. The spatial organization of joint surface chondrocytes: a review of its potential roles in tissue functioning, disease and early, preclinical diagnosis of osteoarthritis. Ann Rheum Dis. 2013;73(4):645–653. doi: 10.1136/annrheumdis-2013-204308. [DOI] [PubMed] [Google Scholar]
- 3.Wang WH, Li JY, Li F, et al. Scutellarin suppresses cartilage destruction in osteoarthritis mouse model by inhibiting the NF-κB and PI3K/AKT signaling pathways. International Immunopharmacology. 2019;77:1–8. [DOI] [PubMed]
- 4.Thielen NGM, Kraan PMVD, Caam APMV. TGFβ/BMP signaling pathway in cartilage homeostasis. Cells. 2019;8(9):969. doi: 10.3390/cells8090969. [DOI] [PMC free article] [PubMed] [Google Scholar]
- 5.Teirlinck CH, et al. Prognostic factors for progression of osteoarthritis of the hip: a systematic review. Arthritis Res Ther. 2019;21(1):192. doi: 10.1186/s13075-019-1969-9. [DOI] [PMC free article] [PubMed] [Google Scholar]
- 6.Musumeci G, Aiello FC, Szychlinska MA, Di Rosa M, Castrogiovanni P, Mobasheri A. Osteoarthritis in the XXIst century: risk factors and behaviours that influence disease onset and progression. Int J Mol Sci. 2015;16(3):6093e112. doi: 10.3390/ijms16036093. [DOI] [PMC free article] [PubMed] [Google Scholar]
- 7.Kamekura S, Hoshi K, Shimoaka T, et al. Osteoarthritis development in novel experimental mouse models induced by knee joint instability. Osteoarthritis & Cartilage. 2005;13(7):632–641. doi: 10.1016/j.joca.2005.03.004. [DOI] [PubMed] [Google Scholar]
- 8.Kao JH, Lin SH, Lai CF, et al. Sheanut oil triterpene concentrate attenuates knee osteoarthritis development in rats: evidence from knee joint histology. PLOS One. 2016;11(9):e0162022. doi: 10.1371/journal.pone.0162022. [DOI] [PMC free article] [PubMed] [Google Scholar]
- 9.Feng K, Ge YW, Chen ZX, et al. Curcumin inhibits the PERK-eIF2α-CHOP pathway through promoting SIRT1 expression in oxidative stress-induced rat chondrocytes and ameliorates osteoarthritis progression in a rat model. Oxid Med Cell Longev. 2019;2019:8574386. [DOI] [PMC free article] [PubMed]
- 10.Guo L, et al. Ipriflavone attenuates the degeneration of cartilage by blocking the Indian hedgehog pathway. Arthritis Res Ther. 2019;21(1):109. doi: 10.1186/s13075-019-1895-x. [DOI] [PMC free article] [PubMed] [Google Scholar]
- 11.Lin C, Shao Y, Zeng C, et al. Blocking PI3K/AKT signaling inhibits bone sclerosis in subchondral bone and attenuates post-traumatic osteoarthritis: LY294002 Inhibits subchondral bone sclerosis. Journal of Cellular Physiology. 2018;233:6135–6147. doi: 10.1002/jcp.26460. [DOI] [PubMed] [Google Scholar]
- 12.Bonnet CS, Walsh DA. Osteoarthritis, angiogenesis and inflammation. Rheumatology. 2005;44:7–16. doi: 10.1093/rheumatology/keh344. [DOI] [PubMed] [Google Scholar]
- 13.Chen YL, Yan DY, Wu CY, et al. Maslinic acid prevents IL-1β-induced inflammatory response in osteoarthritis via PI3K/AKT/NF-κB pathways. J Cell Physiol. 2021;236(3):1939–49. 10.1002/jcp.29977. [DOI] [PubMed]
- 14.Shotaro T, Kentaro U, Gen I, et al. Vascular endothelial growth factor expression and their action in the synovial membranes of patients with painful knee osteoarthritis. Bmc Musculoskeletal Disorders. 2018;19(1):204. doi: 10.1186/s12891-018-2127-2. [DOI] [PMC free article] [PubMed] [Google Scholar]
- 15.Xu WM, Qian JJ, Han L, et al. Effects of Wenjing Tongluo Decoction on cartilage morphological changes and expression of VEGF, MMP 13 and HIF-1 in mice with knee osteoarthritis. Chinese Medicine Information. 2020;37(6):6–12.
- 16.Wu Z, Luan Z, Zhang X, et al. Chondro-protective effects of polydatin in osteoarthritis through its effect on restoring dysregulated autophagy via modulating MAPK, and PI3K/Akt signaling pathways. Scientific Reports. 2019;9:13906. doi: 10.1038/s41598-019-50471-y. [DOI] [PMC free article] [PubMed] [Google Scholar] [Retracted]
- 17.Li S, Niu G, Wu Y, Du G, Huang C, Yin X, Liu Z, Song C, Leng H. Vitamin d prevents articular cartilage erosion by regulating collagen ii turnover through tgf-beta1 in ovariectomized rats. Osteoarthritis Cartilage. 2016;24(2):345–353. doi: 10.1016/j.joca.2015.08.013. [DOI] [PubMed] [Google Scholar]
- 18.Zheng W, Zhang H, Jin Y, Wang Q, Chen L, Feng Z, Chen H, Wu Y. Butein inhibits IL-1beta-induced inflammatory response in human osteoarthritis chondrocytes and slows the progression of osteoarthritis in mice. Int Immunopharmacol. 2017;42:1–10. doi: 10.1016/j.intimp.2016.11.009. [DOI] [PubMed] [Google Scholar]
- 19.Bondeson J, Lauder S, Wainwright S, Amos N, Evans A, Hughes C, Feldmann M, Caterson B. Adenoviral gene transfer of the endogenous inhibitor ikappabalpha into human osteoarthritis synovial fibroblasts demonstrates that several matrix metalloproteinases and aggrecanases are nuclear factor-kappab- dependent. J Rheumatol. 2007;34(3):523–533. [PubMed] [Google Scholar]
- 20.Soichi T. ADAM and ADAMTS Family Proteins and Snake Venom Metalloproteinases: A Structural Overview. Toxins. 2016;8(5):155. doi: 10.3390/toxins8050155. [DOI] [PMC free article] [PubMed] [Google Scholar]
- 21.Yu X, Qi Y, Zhao T, et al. NGF increases FGF2 expression and promotes endothelial cell migration and tube formation through PI3K/Akt and ERK/MAPK pathways in human chondrocytes. Osteoarthr Cartil. 2019;27:526–534. doi: 10.1016/j.joca.2018.12.007. [DOI] [PubMed] [Google Scholar]
- 22.Walsh DA, Bonnet CS, Turner EL, et al. Angiogenesis in the synovium and at the osteochondral junction in osteoarthritis. Osteoarthritis Cartilage. 2007;15:743–751. doi: 10.1016/j.joca.2007.01.020. [DOI] [PubMed] [Google Scholar]
- 23.Suri S, Gill SE, de Camin SM, DF MW, Wilson D, Walsh DA. Neurovascular invasion at the osteochondral junction and in osteophytes in osteoarthritis. Ann Rheum Dis. 2007;66:1423–1428. doi: 10.1136/ard.2006.063354. [DOI] [PMC free article] [PubMed] [Google Scholar]
- 24.Smith JO, Oreffo ROC, Clarke NMP, et al. Changes in the antiangiogenic properties of articular cartilage in osteoarthritis. Journal of Orthopaedic Science. 2003;8(6):849–857. doi: 10.1007/s00776-003-0717-8. [DOI] [PubMed] [Google Scholar]
- 25.Zhu Y, Wang YM, Jia YC, et al. Characterization of synovial angiogenesis in osteoarthritis patients and its modulation by chondroitin sulfate. Arthritis Res Ther. 2012;14(2):R58. [DOI] [PMC free article] [PubMed]
- 26.Lambert C, Mathy-Hartert M, Dubuc JE, et al. Characterization of synovial angiogenesis in osteoarthritis patients and its modulation by chondroitin sulfate. Arthritis Res Ther. 2012;14(2):R58. [DOI] [PMC free article] [PubMed]
- 27.Corrado A, Neve A, Cantatore FP. Expression of vascular endothelial growth factor in normal,osteoarthritic and osteoporotic osteoblasts. Clin Exp Med. 2013;13(1):81–84. doi: 10.1007/s10238-011-0170-5. [DOI] [PubMed] [Google Scholar]
- 28.Fay J, Varoga D, Wruck CJ, et al. Reactive oxygen species induce expression of vascular endothelial growth factor in chondrocytes and human articular cartilage explants. Arthritis Res Ther. 2006;8(6):R189. doi: 10.1186/ar2102. [DOI] [PMC free article] [PubMed] [Google Scholar]
- 29.Mabey T, Honsawek S, Saetan N, Poovorawan Y, Tanavalee A, Yuktanandana P. Angiogenic cytokine expression profiles in plasma and synovial fluid of primary knee osteoarthritis. Int Orthop. 2014;38(9):1885–1892. doi: 10.1007/s00264-014-2406-y. [DOI] [PubMed] [Google Scholar]
- 30.Ballara S, Taylor PC, Reusch P, Marme D, Feldmann M, Maini RN, Paleolog EM. Raised serum vascular endothelial growth factor levels are associated with destructive change in inflammatory arthritis. Arthritis Rheum. 2001;44(9):2055–2064. doi: 10.1002/1529-0131(200109)44:9<2055::AID-ART355>3.0.CO;2-2. [DOI] [PubMed] [Google Scholar]
- 31.Liang Y, Zhang Y, Wang G, Li Y, Huang W. Penduliflaworosin,a diterpenoid from Croton crassifolius, exerts anti-angiogenic effect via VEGF receptor-2 signalling pathway. Molecules. 2017;22:1–12. doi: 10.3390/molecules22010126. [DOI] [PMC free article] [PubMed] [Google Scholar]
- 32.Pufe T, Harde V, Petersen W, Goldring MB, Tillmann B, Mentlein R. Vascular endothelial growth factor (VEGF) induces matrix metalloproteinase expression in immortalized chondrocytes. J Pathol. 2004;202(3):367–374. doi: 10.1002/path.1527. [DOI] [PubMed] [Google Scholar]
- 33.Yuan Q, Sun L, Li JJ, et al. Elevated VEGF levels contribute to the pathogenesis of osteoarthritis. BMC Musculoskeletal Disorders. 2014;15(1):1–8. doi: 10.1186/1471-2474-15-437. [DOI] [PMC free article] [PubMed] [Google Scholar]
- 34.Walsh DA, McWilliams DF, Turley MJ, et al. Angiogenesis and nerve growth factor at the osteochondral junction in rheumatoid arthritis and osteoarthritis. Rheumatology (Oxford). 2010;49(10):1852–1861. doi: 10.1093/rheumatology/keq188. [DOI] [PMC free article] [PubMed] [Google Scholar]
- 35.Gaballah A, Hussein NA, Risk M, Elsawy N, Elabasiry S. Correlation between synovial vascular endothelial growth factor, clinical, functional and radiological manifestations in knee osteoarthritis. The Egyptian Rheumatologist. 2016;38(1):29–34. doi: 10.1016/j.ejr.2015.01.002. [DOI] [Google Scholar]
- 36.Hamilton JL, Nagao M, Levine BR, et al. Targeting VEGF and its receptors for the treatment of osteoarthritis and associated pain. Journal of Bone & Mineral Research. 2016;31(5):911–924. doi: 10.1002/jbmr.2828. [DOI] [PMC free article] [PubMed] [Google Scholar]
- 37.Chow YY, Chin KY. The role of inflammation in the pathogenesis of osteoarthritis. mediators of inflammation. 2020; 2020:1-19. [DOI] [PMC free article] [PubMed]
- 38.Ochi T, Ohkubo Y, Mutoh S. Role of cyclooxygenase-2,but not cyclooxygenase-1,on type II collagen-induced arthritis in DBA/1 J mice. Biochemical Pharmacology. 2003;66(6):1055–1060. doi: 10.1016/S0006-2952(03)00420-9. [DOI] [PubMed] [Google Scholar]
- 39.Li D, Ni S, Miao KS, et al. PI3K/Akt and caspase pathways mediate oxidative stress-induced chondrocyte apoptosis. Cell Stress and Chaperones. 2019;24(1):195–202. [DOI] [PMC free article] [PubMed]
Associated Data
This section collects any data citations, data availability statements, or supplementary materials included in this article.
Data Availability Statement
The datasets used and/or analyzed during the current study are available from the corresponding author on reasonable request.





