Abstract
Virtual reality (VR) is increasingly used for presurgical planning and teaching during surgery. However, VR aided presurgical planning toolbox for left ventricular assist device (LVAD) implantation is not widely available. We investigated the use of a VR environment with wearable headsets and touch controllers in simulating an implant in an 11-year-old boy. The technology played a significant role in the optimal positioning of the LVAD.
Keywords: Left ventricular assist devices, mechanical circulatory support, virtual reality
INTRODUCTION
The advent of mechanical circulatory support (MCS) has a significant impact on the management of heart failure, especially in pediatric patients.[1] The choice of devices available is, however, quite restricted. Berlin heart is the most commonly used device. It is an external pump but does not allow the patient to be discharged home, forcing them to stay in the hospital awaiting a donor organ.[2] The “PumpKIN” trial for a pediatric implantable pump is ongoing, using an infant Jarvik axial flow pump, which is not commercially available.[3] The only implantable pumps available are Heartmate III and Heartware, both of them designed for use in adults.[4] Several technical issues crop up when attempting these pumps in children including size of the pump relative to the patient, an ability to close the chest after implantation, and position of the inflow cannula.
A well-positioned inflow cannula parallel to the septum and in line with the mitral valve is crucial for good outcomes in left ventricular assist device (LVAD) surgery.[5] An improper position can lead to low flows and pump thrombosis. A presurgical tool to aid in the perfect positioning of the inflow cannula can be useful during the LVAD implantation to avoid complications, especially in small-built patients and in children where difficulties might be encountered related to LVAD flows following chest closure. Advanced multi-modality imaging like virtual reality (VR) will play a key role for surgeons in device selection as well as to avoid complications.
CASE REPORT
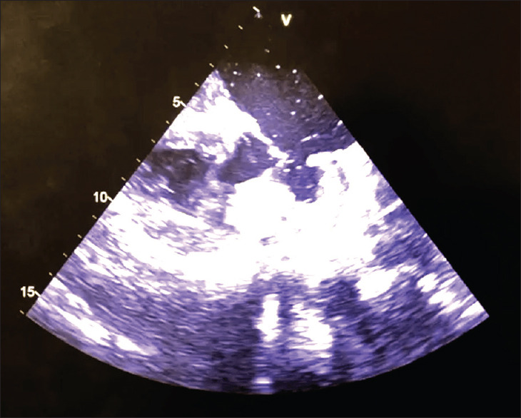
An 11-year-old boy, known case of biventricular restrictive cardiomyopathy was airlifted in a critically ill condition, on multiple inotropes, lapsing in and out of consciousness. He had a history of cardiac arrest. He was oliguric with a brain natriuretic peptide of 23530 pg/ml. Echocardiogram showed bi-atrial enlargement with severe mitral and tricuspid regurgitation and severe pulmonary hypertension [Video 1]. The very short distance of the left ventricular apex from the mitral valve is evident [Figure 1].
Figure 1.

Two-dimensional echo showed biatrial enlargement with left ventricular noncompaction
His hemodynamic evaluation revealed severe pulmonary hypertension with a pulmonary vascular resistance of 14.2 Wood units, a pulmonary artery wedge pressure of 24 mm Hg and a transpulmonary gradient of 20 mm Hg [Table 1]. A heart transplant was clearly not an option but unfortunately neither was an LVAD. At 22-kg weight and a body surface area (BSA) of 0.9 kg/m2, he was very small even for an “off label” LVAD implant. The left ventricular cavity was very small with a shortened distance from the apex to the mitral valve. There were concerns whether the inflow cannula of the LVAD will impinge on the mitral valve and whether chest closure will be possible.
Table 1.
Hemodynamic data of the patient
| Parameters | Values |
|---|---|
| Heart rate (/min) | 94 |
| Arterial pressure (mm Hg) | 88/46 |
| Central venous pressure (mm Hg) | 12 |
| RV pressure (mm Hg) | 55/38 |
| PCWP (mm Hg) | 24 |
| TPG (mm Hg) | 20 |
| Cardiac output (L/min) | 1.4 |
| PVR (wood units) | 14.2 |
| RV stroke work index (g/m2) | 9 |
| PAPI | 1.42 |
RV: Right ventricle, PCWP: Pulmonary capillary wedge pressure, TPG: Transpulmonary gradient, PAPI: Pulmonary artery pulsatility index, PVR: Pulmonary vascular resistance
Medical treatment alone was not enough as he was in constant pulmonary edema, intubated and ventilated on inotropes. We decided to use VR technology to explore the possibility of an LVAD implant.
Procedure for virtual reality study
Patient-specific computerized tomography (CT) scan image data were obtained as was the CT image of a Medtronic HeartWare Ventricular Assist Device (HVAD) pump [Figure 2]. The dimension required is mostly 512 × 512 × 523 slices, and voxel spacing is around 0.5 × 0.5 × 0.5. The images contained proper resolution in all three axes. ITK-snap GUI software was used to perform the segmentation operations in all these CT images [Figure 3]. The quality of the segmentation labels mainly depends on the input image data, and image enhancement using thresholding was very useful in identifying the region of interests in the presegmentation mode. After segmentation, presurgical model was created [Figure 4]. Using VR toolbox-oculus touch controllers, the operating surgeon could navigate in and around the heart spatially and also pick and place the LVAD by holding them [Figure 5]. The oculus camera rig helps the surgeons in visualizing the whole environment in a virtual three-dimensional screen or glasses worn on the head with exceptional clarity [Figure 6 and Video 2]. On a traditional two-dimensional navigational screen, the depth perception cannot be expected, wherein it is a default-added, major advantageous feature in the VR environment. While performing the preplanning, this depth perception gives more insight to the surgeons about spatial navigation from where they are inside the thoracic cavity.
Figure 2.

Computerized tomography scan images of the thoracic cavity and left ventricular assist device for reconstruction
Figure 3.

Contour evolution in ITK-snap and segmented features as labels
Figure 4.

Three preplanning views of - the dilated heart, heart with ribcage and lungs, and left ventricular assist device to be used
Figure 5.

Torch for occlusion culling (circular cut in the heart) and surgeon with head-mounted virtual reality glasses (left bottom)
Figure 6.

Virtual interaction using the preplanning tool
Using the VR study, the ideal spot of insertion of the LVAD on the heart could be determined to confirm ideal inflow cannula position and ensure the possibility of chest closure. The dimple of the LAD is quite easily visible making “registration,” an ability to choose a point on the VR and locate it during surgery, in relation to the LAD, possible. We could confirm that the inflow cannula will not impinge on the mitral valve. He was hence offered an LVAD implant.
The surgery was conducted using standard cardiopulmonary bypass. In an empty heart, the apex of the ventricle was found to be very close to the mitral valve [Figure 7].
Figure 7.

Two-dimensional echo image showing the apex of the ventricle was found to be very close to the mitral valve in an empty heart
The chosen site on the VR imaging could be identified during surgery, and the LVAD implant was uneventful. The excellent position of the inflow cannula was confirmed by transesophageal echocardiography [Figure 8].
Figure 8.

Two-dimensional transesophageal echo image showing excellent position of the inflow cannula
Postoperatively, he continued to have severe pulmonary hypertension needing ventilation and inodilators. He made a complete recovery and was discharged home with excellent LVAD function in optimal position [Figure 9] on anticoagulants. Patient is alive, doing well 2 years later.
Figure 9.

Postsurgery patient images after left ventricular assist device implantation (Anteroposterior and lateral)
DISCUSSION
LVADs are increasingly used for long-term MCS and are effective in improving survival and quality-of-life in patients with advanced heart failure.[6] They are also associated with significant early and late morbidity including pump thrombosis, thromboembolic events, and pump dysfunction. Majority of the complications are at least partly associated with suboptimal pump positioning.[7] At present, we are missing precision tools to further improve the positioning of LVAD device in a patient-specific fashion.
Our aim was to use advanced technology to assist surgeons-in choosing the device, selecting optimal position for left ventricle wall coring and deciding ideal position to place the intra thoracic ventricular assist device pump-with the goal to optimize pump function, avoid secondary migration after chest closure, and minimize thromboembolic risk due to mechanical and hemodynamic factors in an individual patient.
Major requirements for correct placement of LVAD inflow cannula include coaxiality with the mitral valve orifice, nonconflict with the interventricular septum, and left ventricular cavity walls. Hence, with the help of CT scan through dedicated widgets, mitral valvular orifice was identified. Along with that, organs of interest for LVAD implantation such as heart, lungs, and ribcages also delineated. All these landmarks were considered to determine the possibility of chest closure after LVAD implantation. Both LVAD and graft connecting the outlet of the pump to aorta will be placed in the thoracic cavity and all these factors will also influence the positional change of the adjacent organs. This will ultimately take into consideration the intrathoracic placement with respect to the rigid chest wall, the identification of optimal sites for both apical coring and ascending aortic outflow, including performance of intracavitary fluidic simulations.
This tool is really handy in visualizing the orientation of the inflow cannula with respect to the septum of the heart. Normally, surgeons would not be able to see through cardiac muscles as its wall occludes the view while implanting the LVAD. This torch is added with any of the hand in Oculus controls, and when it is directed toward the heart, it would cull the occluding surfaces while performing the virtual placing of the LVAD using the other hand. Subsequently, the software suggests ideal LVAD implantation site and left ventricular coring location, which maximize mitral valve coaxiality in the individual patient. The software also shows the overlap between the virtually implanted LVAD and the osseous chest wall, to help the surgeon estimate the risk of conflict and device migration from the intended position after chest closure.
With the current technology, we sought to develop a user-friendly tool for planning the implantation of an LVAD, especially in pediatric patients. The intended preoperative planning tool will allow virtual implantation of several commercially available LVADs. Pediatric implants have been attempted using Heartmate III using VR.[8] We feel that the HVAD is smaller and has a better profile, which makes pediatric implants easier. This technique is also useful in postoperative CT scan visualization of the pump and outflow grafts, eliminating the “noise” often associated with metallic pumps. Currently, the segmentation and creation of the VR images are done manually and takes around 8 h. We are in the process of automation so that the processing time is considerably reduced, making it possible to use this technology even in emergency situations. Further work is needed in “registration.” To be able to precisely locate the point chosen using VR on the actual heart. In this instance, the LAD dimple was seen well and could be used as a reference point. It may not always be visible. Hence, other consistently available landmarks need to be identified for this purpose. Such feature could facilitate intrathoracic positioning in patients with smaller BSA or with chest wall deformities. Similarly, preoperative virtual implantation will be expectedly used also in the planning of less-invasive LVAD implantation through minithoracotomy. The final intraventricular orientation of the inflow cannula taking into account both the coring site and the mechanical effects of the thoracic wall could be anticipated.
The present research is expected to facilitate a patient-specific preoperative simulation of optimal left ventricular coring site and LVAD implantation with the aid of computer-assisted surgery techniques.
CONCLUSIONS
A presurgical tool to aid in the perfect positioning of the inflow cannula during the LVAD implantation to avoid complications, especially in small built patients and in children where difficulties might be encountered in chest closure is desirable. We developed a virtual surgery planning tool for an 11-year-old boy, which enables surgeons to perform the complex LVAD implantation surgery before the actual surgery was done. This tool also helped to determine the spatio-anatomical factors that could affect surgical outcome and avoid errors in LVAD implantation.
Declaration of patient consent
The authors certify that they have obtained all appropriate patient consent forms. In the form the patient(s) has/have given his/her/their consent for his/her/their images and other clinical information to be reported in the journal. The patients understand that their names and initials will not be published and due efforts will be made to conceal their identity, but anonymity cannot be guaranteed.
Financial support and sponsorship
Nil.
Conflicts of interest
There are no conflicts of interest.
Videos Available on: www.annalspc.com
REFERENCES
- 1.Samadbeik M, Yaaghobi D, Bastani P, Abhari S, Rezaee R, Garavand A. The applications of virtual reality technology in medical groups teaching. J Adv Med Educ Prof. 2018;6:123–9. [PMC free article] [PubMed] [Google Scholar]
- 2.Khan S, Jehangir W. Evolution of artificial hearts: An overview and history. Cardiol Res. 2014;5:121–5. doi: 10.14740/cr354w. [DOI] [PMC free article] [PubMed] [Google Scholar]
- 3.Baldwin JT, Adachi I, Teal J, Almond CA, Jaquiss RD, Massicotte MP, et al. Closing in on the PumpKIN trial of the Jarvik 2015 ventricular assist device. Semin Thorac Cardiovasc Surg Pediatr Card Surg Annu. 2017;20:9–15. doi: 10.1053/j.pcsu.2016.09.003. [DOI] [PMC free article] [PubMed] [Google Scholar]
- 4.Han J, Trumble DR. Cardiac Assist Devices: Early concepts, current technologies, and future innovations. Bioengineering (Basel) 2019;6:18. doi: 10.3390/bioengineering6010018. [DOI] [PMC free article] [PubMed] [Google Scholar]
- 5.Ghodrati M, Maurer A, Schloglhofer T, Khienwad T, Zimpfer D, Beitzke D, et al. The influence of left ventricular assist device inflow cannula position on thrombosis risk. Artif Organs. 2020;44:939–946. doi: 10.1111/aor.13705. [DOI] [PMC free article] [PubMed] [Google Scholar]
- 6.Birati EY, Jessup M. Left ventricular assist devices in the management of heart failure. Card Fail Rev. 2015;1:25. doi: 10.15420/CFR.2015.01.01.25. [DOI] [PMC free article] [PubMed] [Google Scholar]
- 7.John R, Kamdar F, Liao K, Colvin-Adams M, Miller L, Joyce L, et al. Low thromboembolic risk for patients with the heartmate II left ventricular assist device. J Thorac Cardiovasc Surg. 2008;136:1318–23. doi: 10.1016/j.jtcvs.2007.12.077. [DOI] [PubMed] [Google Scholar]
- 8.Burki S, Adachi I. Pediatric ventricular assist devices: Current challenges and future prospects. Vasc Health Risk Manag. 2017;13:177–85. doi: 10.2147/VHRM.S82379. [DOI] [PMC free article] [PubMed] [Google Scholar]
Associated Data
This section collects any data citations, data availability statements, or supplementary materials included in this article.
