Abstract
In Veterinary Medicine all the Imaging techniques are used and described but, due to organizational, managerial and, mostly, economical reasons, Radiography and Ultrasonography are the most used.
Veterinary Radiology teaching has a relatively small number of educational credits in the degree courses but, nowday, educational opportunities are remarkably increased thanks to a number of post-degree courses and masters, organized both by the universities and private veterinary associations. The relevance of Diagnostic Imaging is particularly true in Veterinary Medicine, in which Radiology could be considered “indispensable” for diagnosis, prognosis and follow up. Furthermore, it should not be forgotten that the diagnostic image represents a “document” and, has a relevant role in legal medical debats.
In this first part, Radiography and Ultrasonography are described.
Keywords: Veterinary radiology, Radiography, Ultrasonography, Small animals, Horses, Exotic pets, Wild animals
1. Radiography
Radiography in veterinary practice moved its first steps in 1920s, after the introduction of a number of technical improvements like the high-tension transformers, the Coolidge tube and the Bucky-Potter system [1,2]. The first text on veterinary radiology was published in 1926 by dr. Paul Henkel [3]. One of the first publications reporting the use of X-ray was about the hip dysplasia, described as a rare disease in military dogs, in wich a positioning similar to that used in human was suggested by the Author [4]. In 1937, there was the first scientific article about X-ray protection [3,5].
For decades, the Radiography was the only technique available in veterinary practice and, therefore, its diffusion in the small animals and horses facilities has been widespread all over the world. That diffusion, after a slowing down period, coincident with the arrival of Ultrasonography and Computed Tomography (CT), knows a new boost thanks to the digital radiographic systems [2].
The radiographic devices used in small animal practice (including exotic pet and wild animals) are usually equipped by a table (trochograph) while the portable devices are the most used in the horse practice (less frequently radiography is routinely used in other large animals and livestocks). In a limited number of specialized horse clinics, more powerful radiographic devices, useful not only for the study of the appendicular skeleton but also for the skull, the column, the thorax and the abdomen, are present.
Anyway, compared to the human, beyond the differences caused by the lower budget (depending directly on the owner’s capabilities), the main veterinary radiographic feature is represented by the scarce or absent patient’s collaboration and, consequently, by the necessity of manual or pharmacological constraint (Fig. 1A and B).
Fig. 1.
A) Manual restraint in a dog undergoing thoracic Radiography in right lateral recumbence. B) Pharmacological restraint (general anesthesia) in a dog undergoing an uretrography in lateral recumbence with both hindlimbs pulled cranially.
Veterinary practice is more like pediatrics in which some person must help to control the patient. This means that, in critical patient, the anesthesia or deep sedation could represent a handicap in performing a radiographic exam [3]. In addition, the need to use human operators to obtain the correct positioning is one of the most common causes of undue exposition to X-rays [6].
The positionings used in veterinary radiography are multiple and they mainly depend on the direction of the X-ray beam: using the vertical X-ray beam, the positioning usually used are the lateral recumbence (right or left), the dorsal recumbence and the sternal-abdominal recumbence;
using the horizontal X-ray beam, the positionings usually used are the standing position and the bipedal position.
The international terminology adopted for animal body surfaces and anatomical planes, obviously, presents differences compared to the human ones. For example, the “coronal plane” defined in human radiology is called “dorsal longitudinal plane” in veterinary radiology. Other differences concern “anterior” and “posterior” and “superior” and “inferior” that in veterinary patients become “ventral” and “dorsal” and “cranial” and “caudal”, respectively [7].
In Veterinary Medicine, also the rules used for displaying the images are different: radiographs of the skull, the neck, the trunk and the tail, in latero-lateral views, will have cranial to the left, caudal to the right, dorsal to the top and ventral to the bottom, while in ventro-dorsal or dorso-ventral views, cranial will be on the top, caudal on the bottom, right on left and left on the right; radiographs of the appendicular skeleton in lateral views will have cranial/dorsal to the left, caudal/palmar/plantar to the right, proximal to the top and distal to the bottom, while in the axial views, proximal will be on the top and distal on the bottom and, for the right legs, the right side will be on the left, for the left legs, the left side will be on right.
Among the contrastographic techniques, those used for the urinary appataratus (venous urography, antegrade pielo-ureterography, cystography and uretrography) and for the spinal cord (myelography) still have a primary role, while those for the digestive tract, except esophagography, after the arrival of the Ultrasonography, the CT and Endoscopy, lost the most of their relevance [[8], [9], [10]].
At the moment, Radiography is considered the first step for evaluating the skeleton, the thorax and the abdomen, even if, for the latter, Radiography is considered complementary to the Ultrasonography.
1.1. The skeleton
Radiography is considered the best technique to assess the skeleton and it is is currently used for characterizing bone lesions, checking the efficacy of treatments and allowing the monitoring of the healing processes [11].
Some general rules to performe the radiographic exam can be outlined: the use of, at least, two orthogonal views; the radiographs have to include all the bone segment evaluated (from the proximal to the distal joints included); the use of an a high contrast technique with higher mAs and lower kV (nevertheless, at the present, the digital systems have partially outdated this specific rule) [12]; the use of other optional, oblique or stressed, views to better assess some bones or joints or some clinical conditions.
In many occasions, the radiographic exam could be performed on awake subjects but in case of painful lesions (i.e. fractures or luxations), the patient has to be sedated or anaesthetized in order to better visualize a lesion, when it is necessary to obtain a more stressed positioning, (Fig. 2) [13].
Fig. 2.
Intertarsal traumatic subluxation in a 5-years old male English setter. A) Medio-lateral view of the left tarsus in a neutral positioning. B) Same view with stressed position with hindpaw pushed proximally: the lesion is now clearly visible.
In small animals, Radiography is currently used for the screening of many congenital or hereditary osteo-articular diseases, i.e. canine hip and elbow dysplasia (Fig. 3, Fig. 4) [14,15]. In horses, the appendicular skeleton is widely studied by means of X-rays, using portable devices, in case of congenital, degenerative and traumatic injuries (Fig. 5) [16].
Fig. 3.
Canine hip dysplasia in a 11-months old male Labrador retriever. A) Ventro-dorsal standard view with a appearing of coxo-femural joints. This view was first proposed by Schnelle [4] in an effort to reproduce the radiographic features of human being’s coxo-femural dysplasia, however this positioning is not natural in the dog. B) Same dog studied with a ventro-dorsal view in which the coxo-femural joints are flexed and positioned in a more natural positioning: both the hip joints show now a severe laxity with lateral subluxation of the femural heads [13].
Fig. 4.
Elbow dysplasia for an ununited anconeal process (UAP) in a 6-months old male German shepherd. Medio-lateral view of the left (A) and right (B) elbows in a flexed positioning. An irregular radiolucent line (arrow), representing the failure of the physiological fusion of the secondary ossification center to the olecranon, is visible on the anconeal process of the right elbow.
Fig. 5.
Oblique 35 ° Plantarolateral-Dorsomedial view of the equine tarsus. A) Normal aspect in a 24-months old male Italian trotter. The intermediate ridge of the tibial cochlea is smooth and flattened (empty arrowhead) B) Osteochondrosis dissecans (OCD) of the intermediate ridge of tibial cochlea in a 20-months old male Italian trotter. The intermediate ridge of the tibial cochlea is fragmented (empty arrowhead). Legend: 1 = distal epiphisis of the tibia; 2 = calcaneus; 3 = lateral ridge of the trochlea tali; 4 = central tarsal bone; 5 = third tarsal bone; 6 = fused second and first tarsal bone; 7 = third metatarsus; 8 = second metatarsus.
1.2. The thorax
As for human beings, in small animals, exotic pets and wild animals, Radiography is considered the technique of choice for assessing the thorax, except for the heart. The good contrast provided by the air in the lungs opens up a window to the thoracic organs, an extent not possible with the abdominal radiographic study [11,17].
The Radiography of the thorax is usually performed on awake subjects, maintained by human operators (Fig. 1A). In some occasions, to have the greatest air contrast, especially when Radiography is performed to rule out lung metastasis, it is reccomended to perform it on animals in general anestesia and during a positive ventilation [18].
The radiographs of the thorax, particularly those performed on awake subjects, should be obtained using a very short exposition time (0.008/0.012 s) to avoid, as far as possible, movements and artifacts on the image, since the patient does not stop to breath or, more commonly, increase the breath rate, due to stress and fear. However, a correct thorax radiograph must be performed at the end of inspiration except in case of suspect pneumothorax or pulmonary bullae [19].
The routine views for the thorax are: Latero-Lateral (LL) left-to-right, in right lateral recumbence (to assess the heart, the left lung and the esophagus) or right-to-left, in left lateral recumbence (to assess the heart and the right lung); Dorso-Ventral (DV) in sternal-abdominal recumbence (to assess the heart, the main pulmonary vessels and the dorsal portion of the lung lobes); Ventro-Dorsal (VD) in dorsal recumbence (to assess the ventral portion of the lung lobes, the esophagus and the mediastinum) [18].
Other optional views are available using the horizontal X-ray beam: LL in standing position or in dorsal recumbence (to assess pleural or mediastinal fluid effusions); VD in bipedal position (to assess pleural or mediastinal fluid effusions, and, during an esophagography, the gastro-esophageal junction), in right or left lateral recumbence (to assess the pneumothorax).
In the dog, it is possible to distinguish three constitutional morphotype of the thorax: dolycomorphus, in which the thorax is narrow, on latero-lateral diameters, the heart has a triangular shape and its long axis is quite perpendicular to the sternum, furthermore, the diaphragmatic profile is deeply positioned into the thoracic cavity; mesomorphus, in which the latero-lateral thoracic diameters are not shorter than the cranio-caudal ones, the heart has a more globose ellipsoideal shape, a little reclined on the sternum; brachymorphus, in which the thorax is wide and the diaphragmatic profile flattened, the heart has a globose shape with a large contact between the cranial profile and the sternum, its caudal profile could be superimposed to the diaphragm [19]. In small animals, including the exotic pets and wild animals, the main clinical indications for the radiography of the thorax are suspect pneumonia, tumors stadiation, esophageal problems, trauma (Fig. 6, Fig. 7) [11,19]. Nevertheless, in small animal practice, Radiography is not considered the technique of choice for assessing the heart, it is still considered the simpliest way to assess the dimension and to control the evolution of a cardiomyopathy in longitudinal follow-up (Fig. 8) [[20], [21], [22]].
Fig. 6.
Bacterial pneumonia in a 4-years old male Harry’s hawk (Parabuteo unicinctus). Whole-body latero-lateral view with both the wings dorsally extended to avoid the superimposition on the thorax. In the box, a closed view of the thorax with some lung opacities (black circles) visible.
Fig. 7.
Lung metastasis of a mammary gland carcinoma in a spayed 11-years old female Poodle. On the latero-lateral view three rounded opacities (asterisks) are clearly visible.
Fig. 8.
Normal and abnormal canine cardiac silhouette on the latero-lateral view of thorax. A) Normal aspect of the cardiac silhouette in a 5-years old male Beagle dog. B) Severe dilatation of the left atrium (empty arrowhead) in a neutered 10-years old male Mixed breed dog. Legend: 1 = trachea; 2 = thoracic aorta; 3 = caudal vena cava.
In the horse, the Radiography of thorax can be performed only using very powerful X-ray devices; furthermore, to assess all the thorax, four lateral views are needed, since it does not exist cassettes or plates so big to include all the thorax in a single shot. The orthogonal views, VD or DV, are impossible to obtain, and not used [18].
1.3. The Abdomen
The abdominal cavity contains several organs and apparatus mostly made by soft tissues and therefore better assessed by Ultrasonography or other advanced tomographic techniques. However, Radiography still remains one of the most used techniques due to its capillary diffusion in veterinary facilities, quick execution, simple interpretation (especially if compared to ultrasonography) and relative cheapness. No other techniques provide an overview of large portions of the body in such a quick time [10]. Unfortunately, Radiography has a low contrast resolution for soft tissues and many abdominal organs, that, when normal, are not distinguishable (i.e. gallbladder, pancreas, adrenal glands, ovary glands, uterus and limph nodes).
The radiographic exam of the abdomen, like that of the thorax, is usually performed on awake subjects maintained by human operators. Contrastographic exams of the digestive tract are also made on awake subjects especially when it is necessary to evaluate the functionality of the organs. In case of not collaborative patients (as the most of exotic pets and wild animals) or special procedures (i.e. contrastographic studies of the colon and of the urinary apparatus) it is necessary to use deep sedation or general anaesthesia [8].
The Radiography of the abdomen has to be performed at the end of expiration, when the diaphragm is at the most cranial position and, therefore, the abdominal organs are less superimposed. As for the thorax, and in order to reduce the risk of movement artifacts, the exposition time has to be set lower as possible and, however, less than 0.016/0.02 s [23].
When the study is programmable, a fasting of at least 12 h it is ever necessary. Other than the fasting, in case of the urinary apparatus and the colon, 2–3 days of laxative and enema are recommended [23].
The routine views for the abdomen are the Latero-lateral LL (on right or left recumbence) and the Ventro-dorsal VD (on dorsal recumbence). Usually, for the lateral view it is preferred the right recumbence; the LL on left lateral recumbence is performed after the right LL view, when the stomach is assessed.
Other then the routine views, there are some optional views useful to better characterize some organs: the Dorso-ventral DV view in case of pregnancy; the VD view on left lateral recumbence with the horizontal X-ray beam in case of suspect pneumoperitoneum; the 20 ° oblique VD view, to assess the uretero-vescical junction during the venous urography or the antegrade pyelo-ureterography; the LL view with the hindlimbs cranially pulled to avoid their superimposition on the uretra in male dogs (Fig. 1B).
Radiography is considered the first step when a gastro-intestinal disease is suspected, particularly in case of suspect ingestion of a foreign body or pronounced meteoric dilatations (Fig. 9, Fig. 10) [23].
Fig. 9.
Gastric foreign body (fishing hook) (arrow) in a juvenile loggerhead (Caretta caretta). A) Dorso-ventral view. B) Latero-lateral view using the horizontal X-ray beam.
Fig. 10.
Latero-lateral view, in right lateral recumbence, of the stomach in the dog. A) Normal aspect in an 1-year old female Mixed breed dog. B) Gastric volvulus in a 12-years old male German shepherd; the stomach is severely dilated and with an inverted position. Legend: 1 = gastric fundus; 2) gastric body; 3 = gastric antrum; 4 = liver; 5 = spleen.
In addition, Radiography is still considered the technique that permits a more objective evaluation of liver and kidney dimensions [24,25]. Urinary apparatus, especially the ureters and urethra, always need contrastographic studies (venous urography, antegrade pyelography and urethrography) (Fig. 11) [25,26]. In small animals, Radiography still keeps relevance in last pregnancy to count the number of newborn (Fig. 12) [27].
Fig. 11.
Antegrade pyelo-ureterography in a 4-years old neutered male Labrador, affected by a left ectopic ureter. A) Latero-lateral view. B) Oblique 20 ° left ventral- right dorsal view. Post-contrast images obtained following US-guided injection of non-ionic iodinated contrast medium in the renal pelvis. Legend: 1 = severely dilated (hydronefrotic) pelvis of the left kidney; 2 = severely dilated left ureter (hydroureter) ending in the prostatic urethra (empty arrowhead); 3 = urinary bladder distended by air (pneumocystography).
Fig. 12.
Dorso-ventral view of the abdomen in a pregnant 2-years old female Scottish terrier. After the 45th day of pregnancy, the fetal skeleton is sufficiently mineralized to be visible on radiograms. X-ray is reccomended for counting the number of fetuses, usually identifying the fetal skulls (asterisks).
2. Ultrasonography
It was in the 1960s [28] that a new imaging technique, based on the use of ultrasound, started to be considered in small animal clinics. This new imaging tool, called “Ultrasonography” rapidly spread among veterinarians and small animal clinics all over the world. Ultrasonography came out to be a very suitable imaging technique able to give clinical information for a wide variety of diseases. This probably was the main reason of its success among veterinarians. It was clear since the beginning of its application that it was “operator dependent”. In order to gain good quality results, the veterinarian operator should reach good manual skills, proper preparation in ultrasonographic anatomy, not only for dogs and cats but also of other species. Moreover, a good preparation on the pathophysiology of the different apparatus is necessary.
The most important applications of Ultrasonography in small animal clinics include abdominal and thoracic Ultrasonography, echocardiography and musculoskeletal Ultrasonography.
Abdominal Ultrasonography is probably the most important application in small animal clinic. Ultrasonography is useful to study parenchymal organs like the liver, the kidney and the urinary system, the spleen, the endocrine glands, the lymph nodes, the reproductive apparatus, and the gastrointestinal tract.
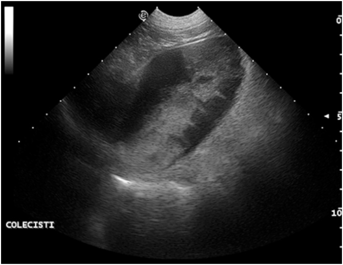
Liver Ultrasonography is indicated primarly in cases of chronic diseases (hepatic insufficiency, fat parenchyma infiltration, focal parenchymal lesions) and in their follow up. Characterization of liver primary/metastatic expansive masses should be considered. The presence of hepatic fluid filled cysts in cats may be associated to a congenital disease called Policystic Kidney Disease (PKD) frequently observed in exotic and Persian cat [29]. The characterization of the malignancy of multiple parenchymal liver nodules can be studied by means of ultrasonographic contrast medium [30,31]; the evaluation of the portal venous phase is able to discriminate among benign and malignant nodules with a high sensitivity and specificity as it is described in human medicine [32]. Ultrasonographic evaluation of the gallbladder and common bile duct may outline thickening of the wall suggestive of colecistytis; its contents with the common “kiwi pattern appearance” may suggest the presence of mucocele (Fig. 13) [33]. Gallbladder calculi, expansive masses, common bile duct obstruction are other conditions that can be described ultrasonographically. Doppler evaluation of the portal vein flow, when indicated, may outline conditions of portal hypertension, or conditions of portal-cava shunts.
Fig. 13.
Mucocele in a 12-years old female Mixed breed dog: sagittal oblique scan of the gallbladder. Within the anaechoic lumen of the gallbladder, echoic structures suggestive of a “kiwi pattern” are visible.
Ultrasonography of the kidney allows the evaluation of the parenchyma, especially of the cortex, medulla and the pelvis. Modification of cortical echogenicity (focal or diffuse), kidney profile, pelvis dimension and alteration of the vascularization are indicative of the presence of chronic kidney diseases [34,35]. Moreover, the ultrasonographic follow up of chronic kidney disease is very important for the clinician together with biochemical-clinical data collection [36]. By means of Ultrasonography, primary/multiple nodular expansive masses, cystic formation, calculi formation and their location within the pelvis or along the ureter can be observed. In some instance, ultrasonography may be useful for the evaluation of urethers outlet in the bladder, allowing ectopic ureter diagnosis [37].
Urinary bladder ultrasonographic evaluation gives many information about the bladder wall (focal/diffuse bladder neoplasia, chronic inflammation, polypoid formation) and its content, that could be variable. Within the bladder lumen veterinary ultrasonographers could found calculi, foreign bodies as migrating grass awn [38], and blood clot in cases of inflammation and/or bladder wall neoplasia. In male dogs it is important the evaluation of the bladder neck and prostatic urethra/prostate gland, being sites in which frequently some neoplasia origin. Ultrasonography is used also as a tool able to guide the operator in the correct positioning of the needle within the bladder lumen (echo-guided cystocentesis).
Spleen Ultrasonography must always been included during a routine abdominal ultrasound and it is required also in some acute conditions like the gastric volvulus where the spleen may be involved in the torsion. Moreover, primary splenic torsion is also described in case of peritonitis and abdominal haemorrage (Fig. 14) [39]. Ultrasonography is also indicated in the evaluation/follow up of splenic masses. Attention is requested in the ultrasonographic approach of complex expansive masses suggestive of possible rupture causing life-threatening haemorrage.
Fig. 14.
Spleen torsion in a 5-years old male German shepherd. The spleen has a “V” shaped appearance with rounded margins. Spleen parenchyma is anaechoic characterized by diffuse thin hyperechoic speckles.
The evaluation of adrenal glands is routinely performed during abdominal ultrasound examination. Normally the adrenal glands are quite small, peanut shaped the left one, more ovalar the right one. The Ultrasonographic evaluation of the right adrenal gland might be challenging, being located far cranially adjacent to the caudal vena cava: the presence of air in the gastrointestinal tract or fluid/food filled stomach are conditions which often interfere with its evaluation. Ultrasonographic pathological features (size, shape, echotexture) of adrenal glands can aid the diagnosis [40]. Most common disease of adrenal glands include hormone secreting or non secreting hormone.
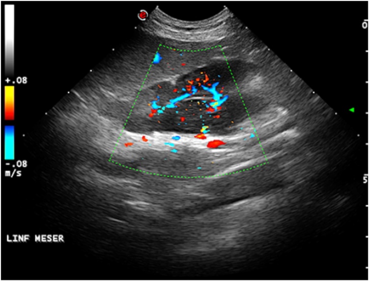
Lymph nodes ultrasonography is frequently performed in different anatomical regions and so it is for the abdomen. Their evaluation may rise suspect of the presence of malignant disease or inflammatory conditions. Lymph nodes ultrasonographic features as shape, vascularity, echogenicity helps in the diagnosis of the ongoing disease (Fig. 15) [41,42].
Fig. 15.
Lymphoma in a 9-years old male Domestic cat. Enlarged hypoechoic abdominal lymph node with a mixed hilar and peripheral blood supply.
Reproductive apparatus is frequently examined both in small and large animals (bovine and horses in particular). Ultrasonography is useful in the evaluation of ovary glands and uterus. Moreover, the fetus evaluation (fetus measurement, fetus position in uterus, viability of the fetus) may be really helpful in obstetric cases.
Ultrasonography of the Gastrointestinal (GI) tract in small animal gives a great help in the evaluation of the stomach, small bowel and colon. For the stomach and small intestine, sonographic evaluation of the peristalsis may also be considered. Gastrointestinal wall layering may be identified in the mucosa surface, mucosa, submucosa, muscolaris propria and subserosa/serosa [43].
GI tract wall thickness, the appearance of the wall layers, bowel peristalsis, and the bowel contents, (gas, mucus and/or fluid, alone or together) should always be considered for a complete evaluation of the GI tract [43].
Moreover, in the evaluation of the GI tract, it is important to consider the pancreatic area together with the pancreatic duct, the common bile duct and the gallbladder. Diseases as thickening and increased echogenicity of the wall layers in the intestinal tract [44], signs of lymphangiectasia in the mucosa (Fig. 16), expansive intestinal wall masses are frequently correlated to changes of the regional lymph nodes ultrsonographic appearance. Infact, abdominal lymph nodes often may show echogenicity, vascularization and shape modifications correlated to the ongoing intestinal disease.
Fig. 16.
Chronic infiltrative Inflammatory Bowel Disease (IBD) with lymphangiectasia in a 9 and half years old spayed female Mixed breed dog. Longitudinal scan of a tract of the jejunum. Thin echoic speckels, mostly perpendicular to the long axis, are visible within the mucosa layer.
Ultrasonography has a good diagnostic value in differentiating enteritis from intestinal neoplasia. Clinical signs related to inflammatory intestinal lesions and intestinal tumor are common and the differentiation among the two pathological conditions is not always easy to achieve [45]. The ultrasonographic features that are considered in the evaluation of gastrointestinal disease are intestinal wall thickening and length of the intestinal lesion, integrity of the wall layers, regional lymph nodes involvement and intestinal motility [45]. The loss of wall layering has a strong predictive value in determining the presence of an intestinal tumor [45].
Thoracic Ultrasonography also called Pleural and Lung Ultrasonography (PLUS) [46] is a useful tool to detect causes undelying to dyspnea, especially when standard thoracic radiographic images are uncertain [46].
Pulmonary and pleural diseases can be identified ultrasonographically by direct visualization of the lesion or by the identification of artifacts, which alter the physiological ultrasound semeiotics [47].
The main ultrasonographic signs are represented by: A-lines, lung sliding, and B-lines. A-lines are repetition artifacts that originate from the ultrasound beam when meet a highly reflective surface caused by the physiological air lung content and are observed in healthy patients. They appear as horizontal, parallel, and hyperechoic lines that extends from the pleural interface with regular intervals and tend to decrease their intensity with the depth of the scan (reverberation) [47]. The lung sliding is a dynamic ultrasonographic sign and is generated by the sliding of the visceral pleura on the parietal pleura; this movement suggests the physiological contact of the two pleural tissues [47]. B-lines are represented by hyperechoic lines starting from the pleural interface and perpendicular to it, which move simultaneously with the patient’s breathing and extend through the depth of the image with the same intensity (ring down artifact) [47]. B-lines indicate the presence of alveolar-interstitial pulmonary syndrome. In case of alveolar consolidation, it can be observed an air/fluid bronchogram. Thoracic Ultrasonography is considered an important tool expecially in emergency-care unit, where fast informations are necessary.
Moreover, thoracic Ultrasonography can be considered in the lung examination of large animals as foal/horses [48]. Both for small and large animals, thoracic ultrasound examination is indicated in the investigation of suspected respiratory disease. In animals with suspected intrathoracic disease, ultrasonography can be used to identify pleural effusion, pneumothorax, pulmonary parenchymal disease and other diseases (Fig. 17) [48,49].
Fig. 17.
Thoracic ultrasonography through a right intercostal space in a 2-months old male Sardinian donkey foal affected by pneumonia from Rhodococcus equi. The pleural acustic interface shows a short interruption caused by a small hypoechoic subpleural pulmonary abscess (empty arrowhead). Legend: 1 = pleural acustic interface; 2 = A-lines; 3 = B-lines.
It is well known that echocardiography is the gold standard for a reliable examination of cardiovascular structure and function in humans [50]. With advancement of clinical echocardiography, methodology and equipment have been extended from humans to small animals [51]. Ultrasound imaging helps in the evaluation of cardiac function in small animals, and permits to assess cardiac anatomy and function without inducing significant stress to the patient. In dogs and cats, echocardiography helps in the characterization of congenital anatomical defects as persistet ductus arteriosus (PDA), pulmonic/aortic valve stenosis, atrial/ventricular septal defect, trilogy/tetralogy of Fallot; moreover, it gives information on pressure gradient in great vessels for a proper evaluation of heart-lungs circulation. Longitudinal studies are possible and necessary for the assessment of the vascular pressure gradients, and medical treatment strategies. One of the most common diseases which affect cardiac valves in dogs is represented by mitral valve endocardiosis (Fig. 18). Degenerative Mitral valve disease (DMVD) is a common canine cardiac disease; approximately 30 % of dogs over 10 years old are affected by this disease which results in mitral regurgitation [52]. Echocardiography is the gold standard for the assessment of cardiac structure and function and, together with electrocardiography and thoracic radiography, becomes an important tool in the evaluation of the progression of the disease and gives indications for a proper assessment of medical treatment strategies.
Fig. 18.
Mitral valve endocardiosis in a 10-years old female Cavalier King Charles Spaniel. The Color Doppler in a four chambers apical scan outline the mitral valve insufficiency.
Musculoskeletal ultrasonography is a rapidly growing field within the veterinary medicine. Ultrasound for musculoskeletal disorders has been commonly used in equine sports medicine and human medicine and nowdays, it is also more commonly performed in small animal patients due to the increase in the recognition of soft tissue injuries. Advantages of musculoskeletal ultrasonography consists in the possibility to explore also the contralateral limb, to evaluate symmetry of the tendinous structures, and to repeat the ultrasound examination to assess the healing process [53]. The increase of sport competitions, which request to the dogs more and more physical strength, has led to an increase of musculoskeletal injuries. Shoulder diseases involving bicipital muscle tendon as tendinitis/partial rupture (Fig. 19), mm. sovraspinatus and mm. infraspinatus affected by partial rupture, and avulsion of the distal bony insertion of the tendon are some of the most frequent injuries observed. Chronic myositis of ileopsoas muscles must be mentioned as a typical disease consequent to dog’s sport competitions. Among these diseases other pathological conditions that can be considered ultrasonographically include muscles rupture, muscle neoformations (granuloma/abscess/neoplasia), osteoarthritis, and tendon/ligament diseases (inflammation, partial/complete rupture).
Fig. 19.
Rupture of the right proximal biceps muscle tendon in a spayed 4-years old female Deutsch Kurzhaar. Longitudinal scan of the proximal insertion of the left (A) and right (B) tendon of the biceps muscle. The right tendon lost the normal fibrillar echostructure visible in the left one, it is hypoechoic with some anechoic small defects. The distal profiles of the right scapular glenoid tubercole are irregular. Legend: s = scapular glenoid tubercle; h = cranial surface of the proximal humerus; * = tendon of the biceps muscle.
Horse’s Ultrasonography of the musculoskeletal system is a well diffuse practice that helps in the evaluation of tendons, muscles and joints and nowadays is well considered in the studies of orthopedic diseases in equine sport medicine (Fig. 20) [54].
Fig. 20.
Longitudinal ultrasonographic scan of the median palmar metacarpal region (proximal is on the left). A) Normal aspect of the digital flexor tendons (superficial and deep), the accessory carpal ligament of the deep digital flexor tendon and the suspensory ligament in a 3-years old male Italian trotter. B) Partial tearing of the left accessory carpal ligament of the deep digital flexor tendon in a 4-years old male Warmblood dressage horse: the accessory carpal ligament is enlarged, hypoechoic and with loss of fiber pattern. Legend: 1 = superficial digital flexor tendon; 2 = deep digital flexor tendon; 3 = accessory carpal ligament of deep digital flexor tendon; 4 = suspensory ligament; 5 = palmar surface of the third metacarpal bone.
Funding source
None.
Ethical statements
Not applicable.
Declaration of Competing Interest
None.
References
- 1.Williamson H.D. Veterinary radiology history; equipment; in diagnosis; protection in practice. Vet. Rec. 1978;103:84–87. doi: 10.1136/vr.103.5.84. [DOI] [PubMed] [Google Scholar]
- 2.Johnson V. Diagnostic imaging: reflecting on the past and looking to the future. Vet. Rec. 2013;172:546–551. doi: 10.1136/vr.f3320. [DOI] [PubMed] [Google Scholar]
- 3.Schnelle G.B. The history of veterinary radiology. Vet. Radiol. Ultrasound. 1968;9:5–10. [Google Scholar]
- 4.Schnelle G.B. Some new diseases in dogs. Am. Kennel Gaz. 1935;52:25. [Google Scholar]
- 5.Wantz G.E., Frick E.J. X-ray protection. J. Am. Vet. Med. Ass. 1937;91:571. [Google Scholar]
- 6.Booth N.J., Morley S.J., Ewers R.S. Use of radiography in small animal practice in the UK and republic of Irelan in 2013. Vet. Rec. 2018;182:222–224. doi: 10.1136/vr.104670. [DOI] [PubMed] [Google Scholar]
- 7.Dyce K.M., Sack W.O., Wensing C.J.G. fourth ed. Elsevier-Saunders; 2010. Textbook of Veterinary Anatomy. [Google Scholar]
- 8.Brawner W.A., Bartels J.E. Contrast radiography of the digestive tract. Indications, techniques and complications. Vet. Clin. North Am. Small Anim. Pract. 1983;13:599–626. doi: 10.1016/s0195-5616(83)50062-4. [DOI] [PubMed] [Google Scholar]
- 9.Hudson J.A., Brawner W.R., Jr., Holland M., Blaik M.A. Teton New Media; Jackson: 2002. Abdominal Radiology. [Google Scholar]
- 10.O’Brien R., Barr F. In: BSAVA Manual of Canine and Feline Abdominal Imaging. O’Brien R., Barr F., editors. BSAVA Publications; Cheltenham: 2009. Approach to abdominal imaging; pp. 1–4. [Google Scholar]
- 11.Morgan J.P., Wolvekamp P. second ed. Schluterche; Hannover: 2004. Atlas of Radiology of Traumatized Dog and Cat. [Google Scholar]
- 12.Garmer M., Hennigs S.P., Jager H.J., Schrick F., van de Loo T., Jacobs A.-, Hanusch A., Christmann A., Mathias K. Digital radiography versus conventional radiography in the chest imaging: diagnostic performance of a large area silicon flat panel detector in a clinical CT-controlled study. Am. J. Rad. 2000;174:75–80. doi: 10.2214/ajr.174.1.1740075. [DOI] [PubMed] [Google Scholar]
- 13.Meomartino L., Greco A., Mennonna G., Auletta L., Pasolini M.P., Fatone G., Costanza D., Lamagna B., Della Valle G., Lamagna F. Joint laxity in canine hip dysplasia assessed using the hip flexed not distracted ventrodorsal view. J. Small Anim. Pract. 2021;62:187–193. doi: 10.1111/jsap.13270. [DOI] [PubMed] [Google Scholar]
- 14.Fluckiger M.A. Scoring radiographs for canine hip dysplasia. The big three organizations in the world. E. J. Comp. An. Pract. 2007;17:135–140. [Google Scholar]
- 15.Cook C.R., Cook J.L. Diagnostic imaging of canine elbow dysplasia: a review. Vet. Surg. 2009;38:144–153. doi: 10.1111/j.1532-950X.2008.00481.x. [DOI] [PubMed] [Google Scholar]
- 16.Denoix J.M., Jacquet S., Lepeule J., Crevier-Denoix N., Valette J.-P., Robert C. Radiographic findings of juvenile osteochondral conditions detected in 392 foals using a field radiographic protocol. Vet. J. 2013;197:44–51. doi: 10.1016/j.tvjl.2013.03.040. [DOI] [PubMed] [Google Scholar]
- 17.Rudorf H., Taeymans O., Johnson V. In: BSAVA Manual of Canine and Feline Thoracic Imaging. Schwarz T., Johnson V., editors. BSAVA Publications; Cheltenham: 2008. Basics of thoracic radiography and radiology; pp. 1–19. [Google Scholar]
- 18.Thrall D.E. In: Textbook of Veterinary Diagnostic Radiology. sixth ed. Thrall D.E., editor. Elsevier-Saunders; St. Luis: 2013. Principles of radiographic interpretation of the thorax; pp. 474–488. [Google Scholar]
- 19.Suter P.F. Weltswil; Switzerland: 1984. Thoracic Radiography: A Text Atlas of Thoracic Diseases of the Dog and Cat; pp. 1–126. [Google Scholar]
- 20.Ettinger J.S., Suter P.F. In: Canine Cardiology. Ettinger J.S., Suter P.F., editors. W.B. Saunders; Philadelphia: 1970. Radiographic examination; pp. 40–101. [Google Scholar]
- 21.Buchanan J.W., Bucheler J. Vertebral scale system to measure canine heart size in radiographs. J. Am. Vet. Med. Assoc. 1995;206:194–199. [PubMed] [Google Scholar]
- 22.Greco A., Meomartino L., Raiano V., Fatone G., Brunetti A. Effect of left vs. Right recumbency on the vertebral heart score in normal dogs. Vet. Radiol. Ultrasound. 2008;49:454–455. doi: 10.1111/j.1740-8261.2008.00406.x. [DOI] [PubMed] [Google Scholar]
- 23.McConnell F.J. In: BSAVA Manual of Canine and Feline Abdominal Imaging. O’Brien R., Barr F., editors. BSAVA Publications; Cheltenham: 2009. Abdominal radiography; pp. 5–17. [Google Scholar]
- 24.Schwarz T. In: BSAVA Manual of Canine and Feline Abdominal Imaging. O’Brien R., Barr F., editors. BSAVA Publications; Cheltenham: 2009. The liver and gallbladder; pp. 144–156. [Google Scholar]
- 25.Seiler G.S. In: Textbook of Veterinary Diagnostic Radiology. sixth ed. Thrall D.E., editor. Elsevier-Saunders; St. Luis: 2013. The kidneys and ureters; pp. 705–725. [Google Scholar]
- 26.Feeney D.A., Barber D.L., Johnston G.R. The excretory urogram: part II. Interpretation of abnormal findings. Comp. Cont. Ed. Pract. Vet. 1982;4:321–329. [Google Scholar]
- 27.Dennis R., Kirberger R.M., Wrigley R.H., Barr F. second ed. WB Saunders; Philadelphia: 2010. Handbook of Small Animal Radiological Differential Diagnosis; pp. 320–321. [Google Scholar]
- 28.Lamb C.R., Stowater J.L., Pipers F.S. The first twenty-one years of veterinary diagnostic ultrasound: a bibliography. Vet. Radiol. Ultrasound. 1988;29:37–45. [Google Scholar]
- 29.Bonazzi M., Volta A., Gnudi G., Cozzi M.C., Strillacci M.G., Polli M., Longeri M., Manfredi S., Bertoni G. Comparison between ultrasound and genetic testing for the early diagnosis of polycystic kidney disease in Persian and Exotic Shorthair cats. J. Feline Med. Surg. 2009;11:430–434. doi: 10.1016/j.jfms.2008.10.003. [DOI] [PMC free article] [PubMed] [Google Scholar]
- 30.Seiler G.S., Brown J.C., Reetz J.A., Taeymans O., Bucknoff M., Rossi F., Ohlerth S., Alder D., Rademacher N., Drost W.T., Pollard R.E., Travetti O., Pey P., Saunders J.H., Shanaman M.M., Oliveira C.R., O’Brien R.T., Gaschen L. Safety of contrast-enhanced ultrasonography in dogs and cats: 488 cases (2002-2011) J. Am. Vet. Med. Assoc. 2013;242:1255–1259. doi: 10.2460/javma.242.9.1255. [DOI] [PubMed] [Google Scholar]
- 31.Gashen L. Update on hepatobiliary imaging. Vet. Clin. North Am. Small Anim. Pract. 2009;39:439–467. doi: 10.1016/j.cvsm.2009.02.005. [DOI] [PubMed] [Google Scholar]
- 32.Durot I., Wilson S.R., Willmann J.K. Contrast-enhanced ultrasound of malignant liver lesions. Abdom. Radiol. (NY) 2018;43:819–847. doi: 10.1007/s00261-017-1360-8. [DOI] [PubMed] [Google Scholar]
- 33.Small T.M., Cahalane A.K., Koster L.S. Gallbladder mucocoele: a review. J. S. Afr. Vet. Assoc. 2015;86:1318. doi: 10.4102/jsava.v86i1.1318. [DOI] [PMC free article] [PubMed] [Google Scholar]
- 34.Bragato N., Borges N.C., Fioravanti M.C.S. B-mode and Doppler ultrasound of chronic kidney disease in dogs and cats. Vet. Res. Commun. 2017;41:307–315. doi: 10.1007/s11259-017-9694-9. [DOI] [PubMed] [Google Scholar]
- 35.Tipisca V., Murino C., Cortese L., Mennonna G., Auletta L., Vulpe V., Meomartino L. Resistive index for kidney evaluation in normal and diseased cats. J. Feline Med. Surg. 2016;18:471–475. doi: 10.1177/1098612X15587573. [DOI] [PMC free article] [PubMed] [Google Scholar]
- 36.Perondi F., Lippi I., Marchetti V., Bruno B., Borrelli A., Citi S. How ultrasound can be useful for staging chronic kidney disease in dogs: ultrasound findings in 855 cases. Vet. Sci. 2020;7:147. doi: 10.3390/vetsci7040147. [DOI] [PMC free article] [PubMed] [Google Scholar]
- 37.Lamb C.R., Gregory S.P. Ultrasonographic findings in 14 dogs with ectopic ureter. Vet. Radiol. Ultrasound. 1998;39:218–223. doi: 10.1111/j.1740-8261.1998.tb00343.x. [DOI] [PubMed] [Google Scholar]
- 38.Cherbinsky O., Westtropp J., Tinga S., Jones B., Pollard R. Ultrasonographic features of grass awns in the urinary bladder. Vet. Radiol. Ultrasound. 2010;51:462–465. doi: 10.1111/j.1740-8261.2010.01688.x. [DOI] [PubMed] [Google Scholar]
- 39.DeGroot W., Giuffrida M.A., Rubin J., Runge J.J., Zide A., Mayhew P.D., Culp W.T., Mankin K.T., Amsellem P.M., Petrukovic B., Ringwood P.B., Case J.B., Singh A. Primary splenic torsion in dogs: 102 cases (1992-2014) J. Am. Vet. Med. Assoc. 2016;248:661–668. doi: 10.2460/javma.248.6.661. [DOI] [PubMed] [Google Scholar]
- 40.Pagani E., Tursi M., Lorenzi C., Tarducci A., Bruno B., Corrado E., Mondino B., Zanatta R. Ultrasonographic features of adrenal gland lesions in dogs can aid in diagnosis. BMC Vet. Res. 2016;12:267. doi: 10.1186/s12917-016-0895-1. [DOI] [PMC free article] [PubMed] [Google Scholar]
- 41.Nyman H.T., Kristensen A.T., Skovgaard Ib.M., McEvoy F. Characterization of normal and abnormal canine superficial lymph nodes using gray-scale B-mode, color flow mapping, power, and spectral doppler ultrasonography: a multivariate study. Vet. Radiol. Ultrasound. 2005;46:404–410. doi: 10.1111/j.1740-8261.2005.00074.x. [DOI] [PubMed] [Google Scholar]
- 42.De Swarte M., Alexander K., Rannou B., D’Anjou M.A., Blond L., Beaucamp G. Comparison of sonographic features of benign and neoplastic deep lymph nodes in dogs. Vet. Radiol. Ultrasound. 2011;52:451–456. doi: 10.1111/j.1740-8261.2011.01808.x. [DOI] [PubMed] [Google Scholar]
- 43.Penninck D.G., Nyland T.G., Fisher P.E., Kerr L.Y. Ultrasonographic of the normal canine gastrointestinal tract. Vet. Radiol. Ultrasound. 1989;30:272–276. [Google Scholar]
- 44.Gladwin N.E., Penninck D.G., Webster C.R. Ultrasonographic evaluation of the thickness of the wall layers in the intestinal tract of dogs. Am. J. Vet. Res. 2014;75:349–353. doi: 10.2460/ajvr.75.4.349. [DOI] [PubMed] [Google Scholar]
- 45.Penninck D.G., Smyers B., Webster C.R., Rand W., Moore A.S. Diagnostic value of ultrasonography in differentiating enteritis from intestinal neoplasia in dogs. Vet. Radiol. Ultrasound. 2003;44:570–575. doi: 10.1111/j.1740-8261.2003.tb00509.x. [DOI] [PubMed] [Google Scholar]
- 46.Linsalata G., Okoye C., Antognoli R., Guarino D., Ravenna V., Orsitto E., Calsolaro V., Monzani F. Pneumonia lung ultrasound score (PLUS): a new tool for detecting pneumonia in the oldest patients. J. Am. Hist. Soc. Ger. Russ. 2020;68:2855–2862. doi: 10.1111/jgs.16783. [DOI] [PubMed] [Google Scholar]
- 47.Citi S., Daddi V., Mannucci T. Thoracic ultrasound: a method for the work-up in dogs and cats with acute dyspnea. J. Anim. Scie. Res. 2017;1:1–6. [Google Scholar]
- 48.Johns I. Use of thoracic ultrasound to investigate respiratory disease. Uk-vet Equine. 2020;4:106–111. [Google Scholar]
- 49.Slovis N.M., McCracken J.L., Mundy G. How tu use thoracic ultrasound to screen foals for Rhodococcus equi at affected farms. AAEP Proceedings. 2005;51:274–278. [Google Scholar]
- 50.Armstrong W.F., Ryan T. seventh ed. Lippincot William & Wilkins; Philadelphia: 2009. Feigenbaum’s Echocardiography. [Google Scholar]
- 51.Rashmi R., Mickelsen M., Theodoropoulos C., Blaxall B.C. New approaches in small animal echocardiography: imaging the sound of silence. Am. J. Physiol. Heart Circ. Physiol. 2011;301:H1765–H1780. doi: 10.1152/ajpheart.00559.2011. [DOI] [PMC free article] [PubMed] [Google Scholar]
- 52.Buchanan J.W. Chronic valvular disease (endocardiosis) in dogs. Adv. Vet. Sci. 1977;21:57–106. [PubMed] [Google Scholar]
- 53.Cook C.R. Ultrasound imaging of the musculoskeletal system. Vet. Clin. North Am. Small Anim. Pract. 2016;46:355–371. doi: 10.1016/j.cvsm.2015.12.001. [DOI] [PubMed] [Google Scholar]
- 54.Reef V.B. W.B. Saunders; Philadelphia: 1998. Equine Diagnostic Ultrasound. [Google Scholar]




















