Abstract
Introduction
We report a case of a patient who underwent laparoscopic surgery for intestinal obstruction caused by the mesodiverticular band of Meckel's diverticulum, with pathological specimens showing ectopic pancreas.
Presentation of case
A 56-year-old woman presented to our hospital with complaints of abdominal pain and vomiting. Upon close examination, we suspected strangulated intestinal obstruction, and performed an emergency surgery. An internal hernia with a band leading to a Meckel's diverticulum was noted. Focusing on the attachment of the band, leading to the Meckel's diverticulum, we suspected a mesodiverticular band and deemed it necessary to be resected. Surgery was completed with resection of the band to relieve the intestinal obstruction, with simultaneous resection of the Meckel's diverticulum. It was necessary to resect Meckel's diverticulum simultaneously for histopathological examination. Histopathological examination revealed a mesodiverticular band in the resected band and ectopic pancreas in the Meckel's diverticulum.
Discussion
We chose to perform a complete laparoscopic resection because of the presence of simple intestinal obstruction caused by mesodiverticular bands or diverticula. We believe that small laparotomy can be opted in less severe cases, regardless of laparoscopic completion.
Conclusion
We suspected adherent bowel obstruction and detected a band. We focused on band attachment and determined that the band should be resected if it was attached to Meckel's diverticulum. The resection method should be carefully selected, and the specimen should be histopathalogically examined.
Keywords: Meckel's diverticulum, Mesodiverticular band, Ectopic pancreas, Intestinal obstruction, Laparoscopic surgery
Highlights
-
•
We report a case of intestinal obstruction due to a mesodiverticular band.
-
•
The resection method for Meckel's diverticulum should be carefully selected.
-
•
Histopathological examination of the specimen should be performed.
-
•
Small laparotomy can be opted for less severe cases.
1. Introduction
Meckel's diverticulum is a congenital malformation caused by malabsorption of the yolk intestine. Moreover, it has been reported that the left and right yolk arteries, which are nutrient vessels, can become mesodiverticular bands and cause intestinal obstruction in symptomatic Meckel's diverticulum [1], [2], [3]. In this report, we describe a case of intestinal obstruction caused by a mesodiverticular band of Meckel's diverticulum, with pathological specimens showing ectopic pancreas. The diverticulum was operated on laparoscopically. This work has been written in accordance with the SCARE criteria [4].
2. Presentation of case
Case: A 56-year-old woman
Complaint: Abdominal pain and vomiting
Medical history: Cervical disc herniation
History: The patient was brought to the emergency room because of a sudden onset of abdominal pain with no improvement and vomiting.
Physical examination: Flat and soft abdomen with strong tenderness localized in the right lower abdomen.
Blood tests: BUN 14.6 mg/dL, Cre 0.73 mg/dL, CRP 0.02 mg/dL, WBC 6000/μL, Hb 14.9 g/dL, Plt 220,000/μL.
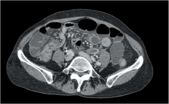
Abdominal computed tomography (CT): The small intestine was generally dilated, and there was a closed loop-like appearance near the end of the ileum and surrounding fatty tissue opacity. A strangulated bowel obstruction was suspected (Fig. 1).
Fig. 1.
Closed-loop-like findings are pointed out.
Surgical findings: The patient was operated on under general anesthesia in the supine position with both hands open. A 12-mm port was placed in the umbilicus, 5-mm ports were placed in the left lateral abdomen and mid-lower abdomen, and a 5-mm flexible speculum was inserted through the left lower abdominal port to observe the intra-abdominal cavity. Generally, the small intestine was markedly dilated throughout, and intraperitoneal observation suggested that the cause for this was a band-associated internal hernia of the small intestine. The band was continuous with Meckel's diverticulum at the mouth 60 cm from the end of the ileum and was necrotic due to torsion. The small intestine was released, the band was separated with an ultrasonic coagulation incision device, and the root of Meckel's diverticulum was resected with a 45-mm linear stapler. The operation was conducted laparoscopically and took 1 h 31 min for completion; a blood loss of 5 mL was noted (Fig. 2).
Fig. 2.
The Meckel's diverticulum appears tortuous and necrotic. A mesodiverticular band is noted.
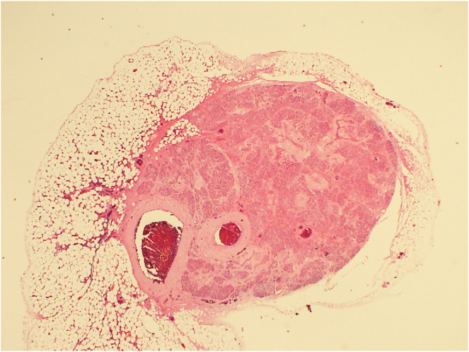
Histopathological findings: Arteriovenous and nerve structures were observed in the band, and a mesodiverticular band was found. Pancreatic tissue was found at the tip of the Meckel's diverticulum, and the patient was diagnosed with ectopic pancreas (Fig. 3).
Fig. 3.
The arteriovenous pulse is visible and consistent with a mesodiverticular band.
Postoperative course: The gastric tube was removed on the first postoperative day, and oral intake was initiated. The patient was discharged from the hospital on the fifth postoperative day with good progress.
3. Discussion
Meckel's diverticulum is a congenital malformation noted with an incidence of 0.6% to 4.0% [5]. Meckel's diverticulum may be asymptomatic throughout life, but 15% to 25% of patients develop complications and undergo surgery for an acute abdomen [6]. The most common complications are intestinal obstruction (35.1%), ulcer bleeding (14.6%), intestinal overload (14.5%), diverticulitis (12.5%), and perforation (7.5%) [7]. Meckel's diverticulum is caused by malabsorption of the yolk intestine; however, if the right and left yolk arteries, which are the nutritive vessels, are retained, they form a mesodiverticular band, which reportedly causes intestinal obstruction in symptomatic Meckel's diverticulum [1], [2], [3]. In this case, we suspected strangulated bowel obstruction and decided to perform emergency surgery. A CT of the abdomen showed marked dilatation of the intestine. However, port insertion was deemed safe, and minimally invasive laparoscopic surgery was chosen. Intra-abdominal observation revealed an internal hernia caused by the band, which was continuous with Meckel's diverticulum. The band was dissected, and the internal hernia was released. Although the Meckel's diverticulum in this patient was necrotic, the color of the root was good, and the operation was completed laparoscopically using a linear stapler. Pathological examination revealed that this band-like object was a mesodiverticular band and indicated ectopic pancreas in Meckel's diverticulum. The fragment was resected without any complications. Based on this experience, we consider the following: if a band is noted during surgery for suspected adhesive bowel obstruction, and the same site is the cause of bowel obstruction, attention should be paid to band attachment. If a Meckel's diverticulum is noted at the same site, a mesodiverticular band should be suspected. The mesodiverticular band is a remnant of the right and left yolk arteries and should be dissected using an energy device. Moreover, ectopic pancreatic tissue may be detected in Meckel's diverticulum, and cancerous lesions have been previously reported in the same area [8]. Therefore, it is extremely important to simultaneously resect Meckel's diverticulum for histopathological examination. If ectopic tissue is detected at the resection margin, the possibility of malignant transformation cannot be excluded, and strict outpatient follow-up or additional resection is necessary. Sanders recommended the following surgical strategies for Meckel's diverticulum: (1) resection at the base of the diverticulum to avoid intestinal obstruction in cases of simple intestinal obstruction caused by mesodiverticular bands or diverticula, (2) wedge resection, including the ileum adjacent to the diverticulum in cases of diverticular perforation or diverticulitis, to adequately resect the abnormal tissue, and (3) ileal resection due to the possible presence of ulcers due to acid secretion from ectopic gastric mucosa in the ileum adjacent to the diverticulum in cases of bleeding from the diverticula [9]. In the present case, we chose to perform complete laparoscopic resection because of the presence of simple intestinal obstruction caused by mesodiverticular bands or diverticula. However, in cases such as (2) and (3), we believe that we should not hesitate to opt for a small laparotomy, regardless of laparoscopic completion.
4. Conclusion
In this study, we report a case of intestinal obstruction due to a mesodiverticular band in the Meckel's diverticulum with ectopic pancreas. When we suspected adherent bowel obstruction and detected a band, we focused on band attachment and determined that the mesodiverticular band should be removed if it was attached to Meckel's diverticulum. Moreover, the resection method should be carefully selected, and histopathological examination of the specimen should be performed.
Sources of funding
Authors did not receive funding for this research.
Ethical approval
Ethical approval obtained.
Consent
Written informed consent was obtained from the patient for publication of this case report and accompanying images. A copy of the written consent is available for review by the Editor-in-Chief of this journal on request.
Registration of research studies
Not applicable.
Guarantor
Kohei Takura.
Provenance and peer review
Not commissioned, externally peer-reviewed.
CRediT authorship contribution statement
All authors namely, Dr. Satoru Takayama, Dr. Hisanori Kani, Dr.
Masaki Sakamoto, Dr. Ken Ishikawa, Dr. Takeyasu Katada and Dr. Kohei Takura were involved in the management of this patient. This manuscript has been drafted by all authors.
Declaration of competing interest
The authors report no declarations of interest.
References
- 1.Senga Shoshi. A case of strangulation ileus caused by the band between Meckel's diverticulum and the mesentery of small intestine. J. Clin. Surg. 1997;52:685–688. [Google Scholar]
- 2.Abe Hajime. A case of ileus due to mesodiverticular vascular band of Meckel’s diverticulum. 1999;81:511–513. [Google Scholar]
- 3.Kurisu Yasuro. A strangulated ileus secondary to a mesodiverticular vascular band associated with Meckel’s diverticulum in a. J. Clin. Surg. 2004;59:1489–1492. [Google Scholar]
- 4.Agha R.A., Franchi T., Sohrabi C., Mathew G., for the SCARE Group The SCARE 2020 guideline: updating consensus surgical CAse REport (SCARE) guidelines. International Journal of Surgery. 2020;84:226–230. doi: 10.1016/j.ijsu.2020.10.034. [DOI] [PubMed] [Google Scholar]
- 5.Sagar J., Kumar V., Shah D.K. Meckel’s diverticulum:a systematic review. J. R. Soc. Med. 2006;99:501–505. doi: 10.1258/jrsm.99.10.501. [DOI] [PMC free article] [PubMed] [Google Scholar]
- 6.Shinohara M., Mori M., Mimuro A., Sakamoto N., Yagyu M., Tomioka H. A Case of perorated meckel’s diverticulum in the elderly: A review of 119 Cases. Vol. 29. Japanese College of Surgeons; 2004. pp. 1002–1006. [Google Scholar]
- 7.Kaneda Makoto. Surgical Diagnosis & Treatment. Vol. 31. 1999. A case of strangulated ileus caused by mesodiverticular vascular band of Meckel’s diverticulum; pp. 300–304. [Google Scholar]
- 8.Sakurai Shizuka. Adenocarcinoma arising in ectopic pancreas of Meckel’s diverticulum. J. Gastroenterol. Surg. 2019;52:465–474. [Google Scholar]
- 9.Sanders L.E. Laparoscopic treatment of Meckel’s diverticulum. Obstruction and bleeding managed with minimal morbidity. Surg. Endosc. 1996;6:231–233. doi: 10.1007/BF00187950. [DOI] [PubMed] [Google Scholar]



