El síndrome inflamatorio multisistémico pediátrico es una entidad descrita en 2020 a raíz de la pandemia de COVID-19 y cuya patogenia no está totalmente clara1. Se han descrito también casos en adultos, mucho más infrecuentes; la mayor serie publicada hasta la fecha es de 51 casos2.
Describimos un caso de síndrome inflamatorio multisistémico del adulto (SIM-A) y su histopatología.
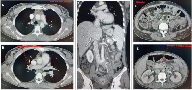
Se trata de una mujer de 31 años, con antecedentes de una meningitis linfocitaria de probable origen viral en 2010 y una pielonefritis en 2018. Fue diagnosticada en enero de 2021 de COVID-19 leve (test antigénico positivo), evolucionó favorablemente y fue dada de alta 2 semanas más tarde. Cuatro semanas después comenzó con fiebre, cefalea, vómitos, diarrea leve y un dolor muy intenso en fosa ilíaca derecha (FID) por el que acudió a urgencias; fue ingresada al 4.° día de inicio de la clínica. En ese momento estaba febril (38,5 °C), con presión arterial de 95/70 mmHg, frecuencia cardiaca de 96 lpm y saturación basal de oxígeno del 98%. Destacaba palidez mucocutánea, dolor a la palpación de FID y leve rigidez de nuca. Analíticamente presentaba trombocitopenia, anemia, linfopenia y elevación de VSG, dímero D, ferritina y proteína C reactiva (Appendix B). El ECG mostraba taquicardia sinusal. Una TC abdominal urgente reveló adenopatías mesentéricas de aspecto inflamatorio. La PCR de SARS-CoV-2 (GeneXpert®, Cepheid) en exudado nasofaríngeo fue positiva con un cycle threshold (CT) > 30. La punción lumbar fue normal. Los hemocultivos, coprocultivo y urocultivo fueron negativos. Las serologías, realizadas con inmunoanálisis de quimioluminiscencia, fueron negativas para VIH (IgM + IgG + agp24), lúes (IgG + IgM), Toxoplasma, parotiditis, rubeola, Coxiella, Rickettsia, Bartonella y Legionella (IgG e IgM), hepatitis C (IgG) y hepatitis B (HBsAg, anti-HBs y anti-HBc negativo), mientras que se detectó una IgG positiva con IgM negativa para CMV, VEB, parvovirus y VVZ y una IgG positiva para SARS-CoV-2. La PCR de Leishmania (Werfen) fue negativa. El estudio de autoinmunidad fue normal.
Evolucionó de forma desfavorable en planta, tanto clínica como analíticamente (Appendix B) por lo que se inició piperacilina-tazobactam y doxiciclina. Al 4.° día de ingreso presentó shock (PA: 70/40 mmHg; FC:136 lpm) y oligoanuria, que no respondía a fluidoterapia por lo que se realizó nueva TC toracoabdominopélvica (Appendix B) que mostró múltiples adenopatías, sobre todo en raíz de mesenterio y FID, leve esplenomegalia, líquido en el receso pericárdico, edema periportal y ascitis leve-moderada. Ingresó en UCI con tratamiento con piperacilina-tazobactam, linezolid, ganciclovir y anfotericina B liposomal, a la espera de resultados microbiológicos. Ante la sospecha de shock séptico de origen abdominal-ginecológico, se realizó una laparotomía exploradora, que resultó sin hallazgos patológicos, salvo adenopatías mesointestinales y en mesocolon, que se resecaron.
La biopsia fue informada como linfadenitis necrosante e hiperplasia linfoide reactiva con histiocitosis sinusoidal extensa, sin que se observaran fenómenos de hemofagocitosis (fig. 1 ). La PCR para SARS-CoV-2 en ganglio (GeneXpert®, Cepheid) fue positiva. Se inició dexametasona (20 mg/día), con mejoría clínica; se retiró la noradrenalina y fue enviada a planta. Allí persistieron los vómitos y citopenias y requirió la transfusión de 2 concentrados de hematíes por anemia. Una biopsia de médula ósea (Appendix B) mostró hipocelularidad moderada, con patrón en mosaico. El ecocardiograma mostró derrame pericárdico leve y función sistólica y coronarias normales. Por último, se diagnosticó de SIM-A, puesto que cumplía los criterios de caso definitivo3. Se añadió inmunoglobulina intravenosa (IGIV) (2 g/kg), con mejoría clínica y analítica. Fue dada de alta con corticoides en descenso, ácido acetilsalicílico (100 mg/día) y enoxaparina profiláctica. Seis semanas después estaba asintomática y el ecocardiograma era normal, por lo que se retiró el ácido acetilsalicílico.
Figura 1.
Ganglios linfáticos con linfoadenitis necrosante: necrosis isquémica con vasculitis necrosante (A), vasos periganglionares con trombo rojo (B), hiperplasia folicular con reacción inmunoblástica (C), plasmocitosis e histiocitosis sinusal (D). Presencia de ocasionales microgranulomas (E) (flecha). Inmunohistoquímica positiva para SARS-CoV-2 (F).
La paciente fue manejada inicialmente como linfohistiocitosis hemofagocítica4. No obstante, cumplía criterios de caso definitivo (nivel 1) de SIM-A, según las definiciones de caso de la Brighton Collaboration de 20213 y la respuesta fue muy buena al tratamiento con IGIV y corticoides. La patogenia del SIM-A es desconocida; podría deberse a una respuesta aberrante de interferón que lleve a un estado hiperinflamatorio, con disfunción endotelial y microangiopatía1. La mayoría de los casos descritos son en adultos jóvenes de minorías étnicas5, 6 a las 2-5 semanas de una infección por SARS-CoV-2, con afectación predominantemente cardiaca y gastrointestinal y mortalidad del 3,9-11,1%2, 5, 6. Se han descrito también casos asociados a la vacunación frente a SARS-CoV-27. El tratamiento se extrapola de las recomendaciones pediátricas8; está recomendado el uso de IGIV y corticoides9, aunque un artículo reciente no ha encontrado beneficio de la asociación en niños10.
Como conclusión, el SIM-A debe ser sospechado en todo adulto con antecedentes de COVID-19 en las últimas 12 semanas que presente un cuadro de fiebre, marcadores inflamatorios, afectación cardiovascular y de órganos extrapulmonares, y se debe instaurar tratamiento precoz con IGIV o corticoides.
Financiación
Confirmamos que la elaboración de este manuscrito no ha sido financiada por ninguna entidad ni institución.
Conflicto de intereses
Los autores declaran no tener ningún conflicto de intereses.
Footnotes
Este caso fue galardonado con el primer premio en el concurso de casos clínicos COVID SEIMC-Gilead en el XXIV Congreso de la Sociedad Española de Enfermedades Infecciosas y Microbiología Clínica, celebrado en modalidad virtual del 5 al 11 de junio de 2021.
Se puede consultar material adicional a este artículo en su versión electrónica disponible en doi:10.1016/j.eimc.2021.10.009.
Anexo. Material adicional
Bibliografía
- 1.Kabeerdoss J., Pilania R.K., Karkhele R., Kumar T.S., Danda D., Singh S. Severe COVID-19, multisystem inflammatory syndrome in children, and Kawasaki disease: Immunological mechanisms, clinical manifestations and management [Internet] Rheumatol Int. 2021;41:19–32. doi: 10.1007/s00296-020-04749-4. [consultado 2021 Abr 17]. Disponible en: https://pubmed.ncbi.nlm.nih.gov/33219837/. [DOI] [PMC free article] [PubMed] [Google Scholar]
- 2.Bastug A., Aslaner H., Aybar Bilir Y., Kemirtlek N., Gursoy F.M., Bastug S., et al. Multiple system inflammatory syndrome associated with SARS-CoV-2 infection in an adult and an adolescent. Rheumatol Int [Internet]. 2021;41(5.) doi: 10.1007/s00296-021-04843-1. [consultado 17 Abr 2021]. Disponible en: https://pubmed.ncbi.nlm.nih.gov/33742229/. [DOI] [PMC free article] [PubMed] [Google Scholar]
- 3.Vogel T.P., Top K.A., Karatzios C., Hilmers D.C., Tapia L.I., Moceri P., et al. Multisystem inflammatory syndrome in children and adults (MIS-C/A): Case definition & guidelines for data collection, analysis, and presentation of immunization safety data. Vaccine. 2021 doi: 10.1016/j.vaccine.2021.01.054. [DOI] [PMC free article] [PubMed] [Google Scholar]
- 4.La Rosée P., Horne A.C., Hines M., Greenwood T.V.B., Machowicz R., Berliner N., et al. Recommendations for the management of hemophagocytic lymphohistiocytosis in adults. Blood [Internet]. 2019;133:2465–2477. doi: 10.1182/blood.2018894618. [consultado 17 Abr 2021]. Disponible en: http://ashpublications.org/blood/article-pdf/133/23/2465/1553600/blood894618.pdf. [DOI] [PubMed] [Google Scholar]
- 5.Morris S.B., Schwartz N.G., Patel P., Abbo L., Beauchamps L., Balan S., et al. Case series of multisystem inflammatory syndrome in adults associated with SARS-CoV-2 infection — United Kingdom and United States March–August 2020. MMWR Morb Mortal Wkly Rep [Internet]. 2020;69:1450–1456. doi: 10.15585/mmwr.mm6940e1. [consultado 17 Abr 2021]. Disponible en: https://pubmed.ncbi.nlm.nih.gov/33031361/. [DOI] [PMC free article] [PubMed] [Google Scholar]
- 6.Davogustto G.E., Clark D.E., Hardison E., Yanis A.H., Lowery B.D., Halasa N.B., et al. Characteristics associated with multisystem inflammatory syndrome among adults with SARS-CoV-2 Infection [Internet] JAMA Network Open. 2021;4 doi: 10.1001/jamanetworkopen.2021.10323. [consultado 10 Jul 2021]. Disponible en:https://pubmed.ncbi.nlm.nih.gov/34009351/ [DOI] [PMC free article] [PubMed] [Google Scholar]
- 7.Salzman M.B., Huang C.-W., O’Brien C.M., Castillo R.D. Multisystem inflammatory syndrome after SARS-CoV-2 infection and COVID-19 vaccination. Emerg Infect Dis [Internet]. 2021;27:1944–1948. doi: 10.3201/eid2707.210594. [consultado 10 Jul 2021]. Disponible en: https://pubmed.ncbi.nlm.nih.gov/34034858/. [DOI] [PMC free article] [PubMed] [Google Scholar]
- 8.García Salido A., Antón J., Marínez-Pajares J.D., Giralt García G., Gómez-Cortés B., Tagarro A., Grupo de trabajo de la Asociación Española de Pediatría para el síndrome inflamatorio multisistémico pediátrico vinculado a SARS-CoV-2 Consenso nacional sobre diagnóstico, estabilización y tratamiento del síndrome inflamatorio multisistémico pediátrico vinculado a SARS-CoV-2. (SIM-PedS) Anales Pediat. 2021;94 doi: 10.1016/j.anpedi.2020.09.005. 116.e1-11- [DOI] [PMC free article] [PubMed] [Google Scholar]
- 9.Son M.B., Murray N., Friedman K., Young C.C., Newhams M.M., Feldstein L.R., et al. Multisystem inflammatory syndrome in children: Initial therapy and outcomes. N Engl J Med [Internet]. 2021;385:23–34. doi: 10.1056/NEJMoa2102605. [consultado 10 Jul 2021]. Disponible en: https://www.nejm.org/doi/full/10.1056/NEJMoa2102605. [DOI] [PMC free article] [PubMed] [Google Scholar]
- 10.McArdle A.J., Vito O., Patel H., Seaby E.G., Shah P., Wilson C., et al. Treatment of multisystem inflammatory syndrome in children. N Engl J Med [Internet]. 2021;385:11–22. doi: 10.1056/NEJMoa2102968. [consultado 10 Jul 2021]. Disponible en: https://pubmed.ncbi.nlm.nih.gov/34133854/ [DOI] [PMC free article] [PubMed] [Google Scholar]
Associated Data
This section collects any data citations, data availability statements, or supplementary materials included in this article.



