Abstract
Greater occipital nerve blocks and thermal ablations have been widely discussed as an efficacious treatment strategy for multiple difficult to treat conditions, including occipital neuralgia, migraines, and cervicogenic headaches. Nerve blocks have also recently been presented as a method of treating neuropathic itch in the upper extremities, where pruritus occurs without visible dermatologic manifestations. We report a case of refractory occipital scalp pruritus in a patient who had excellent although time-limited response to greater occipital nerve blocks but achieved durable symptom control with CT-guided greater occipital nerve ablation.
Abbreviations: GON, greater occipital nerve
Keywords: Greater occipital nerve block, CT-guided nerve ablation, neuropathic itch
Introduction
Greater occipital nerve blocks have been well described in the literature in the treatment of refractory occipital neuralgia, migraines, and cervicogenic headaches[1], [2], [3]. Likewise, greater occipital nerve ablation may result in more long-term relief in these conditions [4], [5], [6]. CT-guidance is often employed during these procedures for increased targeting accuracy and reduced risk of damage to surrounding structures [4]. Our institution has successfully used CT-guided nerve blocks to treat refractory neuropathic itch, a type of cutaneous sensory disorder without an underlying dermatologic cause[7]. We present a case of refractory neuropathic occipital scalp pruritus initially treated with CT-guided greater occipital nerve blocks, followed by a CT-guided greater occipital nerve ablation.
Case report
A 70-year-old woman with a history of IBS, depression, and plaque psoriasis presented to dermatology clinic with intractable occipital scalp pruritus for over 12 months. Written permission for publication of this case was obtained by the authors. Despite near complete relief of her psoriatic lesions using risankizumab, she continued to have persistent itching over her posterior scalp and mid-upper back. Her pruritus was resistant to a host of medications, including topical and oral corticosteroids, anti-inflammatory agents, methotrexate, gabapentin, amitriptyline, naltrexone, dupilumab, ustekinumab, and tofacitinib.
On physical exam she had normal appearing skin at her scalp and mid back where the patient indicated the pruritus was most intense. Laboratory workup was unremarkable. Due to the lack of response to multiple agents and the fact that her symptoms worsened with the stress of an unwanted relocation from her home, a neuropathic component to her itch was strongly considered. A cervical spine MRI (Fig. 1) showed multilevel degenerative changes causing mild canal and foraminal stenosis, although these findings are not concordant with the pruritus distribution at her posterior scalp.
Fig. 1.
MRI of the cervical spine without contrast. (A) Sagittal midline T2-weighted image and (B) axial T2-weighted image at the level of C4-C5 (line on A). Images demonstrate multilevel degenerative changes with mild stenosis worst at C4-C5 but no findings to explain pruritus in the occipital scalp
Subsequently, she was referred for a computed tomography (CT) guided bilateral greater occipital nerve (GON) block as her symptoms involves the occipital nerve distribution. After written informed consent was obtained, the patient was placed prone on the CT scanner, prepped and draped using usual sterile technique. The pre-procedure CT demonstrated no fluid collection or destructive osseous lesions. Local anesthesia was achieved with approximately 3 mL 1% lidocaine. Next, bilateral 3.8 cm 23 gauge needles were carefully advanced under intermittent CT guidance into the fat plane between the semispinalis capitis and obliqus capitis. Placement was confirmed with injection of dilute omnipaque-240 (Fig. 2). At this time a mixture of 1 mL 10 mg/mL dexamethasone, 1 mL 1% preservative-free lidocaine, and 0.2 mL of Omnipaque 240 was injected. A total of 1.1 mL was injected on each side. Intermittent CT images demonstrated satisfactory spread of injection.
Fig. 2.
Procedural images from CT guided nerve block. (A) Planning axial images at the level of the posterior elements of C2. The target injection sites (white arrows) are the fat planes between the inferior obliqus and semispinalis. (B) Images showing needle placement at the target site followed by (C) images after injection of a small amount of dilute contrast showing infiltration along the fat plane. (D) Post-procedure images showing spread of injectate and contrast along the fat plane
The patient tolerated the procedure well, reporting numbness and reduced pruritus over the posterior scalp. Her improvement in symptoms lasted for two weeks, but then her itching returned to baseline. The procedure, using the same technique described above, was repeated eight months later (delayed due to the COVID-19 pandemic) with similar results.
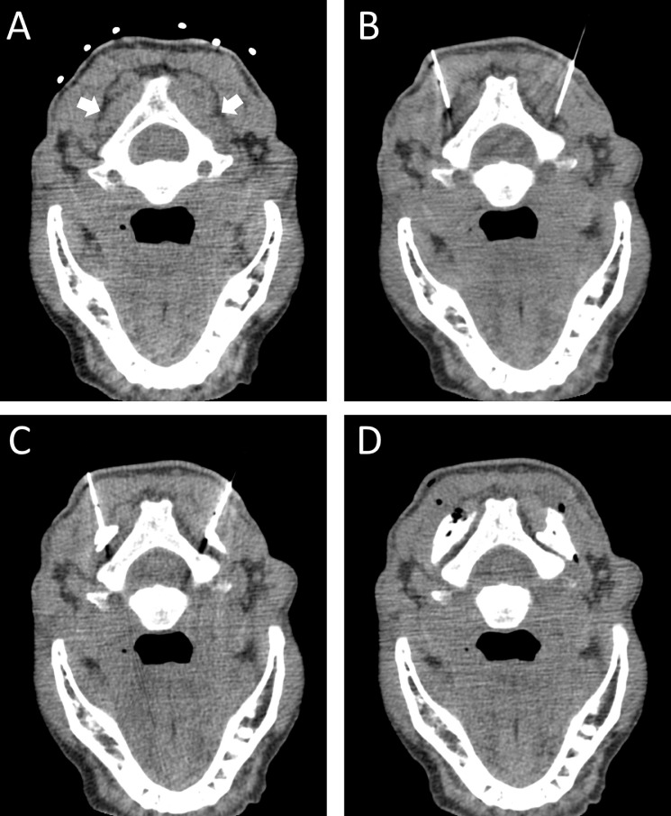
Two months after her second GON block, she returned to clinic with the desire for more permanent relief. To provide a more durable outcome, a CT-guided bilateral GON ablation was planned in collaboration with a functional neurosurgeon. After written informed consent was again obtained, the patient was similarly placed in the prone position on the CT scanner, prepped and draped using sterile technique, and anesthetized with local injection 2 ml 1% lidocaine. The left side was targeted first. A 13-gauge 6 cm introducer needle was placed into the fat plane between the semispinalis capitis and obliquus capitis muscles. Once positioning was confirmed with CT imaging, the Cosman neurostimulator device was placed into the fat plane in the expected location of the left GON. Positioning was again confirmed with CT imaging ([]Fig. 3). Sensory testing was performed at 75 Hz until a response (reported as pressure by the patient) was noted at approximately 0.5 V. Subsequently, the GON was ablated at 80 degrees Celsius for 90 seconds.
Fig. 3.
Procedure images from CT guided nerve ablation. (A) Planning axial images at the level of the posterior elements of C2. Procedure images showing consecutive placement of the ablation probe on the patient's left (B) and right (C) side
After the ablation, the patient reported a feeling of numbness within the distribution of the left greater occipital nerve overlying the left posterior scalp. The Cosman neurostimulator device was then removed, and 0.5 mL of dexamethasone and 0.5 mL of 1% preservative-free lidocaine was injected through the introducer needle. The introducer needle was then removed without complication.
Immediately after this procedure, during the same visit, the approach was repeated and successful on the right side. She tolerated both procedures well, again reporting numbness and reduction in pruritus over the posterior scalp. At her subsequent clinic visits she reported 90% relief, during which she ceased using all dermatologic medications. Ten months later, at a follow up clinic visit, she reported recurrence of her symptoms to half the severity of her baseline. At this time, repeat ablation is being considered to provide additional relief.
Discussion
Historically, greater occipital nerve (GON) blocks and radiofrequency ablations have been efficacious in the treatment of refractory migraines, cervicogenic headaches, and occipital neuralgia[[1], [2], [3],6]. The underlying strategy is to block cutaneous innervation to the posterior scalp which is largely supplied by the GON. The GON is primarily composed of the C2 dorsal root with minor contributions from C1, C3, and C4[8].
GON nerve blocks have been successful in migraine prophylaxis by reducing both pain intensity and frequency of attacks[1,2]. During this procedure, palpable anatomic landmarks are most often used to locate the suspected nerve location. The use of ultrasound imaging may provide additional helpful guidance, except in obese patients or patients with an excessively thick neck[9]. Anesthetics, corticosteroids, or both, are injected to reduce the sensation of pain afferent fibers to the trigeminal ganglia. Similarly, some studies have demonstrated GON blocks to be efficacious in cervicogenic headaches, which are caused by lesions in the cervical spine or soft tissue of the neck[3].
In an effort to allow for precise needle pathway planning and placement, CT guidance can be helpful in GON nerve blocks and has shown to be 86% efficacious, faster, and safter than previous methods[6]. CT allows for precise injection placement, by targeting either the emergence of the GON or the first bend of the nerve between obliquus capitis and semispinalis muscles. This procedure limits the likelihood of major complications such as accidental puncture of the dura or vertebral artery[4].
Radiofrequency ablation has recently been proven as an alternative treatment strategy for occipital neuralgia, a disorder characterized by paroxysmal stabbing and shooting pains in the GON distribution, in addition to cervicogenic headaches[10]. Pulsed radiofrequency ablation, a temporary, non-destructive strategy, has shown promising effects in several studies[5]. In this technique, short pulses of high amplitude current are deployed with sufficient time in between for heat to dissipate. This allows for decreased local thermal injury and post procedural inflammation, but shorter lasting effects[11]. Continuous thermal radiofrequency ablation has also been proposed with the goal of longer lasting relief and has demonstrated statistically significant reduction in pain scores, with a wide variability in duration of symptom relief[10]. The most frequent side effects of ablative procedures are numbness and dysesthesias.
The neuropathic component of our patient's presentation and lack of active plaque psoriasis led us to initially pursue a GON block. Neuropathic scalp itching has no underlying dermatologic cause, and is often associated with diabetes and herpes zoster, neither of which were present in our patient[12,13]. The scalp, in addition to the face and perinium, are common locations for cutaneous sensory disorders due to higher density of dermal innervation[14].
Our institution has had success using CT-guided cervical nerve blocks to treat brachioradial pruritus, a neuropathic disorder of the dorsolateral upper extremities thought to be caused by cervical radiculopathy or exposure to ultraviolet radiation [7,15]. Thus, we opted for a similar approach to nerve block with corticosteroids and local anesthetic in our patient. Although she experienced relief, it was short lived, leading us to attempt a continuous thermal ablation, which showed promising results as evidenced by her 10 month symptom free period. Radiofrequency ablation has shown the ability to provide longstanding relief in the treatment of cervicalgia and spinal pain and has promise to treat neuropathic itch[16]. There has been limited use of GON radiofrequency ablation, with one published example of treating postherpetic itch after a failed nerve block[17]. To our knowledge this is the first reported case of a successful CT-guided GON ablation for refractory occipital scalp pruritus. Success in this case suggests the need for future studies regarding radiofrequency ablation in the treatment of refractory pruritus.
Footnotes
Competing Interests: The authors declare that they have no competing or conflicts of interest.
References
- 1.Inan L.E., Inan N., Unal-Artık H.A., Atac C., Babaoglu G. Greater occipital nerve block in migraine prophylaxis: Narrative review. Cephalalgia. 2019;39:908–920. doi: 10.1177/0333102418821669. [DOI] [PubMed] [Google Scholar]
- 2.Shauly O., Gould D.J., Sahai-Srivastava S., Patel K.M. Greater occipital nerve block for the treatment of chronic migraine headaches: A systematic review and meta-analysis. Plast Reconstr Surg. 2019;144 doi: 10.1097/prs.0000000000006059. 943-942. [DOI] [PubMed] [Google Scholar]
- 3.Caponnetto V., Ornello R., Frattale I., Di Felice C., Pistoria F., Lancia L., et al. Efficacy and safety of greater occipital nerve block for the treatment of cervicogenic headache: A systematic review. Expert Rev Neurother. 2021;21:591–597. doi: 10.1080/14737175.2021.1903320. [DOI] [PubMed] [Google Scholar]
- 4.Aubry S., Kastler B., Bier V., Hadjidekov V., Hussein H.H., Fergane B. Evaluation of the effectiveness of CT-guided infiltration in the treatment of Arnold’s neuralgia. Neuroradiology. 2009;51:163–168. doi: 10.1007/s00234-008-0480-9. [DOI] [PubMed] [Google Scholar]
- 5.Manolitsis N., Elahi F. Pulsed radiofrequency for occipital neuralgia. Pain Physician. 2014;17:E709–E717. [PubMed] [Google Scholar]
- 6.Kastler A., Onaya Y., Comte A., Attyé A., Lajoie J.L., Kastler B. A simplified CT-guided approach for greater occipital nerve infiltration in the management of occipital neuralgia. Eur Radiol. 2015;25:2512–2518. doi: 10.1007/s00330-015-3622-6. [DOI] [PubMed] [Google Scholar]
- 7.Weinberg B.D., Amans M., Deviren S., Berger T., Shah V. Brachioradial pruritus treated with computed tomography-guided cervical nerve root block: A case series. JAAD Case Rep. 2018;4:640–644. doi: 10.1016/j.jdcr.2018.03.025. [DOI] [PMC free article] [PubMed] [Google Scholar]
- 8.Ward J.B. Greater occipital nerve block. Semin Neurol. 2003;23:59–62. doi: 10.1055/s-2003-40752. [DOI] [PubMed] [Google Scholar]
- 9.Zipfel J., Kastler A., Tatu L., Behr J., Kechidi R., Kastler B. Ultrasound-guided intermediate site greater occipital nerve infiltration: A technical feasibility study. Pain Physician. 2016;19:E1027–E1034. [PubMed] [Google Scholar]
- 10.Hoffman L.M., Abd-Elsayed A., Burroughs T.J., Sachdeva H. Treatment of occipital neuralgia by thermal radiofrequency ablation. Ochsner J. 2018;18 doi: 10.31486/toj.17.0104. 209-942. [DOI] [PMC free article] [PubMed] [Google Scholar]
- 11.Chazen J.L., Ebani E.J., Virk M., Talbott J.F., Shah V. CT-Guided Block and Radiofrequency Ablation of the C2 Dorsal Root Ganglion for Cervicogenic Headache. AJNR Am J Neuroradiol. 2019;40:1433–1436. doi: 10.3174/ajnr.A6127. [DOI] [PMC free article] [PubMed] [Google Scholar]
- 12.Vázquez-Herrera N.E., Sharma D., Aleid N.M., Tosti A. Scalp itch: A systematic review. Skin Appendage Disord. 2018;4:187–189. doi: 10.1159/000484354. [DOI] [PMC free article] [PubMed] [Google Scholar]
- 13.Rattanakaemakorn P., Suchonwanit P. Scalp pruritus: review of the pathogenesis, diagnosis, and management. Biomed Res Int. 2019;2019 doi: 10.1155/2019/1268430. [DOI] [PMC free article] [PubMed] [Google Scholar]
- 14.Gupta M.A., Gupta A.K. Cutaneous sensory disorder. Semin Cutan Med Surg. 2013;32:110–118. doi: 10.12788/j.sder.0010. [DOI] [PubMed] [Google Scholar]
- 15.Veien N.K., Hattel T., Laurberg G., Spaun E. Brachioradial pruritus. J Am Acad Dermatol. 2001;44:704–705. doi: 10.1067/mjd.2001.112912. [DOI] [PubMed] [Google Scholar]
- 16.Khan M., Meleka S. CT guided cervical medial branch block and radiofrequency ablation. J Clin Neurosci. 2020;78:393–396. doi: 10.1016/j.jocn.2020.05.009. [DOI] [PubMed] [Google Scholar]
- 17.Ding D.-F., Li R.-C., Xiong Q.-J., Zhou L., Xiang H.-B. Pulsed radiofrequency to the great occipital nerve for the treatment of intractable postherpetic itch: a case report. Int J Clin Exp Med. 2014;7 3497-3400. [PMC free article] [PubMed] [Google Scholar]



