It is widely agreed that virtually all cosmetic volumizer agents can sometimes induce nodule formation.1,2 Here, we reported a case of cosmetic materials-induced foreign body granuloma presenting as a subcutaneous nodule at the left lower lip of a 61-year-old female patient.
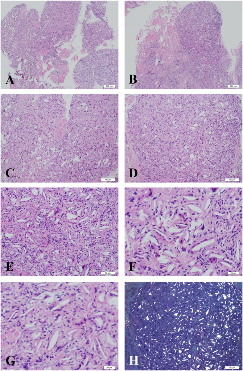
This 61-year-old male patient came to our dental clinic for evaluation and treatment of a subcutaneous nodule at the left lower lip for more than 2 months. The nodule was tender, elastic, and palpable at the subcutaneous area of the left lower lip. It measured approximately 0.8 cm in greatest dimension. The clinical diagnosis was either a mucocele or a lipoma. After discussing with the patient and obtaining the signed informed consent, the nodule was totally excised under local anesthesia. The removed soft tissue specimen was sent for histopathological examination. Microscopically, it showed several micronodules of granulomatous fibrous connective tissues containing epithelioid macrophages, multinucleated foreign body giant cells, lymphocytes, and evenly distributed foreign body materials presenting as thin band-like or spindle-shaped spaces dispersed among the muscle bundles and adjacent to the minor labial glands (Fig. 1A-D). On medium- and high-power views, the thin band-like or spindle-shaped foreign body materials were mainly surrounded by multinucleated foreign body giant cells, and the macrophages and lymphocytes were discovered at the peripheral areas of the multinucleated foreign body giant cells in the granulomatous fibrous connective tissues (Fig. 1E-G). By polarized light microscopy, the evenly distributed foreign body materials were demonstrated as many thin band-like or spindle-shaped birefringent spaces (Fig. 1H). After checking the atlas of foreign materials provided by the American Academy of Oral and Maxillofacially Pathology, these evenly distributed foreign body materials dispersed in the granulomatous fibrous connective tissues were identified as sculptra (Ashford Aesthetics, Brussels, Belgium).3 Therefore, the above-mentioned characteristic findings finally confirmed the histopathological diagnosis of a late-onset cosmetic materials (sculptra)-induced foreign body granuloma.1,2
Figure 1.
Histopathological microphotographs of our case of cosmetic materials-induced foreign body granuloma. (A, B, C and D) Low- and medium-power microphotographs showing several micronodules of granulomatous fibrous connective tissues containing epithelioid macrophages, multinucleated foreign body giant cells, lymphocytes, and evenly distributed foreign body materials presenting as thin band-like or spindle-shaped spaces dispersed among the muscle bundles and adjacent to the minor labial glands. (E, F, and G) High-power microphotographs demonstrating the thin band-like or spindle-shaped foreign body materials that were mainly surrounded by multinucleated foreign body giant cells, and the macrophages and lymphocytes were discovered at the peripheral areas of the multinucleated foreign body giant cells in the granulomatous fibrous connective tissues. (H) By polarized light microscopy, the evenly distributed foreign body materials were shown as many thin band-like or spindle-shaped birefringent spaces (Hematoxylin and eosin stain; original magnification; A and B, 4×; C, D and H, 10×; E, 20×; and F and G, 40×).
Sculptra is an injectable poly-l-lactic acid that is used for soft tissue augmentation, most commonly to reduce wrinkles, fissures, and deep tissue folds.1,2 It can stimulate collagen and other connective tissue synthesis to achieve its function as a volumizer. The complication of nodule formation after injection of poly-l-lactic acid does occur and can be classified into an early-onset nodule (onset 1–3 months after injection) that responds poorly to corticosteroids, and a late-onset nodule (appearing 6–36 months after injection) that responds well to intralesional corticosteroid injection. The occurrence rate of late-onset sculptra nodule is related to the concentration of the used sculptra. If a 3:1 dilution of sculptra is used for injection, the occurrence rate of the late-onset sculptra nodule is 1%. In contrast, if a 5:1 dilution of sculptra is used for injection, the occurrence rate of the late-onset sculptra nodule is 0.13%, suggesting that the lower concentration of the injectable poly-l-lactic acid significantly reduce the occurrence rate of the late-onset sculptra nodule.1,2 Although immunohistochemical stains are frequently used for identification of specific cell type or tumor cell origin,4,5 they are not able to detect the poly-l-lactic acid in a foreign body granuloma. The intralesional injection of triamcinolone at 40 mg/cm3 is the treatment of choice for the late-onset sculptra nodules.1,2 Moreover, surgical excision of the nodule is an alternative treatment modality for the late-onset sculptra nodule.1,2
Declaration of Competing Interest
The authors have no conflicts of interest relevant to this article.
References
- 1.Hamilton D.G., Gauthier N., Robertson B.F. Late-onset, recurrent facial nodules associated with injection of poly-L-lactic acid. Dermatol Surg. 2008;34:123–126. doi: 10.1111/j.1524-4725.2007.34027.x. [DOI] [PubMed] [Google Scholar]
- 2.Lowe N.J., Maxwell C.A., Patnaik R. Adverse reactions to dermal fillers: Review. Dermatol Surg. 2005;31:1616–1625. [PubMed] [Google Scholar]
- 3.The American Academy of Oral and Maxillofacial Pathology Atlas of foreign materials. https://aaomp.org/atlas/cosmetic-materials/ Available at:
- 4.Chen C.Y., Wang W.C., Tseng C.H., Su C.W., Chen Y.K. Clinicopathological study of 13 cases of intraoral soft tissue metastatic carcinomas. J Dent Sci. 2020;15:92–95. doi: 10.1016/j.jds.2019.09.002. [DOI] [PMC free article] [PubMed] [Google Scholar]
- 5.Hwang M.J., Huang B.W., Lee Y.P., Chiang C.P. Langerhans cell histiocytosis in an old man – case report. J Dent Sci. 2021;16:558–560. doi: 10.1016/j.jds.2020.06.006. [DOI] [PMC free article] [PubMed] [Google Scholar]

