Abstract
Background
Emergency hip surgery is common especially in elderly patients. Very often we are faced with elderly and fragile patients with several comorbidities. In these cases a careful pain control is crucial to reduce length of stay, costs, postoperative complications and mortality. Currently the Fascia Iliaca Block (FIB) and the Femoral Nerve Block (FNB) are the main techniques used for this purpose.
Cases presentation
Recently, a new method has been described under ultrasound-guidance, the Pericapsular Nerve Group (PENG) block. In this case series we try to point out the importance of this novel, safe and effective ultrasound-guided locoregional analgesic technique as an alternative to FIB or FNB based on our clinical experience.
Conclusion
In this case series the PENG block has been proved to be safe and effective, but more and larger-sized studies are needed to better assess the method in future before it becomes an established analgesic technique for hip surgery.
Keywords: Analgesia, Novel ultrasound-guided block, Hip surgery, Fragile patient - elderly
Background
Hip fracture represents a frequent orthopedic emergency in elderly patients, and it is associated with significant mortality and morbidity [1]. Surgical reduction and fixation are the definitive treatment in most patients [2]. To relieve the pain around hip capsule remains the most important analgesic target for this type of surgery. Effective perioperative analgesia that minimizes the need for opioids and related adverse effects (respiratory depression, nausea, vomiting and delirium mainly), and improves health-related quality of life, is essential in this population of patients [3, 4]. Some techniques, such as Femoral Nerve Block (FNB) and Fascia Iliaca Block (FIB), are popular regional analgesic strategies, because of their opioid-sparing effects [5–7]. The analgesic effect size of these blockades is only moderate and literature showed that the obturator nerve (ON) is often not adequately covered [8]. ON, accessory obturator nerve (AON) and femoral nerve (FN) innervate the anterior hip capsule as reported in previous anatomical studies [9–11] and it is the most richly innervated section of the joint, suggesting these nerves might serve as main targets for hip analgesia. A recent anatomical study by Short et al. [12–14] confirmed this, but also found that the AON and the FN play a greater role in the anterior hip innervation than previously reported. Moreover, this study also put in evidence important landmarks for those articular branches. The high articular branches from FN and AON are consistently found between the anterior inferior iliac spine (AIIS) and the iliopubic eminence (IPE), whereas the ON is located close to the infero-medial acetabulum. By using these information, an innovative ultrasound-guided technique for blockade of these articular branches to the hip, the Pericapsular Nerve Group (PENG) block, has been recently developed and described by Girón-Arango et al. [15]. The PENG blockade can block both FN and AON. In this case series we described the technique, its effectiveness and feasibility in 6 elderly and fragile patients scheduled for emergency hip surgery.
Case series
The PENG block has been performed in 6 elderly and fragile patients with hip fracture, after written informed consent was obtained. Pain scores, at rest and dynamic, with a straight leg raise of the affected limb to 15 degrees, were assessed before and 20 minutes after blockade by using Numerical Rating Scale (NRS). Before the block was performed, severe pain was reported at rest by all patients despite of intravenous ketorolac at 30 mg (Fig. 1). Twenty minutes after blockade, all patients were able to comply and reported significantly reduced dynamic pain in terms of scores compared with baseline (Fig. 2). No quadriceps weakness was noticed in any patient.
Fig. 1.

Pre-operative NRS at rest
Fig. 2.

Pre-operative dynamic NRS
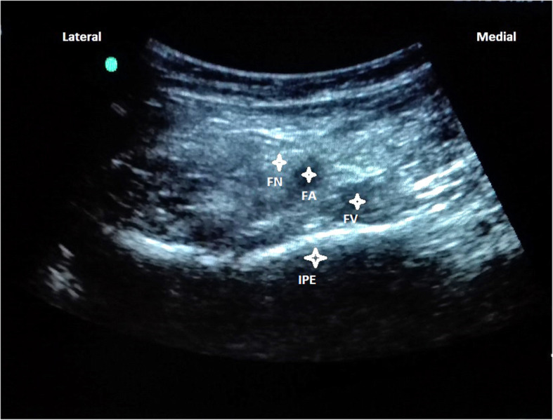
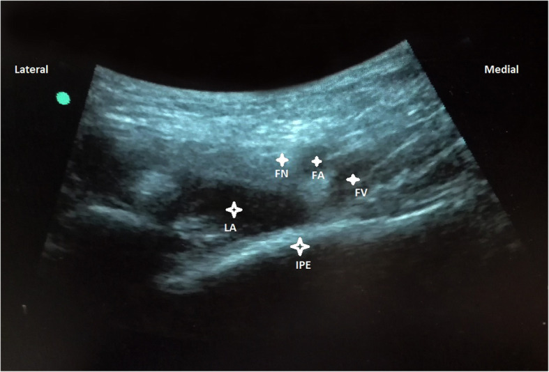
With the patients in supine position, a convex low-frequency (2–5 MHz) ultrasound probe was placed on a transverse plane over the AIIS and then it was aligned with the pubic ramus by rotating the probe counterclockwise at approximately 45 degrees. On this ultrasonographic view, the IPE, femoral nerve and vessels were clearly observed (Fig. 3). So with in-plane approach a 20-gauge and 100-mm needle was inserted from lateral to medial to place the tip in the musculofascial plane between the pubic ramus posteriorly and the psoas tendon anteriorly. Following negative resistence and aspiration tests, the local anesthetic solution composed of a mixture of mepivacaine 1% and ropivacaine 0,5% was slowly injected while observing for adequate fluid spread for a total volume of 20 mL (Fig. 4).
Fig. 3.

Femoral nerve (FN), artery (FA), vein (FV), Iliopubic eminence (IPE)
Fig. 4.

Femoral nerve (FN), artery (FA), vein (FV), Iliopubic eminence (IPE), Local anesthetic mixture (LA)
All blockades were performed after obtaining an adequate venous access, with vital parameters observed and sterility criteria followed. Intralipid 20% was promptly available in operating room, and other proactive measures, such as emergency drugs, tracheal intubation equipment and oxygen source, were ready. We have respected the same contraindications concerning other types of ultrasound-guided peripheral blockades.
Thirty minutes after PENG block, patients received spinal anesthesia with 12.5 mg levobupivacaine 0,5%. Twelve hours after surgery, NRS was evaluated again (Figs. 5 and 6) and neither opioids nor non-steroidal anti-inflammatory drugs (NSAIDs) were required during this period. The Table 1 shows demographic and epidemiological data of the patients.
Fig. 5.

Post-operativa NRS at rest
Fig. 6.

Post-operative dynamic NRS
Table 1.
Case series
| Case | ASA | Age, y | Gender | Hip pathology | Type of surgery |
|---|---|---|---|---|---|
| 1 | III | 76 | F | Intertrochanteric fracture | DHS fixation |
| 2 | III | 80 | F | Subcapital fracture | IMN |
| 3 | IV | 88 | M | Subcapital fracture | IMN |
| 4 | III | 82 | M | Intertrochanteric fracture | DHS fixation |
| 5 | III | 72 | F | Subcapital fracture | IMN |
| 6 | IV | 91 | F | Intertrochanteric fracture | DHS fixation |
ASA American Society of Anesthesiologists, DHS dynamic hip screw, IMN intramedullary nail, F female, M male
Discussion and conclusions
In patients with hip fractures regional analgesic blocks are often useful.
A recent Cochrane review on nerve blockades in hip fractures, which included FNB and FIB, has shown high-quality evidence supporting a reduction in dynamic pain within 30 min of blockade. In this review the effect size was − 3,4 points on a scale from 0 to 10 [8]. The cephalad spread of local anesthetic in FNB and FIB has been examined with magnetic resonance imagining. The ON is not widely covered. More importantly, the cephalad spread is unlikely to extend beyond the L5 level. Recent anatomical studies demonstrated that the articular branches from the FN, before innervating the hip capsule, enter the iliacus muscle at the L4–L5 levels and course deep to the psoas muscle and tendon between the AIIS and IPE. The AON courses deep to the medial aspect of psoas muscle around the L5 level, then it courses deep to the psoas around IPE to enter the anteromedial joint capsule [12, 13]. In contrast, the targets of the regional blockades described in our case series were the articular branches of AON and FN between AIIS and IPE. We are not able to affirm if the local anesthetic solution would spread medially enough to reach the plane between the pectineus and obturator externus muscles (subpectineal plane, SPP) where the articular branches of ON can be found. The SPP has been recently described by Nielsen et al. [14] as a target point for ON and its articular branches. Given the proximity of the SPP, it is conceivable that the local anesthetic may have spread to this plane. Anyway, dye injection studies are necessary to confirm this.
The median reduction of pain in our case series was 4,83 points in preoperative NRS at rest, and 6 points in dynamic state. Therefore, NRS was evaluated again 12 h after surgery, both in dynamic state and at rest. Interestingly, the patients in our case series presented different hip pathologies (intertrochanteric and subcapital fractures), and all of them reported significant preoperative pain relief and satisfactory postoperative analgesia. In addition, given that our technique targeted only the sensory branches, there was a potential motor-sparing effect compared with both the FIB and the FNB.
Nowadays there are no randomized controlled trials or other large-scale studies in literature regarding the PENG block. This is only a small case series and there are many limitations inherent to this type of study, such as danger of overinterpretation, lack of ability to generalize, publication bias and the retrospective nature of the design. But this type of publications also has some merits, such as the detection of novelties and generation of stimuli and hypotheses. There is room for improving the effect size of analgesia compared to the FIB and FNB, as discussed before. This case series shows a very impressive effect of this new blockade on the dynamic pain score and a good postoperative analgesia. This case series may help to consider a new approach of nerve blockades for patients with hip fracture with the better understanding of the anatomy for hip innervation and the planes where the nerves to the hip innervation run. We need more cadaveric studies, dye injection studies to confirm the spread of local anesthetics and randomized controlled trial to establish its efficacy, safety, and advantages over other regional analgesic techniques. Furthermore, in the near future, studies concerning optimal volume and type of local anestethics, any adjuvant drugs and particular populations, such as obese patients, will also be needed.
Acknowledgements
For his precious support in every moment of this work, thanks to dr. Mario Iannotti, chief in Anesthesia and Intensive Care Unit of “Umberto I” Hospital in Nocera Inferiore (Salerno - Italy).
Abbreviations
- AIIS
Anterior inferior iliac spine
- AON
Accessory obturator nerve
- FIB
Fascia Iliaca Block
- FN
Femoral nerve
- FNB
Femoral Nerve Block
- IPE
Iliopubic eminence
- NRS
Numerical Rating Scale
- NSAIDs
Non-steroidal anti-inflammatory drugs
- ON
Obturator nerve
- PENG
Pericapsular Nerve Group
- SPP
Subpectineal plane
Authors’ contributions
TP, conceptualization and writing manuscript; FS, recording data and literature research; GC, analyzing data; DC, supervision and methodology; CBB, FA and FR, final review and data curation. All authors read and approved the final manuscript.
Funding
Nothing to declare.
Availability of data and materials
All data generated or analysed during this study are included in this published article.
Ethics approval and consent to participate
All authors confirm that this work respects the International Committee of Medical Journal Editors (ICMJE) and the Declaration of Helsinki.
Consent for publication
A written informed consent was previously obtained from the patients for this publication.
Competing interests
The authors declare that they have no competing interests.
Footnotes
Publisher’s Note
Springer Nature remains neutral with regard to jurisdictional claims in published maps and institutional affiliations.
References
- 1.Brauer CA, Coca-Perraillon M, Cutler DM, Rosen AB. Incidence and mortality of hip fractures in the United States. JAMA. 2009;302:1573–1579. doi: 10.1001/jama.2009.1462. [DOI] [PMC free article] [PubMed] [Google Scholar]
- 2.Neuman MD, Fleisher LA, Even-Shoshan O, Mi L, Silber JH. Nonoperative care for hip fracture in the elderly: the influence of race, income, and comorbidities. Med Care. 2010;48:314–320. doi: 10.1097/MLR.0b013e3181ca4126. [DOI] [PMC free article] [PubMed] [Google Scholar]
- 3.Morrison RS, Magaziner J, Gilbert M, et al. Relationship between pain and opioid analgesics on the development of delirium following hip fracture. J Gerontol A BiolSci Med Sci. 2003;58:76–81. doi: 10.1093/gerona/58.1.M76. [DOI] [PubMed] [Google Scholar]
- 4.Morrison RS, Magaziner J, McLaughlin MA, et al. The impact of post-operative pain on outcomes following hip fracture. Pain. 2003;103:303–311. doi: 10.1016/S0304-3959(02)00458-X. [DOI] [PubMed] [Google Scholar]
- 5.Foss NB, Kristensen BB, Bundgaard M, et al. Fascia iliaca compartment blockade for acute pain control in hip fracture patients: a randomized, placebo-controlled trial. Anesthesiology. 2007;106:773–778. doi: 10.1097/01.anes.0000264764.56544.d2. [DOI] [PubMed] [Google Scholar]
- 6.Haines L, Dickman E, Ayvazyan S, Pearl M, Wu S, Rosenblum D, et al. Ultrasound-guided fascia iliaca compartment block for hip fractures in the emergency department. J EmergMed. 2012;43:692–697. doi: 10.1016/j.jemermed.2012.01.050. [DOI] [PubMed] [Google Scholar]
- 7.Unneby A, Svensson O, Gustafson Y, Olofsson B. Femoral nerve block in a representative sample of elderly people with hip fracture: a randomized controlled trial. Injury. 2017;48:1542–1549. doi: 10.1016/j.injury.2017.04.043. [DOI] [PubMed] [Google Scholar]
- 8.Guay J, Parker MJ, Griffiths R, Kopp S. Peripheral nerve blocks for hip fractures. Cochrane Database Syst Rev. 2017;5:CD001159. doi: 10.1002/14651858.CD001159.pub2. [DOI] [PMC free article] [PubMed] [Google Scholar]
- 9.Swenson JD, Davis JJ, Stream JO, Crim JR, Burks RT, Greis PE. Local anesthetic injection deep to the fascia iliaca at the level of the inguinal ligament: the pattern of distribution and effects on the obturator nerve. J ClinAnesth. 2015;27:652–657. doi: 10.1016/j.jclinane.2015.07.001. [DOI] [PubMed] [Google Scholar]
- 10.Birnbaum K, Prescher A, Hessler S, Heller KD. The sensory innervation of the hip joint—an anatomical study. SurgRadiol Anat. 1997;19:371–375. doi: 10.1007/BF01628504. [DOI] [PubMed] [Google Scholar]
- 11.Gerhardt M, Johnson K, Atkinson R, et al. Characterisation and classification of the neural anatomy in the human hip joint. Hip Int. 2012;22:75–81. doi: 10.5301/HIP.2012.9042. [DOI] [PubMed] [Google Scholar]
- 12.Short AJ, Barnett JJG, Gofeld M, et al. Anatomic study of innervation of the anterior hip capsule: implication for image-guided intervention. RegAnesth Pain Med. 2018;43:186–192. doi: 10.1097/AAP.0000000000000701. [DOI] [PubMed] [Google Scholar]
- 13.Archana BJ, Nagaraj DN, Pradeep P, Lakshmi PS. Anatomical variations of accessory obturator nerve: a cadaveric study with proposed clinical implications. Int J Anat Res. 2016;4:2158–2161. doi: 10.16965/ijar.2016.168. [DOI] [Google Scholar]
- 14.Nielsen TD, Moriggl B, Søballe K, Kolsen-Petersen JA, Børglum J, Bendtsen TF. A cadaveric study of ultrasound-guided subpectineal injectate spread around the obturator nerve and its hip articular branches. RegAnesth Pain Med. 2017;42:357–361. doi: 10.1097/AAP.0000000000000587. [DOI] [PubMed] [Google Scholar]
- 15.Girón-Arango L, Peng PWH, Chin KJ, Brull R, Perlas A. Pericapsular nerve group (PENG) block for hip fracture. RegAnesth Pain Med. 2018;43(8):859–863. doi: 10.1097/AAP.0000000000000847. [DOI] [PubMed] [Google Scholar]
Associated Data
This section collects any data citations, data availability statements, or supplementary materials included in this article.
Data Availability Statement
All data generated or analysed during this study are included in this published article.
