Abstract
Probiotics have been used for the treatment of chronic metabolic diseases, including type 2 diabetes (T2D). However, the mechanisms of antidiabetic effects are not well understood. The object of this study is to assess the antidiabetic effect of Lactiplantibacillus plantarum Y15 isolated from Chinese traditional dairy products in vivo. Results revealed that L. plantarum Y15 administration improved the biochemical indexes related to diabetes, reduced pro-inflammatory cytokines, L. plantarum Y15 administration reshaped the structure of gut microbiota, decreased the abundance of LPS-producing, and increased short-chain fatty acids (SCFAs)-producing bacteria, which subsequently reduce the levels of lipopolysaccharide (LPS) and pro-inflammatory cytokines. L. plantarum Y15 administration also regulated the expressions of the inflammation and insulin signaling pathway-related genes. These results suggest that L. plantarum Y15 may serve as a potential probiotic for developing food products to ameliorate T2D.
Supplementary Information
The online version contains supplementary material available at 10.1007/s42770-022-00686-5.
Keywords: Lactiplantibacillus plantarum, Type 2 diabetes, Inflammation, Gut microbiota, Signaling pathway
Introduction
Diabetes mellitus (DM), characterized by hyperglycemia, is a chronic metabolic disease mainly including type 1 and type 2 diabetes (T2D). It has been estimated that the number of diabetic patients will reach 642 million by 2040 [1]. This accelerating pandemic comes with high financial costs to the individual and society. In addition, according to the statistics from the Global Burden of Disease statistics, diabetes was the leading causes of years of life lost in most regions [2]. T2D causes almost 90% of diabetes mellitus cases and results from insulin resistance of adipose, liver, and muscle cells [3]. Unlike type 1 diabetes, T2D is mainly affected by environmental factors, and several risk factors have been identified, such as age, diet, sedentary lifestyle, and obesity [4]. With the change of lifestyle and dietary constituents, T2D is increasingly diagnosed in children, adolescents, and young adults [5]. Current treatments for T2D mainly include oral medicine and insulin injection. However, these drugs have different side effects. The most common side effects of insulin injections include hypoglycemia and weight gain. In addition, some insulin will also promote cell mitosis, children, and patients with a tendency to tumors should not be used. Sulfonylurea drugs are likely to cause hypoglycemia and increased body mass. Studies have shown that glibenclamide causes a higher risk of hypoglycemia [6], while glipizide causes more body mass increase [7]. The results of a large-scale survey fully confirmed the cardiovascular risk of rosiglitazone[8]. Therefore, effectiveness and non-harmful side effects of non-medicinal foods have claimed to be antidiabetic agents of high potential. Developing effective strategies aimed at delaying or preventing the T2D is important for public health.
With the rapid development of sequencing technique in recent years, there is a certain connection between gut microbiota and the diabetes. More and more evidences have supported the hypothesis that gut microbiota is crucial in onset and development of T2D. Studies have shown that gut microbiota was different between T2D patients and healthy population [4]. These differences mainly include reduction in butyric acid-producing bacteria, elevation in various opportunistic pathogens, and disorder in a moderate degree. Thus, gut microbiota is becoming a new target for T2D therapy.
In recent years, the health benefits of probiotics have attracted more and more attention. Probiotics are defined as live microorganisms which confer a health benefit on the host when administered in adequate amount [9]. A large number of experimental studies have proved that probiotics could improve immune function and oxidative stress and ameliorate T2D [10]. Li et al. indicated that insulin resistance and glucose tolerance were ameliorated after administration of L. plantarum CCFM0236 [11]. Asemi et al. indicated that probiotic capsules could reduce levels of fasting blood glucose, hemoglobin (HbA1C), and insulin resistance index (HOMA-IR) [12]. Andreasen et al. revealed that Lactobacillus acidophilus NCFM could enhance insulin sensitivity [13]. Furthermore, clinical trials have also shown that favorable associations exist between probiotic consumption and metabolic profile among diabetes subjects [14]. Although many studies have revealed the hypoglycemic activity of probiotics, the related mechanisms have not been fully elucidated. Therefore, the potential mechanisms underlying the effects of probiotics on improving T2D need to be elucidated further.
In our previous study, we found L. plantarum Y15 administration could regulate the gut microbiota with BSH activity, resulting in upregulation of deconjugated bile acids with low resorption, which could further influence the hepatic FXR-SHP signaling pathway to upregulate the expression level of CYP7A1 to enhance the cholesterol catabolism [15]. In the present study, we aimed to assess the potential antidiabetic of L. plantarum Y15 in T2D mice induced by high-fat diet and intraperitoneal injection of streptozotocin (STZ). First is the effects on basic indexes related to T2D, lipid metabolism, and inflammation cytokines. Subsequently, the composition of gut microbiota of cecal contents from different groups was detected. Finally, expression of genes related to the NF-κB signaling pathway and insulin signaling pathway was evaluated.
Materials and methods
Chemicals and reagents
Streptozotocin (STZ) was purchased from Sigma Chemical (St. Louis, MO, USA). Enzyme link immune sorbent assay (ELISA) development kit, HbA1c, and insulin were purchased from the Beijing Chenglin Bioengineering Institute (Beijing, China). ELISA kits used to measure the levels of IL-4, IL-6, IL-8, and TNF-α were procured from the Nanjing Jiancheng Bioengineering Institute (Nanjing, China). Trizol and PrimeScript RT reagent kit with gDNA eraser was purchased from Takara (Shiga, Japan).
Bacterial strain and culture
L. plantarum Y15 was isolated from yak yogurt in Gansu Province, China and identified by 16S rDNA similarity analysis [15] and deposited at the School of Food and Biological Engineering, Zhengzhou University of Light Industry, Zhengzhou, Henan, China. The cells cultivated by De Man Rogosa Sharpe (MRS) broth were harvested by centrifugation at 10,000 × g for 10 min at 4 °C after incubation at 37 ℃ for 18 h. The cell pallets were collected and washed three times with 0.01 M phosphate buffer solution (PBS, pH 7.4) and re-suspended in PBS. The cell numbers were adjusted to 3 × 108 CFU/mLto obtain bacterial suspensions for animal experiment. Briefly, 100 μL of sample solutions with the dilution of 10−4, 10−5, 10−6, and 10−7 times was separately inoculated in solid MRS medium and coated evenly with a coating stick. The plates were incubated at 37 °C for 48 h to count the colony number.
Animals and experimental design
A total of 36 male C57BL/6 J mice (3-week-old) were purchased from Beijing Vital River Laboratory Animal Technology Co., Ltd. (Beijing, China) and housed in a room under controlled environmental conditions at 24 ± 2 °C, relative humidity of 45–50%, and with a 12-h light/dark cycle. During the first week, animals were placed in a special environment with food and water ad libitum before the initiation of experimentation. After 1 week, mice were randomly divided two groups. Mice in group 1 were fed a normal diet, and those in group 2 were fed a high fat diet (HFD) for 4 weeks. At week 5, feeding with HFD mice was intraperitoneally injected with STZ (dissolved in 50 mM sodium citrate buffer, pH 4.4) at the dose of 100 mg/kg of body weight, and the NC group mice received an equal volume of citrate buffer. One week after injection, fasting blood glucose (FBG) was measured, and mice with FBG level > 11.1 mmol/L were considered as T2D mice. Then, T2D mice were randomly divided into 2 groups (eight mice each group): (1) diabetes control group (MC), received PBS buffer; (2) Y15 group, received 3 × 108 CFU L. plantarum Y15. All treatment groups were administered 0.2 mL corresponding experimental samples by oral gavage once daily for 6 weeks. The experimental protocol was approved by the Institutional Animal Care and Use Committee of the Northeast Agricultural University (NEAUEC20011108).
Oral glucose tolerance test (OGTT), area under the curve (AUC), and fasting blood glucose (FBG)
Mice were fasted 12 h and administered with a glucose solution (2 g/kg body weight) by oral gavage. Glucose levels in the blood obtained from the tail were measured by a glucometer (Roche Diagnostics, Mannheim, Germany) at 0, 30, 60, 90, and 120 min after glucose load. The area under the curve of glucose (AUCglucose) values were calculated. FBG was measured after fasting.
Sample collection
At the end of the experiment, the mice (fasting for 12 h) were anesthetized and sacrificed by inhalation of ether. Serum samples were collected by centrifugation at 4000 × g for 10 min at 4 °C and stored at − 80 °C for further analysis. Liver and pancreas tissues were isolated from every animal and washed with cold 0.85% saline solution for biochemical assays (stored at − 80 °C) and histopathological evaluation (fixed in 10% neutral formalin), respectively.
Biochemical analyses
The levels of glycosylated hemoglobin (HbA1C) and fasting insulin (FINS) were determined by using ELISA kits (Beijing Chenglin Bioengineering Institute, Beijing, China) according to the manufacturer’s instructions, respectively. Insulin resistance index (HOMA-IR) was calculated as follows: HOMA-IR = FBG × FINS/22.5. The levels of serum total cholesterol (TC), triacylglycerols (TG), low density lipoprotein cholesterol (LDL-C), and high-density lipoprotein cholesterol (HDL-C) were measured with the assay kits following the manufacturer’s instructions, respectively.
Histopathologic examination and analysis
The pancrease was fixed in 10% neutral formalin for 48 h, after being dehydrated in graded alcohol, transparent in xylene, then embedded in paraffin wax. Tissue sections of 5-μm thickness were sliced and routinely stained with hematoxylin–eosin (HE). Histological differences between the groups were viewed and photographed with light microscopy (Leica, Wetzlar, Germany).
Effect on cytokine levels
The levels of IL-4, IL-6, IL-8, and TNF-α in the mice serum were determined using ELISA kits according to the instructions of the manufacturer, respectively.
Microbial analysis of cecal contents
Bacterial DNA in the cecal contents from the NC, MC, and Y15 groups was extracted by a QIAamp DNA stool mini kit (Qiagen, Dusseldorf, Germany) according to the manufacturer’s instructions. The V3–V4 region of the 16S rDNA were selected for generating amplicons by PCR. The primers were as follows: forward primers: 5′-ACTCCTACGGGAGGCAGCAG-3′; reverse primers: 5′-GACTACHVGGGTWTCTAAT-3′. Pyrosequencing was performed on an Illumina Miseq (Illumina, Santiago, USA). The analysis pipeline was followed by Li et al. method [16]. Raw data were merged using FLASH 1.2.7 [17]. The chimera sequences were discarded by using the UCHIME algorithm to obtain the high-quality clean tags [18]. The tags were clustered into distinct operational taxonomic units (OTUs) using Uparse software with a 97% sequence identity [19]. OTUs were classified using QIIME 1.7.0 against a curated database derived from GreenGenes [20]. Linear Discriminant Analysis Effect Size (LEfSe) was used to perform with an effect size threshold of 2 [21]. This work was performed by Harbin Botai Biological Co., Ltd (Harbin, China).
Real-time quantitative polymerase chain reaction (RT-qPCR) analyses of gene expression
Total RNA of the liver tissue of each mouse was extracted using Trizol reagent (Takara, Dalian, China). cDNA was obtained by reverse transcription by using the PrimeScript RT reagent kit with gDNA Eraser (Takara, Dalian, China) according to the manufacturer’s instructions. The mRNA expression of genes was performed by 7900HT fast real-time PCR system (Applied Biosystems, USA). The gene primers were obtained from the National Centre for Biotechnology Information (NCBI) database, designed, and then synthesized by Comate Bioscience Co., Ltd, China (Table S1). The housekeeping gene (β-actin) was used for normalization. Data analysis was carried out by 2−ΔΔCt method.
Statistical analysis
Results were expressed as mean ± standard deviation (SD). Statistical significance of difference was determined using one-way analysis of variance (ANOVA) followed by multiple comparisons with Duncan’s significance test. The difference was considered to be statistically significant at P < 0.05.
Results
Effect of L. plantarum Y15 administration on diabetic symptoms
As shown in Fig. 1A, the level of FBG in the MC group was significantly higher than that in the NC group (P < 0.01); L. plantarum Y15 administration obviously reduced the level of FBG as compared with the MC group (P < 0.01). OGTT and AUCglucose of different groups are exhibited in Fig. 1B, C. The level of blood glucose of the T2D mice was obviously higher than that of normal mice at 0, 30, 60, and 120 min. The NC group mice had the lowest AUCglucose (797.88 ± 33.98). The value of AUCglucose in the MC group was 2912.14 ± 78.18, showing poor glucose tolerance. L. plantarum Y15 administration reduced the value of AUCglucoe (P < 0.01), indicating L. plantarum Y15 was able to improve glucose tolerance. The level of HbA1c was 7.62 ± 0.63 and 12.91 ± 0.95 mIU/L in the NC and MC groups, respectively. L. plantarum Y15 administration significantly decreased (P < 0.01) the value of the HAb1c as compared to the MC group (Fig. 1D). As shown in Fig. 1E, serum insulin level was 24.48 ± 0.68 and 51.69 ± 2.31 mIU/L in the NC and MC groups, respectively. L. plantarum Y15 administration significantly reduced (P < 0.01) the level of insulin level. In addition, L. plantarum Y15 administration significantly reduced (P < 0.01) HOMA-IR value in diabetic mice (Fig. 1F). Therefore, L. plantarum Y15 performed high anti-diabetic effects.
Fig. 1.
Effect of L. plantarum Y15 administration on (A) fasting blood glucose, AUCglucose (B), OGTT (C), HbA1c (D), insulin (E), and HOMA-IR (F). ## P < 0.01: significantly different compared with the NC group; ** P < 0.01: significantly different compared with the MC group with Duncan’s significance test
Effect of L. plantarum Y15 administration on serum lipid profiles
The parameters related to lipid metabolism are listed in Table 1. The levels of TG and TC in the MC group (2.31 ± 0.08 and 2.58 ± 0.06 mmol/L) were significantly (P < 0.01) lower than those in the NC (1.28 ± 0.09 and 1.61 ± 0.06 mmol/L) group, respectively. L. plantarum Y15 administration reversed this trend. The level of HDL-C was significantly decreased in the MC group compared with that in the NC group (P < 0.01). A significant increase was observed in the HDL-C level after treatment with L. plantarum Y15 (P < 0.05). The level of LDL-C level was significantly increased in the MC group when compared to the NC group (P < 0.05). L. plantarum Y15 administration significantly reduced the level of LDL-C (P < 0.05).
Table 1.
Effect of L. plantarum Y15 administration on serum lipid profiles
| Parameter | NC | MC | Y15 |
|---|---|---|---|
| TG (mmol/L) | 1.28 ± 0.09 | 2.31 ± 0.08## | 1.39 ± 0.08** |
| TC (mmol/L) | 1.61 ± 0.06 | 2.58 ± 0.06## | 2.01 ± 0.07* |
| HDL-C (mmol/L) | 8.33 ± 0.13 | 3.86 ± 0.06## | 6.60 ± 0.22** |
| LDL-C (mmol/L) | 0.59 ± 0.04 | 1.86 ± 0.09## | 1.31 ± 0.06** |
NC normal control, MC model control, Y15 MC plus L. plantarum Y15 (3 × 108 CFU/d) ##P < 0.01: significantly different compared with the NC group; *P < 0.05, **P < 0.01: significantly different compared with the MC group
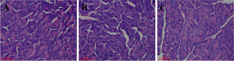
Effect of L. plantarum Y15 administration on prevention of pancreas injury
Histopathological examination of the pancreas is shown in Fig. 2. The structure of pancreatic islet cells was normal, cells were arranged closely and have clear cellular characteristic, and no obvious pathological damage was observed in the NC group. However, some pathological changes in islets of the MC group, such as irregular structure, reduced volume of islet cells, and ballooning degeneration. L. plantarum Y15 administration improved cell damage to some degree by increasing the number of islets and decreasing β-cell necrosis and vacuolization.
Fig. 2.
Effect of L. plantarum Y15 administration on pancreas histopathological alterations. (A) NC group; (B) MC group; and (C) Y15 group
Effect of L. plantarum Y15 administration on the inflammatory cytokine levels
As shown in Fig. 3A, B, and C, there was a significant increase (P < 0.01) in IL-6, IL-8, and TNF-α levels of diabetic mice compared with the non-diabetic mice. However, a significant reduction (P < 0.05) in the IL-6, IL-8, and TNF-α levels of L. plantarum Y15-treated mice as compared with the MC group mice was found. In addition, a significant decrease (P < 0.01) was observed in the IL-4 level of diabetic mice compared with the non-diabetic mice. The level of IL-4 was significantly increased (P < 0.01) in the L. plantarum Y15 group as compared to the MC group (Fig. 3D).
Fig. 3.
Effect of L. plantarum Y15 administration on the inflammation cytokine levels. (A) interleukin 6 (IL-6), (B) interleukin 8 (IL-8), (C) tumor necrosis factor-α (TNF-α), and (D) interleukin 4 (IL-4). ## P < 0.01: significantly different compared with the NC group; *P < 0.05, ** P < 0.01: significantly different compared with the MC group with Duncan’s significance test
Effect of L. plantarum Y15 administration on the structure of gut microbiota
The gut microbiota composition was analyzed using next-generation 16S rDNA sequencing. Among the bacterial α-diversity, the Shannon index and observed species index were used to estimate the richness and diversity of gut microbiota. As shown in Fig. 4A, the Shannon index and observed species index in the MC group were markedly (P < 0.05) lower than those in the NC group. L. plantarum Y15 administration markedly (P < 0.05) elevated these two indexes. Among the bacterial β-diversity, the hierarchical clustering tree of Bray–Curtis distances showed that the Y15 group was grouped with NC group and then clustered with the MC group (Fig. 4B). These findings indicated that L. plantarum Y15 administration shifted the overall structure of the T2D mice gut microbiota to the non-diabetic mice.
Fig. 4.
Effect of L. plantarum Y15 administration on gut microbiota α-diversity and β-diversity. (A) Shannon index and observed species index; and (B) hierarchical clustering tree of Bray–Curtis distances. # P < 0.05, ## P < 0.01: significantly different compared with the NC group; * P < 0.05: significantly different compared with the MC group with Duncan’s significance test
LEfSe analysis was used to identify the key phylotypes responsible for the biomarkers between groups. As shown in Fig. 5A, Desulfovibrionaceae and Deltaproteobacteria were abundant in the MC group, Clostridia, Lachnospiraceae NK4A136 group, Ruminiciostridium and Roseburia were abundant in the Y15 group, and Lactobacillus was enriched in the NC group. Finally, linear discriminant analysis (LDA) was used to further estimate the effect size of each differentially abundant feature. As shown in Fig. 5B, the MC, NC, and Y15 groups were clearly separated by the key variables, which were consistent with the LEfSe analysis.
Fig. 5.
LEfSe comparison of the gut microbiota (A) and the LDA score indicates the effect size and ranking of each differentially abundant taxon (B) among the NC, MC, and Y15 groups
Effect of L. plantarum Y15 administration on the mRNA expression of genes related to the NF-κB signaling pathway
The mRNA expression levels of genes related to the NF-κB signaling pathway are shown in Fig. 6; diabetes significantly up-regulated (P < 0.01) the mRNA expression levels of TLR4, IKKβ, and NF-κB and significantly down-regulated (P < 0.01) the mRNA expression level of IκB-α. Interestingly, L. plantarum Y15 administration partly reversed these trends.
Fig. 6.
Effect of L. plantarum Y15 administration on the mRNA expression levels of genes related to the NF-κB signaling pathway. ## P < 0.01: significantly different compared with the NC group; * P < 0.05, ** P < 0.01: significantly different compared with the MC group with Duncan’s significance test
Effect of L. plantarum Y15 administration on the mRNA expression of genes related to insulin signaling pathway
Insulin mainly regulates glucose metabolism in the liver via the insulin signaling pathway. The mRNA expression levels of genes related to the insulin signaling pathway are shown in Fig. 7. The mRNA expression levels of genes related to insulin signaling pathway were significantly down-regulated (P < 0.01) in the MC group compared with the NC group. However, the mRNA expression levels of IRS-1, PI3K, AKT, and GLUT-4 were significantly up-regulated (P < 0.01) after L. plantarum Y15 administration when compared to the MC group.
Fig. 7.
Effect of L. plantarum Y15 administration on the mRNA expression levels of genes related to insulin signaling pathway. ## P < 0.01: significantly different compared with the NC group; * P < 0.05, ** P < 0.01: significantly different compared with the MC group with Duncan’s significance test
Discussion
A large number of studies have demonstrated that probiotics exhibit various biological activities, including antioxidant and anti-inflammatory activities, and regulate immune system [22]. In the present study, we investigated the antidiabetic effects and the potential molecular mechanism of L. plantarum Y15 in T2D mice induced by high fat diet and injection of STZ.
Previous studies showed that probiotics had a positive effect on reducing blood glucose levels, improving antioxidant status, regulating disorders of lipid metabolism, and attenuating inflammatory injury [23]. In this study, based on our previous study, L. plantarum Y15 was selected, and the antidiabetic property of this strain was assessed in vivo. Animal experimental results showed that L. plantarum Y15 administration could impair glucose tolerance and reduce the levels of FBG and HbA1c as compared with the MC group. These findings were in line with the previous studies [24–27]. It is well known that the main metabolic feature of T2D is insulin resistance. Previous studies indicated that the level of insulin was higher in diabetic mice as compared with that in normal mice; however, this trend was partly reversed after administration of probiotics [28, 29]. These results were in accordance with the present study that L. plantarum Y15 administration could reduce the level of insulin. In order to evaluate the status of T2D, HOMA-IR has been widely used to evaluate insulin resistance[30]. Studies have revealed that probiotics could decrease insulin resistance in diabetic mice and patients [31, 32]. In the present study, L. plantarum Y15 administration significantly reduced HOMA-IR value compared with the MC group. In addition, OGTT assay is one of the important indexes in evaluation of T2D and has been used to indirectly estimate insulin resistance [33]. In this study, L. plantarum Y15 administration improved the impaired glucose tolerance. A significant decrease in the insulin, AUCglucose, and HOMA-IR levels suggested that L. plantarum Y15 administration could improve insulin resistance. Furthermore, histological analysis of the pancreas showed that L. plantarum Y15 administration increased the number of islets and improved the β cell damage. Hence, L. plantarum Y15 had the potential ability to alleviate T2D.
To further elucidate how L. plantarum Y15 improves T2D, we measured inflammatory indicators in serum. T2D is considered as a state of chronic low-grade inflammation [34]. Studies have shown that probiotics could regulate the expression of inflammatory factors in cell line models [35] and reduce inflammatory factors in animal experiments [36]. The level of inflammatory mediators is increased in serum, organ, or tissue of T2D animal model [37]. In the present study, a significant reduction of pro-inflammatory IL-6, IL-8, and TNF-α and a significant increase of anti-inflammatory IL-4 were observed in the serum of the T2D mice after L. plantarum Y15 administration. IL-4 is an important anti-inflammatory cytokine in the host. Reduction in IL-4 disturbed the balance of pro-inflammatory/anti-inflammatory in diabetes mellitus and aggravated inflammatory complications [38]. These results indicated that L. plantarum Y15 is a potential probiotic against diabetes-associated inflammation by inhibiting pro-inflammatory cytokine production, and elevating the level of IL-4.
Increasing studies have indicated that gut microbiota is closely associated with the onset and development of T2D [39]. There was a moderate degree dysbiosis of gut microbiota in patients with T2D [40]. Notably, Proteobacteria, Deltaproteobacteria, Desulfovibrionales, Desulfovibrionaceae, and Blautia were enriched in the MC group, which is in accordance with previous studies [41]. The phylum Proteobacteria is commonly secondary in numbers to Bacteroidetes among the Gram-negative gut bacteria where members of the Alpha-, Beta-, Gamma-, Delta-, and Epsilon-proteobacteria classes have been detected [42], which are gastrointestinal human pathogens with LPS. Interestingly, LPS from Desulfovubrio desulfuricans, a sulfate-reducing delta-proteobacterium, is considered to take part in the systemic proinflammatory and immunomodulatory responses [43]. Blautia, belonging to the phylum Firmicutes(Park, Kim, & Bae, 2013), was also enriched in some diseases like Crohn’s disease and nonalcoholic fatty liver diseases [44, 45]. Furthermore, some strains of Blautia could promote TNF-α secretion [46]. However, a study reported that the relative abundance of Blautia was reduced in the MC group [47]; thus, further studies were needed. Lachnospiraceae NK4A136 group and Roseburia were abundant in the Y15 group, Lachnospiraceae NK4A136, which belongs to the family of Lachnospiraceae, is characterized by the anaerobic and spore-forming features with the ability to utilize the polysaccharides into SCFAs. It has been proposed the level of intestinal Roseburia negatively correlates with plasma glucose and modulates glucose homeostasis [48]. A significant increase in Roseburia intestinalis species was observed after diabetes remission achieved by surgery [49].
As aforementioned, once the intestinal barrier function was impaired, excessive translocation of LPS to the liver via gut-liver axis could subsequently activate the inflammatory responses [50], which would trigger the activation of LPS/TLR4/NF-κB signaling to stimulate inflammatory cells, leading to the release of pro-inflammatory cytokines (TNF-α, IL-6, and IL-8) [51, 52]. Toll-like receptor 4 (TLR4), an important pattern recognition receptor for LPS, is related to low-grade chronic inflammatory diseases [53]. Once LPS binds to TLR4, it would lead to the activation of TLR4/NF-κB to induce the production of inflammatory cytokines [54]. IKK, a Ser protein kinase, including IKKα and IKKβ, is necessary to control the activity of NF-κB, and the activation of IKK is largely determined by phosphorylation of its IKKβ subunit [55]. NF-κB is an important transcription factor responsible for regulating inflammatory responses [56]. Under normal conditions, NF-κB forms a complex with IκB protein (inhibitor of NF-κB) in the cytoplasm. When IKKβ, the kinase of IκB, is activated by pro-inflammatory cytokines, IκB are serine phosphorylated by IKKβ, and NF-κB translocate into the nucleus, subsequently binding to the genomic DNA and regulating the expression of pro-inflammatory cytokines (TNF-α, IL-6, and IL-8)[57]. This was in line with the results of inflammatory cytokine production. Previous studies have suggested that the insulin resistance can be prevented by the inhibition of the IKKβ/NF-κB [58]. To further study the possible mechanisms of L. plantarum Y15 on improving T2D in mice, we measured the expression of genes related to inflammation pathway and the mRNA expression levels of TLR4, IKKβ, and NF-κB and significantly down-regulated the mRNA expression level of IκB-α, but this trend was reversed by L. plantarum Y15 administration. These results indicated that L. plantarum Y15 could effectively alleviate T2D by regulating NF-κB signaling pathway.
It has been reported that TNF-α and IL-6 could promote the development of insulin resistance by influencing insulin receptor substrate (IRS) phosphorylation and link inflammatory process to insulin resistance [59]. These pro-inflammatory cytokines could tyrosine/serine phosphorylate IRS, disrupt insulin-receptor signaling, and cause insulin resistance and glucose metabolism disorder [60, 61]. It is generally known that, insulin controls glucose transport in muscle, liver, and fat cells by PI3K/AKT signaling pathway. Briefly, insulin binds to insulin receptors leading to phosphorylation of insulin receptor substrate (IRS) family and then activates phosphatidylinositol 3-kinase (PI3K), which in turn activates GLUTs and increases glucose uptake [62]. To further explore the effect of inflammation on insulin signaling pathway, the mRNA expression levels of IRS-1, PI3K, AKT, and GLUT-4 were measured. The mRNA expression levels of IRS-1, PI3K, AKT, and GLUT-4 were significantly up-regulated after L. plantarum Y15 administration. Previous study demonstrated that PI3K expression in diabetic mice was significantly lower than that in the normal group [63]. L. paracasei could improve glucose metabolism by regulating expression of genes (IRS-1, PI3K, and Akt) involved in the insulin signaling pathway [64]. These results indicated that L. plantarum Y15 could effectively alleviate T2D by modulating insulin signaling pathway.
Conclusion
In conclusion, L. plantarum Y15 administration to T2D mice could improve the biochemical indexes related to diabetes (FBG, insulin, HbA1c, and HOMA-IR) and reduce the production of pro-inflammatory cytokines (IL-6, IL-8, and TNF-α). L. plantarum Y15 administration could reshape the structure of gut microbiota, decrease the abundance of LPS-producing, and increase SCFA-producing bacteria. L. plantarum Y15 administration could also regulate the expression levels of the inflammation and insulin signaling pathway-related genes. These results suggested that L. plantarum Y15 may serve as a potential agent for ameliorating T2D.
Supplementary Information
Below is the link to the electronic supplementary material.
Funding
A grant from the Scientific and Technological Project of Henan Province of China (182102311039) funded this research.
Declarations
Competing interests
The authors declare no competing interests.
Footnotes
Publisher's note
Springer Nature remains neutral with regard to jurisdictional claims in published maps and institutional affiliations.
References
- 1.Reusch JE, Manson JE. Management of type 2 diabetes in 2017: getting to goal. JAMA. 2017;317(10):1015–1016. doi: 10.1001/jama.2017.0241. [DOI] [PMC free article] [PubMed] [Google Scholar]
- 2.Miraghajani M, Dehsoukhteh SS, Rafie N, Hamedani SG, Sabihi S, Ghiasvand R. Potential mechanisms linking probiotics to diabetes: a narrative review of the literature. Sao Paulo Med J. 2017;135:169–178. doi: 10.1590/1516-3180.2016.0311271216. [DOI] [PMC free article] [PubMed] [Google Scholar]
- 3.Wang P-C, Zhao S, Yang B-Y, Wang Q-H, Kuang H-X. Anti-diabetic polysaccharides from natural sources: a review. Carbohyd Polym. 2016;148:86–97. doi: 10.1016/j.carbpol.2016.02.060. [DOI] [PubMed] [Google Scholar]
- 4.Qin J, Li Y, Cai Z, Li S, Zhu J, Zhang F, Liang S, Zhang W, Guan Y, Shen D. A metagenome-wide association study of gut microbiota in type 2 diabetes. Nature. 2012;490(7418):55–60. doi: 10.1038/nature11450. [DOI] [PubMed] [Google Scholar]
- 5.Lascar N, Brown J, Pattison H, Barnett AH, Bailey CJ, Bellary S. Type 2 diabetes in adolescents and young adults. Lancet Diabetes Endocrinol. 2018;6(1):69–80. doi: 10.1016/S2213-8587(17)30186-9. [DOI] [PubMed] [Google Scholar]
- 6.Gangji AS, Cukierman T, Gerstein HC, Goldsmith CH, Clase CM. A Systematic review and meta-analysis of hypoglycemia and cardiovascular events: a comparison of glyburide with other secretagogues and with insulin. Diabetes Care. 2007;30(2):389–394. doi: 10.2337/dc06-1789. [DOI] [PubMed] [Google Scholar]
- 7.Campbell IW, Menzies DG, Chalmers J, Mcbain AM, Brown IRF. One year comparative trial of metformin and glipizide in Type 2 diabetes mellitus. Diabete Metab. 1994;20(4):394–400. [PubMed] [Google Scholar]
- 8.Mahaffey KW, Hafley G, Dickerson S, Burns S, Tourt-Uhlig S, White J, Newby LK, Komajda M, McMurray J, Bigelow R. Results of a reevaluation of cardiovascular outcomes in the RECORD trial. Am Heart J. 2013;166(2):240–249. e241. doi: 10.1016/j.ahj.2013.05.004. [DOI] [PubMed] [Google Scholar]
- 9.Morelli L. Yogurt, living cultures, and gut health. Am J Clin Nutr. 2014;99(5):1248S–1250S. doi: 10.3945/ajcn.113.073072. [DOI] [PubMed] [Google Scholar]
- 10.Hung S-C, Tseng W-T, Pan T-M. Lactobacillus paracasei subsp. paracasei NTU 101 ameliorates impaired glucose tolerance induced by a high-fat, high-fructose diet in Sprague-Dawley rats. Journal of Functional Foods. 2016;24:472–481. doi: 10.1016/j.jff.2016.04.033. [DOI] [Google Scholar]
- 11.Chen W. Effects of Lactobacillus plantarum CCFM0236 on hyperglycemia and insulin resisitance in high-fat and streptozotocin induced type 2 diabetic mice. J Appl Microbiol. 2016;121(6):1727–1736. doi: 10.1111/jam.13276. [DOI] [PubMed] [Google Scholar]
- 12.Asemi Z, Zare Z, Shakeri H, Sabihi S-s, Esmaillzadeh A. Effect of multispecies probiotic supplements on metabolic profiles, hs-CRP, and oxidative stress in patients with type 2 diabetes. Ann Nutr Metab. 2013;63(1–2):1–9. doi: 10.1159/000349922. [DOI] [PubMed] [Google Scholar]
- 13.Andreasen AS, Larsen N, Pedersen-Skovsgaard T, Berg RM, Møller K, Svendsen KD, Jakobsen M, Pedersen BK. Effects of Lactobacillus acidophilus NCFM on insulin sensitivity and the systemic inflammatory response in human subjects. Br J Nutr. 2010;104(12):1831–1838. doi: 10.1017/S0007114510002874. [DOI] [PubMed] [Google Scholar]
- 14.Kasińska MA, Drzewoski J. Effectiveness of probiotics in type 2 diabetes: a meta-analysis. Pol Arch Med Wewn. 2015;125(11):803–813. doi: 10.20452/pamw.3156. [DOI] [PubMed] [Google Scholar]
- 15.Liu Y, Zheng S, Cui J, Guo T, Zhang J. Effect of bile salt hydrolase-active Lactobacillus plantarum Y15 on high cholesterol diet induced hypercholesterolemic mice. CyTA-Journal of Food. 2021;19(1):408–417. doi: 10.1080/19476337.2021.1914176. [DOI] [Google Scholar]
- 16.Li B, Evivie SE, Lu J, Jiao Y, Wang C, Li Z, Liu F, Huo G. Lactobacillus helveticus KLDS1. 8701 alleviates d-galactose-induced aging by regulating Nrf-2 and gut microbiota in mice. Food Funct. 2018;9(12):6586–6598. doi: 10.1039/C8FO01768A. [DOI] [PubMed] [Google Scholar]
- 17.Magoč T, Salzberg SL. FLASH: fast length adjustment of short reads to improve genome assemblies. Bioinformatics. 2011;27(21):2957–2963. doi: 10.1093/bioinformatics/btr507. [DOI] [PMC free article] [PubMed] [Google Scholar]
- 18.Edgar RC, Haas BJ, Clemente JC, Quince C, Knight R. UCHIME improves sensitivity and speed of chimera detection. Bioinformatics. 2011;27(16):2194–2200. doi: 10.1093/bioinformatics/btr381. [DOI] [PMC free article] [PubMed] [Google Scholar]
- 19.Edgar RC. UPARSE: highly accurate OTU sequences from microbial amplicon reads. Nat Methods. 2013;10(10):996–998. doi: 10.1038/nmeth.2604. [DOI] [PubMed] [Google Scholar]
- 20.Caporaso JG, Kuczynski J, Stombaugh J, Bittinger K, Bushman FD, Costello EK, Fierer N, Peña AG, Goodrich JK, Gordon JI. QIIME allows analysis of high-throughput community sequencing data. Nat Methods. 2010;7(5):335–336. doi: 10.1038/nmeth.f.303. [DOI] [PMC free article] [PubMed] [Google Scholar]
- 21.Segata N, Izard J, Waldron L, Gevers D, Miropolsky L, Garrett WS, Huttenhower C. Metagenomic biomarker discovery and explanation. Genome Biol. 2011;12(6):1–18. doi: 10.1186/gb-2011-12-6-r60. [DOI] [PMC free article] [PubMed] [Google Scholar]
- 22.Parvez S, Malik KA, Ah Kang S, Kim HY. Probiotics and their fermented food products are beneficial for health. J Appl Microbiol. 2006;100(6):1171–1185. doi: 10.1111/j.1365-2672.2006.02963.x. [DOI] [PubMed] [Google Scholar]
- 23.Memarrast F, Ghafouri-Fard S, Kolivand S, Jafary-Nodooshan S, Neyazi N, Sadroddiny E, Motevaseli E. Comparative evaluation of probiotics effects on plasma glucose, lipid, and insulin levels in streptozotocin-induced diabetic rats. Diabetes/Metab Res Rev. 2017;33(7):e2912. doi: 10.1002/dmrr.2912. [DOI] [PubMed] [Google Scholar]
- 24.Yadav H, Jain S, Sinha P. Antidiabetic effect of probiotic dahi containing Lactobacillus acidophilus and Lactobacillus casei in high fructose fed rats. Nutrition. 2007;23(1):62–68. doi: 10.1016/j.nut.2006.09.002. [DOI] [PubMed] [Google Scholar]
- 25.Li X, Wang N, Yin B, Fang D, Jiang T, Fang S, Zhao J, Zhang H, Wang G, Chen W. Effects of Lactobacillus plantarum CCFM0236 on hyperglycaemia and insulin resistance in high-fat and streptozotocin-induced type 2 diabetic mice. J Appl Microbiol. 2016;121(6):1727–1736. doi: 10.1111/jam.13276. [DOI] [PubMed] [Google Scholar]
- 26.Dang F, Jiang Y, Pan R, Zhou Y, Wu S, Wang R, Zhuang K, Zhang W, Li T, Man C. Administration of Lactobacillus paracasei ameliorates type 2 diabetes in mice. Food Funct. 2018;9(7):3630–3639. doi: 10.1039/C8FO00081F. [DOI] [PubMed] [Google Scholar]
- 27.Manaer T, Yu L, Zhang Y, Xiao X-J, Nabi X-H. Anti-diabetic effects of shubat in type 2 diabetic rats induced by combination of high-glucose-fat diet and low-dose streptozotocin. J Ethnopharmacol. 2015;169:269–274. doi: 10.1016/j.jep.2015.04.032. [DOI] [PubMed] [Google Scholar]
- 28.Li K-K, Tian P-J, Wang S-D, Lei P, Qu L, Huang J-P, Shan Y-J, Li B-l. Targeting gut microbiota: Lactobacillus alleviated type 2 diabetes via inhibiting LPS secretion and activating GPR43 pathway. Journal of Functional Foods. 2017;38:561–570. doi: 10.1016/j.jff.2017.09.049. [DOI] [Google Scholar]
- 29.Qu L, Ren J, Huang L, Pang B, Liu X, Liu X, Li B, Shan Y. Antidiabetic effects of Lactobacillus casei fermented yogurt through reshaping gut microbiota structure in type 2 diabetic rats. J Agric Food Chem. 2018;66(48):12696–12705. doi: 10.1021/acs.jafc.8b04874. [DOI] [PubMed] [Google Scholar]
- 30.Sharma AK, Srinivasan B. Triple verses glimepiride plus metformin therapy on cardiovascular risk biomarkers and diabetic cardiomyopathy in insulin resistance type 2 diabetes mellitus rats. Eur J Pharm Sci. 2009;38(5):433–444. doi: 10.1016/j.ejps.2009.09.004. [DOI] [PubMed] [Google Scholar]
- 31.Mazloom Z, Yousefinejad A, Dabbaghmanesh MH. Effect of probiotics on lipid profile, glycemic control, insulin action, oxidative stress, and inflammatory markers in patients with type 2 diabetes: a clinical trial. Iranian Journal of Medical Sciences. 2013;38(1):38–43. [PMC free article] [PubMed] [Google Scholar]
- 32.Naito E, Yoshida Y, Makino K, Kounoshi Y, Kunihiro S, Takahashi R, Matsuzaki T, Miyazaki K, Ishikawa F. Beneficial effect of oral administration of Lactobacillus casei strain Shirota on insulin resistance in diet-induced obesity mice. J Appl Microbiol. 2011;110(3):650–657. doi: 10.1111/j.1365-2672.2010.04922.x. [DOI] [PubMed] [Google Scholar]
- 33.Stumvoll M, Mitrakou A, Pimenta W, Jenssen T, Yki-Järvinen H, Van Haeften T, Renn W, Gerich J. Use of the oral glucose tolerance test to assess insulin release and insulin sensitivity. Diabetes Care. 2000;23(3):295–301. doi: 10.2337/diacare.23.3.295. [DOI] [PubMed] [Google Scholar]
- 34.Hotamisligil GS. Inflammation, metaflammation and immunometabolic disorders. Nature. 2017;542(7640):177–185. doi: 10.1038/nature21363. [DOI] [PubMed] [Google Scholar]
- 35.Ma D, Forsythe P, Bienenstock J. Live Lactobacillus reuteri is essential for the inhibitory effect on tumor necrosis factor alpha-induced interleukin-8 expression. Infect Immun. 2004;72(9):5308–5314. doi: 10.1128/IAI.72.9.5308-5314.2004. [DOI] [PMC free article] [PubMed] [Google Scholar]
- 36.Tian P, Li B, He C, Song W, Hou A, Tian S, Meng X, Li K, Shan Y. Antidiabetic (type 2) effects of Lactobacillus G15 and Q14 in rats through regulation of intestinal permeability and microbiota. Food Funct. 2016;7(9):3789–3797. doi: 10.1039/C6FO00831C. [DOI] [PubMed] [Google Scholar]
- 37.Kolb H, Mandrup-Poulsen T. An immune origin of type 2 diabetes? Diabetologia. 2005;48(6):1038–1050. doi: 10.1007/s00125-005-1764-9. [DOI] [PubMed] [Google Scholar]
- 38.Rapoport MJ, Jaramillo A, Zipris D, Lazarus A, Serreze D, Leiter E, Cyopick P, Danska J, Delovitch T. Interleukin 4 reverses T cell proliferative unresponsiveness and prevents the onset of diabetes in nonobese diabetic mice. J Exp Med. 1993;178(1):87–99. doi: 10.1084/jem.178.1.87. [DOI] [PMC free article] [PubMed] [Google Scholar]
- 39.Karlsson FH, Tremaroli V, Nookaew I, Bergström G, Behre CJ, Fagerberg B, Nielsen J, Bäckhed F. Gut metagenome in European women with normal, impaired and diabetic glucose control. Nature. 2013;498(7452):99–103. doi: 10.1038/nature12198. [DOI] [PubMed] [Google Scholar]
- 40.Zhang Q, Yu H, Xiao X, Hu L, Xin F, Yu X. Inulin-type fructan improves diabetic phenotype and gut microbiota profiles in rats. PeerJ. 2018;6:e4446. doi: 10.7717/peerj.4446. [DOI] [PMC free article] [PubMed] [Google Scholar]
- 41.Wei X, Tao J, Xiao S, Jiang S, Shang E, Zhu Z, Qian D, Duan J. Xiexin Tang improves the symptom of type 2 diabetic rats by modulation of the gut microbiota. Sci Rep. 2018;8(1):1–12. doi: 10.1038/s41598-018-22094-2. [DOI] [PMC free article] [PubMed] [Google Scholar]
- 42.Eckburg PB, Bik EM, Bernstein CN, Purdom E, Dethlefsen L, Sargent M, Gill SR, Nelson KE, Relman DA. Diversity of the human intestinal microbial flora. Science. 2005;308(5728):1635–1638. doi: 10.1126/science.1110591. [DOI] [PMC free article] [PubMed] [Google Scholar]
- 43.Goldstein EJ, Citron DM, Peraino VA, Cross SA. Desulfovibrio desulfuricans bacteremia and review of human Desulfovibrio infections. J Clin Microbiol. 2003;41(6):2752–2754. doi: 10.1128/JCM.41.6.2752-2754.2003. [DOI] [PMC free article] [PubMed] [Google Scholar]
- 44.Egshatyan L, Kashtanova D, Popenko A, Tkacheva O, Tyakht A, Alexeev D, Karamnova N, Kostryukova E, Babenko V, Vakhitova M. Gut microbiota and diet in patients with different glucose tolerance. Endocr Connect. 2016;5(1):1–9. doi: 10.1530/EC-15-0094. [DOI] [PMC free article] [PubMed] [Google Scholar]
- 45.Yan X, Feng B, Li P, Tang Z, Wang L. Microflora disturbance during progression of glucose intolerance and effect of sitagliptin: an animal study. J Diabetes Res. 2016;2016:1–10. doi: 10.1155/2016/2093171. [DOI] [PMC free article] [PubMed] [Google Scholar]
- 46.Tuovinen E, Keto J, Nikkilä J, Mättö J, Lähteenmäki K. Cytokine response of human mononuclear cells induced by intestinal Clostridium species. Anaerobe. 2013;19:70–76. doi: 10.1016/j.anaerobe.2012.11.002. [DOI] [PubMed] [Google Scholar]
- 47.Tong X, Xu J, Lian F, Yu X, Zhao Y, Xu L, Zhang M, Zhao X, Shen J, Wu S. Structural alteration of gut microbiota during the amelioration of human type 2 diabetes with hyperlipidemia by metformin and a traditional Chinese herbal formula: a multicenter, randomized, open label clinical trial. MBio. 2018;9(3):e02392–e2317. doi: 10.1128/mBio.02392-17. [DOI] [PMC free article] [PubMed] [Google Scholar]
- 48.Wu X, Ma C, Han L, Nawaz M, Gao F, Zhang X, Yu P, Li L, Zhou A, Wang J. Molecular characterisation of the faecal microbiota in patients with type II diabetes. Curr Microbiol. 2010;61(1):69–78. doi: 10.1007/s00284-010-9582-9. [DOI] [PubMed] [Google Scholar]
- 49.Murphy R, Tsai P, Jüllig M, Liu A, Plank L, Booth M. Differential changes in gut microbiota after gastric bypass and sleeve gastrectomy bariatric surgery vary according to diabetes remission. Obes Surg. 2017;27(4):917–925. doi: 10.1007/s11695-016-2399-2. [DOI] [PubMed] [Google Scholar]
- 50.Szabo G, Bala S. Alcoholic liver disease and the gut-liver axis. World J Gastroenterol: WJG. 2010;16(11):1321. doi: 10.3748/wjg.v16.i11.1321. [DOI] [PMC free article] [PubMed] [Google Scholar]
- 51.Moreno-Navarrete JM, Escote X, Ortega F, Serino M, Campbell M, Michalski M-C, Laville M, Xifra G, Luche E, Domingo P. A role for adipocyte-derived lipopolysaccharide-binding protein in inflammation-and obesity-associated adipose tissue dysfunction. Diabetologia. 2013;56(11):2524–2537. doi: 10.1007/s00125-013-3015-9. [DOI] [PubMed] [Google Scholar]
- 52.Tilg H, Moschen AR, Roden M. NAFLD and diabetes mellitus. Nat Rev Gastroenterol Hepatol. 2017;14(1):32–42. doi: 10.1038/nrgastro.2016.147. [DOI] [PubMed] [Google Scholar]
- 53.Wang N, Wang H, Yao H, Wei Q, Mao X-M, Jiang T, Xiang J, Dila N. Expression and activity of the TLR4/NF-κB signaling pathway in mouse intestine following administration of a short-term high-fat diet. Exp Ther Med. 2013;6(3):635–640. doi: 10.3892/etm.2013.1214. [DOI] [PMC free article] [PubMed] [Google Scholar]
- 54.Wang Y, Tu Q, Yan W, Xiao D, Zeng Z, Ouyang Y, Huang L, Cai J, Zeng X, Chen Y-J. CXC195 suppresses proliferation and inflammatory response in LPS-induced human hepatocellular carcinoma cells via regulating TLR4-MyD88-TAK1-mediated NF-κB and MAPK pathway. Biochem Biophys Res Commun. 2015;456(1):373–379. doi: 10.1016/j.bbrc.2014.11.090. [DOI] [PubMed] [Google Scholar]
- 55.Karin M. The beginning of the end: IκB kinase (IKK) and NF-κB activation. J Biol Chem. 1999;274(39):27339–27342. doi: 10.1074/jbc.274.39.27339. [DOI] [PubMed] [Google Scholar]
- 56.Barnes PJ, Karin M. Nuclear factor-κB—a pivotal transcription factor in chronic inflammatory diseases. N Engl J Med. 1997;336(15):1066–1071. doi: 10.1056/NEJM199704103361506. [DOI] [PubMed] [Google Scholar]
- 57.Fuentes-Antrás J, Ioan AM, Tuñón J, Egido J, Lorenzo O. Activation of Toll-like receptors and inflammasome complexes in the diabetic cardiomyopathy-associated inflammation. Int J Endocrinol. 2014;2014(6):847827. doi: 10.1155/2014/847827. [DOI] [PMC free article] [PubMed] [Google Scholar]
- 58.Yang L, Wang Z, Jiang L, Sun W, Liu T (2017) Total flavonoids extracted from Oxytropis falcata Bunge improve insulin resistance through regulation on the IKKβ/NF-κB inflammatory pathway. Evid-Based Complement Alternat Med 2017,(2017–3–26) 2017 (7):1–6 [DOI] [PMC free article] [PubMed]
- 59.She M, Hou H, Wang Z, Zhang C, Laudon M, Yin W. Melatonin rescues 3T3-L1 adipocytes from FFA-induced insulin resistance by inhibiting phosphorylation of IRS-1 on Ser307. Biochimie. 2014;103:126–130. doi: 10.1016/j.biochi.2014.05.001. [DOI] [PubMed] [Google Scholar]
- 60.Wellen KE, Hotamisligil GS. Inflammation, stress, and diabetes. J Clin Investig. 2005;115(5):1111–1119. doi: 10.1172/JCI25102. [DOI] [PMC free article] [PubMed] [Google Scholar]
- 61.Pirola L, Johnston A, Van Obberghen E. Modulation of insulin action. Diabetologia. 2004;47(2):170–184. doi: 10.1007/s00125-003-1313-3. [DOI] [PubMed] [Google Scholar]
- 62.Bryant NJ, Govers R, James DE. Regulated transport of the glucose transporter GLUT4. Nat Rev Mol Cell Biol. 2002;3(4):267–277. doi: 10.1038/nrm782. [DOI] [PubMed] [Google Scholar]
- 63.Li X, Wang E, Yin B, Fang D, Chen P, Wang G, Zhao J, Zhang H, Chen W. Effects of Lactobacillus casei CCFM419 on insulin resistance and gut microbiota in type 2 diabetic mice. Beneficial Microbes. 2017;8(3):421–432. doi: 10.3920/BM2016.0167. [DOI] [PubMed] [Google Scholar]
- 64.Le TKC, Hosaka T, Nguyen TT, Kassu A, Dang TO, Tran HB, Pham TP, Tran QB, Le THH, Da Pham X. Bifidobacterium species lower serum glucose, increase expressions of insulin signaling proteins, and improve adipokine profile in diabetic mice. Biomed Res. 2015;36(1):63–70. doi: 10.2220/biomedres.36.63. [DOI] [PubMed] [Google Scholar]
Associated Data
This section collects any data citations, data availability statements, or supplementary materials included in this article.







