Abstract
Tuberculosis bacilli can enter the human body through the respiratory system, digestive system, or skin and mucous membranes, with the respiratory tract representing the primary point of entry. Once inside the body, tuberculosis bacilli can enter the bloodstream and attack other organs, including the lymphatic system. One manifestation associated with lymphatic tuberculosis infiltration is the presence of large hilar and mediastinal lymph nodes, which are common in children and classified as primary tuberculosis. A diagnosis of primary tuberculosis in adults is often overlooked by doctors due to its low frequency. When a single enlarged mediastinal lymph node is observed, most doctors suspect other causes, especially malignancy. Determining the correct diagnosis for enlarged hilar and mediastinal lymph nodes can be difficult because diagnostic interventions in this area are challenging to perform. We report a clinical case of primary lymph node tuberculosis in an adult, confirmed by endobronchial ultrasound-guided transbronchial needle aspiration. We aim to provide doctors with a more comprehensive approach for diagnosing this disease.
Keywords: Mycobacteria tuberculosis, TB, Lymph node TB, EBUS-TBNA, Mediastinum lymph node TB, Endobronchial ultrasound-guided transbronchial needle aspiration, Mediastinal and hilar lymphadenopathy
Introduction
Tuberculosis (TB) was identified more than 100 years ago but remains a commonly encountered infectious disease worldwide, especially in developing countries [1], [2], [3]. The disease claims more than 1 million lives each year and causes a considerable disease burden in many countries, including Vietnam [3]. TB bacilli can enter the human body through the respiratory system, digestive system, or skin and mucous membranes, with the respiratory tract representing the primary point of entry (70%-80% of cases). After entering the lungs, TB bacilli must survive a period of intense resistance against the body's immune system, and TB can lie dormant for long periods of time (inactive or latent TB), reactivating during periods when the immune system is weakened or other favorable circumstances present. Activated TB can cause widespread damage by entering the bloodstream and attacking other organs, including the lymphatic system [4]. Hematogenous infiltrations often manifest as miliary TB, tuberculous brain abscess, or meningoencephalitis [5]. Lymphatic infiltrations present as enlarged hilar and mediastinal lymph nodes [1,2,[4], [5], [6], [7]. If only enlarged hilar lymph nodes are present in the mediastinum, the disease is typically classified as primary TB. According to the current classification guidelines established by the World Health Organization, primary TB infections can be categorized into either uncomplicated or complicated primary infections. Uncomplicated primary TB typically presents with enlarged hilar lymph nodes located only in the mediastinum. Complicated primary TB infections are diagnosed when enlarged lymph nodes compress airways, causing partial or complete airway obstruction and resulting in air retention or atelectasis. Complications become more severe when the lymph nodes produce pus and burst, leaking pus into the airways and facilitating the spread of TB through the airways by humoral mechanisms [1,8,9].
Primary TB infections are commonly diagnosed in children, particularly children younger than 5 years, and are rarely encountered in adults [1,2,10,11]. Due to its rarity, primary TB diagnoses can often be missed in adults. Diagnostic evaluations of enlarged hilar and mediastinal lymph nodes are often difficult, and diagnostic interventions in this area can be complex [12]. Endobronchial transbronchial lymph node biopsy is considered a “blind” technique that is less safe than other procedures and is, therefore, rarely performed. Mediastinoscopy is rarely used because it is a difficult and invasive technique associated with many complications [13,14]. Endobronchial ultrasound-guided transbronchial needle aspiration (EBUS-TBNA), in which bronchoscopy is guided by a bronchial pressure ultrasound (EBUS) to biopsy mediastinal lymph nodes through the bronchial wall, is increasingly being used in developing countries [14], [15], [16]. The National Lung Hospital was the first hospital specializing in the treatment of TB and lung diseases in Vietnam to apply this technique.
We report a case of primary mediastinal lymphadenopathy in an adult patient with chronic renal failure who required regular dialysis. The patient was referred to our hospital for a wellness check to prepare for a kidney transplant. On chest computed tomography (CT), many large mediastinal lymph nodes appeared, and the patient was diagnosed with TB following EBUS-TBNA. Histopathological morphology was consistent with a TB lesion, and a culture of the biopsy fragment was positive for Mycobacterium tuberculosis (MTB). The patient received TB-specific treatment with excellent results. We continue to closely monitor this patient in preparation for a kidney transplant.
Case report
A 27-year-old man presented to the National Lung Hospital to prepare for a kidney transplant, with a 6-year history of hypertension, diagnosed with chronic kidney failure 2 years prior, and was receiving hemodialysis 3 times per week.
He was generally healthy with normal development until hypertension was detected, and no family members were diagnosed with TB. The patient was indicated for a kidney transplant due to worsening kidney failure. Before performing kidney transplant procedures, the possibility of TB infection must be carefully considered and excluded.
Laboratory hematology tests were within normal limits, and the following blood biochemical tests revealed 23.8 mmol/L urea and 1248.0 µmol/L creatinine, with all other parameters within normal limits. The Interferon Gamma Release Assay (IGRA, QuantiFERON-TB Gold Plus) was positive, and C-reactive protein, a marker of inflammation, was slightly increased at 13.6 mg/L. Urine biochemistry results were normal.
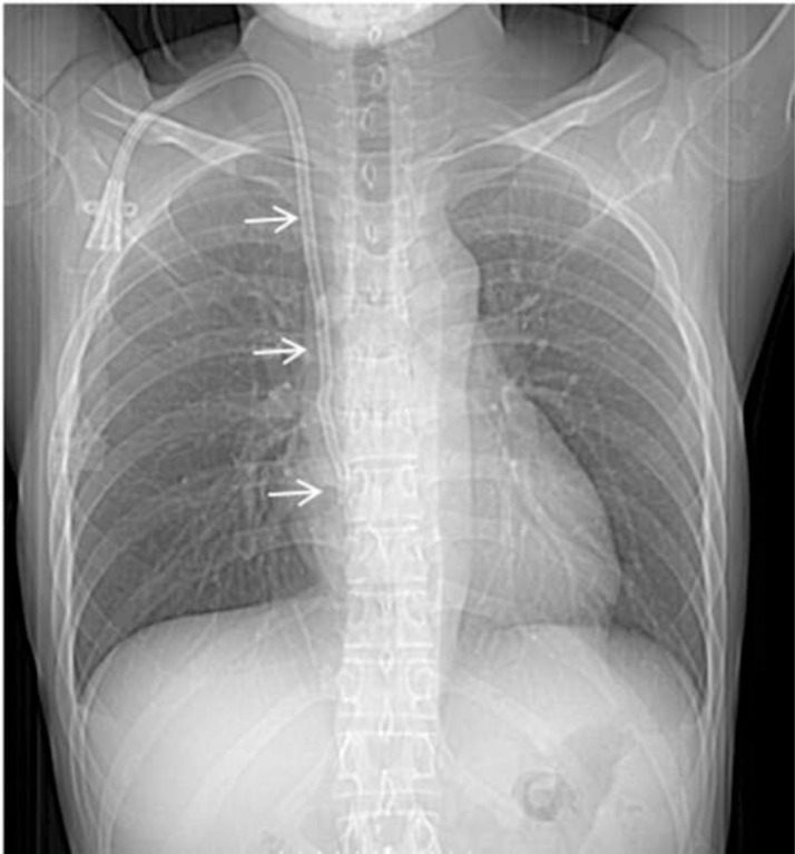
The patient underwent a chest X-ray, which did not reveal any abnormalities (Fig. 1). Abdominal ultrasound and electrocardiogram also revealed no abnormalities. Ultrasonography of the urinary system displayed bilateral renal parenchymal echogenicity. The patient underwent sputum TB tests (direct endoscopy, GeneXpert MTB/RIF) with negative results.
Fig. 1.
Conventional chest radiograph. The chest radiograph appeared normal. A fixed catheter appears on the image near the right atrium, which is used for cyclic hemodialysis (arrow).
The patient had a chest computed tomography (CT) scan using a 64-slice machine before and immediately after intravenous contrast injection (Xenetic 350 × 100 ml, injected at 4 mL/s). The following parameters were used: 130 kV; Xtube, 115 mA; slice thickness, 3 mm; window width (WW)/window level (WL), 1200/ −800 (lung parenchymal window); WW/WL, 350/50 (mediastinal window). Multiplanar reformation rendering was performed to reconstruct 0.75 mm thin slices. The images and detailed results are shown in Figures 2 and 3.
Fig. 2.
Chest computed tomography showing the lung window slices from top to bottom. (A–D) Mildly enlarged lungs with no parenchymal abnormalities were observed.
Fig. 3.
Chest computed tomography showing the mediastinal window after contrast injection from top to bottom. (A and B) Large groups of 2R mediastinal lymph nodes (white upper node). (C) Group 4R (yellow arrow) and group 5 (red arrow) mediastinal large lymph nodes. (D) Group 7 mediastinal large lymph node (blue arrow). The lymph nodes have a clear border, with little contrast enhancement, and are uniform.
A multi-expert panel was assembled to synthesize the clinical, paraclinical, and diagnostic imaging data, with the following differential diagnoses: (1) tuberculosis; (2) lymphoma (primary or metastatic); or (3) sarcoidosis. Determining which of these possible diagnoses was the most likely was challenging.
Groups of mediastinal lymph nodes near the trachea could be observed on CT after contrast injection. Therefore, a lymph node biopsy using EBUS was indicated. The patient was tested for hemostasis, and the results were within normal limits (prothrombin time [PT]: 13 seconds; international normalized ratio: 0.98; Food safety: 34.1 seconds; Fibrinogen: 5.01 g/l; TT: 16.8 seconds; Coagulation test: Absolutely).
The patient underwent EBUS with sedation (without global anesthetics), and anesthesia was applied to the airway mucosal passages. The endoscopic images did not show abnormalities in the tracheal lumen or main bronchus on either side. Ultrasound images showed large lymph nodes in groups 4R, 4L (largest lymph node size 20 mm), and group 7 (maximum size 25 mm). Transtracheal aspiration was performed under ultrasound guidance to retrieve group 4R and group 7 lymph nodes. The procedure was performed successfully and without complications. After the biopsy, the patient was awake, with no dyspnea, and the pulse and blood pressure were stable. The EBUS and TBNA image is detailed in Figure 4.
Fig. 4.
Lymph node biopsy using transbronchial needle aspiration under endobronchial ultrasound guidance (A) The carina appears normal. (B) Group 2R large ganglion (arrow). (C) Large lymph node group 4R (arrow). (D) Large lymph node group 4L (arrow). (E) Group 7 large ganglion (arrow). (F) Needle biopsy in group 7 lymph nodes.
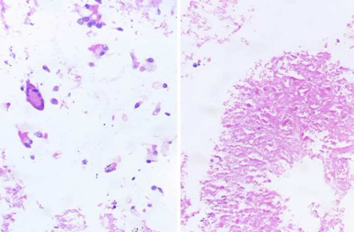
Specimens were examined for cells, histopathology, cultured in liquid medium (using a Mycobacteria growth indicator tube [MGIT]), and line probe assay. MGIT results were positive for MTB, and line probe assay results revealed MTB with sensitivity to rifampicin and undetermined sensitivity to isoniazid. The cytological examination of lymph node biopsy specimens revealed necrotizing inflammatory lesions consistent with TB. Histopathological results of the biopsy specimens also revealed lesions consistent with TB. Detailed microscopic images are shown in Figure 5.
Fig. 5.
Lymph node biopsy under endobronchial ultrasound guidance. Template code: 3344-B20. Microscopically, the small biopsy fragment was a homogeneous substance with the necrotic form consistent with tuberculosis (Green arrow), mixed with some Langerhans giant cells (red arrow), lymphocytes (black arrow), and normal bronchial epithelial cells (yellow arrow). No malignant cells were found. These images were consistent with tuberculosis lesions. *Diagnosis confirmed case: Primary TB in the mediastinal lymph node.
The patient was treated for adult lymph node TB using 2 months of rifampicin, isoniazid, pyrazinamide, and ethambutol (2RHZE) and 10 months of rifampicin, isoniazid, and ethambutol (10RHE), according to the guidelines established by the National TB control program, and continued to receive hemodialysis at the provincial hospital throughout TB treatment. The patient received regular monthly follow-up evaluations.
Due to complications associated with the coronavirus disease 2019 (COVID-19) pandemic in Hanoi, the patient was prevented from attending some follow-up visits at our hospital but was monitored and treated at a provincial TB hospital. During this time, the patient received 2 injections of the COVID-19 vaccine from the local health care provider, separated by 4 months. After 6 months of treatment, after the epidemic had subsided, the patient returned to our hospital for re-examination. Routine tests showed normal TB test results (although urea and creatinine remained elevated due to kidney failure). Chest CT images showed excellent results. Detailed images are shown in Figures 6 and 7.
Fig. 6.
Chest computed tomography of the lung window, after 6 mo of tuberculosis treatment, with slices displayed from top to bottom. (A–D) Mildly enlarged lungs with no parenchymal abnormalities (images remained unchanged compared with the pretreatment film in Fig. 1).
Fig. 7.
Chest computed tomography of the mediastinal window, with no contrast injection, after 6 mo of tuberculosis treatment, with slices displayed from top to bottom slices (similar to Fig. 2). (A) Group 2R lymph nodes were reduced in size and calcified (arrow). (B) Group 4R lymph nodes were reduced in size and calcified (arrow). (C) Group 5 lymph nodes were not observed (arrow). (D) Group 7 lymph nodes were reduced in size and calcified (arrow).
After reviewing the overall examination results, the patient was determined to have had a good response to TB treatment. The patient continued to be treated on an outpatient basis and was periodically examined at the provincial TB hospital. We continue to monitor this patient. Once TB treatment has been completed, the patient will undergo a kidney transplant.
Discussion
TB bacilli can enter the human body through the respiratory system, the digestive system, or the skin and mucous membranes, with the most common entry point being the respiratory tract (70%-80% of cases) [1,2]. After entering the lungs, TB bacilli are often subjected to intense resistance from the body's immune system, and TB can lie dormant for long time periods of time, resulting in inactivity (referred to as latent TB). When the body's immune system is weakened, or favorable circumstances develop, TB can reactivate, causing widespread damage by entering the bloodstream to attack other organs, including the lymphatic system [1,2,16,17]. Invasion of the bloodstream often results in miliary TB, TB of the brain, or meningitis. Lymphatic infiltration often presents with enlarged lymph nodes in the hilum, mediastinum, and sometimes the lung. Enlarged hilar lymph nodes observed only in the mediastinum are classified as primary TB [1,2]. According to the current classification of the World Health Organization, primary infections are categorized into uncomplicated primary infections and complicated primary infections. Uncomplicated primary TB usually presents only with enlarged hilar lymph nodes in the mediastinum [1,2,4]. Complicated primary TB infection occurs when enlarged lymph nodes begin to compress the airways, causing partial or complete airway obstruction leading to air retention or atelectasis. Complications become more severe when TB lymph nodes produce pus and burst into the airways, resulting in the spread of TB spreading throughout the airways by a humoral mechanism. In our case, the patient was not previously diagnosed with latent TB. When kidney failure developed, the patient's immunity and resistance decreased, allowing latent TB to develop into primary TB. Similar to other primary TB cases reported in adults, the patient was completely asymptomatic, and TB was incidentally discovered during a general physical examination while preparing for a kidney transplant. This outcome indicates that patients with underlying diseases associated with immunodeficiency should be actively examined for TB to ensure the early detection and treatment of activated latent TB in this population. Between 5% and 10% of people diagnosed with latent TB are likely to become lifelong TB patients [2]. The treatment of latent TB cases represents an important step toward ending TB cases in many countries, including Vietnam [3,4].
Latent TB and primary infection are both classified as primary TB [1,2,4]. Latent TB is diagnosed when a patient only presents with immunological changes associated with TB, confirmed by either a positive TB skin test or IGRA, without clinical or chest radiograph abnormalities [1,2,4]. During active community TB screening campaigns in Vietnam, many cases of latent TB have been detected in adults. The question of whether these individuals will progress to primary TB if they are left untreated has remained unresolved; however, our case report provides an answer to this question.
Primary TB is typically diagnosed in children, often occurring in individuals previously diagnosed with latent TB. The criteria for a primary TB diagnosis include all diagnostic criteria for latent TB plus clinical signs and evidence of active infection and organ damage as assessed by imaging and histopathology [1,2,11]. A diagnosis of primary TB in adults includes similar criteria.
In the case we reported, TB-related damage to the mediastinal lymph nodes was clearly observed, microscopic examinations of the specimen were consistent with TB lesion, and the culture was positive for MTB. The patient also had a positive anti-TB antibody result on the IGRA. The patient was likely to harbor latent TB that was activated to induce primary TB when the body's immunity was weakened as a result of kidney failure. Fortunately, TB was detected during the early stage, without complications, resulting in a good response to treatment, and the only observed sequelae were calcified lymph nodes in the mediastinum, consistent with the transformation process of tuberculous lymph nodes reported in the literature [1,2,4].
Contrast enhancement features for tuberculous lymph nodes on CT have been described in specialized radiological reports and literature. TB causes central necrosis, with no evidence of contrast infiltration on CT, whereas strong peripheral infiltration is typically observed due to inflammation in the congestive state [5,6,10]. TB nodes exist in a constant wet, inflammatory state, promoting their aggregation into clusters. However, these features were not observed in our case, which may indicate that our case was detected early enough that inflammatory adhesion and core necrosis had not yet developed. The lack of these typical TB features resulted in the inclusion of malignant lymphadenopathy in the differential diagnosis. To determine the appropriate diagnosis, we attempted to exclude TB by performing EBUS-TBNA. The procedure was successful, uncomplicated, and resulted in a rapid TB diagnosis, early treatment, and excellent initial outcomes.
TB lesions that form anywhere will eventually display calcification. Tuberculous lymph node calcification is a common occurrence, with or without treatment. In our case, after 6 months of follow-up, most of the lymph nodes were reduced in size with clear signs of calcification, further supporting that the TB diagnosis and treatment were appropriate in this case. The patient is still very young (27 years old) and has a family member willing to donate a kidney. The patient has a potentially long life ahead of him, and we are very happy with the result, which requires a great deal of effort to achieve.
Performing a biopsy of mediastinal lymph nodes through the tracheobronchial wall using bronchoscopy alone is considered a blind biopsy, and interventional endoscopic doctors are often hesitant to perform these biopsies due to the possibility of bleeding complications, resulting in these types of biopsies being classified as contraindicated. Since we acquired the EBUS system, the performance of biopsies on groups of mediastinal lymph nodes located proximal to airways has become routine. Our experts are trained in this technique in Japan and have successfully implemented this technique in multiple hospitals. The combination of EBUS and contrast-enhanced chest CT to select promising nodes for biopsy has made this technique increasingly more precise, with enhanced sensitivity, specificity, and accuracy. Many studies worldwide have examined the sensitivity, specificity, and safety of EBUS-TBNA for diagnosing mediastinal large lymph node etiology, demonstrating its superiority and highlighting the integral role of this technique in clinical contexts, in addition to describing its development potential [13], [14], [15], [16], [17], [18].
The standard of care for treating lymph node TB often requires longer treatment than pulmonary TB alone because TB drugs require a longer time in the blood circulation phase to infiltrate the lymphatic system [1,2,4]. Our case followed WHO guidelines, and, fortunately, no side effects were observed and requiring treatment cessation even though the patient was experiencing kidney failure. The patient is currently in stable condition and remains closely monitored by our group.
Conclusion
We report a case of adult primary TB that was incidentally detected in a patient with chronic renal failure undergoing hemodialysis. No clinical signs were detected, imaging was atypical, and many differential diagnoses were suspected. TB was confirmed by EBUS-TBNA, and the biopsy was pathologically evaluated (cells, diseased tissue), cultured in liquid medium (MGIT), and positive MTB results were obtained. The patient was treated specifically for TB with excellent results. We aim to emphasize the role of EBUS-TBNA in biopsies of large mediastinal lymph nodes for suspected TB cases allowing for earlier definitive diagnoses. Using this case, we recommend that our colleagues, particularly those in underpriviledged countries, should attempt to develop this technology in hospitals due to the beneficial outcomes that can be obtained.
Availability of data and materials
Data sharing is not applicable to this article as no datasets were generated or analyzed during the current study.
Author contributions
Cung-Van C and Nguyen MD contributed equally to this article as co-first authors. All authors read and approved final version of this manuscript.
Ethics approval
Not applicable.
Patient consent
Written informed consent was obtained from the patient for the publication.
Footnotes
Acknowledgments: No funding was received.
Competing interests: The authors declare that they have no competing interests.
Contributor Information
Tran-Thi Ly, Email: ly13021984@gmail.com.
Nguyen Minh Duc, Email: bsnguyenminhduc@pnt.edu.vn.
References
- 1.W. Richard Webb, Charles B. Higgins. Thoracic imaging: pulmonary and cardiovascular radiology. 2017; 3 E; p. 417–425.
- 2.W. Richard Webb, Nestor L. Muller, David P. Naidich. High – resolution CT of the lung. 2015; 5 E; p. 429–446.
- 3.Chakaya J, Khan M, Ntoumi F, Aklillu E, Fatima R, Mwaba P, et al. Global tuberculosis report 2020 - reflections on the global TB burden, treatment and prevention efforts. Int J Infect Dis. 2021;(Suppl 1):S7–S12. doi: 10.1016/j.ijid.2021.02.107. Epub 2021 Mar 11.PMID: 33716195. [DOI] [PMC free article] [PubMed] [Google Scholar]
- 4.Nachiappan AC, Rahbar K, Shi X, Guy ES, Barbosa Mortani, Jr EJ, et al. Pulmonary tuberculosis: role of radiology in diagnosis and management. Radiographics. 2017;37(1):52–72. doi: 10.1148/rg.2017160032. PMID: 28076011. [DOI] [PubMed] [Google Scholar]
- 5.Li D, He W, Chen B, Lv P. Primary multidrug-resistant tuberculosis versus drug-sensitive tuberculosis in non-HIV-infected patients: comparisons of CT findings. PLoS One. 2017;12(6) doi: 10.1371/journal.pone.0176354. eCollection 2017.PMID: 28586348. [DOI] [PMC free article] [PubMed] [Google Scholar]
- 6.Yoon JY, Lee IJ, Im HJ, Lee K, Lee Y, Bae SH. CT findings in apical versus basal involvement of pulmonary tuberculosis. Diagn Interv Radiol. 2013;19(2):85–90. doi: 10.4261/1305-3825.DIR.6025-12.3. PMID: 23019057. [DOI] [PubMed] [Google Scholar]
- 7.Yang WB, Wang HL, Mao JT, Chen Z, Xu JW, Wang LH, et al. The correlation between CT features and insulin resistance levels in patients with T2DM complicated with primary pulmonary tuberculosis. J Cell Physiol. 2020;235(12):9370–9377. doi: 10.1002/jcp.29741. Epub 2020 Apr 28.PMID: 32346889. [DOI] [PubMed] [Google Scholar]
- 8.Werutsky G, Hochhegger B, Lopes de Figueiredo Pinto JA, Martínez-Mesa J, Zanini ML, Berdichevski EH, et al. PET-CT has low specificity for mediastinal staging of non-small-cell lung cancer in an endemic area for tuberculosis: a diagnostic test study (LACOG 0114) BMC Cancer. 2019;19(1):5. doi: 10.1186/s12885-018-5233-5. PMID: 30606144. [DOI] [PMC free article] [PubMed] [Google Scholar]
- 9.Loddenkemper R, Lipman M, Zumla A. Clinical aspects of adult tuberculosis. Cold Spring Harb Perspect Med. 2015;6(1) doi: 10.1101/cshperspect.a017848. PMID: 25659379. [DOI] [PMC free article] [PubMed] [Google Scholar]
- 10.Van Dyck P, Vanhoenacker FM, Van den Brande P, De Schepper AM. Imaging of pulmonary tuberculosis. Eur Radiol. 2003;13(8):1771–1785. doi: 10.1007/s00330-002-1612-y. Epub 2002 Aug 10.PMID: 1294228. [DOI] [PubMed] [Google Scholar]
- 11.Okada F, Ando Y, Yoshitake S, Ono A, Tanoue S, Matsumoto S, et al. Clinical/pathologic correlations in 553 patients with primary centrilobular findings on high-resolution CT scan of the thorax. Chest. 2007;132(6):1939–1948. doi: 10.1378/chest.07-0482. PMID: 18079227. [DOI] [PubMed] [Google Scholar]
- 12.Eisenhuber E, Mostbeck G, Bankier A, Stadler A, Rumetshofer R. Radiologic diagnosis of lung tuberculosis. Radiologe. 2007;47(5):393–400. doi: 10.1007/s00117-006-1458-4. PMID: 17225185. [DOI] [PubMed] [Google Scholar]
- 13.Lin CK, Keng LT, Lim CK, Lin YT, Lin SY, Chen LY, et al. Diagnosis of mediastinal tuberculous lymphadenitis using endobronchial ultrasound-guided transbronchial needle aspiration with rinse fluid polymerase chain reaction. J Formos Med Assoc. 2020;119(1 Pt 3):509–515. doi: 10.1016/j.jfma.2019.07.014. Epub 2019 Jul 31.PMID: 31377114. [DOI] [PubMed] [Google Scholar]
- 14.Thangakunam B, Isaac BTJ, Christopher DJ. Endobronchial ultrasound experience in a high tuberculosis prevalence setting. Indian J Tuberc. 2017;64(3):196–200. doi: 10.1016/j.ijtb.2016.11.035. Epub 2017 Feb 13.PMID: 28709488. [DOI] [PubMed] [Google Scholar]
- 15.Mohan VF, Nangia V, Singh AK, Behl R, Dumeer N. Performance of cytology, acid-fast bacilli smear, gene Xpert and mycobacterial cultures in endobronchial ultrasound-transbronchial needle aspiration aspirate in diagnosing mediastinal tuberculous lymphadenitis. Lung India. 2021;38(2):122–127. doi: 10.4103/lungindia.lungindia_128_20. PMID: 33687004. [DOI] [PMC free article] [PubMed] [Google Scholar]
- 16.Boonsarngsuk V, Saengsri S, Santanirand P. Endobronchial ultrasound-guided transbronchial needle aspiration rinse fluid polymerase chain reaction in the diagnosis of intrathoracic tuberculous lymphadenitis. Infect Dis (Lond) 2017;49(3):193–199. doi: 10.1080/23744235.2016.1244613. Epub 2016 Oct 21.PMID: 27766918. [DOI] [PubMed] [Google Scholar]
- 17.Aljohaney AA. Utility and safety of endobronchial ultrasound-guided transbronchial needle aspiration in patients with mediastinal and hilar lymphadenopathy: Western region experience. Ann Thorac Med. 2018;13(2):92–100. doi: 10.4103/atm.ATM_317_17. PMID: 29675060. [DOI] [PMC free article] [PubMed] [Google Scholar]
- 18.Gahlot T, Parakh U, Verma K, Bhalotra B, Jain N. Endobronchial ultrasound-guided transbronchial needle aspiration in diagnosing mediastinal lymphadenopathy. Lung India. 2017;34(3):241–246. doi: 10.4103/0970-2113.205339. PMID: 28474649. [DOI] [PMC free article] [PubMed] [Google Scholar]
Associated Data
This section collects any data citations, data availability statements, or supplementary materials included in this article.
Data Availability Statement
Data sharing is not applicable to this article as no datasets were generated or analyzed during the current study.







