Abstract
Background
Vitreoretinal lymphomas are difficult to diagnose due to their insidious onset and inaccessible focal points. Natural killer/T-cell derived malignancies are rare as intraocular lymphomas and usually have a rapid progression and a poor prognosis. Therefore, it is essential to make a definite diagnosis, especially differentially with B-cell-derived lymphomas, which account for most cases of vitreoretinal lymphomas.
Case presentation
This case report describes a 55-year-old female reporting a 10-month history of painless decline in her vision of the right eye. Optical coherence tomography of the patient revealed hyperreflective nodules and irregular humps in the retinal pigment epithelium layer. The right vitreous was aspirated for diagnostic assessment, revealing an interleukin-10 level of 39.4 pg/mL and an interleukin-10/interleukin-6 ratio of 1.05. The right vitreous humor was positive for Epstein–Barr virus DNA. Upon a systemic examination, a high metabolic nodule was found in the retroperitoneal area and proven to be positive for Epstein–Barr virus-encoded mRNA, CD2, CD3ε, TIA-1, and Ki-67. Considering the homology of the two lesions, the patient was diagnosed with metastatic vitreoretinal lymphoma secondary to retroperitoneal extranodal natural killer/T-cell derived lymphoma. The patient received systemic chemotherapy and regular intravitreal injections of methotrexate. Her visual acuity of the right eye had improved from 20/125 to 20/32 at the latest follow-up. No new lesions were found.
Conclusions
A definitive diagnosis of vitreoretinal lymphoma is challenging. On some occasions in which pathological evidence is missing, the available examination results and clinical observations must be comprehensively considered. This study herein summarized pertinent pieces of literature and reports and reviewed available practicable methods to make a definitive diagnosis of intraocular extranodal natural killer/T-cell lymphoma, which was particularly distinct from the common diffuse large B-cell lymphomas.
Keywords: Extranodal natural killer/T-cell lymphoma, Vitreoretinal lymphoma, Diffuse large B cell lymphoma, Epstein-Barr virus, Case report, Metastatic lymphoma, Intraocular lymphoma, Differential diagnosis, The optical coherence tomography
Background
Vitreoretinal lymphoma (VRL), a masquerade syndrome mimicking chronic uveitis or vitritis, is mostly classified as diffuse large B-cell lymphoma (DLBCL), with a few cases being derived from natural killer (NK) or cytotoxic T cells [1]. Extranodal natural killer/T-cell lymphoma, nasal type (ENKTL), an NK/T-cell derived malignant lymphoma, is characterized by scarceness and aggression [2]. The majority of ENKTL occurs in the nasopharynx, and cases of vitreoretinal ENKTL without nasal lesions are therefore extremely rare [3]. Its rarity, along with its clinical presentations and imaging manifestations similar to those of intraocular DLBCL, might result in a delayed or erroneous diagnosis. In recent years, emerging ocular examination techniques, such as optical coherence tomography (OCT), indocyanine green angiography (ICGA), and aqueous or vitreous humoral testing, have greatly promoted the diagnosis of intraocular tumours [4, 5]. This study presents a case of recurrent glucocorticoid-resistant uveitis, which was eventually diagnosed as vitreoretinal ENKTL secondary to retroperitoneal lymphoma.
Case presentation
A 55-year-old Chinese female was admitted for a 10-month history of painless decline in her vision of the right eye. The patient was initially diagnosed with chronic uveitis and received glucocorticoid-based therapy; however, she responded poorly and was thus referred to our hospital. She reported a transient history of eye redness but no history of photophobia, floaters, flashes, or scotoma in her right eye. During the systemic review of the patient, no symptoms of oral ulcers, vitiligo, alopecia, headaches, or joint pain were revealed. The patient did not experience any eye trauma or surgery.
Her ophthalmic examination revealed a visual acuity measuring 20/125 OD and 20/25 OS, and her noncontact intraocular pressure values were 13 and 15 mmHg, respectively. The results of both the extraocular appearance and muscle movement examinations were normal. The patient's pupillary light reflex was satisfactory, and her relative afferent pupillary defect was absent. Meticulous slip-lamp examination of the patient's right eye revealed diffuse mutton-fat keratic precipitates, 2 + anterior chamber (AC) cells, and 2 + AC flares. Severe vitreous opacities in the right eye obscured the dilated fundus examination (CLARUS™ 500, Carl Zeiss Meditec AG, Germany) (Fig. 1a). OCT (Cirrus HD-OCT, Carl Zeiss Meditec, Inc., United States) of the right eye showed high-density reflective spots (indicated by the arrow in Fig. 2a) in the retinal pigment epithelium (RPE) layer, while Bruch’s membrane remained intact. Spotted hypofluorescence was observed at the posterior pole and mid-peripheral retina, with clustered hyperfluorescent points at the mid-peripheral retina being observed on the ICGA OD (Fig. 3a-b). The results of fundoscopy, OCT, or ICGA of her left eye were unremarkable (Fig. 1b, 2b, and 3c).
Fig. 1.
Fundoscopy images of the patient. a Colour fundus photograph of the right eye at the first examination displaying severe opacity of the vitreous humour. b Colour fundus photograph of the left eye displaying a normal appearance. c, d Colour fundus photograph of the right eye at the follow-ups displaying an improved vitreous opacity and multiple round or roundish yellowish-white lesions
Fig. 2.
OCT manifestations of the patient. a OCT image of the right eye at the first examination displaying high-density reflecting spots in the RPE layer. b OCT image of the left eye at the first examination displaying a normal appearance. c, d OCT image of the right eye at the follow-ups displaying multiple irregular humps inward toward the RPE and an intact Bruch’s membrane
Fig. 3.
ICGA manifestations of the patient. a ICGA image of the right eye at the first examination displaying hypofluorescence spots and clustered hyperfluorescent points at the posterior pole. b ICGA image of the right eye at the first examination displaying hypofluorescence spots and clustered hyperfluorescent points at the mid-peripheral. c ICGA image of the left eye at the first examination displaying a normal appearance
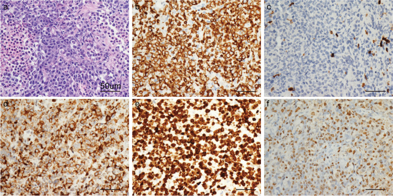
Diagnostic aspiration of the right vitreous was subsequently performed. The cytometric bead array results showed that the ratio of interleukin (IL)-10/IL-6 in the vitreous humour was 1.05, slightly exceeding the upper normal limit (usually set as 1). Specifically, the IL-10 level in the vitreous humour was 39.4 pg/mL, while the IL-6 level was 37.5 pg/mL. The vitreous humour was positive for Epstein–Barr virus (EBV) DNA as determined by the polymerase chain reaction (9.90E + 03 copy/mL), and the vitreous was negative for EBV-IgG. Genetic testing by next-generation sequencing of the vitreous humour revealed several oncogenic mutations, including TP53, JAK2, and FAS. Vitreoretinal lymphoma of the right eye was suspected. Subsequently, whole-body positron emission tomography (PET-CT) showed a hypermetabolic nodule in the retroperitoneal left adrenal area, suggesting a malignant tumour. A core-needle biopsy of the retroperitoneal mass revealed malignant morphological features, including an irregular karyotype, karyokinesis, and karyorrhexis (Fig. 4a). Further immunohistochemistry and fluorescence in situ hybridization (by a Nikon camera and software, × 400 magnification. Scale bar, 50 μm) proved that the lump was ENKTL; the lump was CD7 + , CD2 + , CD3ε + , CD5-, T-cell intracellular antigen 1 (TIA-1) + , Granzyme B (GrB) + , Ki-67 + and EBV-encoded mRNA (EBER) + (Fig. 4b-f). Considering the homology of the two lesions, this patient was confirmed to have metastatic vitreoretinal lymphoma secondary to retroperitoneal ENKTL. Moreover, the positive EBV testing result and oncogenic mutations related to T-cell-derived lymphomas supported the diagnosis. Lymphomatous infiltrates are commonly confined to the space between the RPE and Bruch's membrane in metastatic intraocular ENKTL [6]. Her nasopharyngeal area, a common site for ENKTL, was specifically examined to exclude possible lesions.
Fig. 4.
Core-needle biopsy results of the retroperitoneal mass. a Haematoxylin–eosin staining displaying diffuse proliferation of monomorphic lymphoid cells with irregular karyotypes, karyokinesis, and karyorrhexis. b Immunohistochemistry results showing CD3ε positivity. c Immunohistochemistry results showing CD5 negativity. d Immunohistochemistry results showing GrB positivity. e Immunohistochemistry results showing Ki-67 positivity. f In situ hybridization results showing EBER positivity. All images are shown at 400 × magnification. Scale bar, 50 μm
Subsequently, the patient received radiotherapy and sintilimab-based chemotherapy treatment at a tumour specialist hospital. Moreover, 0.4 mg of methotrexate was intravitreally injected into her right eye once a week for two months and once a month for the following three months. At the time of submission, the vision of her right eye was improved from 20/125 to 20/32, and the vitreous opacity was significantly improved, as demonstrated in the fundoscopy photos (Fig. 1c, d). OCT at follow-up revealed irregular humps inward into the RPE, while Bruch’s membrane remained intact (indicated by the arrowheads in Fig. 2c, d). PET-CT reexamination showed that the retroperitoneal nodule decreased in size following treatment, and no new lesions were found.
Discussion and conclusions
VRL, a manifestation of central nervous system lymphomas, occurs in the vitreous and retina and often masquerades as chronic uveitis or vitritis [7]. The majority of VRLs are classified as DLBCL, and most non-B-cell derived intraocular lymphomas are secondary to systemic T-cell lymphoma; among them, primary or metastatic intraocular NK/T-cell derived lymphomas are relatively rare.
ENKTL is an aggressive type of non-Hodgkin's lymphoma (NHL) derived from NK cells or cytotoxic T cells [8, 9]. It is an extremely rare type of lymphoma, accounting for only 0.3% of NHLs in North American and European countries, whereas it occurs more often in Asian, Central, and South American populations [10]. The adjusted ENKTL incidence rate was calculated to be 0.036 per 100,000 individuals (age-adjusted to the US population in 2000) [11]. ENKTL, previously known as “lethal midline granuloma”, typically invades the nasopharynx and upper aerodigestive tract (> 80% of cases) and results in nasal obstruction, epistaxis, and necrotizing lesions of the nose or hard palate [12–14]. ENKTL rarely originates from nonnasal sites, such as the skin, testis, and gastrointestinal tract; these tumours have morphological and immunophenotypical features similar to those of nasal ENKTL [15–17]. EBV-infected lymphoma cells typically characterize all ENKTLs regardless of the site of origin [18].
Limited cases of ocular ENKTL have been reported. The majority of the reported ocular ENKTL cases occurred in the ocular adnexal or obit regions [19–29]. Intraocular involvement, whether primary or metastatic, is rather infrequent. To the best of our knowledge, only three cases of primary vitreoretinal ENKTL have been reported to date [30–32]. Metastatic intraocular tumours commonly develop secondarily to invasion from the nasopharynx [33–35]. Only two cases of metastatic intraocular ENKTL without infiltration of the nasal cavity or paranasal sinuses have been reported previously [6, 36]. In this study, a case of vitreoretinal ENKTL secondary to the retroperitoneum, without nasal lesions, was described. Similar to a published report, metastatic lymphomatous infiltrates were confined to the space between the RPE and Bruch's membrane, which remained intact [6]. Based on the monophyletic diagnostic theory, researchers have proposed that vitreoretinal and retroperitoneal tumours are homologous.
As an invasive and devastating malignancy, ENKTL is characterized by a rapid progression and a dismal prognosis [2]. For patients with relapsed/refractory diseases, the median postprogression survival time is reported to be less than 8 months [37]. Extranodal involvement is predictive of a worse prognosis, and the patient may deteriorate rapidly despite active treatment [38]. Comparatively, patients diagnosed with intraocular DLBCL have better survival outcomes, as a retrospective study of 83 immunocompetent primary intraocular lymphomas (PIOL) patients reported a progression-free survival time of 29.6 months and an overall survival time of 58 months [39]. The diverse outcomes of ENKTL and DLBCL highlight the significance of a definitive diagnosis, which is important for selecting an appropriate treatment plan and making prognostic predictions. At present, the intraocular biopsy is the gold standard for the diagnosis of VRLs [40]; however, the acquisition of qualified specimens by vitrectomy or needle aspiration of subretinal material, or in a minority of cases, full-thickness chorioretinal tissues, is not easy. This invasive procedure is often unacceptable for patients, and early infiltration of the focal point increases the difficulty of the operation. Notably, vitreous biopsy specimens must be transported and handled quickly and gently, as lymphoma cells undergo morphological degradation within 60 min [41]. The use of glucocorticoid treatment can result in a paucity of cells and should be discontinued at least 2 weeks prior to the procedure [42]. False-negative cytology results were reported in approximately 30% of vitreous biopsy specimens collected from a referral centre [43]. In some cases in which biopsies are lacking, as in our case, performing multiple examinations in combination could help discriminate NK/T-cell-derived lymphoma from B-cell-derived lymphoma and lead to a correct diagnosis and an accurate prognostic prediction (Table 1).
Table 1.
Multiple parameters used to compare the diagnoses of vitreoretinal ENKTL and DLBCL
| Parameters | ENKTL | DLBCL | 
|---|---|---|
| Biopsy | Necrosis, anabrosis, vascular invasion, and polymorphic tumour cells | Diffuse tumorous large B lymphocytes with nuclei approximately twice the size of those of normal lymphocytes | 
| Cytologic examination | CD2 + , surface CD3-, cytoplasmic CD3ε + , CD56 + , TIA-1 + , GrB + | CD20 + , CD19 + , CD22 + , CD79a + , and CD45 + | 
| EBER | 100% positive | Approximately 10% positive | 
| IL-10/IL-6 | Within the normal limits of ISOLD | Beyond the threshold of ISOLD | 
| Genetic mutations | JAK3, DDX3, TP53, ASXL1, MLL, etc | MYD88, BCL6, IGH rearrangement | 
| Ophthalmic imaging | Localized spotty hypofluorescence on ICGA or FFA and focal hyperreflection on OCT | |
ENKTL extranodal natural killer/T-cell lymphoma, nasal type, DLBCL diffuse large B-cell lymphoma, TIA-1 T-cell intracellular antigen 1, GrB Granzyme B, EBER EBV-encoded mRNA, ISOLD Interleukin Score for intraocular Lymphoma Diagnosis, ICGA indocyanine green angiography, FFA fundus fluorescein angiography, OCT optical coherence tomography
Currently, the cytologic examination of aqueous or vitreous humoral samples by aspiration is increasingly acceptable for ophthalmologists [44, 45]. Combined with immunohistochemistry or flow cytometry, the sensitivity and specificity of cytology have become acceptable [46]. Specifically, NK/T-cell-derived neoplastic cells express the typical immunophenotype of CD2 + , surface CD3-, cytoplasmic CD3ε + , CD56 + and cytotoxic (TIA-1, GrB) + molecules [13]. However, B-cell-derived lymphomas typically exhibit pan-B-cell antigen positivity, including CD20, CD19, CD22, CD79a, and CD45 [47]. In this case, immunophenotypic analysis of the retroperitoneal lump revealed a profile of CD2 + , cytoplasmic CD3ε + , CD5-, TIA-1 + , GrB + , and Ki-67 + , which was in accordance with the ENKTL diagnosis. Nevertheless, diagnostic aspiration remains challenging due to the scarcity of lymphoma cells and the excess of normal reactive lymphocytes, along with the fragility of lymphoma cells, which are easily damaged by mechanical trauma [48].
EBV is a double-stranded DNA-containing human herpesvirus, namely, HHV-4 [49]. Typically, EBV affects B cells through CD21 receptors and occasionally affects T cells, NK cells, or monocytes. Remarkably, EBV infection is invariably associated with ENKTL. Currently, detection of EBER by in situ hybridization is required for the diagnosis of ENKTL [50, 51]; this examination was performed in our case, and the results were positive. In lymphoma cells, EBV is homogeneous and clonal, as evidenced by terminal repeat sequences. Thus, it suggests that EBV infection occurs either before or at the same time point as lymphomagenesis [52], implying that EBV infection likely plays an essential role in NK cell lymphomagenesis. While the quantification of circulating EBV DNA is helpful for the assessment of the lymphoma load, it is not specific for diagnosis [53]. In ENKTL patients, EBV DNA fragments < 500 base pairs are released into peripheral blood as the affected neoplastic cells undergo apoptosis. In addition, as B cells are the main reservoirs of EBV in vivo, several B-cell-derived diseases, including DLBCL, Hodgkin lymphoma, and Burkitt lymphoma, could be attributable to the persistent EBV infection of cells. Remarkably, up to 10% of DLBCL tumour tissues are revealed to be EBV + , which indicates that EBER positivity cannot be regarded as an exclusion criterion for DLBCL [54]. Only 1 of 13 specimens from patients with primary intraocular DLBCL were reported to be EBV + , indicating a relatively low positive rate among intraocular DLBCL cases [55]. In summary, EBV-positive VRL should highlight the need to consider a diagnosis of ENKTL; however, we should not reject the possibility of DLBCL.
The assessment of cytokines in the aqueous and vitreous humor regions was recently accepted to improve the diagnostic yield. IL-10 is a B-cell autocrine cytokine that promotes differentiation and function. In malignant B cells, IL-10 has been validated to function by stimulating B-cell antibody production and immune surveillance escape [56, 57]. Elevated IL-10 levels in the vitreous were first proposed as a characteristic for distinguishing PIOL from uveitis in 1995 [58], and this phenomenon was widely validated in subsequent studies [59–61]. Likewise, measurement of IL-10 in the aqueous by AC penetration also indicates the possibility of VRL, but the variation is more subtle [62]. Notably, most of the PIOL cases included were B-cell-derived, and the elevation of IL-10 is not applicable for NK/T-cell lymphomas. Several studies have suggested an optimal threshold of IL-10 for the diagnosis of VRLs; for example, Cassoux et al. established a cut-off value of 400 pg/mL for vitreous IL-10, which yielded a specificity of 0.99 and a sensitivity of 0.8 [62]. In contrast, increasing IL-6 levels in the vitreous is associated with nonmalignant intraocular inflammation. Hence, the IL-10/IL-6 ratio is also proposed as a diagnostic criterion for intraocular DLBCL and typically has an acceptable threshold of 1 [63]. Referring to reported intraocular ENKTL cases, the level of IL-10 is usually not elevated, and the ratio of IL-10/IL-6 is commonly lower than 1, similar to that in cases of uveitis [64]. In our case, the levels of both IL-10 and IL-10/IL-6 in the vitreous were slightly higher than the threshold, which was potentially misleading for the DLBCL diagnosis. However, the newly proposed Interleukin Score for intraocular Lymphoma Diagnosis (ISOLD) system, which adopted a complex formula for detecting B-cell intraocular lymphoma, performs better at distinguishing ENKTL from DLBCL [65]. Therefore, we suggest using ISOLD, rather than a simple ratio or value, to distinguish intraocular DLBCL from ENKTL or uveitis.
In recent years, advances in the technologies and applications of gene sequencing have enhanced the mutational landscape of lymphoma. As reported, JAK3 mutations, which cause abnormal activation of the JAK/STAT pathways, were verified in 35% of NK/T-cell lymphoma cases [66]. Similarly, DDX3 mutations were identified in approximately 20% of 105 patients. Other mutations, including TP53, ASXL1, and MLL, were also verified by exome sequencing [67]. In terms of DLBCL, approximately one-third of DLBCL cases carry chromosomal translocations that overexpress BCL6, a transcription factor promoting B-cell differentiation and maturation [68]. MYD88 mutations, especially the recurrent gain-of-function the L256P variant, are a distinguishing feature of activated B-cell diseases such as DLBCL and lead to constitutive NFκB pathway activation [69]. A report revealed 94 MYD88 mutants among 361 DLBCL cases [69]. IGH gene rearrangement is also common in DLBCL [70]. The genetic mutations in the patient reported herein were in accordance with previous findings and included mutations of JAK2 and TP53 but not MYD88 and BCL6. In addition, knowledge of the VRL genetics not only improves the diagnostic accuracy but also provides further insights into disease classification, survival prognostication, and therapeutic options [71–74].
Ophthalmic imaging studies, although not specific for diagnosis, usually provide initial clues regarding the VRL. The localized spotty hypofluorescence on ICGA or fundus fluorescein angiography (FFA) and focal hyperreflections on OCT resulting from the subretinal infiltration should catch the attention of the ophthalmologist. As a noninvasive technique, OCT provides high resolution and quantitative measurements of retinal layers, promoting the assessment and diagnosis of intraocular diseases [75]. As reported, the overall positive predictive value of primary intraocular NHL by ocular imaging was 88.9%, and the negative predictive value was 85% [76]. Hence, ocular fundus performance does not help discriminate ENKTL from DLBCL; however, it can help validate the clinical suspicion. Subsequent PET-CT is required to exclude occult nasal ENKTL and scattered lesions [77]. In addition, it is important for accurate staging and prognostic estimation [78].
Generally, intraocular lymphoma has two clinically recognized patterns, vitreoretinal and uveal involvement. Metastatic systemic B-cell lymphoma usually involves the uvea through hematogenous spread via choroidal circulation, while systemic T-cell lymphoma preferentially metastasizes to the vitreous and retina [79]. No conclusion has been reached regarding the route of T-cell lymphoma metastasis. In a similar case of metastatic retinal lymphoma, lesions were localized along retinal arterioles and rested on the RPE, indicating entry via the retinal circulation [80]. The intraocular immune-privileged environment, along with the permissive endothelial receptors, allows for the entry of malignant cells into the retina, with Bruch's membrane serving as a barrier to further spread [81, 82].
An online search of the PubMed database yielded information regarding the case reports and case series of intraocular lymphomas using the MeSH terms intraocular lymphoma, vitreoretinal lymphoma, natural killer T lymphoma and choroidal lymphoma, and metastatic intraocular lymphoma. The natural language terms to identify additional references from preindexed PubMed content and references that were not indexed by these MeSH terms included 'eye or ocular neoplasms' and 'ocular or vitreous tumour'. The retrieved references were indexed to identify additional terms. Embase.com was also searched using the same strategy. This literature search was carried out by two assessors independently.
The majority of VRLs, which often masquerade as chronic uveitis or vitritis, are diagnosed as DLBCL. Although extremely rare, intraocular ENKTL progresses more rapidly and has a worse prognosis than DLBCL and should be treated differently. The biopsy or cytological examination of malignant lesions is vital for a definitive diagnosis but is difficult to perform. Under this condition, multiple parameters in combination, including EBV detection, cytokine assessment, and gene sequencing of intraocular fluid, could help ophthalmologists make the correct diagnosis. More attention and further efforts should be directed at intraocular ENKTL, a rare but fatal disease.
Acknowledgements
Not applicable
Abbreviations
- VRL
 Vitreoretinal lymphoma
- DLBCL
 Diffuse large B cell lymphoma
- NK
 Natural killer
- ENKTL
 Extra-nodal natural killer/T-cell lymphoma, nasal type
- OCT
 Optical coherence tomography
- ICGA
 The indocyanine green angiography
- AC
 Anterior chamber
- RPE
 Retinal pigment epithelium
- IL
 Interleukin
- EBV
 Epstein-Barr virus
- PET-CT
 The positron emission tomography
- TIA-1
 T-cell intracellular antigen 1
- GrB
 Granzyme B
- EBER
 EBV-encoded mRNA
- NHL
 Non-Hodgkin's lymphoma
- PIOL
 Primary intraocular lymphomas
- ISOLD
 The Interleukin Score for intraocular Lymphoma Diagnosis
Authors’ contributions
BC was involved in drafting and editing the manuscript. SY was involved in the management of the patient, the acquisition and the interpretation of data. BC and SY conducted the literature research and assessment, independently. WS was involved in the design of the work, and critically revised the work. All authors read and approved the final manuscript.
Funding
This work was supported by the National Key Research and Development Program of China (2017YFA0105804). The funding body played no role in the design of the study and collection, analysis, and interpretation of data and in writing the manuscript.
Availability of data and materials
The datasets supporting the conclusions of this article are available in the National Genomics Data Center repository (HRA002096).
Declarations
Ethics approval and consent to participate
This is an observational study. The Ethics Committee of Zhongshan Ophthalmic Center has confirmed that no ethical approval is required. Written informed consent to participate was obtained from the patient.
Consent for publication
Written informed consent for publication of her clinical details and clinical images was obtained from the patient.
Competing interests
The authors declare that they have no competing interests.
Footnotes
Publisher's Note
Springer Nature remains neutral with regard to jurisdictional claims in published maps and institutional affiliations.
Binyao Chen and Shizhao Yang contributed equally to this work and share first authorship.
References
- 1.Lauw M, Lucas CG, Ohgami RS, Wen KW. Primary Central Nervous System Lymphomas: A Diagnostic Overview of Key Histomorphologic, Immunophenotypic, and Genetic Features. Diagnostics (Basel) 2020;10(12):1076. doi: 10.3390/diagnostics10121076. [DOI] [PMC free article] [PubMed] [Google Scholar]
 - 2.Sánchez-Romero C, Bologna-Molina R, Paes de Almeida O, Santos-Silva AR, Prado-Ribeiro AC, Brandão TB, Carlos R. Extranodal NK/T cell lymphoma, nasal type: an updated overview. Crit Rev Oncol Hematol. 2021;159:103237. doi: 10.1016/j.critrevonc.2021.103237. [DOI] [PubMed] [Google Scholar]
 - 3.Tse E, Au-Yeung R, Kwong YL. Recent advances in the diagnosis and treatment of natural killer/T-cell lymphomas. Expert Rev Hematol. 2019;12(11):927–935. doi: 10.1080/17474086.2019.1660640. [DOI] [PubMed] [Google Scholar]
 - 4.Iglicki M, Loewenstein A, Barak A, Schwartz S, Zur D. Outer retinal hyperreflective deposits (ORYD): a new OCT feature in naïve diabetic macular oedema after PPV with ILM peeling. Br J Ophthalmol. 2020;104(5):666–671. doi: 10.1136/bjophthalmol-2019-314523. [DOI] [PubMed] [Google Scholar]
 - 5.Iglicki M, Busch C, Loewenstein A, Fung AT, Invernizzi A, Mariussi M, et al. UNDERDIAGNOSED OPTIC DISK PIT MACULOPATHY: Spectral Domain Optical Coherence Tomography Features For Accurate Diagnosis. Retina. 2019;39(11):2161–2166. doi: 10.1097/IAE.0000000000002270. [DOI] [PubMed] [Google Scholar]
 - 6.Thompson AC, McCall CM, Proia AD. Beneath the Retinal Pigment Epithelium: Histopathologic Findings in Metastatic Extranodal Natural Killer/T-Cell Lymphoma. Nasal Type Ocul Oncol Pathol. 2018;4(6):388–394. doi: 10.1159/000487268. [DOI] [PMC free article] [PubMed] [Google Scholar]
 - 7.Raval V, Binkley E, Aronow ME, Valenzuela J, Peereboom DM, Singh AD. Primary Central Nervous System Lymphoma - Ocular Variant (PCNSL-O): an anterdisciplinary review on management. Surv Ophthalmol. 2021;66(6):1009–1020. doi: 10.1016/j.survophthal.2021.03.004. [DOI] [PubMed] [Google Scholar]
 - 8.Suzuki R. Pathogenesis and treatment of extranodal natural killer/T-cell lymphoma. Semin Hematol. 2014;51(1):42–51. doi: 10.1053/j.seminhematol.2013.11.007. [DOI] [PubMed] [Google Scholar]
 - 9.Makita S, Tobinai K. Clinical Features and Current Optimal Management of Natural Killer/T-Cell Lymphoma. Hematol Oncol Clin North Am. 2017;31(2):239–253. doi: 10.1016/j.hoc.2016.11.007. [DOI] [PubMed] [Google Scholar]
 - 10.Perry AM, Diebold J, Nathwani BN, MacLennan KA, Müller-Hermelink HK, Bast M, et al. Non-Hodgkin lymphoma in the developing world: review of 4539 cases from the International Non-Hodgkin Lymphoma Classification Project. Haematologica. 2016;101(10):1244–1250. doi: 10.3324/haematol.2016.148809. [DOI] [PMC free article] [PubMed] [Google Scholar]
 - 11.Abouyabis AN, Shenoy PJ, Lechowicz MJ, Flowers CR. Incidence and outcomes of the peripheral T-cell lymphoma subtypes in the United States. Leuk Lymphoma. 2008;49(11):2099–2107. doi: 10.1080/10428190802455867. [DOI] [PubMed] [Google Scholar]
 - 12.Vose J, Armitage J, Weisenburger D. International T-Cell Lymphoma Project. International peripheral T-cell and natural killer/T-cell lymphoma study: pathology findings and clinical outcomes. J Clin Oncol. 2008;26(25):4124–30. doi: 10.1200/JCO.2008.16.4558. [DOI] [PubMed] [Google Scholar]
 - 13.Tse E, Kwong YL. Diagnosis and management of extranodal NK/T cell lymphoma nasal type. Expert Rev Hematol. 2016;9(9):861–871. doi: 10.1080/17474086.2016.1206465. [DOI] [PubMed] [Google Scholar]
 - 14.Kwong YL, Khong PL. Central palatal perforation in nasal natural killer cell lymphoma. Br J Haematol. 2011;152(1):2. doi: 10.1111/j.1365-2141.2010.08461.x. [DOI] [PubMed] [Google Scholar]
 - 15.Au WY, Chan AC, Kwong YL. Scrotal skin ulcer in a patient with a previous tonsillectomy because of natural killer cell lymphoma. Am J Dermatopathol. 1998;20(6):582–585. doi: 10.1097/00000372-199812000-00007. [DOI] [PubMed] [Google Scholar]
 - 16.Takata K, Hong ME, Sitthinamsuwan P, Loong F, Tan SY, Liau JY, et al. Primary cutaneous NK/T-cell lymphoma, nasal type and CD56-positive peripheral T-cell lymphoma: a cellular lineage and clinicopathologic study of 60 patients from Asia. Am J Surg Pathol. 2015;39(1):1–12. doi: 10.1097/PAS.0000000000000312. [DOI] [PubMed] [Google Scholar]
 - 17.Chim CS, Au WY, Shek TW, Ho J, Choy C, Ma SK, et al. Primary CD56 positive lymphomas of the gastrointestinal tract. Cancer. 2001;91(3):525–533. doi: 10.1002/1097-0142(20010201)91:3<525::aid-cncr1030>3.0.co;2-u. [DOI] [PubMed] [Google Scholar]
 - 18.Yamaguchi M, Suzuki R, Oguchi M. Advances in the treatment of extranodal NK/T-cell lymphoma, nasal type. Blood. 2018;131(23):2528–2540. doi: 10.1182/blood-2017-12-791418. [DOI] [PubMed] [Google Scholar]
 - 19.Okada A, Harada Y, Inoue T, Okikawa Y, Ichinohe T, Kiuchi Y. A case of primary extranodal natural killer/T-cell lymphoma in the orbit and intraocular tissues with cerebrospinal fluid involvement. Am J Ophthalmol Case Rep. 2018;11:37–40. doi: 10.1016/j.ajoc.2018.05.002. [DOI] [PMC free article] [PubMed] [Google Scholar]
 - 20.Hon C, Kwok AK, Shek TW, Chim JC, Au WY. Vision-threatening complications of nasal T/NK lymphoma. Am J Ophthalmol. 2002;134(3):406–410. doi: 10.1016/s0002-9394(02)01520-9. [DOI] [PubMed] [Google Scholar]
 - 21.Abe RY, Pinto RD, Bonfitto JF, Lira RP, Arieta CE. Ocular masquerade syndrome associated with extranodal nasal natural killer/T-cell lymphoma: case report. Arq Bras Oftalmol. 2012;75(6):430–432. doi: 10.1590/s0004-27492012000600013. [DOI] [PubMed] [Google Scholar]
 - 22.Ely A, Evans J, Sundstrom JM, Malysz J, Specht CS, Wilkinson M. Orbital involvement in extranodal natural killer T cell lymphoma: an atypical case presentation and review of the literature. Orbit. 2012;31(4):267–269. doi: 10.3109/01676830.2011.605506. [DOI] [PubMed] [Google Scholar]
 - 23.Coupland SE, Foss HD, Assaf C, Auw-Haedrich C, Anastassiou G, Anagnostopoulos I, et al. T-cell and T/natural killer-cell lymphomas involving ocular and ocular adnexal tissues: a clinicopathologic, immunohistochemical, and molecular study of seven cases. Ophthalmol. 1999;106(11):2109–2120. doi: 10.1016/S0161-6420(99)90492-X. [DOI] [PubMed] [Google Scholar]
 - 24.Akbar M, Clasen-Linde E, Specht L. Extranodal NK/T-cell lymphoma, nasal type, with extranasal presentation - a case report and a review of the literature. Acta Oncol. 2020;59(12):1480–1487. doi: 10.1080/0284186X.2020.1795250. [DOI] [PubMed] [Google Scholar]
 - 25.Kanzaki A, Funasaka Y, Nakamizo M, Shima A, Ryotokuji T, Dan K, et al. Extranodal Natural Killer/T-Cell Lymphoma, Nasal Type, with Primary Manifestation as an Upper Eyelid Swelling. J Nippon Med Sch. 2016;83(4):177–179. doi: 10.1272/jnms.83.177. [DOI] [PubMed] [Google Scholar]
 - 26.Kiratli H, Uzun S, Yeşilirmak A, Ayhan AS, Soylemezoğlu F. Conjunctival extranodal natural killer/T-cell lymphoma, nasal type. Cornea. 2015;34(6):710–712. doi: 10.1097/ICO.0000000000000420. [DOI] [PubMed] [Google Scholar]
 - 27.Marchino T, Ibáñez N, Prieto S, Novelli S, Szafranska J, Mozos A, et al. An aggressive primary orbital natural killer/T-cell lymphoma case: poor response to chemotherapy. Ophthalmic Plast Reconstr Surg. 2014;30(5):e131–e134. doi: 10.1097/IOP.0b013e3182a65026. [DOI] [PubMed] [Google Scholar]
 - 28.Zhang J, Chen H, Lin W, Wu Z. Aggressive natural killer/T-cell lymphoma masquerading as acute orbital hemorrhage: a case report. Int J Clin Exp Pathol. 2020;13:1081–1085. [PMC free article] [PubMed] [Google Scholar]
 - 29.Meel R, Dhiman R, Wadhwani M, Kashyap S, Sharma S, Gogia A. Isolated Extranodal Natural Killer T-Cell Lymphoma of the Orbit in a Young Patient: Complete Regression with the SMILE Regimen. Ocul Oncol Pathol. 2017;3:45–48. doi: 10.1159/000449227. [DOI] [PMC free article] [PubMed] [Google Scholar]
 - 30.Maruyama K, Kunikata H, Sugita S, Mochizuki M, Ichinohasama R, Nakazawa T. First case of primary intraocular natural killer t-cell lymphoma. BMC Ophthalmol. 2015;15:169. doi: 10.1186/s12886-015-0158-0. [DOI] [PMC free article] [PubMed] [Google Scholar]
 - 31.Gao S, Zhou Y, Jin X, Lin Z, Zhong Y, Shen X. Primary vitreoretinal natural killer/T-cell lymphoma with breast involvement: A case report and review of the literature. Surv Ophthalmol. 2019;64(2):225–232. doi: 10.1016/j.survophthal.2018.10.003. [DOI] [PubMed] [Google Scholar]
 - 32.Tagawa Y, Namba K, Ogasawara R, Kanno H, Ishida S. A Case of Mature Natural Killer-Cell Neoplasm Manifesting Multiple Choroidal Lesions: Primary Intraocular Natural Killer-Cell Lymphoma. Case Rep Ophthalmol. 2015;6(3):380–384. doi: 10.1159/000442018. [DOI] [PMC free article] [PubMed] [Google Scholar]
 - 33.Lee EJ, Kim TW, Heo JW, Yu HG, Chung H. Natural killer/T-cell lymphoma of nasal type with intraocular involvement: case report. Eur J Ophthalmol. 2010;20(1):215–217. doi: 10.1177/112067211002000130. [DOI] [PubMed] [Google Scholar]
 - 34.Cimino L, Chan CC, Shen D, Masini L, Ilariucci F, Masetti M, et al. Ocular involvement in nasal natural killer T-cell lymphoma. Int Ophthalmol. 2009;29(4):275–279. doi: 10.1007/s10792-008-9220-8. [DOI] [PMC free article] [PubMed] [Google Scholar]
 - 35.Yoo JH, Kim SY, Jung KB, Lee JJ, Lee SJ. Intraocular involvement of a nasal natural killer T-cell lymphoma: a case report. Korean J Ophthalmol. 2012;26(1):54–57. doi: 10.3341/kjo.2012.26.1.54. [DOI] [PMC free article] [PubMed] [Google Scholar]
 - 36.Matsuo T, Tanaka T, Ichimura K, Meguri Y. Intraocular Relapse with Hypopyon and Retinal Infiltrates after Chemotherapy and Peripheral Blood Stem Cell Transplantation for Extranodal NK/T-Cell Lymphoma. J Clin Exp Hematop. 2015;55(3):157–161. doi: 10.3960/jslrt.55.157. [DOI] [PubMed] [Google Scholar]
 - 37.Lim SH, Hong JY, Lim ST, Hong H, Arnoud J, Zhao W, et al. Beyond first-line non-anthracycline-based chemotherapy for extranodal NK/T-cell lymphoma: clinical outcome and current perspectives on salvage therapy for patients after first relapse and progression of disease. Ann Oncol. 2017;28(9):2199–2205. doi: 10.1093/annonc/mdx316. [DOI] [PubMed] [Google Scholar]
 - 38.Tse E, Kwong YL. The diagnosis and management of NK/T-cell lymphomas. J Hematol Oncol. 2017;10(1):85. doi: 10.1186/s13045-017-0452-9. [DOI] [PMC free article] [PubMed] [Google Scholar]
 - 39.Grimm SA, Pulido JS, Jahnke K, Schiff D, Hall AJ, Shenkier TN, et al. Primary intraocular lymphoma: an International Primary Central Nervous System Lymphoma Collaborative Group Report. Ann Oncol. 2007;18(11):1851–1855. doi: 10.1093/annonc/mdm340. [DOI] [PubMed] [Google Scholar]
 - 40.Karma A, von Willebrand EO, Tommila PV, Paetau AE, Oskala PS, Immonen IJ. Primary intraocular lymphoma: improving the diagnostic procedure. Ophthalmol. 2007;114(7):1372–1377. doi: 10.1016/j.ophtha.2006.11.009. [DOI] [PubMed] [Google Scholar]
 - 41.Char DH, Ljung BM, Deschênes J, Miller TR. Intraocular lymphoma: immunological and cytological analysis. Br J Ophthalmol. 1988;72(12):905–911. doi: 10.1136/bjo.72.12.905. [DOI] [PMC free article] [PubMed] [Google Scholar]
 - 42.Whitcup SM, Chan CC, Buggage RR, Nussenblatt RB, Byrnes GA, Rubin BI. Improving the diagnostic yield of vitrectomy for intraocular lymphoma. Arch Ophthalmol. 2000;118(3):446. [PubMed] [Google Scholar]
 - 43.Whitcup SM, de Smet MD, Rubin BI, Palestine AG, Martin DF, Burnier M, Jr, et al. Intraocular lymphoma. Clinical and histopathologic diagnosis Ophthalmology. 1993;100(9):1399–1406. doi: 10.1016/s0161-6420(93)31469-7. [DOI] [PubMed] [Google Scholar]
 - 44.Mehta M, Rasheed RA, Duker J, Reichel E, Feinberg E, Husain D, et al. Vitreous evaluation: a diagnostic challenge. Ophthalmology. 2015;122(3):531–537. doi: 10.1016/j.ophtha.2014.09.016. [DOI] [PubMed] [Google Scholar]
 - 45.Rodriguez EF, Sepah YJ, Jang HS, Ibrahim M, Nguyen QD, Rodriguez FJ. Cytologic features in vitreous preparations of patients with suspicion of intraocular lymphoma. Diagn Cytopathol. 2014;42(1):37–44. doi: 10.1002/dc.23059. [DOI] [PMC free article] [PubMed] [Google Scholar]
 - 46.Missotten T, Tielemans D, Bromberg JE, van Hagen PM, van Lochem EG, van Dongen JJ, et al. Multicolor flowcytometric immunophenotyping is a valuable tool for detection of intraocular lymphoma. Ophthalmol. 2013;120(5):991–996. doi: 10.1016/j.ophtha.2012.11.007. [DOI] [PubMed] [Google Scholar]
 - 47.Coupland SE, Bechrakis NE, Anastassiou G, Foerster AM, Heiligenhaus A, Pleyer U, et al. Evaluation of vitrectomy specimens and chorioretinal biopsies in the diagnosis of primary intraocular lymphoma in patients with Masquerade syndrome. Graefes Arch Clin Exp Ophthalmol. 2003;241(10):860–870. doi: 10.1007/s00417-003-0749-y. [DOI] [PubMed] [Google Scholar]
 - 48.Coupland SE, Anastassiou G, Bornfeld N, Hummel M, Stein H. Primary intraocular lymphoma of T-cell type: report of a case and review of the literature. Graefes Arch Clin Exp Ophthalmol. 2005;243(3):189–197. doi: 10.1007/s00417-004-0890-2. [DOI] [PubMed] [Google Scholar]
 - 49.Montes-Mojarro IA, Fend F, Quintanilla-Martinez L. EBV and the Pathogenesis of NK/T Cell Lymphoma. Cancers (Basel) 2021;13(6):1414. doi: 10.3390/cancers13061414. [DOI] [PMC free article] [PubMed] [Google Scholar]
 - 50.Sabattini E, Bacci F, Sagramoso C, Pileri SA. WHO classification of tumours of haematopoietic and lymphoid tissues in 2008: an overview. Pathologica. 2010;102(3):83–87. [PubMed] [Google Scholar]
 - 51.Chuang SS. In situ hybridisation for Epstein-Barr virus as a differential diagnostic tool for T- and natural killer/T-cell lymphomas in non-immunocompromised patients. Pathol. 2014;46(7):581–591. doi: 10.1097/PAT.0000000000000161. [DOI] [PubMed] [Google Scholar]
 - 52.Chim CS, Ooi GC, Shek TW, Liang R, Kwong YL. Lethal midline granuloma revisited: nasal T/Natural-killer cell lymphoma. J Clin Oncol. 1999;17(4):1322–1325. doi: 10.1200/JCO.1999.17.4.1322. [DOI] [PubMed] [Google Scholar]
 - 53.Au WY, Pang A, Choy C, Chim CS, Kwong YL. Quantification of circulating Epstein-Barr virus (EBV) DNA in the diagnosis and monitoring of natural killer cell and EBV-positive lymphomas in immunocompetent patients. Blood. 2004;104(1):243–249. doi: 10.1182/blood-2003-12-4197. [DOI] [PubMed] [Google Scholar]
 - 54.Shannon-Lowe C, Rickinson A. The Global Landscape of EBV-Associated Tumors. Front Oncol. 2019;9:713. doi: 10.3389/fonc.2019.00713. [DOI] [PMC free article] [PubMed] [Google Scholar]
 - 55.Chan CC, Shen DF, Whitcup SM, Nussenblatt RB. Detection of human herpesvirus-8 and Epstein-Barr virus DNA in primary intraocular lymphomas. Blood. 1999;93(8):2749–2751. [PubMed] [Google Scholar]
 - 56.Xiu B, Lin Y, Grote DM, Ziesmer SC, Gustafson MP, Maas ML, et al. IL-10 induces the development of immunosuppressive CD14(+)HLA-DR(low/-) monocytes in B-cell non-Hodgkin lymphoma. Blood Cancer J. 2015;5:e328. doi: 10.1038/bcj.2015.56. [DOI] [PMC free article] [PubMed] [Google Scholar]
 - 57.Masood R, Zhang Y, Bond MW, Scadden DT, Moudgil T, Law RE, et al. Interleukin-10 is an autocrine growth factor for acquired immunodeficiency syndrome-related B-cell lymphoma. Blood. 1995;85(12):3423–3430. [PubMed] [Google Scholar]
 - 58.Chan CC, Whitcup SM, Solomon D, Nussenblatt RB. Interleukin-10 in the vitreous of patients with primary intraocular lymphoma. Am J Ophthalmol. 1995;120(5):671–673. doi: 10.1016/s0002-9394(14)72217-2. [DOI] [PubMed] [Google Scholar]
 - 59.Ohta K, Sano K, Imai H, Kikuchi T. Cytokine and molecular analyses of intraocular lymphoma. Ocul Immunol Inflamm. 2009;17(3):142–147. doi: 10.1080/09273940802702553. [DOI] [PubMed] [Google Scholar]
 - 60.de Hoog J, Dik WA, Lu L, Heezen KC, Ten Berge JC, Swagemakers SMA, et al. Combined cellular and soluble mediator analysis for improved diagnosis of vitreoretinal lymphoma. Acta Ophthalmol. 2019;97(6):626–632. doi: 10.1111/aos.14036. [DOI] [PMC free article] [PubMed] [Google Scholar]
 - 61.Merle-Béral H, Davi F, Cassoux N, Baudet S, Colin C, Gourdet T, et al. Biological diagnosis of primary intraocular lymphoma. Br J Haematol. 2004;124(4):469–473. doi: 10.1046/j.1365-2141.2003.04800.x. [DOI] [PubMed] [Google Scholar]
 - 62.Cassoux N, Giron A, Bodaghi B, Tran TH, Baudet S, Davy F, et al. IL-10 measurement in aqueous humor for screening patients with suspicion of primary intraocular lymphoma. Invest Ophthalmol Vis Sci. 2007;48(7):3253–3259. doi: 10.1167/iovs.06-0031. [DOI] [PMC free article] [PubMed] [Google Scholar]
 - 63.Pochat-Cotilloux C, Bienvenu J, Nguyen AM, Ohanessian R, Ghesquières H, Sève P, et al. USE OF A THRESHOLD OF INTERLEUKIN-10 AND IL-10/IL-6 RATIO IN OCULAR SAMPLES FOR THE SCREENING OF VITREORETINAL LYMPHOMA. Retina. 2018;38(4):773–781. doi: 10.1097/IAE.0000000000001922. [DOI] [PubMed] [Google Scholar]
 - 64.Yang P, Zhong Z, Ye Z, Shu J. Ocular involvement in extranodal natural-killer T-cell lymphoma. Lancet Haematol. 2021;8(5):e382. doi: 10.1016/S2352-3026(20)30398-7. [DOI] [PubMed] [Google Scholar]
 - 65.Costopoulos M, Touitou V, Golmard JL, Darugar A, Fisson S, Bonnemye P, et al. ISOLD: A New Highly Sensitive Interleukin Score for Intraocular Lymphoma Diagnosis. Ophthalmol. 2016;123(7):1626–1628. doi: 10.1016/j.ophtha.2016.01.037. [DOI] [PubMed] [Google Scholar]
 - 66.Koo GC, Tan SY, Tang T, Poon SL, Allen GE, Tan L, et al. Janus kinase 3-activating mutations identified in natural killer/T-cell lymphoma. Cancer Discov. 2012;2(7):591–597. doi: 10.1158/2159-8290.CD-12-0028. [DOI] [PubMed] [Google Scholar]
 - 67.Jiang L, Gu ZH, Yan ZX, Zhao X, Xie YY, Zhang ZG, et al. Exome sequencing identifies somatic mutations of DDX3X in natural killer/T-cell lymphoma. Nat Genet. 2015;47(9):1061–1066. doi: 10.1038/ng.3358. [DOI] [PubMed] [Google Scholar]
 - 68.Ye Q, Xu-Monette ZY, Tzankov A, Deng L, Wang X, Manyam GC, et al. Prognostic impact of concurrent MYC and BCL6 rearrangements and expression in de novo diffuse large B-cell lymphoma. Oncotarget. 2016;7(3):2401–2416. doi: 10.18632/oncotarget.6262. [DOI] [PMC free article] [PubMed] [Google Scholar]
 - 69.Dubois S, Viailly PJ, Bohers E, Bertrand P, Ruminy P, Marchand V, et al. Biological and Clinical Relevance of Associated Genomic Alterations in MYD88 L265P and non-L265P-Mutated Diffuse Large B-Cell Lymphoma: Analysis of 361 Cases. Clin Cancer Res. 2017;23(9):2232–2244. doi: 10.1158/1078-0432.CCR-16-1922. [DOI] [PubMed] [Google Scholar]
 - 70.Miao Y, Medeiros LJ, Li Y, Li J, Young KH. Genetic alterations and their clinical implications in DLBCL. Nat Rev Clin Oncol. 2019;16(10):634–652. doi: 10.1038/s41571-019-0225-1. [DOI] [PubMed] [Google Scholar]
 - 71.Chapuy B, Stewart C, Dunford AJ, Kim J, Kamburov A, Redd RA, et al. Molecular subtypes of diffuse large B cell lymphoma are associated with distinct pathogenic mechanisms and outcomes. Nat Med. 2018;24(5):679–690. doi: 10.1038/s41591-018-0016-8. [DOI] [PMC free article] [PubMed] [Google Scholar]
 - 72.Schmitz R, Wright GW, Huang DW, Johnson CA, Phelan JD, Wang JQ, et al. Genetics and Pathogenesis of Diffuse Large B-Cell Lymphoma. N Engl J Med. 2018;378(15):1396–1407. doi: 10.1056/NEJMoa1801445. [DOI] [PMC free article] [PubMed] [Google Scholar]
 - 73.Pasqualucci L, Dalla-Favera R. Genetics of diffuse large B-cell lymphoma. Blood. 2018;131(21):2307–2319. doi: 10.1182/blood-2017-11-764332. [DOI] [PMC free article] [PubMed] [Google Scholar]
 - 74.Liu Y, Barta SK. Diffuse large B-cell lymphoma: 2019 update on diagnosis, risk stratification, and treatment. Am J Hematol. 2019;94(5):604–616. doi: 10.1002/ajh.25460. [DOI] [PubMed] [Google Scholar]
 - 75.Zur D, Iglicki M, Busch C, Invernizzi A, Mariussi M, Loewenstein A, et al. OCT Biomarkers as Functional Outcome Predictors in Diabetic Macular Edema Treated with Dexamethasone Implant. Ophthalmol. 2018;125(2):267–275. doi: 10.1016/j.ophtha.2017.08.031. [DOI] [PubMed] [Google Scholar]
 - 76.Fardeau C, Lee CP, Merle-Béral H, Cassoux N, Bodaghi B, Davi F, Lehoang P. Retinal fluorescein, indocyanine green angiography, and optic coherence tomography in non-Hodgkin primary intraocular lymphoma. Am J Ophthalmol. 2009;147(5):886–94. doi: 10.1016/j.ajo.2008.12.025. [DOI] [PubMed] [Google Scholar]
 - 77.Khong PL, Pang CB, Liang R, Kwong YL, Au WY. Fluorine-18 fluorodeoxyglucose positron emission tomography in mature T-cell and natural killer cell malignancies. Ann Hematol. 2008;87(8):613–621. doi: 10.1007/s00277-008-0494-8. [DOI] [PubMed] [Google Scholar]
 - 78.Khong PL, Huang B, Lee EY, Chan WK, Kwong YL. Midtreatment 18F-FDG PET/CT Scan for Early Response Assessment of SMILE Therapy in Natural Killer/T-Cell Lymphoma: A Prospective Study from a Single Center. J Nucl Med. 2014;55(6):911–916. doi: 10.2967/jnumed.113.131946. [DOI] [PubMed] [Google Scholar]
 - 79.Cao X, Shen D, Callanan DG, Mochizuki M, Chan CC. Diagnosis of systemic metastatic retinal lymphoma. Acta Ophthalmol. 2011;89(2):e149–e154. doi: 10.1111/j.1755-3768.2009.01797.x. [DOI] [PMC free article] [PubMed] [Google Scholar]
 - 80.Davis JL. Intraocular lymphoma: a clinical perspective. Eye (Lond) 2013;27(2):153–162. doi: 10.1038/eye.2012.250. [DOI] [PMC free article] [PubMed] [Google Scholar]
 - 81.Streilein JW. Ocular immune privilege: therapeutic opportunities from an experiment of nature. Nat Rev Immunol. 2003;3(11):879–889. doi: 10.1038/nri1224. [DOI] [PubMed] [Google Scholar]
 - 82.Zamora DO, Riviere M, Choi D, Pan Y, Planck SR, Rosenbaum JT, et al. Proteomic profiling of human retinal and choroidal endothelial cells reveals molecular heterogeneity related to tissue of origin. Mol Vis. 2007;13:2058–2065. [PubMed] [Google Scholar]
 
Associated Data
This section collects any data citations, data availability statements, or supplementary materials included in this article.
Data Availability Statement
The datasets supporting the conclusions of this article are available in the National Genomics Data Center repository (HRA002096).




