Abstract
Introduction
Obesity is a risk factor for zinc deficiency. After bariatric surgery, non-compliance to diet/vitamin supplements, surgical complications leading to vomiting/diarrhea, poor follow-up and malabsorption can precipitate or exacerbate pre-existing zinc deficiency.
Case report
We report a patient with rare necrolytic migratory erythema associated with bacteraemia due to severe zinc deficiency after revisional Roux-en-Y gastric bypass (following primary laparoscopic sleeve gastrectomy).
Conclusion
Bariatric teams should screen patients before bariatric surgery for nutritional deficiencies and continue surveillance of their nutritional status after surgery. They should maintain a high index of suspicion for zinc deficiency in patients with skin rash after bariatric surgery.
Level of evidence
Level V, case report.
Keywords: Necrolytic migratory erythema, Zinc deficiency, Revisional Roux-En-Y gastric bypass, Bacteraemia
Introduction
Necrolytic migratory erythema (NME) is the most common cutaneous manifestation of glucagon-producing pancreatic neuro-endocrine tumors [1]. NME is also observed with chronic liver, kidney, and inflammatory diseases. It is also associated with intestinal malabsorption and nutritional deficiencies of essential amino acids, fatty acids and minerals such as zinc [2]. This form of NME is referred to as acquired acrodermatitis enteropathica [2, 3]. NME presents with demarcated erythematous patches, extensive crusting, scaling and discharge, centrally distributed involving the face, trunk and perineum [4], with stomatitis, cheilitis and alopecia [5].
The third highest zinc concentration is in the skin, crucial for its integrity, differentiation and proliferation of keratinocytes, anti-inflammatory effects, and wound healing [5]. Zinc is absorbed in the duodenum and jejunum [6]. Acquired zinc deficiency due to intestinal malabsorption is linked to NME, alopecia, alopecia areata, atopic dermatitis, and cutaneous ulcers [7].
Both obesity and bariatric surgery (BS) can cause zinc deficiency, probably due to consumption of calorie-dense nutritionally-poor foods [8]. Fasting zinc concentration was inversely related to body mass index (BMI) [9]; and obese individuals had lower zinc than lean controls [9]. Moreover, 50% of bariatric patients had zinc deficiency pre-surgery [10]. In terms of primary BS, the prevalence of zinc deficiency post-LSG, RYGB and biliopancreatic diversion/duodenal switch (BPD/DS) was 11–14%, 15–21% and 45–91%, respectively [10]. It remains unclear whether revisional RYGB is associated with more micronutrient deficiency compared to primary RYGB. We report a rare post-revisional RYGB NME due to severe zinc deficiency complicated by cellulitis and bacteremia. To the best of our knowledge, this is the third reported case of NME precipitated by severe zinc deficiency after revisional BS.
Case presentation
We first outline the history, previous procedures and admissions preceding the index admission. Figure 1 depicts the sequence of events over 2 years.
Fig. 1.
Timeline and sequence of events over 2 years. *Latest laboratory available on June 11, 2018; LSG laparoscopic sleeve gastrectomy, Pre- op Pre-operative, BMI body mass index, Hb Hemoglobin, OGD esophagogastroduodenoscopy, CT computed tomography, RYGB Roux-en-Y gastric bypass, ALP alkaline phosphatase, ALT alanine aminotransferase, AST aspartate aminotransferase, MRI magnetic resonance imaging, MRCP magnetic resonance cholangiopancreatography, Tx treatment, PPI proton pump inhibitor, LL lower limbs, DVT deep venous thrombosis, St Streptococcus, S Staphylococcus, P Pseudomonas, IV intravenous, NME Necrolytic migratory erythema, TPN total parenteral nutrition
A 28-year-old female presented to our emergency department (ER, Hamad General Hospital, largest tertiary care institution in Qatar) on November 22, 2019, with skin blisters, lower limb edema, pain and fever (Fig. 1i, index admission).
The patient had history of obesity (weight 150 kg, BMI 62 kg/m2) and had undergone LSG overseas in November 2018 (Fig. 1a). Three weeks later, she presented to our ER with nausea, vomiting and abdominal pain. Initial workup showed gastric twist/structure, and a mid-sleeve mucosal break (Fig. 1b). She underwent endoscopic dilatation with stent insertion (Fig. 1b), but with subsequent food and water intolerance, she required saving revisional RYGB (Fig. 1c). During her hospital stay, she was followed by multidisciplinary team of bariatric surgeon, physicians, physiotherapist and dietician. She was stable after the revisional surgery and was discharged. She was prescribed multivitamin supplementation (one tablet per day) containing vitamins A, B1, B6, B12, C, D, E, K, and thiamin, niacin, folate, biotin, pantothenic acid, calcium, iron, iodine, magnesium, zinc, selenium, copper, chromium, molybdenum, and sodium. Additional B complex tablets containing B1, B6, and B12 vitamins, as well as calcium carbonate daily and vitamin D weekly were prescribed. The patient was scheduled for follow-up for clinical evaluation and laboratory check.
She returned to the ER with recurrent nausea, vomiting and food intolerance. Her symptoms failed to improve with conservative management, so exploratory laparoscopy was decided and revealed an alimentary limb kink that was corrected surgically (Fig. 1d). The patient had persistent symptoms and elevated liver enzymes. Investigations (Fig. 1e) led to a second exploratory laparoscopy for cholecystectomy and release of intrabdominal adhesions (Fig. 1e). Her overall condition improved, she was discharged and was asymptomatic at follow-up a week later. A few months later, she developed anastomotic ulcer which was treated conservatively. Figure. 1f. She came for one follow-up appointment 2 weeks later at the bariatric surgery clinic but did not undertake the recommended blood test, and reported non-compliance to the multivitamin supplementation. She was advised to take the multivitamins regularly, and was given an appointment with the multidisciplinary team. However, she did not attend her follow-up appointments that were scheduled.
On July 8, 2019, she presented to the ER with a 3-day complaint of lower limb swelling and skin rash (Fig. 1g). She had no family history of skin or auto-immune disease. Ultrasound showed no deep venous thrombosis. She was admitted with provisional diagnosis of allergic reaction as she had consumed seafood. She was, treated and discharged after 1 week (Fig. 1g). Skin biopsy was later undertaken (Fig. 1h).
One month later, she presented again to the ER (index admission) with persistent symptoms and fever (Fig. 1i). She was conscious, oriented, looked ill and dehydrated. She had tender peri-oral ulcers, cheilitis, and generalized edema of the lower limbs with cellulitis of right leg and foot. She also had variable-sized blisters on the trunk and dorsa of the upper and lower limbs, some with foul-smelling discharge (Fig. 2a, b). Cardiovascular and chest examinations were within normal. Investigations were done (Fig. 1i), she was assessed by the dermatology team, started on empirical treatment (IV dexamethasone), but with minimal improvement. She underwent skin biopsy which suggested NME (Fig. 1j, Fig. 3), possibly due to abdominal neuro-endocrine tumor or severe zinc deficiency.
Fig. 2.
Lower limb NME skin manifestation at: time of admission (a left medial view, b dorsal view), and discharge (c, d)
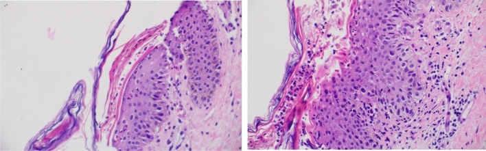
Fig. 3.
Parakeratosis with neutrophils, subcorneal clefting., inflammatory cell infiltrate
Pan CT ruled out occult malignancy (Fig. 1j). Zinc deficiency was confirmed by the bariatric team and treatment (Fig. 1k) lead to drastic improvement of the skin rash with almost complete resolution on some areas about 2 weeks later, with residual hyperpigmentation (Fig. 2c, d). She received IV zinc in total parenteral nutrition (TPN) 7 mg/day for 1 month duration. She was discharged in a stable condition (Fig. 1l). On the next follow up visit, her symptoms resolved and she had normal blood results (Fig. 1m).
Discussion
We report severe zinc deficiency after revisional BS leading to rare cutaneous manifestations. Zinc deficiency with or without skin manifestations in morbidly obese individuals prior to BS has been reported [11]. Research found a 28% incidence of zinc deficiency in obese individuals prior to BS, probably due to consuming nutritionally inadequate meals rich in carbohydrates [12]. As the current patient had her initial LSG abroad, unfortunately, we are unable to speculate the zinc levels before her primary BS. Although her available history did not indicate skin lesions before her primary BS, such lack of skin lesions does not exclude zinc deficiency.
As for demographics, our patient, a 28-year-old female who underwent LSG followed by RYGB for surgical complications, agrees with the literature review we undertook (Table 1) where NME mostly afflicts middle aged patients and with a female predominance.
Table 1.
Literature review of NME/acquired acrodermatitis enteropathica secondary to zinc deficiency after primary or revisional BS
| A | G | Skin lesion | DI | D | DD | Other RF | SI | Primary | Revisional | Taking MVT? | S Zin | S Alb | Diag | Histopathology | DTx IV | TI | |
|---|---|---|---|---|---|---|---|---|---|---|---|---|---|---|---|---|---|
| Current Case 2020 Qatar | 28 | F | Ery, cr/sc | Ext., Abd., perineum, peri-oral | 5 mo | Y | Stricture | Y | LSG | RYGB | N | < 7.7 | low | HP | PK, Inf | 1 mo | 2 wk |
| Raghuna-than 2020 [18] USA | 48 | F | Ery, fissuring | Ext, Abd., Pn, Po | 6 mo | Y | – | Y | RYGB | – | N | Low | Low | HP | PK, spongiosis | – | – |
| Giraldo-Villa 2019 [19] Colombia | 46 | F | Ery, fissuring, cr | Thighs, buttocks/Pn, feet | 2 mo | Y | – | Y | RYGB | Intestinal resection/RYGB correction | – | 4.43 | – | HP | Confluent PK, EpH, lymp infiltrate | 1 mo | – |
| Kurt 2019 [20] Turkey | 40 | F | Ery, ulcers, blisters Cheilitis | Ext, Po | 3 mo | Y | Infectious gastroenteritis | – | LSG | – | – | 7 | Low | HP |
Hyperkeratosis/PK eos inf |
– | 2 wk |
| Rana 2016 [21] USA | 39 | F | Ery, sc, fissures | Trunk, Ext, Po, periorbital | 3 yrs | Y | – | – | RYGB | – | Y | 2.9 | Low | HP |
PK, Inf Keratinocyte vaculation |
1 wk | 1 wk |
| Monshi 2015 [16] Austria | 29 | F | Ery, plaques/sc | Ext, genitoanal | – | – | Pregnancy/emesis | – | LSG | RYGB | – | 5.8 | Low | HP | Hyper/PK, neut inf | – | 1 wk |
| Vick 2015 [22] USA | 38 | F | Ery, plaques, papules | Pn | 8 mo | – | – | – | Gastric bypass | – | Y | 7 | – | HP | EpH/PK, dermal Inf | 4 infusions | – |
| Jakubovic 2015 [23] Canada | 34 | F | Demarcated Ery, vesicles | Ext | 4 mo | Y | – | – | RYGB | – | – | 2 | – | HP | Epidermal necrosis, Inf | – | – |
| Shahsavari 2014 [24] USA | 39 | M | Hyperpigmentation/dry sc | Ext | 2 wk | N | Chronic alcoholism | Y | RYGB | – | – | 4.12 | – | HP | EpH, PK | – | – |
| Mankaney 2014 [25] USA | 54 | F | Ery, desq, excoriation | Lumbosacral, Pn, Inguinal, Ext | 4 mo | – | Socioeconomic limits | – | RYGB | – | N | 4.7 | – | HP | PK, dermal Inf | – | 4 wk |
| Bae-Harboe 2012 [3] USA | 62 | M | Ery, sc | palms/soles | 4 wk | Y | – | – | RYGB | – | – | 13.4 | – | HP | EpH/PK | – | 6 days |
| Cunha 2012 [17] Brazil | 30 | F | Ery, desq, sc | Generalized | 7 mo | – |
V/D, EF |
– | SG | JB | Inadequate | 5.2 | Low | HP | Allergic reaction, vitamin def | 2 mo | 1 wk |
| Lewandowski 2007 [26] USA | 43 | F | Desq, sc, blisters, cheilitis, glositis | Ext, Torso | 2 mo | Y |
Nausea/D, Stricture, ulcer |
Y | Distal RYGB | – | N | 4.38 | low | clinical | – | – | 3–4 wk |
Due to space considerations only the first author is cited
umol/L, – not reported, A Age, Abd abdomen, Alb albuminemia, Cr Crusting, D Duration of skin lesion, DD delayed diagnosis, Def deficiency, Desq desquamation, DI distribution of skin lesion, Diag Diagnosis, DTx IV duration of intravenous zinc supplementation, EF Enterocutaneous fistula, Eos eosinophilic, EpH epidermal hyperplasia, ERY Erythema, Ext extremities, F Female, G Gender, HP Histopathology, Inf inflammation/inflammatory cell infiltrate, JB jejunoileal bypass, Lymp lyphocytic, M Male, Mo months, MVT multivitamins, N No, Neut neutrophilic, PK Parakeratosis, Pn perineum, Po peri-oral, S serum RF risk factors, RYGB Roux-en-Y gastric bypass, Sc Scaling, SG Sleeve gastrectomy, SI Secondary Infection, TI time to improvement of symptoms, V/D Vomiting/Diarrhea, Wk weeks, Y Yes, Yrs years
Regardless of procedure type, deficiency is generally precipitated by non-compliance to diet and multivitamin supplements, inadequate intake, or surgical complications leading to vomiting or diarrhea [8]. As for procedure, LSG (primarily restrictive) can lead to or exacerbate zinc deficiency [13]. RYGB is a malabsorptive procedure that creates alterations in intestinal structure, bypassing a major part of the jejunum where zinc absorption takes place hence predisposing to micronutrients deficiency including zinc [8, 10]. While some authors found no statistically significant difference in risk of zinc deficiency between primary LSG and RYGB (34 % and 37 %, respectively) [14], others reported statistically lower zinc levels in primary RYGB compared to LSG [15].
It remains unclear, however, whether revisional BS is associated with worse nutritional outcomes compared to primary BS. Our patient underwent LSG, had multiple surgical complications, prolonged vomiting due to gastric twist, and was not compliant with the multivitamin supplements. As data are not available, we are unable to speculate her zinc levels in the period between her primary and revisional surgery; however, it is likely that she had zinc deficiency during this period due to the vomiting and inadequate oral intake. She then required revisional RYGB as a rescue procedure for her abdominal symptoms, which probably exacerbated her zinc deficiency. The literature on zinc levels after revisional BS is extremely sparse, as Table 1 shows that the majority of publications reported patients who underwent primary BS, with only two published cases of zinc deficiency post-revisional BS (in addition to the current case) [16, 17]. Future research could examine the risk of micronutrient and protein deficiency in revisional BS, particularly gastric bypass, compared to primary BS.
In terms of presentation, NME presents with erythematous raised plaques centrally distributed in areas of increased friction, forming blisters/flaccid bullae that crust and cause residual hyperpigmentation [2]. Complications with superimposed infections are common [2]. We are in agreement, as our patient had typical skin lesions complicated by cellulitis and bacteremia documented by blood culture. Others reported similar symptoms albeit with slight variability in the rash distribution (Table 1).
In terms of diagnosis, NME is initially commonly misdiagnosed, owing to its rarity and lack of exposure of general practitioners to this entity [2]. Skin biopsy is essential for diagnosis, showing parakeratosis and inflammatory cell infiltration [2]. Our patient had multiple visits to the ER and was initially diagnosed with urticaria, allergic reactions and tinea that did not improve with empirical treatment. She was eventually seen by a dermatologist and then diagnosed by skin biopsy, where histopathology showed keratinocyte necrotic changes and dermal infiltration with inflammatory cells suggestive of NME. All patients in Table 1 required skin biopsy for diagnosis and had typical histopathological findings similar to ours.
The management of NME relies on replacement of zinc and treatment of protein malnutrition [7]. The current case had near complete resolution of the rash 2–3 weeks after zinc supplementation in TPN, in agreement with other reported post-BS cases whose skin lesions significantly improved within 1–4 weeks of treatment with IV or oral zinc (Table 1). Prompt identification of the condition aids in early appropriate management and prevention of complications. Although this case study represents level V evidence, it is the third case study reported in the literature. It highlights that bariatric physicians should be aware of the skin manifestations associated with micronutrient deficiencies after BS.
Conclusion
NME is a serious and rare dermatologic complication of severe zinc deficiency that is often misdiagnosed thus delaying treatment. The bariatric patient is at a twofold risk: pre-surgery, obesity is a risk factor for zinc deficiency; post-surgery, non-compliance to diet/vitamin supplements, surgical complications leading to vomiting/diarrhea, poor follow-up and malabsorption can precipitate or exacerbate pre-existing zinc deficiency. Patients should undergo nutritional screening before revisional BS, with prompt supplementation when deficiency is identified. Bariatric teams should have high index of suspicion for zinc deficiency in post-BS patients with skin rash. All patients need follow-up surveillance for nutritional status after BS. Future research could benefit from understanding the extent of micronutrient deficiency after revisional compared to primary BS.
What is already known about this subject?
Zinc deficiency is common in patients with obesity and following bariatric surgery. It can present with skin symptoms, including alopecia, alopecia areata, atopic dermatitis, and cutaneous ulcers.
What does this report add?
NME due to zinc deficiency post-bariatric surgery is misdiagnosed. Prompt identification/treatment is essential. This is the first case after revisional bariatric surgery reported from the Middle East.
Acknowledgements
The authors appreciate the willingness of the patient to agree to this case report.
Funding
Open access funding provided by Qatar National Library.
Declarations
Conflict of interest
The authors declare no actual or potential conflicts of interest including any financial, personal, or other relationships with other people or organizations. No financial support has been related to the manuscript being submitted. All authors approved the contents of the manuscript and validated the accuracy of the data.
Ethical approval statement
All procedures performed in the study involving human participant were in accordance with the ethical standards of the institutional and/or national research committee and with the 1964 Helsinki Declaration and its later amendments or comparable ethical standards. This case report has been approved by the Medical Research center (IRB) at Hamad Medical Corporation (approval # MRC-04-20-854).
Informed consent
Written informed consent was obtained from the patient for the publication of this report.
Footnotes
Publisher's Note
Springer Nature remains neutral with regard to jurisdictional claims in published maps and institutional affiliations.
References
- 1.Tolliver S, Graham J, Kaffenberger BH. A review of cutaneous manifestations within glucagonoma syndrome: necrolytic migratory erythema. Int J Dermatol. 2018;57:642–645. doi: 10.1111/ijd.13947. [DOI] [PubMed] [Google Scholar]
- 2.Foss MG, Ferrer-Bruker SJ (2020) Necrolytic Migratory Erythema. StatPearls. StatPearls Publishing; 2020 [cited 2020 Sep 24]. http://www.ncbi.nlm.nih.gov/pubmed/30422467. Accessed 18 Oct 2020 [PubMed]
- 3.Bae-Harboe Y, Solky A, Masterpol K. A case of acquired Zinc deficiency. Dermatol Online J. 2012;18(5):1. doi: 10.5070/D340W733SK. [DOI] [PubMed] [Google Scholar]
- 4.Alvarez M, Almanzar A, Sanabria F, Meneses G, Velasquez L, Zarate L. Manifestations of glucagonoma syndrome. AACE Clin Case Rep. 2020;6:46–49. doi: 10.4158/accr-2019-0211. [DOI] [PMC free article] [PubMed] [Google Scholar]
- 5.Toberer F, Hartschuh W, Wiedemeyer K. Glucagonoma-associated necrolytic migratory erythema. Am J Dermatopathol. 2019;41:29–32. doi: 10.1097/dad.0000000000001219. [DOI] [PubMed] [Google Scholar]
- 6.Maares M, Haase H. A guide to human zinc absorption: general overview and recent advances of in vitro intestinal models. Nutrients. 2020;12(3):762. doi: 10.3390/nu12030762. [DOI] [PMC free article] [PubMed] [Google Scholar]
- 7.Ogawa Y, Kawamura T, Shimada S. Zinc and skin biology. Arch Biochem Biophys. 2016;611:113–119. doi: 10.1016/j.abb.2016.06.003. [DOI] [PubMed] [Google Scholar]
- 8.Sallé A, Demarsy D, Poirier AL, Lelièvre B, Topart P, Guilloteau G, et al. Zinc deficiency: a frequent and underestimated complication after bariatric surgery. Obes Surg. 2010;20:1660–1670. doi: 10.1007/s11695-010-0237-5. [DOI] [PubMed] [Google Scholar]
- 9.Der CM, Lin PY, Sheu WHH. Zinc status in plasma of obese individuals during glucose administration. Biol Trace Elem Res. 1997;60:123–129. doi: 10.1007/bf02783315. [DOI] [PubMed] [Google Scholar]
- 10.Mohapatra S, Gangadharan K, Pitchumoni CS. Malnutrition in obesity before and after bariatric surgery. Dis Mon. 2020;66(2):100866. doi: 10.1016/j.disamonth.2019.06.008. [DOI] [PubMed] [Google Scholar]
- 11.De Luis DA, Pacheco D, Izaola O, Terroba MC, Cuellar L, Cabezas G. Micronutrient status in morbidly obese women before bariatric surgery. Surg Obes Relat Dis. 2013;9:323–327. doi: 10.1016/j.soard.2011.09.015. [DOI] [PubMed] [Google Scholar]
- 12.Astrup A, Bügel S. Overfed but undernourished: recognizing nutritional inadequacies/deficiencies in patients with overweight or obesity. Int J Obes. 2019;43(2):219–232. doi: 10.1038/s41366-018-0143-9. [DOI] [PubMed] [Google Scholar]
- 13.Ledoux S, Flamant M, Calabrese D, Bogard C, Sami O, Coupaye M. What are the micronutrient deficiencies responsible for the most common nutritional symptoms after bariatric surgery? Obes Surg. 2020;30(5):1891–1897. doi: 10.1007/s11695-020-04412-8. [DOI] [PubMed] [Google Scholar]
- 14.Gehrer S, Kern B, Peters T, Christofiel-Courtin C, Peterli R. Fewer nutrient deficiencies after laparoscopic sleeve gastrectomy (LSG) than after Laparoscopic Roux-Y-gastric bypass (LRYGB)-a prospective study. Obes Surg. 2010;20:447–453. doi: 10.1007/s11695-009-0068-4. [DOI] [PubMed] [Google Scholar]
- 15.Syn NL, Lee PC, Kovalik JP, Tham KW, Ong HS, Chan WH, et al. Associations of bariatric interventions with micronutrient and endocrine disturbances. JAMA Netw Open. 2020;3(6):205123. doi: 10.1001/jamanetworkopen.2020.5123. [DOI] [PMC free article] [PubMed] [Google Scholar]
- 16.Monshi B, Stockinger T, Vigl K, Richter L, Weihsengruber F, Rappersberger K. Phrynoderm and acquired Acrodermatitis enteropathica in breastfeeding women after bariatric surgery. J Ger Soc Dermatol. 2015;13:1147–1155. doi: 10.1111/ddg.60_12795. [DOI] [PubMed] [Google Scholar]
- 17.Cunha S, Gonçalves MJ, Roselino AM. Acrodermatitis due to zinc deficiency after combined vertical gastroplasty with jejunoileal bypass: case report. Sao Paulo Med J. 2012;130(5):330–335. doi: 10.1590/s1516-31802012000500010. [DOI] [PMC free article] [PubMed] [Google Scholar]
- 18.Raghunathan S, Akkireddy P. MON-587 a case of pseudoglucagonoma syndrome post bariatric surgery. J Endocr Soc. 2020;4(Suppl 1):MON-587. doi: 10.1210/jendso/bvaa046.921. [DOI] [Google Scholar]
- 19.Giraldo-Villa A, Guzman-Luna CE. Acquired acrodermatitis enteropathica after abdominal surgery: case report. Case Reports. 2019;5(2):147–154. doi: 10.15446/cr.v5n2/78783. [DOI] [Google Scholar]
- 20.Kurt B, İrican C, Unal B, Çiftçioğlu M, Uzun A. Acquired acrodermatitis enteropathica secondary to sleeve gastrectomy. Indian J Dermatol Venereol Leprol. 2019;85(2):220–223. doi: 10.4103/ijdvl.IJDVL_337_18. [DOI] [PubMed] [Google Scholar]
- 21.Rana J, Plovanich M, Wallace E, Yang C, Canales A, Mostaghimi A. Acquired acrodermatitis enteropathica after gastric bypass surgery responsive to IV supplementation. Dermatol Online J. 2016;22(11):13030. doi: 10.5070/D32211033150. [DOI] [PubMed] [Google Scholar]
- 22.Vick G, Mahmoudizad R, Fiala K. Intravenous zinc therapy for acquired zinc deficiency secondary to gastric bypass surgery: a case report. Dermatol Ther. 2015;28:222–225. doi: 10.1111/dth.12209. [DOI] [PubMed] [Google Scholar]
- 23.Jakubovic BD, Zipursky JS, Wong N, McCall MR, Jakubovic HR, Chien V. Zinc deficiency presenting with necrolytic acral erythema and coma. Am J Med. 2015;128:3–4. doi: 10.1016/j.amjmed.2015.03.022. [DOI] [PubMed] [Google Scholar]
- 24.Shahsavari D, Ahmed Z, Karikkineth A, Williams R, Zigel C. Zinc-deficiency acrodermatitis in a patient with chronic alcoholism and gastric bypass: a case report. J Community Hosp Intern Med Perspect. 2014;4:24707. doi: 10.3402/jchimp.v4.24707. [DOI] [PMC free article] [PubMed] [Google Scholar]
- 25.Mankaney GN, Vipperla K. Acquired acrodermatitis enteropathica. N Engl J Med. 2014;371:67–67. doi: 10.1056/nejmicm1312911. [DOI] [PubMed] [Google Scholar]
- 26.Lewandowski H, Breen TL, Huang EY. Kwashiorkor and an acrodermatitis enteropathica-like eruption after a distal gastric bypass surgical procedure. Endocr Pract. 2007;13:277–282. doi: 10.4158/ep.13.3.277. [DOI] [PubMed] [Google Scholar]



