Infographic
Keywords: clinical nephrology, ESRD, flank pain, hematoma, hemodialysis, renal hemorrhage, spontaneous
Case Description
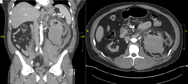
A 45-year-old Hispanic man with diabetes mellitus type 2, hypertension, and ESKD on intermittent hemodialysis since 2017 presented to the hospital with left flank pain. The patient developed left-sided dull flank pain of 1-day duration with associated nausea and vomiting on the day of admission. He denied any recent trauma. Vital signs were remarkable for tachycardia of 115 bpm and a blood pressure of 120/68 mm Hg. Labs demonstrated a decrease in hemoglobin from 12.1 g/dl, 3 weeks before evaluation to 8.6 g/dl. Computed tomography (CT) scan of the abdomen/pelvis with contrast (Figure 1, A and B) showed hemorrhage of the left kidney measuring 6.5×7.2×9.3 cm3. Interval CT angiography did not demonstrate change in the size of the hematoma nor extravasation. Hemoglobin remained stable and he was discharged home to continue outpatient hemodialysis.
Figure 1.
CT scan of the abdomen with intravenous contrast. (A) CT scan of the abdomen (coronal view) shows hemorrhage of the left kidney. (B) CT scan of the abdomen (axial view) demonstrates hemorrhage of the left kidney. CT, computed tomography.
Discussion
Nontraumatic spontaneous hemorrhage of the kidney, first described by Carl Wunderlich in 1856, is a rare condition. It presents with a triad of acute flank pain, flank mass, and hypovolemic shock. This triad, however, is seen in only 20% of cases. Acute flank pain occurs in 80% of cases, while hypovolemic shock is seen in only 11% (1). Etiologies of hemorrhage are divided into renal and extrarenal causes. Renal causes include malignancies (such as renal cell carcinoma and angiomyolipoma), renal artery aneurysm, or calyceal rupture, while extrarenal causes include pheochromocytoma, retroperitoneal tumors, coagulopathies, vasculitis, and use of anticoagulants. Spontaneous kidney hemorrhage in ESKD is commonly associated with rupture of a cyst in the setting of heparin use. CT scans to identify the hemorrhage and CT tomography angiography to localize the lesion are preferred imaging modalities. Management of spontaneous kidney hemorrhage depends on severity of presentation, and this can vary from conservative therapies to angioembolization to radical or partial nephrectomy in severe shock. Mortality has been reported to be between 2.3% and 14%; thus, this condition necessitates prompt recognition and treatment (2).
Teaching Points
Nontraumatic spontaneous hemorrhage of the kidney is a rare condition that presents with flank mass, pain, and hypovolemic shock.
Management of hemorrhage is based on severity of presentation and can vary from conservative observation to angioembolization or nephrectomy.
Disclosures
All authors have nothing to disclose.
Funding
None.
Acknowledgments
Informed consent was obtained from the patient.
Author Contributions
J. Diaz wrote the original draft; and J. Gill and H.M. Szerlip reviewed and edited the manuscript.
References
- 1.Kim JW, Kim JY, Ahn ST, Park TY, Oh MM, Moon DG, Park HS: Spontaneous perirenal hemorrhage (Wunderlich syndrome): An analysis of 28 cases. Am J Emerg Med 37: 45–47, 2019. 10.1016/j.ajem.2018.04.045 [DOI] [PubMed] [Google Scholar]
- 2.Ahn T, Roberts MJ, Navaratnam A, Chung E, Wood S: Changing etiology and management patterns for spontaneous renal hemorrhage: A systematic review of contemporary series. Int Urol Nephrol 49: 1897–1905, 2017. 10.1007/s11255-017-1694-8 [DOI] [PubMed] [Google Scholar]


