Abstract
Diabetes mellitus (DM) burden encompasses diabetic kidney disease (DKD), the leading cause of end-stage renal disease worldwide. Despite compelling evidence indicating that pharmacological intervention curtails DKD progression, the search for non-pharmacological strategies can identify novel targets for drug development against metabolic diseases. One of those emergent strategies comprises the modulation of the intestinal microbiota through fecal transplant from healthy donors. This study sought to investigate the benefits of fecal microbiota transplant (FMT) on functional and morphological parameters in a preclinical model of type 2 DM, obesity, and DKD using BTBRob/ob mice. These animals develop hyperglycemia and albuminuria in a time-dependent manner, mimicking DKD in humans. Our main findings unveiled that FMT prevented body weight gain, reduced albuminuria and tumor necrosis factor-α (TNF-α) levels within the ileum and ascending colon, and potentially ameliorated insulin resistance in BTBRob/ob mice. Intestinal structural integrity was maintained. Notably, FMT was associated with the abundance of the succinate-consuming Odoribacteraceae bacteria family throughout the intestine. Collectively, our data pointed out the safety and efficacy of FMT in a preclinical model of type 2 DM, obesity, and DKD. These findings provide a basis for translational research on intestinal microbiota modulation and testing its therapeutic potential combined with current treatment for DM.
Keywords: diabetes mellitus, diabetic kidney disease, gut microbiota, fecal transplant, obesity
1. Introduction
Diabetic kidney disease (DKD) is one of the major complications of diabetes mellitus (DM) [1,2] and develops in approximately 40% of diabetic individuals [1,3]. DKD is considered the main cause of end-stage kidney disease (ESKD) [3], resulting in increased morbidity and mortality rates, mainly due to cardiovascular complications [2].
Several risk factors contribute to the development and progression of DKD, including non-modifiable and modifiable variables, such as age, sex, ethnicity, family history of DM, duration of DM, glycemic control, hypertension, and obesity [1,3]. The pathogenesis of DKD is complex and is triggered by the exposure of renal cells to excessive glucose inflow. That hyper glucose burden leads to metabolic stress, hemodynamic alterations, overactive renin-angiotensin-aldosterone system (RAAS), and upregulation of various signaling pathways resulting in oxidative stress, cellular dysfunction, inflammation, apoptosis and fibrosis [1]. Albuminuria is defined by a urinary albumin-to-creatinine ratio (UACR) ≥ 30 mg/g [1] and is the hallmark of DKD diagnosis and progression [2,3]. It is associated with an increased risk of ESKD and cardiovascular disease [2,3]. Currently, therapeutic strategies to prevent DKD comprise adequate glycemic control, dietary and lifestyle interventions, dyslipidemia treatment, blood pressure control, blockade of RAAS, and antidiabetic drugs [1,2]. Despite broad pharmacological and non-pharmacological approaches, DKD has evolved throughout the years, which prompted the development of novel strategies to curtail its progression.
Among these novel therapeutic approaches, the modulation of the intestinal microbiota has emerged as a promising strategy. The gut microbiota is a complex microbial community that plays an important role in many aspects of human health [4]. Several factors can influence the composition of that microbiota, mode of birth, infant type of feeding, host genetics, age, diet, lifestyle, medication, burden of comorbidities, and environmental exposures [4]. The imbalance in the composition and function of the gut microbiota has been associated with metabolic disorders, including obesity, insulin resistance, and type 2 DM (T2DM) [5,6,7]. The gut microbiota participates in energy homeostasis, glucose metabolism, insulin resistance, and weight gain [5,8,9]. Moreover, gut microbiota-derived lipopolysaccharide (LPS) produced by Gram-negative bacteria is involved in compromising the integrity of the intestinal barrier, which leads to subclinical inflammation and DM burden [9,10]. Diabetic individuals are dysbiotic and present a less diverse [7], dysfunctional, depleted in butyrate-producing bacteria microbiota, as well as an increase in opportunistic pathogens [6], Likewise, DM is associated with a lower abundance of the Firmicutes phylum, whereas higher proportions of the Bacteroidetes and Proteobacteria phyla and Betaproteobacteria class were found [11]. Thus, understanding human microbiome homeostasis is of paramount importance for therapeutic purposes, including dietary interventions [12], use of prebiotics [13], probiotics [14], symbiotics [15], and fecal microbiota transplant (FMT) [16,17,18]. FMT consists of the administration of a solution of fecal matter from healthy donors in order to modify the gut microbial composition of unhealthy recipients [18]. Here, we hypothesized that FMT may have beneficial effects on functional and morphological parameters in the preclinical model of DKD using the BTBRob/ob mice, the most robust animal model that empresses the human features of DKD [19].
2. Results
2.1. 16S rRNA Sequencing Analysis
In BTBR (Black and Tan, Obese Tufted) wild-type mice (WT), BTBRob/ob mice not submitted to FMT or FMT (-), and BTBRob/ob mice submitted to FMT or FMT (+), sequencing of the 16S rRNA disclosed seven bacterial phyla, including Bacteroidetes, Firmicutes, Proteobacteria, Actinobacteria, Verrucomicrobia, Deferribacteres, and Chloroflex (Figure 1A). In all groups, most sequences revealed greater proportions of the Bacteroidetes phylum when compared to the Firmicutes phylum. See Supplementary Materials for detailed information.
Figure 1.
Intestinal composition analysis by 16S rRNA sequencing in BTBRob/ob FMT (+) and BTBRob/ob FMT (-) mice compared to BTBR WT mice. (A) Bacterial phyla according to 16S rRNA sequencing of 10- and 14-week-old BTBRob/ob FMT (+) and FMT (-) mice compared to age-matched BTBR WT mice: Bacteroidetes, Firmicutes, Proteobacteria, Actinobacteria, Verrucomicrobia, Deferribacteres, and Chloroflex. (B) Alpha diversity analysis by Shannon Index in 10-week-old BTBR WT and age-matched BTBRob/ob mice (p = 0.24), and among 14-week-old BTBR WT versus BTBRob/ob FMT (-) and BTBRob/ob FMT (+) mice (p = 0.21) indicated that the species richness was similar among groups. Results are median and IQR. (C) Principal coordinate analysis (PCoA) based on Bray–Curtis dissimilarity metrics did not show any clearly associated clusters in relation to the study animals. Results are median and IQR. (D) Butyrate producer Lachnospiraceae bacteria family proportions were similar between 10-week-old BTBR WT and age-matched BTBRob/ob mice (p = 0.59), yet higher proportions of these bacteria in 14-week-old BTBR WT compared to 14-week-old BTBRob/ob FMT (-) and FMT (+) mice (* p = 0.026) were observed. No significant difference was found between 14-week-old BTBRob/ob FMT (+) and FMT (-) mice (p = 0.39). Results are median and IQR. (E,F) Assessment of the differences in relative abundance between genotypes effect evaluated by log 2-fold change demonstrated greater relative abundance in the Gammaproteobacteria and Verrucomicrobiae classes and lower abundance in the Dehalococcoidia and Odoribacteraceae families in 14-week-old BTBRob/ob FMT (-) mice. The treatment increased the abundance of the Odoribacteraceae family in 14-week-old BTBRob/ob FMT (+) mice. In all analyses, n = 6/group.
Alpha-diversity analysis using Shannon’s index indicated that the species richness was similar among groups (Figure 1B). Beta diversity analysis, using principal coordinate analysis (PCoA) based on Bray–Curtis dissimilarity metrics, was not associated with the treatment (Figure 1C).
When we evaluated the rate of butyrate-producing bacteria (Ruminococcaceae and Lachnospiraceae) relative to non-producing bacteria, an increase in the proportion in the Lachnospiraceae family was observed in 14-week-old BTBR WT mice over 14-week-old BTBRob/ob FMT (-) and FMT (+) mice with similar ages (p = 0.026) (Figure 1D). Next, we investigated the effect of genotype and treatment on the microbiota quantified by a log2-fold change and found a higher relative abundance in the Gammaproteobacteria and Verrucomicrobiae classes and a lower abundance in the Dehalococcoidia and Odoribacteraceae families in 14-week-old BTBRob/ob FMT (-) mice. Importantly, FMT increased the abundance of the Odoribacteraceae family in 14-week-old BTBRob/ob mice (Figure 1E).
2.2. Functional and Metabolic Parameters in BTBR WT, BTBRob/ob FMT (-), and BTBRob/ob FMT (+) Mice
As expected, BTBRob/ob mice exhibited higher body weight gain when compared to BTBR WT mice (p > 0.05), and this difference was maintained over time. However, BTBRob/ob FMT (+) mice presented lower body weight when compared to untreated BTBRob/ob mice at all time points (p < 0.05) (Figure 2A). All BTBRob/ob mice, regardless of age and treatment, had significantly increased blood glucose when compared to BTBR WT mice (p < 0.05) (Figure 2B).
Figure 2.
Analysis of the functional and metabolic parameters in BTBRob/ob FMT (+) and BTBRob/ob FMT (-) mice compared to BTBR WT mice. (A) BTBRob/ob mice showed significantly higher body weight when compared to BTBR WT mice (*** p = 0.0001); however, 14-week-old BTBRob/ob FMT (+) mice at all intervals gained less body weight than BTBRob/ob FMT (-) mice (Row 1: * p = 0.03, Row 2: * p = 0.02, Row 3: * p = 0.02, Row 4: * p = 0.04, Row 5: * p = 0.01). (B) Fasting blood glucose was higher in 10-week-old BTBRob/ob mice when compared to age-matched BTBR WT mice (p = 0.0001), and between 14-week-old BTBRob/ob FMT (-) and FMT (+) mice when compared to age-matched BTBR WT mice (**** p < 0.0001). No difference was found between 14-week-old BTBRob/ob FMT (-) and FMT (+) mice (p = 0.78). (C) Glycosuria did not change significantly between 10-week-old BTBR WT and age-matched BTBRob/ob mice (p = 0.59). However, it was higher between 14-week-old BTBR WT and 14-week-old BTBRob/ob FMT (-) (** p = 0.002) and FMT (+) (** p = 0.02) mice, yet with no significant difference between 14-week-old BTBRob/ob FMT (-) and FMT (+) mice (p > 0.99). (D,E) The body weight of 14-week-old BTBRob/ob FMT (-) mice correlated positively to the Verrucomicrobia phylum (r = 0.9; * p = 0.01) (D) and Flavonifractor genus (r = 0.88 * p = 0.02) (E). (F) Body weight of 14-week-old BTBRob/ob FMT (+) mice was positively associated with the intestinal Betaproteobacteria class (r = 0.93, ** p = 0.008). (G) Plasma insulin was elevated in 10-week-old BTBRob/ob when compared to age-matched BTBR WT mice (* p = 0.01) and between 14-week-old BTBR WT mice versus BTBRob/ob FMT (-) mice (* p = 0.02). No significant difference was found between 14-week-old BTBR WT and BTBRob/ob FMT (+) mice (p = 0.3) and 14-week-old BTBRob/ob FMT (-) and BTBRob/ob FMT (+) mice (p > 0.99). (H) Plasma C-peptide was higher in 10-week-old BTBRob/ob mice when compared to age-matched BTBR WT mice (* p = 0.01) and between 14-week-old BTBR WT and BTBRob/ob FMT (-) mice (* p = 0.02). No significant difference was found between 14-week-old BTBRob/ob FMT (-) and FMT (+) mice (p > 0.05) and 14-week-old BTBR WT and BTBRob/ob FMT (+) mice (p = 0.79). (I) Plasma glucagon did not change significantly between 10-week-old BTBR WT and age-matched BTBRob/ob mice (p = 0.57). However, glucagon levels were higher in 14-week-old BTBRob/ob FMT (-) mice when compared to 14-week-old BTBR WT (* p = 0.02) but not to BTBRob/ob FMT (+) mice (p > 0.99). There was a trend toward higher glucagon levels in BTBRob/ob FMT (+) mice in comparison to age-matched BTBR WT mice (p = 0.05). (J) HOMA-IR in 10-week-old BTBRob/ob was elevated when compared to age-matched BTBR WT mice (* p = 0.02) and between 14-week-old BTBR WT versus BTBRob/ob FMT (-) mice (** p = 0.006). However, no difference was observed between 14-week-old BTBR WT and 14-week-old BTBRob/ob FMT (+) mice (p = 0.2) and between 14-week-old BTBRob/ob FMT (-) and FMT (+) mice (p > 0.99). (K) HOMA-β was significantly higher in 10-week-old BTBRob/ob when compared to age-matched BTBR WT mice (p = 0.01) and did not change significantly between 14-week-old BTBR WT and BTBRob/ob FMT (-) and BTBRob/ob FMT (+) mice (p = 0.22 and p > 0.99, respectively). All data are means ± SEM. In all analyses, n = 6/group.
Glycosuria was higher in 14-week-old BTBRob/ob FMT (-) and FMT (+) mice when compared to age-matched BTBR WT mice and showed no difference due to treatment (p > 0.05) (Figure 2C). Body weight was positively correlated with the Verrucomicrobia phylum in 14-week-old BTBRob/ob FMT (-) mice (r = 0.9, * p = 0.02) (Figure 2D) and the Flavonifractor genus (r = 0.88, * p = 0.02) (Figure 2E) and Betaproteobacteria class (r = 0.93, ** p = 0.008) in BTBRob/ob FMT (+) mice (Figure 2F).
Regarding metabolic parameters, plasma insulin (Figure 2G) and C-peptide (Figure 2H) levels were higher in the 10- and 14-week-old BTBRob/ob when compared to age-matched BTBR WT mice (p < 0.05), and FMT abrogated that increase. Plasma glucagon was not significantly different between 14-week-old BTBRob/ob FMT (-) and FMT (+) mice (p > 0.05) (Figure 2I). To access insulin resistance and secretion using fasting glucose and insulin concentration, we evaluated HOMA-IR and HOMA-β indexes. Thus, HOMA-IR was higher in 10- and 14-week-old BTBRob/ob mice when compared to age-matched BTBR WT mice (p < 0.05), and FMT prevented the increase in HOMA-IR in BTBRob/ob mice (Figure 2J). Islet cell function, assessed by HOMA-β, was higher in 10-week-old and BTBRob/ob mice and was not affected by the treatment (Figure 2K).
2.3. Pancreas Histological and Metabolic Parameters and Plasma Enteroendocrine Hormones Evaluation
Morphological evaluation of the pancreatic islet area demonstrated hypertrophy in all BTBRob/ob mice, regardless of age and treatment, when compared to BTBR WT mice (p > 0.05) (Figure 3A).
Figure 3.
Analysis of morphological and metabolic parameters in BTBRob/ob FMT (+) and FMT (-) mice compared to BTBR WT mice. (A) Representative hematoxylin-eosin (HE) staining of morphological evaluation of pancreatic islets in 10-week-old BTBR WT compared to age-matched BTBRob/ob mice and 14-week-old BTBR WT compared to BTBRob/ob FMT (+) and FMT (-) mice. Data exhibited hypertrophy of the pancreatic islet in 10-week-old BTBRob/ob mice when compared to age-matched BTBR WT mice (** p = 0.005), and between BTBRob/ob FMT (-) (** p = 0.008) and FMT (+) (* p = 0.01) versus 14-week-old BTBR WT mice. No difference was observed between BTBRob/ob FMT (-) and FMT (+) mice (p = 0.93). (B) Plasma GLP-1 was significantly more elevated in 10-week-old BTBRob/ob mice when compared to age-matched BTBR WT mice (* p = 0.01) but did not show a significant difference between 14-week-old BTBR WT versus 14-week-old BTBRob/ob FMT (-) (p = 0.23) and FMT (+) mice (p > 0.99). (C) Plasma GLP-2 was significantly elevated in 14-week-old BTBRob/ob FMT (-) and BTBRob/ob FMT (+) mice when compared to age-matched BTBR WT mice (* p = 0.02 and * p = 0.01, respectively), but no difference was found between BTBRob/ob 14-week-old FMT (-) and FMT (+) mice (p > 0.99). (D) Plasma PYY was significantly different between 14-week-old BTBR WT and 14-week-old BTBRob/ob FMT (-) (* p = 0.02) mice, although no difference was observed between 14-week-old BTBR WT and BTBRob/ob FMT (+) mice (p > 0.99). (E) Plasma GIP was significantly higher in 14-week-old BTBRob/ob FMT (-) and BTBRob/ob FMT (+) mice when compared to age-matched BTBR WT mice (* p = 0.02 for both), but no difference was found between BTBRob/ob 14-week-old FMT (-) and BTBRob/ob FMT (+) mice (p > 0.99). All data are means ± SEM. Scale bars represent 100 µm in (A). In all analyses, n = 5–6/group.
To gain insights into the secretion of enteroendocrine hormones in DKD and obesity settings, we evaluated glucagon- like peptide -1 (GLP-1 )levels. That hormone exerts a positive impact on glucose and energy homeostasis by stimulating glucose-dependent insulin secretion, as well as inhibiting glucagon release and decreasing food intake [20]. GLP-1 was not significantly different among treated and untreated BTBRob/ob mice in comparison to BTBR WT mice (p > 0.05) yet was significantly higher in 10-week-old BTBRob/ob mice (Figure 3B). On the other hand, glucagon-like peptide 2 (GLP-2), which exerts an intestinotrophic effect, improving intestinal epithelial proliferation and reducing intestinal permeability [21], was elevated in 14-week-old BTBRob/ob FMT (-) and FMT (+) mice when compared to age-matched BTBR WT mice (p < 0.05), and not affected by FMT (Figure 3C). Peptide YY (PYY), an intestinal hormone associated with delayed gastric emptying, gut motility, and reduced appetite [21,22], was higher in 14-week-old BTBRob/ob FMT (-) mice, whereas FMT prevented that increase (Figure 3D). Glucose-dependent insulinotropic polypeptide (GIP), an incretin released by nutrients present in the gastrointestinal tract that potentiates insulin secretion [20], was significantly elevated in 14-week-old BTBRob/ob FMT (-) and FMT (+) mice when compared to age-matched BTBR WT mice (p < 0.05) (Figure 3E).
2.4. Renal Functional and Histological Parameters and Systemic Inflammation
FMT prevented the increase in urinary albumin-to-creatinine ratio (UACR) in 14-week-old BTBRob/ob mice (Figure 4A). Despite the impact of FMT on albuminuria, we only observed a slight decrease in hyperfiltration, as assessed by creatinine clearance (Figure 4B). In 14-week-old BTBRob/ob FMT (+) mice, UACR was associated negatively with the Odoribacteraceae family (r = −0.85, p = 0.034) (Figure 4C) and Deltaproteobacteria class (r = −0.85, p = 0.034) (Figure 4D), whereas in 14-week-old BTBRob/ob FMT (-) and FMT (+) mice, UACR was correlated negatively to the Lactobacillales order (r = −0.9, p = 0.02 and r = −0.89, p = 0.04, respectively) (Figure 4E).
Figure 4.
Functional and morphological evaluation of the kidney, metagenomics analysis, and systemic inflammatory markers. (A) Urinary albumin-to-creatinine ratio (UACR; μg/mg) was higher in 10-week-old BTBRob/ob mice when compared to the UACR of age-matched BTBR WT mice (** p= 0.006). UACR in 14-week-old BTBRob/ob FMT (-) mice was significantly more elevated when compared to age-matched BTBR WT mice (** p = 0.007). Additionally, UACR in 14-week-old BTBRob/ob FMT (+) mice was significantly lower when compared to BTBRob/ob FMT (-) mice (* p = 0.03), and no significant difference was found when compared to 14-week-old BTBR WT mice (p = 0.55). (B) Glomerular filtration rate in accordance with treatment and age: 14-week-old BTBR WT versus BTBRob/ob FMT (-) (p = 0.26), 14-week-old BTBR WT versus BTBRob/ob FMT (+) (p = 0.63), and BTBRob/ob FMT (-) versus FMT (+) mice (p= 0.78). (C,D) UACR of 14-week-old BTBRob/ob FMT (+) mice correlated negatively to the Odoribacteraceae family (r = −0.85; p = 0.034) and Deltaproteobacteria class (r = −0.85; p = 0.034). (E) UACR in 14-week-old BTBRob/ob FMT (-) and FMT (+) mice interacted negatively with the Lactobacillales order (r = −0.9; p = 0.02 and r = −0.89; p = 0.04 respectively). (F) Representative of periodic acid-Schiff (PAS) staining of kidney sections in BTBR WT, BTBRob/ob FMT (-), and FMT (+) mice between 10 and 14 weeks of age. 14-week-old BTBRob/ob FMT (-) and FMT (+) mice showed an increase in the accumulation of mesangial matrix when compared to age-matched BTBR WT mice (** p = 0.002 for both), and FMT did not prevent that structural damage in 14-week-old BTBRob/ob compared to untreated mice (p = 0.98). (G) Fold change of PDGF expression in the kidney in relation to age-matched BTBR WT: 10-week-old BTBRob/ob mice versus 14-week-old BTBRob/ob FMT (-) mice was significantly different (* p = 0.02), but no difference was found in 10-week-old BTBRob/ob mice versus 14-week-old BTBRob/ob FMT (+) mice (p = 0.05), and between 14-week-old BTBRob/ob FMT (-) and FMT (+) mice (p > 0.99). (H–J) Plasma evaluation of systemic inflammatory markers TNF-α (H), IL-6 (I), and MCP-1 (J) had no significant difference in accordance to the age and treatment (p > 0.99). All data are means ± SEM. Scale bars represent 20 µm in (F). In all analyses, n = 5–6/group.
However, BTBRob/ob mice of all ages, regardless of treatment, exhibited an increase in the accumulation of the mesangial matrix (Figure 4F), a hallmark not only of early stages of DKD but also of progression [1]. In line with these findings, we verified an induction of several genes within the kidneys of BTBRob/ob mice of all ages, indicating renal hypertrophy and fibrosis E-cadherin, actin alpha 2 (Acta 2), cluster of differentiation (CD90), transforming growth factor beta (TGF-β), sodium-glucose co-transporter 1 (SGLT-1) and sodium-glucose co-transporter 2 (SGLT-2) (Supplementary Figure S1A–F). Platelet-derived growth factor (PDGF) expression was not upregulated in treated animals, suggesting a potential reduction in mesangial proliferation (Figure 4G).
Plasma evaluation of systemic inflammatory markers, including tumor necrosis factor-α (TNF-α), interleukin-6 (IL-6), and monocyte chemoattractant protein-1 (MCP-1), was similar among mice in all groups (p > 0.05) (Figure 4H–J), which points out that FMT was a safe treatment in these animals. TNF-α gene expression was similar in all BTBRob/ob mice, regardless of time and treatment (p > 0.05) (Supplementary Figure S1G).
2.5. Evaluation of the Number of Podocytes, Cell Death, and Renal Oxidative Stress in Renal Tissue
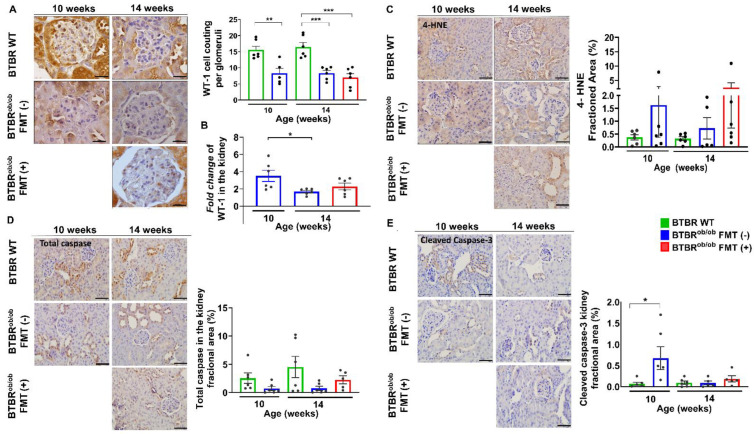
To verify the impact of FMT on halting the progression of DKD, we sought to analyze the number of Wilms´Tumour-1 (WT1+) podocyte/glomerulus. Podocytopenia was found in all BTBRob/ob mice, independently of age, and was not prevented by FMT (Figure 5A). Likewise, FMT did not prevent the downregulation of podocyte genes, such as nephrin, podocin, and integrin β1 (Supplementary Figure S1H–J). Nonetheless, WT-1 expression was maintained after FMT, as opposed to untreated animals, highlighting the potential for preservation of both the podocytes and glomerular filtration barrier (Figure 5B).
Figure 5.
Immunohistochemical analysis of WT-1, total caspase, cleaved caspase-3, and 4-hydroxy-2-noneal (4-HNE) in the kidneys of BTBRob/ob FMT (-) and FMT (+) mice compared to BTBR WT mice. (A) BTBRob/ob mice exhibited lower detection of WT-1+ cells in all ages when compared to BTBR WT mice: 10-week-old BTBRob/ob and age-matched BTBR WT mice (** p = 0.004), 14-week-old BTBR WT versus 14-week-old BTBRob/ob FMT (-) (*** p = 0.0007) and FMT (+) (*** p = 0.0001) mice. FMT did not prevent a decrease in the podocyte number (p = 0.93). (B) Fold change of WT-1 expression in the kidney in relation to age-matched BTBR WT: 10-week-old BTBRob/ob mice versus 14-week-old BTBRob/ob FMT (-) mice was significantly different (* p = 0.03), but no difference was found in 10-week-old BTBRob/ob mice versus 14-week-old BTBRob/ob FMT (+) mice (p = 0.16), and between 14-week-old BTBRob/ob FMT (-) and FMT (+) mice (p = 0.62). (C) Immunohistochemical analysis for lipid-related oxidative stress was not significantly different between 10-week-old and BTBRob/ob and age-matched BTBR WT mice (p = 0.7), and 14-week-old BTBR WT versus 14-week-old BTBRob/ob FMT (-) mice (p = 0.89), 14-week-old BTBR WT versus 14-week-old BTBRob/ob FMT (+) mice (p = 0.1), and 14-week-old BTBRob/ob FMT (-) versus 14-week-old BTBRob/ob FMT (+) mice (p = 0.16). (D) Immunohistochemical analysis for total caspase showed no significant difference according to age and treatment: 10-week-old BTBRob/ob versus age-matched BTBR WT mice (p = 0.7), 14-week-old BTBR WT versus 14-week-old BTBRob/ob FMT (-) mice (p = 0.09), 14-week-old BTBR WT versus 14-week-old BTBRob/ob FMT (+) mice (p = 0.57), and 14-week-old BTBRob/ob FMT (-) versus 14-week-old BTBRob/ob FMT (+) mice (p = 0.85). (E) Immunohistochemical analysis for cleaved caspase-3 showed a significant difference between 10-week-old BTBRob/ob and age-matched BTBR WT mice (* p = 0.03), but no significant difference was found between 14-week-old BTBR WT versus 14-week-old BTBRob/ob FMT (-) mice (p > 0.99), 14-week-old BTBR WT versus 14-week-old BTBRob/ob FMT (+) mice (p = 0.99), and 14-week-old BTBRob/ob FMT (-) versus 14-week-old BTBRob/ob FMT (+) mice (p = 0.99). Scale bars represent 10 µm in (A) and 20 µm in (C–E). All data are means ± SEM. In all analyses, n = 5–6/group.
We also investigated the 4- hydroxy-2-noneal (4-HNE) lipid peroxidation marker as a result of oxidative stress signaling in the kidney induced by hyperglycemia. Lipid-related oxidative stress was not significantly different in all mice, regardless of age and treatment (p > 0.05) (Figure 5C). When we evaluated total caspase-mediated cell death within the kidneys of BTBR WT and BTBRob/ob mice, no differences were observed in FMT-treated and non-treated animals (Figure 5D). Likewise, cleaved caspase 3 expression did not change in accordance with time and treatment (Figure 5E).
2.6. TNF-α Gene Expression and Morphological Parameters in the Ileum and Ascending Colon
FMT decreased TNF-α gene expression in the ileum and preserved the height of the crypt and villi in this segment of the intestine (Figure 6A,B). Similar findings were found in the ascending colon (Figure 6C,D). These findings highlight the safety of FMT and the association of decreased inflammation in the intestine.
Figure 6.
Evaluation of gene expression and morphological aspects of intestinal crypts and villi in BTBRob/ob FMT (-) and BTBRob/ob FMT (+) mice compared to BTBR WT mice. (A) Fold change of TNF-α expression in the ileum from age-matched BTBR WT: TNF-α expression of 14-week-old BTBRob/ob FMT (+) mice was significantly downregulated when compared to 10-week-old BTBRob/ob mice (** p = 0.004) and 14-week-old BTBRob/ob FMT (-) mice (* p = 0.02). No significant difference was found between 10-week-old BTBRob/ob versus 14-week-old BTBRob/ob FMT (-) mice (p = 0.76). (B) Representative hematoxylin-eosin (HE) staining of the morphological evaluation of ileum crypts from 10-week-old BTBRob/ob compared to age-matched BTBR WT showed no difference in crypt height (p = 0.08), also from 14-week-old BTBR WT versus 14-week-old BTBRob/ob FMT (-) (p = 0.49) and FMT (+) (p > 0.99) mice. No difference was observed between 14-week-old BTBRob/ob FMT (-) and FMT (+) mice (p > 0.99). Furthermore, no difference was found in the villi of this segment in 10-week-old BTBRob/ob mice and age-matched BTBR WT mice (p = 0.16), and between 14-week-old BTBR WT and 14-week-old BTBRob/ob mice FMT (-) (p > 0.99) and FMT (+) (p > 0.99) mice. No difference was observed between 14-week-old BTBRob/ob FMT (-) and FMT (+) mice (p = 0.99). (C) Fold change of TNF-α expression in the ascending colon relative to age-matched BTBR WT: TNF-α expression of 14-week-old BTBRob/ob FMT (+) mice was significantly downregulated when compared to 10-week-old BTBRob/ob mice (** p = 0.0014), but was not significantly different from 14-week-old BTBRob/ob FMT (-) mice (p = 0.1). (D) Representative hematoxylin-eosin (HE) staining from morphological assessment of ascending colon crypts in 10-week-old BTBRob/ob mice and age-matched BTBR WT and 14-week-old BTBR WT mice in comparison to BTBRob/ob FMT (-) and FMT (+) mice. The data showed no difference in the height of 10-week-old BTBRob/ob crypts when compared to age-matched BTBR WT (p = 0.18) mice and between 14-week-old BTBR WT and 14-week-old BTBRob/ob FMT (-) (p > 0.99) and FMT (+) (p = 0.99) mice. There was no difference between 14-week-old BTBRob/ob FMT (-) and FMT (+) mice (p = 0.99). All data are means ± SEM. Scale bars represent 50 µm in (B) and 20 µm in (D). In all analyses, n = 5–6/group.
Likewise, we did not find significant differences in claudin-1 expression between BTBR WT and BTBRob/ob mice regardless of time and treatment in the ileum crypt and villus (p > 0.05) (Figure 7A) and in the ascending colon crypts (Figure 7B), corroborating the gene expression data. Occludin expression in the ileum crypts and villi and in the ascending colon crypts was similar regardless of age and treatment (Figure 7C,D). Decreased occludin gene expression was prevented by FMT in the ileum and ascending colon of treated mice, but not claudin, zonula occludens-1, and leucine-rich repeat-containing G-protein coupled receptor 5 (LgR5) (Supplementary Figure S2A–H).
Figure 7.
Immunohistochemical evaluation of claudin-1 and occludin proteins in ileum and ascending colon in BTBRob/ob FMT (+) and BTBRob/ob FMT (-) mice compared to BTBR WT mice. (A) Claudin-1 evaluation in the ileum crypts showed no significant difference according to age and treatment (all p > 0.99). Likewise, detection of claudin-1 in ileum villi was not statistically significant: 14-week-old BTBR WT versus 14-week-old BTBRob/ob FMT (-) (p > 0.99) and BTBRob/ob FMT (+) (p = 0.97) mice, and 14-week-old BTBRob/ob FMT (-) versus FMT (+) (p = 0.99) mice. (B) Claudin-1 expression in ascending colon crypts was not different among mice, regardless of age and treatment (all p > 0.99). (C) Occludin expression in ileum crypts was not significantly different between 14-week-old BTBR WT versus 14-week-old BTBRob/ob FMT (-) (p = 0.79) and FMT (+) (p > 0.99) mice, and 14-week-old BTBRob/ob FMT (-) versus FMT (+) (p > 0.99) mice. In ileum villi, occludin expression was not different between 14-week-old BTBR WT versus 14-week-old BTBRob/ob FMT(-) and FMT (+) (p > 0.99 for both) mice, and 14-week-old BTBRob/ob FMT(-) versus FMT (+) (p > 0.99) mice. (D) Occludin expression in the ascending colon crypt was significantly different between 10-week-old BTBRob/ob and age-matched BTBR WT mice (* p = 0.01), but not significantly different between 14-week-old BTBR WT versus 14-week-old BTBRob/ob FMT (-) (p = 0.06) and FMT (+) (p = 0.27) mice, and 14-week-old BTBRob/ob FMT (-) versus FMT (+) (p = 0.96) mice. All data are means ± SEM. Scale bars represent 100 µm in (A–D). All data are means ± SEM. In all analyses, n = 4–6/group.
3. Discussion
The present study sought to investigate the use of FMT in BTBRob/ob in mice as a possible therapeutic strategy to mitigate hyperglycemia-driven DKD progression. Our main results showed that FMT is a safe treatment that prevented body weight gain, reduced albuminuria, decreased local expression of TNF-α in the ileum and ascending colon, and potentially ameliorated insulin resistance in BTBRob/ob mice. To our knowledge, this is the first study using FMT in BTBRob/ob mice.
Murine models, especially those genetically modified, have been widely used in research on microbiota and FMT, allowing a better understanding of host–microbiota crosstalk [5,16,23,24]. Importantly, FMT efficacy is challenged by several factors, such as route of delivery, amount of feces per sample, number of transplants, condition burden, and target impact [18].
As previously reported, leptin-deficient BTBRob/ob mutant mice are a hyperphagic model that presents significant body weight gain at an early age [25,26]. Leptin is mainly expressed in adipocytes and has pleiotropic effects in the regulation of energy homeostasis, neuroendocrine function, and immune response, so leptin pathway signaling disruption may lead to metabolic disorders [27,28]. Leptin levels are proportional to body adiposity and are notably elevated in obese individuals [29]. Thus, hyperleptinemia secondary to leptin resistance is implicated in a chronic inflammatory state and ultimately in weight gain [30]. Obese individuals have decreased levels of GLP-1, probably due to leptin resistance [9,31]. However, the reduction in body weight in our treated BTBRob/ob mice could not be explained either by GLP-1 secretion or by food intake. In a less severe mouse model of leptin deficiency, the burden of obesity and DM is related to a gut microbiota signature, in particular a reduction in a time-dependent manner of Akkermansia muciniphila abundance [23]. Additionally, disturbances in the intestinal microbial ecosystem may be associated with low-grade inflammation induced by systemic absorption of lipopolysaccharides derived from the outer membrane of Gram-negative bacteria caused by changes in intestinal permeability [10], which contributes to the progression of obesity and T2DM [32]. Previous reports found a predominance of the Firmicutes/Bacteroidetes ratio in obese mice [28,33] and humans [34,35], so that gut microbiome associated with obesity had a higher capacity for energy harvest from the diet [8]. Therefore, that ratio is frequently mentioned as a hallmark of obesity [36]. In our study, most of the sequences obtained by intestinal microbiota analysis revealed greater proportions of the Bacteroidetes in comparison to the Firmicutes phylum in either obese or non-obese mice, which is in agreement with other human studies [11,37]. However, the literature is poor on gut microbiota characterization in BTBR strains, and most studies addressing gut microbiota composition included other mice strains [8,13,23,28,33]. Additionally, Firmicutes/Bacteroidetes ratio involvement in the metabolic parameters is controversial in the literature [11,36,37]. Most studies did not perform longitudinal analysis, including our study, which is a limitation of the interpretation of a gut microbiota signature. Composition and diversity of the gut microbiota is influenced not only by host-dependent and environmental factors [9] but also by leptin deficiency [38]. In treated BTBRob/ob mice, body weight correlated positively to the Betaproteobacteria class, Gram-negative bacteria belonging to the Proteobacteria phylum, which are highly enriched in diabetic individuals and positively correlated to plasma glucose [11]. In untreated BTBRob/ob mice, the abundance of the Gram-negative Odoribacteraceae family was reduced when compared to treated mice. That bacteria family is associated with succinate consumption [35]. Importantly, succinate is an intermediate synthetized in the tricarboxylic acid cycle and has been identified as a potential mitochondrial DAMP (damage-associated molecular pattern), which mediates the innate immune response and is implicated in various inflammatory diseases [39]. Additionally, high circulating levels of succinate secondary to higher relative abundance of succinate-producing bacteria (Prevotellaceae and Veillonellaceae) and lower relative abundance of succinate-consuming bacteria (Odoribacteraceae and Clostridaceae) are associated with obesity and impaired glucose metabolism [35], which may explain the lower body weight gain in treated BTBRob/ob mice. A prospective cross-sectional study found a positive association between circulating succinate levels and body mass index (BMI), insulin, glucose, and HOMA-IR in obese individuals, pointing out the influence of microbiota substrates on metabolic profile [35]. Although we did not evaluate endogenous succinate levels, a previous study documented elevated circulating succinate levels in ob/ob mice when compared to healthy controls [40].
Several reports have shown the potential of specific bacterial metabolites as regulators of a range of metabolic functions in the body, whether positive or negative [4,13,15,35,40]. Thus, butyrate is a short-chain fatty acid and is associated with multiple metabolic beneficial effects, including the improvement of insulin resistance [14]. Therefore, modulation of the number of butyrate-producing bacteria could offer protection against T2DM [41]. In our study, the proportion of the two main butyrate-producing bacteria, Lachnospiraceae, and Ruminococcaceae [14] were similar among treated and untreated mice. In ob/ob mice, gut microbiota abundance of the unclassified genus from the Lachnospiraceae family had a negative correlation with the oral glucose tolerance test [14,23]. Male recipients with metabolic syndrome showed improvement in peripheral insulin sensitivity six weeks after receiving allogenic intestinal microbiota from lean donors, attributed to an increase in gut microbial diversity, including those related to butyrate-production [17].
In our study, FMT as a single approach was not sufficient for effective control of glycemic levels. Therefore, the modulation of the intestinal microbiota combined with other established therapies for DM, including lifestyle modifications, pharmacological drugs including metformin [42,43], sodium-glucose cotransporter-2 inhibitors (SGLT2i) [44,45], GLP-1 receptor agonists [46,47], and lipid-lowering drugs, such as statins [48,49], can result in better metabolic parameters, which may ultimately mitigate the damage associated with this complex pathophysiology.
The lack of glycemic control contributed to the maintenance of hypertrophy of pancreatic islets in BTBRob/ob, as described in that model [50]. The compensatory expansion of β-cell mass in response to insulin resistance is a finding in both obese and insulin-resistant animals and humans [51]. However, HOMA-IR and the secretion of insulin and C-peptide in treated mice behaved similarly to BTBR WT mice, suggesting lower insulin resistance after FMT. The incretins GLP-1 and GIP levels, both insulinotropic hormones, were not associated with insulin resistance in our study, although the secretion of these hormones is impaired in obesity and T2DM [52]. Ablation of GIP in Lepob/ob mice, did not prevent body weight gain and insulin resistance, suggesting that endogenous GIP may not have a role in the development of obesity in leptin deficient mice, indicating that the crosstalk between leptin and GIP secretion warrants further investigation [53].
In our study, FMT prevented the increase in UACR, a time-dependent and reversible feature of BTBRob/ob mice [19,26], yet the number of podocytes decreased, and the mesangial matrix continued to expand over time. However, gene expression of WT-1 and PDGF indicated a potential reduction in the progression of DKD. Additionally, the slight hyperfiltration observed in untreated mice, yet not significant, could at least in part explain the higher levels of UACR in these animals. The improvement in albuminuria in treated mice may be associated with a hemodynamic mechanism in the kidney, indicating a reduction in glomerular hypertension. It is noteworthy that hyperinsulinemia is involved in increased glomerular hydrostatic pressure and renal vascular permeability, which aggravate glomerular hyperfiltration [54,55]. Thus, FMT promoted a decrease in hyperinsulinemia and insulin resistance and could contribute to preserving the glomerular filtration barrier. In treated mice, we found that albuminuria correlated negatively with the Odoribacteraceae family. Although succinate correlated with some metabolic parameters in other studies [35,56,57], its effect on albuminuria levels remains elusive. Albuminuria also correlated negatively with Deltaproteobacteria class, Gram-negative bacteria belonging to the Proteobacteria phylum [11]. That class contains sulfate-reducing bacteria, which conduct dissimilatory sulfate reduction to acquire energy [58] and produce hydrogen sulfide as a final product [59]. Despite hydrogen sulfide contributing to dysbiosis [60], that metabolite holds several biological properties, such as anti-inflammatory potential and renoprotective effects [61] by modulating the antioxidant response and oxidative stress in the kidney [62]. However, FMT did not affect oxidative stress and the apoptosis-mediated cell death signaling pathway in the kidney, which can be explained by the burden of the DKD microenvironment, as no treatment for DM was performed in our animals.
Importantly, FMT was a safe procedure, and the intestinal architecture, including the height of the villi in the ileum, the depth of the crypts in the ileum or ascending colon, and the expression of tight junction proteins, was not compromised by this treatment. DM adversely impacts these structures and is associated with morphological and physiological remodeling, which leads to the proliferation of the villi and crypt in the ileum, and increased thickness of the ascending colon [63].
Notably, intestinal homeostasis is maintained by the dynamic interaction between luminal microorganisms and the intestinal epithelium [64], so hyperglycemia may predispose individuals to intestinal barrier dysfunction [65]. Changes in the intestinal microbiota are also associated with an increase in intestinal permeability in metabolic disease [66]. Obese mice showed an alteration in the intestinal barrier characterized by the rupture of the tight junction occludin and zonula occludens-1 proteins and indicated that the increase in TNF-α orchestrates this structural damage [21]. Our findings pointed out a reduction in the expression of the inflammatory marker TNF-α in the ileum and ascending colon segments of treated animals, which corroborates FMT safety.
Collectively, our data documented that FMT is a safe treatment and was implicated in albuminuria reduction and decreasing local inflammation in the ileum and ascending colon, and with a trend in ameliorating insulin resistance in BTBRob/ob mice. These results suggest potentially important beneficial effects of FMT and support further investigation in diabetic patients.
4. Research Design and Methods
Experiments were carried out in accordance with the Institutional Animal Care and Use Committees of Hospital Israelita Albert Einstein (HIAE), and the study was registered on the Jewish Institute of Research and Education, HIAE, São Paulo, SP, Brazil (No. 2704-16).
BTBRob/ob mice (BTBR.Cg-Lepob/WiscJ; #004824-JAX Laboratories) homozygous for the leptin gene knockout is a reversible model for T2DM and DKD, characterized, in males, by early development of obesity, hyperphagia, insulin resistance, and hyperglycemia (6th week of age), followed by DKD establishment with time-dependent albuminuria (8th week of age), resembling human DKD alterations [19]. Male wild-type mice were used as the healthy control and were compared with BTBRob/ob at different ages (9–11 and 14–15-week-old). Six animals were used in all groups. Mice were housed in a controlled environment (12-h daylight cycle; lights off at 6:00 p.m.) alone or in groups of two or three per cage, with free access to chow (Nuvilab CR-1, Quimtia S/A, Colombo, PR, Brazil) and water ad libitum.
At the end of protocol animals (age 14–15 weeks), blood samples from the portal vein and vena cava were collected and stored at −20 °C, whereas kidney, pancreas, ileum, and ascending colon were harvested and stored at −80 °C for molecular analyses.
All experimental protocols were conducted in accordance with the guidelines and regulations of the Association for Assessment and Accreditation of Laboratory Animal Care (AAALAC).
4.1. Fecal Microbiota Transplant (FMT)
For FMT, 300 mg of feces from all segments of intestine were collected per sample from BTBR wild-type donors and dissolved in 500 μL phosphate buffered saline (PBS, ThermoFisher Scientific, Waltham, MA, USA). The samples were homogenized using a vortex and centrifuged for 5 min at 6000 rpm at 4 °C to separate the particulate material. FMT was performed on male BTBRob/ob mice aged 9–11 weeks, referred to as FMT (+). We used the sample supernatant (~300 µL), which was administered via rectal route using a polyethylene probe into the intestine. This probe was introduced approximately 3–3.5 cm. After performing the procedure, the animal was placed in a ventral position with the head down at an angle of 45° for 2–3 min to avoid extravasation of the transplanted material. Then, treated mice were housed individually in cages. Euthanasia was carried out after 4–5 weeks.
4.2. Functional Assessment
All mice were weighed once weekly. Urine was obtained at baseline, weeks 9–10, and 13–14 in all groups using a metabolic cage. Albuminuria levels were measured by an Albumin Mouse ELISA Kit (Abcam, ab207620, Cambridge, MA, USA) and were standardized to urinary creatinine, assessed by a colorimetric assay Creatinine K® 96–300 (Labtest, Vista Alegre, Brazil) using a biochemical analyzer Cobas Mira Plus (Roche, Basel, Switzerland). The results were reported as urinary albumin-to-creatinine ratio (UACR; g/mg). Blood glucose was quantified with a glucometer (Accu-Check Advantage Blood Glucose Monitor® (Roche Diagnostic Corporation, Indianapolis, IN, USA) after six hours of fasting. All procedures were performed on animals at the beginning (9–11 weeks-old) and at the end of the protocol (14–15 weeks-old). Glycosuria was measured by the Glucose Liquiform® 133-2/500 LabTest kit (Lagoa Santa, MG, Brazil), and the absorbance values were obtained by the ChemWell-T spectrophotometer LabTest (Lagoa Santa, MG, Brazil). Homeostasis Model Assessment-Insulin Resistance (HOMA-IR) and HOMA-β, as previously described [67].
4.3. Microbial Analysis of the Intestinal Contents of Mice
After euthanasia, fecal content was collected from all segments of the intestine and analyzed using a QIAamp DNA Stool Mini Kit® (Qiagen, Hilden, Germany).
4.4. Evaluation of Metabolic Parameters and Inflammatory Markers
Blood was collected from the portal vein, and we immediately added 10 µL of DPP4 inhibitor (DPP IV Inhibitor®, Millipore, Burlington, MA, USA) and 10 µL of aprotinin (Aprotinin, Bovine Lung, Crystalline®, Millipore, Burlington, MA, USA) for glucagon-like peptide-1 (GLP-1) and glucagon analyses, respectively. GLP-1, glucose-dependent insulin tropic polypeptide (GIP), peptide YY (PYY), and plasma cytokines tumor necrosis factor (TNFα), interleukin (IL)-6, monocyte chemoattractant protein (MCP-1), insulin, C-peptide, and glucagon levels were determined in duplicate using the kit MILLIPLEX MAP Mouse Metabolic Hormone Magnetic Bead Panel-Metabolism Multiplex Assay® (Millipore, Bellerica, MA, USA), and measured by using Luminex technology (Bio-Rad Bioplex). To quantify GLP-2, we used the KIT ELISA EZGLP2-37K (Millipore, Bellerica, MA, USA).
4.5. Mesangial Expansion
Kidney sections (paraffin-fixed, 3–4 µm thick) were stained with periodic acid-Schiff reagent (PAS; Sigma-Aldrich, St. Louis, MO, USA). The increase in the mesangial matrix was measured by the presence of PAS-positive area in the mesangium and was defined by percentage using light microscopy (magnification 40×; Olympus). The glomerular area (μm2) was also indicated along the outline of capillary loops using CellSens software (Olympus) in 30 randomly selected glomeruli in each animal.
4.6. Morphological Analysis
Pancreas sections (paraffin-fixed, 3–4 µm thick) were stained with hematoxylin-eosin (HE) to assess the number, volume, and integrity of pancreatic islets using light microscopy (magnification 10×). We counted six islets on average per animal.
Ileum and ascending colon sections (paraffin-fixed, 3–4 µm thick) were stained with HE to access villi and crypts using light microscopy (magnification 20×). In 10 villi per sample, we measured the height of the villi in the ileum, as well as in 10 crypts in the ileum and ascending colon.
4.7. Immunohistochemistry (IHC) Analyses
BTBRob/ob and wild-type mice tissues (kidney, ileum, and ascending colon) were preserved with formalin (10%) and sectioned at 3–4 µm thick. Quantification analyses were carried out by CellSens software (Olympus) using 20× magnification.
For kidney analyses, the score for WT-1+ cells was performed by counting the number of positive nuclei in 25 randomly selected glomeruli in the kidney cortex using 100× magnification and after applying rabbit polyclonal anti-WT-1 (Santa Cruz, Dallas, TX, USA). All data were pooled to obtain the number of WT-1+ podocytes per glomerular cross-section. For apoptosis pathway analysis, we evaluated caspase-3 and cleaved caspase-3 protein activation (#9662 and 9661, Cell Signaling, Danvers, MA, USA), and for oxidative stress, we estimated the 4-HNE detection (anti-4 hydroxynonenal rabbit polyclonal, ab46545, Abcam, Cambridge, MA, USA). IHC reaction was carried out using the EnVision FLEX High pH kit (K8000, DAKO, Santa Clara, CA, USA).
For ileum and ascending colon analyses, we verified the expression of tight junction claudin and occludin (anti-claudin 1 rabbit polyclonal, ab15098, Abcam, Waltham, MA, USA, and anti-occludin rabbit polyclonal, 40-4700, ThermoFisher Scientific, Waltham, MA, USA). See Supplementary Materials for detailed procedure. The sections were initially blocked with a Vector SP 2001® kit (Vector, Burlingname, CA, USA). For blocking unspecific connections, 1:20 goat non-immune serum (Sigma-Aldrich, Burlington, MA, USA) was used for 30 min, followed by incubation with primary antibodies overnight in a humid chamber at 4 °C. Slides were then washed in TBS-T buffer and incubated for 45 min with a secondary goat anti-rabbit antibody bound to biotin. The slides were washed again with TBS-T and incubated with avidin-biotin-HRP complex (Vector AK 4000, Burlingame, CA, USA) for 30 min. DAB staining was used for a maximum of 10 min. Tissue sections were then counterstained with Mayer’s hemalum. Three to ten villi per field were evaluated to measure the height of the crypts in the ileum and ascending colon and the height of the villi in the ileum.
4.8. RNA Extraction and cDNA Synthesis
RNA from tissues (kidney, ileum, and ascending colon) was prepared using RNeasy® Fibrous Tissue Mini Kit (Qiagen, Hilden, Germany) kit. cDNA was synthesized using the High-capacity cDNA Reverse Transcription Kit (ThermoFisher Scientific, Waltham, MA, USA).
4.9. Real-Time qPCR Assays
qPCR reactions were performed on the Thermocycler qPCR-QuantStudio 6 Flex System using the TaqMan Real-Time PCR Master Mix kit (ThermoFisher Scientific, Waltham, MA, USA).
In the kidney, we used the following probes: β1-integrin (Mm01253230-m1), CD90 (Th1: Mm00493682_g1), Podocin (Nth2: Mm01292252-m1), α-Actin (Acta2: Mm00725412_s1), E-cadherin (Cdh1: Mm01247357_m1), Nephrin (Nph1s: Mm01176615_g1), Wilms tumor protein (Wt1: Mm01337048_m1), Tumor Necrosis Factor-α (TNF-α: Mm00443258_m1), Transforming Growth Factor-ß (TGF-β; Mm01178820), Platelet-derived Growth Factor (PDGF; Mm00440677), Sodium Glucose Transporter-1 (SGLT-1; Mm00451203), and SGLT-2 (Mm00453831). In the ileum and ascending colon, TaqMan probes were used to target the following genes: Claudin 3 (Mm00515499), Occludin (Mm00500912), Zonula Ocludens-1 (Mm00493699), Leucine-rich repeat containing G-protein coupled receptor 5 (LGR5; Mm00438890), and Tumor Necrosis Factor-α (TNF-α: Mm00443258_m1). TaqMan GAPDH (Mm99999915_g1) and GUSB: (Mm01197698_m1) probes were used as endogenous controls. All rigs were purchased from Thermo Fisher Scientific–Waltham, MA, USA. We analyzed the Ct (“Cycle threshold”) values using QuantStudio6 Flex System Software. To determine the relative expression of the values, method 2–ΔΔCt (fold change) was used, where averages of duplicates of the Ct values were calculated for each sample and subtracted from those derived from the GUSB.
4.10. Preparation of Sequencing Libraries for Microbial Analysis of Intestinal Content of Mice
The preparation of the sequencing libraries was carried out in a two-step PCR protocol, using primers for V3–V4 regions as previously described. PCR reactions were performed in triplicate. The final PCR reaction was cleaned using AMPurebeads (Beckman Coulter, Brea, CA, USA), and the samples were pooled in the sequencing libraries for quantification. Pool amplification estimates were performed with Picogreen dsDNA assays (Invitrogen, Waltham, MA, USA) and then the pooled libraries were diluted for quantification via qPCR using the KAPA Library Quantification Kit for Illumina platforms (KAPA Biosystems, Woburn, MA, USA). The libraries were sequenced on a MiSeq system using the standard Illumina primers provided in the kit. After sequencing, the bioinformatics pipeline performs demultiplexing of sequences, removal of adapters, and trimming of primers. The readings were normalized in size of 283 bp, and other analyses were performed in the statistical analysis environment R.
Data manipulation was performed using the packages tidy verse (version 1.2.1) and phyloseq (summer 1.28.0). The ggplot2 package (version 3.2.0) was used for data visualization. Differential abundance analysis was performed using the DESeq2 package (version 1.2.2). The method assumes that the observed counts follow a negative binomial distribution, which is analyzed using a generalized linear model. Regression coefficients were analyzed using the Wald test. p-values were corrected for multiple comparisons using the Benjamin Hochberg procedure, controlling the rate of false discoveries by 10%. Nonparametric analysis, when necessary, included Kruskal–Wallis and Wilcoxon tests.
4.11. Statistical Analysis
The results were expressed as the mean ± SEM (standard error of the mean) or median and interquartile range (IQR). Statistical analysis was performed using the Shapiro–Wilk normality test. ANOVA (Analysis of Variance) was performed in samples with normal distribution, followed by Tukey’s post-test. For repeated measures over time, a two-away ANOVA/mixed model test was performed (when there were differences in the number of observations in repeated measures). For multiplex comparisons when baseline differences were highly variable, the Fisher LSD post-test was performed. In case of non-normal distribution of the sample means, we used the Kruskal–Wallis or t test with Holm–Sidak correction for the multiple comparisons. Evaluation was made using Graph Pad Prism version 8.2.1 for Windows Vista (Graph Pad Software, San Diego, CA, USA). Statistical analysis of the sequencing data for the 16S region of the ribosomal RNA was performed using R software (version 3.6.3). p < 0.05 was considered statistically significant.
Acknowledgments
We thank Cleonice Silva and Camilla Fanelli for technical assistance in the immunohistochemical analyses.
Supplementary Materials
The following supporting information can be downloaded at: https://www.mdpi.com/article/10.3390/ijms23073842/s1.
Author Contributions
Conceptualization R.M.C.B. and É.B.R.; data curation R.M.C.B., A.S.-F., C.S.-S., L.F.V.O., G.N.F.C., I.L.N., C.L.P.M., E.H.S., H.Q.-R., and G.R.J.-R.; formal analysis, R.M.C.B., A.S.-F., C.S.-S., L.F.V.O., and G.N.F.C.; funding acquisition, É.B.R.; investigation R.M.C.B., A.S.-F., C.S.-S., L.F.V.O., G.N.F.C., and É.B.R.; methodology, R.M.C.B. and É.B.R.; project administration, É.B.R.; supervision: É.B.R.; validation, R.M.C.B. and É.B.R.; writing—original draft, R.M.C.B. and É.B.R.; writing-review and editing, R.M.C.B. and É.B.R. All authors have read and agreed to the published version of the manuscript.
Funding
This work was supported by grants from FAPESP (Fundação de Amparo à Pesquisa do Estado de São Paulo/São Paulo Research Foundation; no. 2013/19560-6 and 2017/23195-2) and EFSD (European Foundation for the Study of Diabetes)/Sanofi to É.B.R. This work was supported by a master research fellowship grant (no. 2017/18072-9) from FAPESP (Fundação de Amparo à Pesquisa do Estado de São Paulo/ São Paulo Research Foundation) to C.S.S., a post-doctoral fellowship grant (no. 2016/26263-6) from FAPESP (Fundação de Amparo à Pesquisa do Estado de São Paulo/São Paulo Research Foundation) to E.H.S., and a scientific initiation research fellowship grant (no. 2016-5/423320) from CNPq (Conselho Nacional de Desenvolvimento Científico e Tecnológico/National Council for Scientific and Technological Development) to H.Q.-R.
Institutional Review Board Statement
The animal study protocol was approved by the Institutional Animal Care and Use Committee of Hospital Israelita Albert Einstein (HIAE), (No 2704-16 on 10 June 2016).
Informed Consent Statement
Not applicable.
Data Availability Statement
The datasets generated during and/or analyzed during the current study are available from the corresponding author upon reasonable request.
Conflicts of Interest
The authors declare no conflict of interest.
Footnotes
Publisher’s Note: MDPI stays neutral with regard to jurisdictional claims in published maps and institutional affiliations.
References
- 1.Thomas M.C., Brownlee M., Susztak K., Sharma K., Jandeleit-Dahm K.A., Zoungas S., Rossing P., Groop P.H., Cooper M.E. Diabetic kidney disease. Nat. Rev. Dis. Primers. 2015;1:15018. doi: 10.1038/nrdp.2015.18. [DOI] [PMC free article] [PubMed] [Google Scholar]
- 2.Anders H.-J., Huber T.B., Isermann B., Schiffer M. CKD in diabetes: Diabetic kidney disease versus nondiabetic kidney disease. Nat. Rev. Nephrol. 2018;14:361–377. doi: 10.1038/s41581-018-0001-y. [DOI] [PubMed] [Google Scholar]
- 3.Alicic R.Z., Rooney M.T., Tuttle K.R. Diabetic Kidney Disease: Challenges, Progress, and Possibilities. Clin. J. Am. Soc. Nephrol. 2017;12:2032–2045. doi: 10.2215/CJN.11491116. [DOI] [PMC free article] [PubMed] [Google Scholar]
- 4.Fan Y., Pedersen O. Gut microbiota in human metabolic health and disease. Nat. Rev. Microbiol. 2021;19:55–71. doi: 10.1038/s41579-020-0433-9. [DOI] [PubMed] [Google Scholar]
- 5.Backhed F., Ding H., Wang T., Hooper L.V., Koh G.Y., Nagy A., Semenkovich C.F., Gordon J.I. The gut microbiota as an environmental factor that regulates fat storage. Proc. Natl. Acad. Sci. USA. 2004;101:15718–15723. doi: 10.1073/pnas.0407076101. [DOI] [PMC free article] [PubMed] [Google Scholar]
- 6.Karlsson F.H., Tremaroli V., Nookaew I., Bergstrom G., Behre C.J., Fagerberg B., Nielsen J., Backhed F. Gut metagenome in European women with normal, impaired and diabetic glucose control. Nature. 2013;498:99–103. doi: 10.1038/nature12198. [DOI] [PubMed] [Google Scholar]
- 7.Qin J., Li Y., Cai Z., Li S., Zhu J., Zhang F., Liang S., Zhang W., Guan Y., Shen D., et al. A metagenome-wide association study of gut microbiota in type 2 diabetes. Nature. 2012;490:55–60. doi: 10.1038/nature11450. [DOI] [PubMed] [Google Scholar]
- 8.Turnbaugh P.J., Ley R.E., Mahowald M.A., Magrini V., Mardis E.R., Gordon J.I. An obesity-associated gut microbiome with increased capacity for energy harvest. Nature. 2006;444:1027–1031. doi: 10.1038/nature05414. [DOI] [PubMed] [Google Scholar]
- 9.Cani P.D., Osto M., Geurts L., Everard A. Involvement of gut microbiota in the development of low-grade inflammation and type 2 diabetes associated with obesity. Gut Microbes. 2012;3:279–288. doi: 10.4161/gmic.19625. [DOI] [PMC free article] [PubMed] [Google Scholar]
- 10.Cani P.D., Amar J., Iglesias M.A., Poggi M., Knauf C., Bastelica D., Neyrinck A.M., Fava F., Tuohy K.M., Chabo C., et al. Metabolic endotoxemia initiates obesity and insulin resistance. Diabetes. 2007;56:1761–1772. doi: 10.2337/db06-1491. [DOI] [PubMed] [Google Scholar]
- 11.Larsen N., Vogensen F.K., van den Berg F.W., Nielsen D.S., Andreasen A.S., Pedersen B.K., Al-Soud W.A., Sorensen S.J., Hansen L.H., Jakobsen M. Gut microbiota in human adults with type 2 diabetes differs from non-diabetic adults. PLoS ONE. 2010;5:e9085. doi: 10.1371/journal.pone.0009085. [DOI] [PMC free article] [PubMed] [Google Scholar]
- 12.Wolters M., Ahrens J., Romaní-Pérez M., Watkins C., Sanz Y., Benítez-Páez A., Stanton C., Günther K. Dietary fat, the gut microbiota, and metabolic health—A systematic review conducted within the MyNewGut project. Clin. Nutr. 2019;38:2504–2520. doi: 10.1016/j.clnu.2018.12.024. [DOI] [PubMed] [Google Scholar]
- 13.Everard A., Lazarevic V., Derrien M., Girard M., Muccioli G.G., Neyrinck A.M., Possemiers S., van Holle A., Francois P., de Vos W.M., et al. Responses of gut microbiota and glucose and lipid metabolism to prebiotics in genetic obese and diet-induced leptin-resistant mice. Diabetes. 2011;60:2775–2786. doi: 10.2337/db11-0227. [DOI] [PMC free article] [PubMed] [Google Scholar]
- 14.Jia L., Li D., Feng N., Shamoon M., Sun Z., Ding L., Zhang H., Chen W., Sun J., Chen Y.Q. Anti-diabetic Effects of Clostridium butyricum CGMCC0313.1 through Promoting the Growth of Gut Butyrate-producing Bacteria in Type 2 Diabetic Mice. Sci. Rep. 2017;7:7046. doi: 10.1038/s41598-017-07335-0. [DOI] [PMC free article] [PubMed] [Google Scholar]
- 15.Beserra B.T., Fernandes R., do Rosario V.A., Mocellin M.C., Kuntz M.G., Trindade E.B. A systematic review and meta-analysis of the prebiotics and synbiotics effects on glycaemia, insulin concentrations and lipid parameters in adult patients with overweight or obesity. Clin. Nutr. 2015;34:845–858. doi: 10.1016/j.clnu.2014.10.004. [DOI] [PubMed] [Google Scholar]
- 16.Wang H., Lu Y., Yan Y., Tian S., Zheng D., Leng D., Wang C., Jiao J., Wang Z., Bai Y. Promising Treatment for Type 2 Diabetes: Fecal Microbiota Transplantation Reverses Insulin Resistance and Impaired Islets. Front. Cell Infect. Microbiol. 2019;9:455. doi: 10.3389/fcimb.2019.00455. [DOI] [PMC free article] [PubMed] [Google Scholar]
- 17.Vrieze A., van Nood E., Holleman F., Salojarvi J., Kootte R.S., Bartelsman J.F., Dallinga-Thie G.M., Ackermans M.T., Serlie M.J., Oozeer R., et al. Transfer of intestinal microbiota from lean donors increases insulin sensitivity in individuals with metabolic syndrome. Gastroenterology. 2012;143:913–916.e7. doi: 10.1053/j.gastro.2012.06.031. [DOI] [PubMed] [Google Scholar]
- 18.Napolitano M., Covasa M. Microbiota Transplant in the Treatment of Obesity and Diabetes: Current and Future Perspectives. Front. Microbiol. 2020;11:590370. doi: 10.3389/fmicb.2020.590370. [DOI] [PMC free article] [PubMed] [Google Scholar]
- 19.Hudkins K.L., Pichaiwong W., Wietecha T., Kowalewska J., Banas M.C., Spencer M.W., Muhlfeld A., Koelling M., Pippin J.W., Shankland S.J., et al. BTBR Ob/Ob mutant mice model progressive diabetic nephropathy. J. Am. Soc. Nephrol. 2010;21:1533–1542. doi: 10.1681/ASN.2009121290. [DOI] [PMC free article] [PubMed] [Google Scholar]
- 20.Fournel A., Marlin A., Abot A., Pasquio C., Cirillo C., Cani P.D., Knauf C. Glucosensing in the gastrointestinal tract: Impact on glucose metabolism. Am. J. Physiol. Gastrointest. Liver Physiol. 2016;310:G645–G658. doi: 10.1152/ajpgi.00015.2016. [DOI] [PMC free article] [PubMed] [Google Scholar]
- 21.Cani P.D., Possemiers S., Van de Wiele T., Guiot Y., Everard A., Rottier O., Geurts L., Naslain D., Neyrinck A., Lambert D.M., et al. Changes in gut microbiota control inflammation in obese mice through a mechanism involving GLP-2-driven improvement of gut permeability. Gut. 2009;58:1091–1103. doi: 10.1136/gut.2008.165886. [DOI] [PMC free article] [PubMed] [Google Scholar]
- 22.Camilleri M. Gastrointestinal hormones and regulation of gastric emptying. Curr. Opin. Endocrinol. Diabetes Obes. 2019;26:3–10. doi: 10.1097/MED.0000000000000448. [DOI] [PMC free article] [PubMed] [Google Scholar]
- 23.Ellekilde M., Krych L., Hansen C.H., Hufeldt M.R., Dahl K., Hansen L.H., Sorensen S.J., Vogensen F.K., Nielsen D.S., Hansen A.K. Characterization of the gut microbiota in leptin deficient obese mice—Correlation to inflammatory and diabetic parameters. Res. Vet. Sci. 2014;96:241–250. doi: 10.1016/j.rvsc.2014.01.007. [DOI] [PubMed] [Google Scholar]
- 24.Ellekilde M., Selfjord E., Larsen C.S., Jakesevic M., Rune I., Tranberg B., Vogensen F.K., Nielsen D.S., Bahl M.I., Licht T.R., et al. Transfer of gut microbiota from lean and obese mice to antibiotic-treated mice. Sci. Rep. 2014;4:5922. doi: 10.1038/srep05922. [DOI] [PMC free article] [PubMed] [Google Scholar]
- 25.O’Brien P.D., Hur J., Hayes J.M., Backus C., Sakowski S.A., Feldman E.L. BTBR ob/ob mice as a novel diabetic neuropathy model: Neurological characterization and gene expression analyses. Neurobiol. Dis. 2015;73:348–355. doi: 10.1016/j.nbd.2014.10.015. [DOI] [PMC free article] [PubMed] [Google Scholar]
- 26.Sávio-Silva C., Soinski-Sousa P.E., Simplício-Filho A., Bastos R.M.C., Beyerstedt S., Rangel É.B. Therapeutic Potential of Mesenchymal Stem Cells in a Pre-Clinical Model of Diabetic Kidney Disease and Obesity. Int. J. Mol. Sci. 2021;22:1546. doi: 10.3390/ijms22041546. [DOI] [PMC free article] [PubMed] [Google Scholar]
- 27.Procaccini C., Jirillo E., Matarese G. Leptin as an immunomodulator. Mol. Aspects Med. 2012;33:35–45. doi: 10.1016/j.mam.2011.10.012. [DOI] [PubMed] [Google Scholar]
- 28.Yang M., Liu Y., Xie H., Wen Z., Zhang Y., Wu C., Huang L., Wu J., Xie C., Wang T., et al. Gut Microbiota Composition and Structure of the Ob/Ob and Db/Db Mice. Int. J. Endocrinol. 2019;2019:1394097. doi: 10.1155/2019/1394097. [DOI] [PMC free article] [PubMed] [Google Scholar]
- 29.Beltowski J. Leptin and atherosclerosis. Atherosclerosis. 2006;189:47–60. doi: 10.1016/j.atherosclerosis.2006.03.003. [DOI] [PubMed] [Google Scholar]
- 30.Pérez-Pérez A., Sánchez-Jiménez F., Vilariño-García T., Sánchez-Margalet V. Role of Leptin in Inflammation and Vice Versa. Int. J. Mol. Sci. 2020;21:5887. doi: 10.3390/ijms21165887. [DOI] [PMC free article] [PubMed] [Google Scholar]
- 31.Anini Y., Brubaker P.L. Role of leptin in the regulation of glucagon-like peptide-1 secretion. Diabetes. 2003;52:252–259. doi: 10.2337/diabetes.52.2.252. [DOI] [PubMed] [Google Scholar]
- 32.Yu F., Han W., Zhan G., Li S., Jiang X., Wang L., Xiang S., Zhu B., Yang L., Luo A., et al. Abnormal gut microbiota composition contributes to the development of type 2 diabetes mellitus in db/db mice. Aging. 2019;11:10454–10467. doi: 10.18632/aging.102469. [DOI] [PMC free article] [PubMed] [Google Scholar]
- 33.Ley R.E., Backhed F., Turnbaugh P., Lozupone C.A., Knight R.D., Gordon J.I. Obesity alters gut microbial ecology. Proc. Natl. Acad. Sci. USA. 2005;102:11070–11075. doi: 10.1073/pnas.0504978102. [DOI] [PMC free article] [PubMed] [Google Scholar]
- 34.Koliada A., Syzenko G., Moseiko V., Budovska L., Puchkov K., Perederiy V., Gavalko Y., Dorofeyev A., Romanenko M., Tkach S., et al. Association between body mass index and Firmicutes/Bacteroidetes ratio in an adult Ukrainian population. BMC Microbiol. 2017;17:120. doi: 10.1186/s12866-017-1027-1. [DOI] [PMC free article] [PubMed] [Google Scholar]
- 35.Serena C., Ceperuelo-Mallafré V., Keiran N., Queipo-Ortuño M.I., Bernal R., Gomez-Huelgas R., Urpi-Sarda M., Sabater M., Pérez-Brocal V., Andrés-Lacueva C., et al. Elevated circulating levels of succinate in human obesity are linked to specific gut microbiota. ISME J. 2018;12:1642–1657. doi: 10.1038/s41396-018-0068-2. [DOI] [PMC free article] [PubMed] [Google Scholar]
- 36.Magne F., Gotteland M., Gauthier L., Zazueta A., Pesoa S., Navarrete P., Balamurugan R. The Firmicutes/Bacteroidetes Ratio: A Relevant Marker of Gut Dysbiosis in Obese Patients? Nutrients. 2020;12:1474. doi: 10.3390/nu12051474. [DOI] [PMC free article] [PubMed] [Google Scholar]
- 37.Schwiertz A., Taras D., Schafer K., Beijer S., Bos N.A., Donus C., Hardt P.D. Microbiota and SCFA in lean and overweight healthy subjects. Obesity. 2010;18:190–195. doi: 10.1038/oby.2009.167. [DOI] [PubMed] [Google Scholar]
- 38.Kashani A., Brejnrod A.D., Jin C., Kern T., Madsen A.N., Holm L.A., Gerber G.K., Holm J.C., Hansen T., Holst B., et al. Impaired glucose metabolism and altered gut microbiome despite calorie restriction of ob/ob mice. Anim. Microbiome. 2019;1:11. doi: 10.1186/s42523-019-0007-1. [DOI] [PMC free article] [PubMed] [Google Scholar]
- 39.Grazioli S., Pugin J. Mitochondrial Damage-Associated Molecular Patterns: From Inflammatory Signaling to Human Diseases. Front. Immunol. 2018;9:832. doi: 10.3389/fimmu.2018.00832. [DOI] [PMC free article] [PubMed] [Google Scholar]
- 40.Sadagopan N., Li W., Roberds S.L., Major T., Preston G.M., Yu Y., Tones M.A. Circulating succinate is elevated in rodent models of hypertension and metabolic disease. Am. J. Hypertens. 2007;20:1209–1215. doi: 10.1016/j.amjhyper.2007.05.010. [DOI] [PubMed] [Google Scholar]
- 41.Chen X., Devaraj S. Gut Microbiome in Obesity, Metabolic Syndrome, and Diabetes. Curr. Diabetes Rep. 2018;18:129. doi: 10.1007/s11892-018-1104-3. [DOI] [PubMed] [Google Scholar]
- 42.Vallianou N.G., Stratigou T., Tsagarakis S. Metformin and gut microbiota: Their interactions and their impact on diabetes. Hormones. 2019;18:141–144. doi: 10.1007/s42000-019-00093-w. [DOI] [PubMed] [Google Scholar]
- 43.Zhang Q., Hu N. Effects of Metformin on the Gut Microbiota in Obesity and Type 2 Diabetes Mellitus. Diabetes Metab. Syndr. Obes. 2020;13:5003–5014. doi: 10.2147/DMSO.S286430. [DOI] [PMC free article] [PubMed] [Google Scholar]
- 44.Lee D.M., Battson M.L., Jarrell D.K., Hou S., Ecton K.E., Weir T.L., Gentile C.L. SGLT2 inhibition via dapagliflozin improves generalized vascular dysfunction and alters the gut microbiota in type 2 diabetic mice. Cardiovasc. Diabetol. 2018;17:62. doi: 10.1186/s12933-018-0708-x. [DOI] [PMC free article] [PubMed] [Google Scholar]
- 45.Herat L.Y., Ward N.C., Magno A.L., Rakoczy E.P., Kiuchi M.G., Schlaich M.P., Matthews V.B. Sodium glucose co-transporter 2 inhibition reduces succinate levels in diabetic mice. World. J. Gastroenterol. 2020;26:3225–3235. doi: 10.3748/wjg.v26.i23.3225. [DOI] [PMC free article] [PubMed] [Google Scholar]
- 46.Madsen M.S.A., Holm J.B., Pallejà A., Wismann P., Fabricius K., Rigbolt K., Mikkelsen M., Sommer M., Jelsing J., Nielsen H.B., et al. Metabolic and gut microbiome changes following GLP-1 or dual GLP-1/GLP-2 receptor agonist treatment in diet-induced obese mice. Sci. Rep. 2019;9:15582. doi: 10.1038/s41598-019-52103-x. [DOI] [PMC free article] [PubMed] [Google Scholar]
- 47.Zhao L., Chen Y., Xia F., Abudukerimu B., Zhang W., Guo Y., Wang N., Lu Y. A Glucagon-Like Peptide-1 Receptor Agonist Lowers Weight by Modulating the Structure of Gut Microbiota. Front. Endocrinol. 2018;9:233. doi: 10.3389/fendo.2018.00233. [DOI] [PMC free article] [PubMed] [Google Scholar]
- 48.Zhao C., Hu Y., Chen H., Li B., Cao L., Xia J., Yin Y. An in vitro evaluation of the effects of different statins on the structure and function of human gut bacterial community. PLoS ONE. 2020;15:e0230200. doi: 10.1371/journal.pone.0230200. [DOI] [PMC free article] [PubMed] [Google Scholar]
- 49.Kim J., Lee H., An J., Song Y., Lee C.K., Kim K., Kong H. Alterations in Gut Microbiota by Statin Therapy and Possible Intermediate Effects on Hyperglycemia and Hyperlipidemia. Front. Microbiol. 2019;10:1947. doi: 10.3389/fmicb.2019.01947. [DOI] [PMC free article] [PubMed] [Google Scholar]
- 50.Lindström P. The physiology of obese-hyperglycemic mice [ob/ob mice] Sci. World J. 2007;7:666–685. doi: 10.1100/tsw.2007.117. [DOI] [PMC free article] [PubMed] [Google Scholar]
- 51.Araújo T., Oliveira A., Carvalho B., Guadagnini D., Protzek A., Carvalheira J., Boschero A., Saad M. Hepatocyte Growth Factor Plays a Key Role in Insulin Resistance-Associated Compensatory Mechanisms. Endocrinology. 2012;153:5760–5769. doi: 10.1210/en.2012-1496. [DOI] [PubMed] [Google Scholar]
- 52.Holst J.J., Rosenkilde M.M. GIP as a Therapeutic Target in Diabetes and Obesity: Insight From Incretin Co-agonists. J. Clin. Endocrinol. Metab. 2020;105:e2710–e2716. doi: 10.1210/clinem/dgaa327. [DOI] [PMC free article] [PubMed] [Google Scholar]
- 53.Shimazu-Kuwahara S., Harada N., Yamane S., Joo E., Sankoda A., Kieffer T.J., Inagaki N. Attenuated secretion of glucose-dependent insulinotropic polypeptide (GIP) does not alleviate hyperphagic obesity and insulin resistance in ob/ob mice. Mol. Metab. 2017;6:288–294. doi: 10.1016/j.molmet.2017.01.006. [DOI] [PMC free article] [PubMed] [Google Scholar]
- 54.Cohen A.J., McCarthy D.M., Stoff J.S. Direct hemodynamic effect of insulin in the isolated perfused kidney. Pt 2Am. J. Physiol. 1989;257:F580–F585. doi: 10.1152/ajprenal.1989.257.4.F580. [DOI] [PubMed] [Google Scholar]
- 55.Tucker B.J., Anderson C.M., Thies R.S., Collins R.C., Blantz R.C. Glomerular hemodynamic alterations during acute hyperinsulinemia in normal and diabetic rats. Kidney Int. 1992;42:1160–1168. doi: 10.1038/ki.1992.400. [DOI] [PubMed] [Google Scholar]
- 56.Kim M.-H., Yun K.E., Kim J., Park E., Chang Y., Ryu S., Kim H.-L., Kim H.-N. Gut microbiota and metabolic health among overweight and obese individuals. Sci. Rep. 2020;10:19417. doi: 10.1038/s41598-020-76474-8. [DOI] [PMC free article] [PubMed] [Google Scholar]
- 57.Van Diepen J.A., Robben J.H., Hooiveld G.J., Carmone C., Alsady M., Boutens L., Bekkenkamp-Grovenstein M., Hijmans A., Engelke U.F.H., Wevers R.A., et al. SUCNR1-mediated chemotaxis of macrophages aggravates obesity-induced inflammation and diabetes. Diabetologia. 2017;60:1304–1313. doi: 10.1007/s00125-017-4261-z. [DOI] [PMC free article] [PubMed] [Google Scholar]
- 58.Loubinoux J., Bronowicki J.-P., Pereira I.A.C., Mougenel J.-L., Le Faou A.E. Sulfate-reducing bacteria in human feces and their association with inflammatory bowel diseases. FEMS Microbiol. Ecol. 2002;40:107–112. doi: 10.1111/j.1574-6941.2002.tb00942.x. [DOI] [PubMed] [Google Scholar]
- 59.Kushkevych I., Dordević D., Vítězová M. Possible synergy effect of hydrogen sulfide and acetate produced by sulfate-reducing bacteria on inflammatory bowel disease development. J. Adv. Res. 2020;27:71–78. doi: 10.1016/j.jare.2020.03.007. [DOI] [PMC free article] [PubMed] [Google Scholar]
- 60.Hawrelak J.A., Myers S.P. The causes of intestinal dysbiosis: A review. Altern. Med. Rev. 2004;9:180–197. [PubMed] [Google Scholar]
- 61.Wang R. Physiological implications of hydrogen sulfide: A whiff exploration that blossomed. Physiol. Rev. 2012;92:791–896. doi: 10.1152/physrev.00017.2011. [DOI] [PubMed] [Google Scholar]
- 62.Han S.J., Noh M.R., Jung J.M., Ishii I., Yoo J., Kim J.I., Park K.M. Hydrogen sulfide-producing cystathionine γ-lyase is critical in the progression of kidney fibrosis. Free Radic. Biol. Med. 2017;112:423–432. doi: 10.1016/j.freeradbiomed.2017.08.017. [DOI] [PubMed] [Google Scholar]
- 63.Zhao M., Liao D., Zhao J. Diabetes-induced mechanophysiological changes in the small intestine and colon. World J. Diabetes. 2017;8:249–269. doi: 10.4239/wjd.v8.i6.249. [DOI] [PMC free article] [PubMed] [Google Scholar]
- 64.Kyoko O.O., Kono H., Ishimaru K., Miyake K., Kubota T., Ogawa H., Okumura K., Shibata S., Nakao A. Expressions of tight junction proteins Occludin and Claudin-1 are under the circadian control in the mouse large intestine: Implications in intestinal permeability and susceptibility to colitis. PLoS ONE. 2014;9:e98016. doi: 10.1371/journal.pone.0098016. [DOI] [PMC free article] [PubMed] [Google Scholar]
- 65.Thaiss C.A., Levy M., Grosheva I., Zheng D., Soffer E., Blacher E., Braverman S., Tengeler A.C., Barak O., Elazar M., et al. Hyperglycemia drives intestinal barrier dysfunction and risk for enteric infection. Science. 2018;359:1376–1383. doi: 10.1126/science.aar3318. [DOI] [PubMed] [Google Scholar]
- 66.Chakaroun R.M., Massier L., Kovacs P. Gut Microbiome, Intestinal Permeability, and Tissue Bacteria in Metabolic Disease: Perpetrators or Bystanders? Nutrients. 2020;12:1082. doi: 10.3390/nu12041082. [DOI] [PMC free article] [PubMed] [Google Scholar]
- 67.Fraulob J.C., Ogg-Diamantino R., Fernandes-Santos C., Aguila M.B., Mandarim-de-Lacerda C.A. A Mouse Model of Metabolic Syndrome: Insulin Resistance, Fatty Liver and Non-Alcoholic Fatty Pancreas Disease (NAFPD) in C57BL/6 Mice Fed a High Fat Diet. J. Clin. Biochem. Nutr. 2010;46:212–223. doi: 10.3164/jcbn.09-83. [DOI] [PMC free article] [PubMed] [Google Scholar]
Associated Data
This section collects any data citations, data availability statements, or supplementary materials included in this article.
Supplementary Materials
Data Availability Statement
The datasets generated during and/or analyzed during the current study are available from the corresponding author upon reasonable request.







