Abstract
Background
Central airway obstruction near the right upper lobe (RUL) airway orifice poses a dilemma for the clinician. Maintaining ventilation to the right middle and right lower lobes is of utmost importance. However, preserving ventilation to the RUL is desirable as well especially in patients with significant dyspnea.
Case presentation
In this case report, we describe telescoping 2 covered self-expanding hybrid stents to relieve airway obstruction while maintaining RUL ventilation.
Conclusions
Review of current literature revealed several additional documented approaches to overcome this challenge. The choice of intervention needs to be deliberated based on the available stents, delineation of the airway obstruction, and the patient’s anatomy.
There are several malignant and nonmalignant conditions that can lead to central airway obstruction (CAO) resulting in lobar collapse. The clinical consequences range from significant dyspnea to respiratory failure. Airway stenting has been used to maintain patency of obstructed airways and relieve symptoms. Before lung cancer screening became more common, approximately 10% of lung cancers at presentation had evidence of CAO.1
On occasion, an endobronchial malignancy involves the right mainstem (RMS) bronchus near the orifice of the right upper lobe (RUL).2 Such strategically located lesions pose a challenge to relieve the RMS obstruction through stenting, securing airway patency into the bronchus intermedius (BI) while avoiding obstruction of the RUL bronchus. The use of endobronchial silicone stents, hybrid covered stents, as well as self-expanding metal stents (SEMS) is an established mode of relieving CAO due to malignant disease.3 We reviewed the literature for approaches that were available before and after the date of the index case reported here.
CASE PRESENTATION
A 65-year-old veteran with a history of smoking presented to a US Department of Veterans Affairs Medical Center (VAMC) in 2011, with hemoptysis of 2-week duration. Computed tomography (CT) of the chest revealed a 5.3 × 4.2 × 6.5 cm right mediastinal mass and a 3.0 × 2.8 × 3 cm right hilar mass. Flexible bronchoscopy revealed > 80% occlusion of the RMS and BI due to a medially located mass sparing the RUL orifice, which was patent (Figure 1). Airways distal to the BI were free of disease. Endobronchial biopsies revealed poorly differentiated non-small cell carcinoma of the lung. The patient was referred to the interventional pulmonary service for further airway management.
FIGURE 1. Tumor Mass on Coronal Section of Chest Computed Tomography.

Arrow indicated tumor mass, which is medially located and obstructs the right mainstem and bronchus intermedius but spares the right upper lobe bronchus.
Under general anesthesia and through a size-9 endotracheal tube, piecemeal debulking of the mass using a cryoprobe was performed. Argon photocoagulation (APC) was used to control bleeding. Balloon bronchoplasty was performed next with pulmonary Boston Scientific CRE balloon at the BI and the RMS bronchus. Under fluoroscopic guidance, a 12 × 30 mm self-expanding hybrid Merit Medical AERO stent was placed distally into the BI. Next, a 14 × 30 mm AERO stent was placed proximally in the RMS bronchus with its distal end telescoped into the smaller distal stent for a distance of 3 to 4 mm at a slanted angle. The overlap was deliberately performed at the level of RUL takeoff. Forcing the distal end of the proximal larger stent into a smaller stent created mechanical stress. The angled alignment channeled this mechanical stress so that the distal end of the proximal stent flared open laterally into the RUL orifice to allow for ventilation (Figure 2). On follow-up 6 months later, all 3 airways remained patent with stents in place (Figure 3).
FIGURE 2. Orifice Leading to Right Upper Lobe Bronchus.

The proximal end of the distal stent is marked by red arrow and delineated with red line; distal end of the proximal stent is marked by blue arrow and delineated by blue curve.
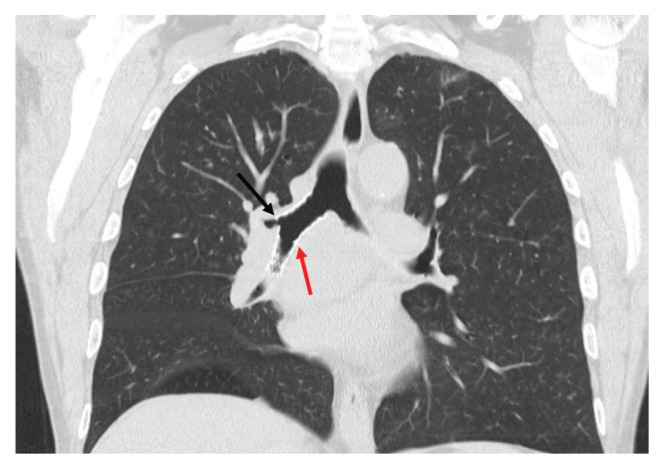
FIGURE 3. Two Months Postprocedure Computed Tomography.
White outlines on right indicate stable alignment of the 2 telescoping stents; black arrow indicates lateral aspect of distal end of the proximal stent opening freely into superior aspect of the right upper lobe bronchus; red arrow indicates intussusception of the stents on medial side seen as continuous white contour of the airway; distal BI stent is patent but the coronal computed tomography cut passes at an angle through the stent wall delineating metallic mesh.
The patient returned to the VAMC and underwent chemotherapy with carboplatin and paclitaxel cycles that were completed in May 2012, as well as completing 6300 centigray (cGy) of radiation to the area. This led to regression of the tumor permitting removal of the proximal stent in October 2012. Unfortunately, upon follow-up in July 2013, a hypermetabolic lesion in the right upper posterior chest was noted to be eroding the third rib. Biopsy proved it to be poorly differentiated non-small cell lung cancer. Palliative external beam radiation was used to treat this lesion with a total of 3780 cGy completed by the end of August 2013.
Sadly, the patient was admitted later in 2013 with worsening cough and shortness of breath. Chest and abdominal CTs showed an increase in the size of the right apical mass, and mediastinal lymphadenopathy, as well as innumerable nodules in the left lung. The mass had recurred and extended distal to the stent into the lower and middle lobes. New liver nodule and lytic lesion within left ischial tuberosity, T12, L1, and S1 vertebral bodies were noted. The pulmonary service reached out to us via email and we recommended either additional chemoradiotherapy or palliative care. At that point the tumor was widespread and resistant to therapy. It extended beyond the central airways making airway debulking futile. Stents are palliative in nature and we believed that the initial stenting allowed the patient to get chemoradiation by improving functional status through preventing collapse of the right lung. As a result, the patient had about 19 months of a remission period with quality of life. The patient ultimately died under the care of palliative care in inpatient hospice setting.
LITERATURE REVIEW
A literature review revealed multiple approaches to preserving a 3-way patent airway at the takeoff of the RUL (Table). One approach to alleviating such an obstruction favors placing a straight silicone stent from the RMS into the BI, closing off the orifice of the RUL (Figure 4A).4 However, this entails sacrificing ventilation of the RUL. An alternative suggested by Peled and colleagues was carried out successfully in 3 patients. After placing a stent to relieve the obstruction, a Nd:YAG laser is used to create a window in the stent in proximity to the RUL orifice, which allows preservation or ventilations to the RUL (Figure 4B).5
TABLE.
Existing Methods to Stent RMS Central Airway Obstruction
| Stent Types | Locations | Technical Considerations | Preserves RUL | Figure Illustrations |
|---|---|---|---|---|
| Straight silicone4 | RMS to BI | No | 4A | |
| Straight with modification5 | RMS to BI | Nd:YAG laser to create window for RUL ventilation | Yes | 4B |
| Silicone Y6,7 | Deployed across RUL secondary carina | Customization of stents | Yes | 4C |
| Oki; bifurcated silicone8 | RMS with bifurcated arms in the RUL and BI | Commercially available | Yes | 4D |
| 3D-printed Oki9 | RMS with bifurcated arms in the RUL and BI | Requires precise airway measurements | Yes | |
| De novo custom 3D-printed1 | RMS with custom arms in RUL and BI | 3D reconstruction of airway and custom stents | Yes |
Abbreviations: BI, bronchus intermedius; RMS, right mainstem; RUL, right upper lobe.
FIGURE 4. Simple Opaque and Transparent Silicone Stents and Schematic Diagrams of Placement.
A, Placement to block the RUL and establish patency between RMS and BI is shown. B, Placement after a window (hole) is placed through it either before deployment or through endobronchial ND-Yag laser, which usually requires transparent silicone stent. C, Limbs can be cut to fit the RMS, RUL, BI configuration; however, since the respective angles of those airways are not identical to the trachea and main stem bronchi difficulty may be encountered deploying the stent. D, Oki stent for RUL, BI, and RMS. E, Schematic diagram showing 2 telescoping stents. A distal stent with narrower lumen and a proximal stent with a larger lumen (preferably ≤ 2 mm difference as the proximal stent would invaginate or fold on itself); stents are telescoped at an angle; lateral edge of the larger stent will fan under stress of being squeezed by a smaller diameter stent and fans open to ventilate the RUL and offer scaffold to counteract extrinsic compression by a tumor.
All images courtesy: Mohammad R. Al-Ajam.
A third effective approach utilizes silicone Y stents, which are usually employed for relief of obstruction at the level of the main carina.6,7 Instead of deploying them at the main carina, they would be deployed at the secondary carina, which the RUL makes with the BI, often with customized cutting for adjustment of the stent limbs to the appropriate size of the RUL and BI (Figure 4C). This approach has been successfully used to maintain RUL ventilation.2
A fourth technique involves using an Oki stent, a dedicated bifurcated silicone stent, which was first described in 2013. It is designed for the RMS bronchus around the RUL and BI bifurcation, enabling the stent to maintain airway patency in the right lung without affecting the trachea and carina (Figure 4D). The arm located in the RUL prevents migration.8 A fifth technique involves deploying a precisely selected Oki stent specially modified based on a printed 3-dimensional (3D) model of the airways after computer-aided simulation.9 A sixth technique employs de novo custom printing stents based on 3D models of the tracheobronchial tree constructed based on CT imaging. This approach creates more accurately fitting stents.1
DISCUSSION
The RUL contributes roughly 5 to 10% of the total oxygenation capacity of the lung.10 In patients with lung cancer and limited pulmonary reserve, preserving ventilation to the RUL can be clinically important. The chosen method to relieve endobronchial obstruction depends on several variables, including expertise, ability of the patient to undergo general anesthesia for rigid or flexible bronchoscopy, stent availability, and airway anatomy.
This case illustrates a new method to deal with lesions close to the RUL orifice. This maneuver may not be possible with all types of stents. AERO stents are fully covered (Figure 4E). In contrast, stents that are uncovered at both distal ends, such as a Boston Scientific Ultraflex stent, may not be adequate for such a maneuver. Intercalating uncovered ends of SEMS may allow for tumor in-growth through the uncovered metal mesh near the RUL orifice and may paradoxically compromise both the RUL and BI. The diameter of AERO stents is slightly larger at its ends.11 This helps prevent migration, which in this case maintained the crucial overlap of the stents. On the other hand, use of AERO stents may be associated with a higher risk of infection.12 Precise measurements of the airway diameter are essential given the difference in internal and external stent diameter with silicone stents.
Silicone stents migrate more readily than SEMS and may not be well suited for the procedure we performed. In our case, we wished to maintain ventilation for the RUL; hence, we elected not to bypass it with a silicone stent. We did not have access to a YAG. Moreover, laser carries more energy than APC. Nd:YAG laser has been reported to cause airway fire when used with silicone stents.13 Several authors have reported the use of silicone Y stents at the primary or secondary carina to preserve luminal patency. 6,7 Airway anatomy and the angle of the Y may require modification of these stents prior to their use. Cutting stents may compromise their integrity. The bifurcating limb prevents migration which can be a significant concern with the tubular silicone stents. An important consideration for patients in advanced stages of malignancy is that placement of such stent requires undergoing general anesthesia and rigid bronchoscopy, unlike with AERO and metal stents that can be deployed with fiberoptic bronchoscopy under moderate sedation. As such, we did not elect to use a silicone Y stent. Accumulation of secretions or formation of granulation tissue at the orifices can result in recurrence of obstruction.14
Advances in 3D printing seem to be the future of customized airway stenting. This could help clinicians overcome the challenges of improperly sized stents and distorted airway anatomy. Cases have reported successful use of 3D-printed patient-specific airway prostheses.15,16 However, their use is not common practice, as there is a limited amount of materials that are flexible, biocompatible, and approved by the US Food and Drug Administration (FDA) for medical use. Infection control is another layer of consideration in such stents. Standardization of materials and regulation of personalized devices and their cleansing protocols is neccesary.17 At the time of this case, Oki stents and 3D printing were not available in the market. This report provides a viable alternative to use AERO stents for this maneuver.
CONCLUSIONS
Patients presenting with malignant CAO near the RUL require a personalized approach to treatment, considering their overall health, functional status, nature and location of CAO, and degree of symptoms. Once a decision is made to stent the airway, careful assessment of airway anatomy, delineation of obstruction, available expertise, and types of stents available needs to be made to preserve ventilation to the nondiseased RUL. Airway stents are expensive and need to be used wisely for palliation and allowing for a quality life while the patient receives more definitive targeted therapy.
Acknowledgments
The authors would like to gratefully acknowledge Dr Jenny Kim, who referred the patient to the interventional service and helped obtain consent for publishing the case.
Footnotes
Author disclosures
The authors report no actual or potential conflicts of interest or outside sources of funding with regard to this article.
Disclaimer
The opinions expressed herein are those of the authors and do not necessarily reflect those of Federal Practitioner, Frontline Medical Communications Inc., the US Government, or any of its agencies.
Ethics and consent
Written informed consent was obtained from the patient.
References
- 1.Criner GJ, Eberhardt R, Fernandez-Bussy S, et al. Interventional bronchoscopy. Am J Respir Crit Care Med. 2020;202(1):29–50. doi: 10.1164/rccm.201907-1292SO. [DOI] [PubMed] [Google Scholar]
- 2.Oki M, Saka H, Kitagawa C, Kogure Y. Silicone y-stent placement on the carina between bronchus to the right upper lobe and bronchus intermedius. Ann Thorac Surg. 2009;87(3):971–974. doi: 10.1016/j.athoracsur.2008.06.049. [DOI] [PubMed] [Google Scholar]
- 3.Ernst A, Feller-Kopman D, Becker HD, Mehta AC. Central airway obstruction. Am J Respir Crit Care Med. 2004;169(12):1278–1297. doi: 10.1164/rccm.200210-1181SO. [DOI] [PubMed] [Google Scholar]
- 4.Liu Y-H, Wu Y-C, Hsieh M-J, Ko PJ. Straight bronchial stent placement across the right upper lobe bronchus: A simple alternative for the management of airway obstruction around the carina and right main bronchus. J Thorac Cardiovasc Surg. 2011;141(1):303–305e1. doi: 10.1016/j.jtcvs.2010.06.015. [DOI] [PubMed] [Google Scholar]
- 5.Peled N, Shitrit D, Bendayan D, Kramer MR. Right upper lobe ‘window’ in right main bronchus stenting. Eur J Cardiothorac Surg. 2006;30(4):680–682. doi: 10.1016/j.ejcts.2006.07.020. [DOI] [PubMed] [Google Scholar]
- 6.Dumon J-F, Dumon MC. Dumon-Novatech Y-stents: a four-year experience with 50 tracheobronchial tumors involving the carina. J Bronchol. 2000;7(1):26–32. doi: 10.1097/00128594-200007000-00005. [DOI] [Google Scholar]
- 7.Dutau H, Toutblanc B, Lamb C, Seijo L. Use of the Dumon Y-stent in the management of malignant disease involving the carina: a retrospective review of 86 patients. Chest. 2004;126(3):951–958. doi: 10.1378/chest.126.3.951. [DOI] [PubMed] [Google Scholar]
- 8.Dalar L, Abul Y. Safety and efficacy of Oki stenting used to treat obstructions in the right mainstem bronchus. J Bronchol Interv Pulmonol. 2018;25(3):212–217. doi: 10.1097/LBR.0000000000000486. [DOI] [PubMed] [Google Scholar]
- 9.Guibert N, Moreno B, Plat G, Didier A, Mazieres J, Hermant C. Stenting of complex malignant central-airway obstruction guided by a three-dimensional printed model of the airways. Ann Thorac Surg. 2017;103(4):e357–e359. . doi: 10.1016/j.athoracsur.2016.09.082. [DOI] [PubMed] [Google Scholar]
- 10.Win T, Tasker AD, Groves AM, et al. Ventilation-perfusion scintigraphy to predict postoperative pulmonary function in lung cancer patients undergoing pneumonectomy. AJR Am J Roentgenol. 2006;187(5):1260–1265. doi: 10.2214/AJR.04.1973. [DOI] [PubMed] [Google Scholar]
- 11.Mehta AC. AERO self-expanding hybrid stent for airway stenosis. Expert Rev Med Devices. 2008;5(5):553–557. doi: 10.1586/17434440.5.5.553. [DOI] [PubMed] [Google Scholar]
- 12.Ost DE, Shah AM, Lei X, et al. Respiratory infections increase the risk of granulation tissue formation following airway stenting in patients with malignant airway obstruction. Chest. 2012;141(6):1473–1481. doi: 10.1378/chest.11-2005. [DOI] [PMC free article] [PubMed] [Google Scholar]
- 13.Scherer TA. Nd-YAG laser ignition of silicone endobronchial stents. Chest. 2000;117(5):1449–1454. doi: 10.1378/chest.117.5.1449. [DOI] [PubMed] [Google Scholar]
- 14.Folch E, Keyes C. Airway stents. Ann Cardiothorac Surg. 2018;7(2):273–283. doi: 10.21037/acs.2018.03.08. [DOI] [PMC free article] [PubMed] [Google Scholar]
- 15.Cheng GZ, Folch E, Brik R, et al. Three-dimensional modeled T-tube design and insertion in a patient with tracheal dehiscence. Chest. 2015;148(4):e106–e108. . doi: 10.1378/chest.15-0240. [DOI] [PubMed] [Google Scholar]
- 16.Tam MD, Laycock SD, Jayne D, Babar J, Noble B. 3-D printouts of the tracheobronchial tree generated from CT images as an aid to management in a case of tracheobronchial chondromalacia caused by relapsing polychondritis. J Radiol Case Rep. 2013;7(8):34–43. doi: 10.3941/jrcr.v7i8.1390. Published 2013 Aug 1. [DOI] [PMC free article] [PubMed] [Google Scholar]
- 17.Alraiyes AH, Avasarala SK, Machuzak MS, Gildea TR. 3D printing for airway disease. AME Med J. 2019;4:14. doi: 10.21037/amj.2019.01.05. [DOI] [PMC free article] [PubMed] [Google Scholar]


