Abstract
Introduction
Pheochromocytomas are rare tumors of the adrenal gland. Intestinal pseudo-obstruction is a very rare presentation of a functioning catecholamine-secreting tumor. We present a case of intestinal pseudo-obstruction due to a large functioning pheochromocytoma.
Case report
A 29-year-old female presented with abdominal distension, pain, nausea, and vomiting with constipation for 3 weeks. She was hypertensive and diabetic and was on multiple medications. She reported frequent spells of severe headaches, palpitations, night sweats, and a 17 kg weight loss over 6 months. She had pallor, dyspnea, marked abdominal distension, and diminished bowel sounds. Her blood pressure was high at 200/120 mmHg. She had tachycardia (pulse 120 bpm) and tachypnea (35 pm). Serum metanephrine levels were significantly elevated, measuring 1203 pg/ml. Abdominal CT showed a heterogeneous, hyper-vascular mass near the upper pole of the left kidney, measuring 10.75 cm × 8.72 cm. Open left adrenalectomy was performed through an anterior subcostal approach to remove the tumor with the left adrenal gland. Histopathological examinations were consistent with pheochromocytoma.
Discussion
Some authors documented the correlation between tumor size and metabolic activity of catecholamine-secreting tumors with intestinal pseudo-obstruction by paralytic ileus. This case corresponds with these findings, with a tumor mass of 350 g and a serum metanephrine level of 1203 pg/ml.
Conclusion
Although it is extremely rare, functioning pheochomocytoma could be a cause of instestinal obstruction or pseudo-obstruction.
Keywords: Pheochromocytoma, Intestinal pseudo-obstruction, Adrenalectomy
Highlights
-
•
Pheochromocytomas are rare tumors of the adrenal gland.
-
•
Intestinal pseudo-obstruction due to the tumor is a very rare presentation.
-
•
This report presents a rare case of intestinal pseudo-obstruction due to a large functioning pheochromocytoma.
1. Introduction
Pheochromocytomas are rare tumors of the adrenal gland that can be sporadic or familial, with an estimated annual incidence of 0.8 per 100,000 people/year [1]. Intestinal pseudo-obstruction is a very rare presentation of a functioning catecholamine-secreting tumor [2]. It presents with signs and symptoms of small or large bowel obstruction without any demonstrable mechanical obstruction [2]. The classic triad of presentation for pheochromocytoma is sweating, episodic headaches, and tachycardia. A functioning pheochromocytoma can have a myriad of symptom manifestations. High level of suspicion is needed for the correct diagnosis [2]. Sometime management of intestinal pseudo-obstruction in patients having such a pheochromocytoma can be ambiguous and indirect, but some patients respond well to surgical removal of the mass and can resume their normal bowel motions thereafter. However, there is other reported cases with the need for surgical decompression of the intestine, or for creating a stoma, particularly in patients with metastases [3].
We present a case of intestinal pseudo-obstruction in a young female patient due to a large functioning pheochromocytoma that responded well to surgical tumor removal. The report was written in line with the SCARE 2020 guidelines [4].
2. Case report
2.1. Patient information
A 29-year-old female presented with abdominal distension, pain, nausea, and vomiting with constipation for 3 weeks. She had been hypertensive and diabetic for the last 3 years. She took 5 mg of amlodipine, 80 mg of valsartan, 2.5 mg of bisoprolol, and 500 mg of metformin daily. She reported frequent spells of severe headaches, palpitations, night sweats, and a 17 kg weight loss over 6 months.
2.2. Clinical findings
On examination, she had pallor, dyspnea, marked abdominal distension, and diminished bowel sounds. Her blood pressure was high at 200/120 mmHg. She had tachycardia (pulse 120 bpm) and tachypnea (35 pm).
2.3. Diagnostic approach
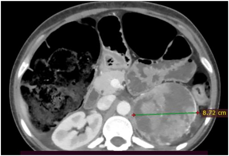
Serum metanephrine levels were significantly elevated, measuring 1203 pg/ml, complete blood count showed normochromic normocytic anemia, ESR was 140 mm/h, CRP 340 mg/L, HbA1C 6.72, serum potassium level 3.9 meq/L, and thyroid function tests were within normal limits. An ultrasound scan of the abdomen showed a left suprarenal mass. Abdominal CT showed a heterogeneous, hyper-vascular mass near the upper pole of the left kidney measuring 10.75 cm × 8.72 cm (Fig. 1).
Fig. 1.

Axial section of abdominal CT scan showing a big heterogeneous enhancing left adrenal mass and a hugely dilated colon.
2.4. Therapeutic intervention
Soon after admission, she developed a hypertensive crisis and signs of pulmonary edema with a fall in oxygen saturation to 60% on room air. After decompression of her distended abdomen with a nasogastric tube, she was put on high flow oxygen, furosemide injection, and the selective alpha-1 blocking agent doxazosin, because of lack of non-selective alpha-blocking agent of choice (phenoxybenzamine or phentolamine) due to the global lockdown, the patient was kept under observation for one week, and doxazocin was increased to 8 mg daily until her blood pressure decreased to 160/100 mmHg. However, she still had abdominal distension and severe constipation. Consequently, she was scheduled for open left adrenalectomy through an anterior subcostal approach. The left adrenal gland with a tumor was removed en bloc. The size of the tumor was 10 cm × 8 cm. Postoperatively, she was closely monitored in the intensive care unit for the first 24 h. The patient improved clinically. Her bowel motion resumed immediately, and she was able to pass a large quantity of loose stool soon after the surgery. Histopathological and immunohistochemical examinations of the specimen confirmed the diagnosis of pheochromocytoma. There was diffused cytoplasmic reaction to chromogranin and a negative reaction to inhibin (Fig. 2) with a Pheochromocytoma of the Adrenal Gland Scaled Score (PASS) score of 7.
Fig. 2.
Microscopic view of the specimen (hematoxylin-eosin stain, magnification ×40) showing areas of necrosis (A) hematoxylin-eosin stain, magnification ×100 (B). Negative cytoplasmic reaction to inhibin (C). Diffuse cytoplasmic staining to chromogranin (D).
2.5. Follow-up and outcome
Her further postoperative period was uneventful and she was discharged on her fourth postoperative day. Her tumor screening for metastases was negative, and her post-operative follow-up showed complete normalization of her serum metanephrines. Sixteen months later, she was still in biochemical remission. All anti-hypertensives and oral anti-hyperglycemic agents were stopped.
3. Discussion
The mechanism for chronic constipation and intestinal pseudo-obstruction in patients with pheochromocytoma is the excess secretion of catecholamines that act on the alpha-adrenergic receptors inhibiting the secretion of acetylcholine from postganglionic nerve terminals and also block excitatory postsynaptic potentials in myenteric neurons while allowing the continuous action of the intrinsic inhibitory mechanisms [5]. Acetylcholine seems to be the major excitatory neurotransmitter in the enteric nervous system and has been demonstrated to increase the amplitude of contractions of intestinal circular smooth muscles in rabbit intestines, so the overall effect of alpha-adrenergic stimulation would be inhibition intestinal motility [6].
Gastrointestinal pseudo-obstruction, which differs from mechanical obstruction in that no demonstrable mechanical cause can be found, is a rare but potentially life-threatening complication of pheochromocytoma. In a review of 34 cases of pseudo-obstruction due to catecholamine-secreting tumors by Osinga et al., bowel perforation happened in 15% of the cases, and 47% died within a year afterwards [7]. Nogouchi et al. documented the correlation between tumor size and metabolic activity of catecholamine-secreting tumors in 16 cases with intestinal pseudo-obstruction by paralytic ileus [8]. This was confirmed in another report [9]. Our case corresponds with these findings, with a tumor mass of 350 g and a serum metanephrine level of 1203 pg/ml.
Medical treatment of pheochromocytomas requires careful initiation and up-titration of alpha blocking agents to achieve an optimal alpha-receptor blockade, followed by beta-blockers to control potential tachyarrhythmia [10]. However, our patient was already on 2.5 mg of bisoprolol, which we believe to be one of the causes of the deterioration of her condition and the rapid increase in her blood pressure. Moreover, we could not get neither phenoxybenzamine nor phentolamine, which are non-selective alpha-blocking agents and are suggested by many authors as the first line of management for gastrointestinal complications of pheochromocytoma [10], due to a global lockdown to prevent the spread of COVID 19. Instead, we started with low dose doxazocin with up-titration to 8 mg/daily, which was helpful in controlling her blood pressure, albeit without effect on her distension. The latter responded well to the surgical removal of the tumor. A very similar case and outcome has been previously reported [11].
Histopathological examination revealed a pheochromocytoma of the adrenal gland with a scaled score (PASS) of 7, which favors malignant pheochromocytoma. The tumor screening did not reveal any metastases, so it could be safely presumed that the source of excess serum catecholamine production was removed. The patient quickly regained normal bowel function. Hypertension and diabetes disappeared.
In conclusion, functioning pheochomocytoma with specific signs and symptoms might be included in the differential diagnosis of chronic constipation or functional pseudo-obstruction in patients with tachycardia, diaphoresis, and headaches. Early recognition and management of these patients are paramount, as a delay can lead to spontaneous bowel perforation with serious complications or even death.
Sources of funding
None.
Ethical approval
Approval is not necessary for case report (till 3 cases in single report).
Consent
The family and the patient gave consent for the publication of the report.
Author contribution
Abdulwahid M. Salh: major contribution of the idea, literature review, final approval of the manuscript.
Rawa Bapir: Surgeon performing the operation, final approval of the manuscript.
Fahmi H. Kakamad: Writing the manuscript, literature review, final approval of the manuscript.
Shaho F. Ahmed, Soran Mohammeed Gharib, Deedar Qader, Elenko Popov, Noor Buchholz: literature review, final approval of the manuscript.
Research registration unique identifying number (UIN)
Not applicable.
Guarantor
Fahmi Hussein Kakamad.
Provenance and peer review
Not commissioned, externally peer-reviewed.
Declaration of competing interest
None.
References
- 1.Beard C.M., Sheps S.G., Kurland L.T., Carney J.A., Lie J.T. Occurrence of pheochromocytoma in Rochester, Minnesota, 1950 through 1979. Mayo Clin. Proc. 1983;58(12):802–804. [PubMed] [Google Scholar]
- 2.Stein P.P., Black H.R. A simplified diagnostic approach to pheochromocytoma. A review of the literature and report of one institution's experience. Medicine. 1991;70(1):46–66. doi: 10.1097/00005792-199101000-00004. [DOI] [PubMed] [Google Scholar]
- 3.Murakami S., Okushiba S.I., Ohno K., Ito K., Satou K., Sugiura H., et al. Malignant pheochromocytoma associated with pseudo-obstruction of the colon. J. Gastroenterol. 2003;38(2):175–180. doi: 10.1007/s005350300029. [DOI] [PubMed] [Google Scholar]
- 4.Agha R.A., Franchi T., Sohrabi C., Mathew G., Kerwan A., Thoma A., et al. The SCARE 2020 guideline: updating consensus surgical CAse REport (SCARE) guidelines. Int. J. Surg. 2020;84(1):226–230. doi: 10.1016/j.ijsu.2020.10.034. [DOI] [PubMed] [Google Scholar]
- 5.Wood J.D. Intrinsic neural control of intestinal motility. Annu. Rev. Physiol. 1981;43(1):33–51. doi: 10.1146/annurev.ph.43.030181.000341. [DOI] [PubMed] [Google Scholar]
- 6.Montgomery L.E., Tansey E.A., Johnson C.D., Roe S.M., Quinn J.G. Autonomic modification of intestinal smooth muscle contractility. Adv. Physiol. Educ. 2016;40(1):104–109. doi: 10.1152/advan.00038.2015. [DOI] [PubMed] [Google Scholar]
- 7.Osinga T.E., Kerstens M.N., van der Klauw M.M., Koornstra J.J., Wolffenbuttel B.H.R., Links T.P., et al. Intestinal pseudo-obstruction as a complication of paragangliomas: case report and literature review. Neth. J. Med. 2013;71(10):513–517. [PubMed] [Google Scholar]
- 8.Noguchi M., Taniya T., Ueno K., Yagi M., Izumi R., Konishi K., et al. A case of pheochromocytoma with severe paralytic ileus. Jpn. J. Surg. 1990;20(4):448–452. doi: 10.1007/BF02470830. [DOI] [PubMed] [Google Scholar]
- 9.Cruz S.R., Colwell J.A. Pheochromocytoma and ileus. JAMA. 1972;219(8):1050–1051. [PubMed] [Google Scholar]
- 10.De Lloyd A.C., Munigoti S., Davies J.S., Scott-Coombes D. A rare and life-threatening cause of pseudo-obstruction in two surgical patients. Case Rep. 2010;2010:1–4. doi: 10.1136/bcr.04.2010.2882. [DOI] [PMC free article] [PubMed] [Google Scholar]
- 11.Okumura S., Sumie M., Karashima Y. Perioperative anesthetic management of intestinal pseudo-obstruction as a complication of pheochromocytoma. JA Clin. Rep. 2019;5(1):1–4. doi: 10.1186/s40981-019-0255-9. [DOI] [PMC free article] [PubMed] [Google Scholar]

