Abstract
The aggressive inflammatory response to COVID-19 can result in airway damage, respiratory failure, cardiac injury, and multiorgan failure, which lead to death in susceptible patients. Cardiac injury and acute myocardial infarction (AMI) secondary to COVID-19 disease can lead to hospitalization, heart failure, and sudden cardiac death. When serious collateral damage from tissue necrosis or bleeding occurs, mechanical complications of myocardial infarction and cardiogenic shock can ensue. While prompt reperfusion therapies have decreased the incidence of these serious complications, patients who present late following the initial infarct are at increased for mechanical complications, cardiogenic shock, and death. The health outcomes for patients with mechanical complications are dismal if not recognized and treated promptly. Even if they survive serious pump failure, their CICU stay is often prolonged, and their index hospitalization and follow-up visits may consume significant resources and impact the health care system.
Keywords: COVID-19, Mechanical Complications, Reperfusion therapies, Myocardial infarction, Cardiogenic shock
Key points
-
•
The COVID-19 pandemic has led to an increase in mechanical complications of AMI. The outcomes for these complications are poor without a prompt recognition and a systematic approach to management.
-
•
Mechanical complications during the COVID-19 pandemic were mostly due to delayed presentation after AMI in the context of “stay-at-home” orders, mandating that all residents stay home unless they hold an essential job or have an essential need for daily living.
-
•
The most commonly encountered mechanical complications are ventricular septal defect, papillary muscle rupture, free wall rupture, and pseudoaneurysm.
-
•
The approach to management of these complications includes a high level of suspicion, especially in patients with severe hemodynamic changes and pulmonary congestion after a presentation with an acute myocardial infarction.
-
•
The involvement of “Heart Team” provides a systematic platform to discuss all therapeutic options for hemodynamic support, oxygenation status, percutaneous or surgical repair, and end of life care in the CICU.
-
•
To provide a comprehensive team-based approach to management, the multidisciplinary heart teams should ideally include a cardiac intensivist, cardiac surgeon, interventional cardiologist, imaging specialist, transplant specialist, respiratory therapist, clinical pharmacist, family members, and palliative care teams.
Introduction
The aggressive inflammatory response to COVID-19 can result in airway damage, respiratory failure, cardiac injury, and multiorgan failure, which lead to death in susceptible patients.1 , 2 Cardiac injury and acute myocardial infarction (AMI) secondary to COVID-19 disease can lead to hospitalization, heart failure, and sudden cardiac death.3 When serious collateral damage from tissue necrosis or bleeding occurs, mechanical complications of myocardial infarction and cardiogenic shock can ensue. While prompt reperfusion therapies have decreased the incidence of these serious complications, patients who present late following the initial infarct are at increased for mechanical complications, cardiogenic shock, and death. The health outcomes for patients with mechanical complications are dismal if not recognized and treated promptly.4 Even if they survive serious pump failure, their CICU stay is often prolonged, and their index hospitalization and follow-up visits may consume significant resources and impact the health care system.4
After the spread of the COVID-19 in the United States and the world, an increase in the incidence of mechanical complications of AMI was observed, likely because of delayed presentation in patients without COVID-19.4, 5, 6, 7, 8 Cardiologists, cardiac intensivists, and surgeons are faced with the challenges of managing mechanical complications and the associated discussion on appropriate therapies often occurs among heart teams in specialized shock centers. Prompt recognition of clinical signs and symptoms of acute pump failure is needed to avoid prolonged states of shock, advanced forms of heart failure, and death. Differentiation between mechanical complications of type I and type II AMI secondary to COVID-19 infection requires clinical bedside knowledge, utilization of noninvasive imaging, and invasive hemodynamic assessment. Even if the diagnosis is made promptly, the management of these patients is often complex and requires the expertise of multidisciplinary teams. Because post-MI mechanical defects are rare, the management is variable depending on the expertise of each cardiac center caring for these patients. This article aims to address the most common mechanical complications encountered after COVID-19 disease; (2) define a multidisciplinary approach to management; and (3) highlight a case series discussing management strategies in practice.
Ventricular septal defect
Before thrombolysis and primary revascularization became the standard of care, the incidence of ventricular septal defects (VSD) caused by transmural myocardial infarct rupture was approximately 1% to 2%, compared with less than 0.3% in contemporary practice.4 Risk factors include older age, female sex, and delayed reperfusion.4 Typically occurring 3 to 5 days postinfarction, presentations range from incidental findings to circulatory collapse. Symptoms may include recurrent chest pain, dyspnea, and orthopnea. Clinical examination may reveal a systolic murmur, rales, hypotension, cool skin, with signs of pulmonary venous congestion.4 A 12-lead electrocardiogram may identify progressive ischemia and associated arrythmias.4
Echocardiography is diagnostic, evaluating size and location of a left-to-right shunt (Fig. 1 ), biventricular function, presence of LV thrombus, mitral regurgitation, pulmonary artery and right-sided pressures, free-wall rupture and tamponade.4 Right heart catheterization shows a diagnostic step-up in oxygenation between the right atrium and pulmonary artery and elevated pulmonary-to-systemic flow ratio (up to 8:1) depending on the ventricular septal defect (VSD) size.4 Left heart catheterization commonly shows a complete coronary obstruction without collateral circulation and left ventriculography shows contrast in the right ventricle and pulmonary artery.4 Anterior and apical ischemic VSDs are caused by infarcts in the left anterior descending (LAD) territory and posterior VSDs are due to inferior infarcts.4 Right ventricular infarction or ischemia with severe dysfunction is an important feature of VSDs caused by acute, proximal right coronary occlusion.4 Posterior VSDs are often accompanied by mitral valve regurgitation commonly secondary to ischemic remodeling.4
Fig. 1.
Ventricular septal defect with left-to-right shunting (red arrow).
Because of the 80% 30-day mortality associated with uncorrected defects, medical therapy alone is limited to hemodynamically insignificant defects, or prohibitive risk patients.4 Effective afterload reduction to decrease the left-to-right shunt is essential: intra-aortic balloon pumps or impella with pharmacotherapy are used in more than 80% of emergencies and 65% of urgent repairs. Temporary percutaneous ventricular assist devices are increasingly used.4 Patients severely compromised by multi-organ failure may benefit from biventricular mechanical support or extra-corporal membrane oxygenation with percutaneous or surgical left ventricular vents, allowing end-organ recovery before definitive surgery.4 Emergency surgery is indicated for cardiogenic shock with pulmonary edema refractory to mechanical circulatory support. Lower mortality is reported when surgery is delayed for a week after diagnosis, although selection and survival bias may explain this.
Coronary bypasses are performed first, commonly with saphenous veins, to facilitate myocardial protection and minimize handling of the heart after VSD repair. Primary repair (Dagett) or infarct exclusion (David) techniques are used.4 For anterior VSDs the infarcted surface of the anterolateral left ventricle (LV) is incised parallel to the LAD.4 The defect in the septum is usually immediately beneath the incision. A patch repair using pericardium is performed using mattress sutures with the pledgets on the right ventricular side in noninfarcted myocardium, so the whole LV aspect of the septum is excluded from the mitral annulus to the anterolateral LV wall.4 It is usually possible to close the left ventriculotomy primarily with mattress sutures buttressed with pericardium or felt, reinforced with continuous sutures and bioglue. True apical VSDs can be repaired and closed primarily by amputating the apex.4 Posterior VSDs are approached via a ventriculotomy in the infarcted posterior LV wall parallel to the posterior descending coronary artery, attaching a patch to the LV aspect of the noninfarcted septum with patch closure, primary closure or infarct exclusion depending on how much free ventricular wall is infarcted.4 Temporary left ventricular assist devices to decompress the LV reducing the risk of left ventriculotomy rupture and supporting cardiac output postoperatively. The 40% perioperative mortality has not changed significantly in decades.1 , 4 There have been case reports and small series of percutaneous VSD closure using PFO closure devices, with variable outcomes.
Ventricular Septal Defects Case
A 50-year-old Hispanic male developed chest pain radiating to the back greater than 72 hours before admission. He reported a similar self-limiting episode a week prior. He presented to the hospital whereby he was found to be in Killip class 4 heart failure and inferior MI. His initial heart rate was 123 BPM, BP 74/56. He was COVID-19 negative. Emergent cardiac catheterization revealed 3 vessel coronary disease with 100% occlusion of the right coronary (Fig. 2 ) and LAD with no collaterals. Placement of 4 stents in the mid and distal right coronary failed to restore flow and remained TIMI 0. Echocardiography performed during catheterization showed EF greater than 70% and inferior apical VSD (Fig. 3 ). The patient was ultimately maintained on an intra-aortic balloon pump and transferred to a quaternary care facility whereby he underwent surgical repair, had impella and ECMO placed but ultimately expired.
Fig. 2.
Coronary angiogram demonstrating 100% occlusion of the right coronary artery (red arrow).
Fig. 3.
Arrow shows the inferior apical ventricular septal defect.
Case 2
A 74-year-old Caucasian female developed chest pain after receiving her COVID-19 shot 1 week before admission but did not seek medical attention. She later presented to the hospital whereby she was found to be in Killip class 4 heart failure and ECG showing anterior MI. Her initial heart rate was 122 BPM, BP 103/73. She was COVID-19 negative. Emergent cardiac catheterization demonstrated 2 vessel coronary diseases with 100% occlusion of the proximal left anterior descending (Fig. 4 ) with no collaterals. She underwent placement of a stent that restored TIMI-3 flow. After catheterization, left ventriculography showed the presence of a ventricular septal defect (Fig. 5 ). EF was estimated at 15% to 20%. The patient was ultimately maintained on an intra-aortic balloon pump and transferred to a quaternary care facility. She underwent VSD repair 10 days later but decompensated and died 3 weeks after initial hospital presentation despite support with ECMO and renal replacement therapy.
Fig. 4.
Occlusion of the proximal left anterior descending artery (red arrow).
Fig. 5.
Left ventriculography shows contrast in both left and right ventricles, demonstrating ventricular septal defect (red arrow).
Papillary muscle rupture
The incidence of acute severe mitral regurgitation (Fig. 6 ) from papillary muscle rupture (PMR), like other mechanical complications of acute MI (AMI), has declined in the reperfusion era to less than 0.05%.4 Primary PCI has further reduced the incidence compared with thrombolysis. Despite this decline, excess hospital mortality is reported compared with patients with AMI without PMR (36.3% vs 5.3%) in the current era.1
Fig. 6.
Eccentric mitral regurgitation jet due to papillary muscle rupture.
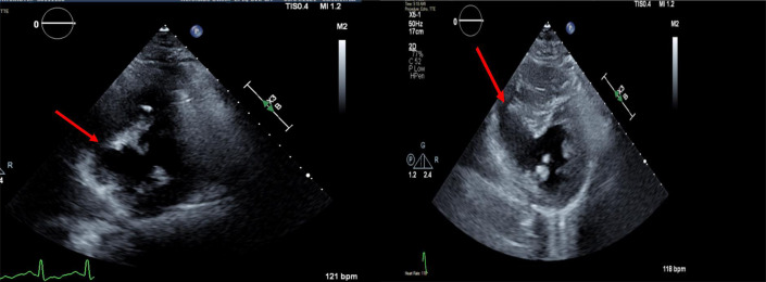
PMR occurs most frequently after inferior AMI in patients with no history of prior CAD. It is more common with STEMI than NSTEMI. The posteromedial papillary muscle is more often involved because of its single blood supply.4 PMR may be complete or partial, which may affect the ease of diagnosis and severity of clinical symptoms.4 Risk factors for PMR include older age, lack of revascularization after AMI, and delay in presentation after AMI.2 PMR typically occurs within 7 days of AMI.4 Patients present with pulmonary edema and may quickly progress to cardiogenic shock (CS). A murmur may be absent due to the equalization of left atrial and left ventricular pressures. Transthoracic echocardiography may not be diagnostic, particularly in cases of partial PMR. Transesophageal echocardiography or angiographic left ventriculography (Fig. 7 ) has a high diagnostic sensitivity.4 Left ventricular ejection fraction is often normal or low-normal. Coronary angiography will most often demonstrate single or 2-vessel CAD, with total occlusion of the infarct-related artery.
Fig. 7.
Arrow indicates ventricular septal defect on left ventriculography.
Patients may require mechanical ventilation. A pulmonary artery catheter is useful for the titration of vasoactive medications. Patients that do not present with CS commonly experience rapid deterioration of their hemodynamics. An intra-aortic balloon pump may be beneficial for patients with CS and the experience with mechanical circulatory support, including percutaneous VADs and VA-ECMO for stabilization in PMR is limited. Emergent mitral valve surgery is the standard treatment, and it should occur within hours of diagnosis. For patients that are hemodynamically stable on support, the urgency of mitral valve surgery may be diminished.
Patients included in the surgical series of PMR treatment are highly selected and their outcomes cannot be generalized to all-comers.4 Many patients with PMR are not offered surgery. In the SHOCK trial registry, only 38% of patients with CS from acute severe MR after AMI were offered mitral valve surgery.3 A recent analysis of AMI admissions from the National Inpatient Sample found that only 58% of patients with PMR underwent mitral valve surgery.1 Factors that may influence this decision include advanced age, comorbidities, and inability to stabilize the patient while awaiting surgery.4
Chordal-sparing mitral valve replacement is generally preferred over repair because the operation is predictable and its durability established. Small series have reported repair techniques, typically for patients with partial PMR and less preoperative hemodynamic derangement.4 Concomitant CABG should be considered in patients with PMR and severe CAD. The surgeon must weigh the risks and benefits of prolonging the operation with CABG. Some surgical series have reported improved outcomes with concomitant CABG. Recently there have been reports of using percutaneous mitral clip repairs with reasonable results.4
Papillary Muscle Rupture Case
A 60-year-old Caucasian male developed chest pain greater than 72 hours before admission. Due to progressive dyspnea, he presented to the hospital whereby he was found to be in Killip class 3 heart failure. His initial heart rate was 116 BPM, BP 90/62 mm Hg, pulmonary rales and systolic murmur were noted. He was COVID-19 negative. Emergent cardiac catheterization demonstrated 3 vessel coronary disease with 100% occlusion of the circumflex with no collaterals. He underwent placement of 4 stents in the circumflex, second obtuse marginal branch, and left main coronary with the restoration of TIMI 3 flow. After catheterization, echocardiography showed EF of 35% to 40% with posterior papillary muscle rupture (Fig. 8 ). The patient was scheduled for surgical mitral valve repair but developed sudden cardiogenic shock and died 4 days after hospital presentation.
Fig. 8.
Evidence of ruptured posterior papillary muscle on echocardiography (red arrow).
Free wall rupture
Although free wall rupture (FWR) is the most common mechanical complication following acute myocardial infarction, its true incidence is unknown because of out of hospital sudden cardiac death and lack of routine autopsy.4 While the overall incidence of rupture has undoubtedly decreased with prompt acute reperfusion therapy for STEMI, the early hazard noted at 24 hours in thrombolytic versus placebo trials established the risk of FWR with delayed reperfusion therapy.4 , 9 This phenomenon is attributed to intra-myocardial hemorrhage, myocardial dissection, and subsequent rupture: a phenomenon that has also been noted following primary percutaneous intervention.4 , 10
Free wall rupture should be suspected in any patient with hemodynamic instability or collapse following an AMI, especially in the setting of delayed, ineffective, or absent reperfusion therapy.4 The clinical examination classically shows jugular venous distension, a pulsus paradoxus or frank electromechanical disassociation and muffled heart sounds in the setting of cardiovascular collapse.4 It is sometimes preceded by chest pain and nausea, and EKG may show new ST elevation as contact with blood irritates the pericardium. Instant death is common in a blowout rupture, but in exceptional cases, a prompt bedside echocardiogram confirms the diagnosis and warrants emergent surgical correction. A variant of frank rupture characterized by a mushy infarct zone with an oozing bloody pericardial effusion should be recognized.4 In cases of circulatory collapse, immediate placement on ECMO support may provide an opportunity to stabilize the circulation and perform the definitive repair with acceptable results.4 , 11
The initial surgical repair was performed by Fitzgibbons and involved an infarctectomy with defect closure on cardiopulmonary bypass.4 , 12 The goals of surgical intervention revolve around repairing the defect, treating tamponade, and leaving behind adequate healthy tissue that will minimize late complications.4 , 13 The preferred technique used is guided by anatomy and presentation, and may rarely be limited to a linear closure, but often involves an infarctectomy when extensive necrosis is present with patch closure with materials such as Dacron or pericardium. The ideal repair when anatomy allows is a primary patch repair that covers the defect but when feasible a sutureless repair using a patch and glue or a collagen sponge patch can be performed with or without the need for ongoing cardiopulmonary bypass. A percutaneous approach using intra pericardial fibrin-glue injection is evolving.4
Pseudoaneurysm
Pseudoaneurysms of the left ventricle develop when cardiac rupture is contained by pericardial adhesions.4 , 14, 15, 16, 17, 18 Although they may occur following cardiovascular surgery, blunt or penetrating chest trauma, or as a result of infective endocarditis, they are most commonly associated with prior acute myocardial infarction.4 , 15, 16, 17, 18 Compared with true aneurysms, pseudoaneurysms more often involve the posterior or lateral wall—perhaps the result of dependent pericardial adhesions developing in the recumbent, convalescing postinfarction patient.4 While acute anterior wall rupture is thought to result in unrelenting hemopericardium, catastrophic tamponade, and immediate death, other pseudoaneurysms can remain undiagnosed for several months or longer.4 , 15, 16, 17, 18
Patients with pseudoaneurysm may present with a myriad of signs or symptoms, none of which can be considered pathognomonic for the condition. While previous case series have argued that nearly half of afflicted individuals will be asymptomatic at the time of diagnosis,18 more contemporary studies and systematic reviews instead note that the majority will be expected to present with congestive heart failure, chest pain, or shortness of breath. Others may develop symptomatic arrhythmias, signs of systemic embolization, and even sudden cardiac death. Most patients are male, and will have both electrocardiographic (eg, ST-segment changes) and radiographic (eg, “mass-like” protuberance on plain film or cardiomegaly) abnormalities at presentation.4 , 14 Diagnosis requires a high index of suspicion and often necessitates the use of multiple complimentary imaging tools; among these include coronary angiography and ventriculography, two-dimensional transthoracic echocardiography, transesophageal echocardiography, cardiac computed tomography, and magnetic resonance imaging.11, 12, 13, 14, 15 Pseudoaneurysms will usually have a narrow neck and, as noted above, will lack the normal structural elements found in an intact cardiac wall.4
Left ventricular pseudoaneurysms are felt to represent surgical emergencies due to their high risk for progressive rupture. In truth, however, little is known about the natural history of medically managed disease. In one small series of patients at the Mayo Clinic, none of those treated conservatively (without operative intervention) succumbed to fatal hemorrhage. Instead, the majority died as a result of other complications, including recurrent ischemia or progressive heart failure.14 It is important to acknowledge that the contemporary literature is quite sparse, and likely undermined by selection and publication bias. While case reports of percutaneous repair exist,15 most experts still believe that immediate surgical management is prudent. Surgeons should be prepared to quickly institute cardiopulmonary bypass at the time of operative intervention, as rupture and hemodynamic collapse can occur soon after pericardial manipulation.4
Summary
COVID-19 disease resulted in a substantial increase in the incidence of myocardial injury, heart failure, and death. In addition, stay-at-home mandates and patient fear of contracting COVID-19 at the hospital has the unintended consequence of fewer patients with STEMI being treated. In severe cases, mechanical complication of AMI can occur particularly among those with delayed presentation after initial cardiac injury. Without a prompt and systematic approach to management, the outcomes for patients with mechanical complications are poor. The management involves a high level of suspicion, particularly among patients with hemodynamic compromise. The utilization of “Heart Team” facilitates a systematic approach to management and ensures a discussion of all therapeutic options to provide hemodynamic stability and durable outcomes.
Clinics care points
-
•
The COVID-19 pandemic resulted in a higher proportion of patients with delayed presentation of myocardial infarction, which ultimately led to an increase in the incidence of mechanical complications in the U.S. and around the world.
-
•
Prompt and systematic approach to management is needed to avoid poor outcomes. The management involves a high level of suspicion, particularly among patients with hemodynamic compromise. The utilization of “Heart Team” facilitates a systematic approach to management and ensures a discussion of all therapeutic options to provide hemodynamic stability and durable outcomes.
Acknowledgments
None.
Disclosure
The authors have nothing to disclose.
Footnotes
Presentation: None.
Funding and Financial Disclosure: Dr A.A. Damluji receives research funding from the Pepper Scholars Program of the Johns Hopkins University Claude D. Pepper Older Americans Independence Center funded by the National Institute on AgingP30-AG021334 and Dr A.A. Damluji receives mentored patient-oriented research career development award from the National Heart, Lung, and Blood Institute K23-HL153771-01.
References
- 1.Fauci A.S., Lane H.C., Redfield R.R. Covid-19 - navigating the uncharted. N Engl J Med. 2020;382(13):1268–1269. doi: 10.1056/NEJMe2002387. [DOI] [PMC free article] [PubMed] [Google Scholar]
- 2.Damluji A.A., Wei S., Bruce S.A., et al. Seropositivity of COVID-19 among asymptomatic healthcare workers: a multi-site prospective cohort study from Northern Virginia, United States. Lancet Reg Health Am. 2021;2:100030. doi: 10.1016/j.lana.2021.100030. [DOI] [PMC free article] [PubMed] [Google Scholar]
- 3.Rosner C.M., Genovese L., Tehrani B.N., et al. Myocarditis Temporally associated with COVID-19 Vaccination. Circulation. 2021;144(6):502–505. doi: 10.1161/CIRCULATIONAHA.121.055891. [DOI] [PMC free article] [PubMed] [Google Scholar]
- 4.Alsidawi S., Campbell A., Tamene A., et al. Ventricular septal rupture complicating delayed acute myocardial infarction presentation during the COVID-19 Pandemic. JACC Case Rep. 2020;2(10):1595–1598. doi: 10.1016/j.jaccas.2020.05.049. [DOI] [PMC free article] [PubMed] [Google Scholar]
- 5.Albiero R., Seresini G. Subacute left ventricular free wall rupture after delayed STEMI presentation during the COVID-19 Pandemic. JACC Case Rep. 2020;2(10):1603–1609. doi: 10.1016/j.jaccas.2020.06.040. [DOI] [PMC free article] [PubMed] [Google Scholar]
- 6.Moroni F., Gramegna M., Ajello S., et al. Collateral damage: medical care avoidance Behavior among patients with myocardial infarction during the COVID-19 Pandemic. JACC Case Rep. 2020;2(10):1620–1624. doi: 10.1016/j.jaccas.2020.04.010. [DOI] [PMC free article] [PubMed] [Google Scholar]
- 7.Damluji A.A., van Diepen S., Katz J.N., et al. Mechanical complications of acute myocardial infarction: a Scientific Statement from the American Heart Association. Circulation. 2021;144(2):e16–e35. doi: 10.1161/CIR.0000000000000985. [DOI] [PMC free article] [PubMed] [Google Scholar]
- 8.O'Gara P.T., Kushner F.G., Ascheim D.D., et al. 2013 ACCF/AHA guideline for the management of ST-elevation myocardial infarction: a report of the American College of Cardiology Foundation/American Heart Association Task Force on practice Guidelines. Circulation. 2013;127(4):e362–e425. doi: 10.1161/CIR.0b013e3182742cf6. [DOI] [PubMed] [Google Scholar]
- 9.Honda S., Asaumi Y., Yamane T., et al. Trends in the clinical and pathological characteristics of cardiac rupture in patients with acute myocardial infarction over 35 years. J Am Heart Assoc. 2014;3(5):e000984. doi: 10.1161/JAHA.114.000984. [DOI] [PMC free article] [PubMed] [Google Scholar]
- 10.Formica F., Mariani S., Singh G., et al. Postinfarction left ventricular free wall rupture: a 17-year single-centre experience. Eur J Cardiothorac Surg. 2018;53(1):150–156. doi: 10.1093/ejcts/ezx271. [DOI] [PubMed] [Google Scholar]
- 11.FitzGibbon G.M., Hooper G.D., Heggtveit H.A. Successful surgical treatment of postinfarction external cardiac rupture. J Thorac Cardiovasc Surg. 1972;63(4):622–630. [PubMed] [Google Scholar]
- 12.Matteucci M., Fina D., Jiritano F., et al. Treatment strategies for post-infarction left ventricular free-wall rupture. Eur Heart J Acute Cardiovasc Care. 2019;8(4):379–387. doi: 10.1177/2048872619840876. [DOI] [PMC free article] [PubMed] [Google Scholar]
- 13.Damluji A.A., Forman D.E., van Diepen S., et al. Older Adults in the cardiac intensive care unit: Factoring Geriatric Syndromes in the management, Prognosis, and Process of care: a Scientific Statement from the American Heart Association. Circulation. 2020;141(2):e6–e32. doi: 10.1161/CIR.0000000000000741. [DOI] [PubMed] [Google Scholar]
- 14.Dudiy Y., Jelnin V., Einhorn B.N., et al. Percutaneous closure of left ventricular pseudoaneurysm. Circ Cardiovasc Interv. 2011;4(4):322–326. doi: 10.1161/CIRCINTERVENTIONS.111.962464. [DOI] [PubMed] [Google Scholar]
- 15.Inayat F., Ghani A.R., Riaz I., et al. Left ventricular pseudoaneurysm: an Overview of diagnosis and management. J Investig Med High Impact Case Rep. 2018;6 doi: 10.1177/2324709618792025. 2324709618792025. [DOI] [PMC free article] [PubMed] [Google Scholar]
- 16.Mackenzie J.W., Lemole G.M. Pseudoaneurysm of the left ventricle. Tex Heart Inst J. 1994;21(4):296–301. [PMC free article] [PubMed] [Google Scholar]
- 17.Yeo T.C., Malouf J.F., Oh J.K., et al. Clinical profile and outcome in 52 patients with cardiac pseudoaneurysm. Ann Intern Med. 1998;128(4):299–305. doi: 10.7326/0003-4819-128-4-199802150-00010. [DOI] [PubMed] [Google Scholar]
- 18.Prifti E., Bonacchi M., Baboci A., et al. Surgical treatment of post-infarction left ventricular pseudoaneurysm: case series highlighting various surgical strategies. Ann Med Surg (Lond) 2017;16:44–51. doi: 10.1016/j.amsu.2017.03.013. [DOI] [PMC free article] [PubMed] [Google Scholar]








